Давление в легочной артерии у торакальных больных. Оперативные вмешательства при легочной гипертензии
Добавил пользователь Евгений Кузнецов Обновлено: 09.01.2026
Конечно, многие жители нашей планеты даже не знают о данном заболевании, но легочная гипертензия — серьезный и опасный недуг, требующий незамедлительного лечения при первых же «звонках» данного вида гипертонии. Данная болезнь представляет собой патологическое состояние, характеризующееся скачком кровеносного давления в артериях легочного бассейна. К основным причинам недуга пациентов, у которых обнаруживают данный тип гипертонии, относят аномалию строения артерий в органах дыхания, в результате чего происходит сужение просвета в одном из сосудов. В связи с этим у больного наблюдается постоянное увеличение кровеносного давления в бассейне легких.
Все вышеперечисленные факторы влияют на то, что сначала наблюдается уплотнение стенок правого желудочка, а далее у многих пациентов диагностируется его правожелудочковая недостаточность, часто приводящая к скорой смерти. Статистика говорит, что легочная артериальная гипертензия диагностируется чаще у представительниц прекрасного пола среднего возраста, мужчины на треть реже страдают от указанного недуга. Самым страшным является то, что указанное лёгочное заболевание протекает без ярких симптомов, поэтому диагностируют этот вид гипертензии уже в запущенных стадиях, когда наблюдаются приступы отека органов дыхания, наступление гипертонического криза, либо происходит кровохарканье из разрыва капилляров. Поэтому так важно знать, что это такое — легочная гипертензия и ее симптомы.
Классификация заболевания
Специалисты выделяют четыре типа указанного заболевания, которые зависят от тяжести течения патологии вышеуказанной болезни.

Классификация легочной гипертензии:
- легочная гипертензия 1 степени характеризуется тем, что пациент не испытывает никаких неприятных ощущений при умеренной двигательной активности, у него не наблюдается одышка, отсутствуют болевые ощущения в районе груди, нет слабости или сильной усталости;
- умеренная легочная гипертензия представляет собой картину, когда при небольшом увеличении привычной физической активности отсутствуют вышеперечисленные признаки заболевания, а при значительном увеличении двигательной активности появляется легкое головокружение, одышка, пациент быстро устает;
- в третьей степени легочной гипертензии даже незначительная нагрузка вызывает болевые ощущения, головокружение и одышку;
- четвертая степень заболевания характеризуется тем, что вышеуказанные признаки могут проявляться у пациента даже в состоянии покоя.
Также легочная гипертензия имеет классификацию по течению указанного заболевания легких, она подразделяется на течение в остром и хроническом периоде. Острая форма чаще наступает в результате перенесенного инфаркта миокарда либо гипертонического криза, также спровоцировать острую стадию может в результате тромбэмболии легочной артерии и т.д. Хроническая гипертензия развивается на фоне повышения кровеносного давления в левом предсердии, в результате обструктивных легочных заболеваний, а также по иной причине, вызывающей сужение артерии в легких.
Причины данного вида гипертензии
Все ее причины связаны с патологиями, при которых наступает резкое сужение легочной артерии.
Указанную гипертонию вызывают как первичные (врожденные) аномалии работы легких, так и вторичные, т.е. связанные с иными заболеваниями.
Повышенное кровеносное давление в легочной артерии могут вызываться по различным причинам, основные факторы, повышающие давление в легких:
- сердечная недостаточность;
- тяжелые заболевания печени;
- васкулиты;
- патологии дыхательной системы;
- различные врожденные заболевания сердца;
- нарушения обмена веществ;
- апноэ;
- синдром заболевания легочной гипертензии часто наблюдает у проживающих в высокогорных районах;
- различные патологии крови и кровеносных сосудов;
- некоторые аутоиммунные заболевания;
- ВИЧ, СПИД;
- редкие генетические аномалии.
Как видно, развивается легочная гипертензия из-за причин различного характера.
Симптомы
Как упоминалось выше, симптомы легочной гипертензии сложно определить на ранних стадиях развития, данное заболевание легких может протекать бессимптомно и выявляется уже через длительное время. Самые первые симптомы не имеют яркой специфики и могут напоминать признаки других патологий дыхательной или сердечно-сосудистой системы.
Все указанные факторы не позволяют диагностировать ее на начальных стадиях развития.
Основные признаки легочной гипертензии:
- первый симптом заболевания — одышка, которая вначале возникает при повышении физической нагрузки, а с течением заболевания наблюдается и в состоянии покоя пациента;
- постоянное чувство усталости;
- навязчивый кашель;
- частые головокружения;
- обморочные состояния;
- если диагностирована легочная гипертензия поздно что порой ведет к разрыву капилляров в легких и появляется кровохарканье, также отмечаются сильные отеки ног, асцит.
Заболевание у детей
Бывают случаи, когда диагностируется легочная гипертензия у новорожденных, ее проявление обуславливается врожденными пороками сердца, также играет значительную роль в развитии данного заболевания у ребенка наследственный фактор.
Нередко легочная гипертензия у детей возникает на фоне перенесенных болезней дыхательной системы: пневмонии, бронхита, осложнений после гриппа или ОРВИ.
Первым симптомом того, как проявляется легочная гипертензия новорожденных является возникновение одышки, реже заболевания начинается с обмороков.
В остальное течение болезни у новорожденного протекает схоже с клинической картиной взрослого пациента.
Осложнения заболевания
Наиболее частым осложнением легочной гипертонии и у новорождённых, и у взрослых является развитие сердечной недостаточности правого желудочка, которая сопровождается мерцательной аритмией. При более тяжелом течении болезни может развиться тромбоз легочных артериол.
Также осложнения при легочном заболевании увеличивает риск развития гипертонического криза, который сопровождается приступами удушья, особенно в ночное время, может развиться отек легких, сильный кашель с приступом кровохарканья.
При этом гипертонический криз может закончиться непроизвольным опорожнением мочевого пузыря или актом дефекации.
А в результате тромбэмболии артерии лёгкое может перестать выполнять свою функцию, что ведет к летальному исходу пациента.
Диагностика
При диагностике указанного заболевания используются следующие методы исследования:
- рентгенография легких позволяет выявить увеличение легочной артерии и увидеть ее аневризму;
- УЗИ сердца определяет толщину его стенок, а допплерография может выявить нарушение кровообращения;
- ЭКГ эффективна на ранних стадиях развития заболевания, данный метод исследования позволяет определить первые признаки правожелудочковой гипертрофии;
- спирография помогает определить степень дыхательной недостаточности у пациента;
- для обнаружения патологии также используется пульмональная томография;
- также исследования включают в себя общий и биохимический анализ крови.
Некоторые специалисты, проводят тест на ходьбу в течение 6 минут, таким образом врач может определить, какую физическую нагрузку выдерживает больной.
А для исследования легочных тканей у пациентов применяют биопсию, однако указанное дорогостоящее исследования проводят только в специализированных клиниках.
А чтобы произвести замер насыщения кислородом крови врач может ввести катетер в полость сердца, данная диагностика проводится при выявлении вторичной гипертензии.
Прогноз выживаемости пациентов
Теперь вы знаете, что такое легочная гипертензия, это опасное заболевание, которое в случае осложнения ее течения может привести к летальному исходу. По последним исследованиям, специалисты выявили, что без лечения срок жизни пациента составляет не более 2-2,5 лет. К сожалению, и с должной терапией прогноз данного вида гипертонии неутешителен, после проведения медикаментозного лечения пациент может прожить не более 5-6 лет, с каждым годом нарастает сердечная недостаточность.
Больные, у которых данная болезнь развивается на фоне врожденного порока сердца обычно не доживают и до 35 лет.
Однако, чтобы продлить себе годы жизни, лечить легочную гипертензию нужно, существует несколько способов лечения и профилактики заболевания.
Лечение
Прежде чем мы поговорим о том, как лечить данное заболевание легких, перечислим все признаки, при обнаружении которых необходимо срочно обратиться к врачу-пульмонологу:
- если появляется сильная одышка при выполнении физических нагрузок в повседневном режиме, нехватка воздуха нарастает в результате увеличенного объема двигательной активности;
- возникновение болей непонятного характера за грудиной;
- постоянное чувство сонливости или появление хронической усталости;
- наблюдаются сильные отеки нижних конечностей.
Если при проведении детального исследования диагностируется легочная гипертензия то лечение, которое может назначить врач включает:
- Благоприятный прогноз для пациентов, у которых была на ранних стадий выявлена указанное легочное заболевание, означает что у больного еще есть шанс избавиться от недуга навсегда. В таких случаях врач назначает курс вазодилатирующих препаратов, действие которых направлено на расслабление гладкомышечного слоя сосудов. К таким средствам относятся Нифедипин, Празозин.
- Для снижения вязкости крови назначаются препараты: ацетилсалициловая кислота, Дипиридамол.
- Кислородная терапия.
- Часто производится вакцинация для профилактики ОРВИ и иных инфекционных заболеваний.
- Врачом пациенту назначается диета, при которой ограничивается потребление соли, также контролируется уровень выпиваемой жидкости (во всех ее видах), до полутора литров в сутки.
- Лечение легочной гипертензии у пациентов женского пола подразумевает применений контрацептивов, т.к. беременность и последующие роды могут сильно осложнить течение указанного заболевания, вплоть до летального исхода.
- При диагностировании болезни врач может запретить любые физические нагрузки.
- Также используются методы оперативного лечения, самым частым является трансплантация легких или сердца.
Что же касается методов народной медицины, то при данном виде заболевания они неэффективны, а могут только усугубить течение болезни из-за аллергической реакции на какой-либо компоненты народного рецепта.
Иногда пациенты могут применять грудные сборы для уменьшения кашля, но только крайне осторожно, лучше начать прием отвара с одной чайной ложки.
Также в редких случаях используются мочегонные средства, чтобы убрать сильные отеки ног.
Однако специалисты рекомендуют не использовать народное целительство при указанном типе гипертонии. Ведь если не сделать диагностику вовремя и упустить начальные стадии развития болезни, можно навсегда потерять шанс на выздоровление. Поэтому при первых же признаках легочной гипертонии необходимо незамедлительно обращаться к компетентному врачу-пульмонологу.
Профилактика
Каждому человеку можно существенно снизить риск развития данного заболевания легких. Для этого необходимо пациентам с различными степенями легочной гипертензии соблюдать несколько правил:
- отказаться от вредных привычек (табакокурение, чрезмерное употребление алкоголя), придерживать правил здоровое питания;
- каждое утро выполнять легкие физические упражнения;
- регулярно проходить профилактические осмотры у врача-пульмонолога;
- если у человека наблюдаются хронические заболевания дыхательной системы, необходимо строго следить за их течением;
- должна быть регулярная двигательная активность в умеренном режиме;
- также необходимо исключать ситуации, которые могут подвергать человека сильном и длительному стрессу (конфликты в семье, на работе).
Но самое главное, что должен помнить любой пациент, причины легочной гипертензии — самые разнообразные, и при первых же «звоночках» этого коварного недуга нужно в экстренном порядке обратиться к квалифицированному специалисту для прохождения детального обследования. Ведь только при диагностировании заболевания на ранних стадиях есть высокие шансы на успешное выздоровление, при выявлении недуга на поздних стадиях в 50% случаев ведет к летальному исходу в течение 5 лет после возникновения данного вида гипертензии. И ни в коем случае не занимайтесь самолечением, грамотное комплексное лечение может подобрать только врач, дозировка тех или иных лекарственных препаратов зависит от степени тяжести заболевания и типа сопутствующих патологий.
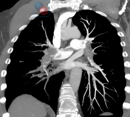
Легочная гипертензия после тромбоэмболии

Хроническая тромбоэмболическая легочная гипертензия - форма легочной гипертензии, при которой хроническая закупорка крупных и средних ветвей легочных артерий приводят к прогрессирующему повышению легочного сосудистого сопротивления и давления в легочной артерии с нарушением функции правых отделов сердца и последующей сердечной недостаточности. Данный вариант является уникальной формой легочной гипертензии, поскольку она потенциально излечима с помощью хирургического лечения.
Диагноз тромбоэмболической легочной гипертензии чаще устанавливается в возрасте 45-60 лет. Средний возраст российских пациентов на момент установления диагноза по данным Национального регистра составляет 45,8 лет. Считается, что распространенность патологии в популяции среди женщин и мужчин равномерная. Заболевание неуклонно прогрессирует и при отсутствии полноценного лечения приводит к гибели пациентов в течение нескольких лет.
Лечение в Инновационном сосудистом центре
В нашей клинике лечение постэмболической легочной гипертензии проводистя эндоваскулярными методами - это балонная ангиопластика сужений легочных артерий. Подобный подход позволяет значительно снизить риск хирургического вмешательства (летальность при открытых операциях составляет около 10%), улучшить качество и продлить жизнь пациентов на длительный срок.
Проведению операции предшествует датальное обследование и дооперационная оценка, которая позволяет точно установить клиническую форму заболевания и возможности его эндоваскулярного лечения. Наша клиника является уникальным учреждением, выполняющим подобные вмешательства тяжелым больным с легочной гипертензией.
Причины и факторы риска
Основной причиной тромбоэмболической легочной гипертензии является тромботическая закупорка легочных артерий, которая возникает после эпизодов тромбоэмболии (отрыва тромбов) из вен конечностей или внутренних органов. Неодостаточное рассасывание тромботических масс в легочных артериях приводит к их постепенному зарастанию и изменениям всей системы легочного кровообращения. Развивается повышение давления в легочной артерии, развитие недостаточности правого желудочка, застою крови в венах и формированию тяжелой сердечной недостаточности.
Изменения легочных артерий при формировании легочной гипертензии можно условно разделить на два компонента. Первый компонент включает изменения крупных сосудов до уровня субсегментарных ветвей. Патологические поражения представлены в виде организованных тромбов, плотно прикрепленных к сосудистой стенке легочных артерий эластического типа. Они могут полностью закрывать просвет или образовать различные степени стеноза, сети и тяжи. Второй компонент- это изменения мелких легочных сосудов и микрососудистого русла.
Преобладание изменений в крупных артериях свидетельствует о "классической" - форме постэмболической легочной гипертензии, которые возможно эффективно лечить хирургическими методами. Доминирование второго компонента характерно для дистальной формы заболевания, которая считается неоперабельной.
Прогрессирование заболевания
Отеки нижних конечностей, асцит, снижение аппетита, выраженная слабость свидетельствуют о дисфункции правого желудочка, нарастании недостаточности трехстворчатого клапана. Для оценки динамики течения заболевания и эффективности проводимой терапии необходимо количественно оценивать толерантность к физическим нагрузкам (функциональный класс, тест 6-минутной ходьбы).
Функциональный резерв кровообращения постепенно снижается, что приводит к развитию осложнений в других органах и системах и постепенно ведет к неблагоприятному исходу.
Осложнения
Постепенно развивается сердечная недостаточность в большом круге кровообращения, которая проявляется увеличением печени и селезенки, значительным отеком нижних конечностей, накоплением жидкости в животе (асцит), которое может достигать очень больших степеней и вызывать дополнительные нарушения дыхания.
Крайняя степень правожелудочковой недостаточности приводит к скоплению жидкости во всех тканях и органах большого круга кровообращения (анасарка), постепенно развивается недостаточность функции внутренних органов (цирроз печени, почечная недостаточность).
Прогноз при легочной гипертензии
При отсутствии лечения прогноз заболевания неблагоприятный и зависит от степени легочной гипертензии. По данным зарубежных исследований десятилетняя выживаемость больных с неоперированной постэмболической легочной гипертензией составляет 5 - 20% и зависит от степени повышения давления в легочной артерии. Своевременное восстановление проходимости легочных артерий стабилизирует и улучшает состояние больных. У успешно оперированных пациентов прогноз соответствует среднему по популяции.
Преимущества лечения в клинике
![Сцинтиграфия легких]()
Жалобы и симптомы
Одышка инспираторного характера выражена в различной степени: от минимальной, возникающей при интенсивной нагрузке,до имеющей место в покое и при незначительных усилиях. Она отмечается у 98% больных на момент установления диагноза легочной гипертензии. Как правило, с течением болезни одышка прогрессивно нарастает. Приступов удушья обычно не наблюдается.
Боли в груди отмечаются у 28% пациентов обычно имеют неопределенный характер: давящие, ноющие, колющие, сжимающие; без четкого начала, продолжительностью от нескольких минут до суток. У ряда пациентов могут появляться приступы напоминающие стенокардию, что может маскировать ишемическую болезнь сердца и даже острый инфаркт миокарда.
Головокружения и обмороки отмечаются у 10% больных с тромбоэмболической легочной гипертензией чаще всего после физической нагрузки.
Кашель отмечается у 38% больных. Он связан как с застойными явлениями, так и с присоединением воспалительных изменений в легких.
Кровохарканье наблюдается у 18% больных.
Функциональная классификация легочной гипертензии
отсутствует ограничение физической активности. Обычная физическая активность не вызывает появление одышки, слабости, боли в грудной клетке, головокружения
некоторое снижение физической активности. Обычная физическая активность сопровождается появлением одышки, слабости, боли в грудной клетке, головокружения
выраженное ограничение физической активности. Небольшая физическая активность вызывает появление одышки, слабости, боли в грудной клетке, головокружения
неспособность выполнять любую физическую нагрузку без вышеперечисленных клинических симптомов. Одышка или слабость могут присутствовать даже в покое, дискомфорт возрастает при минимальной нагрузке
Опрос и осмотр пациента
Следует выяснить были ли у пациента эпизоды тромбозов глубоких вен, внезапных отеков ног, тромбофлебиты. У многих больных прослеживается семейный анамнез внезапной смерти, сердечно-сосудистой патологии и повышенной наклонности к тромбообразованию.
Объективным доказательством перенесенной тромбоэмболии легочной артерии (ТЭЛА) становится совпадение по времени клиники тромбоза вен нижних конечностей и появления одышки. В ближайшие месяцы после ТЭЛА у больных можно выявить период, когда состояние остается стабильным и малосимптомным. Это связано с тем, что правый желудочек справляется с нагрузкой и позволяет сохранить хорошую переносимость физических нагрузок до момента развития прогрессирующего ремоделирования легочных сосудов. Практически единственным надежным доказательством перенесенной ТЭЛА могут стать данные перфузионной сцинтиграфии или компьютерной томографии легких, проведенной во время острого эпизода ТЭЛА.
При общем осмотре пациентов с ХТЭЛГ может определяться синюшность (цианоз). При развитии правожелудочковой сердечной недостаточности отмечаются набухшие шейные вены, увеличение печени, периферические отеки, водянка живота.
Неинвазивная диагностика
Электрокардиография(ЭКГ) выявляет признаки гипертрофии и перегрузки правого желудочка, дилатации и гипертрофии правого предсердия (p-pulmonale), отклонение электрической оси сердца вправо.
Рентгенография органов грудной клетки позволяет уточнить этиологию ЛГ: выявить интерстициальные заболевания легких, приобретенные и врожденные пороки сердца, а также судить о тяжести ЛГ. Основными рентгенологическими признаками ЛГ являются выбухание ствола и левой ветви легочной артерии, которые формируют в прямой проекции II дугу по левому контуру сердца, расширение корней легких, увеличение правых отделов сердца. У больных постэмболической легочной гипертензией можно выявить признаки, указывающие на наличие тромбов в крупных ветвях легочной артерии (ЛА)- расширение ствола и главных ветвей ЛА, симптом деформации и укорочения корня. Специфическим признаком является обеднение легочного рисунка в зоне нарушенного кровоснабжения.
Эхокардиография (ЭхоКГ) - УЗИ сердца считается наиболее ценным неинвазивным методом диагностики ЛГ, так как не только позволяет оценить уровень давления в легочной артерии, но и дает важную информацию о причине и осложнениях ЛГ. С помощью этого метода можно исключить поражения митрального, аортального клапанов, болезни миокарда, врожденные пороки сердца с шунтированием крови, приводящие к развитию ЛГ. К сожалению, метод не позволяет дифференцировать постэмболической легочной гипертензии от других форм прекапиллярной ЛГ. Исключение составляют редкие случаи наличия массивных тромбов в стволе и основных ветвях ЛА в непосредственной близости от бифуркации.
Установление клинического класса и верификация диагноза
Легочные функциональные тесты позволяют выявить обструктивные или рестриктивные изменения с целью дифференциальной диагностики ЛГ и уточнения тяжести поражения легких. Для больных характерно уменьшение диффузионной способности легких в отношении монооксида углерода (40-80% от нормы), небольшое или умеренное снижение легочных объемов, нормальное или незначительно сниженное PaO2 и обычно сниженное из-за альвеолярной гипервентиляции PaСO2.
Вентиляционно-перфузионная сцинтиграфия легких является методом скрининга для исключения хронической тромбоэмболии как причины легочной гипертензии. У больных после тромбоэмболии обнаруживаются дефекты перфузии в долевых и сегментарных зонах при отсутствии нарушений вентиляции. Перфузионная сцинтиграфия исторически стала одним из первых методов обнаружения дефектов перфузии легочной паренхимы при ТЭЛА. Изображения, получаемые при острой ТЭЛА и ХТЭЛГ, существенно различаются. Дефекты перфузии при острой ТЭЛА более четко очерчены и резко контрастируют с нормально функционирующей тканью. При ХТЭЛГ дефекты перфузии очерчены не четко и часто не соответствуют зоне кровоснабжения крупной легочной артерии.

Компьютерная томография и КТ-ангиопульмонография
Основными задачами ангиографической диагностики являются определение степени тяжести легочной гипертензии, уточнение характера поражения легочного русла посредством ангиопульмонографии, выявление/исключение коронарной болезни. Проведение катетеризации в изолированном виде без качественной ангиопульмонографии у больного с четкими признаками ХТЭЛГ нецелесообразно. Это исследование должно дать четкую информацию врачам для решения вопроса об операбельности больного и тяжести его состояния. Гемодинамическими критериями постэмболической легочной гипертензии, выявляемыми при катетеризации правых отделов сердца, являются: среднее давление в легочной артерии (ДЛА) выше 25 мм рт. ст., давление заклинивания легочной артерии (ДЗЛА) ≤ 15 мм рт. ст., ЛСС > 2 ЕД. по Вуду (160 дин. сек см- 5 ) при наличии множественных стенозирующих и/или окклюзирующих поражений ветвей легочной артерии различного калибра.
Хроническая обструктивная болезнь легких (ХОБЛ) - симптомы и лечение
Что такое хроническая обструктивная болезнь легких (ХОБЛ)? Причины возникновения, диагностику и методы лечения разберем в статье доктора Никитиной Ирины Леонидовны, терапевта со стажем в 27 лет.
Над статьей доктора Никитиной Ирины Леонидовны работали литературный редактор Маргарита Тихонова , научный редактор Сергей Федосов
Определение болезни. Причины заболевания
Хроническая обструктивная болезнь лёгких (ХОБЛ) — заболевание, которое набирает обороты, продвигаясь в рейтинге причин смерти людей старше 45 лет. По данным за 2020 год, эта болезнь входит в тройку лидеров смертности населения. Она находится на третьем месте после ишемической болезни сердца и инсульта [6] .
Данная болезнь коварна тем, что основные симптомы болезни, в частности, при табакокурении проявляются лишь через 20 лет после начала курения. Оно долгое время не даёт клинических проявлений и может протекать бессимптомно, однако, в отсутствии лечения незаметно прогрессирует обструкция дыхательных путей, которая становится необратимой и ведёт к ранней нетрудоспособности и сокращению продолжительности жизни в целом. Поэтому тема ХОБЛ представляется в наши дни особенно актуальной.
Важно знать, что ХОБЛ — это первично хроническое заболевание, при котором важна ранняя диагностика на начальных стадиях, так как болезнь имеет тенденцию к прогрессированию.
Если врач поставил диагноз «Хроническая обструктивная болезнь лёгких (ХОБЛ)», у пациента возникает ряд вопросов: что это значит, насколько это опасно, что изменить в образе жизни, какой прогноз течения болезни?
Итак, хроническая обструктивная болезнь лёгких или ХОБЛ - это хроническое воспалительное заболевание с поражением мелких бронхов (воздухоносных путей), которое приводит к нарушению дыхания за счёт сужения просвета бронхов. [1] С течением времени в лёгких развивается эмфизема. Так называется состояние, при котором снижается эластичность лёгких, то есть их способность сжиматься и расширяться в процессе дыхания. Лёгкие при этом находятся постоянно как будто в состоянии вдоха, в них всегда, даже во время выдоха, остается много воздуха, что нарушает нормальный газообмен и приводит к развитию дыхательной недостаточности.

Основными причинами заболевания ХОБЛ являются:
- воздействие вредных факторов окружающей среды;
- табакокурение.
К другим причинам относятся:
- факторы профессиональной вредности (пыль содержащая кадмий, кремний);
- общее загрязнение окружающей среды (выхлопные газы автомобилей, SO2, NO2);
- частые инфекции дыхательных путей;
- наследственность.
При обнаружении схожих симптомов проконсультируйтесь у врача. Не занимайтесь самолечением - это опасно для вашего здоровья!
Симптомы хронической обструктивной болезни легких
ХОБЛ — болезнь второй половины жизни, чаще развивается после 40 лет. Развитие болезни — постепенный длительный процесс, чаще незаметный для пациента.
Обратиться к врачу заставляют появившиеся одышка и кашель — самые распространённые симптомы заболевания (одышка почти постоянная; кашель частый и ежедневный, с выделениями мокроты по утрам). [2]
Типичный пациент с ХОБЛ — курящий человек 45-50 лет, жалующийся на частую одышку при физической нагрузке.
Кашель — один из самых ранних симптомов болезни. Он часто недооценивается пациентами. На начальных стадиях болезни кашель носит эпизодический характер, но позже становится ежедневным.
Мокрота также относительно ранний симптом заболевания. На первых стадиях она выделяется в небольших количествах, в основном по утрам. Характер слизистый. Гнойная обильная мокрота появляется во время обострения заболевания.
Одышка возникает на более поздних стадиях заболевания и отмечается вначале только при значительной и интенсивной физической нагрузке, усиливается при респираторных заболеваниях. В дальнейшем одышка модифицируется: ощущение недостатка кислорода во время обычных физических нагрузкок сменяется тяжёлой дыхательной недостаточностью и через время усиливается. Именно одышка становится частой причиной для того, чтобы обратиться к врачу.
Когда можно заподозрить наличие ХОБЛ?
Вот несколько вопросов алгоритма ранней диагностики ХОБЛ: [1]
- Кашляете ли Вы каждый день по нескольку раз? Беспокоит ли это Вас?
- Возникает ли при откашливании мокрота или слизь (часто/ежедневно)?
- У Вас быстрее/чаще появляется одышка, в сравнении со сверстниками?
- Вы старше 40 лет?
- Курите ли Вы и приходилось ли курить раньше?
При положительно ответе более чем на 2 вопроса необходимо проведение спирометрии с бронходилятационным тестом. При показателе теста ОФВ1/ФЖЕЛ ≤ 70 определяется подозрение на ХОБЛ.
Патогенез хронической обструктивной болезни легких
При ХОБЛ страдают как дыхательные пути, так и ткань самого лёгкого — лёгочная паренхима.
Начинается заболевание в мелких дыхательных путях с закупорки их слизью, сопровождающейся воспалением с формированием перибронхиального фиброза (уплотнение соединительной ткани) и облитерации (зарастание полости).
При сформировавшейся патологии бронхитический компонент включает:
- гиперплазию слизистых желёз (избыточное новообразование клеток) [4] ;
- слизистое воспаление и отёк;
- бронхоспазм и закупорку дыхательных путей секретом, что приводит к сужению дыхательных путей и увеличению их сопротивления.

Эмфизематозный компонент приводит к разрушению конечных отделов дыхательных путей — альвеолярных стенок и поддерживающих структур с образованием значительно расширенных воздушных пространств. Отсутствие тканевого каркаса дыхательных путей приводит к их сужению вследствие тенденции к динамическому спадению во время выдоха, что становится причиной экспираторного коллапса бронхов. [4]

Ко всему прочему, разрушение альвеолярно-капиллярной мембраны влияет на газообменные процессы в лёгких, снижая их диффузную способность. В результате этого возникают уменьшение оксигенации (кислородное насыщения крови) и альвеолярной вентиляции. Происходит избыточная вентиляция недостаточно перфузируемых зон, приводящая к росту вентиляции мёртвого пространства и нарушению выведения углекислого газа СО2. Площадь альвеолярно-капиллярной поверхности уменьшена, но может быть достаточной для газообмена в состоянии покоя, когда эти аномалии могут не проявляться. Однако при физической нагрузке, когда потребность в кислороде возрастает, если дополнительных резервов газообменивающихся единиц нет, то возникает гипоксемия — недостаток содержания кислорода в крови.
Появившаяся гипоксемия при длительном существовании у пациентов с ХОБЛ включает ряд адаптивных реакций. Повреждение альвеолярно-капиллярных единиц вызывает подъём давления в лёгочной артерии. Поскольку правый желудочек сердца в таких условиях должен развивать большее давление для преодоления возросшего давления в лёгочной артерии, он гипертрофируется и расширяется (с развитием сердечной недостаточности правого желудочка). Кроме того, хроническая гипоксемия способна вызывать увеличение эритропоэза, который впоследствии увеличивает вязкость крови и усиливает правожелудочковую недостаточность.
Классификация и стадии развития хронической обструктивной болезни легких

Дыхательная недостаточность — состояние аппарата внешнего дыхания, при котором либо не обеспечивается поддержание напряжения О2 и СО2 в артериальной крови на нормальном уровне, либо оно достигается за счёт повышенной работы системы внешнего дыхания. Проявляется, главным образом, одышкой.
Хроническое лёгочное сердце — увеличение и расширение правых отделов сердца, которое происходит при повышении артериального давления в малом круге кровообращения, развившееся, в свою очередь, в результате лёгочных заболеваний. Основной жалобой пациентов также является одышка.
Диагностика хронической обструктивной болезни легких
Если у пациентов кашель, выделение мокроты, одышки, а также были выявлены факторы риска развития хронической обструктивной болезни лёгких, то у них у всех должен предполагаться диагноз ХОБЛ.
Для того, чтобы установить диагноз, учитываются данные клинического обследования (жалобы, анамнез, физикальное обследование).
При физикальном обследовании могут выявляться симптомы, характерные для длительно протекающего бронхита: «часовых стекол» и/или «барабанных палочек» (деформация пальцев), тахипноэ (учащённое дыхание) и одышка, изменение формы грудной клетки (для эмфиземы характерна бочкообразная форма), малая подвижность её во время дыхания, западение межреберных промежутков при развитии дыхательной недостаточности, опущение границ лёгких, изменение перкуторного звука на коробочный, ослабленное везикулярное дыхание или сухие свистящие хрипы, которые усиливаются при форсированном выдохе (то есть быстром выдохе после глубокого вдоха). Тоны сердца могут прослушиваться с трудом. На поздних стадиях может иметь место диффузный цианоз, выраженная одышка, появляются периферические отёки. Для удобства заболевание подразделяют на две клинические формы: эмфизематозную и бронхитическую. Хотя в практической медицине чаще встречаются случаи смешанной формы заболевания.

Самый важный этап диагностики ХОБЛ — анализ функции внешнего дыхания (ФВД). Он необходим не только для определения диагноза, но и для установления степени тяжести заболевания, составления индивидуального плана лечения, определения эффективности терапии, уточнения прогноза протекания болезни и оценки трудоспособности. Установление процентного соотношения ОФВ1/ФЖЕЛ чаще всего применяется в лечебной практике. Уменьшение объема форсированного выдоха в первую секунду к форсированной жизненной ёмкости лёгких ОФВ1/ФЖЕЛ до 70 % — начальный признак ограничения воздушного потока даже при сохранённой ОФВ1>80% должной величины. Низкая пиковая скорость потока воздуха на выдохе, незначительно меняющаяся при применении бронходилятаторов также говорит в пользу ХОБЛ. При впервые диагностируемых жалобах и изменениях показателей ФВД спирометрия повторяется на протяжении года. Обструкция определяется как хроническая, если она фиксируется не менее 3-х раз за год (невзирая на проводимое лечение), и диагностируется ХОБЛ.
Мониторирование ОФВ1 — важный метод подтверждения диагноза. Спиреометрическое измерение показателя ОФВ1 осуществляется многократно на протяжении нескольких лет. Норма ежегодного падения ОФВ1 для людей зрелого возраста находится в пределах 30 мл в год. Для пациентов с ХОБЛ характерным показателем такого падения является 50 мл в год и более.
Бронхолитический тест — первичное обследование, при котором определяется максимальный показатель ОФВ1, устанавливаются стадия и степень тяжести ХОБЛ, а также исключается бронхиальная астма (при положительном результате), избирается тактика и объём лечения, оценивается эффективность терапии и прогнозируется течение заболевания. Очень важно от личить ХОБЛ от бронхиальной астмы, так как у этих часто встречаемых заболеваний одинаковое клиническое проявление — бронхообструктивный синдром. Однако подход к лечению одного заболевания отличается от другого. Главный отличительный признак при диагностике — обратимость бронхиальной обструкции, которая является характерной особенностью бронхиальной астмы. Установлено, что у людей с диагнозом ХО БЛ после приёма бронхолитика процент увеличения ОФВ 1 — менее 12% от исходного (или ≤200 мл), а у пациентов с бронхиальной астмой он, как правило, превышает 15%.
Рентгенография грудной клетки имеет вспомогательное зн ачение, так как изменения появляются лишь на поздних стадиях заболевания.
ЭКГ может выявлять изменения, которые характерны для лёгочного сердца.
ЭхоКГ необходима для выявления симптомов лёгочной гипертензии и изменений правых отделов сердца.
Общий анализ крови — с его помощью можно оценить показатели гемоглобина и гематокрита (могут быть повышены из-за эритроцитоза).
Определение уровня кислорода в крови (SpO2) - пульсоксиметрия, неинвазивное исследование для уточнения выраженности дыхательной недостаточности, как правило, у больных с тяжёлой бронхиальной обструкцией. Кислородная насыщенность крови менее 88%, определяемая в покое, указывает на выраженную гипоксемию и необходимость назначения оксигенотерапии.
Лечение хронической обструктивной болезни легких
Лечение ХОБЛ способствует:
- уменьшению клинических проявлений;
- повышению толерантности к физической нагрузке;
- профилактике прогрессирования болезни;
- профилактике и лечению осложнений и обострений;
- повышению качества жизни;
- снижению смертности.
К основным направлениям лечения относятся:
- ослабление степени влияния факторов риска;
- образовательные программы;
- медикаментозное лечение.
Ослабление степени влияния факторов риска
Отказ от курения обязателен [7] . Именно это является наиболее эффективным способом, который снижает риск развития ХОБЛ.
Производственные вредности также следует контролировать и снижать их влияние, применяя адекватную вентиляцию и воздухоочистители.
Образовательные программы
Образовательные программы при ХОБЛ включают в себя:
- базовые знания о заболевании и общих подходах к лечению с побуждением пациентов к прекращению курения;
- обучение тому, как правильно использовать индивидуальные ингаляторы, спейсеры, небулайзеры;
- практику самоконтроля с применением пикфлоуметров, изучение мер неотложной самопомощи.
Обучение пациентов занимает значимое место в лечении пациентов и влияет на последующий прогноз (уровень доказательности А).
Метод пикфлоуметрии даёт возможность пациенту ежедневно самостоятельно контролировать пиковый объём форсированного выдоха — показатель, тесно коррелирующий с величиной ОФВ1.
Пациентам с ХОБЛ на каждой стадии показаны физические тренирующие программы с целью увеличения переносимости физических нагрузок.
Медикаментозное лечение
Фармакотерапия при ХОБЛ зависит от стадии заболевания, тяжести симптомов, выраженности бронхиальной обструкции, наличия дыхательной или правожелудочковой недостаточности, сопутствующих заболеваний. Препараты, которые борются с ХОБЛ, делятся на средства для снятия приступа и для профилактики развития приступа. Предпочтение отдают ингаляционным формам препаратов.

Для купирования редких приступов бронхоспазма назначают ингаляции β-адреностимуляторов короткого действия: сальбутамол, фенотерол.
Препараты для профилактики приступов:
- формотерол;
- тиотропия бромид;
- комбинированные препараты (беротек, беровент).
Если применение ингаляции невозможно или их эффективность недостаточна, то возможно необходимо применение теофиллина.
При бактериальном обострении ХОБЛ требуется подключение антибиотиков. Могут быть применены: амоксициллин 0,5-1 г 3 раза в сутки, азитромицин по 500 мг трое суток, кларитромицин СР 1000 мг 1 раз сутки, кларитромицин 500 мг 2 раза в сутки, амоксициллин + клавулановая кислота 625 мг 2 раза в сутки, цефуроксим 750 мг 2 раза в сутки.
Снятию симптомов ХОБЛ также помогают глюкокортикостероиды, которые также вводят ингаляционно (беклометазона дипропионат, флутиказона пропионат). Если ХОБЛ протекает стабильно, то назначение системных глюкокортикостероидов не показано.
Традиционные отхаркивающие и муколитические средства дают слабый положительный эффект у пациентов с ХОБЛ.
У тяжёлых пациентов с парциальным давлением кислорода (рО2) 55 мм рт. ст. и менее в покое показана кислородотерапия.
Прогноз. Профилактика
На прогноз заболевания влияет стадия ХОБЛ и число повторных обострений. При этом любое обострение негативно сказывается на общем течении процесса, поэтому крайне желательна как можно более ранняя диагностика ХОБЛ. Лечение любого обострения ХОБЛ следует начинать максимально рано. Важно также полноценная терапия обострения, ни в коем случае не допустимо переносить его «на ногах».
Зачастую люди решаются обратиться к врачу за медицинской помощью, начиная со II среднетяжелой стадии. При III стадии болезнь начинает оказывать довольно сильное влияние на пациента, симптомы становятся более выраженным (нарастание одышки и частые обострения). На IV стадии происходит заметное ухудшение качества жизни, каждое обострение становится угрозой для жизни. Течение болезни становится инвалидизирующим. Эта стадия сопровождается дыхательной недостаточностью, не исключено развитие лёгочного сердца.
На прогноз заболевания влияет соблюдение больным медицинских рекомендаций, приверженность лечению и здоровому образу жизни. Продолжение курения способствует прогрессированию заболевания. Отказ от курения приводит к замедлению прогрессирования заболевания и замедлению снижения ОФВ1. В связи с тем, что заболевание имеет прогрессирующее течение, многие пациенты вынуждены принимать лекарственные средства пожизненно, многим требуются постепенно возрастающие дозы и дополнительные средства в период обострений.
Наилучшими средствами профилактики ХОБЛ являются: здоровый образ жизни, включающий полноценное питание, закаливание организма, разумную физическую активность, и исключение воздействия вредных факторов. Отказ от курения - абсолютное условие профилактики обострения ХОБЛ. Имеющиеся производственные вредности, при постановке диагноза ХОБЛ — достаточный повод для смены места работы. Профилактическими мерами также являются избегание переохлаждений и ограничение контактов с заболевшими ОРВИ.
С целью профилактики обострений пациентам с ХОБЛ показана ежегодная противогриппозная вакцинация. Людям с ХОБЛ в возрасте 65 лет и старше и пациентам при ОФВ1 < 40% показана вакцинация поливалентной пневмококковой вакциной.
Легочная гипертензия (первичная и вторичная)
Легочная гипертензия — заболевание, которое характеризуется повышением давления в системе легочной артерии, что может быть вызвано существенным увеличением объема легочного кровотока либо повышением сопротивления в сосудистом русле легких.
Легочная гипертензия почти всегда вторичное состояние. Если причину медикам выявить не удалось, то легочную гипертензию в таком случае принято считать первичной. При этом типе легочные сосуды сужаются, происходит их гипертрофия и фибризация. Вследствие легочной гипертензии развиваются правожелудочковая перегрузка и недостаточность.
Среди симптоматики лидируют одышка при нагрузке, усталость, вероятны обмороки и ощущение дискомфорта в грудной клетке. Диагноз устанавливают при помощи измерения давления в легочной артерии. Лечение проводится сосудорасширяющими средствами, а в тяжелых случаях прибегают к пересадке легкого. В целом прогноз неблагоприятный при первичной легочной гипертензии, поскольку терапия не может быть проведена устранением патологии, лежащей в основе.
Нормальные показатели давления в легочной артерии:
- систолическое 23-26 мм рт.ет.
- диастолическое 7-9 мм рт.ст.
- среднее12-15 мм рт.ст.
По рекомендациям ВОЗ, максимальное нормальное систолическое давление в легочной артерии должно составлять 30 мм рт.ст., а максимальное диастолическое — 15 мм рт.ст.
Причины и эпидемиология
Легочную гипертензию регистрируют, если среднее легочное артериальное давление превышает показатель 25 мм рт. ст. в состоянии покоя, или превышает 35 мм рт. ст. во время физических нагрузок. Многие патологические состояния и лекарства могут привести к легочной гипертензии. Исход первичной и вторичной формы рассматриваемого патологического состояния может быть почти идентичный. Чаще фиксируют вторичную ЛГ, а первичная форма встречается только в 1-2 случаях на 1 млн.
Первичная легочная гипертензия в два раза чаще встречается у женщин по сравнению с мужчинами. Средний возраст регистрации заболевания составляет 35 лет. Болезнь может быть спорадической или семейной (причем первый вид встречается в 10 раз чаще). Большинство семейных случаев объясняется мутациями в гене рецептора костного морфогенетического белка типа 2 (BMPR2) из семейства рецепторов трансформирующего фактора роста (TGF)-бета. Примерно двадцать процентов спорадических случаев также имеют мутации BMPR2. Часто при первичной ЛГ превышает норму уровень ангиопротеина-1. Среди провоцирующих факторов выделяют заражение человеческим вирусом герпеса 8 и нарушения транспортировки серотонина.
Причины острой легочной гипертензии
- любого генеза
- Тромбоз в системе легочной артерии или ТЭЛА
- Респираторный дистресс-синдром
- Астматический статус
Причины хронической легочной гипертензии
1. Увеличение легочного кровотока
- Открытый артериальный проток
- Дефект межпредсердной перегородки
- Дефект межжелудочковой перегородки
2. Увеличение давления в левом предсердии
- Хроническая левожелудочковая недостаточность любого генеза
- Тромб или миксома левого предсердия
3. Увеличение сопротивления в системе легочной артерии
- влияние фармакологических средств
- ТЭЛА с рецидивами
- диффузные заболевания соединительной ткани
- первичная легочная гипертензия
- веноокклюзионная болезнь
- системные васкулиты
- гиповентиляционный синдром
- высотная гипоксия
- хронические обструктивные заболевания легких
Патогенез
Для первичной ЛГ характерны гладкомышечная гипертрофия, вариабельная вазоконстрикция, ремоделирование стенки сосуда. К вазоконстрикции приводит повышение активности тромбоксана и эндотелина 1, а также снижение активности оксида азота и простациклина. Увеличенное легочное сосудистое давление имеет причиной сосудистую обструкцию. Оно влияет на повреждение эндотелия.
Как следствие, активизируется коагуляция на поверхности интимы, которая может усугубить артериальную гипертензию. Также этому способствует тромботическая коагулопатия, которая является следствием роста содержания ингибитора активатора плазмогена типа 1 и фибринопептида А и снижения активности тканевого активатора плазмогена. Очаговую коагуляцию на поверхности эндотелия нужно отличать от хронической тромбоэмболической легочной артериальной гипертензией, которая спровоцирована организованными легочными тромбоэмболами.
В итоге у большинства больных первичная легочная гипертензия становится провоцирующим фактором правожелудочковой гипертрофии с дилятацией и правожелудочковой недостаточности.
Классификация
- Артериальная гипертензия
- Миокардиты
- Кардиомиопатии
- Митральная регургитация
- Коарктация аорты, пороки аортального клапана
Повышение давления в левом предсердии
- Опухоль или тромбоз левого предсердия
- Митральный стеноз
- Надклапанное митральное кольцо, трехпредсердное сердце
Обструкция легочных вен
- Легочный венозный тромбоз
- Медиастинальный фиброз
Паренхиматозные болезни легких
- Интерстициальныс заболевания легких
- Хронические обструктивные заболевания легких (ХОБЛ)
- Острое тяжелое поражение легких (тяжелый диффузный пневмонит, респираторный дистресс-синдром взрослых)
Болезни системы легочной артерии
- Повторные или массивные эмболии легочной артерии
- Первичная легочная гипертензия
- Системные васкулиты
- Тромбоз «in situ» легочной артерии
- Увеличение объема легочного кровотока (открытый артериальный проток, врожденный порок сердца со сбросом крови слева направо)
- Дистальный стеноз легочной артерии
- Легочная гипертензия, причиной которой являются пищевые продукты или лекарства
Легочная гипертензия новорожденных
- Болезнь гиалиновых мембран
- Сохраняющееся фетальное кровообращение
- Аспирация мекония
Гипоксия и/или гиперкапния
- Обструкция верхних дыхательных путей (синдром сонных обструктивных апноэ, увеличение миндалин)
- Проживание высоко в горах
- Первичная альвеолярная гиповентиляция
- Синдром Пиквика (гиповентиляция у толстых людей)
Многие авторы по срокам развития классифицируют такие формы легочной гипертензии как острая и хроническая.
Первые клинические проявления возникают, когда в легочной артерии происходит более чем двукратное повышение артериального давления. Основные симптомы почти идентичны для легочной гипертензии любой этиологии. Основные жалобы:
- повышенная утомляемость и слабость в теле
- одышка (появляется в самом начале заболевания), сначала при физнагрузках, позже и в покое
- боли в области сердца постоянного характера (вызваны относительной коронарной недостаточностью)
- обмороки (по причине нехватки кислорода в мозгу человека, типичны для первичной формы рассматриваемого заболевания)
- боли в области печени и отеки в области стоп и голеней
- охриплость голоса (редко)
- кровохарканье (часто, особенно при существенном роста давления в легочной артерии)
Подавляющее большинство случаев характеризуется быстрой утомляемостью и прогрессирующей одышкой при нагрузках. При одышке может быть атипичный дискомфорт в грудной клетке, а при физической нагрузке нередки головокружения и даже предобморочное состояние. Такие проявления объясняются в основном недостаточным сердечным выбросом. Феномен Рейно фиксируют примерно в 10 случаях из 100 при первичной легочной гипертензии, причем 99% таких случаев фиксируется у женщин. Редко отмечают такой симптом как кровохарканье, он чаще всего сигнализирует о будущем летальном исходе. Редко находят и дисфонию, возникающую по причине сдавления увеличенной легочной артерией возвратного гортанного нерва (синдром Ортнера).
В запущенных случаях легочная гипертензия может проявляться и такими симптомами:
- разлитой второй тон (S2) с подчеркнутым легочным компонентом S (Р)
- выбухание правого желудочка
- третий тон правого желудочка (S3)
- щелчок легочного изгнания
- набухание яремных вен
- периферические отеки
- застойные явления в печени
Портопульмональная гипертензия
Это тяжелая легочная артериальная гипертензия с портальной гипертензией у пациентов без вторичных причин. Легочную гипертензию фиксируют у больных с различными состояниями, которые приводят к портальной гипертензии без цирроза или с ним. Реже отмечается портопульмональная гипертензия по сравнению с гепатопульмональным синдромом, у лиц с хроническими болезнями печени, по статистике это от 3,5 до 12% случаев.
Первыми проявляются такие признаки как повышенная утомляемость и одышка. ЭКГ и физикальные методы исследования обнаруживают характерные для ЛГ проявления. Часто фиксируют регургитацию на трикуспидальном клапане. Данный диагноз подозревают при получении данных ЭхоКг, подтверждение проводится при помощи катетеризации правых отделов сердца. Дл лечения нужно устранить первичную легочную гипертензию, не назначая гепатотоксические лекарственнные средства. В части случаев врач прибегает к сосудорасширяющей терапии. Исход зависит от основного заболевания печени.
Портопульмональная гипертензия — относительно противопоказание к проведению пересадки печени, поскольку есть высокий риск развития осложнений и смерти пациенту. После трансплантации в части случаев при умеренной легочной гипертензии происходит обратное развитие заболевания.
Объективное исследование выявляет цианоз. Долгое время развивающаяся без лечения болезнь приводит к тому, что дистальные фаланги пальцев приобретают вид «барабанных палочек», а ногти — форму «часовых стекол». Аускультация сердца обнаруживает типичные признаки: акцент (может быть и расщепление) второго тона над a.pulmonalis; систолический шум над областью мечевидного отростка, усиливающийся на вдохе. На пике развития заболевания может быть диастолический шум во II межреберье слева, что объясняется относительной недостаточностью клапана легочной артерии при сильном ее расширении.
Перкуссия сердца не обнаруживает типичные для легочной гипертензии признаков, потому не считается эффективным в данных случаях диагностическим методом. Редко фиксируют расширение границы сосудистой тупости во II межреберье слева и смещение правой границы сердца кнаружи от правой парастернальной линии (что объясняется гипертрофией миокарда правого желудочка). При легочной гипертензии обычно находят гипетрофию ПЖ и правого предсердия, и признаки, которые говоря о росте давления в легочной артерии.
Чтобы обнаружить эти признаки, прибегают к таким методам:
- ЭКГ,
- рентгенография органов грудой клетки,
- катетеризация правых отделов сердца с измерением давления в правом предсердии, правом желудочке, в стволе легочной артерии
- ЭхоКГ
Чтобы обнаружить причины заболевания, применяют и другие методы:
- КТ легких
- рентгеновская томография легких
- ангиопульмонография
- вентиляционно-перфузионная радионуклидная сцинтиграфия легких
Выше перечисленные методы помогают обнаружить патологию паренхимы и сосудистой системы легких. В части случаев диагностика проводится также с применением биопсии легких, чтобы обнаружить легочную веноокклюзионную болезнь, диффузные интерстациальные заболевания легких, легочный капиллярный гранулематоз и проч.
Среди симптомов ЛГ могут отмечаться гипертонические кризы в системе легочной артерии, которые проявляются такими симптомами:
- сильный кашель, в мокроте вероятна примесь крови
- резкое удушье (в основном в вечерние/ночные часы)
- резко выраженный общий цианоз
- ортопноэ (сильная одышка, связанная с застоем в малом круге кровообращения)
- частый и слабый пульс
- возбуждение (не всегда)
- выбухание конуса a.pulmonalis
- выраженная пульсация a.pulmonalis во II межреберье
- акцент второго тона на a.pulmonalis
- пульсация правого желудочка в эпигастрии
- появление вегетативных реакций в виде urina spastica, непроизвольной дефекации после окончания криза
- набухание и пульсирование шейных вен
- появление рефлекса Плеша
Подозрения на первичную легочную гипертензию возникают, если у больного сильная одышка при нагрузке, и другие заболевания, которые могут привести к ЛГ, не обнаружены в анамнезе. Сначала делают рентген грудной клетки, ЭКГ и спирометрию, чтобы обнаружить наиболее распространенные причины одышки. После этого прибегают к доплерэхокардиографии, позволяющей измерить давление в правом желудочке и легочных артериях и обнаружить вероятные анатомические аномалии, которые могут быть причиной вторичной ЛГ.
При первичной ЛГ на рентгенограмме часто обнаруживают расширение корней легких с резко выраженным сужением к периферии. В норме или умеренно ограниченными могут быть спирометрические показатели и объемы легких. Но обычно ниже нормы диффузионная способность монооксида углерода (DL). ЭКГ показывает такие общие изменения как включают отклонение электрической оси вправо, R > S в V; S Q Т и пиковые зубцы Р.
Чтобы обнаружить вторичные причины, которые нельзя определить по симптомам, врач назначает дополнительные исследования. Сюда относится перфузионно-вентиляционное сканирование, позволяющее выявить тромбоэмболическую болезнь; исследования функции легких (дает возможность обнаружить рестриктивные или обструктивные болезни легких); серологические тесты (чтобы исключить или подтвердить ревматическое заболевание).
Хроническую тромбоэмболическую легочную артериальную гипертензию можно предположить по соответствующим результатам компьютерной томографии или легочного сканирования, диагностика проводится артериографией. По необходимости применяют также данные методы:
- полисомнография
- функциональные тесты печени
- анализ на ВИЧ
Если первоначальное обследование не обнаружила состояния, связанные со вторичной ЛГ, врач проводит катетеризацию легочной артерии. Так измеряют давление в правых отделах сердца и легочной артерии, давление заклинивания в легочных капиллярах и сердечный выброс. Чтобы исключить дефект межпредсердной перегородки, измеряют насыщение О2 крови в правых отделах.
На протяжении процедуры часто применяют вазодилятирующие препараты (внутривенный эпопростенол, аденозин, ингаляции оксида азота и пр.). Если организм отвечает на введение выше названных лекарств уменьшением давления в правых отделах, это говорит о том, что такое лекарства будет эффективно для лечения состояния. Раньше часто применялась биопсия, но на сегодня медики не советуют прибегать к этому методу из-за большого количества вероятных осложнений и высокого процента смертельных исходов.
Если поставлен диагноз первичной легочной гипертензии, нужно исследовать семейный анамнез пациента с целью обнаружения возможной генетической передачи (на это указывают случаи преждевременной смерти относительно здоровых членов семьи). При семейной первичной легочной гипертензии нужно проконсультироваться у генетика с целью информирования членов семьи о риске заболевания (приблизительно 20 %). Им рекомендуется пройти эхокардиографию с целью обследоваться. В будущем может иметь значение тест на мутации в гене BMPR2 при семейной первичной легочной гипертензии.
Лечение вторичной легочной гипертензии направлено на избавление от основного заболевания. Пациентам с тяжелой легочной артериальной гипертензией вследствие хронической тромбоэмболии назначают легочную тромбоэндартериэктомию. Эта операция считается более сложной, по сравнению с экстренной хирургической эмболэктомией. В условиях экстрапульмонального кровообращения организованный васкуляризованный тромб иссекается вдоль легочного ствола. В специализированных центрах процент летальности в ходе и после операции составляет менее чем 10%.
Лечение первичной легочной гипертензии нужно начинать с пероральных блокаторов кальциевых каналов. У меньшинства пациентов с помощью этих препаратов снижается давление в легочной артерии или легочное сопротивление сосудов. Большинство врачей не советуют верапамил, потому что он имеет отрицательный инотропный эффект. Если лечение блокаторами кальциевых каналов эффективно, прогноз благоприятный, нужно продолжать курс. Если ответа на лечение не последовало, врач назначает другие препараты.
Внутривенный эпопростенол (аналог простациклина) часто применяются для лечения легочной гипертензии. Он увеличивает выживаемость пациентов, даже тех, которым не помогают сосудорасширяющие лекарства во время катетеризации. Такое лечение имеет недостатвки, например, потребность в постоянном центральном катетере. Также появляются побочные действия, например, бактериемия и понос. Альтернативными препаратами считаются пероральные (берапрост), ингаляционные (илопрост), подкожные (трепростинил) аналоги простациклина. Но их действия на организм человека пока что изучается, потому они не внедрены широко в медицинскую практику.
Пероральный антагонист рецепторов эндотелина бозентан в части случаев эффективен. В основном его назначают при более легкой форме легочной гипертензии и нечувствительности к сосудорасширяющим препаратам. На стадии исследования на сегодняшний день также находятся L-аргинин и пероральный силденафил.
Трансплантация легкого — опасная процедура, при которой могут возникнуть осложнения, потому что возможно инфекционное заражение и отторжение организмом нового легкого. К процедуре прибегают при сердечной недостаточности четвертой степени (по классификации Нью-Йоркской кардиологической ассоциации), когда у человека даже при минимальной активности появляется одышка, из-за чего он не может активно жить, а постоянно лежит или сидит; и только если в таких случаях нет эффективности аналогов простацикпина.
Многим больным назначают дополнительные лекарственные средства для терапии недостаточности, включая мочегонные средства. Также они должны получать варфарин с целью профилактики тромбоэмболии.
Прогноз
Без лечения человек с легочной гипертензией живет в среднем 2,5 года. Причина летального исхода — внезапная смерть вследствие правожелудочковой недостаточности. Пятилетняя выживаемость при лечении эпопростенолом наблюдается более чем у половины пациентов. А при эффективности лечения блокаторами кальциевых каналов 5-летняя выживаемость — у 90% и более.
Легочная гипертензия имеет неблагоприятный прогноз, если присутствуют такие симптомы, как низкий сердечный выброс, более высокое давление в легочной артерии и правом предсердии, отсутствие позитивной реакции организма на сосудорасширяющие препараты, сердечная недостаточность (СН), гипоксемия и ухудшение общего функционального статуса.
Читайте также:

