Деформирующий артроз голеностопного сустава. Остеохондропатии таранной кости по типу асептического некроза
Добавил пользователь Евгений Кузнецов Обновлено: 22.11.2025
МЕТОДЫ ЛЕЧЕНИЯ ОСТЕОХОНДРАЛЬНЫХ ПОВРЕЖДЕНИЙ ТАРАННОЙ КОСТИ (РАССЕКАЮЩИЙ ОСТЕОХОНДРИТ) НА СОВРЕМЕННОМ ЭТАПЕ (ОБЗОР ЛИТЕРАТУРЫ)
DOI: 10.17238/issn2226-2016.2018.4.24-36 УДК 616.718.71 © Зейналов В.Т., Шкуро К.В., 2018
В.Т. ЗЕЙНАЛОВ a , К.В. ШКУРО b
ФГБУ «НМИЦ ТО им. Н.Н. Приорова» Минздрава России, Москва, 127299, Россия
Резюме: Рассекающий остеохондрит голеностопного сустава, асептический некроз блока таранной кости или больше известный в зарубежной литературе как остеохондральное повреждение таранной кости (ОХПТК) впервые описано в 1738 году Alexander Munro на основе замеченных им свободных тел в голеностопном суставе, он предположил, что травма это причина их появления. Не смотря на достаточно длинную историю с момента открытия, ОХПТК остаётся и до нашего времени сложной и запутанной проблемой, как в диагностике так и в лечении. Клиническая картина, чаще всего, представлена симптомами которые на первый взгляд могут быть не ясными и не специфичными.
С ежегодным ростом технического прогресса появляются новые возможности и увеличивается их доступность для ранней диагностики и лечении ОХПТК. Целью этой работы является тщательный анализ современных данных по этиологии, патогенезу этой сложной медицинской проблемы, оценка современных методов диагностики и лечении ОХПТК на основе их доказательности и результативности.
Выводы: Лечение остеохондральных поражений голеностопного сустава является сложной задачей. Определенные условия, такие как, возраст, размер дефекта, ограниченность дефекта, вид хирургического вмешательства, использование биопрепаратов и физиотерапии играют определенную роль в благоприятных исходах лечения. Однако, никакие процедуры поистине не восстанавливают полностью поврежденное хрящевое покрытие. Будущие исследования должны быть выполнены для разработки технологии, отвечающей принципам малоинвазивности, с возможностью более эффективно восстанавливать остеохондральные дефекты голеностопного сустава, с минимальным количеством осложнений и более быстрым восстановлением сохраняющимся на более длительный срок.
Ключевые слова: рассекающий остеохондрит, таранная кость, остохондральные повреждения, остеонекроз.
RECENT METHODS OF TREATMENT OF OSTEOCHONDRAL LESIONS (OSTEOCHONDRITIS DESSICANS) OF THE TALUS (LITERATURE REVIEW)
ZEINALOV V.T. a , SHKURO K.V. b
FSBI NMRC of Traumatology and Orthopedics after NN PRIOROV Ministry of Health of the Russia, Moscow, 127299, Russia
Summary: One from general problem among different pathological processes of ankle stays till nowadays is octeochondral lesion of the talus (OLT) based on aseptic necrosis of octeochndral bone with various deep of damaging. In spite of that this process was noticed and described by Alexander Munro in 1738 as free bodies in the ankle joint, OLT remains to our time like complex and complicated problem for both of ways in medical practice such as diagnostic and treatment. The clinical picture is represented in majority cases by symptoms that at first glance may not be clear and specific.
With the annual growth of technological progress there are new opportunities and their availability for early diagnosis and treatment of OLT increases. The aim of this work is a thorough analysis of current data on the etiology, pathogenesis of this complex medical problem, evaluation of modern methods of diagnosis and treatment of OLT on the basis of their evidence and effectiveness.
Key words: osteochondritis dessicans, talus, ankle joint, osteochondral lesions, osteonecrosis.
Введение
Рассекающий остеохондрит голеностопного сустава, асептический некроз блока таранной кости или больше известный в зарубежной литературе как остеохондральное повреждение таранной кости (ОХПТК) впервые описано в 1738 году Alexander Munro на основе замеченных им свободных тел в голеностопном суставе, он предположил, что травма это причина их появления. Не смотря на достаточно длинную историю с момента открытия, ОХПТК остаётся и до нашего времени сложной проблемой, как в диагностике так и в лечении. Клиническая картина, чаще всего, представлена симптомами которые на первый взгляд могут быть не ясными и не специфичными.
С ежегодным ростом технического прогресса появляются новые возможности и увеличивается их доступность для ранней диагностики и лечении ОХПТК.
Целью этой работы является тщательный анализ современных данных по этиологии, патогенезу этой сложной меди цинской проблемы, оценка современных методов диагностики и лечении ОХПТК на основе их доказательности и результативности.
Распространённость ОХПТК
Остеохондральное повреждение в голеностопном суставе принято считать проблемой таранной кости, однако существуют и комбинированные повреждения совместно с суставной поверхностью большой берцовой кости, в любом случае это повреждение не является рядовым и часто сопровождает другую патологию голеностопного сустава и даже может являться случайной находкой. Повреждение связочного аппарата голеностопного сустава одна из самых частых травм. Эта тенденция схожа во всех странах мира, как например только в США в год регистрируется до 2 млн таких случаев [1]. Saxena с соавторами в своей работе определили, что повреждение суставного хряща таранной кости, той или иной локализации может встречайся до 50% у пациентов перенёсших травму голеностопного сустава. Костные повреждения этой локализации представляют собой наиболее высокий риск образования ОХПТК [2]. Hintermann с соавторами обнаружил наличие ОХПТК в 73% у пациентов с переломами в области голеностопного сустава [3]. Так же в литературе встречаются ретроспективные работы по выявлению ОХПТК у солдат, данное исследования продолжалось в течение 10 лет и обнаружило наличие этого повреждения в 27 случаях на 100000 человек [4]. С развитием МРТ и КТ появилась возможность определения повреждений подобного характера, даже самого небольшого размера. ХОПТК может встречаться, как у спортсменов, так и у мало активных людей. Существует высокий процент подобных дефектов у кровных родственников имеющий предположительно наследственный и врожденный характер.
Анатомия и патофизиология
Таранная кость одна из редких костей организма которая имеет достаточно большие размеры, не имея области прикрепления мышц. И в этом аспекте она является уникальной. Кровоснабжение таранной кости осуществляется в основном ретроградно за счёт артерии тарзального синуса. Форма тела таранной кости трапециевидная, в среднем передняя поверхность той части таранной кости которая входит в состав голеностопного сустава на 2,5 мм шире, чем ее задняя часть. Кроме того, около 60% таранной кости покрыто суставным хрящом. По сравнению с другими суставами голеностопный сустав имеет высокую конгруэнтность и как следствие этого толщина суставного хряща таранной кости значительно ниже, чем у других менее конгруэнтных суставов и в среднем составляет 1,11 мм у женщин и 1,35 мм у мужчин [5].
Это относительно тонкий хрящ и менее эластичный, чем более толстое хрящевое покрытие менее конгруэнтных суставов, например такого, как коленный сустав. Недостаток эластичности во многом определяет чувствительность хрящевого покрытия таранной кости к повреждению, а так же к микропереломам лежащей под ним субхондральной кости. Переломы в области голеностопного сустава, такие как переломы лодыжек, приводят к потере естественного хрящевого покрытия, в том числе из-за увеличения контактного давления на таранную кость.
Thordarson с соавторами, продемонстрировали, что смещения при переломе наружной лодыжки с ее укорочением >2 мм или >5° наружной ротацией значительно увеличивает контактное давление в голеностопном суставе [6]. Ransay и Hamilton нашли, что подвывих таранной кости на 1 мм к наружи сокращает контакт суставных поверхностей на 42%, таким образом смещение таранной кости на 2 мм сокращает этот же контакт до 58% [7]. Формирование посттравматического ассиметричного артроза (-вальус, -варус) так же играет важную роль, увеличивая давления на суставные поверхности так при варус-артрозе на медиальный край таранной кости, так и на латеральный край кости при вальгус-артрозе соответственно [8]. Пациенты с хронической латеральной нестабильностью голеностопного сустава, также попадают в группу высокого риска по образованию остеохондральных дефектов таранной кости. DiGiovannie с соавторами обнаружили, что 14 из 60 пациентов перенёсших оперативное лечение по поводу хронической латеральной нестабильности имели ХОПТК[9]. Ferkel и Chams отметили, что 95% пациентов перенёсших операцию по Broström по поводу латеральной нестабильности голеностопного сустава имели те или иные признаки внутрисуставной патологии [10]. Gregush и Ferkel выявили, что пациенты с ХОПТК в комплексе с нестабильностью голеностопного сустава имеют результат лечения хуже, чем пациенты только с нестабильностью [11].
Повреждение суставного хряща приводит к появлению непокрытого участка нижележащей субхондральной кости, что в свою очередь приводит к увеличению влияния внутрисуставного давления на обнаженный участок субхондральной кости , и дальнейшему повреждению последней [12]. Длительное воздействие внутрисуставного давления на этот участок может негативно влиять на костную ткань, вызывая развитие склероза, остеолиза, а в конечном итоге крупных дефектов и кистозного перерождения. Выше перечисленные обстоятельства, создают порочный круг, таким образом по мере продолжающегося повреждения субхондральной кости увеличивается её неспособность удерживать хрящевое покрытие приводя к более обширному отслоению суставного хряща, а ввиду хорошей иннервации, пациенты с подобным характером повреждения испытывают выраженный болевой синдром, который становится более интенсивным после образования субхондральной кисты или многочисленных кист в месте повреждения [13].
Наиболее распространенной локализацией остеохондральных повреждений таранной кости является переднелатеральной и заднемедиальной край суставной поверхности таранной кости. Исследование, основанное на изучении МРТ данных, проведенное Hembree с соавт. [14], определило, что большинство выявляемых локализаций остеохондральных повреждений таранной кости располагались медиально и центрально [15]. Независимо от этого, латеральная локализация данных повреждений связана с травмой от 93% до 98% случаев. Однако, было отмечено, что повреждения латеральной локализации в основном имеют меньшую и правильную овальную форму и возникают при эверсионных движениях в максимальном подошвенном сгибании стопы [16]. Медиальные повреждения связаны с острой травмой реже, от 61% до 70% [5]. Считается, что медиальные поврежде ния, вызваны повторяющейся микротравмой, вызванной соударением медиального края суставной поверхности таранной кости о суставную поверхность большеберцовой кости в момент максимальной супинации стопы. Медиально локализующиеся повреждения глубже, кратерообразной формы, и образуются при максимальном подошвенном сгибании стопы [16]. Остеохондральные повреждения с центральной локализацией имеют мультифакторный механизм образования и наиболее сложны в плане хирургического лечения (рис. 1).

Известно, что атравматическая этиология развития ХОПТК вносит свой вклад развитие и появление этих поражений, но отсутствует какая либо доказательная база данных, четко регламентирующая этот факт.

Биполярные остеохондральные поражения поражения суставных поверхностей дистального отдела большеберцовой и таранной костей
Остеохондральные поражения дистального отдела большеберцовой кости, встречаются гораздо реже, чем подобные поражения таранной кости, а двухполярные поражения большеберцовой и таранной встречаются еще реже. Elias с соавт. оценили МРТ исследование 38 пациентов с остеохондральными поражениями суставной поверхности дистального отдела большеберцовой кости для определения наиболее часто встречающейся локализации последних. Они обнаружили, что центральная, задняя и медиальная локализация встречалась наиболее часто (21%), так же в рамках этого исследования было выявлено, что биполярные поражения имелись в 6 из 38 случаев, и истинные “целующиеся” поражения только в 1 случае [17]. На большом количестве примеров ( 880 процедур) лечебно-диагностических артроскопических оперативных вмешательств голеностопного сустава, Mologne и Ferkel нашли только 23 пациента (2,6%) с остеохондральными поражениями суставной поверхности дистального отдела большеберцовой кости и только 6 пациентов (<1%) с биполярным поражением [18]. Большинство из выявленных ими локализаций располагались задне-центрально [19]. Несмотря на редкую встречаемость, важно знать об этих поражениях и тщательно оценивать большеберцовую кость во время диагностики. Не выявленные поражения большеберцовой кости могут привести к трудностям в реабилитации пациента и, в конечном счете, к неудовлетворительному результату лечения.
Клинические данные
Диагностика остеохондральных поражений таранной кости является трудной задачей и может создать сложности в понимании как для пациента, так и для врача. Большинство пациентов относятся подозрительно к подобному роду медицинских заключений т.к. они, в большинстве случаев, отмечают небольшую травму в анамнезе, последствия которой, по их ощущениям, нивелировались через несколько недель и болевые ощущения в голеностопном суставе появляются только при физической активности. Как правило, пациенты жалуются на боль в голеностопном суставе, только, во время или после физической активности. Loomer с соавт. в своей работе сообщают, что 94% пациентов с ОХПТК у которых были жалобы на боль в голеностопном суставе только при физической активности в 89% имели в анамнезе травму голеностопного сустава, которую они сочли незначительной [20]. При более длительном анамнезе пациенты отмечают постоянный отек и ограничение движений в области голеностопного сустава в сочетании с постоянной болью. В отдельных случаях могут присутствовать механические симптомы: щелчок, блокировка и чувство нестабильности, особенно на стадии фрагментации и дислокации некротизированного фрагмента таранной кости [21]. Этот факт не является общим симптомом, но может свидетельствовать о более серьезной стадии процесса [20].
Клиническое обследование может быть относительно неспецифичным при ОХПТК, но наиболее распространенным является выявление болезненности в проекции передних отделов голеностопного сустава локализующихся по линии сустава. Это тестируется наиболее точно при в положении максимального подошвенного сгибания стопы и голеностопного сустава, в результате чего переднелатеральные и переднемедиальные поверхности суставной поверхности таранной кости оказываются в более доступном положении. Болевые ощущения, проецирующиеся за медиальной лодыжкой при максимальном тыльном сгибании, могут свидетельствовать о заднемедиальной локализации поражения. Многими клиницистами было отмечено, что пациенты, с локализацией ОХПТК у медиального края суставной поверхности, могут предъявлять жалобы на боль только в передне-латеральной области голеностопного сустава. Объяснений этому, не логичному обстоятельству было предложено множество, такие как: отражённая боль или боль в результате неосознанной перегрузки латеральных отделов голеностопного сустава на фоне страдания медиальных отделов и др., однако, не одна из причин до настоящего времени не была убедительно доказана. Пациент с ОХПТК часто испытывает диффузную, неспецифическую болезненность, а локализация болезненности не является надежным индикатором локализации поражения. Стабильность голеностопного сустава следует оценивать с помощью определения симптомов переднего и заднего выдвижного ящика, а также инверсионных и эверсионных тестов. Тестирование стабильности голеностопного сустава, должно быть выполнено при согнутом коленном суставе, для избегания получения не объективной картины диагностики на фоне натяжения икроножной мышцы. Оценка функции подтаранного сустава, является так же обязательной процедурой для исключения патологии со стороны последнего, например, такой, как таранно-пяточная коалиция. При дифференциальном диагнозе всегда следует учитывать другие патологические состояния голеностопного сустава: импиджмент синдромы различной локализации, проблемы со стороны дистального межберцового синдесмоза, нестабильность голеностопного сустава, артрит или стресс-перелом.
Лучевая диагностика ОХПТК и классификация
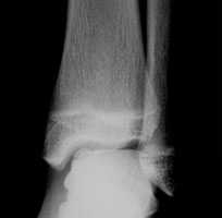
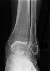
Не смотря на то, что Loomer с соавт. сообщили, что только от 50% до 66% остеохондральных дефектов обнаруживаются при помощи обычной рентгенографии, данный метод является важной отправной точкой и может быть полезен для исключения другой патологии голеностопного сустава [20]. Рентгенологическое исследование голеностопного сустава должно включать переднюю, заднюю и в 3⁄4 внутренней ротации проекции. Все проекции выполняются стоя (под нагрузкой) и называются функциональными. Функциональные рентгенограммы могут быть полезны для выявления сопутствующей нестабильности голеностопного сустава, проекция 3⁄4 во внутренней ротации, помогает в визуализации щели межберцового синдесмоза, а так же отображает передне-внутрений импижмент (таранной и большеберцовой кости) в случае его наличия. Выполненные в положении подошвенного сгибания прямая и 3⁄4 проекция во внутренней ротации могут быть полезны в выявлении заднемедиального поражения таранной кости. Рентгенологические признаки, которые могут быть определены, варьируются от небольших участков сдавления субхондральной кости до крупных отслоенных остеохондральных фрагментов. Радиографическая
система классификации была разработана Berndt и Harty в 1959 году и остается золотым стандартом. (Табл. 1) [16]. Loomer с соавторами дополнили имеющуюся классификацию, на основе не только рентгенограмм, а также МРТ (магнитно-резонансная томография) и КТ (компьютерная томография), и добавили стадию V в систему классификации Berndt и Harty [22].
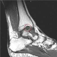
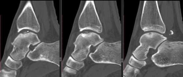
МРТ является ценным инструментом в комплексе диагностики ОХПТК для оценки отека костной ткани, а также выявления скрытых повреждений субхондральной кости и хрящевого покрытия, которые могут быть пропущены при стандартных рентгенограммах или даже КТ. МРТ - самый лучший инструмент оценки для определения стабильности и жизнеспособности фрагмента таранной кости при его отслоении и эта информация может быть решающей в тактике выбора того или иного метода хирургического лечения. Однако, для определения размеров отслоившегося фрагмента таранной кости наилучший метод КТ, так как данные размеров по МРТ могут не соответствовать действительности в сторону переоценки последних. Hepple с соавторами изучив многочисленные данные МРТ диагностики разработали систему классификации ОХПТК на основе этого метода (Табл. 2) [23]. Однако, наиболее широко принятая система классификации, основанная на КТ-это классификация Ferkel и Sgalione (Табл. 3; Рисунок 4) [24]. Классифицировать ОХПТК также возможно выполнить интраоперационно, на основе артроскопических данных о состоянии остеохондрального поражения. Наиболее широко используется система Ferkel/Cheng (Табл. 4) [25], эта система классификации, в отличие от обычных рентгенограмм, КТ и МРТ, лучше всего взаимосвязана с исходами лечения пациентов.
Остеохондрит голеностопного сустава
Остеохондральные повреждения голеностопного сустава либо рассекающий остеохондрит ( в области коленного сустава называется болезнь Кёнига) - патология, с которой в своей клинической практике встретится любой доктор, специализирующийся на травматологии и ортопедии. Сегодня в медицинской практике их разделяют на переломы трансхондрального типа, остеохондриты рассекающего типа и остеохондральные переломы.
Все же три отклонения, не имеющие значительной клинической разницы между собой, объединены общим термином «остеохондральные повреждения».



а. схематическое изображение рассекающего остеохондрита таранной кости. б. на МРТ и рентгенограммах определяется рассекающий остеохондрит.
Этиология заболевания
Впервые наличие внутри сустава свободных тел, которых в норме там быть не должно, описал в 1865 году хирург Мунро. Именно он обнаружил тельца в голеностопном сочленении, пронаблюдал за пациентом и составил самое подробное на тот момент описание происходящего. Название рассекающего остеохондрита тельца получили в 1888 году от другого врача, что наблюдал их в коленном суставе.
Сегодня точно установить происхождение заболевания все еще не удалось. Болезнь часто развивается вследствие травм. Однако встречаются пациенты, у которых отсутствуют травматические повреждения голеностопа, однако присутствуют патологические тельца.
Медиальный край таранной кости в основном повреждается под воздействием частых, многократно повторяющихся травм. Свою роль могут играть разнообразные эндокринологические нарушения, формирование микроэмолов, особенности роста организма.
Область блока таранной кости также повреждается в основном при травмах. Это происходит, например, при супинации, которая должна сочетаться с внутренней ротацией и принудительным сгибанием.
Вовлечение медиальной части блока таранной кости также возможно при наружной ротации.
Особенности клинической картины
Симптомы болезни, имеют сходные особенности как у детей, так и у взрослых пациентов. Первоначально, когда патология только-только формируется, человек не обращает внимания на легкие изменения в своем самочувствии.
Прогрессирование болезни первоначально приводит к появлению неприятных ощущений в области голеностопного сочленения. Они усиливаются при ходьбе, при резких движениях, если принять неудобную позу. Изначально в покое неприятные ощущения стихают, но по мере прогрессирования рассекающего остеохондрита их длительность и интенсивность увеличивается, они начинают беспокоить даже при минимальных нагрузках или вовсе без них. В некоторых случаях отмечается отечность пораженного сочленения, появляются боли при попытке пропальпировать проблемную зону.
Некротизированный участок костной ткани постепенно отделяется от основного массива кости. Подобные частицы называют «суставными мышами». После того, как отделение произойдет, человек начнет жаловаться на появление хруста при движениях, чувство, будто сочленение «заело» на середине какого-то действия.
У некоторых пациентов из-за наличия суставных мышей развивается блокада сочленения. В этом случае сустав «заклинивает», теряется возможность движения в любом направлении. Все это сопровождается острым болевым приступом, который сложно игнорировать.
Стадии болезни и принципы диагностики
В современной медицине выделяют 4 основных стадии болезни. Деление происходит на основании рентгенологической картины, а также по выраженности симптомов недуга.
Характеризуется полным отсутствием симптоматики или жалобами, игнорируемыми пациентом в большинстве случаев. Дискомфорт носит легкий характер, боли не имеют четкой локализации. На рентгенологическом снимке в этот период врач отметит наличие овального тела, которое отделено от основного костного массива тонкой полосой светлого цвета.
Болезнь прогрессирует. Пациент предъявляет жалобы на боли умеренного характера в голеностопном суставе. Врач может обратить внимание на развитие признаков синовита. На рентгене в этот период отмечается расширение полосы просветления. Замыкательная пластинка на проблемном участке перестает быть целостной.
В этот период пациенты впервые начинают жаловаться на блокады сочленения, его «заедание» при движении. Человек обращает внимание на усиление болей, их присутствие даже в том случае, если сохраняется покой поврежденной конечности. На рентгенограмме отмечается наличие некротизированного участка, который лишь частично соединен с основной костью.
Человек отмечает нарастание болевого синдрома. Однако на 4 стадии блокады сустава развиваются реже, чем на третьей. Синовит усиливается, возможно даже изменение конфигурации сустава. На рентгене выявляется присутствие внутрисуставного тела, которое и является основным источником проблем пациента.
В большинстве случаев из инструментальных методов применяется рентгенография. Метод прост, доступен, обладает высокой диагностической ценностью.

На КТ определяется остеохондральное повреждение таранной кости.
Однако порой на рентгенографическом снимке не видны некротизированные частицы кости из-за небольших размеров. В этом случае диагностику дополняют МРТ или КТ методиками. Оба метода позволяют поставить диагноз на ранних стадиях развития патологии.

На МРТ выявляется рассекающий остеохондрит с отделением костно-хрящевого фрагмента от таранной кости.
Как проводить лечение
Лечение болезни может быть, как консервативным, так и оперативным. Доктор-ортопед выбирает оптимальный подход, ориентируясь на стадию патологии, общее состояние пациента. По мере лечения выбранный курс может корректироваться в зависимости от того, есть от него эффект, или он отсутствует.
В нашей клинике мы поддерживаем больных, начиная с момента первого обращения, и до тех пор, пока заболевание не удастся победить окончательно и бесповоротно.
Консервативная терапия
Консервативная терапия, дает наилучший эффект на ранних стадиях болезни, а также у детей и подростков. В этот период еще можно стимулировать восстановительные процессы в пораженной зоны, корректировать влияние негативных факторов, что привели к развитию остеохондропатии в области голеностопного сустава.
Консервативное лечение начинается с ограничения нагрузки на пораженный болезнью сустав. Чтобы рассекающий остеохондрит не прогрессировал, рекомендуется полностью исключить нагрузку на сочленение, вплоть до перехода на передвижение с помощью костылей на первые два месяца с начала терапии.
Лечение дополняется лекарственными препаратами. Используют:
- сосудистые средства, помогающие улучшить процессы обмена веществ в пораженной зоне, стимулировать регенерацию;
- хондропротекторы, защищающие хрящевые ткани, способствующие их восстановлению;
- симптоматические средства для устранения болезненности, купирования отека и других неприятных явлений.
Пациентам также рекомендуется пройти курс леченой физкультуры, направленный на быстрое восстановление. Приступать к упражнениям, рекомендованным врачом, можно сразу после регресса болевого синдрома.
Оперативное вмешательство
У взрослых людей даже ранние формы рассекающего остеохондрита не всегда поддаются лечению с помощью консервативной терапии. Около 50% случаев все равно заканчиваются принятием решения о необходимости операции.
Благодаря современному оснащению нашей клиники сегодня мы можем отказаться от травматичных открытых операций на голеностопном суставе. На замену им пришла артроскопия.
Суть вмешательства проста. Через небольшие разрезы врач вводит в полость сустава специальную трубку, снабженную видеокамерой. Камера дает необходимый обзор, позволяя с высокой точностью проводить операцию. В ходе артроскопии медик либо удаляет некротизированный кусок костной ткани, чтобы он не доставлял человеку неудобств, либо, если некроз не окончательно поразил участок кости, крепит доставляющую неудобства часть к основному массиву с помощью специальных скобок или винтов.
Артроскопия, метод выбора для пациентов с рассекающим остеохондритом. Операция менее травматична, восстановление после нее проходит легче и быстрее.
Если у человека есть ограничения на применение артроскопии, мы можем также провести открытую операцию на суставе, чтобы удалить костные отломки и «чистить» полость сустава.


Реабилитационные рекомендации
Послеоперационная реабилитация - не менее важный компонент лечения, чем сама операция. Потому врач уделяет ей особое внимание, тщательно знакомя пациента со всеми особенностями восстановительного периода.
После операции любого типа сустав фиксируется ортезом либо эластичным бинтом. В первое время нагрузка противопоказана, она увеличивается постепенно, по мере заживления тканей. Медик рекомендует выполнение статических упражнений, суть которых заключается в напряжении мышц. Только после того, как будет достигнута максимальная статическая нагрузка, можно переходить к другим типам упражнений. Травматические виды спорта исключают минимум на 6 месяцев. После вмешательства желательно ношение компрессионного белья, которое поможет уменьшить отек, снизить выраженность болей.


Мы наблюдаем пациентов с момента начала лечения и до полного восстановления после болезни, включая реабилитационный период. Если к развивающемуся остеохондриту отнестись серьезно, болезнь можно победить с низким риском вероятности осложнений.
Игнорирование заболевания рано или поздно приведет к развитию остеоартроза. Этот недуг затрагивает весь сустав, нарушает его конфигурацию и подвижность. Исход в этом случае - инвалидизация, которой стремятся избежать как врачи, так и пациенты.
Остеохондрит - заболевание, способное снизить качество жизни пациента. При первых его признаках нужно обратиться за помощью к травматологу-ортопеду!
Остеофит голеностопного сустава
Голеностопный сустав - один из важнейших суставов в человеческом организме. Сочленение дает подвижность, маневренность при ходьбе, помогает рациональному распределению веса тела на стопу. Без него невозможен становится бег, а также многие другие движения.
Область голеностопного сустава поражается остеофитами часто. Это сочленение находится на втором месте по развитию костных разрастаний после локтевой области.
Что это такое
Остеофит - слово, непонятное большинству пациентов. На самом деле ничего сложного тут нет. Остеофиты - патологические разрастания костной ткани там, где в норме она отсутствует. Самостоятельной болезнью подобное состояние не является, однако сопровождает многие недуги опорно-двигательного аппарата. По сути это компенсаторная реакция надкостницы на какие-либо неблагоприятные воздействия на суставное сочленение либо результат переломов.
Наросты могут иметь различную форму, размеры. В течение длительного времени из-за небольших размеров они не доставляют пациенту неудобств, однако со временем дают о себе знать. Часто принимают форму шипов, крючков.
Процесс формирования остеофитов выглядит следующим образом:
- костные структуры голеностопа лишаются суставной жидкости, или ее становится недостаточно для нормальной работы;
- усиливается трение, поверхности начинают разрушаться;
- постепенно в местах особо активного трения появляются компенсаторные окостенения, отличающиеся по формам и размерам от того, что нужно;
- костный нарост формируется полноценно.
Остеофит, это не заболевание, а результат перенесенной травмы либо другой патологии.

Почему появляются остеофиты
В развитии остеофитов голеностопного сустава играет роль целый ряд факторов. Они появляются из-за:
- частых бытовых, профессиональных травм и микротравм области голеностопа;
- после переломов и повреждений связочного аппарата голеностопа;
- воспалительных процессов, вызванных неблагоприятным воздействием на сустав;
- системные и другие заболевания (дегенеративно-дистрофические).
В качестве одной из наиболее важных причин формирования остеофитов врачи называют чрезмерные физические нагрузки. Таким образом организм пытается «компенсировать» негативное воздействие на него.
Разновидности и наиболее частая локализация
Выделяется 4 основных вида этих образований.
В основном поражает нижнюю часть опорно-двигательного аппарата, но также способен вовлекать область локтя, запястья. Объясняется это тем, что именно эти зоны чаще всего травмируются даже в повседневной жизни, не связанной с большим спортом. Важно помнить, что повреждение кости - не обязательный фактор образования нароста. Достаточно бывает простого разрыва надкостницы.
Развиваются в том случае, если в области голеностопного сустава постоянно идет воспалительный процесс. Предсказать, какие именно участки подвергнутся окостенению, и как будет развиваться процесс в целом в этом случае невозможно.
Чаще всего является следствием развития артроза. Сопровождается нарушением подвижности в области стопы.


а. массивные остеофиты. б. остеофит таранной кости
Объемные разрастания, способные менять даже конфигурацию сочленения - это в основном следствие воздействия на организм патологий опухолевого характера.
Дополнительно существует классификация остеофитов с опорой на клеточную структуру. Выделяют:
- губчатые дефекты, формирующиеся из губчатых костных тканей;
- метапластические дефекты, являющиеся следствием нарушения костной структуры;
- компактные, формирующиеся из наружного слоя кости, поражающие в основном область стоп, пальцы;
- хрящевые, появляющиеся при чрезмерных нагрузках взамен хрящевых тканей.
Локализоваться наросты могут на любом суставе человеческого тела. Чаще всего страдают локтевой сустав, область колена, тазобедренное сочленение, позвоночный столб, голеностоп.
Жалобы пациента
Остеофиты - коварная патология. Они в течение длительного промежутка времени ничем о себе не напоминают. Только тогда, когда они достигнут значительных размеров, появятся первые симптомы.
Пациент будет предъявлять следующие жалобы:
- появление боли в пораженной зоне, которая может усиливаться при движении, резких неконтролируемых действиях типа кашля или чихания, при занимании неудобной позы;
- негативными изменениями в подвижности пораженного голеностопа;
- появлением хруста, скрипа в пораженном суставе;
- началом воспалительного процесса в окружающих тканях из-за их повреждения;
- отечностью проблемной зоны, ее припухлостью.
Игнорирование патологических изменений ведет к постепенному, но неуклонному усугублению симптомов. Со временем человек может даже стать инвалидом, если вовремя не поставить диагноз и не начать терапию.
Как поставить диагноз
Процесс диагностического поиска всегда начинается с беседы с пациентом. В ходе нее уточняют беспокоящие жалобы, спрашивают об их интенсивности, интересуются, были ли какие-либо травмы в прошлом. Также на приеме обязательно проводится осмотр пораженной зоны. Доктор не игнорирует изменение конфигурации сустава, отмечает наличие отечности, признаков покраснения и другие негативные изменения.
Значительную роль в диагностике костных дефектов играют инструментальные методики.

- Рентгенография. Основной вариант диагностики. Позволяет увидеть характерные неанатомические выросты, имеющие вид шипов, крючков.
а. рентгенограмма голеностопа. - КТ. Метод, позволяющие понять, какую структуру имеют остеофиты. Также помогает в обнаружении патологии на начальной стадии, когда рентгенологической картины может быть недостаточно для постановки диагноза.
- МРТ. Используется в диагностике остеофитов голеностопного сустава, исключая спорные случаи.

б. МРТ голеностопного сустава.
Способы лечения
Лечение остеофитов - непростая задача, при которой нужно устранять не только сами симптомы, но и воздействовать на причину, если ее удалось установить. Именно комплексный подход к терапии является залогом того, что пациенты выздоравливают.
Консервативный
На ранних стадиях развития патологии, когда симптомы еще отсутствуют или выражены слабо, применяют консервативные методы лечения. Консервативная терапия обычно состоит из:
- приема лекарственных средств, которые способны защитить суставы и хрящи от разрушения (группа хондропротекторов);
- применения местных медикаментов, способных купировать симптомы болезни (противовоспалительные препараты, обезболивающие);
- подбора рекомендаций относительно режима отдыха и физической нагрузки, лечебной физкультуры;
- подбора методик физиотерапевтического воздействия на проблемные области;
- массажного воздействия;
- использования приспособлений ортопедического типа для правильной фиксации голеностопного сустава.
В каждом случае доктор в индивидуальном порядке оценивает показания и противопоказания к использованию медикаментов, физиотерапии и ЛФК. Индивидуальный подход к каждому пациенту, обратившемуся за помощью - еще один важный пункт в работе нашей клиники.
Оперативный
Рекомендацию делать операцию получают только те пациенты, у которых консервативные способы лечения не дали значительного эффекта. Также операция показана пациентам с выраженными костными дефектами, которые нельзя скорректировать, используя консервативные средства воздействия.
Самая малоинвазивная операция, выполняемая напри остеофитах - это артроскопия. Используя специальное оборудование, доктор выполняет небольшой надрез, вводит через него артроскоп в полость сустава, дающий обзор оперируемой зоны с помощью маленькой видеокамеры, после чего удаляет костные разрастания.


Принципы восстановления после операции
После операции по удалению остеофитов с помощью артроскопии (либо открытыми способами) требуется реабилитационный период. Он значительно короче, чем во время реабилитации после открытых операций, но пренебрегать им нельзя. Рекомендации, в принципе, довольно стандартные. нужно:
- в первую неделю ограничить физические нагрузки на прооперированную конечность;
- медикаменты для купирования болевого синдрома и уменьшения отека;
- облегчать послеоперационный дискомфорт можно с помощью прикладывания холода на непродолжительные отрезки времени;
- нужно использовать компрессионное белье, которое избавит от отеков, поможет смягчению болевого синдрома;
- в период отдыха ногу рекомендуется держать выше уровня сердца;
- нужно, ориентируясь на врачебные рекомендации, возвращаться к активной жизни, увеличивая нагрузку постепенно, без резких скачков.
В нашей клинике пациенты могут пройти все этапы лечения: артроскопию либо открытую операцию, дооперационную, и постоперационную. Это важно для полноценного и быстрого восстановления, которое не может пройти идеально без медицинского контроля.
Остеофиты - неприятная патология, способная снизить качество жизни любого человека. Часто они сопровождают развитие других проблем опорно-двигательного аппарата, игнорирование которых способно привести даже к инвалидизации!
Появление признаков патологии - повод посетить доктора для диагностики и выбора терапии! Не игнорируйте первые симптомы болезни!
Артроз голеностопного сустава
Старение организма - процесс необратимый, бороться с ним очень сложно. Возрастные изменения нередко в первую очередь затрагивают опорно-двигательную систему. Как показывает статистика, от артроза голеностопного сустава страдает около 10% населения, чей возраст превысил отметку в 40 лет.
Артроз голеностопного сустава - заболевание, которое способно не только сильно снижать качество жизни пациента, но и приводить к инвалидизации!
Только своевременная диагностика и лечение могут защитить от потери трудоспособности.
Что это за болезнь?
Голеностопный сустав - довольно сложное сочленение человеческого организма. В его образовании участвуют:
- таранная, мало - и большеберцовые кости;
- несколько суставных связок;
- латеральная и медиальная лодыжки.

Слева - схематическое изображение строение нармального голеностопного сустава,
Справа - разрушение сустава из-за артроза.
Благодаря правильной работе этого сочленения у человека появляется возможность совершать множество движений в стопе, смягчать импульс от подошвенной части ног при прыжках, ходьбе, беге. Также этот сустав во многом обеспечивает маневренность движений.
Как и любой сустав человеческого организма, голеностопное соединение снабжено хрящевыми прослойками. Они уменьшают трение, обеспечивают амортизирующую функцию. Если в хрящах развивается воспалительный процесс, сопровождающийся постепенной дегенерацией и разрушением тканей, говорят о развитии артроза голеностопного сустава.
Постепенное истончение хрящевой ткани повышает нагрузку на кости. Со временем, когда хрящ перестает защищать костные ткани, начинается деформация пораженного заболеванием сустава.
Причины развития
Артроз голеностопного сустава - заболевание, с которым в течение жизни встречаются не все люди. Врачи выделяют ряд факторов, которые способствуют развитию патологии. Главные роли в постепенном разрушении голеностопного сустава играют 5 основных фактора.
В первую очередь, влияние на сустав имеет физическая нагрузка. Если она превышает способности сочленения к адаптации, суставные хрящи начинают постепенно разрушаться. Именно поэтому чаще всего от болезни страдают спортсмены и люди, страдающие от ожирения.
Если суставные поверхности, участвующие в формировании голеностопного сустава, сопоставлены неправильно, это приводит к развитию заболевания. Оно объясняется в первую очередь неравномерностью распределения нагрузки. Способствуют формированию дефектов различные травмы области голеностопа, артриты, диабет и некоторые другие заболевания.
В первую очередь в зоне риска находятся женщины. Обувь на высоком каблуке негативно влияет на сустав. Однако и мужчины могут испытывать на себе влияние этого фактора, если носят неудобную обувь в течение длительного времени.
- Доказано, что в развитии болезни также играет роль наследственная предрасположенность.
- Переломы области голеностопного сустава.
Разновидности и степени патологии
Артроз голеностопного сустава - заболевание, которое развивается не сразу. Формирование болезни происходит постепенно, стадийно. Всего выделяют 4 стадии процесса.
- Первая стадия.
Врач, проводя объективное обследование, не может обнаружить в сочленении никаких объективных признаков изменений. На рентгенограммах нет изменений.
- Вторая стадия.
Ее развитие чаще всего спровоцировано травмой. Область голеностопа отекает, движения становятся ограниченными, наблюдается деформация. Боль постепенно может усилится. На рентгеновском снимке врач обратит внимание на то, что значительно уменьшился размер суставной щели. Если же рассматривать боковые проекции, то можно отметить, что суставная поверхность стала длиннее (костные разрастания), а блок таранной кости стал более плоским.
- Третья стадия.
Третья стадия процесса характеризуется явным изменением формы сочленения, которое можно определить даже без помощи рентгенографического исследования. Отмечается атрофическое изменение голени. Движения сильно ограничены. Пациент предпочитает избегать движений в поврежденной зоне.
- Четвертая стадия
Если лечение болезни не начать вовремя, процесс доходит до стадии, для которой характерно крайнее сужение, а иногда и полное исчезновение суставной щели. Костный контур может деформироваться за счет обширных разрастаний. Нередко наблюдается подвывих.
Дополнительно принято разделять дегенеративный процесс в хряще на первичный и вторичный. В первом случае повреждаются по каким-либо причинам изначально интактные ткани. Во втором случае сустав уже подвержен серьезным дегенеративным процессам, а артроз их только усугубляет. Некоторые врачи под вторичным артрозом понимают посттравматическую форму заболевания.
Симптомы болезни
Поражение голеностопа считается довольно коварным. На первых этапах развития болезни симптомы могут полностью отсутствовать. Естественно, человек, у которого нет никаких жалоб, не обращается к доктору. Впервые посещает больницу пациент только тогда, когда признаки патологии начинают значительно снижать качество его жизни.
К типичным симптомам болезни относят:
- дебют болей в том случае, если сочленение вынуждено справляться со значительными нагрузками;
- появление звуков типа щелчков, хруста, скрипа при движении;
- постепенную атрофию мышц, расположенных в непосредственной близости от пораженной зоны;
- болезненность, возникающую в утреннее время;
- быструю утомляемость конечности при нагрузках, включая иногда даже простую ходьбу;
- припухлость пораженной области, иногда местное повышение температуры;
- ограничение движения, которое со временем прогрессирует настолько, что пациент не может двигать стопой;
- нарушение оси голени.
На последней стадии заболевания нередко случаются подвывихи. Объясняются они тем, что поддерживающая функция мышц и сухожилий нарушается, появляются большие остеофиты.
Способы постановки диагноза
При подозрении на развитие артроза голеностопного сустава рекомендуется незамедлительно посетить врача травматолога-ортопеда. Доктор проведет осмотр и даст рекомендации относительно того, какие диагностические методики лучше всего применить. Наибольшее значение в диагностике заболевания играет рентгенография. С помощью снимков можно оценить состояние оси сустава, обнаружить вовлеченные в процесс кости и хрящи. Выполнять снимок рекомендуется с нагрузкой на ногу. Рентгенография дополнительно дает возможность понять, вовлечены ли соседние суставы и, если да, то насколько сильно процесс запущен. В некоторых случаях на основе рентгенографии можно предположить причину развития патологии.
Дополнительно может использоваться компьютерная томография и МРТ.

а

б
а. на рентгенограммах артроз голеностопного сустава, б. на КТ голеностопного сустава некроз таранной кости.
Принципы терапии
Лечение артроза голеностопного сустава нужно проводить под контролем опытного врача, причем лучше всего, если доктор будет вести своего пациента от момента постановки диагноза и до полного окончания курса лечения. Если доктор будет наблюдать за больным с самого начала и контролировать весь процесс лечения, можно будет добиться значительных результатов в терапии.
Доктор Петросян владеет всеми подходами к лечению артроза голеностопного сустава, используя в своей практике как консервативные, так и оперативные методики.
Консервативное лечение
Консервативная терапия подразумевает использование лекарственных средств, физиотерапии, лечебной физкультуры, массажа и других методик, которые направлены на замедление или полную остановку патологических изменений в суставе.
В первую очередь подбирается пациенту медикаментозную терапию, учитывая личные особенности больного, индивидуальные противопоказания. Используются для консервативной терапии следующие группы препаратов:
- НПВС, призванные в короткие сроки купировать воспалительный и болевой синдромы (например, Ибупрофен, Напроксен, Диклофенак и др.);
- хондропротекторы, призванные защитить сустав от дальнейшего разрушения (Афлутоп, Артра, Терфалекс и др.);
- вазопротекторы, обеспечивающие укрепление сосудистых стенок, местное улучшение кровотока (Детралекс, Трентал и др.);
- мази с обезболивающим действием (Дип-Рилиф, Бутадион и др.).
Доктор также подберет пациенту физиотерапевтическое лечение, которое не только обладает обезболивающим эффектом, но и способствует расширению сосудов и улучшению кровотока. А ведь хороший кровоток улучшает питание тканей и способствует их восстановлению!
Консервативная терапия не обойдется и без коррекции питания. Нужно ввести в рацион большее количество белковых продуктов, которые способствуют построению новых тканей. Также стоит скорректировать баланс микро- и макроэлементов, витаминов в пище. Эффективно дополняет терапию комплекс упражнений лечебной физкультуры.
Оперативное лечение
К сожалению, врач может лечить артроз голеностопа консервативно только в том случае, если заболевание не дошло до третьей стадии. Позже, когда сустав уже разрушен, помочь пациенту может только хирургическая операция. Возможно выполнение хирургического вмешательства трех типов:
- Артродез. В этом случае доктор, удалив разрушенные ткани, фиксирует сочленение различными конструкциями. Результат - полная неподвижность в сочленении, восстановление опорности ноги, избавление от боли.
- Артропластика. В ходе нее врач полностью сохраняет сустав, устраняя патологические изменения в нем. Это не радикальный метод и в настоящее время используется редко.
- Эндопротезирование. Операция считается самой сложной и самой прогрессивной. В ходе нее собственное сочленение (суставные поверхности костей) пациента удаляется, а на его место устанавливается имплант из искусственного материала.
Доктор Петросян имеет богатый опыт выполнения всех трех операций, а возможности клиники позволяют провести любое из вмешательств, к которому у пациента есть показание. На базе этой же больницы есть возможность пройти полную предоперационную подготовку.
Более подробную информацию вы можете узнать в разделе эндопротезирование голеностопного сустава.
Особенности реабилитации после операции
Реабилитация после операции на голеностопе играет большую роль. От ее качества зависит итог оперативного вмешательства. Если реабилитации не уделить достаточное количество времени и сил, можно столкнуться с различными осложнениями, а иногда и с необходимостью выполнить повторную операцию.
Чтобы восстановление прошло успешно, нужно разделить его на три этапа.
- Первый этап. Включает в себя фиксацию конечности и ходьба без нагрузки на сустав. В этот период пациенту подбираются ЛФК и физиотерапия, чтобы начать возвращать сочленению подвижность.
- Второй этап. Включает в себя ограниченную двигательную активность сначала с костылями, а затем и без их помощи. Сопровождается постепенным повышением нагрузок.
- Третий этап. Включает в себя борьбу с остаточными явлениями. Сустав на этом этапе продолжают фиксировать с помощью бинтов или ортезов, но нагрузка уже не ограничивается так строго, пациент может входить в привычный ритм жизни. На этом этапе рекомендуется начать использование ортопедических стелек для обуви, которые подберет доктор.
Артроз голеностопного сустава - серьезное заболевание, которое может значительно снизить качество жизни пациента. Только своевременное обращение к грамотному травматологу-ортопеду, поможет остановить развитие заболевания. Если же болезнь сильно запущена, врач сможет провести операцию.
Мы поможем вам на всех стадиях заболевания восстановить функцию сустава и вернуться к привычному образу жизни.
Кафедра травматологии и ортопедии
АСЕПТИЧЕСКИЙ НЕКРОЗ ТАРАННОЙ КОСТИ
ССЫЛКА ДЛЯ ЦИТИРОВАНИЯ:
А. Р. ДРОГИН, Ю. М. КАШУРНИКОВ, Р. А. БАКИР
Первы й Московски й Государственны й Медицински й Университет Имени И. М. Сеченова, Москва
Асептический некроз кости это частое осложнение переломов или нарушения кровоснабжения таранной кости. Лечение данного типа осложнения представляет определенные сложности. Плохие результаты лечения встречаются часто. целью данного обзора литературы является выявление всех возможных методов лечения асептического некроза таранной кости и определения наиболее целесообразной тактики лечения в каждом конкретном случае.
ключевые слова: асептический некроз таранной кости, переломы таранной кости, кровоснабжение таранной кости, артродез голеностопного су- става.
Таранная кость, ввиду уникального строения и особенностей кровоснабжения, подвержена развитию асептического некроза, как травматического, так и нетравматического генеза. Около 60% таранной кости составляют суставные поверхности, покрытые хрящом.
К таранной кости не крепятся мышцы и сухожилия. Кровоснабжение происходит за счет сосудов, проникающих в кость на ограниченном участке. Малый диаметр питающих сосудов и отсутствие коллатерального кровообращения являются фак- торами, повышающими риск развития асептического некроза таранной кости, особенно посттравматического характера.
Асептический некроз развивается при нарушении кровотока в системе кровоснабжения таранной кости, и представляет собой омертвение костной ткани в результате ишемии [20]. На- рушение кровоснабжения костной ткани может быть результатом травматического повреждения, либо нарушения артериального притока или венозного оттока (Dawn h. Pearce 2005) [7]. В литературе также встречаются термины остеонекроз, ишемический некроз, инфаркт кости. В независимости от терминов, некроз таранной кости развивается в условиях нарушения кровоснабжения, когда прекращается приток кислорода. Несмотря на отсутствие четкой классификации в отечественной литературе, асептический некроз таранной кости имеет характерную рентгенологическую картину. чаще всего участок некроза представляет собой зону уплотнения (склероза) тела таранной кости, размеры которой зависят от объема пораженной костной ткани.
Посттравматический некроз чаще всего развивается после переломов шейки таранной кости. По сведениям некоторых исследователей, до 50% переломов таранной кости сопровождаются данным осложнением (Н. jensenius, 1949; М. Klement, 1958; P. Decoulx, j. Razemon, A. Soulier, 1959;), а при переломовывихах таранной кости с повреждением связочного аппарата, по утверждению watson-jones (I946), некроз развивается в 100% случаев. В 1970г. hawkins предложил классификацию переломов шейки таранной кости и установил риск развития асептического некроза, в зависимости от вида перелома. По этой классификации переломы шейки таранной кости разделены на четыре типа:
Первый тип - переломы шейки таранной кости без смещения; риск асептического некроза до 10%
Второй тип - переломы шейки таранной кости со смещением и вывихом в таранно-пяточном суставе; риск асептического некроза до 30%
Третий тип - переломы шейки таранной кости со смещением отломков и вывихом в голеностопном и таранно-пяточном суставах; риска асептического некроза до 90%
четвертый тип - переломы шейки таранной кости со смещением отломков и вывихом в голеностопном, таранно-пяточном и таранно-ладьевидном суставах; риск асептического некроза 100%.
Кроме того, в литературе описан симптом hawkins, который заключается в том, что на рентгенограмме голеностопного сустава в прямой проекции определяется полоска просветления в субхондральной зоне. Данная картина свидетельствует о сохранении кровотока в таранной кости. В результате усиления процессов резорбции костной ткани по отношению к процессам остеогенеза, формируется зона остеопении, которая и определяется как полоска просветления на снимке. Патогенез процесса до конца не изучен, однако очевидно, что такие изменения возможны только при сохранности кровотока. Таким образом, положительный симптом hawkins является благоприятным прогностическим признаком, свидетельствующим об адекватном кровоснабжении таранной кости, что в свою очередь говорит о низком риске развития посттравматического асептического некроза. Данный симптом проявляется в сроки от 6 до 8 недель после травмы.
Картина некроза таранной кости выглядит рентгенологи- чески следующим образом - участок уплотнения (склероза) на ранних стадиях. На поздних стадиях может развиться картина коллапса или фрагментации тела таранной кости. Важным фактором, предрасполагающим к развитию асептического некроза, является особенность кровоснабжения. Кровоснабжение таранной кости осуществляется ветвями следующих артерий: тыльная артерия стопы, задняя большеберцовая артерия и прободающая малоберцовая артерия [12]. Ветви прободающей малоберцовой и задней большеберцовой артерий кровоснабжают задние отделы тела таранной кости (задний отросток).
От задней большеберцовой артерии, проксимальнее ее деления на медиальную и латеральную подошвенные артерии, отходит артерия канала предплюсны. Эта артерия проникает в канал предплюсны и анастомозирует с артерией тарсального синуса (пазухи предплюсны), которая является ветвью прободающей малоберцовой артерии. Ветви тыльной артерии стопы обеспечивают кровоток верхнемедиальных отделов шейки и головки таранной кости. Нижнелатеральные отделы кровоснабжаются за счет ветвей, отходящих от артерии канала предплюсны [11].
В результате механического повреждения либо окклюзии артерий развивается ишемия костной ткани, что приводит к образованию участка некроза. Ответной реакцией на сформировавшуюся зону некроза являются процессы реоссификации, реваскуляризации и резорбции некротической ткани. В начале заболевания плотность здоровой и некротической костной ткани одинаковая, поэтому рентгенологически зона некроза не выявляется [8]. На данном этапе МР диагностика является более чувствительным методом выявления асептического некроза, когда рентгенологическая картина еще нормальная (рисунок 1). С течением времени, по мере того, как происходит резорбция костной ткани вокруг зоны некроза, возникает разница в плотности здоровой и некротической костной ткани. Некротическая ткань не подвергается резорбции, т.к. лишена притока крови. На данном этапе изменения происходящие в таранной кости проявляются рентгенологически. Зона асептического некроза выглядит как участок уплотнения (склероза) костной ткани.
Нетравматический асептический некроз встречается в 25% случаев всех асептических некрозов таранной кости, а наиболее частыми причинами являются системные заболевания соединительной ткани (системная красная волчанка, ревматоидный артрит), длительный прием кортикостероидов, алкоголизм, серповидноклеточная анемия [9, 5, 6, 13]. При ревматоидном артрите нарушение кровоснабжения костной ткани приводит к развитию асептических некрозов, что было показано в работах разных авторов [15, 10]. Важным механизмом в патогенезе некроза при ревматоидном артрите является утолщение базальной мембраны сосудов, что способствует окклюзии просвета и нарушению кровоснабжения кости. Эти процессы влекут за собой развитие ишемии костной ткани, что приводит к развитию асептического некроза [22]. Другим объяснением развития остеонекроза при ревматоидном артрите является теория повышения внутрикостного давления[14]. Развивается окклюзия внутрикостных сосудов при повышении давления, что может быть следствием увеличения содержания жиров в костном мозге, жировой дистрофии остеоцитов. Связь остеонекроза с повышением внутрикостного давления была выявлена в различных исследованиях [14].
Гистологические изменения, развивающиеся в результате нарушения кровоснабжения, обнаруживаются в первую неделю. На второй неделе омертвение гематопоэтических клеток, эндотелиальных клеток капилляров и липоцитов подтверждается микроскопически. Липоциты высвобождают лизосомы, которые приводят к повышению кислотности окружающих тканей, сморщиванию остеоцитов и отеку костной ткани. Данные процессы обуславливают ранние изменения, обнаруживаемые на МРТ [4].
В литературе мы не встретили единого мнения по поводу патогенеза нетравматического асептического некроза. Сосудистый тромбоз, эмболия, повреждение стенки сосудов, нарушение нормальной формы клеток крови (например, серповидно- клеточная анемия), действие вазоактивных веществ, нарушение жирового метаболизма, повышение внутрикостного давления и травма являются наиболее часто упоминаемыми причинами развития асептического некроза [21, 19].
Развитие асептического некроза проходит несколько стадий. Ficat и Alert [23].
Предложили классификацию асептического некроза головки бедренной кости, которая затем была модифицирована для описания стадий некроза таранной кости. Данная классификация основана на рентгенологических изменениях и состоит из 4 стадий (таблица 1) [18].
Читайте также:
