Этапы и техника операции при разрыве диафрагмы
Добавил пользователь Алексей Ф. Обновлено: 21.11.2025
В.Ф. ЧИКАЕВ, Р.А. ИБРАГИМОВ, Ш.А. ШЕЙХОВ, В.В. ЯРАДАЙКИН, И.Ф. АХТЯМОВ
Казанский государственный медицинский университет
Республиканская клиническая больница МЗ РТ, г. Казань
Чикаев Вячеслав Федорович
доктор медицинских наук, профессор кафедры травматологии, ортопедии и хирургии экстремальных состояний
Частота повреждений диафрагмы при закрытых торакоабдоминальных травмах, по данным литературы, колеблется от 0,8 до 4,7%. Авторами проведен анализ особенностей клинической картины, диагностики и лечения повреждений диафрагмы. Клинические проявления травмы диафрагмы определяет степень ее повреждений. При сочетанной травме и дыхательной недостаточности необходимо быть настороженным в отношении повреждений диафрагмы. При сочетанной травме тактические подходы в лечении пострадавших с повреждением диафрагмы проводятся по принципу «Damage control» и ликвидация повреждений диафрагмы является приоритетной.
Ключевые слова: диафрагма, повреждение, сочетанная травма.
V.F. CHIKAEV, R.A. IBRAGIMOV, SH.A. SHEYKHOV, V.V. YARADAYKIN, I.F. AKHTYAMOV
Kazan State Medical University
Republican Clinical Hospital of the Ministry of Health of the Republic of Tatarstan, Kazan
Diagnosis and treatment of diaphragm injury in emergency surgery
The frequency of diaphragm injuries in case of closed thoracoabdominal trauma, as represented in literature, varies from 0.8 to 4.7%. The authors analyzed the clinical presentation features, diagnosis and treatment of diaphragm injuries. Clinical implications of diaphragm injury determines its damage ratio. In case of concomitant injury and respiratory depression one should be conscious in regard to diaphragm injuries. In case of concomitant injury tactical approaches to the treatment of patients with diaphragm injury are conducted under the principle of «Damage control» and correction of damaged diaphragm is a priority.
Key words: diaphragm, injury, concomitant injury.
Несмотря на то, что есть ранние описания посттравматической диафрагмальной грыжи, которым около 400 лет, вопросы диагностики и лечения повреждений диафрагмы остаются весьма актуальными. Невзирая на технический прогресс, повреждения диафрагмы в ряде случаях остаются недиагностированными. До 90% диафрагмальных разрывов при закрытой травме встречаются у молодых людей после дорожно-транспортных происшествий 1.
Материалы методы
Проведен анализ особенностей диагностики и лечения пострадавших с повреждениями диафрагмы. За последние 10 лет в хирургическом отделении ГБСМП № 1 г. Казани по поводу повреждения диафрагмы оперированы 10 пациентов. При сочетанной закрытой травме живота — 7 пациентов, по поводу торакоабдоминального ранения — 3. У 8 пострадавших разрыв диафрагмы был слева, у 2 — справа. При закрытой травме в одном случае сочетанная травма диафрагмы была с повреждением уретры и переломами костей таза, в остальных случаях повреждение диафрагмы сочеталось с травмой грудной клетки. Возраст больных колебался от 20 до 52 лет. При закрытых повреждениях травмирующая сила приводит к глубокому и внезапному повышению внутрибрюшного давления, передача действующей силы на внутрибрюшные органы, передаваясь куполам диафрагмы, способствует ее разрыву. При ударе и приложении достаточного высокого давлении в брюшной полости возникает тенденция разрыва левого купола диафрагмы, который менее защищен, что объясняет ее более высокую частоту повреждения по сравнению с правым. Сравнительная редкость правосторонних разрывов диафрагмы зависит от защитной роли печени, закрывающей снизу всю правую половину грудобрюшной преграды. Существенное влияние на разрыв диафрагмы при тупой травме оказывает степень наполнения полых органов брюшной полости. С увеличением наполнения создаются более благоприятные условия для передачи гидравлического удара. В наших наблюдениях все пострадавшие поступили в течение дня, как правило, после приемов пищи.
Особенности диагностики и лечения
В диагностике повреждений диафрагмы большое значение уделяется анамнезу и характеру полученной травмы. При проникающих ранениях в торакоабдоминальной области необходимо думать о возможности повреждения диафрагмы.
Основное место в диагностике повреждений диафрагмы принадлежит лучевым методам диагностики (7-9): рентгенологическому исследованию, компьютерной томографии. Разрыв диафрагмы установлен у 6 пострадавших при рентгенологическом исследовании (рис 1, 2), у 1 больного с тяжелой сочетанной травмой — при компьютерной томографии, у 3 больных — как интраоперационная находка. Закрытая травма порой не приводит к возникновению симптомов, которые являются патогномоничными для повреждений диафрагмы. При небольших повреждениях диафрагмы клиника, как правило, бывает скудной и стушевывается другими более тяжелыми травмами сочетанных повреждений и является находкой при рентгенологических исследованиях.
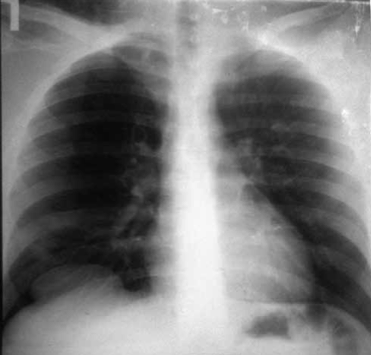
М., 20 л. Сочетанная травма. Закрытый перелом костей таза, разрыв уретры, Разрыв правого купола диафрагмы. Тяжесть повреждений по шкале оценки ВПХ П. (МТ) — 13 баллов, ВПХ (СП) — 29 (Гуманенко Е.К. 1999 г).

Больной М., 23 г. Рентгенологическая картина (прямая и боковая проекции) повреждения правого купола диафрагмы. Присасывание в плевральную полость ткани правой доли печени. Проведена лапаротомия, эпицистостомия, ушивание разрыва диафрагмы. Пациент выписан в удовлетворительном состоянии. Восстановление разрыва уретры проведено вторым этапом в урологической клинике

Падение с высоты или прямые воздействия на торакоабдоминальную область транспортных средств во время автодорожных происшествий или случаев повреждения с размозжением тканей должны также насторожить ургентного хирурга в связи с возможным повреждением диафрагмы. Однако знание механизма травмы, наличие повреждения в торакоабдоминальной зоне, признаки дыхательной недостаточности, выраженное ослабление или отсутствие дыхания, появление коробочного звука или притупление при перкуссии на стороне повреждения позволяют заподозрить повреждение диафрагмы.
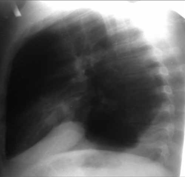
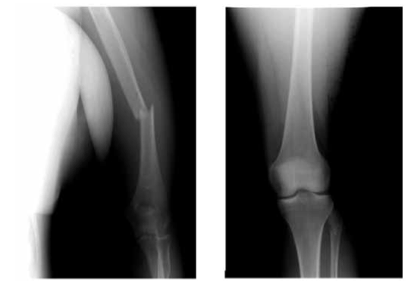
Больной Ж., 22 г. Сочетанная травма. Повреждение левого купола диафрагмы. Картина дислокации органов брюшной полости в левую плевральную полость. Закрытый перелом плечевой кости, закрытый перелом малоберцовой кости. Тяжесть повреждений по шкале оценки ВПХ П. (МТ) — 9,2 балла, ВПХ (СП) — 27

При сочетанной травме тактические подходы к лечению пострадавших необходимо проводить по принципу «Damage control» (7). Устранение повреждений диафрагмы при сочетанной травме является приоритетным. В данном клиническом случае на первом этапе произведена ликвидация разрыва диафрагмы путем ушивания лапаротомным доступом, дренирование плевральной полости. Вторым этапом проведен интрамедуллярный остеосинтез перелома плечевой кости.
Хирургическая тактика при лечении повреждений диафрагмы может быть разделена на процедуры по ликвидации повреждений в их острый период и те, которые необходимы для коррекции в последующем. Экстренное оперативное вмешательство лапаротомным доступом выполнено у 6 пострадавших, а у 2 — на 2-3-и сутки, что было связано с трудностями диагностики, у 2 — торакотомным доступом при сочетанном повреждении грудной клетки.
Повреждения диафрагмы классифицируются с использованием Шкалы повреждений органов Американской ассоциации хирургии травмы. В наших наблюдениях повреждения диафрагмы были II-III ст., в одном случае — IV.
Практически всегда к острым повреждениям диафрагмы оперативный доступ осуществляли посредством верхнесрединной лапаротомии. Методичное исследование брюшной полости и забрюшинного пространства позволяет избежать пропущенных повреждений. После того как это выполнено, должно быть обращено внимание на полный осмотр диафрагмы. Правая половина диафрагмы лучше всего осматривается после рассечения серповидной связки и отведения печени книзу. Левая половина диафрагмы может быть осмотрена после нежной ретракции селезенки и большой кривизны желудка книзу.
Ушивание диафрагмы проводили нерассасывающимся шовным материалом. При завершении ушивания целостность линии шва контролировали увеличением внутригрудного давления с воздействием большого дыхательного объема и исследованием движения диафрагмы. Этот маневр повторяют над поврежденным участком со стерильным физиологическим раствором, чтобы определить, есть ли просачивание воздуха или плевральной жидкости через линию шва. Эвакуацию воздуха и крови из груди достигали дренированием плевральной полости. Дренаж размещается классически в пятом межреберье по средне-подмышечной линии, но может быть размещен ниже под непосредственным визуальным контролем. Дренаж с плевральной полости убирали после контрольной рентгенографии грудной клетки.
При торакоабдоминальном ранении в двух случаях ушивание диафрагмальных ран проводили торакотомным доступом. Однако почти все повреждения, сочетанные с диафрагмальной раной, по сути, внутрибрюшные, что требует обязательной ревизии брюшной полости. В наших случаях с целью контроля проводили лапароцентез.
В одном случае повреждение диафрагмы оперировано не в острый период. Больной М. 42 лет поступил в хирургическое отделение с клиникой острой спаечной кишечной непроходимости. В анамнезе 2 года назад проникающее ранение брюшной полости, лапаротомия. Ввиду неразрешающейся кишечной непроходимости пациент оперирован в экстренном порядке. При лапаротомии выявлено ущемление петли тонкой кишки в дефекте диафрагмы. Вероятно, при первой операции было пропущено повреждение левого купола диафрагмы — дефект 3 см. Проведено ушивание дефекта диафрагмы.
Таким образом, клинические проявления травмы диафрагмы зависят от степени ее повреждений. При сочетанной травме в зависимости от механизма травмы и при дыхательной недостаточности необходимо быть настороженным в отношении повреждений диафрагмы. Травма диафрагмы является тяжелой патологией, требующей комплексного подхода в диагностике и лечении. При сочетанной травме тактические подходы в лечении пострадавших с повреждением диафрагмы проводится по принципу «Damage control» и ликвидация повреждения диафрагмы является приоритетным.
1. Абакумов М.М., Лебедев Н.В., Малярчук В.И. Повреждения живо¬та при сочетанной травме. — М.: Медицина. — 2005. — 176 с.
2. Аскерханов Г.Р., Халилов А.Х., Магомедов М.И. осложнения поздних проявлений ранения левого купола диафрагмы // Материалы Всероссийской конференции хирургов, посвященной 85-летию Р.П. Аскерханова. — Махачкала, 2005. — С. 259.
3. Бисенков Л.Н. Неотложная хирургия груди. — СПб. — 1995. — 234 с.
4. Бисенков Л.Н., Зубарев П.Н., Трофимов В.М., Шалаев С.А., Ищенко Б.И. Неотложная хирургия груди и живота. — СПб, Гиппократ, 2002. — 507 с.
5. Брюсов П.Г., Коноваленко С.И., Левчук А.П. Лечение огнестрельных проникающих торакоабдоминальных ранений в современных локальных военных конфликтах // Международный хирургический конгресс «Новые технологии в хирургии». Сборник трудов. — Ростов-на-Дону, 2005. — С. 13.
6. Гуманенко Е.К. Объективная оценка тяжести травмы. — СПб, 1999. — 230 с.
7. Нифантьев О.Е., Уколов В.Г. Диагностика ранений диафрагмы при проникающих ранениях груди // Вестн. хир. им. И.И. Грекова. — 1985. — № 8. — С. 29-30.
8. Соколов В.А. «Damage control» — Современная концепция лечения пострадавших с критической политравмой // Вестник травматологии и ортопедии им. НН. Приорова. — 2005. — № 1. — С. 81-84.
9. Флорикян А.К. Хирургия повреждений груди. — Харьков: Основа, 1998. — 437 с.
10. Шумаков С.И. / в кн. Сб. научн. работ врачей Пензенской обл. больницы, 2. — Пенза, 1957. — С. 160-161.
11. Murray J.A., Demetriades D., Cornwell E.E., Asensio J.A., Velmahos G., Berne T.V. Penetrating left thoracoabdominal trauma: the incidence and clinical presentation of diaphragm injuries // J. Trauma. — 1997. — № 4. — Р. 624-626.
12. Murray J.A., Asensio J.A. Penetrating thoracoabdominal trauma // Emerg. Med. Clin. North. Am. — 1998. — № 1. — Р. 107-128.
13. Zacharias S.R. Damage control surgery // A.A.C.N. — 1999. — № 1. — P. 95-103.
14. Zakharia A.T. Cardiovascular and thoracic battle injuries in the Lebanon War. Analysis of 3000 personal cases // J. Thorac. Cardiovasc. Surg. — 1985. — № 5. — Р. 723-733.
Этапы и техника операции при разрыве диафрагмы
Научно-исследовательский институт скорой помощи им. Н.В. Склифосовского, Москва
Научно-исследовательский институт скорой помощи им. Н.В. Склифосовского, Москва, Россия
Торакоскопическое ушивание разрыва диафрагмы
Журнал: Хирургия. Журнал им. Н.И. Пирогова. 2014;(9): 89‑91
Смоляр А.Н., Воскресенский О.В., Алексеечкина О.А. Торакоскопическое ушивание разрыва диафрагмы. Хирургия. Журнал им. Н.И. Пирогова. 2014;(9):89‑91.
Smoliar AN, Voskresenskiĭ OV, Alekseechkina OA. . Pirogov Russian Journal of Surgery = Khirurgiya. Zurnal im. N.I. Pirogova. 2014;(9):89‑91. (In Russ.).
Больной Ж., 33 лет, доставлен в реанимационное отделение НИИ скорой помощи им. Н.В. Склифосовского через час после травмы - пешеход, сбит автомобилем. Осмотрен хирургом, нейрохирургом, травматологом. На основании клинической картины, рентгенографии груди, таза, нижних конечностей, УЗИ плевральных и брюшной полостей, КТ черепа и головного мозга установлен диагноз сочетанной травмы: ушиба головного мозга тяжелой степени, травматического субарахноидального кровоизлияния, разрыва правого крестцово-подвздошного сочленения, закрытого перелома правых подвздошной, лонной и бедренной костей, открытого перелома обеих костей правой голени, травматического шока II степени. При рентгенографии груди сразу после поступления правая половина диафрагмы несколько нечеткая за счет гидроторакса, расположена на уровне переднего отрезка VI ребра. Дренаж диаметром 20 Fr установлен в седьмом межреберье по средней подмышечной линии, эвакуировано 400 мл крови. После проведения интенсивной противошоковой терапии под эндотрахеальным наркозом выполнили стабилизацию переломов костей таза, бедра и голени аппаратами наружной фиксации и первичную хирургическую обработку раны голени.
Через 3 сут после травмы после стабилизации состояния и контрольной рентгенографии груди (рис. 1) пострадавший переведен на спонтанное дыхание и экстубирован, дренаж из правой плевральной полости удален. Рисунок 1. Рентгенограммы груди. а - 2-е сутки после травмы; б - 6-е сутки после травмы. Тяжесть состояния в этот момент определялась черепно-мозговой травмой и дыхательной недостаточностью I степени. При аускультации дыхание было ослаблено справа в базальном отделе. При рентгенографии на 6-е сутки после операции отмечены нечеткость контура и высокое расположение правой половины диафрагмы - на уровне переднего отрезка III ребра. При УЗИ подтверждено высокое расположение правой половины диафрагмы и обнаружен ее дефект с перемещением части печени в правую плевральную полость (рис. 2). Рисунок 2. Эхограмма правой плевральной полости на 6-е сутки после травмы. 1 - неповрежденный участок диафрагмы; 2 - печень, переместившаяся в правую плевральную полость через разрыв диафрагмы; 3 - жидкость в правой плевральной полости.
Пострадавший экстренно оперирован под эндотрахеальным наркозом с раздельной вентиляцией легких. В положении на левом боку с учетом высокого расположения правой половины диафрагмы выполнен разрез кожи в четвертом межреберье по правой переднеподмышечной линии длиной 1,5 см. Разведены мышцы, в плевральную полость введен торакопорт 10,5 мм, камера 30°. В плевральной полости 300 мл геморрагической жидкости. Правая половина диафрагмы расположена на уровне пятого межреберья, визуализирован ее разрыв, идущий справа налево, спереди назад от границы мышечной части и сухожильного центра к перикарду. Размеры разрыва 6×8 см, через него в плевральную полость частично пролабирует правая доля печени, на которой имеется несколько некровоточащих разрывов капсулы (рис. 3). Рисунок 3. Операционные фотографии. а - разрыв диафрагмы с дислокацией печени в правую плевральную полость; б - ушитый разрыв диафрагмы. Дополнительные торакопорты 10,5 мм установлены в пятом межреберье по среднеключичной и шестом межреберье по заднеподмышечной линии. Печень низведена в брюшную полость с помощью эндоскопического ретрактора. Произведено ушивание разрыва диафрагмы отдельными узловыми швами инструментом Endo Stitch нитью Surgidac USP 0 с экстракорпоральной вязкой узлов. Дренажи диаметром 8 мм в задний костодиафрагмальный синус и к верхушке гемиторакса выведены через проколы для торакопортов в шестом и четвертом межреберьях соответственно. Легкое расправлено под визуальным контролем. Пострадавший экстубирован по окончании операции.
На рентгенограмме после операции правая половина диафрагмы четкая, на уровне переднего конца V ребра (рис. 4), при УЗИ свободной жидкости в плевральной полости нет, диафрагма четкая, печень расположена в брюшной полости (рис. 5). Рисунок 4. Рентгенограмма груди после операции. Рисунок 5. Эхограмма правой плевральной полости после операции. 1 - правая половина диафрагмы; 2 - печень. Послеоперационный период протекал без осложнений. Дренажи удалены на 3-и сутки после операции, раны зажили первичным натяжением.
По стабилизации состояния пострадавший переведен в травматологическое отделение. Ему был последовательно выполнен внеочаговый остеосинтез правой бедренной и большеберцовой костей блокируемыми штифтами. В удовлетворительном состоянии выписан под наблюдение травматолога по месту жительства на 62-е сутки после травмы.
Данное наблюдение демонстрирует типичную клинико-инструментальную картину разрыва правой половины диафрагмы, которая характеризуется постепенным нарастанием дыхательной недостаточности, смещением диафрагмы и печени в краниальном направлении после перевода пострадавшего с ИВЛ на самостоятельное дыхание [1]. Следует подчеркнуть, что при разрыве правой половины диафрагмы ультразвуковой метод более информативен, чем рентгенологический и компьютерно-томографический.
В этом наблюдении торакоскопия имела не только диагностический, но и лечебный характер. Необходимым условием является сбалансированный эндотрахеальный многокомпонентный наркоз с раздельной вентиляцией легких, что позволяет получить хороший обзор всех структур гемиторакса. Высокое расположение диафрагмы заставило выбрать нетипичные точки для введения торакопортов и создало дополнительные технические трудности из-за малого «рабочего пространства». Использование эндоскопического сшивающего аппарата Endo Stitch позволило выполнить операцию без ее расширения до видеоассистированной миниторакотомии или конверсии в типичную торакотомию.
Травмы диафрагмы
Травмы диафрагмы - это повреждения грудобрюшной преграды, возникающие в результате воздействия внешних факторов. При небольших разрывах симптоматика стертая. Обширные закрытые травмы могут проявляться признаками сдавления лёгкого, внутреннего кровотечения, ущемления желудка или кишечника. При открытых ранениях присутствуют симптомы нарушения целостности органов грудной клетки и (или) брюшной полости. Патология диагностируется с помощью осмотра, физикальных данных, УЗИ и лучевых методов исследования грудной и абдоминальной полостей, торако- или лапароскопии. После обнаружения дефекта диафрагмы осуществляется его хирургическая коррекция.
МКБ-10


Общие сведения
Травмы диафрагмы встречаются в 0,5-5% случаев всех сочетанных повреждений. Разрыв органа при закрытой травме чаще происходит в месте соединения его мышечной и сухожильной частей. Размер образовавшегося дефекта может существенно варьироваться (от 2 до 20 см). Из-за анатомических особенностей организма преобладают повреждения левого купола. Двусторонние, множественные разрывы выявляются редко. Ранение диафрагмы при открытой травме может локализоваться в любой её части. Из-за трудностей диагностики у 50-70% пострадавших диафрагмальный дефект не обнаруживается прижизненно. Пациенты погибают от тяжёлых сочетанных торакальных или абдоминальных травм, поздних осложнений недиагностированной патологии.
Причины
- Причиной открытых травм диафрагмы являются огнестрельные или колото-резаные торакоабдоминальные ранения, чаще встречающиеся в период военных действий.
- В мирное время превалируют закрытые травмы, возникающие вследствие дорожно-транспортных происшествий, при падении с высоты.
- К разрыву диафрагмы иногда приводит компрессия грудной клетки или живота при сдавлении тяжелым предметом.
Ранее считалось, что спровоцировать подобную травму может повышение внутрибрюшного давления при чихании, кашле, рвоте, а также у женщин во время родов. Современные экспериментальные исследования в области общей хирургии и травматологии указывают на то, что предпосылкой разрыва в таких случаях становится врождённое истончение мышечного слоя диафрагмы.
Патогенез
Открытые повреждения диафрагмы очень редко бывают изолированными. Обычно колюще-режущий предмет или пуля (при огнестрельном ранении) проходит из грудной полости в брюшную или наоборот, травмируя диафрагму, а также прилежащие к ней ткани и органы. При закрытом ранении разрывы диафрагмы обусловлены чрезмерным натяжением органа, возникающим из-за сдавления рёбер или живота. Дефект грудобрюшной преграды может также образоваться при её повреждении отломками рёбер.
Из-за разницы давления в грудной и брюшной полостях желудок, петли кишечника, селезёнка, реже печень и желчный пузырь пролабируют в грудную клетку, поджимают лёгкие и средостение, могут ущемиться в образовавшемся отверстии. Повреждение крупных сосудов становится причиной массивных внутренних кровотечений. Прилежащие к диафрагме листки плевры имеют большое количество болевых рецепторов. Раздражение этих рецепторов при чрезмерном натяжении плевры из-за пролапса органов или её повреждения, травмы других органов и массивная кровопотеря потенцируют развитие травматического шока.
Классификация
В зависимости от локализации места разрыва различают травмы левого или правого купола диафрагмы, а также нарушения целостности ее мышечной или сухожильной части. Ранения органа могут быть единичными и множественными, изолированными или сочетанными с другими травматическими повреждениями. Большое клиническое значение имеет деление травм грудобрюшной перегородки на:
Открытые
Возникают при проникающем ранении живота или груди. По клиническим проявлениям подразделяются на следующие группы:
- С преимущественно абдоминальными повреждениями. Преобладают признаки ранения органов живота. Травма ОГК незначительная. Явления гемо- или пневмоторакса отсутствуют.
- Спревалирующими торакальными поражениями. На первый план выходят симптомы тяжёлой травматизации плевры и лёгкого, выраженная дыхательная недостаточность.
- С признаками торакоабдоминальной травмы. Ярко выражены проявления ранений органов обеих полостей.
Закрытые
Не сопровождается нарушением целостности кожных покровов. Раневой канал отсутствует. Клиническая картина определяется размерами разрыва и степенью пролабирования органов живота в полость груди.
Симптомы травм диафрагмы
Клинические проявления диафрагмальной травмы очень разнообразны, зависят от величины разрыва и наличия сочетанных повреждений других органов. Патогномоничным симптомом диафрагмальной травмы является болезненность в области мечевидного отростка грудины. Иногда появляется некупируемая икота. При открытых травмах всегда присутствует глубокий раневой канал, нередко имеющий выходное отверстие. Ранение с повреждением брюшной полости характеризуется картиной острого живота. Пострадавшие жалуются на интенсивные, усиливающиеся при пальпации боли в животе, которые могут быть острыми или тупыми, разлитыми или локализованными. Ярко выраженный болевой синдром нередко сопровождается рвотой. Пациенты принимают вынужденное положение, беспокойны.
При сопутствующем повреждении ОГК больного беспокоят резкие боли в груди и затруднение дыхания. При вдохе со стороны входного отверстия раны слышен «сосущий» звук. При выдохе или кашле воздух выталкивается из раны вместе с пенистой кровью. Возникает и нарастает подкожная эмфизема. В области груди, шеи, лица появляется быстро распространяющаяся припухлость, при пальпации которой слышен характерный хруст. Травмы грудной клетки с повреждением диафрагмы часто сопровождаются кровохарканьем. Из-за раздражения большого количества рецепторов париетального и висцерального листков плевры может развиваться плевропульмональный шок, характеризующийся нарушением гемодинамики и выраженной респираторной недостаточностью.
Резкое снижение артериального давления, тахикардия, бледность кожных покровов, слабость, нарушение сознания наблюдаются при значительной кровопотере, обусловленной ранением крупных кровеносных сосудов. При пролабировании внутренних органов в грудную полость обнаруживаются признаки компрессии лёгкого, смещение средостения. У пострадавшего возникает одышка при малейшей нагрузке и в покое. Кожа приобретает цианотичный оттенок. Присутствует учащенное сердцебиение и нарушения сердечного ритма.
Осложнения
Из-за хорошего кровоснабжения диафрагмы травмы этого органа часто осложняются внутрибрюшным или внутригрудным кровотечением. Описаны случаи смерти пациентов от кровопотери, вызванной травматизацией грудобрюшной преграды во время плевральной пункции. Своевременно не диагностированные сопутствующие абдоминальные травмы через несколько дней приводят к развитию перитонита. Массивные торакальные повреждения нередко сопровождаются плевропульмональным шоком. Из-за сложностей диагностики небольшие по размеру травмы диафрагмы часто остаются невыявленными, в последующем формируются травматические диафрагмальные грыжи. Грозным осложнением таких грыж является ущемление в образовавшемся разрыве внутренних органов с последующим некрозом их стенок, развитием кишечной непроходимости, перитонита.
Диагностика
Диагностическим поиском при подозрении на травму диафрагмы занимаются травматологи, торакальные и абдоминальные хирурги. При массивном ранении явными симптомами разрыва грудобрюшной преграды считаются выпадение органов живота из раны на груди, истечение из неё желчи, желудочного или кишечного содержимого. Обнаружить небольшие повреждения перегородки при проникающей травме груди или живота часто бывает трудно из-за общего тяжёлого состояния пострадавшего. Наличие дефекта в диафрагме выявляется с помощью следующих методов:
- Осмотр и физикальные данные. При осмотре открытой раны оценивается состояние входного и выходного отверстий, определяется ход раневого канала. Обнаружить образовавшийся дефект иногда удается путем пальпации раневого хода пальцем. Иногда наблюдается асимметрия живота либо грудной клетки. На разрывы диафрагмы указывает наличие перитонеальных симптомов и притупления в отлогих местах живота при повреждении груди, укорочение лёгочного звука или тимпанит, ослабление дыхания при травмах брюшной полости. При аускультации лёгких могут прослушиваться кишечные шумы.
- Лучевая диагностика. Выполняется рентгенография и КТ грудной полости, КТ брюшной полости. Выявить разрыв на рентгенограмме можно только при пролапсе органов пищеварения в область грудной клетки. Для уточнения локализации травматического дефекта грудобрюшной перегородки, дифференциальной диагностики травмы и релаксации органа осуществляется контрастная рентгенография желудка либо ирригография. Просматривается желудок или петли кишечника в левой половине грудной клетки, определяется смещение пищевода.

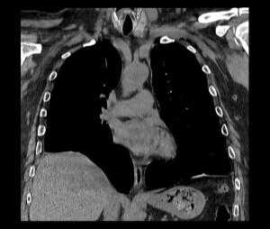
КТ органов грудной клетки/брюшной полости. Травматический дефект в передних отделах диафрагмы справа с эвентрацией кишечника, сальника, кровеносных сосудов в грудную полость
- Ультразвуковое исследование.УЗИ ОБП и УЗИ плевральной полости даёт возможность подтвердить наличие диафрагмального дефекта, смещение ОБП, наличие свободной жидкости в обеих полостях. Наблюдается высокое стояние одного из куполов диафрагмы. Левосторонний разрыв сопровождается разъединением плевральных листков с появлением неоднородного содержимого между ними. При правостороннем дефекте обнаруживается необычно высокое расположение печени - её верхний край может находиться на уровне второго ребра.
- Лапароскопия, видеоторакоскопия. Являются наиболее информативными методами диагностики. Позволяют визуализировать и локализовать разрыв органа. Применяются в сложных случаях, в том числе - для дифференцировки травмы с релаксацией диафрагмы. Видеоторакоскопия выполняется осторожно, верхним доступом из-за опасности повредить пролабирующие органы.

Лечение травм диафрагмы
В целях снижения летальности устранение жизнеугрожающих состояний, осложняющих диафрагмальную травму, должно быть максимально ранним и начинаться на догоспитальном этапе. Назначается адекватное обезболивание. Выполняется остановка кровотечения и восполнение ОЦК путем внутривенного вливания коллоидных плазмозаменителей и кристаллоидных растворов. Восстанавливается проходимость дыхательных путей, производится подача увлажнённого кислорода. Артериальная гипотензия купируется введением прессорных аминов.
В хирургическом стационаре осуществляется предоперационная подготовка, включающая в себя устранение пневмо- и гемоторакса, постановку назогастрального зонда и удаление содержимого желудка. Все эти мероприятия проводятся на фоне продолжающейся инфузионной терапии. Непосредственно во время операции выполняется прошивание кровоточащих сосудов, восстановление целостности внутренних органов, удаление патологического содержимого из полостей.
Объём оперативного вмешательства зависит от давности повреждения и состояния органов, перемещённых в плевральную полость (при наличии подобной патологии). Из-за отсутствия прочных сращений в течение нескольких часов или дней после травмы низведение осуществляется легко, лапаротомным доступом. При невозможности этой манипуляции или ущемлении органов дополнительно производится торакотомия. После восстановления нормального расположения внутренних органов производится ушивание дефекта диафрагмы. В послеоперационном периоде контролируются и корригируются витальные функции, назначается антибактериальная терапия.
Прогноз и профилактика
Прогноз во многом зависит от характера травмы и величины образовавшегося дефекта. Около 50% пациентов с разрывом диафрагмы погибают от летальных осложнений до установления диагноза. Смерть в постоперационном периоде наступает в 35% случаев, чаще обусловлена наличием сочетанных повреждений. У пострадавших с открытым ранением диафрагмы прогностические показатели хуже, чем у больных с закрытой травмой. К профилактике подобных повреждений можно отнести общие меры по предупреждению травматизма, соблюдение правил личной безопасности в быту и на рабочем месте.
3. Диагностика и хирургическое лечение повреждений диафрагмы/ Кубачев Г.К., Омаров И.Ш., Турдыев Д.С.
4. Повреждения диафрагмы при открытой и закрытой торакоабдоминальной травме/ Кубачев Г.К., Кукушкин А.В.

Диафрагма (diaphragma от греч. — перегородка), или грудобрюшная преграда — это куполообразная перегородка, которая разделяет грудную и брюшную полости. Выделяют центральную сухожильную и краевую мышечную части диафрагмы. Сокращаясь и расслабляясь диафрагма принимает участие в акте дыхания.
Релаксация диафрагмы - одностороннее стойкое высокое расположение диафрагмы, сохраняющей свою непрерывность и прикрепление в обычных местах.
В основе заболевания — повреждение диафрагмального нерва, при котором диафрагма расслабляется и не сокращается (т.е. наступает её релаксация). Так как в брюшной полости положительное давление, а в грудной клетке в большей части отрицательное, то органы брюшной полости давят на релаксированный купол диафрагмы. Таким образом, купол диафрагмы поднимается выше обычного, сдавливая собой соответствующее легкое. Часто заболевание так и называют — релаксация купола диафрагмы.
При диафрагмальной грыже органы брюшной полости перемещаются в грудную клетку через образовавшийся дефект, слабую зону диафрагмы или через расширенное естественное отверстие диафрагмы. В отличие от грыж при релаксации диафрагмы имеется резкое истончение ее и отсутствие мышц в целом купоне диафрагмы или в какой-либо части. Этот участок или весь купол выпячивается высоко в грудную клетку вместе с прилежащими органами брюшной полости. Выраженные грыжевые ворота при этом отсутствуют, поэтому ущемление при этом заболевании невозможно.
Релаксация диафрагмы — причины
Наиболее частой причиной травмы диафрагмального нерва являются операции на органах средостения:
- маммарно-коронарное шунтирование;
- тимэктомия;
- удаление опухолей средостения;
- операции по поводу рака легкого с расширенной лимфаденэктомией;
- операции на диафрагме и другие.
Соответственно, основным методом профилактики является тщательная визуализация и предупреждение повреждений диафрагмального нерва во время операций на органах средостения.
На втором месте по частоте развития релаксации диафрагмы стоит травма груди и шеи. Повреждения диафрагмального нерва могут возникать при гематоме средостения, травме шейного отдела позвоночника, разрывах диафрагмы, в которые вовлечен диафрагмальный нерв.
Разделяют врожденную и приобретенную релаксации диафрагмы. Виды приобретенной:
- травматическая;
- вследствие воспалительных процессов;
- идиопатическая.
По расположению релаксация может быть:
- левосторонняя — релаксация левого купола диафрагмы;
- правосторонняя — релаксация правого купола диафрагмы.
Расслабление диафрагмы может быть полным (тотальным) или частичным (локальным).
Локальная релаксация диафрагмы
Частичная или локальная релаксация диафрагмы, как правило, наблюдается справа. Чаще всего ограниченная релаксация локализуется в передне-медиальном отделе диафрагмы справа, что может объясняться слабостью мышечных пучков, отходящих в этой области от задней поверхности грудины. Слева этот участок прикрыт париетальным листком перикарда и верхушкой сердца. При этом купол диафрагмы дугообразно выпячивается в сторону легкого, а печень деформируется, повторяя форму области релаксации.
Причиной ограниченной релаксации могут быть следующие заболевания:
- эхинококкоз печени и селезенки;
- поддиафрагмальный абсцесс;
- наддиафрагмальный осумкованный плеврит;
- кисты перикарда;
- базальная пневмония;
- ограниченная гипоплазия диафрагмы.
Главным признаком ограниченной релаксации является локальное дугообразное выпячивание передне-медиальной части диафрагмы и ее истончение на этом участке. Чаще заболевание протекает бессимптомно, реже больные предъявляют жалобы на боль в груди или в области сердца, кашель; могут встречаться и диспепсические явления.
Признаки релаксации диафрагмы
По клиническому течению релаксации диафрагмы выделяют 4 формы:
- бессимптомную;
- со стертыми клиническими проявлениями;
- с выраженными клиническими симптомами;
- осложненную (заворот желудка, язва желудка, кровотечение и др.).
Выраженность симптомов релаксации диафрагмы весьма различна - от полного отсутствия симптомов заболевания до значительных функциональных расстройств пищеварительной, дыхательной, сердечно-сосудистой и других систем.
Симптомы зависят от выраженности смещения диафрагмы и органов брюшной и плевральной полостей, а также от стороны поражения: наиболее выраженной, как правило, бывает левосторонняя релаксация. При этом из брюшной полости высоко вверх поднимаются желудок, толстая кишка, селезенка, реже - тонкая кишка. Смещенный вверх желудок претерпевает те же изменения положения, что и при диафрагмальной грыже - его большая кривизна поворачивается кверху и прилежит к диафрагме.
Наиболее характерные симптомы
- приступы боли и слабости;
- потеря массы тела;
- одышка;
- кашель;
- ощущение сердцебиения.
В каждом отдельном случае на первый план выступает определенная группа симптомов со стороны тех органов, функция которых наиболее нарушена. В зависимости от этого выделяют три основных синдрома:
- дыхательный,
- сердечно-сосудистый;
- пищеварительный.
У детей выделяют особую кардиореспираторную форму релаксации.
Дыхательный синдром проявляется одышкой после незначительной физической нагрузки, изменения положения тела и, что особенно характерно, после приема пищи. Частым проявлением дыхательного синдрома является раздражающий сухой кашель, также возникающий после приема пищи или изменения положения тела. Дыхательный синдром обусловлен выключением половины диафрагмы из дыхания, давлением ее на нижние отделы легкого.
Сердечно-сосудистый синдром связан со смещением сердца и характеризуется тахикардией, аритмией, ощущением сердцебиения и ангинозными болями. Он обусловлен смещением и ротацией сердца вследствие высокого стояния купола диафрагмы.
При пищеварительном синдроме отмечается:
- дисфагия (в том числе и пародоксальная);
- боли в эпигастрии и подреберье;
- чувство тяжести после еды;
- частые отрыжки;
- икота;
- изжога;
- урчание в животе;
- тошнота и рвота;
- метеоризм и запоры,
- дисфагия.
Причиной указанных жалоб является выпадение динамической функции диафрагмы, перегиб абдоминального отдела пищевода, заворот желудка с растяжением его и нарушением кровообращения, что может провоцировать развитие эрозивного гастрита, венозного стаза и язв. Осложнениями могут быть рецидивирующие желудочно-кишечные кровотечения; в литературе имеются даже описания случаев гангрены желудка.
ЭКГ. Инструментальные исследования дают возможность выявить нарушения функции внешнего дыхания, характерно значительное уменьшение ЖЕЛ. На электрокардиограмме у таких больных часто наблюдаются экстрасистолы, признаки замедления внутрижелудочковой проводимости и нарушения коронарного кровообращения.
Рентген. Рентгенологическое исследование является решающим в диагностике релаксации, при этом определяются следующие симптомы:
- стойкое повышение уровня расположения соответствующего купола диафрагмы до 2 - 5 ребра;
- в горизонтальном положении диафрагма и прилежащие к ней органы брюшной полости смещаются кверху;
- контур диафрагмы представляет собой ровную, непрерывную дугообразную линию.
Нередко выявляется ателектаз нижних отделов легкого и смещение средостения.

Релаксация диафрагмы рентген (левый купол)
КТ. Наиболее информативным методом исследования является компьютерная томография, дающая полную информацию о степени релаксации и характере изменений органов грудной и брюшной полостей. Во всех случаях релаксации, даже при небольшой ее выраженности, наблюдается ателектаз и воспалительные изменения базальных сегментов легкого. С внедрением компьютерной томографии практически отпала надобность в остальных традиционных методах дифференциальной диагностики.

Релаксация правого купола диафрагмы на КТ
Лечение
Лечение релаксации диафрагмы только хирургическое.
Показанием к плановой операции является релаксация:
- сопровождающаяся болевым синдромом;
- сдавлением и уменьшением объема легкого с нарушениями функции дыхания;
- смещением средостения с нарушениями сердечно-сосудистой деятельности;
- высоким стоянием органов желудочно-кишечного тракта с нарушениями пищеварения.
Экстренные показания к операции возникают при завороте желудка, разрыве диафрагмы, остром желудочном кровотечении и других осложнениях.
Задачей хирургического вмешательства является восстановление исходного уровня стояния диафрагмы, в результате чего грудные и брюшные органы должны занять свое нормальное положение. Операция заключается в пластике диафрагмы собственными тканями или пластике сетчатым протезом.
Современным и перспективным направлением хирургии диафрагмы при ее релаксации являются торакоскопические и лапароскопические операции. Общеизвестные преимущества эндоскопических операций - прежде всего минимальное повреждение дыхательной мускулатуры грудной стенки.
В отделении торако абдоминальной хирургии и онкологии РНЦХ им. Петровского предпочтение отдается оперативному лечению диафрагмы из лапароскопического доступа. Опыт выполнения данных оперативных вмешательств из лапароскопического и торакоскопического доступов составляет более 10 лет.
Пластика диафрагмы проводится сетчатым протезом. Российский научный Центр хирургии является одним из основоположников хирургии диафрагмы с использованием синтетических протезов. Аллопластику (сетчатым протезом) диафрагмы применяют с 1951 г., у истоков создания метода стоял выдающийся отечественный хирург и основатель Центра хирургии, академик Б.В. Петровский.
Вас может заинтересовать: Хирургия диафрагмы, Грыжи диафрагмы.
Прогноз
Прогноз лечения благоприятный. Важно соблюдать рекомендации при выписке из стационара и исключения вредных социальных факторов. Выздоровление с восстановлением трудоспособности происходит через 1-2 месяца от операции.
Лечение в отделении торакоабдоминальной хирургии РНЦХ им. Петровского
Если Вы ищете клинику для лечения релаксации диафрагмы — обращайтесь в наш центр. Лечение в отделении торако-абдоминальной хирургии — это торакальные хирурги с огромным опытом работы, новейшее оборудование и комфортные условия стационара. Ознакомьтесь с отзывами пациентов нашего отделения.
Мы осуществляем лечение бесплатно по программе ОМС, ДМС и на коммерческой основе. Оказываем помощь в рамках высокотехнологичной медицинской помощи.
Релаксация диафрагмы МКБ 10 код: J98.6. Болезни диафрагмы.
Принимаем на лечение жителей всех регионов России. Узнайте подробности, как попасть на лечение в отделение торако-абдоминальной хирургии РНЦХ.
Для записи на консультацию позвоните по телефонам:
Отправьте заявку на консультацию, заполнив форму на нашем сайте и прикрепив необходимые документы.
Операция при аневризме аорты (брюшного/восходящего отдела)
Операция при аневризме аорты направлена на удаление измененного участка и восстановление целостности сосуда посредством протезирования. Такое лечение проводится в плановом порядке или экстренно, под общим наркозом.
Аневризма аорты представляет собой локальное расширение просвета сосуда с изменениями его стенок и высоким риском разрыва. Опасность патологии состоит в том, что долгое время она может не давать никаких симптомов, а ее носитель не подозревает о наличии в организме смертельно опасного изменения.
Аневризматические расширения в сосудах чаще обнаруживают у пожилых людей, особенно - при наличии атеросклероза, артериальной гипертензии, сахарного диабета. Эта патология предрасполагает не только к структурным изменениям стенок аорты, их истончению и выпячиванию, но и нарушению целостности уже имеющейся аневризмы.

аневризма аорты при атеросклерозе (а - грудного, б - брюшного отдела)
Бессимптомная аневризма не влияет на кровоток, но тяжелые осложнения делают ее чрезвычайно опасной. Вне разрыва есть риск тромбоэмболий по причине тромбообразования в стенке и полости аневризмы, а разрыв вызывает массивное кровотечение и шок, когда больной умирает в очень короткий промежуток времени.
Учитывая тяжесть последствий аневризмы, все случаи, когда диагностирована данная патология, подлежат тщательному контролю. Пациента следует обследовать, определить степень риска осложнений и назначить срок проведения операции. При разрыве вмешательство проводится в экстренном порядке.
Показания и противопоказания к хирургическому лечению аневризмы аорты
Единственным показанием к проведению аневризмы можно считать уже ее наличие, даже если патология протекает бессимптомно. Сроки лечения и способ зависят от расположения, размеров выпячивания, риска разрыва, возраста и общего состояния больного.

Абсолютными показаниями к операции по удалению аневризмы считают:
- Состоявшийся разрыв с кровотечением (экстренная операция);
- Стремительное увеличение размеров образования - более 4 мм в год;
- Диаметр аневризмы более 5 см;
- Высокий риск осложнений (тромбоз, эмболия, разрыв);
- Нарушение кровообращения в ногах;
- Расслоение стенки аорты в области аневризмы (сопровождается сильной болью в груди, животе, паху).
У пациентов пожилого возраста при наличии сопутствующих заболеваний проведение операции может быть опасным, поэтому хирург всегда четко взвешивает предполагаемую пользу и риски. Если аневризма стабильна, угроза ее разрыва минимальна, то можно на какое-то время отложить оперативное лечение и попытаться максимально улучшить состояние больного.
Плановая операция по удалению аневризмы аорты имеет свои противопоказания - тяжелая сердечная недостаточность, серьезные нарушения в работе печени и почек, острый инфаркт сердца и инсульт. У больных старше 75 лет, при низком гемоглобине крови и высоком показателе креатинина есть высокий риск неблагоприятного исхода прямо во время оперативного лечения, особенно, если произошел разрыв. В случае разрыва аневризмы противопоказаний, по сути, нет, так как без операции неминуема гибель больного.
Все вмешательства на аневризмах делят на радикальные и паллиативные. Радикальные производят наиболее часто, это основной вид лечения патологии. Паллиативные применимы лишь тогда, когда противопоказана открытая перация, но имеется большой риск разрыва выпячивания. К паллиативным процедурам можно отнести «укутывание» места аневризматического расширения синтетическим материалом, который будет препятствовать нарушению целостности стенки сосуда.
Предоперационная подготовка
При экстренном хирургическом лечении разорвавшейся аневризмы времени на обследование и подготовку крайне мало, поэтому при поступлении в приемном покое делаются в срочном порядке анализы крови и мочи, коагулограмма, затем пациента отправляют на УЗИ, компьютерную томографию (если позволяет состояние, конечно), далее - в операционную.

При плановой операции по поводу аневризмы больного обследуют гораздо более тщательно. Проводят анализы крови и мочи, кардиографию, рентгенографию грудной клетки, УЗИ органов брюшной полости, а также КТ и МРТ, позволяющие очень точно локализовать выпячивание, уточнить его размеры и строение.
При беседе с лечащим врачом на этапе подготовки пациент обязательно должен сообщить обо всех принимаемых препаратах. Особенно это касается аспирина и антикоагулянтов (варфарин, клопидогрель), которые могут спровоцировать снижение свертываемости крови и кровотечение.
При поступлении в стационар больной уже имеет на руках большинство результатов исследований, кое-что может быть повторно проведено в клинике (те же анализы крови, свертываемость, группа и резус-фактор, анализы на ВИЧ, гепатиты, сифилис, УЗИ живота).
Накануне вечером происходит последний прием пищи не позднее 8 часов до операции, принимается душ, пациент переодевается в чистую одежду и ложится спать. При сильных переживаниях и бессоннице допускается прием успокоительных средств и снотворных.
Все открытые операции на аорте требуют общего наркоза, в ряде случаев - искусственного кровообращения или временного шунтирования. Эндоваскулярное лечение может быть проведено под местной анестезией. Открытое вмешательство длится в среднем 3-6 часов.
Техника операции при аневризме брюшной аорты
Аневризма аорты брюшной полости считается одной из наиболее частых локализаций патологии. Это неслучайно, ведь именно в этом месте от сосуда отходят магистрали к кишечнику, почкам, в устьях которых создаются «завихрения» кровотока, способствующие прогрессированию атеросклероза и микротравмированию внутренней стенки аорты.
В 9 случаях из 10 аневризматический мешок расположен ниже места ветвления почечных сосудов, поэтому кровоток в почках сохраняется на время операции. Дополнительные трудности по обеспечению кровообращения в почках возникают во время операции на аневризме, расположенной выше этого места. В таком случае даже кратковременное пережатие сосуда может вызвать острую недостаточность почек, поэтому время манипуляции на сосудах максимально сокращают.
Доступ к брюшной аорте - срединный, когда хирург делает длинный продольный разрез передней стенки живота от нижнего края грудины до лобкового симфиза. Такой разрез оставит после себя заметный косметический дефект, но иного выхода у хирурга нет, этого требует тяжесть патологии и глубокая локализация самой аорты позади органов живота.
После вскрытия брюшной полости, хирург отодвигает кишечные петли вправо, выделяет мочеточники, подвздошные и почечные сосуды, определяет верхний и нижний полюс аневризмы, пережимает сосуды, задействованные в патологическом процессе.
Основной тип операции на аневризму брюшной аорты - протезирование, при этом протез может быть в виде трубки, соединяющей оба конца аорты выше и ниже места выпячивания после его иссечения. В случае распространенного атеросклероза протез может соединять аорту с подвздошной или бедренной артерией - эти особенности определяются индивидуально для каждого пациента.

Если аневризма аорты сочетается с тяжелым атеросклерозом места ее деления на подвздошные артерии, то протез будет в форме развилки (бифуркационный), фиксирован к аорте и обеим подвздошным артериям, а место выпячивания и бифуркации аорты удаляется.
В процессе манипуляций важно очень аккуратно обращаться с сосудами, постараться сохранить внутреннюю подвздошную артерию для кровотока в малом тазу (предупреждение импотенции у мужчин). При очень близком расположении к аневризме яичниковой или яичковой артерии лучше их перевязать, чтобы предупредить возможное повреждение и кровотечение.
Когда на верхний и нижний концы аневризмы наложены зажимы, то в сосуды выше и ниже места их пережатия вводят гепарин для профилактики тромбообразования. Затем хирург рассекает стенку аневризматического мешка, удаляет из него тромботические массы, промывает полость гепарином и иссекает переднюю и боковые стенки.
Протез участка сосуда изготавливается из гибких синтетических материалов и подбирается индивидуально в соответствии с диаметром аорты и того сосуда, к которому будет наложен анастомоз. Сначала к верхнему концу аорты пришивают верхнюю часть протеза, накладывая швы кнаружи, затем производят фиксацию нижнего конца протеза к аорте, подвздошным или бедренным артериям.
После того, как протез установлен, снимаются зажимы с аорты, и происходит восстановление движения крови по ней. Операция проводится при использовании аппарата искусственного кровообращения или временного анастомоза, «перекачивающего» кровь, минуя зону хирургических манипуляций.
На завершающем этапе операции хирург убеждается в отсутствии кровоточивости и хорошей фиксации протеза швами, укладывает кишечник в нормальное положение и ушивает ткани. Для профилактики свищей от действия шовных нитей на кишечные петли, протез укрывается двумя слоями брюшины.
В послеоперационном периоде неизбежны проблемы с кишечником, его вздутие, поэтому шов на брюшной стенке дополнительно укрепляется проволокой или прочной нейлоновой нитью, чтобы предупредить его расхождение.
Видео: лекция по аневризме брюшной аорты - выявление, тактика лечения, операция
Лечение аневризмы грудного и восходящего отделов
При аневризме восходящей аорты и ее дуги также производится протезирование пораженного участка сосуда, но не всегда возникает необходимость в налаживании искусственного кровотока. В некоторых случаях достаточно обходного шунтирования, обеспечивающего кровоснабжение тканей головы.

Выпячивания начальных отделов аорты, которые обыватель может назвать аневризмой аорты сердца, указывая на близость патологии к главному «насосу» организма, оперируют открытым доступом. Для этого хирург рассекает в продольном направлении грудину, достигает перикарда, вскрывает его, затем подключается аппарат искусственного кровообращения. Циркулирующая через аппарат кровь во время операции охлаждается, а в венечные сосуды вводятся катетеры для их обеспечения кровью.
После того, как аневризма выделена, на нее накладываются зажимы, стенка пересекается, удаляются измененные фрагменты и устанавливается протез. Обычно в его качестве используют собственные сосуды больного или другие ткани (аллотрансплантат).
Если помимо аневризмы есть нарушения со стороны аортального клапана, то операция может быть дополнена его пластикой. После того, как все манипуляции завершены, хирург удостоверяется в надежности установки протеза, больного согревают до нормальной температуры тела, а аппарат искусственного кровотока отключают тогда, когда левый желудочек достаточно заполнится кровью для нормальной его сократимости.
Операцию заканчивают установкой дренажей в правую плевральную полость и сердечную сумку, ткани послойно ушивают, грудину фиксируют металлическими скобками или проволокой.

пример протезирования восходящей аорты

протезирование части дуги и нисходящего отдела аорты
Если аневризма восходящего отдела имеет узкую шейку, то кровообращение в теле пациента сохраняют в обычном состоянии. На участок аорты в основании выпячивания накладывается зажим, аневризма отсекается и удаляется полностью, а место ее отхождения тщательно ушивается.
При поражении аневризмой дуги аорты доступ производится через левую грудную полость, грудина пересекается в косом направлении и далее разрез распространяется направо во 2-3 межреберный промежуток. Операция проводится при искусственном кровообращении, а для снабжения кровью головы устанавливается шунт между нисходящей частью сосуда и сонными артериями.

Аневризма после установки шунта пережимается и удаляется, в эту зону помещается и фиксируется протез, к которому хирург подшивает те сосуды, которые отходят в норме от дуги аорты. После восстановления нормального кровотока шунт извлекается, а аппарат искусственного кровообращения отключается.
Аневризма грудной аорты оперируется открытым способом и требует либо искусственного кровообращения, либо наложения шунта, осуществляющего циркуляцию крови между верхним и нижним участками сосуда. После того, как эти манипуляции завершены, хирург удаляет аневризму полностью. Восстановление целостности сосуда возможно с помощью прямого протеза, соединяющего оба конца грудной аорты. В части случаев аорта в зоне удаленной аневризмы зашивается полностью, а кровоток осуществляет временный анастомоз, который после операции становится постоянным.
Видео: операция на восходящем отделе, дуге аорты
Эндопротезирование стент-графтом, стентирование при аневризме аорты
Помимо открытых, разработаны и малоинвазивные операции, которые показаны в качестве планового лечения патологии. Эндоваскулярное вмешательство состоит во введении через разрез в бедренной артерии катетера, который доставляет к измененному участку сосуда стент-графт, обеспечивающий выключение аневризмы из кровотока.
Стент-графт представляет собой металлическую пружину, расправляющуюся в просвете аорты до нужного диаметра. Снаружи к стенту фиксирована тканевая основа из синтетического прочного материала. Такие устройства бывают прямые или бифуркационные, для установки в брюшном отделе аорты, месте ее деления на сосуды и в начальные отделы подвздошных артерий.

Стент-графт изготавливается индивидуально для каждого пациента вручную, из высококачественных материалов, что объясняет его высокую стоимость и, соответственно, низкую доступность для широкого круга больных.
Эндопротезирование брюшной аорты (установка стент-графта)
Послеоперационный период и возможные осложнения
Послеоперационный период при открытом вмешательстве занимает около двух недель, по истечении которых удаляются кожные швы. Все это время пациент находится под тщательнейшим контролем специалистов. Реабилитация при эндоваскулярных операциях существенно короче - уже через несколько дней можно покинуть клинику.
На первом году после хирургического лечения аневризмы требуется постоянное наблюдение, и пациент посещает врача раз в месяц, затем два раза в год и ежегодно после трех лет. Дома нужно регулярно измерять давление, не допуская его повышения.
После операции по удалению аневризмы возможны самые разные осложнения. Так, в раннем послеоперационном периоде опасность представляют:
- Кровотечение при негерметично установленных швах на аорте;
- Тромбоэмболический синдром;
- Отек легких;
- Нагноение послеоперационной раны;
- Тяжелые нарушения функции почек.
Среди отдаленных последствий отмечают инфицирование протеза, тромбозы, кишечные свищи при недостаточной изоляции кишечника от зоны протезирования, нарушения половой функции у мужчин.
Для профилактики осложнений пациентам после протезирования аорты назначаются антиагреганты, при любой манипуляции (у стоматолога, гинеколога и т. д.) с риском повреждения тканей показаны антибиотики. Для коррекции артериального давления и сердечной деятельности кардиолог или терапевт назначают прием гипотензивных препаратов, бета-блокаторы, диуретики и другие в соответствии с теми или иными заболеваниями.
Открытые операции при аневризмах аорты проводятся бесплатно в центрах сосудистой хирургии. Эндопротезирование относится к числу высокотехнологичных операций, требующих дорогостоящего оборудования и наличия квалифицированного хирурга, поэтому возможности такого бесплатного лечения ограничены, и их проводят лишь в части клиник по квотам.
Платное лечение тоже возможно. Стоимость резекции аневризмы начинается с 30 тысяч рублей, при использовании аппарата искусственного кровообращения достигает ста и более тысяч. Эндопротезирование предполагает еще и покупку стент-графта. Цена на стент-графт за границей приближается к 500 тысячам рублей, в то время как стоимость самого эндопротезирования - в пределах 20-40 тысяч рублей.
Прогноз при аневризме аорты очень серьезный, и если ее не лечить, то рано или поздно произойдет разрыв и гибель пациента. Без лечения при разрыве шансов выжить нет, и даже после хирургической операции смертность достигает 90% в первые месяцы после вмешательства. После планового лечения пять и более лет живут 70% больных, поэтому, как только аневризма будет обнаружена, сразу же будет поставлен вопрос о необходимости операции.
Читайте также:
- УЗИ, МРТ при аневризме вены Галена (АВГ) у плода
- Серологическая диагностика золотистого стафилококка. Типирование бактериофагами золотистого стафилококка. Определение чувствительности золотистого стафилококка к антибиотикам. Лечение и профилактика стафилококковых инфекций.
- Мезодермальные мешки эмбриона. Взрослый организм ланцетника
- Показания к операции при неспецифическом язвенном колите. Виды операций при язвенном колите.
- Диагностика метастаза в сердце и перикард на рентгене, КТ, МРТ, ПЭТ
