Диагностическое заключение рентгенограммы. Рентгенологические симптомы поражения пищевода
Добавил пользователь Евгений Кузнецов Обновлено: 28.11.2025
История развития заболевания (анамнез заболевания: как и когда оно началось, как протекало, чем пациент лечился и т.д.) является важным этапом диагностики ГЭРБ и помогает подобрать в дальнейшем адекватное лечение. Однако у некоторых пациентов, как уже было указано выше, ГЭРБ может проявляться атипичными симптомами, которые они могут не связывать с рефлюксной болезнью, поэтому для того, чтобы определить наличие патологического рефлюкса, требуется дополнительное обследование. Тщательное обследование требуется и в случае длительно существующей изжоги, не поддающейся обычному лечению, для исключения развития пищевода Баррета, а также при наличии таких симптомов, как дисфагия, одинофагия, желудочно-кишечное кровотечение и необъяснимая потеря веса.
Использующееся в диагностике рентгеновское контрастное исследование с барием помогает определить наличие стриктур или язв пищевода, однако, является недостаточно информативным в плане диагностики эзофагита или пищевода Баррета.
Эндоскопическое исследование - один из важнейших инструментальных методов диагностики ГЭРБ, позволяющий как определить наличие осложнений, так и исключить другие заболевания.
Эндоскопическое исследование для подтверждения эрозивного эзофагита при ГЭРБ является высокоспецифичным - ложноположительные результаты встречаются при повреждении слизистой оболочки пищевода вследствие инфекционного или лекарственного эзофагита.
Следует отметить, однако, что у пациентов с ГЭРБ эзофагит, который можно определить при эндоскопическом исследовании, встречается только в 30-40% случаев. Кроме того, при эндоскопическом исследовании выявляются даже минимальные изменения слизистой оболочки пищевода, которые нельзя квалифицировать как эзофагит. И поскольку существует множество классификаций, определяющих присущие эзофагиту изменения слизистой оболочки, возникают сложности в трактовке полученных при эндоскопическом исследовании результатов.
При наличии у пациентов атипичных симптомов или осложнений ГЭРБ кроме эндоскопического исследования используются и другие методы диагностики. При этом перед лечащим врачом обычно встают два вопроса: 1) являются ли данные атипичные симптомы признаком ГЭРБ или другого заболевания; 2) почему у некоторых пациентов лечение не оказывает должного эффекта.
В первом случае для дифференциальной диагностики ГЭРБ (см ниже) используется тест Бернштейна. Он заключается в введении в пищевод слабого раствора соляной кислоты с целью спровоцировать возникновение характерных для ГЭРБ симптомов (изжоги, боли за грудиной), которые исчезают после введения физиологического раствора. Чувствительность и специфичность теста составляет около 80% у всех пациентов ГЭРБ, однако чувствительность теста снижается при наличии атипичных симптомов. Как и при эндоскопическом исследовании, этот тест является достаточно надежным в случае положительного результата, однако, отрицательный результат теста не исключает наличие ГЭРБ.
24-часовое рН-мониторирование (измерение в течение суток кислотности в пищеводе) - наиболее распространенный, высокочувствительный и специфичный, тест для определения патологического гастроэзофагеального (желудочно-пищеводного) рефлюкса и наличия связи существующих симптомов с рефлюксом. При проведении теста пациент может вести свой обычный образ жизни, принимать пищу и спать. О наличии у пациента патологического рефлюкса свидетельствует снижение уровня рН ниже определенных значений.
Однако важным недостатком данного метода является то, что не существует совершенно определенных значений, при которых однозначно можно сделать вывод о наличии ГЭРБ. Так у части пациентов с рефлюкс-эзофагитом отмечается нормальный уровень кислотности пищевода. Это связано с тем, что существует несколько причин возникновения симптомов рефлюксной болезни (как уже рассматривалось: длительное воздействие кислоты и снижение резистентности слизистой оболочки).
Несмотря на это суточное рН-мониторирование является на сегодняшний день «золотым стандартом» диагностики ГЭРБ. Основными целями проведения данного исследования является: зафиксировать патологический рефлюкс у пациентов без эндоскопических признаков эзофагита; оценить эффективность медикаментозного или хирургического лечения. Кроме того, данный метод помогает определить, насколько возникновение симптомов заболевания соотносится с моментами появления рефлюкса.
Еще одним диагностическим методом у пациентов с подозрением на ГЭРБ является назначение эмпирической терапии (чаще всего антисекреторной). Смысл эмпирической терапии заключается в назначении определенных лекарственных средств еще до момента точного установления диагноза, но при явном подозрении на наличие данного заболевания. Если такая терапия оказывается эффективной, диагноз подтверждается.
По данным исследований, 7-14-дневная терапия ингибиторами протонной помпы позволяет выявить пациентов, у которых может быть эффективен дальнейший курс лечения, включая тех, у которых при проведении рН-мониторирования не зафиксировано наличие рефлюкса.
Однако такой подход все же не является достаточным без стандартного диагностического обследования. Так, эмпирическое лечение, которое назначается при подозрении на ГЭРБ, может оказаться эффективным и при наличии язвенной болезни или злокачественных новообразований, то есть в конечном итоге недостоверно подтвердить наличие ГЭРБ у пациента. Кроме того, такой метод неприменим для диагностики пищевода Баррета.
В общем, у пациентов с симптомами ГЭРБ следует проводить тщательный сбор анамнеза и можно назначать эмпирическую антирефлюксную терапию. Пациентам с длительно существующими или значительно выраженными симптомами целесообразно проводить эндоскопическое исследование. Суточное рН-мониторирование показано далеко не всем пациентам, но может быть информативно в случае неэффективности эмпирической антирефлюксной терапии или для оценки ее эффективности у пациентов с доказанным наличием патологического рефлюкса. Кроме того, этот метод показан при наличии атипичных симптомов. Пищеводная манометрия редко используется для диагностики ГЭРБ, за исключением случаев серьезного нарушения двигательной функции пищевода - для оценки его перистальтики перед хирургической операцией по поводу ГЭРБ.
Итак, основными методами диагностики ГЭРБ являются
- Представляет собой выполнение ряда рентгеновских снимков пищевода, желудка и начальной части кишечника.
- Перед исследованием пациенту необходимо выпить специальную контрастную жидкость, которая, попав в желудочно-кишечный тракт, позволяет лучше увидеть некоторые подробности на рентгеновском снимке.
- Одним из видов контраста является жидкость, содержащая барий, поэтому иногда процедура называется рентгеновским исследованием с барием.
- Метод является менее информативным, чем эндоскопическое исследование, однако, иногда позволяет определить наличие язвы пищевода или наличие в пищеводе препятствия для прохождения пищи или жидкости (например, опухоль или стриктура).
- Перед исследованием Вам назначают прием успокоительного, а само исследование проводится под местной анестезией, чтобы максимально уменьшить дискомфорт при введении эндоскопической трубки через горло.
- Во время исследования врач может увидеть повреждение пищевода, определить степень заболевания и наличие осложнений.
- Если ГЭРБ протекает в легкой форме, то пищевод при ЭГДС может выглядеть нормально.
- При необходимости во время исследования выполняется биопсия (кусочек ткани из подозрительного участка берется для последующего анализа).
Это исследование определяет функцию нижнего пищеводного сфинктера и двигательную активность мышц пищевода. В пищевод помещается специальная трубка, оборудованная прибором, измеряющим параметры работы мышц. Исследование может проводиться вместе с 24-часовым рН-мониторированием.
На время проведения исследования (24 часа) в пищевод вводится тонкая трубка. Специальный прибор, закрепленный на этой трубке, фиксирует эпизоды рефлюкса как в течение дня, так и во время сна.
- При первом визите врач может порекомендовать Вам изменить образ жизни и применять антациды для снятия симптомов заболевания.
- Если данные мероприятия не окажут должного эффекта в течение 4 недель, Вам необходимо обратиться к Вашему врачу, который может назначить дополнительное обследование.
Дифференциальная диагностика проводится с целью доказать существование именно данного заболевания, а не сходных с ним других заболеваний.
Так ГЭРБ необходимо дифференцировать от инфекционного или лекарственного (или вызванного действием различных раздражающих веществ) эзофагита, язвенной болезни, диспепсии, желчной колики, ишемической болезни сердца и нарушений моторики (двигательной активности) пищевода.
Особенно важно на первом этапе при наличии соответствующих жалоб исключить наличие у больного ишемической болезни сердца, так как ее осложнения могут привести к смертельному исходу, и это заболевание требует немедленного начала лечения. Пациентам с желудочно-кишечными симптомами, сопровождающимися необъяснимой болью в груди, необходимо проведение специального исследования сердца (кардиографии), а также пробы с физической нагрузкой (которая проводится для уточнения диагноза заболевания сердца), перед тем, как проводить исследование желудочно-кишечного тракта. Кроме того, такие дополнительные методы диагностики заболеваний сердца используются в первую очередь у тех пациентов, у которых даже нет боли в груди, а только симптомы со стороны желудочно-кишечного тракта, но сопровождающиеся наличием одышки, потливости, слабости, или у пациентов с повышенным риском развития заболеваний сердца.
При исключении заболевания сердца как причины имеющихся симптомов, далее для постановки диагноза используются такие методы исследования, как эндоскопия, рентгеновское исследование верхних отделов желудочно-кишечного тракта или ультразвуковое исследование желчевыводящих путей при необходимости.
Дифференцировать эзофагит при ГЭРБ от инфекционного или лекарственного эзофагита помогает эндоскопическое исследование. Кроме того, инфекционный или лекарственный эзофагит обычно сопровождается одинофагией, что бывает редко при рефлюкс-эзофагите.
Инородные тела пищевода - Диагностика
Весь контент iLive проверяется медицинскими экспертами, чтобы обеспечить максимально возможную точность и соответствие фактам.
У нас есть строгие правила по выбору источников информации и мы ссылаемся только на авторитетные сайты, академические исследовательские институты и, по возможности, доказанные медицинские исследования. Обратите внимание, что цифры в скобках ([1], [2] и т. д.) являются интерактивными ссылками на такие исследования.
Если вы считаете, что какой-либо из наших материалов является неточным, устаревшим или иным образом сомнительным, выберите его и нажмите Ctrl + Enter.
Диагностика инородных тел пищевода основана на данных анамнеза, особенностях клинической картины при разных уровнях фиксации в пищеводе инородных тел, рентгенологического и эндоскопического обследования состояния пищевода и окружающих тканей. Значительные трудности диагностики возникают у детей грудного и раннего возраста в связи с возможностью бессимптомного проникновения и пребывания в пищеводе инородных тел, проглоченных в отсутствие родителей, с учётом недостаточной чувствительности слизистой оболочки пищевода, слабой рентгеноконтрастности тканей области шеи, беспокойство детей во время обследования. Этиологией таких симптомов, как икота, рвота, дисфагия у ребёнка педиатры считают погрешности в питании детей, диспепсию, глистную инвазию.
Диагностика инородных тел пищевода начинается с опроса и осмотра пострадавшего. Типичным указанием на проглатывание инородного тела является заявление больного, что в момент глотка жидкой (чаще) пищи или пищевого комка возникло ощущение «колющей» боли и распирания за грудиной. Однако этот признак не является достоверным указанием на то, что инородное тело остановилось в пищеводе. Если интенсивность боли не стихает, а, напротив, спонтанно усиливается и обостряется при движениях в шее или туловище, то это может свидетельствовать о внедрении инородного тела. Вынужденное положение головы и туловища в покое, характерные движения головой при глотательных движениях должны усиливать подозрения на наличие внедрившегося инородного тела. Срыгивание слюны и проглоченной пищи также может указывать на наличие инородного тела, но оно может быть обусловлено и рефлекторным спазмом пищевода, возникшим в результате повреждения его стенки транзитным инородным телом, прошедшим в желудок. Эти и другие физикальные признаки являются лишь косвенными (вторичными) симптомами, не позволяющими утверждать факт наличия инородного тела в пищеводе. Достоверный диагностический результат может быть получен при рентгенологическом исследовании. Однако и при этом достаточно объективном методе выявления инородного тела пищевода не всегда удается получить достоверный результат. Лишь при рентгеноконтрастных инородных тел идентифицируемой формы (например, английская булавка, гвоздь, зубной протез), визуализируемых в просвете пищевода, можно констатировать факт наличия инородных тел.
В анамнезе выясняют предположительный характер инородного тела, длительность его пребывании в пищеводе, последовательность развития клинических данных, свидетельствующих о возможности развития осложнений, характер и объём оказываемой ранее медицинской помощи или другого вида помощи (родители иногда сами пытаются удалить инородное тело, нанося пальцами значительную травму области гортаноглотки). Большое значение имеют анамнестические данные о заболеваниях пищевода, предшествующих заглатыванию инородного тела (врождённый рефлюкс, дивертикулы пищевода, химические ожоги, предшествующие хирургические вмешательства на пищеводе и др.) для предупреждения осложнений во время удаления инородного тела.
Пальпация области шеи, рентгенография пищевода простая и контрастная. Контрастные инородные тела видны при обзорной рентгеноскопии и рентгенографии грудной клетки. При подозрении на заглатывание неконтрастного инородного тела проводят исследование с контрастным веществом (больному дают одну чайную или десертную ложку густой бариевой взвеси, затем он делает 2-3 глотка воды, в норме вода смывает барий, но при наличии инородного тела часть контрастного вещества задерживается на нем - способ СВ. Ивановой-Подобед). При локализации инородного тела в шейном отделе пищевода выполняют боковую рентгенографию гортаноглотки в проекции Г.М. Земцова, позволяющую также диагностировать сопутствующие воспалительные изменения околопищеводной области. При локализации неконтрастных инородных тел в грудном и диафрагмальном отделах пищевода определяют "симптом слепка" - маятникообразные движения контрастной взвеси - движение вверх при глотании фиксированного на инородном теле контраста.
Диагностике инородных тел в стенозированном пищеводе помогают: визуализация супрастенотического расширения пищевода с очень слабой перистальтикой вследствие его атонии: указания на предшествующие операции, ожоги, травмы; коррекции врождённой атрезии, зондирование и на повторную задержку в пищеводе инородных тел. Основанием для постановки предварительного диагноза рубцового стеноза пищевода служит повторная задержка в пищеводе инородных тел или таких предметов, которые обычно свободно проходят по пищеводу (небольшие пищевые куски, мелкие монеты), а также указания в анамнезе на поражение пищевода. Крупные инородные тела сопровождаются пищевым завалом выше их локализации, который имеет вид локального расширения превертебральных мягких тканей, горизонтального уровня жидкости с располагающимся над ним воздухом в виде треугольника.
При диагностике инородных тел пищевода недопустимы такие приёмы, как глотание хлебных корок для выявления болевой реакции, проба с глотком воды (больному предлагают залпом выпить полстакана воды и при отсутствии затруднения и боли делают заключение об отсутствии инородного тела) и рентгенологическое исследование с использованием комочков ваты, пропитанных бариевой взвесью (так называемая проба Френкеля).
Общепринятые клинические анализы для уточнения степени выраженности воспалительных явлений.
Фарингоскопия, зеркальная ларингоскопия, эндоскопия (ригидная эндоскопия и фиброэндоскопия).
При внедрении в пищевод рентгенонеконтрастных предметов результаты рентгенодиагностики могут оказаться сомнительными, особенно при застревании мелких предметов, рыбьих костей, тонких пластинчатых пластмассовых предметов. При постановке рентгенологического диагноза следует иметь в виду, что основная масса (70-80%) таких предметов застревают в гортаноглотке и шейном отделе пищевода. Более крупные инородные тела фиксируются в средних отделах пищевода.
Для выявления рентгенонсконтрастных инородных тел применяют различные способы в зависимости от уровня нахождения инородных тел. Так, для выявления инородных тел в шейном отделе пищевода достаточно надежные результаты дает методика, предложенная С.И.Ивановой (1932): больному предлагают сделать 1-2 глотка взвеси бария сульфата средней густоты непосредственно во время рентгеноскопии (желательно в присутствии врача-эндоскописта). Наблюдение ведут как за актом глотания, так и за продвижением по пищеводу контрастной смеси. Исследование проводят в I и II косых проекциях. При наличии инородных тел отмечается полная или частичная задержка контрастирующего вещества в зависимости от размеров, формы и расположения инородных тел, при этом рентгенонеконтрастное инородное тело обволакивается контрастирующим веществом и становится видимым. Последующие глотки воды легко смывают контрастирующую смесь со стенок пищевода, тогда как на инородном теле остается некоторое ее количество, позволяющее определить локализацию инородных тел. Таким образом можно выявлять более или менее крупные инородные тела с неровной поверхностью, задерживающей контрастирующее вещество, однако мелкие и гладкие линейные предметы, например игольчатые рыбьи кости этим методом обычно не выявляются. В этих случаях рекомендуют производить рентгенографию шеи бесконтрастным способом, суть которого заключается в том, что рентгеновскую трубку устанавливают на расстоянии 150 см от пленки (13x18 см), расположенной против шеи на уровне от нижнего края нижней челюсти до головки плеча на расстоянии ширины надплечья. Снимок производят при анодном напряжении 80-90 кВ и токе 50-60 мА с экспозицией 0,5-1 с при задержке дыхания. По утверждению автора, этим методом могут быть выявлены мельчайшие рыбьи кости и другие малоконтрастные инородные тела в гортани, глотке и шейном отделе пищевода. Автор указывает, что при толковании бесконтрастной рентгенографии следует учитывать возрастные и половые особенности гортани, чтобы не принять за инородные тела участки кальциноза хрящей гортани, обычно наступающие после 40 лет у мужчин и позже у женщин.
При слепых огнестрельных ранениях глотки, гортани или шейного отдела пищевода для определения локализации инородных тел В.И.Воячек предложил вводить в раневой канал «металлический ориентир» - зонд. При рентгенодиагностике инородных тел шейного отдела пищевода, а также огнестрельных снарядов в мягких тканях шеи следует учитывать ряд факторов, два из которых имеют наиболее важное значение: наложение тени инородных тел на тень пищевода и смещение инородных тел и, следовательно, его тени при поворотах головы. Учитывая эти явления, К.Л.Хилов (1951) предложил, помимо выше указанных I и II косых проекций, производить третий снимок с введенным в раневой канал рентгеноконтрастным «щупом» в том положении больного, в котором он будет находится при проведении ему оперативного вмешательства. При помощи этой методики уточняется локализация инородного тела по отношению к органам шеи - глотке, гортани, трахее, пищеводу. Этот метод облегчает применение во время операции индукционных щупов, при введении которых в рану и приближении к металлическому инородному телу раздается звуковой сигнал. Современная видеохирургическая техника в сочетании с интраоперационной рентгеноскопией и допплероскопией позволяют обнаруживать и удалять инородное тело под контролем зрения на экране TV-монитора.
Для выявления неметаллических инородных тел при наличии сообщающихся с ним свища или раневого канала целесообразно применять метод фистулографии, впервые предложенной в 1897 г. A.Graff, который в качестве рентгено-контрастирующего вещества применил 10% раствор йода в глицерине - способ ренгенографического исследования свищевых ходов. Основной целью этого способа является выявление направления, размеров и формы свищевого хода, его разветвлений и установление связей и отношений с патологическими очагами-полостью абсцесса, очагом остеомиелита, секвестром, осложненным гнойным процессом инородные тела, соседними органами. В качестве контрастирующего вещества при фистулографии обычно пользуются масляными растворами органических соединений йода или его водорастворимыми соединениями (монокомпоиентные препараты - Тразограф, Омнипак, Ультравист-240; комбинированные препараты - Урографин). Перед заполнением свищевого канала одним из указанных препаратов производят обзорную рентгенографию исследуемой области, по крайней мере, в двух проекциях.
После этого края свищевого отверстия смазывают 5-10% спиртовым раствором йода и из свищевого хода отсасывают имеющееся в нем патологическое содержимое. Контрастирующее вещество вводят непосредственно перед исследованием в рентгеновском кабинете при горизонтальном положении больного. Контрастирующее вещество предварительно нагревают до 37°С и вводят его в свищевой ход медленно, без усилия, следя за тем, чтобы поршень шприца продвигался равномерно без дополнительных усилий, что будет свидетельствовать о том, что контрастирующее вещество поступает только в патологические полости, не формируя ложного хода. При возникновении во время введения контрастирующего вещества значительной болезненности процедуру фистулографии следует проводить под местной анестезией. Для этого в свищевой ход вводят 1-2 мл 2% раствора новокаина или 1 мл ультракаина на 10 мин, после чего остатки обезболивающего вещества отсасывают и вводят контрастирующее вещество. Для герметичного закупоривания свищевого отверстия канюлей шприца (иглу не применяют) необходимо надеть на нее специальный наконечник С.Д.Терновского или увеличить ее диаметр при помощи наматывания полоски лейкопластыря. Добившись тугого заполнения свищевого канала, следует закрыть его отверстие лейкопластырем. Если в момент тугого заполнения свища внезапно возникло облегченное введение контрастирующего вещества, то это может означать либо прорыв стенки свищевого канала с проникновением контрастирующего вещества в межтканевые пространства, либо то, что контрастирующее вещество достигло патологической полости и начало проникать в нее. В современных условиях метод фистулографии может быть использован при КТ и МРТ.
Методом рентгенографии возможно диагностирование таких осложнений перфораций пищевода, как периэзофагит и флегмона околопищеводной клетчатки.
После диагностической рентгеноскопии, играющей роль ориентировочного средства диагностики инородных тел пищевода, приступают к эзофагоскопии, которая одновременно при обнаружении инородных тел используется для его удаления. Поэтому, при подготовке к эзофагоскопии необходимо иметь в наличии весь набор инструментов для проведения этой операции.
Эзофагоскопия при инородных тел пищевода противопоказана только при наличии достоверных признаков перфорации или разрыва стенки пищевода. При подозрении на наличие инородных тел эзофагоскопию проводит с большой осторожностью врач, имеющий достаточный опыт в удалении инородных тел пищевода. Молодых врачей, прежде чем приступать к проведению эзофагоскопии, рекомендуется обучать этой сложной и ответственной процедуре на специальных муляжах. При проведении эзофагоскопии следует учитывать возможность четырех основных ошибок:
- не распознавание имеющегося инородного тела;
- ошибочное «обнаружение» инородного тела, в качестве которого нередко принимают фрагменты поврежденной слизистой оболочки;
- ошибочное принятие инородного тела пищевода в качестве инородного тела трахеи; причина этой ошибки заключается в том, что инородное тело значительного объема может сдавливать трахею и вызывать симптомы, характерные для инородного тела трахеи (затруднение дыхания);
- не распознавание перфорации пищевода; этой ошибки можно избежать при тщательном клинико-рентгенологическом обследовании больного, при котором выявляется подкожная и медиастинальная эмфизема.
Больным, у кого подозревается пролабирование инородного тела в желудок, категорически запрещается назначать слабительные средства. Такие больные подлежат наблюдению в стационаре. Для облегчения продвижения инородного тела по ЖКТ рекомендуют рацион с повышенным содержанием растительной клетчатки. Прохождение металлических инородных тел по ЖКТ контролируют с помощью последовательно проведенных в разное время нескольких обзорных рентгенологических исследований. Необходимо также осматривать испражнения больного, чтобы убедиться в том, что инородное тело вышло наружу.
Ее проводит с врождёнными пороками развития пищевода и посттравматическими деформациями его просвета, новообразованиями пищевода и соседних органов.
Показания к консультации других специалистов
При развитии периэзофагальных осложнений, в случаях затрудненного удаления инородных тел при ригидной эндоскопии или фиброэндоскопии, а тем более при необходимости удаления инородного тела методом эзофаготомии необходима консультация торакального хирурга. В случаях тяжёлых осложнений характер и объём детоксикационной терапии согласуют с реаниматологом
При наличии у пациента сопряжённых заболеваний внутренних органон и систем после консультации терапевта и анестезиолога определяют вид анестезиологического пособия.
Рентген пищевода: подготовка, проведение и противопоказания
Назначение рентгена пищевода часто связано с резкими болями в эпигастральной области, чувством дискомфорта после приема пищи, отрыжкой и неприятным привкусом во рту. Так как большинство аномалий желудочно-кишечного тракта характеризуется сходными симптомами, для постановки диагноза и назначения лечения требуется детальное обследование пораженной области.
Краткое описание процедуры
Рентгенография пищевода не связана с инвазией и поэтому считается безопасным методом обследования. Во время диагностики специалист делает серию рентгеновских снимков пищевода. Для получения более четкого и детального изображения, а также для рассмотрения исследуемой области в процессе функционирования часто применятся контрастное вещество на основе бария.
В большинстве случаев рентген пищевода проводят, потому что метод показывает состояние органа в реальном времени и позволяет оценить его объем и форму, увидеть пищевод в работе.
В каких случаях показано исследование?
Метод позволяет визуализировать область пищевода, оценить его внутреннее состояние и найти большинство аномалий и патологий. Благодаря тому, что показывает рентген пищевода, специалист может поставить диагноз почти при любом заболевании. Поэтому обследование назначается при большом количестве разнообразных симптомов.
Немотивированная, повторяющаяся рвота
В большинстве случаев рвота имеет висцеральное происхождение (вызвана раздражением рецепторов желудка). Однако симптом также может появиться при злокачественном новообразовании в пищеводе. Тогда рвота будет повторяться без видимых причин. В ней возможно появление сгустков крови.
Для диагностики опухоли пациента направляют на рентген пищевода с контрастным усилением. Метод позволяет обнаружить опухоль, локализовать ее и сделать предположение о ее характере.
Отрыжка, сопровождающая пациента постоянно
Часто отрыжка появляется при нарушении глотательной функции или перистальтики пищевода. Пациент жалуется на ком в горле и изжогу, рвоту и другие симптомы. Проблема может крыться в ахалазии кардии, склеродермии или других заболеваниях.
Поставить точный диагноз без детального обследования пищевода практически невозможно. Поэтому в диагностике специалист опирается на то, что показывает рентген пищевода.
Подозрение на рефлюкс
Рефлюксом называют забрасывание содержимого желудка вверх по ЖКТ в пищевод. Это происходит из-за недостаточности или повреждения нижнего сфинктера пищевода, который должен работать как клапан.
При рефлюксе в пищевод попадает богатое соляной кислотой и пепсином (расщепляющий белок фермент) содержимое желудка. При этом пациент испытывает изжогу и дискомфорт. Если рефлюкс случается регулярно, в нижнем отделе органа появятся эрозия и пептические язвы. Если болезнь вовремя не обнаружить методом рентгенографии пищевода и не вылечить, возможно сильное кровотечение, вызванное перфорацией стенки пищевода, и другие опасные осложнения.
Болевой синдром за грудиной
Боли провоцирует растягивание стенок при прохождении пищи. Часто ощущение имеет спазматический характер, боль отдает в челюсть, ухо, шею и спину.
Боли могут появляться из-за раздражения слизистой оболочки органа вследствие эзофагита, рефлюкса или злокачественного новообразования. Чтобы поставить точный диагноз, специалисту требуется провести ряд обследований, в том числе рентген пищевода.
Что может выявить рентгеноскопия?
С помощью рентгенографии специалист может выявить большинство заболеваний пищевода. В полученных результатах об аномалиях и патологиях говорит ряд признаков.
Патологические изменения диаметра пищевода (сужение/расширение)
Сужение просвета пищевода может возникнуть из-за воспаления, травмы, болезни или опухоли. В некоторых случаях симптом может приводить к полной или частичной непроходимости и тяжелым осложнениям.
Расширение пищевода встречается редко и, как правило, развивается при нервно-мышечной патологии (алахазии кардии), спайке или новообразовании. Симптом развивается, когда в нижнем отделе пищевода появляется препятствие, мешающее пище и жидкостям попадать в желудок.
В обоих случаях для диагностики причин патологии и выработки правильной стратегии лечения требуется детальный анализ изображений, полученных с помощью рентгенографии кишечника.
Локальное сужение
Сужение пищевода может происходить из-за висцеро-висцеральных или кортико-висцеральных нарушений. Обследование рентгеном позволяет локализовать сужение пищевода, определить его протяженность и степень уменьшения просвета.
Выпячивание стенки пищевода наружу при уменьшении внутреннего просвета
Выпячивания стенки пищевода в виде мешка (дивертикул) составляют почти половину всех дивертикулов ЖКТ. Патология происходит из-за локальной слабости мышц. При дивертикуле пациент жалуется на першение, ощущение комка, неприятный запах изо рта и другие симптомы. Для диагностики патологии назначают рентгенографию пищевода, эзофагоскопию и другие процедуры.
Нарушение целостности стенок - эрозии, язвы
Язвенная болезнь различных отделов ЖКТ встречается почти у четверти населения Земли. На слизистой оболочке пищевода язвы могут образовываться из-за воздействия желудочного сока, при рефлюксе (истинные или пептические язвы) либо злокачественных опухолях или иных заболеваниях (симптоматические язвы).
Чтобы локализовать патологию и определить ее причину, назначается рентген пищевода с контрастом.
Подготовительный период
Перед рентгеном пищевода пациенту следует пройти несложную, но обязательную подготовку. О том, как лучше подготовиться к процедуре, нужно узнать у назначившего обследование специалиста. Тем не менее есть ряд общих рекомендаций.
За 3 дня до процедуры следует скорректировать рацион, исключив из него способствующие газообразованию продукты. Накануне обследования, в обед, рекомендуется принять касторовое масло. Вечером и непосредственно перед рентгеном пищевода назначают очистительные клизмы.
Как проводится исследование?
Процедура проводится с помощью контрастного препарата, который делает данные обследования более точными и четкими. Контраст пациент получает перорально, препарат исследуемый выпивает по мере того, как специалисты делают рентген пищевода.
Контраст выводится из организма естественным путем. Из-за этого стул пациента в течение нескольких дней может быть окрашен в серый цвет. При этом здоровью обследуемого применение контрастного препарата не причиняет вреда.
Плюсы и минусы рентгеноскопии
К положительным сторонам процедуры относится то, что обследование методом рентгенографии пищевода почти не наносит вреда и не требует особой подготовки. Данные специалист получает в режиме реального времени и может не только локализовать патологию и оценить степень ее развития, но также сделать вывод о функционировании пищевода в целом.
Между тем, обследование проводится с применением ионизирующего излучения. Поэтому пациент получает некоторую долю облучения (0,2-0,5 мЗв при норме 5 мЗв в год). Из-за этого процедура не рекомендована беременным женщинам, детям и пациентам в тяжелом состоянии.

Наши медицинские центры
- Взрослое отделение
- Диагностика
- Консультации
- Центр лечения боли
- Центр здоровья сердца
- Центр здоровья женщины
- Центр эндокринологии
- Детское отделение
- Массаж
- Нефрология
- Оториноларингология
- Офтальмология
- Эндокринология
Запись по ОМС на МРТ и КТ
Включить версию для слабовидящих?
Настоящим я даю своё согласие ООО «Диагностический центр «Энерго» (далее - Общество) (ИНН: 7810812758, юридический адрес - 196084, город Санкт-Петербург, ул. Киевская, д. 5 к. 4, помещ. 20-н), далее - «Оператор», и третьим лицам, осуществляющим обработку моих персональных данных по поручению Оператора, на обработку указанных сведений обо мне, в целях содействия в трудоустройстве.
Я соглашаюсь на сбор, запись, систематизацию, накопление, хранение, уточнение (обновление, изменение), извлечение, использование, передачу (предоставление, доступ), блокирование, удаление, уничтожение моих персональных данных, а также на осуществление любых других действий, предусмотренных действующим законодательством Российской Федерации, совершаемых с использованием средств автоматизации или без использования таких средств.
Настоящее согласие дано мною лично и добровольно. Настоящее согласие действует до момента его отзыва при отсутствии у Оператора других законных оснований для обработки персональных данных и может быть отозвано мной в любой момент в письменной форме путем направления уведомления Оператору по адресу, указанному выше.
Мы используем cookie-файлы, IP-адреса и данные об устройствах для аналитики, чтобы Ваше посещение сайта было удобным и персонализированным. Вы можете отключить cookie-файлы в настройках вашего браузера. Продолжая пользоваться нашим сайтом, Вы даете согласие на обработку перечисленных данных и принимаете условия Политики обработки и обеспечения безопасности ПДн.
Рентген пищевода с барием: что показывает и как сделать?
Натощак пищевод представляет собой трубку со спавшимися стенками и плохо визуализируется на рентгенограмме. Данные, полученные при естественной контрастности пищевода, не позволяют достоверно оценить состояние его стенок и выявить заболевания различной локализации.
При наличии в пищеводе воздуха на снимке нечетко проявляются только его контуры. Этого также недостаточно для постановки верного диагноза во многих случаях.
Наиболее показательным рентгенологическим методом является рентген пищевода с контрастом - взвесью бария. Данное вещество обеспечивает задержку рентгеновского излучения и проявляется тенью на рентгенограмме. Что показывает рентген пищевода с барием? Данное изображение является более показательным и обеспечивает большую информативность, по сравнению с обычным рентген-исследованием.
Барий следует по стенкам пищевода и создает наиболее показательную картину состояния пищевода, поэтому при подозрении на многие заболевания специалисты отдают предпочтение именно этому диагностическому методу.
Необходимо отметить, что прием пациентом густой взвеси сульфата бария делает возможным неторопливое исследование различных отделов пищевода в разнообразных проекциях и положениях. При этом возможно не только произвести рентгеноскопию, но и выполнить видеомагнитную запись.
Показаниями к рентгенологическому исследованию с барием
Существует ряд показаний, при которых необходимо проведение рентгенологического исследования пищевода с барием. При наличии подозрений касательно заболевания и постановки диагноза также может проводиться данный вид диагностики. Перечислим некоторые состояния, при которых рекомендуют провести рентген пищевода с барием.
Нарушение глотания: чувство задержки пищевого комка, болезненные ощущения при проглатывании пищи
Различные нарушения акта глотания, появление чувства комка в горле, болезненность во время проглатывания пищи могут свидетельствовать о препятствии естественному ходу еды при совершении акта глотания. Причиной этого патологического состояния может быть наличие инородного тела в пищеводе, утолщение его стенок или рост новообразований различного генеза.
Рентген пищевода с барием наглядно покажет расположение препятствия в определенном отделе пищевода, а также сделает возможной оценку его размеров и формы, что поможет специалистам при постановке достоверного диагноза и подборе рационального лечения.
Боль в грудной клетке, не связанная с патологией органов дыхания и сердечно-сосудистой системы

Если в анамнезе имеют место болезненные ощущения в грудной клетке и при помощи дифференциальной диагностики было выяснено, что они никак не связаны с сердечно-сосудистой и респираторной системой, то возможно предположить патологию пищевода. Так как пищевод располагается непосредственно за трахеей и спускается вплоть до диафрагмы и желудка, то причина болевых ощущений вполне вероятно может локализироваться именно в нем.
Такие заболевания, как грыжа пищеводного отверстия диафрагмы, эзофагит и язвенная болезнь могут сопровождаться болевым синдромом и выявляются с помощью рентгенографии пищевода с контрастированием.
Повторяющиеся рвота, изжога, отрыжка
Если клиническая картина содержит в себе такие симптомы, как многократная изжога, рвота и отрыжка, то это может свидетельствовать о нарушении моторной функции пищевода, а также его анатомических сфинктеров или наличии различных патологий стенок. Так, данная симптоматика может встречаться при дивертикулах пищевода, дискинезии и ахалазии. Все эти заболевания возможно выявить при помощи рентгена пищевода с барием.
Подготовка к рентгену пищевода
Перед рентгенографией пищевода с барием следует провести определенную подготовку.
Прекращение приема пищи и жидкости за 8 часов до процедуры
Целесообразно воздержаться от приема какой-либо пищи в ходе подготовки к рентгену пищевода с барием как минимум за 8 часов до процедуры. Это обеспечит более высокую точность картины состояния стенок пищевода и предотвратит появление искажений, которые могла бы вызвать оставшаяся в пищеводе еда. Также это поможет избежать трудностей при обтекании взвесью бария стенок пищевода.
Исключение из рациона продуктов, стимулирующих газообразование в ЖКТ
Также при подготовке пациента к рентгену пищевода с барием стоит исключить из рациона продукты, способствующие газообразованию в органах желудочно-кишечного тракта. Необходимо понимать, что воздушные массы препятствуют получению информативных снимков, что может вызвать трудности при постановке диагноза.
Как делается снимок?
Перед введением контраста делают обзорную рентгенограмму исследуемой области. После этого пациента просят принять жидкую взвесь сульфата бария и производят ряд снимков в разнообразных положениях.
Противопоказания
Существует ряд противопоказаний к проведению рентгена пищевода с контрастированием.
Беременность (процедура назначается только по жизненным показаниям)
Барий, как и рентгеновское излучение, пагубно влияет на внутриутробное развитие плода и может привести к аномалиям у ребенка. Поэтому данный метод исследования используется крайне редко и только по жизненным показаниям.
Если есть риск заброса контраста в дыхательную систему
Если присутствует высокий риск забрасывания взвеси бария в дыхательные пути, что способно привести к асфиксии и удушью (например, при свищевых ходах и др. ).
Тяжелое состояние больного
Крайне тяжелое состояние больного также является противопоказанием к проведению данного исследования. Это может только усугубить положение.
Продолжающееся обильное кровотечение из желудочно-кишечного тракта
Обильное кровотечение может стать только интенсивнее при введении бария и при проведении рентгеноскопии.
Непереносимость бария
Индивидуальная непереносимость бария может привести к развитию аллергической реакции немедленного типа (потеря сознания, отек Квинке и другие угрожающие жизни состояния).
Жинь И.Г. Рентгеновский метод диагностики ГЭРБ у детей // Сборник материалов Республиканской НПК. Лаборатория интеллекта. - 2018. - 23 ноября. С. 25-33.
Гастроэзофагеальная рефлюксная болезнь (ГЭРБ) K21 (МКБ X) - это хроническое рецидивирующее заболевание, обусловленное нарушением моторно-эвакуаторной функции гастроэзофагальной зоны и характеризующееся спонтанным или регулярно повторяющимся забрасыванием в пищевод желудочного или дуоденального содержимого [9].

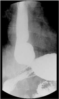
С точки зрения врача рентгенолога обычного рентгеновского кабинета, оборудованного первым рабочим местом (скопией) ожидаемая скеалогическая картина, которая может иметь место, это перераспределение введенного рентген-контрастного вещества из желудка в пищевод, как самопроизвольное, так и спровоцированное в отсутствии позывов на рвоту. В данном случае можно говорить лишь о забросе содержимого желудка в пищевод [6]: гастроэзофагальный рефлюкс (ГЭР).
Применяемая методика рентгеновского выявления ГЭР проводится в соответствии с методическими рекомендациями Министерства здравоохранения СССР 1981 год [1].
Показанием к рентгеновскому обследованию на ГЭР наличие клинических данных в пользу ГЭРБ и внелёгочных проявлений ГЭРБ. У детей первого года жизни (в том числе первых месяцев жизни) показанием является повторяющаяся рвота давностью более 3-х суток, если она не сопровождается симптомами определённо указывающими на механическую или функциональную непроходимость [2].

Описание [1,3,5,6]:
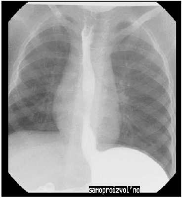
Пациент доставляется в рентгеновский кабинет натощак, перед очередным кормлением. Проводится предварительное просвечивание органов грудной клетки и брюшной полости.
Далее необходимо заполнить желудок. Заполнение желудка может осуществляться как через зонд (с соблюдением правил выполнения постановки), так и самостоятельно, из рожка, стакана.
Объём вводимого контраста должен соответствовать объёму разового кормления, детям до 3-х месяцев вводится 40-80 мл, старше от 60 до 200 мл. Давать свыше 200 мл, независимо от возраста нецелесообразно. На этом этапе, при укладывании пациента, или в результате ротации в некоторых случаях может регистрироваться ГЭР.

Далее выполняется осмотр желудка, двенадцатиперстной кишки (ДПК): оценивается анатомия и топография, скорость эвакуации из желудка, скорость пробега по ДПК, наличие препятствий пассажу, дискинезии, проводится пальпация, для ускорения пассажа и как провоцирующий фактор.

Провокационные пробы включают в себя ротацию пациента, умеренное давление на живот, напряжение мышц живота (кашель, натуживание, приподнимание пациентом ног). Положительной (у младенцев) считается проба, при которой в результате давления на живот в течении 30 сек. и сразу после этого отмечается, как минимум, два эпизода заброса контрастного вещества из желудка в пищевод. При этом рвота в расчёт не принимается. Рвота: сложный рефлекторный акт, характеризующийся сокращением желудка, раскрытием нижнего и верхнего пищеводных сфинктеров с выбросом контраста наружу.

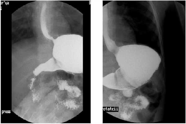
При отрицательных результатах пациент осматривается в положении Тренделенбурга (головной конец стола опускается вниз на 10-110, входит в «стандарт» диагностики в 1969 г., О.С. Радбиль).
Данный приём позволяет, увеличить процент выявляемости ГЭР и, особенно грыжи пищеводного отверстия диафрагмы [9], в частности, скользящую.
Далее стол переводится в положение параллельное полу.
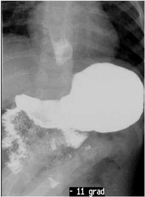
Должна производиться нагрузочная проба: глотание густой контрастной массы [2] в объёме одного глотка (если пациент умеет осознанно глотать). В настоящее время приём не используется в виду отсутствия в Республике Беларусь возможности приобретения сульфата бария в виде порошка. Продвижение густого контрастного комка позволяет адекватно оценить эвакуационную способность пищевода, его моторику, особенности работы сфинктеров пищевода.
Следующий этап, при отрицательных результатах выше выполненных манипуляций, постановка водно-сифонной пробы.
Пациент укладывается на спину в положении на правом боку под углом 450 [2], указание на методику, предложенную Linsman в 1965 г.). Положительным считается проба, при которой происходит заброс содержимого желудка в пищевод. При этом можно осуществлять маятникообразные умеренные надавливания на переднюю брюшную стенку, для оценки состояния средне пищеводного сфинктера [3, 4, 5].

Высока значимость водно-сифоной пробы (ВСП), при установлении ГЭР. Из 50 обследованных детей по поводу ГЭР, заброс без ВСП регистрировался у 19-и (методика Singleton - контраст вводится в расчёте 1/3 от разового кормления), и у 32-х, при выполнении ВСП [2].
В данном случае речь идёт, исключительно о выявлении ГЭР,как феномена, данности, и, ни коим образом, не указывает на наличие, либо отсутствие ГЭРБ.
При фиксации ГЭР, при рентгенологическом исследовании, следует ещё различать:
- нормальный (кратковременный заброс контраста в дистальный отдел пищевода не выше наддиафрагмального сегмента - 90% здоровых людей),
- функциональный (или ненапряженная регургитация, встречается в детском и подростковом периоде),
- • рвоту.
- у детей раннего возраста следует проводить дифференциальную диагностику с пилоростенозом, частичной высокой непроходимостью кишечника, патологией ЦНС и, в последующем развитии, с язвенной болезнью желудка и ДПК [6].
Есть определённая сложность и отсутствие единого мнения об используемой терминологии и оценке состояния болезнь - не болезнь.
Наличие т.н. «физиологического» рефлюкса. По данным литературы до 40-50 эпизодов ГЭР в сутки, длящиеся менее 20 секунд, не сопровождающиеся иными жалобами, без патологических изменений при эндоскопическом обследовании, как болезнь не оценивается. При этом физиологический ГЭР не имеет клинических эквивалентов и не приводит к формированию рефлюкс-эзофагита [8].
Отсутствует достоверно чёткая грань между субклиническим течением ГЭРБ (ГЭР без эзофагита) и ГЭР, как констатация факта, расценивающаяся как вариант нормы.
Градации по степеням ГЭР, единого мнения не существует.
В нашем учреждении принято различать тир степени, и деление достаточно субъективное. Принимается во внимание высота заброса, объём рефлюктанта, скорость очищения пищевода от рефлюктанта, кратность повторения рефлюксов.
Используемый лучевой метод (выше описанный и иные его варианты) не даёт никакого представления об «активности» рефлюктанта, собственно желудочного (кислый рефлюкс, щелочной, активность ферментов, их количество), так и скорость эвакуации контрастной массы может отличаться от скорости эвакуации желудочного содержимого и нет никакой возможности оценить его агрессивность, повторяемость в течении суток и их продолжительность. Эти вопросы, во многом, на данный момент снимает рН-метрия, в т.ч. круглосуточная.
По состоянию на сегодняшний день, можно говорить о том, что в большинстве случаев между рентгеновским, эндоскопическим методом и pH-метрией существует корреляция в заключениях, однако не редки случаи, когда заключения друг друга не только не дополняют, в отношении постановки диагноза ГЭРБ, но и «противоречат» друг другу.
Все используемые методы исследования в разное время имели почётное звание «золотого стандарта». Развитие науки говорит о том, что для каждого метода существует своё определённое место, своя «диагностическая ниша», где каждый приём может считаться «золотым».
В качестве примера можно привести таблицу из методических рекомендации для врачей-педиатров и гастроэнтерологов [7], в которой коротко изложены диагностические возможности основных методов, используемых в диагностике ГЭРБ.
Читайте также:
