Дентальные кисты новорожденных детей
Добавил пользователь Евгений Кузнецов Обновлено: 02.12.2025
Десны маленького ребенка могут повреждаться и воспаляться по разным причинам. Иногда на них появляется шишка, из-за чего некоторые родители впадают в панику. Она образуется из-за того, что токсины из поврежденной кариесом пульпы проникают в глубокие ткани десны и вызывают воспаление, в результате чего скапливается гной. Ему необходимо выйти наружу, и он собирается под слизистой недалеко от кариозного зуба — такое состояние называется гнойной кистой.
Причины
Чаще всего киста образуется по двум причинам:
- Невылеченного и запущенного кариеса, который развивается в результате пренебрежения гигиеническими процедурами или их отсутствия. Вначале болезнь поражает эмаль, а затем и глубокие зубные ткани, в которых образуется гнойная зона — флюс.
- Прорезывание зуба. Эта причина характерна для грудничков и детей 1,5-2 лет. В этом случае киста появляется перед прорезыванием, и она очень болезненна.
К другим факторам, вызывающим образование кисты на десне, относятся некачественное пломбирование зуба и травма челюсти.
Где образуется и как выглядит
Шишку можно обнаружить в любом месте десны, особенно если она образуется в период прорезывания зубов. Чаще всего она возникает над жевательным зубом, в случаях с клыками и резцами киста отмечается реже.
При флюсе шишка располагается над кариозным зубом. Она выглядит как сильно опухшая и бело-желтая область. Если до нее дотронуться, то ребенок чувствует сильную боль. Такая киста очень быстро разрастается, и часто этот процесс сопровождается повышением температуры тела и ухудшением общего состояния.
Если шишка появилась после травмы, то она выглядит как гематома и имеет синеватый или бордовый цвет.
Как лечат шишку на десне
Терапия кисты будет определяться, прежде всего, причиной, вызвавшей ее образование:
- Флюс. В случаях с молочными зубами чаще всего прибегают к удалению, так как велика вероятность прорыва шишки и попадания гноя вглубь тканей, заражения здоровых зубов, и появления свищевых канальцев. Если флюс диагностирован в постоянном зубе, то способ лечения будет зависеть от степени разрушения. Не всегда можно сохранить весь зуб, его удаление не исключено. Именно по этой причине нужно срочно обратиться к стоматологу.
- Прорезывание. В этом случае обычно особых действий не предпринимают: шишка сама проходит, когда зуб пробивается через десну. Однако, чтобы удостовериться в отсутствии болезни, родителям все же стоит показать ребенка стоматологу.
- Травма. Если небольшое посинение десны не беспокоит малыша, следует занять выжидательную позицию. Во многих случаях гематома исчезает сама собой. Если область сильно опухла и увеличилась, а ребенок жалуется на сильную боль, необходимо незамедлительно обратиться в клинику.
Что нельзя делать, если на десне появилась шишка
Категорически запрещено самостоятельно вскрывать гнойный мешочек и «выпускать» жидкость наружу. Это чревато довольно серьезными последствиями, так как очень велик риск занести в ранку инфекцию. Также нельзя без рекомендаций врача давать малышу какие-либо лекарства, полоскать род отварами и настойками трав, делать теплые компрессы. При этом чистить зубы не только можно, но и обязательно.
Дентальные кисты новорожденных детей
Кисты челюстей относятся к опухолеподобным образованиям и у детей встречаются часто.
Современная классификация кист
Одонтогенные кисты:
первичная киста (кератокиста).
Неодонтогенные кисты:
фиссуральная (резцового или носо-нёбного канала; глобуломаксиллярная или интермаксиллярная; носогубная);
травматическая (солитарная, геморрагическая, безоболочечная).
Источник: руководство по хирургической стоматологии и челюстно-лицевой хирургии. Под ред. Безрукова В.М., Робустовой Т.Г. — М. — 2000.
Одонтогенные кисты

Радикулярная киста
Радикулярная киста
Развитие радикулярной кисты почти всегда начинается с хронического периодонтита, приводящего к разрастанию грануляционной ткани вокруг верхушки корня зуба. В дальнейшем, под воздействием периодических обострений воспаления возникает некроз некоторых участков образовавшейся гранулемы, в результате чего в ее толще образуются полости, окруженные эпителием, который является будущей оболочкой кисты. Дальнейший рост кисты происходит за счет давления накапливающейся в ней жидкости, постоянно продуцируемой оболочкой кисты.
Киста прорезывания
Возникает в процессе прорезывания зуба у маленьких детей и характеризуется наличием ограниченного образования красно-синюшного или синеватого цвета, расположенного над коронкой непрорезавшегося зуба с содержанием серозной или серозно-геморрагической жидкости. Изредка такие кисты могут воспаляться.

Фолликулярная киста
Фолликулярная киста
Фолликулярная киста развивается из фолликула непрорезавшегося (как правило постоянного) зуба. Возникновение этого вида кисты связывают с распространением воспалительного процесса в периодонте временных зубов на постоянный зуб, находящийся на стадии развития.
Первичная киста (кератокиста)
У детей встречается редко. Оболочка кисты, в отличие от других кист, представлена ороговевающим эпителием.
Первичная киста (кератокиста)
Связь кисты с патологией зубов установить, как правило, не удается.
Киста распространяется по длине челюсти и, как правило, не приводит к выраженной деформации челюсти. Явные симптомы, позволяющие заподозрить данный вид кист, появляются при достижении кистой значительных размеров.
Часто выявляется случайно при рентгенологическом обследовании по какому-либо другому поводу.
Жалобы
Обычно жалобы появляются при достижении кистой достаточно больших размеров. Ребенок или его родители указывают на деформацию челюсти, а также на дискомфорт при жевании, на подвижность нескольких зубов; при фолликулярной кисте — дети или родители обращают внимание не отсутствие в зубном ряду зуба, который должен был уже по срокам прорезаться.
При нагноении кист жалобы совпадают с жалобами при воспалительных заболеваниях челюстей (периостит или остеомиелит, см. статьи об одонтогенных воспалениях).
Клиническая картина
Общее состояние ребенка не страдает, за исключением случая с нагноением кисты. Местные проявления радикулярной или фолликулярной кисты имеют общие признаки:
деформация альвеолярного отростка и тела челюсти возникает и прогрессирует постепенно, без болевых явлений;
при пальпации деформированного участка челюсти определяется образование плотной консистенции;
при больших размерах кисты ее стенка часто становится настолько тонкой, что при надавливании на нее прогибается иногда с характерным хрустом;
нет изменений слизистой оболочки полости рта над кистой.
Основным отличительным признаком радикулярной и фолликулярной кист является наличие в зубном ряду временного или постоянного зуба-причины. Как уже было сказано при нагноении одонтогенных кист клиническая картина напоминает острый периостит или остеомиелит челюсти. Диагноз подтверждается рентгенологическим исследованием.
Лечение
В качестве лечения кист используют два вида хирургического вмешательства: цистэктомию (полное удаление оболочки кисты) и цистотомию (вскрытие оболочки кисты без ее полного удаления).
При цистотомии после операции полость кисты всегда тампонируется (например, йодоформной турундой).
При цистэктомии полость кисты ушивается, кровь, заполняющая полость постепенно замещается костью.
В случае радикулярной кисты производится резекция верхушки корны зуба-источника кисты (канал зуба предварительно должен быть запломбирован).
Существует третий вид оперативного вмешательства — открытая цистэктомия, при которой оболочка кисты удаляется полностью или практически полностью, но оставшаяся костная полость тампонируется. Такая операция проводится обычно при нагноившихся кистах, когда ушивать костную полость, в которой была гнойная киста, нельзя или при невозможности удалить оболочку кисты полностью из-за опасности повреждения ретенированного зуба в кисте.
При тампонаде кисты ее полость постепенно уменьшается за счет роста кости в сторону полости.
Нагноившиеся кисты помимо оперативного лечения требуют проведения антибактериальной терапии.
Редкий случай множественных дермоидных кист на дне ротовой полости у младенца
Описан редкий клинический случай роста множественных дермоидных кист в области дна ротовой полости у младенца, проявляющихся затруднением глотания и смещением языка назад. В течение первого года жизни хирурги провели 2 операции по удалению большой и менее заметных маленьких кист.

Впервые дермоидную кисту размером 3 см обнаружили у плода в срединной области ротовой полости во время ультразвукового исследования беременной на сроке 24 недели, диагноз позднее подтвердили на МРТ-снимке. Другие образования остались незамеченными, так как доктора в первую очередь обратили внимание на патологическую находку больших размеров, как сообщается в истории болезни.
«Данный случай должен быть принят во внимание при анализе снимков перед операцией, поскольку более тщательное изучение позволило бы избежать повторной операции, так как было бы очевидно, что киста не является единичной», - пишут авторы работы, д.м.н. Жи-Минг Ванг, доцент кафедры стоматологии в Больнице Шэн Цзин при Медицинском университете Китая в городе Шэньян.
Редкий случай
Как правило, множественные дермоидные образования в области дна ротовой полости встречаются не часто. В зоне головы или шеи растут единичные кисты, часто они затрагивают область глазницы.
Отличительно, что подобные новообразования не характерны для младенческого возраста, тем не менее, могут возникнуть у любого человека. В большинстве случаев множественные дермоидные кисты в ротовой полости возникают у пациентов от 20 до 40 лет и являются доброкачественными. Удаляют образование хирургически интраоральным или экстраоральным способом, в зависимости от локализации.
Пациент в возрасте 1 месяц
На сроке 24 недели матери младенца была проведена визуальная диагностика, на основании которой обнаружено образование размером 1,9 на 1,8 см. К 34 неделе гестации образование выросло до размеров 2 на 3 см. При физикальном осмотре после рождения младенца врачи обнаружили, что киста занимает практически все пространство ротовой полости. В связи с чем было затруднено дыхание и глотательная функция. По достижению месячного возраста младенца госпитализировали из-за отека в ротовой полости и нарушения речи, девочка не могла полностью закрыть рот. По результатам МРТ обнаружена киста размером 3,3 x 2,8 x 2,9 см, вызывающая смещение языка назад.
На фотографиях: ребенок перед первой операцией. А: белая стрелка указывает направление смещения языка. Оранжевая стрелка указывает на большое кистозное образование, выходящее за пределы ротовой полости. В: На МРТ отмечено крупное образование (оранжевая стрелка) и мелкие подозрительные образования (белая стрелка). С: Вид кисты во фронтальной проекции. D: Вид кисты в сагиттальной проекции (оранжевая стрелка), мелкие подозрительные образования (белая стрелка).

Первая операция
Для удаления кисты применили внутриротовой доступ, поскольку образование было локализовано над челюстно-подъязычной мышцей. Размер кисты препятствовал прямой интубации, поэтому была проведено удаление жидкости из образования. Операция прошла под общей анестезией. Через 3 дня после операции возник отек средних размеров в месте разреза, он сохранялся 3 дня, несмотря на лечение дексаметазоном.
На фотографиях: младенец во время первой операции. А: доброкачественное образование и язык после удаления жидкости (белая стрелка указывает на кисту). В: удаленная из кисты жидкость в шприце. С: горизонтальные разрез кисты. D: отделение краев кисты от окружающих тканей. Е: удаление кисты. F: гистологическое исследование показало, что внутри содержалась кератинизированная чешуйчатая эпителиальная выстилка (белые стрелки) и сальные железы (оранжевая стрелка).

На фотографиях: младенец через 3 дня после операции. А: отек в месте разреза. В: постоперационное МРТ-исследование показало наличие двух кистозных образований (оранжевые стрелки) под языком. С и D: вид обоих образований во фронтальной проекции (оранжевая стрелка). Е: вид обоих образований в сагиттальной проекции (оранжевая стрелка).

Через неделю после операции было проведено МРТ-исследование, которое выявило наличие еще двух небольших кист под языком младенца. Одно образование размером 0,8 x 1 x 0,5 см, второе - 1,2 x 0,5 x 0,5 см. После чего хирурги повторно изучили предоперационные снимки МРТ, где обнаружили два мелких образования, которые были упущены из вида из-за сдавливания более крупным образованием. После удаления крупной кисты, мелкие образования значительно выросли. Через 9 дней после операции пациента выписали. Гистологическое исследование показало, что киста состояла из кератинизированной чешуйчатой эпителиальной выстилки и сальных желез, что подтвердило классификацию образования в качестве дермоидной кисты.
Вторая операция
Через девять месяцев после первой операции, ребенок был вновь госпитализирован. Отмечалось нормальное открывание рта, но небольшое смещение языка к небу. Врачи при пальпации области обнаружили образование размером 2 на 2 см на середине язычной мышцы на дне ротовой полости. МРТ-исследование подтвердило наличие образования. В ходе второй операции удалили кисту, проросшую глубоко в челюстно-подъязычную мышцу, что потребовало очень аккуратного отделения тканей образования от здоровых тканей. Внутри кисты обнаружили секрет сальных желез, ее классифицировали как дермоидную.
На фотографиях: младенец в ходе второй операции. А: второе МРТ-исследование нескольких новообразований (белая стрелка). B: на сагиттальной проекции видно крупное образование (толстая стрелка) и мелкое подозрительное образование (узкая стрелка). С: МРТ-исследование во фронтальной проекции. D: киста, заключенная в капсулу. Е: удаленная киста. F: поперечный срез кисты с частицами кератина внутри.

Через 5 месяцев после второй операции в той же области была обнаружена киста размером 1,5 x 0,9 x 1 см. Данное образование не мешает дыхательной, глотательной и жевательной функции, поэтому врачи решили не удалять его и внимательно следить за возможным ростом.
Причины возникновения кист
Поскольку первое образование было обнаружено еще в утробе матери, его признали врожденным. Первая и вторая висцеральная дуга соединяются в середине эмбриона на первых стадиях развития. Иногда эпителиальные остатки и некоторые узелки, из которых впоследствии формируется язык и дно ротовой полости, могут сохраниться после формирования данных анатомических частей, что в итоге приводит к дермоидным кистам.
Данный клинический случай необычен из-за некоторых факторов. Во-первых, дермоидные кисты чаще формируются как единичная масса. Во-вторых, их редко можно обнаружить еще до рождения ребенка. В-третьих, необычна локализация дермоидной кисты для младенца. Врачам следует принимать во внимание данный случай.
«Самое важное - тщательное проанализировать предоперационные снимки на предмет множественных образований во рту, когда кажется, что образование только одно», - говорят авторы.
Кисты прорезывания
Кисты прорезывания - это разновидность мягкотканных доброкачественных кист, связанных с прорезыванием временных или постоянных зубов и появляющихся до появления этих зубов в полости рта. Это мягкотканный аналог ретенционных кист, но который относится к отдельной нозологической единице.

Ретенционные кисты развиваются вокруг коронки непрорезававшихся зубов, залегающих в кости. Кисты порезования возникают, когда зуб уже начал прорезываться через мягкие ткани, покрывающие кость.
Точная этиология появления кист прорезывания остается не выясненной. Agulio и другие ученые в своих ретроспективных исследованиях упоминают кариес, травму, инфекцию и недостаток места для прорезывания как возможные причинные факторы.
Несмотря на большое количество теорий происхождения, кисты возникают из эпителия эмали коронки зуба из-за аккумуляции жидкости или крови в месте закладки фолликула.
Анализ литературы показывает нечастое возникновение кист прорезывания. Такие данные могут быть получены из-за того, что многие кисты возникают и затем исчезают незамеченными, в то время как стоматологи видят только клинически проявляющие себя патологии. Anderson заявляет о 54 гистологически подтвержденных случаях за последние 16 лет. Данные Agulio - 36 случаев ретроспективного анализа за 15 лет. Несколько позже Bodner обнаружил превалирование кист прорезывания в виде 22% от числа всех кистозных образований верхней челюсти у 69 детей. Недавно в 2004 году Bonder презентовал 24 новых случая кист прорезывания.
Кисты прорезывания и гематомы обычно возникают в первое или второе десятилетие жизни. Отчеты показывают, что наиболее часто кисты прорезывания возникают в возрастной рамке 6-9 лет, период связанный с поялвением первых постоянных моляров и резцов.
Кисты прорезывания чаще поражают правую сторону, чем левую, и больше мужчин, нежели женщин. Однако Pinkham сообщает об отсутствии половой предрасположенности.
Agulio в своем исследовании показал, что 2,8% кист прорезывания возникают в области резцов и моляров, а 17,2% у клыков и премоляров. Другие ученые подтверждают приведенные данные, а превалирование зоны резцов над зоной моляров в отношении 2:1 объясняют лучшим обзором переднего участка.
Клинически заболевание появляется как огруглоочерченная, флюктурирующая, часто рентгенопрозрачная припухлость альвеолярного края в месте прорезывания зуба. В случаях, когда окружающая коронку полость содержит кровь, припухлость выглядит как багровая или темно-синяя, отсюда появляется термин "гемангиома прорезывания". Дифференциальный диагноз будет включать гемангиому, неонатальную альвеолярную лимфангиому, пиогенную гранулему, амальгамное окрашивание.
На рентгеновском снимке достаточно трудно определить полость кисты прорезывания, потому что и киста, и зуб находятся в мягких тканях альвеолярного отростка, а кость остается незатронутой, в отличие от ретенционной кисты, которая выглядит как хорошо контурируемая монокистозная рентгенопрозрачная полость полулунной формы над коронкой непрорезывавшегося зуба.
Гистологически данная киста имеет те же микроскопические характеристики, что и ретенционная киста: соединительная ткань, покрытая тонким слоем неороговевающего эпителия.
Большинство этих кист исчезают сами по себе и обычно не требуют особого лечения. Если образование болезненно, кровоточит или инфицировано - показано хирургическое иссечение для обнажения зуба и дренирования содержимого.
Описание клинических случаев
Мы представляем два случая кист прорезывания у пациентов, обратившихся за помощью в нашу клинику.
Клинический случай 1
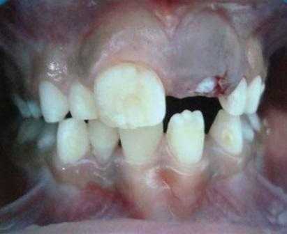
Фото 1: Фото до операциии, показывающее кисту прорезывания в области 21

Родители пациента были напуганы, предполагая злокачественную опухоль. В истории болезни обнаружено, что 61 удален 1 год назад по причине кариеса. Образования начали появляться 2 недели назад как рентгенопрозрачная припухлость поверх нормальной слизистой, которая медленно увеличивалась до настоящих размеров. Цвет образования медленно изменялся от нормальной розовой слизистой до настоящего синевато-черного за последнюю неделю. Никаких других изменений и симптомов не наблюдалось. Общий осмотр не выявил патологий. В анамнезе не упоминалось об острых инфекциях, травме, лекарственной или пищевой аллергии. Осмотр ротовой полости определил сменный прикус ребенка. Все первые постоянные моляры уже прорезались, все резцы, кроме 21, находились в разных стадиях порезования. Обнаружены кариозные поражения 52, 62, 73. Осмотр мягких тканей полости рта не выявил патологий, за исключением припухлости в области 21. Клинически десневое поражение выглядело синевато-черным, округлым, флюктуирующим образованием на щечной стороне десны в области непрорезавшегося 21. Размеры припухлости примерно 1,5х2 см, по консистенции мягкая. Покрывающая слизистая гладкая и без изъязвлений. Рентгенологическое исследование подтвердило процесс прорезывания 21 без патологической вовлеченности костной ткани или зуба. Клинически и рентгенологически была установлена киста прорезывания 21.
Клиническая ситуация была пояснена родителям и дан совет наблюдать припухлость следующие 2 недели, так как образование могло разрешится самостоятельно без хирургического вмешательства. Прием пациента назначен через 15 дней. Припухлость сохранилась, при жевании возникала тупая боль. Смысл хирургической манипуляции был объяснен родителям с получением согласия. Перед вмешательством проведено исследование крови. Лечение включало в себя иссечение кисты прорезывания и дренирование содержимого. Для облегченного прорезывания 21 выполнен разрез. Даны послеоперационные рекомендации (Фото 2).
Фото 2: Сделанный разрез и обнажение 21

Пациент наблюдался спустя неделю, наблюдалось нормальное прорезывание.
Клинический случай 2
В клинику обратилась 8,5 летняя девочка с жалобами на синевато-черное изменение цвета десны, а также припухлость в переднем сегменте верхней челюсти (Фото 3). Также наблюдалось некоторое изменение чувствительности. Образование начало появляться 2 месяца назад как рентгенопрозрачная припухлость поверх нормальной слизистой и медленно увеличивалось до настоящих размеров. При жевании присутствовала тупая боль.
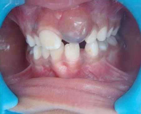
Фото 3: Фото до операции, показывающее кисту прорезывания в области 21

Общее физическое здоровье ребенка без патологии. Осмотр ротовой полости выявил смешанный прикус. Все постоянные первые моляры и центральные резцы, за исключением 21, прорезались.
Размеры припухлости примерно 2,5х2,5 см. По консистенции мягкое и флюктуирующее. Покрывающая слизистая гладкая и без изъязвлений. Рентгенологическое обследование подтвердило нахождение 21 в процессе прорезывания без патологической вовлеченности окружающей кости или зуба. Клинически и рентгенологически поставлен диагноз кисты прорезывания 21.
Применено хирургическое лечение, зуб обнажен. В последующем наблюдалось нормальное прорезывание (Фото 4).
Фото 4: Сделанный разрез и обнажение 21

Киста прорезывания - это мягкотканный аналог ретенционных кист, но определяющийся как отдельная нозологическая единица. Клинически киста прорезывания проявляется как куполообразная припухлость на слизистой оболочке альвеолярного края, мягкая по консистенции с цветом от синего, багрового до сине-черного.
При рентгенологическом исследовании достаточно трудным является определение кистозной полости, так как киста и зуб находятся в мягких тканях альвеолярного гребня, не затрагивая кость, что отличает кисту прорезывания от ретенционной, для которой характерным является четкая монокистозная рентгенопрозрачная зона полулунной формы около коронки непрорезававшегося зуба.
Гистологически данная киста обладает теми же микроскопическими характеристиками, что и ретенционная: соединительная фиброзная ткань с тонким слоем неороговевающего эпителия.
Большинство кист прорезывания не требует специального лечения и исчезают сами собой. Хирургическое вмешательство необходимо, когда имеется болевой синдром, кровоточивость, инфицирование или эстетические проблемы. Лечение следует проводить для повышения качества жизни ребенка. Высокая частота возникновения таких кист, а также локализация в динамически изменяющихся местах выдвигают требования к проведению достаточно консервативного лечения в популяции молодых людей. Хирургическое вмешательство не всегда показано, так как кисты могут разрешаться сами по себе и сопровождаться нормальным прорезыванием зуба. Если этого не произошло, простое иссечение крыши кисты позволяет более быстрому прорезыванию. Частичное или полное иссечение подлежащих тканей и дренирование полости показано, когда прорезывание заторможено или киста увеличивается в размерах.
В клиническом случае 1 была принята тактика выжидания, так как образование не вызывало дискомфорта и ожидалось, что образование разрешиться самостоятельно. Но после 15 дневного срока при повторном обращении киста продолжала увеличиваться в размерах. Поэтому принято решение о хирургическом иссечении и обнажении коронки.
В клиническом случае 2 иссечение мягких тканей с последующей компрессией кисты было связано с большими размерами образования и продолжительным сроком болезни. Припухлость длительно наблюдалась, вызывала боль и постепенно увеличивалась, поэтому сразу же была выбрана хирургическая тактика.
Новые технологии лечения с примением Er, Cr-YSGG лазеров были предложены Boj и другими учеными. Преимущества перед стандартной техникой заключаются в отсутствии необходимости применять анестезию, минимальном кровотечении во время операции и комфорте пациента. В клинической практике использование такого оборудование ограничивается высокой стоимостью и сложностью.
Заключение
Нарушения в развитии зубов могут проявляться аномалиями в виде различных припухлостей слизистой, кист прорезывания временных и постоянных зубов в детском возрасте. Кисты прорезывания связаны с прорезывающимися зубами и могут быть различных размеров, окрасок и морфологии. Такие образования могут служить причиной канцерофобии у детей и их родителей. Знание данной патологии среди специалистов является весьма важным для постановки правильного диагноза и выбора подходящего лечения.
Авторы: Preeti Dhawan, Gulsheen Kaur Kochhar, Sanjay Chachra, Shweta Advani
Диагностика и лечение поражений полости рта у новорожденных
У младенцев нередко обнаруживаются очаги поражений в полости рта, которые причиняют неудобства им самим и становятся причиной волнений для их родителей. К наиболее распространенным нарушениям и заболеваниям относятся врожденные и неонатальные зубы, различные слизистые кисты полости рта у новорожденных, анкилоглоссия и врожденный эпулис новорожденного. В данной статье мы рассмотрим особенности диагностики и лечения такого рода нарушений и постараемся дать читателям представление о правильных способах лечения и консультирования маленьких пациентов и их родителей.

За время своей практики врачи сталкиваются с различными случаями поражений полости рта у новорожденных: от физиологических особенностей, связанных с развитием ребенка, до раковых опухолей. Осведомленность о таких нарушениях играет важную роль в постановке правильного диагноза, консультировании и планировании лечения. Задача данной статьи заключается в информировании работников сферы здравоохранения о диагностике и лечении наиболее распространенных нарушений в полости рта новорожденных.
Врожденные и неонатальные зубы
Прорезывание первого молочного зуба происходит приблизительно через шесть месяцев после рождения ребенка. Но некоторые младенцы подходят к этому возрасту, уже имея во рту врожденные (с ними ребенок рождается) или неонатальные (прорезавшиеся в течение первого месяца жизни) зубы.

Практически все врожденные зубы (около 90 %) прорезываются в области резцов нижней челюсти. Как правило, они имеют правильную форму, однако могут характеризоваться измененным цветом и неровной поверхностью. Их типичной отличительной чертой уже в период развития является повышенная подвижность ввиду отсутствия или малой длины корней. Большинство врожденных впоследствии входят в ряд двадцати молочных зубов, но около 10 % из них оказываются сверхкомплектными. Врожденные зубы встречаются редко: один случай на две-три тысячи рождений здоровых детей, и, как правило, это отклонение носит случайный характер. Но в отдельных случаях появление врожденных зубов может быть симптомом некоторых синдромов, пороков развития и десневых опухолей.
Если врожденный зуб оказывается сверхкомплектным и не входит в ряд молочных зубов (определить это можно с помощью рентгена) или мешает грудному вскармливанию, рекомендуется его удалить. Чрезмерно подвижные зубы также стоит удалить, чтобы предотвратить их возможную аспирацию. Кроме того, врожденные зубы могут стать причиной травматического изъязвления вентральной поверхности языка (синдром Риги-Феде), но данное нарушение не является показанием к удалению зуба и излечивается путем выравнивания шероховатого режущего края врожденного зуба.
Кисты новорожденных
Для обозначения слизистых кист полости рта у новорожденных используется множество терминов, которые взаимно заменяют друг друга, внося определенную путаницу. Но, исходя из различного гистогенеза очагов, все их можно разделить на две категории: нёбные и десневые.
Нёбная киста новорожденного

Нёбные пластинки представляют собой двухсторонние рудиментарные отростки, которые соединяются по средней линии ротовой полости на восьмой неделе внутриутробного развития, образуя твердое нёбо. Они также сливаются с носовой перегородкой, что приводит к полному разделению полости рта и носовой полости. При этом соединительная эпителиальная выстилка между пластинками разрушается под действием ферментов, обеспечивая возможность сращения соединительной ткани. Нёбные кисты новорожденных, или жемчужины Эпштейна, образуются из эпителиальных включений вдоль линии слияния нёбных пластинок. Данное нарушение характеризуется высокой распространенностью и наблюдается у 65 %-85 % новорожденных. Кисты представляют собой небольшие (1-3 мм) желто-белые бугорки вдоль нёбного шва, особенно часто располагающиеся в месте соединения твердого и мягкого нёба. При гистологическом исследовании обнаруживается, что данные кисты заполнены кератином. Особое лечение не требуется, так как кисты атрофируются и исчезают вскоре после устранения их содержимого.
Десневые кисты новорожденных


Десневые кисты развиваются из зубной пластинки (эктодермальной связки), которая служит основой для формирования молочных и постоянных зубов. Ее остатки могут пролиферировать с образованием небольших кист и в дальнейшем стать причиной развития различных одонтогенных опухолей и кист. В зависимости от места образования, кисты, появляющиеся на деснах новорожденных, называются узлами Бона (присутствуют на буккальной и лингвальной поверхностях альвеолярных гребней) или десневыми кистами (формируются на отростке альвеолярного гребня).
Десневые кисты новорожденного характеризуются высокой распространенностью: к примеру, у тайваньских младенцев, проходивших обследование в течение трех дней с момента рождения, была выявлена 79-процентная распространенность нарушения.
Обычно кисты имеют вид маленьких белесых очагов неизменного размера. Те из них, которые образуются на переднем гребне нижней челюсти, можно ошибочно принять за врожденные зубы. Отдельное лечение не требуется, так как кисты часто разрываются ввиду вторичной травмы или трения.
Анкилоглоссия

Термин «анкилоглоссия» (косноязычие) описывает клинические ситуации сращения языка с дном ротовой полости или недостаточной длины уздечки языка, ограничивающей его подвижность. Анкилоглоссия может встречаться у представителей различных возрастных групп, однако чаще всего наблюдается у новорожденных. По данным исследований, частота этого нарушения у новорожденных составляет от 1,7 % до 10,7 %, у взрослых людей - от 0,1 % до 2,1 %. На основании этого можно предположить, что некоторые более легкие формы анкилоглоссии проходят с возрастом.
Анкилоглоссия младенца может вызвать трудности при грудном вскармливании и даже стать причиной болей в области соска у его матери или кормилицы. Предпочтительным методом лечения данного нарушения у новорожденных является простое отсечение уздечки (френэктомия), когда уздечка отрезается небольшими ножницами в самом тонком месте. Процедуру можно проводить под поверхностной анестезией, что обеспечивает минимальный дискомфорт и снижает вероятность кровотечения. Но кровотечение не является обязательным. Так, по результатам исследования с участием 215 новорожденных, прошедших фрэнэктомию без анестезии, у 38 % детей кровотечение отсутствовало, у 52 % появилось лишь несколько капель крови. В 80 % случаев через 24 часа после начала процедуры произошло улучшение питания.
Врожденный эпулис новорожденного

Это заболевание представляет собой редкую опухоль неизвестного гистогенеза. Как правило, очаг образуется на альвеолярном гребне новорожденных. Течение болезни следующее: опухоль не увеличивается в размере с момента рождения, иногда со временем может уменьшаться, что указывает, скорее, на реактивную, чем на неопластическую этиологию. Чаще всего данная опухоль обнаруживается во фронтальном отделе альвеолярного гребня верхней челюсти и имеет вид круглого прикрепленного образования, как правило, диаметром менее 2 см (но иногда встречаются и более крупные), с гладкой дольчатой поверхностью. Такого рода опухоли чаще встречаются у девочек, что может свидетельствовать о влиянии гормонов, хотя рецепторы эстрогена и прогестерона выявлены не были. В 10 % случаев могут возникать множественные очаги, что подтверждает потребность в тщательном обследовании полости рта.
В результате гистологических исследований врожденного эпулиса были выявлены крупные зернистые клетки с маленькими ядрами. В отличие от зернисто-клеточной опухоли, окрашивание белковым антигеном S100 при врожденном эпулисе дает негативный результат. Другие маркеры нейрогенного происхождения также показали отрицательный результат, что подтверждает неспецифическое мезенхимальное происхождение опухоли. Для лечения врожденного эпулиса рекомендуется хирургическое удаление, особенно при затрудненности дыхания или наличии проблем с кормлением, а также при потребности в гистологическом подтверждении диагноза. При менее крупных опухолях допустим выжидательный подход, так как известны случаи спонтанной регрессии образования. Случаев рецидива, даже при неполном удалении опухоли, а также злокачественного перерождения не отмечалось.
Читайте также:
- Диагностика туберозного склероза на МРТ, КТ
- Влияние демографии населения на сердечно-сосудистые заболевания. Распространенность артериальной гипертензии
- Абсцесс орбиты: причины, диагностика, лечение
- Врожденная ВИЧ-инфекция на КТ, МРТ головного мозга
- Атаксия-телеангиэктазия у ребенка. Иммунодефицит при мутации генов рецепторов ИФН
