Диагностика гетеротопии серого вещества мозга на МРТ, КТ
Добавил пользователь Валентин П. Обновлено: 13.12.2025
Для выявления патологий головного мозга применяют разные методы диагностики. Один из них - компьютерная томография (КТ).
Когда необходима КТ головного мозга? Как её проводят? Насколько безопасно такое исследование? На эти и другие вопросы отвечает врач-рентгенолог «Клиника Эксперт» Курск Екатерина Александровна Нехаева.
— При возникновении проблем с головным мозгом один из часто назначаемых методов исследования - МРТ. Екатерина Александровна, а приходят ли к вам пациенты на КТ головного мозга?
— Да, на компьютерную томографию головного мозга пациенты приходят довольно часто.
— Расскажите, в чём суть этого метода исследования
— Компьютерная томография основана на применении рентгеновского излучения. Проходя через ткани, имеющие различную плотность, рентгеновские лучи в разной степени ослабевают. С помощью специальных математических алгоритмов компьютер обрабатывает параметры рентгеновского излучения и формирует графические изображения (срезы) органов человека на экране. После этого доктор интерпретирует полученные изображения.
Подробнее о компьютерной томографии можно узнать здесь: Когда КТ незаменима?
— Получается, что КТ основана на использовании рентгеновских лучей. В связи с этим может возникнуть вопрос, опасно ли проводить КТ головного мозга
— Так как при проведении такой диагностики пациент получает определённую (но не очень большую!) дозу облучения, КТ применяется только при наличии обоснованных медицинских показаний.
— В каких случаях может понадобиться КТ головного мозга?
— При черепно-мозговых травмах (в том числе, при клинически диагностированном сотрясении мозга), при подозрении на наличие опухоли или инородного предмета в тканях мозга. Это исследование могут назначить и при жалобах пациента на постоянные головные боли, головокружение, тошноту, возникших, например, после травм.
К компьютерной томографии головного мозга обращаются и в том случае, если пациенту противопоказана МРТ.
Читайте материалы по теме:
— Какие патологии может увидеть доктор? Что выявляет КТ головного мозга?
— Прежде всего мы можем подтвердить или исключить опухоли головного мозга, кровоизлияния, врождённые аномалии, кисты, некоторые нейродегенеративные процессы и атрофию мозгового вещества. Это, по сути, единственный метод диагностики при черепно-мозговой травме, с помощью которого можно в очень сжатые сроки (5-10 мин) обследовать пациента и получить необходимые сведения о состоянии костей черепа и головного мозга.
Этот метод используют и для динамического наблюдения после хирургических вмешательств на головном мозге.
— Чем КТ отличается от МРТ головного мозга? И можно ли сказать, что из них лучше?
— Компьютерная томография - это более чувствительный метод для оценки костных структур. МРТ, в свою очередь, информативнее для выявления очаговых изменений в белом веществе, ядрах и стволовых структурах мозга, гипофизе. Сказать, какой метод лучше, я бы не взялась, так как каждый имеет свои сильные стороны, оттого эти методы являются не взаимоисключающими, а скорее взаимодополняющими.
— Екатерина Александровна, нужно ли как-то готовиться к КТ головного мозга?
— Специальной подготовки нет, необходимо только снять с себя все металлические предметы, в том числе украшения.
— Расскажите нашим читателям, как делают КТ головного мозга
— Пациент ложится на спину на выдвижной стол томографа. Важный нюанс: во время сканирования необходимо сохранять неподвижность, чтобы изображения получились чёткими, поэтому в большинстве случаев мы фиксируем голову пациента.
Рентген-лаборант вносит в базу данные пациента, выбирает протокол исследования и выполняет сканирование. После завершения сканирования врач-рентгенолог обрабатывает и анализирует полученные изображения и выдаёт заключение.
— Сколько по времени длится КТ головного мозга?
— Вся процедура занимает 5-7 минут.
— А есть ли противопоказания к КТ головного мозга?
— Да, это беременность и период лактации. Для исследования с контрастированием противопоказаниями являются также аллергия на содержащие йод вещества и снижение выделительной функции почек.
— Можно ли с помощью этого метода диагностики обследовать детей?
— Можно, но при этом следует использовать специальные протоколы, в которых предусматривается максимально сниженная лучевая нагрузка на организм ребёнка. Тем не менее, КТ головного мозга выполняют детям только при наличии показаний и направления от лечащего врача.
— А нужно ли направление доктора, чтобы пройти КТ головного мозга взрослому?
— Да, направление от лечащего врача требуется в абсолютном большинстве случаев, как для детей, так и для взрослых.
Беседовала Севиля Ибраимова
Записаться на КТ головного мозга можно здесь
ВНИМАНИЕ: услуга доступна не во всех городах
Редакция рекомендует:
Для справки:
Нехаева Екатерина Александровна
Выпускница лечебного факультета Курского государственного медицинского университета 2013 года.
В 2015 году прошла профессиональную переподготовку по специальности «Рентгенология».
В настоящее время занимает должность врача-рентгенолога в «Клиника Эксперт» Курск. Принимает по адресу: ул. Карла Либкнехта, 7.
Другие статьи по теме
Компьютерная томография костей черепа - исследование довольно распространённое. Однако при некоторых болезнях. КТ височных костей: когда бывает нужно это исследование?
Доктор направил вас на МСКТ для определения количества кальция в артериях сердца. МСКТ для определения коронарного кальция: что это за исследование?
Компьютерная томография органов грудной клетки (КТ ОГК) - один из современных методов. КТ органов грудной клетки: что покажет и как поможет пациенту?
Нарушения развития коры головного мозга
При МРТ в СПб мы прицельно ищем аномалии коры головного мозга при эпилепсии и отставании в развитии. Нарушения развития коры может быть изолированной аномалией развития, либо сочетаться с другими нарушениями развития, такими как нарушения регионализации. Нарушения развития коры определяются при МРТ головного мозга и могут быть разделены на:
Нарушения пролиферации и дифференциации - микроцефалия, мегалэнцефалия
Нарушения миграции - агирия-пахигирия (лиссэнцефалия), полимикрогирия, гетеротопии
Нарушения организации коры - микродисгенезии
Мегалэнцефалия представляет собой увеличение одного или обоих полушарий мозга. При мегалэнцефалии при МРТ наблюдается увеличенный боковой желудочек с соответствующей стороны, кора утолщена и не разделена на извилины (агирия), белое вещество не миелинизировано.

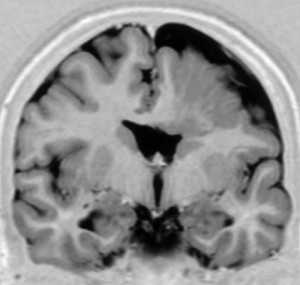
МРТ. Т1-зависимая корональная томограмма. Агирия.
Гетеротопии. В ходе эмбриогенеза нейроны могут не достичь своего места в коре. Большинство нарушений миграции имеет доминантное, связанное с Х-хромосомой, происхождение. Аномалии могут быть локальными и диффузными. Диффузные гетеротопии локализуются перивентрикулярно. Серое вещество по данным МРТ скапливается только вокруг боковых желудочков, не затрагивая области вокруг III и IV желудочков. В четверти случаев гетеротопии сопутствуют аномалии мозолистого тела и мозжечка.
Если нейроны совсем не достигают коры, то возникает лиссэнцефалия. Если только часть нейронов не достигает её, то возникают субкортикальные гетеротопии, видимые при МРТ в виде узлов или полосы («двойная» кора). Клиническая симптоматика обычно негрубая - небольшое отставание развития, пирамидные знаки и, иногда, дизартрия.

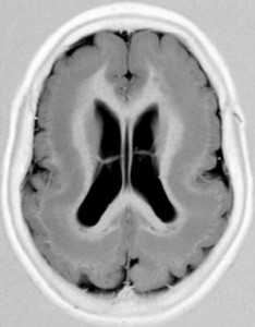
МРТ. Т1-зависимая аксиальная томограмма. “Двойная кора”.
Очаговые (фокальные, узловые) гетеротопии принято ещё называть гамартомами. Они встречаются как самостоятельная аномалия или как проявление туберозного склероза. На МРТ сигнал от узлов типичный для серого вещества и они типично не контрастируются гадолинием. Это позволяет отличать их от субэпендимальных узлов при туберозном склерозе. Особым вариантом гамартомы является гипоталамическая гамартома. Она расположена в области серого бугра, между ножкой гипофиза и сосочковыми телами. Гипоталамическая гамартома имеет экзофитный тип роста и достигает 12 мм. Клинически бывает бессимптомной, либо проявляется ранним созреванием, акромегалией и особым видом парциальной эпилепсии - судорогами в виде навязчивого смеха, а также психическими нарушениями. На Т1-зависимых МРТ гипоталамическая гамартома изоинтенсивна белому веществу, на Т2-зависимых МРТ немного гиперинтенсивнее его. Образование однородное, имеет четкий контур. Масс-эффект выражается в смещении воронки гипофиза. В отличие от астроцитомы той же локализации гамартома не вовлекает перекрест зрительных нервов. Труднее отличить гамартому от менингиомы, но последняя усиливается при контрастировании. Редко встречается ганглиоглиома гипоталамуса. Она содержит кисты, иногда микрокальцинаты (что видно при КТ) и примерно в половине случаев усиливается при контрастировании. Также редко встречаются липомы гипоталамуса, которые имеют характерный для жировой ткани сигнал.
Лиссэнцефалия - это общий термин, под которым понимают нарушение формирования борозд. Крайнее проявление ее - полное отсутствие извилин - агирия. Серое вещество имеется, но оно не разделено бороздами. Агирия может быть локальной, обычно этот тип наблюдается в височной доле.
Аномально малое число извилин в связи с неполными бороздами называется пахигирией. Обычно, она также локальная, извилины широкие и сглаженные. Сочетание участков пахигирии и агирии называют лиссэнцефалией I типа. При МРТ определяется утолщение коры, вертикальные Сильвиевы борозды и часто выпрямленные гиппокампы. Клинические проявления укладываются в различные формы (синдромы Миллера - Декера, Нормана - Робертса и т.д.), проявляющиеся в первый год жизни. Тип II отличается нарушением структуры самой коры, которая пронизана сосудами и фиброглиальными пучками. Этот тип сочетается с гидроцефалией и неполной миелинизацией. Характерно клиническое проявление в виде синдрома Уокера - Варбурга.
Полимикрогирия - множественные неглубокие извилины. Часто сочетается с гетеротопией серого вещества и гемимегалэнцефалией. Считается, что патогенез полимикрогирии связан с ишемическим некрозом пятого слоя коры до 20 недели эмбриогенеза. Часть случаев связана с врождённой цитомегаловирусной инфекцией.
Кроме того полимикрогирия может входить в состав синдром Экарди (Aicardi) -Х-связанной доминантной патологией. Он протекает в виде спазмов и хориоретинопатии. При МРТ часто выявляются гипоплазия мозжечка, агенезия или недоразвитие мозолистого тела, кисты ЗЧЯ и средней линии, папилломы сосудистого сплетения.

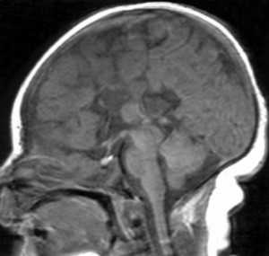
МРТ. Т1-зависмая сагиттальная томограмма. Синдром Экарди.
МРТ. Т1-зависимая корональная томограмма. Полимикрогирия.
Микродисгенезии коры ответственны за некоторые варианты экстратемпоральной эпилепсии и, по-видимому, за некоторые психические патологии. Только иногда микродисгенезии дают изменения на макроскопическом уровне, которые выявляются при МРТ.
Корковые аномалии лучше видны в высоких полях, чем в открытом МРТ. МРТ СПб дает возможность исследовать методом МРТ в разных центрах, но столь сложные патологии мы советуем искать только в специализированных центрах.
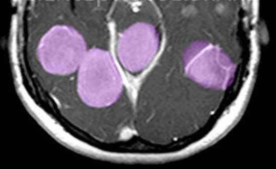
Факоматозы и их диагностика

МРТ головного мозга. Т1-взвешенная МРТ с контрастированием. Множественные менингиомы при нейрофиброматозе 2 типа. Цветовая обработка изображения.
Факоматозы (нейрокожные нарушения) - это группа врожденных дисплазий эмбриональной эктодермы (кожи, центральной и переферической нервной систем, глаза) и эндодермы (эпителиальной выстилки желудочно-кишечного тракта).
К факоматозам относят:
- Нейрофиброматоз тип I (болезнь Реклингхаузена)
- Нейрофиброматоз тип II
- Туберозный склероз (синдром Бурневиля)
- Болезнь Гиппель-Линдау
- Синдром Стурге-Вебера
- Редкие заболевания - синдром Клиппеля-Треноне-Вебера, синдром Протея, синдром Ослера-Рандю-Вебера, синдром Вайбурна-Масона, болезнь Фабри, синдром кожной гемангиомы, атаксия-телеангиэктазия (синдром Луи-Бара), менингоангиоматоз (синдром Ульмана), нейрокожный меланоз, гипомеланоз Ито, синдром эпидермального невуса, базальноклеточный невус.
Все перечисленные заболевания выявляются при МРТ головного мозга.
Нейрофиброматоз I типа (болезнь Реклингхаузена) имеет аутосомно - доминантный тип наследования (50%), сцепленный с 17 парой хромосом, или с её спонтанными мутациями. Частота заболевания составляет один на 4000 населения. Диагностическими критериями служат (National Institutes of Health, 1988) не менее 6 кожных пятен (макулы цвета “кофе с молоком” размером не менее 5 мм в пре- и 15 мм в послепубертатном периоде), и не менее 2 любых нейрофибром, либо одна плексиформная (подкожная) нейрофиброма, множественные веснушки в подмышечных и паховых областях, костные дисплазии (истончение кортикального вещества длинных трубчатых костей с коксартрозом или без него, дисплазия клиновидной кости ), двухсторонние глиомы зрительных нервов, 2 или более пигментированные гамартомы радужной оболочки глаза (узлы Лиша) и наличие ближайшего родственника с этим заболеванием. Для постановки диагноза достаточно наличия 2 из перечисленных критериев. Кроме того, характерны следующие сопутствующие патологии: невриномы, кожные нейрофибромы, макроцефалия, астроцитомы, множественные менингиомы, кифосколиоз, саркома Юинга, сирингомиелия. Из опухолей головного мозга наиболее часто (в 5-15% случаев НФ I) встречается пилоцитарная астроцитома зрительного нерва и тракта . На МРТ астроцитома видна в виде утолщения зрительного нерва. Образование изоинтенсивно или немного гипоинтенсивно на Т1-взвешенных МРТ и гиперинтенсивно на Т2-взвешенных МРТ. Среди других локализаций астроцитома может быть в стволе, гипоталамусе, III желудочке. Редко обнаруживаются анапластические астроцитомы полушарий и мозжечка. У детей при НФ I встречаются очаги , напоминающие гамартомы. Они выявляются в ножках мозга, мосте, бледном шаре, среднем мозге, зрительном бугре, продолговатом мозге, реже белом веществе полушарий и мозжечка. На Т2-взвешенных МРТ очаги слегка гиперинтенсивны, на Т1-взвешенных МРТ изоинтенсивны белому веществу, за исключением бледного шара, где они тоже чуть гиперинтенсивны. Они не превышают 15 мм в размерах, не вызывают масс-эффекта и не контрастируются. Предположительно, очаги представляют собой участки изменённого миелина.
Третьим образованием диагностируемым при нейрофиброматозе I типа является нейрофиброма, обычно расподоженная в орбите и распространяющаяся в полость черепа и на кавернозный синус. Нейрофиброма слегка гиперинтенсивнее мышцы на Т1-взвешенных МРТ и выраженно гиперинтенсивнее на Т2-взвешенных МРТ. Кистозный компонент опухоли может давать сниженный сигнал в ее центре на Т1-взвешенных томограммах. При нейрофиброматозе I типа встречается также эктазия твердой мозговой оболочки в расширенном слуховом канале и стеноз водопровода. Эктазию важно не путать с невриномой. Стеноз водопровода не связан с опухолевой компрессией, но приводит к гидроцефалии.
Нейрофиброматоз II типа также имеет аутосомно-доминантный тип наследования, но сцепленный с 22 парой хромосом. Его частота составляет один на 100 тыс. населения. Диагностическими критериями служат (National Institutes of Health, 1988) двухсторонние невриномы слуховых нервов, выявляемые на КТ или МРТ, либо сочетание наследственной предрасположенности (наличие двухсторонних неврином у ближайшего родственника) с односторонней невриномой или двумя другими типичными опухолями (плексиформная нейрофиброма, менингиома, глиома, невринома любой локализации) плюс кожные пятна. В отличие от НФ I кожные пятна единичные и не служат главным критерием, а опухолевое поражение ассоциируется не с астроцитомами, а с невриномами и менингиомама. Сопутствующими патологиями являются менингоангиоматоз, глиальные узлы, эпендимальные эктопии, гипертрофический глиоз зрительного нерва, сирингомиелия, комплекс Арнольда-Киари. Типичная невринома развивается из шванновской оболочки слуховых нервов (VIII пара), обычно с обеих сторон , реже тройничного нерва или других. При МРТ невриномы гипо- или изоинтенсивны белому веществу на Т1-взвешенных МРТ и изо- или гиперинтенсивны на Т2-взвешенных МРТ. Хорошо усиливаются гадолинием. Менингиомы, как правило, сопутствуют невриномам. Локализация не отличается от случаев не связанных с нейрофиброматозом, но встречается также нетипичное поражение сосудистого сплетения. Картина менингиом при нейрофиброматозе II типа имеет все типичные признаки.
Туберозный склероз (синдром Бурневиля) встречается реже нейрофиброматоза. Его частота по данным литературы составляет около одного на 180 тыс. населения. От 20 до 40% случаев туберозного склероза унаследованы по аутосомно- доминантному типу, остальные возникли вследствии мутаций предположительно 9 и 11 пар хромосом (тип 1), либо 19 пары (тип 2). Поражение может затрагивать практически любые органы. Патогномоничными поражениями ЦНС являются корковые узлы в головном мозге и множественные субэпендимальные глиальные узлы , а также внутрижелудочковая гигантоклеточная астроцитома, встречаются сопутствующие аномалии - агенезия мозолистого тела, пахигирия, аневризмы. Характерны дерматологические проявления в виде множественных ангиофибром лица в форме «бабочки», бледные пятна на лице и груди, фибромы кожи, под ногтями и сетчатке глаза. Из других проявлений встречаются множественные ангиолипомы почек и печени, рабдомиомы сердца, лимфангиоматоз лёгких, костные склеротические и кистозные изменения. Диагноз туберозного склероза ставится при наличии у пациента 2 из перечисленных характерных признаков.
Корковые узлы - самое частое проявление туберозного склероза. Они расположены в коре головного мозга, деформируют её, захватывают прилегающее белое вещество и подвергаются кальцификации . При МРТ узлы изоинтенсивны серому веществу на Т1-взвешенных МРТ и чуть гиперинтенсивнее его на Т2-взвешенных. Контрастирование наблюдается в 5% случаев. В белом веществе обнаруживаются тяжи , отходящие радиально от желудочков. Корковые узлы и тяжи нередко называют «гамартомами», хотя они представляют собой скорее демиелинизацию и кальцификацию, чем истинную гетеротопию.
Туберозный склероз. Гамартомы. КТ, Т2-зависимая МРТ и FLAIR
Субэпендимальные, то есть проецирующиеся в желудочек, но растущие со стороны паренхимы мозга, узлы чаще расположены рядом с хвостатым ядром или гипоталамической бороздой сразу за отверстием Монро, реже в области III, IV желудочков и Сильвиева водопровода. На Т2-взвешенных томограммах субэпендимальные узлы умеренно гиперинтенсивны и часто содержат кальцинаты . От астроцитом их отличает не столь яркий сигнал и меньшие размеры. Контрастирование при введении препаратов гадолиния иногда наблюдается и в субэпендимальных узлах , и всегда в астроцитомах.

Туберозный склероз. Субэпендимальные узлы. Аксиальная Т-зависимая МРТ.
Болезнь Гиппеля - Линдау представляет собой симптомокомплекс, состоящий из гемангиобластом ЦНС (40% случаев) и сетчатки глаза (45%), и висцеральных проявлений в виде кист почек (75%), печени и поджелудочной железы. Диагноз ставится при наличии двух и более гемангиобластом или одной гемангиобластомы и висцеральных изменений, либо только висцеральных проявлениий при наличии семейной наследственности. Болезнь Гиппеля-Линдау в 20% случаев имеет врожденное семейное происхождение с аутосомно-доминантным типом наследования, в остальных связана с мутацией 3 пары хромосом. Частота примерно 1 случай на 36 тыс. населения. Кроме гемангиобластом и характерных висцеральных изменений при болезни Гиппель - Линдау встречается сопутствующие патологии: карцинома почки (более четверти наблюдений) и поджелудочной железы, феохромоцитома (около 10%, часто двухсторонняя), рабдомиома сердца, кисты лёгких, эпидидимит.
Гемангиобластомы при болезни Гиппеля - Линдау всегда множественные и примерно в половине случаев локализуются в мозжечке, реже стволе, спинном мозге и полушариях. При мозжечковой локализации опухоль чаще расположена поверхностно. При МРТ определяется неоднородный узел, гиперинтенсивный на Т2-взвешенных и изо- или гипоинтенсивный на Т1-взвешенных МРТ. В ряде случаев визуализируются патологически расширенные сосуды, имеющие характерное отсутствие сигнала. Кальцификации узлов не наблюдается. Гемангиобластомы хорошо контрастируются гадолинием. Чисто солидные гемангиобластомы наблюдаются только в 10% случаев. Окружающая узел киста гиперинтенсивна на томограммах обоих типов взвешенности, так как содержит примесь белка.
Синдром Стурге - Вебера ненаследуемое заболевание, ее морфологическим субстратом является ангиоматоз, связанный с тем, что сохраняются синусоидальные эмбриональные сосуды. Таким образом, синдром Стурге - Вебера представляет собой аномалию развития в “чистом” виде. Артериальный и венозный ангиоматоз приводят к избыточной васкуляризации оболочек мозга, кальцификации оболочечных артерий. Поражаются мягкие мозговые оболочки, обычно затылочной доли, причем с одной стороны (75% случаев). Кора мозга над ангиомой атрофируется и кальцифицируется . Нередко выявляется патологически расширенная кортикальная вена. Описано также увеличение сосудистого сплетения, гемиатрофия мозга на стороне поражения, ускорение и нарушение миелинизации, мегалэнцефалия и гидроцефалия. В постановке диагноза помогает наличие невуса кожи лба, который расположен по ходу первой ветви тройничного нерва, с той же стороны, что и очаг в мозге. Из других проявлений заболевания встречаются костные - ипсилатеральная гипертрофия черепа и синусов, глазные - ипсилатеральный экзофтальм, глаукома (30%), колобома радужной оболочки, гемангиома сосудистого сплетения глаза, висцеральные - ангиоматоз щитовидной железы, лёгких, поджелудочной железы, печени, почек, кишечника. Клинически синдром проявляется контрлатеральным гемипарезом, гомонимной гемианопией, судорогами (80% случаев) и умственной отсталостью (60%). При МРТ выявляется хорошо контрастирующийся ангиоматозный клубок сосудов, утолщенная оболочка, расширенная кортикальная вена и, иногда, расширенное сосудистое сплетение.
МРТ СПб дает место выбора выполнения МРТ головного мозга. При МРТ в СПб мы выступаем за комплексный подход к диагностике факоматозов с исследованием всех их проявлений. Обычно факоматозы лучше видны в высоких полях, но многие, особенно, опухоли видны и в низкопольных открытых МРТ.
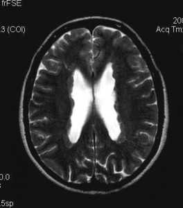
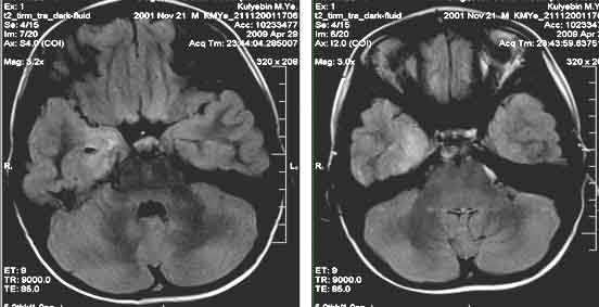
Субэпендимальная гетеротопия серого вещества
Субэпендимальная гетеротопия (перивентрикулярная гетеротопия) - наиболее распространенная форма гетеротопии серого вещества (СВ), характеризующаяся узелками СВ с локализацией непосредственно под эпендимой боковых желудочков. В соответствии с морфологией может быть разделена на:
- унилатеральную фокальную
- билатеральную фокальную
- билатеральную диффузную: волнообразная полоска СВ, окружающая желудочки.
Эпидемиология
Большинство случаев являются спорадическими, некоторые являются рецессивными, сцепленными с Х-хромосомой (Хq28). У женщин наблюдается относительно мягкие когнитивные нарушения, впоследствии развивается эпилепсия. В случае мальчиков наблюдается спонтанное прерывание беременности, обычно из-за пороков развития сердечно-сосудистой системы. У выживших - тяжелая инвалидность.
Клиническая картина
Чаще всего субэпендимальная гетеротопия ассоциирована с эпилепсией и задержкой развития.
Патология
Как и другие типы гетеротопий данный вид является результатом нарушения нейрональной миграции. В некоторых случаях причиной развития субэпендимальной гетеротопии является нарушение клеточной пролиферации.
Узелки серого вещества состоят из кластеров нейронов и глиальных клеток. Интересно заметить, что они чаще всего встречаются справа, предположительно, из-за более поздней миграции нейробластов с правой стороны.
В случаях, сцепленных с Х-хромосомой, наблюдаются мутации в гене филамина-1, белка, который перекрестно связывает внутриклеточный актин. Кроме того, филамин-1 также играет важную роль в развитии сосудов.
Диагностика
Методом выбора является МРТ, хотя перивентрикулярная гетеротопия видна на КТ и УЗИ (при очень большом размере).
Субэпендимальные узелки СВ обычно гиперэхогенны по сравнению с нормальным белым веществом, а также они могут выступать в просвет желудочков (волнообразный край желудочка).
На КТ субэпендимальная гетеротопия выглядит как некальцифицированный участок ткани, не накапливающий контрастное вещество, по плотности, схожей с нормальным серым веществом, вокруг боковых желудочков.
Антенатальная МРТ
На поздних сроках беременности диагноз субэпендимальной гетеротопии относительно очевиден. До 26 недели беременности наличие нормального телеэнцефалического перивентрикулярного зародышевого матрикса затрудняет ее обнаружение, ровно как и движение плода.
Постнатальная МРТ
Небольшие узелки серого вещества наблюдаются в эпендимальном слое и искажают контур желудочков. Чаще всего локализация в области треугольника и затылочных рогов. Другие отделы головного мозга выглядят нормальными.
Узелки серого вещества визуализируются на всех последовательностях, в том числе на постконтрастных, где они, подобно нормальному серому веществу, не накапливают контрастное вещество.
МРТ у больных с эпилепсией: клинические случаи
МРТ - высокого разрешения проводится после рутинной МРТ как уточняющая программа для визуализации изменений, не доступных для анализа на рутинной МРТ больным с симптоматической эпилепсией, резистентной к антиконвульсантной терапии. Основные цели включают прехирургическую диагностику эпилепсии, призванную локализовать структурный дефект и сопоставить его с результатами ЭЭГ-исследования, а так же коррекцию противоэпилептической терапии - при доказательном обнаружении структурного эпилептогенного очага антиконвульсантный режим существенно ужесточается.
Эпилепсия
Это заболевание проявляющее повторными припадками, обычно схожими друг с другом. Диагноз эпилепсии ставится в том случае, если у больного было по крайней мере два припадка.
Распространенность эпилепсии 2:100 населения. Мужчины и женщины страдают эпилепсией одинаково часто, встречаются семейные случаи заболевания.
Выделяют генерализованную и парциальную эпилепсию. Парциальная эпилепсия встречается примерно в 2 раза чаще генерализованной и обычно бывает вторичной (обусловлена поражением головного мозга при каком-либо другом заболевании).
Для генерализованной эпилепсии характерна патологическая электрическая активность обоих полушарий головного мозга. Проявляется внезапной потерей сознания и генерализованными припадками.
При парциальной эпилепсии электрическая активность возникает в одном участке головного мозга и затем распространяется за его пределы. Клинические проявления парциальной эпилепсии зависят от локализации очага.
Диагноз эпилепсии ставят на основании:
- показаний очевидцев припадка;
- результатов физикального и неврологического исследований;
- данных ЭЭГ (возможности метода ограничены);
- данных МРТ (особенны при наличии стойкого очага патологической электрической активности по данным ЭЭГ, когда есть основания подозревать объемное образование головного мозга).
Рассмотрим несколько клинических случаев:

В правой височной доле (области гиппокампа и парагиппокампальной извилины) определяется зона повышения интенсивности МР-сигнала по Т2 без четких контуров. Отмечается асимметричное нерезкое расширение височного рога правого бокового желудочка.
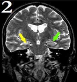
2. Изменение структуры гиппокампа и интенсивности сигнала от его элементов.

Желтая стрелка показывает пораженную область гиппокампа. Видно, что эта область меньше, по сравнению со здоровой стороной (зеленая стрелка).
Признаки склероза могут сочетаться или присутствовать во всех отделах гиппокампа или в отдельных его элементах.
3. МР-картина очагового глиоза левого гиппокампа.

4. Полярная субатрофия левой височной доли.

Признаки парциальной эпилепсии. По данным предыдущего РКТ исследования - признаки кисты левой височной доли.
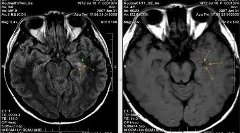
5. МР-картина узловой субкортикальной гетеротопии левой лобно-теменной области.
В первом случае визуализируются узлы гетеротопии в субкортикальных отделах белого вещества парасагиттальных отделов левой лобно-теменной области.
На втором скане - единичный мелкий узел гетеротопии в белом веществе правой лобной доли (характеристики МР-сигнала идентичны серому веществу головного мозга)
На третьем изображении - множественные узлы гетеротопии вдоль стенок переднего рога левого бокового желудочка и задних рогов обоих желудочков (характеристики МР-сигнала узлов идентичны серому веществу головного мозга)
6. МР-картина перестройки серого вещества правой лобной доли (характерно для фокальной кортикальной дисплазии).

Участок перестройки структуры серого вещества правой средней лобной извилины с утолщением серого вещества и визуализацией дополнительных мелких извилин и участков линейного глиоза.
Заключение:
Для регистрации и анализа эпилептических припадков в настоящее время широко применяют амбулаторный мониторинг ЭЭГ или комбинированный ЭЭГ- и видеомониторинг, а для исключения объемных образований головного мозга (кисты, опухоли, артерио-венозные мальформации, абсцессы) - КТ и МРТ. Только с появлением МРТ высокого разрешения стало возможным достоверно выявлять склероз и атрофию гиппокампа, возникающие вследствие гипоксии плода в родах.
Читайте также:
