Диагностика болезни Лермитта-Дюкло на МРТ, КТ
Добавил пользователь Евгений Кузнецов Обновлено: 02.11.2025
Болезнь Лермитта—Дюкло, также известная как диспластическая ганглиоцитома мозжечка, это редкая "опухоль" мозжечка, которая возможно относится к гамартомам, хотя точный патогенез заболевания остается неизвестным [2, 6]. По классификации ВОЗ относится к I категории [1, 2-6].
Эпидемиология
Болезнь Лермитта—Дюкло обычно встречается у молодых людей, хотя описаны случаи заболевания во всех возрастных группах [3, 6]. Интересным моментом является отличие генетического типа у детей и у взрослых.
У взрослых заболевание сочетается с PTEN мутациями, ведущими к манифестации в виде болезни Коудена, и в таком случае заболевание именуется COLD синдром (Cowden-Lhermitte-Duclos синдром) [7].
У детей PTEN мутации отсутствуют [6].
Клиническая картина
Небольшие поражения могут протекать бессимптомно или с относительно стертой клиникой. Крупные размеры образования как правило сочетаются с повышением внутричерепного давления, обструктивной гидроцефалией и, в меньшей степени, дисфункцией мозжечка [3].
Патология
Макроскопически
Диспластическая ганглиоцитома мозжечка как правило проявляется единичной односторонней дискретрой областью гипертрофии мозжечка [6].
Микроскопически
Нарущение нормальной цитоархетиктоники мозжечка в виде утолщения наружного молекулярного слоя, утраты среднего слоя клеток Пуркинье и инфильтрация внутреннего гранулярного слоя, в сочетании с диспластическими изменениями ганглионарных клеток имеющих различные размеры [6].
Иммунофенотип
синаптофизин: положительная экспрессия
утрата экспрессии PTEN белка (Cowden синдром/COLD синдром)
Диагностика
Заболевание характеризуется формированием атипичной ткани в коре мозжечка, как правило поражается одна гемисфера, иногда распространяется на червь, редко распространяющется на контрлатеральную гемисферу [1].
Компьютерная томография
- может проявлятся в виде неспецифического образования пониженной плотности
- иногда втречаются кальцинаты [2, 5]
Магнитно-резонансная томография
Утолщение "листовидной структуры" мозжечка с исчерченым/тигровым паттерном.
- T1: гипоинтенсивный МР сигнал [2]
- T2: гиперинтенсивный сигнал за счет кортикальной исчерченности [1]
- DWI:
- сигнал соответствует сигналу от неизмененной коры
- может встречаться гиперинтенсивность за счет T2 просвечивания
- повышение интенсивности сигнала после введения парамагнетиков встречается редко
- если присутствует повышение сигнала - то поверхностно, возможно за счет сосудистой пролиферации [4]
- повышение пика лактата [1,2]
- незначительное снижение пика N-ацетил-аспартата (до 10%) [1,2]
- снижение пика мио-инозитола(до 30-80%)
- снижение пика холина (до 20-50%)
- снижение соотношения холин/креатинин [2]
PET/SPECT
FDG-PET: повышенное поглощение
Tl-201 SPECT: повышенное поглощение
История и этимология
Впервые патолгия была диагностирована в 1920 г. врачами Lhermitte и Duclos. В последующие годы данное заболевание описывали Bielschowsky и Simons, Christensen, Duncan и Snodgrass, Ambler, Padber. Каждый из авторов называл эту болезнь по-разному: диффузная ганглиоцитома мозжечка, пуркинома, гамартома, диспластическая ганглиоцитома, диффузная ганглионеврома и гипертрофия зернистого слоя мозжечка. Всего в литературе описано приблизительно 220 случаев болезни Лермитта—Дюкло [9].
Дифференциальный диагноз
Картина при визуализации является довольно характерной что значительно сужает дифференциально-диагностический ряд.
При остром сепсисе или резком ухудшении клинической картины на фоне предыдущего благополучия, может рассматриваться церебеллит или подострый инфаркт мозжечка.
Картина может напоминать распространенную узловую медуллобластому (молекулярная подгруппа SHH molecular).
Литература
Barkovich AJ. Pediatric neuroimaging. Lippincott Williams & Wilkins. (2005) ISBN:0781757665.
Klisch J, Juengling F, Spreer J, Koch D, Thiel T, Büchert M, Arnold S, Feuerhake F, Schumacher M. Lhermitte-Duclos disease: assessment with MR imaging, positron emission tomography, single-photon emission CT, and MR spectroscopy. (2001) AJNR. American journal of neuroradiology. 22 (5): 824-30. Pubmed
Kulkantrakorn K, Awwad EE, Levy B, Selhorst JB, Cole HO, Leake D, Gussler JR, Epstein AD, Malik MM. MRI in Lhermitte-Duclos disease. (1997) Neurology. 48 (3): 725-31. Pubmed
Awwad EE, Levy E, Martin DS, Merenda GO. Atypical MR appearance of Lhermitte-Duclos disease with contrast enhancement. (1995) AJNR. American journal of neuroradiology. 16 (8): 1719-20. Pubmed
MRH Bayat, J Sarawan "CT and MRI findings in L'hermitte Duclos disease" SA Journal of Radiology - February 2005
Louis DN, Ohgaki H, Wiestler OD, Cavenee WK, Burger PC, Jouvet A, Scheithauer BW, Kleihues P. The 2007 WHO classification of tumours of the central nervous system. (2007) Acta neuropathologica. 114 (2): 97-109. doi:10.1007/s00401-007-0243-4 - Pubmed
Paolo Tortori-Donati, Andrea Rossi. Pediatric Neuroradiology. ISBN: 9783540263982
Болезнь Лермитта-Дюкло (Lhermitte-Duclos)
Болезнь Лермитта—Дюкло является редким генетическим заболеванием с аутосомно-доминантным типом наследования, характеризующимся возникновением гамартомы мозжечка.
Болезнь Лермитта-Дюкло
- Доброкачественное поражение мозжечка - гамартома.
- Ассоциация болезни Лермитта-Дюкло и синдрома множественной гамартомы возможно является проявлением нового нервно-кожного синдрома.
Синдром множественных гамартом (МГАМ).
- Аутосомно-доминантное, вариабельная экспрессия, как правило мутация в гене PTEN.
- Гамартоматозные новообразования кожи (90-100%), слизитых оболочек, ЖКТ, костей, ЦНС, глаз и мочеполового тракта.
- Патология связана с увеличением частоты злокачественных новообразований.
История и этимология
Названа в честь Жака Жана Лермита (1877-1959), французского невролога и нейропсихиатра, и П. Дюкло, которые впервые описали патологию в 1920.
Синонимы
- Диспластическая ганглиоцитома мозжечка, диспластическая ганглиоцитома, гамартома мозжечка.
- Гамартобластома, мозжечково-паренхиматозное расстройство, зернистая гипертрофия клеток, грануломолекулярная гипертрофия.
- Диффузная ганглионейрома коры мозжечка, диффузная гипертрофия мозжечка, нейроцитная бластома, миелинизированная нейроцитома, пуркингиома.
Синдром множественной гамартомы (МГАМ).
- Синдром множественной гамартомы-неоплазии, болезнь Коудена, синдром Коудена (СК), синдром Коудена-Лермитта-Дюкло (СКЛД).
Эпидемиология
Данная патология может возникнуть в любом возрасте, но чаще всего в промежутке 20-40 лет. Одинаково встречается у женщин и мужчин.
Этиология
Этиология неясна предполагается гамартоматозный, неопластическии или врожденный мальформативный генез
- Отсутствие пролиферации/малигнизации предполагает гамартомную природу
Генетика
Многие имеют мутации гена PTEB/в локусе 10q23.31 (ген-супрессор опухолевого роста). Активация сигнального пути PTEN/AKT/mTOR предполагает роль mTOR в патогенезе заболевания
Диагностика болезни Лермитта-Дюкло на МРТ, КТ
НИИ нейрохирургии им. акад. Н.Н. Бурденко РАМН, Москва
ФГБУ "НИИ нейрохирургии им. акад. Н.Н. Бурденко" РАМН, Москва
ФГБНУ «НИИ нейрохирургии им. акад. Н.Н. Бурденко», Москва, Россия
ФГАУ «Научный медицинский исследовательский центр им. академика Н.Н. Бурденко» Минздрава России, Москва, Россия
Успешное лечение болезни Лермитта-Дюкло
Журнал: Журнал «Вопросы нейрохирургии» имени Н.Н. Бурденко. 2015;79(4): 78‑83
Болезнь Лермитта-Дюкло является редким генетическим заболеванием с аутосомно-доминантным типом наследования, характеризующимся возникновением гамартомы мозжечка. Заболевание чаще всего проявляется в период полового созревания или на 3-4-м десятилетии жизни. В медицинской литературе описаны примерно 220 случаев этой болезни. Результат. Проведено успешное двухэтапное хирургическое лечение болезни Лермитта-Дюкло у молодой женщины. Заключение. Представленное редкое наблюдение знакомит практикующих врачей с клиническими проявлениями и рентгенологической картиной заболевания, что поможет своевременно диагностировать данную патологию и выбирать правильную тактику лечения.
Болезнь Lhermitte—Duclos (Лермитта—Дюкло), иначе известная как диспластическая ганглиоцитома мозжечка, впервые была диагностирована в 1920 г. врачами Lhermitte и Duclos. В последующие годы данное заболевание описывали многие ученые: в 1930 г. - Bielschowsky и Simons, в 1937 г. - Christensen, в 1943 г. — Duncan и Snodgrass, в 1969 г. — Ambler, в 1991 г. — Padber. Каждый из авторов называл эту болезнь по-разному: диффузная ганглиоцитома мозжечка, пуркинома, гамартома, диспластическая ганглиоцитома, диффузная ганглионеврома и гипертрофия зернистого слоя мозжечка. Всего в литературе описано приблизительно 220 случаев болезни Лермитта—Дюкло [1].
В 1920 г. Lhermitte и Duclos описали случай заболевания у 36-летнего мужчины, у которого начальные симптомы появились в 10-месячном возрасте в виде снижения слуха слева и болей в затылке. Перед госпитализацией пациент испытывал пароксизмальное головокружение с повторяющимися падениями, а при обследовании определялись мозжечковая атаксия, дизартрия, нистагм, нервно-психические расстройства с дезориентацией и нарушением памяти. Через 1 нед после госпитализации состояние пациента ухудшилось. Операция ему не проводилась, уровень сознания пациента постепенно снизился до комы, и он скончался.
Lhermitte и Duclos, рассматривая природу заболевания, высказали предположение, что обнаруженное при аутопсии патологическое образование в задней черепной ямке — комбинация врожденного порока развития и опухоли, развившейся из ганглиозных клеток [1, 2].
В 1937 г. Christensen представил данные о первом успешном хирургическом вмешательстве при диспластической ганглиоцитоме правого полушария мозжечка. Операция была проведена 34-летнему мужчине, страдающему этим заболеванием с шестилетнего возраста. У него наблюдались подъемы артериального давления, головная боль в области затылка и височных областях, тошнота, рвота на пике головной боли. Иногда эти приступы приводили к потере сознания. При госпитализации были обнаружены: двусторонний отек диска зрительного нерва, недостаточность тройничного нерва слева и паралич лицевого нерва справа. При вентрикулографии было выявлено смещение четвертого желудочка и водопровода влево. При операции в правом полушарии мозжечка найдено образование вязкой консистенции без четких контуров, напоминающее глиому. Образование было удалено, а пациент выписан без жалоб. Через 18 мес после операции он вернулся к работе. Последующее течение заболевания прослежено не было [3].
В настоящее время доказано, что болезнь Лермитта—Дюкло — это гамартома, а не опухоль [4]. Дифференциальная диагностика гамартом и неоплазм базируется на сохранении расположения пластинчатых структур мозжечка при врожденных пороках развития. Для болезни Лермитта—Дюкло не характерны кистозные образования, которые обычно ассоциированы с опухолями. Заболевание наследуется по аутосомно-доминантному типу и возникает вследствие мутации гена PTEN (phosphate and tensin homolog) в хромосоме 10q23.31. Приблизительно 90% больных с диспластической ганглиоцитомой мозжечка имеют мутацию в данном гене или его промоторах. Ген PTEN впервые был обнаружен как опухолевый супрессор в глиоме. Его соматические мутации исследователи ассоциировали с глиобластомой, меланомой, эндометриальным и простатическим раком. Ген кодирует липидную фосфатазу для фосфатидилинозитол-3-киназы, подавляет формирование серин/треонинкиназы, изменяет путь фосфатидилинозитол-3-киназы и таким образом усиливает апоптоз [5—7]. Однако, несмотря на большое количество проведенных исследований, точная этиология и патогенез болезни Лермитта—Дюкло сих пор остаются неизвестными [8, 9].
Заболевание может распознаваться уже в раннем возрасте, когда появляются первые клинические признаки прогрессирующего процесса в задней черепной ямке. Длительность проявления симптомов болезни колеблется от нескольких месяцев до многих лет. При диспластической ганглиоцитоме мозжечка наибольшее скопление патологических клеток образуется, как правило, к 3-4-му десятилетию жизни, что и выражается в особенностях динамики клинической симптоматики [10]. Недостаточность черепных нервов, мозжечковая атаксия, клинические проявления внутричерепной гипертензии чаще всего являются результатом острой либо хронической гидроцефалии.
В практике имеются случаи бессимптомного течения болезни. В 1969 г. Ambler описал первый семейный случай диспластической ганглиоцитомы мозжечка, наблюдаемый у 32-летнего мужчины, который умер от данного заболевания. Смерть его матери не была связана с болезнью Лермитта—Дюкло. Однако в результате проведенных исследований было установлено, что она являлась носителем бессимптомного течения болезни, которая заявляла о себе только макроцефалией. У некоторых членов ее семьи также имела место большая окружность головы — все они, как подчеркивал автор, были бессимптомными носителями опухоли. Как одна из дополнительных аномалий при болезни Лермитта—Дюкло, макроцефалия встречается примерно в 50% случаев [2].
Некоторые авторы описывают это заболевание в сочетании с Cowden-болезнью, называемой «множественным гамартомным синдромом». Cowden-болезнь — редкий аутосомно-доминантный семейный синдром с высокой степенью пенетрантности и значительным риском развития рака молочной железы. Клинически болезнь характеризуется множественными гамартомами. Рак молочной железы развивается приблизительно в 30—50%, а рак щитовидной железы — в 10% случаев. В 1996 г. Nelen обнаружил ген Cowden-болезни в хромосоме 10q22−23, что частично совпадает с PTEN-локусом. Представленный мощный опухолевый ген-супрессор был назван PTEN/MMAC1. В настоящее время доказано, что опухолевые поражения при Cowden-болезни возникают в основном как результат вертикально передаваемых мутаций данного гена [11, 12].
С болезнью Лермитта—Дюкло в различной степени ассоциированы пороки развития и ряд других поражений. Так, например, часто встречаются макроцефалия, гидроцефалия, сирингомиелия и скелетные аномалии (полидактилия, синдактилия, асимметрия костей лицевого скелета). Реже встречаются такие образования, как липомы, нейрофибромы, гемангиомы, папулезные высыпания на языке. Иногда болезни Лермитта—Дюкло сопутствуют поражения щитовидной железы, молочной железы, органов мочеполовой системы, гастроинтестинальные расстройства.
Основными методами инструментальной диагностики болезни Лермитта—Дюкло являются магнитно-резонансная томография (МРТ) и компьютерная томография (КТ) головного мозга [13—17].
Представляем клинический пример заболевания и его лечения.
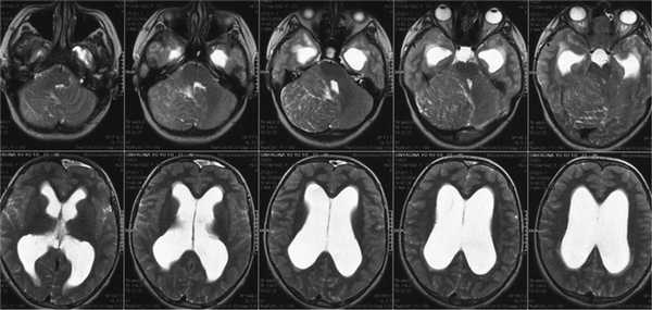
В НИИ нейрохирургии поступила больная С., 17 лет. За несколько месяцев до госпитализации стала отмечать шаткость при ходьбе, периодическую головную боль. В неврологическом статусе выявлялась окклюзионная, общемозговая, а также выраженная мозжечковая симптоматика. Из анамнеза известно, что в 2002 г. была произведена струмэктомия по поводу опухоли щитовидной железы, в связи с чем принимала L-тироксин. С 2006 г. наблюдалась по поводу макроцефалии. При проведении МРТ головного мозга выявлены объемное образование правой гемисферы мозжечка и окклюзионная гидроцефалия с признаками перивентрикулярного отека (рис. 1). По результатам КТ в сосудистом режиме сделано предположение о наличии артериовенозной мальформации правой гемисферы мозжечка (рис. 2). Для уточнения диагноза проведена церебральная ангиография, в ходе которой диагноз артериовенозной мальформации не подтвердился (рис. 3).
Рис. 1. МРТ в режиме Т2. Гиперплазия правого полушария мозжечка. Окклюзионная гидроцефалия. Рис. 2. СКТ-ангиография. Определяется расширенная окципитальная вена, которая ошибочно была принята за артериовенозную мальформацию. Рис. 3. Правосторонняя вертебральная ангиография. Боковая (а) и прямая (б) проекция. Отмечается некоторое смещение вверх и медиально от начального отрезка правой задней мозговой артерии, смещение за среднюю линию правой задней нижней мозжечковой артерии. Каудальная петля ее опущена в позвоночный канал. Широкое расположение полушарных ветвей правой верхней мозжечковой артерии.
В НИИ нейрохирургии пациентке была выполнена повторная МРТ, подтвердившая ранее выявленную патологию (рис. 4).
![]()
Рис. 4. На МРТ головного мозга в режиме Т2 в аксиальной проекции — «пестрый» рисунок правого полушария мозжечка с увеличением его размеров. IV желудочек смещен влево, сужен. III и боковые желудочки расширены.
При ретроспективном анализе снимков, выполненных в 2006 г. по поводу макроцефалии, в правой гемисфере мозжечка установлено объемное образование небольшого размера, практически не отличающееся от вещества мозжечка (рис. 5).
![]()
Рис. 5. МРТ головного мозга в аксиальной проекции, режим Т2 (2006 г.).
Таким образом, можно было сделать вывод, что значительное увеличение ганглиоцитомы произошло в пубертатный период. По поводу клинических и рентгенологических признаков окклюзионной гидроцефалии с перивентрикулярным отеком больной произведено вентрикулоперитонеальное шунтирование. После разрешения гидроцефалии у пациентки сохранялось опущение миндаликов мозжечка в большое затылочное отверстие (рис. 6, 7), в связи с чем была выполнена декомпрессия краниовертебрального перехода и биопсия образования мозжечка (рис. 8).
Рис. 6. КТ головного мозга после ликворошунтирующей операции. Рис. 7. МРТ после ликворошунтирующей операции. Определяется ганглиоцитома правого полушария мозжечка с вклинением правой миндалины в большое затылочное отверстие, компрессией и смещением прилежащих анатомических структур. Рис. 8. УЗ-изображение ганглиоцитомы при проведении биопсии. Определяется гиперэхогенное образование с нечеткими контурами.
В дальнейшем проведено генетическое и морфологическое исследование, которое подтвердило наличие мутации гена PTEN в хромосоме 10q23.31, что верифицировало болезнь Лермитта—Дюкло и исключило другие синдромы.
При микроскопии ганглиоцитомы выявляется резкое расширение внутреннего зернистого слоя мозжечка, в котором в изобилии содержатся крупные нейроны с пузырьковидными ядрами. Эти нейроны значительно превышают по размерам нормальные клетки, однако они несколько меньше, чем клетки Пуркинье. Нейроны ганглиоцитомы не делятся, однако размеры новообразования могут увеличиваться медленными темпами за счет роста и миелинизации отростков нейронов (рис. 9) [5, 18, 19].
![]()
Рис. 9. Ганглиоцитома — гистологическое исследование. а — скопления атипических гипертрофированных ганглиозных клеток (указаны стрелками). Окраска гематоксилином и эозином, ув. 400; б — иммуногистохимическая экспрессия синаптофизина в цитоплазме и отростках опухолевых клеток, ув. 400; в — низкий ИМ Ki-67: единичные метки в ядрах опухолевых клеток (указана стрелкой), ув. 400.
За время наблюдения у больной отмечался полный регресс мозжечковой атаксии и общемозговой симптоматики. В настоящее время в связи с риском поражения молочных желез и мочеполовой системы, пациентка наблюдается у эндокринолога, генетика, гинеколога и терапевта. Общий период наблюдения составил 5 лет. На протяжении этого времени увеличения объема ганглиоцитомы не отмечено. Больная социально адаптирована.
Выводы
Болезнь Лермитта—Дюкло достаточно редкое заболевание с медленным нарастанием симптомов. Проявляется в основном в период полового созревания или на 3—4-м десятилетии жизни. Возрастной диапазон может варьировать от раннего детства до глубокой старости. Выявление клинической симптоматики и генетический анализ на ранних стадиях заболевания позволяют своевременно провести хирургическое вмешательство для улучшения качества и срока жизни пациента.
При выборе хирургического вмешательства необходимо детально анализировать клинические и нейрорадиологические данные. Отсутствие четкой границы между патологическим образованием и здоровой тканью мозжечка составляет большую техническую проблему для выполнения резекции гамартомы. Данный аспект подтверждается гистопатологическими исследованиями, при которых выявляется отсутствие переходного поля между нормальной и патологической кортикальной тканью [7]. Внешне в отличие от нормальной ткани мозжечка патологическое образование имеет бледный цвет и, как правило, находится не на поверхности мозжечка, а в его глубинных участках [20, 21]. В связи с этим не всегда следует прибегать к радикальным операциям, так как существует высокая вероятность инвалидизации больного.
Комментарий
В комментируемой статье представлен случай успешного лечения редкого, генетически детерминированного заболевания мозжечка — болезни Лермитта—Дюкло. Несмотря на то что впервые эта болезнь была диагностирована в 1920 г., до настоящего времени в литературе описано примерно 220 случаев этого заболевания (которое является, по всей вероятности, дисгенетической мальформацией нейронов мозжечка). Описанный авторами случай привлекает полнотой обследования пациента с использованием комплекса современных нейрорадиологичеких методов, а также генетического анализа, который выявил типичную для этой патологии конституциональную мутацию гена PTEN.
Авторы, применяя такие современные технологии, как нейронавигация, произвели поэтапное хирургическое лечение данной патологии. Первым этапом было проведено вентрикулоперитонеальное шунтирование для разрешения гидроцефалии, а вторым этапом — декомпрессия краниовертебрального перехода с пластикой твердой мозговой оболочки аутоимплантом и биопсия новообразования. Период наблюдения пациентки после операции составил 5 лет. У пациентки наблюдался регресс окклюзионной, мозжечковой, общемозговой симптоматики. Продолженного роста ганглиоцитомы за период наблюдения диагностировано не было. Пациентка социально адаптирована, работоспособна, что является важным фактором, так как развитие заболевания в основном приходится на период полового созревания или на 3—4-м десятилетии жизни. Представленная публикация будет полезна широкому кругу специалистов: нейрохирургам, неврологам, эндокринологам, терапевтам, урологам.
Болезнь Лермитт-Дуклос
Болезнь Лермитт-Дуклос - генетическая патология, приводящая к развитию медленно растущей опухоли мозжечка, которая может появиться в любом возрасте больного. Основными проявлениями заболевания, помимо симптомов поражения мозжечка, являются также гидро- и мегалоцефалия, пороки развития скелета и гиперплазия десен. Диагностика производится на основании изучения головного мозга (КТ, МРТ), неврологических симптомов, а также генетических исследований. Специфического лечения болезни Лермитт-Дуклос не существует, однако своевременно проведенное хирургическое удаление опухоли может значительно продлить жизнь больного.
![Болезнь Лермитт-Дуклос]()
Общие сведения
Причины болезни Лермитт-Дуклос
Непосредственной причиной болезни Лермитт-Дуклос является мутация гена PTEN, расположенного на 10-й хромосоме - он кодирует фермент фосфатазу, субстратом которого могут выступать как белки, так и липиды. Последние содержат фосфаты в инозитольном кольце, которые и отщепляются фосфатазой. При этом блокируется так называемый PI3K/AKT/mTOR-путь передачи информации в клетке, позволяющий, в некоторых случаях, обходить процесс апоптоза. По этой причине PTEN выступает одним из ключевых антионкогенов, а его мутации вызывают заболевания, характеризующиеся развитием опухолей и гамартом в организме. Одной из патологий такого плана является и болезнь Лермитт-Дуклос. Современная генетика знает еще несколько синдромов, связанных с нарушением структуры этого гена, и все они сопровождаются теми или иными новообразованиями, что подтверждает антионкогенную роль PTEN. Мутация, являющаяся причиной заболевания, наследуется по аутосомно-доминантному механизму, возможно также герминальное повреждение гена PTEN, возникающее в половых клетках в процессе их образования. Однако патогенез развития опухоли мозжечка при болезни Лермитт-Дуклос на сегодняшний день остается неизвестным.
Симптомы болезни Лермитт-Дуклос
Проявления заболевания могут возникнуть в любом возрасте, в истории описаны случаи обнаружения симптомов болезни Лермитт-Дуклос как в раннем детстве, так и у пожилых пациентов. Однако наиболее часто характерные признаки ганглиоцитомы мозжечка врачи-неврологи выявляют в подростковом возрасте или же на третьем десятилетии жизни пациента. Косвенными признаками патологии являются врожденные аномалии развития - гидроцефалия, мегалоцефалия, скелетные аномалии кистей (поли- и синдактилия). Возможна скелетная асимметрия лица, появление высыпаний на языке и гиперплазии десен. По мере развития опухоли присоединяются симптомы повышения внутричерепного давления и нарушения циркуляции ликвора - головные боли, усиливающиеся по утрам, тошнота и рвота, обмороки.
При отсутствии лечения к вышеуказанным проявлениям болезни Лермитт-Дуклос присоединяются симптомы поражения мозжечка и черепно-мозговых нервов - мозжечковая атаксия и параличи. Часто наблюдаются нарушения речи (дизартрия), слуха, возникает нистагм, снижение памяти и дезориентация. Больные впоследствии впадают в коматозное состояние и, не приходя в сознание, умирают. При этом возможно и бессимптомное течение болезни Лермитт-Дуклос, которое может проявляться лишь незначительными врожденными пороками развития. Диспластическая ганглиоцитома мозжечка у таких больных выявляется случайно на проведенных по другому поводу МРТ и КТ или же при вскрытии. Некоторые исследователи полагают, что в данном случае идет речь не о бессимптомной, а о медленно прогрессирующей форме болезни Лермитт-Дуклос, и она все равно приведет к характерной клинической картине в будущем.
Диагностика и лечение болезни Лермитт-Дуклос
Диагностика болезни Лермитт-Дуклос производится посредством выявления характерных образований в мозжечке при помощи компьютерной и магнито-резонансной томографии. На КТ головного мозга при этом выявляется объемное гиперденсивное образование с размытыми и нечеткими краями, которое может быть расположено как на поверхности, так и в глубине мозжечка. МРТ головного мозга лучше всего производить с внутривенным контрастированием, поскольку именно такой метод позволит наилучшим образом изучить структуру и сосудистую сеть новообразования. При отсутствии технической возможности проведения данных исследований можно сделать рентгеновскую вентрикулографию - как правило, она показывает уменьшение или смещение четвертого желудочка и водопровода. Однако при незначительном размере ганглиоцитомы таких изменений может и не быть, поэтому вентрикулография не считается основным методом диагностики болезни Лермитт-Дуклос.
Кроме того, по возможности (например, при поверхностном относительно мозжечка расположении опухоли) выполняют биопсию образования с последующим гистологическим изучением. Подобные исследования последних лет выявили, что ганглиоцитома мозжечка при болезни Лермитт-Дуклос представляет собой гамартому. В ее структуре наблюдается расширение молекулярного слоя и заполнение его ганглиозными клетками. Врачи-генетики также производят секвенирование последовательности гена PTEN, которое выявляет наличие или отсутствие в нем мутаций. Исследование наследственного анамнеза тоже может помочь в диагностике болезни Лермитт-Дуклос - при этом стоит обращать внимание на косвенные признаки заболевания, учитывая возможность бессимптомного течения. К ним относятся наличие у ближайших родственников поли- и синдактилии, мегалоцефалии, гиперплазии десен.
Специфического лечения болезни Лермитт-Дуклос на сегодняшний день не существует, но больным нередко производится паллиативное хирургическое вмешательство с целью удаления ганглиоцитомы мозжечка. Это является сложной в техническом плане операцией, так как между нормальными тканями и гамартомой отсутствует четкая граница и переходный слой. Кроме того, в некоторых случаях опухоль может располагаться в глубине мозжечка, что делает ее недоступной для полного удаления. Однако даже частичная резекция ганглиоцитомы может значительно облегчить состояние больного и продлить время его жизни на несколько лет. Другие методы борьбы с опухолями (например, радиационная терапия) при болезни Лермитт-Дуклос чаще всего оказываются неэффективными.
Прогноз и профилактика болезни Лермитт-Дуклос
Прогноз при болезни Лермитт-Дуклос чаще всего неопределенный, так как зависит от ряда обстоятельств - выраженности сопутствующих пороков развития, скорости прогрессирования ганглиоцитомы, ее расположения в мозжечке. Все эти факторы очень вариабельны, что и приводит к таким различиям в клинической картине и длительности заболевания - от бессимптомного течения до летального исхода в детском возрасте. Полное удаление опухоли мозжечка при болезни Лермитт-Дуклос, особенно если операция была проведена в 30-40 лет, часто имеет благоприятные перспективы - новое образование попросту не успевает развиваться снова до конца жизни. В тех случаях, когда полноценная операция технически невозможна, частичная резекция может продлить жизнь больного.
Кафедра оториноларингологии Российской медицинской академии последипломного образования, Москва
Рентгенодиагностическое отделение ЦКБ гражданской авиации
Кафедра оториноларингологии учебно-научного медицинского центра Управления делами Президента России, Москва
Кафедра оториноларингологии РМАПО
МРТ в предоперационном обследовании и послеоперационном контроле при хроническом среднем отите с холестеатомой
Журнал: Вестник оториноларингологии. 2012;77(5): 14‑19
Косяков С.Я., Лазебный В.В., Коршок В.В., Пчеленок Е.В. МРТ в предоперационном обследовании и послеоперационном контроле при хроническом среднем отите с холестеатомой. Вестник оториноларингологии. 2012;77(5):14‑19.
Kosiakov SIa, Lazebnyĭ VV, Korshok VV, Pchelenok EV. The role of MRI in the preoperative examination and postoperative follow up of the patients presenting with a combination of chronic otitis media and cholesteatoma. Vestnik Oto-Rino-Laringologii. 2012;77(5):14‑19. (In Russ.).Цель работы - изучить возможности определенных режимов МРТ в диагностике холестеатомы, а также определить критерии предлагаемых протоколов. Исследование проводилось в стандартных режимах Т1, Т2, а также в режиме non-EPI DWI. Нами были обследованы пациенты как с первичной холестеатомой, так и с резидуальной и рецидивирующей холестеатомой. Основной алгоритм радиологической диагностики холестеатомы заключался в следующем: низкоинтенсивный сигнал в режиме Т1, сигнал высокой интенсивности в режимах Т2 и non-EPI DWI. В статье представлены 3 клинических наблюдения. Всем пациентам была выполнена МРТ в режимах Т1, Т2 и non-EPI DWI. У 2 пациентов было подтверждено наличие холестеатомы и верифицирован данный факт на операции, а в одном из примеров данный метод позволил исключить наличие холестеатомы.
Холестеатома — это скопление кератина в матриксе чешуйчатого эпителия в полости среднего уха. Только в 2% случаев холестеатома может быть врожденной. В остальных же случаях это приобретенное заболевание, развивающееся на фоне хронического среднего отита в результате ретракции барабанной перепонки [1].
Холестеатома разрушает структуры среднего уха, нарушает такие функции последнего, как слух, равновесие, функцию лицевого нерва и вызывает осложнения.
Осложнения холестеатомы связаны с костной деструкцией в полости среднего уха, что обусловлено механическим давлением и активностью медиаторов воспаления, которые стимулируют остеокласты. Костная деструкция приводит к разрушению цепи слуховых косточек, развитию лабиринтных фистул, эрозиям канала лицевого нерва с развитием пареза и, наконец, к тяжелым внутричерепным осложнениям.
Лечение холестеатомы всегда только хирургическое. Хирургические подходы могут быть различными и включать операции с сохранением задней стенки наружного слухового прохода и ее удалением, с реконструкцией цепи слуховых косточек и стенок паратимпанальных пространств [2]. Закрытые типы операций длительное время применяли с большой осторожностью по причине высокого процента развития как резидуальных заболеваний, так и рецидива холестеатомы. В связи с этим «золотой стандарт» лечения включал обязательную ревизию через год после операции. Например, по данным клиники в Антверпене, повторные оперативные вмешательства у взрослых составляют 57%, из которых только в 7,2% случаев обнаружена резидуальная холестеатома, а в остальных случаях (92,8%) проводились необоснованные оперативные вмешательства [3].
В настоящее время для предоперационного обследования больных широко используется компьютерная томография (КТ) височных костей. Данный метод позволяет определить состояние слуховых косточек, сосцевидного отростка, надбарабанного пространства, стенок барабанной полости, состояние окон лабиринта и внутреннего уха [4]. Однако специфичность КТ в диагностике холестеатомы низка. В связи с этим КТ можно рассматривать только как «дорожную карту» для оценки состояния различных структур среднего уха (сохранены, повреждены, разрушены). Это дает возможность ориентироваться в наличии анатомических структур, определить костную деструкцию, но ни в коем случае не определить, за счет чего произошла деструкция. На КТ невозможно дифференцировать холестеатому, грануляционную, рубцовую ткань и опухоль. Исследования последних 15 лет это подтверждают [5]. Для послеоперационного контроля КТ имеет еще меньшее значение, так как вследствие низкой специфичности не позволяет дифференцировать послеоперационные рубцовые изменения от экссудата или резидуальной холестеатомы. КТ наиболее значима при определении аэрации среднего уха и сосцевидного отростка, но значимость ее снижается при наличии мягкотканных образований [6].
В течение последних нескольких лет было опубликовано несколько работ [5, 7—10] о диагностике холестеатомы с применением магнитно-резонансной томографии (МРТ) в различных режимах (Т1, Т2, EPI DWI и non-EPI DWI). Эти работы были опубликованы в основном врачами-радиологами в соавторстве с оториноларингологами и носят специфический характер, так как информация в них излагается с позиций рентгенологов с указанием массы технических характеристик оборудования и протоколов обследования.
Цель нашей работы — изучить возможности определенных режимов МРТ в диагностике первичной холестеатомы различных размеров в диагностически сложных случаях, резидуальной холестеатомы у пациентов, подвергнутых множественным оперативным вмешательствам. В конечном счете, предполагается популяризировать данный метод и сделать его доступным для лечебной практики.
Методика исследования
Все пациенты были обследованы на МР-томографе Signa HD GE («Helthcare», США) с напряженностью магнитного поля 1,5 Тесла. Обследование выполнялось без контрастирования в импульсных последовательностях:
— Т1 во фронтальной плоскости с подавлением сигнала от жировой ткани с толщиной среза 3 мм;
— Т2 во фронтальной и сагиттальной плоскостях с толщиной среза 3 мм;
— non-EPI DWI в аксиальной плоскости с толщиной среза 2 мм.
При наличии холестеатомы характерны следующие МРТ-признаки:
1. Сигнал низкой интенсивности в режиме Т1.
2. Гиперинтенсивный сигнал или сигнал средней интенсивности в режиме Т2.
3. Сигнал высокой интенсивности в режиме non-EPI DWI.
При наличии воспаления и грануляционной ткани выявляются следующие МРТ-признаки:
1. Сигнал низкой интенсивности в неконтрастном режиме Т1.
2. Cигнал высокой интенсивности в режиме T2.
3. Сигнал низкой интенсивности в режиме non-EPI DWI.
Для холестерол-гранулемы характерны следующие МРТ-признаки:
1. Сигнал высокой интенсивности в режиме Т1.
2. Сигнал высокой интенсивности в режиме Т2.
Основная проблема закрытых методов хирургии уха заключается в необходимости длительного наблюдения. Развитие резидуальной холестеатомы после первичной операции до момента клинических проявлений, как правило, занимает около 12—18 мес [7]. Учитывая огромные пространства нашей страны, повторная ревизия для иногороднего пациента часто представляет финансовую нагрузку. В то же время с широким распространением диагностического оборудования и, в частности, магнитно-резонансных томографов, появляется возможность, применив описанный метод, контролировать состояние заболевания, не прибегая к повторному хирургическому вмешательству.
Идеальным методом скрининга на сегодняшний день является применение МРТ в режиме non-EPI DWI. Преимуществом является отсутствие необходимости применения дорогого контраста (например, гадолиниума) и связанного с его применением возможного нефротоксического действия, сокращение времени обследования на 45 мин (ожидание поздней фазы контрастирования). Обследование только в режиме non-EPI занимает всего 3—6 мин [8].
Существует два диагностических исключения, которые могут маскироваться под наличие холестеатомы и демонстрировать те же закономерности. Это абсцесс (как правило, имеющий клинические признаки) и скопление серы в наружном слуховом проходе.
Метод МРТ обеспечивает высокую безопасность при хирургических вмешательствах, использующих облитерацию паратимпанальных пространств, что дает возможность контроля резидуального заболевания и позволяет диагностировать рецидивы холестеатомы. Проведение МРТ-исследования в режиме non-EPI DWI через 1 год и 5 лет позволяет, в зависимости от результата, планировать хирургическое вмешательство [10, 12].
Послеоперационный контроль заключается в тщательной отоскопии и наблюдении в течение 10 лет, при подозрении на рецидив холестеатомы необходимо проводить МРТ-исследование (в том числе в режиме non-EPI DWI).
Под нашим наблюдением находились 30 пациентов с подозрением на первичную холестеатому (где клиническая картина не была однозначна) и пациенты со сложностями в диагностике, ранее подвергнутые оперативным вмешательствам. Всем пациентам была проведена МРТ основания черепа в стандартных режимах (во фронтальной проекции) и режиме non-EPI DWI (в аксиальной проекции), без контрастного усиления.
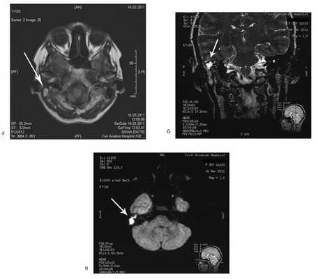
Больная Ф., 30 лет, обратилась с жалобами на головокружение, снижение слуха на правое ухо, слизистое отделяемое из правого уха. Болеет в течение 6 лет, лечилась консервативно. При отомикроскопии визуализируется перфорация в верхнем отделе барабанной перепонки.
![]()
Пациентке была выполнена МРТ основания черепа по описанной методике (рис. 1). Рисунок 1. МРТ основания черепа больной Ф. с хроническим правосторонним гнойным средним отитом. Фистула лабиринта. Холестеатома. а — исследование в режиме Т1; б — в режиме Т2; в — в режиме non-EPI DWI.
В режиме Т1 справа определяется образование с низкой интенсивностью сигнала, а в режиме Т2 и non-EPI DWI — образование с гиперинтенсивным сигналом. Диагноз: хронический правосторонний гнойный средний отит; холестеатома; фистула лабиринта. Пациентка была подвергнута санирующей операции на правом ухе с тимпанопластикой и облитерацией паратимпанальных пространств. Были выявлены холестеатома, заполняющая аттик, адитус, антрум, деструкция цепи слуховых косточек, фистула латерального полукружного канала. Послеоперационный период протекал без особенностей, на 15-е сутки была удалена гемостатическая губка и силиконовая выстилка. При контрольном осмотре ухо сухое, отмечает улучшение слуха, головокружения нет. Через 12 мес проведено повторное МРТ-исследование. Признаков холестеатомы не обнаружено. Получен хороший функциональный результат — ухо толерантно к воде, самоочищается.
Больная У., 25 лет, обратилась с жалобами на снижение слуха на правое ухо, периодические выделения из правого уха. 18 лет назад была выполнена радикальная операция по поводу острого мастоидита, острого гнойного среднего отита справа. После операции развился парез лицевого нерва. В связи с продолжающимися обострениями через 8 лет была выполнена повторная операция с тимпанопластикой и мастоидопластикой. Частота обострений снизилась, но периодические выделения из уха продолжались. При отомикроскопии визуализируется неомембрана на задней стенке наружного слухового прохода с отверстием 2×4 мм, которое ведет в мастоидальную полость. Дно и стенки полости необозримы.
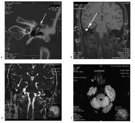
![]()
На КТ височных костей справа послеоперационная полость, заполненная мягкотканным образованием, определяется большой костный дефект в направлении сигмовидного синуса и мозжечка (рис. 2, а). Рисунок 2. КТ и МРТ височных костей больной У. с хроническим правосторонним средним отитом. Состояние после радикальной операции (1993 г.), санирующей операции с мастоидопластикой и тимпанопластикой (2003 г.). Холестеатома. Парез лицевого нерва. а — КТ; б — МРТ основания черепа в режиме Т1; в — в режиме Т2; г — в режиме non-EPI DWI.
Больной была выполнена МРТ (рис. 2, б—г).
В режимах Т2 и non-EPI DWI определяется сигнал высокой интенсивности, в режиме Т1 — низкоинтенсивный сигнал. Это может свидетельствовать о наличии холестеатомы мастоидальной полости и пирамиды височной кости. Диагноз: хронический правосторонний средний отит; состояние после радикальной операции в 1993 г. и санирующей операции с мастоидопластикой и тимпанопластикой в 2003 г.; холестеатома; парез лицевого нерва.
Больной произведена санирующая реоперация, в ходе которой удалена холестеатома больших размеров, заполняющая отшнурованную послеоперационную полость. Эта полость распространялась до верхушки сосцевидного отростка, граничила с твердой мозговой оболочкой и достигала верхушки пирамиды височной кости. Полость облитерирована. В послеоперационном периоде получен хороший функциональный результат. Ухо толерантно к воде, не было обострений, гноетечения, головокружений. Сохранилась кондуктивная тугоухость I степени. МРТ через 9 мес подтвердила отсутствие холестеатомы.
Больной А., 44 лет, обратился с жалобами на периодические (2 раза в год) гноетечения из правого уха. Ранее пациенту неоднократно предлагалось оперативное вмешательство.
При отомикроскопии определяется утолщение барабанной перепонки, перфорация не визуализируется, признаков холестеатомы нет.
![]()
На КТ правой височной кости определяется затемнение в области аттика и антрума, цепь слуховых косточек сохранена (рис. 3, а). Рисунок 3. КТ и МРТ височных костей больного А. с адгезивным средним отитом справа, фиброзной облитерацией аттика. а — КТ; б — МРТ основания черепа в режиме Т1; в — в режиме Т2; г — в режиме non-EPI DWI.
Пациенту выполнена МРТ основания черепа по описанной методике (рис. 3, б—г).
В режиме Т1 и Т2 справа определяется очаг с высокой интенсивностью сигнала, тогда как в режиме non-EPI DWI патологических образований не выявлено. Диагноз: адгезивный средний отит справа, фиброзная облитерация аттика.
В связи с отсутствием данных о холестеатоме операция не производилась, выявленные изменения расценены как фиброзные изменения, оторея была обусловлена периодическим возникновением наружного отита. Больной получал консервативное лечение.
Результаты и обсуждение
Приведенные примеры характеризуют диагностически сложные ситуации, когда пациент перенес, например, несколько обострений, не было четко обозримой перфорации, когда можно было только заподозрить развитие холестеатомы, учитывая данные анамнеза, и, напротив, несколько перенесенных операций затрудняли дифференцирование холестеатомы от послеоперационных изменений.
Проведение пациентам КТ позволило определить мягкотканные образования, но они могли быть обусловлены грануляциями, полипами, рубцовой тканью, мозговой грыжей, а также холестеатомой. Предложенные нами клинические примеры можно разделить на 2 группы. 1-ю группу составили пациенты с хроническим гнойным средним отитом, где была заподозрена первичная холестеатома. Диагностическая сложность состояла в отсутствии явных клинических признаков, наличии косвенных признаков холестеатомы на КТ. 2-ю группу составили пациенты, которые были подвергнуты неоднократным оперативным вмешательствам, однако полного выздоровления не было достигнуто и было подозрение на развитие резидуальной холестеатомы в отшнурованных областях. Для определения наличия и точной локализации распространения резидуальной холестеатомы КТ не могла дать нам достоверной информации, потому что все патологические изменения выглядели абсолютно одинаково. Кроме того, у этих больных периодически возникали обострения, а это само по себе может давать затемнение на КТ. Поэтому нами было принято решение выполнить МРТ основания черепа. Это позволило в большинстве случаев с высокой степенью достоверности подтвердить наличие холестеатомы и верифицировать данный факт на операции, а в одном из примеров отвергнуть ее наличие.
В исследовании, проведенном P. Aikele и соавт. [9], была проведена оценка эффективности МРТ-исследования у пациентов, ранее оперированных по поводу холестеатомы. Из 17 пациентов у 13 холестеатома была выявлена на МРТ и верифицирована при повторном оперативном вмешательстве. Наименьший размер диагностированной холестеатомы составил 5 мм.
Согласно исследованиям B. De Foer и соавт. [10], режим non-EPI DWI позволяет определять холестеатому размером до 2 мм. По данным авторов, повторные оперативные вмешательства в послеоперационном контроле проводились в 62% случаев. С использованием новой методики этот процент снизился до 10%.
У нас в стране пока данный метод не получил широкого распространения, но результаты даже предварительных исследований показали, что МРТ — достоверный метод диагностики холестеатомы, но требуются дальнейшие исследования по определению его чувствительности и специфичности.
Заключение
Метод МРТ, особенно в режиме non-EPI DWI, эффективен в диагностически сложных случаях — при отсутствии явных клинических признаков холестеатомы, но существующем подозрении на нее. Метод также эффективен для диагностики резидуальной холестеатомы и рецидива и может применяться в качестве контроля у пациентов, ранее оперированных по поводу холестеатомы, не прибегая к повторным ревизиям.
Использование метода МРТ изменяет взгляд за закрытые типы операций, снимая последний сдерживающий фактор — трудность контроля. МРТ позволяет диагностировать рецидив холестеатомы и резидуальное заболевание и является абсолютно экономически эффективным методом [11].
Читайте также:
- Чем чистить замшевую обувь? Уход за обувью из замши
- Подтверждение или исключение гепатита А и гепатита В у детей
- Рентген органов грудной клетки в задне-передней проекции: укладка, коллимация
- Роль супероксиддисмутазы при отравлении кислородом. Образование антиокислительных ферментов
- Волосковые клетки лабиринта. Перепончатые полукружные каналы лабиринта






