Диагностика энцефалита Западного Нила по МРТ
Добавил пользователь Евгений Кузнецов Обновлено: 28.01.2026
Энцефалит — это воспаление паренхимы головного мозга, возникающее в результате прямой вирусной инвазии или как постинфекционное иммунологическое осложнение, вызванное реакцией гиперчувствительности на вирус или другой чужеродный белок. К симптомам относятся лихорадка, головная боль и психические нарушения, как правило, в сочетании с судорожными приступами или очаговой неврологической симптоматикой. Для диагностики необходимо проведение анализа спинномозговой жидкости и нейровизуализации. Лечение включает назначение по показаниям противовирусных препаратов (например, при энцефалите, ассоциированном с вирусом простого герпеса), а в остальных случаях поддерживающее.
Этиология энцефалита
Первичная вирусная инфекция
Вирусы, вызывающие первичные энцефалиты, поражают непосредственно вещество головного мозга. Эти инфекции подразделяются на:
Спорадические (например, из-за цитомегаловируса Цитомегаловирусная инфекция (ЦМВ) Цитомегаловирус (ЦМВ, вирус герпеса человека 5 типа) может вызывать инфекции широкого диапазона тяжести. Синдром, инфекционного мононуклеоза без тяжелого фарингита, - распространенное явление. Прочитайте дополнительные сведения или простого герпеса Инфицирование вирусом простого герпеса (ВПГ) Вирусы простого герпеса (герпесвирусы человека типы 1 и 2) обычно вызывают рецидивирующую инфекцию, поражающую кожу, рот, губы, глаза и гениталии. Распространенные тяжелые инфекции включают. Прочитайте дополнительные сведения , лимфоцитарного хореоменингита Лимфоцитарный хориоменингит Лимфоцитарный хориоменингит вызывается аренавирусом. Он обычно вызывает заболевание, похожее на грипп или асептический менингит, иногда с сыпью, артритом, орхитом, паротитом или энцефалитом. Прочитайте дополнительные сведения , бешенства Бешенство Бешенство - это заболевание вирусной этиологии, сопровождающееся развитием энцефалита и возникающее при передаче вируса со слюной при укусе зараженными летучими мышами и некоторыми другими млекопитающими. Прочитайте дополнительные сведения или вируса эпидемического паротита Эпидемический паротит (свинка) Свинка - острое системное вирусное заболевание, которое обычно вызывает болезненное увеличение слюнных желез, как правило, околоушных. Осложнения могут включать орхит, менингоэнцефалит и панкреатит. Прочитайте дополнительные сведенияПередаваемые комарами арбовирусные энцефалиты поражают людей весной, летом и ранней осенью при теплой погоде (см. Некоторые виды арбовирусных энцефалитов [Some Arboviral Encephalitides] Некоторые виды арбовирусных энцефалитов ). Заболеваемость в США варьирует от 150 до > 4000 случаев в год, преимущественно у детей. Большинство случаев заболевания регистрируется во время эпидемий.
В США наиболее распространен спорадический энцефалит, обусловленный вирусом простого герпеса Инфицирование вирусом простого герпеса (ВПГ) Вирусы простого герпеса (герпесвирусы человека типы 1 и 2) обычно вызывают рецидивирующую инфекцию, поражающую кожу, рот, губы, глаза и гениталии. Распространенные тяжелые инфекции включают. Прочитайте дополнительные сведения 40 лет, а при отсутствии лечения, как правило, приводят к смертельному исходу.
Энцефалиты могут также развиваться и как запоздалая реактивация латентной или субклинической вирусной инфекции. Самыми известными типами являются
Прогрессирующая мультифокальная лейкоэнцефалопатия Прогрессирующая многоочаговая лейкоэнцефалопатия (ПМЛ) Прогрессирующая мультифокальная лейкоэнцефалопатия (ПМЛ) развивается вследствие реактивации JC-вируса. Как правило, это заболевание развивается на фоне ослабленного клеточного иммунитета, в. Прочитайте дополнительные сведенияГерпес простого типа 1 и опоясывающий герпес энцефалит
Иммунологические реакции
Энцефалит может развиваться как вторичное иммунологическое осложнение определенных вирусных инфекций или вакцинаций. Воспалительная демиелинизация в головном и спинном мозге может развиваться спустя 1-3 недель (в качестве острого диссеминированного энцефаломиелита); иммунная система поражает один или более антигенов в центральной нервной системе (ЦНС), похожих по своей структуре на белки инфекционного агента. Наиболее частой причиной этого осложнения являются корь, краснуха, ветряная оспа и эпидемический паротит (все они в настоящее время встречаются не так уж часто в связи с широким распространением вакцинации детей), вакцинации против натуральной оспы и живыми вакцинами (например, при применении антирабической вакцины старого образца, которая изготавливалась из головного мозга овец или коз). В настоящее время в США большинство случаев такого энцефалита развивается вследствие инфекций, вызванных вирусами гриппа грипп Грипп - вирусная инфекция, вызывающая лихорадку, острый ринит, кашель, головную боль и недомогание. Летальные исходы возможны во время сезонных эпидемий, особенно среди пациентов группы риска. Прочитайте дополнительные сведения типа А или В, энтеровирусами Обзор инфекций, вызванных энтеровирусами (Overview of Enterovirus Infections) Энтеровирусы наряду с риновирусами (см. Простуда) и парэкховирусами человека являются вирусами из рода пикорнавирусов (pico- или маленькие РНК-вирусы). Все энтеровирусы генетически гетерогенны. Прочитайте дополнительные сведения , вирусом Эпштейна-Барр Инфекционный мононуклеоз Инфекционный мононуклеоз вызывается вирусом Эпштейна - Барр (ЭБВ, герпесвирус человека тип 4), проявлениями заболевания является общая слабость, лихорадка, фарингит и увеличение лимфатических. Прочитайте дополнительные сведения . Иммунологически опосредованный энцефалит также встречается у пациентов с раком и другими аутоиммунными нарушениями.
Энцефалопатии, вызванные образованием аутоантител к нейронным мембранным белкам (например, к рецепторам Nметил d -аспартата [NMDAR]), могут имитировать вирусный энцефалит. Исследования показывают, что анти-NMDA-рецепторный энцефалит встречается чаще, чем вирусные энцефалиты. Он был впервые описан у молодых женщин с тератомой яичников, но может встречаться у обоих полов и в любом возрасте. Анти-NMDA-рецепторный энцефалит также возникает как постинфекционное осложнение энцефалита, вызванного ВПГ, приводя к клиническому ухудшению в течение нескольких недель после инфекции ВПГ.
Патофизиология энцефалита
В пораженных инфекцией участках в веществе обоих полушарий большого мозга, а также в стволе головного мозга, мозжечке и иногда в спинном мозге развивается острый энцефалит (миелит) с воспалительной реакцией и отеком. При тяжелом течение инфекции могут наблюдаться петехиальные кровоизлияния. Прямое патогенное действие вируса обусловливает повреждение нейронов, иногда сопровождающееся образованием внутриклеточных включений, видимых в микроскоп. Тяжелый инфекционный процесс, в частности (ВПГ)-энцефалит без соответствующего лечения может приводить к геморрагическому некрозу вещества головного мозга.
Острый диссеминированный энцефаломиелит характеризуется множественными очагами перивенозной демиелинизации и отсутствием вируса в веществе головного мозга.
Симптомы и признаки энцефалита
Симптомы энцефалитов включают лихорадку, головную боль и психические изменения, часто сопровождающиеся судорожными приступами и очаговой неврологической симптоматикой. Этому может предшествовать продромальный период с клиническими проявлениями со стороны желудочно-кишечной и дыхательной систем. Менингеальный синдром, как правило, выражен незначительно на фоне других клинических проявлений.
Приступы нарушения обоняния, проявляющиеся как аура неприятных запахов (тухлых яиц, горелого мяса), указывают на вовлечение височной доли и предполагают герпетический энцефалит.
Диагностика энцефалита
Исследование спинномозговой жидкости (СМЖ)
Энцефалит следует подозревать у пациентов с необъяснимыми психическими изменениями. Особенности клинической манифестации и дифференциально-диагностический процесс могут обусловливать проведение целого ряда определенных исследований, однако в любом случае необходимо выполнение МРТ головного мозга и люмбальной пункции (включая исследование методом полимеразной цепной реакции (ПЦР) спинномозговой жидкости на ВПГ и другие вирусы). Как правило, данные процедуры для определения вируса, являющегося возбудителем заболевания выполняются совместно с другими тестами (например, серологические тесты). Несмотря на детальное обследование, во многих случаях причина энцефалита остается невыясненной.
Цитомегаловирусный энцефалит должен рассматриваться у пациентов с ВИЧ/СПИДом или другими иммунодефицитными состояниями и может быть диагностирован с помощью ПЦР.
Контрастная МРТ является чувствительным методом для выявления энцефалита, вызываемого ВПГ, на ранней стадии; при исследовании выявляется отек в орбитофронтальной и височной областях, которые наиболее часто поражаются ВПГ. При прогрессирующей мультифокальной лейкоэнцефалопатии МРТ-исследование позволяет выявить признаки демиелинизации, а при энцефалите Западного Нила и восточном лошадином энцефалите - изменения со стороны базальных ядер и таламуса. МРТ позволяет также исключить поражения, схожие с вирусным энцефалитом (например, абсцесс головного мозга Абсцесс головного мозга Абсцесс головного мозга представляет собой локальное скопление гноя в веществе мозга. Клиническая картина может включать в себя головную боль, вялость, лихорадку и очаговую неврологическую симптоматику. Прочитайте дополнительные сведенияДля диагностики ВПГ-энцефалита КТ является менее чувствительным методом по сравнению с МРТ, но также может оказаться полезным ввиду своей большей доступности и возможности исключить состояния, которые могут сделать проведение люмбальной пункции рискованным (например, объемные образования, гидроцефалия, отек головного мозга).
Исследование СМЖ
Выполняется люмбальная пункция Люмбальная пункция (поясничный прокол) Люмбальную пункцию используют для следующих целей: Оценка внутричерепного давления и состава цереброспинальной жидкости (ЦСЖ) (см. таблицу Аномалии состава спинномозговой жидкости при различных. Прочитайте дополнительные сведения (поясничный прокол). ЦСЖ при энцефалите характеризуется лимфоцитарным плеоцитозом, неизмененным уровнем глюкозы, несколько повышенным содержанием белка и отсутствием микроорганизмов, обнаруживаемых окрашиванием по Граму и культивировании (аналогичные результаты наблюдаются для ЦСЖ при асептическом менингите). При тяжелых инфекциях плеоцитоз может быть полиморфонуклеарным. В первые 8-24 часов после появления симптоматики в ликворе могут отсутствовать какие-либо изменения. При геморрагическом некрозе в ликворе будут наблюдаться эритроциты и повышенный уровень белка. В случае если энцефалит вызван вирусом опоясывающего герпеса, эпидемического паротита или лимфоцитарного хориоменингита, содержание глюкозы в ликворе может быть понижено.
Проведение культурального исследования возможно для энтеровирусов, но не для большинства других вирусов. По этой причине этот вид исследования ЦСЖ был заменен на ПЦР и с диагностической целью проводится редко.
Определение в ЦСЖ титра антител класса IgM к вирусу полезно для диагностики острого периода инфекции, особенно при энцефалите Западного Нила, при котором результаты этого исследования даже более надежные, чем ПЦР. Определение титров IgG и IgM в СМЖ может быть более чувствительным методом, чем ПЦР при энцефалите, вызванном реактивацией инфекции вируса ветряной оспы. Серологическое исследование ЦСЖ и крови в остром периоде и в динамике при выздоровлении должно разделяться несколькими неделями; при этом может определяться повышение титра специфических антител против вирусного агента.
Энцефалит
Энцефалит — это воспаление вещества головного мозга. Различают первичные (клещевой, японский комариный, энцефалит Экономо) и вторичные (коревой, гриппозный, поствакцинальный) энцефалиты. В случае энцефалита любой этиологии необходима комплексная терапия. Как правило, она включает этиотропное лечение (противовирусное, антибактериальное, противоаллергическое), дегидратацию, инфузионную терапию, противовоспалительное лечение, сосудистую и нейропротекторную терапию, симптоматическое лечение. Перенесшие энцефалит пациенты также нуждаются в восстановительном лечении.
МКБ-10
Общие сведения
Термином «энцефалит» обозначают инфекционные, аллергические, инфекционно-аллергические и токсические поражения головного мозга. Группа заболеваний очень многочисленна, столь же разнообразны эпидемиологические данные и этиопатогенетические особенности энцефалитов. Одни из них обладают сезонной и климато-географической специфичностью, другие распространены повсеместно и не зависят от времени года. Изучением энцефалитов занимается инфекциология и клиническая неврология.
Классификация
Классификация энцефалитов отражает этиологические факторы, связанные с ними клинические проявления и особенности течения.
1. По этиологии и срокам возникновения различают:
- первичные энцефалиты (вирусные, микробные и риккетсиозные)
- вторичные энцефалиты (постэкзантемные, поствакцинальные, бактериальные и паразитарные, демиелинизирующие).
2. По типу развития и течению заболевания:
- сверхострый;
- острый;
- подострый;
- хронический;
- рецидивирующий.
3. По локализации поражения:
- корковый;
- подкорковый;
- стволовый;
- с поражением мозжечка.
4. По распространенности:
- лейкоэнцефалит (с поражением белого вещества);
- полиэнцефалит (с поражением серого вещества);
- панэнцефалит.
5. По морфологическим признакам:
6. По тяжести течения заболевания выделяют энцефалит:
- средней тяжести;
- тяжелый;
- крайне тяжелый.
7. В зависимости от преимущественной локализации энцефалиты разделяют на:
- стволовые;
- мозжечковые;
- мезэнцефальные;
- диэнцефальные.
Первичные энцефалиты
Клещевой энцефалит (весенне-летний)
Заболевание вызывает фильтрующий нейротропный вирус клещевого энцефалита. Переносчики вируса и его резервуар в природе — иксодовые клещи. Попадая в организм человека через укус клеща либо алиментарно (употребление в пищу сырого молока зараженных коров и коз), вирус проникает в нервную систему гематогенно. Длительность инкубационного периода заболевания, развившегося в результате укуса клеща составляет от 1 до 30 дней (в некоторых случаях до 60 дней), в случае алиментарного заражения — от 4 дней до 1 недели. При микроскопии мозга и оболочек обнаруживают их гиперемию, инфильтраты из поли- и мононуклеарных клеток, мезодермальную и глиозную реакции. Локализация воспалительных и дегенеративных изменений нейронов приходится преимущественно на ядра продолговатого мозга, передние рога шейных сегментов спинного мозга, мост мозга, кору большого мозга.
Для клинической картины всех форм клещевого энцефалита типичен острый дебют, проявляющийся в виде повышения температуры тела до 39-40 градусов, ломящих болей в пояснице, икрах. Уже в первые дни заболевания отмечаются ярко выраженные общемозговые симптомы (рвота, головная боль), нарушение сознания, в некоторых случаях наблюдались психические расстройства (бред, слуховые и звуковые галлюцинации, депрессия). Выделяют несколько клинических форм клещевого энцефалита, их различие заключается в преобладании и выраженности тех или иных неврологических симптомов.:
- полиомиелитическая;
- менингеальная;
- энцефалитическая;
- лихорадочная;
- полирадикулоневритическая;
- двухволновой вирусный менингоэнцефалит.
В диагностировании клещевого энцефалита большое значение имеют данные анамнеза (пребывание в эндемическом очаге, укус клеща, профессия пациента, употребление козьего молока или сыра). Отметим, что только 0,5-5,0 % всех клещей являются носителями вирусов, поэтому не каждое заболевание, возникшее после укуса клеща, — энцефалит. Верификация диагноза «клещевой энцефалит» проводят с помощью реакций связывания комплемента, нейтрализации и торможения гемагглютинации. Определенное диагностическое значение имеет выделение вируса в крови и ликворе; в крови определяется увеличение СОЭ, лейкоцитоз, а при исследовании ликвора — лимфоцитарный плеоцитоз и увеличение белка до 1 г/л. Клещевой энцефалит необходимо дифференцировать от сыпного тифа, различных форм серозного менингита, острого полиомиелита.
Японский комариный энцефалит
Заболевание вызывается нейротропным вирусом, переносчиками которого являются комары, способные к трансовариальной передаче вируса. Инкубационный период продолжается от 5 до 14 дней. Японский комариный энцефалит дебютирует внезапно, с резкого повышения температуры тела (до 39-40 градусов), рвоты, интенсивной головной боли. Кроме того, для клинической картины японского комариного энцефалита типична значительная выраженность общих инфекционных симптомов (тахикардия, брадикардия, гиперемия лица, герпетические высыпания, сухость языка).
Выделяют несколько форм японского комариного энцефалита, которые различаются преобладанием того или иного синдрома:
- менингеальная;
- судорожная;
- бульбарная;
- гемипаретическая;
- гиперкинетическая;
- летаргическая.
Течение заболевания, как правило, тяжелое. В течение первых 3-5 суток происходит нарастание симптомов, высокая температура тела сохраняется на протяжении 10-14 дней и снижается литически. Летальный исход чаще всего (до 70% случаев) наблюдается именно в первую неделю заболевания. Наступление смерти возможно и в более поздние сроки заболевания, как результат присоединившихся осложнений (например, отек легких). Большое значение для диагностики японского комариного энцефалита имеют сезонность заболевания и эпидемиологические данные. Верификацию диагноза проводят с помощью реакций связывания комплемента и нейтрализации, антитела определяются уже на второй неделе заболевания.
Эпидемический летаргический энцефалит Экономо (энцефалит А)
Заболевание малоконтагиозно, в настоящее время в типичной форме не встречается. Возбудитель эпидемического энцефалита Экономо по сей день не обнаружен. Клинически и патоморфологически заболевание можно разделить на две стадии — острую, имеющую воспалительный характер, и хроническую, для которой типично прогрессивно-дегенеративное течение.
Классическая форма эпидемического летаргического энцефалита в острой стадии дебютирует с подъема температуры тела до 39 градусов, умеренных головных болей, рвоты, чувства общей слабости. Лихорадка длится около двух недель. В это время появляются неврологические симптомы: патологическая сонливость (реже — другие нарушения сна), поражение ядер глазодвигательных нервов (иногда птоз). Экстрапирамидные симптомы, типичные для хронической стадии эпидемического энцефалита Экономо, нередко наблюдаются и на острой стадии заболевания. Они могут проявляться в виде гиперкинезов (атетоз, судорога взора, хореоатетоз) и акинетико-ригидного синдрома (амимия, акинез, ригидность мышц).
В некоторых случаях острая стадия эпидемического энцефалита Экономо может сопровождаться выраженными психогенными расстройствами (зрительные и/или слуховые галлюцинации, изменение восприятия окраски и формы окружающих предметов). На острой стадии заболевания в ликворе у большинства больных выявляют плеоцитоз (по большей части лимфоцитарный), небольшое повышение уровня глюкозы и белка; в крови — повышенный уровень лимфоцитов, эозинофилов. Острая стадия эпидемического энцефалита Экономо может длиться от 3-4 дней до 4 месяцев, после которых возможно полное выздоровление. В 40-50% случаев острая стадия переходит в хроническую с сохранением остаточных симптомов (упорная бессонница, депрессия, легкий птоз, недостаточность конвергенции).
Основным клиническим проявлением хронической стадии эпидемического энцефалита Экономо является синдром паркинсонизма, наряду с которым могут развиваться и эндокринные расстройства (инфантилизм, несахарный диабет, нарушения менструального цикла, кахексия, ожирение).
Диагностика эпидемического энцефалита в острой стадии довольно затруднительна. В этот период диагностирование может основываться лишь на различных формах нарушения сна, сопровождающихся психосенсорными расстройствами, и симптомами поражения ядер глазодвигательных нервов. Особое внимание следует уделить появлению вышеуказанных симптомов на фоне повышенной температуры тела. Диагностика хронической стадии эпидемического энцефалита Экономо менее трудна и основывается на характерном синдроме паркинсонизма, эндокринных нарушениях центрального генеза, изменениях психики.
Вторичные энцефалиты
Гриппозный энцефалит
Заболевание вызывают вирусы гриппа А1, А2, А3 и В. Возникает как осложнение гриппа. Патогенетические механизмы гриппозного энцефалита — дисциркуляторные явления в головном мозге и нейротоксикоз. Поражения нервной системы неизбежны при любой форме гриппа, когда они проявляются в виде головной боли, мышечными болями, сонливостью, адинамией и т.д. Однако в случае развития гриппозного энцефалита самочувствие пациента резко ухудшается, возникают общемозговые симптомы (головокружение, рвота). В ликворе обнаруживают умеренное увеличение белка и небольшой плеоцитоз (при проведении люмбальной пункции ликвор вытекает под повышенным давлением).
В ряде случаев на острой стадии гриппозного энцефалита развивалось тяжелое поражение в виде геморрагического гриппозного энцефалита, который дебютирует резким подъемом температуры тела, озноба и нарушения сознания (вплоть до комы). В ликворе обнаруживают следы крови. Течение такой формы гриппозного энцефалита крайне тяжелое, поэтому летальный исход наступает довольно часто, а в случае положительного исхода заболевания выраженные неврологические расстройства сохраняются.
Коревой энцефалит
Относится к инфекционно-аллергическим энцефалитам. Развивается остро, на 4-5 день после появления сыпи при кори, когда температура тела, как правило, уже нормализовалась, отмечают ее новый резкий подъем до 39-40 градусов. В большинстве случаев возникают выраженные расстройства сознания, галлюцинации, психомоторное возбуждение, генерализированные судороги, координаторные нарушения, гиперкинезы, парезы конечностей и нарушения функций органов малого таза. При исследовании ликвора определяют повышенное содержание белка, плеоцитоз. Течение коревого энцефалита крайне тяжелое, летальность достигает 25%.
Поствакцинальные энцефалиты
Могут возникать после введения вакцин АДС и АКДС, при антирабических прививках, а также после коревой вакцины (чаще всего). Поствакцигнальный энцефалит развивается остро, дебютируя с резкого повышения температуры тела (до 40 градусов), рвоты, головной боли, нарушений сознания и генерализированных судорог. Поражение экстрапирамидной системы сопровождается появлением гиперкинезов и нарушений координации движения.
При исследовании ликвора (вытекает под повышенным давлением) определяют небольшой лимфоцитарный цитоз и незначительное повышение уровня белка и глюкозы. Особенность течения энцефалита при антирабических прививках — дебют заболевания в виде острого энцефаломиелополирадикулоневрита, иногда быстро прогрессирующего, способного привести к смерти в результате бульбарных расстройств.
Лечение энцефалита
Патогенетическая терапия
Патогенетическая терапия включает в себя несколько направлений:
- дегидратация и борьба с отеком мозга (маннитол 10-20% раствор внутривенно по 1-1,5 г/кг; фуросемид внутривенно или внутримышечно 20-40 мг; ацетазоламид);
- десенсибилизация (хлоропирамин, клемастин, дифенгидрамин);
- гормональная терапия — оказывает дегидратирующее, противовоспалительное, десенсибилизирующее действие, а также предохраняет кору надпочечников от функционального истощения (преднизолон до 10 мг/кг/сутки методом пульс-терапии в течение 4-5 дней; дексаметазон внутривенно или внутримышечно 16 мг/сутки по 4 мг через каждые 6 часов);
- улучшение микроциркуляции (изотонический раствор декстрана внутривенно капельно;
- антигипоксанты (этилметилгидроксипиридина сукцинат и др.);
- поддержание гомеостаза и водно-электролитного баланса (парентеральное и энтеральное питание, декстроза, декстран, калия хлорид);
- ангиопротекторы (гексобендин + этамиван + этофиллин, винпоцетин, пентоксифеллин и др.);
- лечение сердечно-сосудистых расстройств (сердечные гликозиды, вазопрессоры, камфора, сульфокамфокаин, глюкокортикоиды);
- нормализация дыхания (сохранение проходимости дыхательных путей, гипербарическая оксигенация, оксигенотерапия, при необходимости трахеостомия или интубация, ИВЛ;
- восстановление метаболизма мозга (витамины, полипептиды коры головного мозга скота, пирацетам и др.);
- противовоспалительные препараты (салицилаты, ибупрофен и др.)
Этиотропная терапия
Этиотропная терапия вирусных энцефалитов предполагает применение противовирусных препаратов — нуклеазов, задерживающих размножение вируса. Назначают интерферон альфа-2, в тяжелых случаях в сочетании с рибавирином. При РНК и ДНК-вирусных энцефалитах эффективно применение тилорона. Кортикостероиды (метилпреднизолон) применяют по методу пульс-терапии до 10 мг/кг внутривенно в течение 3 суток.
Симптоматическая терапия
Симптоматическая терапия в свою очередь предполагает несколько направлений: антиконвульсантное и антипиретическое лечение, терапию делириозного синдрома. Для купирования эпилептического статуса применяют диазепам (5-10 мг внутривенно на растворе декстрозы), 1% раствор тиопентала натрия внутривенно, фенобарбитал, примидон, ингаляционный наркоз. Для снижения температуры тела применяют литические смеси, 2 мл 50% раствора метамизола натрия, дроперидол, ибупрофен. В терапии делириозного синдрома целесообразно назначение магния сульфата, ацетазоламида, литических смесей. Для нормализации сознания применяют метаболические препараты, биостимуляторы, для нормализации психики — антидепрессанты, транквилизаторы.
Реабилитация
Восстановительная терапия также включает в себя несколько компонентов: лечение паркинсонизма (препараты леводопы, холинолитики, миорелаксанты; стереотаксические операции показаны только при нарастании ригидности и неэффективности медикаментозного лечения); лечение гиперкинезов (метаболические препараты, нейролептики, транквилизаторы); лечение кожевниковской эпилепсии (антиконвульсанты, нейролептики, транквилизаторы); лечение парезов (энергокорректоры, препараты, стимулирующие метаболизм в мозге и мышечных тканях, лечебная физкультура, физиотерапия, массаж); лечение нейроэндокринных расстройств (метаболические препараты, транквилизаторы, десенсибилизирующие препараты, нейролептики).
Прогноз и профилактика
Возможным исходам заболевания — выздоровление, вегетативное состояние, грубые очаговые симптомы. Возможные осложнения — отек головного мозга, дислокация мозга, мозговая кома, эпилептический синдром, кистоз. Профилактическими мерами, способными по возможности предотвратить заражение клещевым и комариным энцефалитом, являются профилактические вакцинация людей, проживающих и/или работающих в зонах возможного заражения. Стандартная вакцинация против клещевого энцефалита включает 3 прививки и дает стойкий иммунитет на 3 года. Профилактика вторичных энцефалитов подразумевает своевременную диагностику и адекватную терапию инфекционных заболеваний.
Лихорадка Западного Нила
Лихорадка Западного Нила - это острое инфекционное вирусное заболевание с преимущественно трансмиссивным заражением человека. Специфическими симптомами являются поражение центральной нервной системы, сосудов, слизистых оболочек. Характерны цефалгии, длительная лихорадка с потрясающими ознобами, выраженные мышечные боли, артралгии. Диагностика предусматривает обнаружение возбудителя и антител к нему в крови и ликворе больного. Специфическое этиотропное лечение не разработано, проводится симптоматическая терапия (жаропонижающие средства, инфузионная, оральная дезинтоксикация, вазопротекторы и др.).
Лихорадка Западного Нила является патологией с частым бессимптомным течением и воспалительным поражением оболочек головного мозга. Реже сопровождается менингоэнцефалитом. Открытие вируса и описание болезни датируются 1937 годом, стали результатом исследования в Уганде. Сезонность заболевания обусловлена временем выплода переносчиков (комаров и клещей), который приходится на конец июля - октябрь. Гендерные особенности отсутствуют. Отмечается тенденция к большей восприимчивости у детей в эндемичных районах (Северо-Восточная Африка, Азия, Израиль, Египет), у взрослых - на территориях с низкой распространенностью (южные регионы России, Украина, Европа, США).
Причины
Возбудителем является РНК-содержащий одноименный флавивирус. Выделяют 7 видов вируса, наиболее распространен первый генотип. Источниками и резервуарами инфекции в природе служат птицы (врановые, воробьиные), реже - млекопитающие (грызуны, непарнокопытные). Переносчиками возбудителя становятся кровососущие комары рода Culex, Aedes, иксодовые и аргасовые клещи. В организме переносчика (обычно - комара) вирус поражает нервную систему и слюнные железы, поэтому при укусе передается вместе со слюной. Гораздо реже встречается гемоконтактный путь передачи лихорадки, связанный с переливанием зараженной крови, трансплантацией органов зараженного донора, работой с культурой вируса в исследовательских лабораториях, грудным вскармливанием, совместным использованием нестерильных шприцов для внутривенного введения наркотиков, разделкой туш умерших животных.
В группу риска по заболеванию (особенно развитию менингита) входят пациенты с делецией в гене CCR5, лица старше 60 лет, больные сахарным диабетом, артериальной гипертензией, хроническим вирусным гепатитом С, почечной, сердечно-сосудистой патологией, ВИЧ-инфекцией, проходящие курс химиотерапии по поводу злокачественных новообразований, злоупотребляющие алкоголем, реципиенты донорских органов. К потенциально подверженным заражению профессиям можно отнести медицинских работников, лаборантов, ветеринаров, служащих скотобоен, егерей, фермеров. Возбудитель погибает при кипячении, воздействии обычных доз дезинфицирующих веществ.
Патогенез
После проникновения вируса в организм во время укуса комара возбудитель поражает дендритные клетки кожи, попадая с ними в лимфатические узлы. При последующей виремии флавивирус диссеминирует в паренхиматозные органы (в том числе почки и селезенку). После 6 дня от момента заражения инфекционный агент исчезает из периферической крови и аксональным путем проникает через гематоэнцефалический барьер в нервную ткань головного мозга. Данное явление наблюдается не всегда, при нормальном состоянии иммунной системы виремия купируется без поражения ЦНС. Возбудитель инфицирует нейроны, запуская процессы апоптоза, в результате формируются участки некроза. Размножение и накопление вируса происходит преимущественно в гиппокампе, стволе и мозжечке, передних рогах мотонейронов спинного мозга.
Установлено, что мутации гена CCR5 CD8 + -лимфоцитов приводят к замедленной миграции лейкоцитов в пораженные участки ЦНС, поскольку их направленное движение регулируется данным хемокиновым рецептором. В нейронах, лишенных рецепторов к интерферону-альфа и бета (белкам противовирусной защиты), практически сразу после интракраниального проникновения вируса запускается апоптоз. Эти факторы в экспериментах на мышах приводили к повышению вероятности летального исхода. Вирус проявляет тропность к эндотелию сосудов, может персистировать в организме 1-2 месяца и более.
Клиническая систематизация подразумевает деление на группы с учетом наличия тех или иных проявлений лихорадки. Возможно трехволновое течение заболевания с последовательным преобладанием поражения головного мозга и сердца, воспалительных явлений в области респираторного тракта. Считается, что на долю нейроинвазивных форм приходится до 50% клинически выраженных случаев инфекции. Практическое значение с учетом необходимости проведения лечебных мероприятий имеет классификация, включающая две формы:
- Бессимптомная. По данным ВОЗ, в 80% случаев патология протекает без каких-либо проявлений, может быть выявлена только ретроспективно при наличии антител к определенному штамму возбудителя.
- Манифестная. Подразделяется на лихорадку Западного Нила с вовлечением ЦНС (менингит, менингоэнцефалит) и гриппоподобную форму. Среди иммунокомпетентных лиц преобладает последняя. Нейроинвазивные симптомы могут включать хориоретинит, окклюзивный васкулит и неврит глазного нерва.
Симптомы
Период инкубации обычно составляет 3-16 дней, но может удлиняться до 60-90 суток. Заболевание начинается остро с резкого подъема температуры тела до 38,5°C и более, озноба, ломоты в мышцах и суставах, сильной головной боли, локализующейся преимущественно в области лба, снижения аппетита, боли в левой половине грудной клетки, чувства «замирания» сердца. Наблюдается першение, сухость в горле, реже - заложенность носа и сухой кашель. На коже в 5% случаев появляется сыпь в виде пятен и бугорков, кожные покровы и слизистые становятся гиперемированными. Пациенты предъявляют жалобы на боли при движениях в крупных суставах, запоры, иногда - диарейный синдром, тошноту и рвоту, диффузные боли в животе.
Для нейроинвазивной формы лихорадки характерно нарастание температуры и головной боли, фонтанирующая рвота на пике болевых ощущений, не приносящая облегчения, усугубляющиеся нарушения сознания, повышенная сонливость или, напротив, возбуждение, фото- и фонофобия, судороги, затруднение контакта с больным, прогрессирующая мышечная слабость (до полного отсутствия произвольных движений при сохраненной чувствительности), поперхивание жидкой пищей, асимметрия глазных щелей, двоение в глазах. Сыпь и катаральные явления при данной форме почти всегда отсутствуют.
Осложнения
Наиболее частыми причинами осложнений являются коморбидная патология и позднее обращение за медицинской помощью. Основными угрожающими состояниями, развивающимися при лихорадке, считаются отек и набухание головного мозга, церебральные кровоизлияния, острая сердечно-сосудистая недостаточность, гипостатическая пневмония и другие вторичные бактериальные гнойные осложнения. Активная репликация вируса в стволе головного мозга может приводить к острой дыхательной недостаточности, остановке сердечной деятельности, неконтролируемой гиперпирексии. После перенесенного заболевания могут наблюдаться атаксические явления.
Диагностика
Требуется консультация инфекциониста. При наличии симптомов поражения ЦНС показан осмотр невролога, при высыпаниях - дерматовенеролога. Существенную роль в диагностике играет сбор эпидемиологического анамнеза с обязательным уточнением эпизодов посещения эндемичных зон России и мира. Методы лабораторно-инструментальной диагностики данной лихорадки включают:
- Объективный осмотр. Физикально определяется гиперемия кожных покровов, сыпь, инъекция сосудов склер, увеличение лимфоузлов, печени и селезёнки, зернистость зева. Может выявляться снижение остроты зрения, артериальная гипотензия, глухость сердечных тонов, менингеальные симптомы (ригидность затылочных мышц, симптомы Кернига, Брудзинского), рассеянная неврологическая симптоматика (снижение сухожильных рефлексов, горизонтальный нистагм, хоботковый рефлекс и пр.). При наличии очаговых симптомов и признаков раздражения мозговых оболочек показано проведение люмбальной пункции с макроскопической оценкой прозрачности, цвета ликвора, скорости его вытекания.
- Лабораторные исследования. Примерно в 30% случаев в анализе крови обнаруживается лейкопения, реже лимфопения, тромбоцитопения. Биохимические показатели обычно соответствуют норме, возможно незначительное повышение активности АСТ, АЛТ, креатинина, мочевины. При исследовании ликвора спинномозговая жидкость прозрачная, бесцветная, отмечается выраженный лимфоцитарный плеоцитоз, незначительное увеличение содержания белка. Уровень глюкозы, хлоридов остается в пределах нормы. В анализе мочи специфические изменения отсутствуют, при длительной лихорадке возможно нахождение следовых количеств белка.
- Выявление инфекционных агентов. Выделение вируса из крови методом ПЦР возможно уже на 4-9 сутки от начала болезни. В спинномозговой жидкости антитела к антигенам возбудителя определяют с помощью ИФА. Метод ПЦР для поиска вируса в ликворе применяется реже из-за низкой чувствительности, высокой специфичности. Существует возможность ПЦР-определения возбудителя в моче. ИФА для серологической диагностики значим только при контроле парных сывороток на 1-8 и 14-21 день заболевания и одномоментном исследовании на антитела к другим флавивирусам (во избежание перекрестных реакций). Для установления штамма вируса применяется секвенирование генома, при исследовании секционного материала назначаются иммуногистохимические анализы.
- Лучевые методы, ЭКГ, ЭЭГ. Для дифференциальной диагностики выполняется рентгенография легких, компьютерная, магнитно-резонансная томография головного мозга с контрастированием, при необходимости - ПЭТ-КТ. На ЭКГ могут выявляться признаки гипоксии миокарда, снижения атриовентрикулярной проводимости. При проведении ЭЭГ в 50-80% случаев отмечается снижение активности пораженных участков мозга. УЗИ брюшной полости позволяет определить увеличение размеров селезенки, печени; обязательным является осмотр лимфоузлов, щитовидной железы, забрюшинного пространства и малого таза.
Дифференциальная диагностика
Дифференциальную диагностику осуществляют с обширным кругом болезней:
- общими инфекциями: листериозом, ОРВИ, гриппом, туберкулезом, лептоспирозом, орнитозом, герпетической инфекцией, энтеровирусной инфекцией;
- другими геморрагическими лихорадками (желтая, Ласса, Эбола, чикунгунья, Марбурга, Рифт-Валли, крымская, ГЛПС),
- сепсисом;
- поражением головного мозга: клещевым энцефалитом, церебральным токсоплазмозом, ВИЧ-энцефалитом, менингококковой инфекцией,острым лимфоцитарным хориоменингитом, японским энцефалитом;
- сифилисом;
- прионными болезнями.
Возможными причинами подобного симптомокомплекса могут служить онкологические заболевания крови, дебют диффузных болезней соединительной ткани, тиреотоксикоз, травмы головы, геморрагические инсульты, инфаркты головного мозга, злокачественные новообразования ЦНС.
Лечение лихорадки Западного Нила
Всем пациентам с подозрением на данное заболевание показана госпитализация. При прогрессировании неврологической симптоматики лечение проводится в реанимационном отделении либо в палате интенсивной терапии. Необходим строгий постельный режим до устойчивого исчезновения лихорадки в течение 3-4 дней, купирования острых неврологических симптомов и появления возможности самостоятельного передвижения в пределах палаты. Диета не разработана, рекомендовано употреблять легкие питательные блюда, принимать достаточное количество жидкости. При угрозе отека мозга водный режим ограничивается и тщательно контролируется.
Специфического метода лечения лихорадки не существует. В некоторых исследованиях хорошо зарекомендовало себя применение препаратов альфа-интерферона, вируснейтрализующих моноклональных антител. Рибавирин для терапии инфекции не рекомендован, поскольку при вспышке в Израиле было установлено, что смертность пациентов с поражением ЦНС в группе лиц, получавших рибавирин, оказалась выше, чем среди остальных. Назначается симптоматическая терапия. Используются жаропонижающие (парацетамол, целекоксиб), вазопротекторы (рутозид), седативные (барбитураты, диазепам), мочегонные (фуросемид) препараты, осуществляется инфузионная дезинтоксикация (глюкозо-солевые, сукцинатсодержащие растворы).
Своевременное обращение и лечение снижает риски осложнений и способствует полному выздоровлению в течение 10 дней. При наличии неврологических поражений срок реконвалесценции увеличивается до 30 и более дней. Летальность при нейроинвазивной лихорадке Западного Нила достигает 20%, обычно связана с параличом дыхательной мускулатуры. Описаны длительные (свыше 1 года) депрессивные эпизоды у 33% пациентов, перенесших заболевание. Период сохранения астеновегетативных проявлений в среднем составляет 36 недель, неврологических симптомов - более 8 месяцев.
Специфическая профилактика для людей не разработана, существует лишь эффективный препарат для вакцинации лошадей. Одной из причин отсутствия человеческой вакцины является высокая изменчивость вируса; в настоящее время проходят клинические испытания живые аттенуированные и рекомбинантные субстанции, а также ДНК-вакцина. К методам неспецифической профилактики болезни относятся своевременное выявление и изоляция больных, ветеринарный контроль над популяциями диких птиц и домашних животных, борьба с комарами (дезинсекция, противомоскитные сетки, спецодежда, репелленты).
1. Лихорадка Западного Нила (клиника, эпидемиология, диагностика, патоморфология и лечение): Автореферат диссертации/ Петров В.А. - 2004.
2. Клинико-эпидемиологические аспекты и вопросы лечения лихорадки Западного Нила/ Е.А. Иоанниди, В.Г. Божко, В.П. Смелянский, Е.Т. Божко. - Лекарственный вестник. - 2015 - Т.9, №3(59).
3. Диагностика и лечение лихорадки Западного Нила: метод. рекомендации для студентов медицинских ВУЗов / Н.И. Мамедова, Ю.М. Амбалов. - 2013.
4. Геморрагические лихорадки у туристов и мигрантов (медицина путешествий). Ч.4/ под ред. Ю.В. Лобзина. - 2015.
Энцефалит — это воспаление мозга, которое развивается при прямом заражении мозга вирусом или тогда, когда воспаление вызывается вирусом, вакциной или другим агентом. Может быть вовлечен спинной мозг, в этом случае развивается энцефаломиелит.
У больного повышается температура, болит голова, бывают приступы, больной может быть сонным, оцепенелым или дезориентированным.
Обычно больному делают магнитно-резонансную томографию головы и спинномозговую пункцию.
Лечение состоит в облегчении симптомов. В некоторых случаях проводится лечение антивирусными лекарствами.
Энцефалиты чаще всего вызываются вирусами, такими как вирус простого герпеса, вирус ветряной оспы, цитомегаловирус или вирус Западного Нила. Энцефалит может возникать за счет таких механизмов:
Вирус заражает непосредственно головной мозг.
Вирус, вызвавший инфекцию в прошлом, реактивируется и поражает непосредственно головной мозг.
Иногда энцефалит вызывают бактерии, обычно это бывает осложнением бактериального менингита (называется менингоэнцефалит).
Иногда инфекция головного мозга, вакцина, злокачественное новообразование или другое расстройство провоцируют появление неправильной иммунной реакции, что приводит к тому, что иммунная система атакует нормальные клетки головного мозга аутоиммунная реакция Аутоиммунные нарушения Аутоиммунное нарушение является дисфункцией иммунной системы организма, заставляющей организм атаковать собственные ткани. Пока неизвестно, что именно провоцирует аутоиммунные нарушения. Симптомы. Прочитайте дополнительные сведения ). Вследствие этого в головном мозге возникает воспаление. Если заболевание спровоцировано инфекцией, оно называется постинфекционным энцефалитом. Иногда у больных раком развиваются инфекции головного мозга, вызванные аутоиммунной реакцией, — это заболевание называется паранеопластическим энцефалитом.
Типы энцефалитов
Инфекции, вызывающие энцефалиты, могут вызывать эпидемии или вызывать отдельные случаи заболевания (спорадически).
Эпидемический энцефалит
В Соединенных Штатах Америки самые распространенные варианты эпидемического энцефалита вызываются одним из следующих возбудителей:
Энтеровирусы Общие сведения об энтеровирусных инфекциях Энтеровирусные инфекции поражают много частей тела и могут быть вызваны несколькими разными штаммами энтеровируса. Энтеровирусные инфекции вызваны многими различными вирусами. Симптомы энтеровирусных. Прочитайте дополнительные сведенияАрбовирусы — это вирусы, которые передаются людям с укусами членистоногих, обычно москитов, блох и клещей. (Название арбовирус происходит от выражения «вирусы, переносимые членистоногими (артроподами)».) Вирусы передаются членистоногим, когда те кусают инфицированных животных и людей. Носителями этих вирусов могут быть многие виды домашних животных и птиц.
Периодически, когда популяция москитов или инфицированных животных увеличивается, случаются эпидемии. Эпидемии происходят тогда, когда членистоногие носители вируса кусаются. В случае москитов и клещей это теплое время года. Инфекция передается от членистоногого к человеку. Люди друг для друга не заразны.
Энцефалит могут вызывать многие арбовирусы. Разные варианты энцефалита обычно носят название либо территории, на которой был обнаружен вирус-возбудитель, либо животного, которое обычно бывает носителем вируса.
В США несколько вариантов энцефалита переносят москиты:
Энцефалит Ла-Кросс вызывается вирусом Ла-Кросс (другое название «калифорнийский вирус»). Он особенно распространен на Среднем Западе, но встречается на всей территории страны. Этот энцефалит составляет большую часть энцефалитов у детей. Во многих случаях он протекает легко и не диагностируется. От этой болезни умирают менее 1 % зараженных.
Восточный лошадиный энцефалит встречается главным образом на востоке США. Несколько случаев произошло в регионе Великих Озер. Восточным лошадиным энцефалитом болеют в основном маленькие дети и люди в возрасте старше 55 лет. У детей младше 1 года он может вызывать тяжелые симптомы и стойкое нарушение работы нервов и головного мозга. Умирают более половины больных.
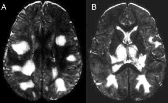
Энцефалит Западного Нила первоначально встречался только в Европе и Африке. В США впервые появился в г. Нью-Йорк в 1999 г. С тех пор он распространился по территории США. Вирус переносится несколькими видами птиц, которых укусили инфицированные москиты. Этим энцефалитом болеют в основном пожилые люди. Этот вирус также вызывает более легкую инфекцию под названием «лихорадка Западного Нила», которая отмечается намного чаще. Энцефалит Западного Нила развивается у менее чем 1 % людей, заболевших лихорадкой Западного Нила. Умирают около 9 % людей, заболевших энцефалитом Западного Нила. Однако заболевшие только лихорадкой Западного Нила обычно полностью выздоравливают.
Энцефалит Сент-Луис возникает в основном в городских районах центральных и юго-восточных штатов Соединенных Штатов Америки, но также встречается и в западных штатах. Инфекция чаще возникает летом и с большей вероятностью поражает головной мозг у пожилых людей. Одно время эпидемии возникали примерно каждые 10 лет, но сейчас они стали реже.
Западный лошадиный энцефалит встречается на всей территории США, но по неизвестным причинам стал очень редким после 1988 г. Он может возникать во всех возрастных группах, но протекает тяжелее и с большей вероятностью поражает головной мозг у детей в возрасте младше 1 года.
Несколько видов энцефалита передаются клещами. Они включают:
Клещевой энцефалит, который встречается в Северной Азии, России и Европе. Инфекция обычно вызывает легкое гриппоподобное заболевание, которое проходит в течение нескольких дней, но у некоторых людей, особенно в возрасте 50 лет и старше, могут отмечаться более тяжелые симптомы. Из-за большого числа случаев заболевания в Европе и России, там доступна вакцина против этой болезни.
Инфекция вирусом Повассан встречается главным образом в Канаде, а также в регионе Великих Озер и северо-восточной части Соединенных Штатов Америки. Вирус Повассан также был причиной случаев энцефалита в России. Этот вирус похож на вирус, вызывающий клещевой энцефалит в Европе. Инфекция вирусом Повассан обычно проявляется легкими симптомами или же симптомы отсутствуют. Тем не менее, инфекция также может вызывать тяжелый энцефалит с головной болью, рвотой, судорожными припадками, потерей координации, проблемами с речью или комой. Около 10 % людей с тяжелым энцефалитом умирают. Вирус Повассан передается черноногим клещом, который также переносит болезнь Лайма. При болезни Лайма клещу, чтобы передать болезнь, необходимо быть прикрепленным в течение 24-48 часов. В отличие от этого, вирусная инфекция Повассан может передаваться, если инфицированный клещ прикреплен всего лишь в течение 15 минут. Вакцина, эффективная против клещевого энцефалита в Европе и России, против вируса Повассан неэффективна.
Колорадская клещевая лихорадка встречается в западных районах Соединенных Штатов Америки и Канады, которые находятся на высоте от 4000 до 10 000 футов (1200-3000 метров) над уровнем моря. Колорадская клещевая лихорадка вызывает гриппоподобное заболевание. Изредка у людей с колорадской клещевой лихорадкой развивается менингит или энцефалит. Колорадская клещевая лихорадка редко приводит к смерти. В редких случаях она передается при переливании крови.
Некоторые вирусы, вызывающие энцефалит, отмечались когда-то только в отдельных уголках мира, однако теперь они распространены, возможно из-за того, что люди больше путешествуют. К таким вирусам относятся:
Энцефалит на МРТ головного мозга
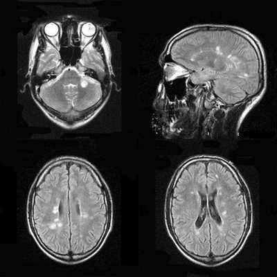
МРТ играет важную роль в диагностике, контроле за эффективностью лечения многих заболеваний. В неврологии окончательный диагноз врачи ставят только после проведения этого ценного дополнительного исследования. Энцефалит на МРТ выявляют на ранних стадиях (с 3, 4 дня заболевания). В дальнейшем наблюдают за изменениями в мозге и корректируют лечение, контролируют развитие осложнений - абсцесса мозга, размягчения, атрофии.
Что такое энцефалит головного мозга?
Энцефалит головного мозга - воспалительный процесс в самом мозговом веществе. По природе бывает инфекционным - вирусным, бактериальным, а также аутоиммунным, посттравматическим, аллергическим. Возбудители попадают в вещество мозга с кровью (гематогенным путем) или по ходу нервных волокон (с тройничным и обонятельными нервами). При укусе клеща развивается первичный клещевой энцефалит.

При сочетании с поражением мозговых оболочек ставят диагноз менингоэнцефалит. Если есть симптомы со стороны спинного и головного мозга - энцефаломиелит.
В зависимости от локализации различают:
Клиническая картина энцефалита:
Высокая температура тела.
Нарушение сознания от спутанности до комы. Наблюдаются изменения поведения, дезориентация пациента в пространстве, проблемы с памятью, потеря навыков самообслуживания.
Генерализованные и парциальные судороги.
В 30 % случаев развиваются очаговые признаки - парезы, нарушения чувствительности, афазия, афония, экстрапирамидные расстройства.
Тошнота, рвота, понос, при вовлечении оболочек - менингеальные симптомы.
При клещевом энцефалите кроме неврологических нарушений появляются симптомы поражения мышц: подергивания, спазмы, ломота. Могут наблюдаться нарушение аппетита, режима сна и бодрствования, повышение температуры кожи лица. Подтверждение диагноза - наличие антител к арбовирусу в крови и спинномозговой жидкости. Также учитывают сезонность (лето и осень-зима), пребывание в эндемичных очагах и укус клеща в анамнезе (за 10 - 30 дней до начала симптомов).
Из вирусов наиболее часто энцефалит вызывают герпевирусы. Также в качестве возбудителей выступают арбовирусы, вирус гриппа, кори, краснухи, ECHO- и энтеровирусы. Герпес-вирусы 1 типа поражают взрослых и детей старшего возраста, 2 типа - новорождённых. У взрослых вирусы постоянно находятся в латентном состоянии в области тройничного ганглия, при снижении иммунитета могут провоцировать клинически выраженное заболевание.
Особенно тяжело протекает герпетический энцефалит у новорождённых. Они заражаются при прохождении по инфицированным родовым путям матери. Хуже всего прогноз, если женщина впервые заражается генитальным герпесом во время беременности. Половина детей погибает, остальные имеют впоследствии тяжелые когнитивные нарушения, проблемы со слухом, зрением, памятью, речью, возможна эпилепсия, нарушения личности. Клинические признаки воспаления: лихорадка, высыпания в виде пузырьков на лбу, снижение веса, тошнота, рвота, судороги, нарушение сознания.
Из бактериальных возбудителей энцефалита часто встречаются пневмококки, стафилококки, стрептококки. Они распространяются в мозг из очагов хронической инфекции ЛОР органов, после травмы головы.
Покажет ли МРТ головного мозга энцефалит?
МРТ выявляет симптомы воспаления в головном мозге, но не позволяет достоверно назвать причину энцефалита.

При энцефалите головного мозга на МРТ регистрируют:
Признаки отека головного мозга - сглаженность извилин, уменьшение различий между корой и белым веществом мозга (масс-эффект).
В подостром периоде очаги кровоизлияний в виде усиления сигнала на Т-2 зависимых снимках МРТ и выпадения МР-сигнала в GRE/SWI последовательностях.
На поздних этапах появляются очаги некроза в виде гипоинтенсивных участков без четких границ.
При хроническом течении обнаруживают рассеянные узелки из микроглии.
К признакам перенесенного воспаления головного мозга относят кальцификаты, зоны размягчения мозга по ходу извилин или диффузно расположенные. Они могут иметь вид кист. При этом компенсаторно может увеличиваться желудочек мозга на стороне поражения.
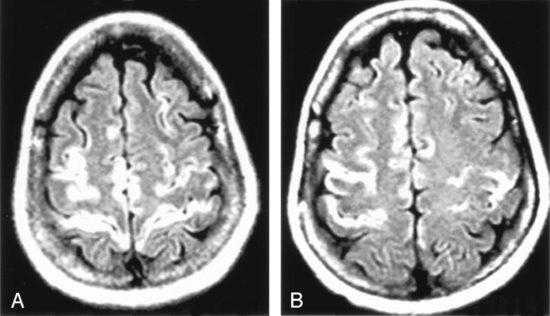
Для уточнения данных проводят МРТ с контрастированием. Контрастное вещество накапливается вдоль извилин, по ходу субарахноидального пространства, диффузно или кольцевидно.
Используют разные режимы МРТ диагностики энцефалита, наиболее чувствительным из которых будет импульсная последовательность FLAIR или TIRM: регистрируют сигнал повышенной интенсивности в области коры и сразу под ней.
Одним из методов исследования при энцефалите является протонная МР-резонансная спектроскопия. Она отражает поражение нейронов в головном мозге. Это проявляется в уменьшении пика N-ацетиласпартата (NAA) по сравнению с холином. По мере восстановления нервных клеток показатели NAA нормализуются.
При проведении МР ангиографии выявляют очаги кровоизлияния и тромбоза сосудов, отсутствие мозговых борозд, при поражении оболочек гидроцефалию, расширение цистерн между полушариями.
Как выглядит энцефалит головного мозга на снимке МРТ?
В первые 3 дня превалирует отек мозга, следующие 7 дней появляются участки деструкции мозговой ткани, кровоизлияния в паренхиму мозга. Если формируется капсула, отграничивающая абсцесс в мозге, ее обнаруживают по сигналам высокой интенсивности. Сам гной светится на диффузионно-взвешенных МРТ снимках. Это прогностически плохой признак. При расширенной МРТ контраст накапливается в стенках капсулы и не проникает внутрь абсцесса.
При переходе воспаления на стенки желудочков мозга, виден отек их и усиление сигнала. Такое поражение характерно для энцефалита, вызванного вирусом эпидемического паротита.

Диагностическая картина при вирусном энцефалите на МРТ зависит от вида возбудителя:
Для цитомегаловирусной этиологии присущи утолщение сетчатки, гиперэхогенные очаги в подкорковом слое с переходом на кору.
При внутриутробном заражении вирусом краснухи видна атрофия мозга и нарушение миелинизации нервных волокон.
Коревой энцефалит - поражается затылочная и лобная доли, в них выявляют участки демиелинизации волокон.
При клещевом энцефалите типичными местами поражения будут базальные ганглии, мозжечок, таламус. При болезни Лайма под корой и вблизи желудочков мозга выявляют очаги инфаркта мозга.
Сифилитическое поражение может проявляться вовлечением медиальных частей височной доли с двух сторон.
При герпетическом энцефалите на МРТ характерно поражение медиальной области височных долей, нижней поверхности лобных долей и островковой коры. Реже вовлекается корковое вещество затылочных долей, поясная извилина. Иногда поражается конвекситальная поверхность полушарий мозга. На ДВИ определяют ограничение диффузии среди элементов лимбической системы.
При герпетическом менингите у новорожденных поражаются кора полушарий, глубокие слои белого вещества, включая перивентрикулярные области и таламус. Медиальные области височных и нижние области лобных долей часто интактны. Геморрагии встречаются реже и появляются в более поздних стадиях.
Есть отличительные черты герпетической патологии, которые позволяют заподозрить конкретный этиологический фактор. Подтверждением природы энцефалита является положительная ПЦР на ДНК возбудителя в крови и ликворе, бактериологическое и серологическое исследование биологических жидкостей (ИФА на выявление антител). Изменения ДНК наблюдаются уже через одни сутки после заражения, антитела в крови и ликворе появляются позже - через 1 - 3 недели. При обследовании ликвора характерна белково-клеточная диссоциация. Положительная ПЦР с ликвором - наиболее специфический вид диагностики при герпетическом энцефалите.
Для наиболее раннего выявления энцефалита рекомендуют выполнение мультипланарной МРТ в режиме Т2-ВИ, FLAIR или ДВИ, исследование с контрастом в режиме Т1-ВИ. При этом изменения на МРТ обнаруживают раньше, чем на КТ на 1 - 2 суток. Также на МРТ изображениях больше видны последствия кровоизлияний спустя 7 дней от появления симптомов.
МРТ в 90 % случаев выявляет ранние частые признаки герпетического энцефалита - симметричное поражение медиальных областей теменной доли с преимущественным поражением серого вещества. Это помогает вовремя поставить диагноз, назначить правильное лечение, спасти жизнь больного и уменьшить риск осложнений.
Читайте также:
