Диагностика и лечение бленнореи. Прогноз
Добавил пользователь Евгений Кузнецов Обновлено: 02.11.2025
Аменорея - это расстройство менструальной функции, при которой у женщин детородного возраста (16 - 45 лет) не наступает менструация на протяжении полугода и более. Аменорея, как правило, не является самостоятельным заболеванием, а служит симптомом генетических, биохимических, физиологических, психо-эмоциональных расстройств в организме. Для выявления причин аменореи оценивается гинекологический анамнез, проводится УЗИ органов малого таза, исследование гормонального статуса. Лечение направлено на устранение первопричины менструальной дисфункции: может быть консервативным или хирургическим.
МКБ-10
Общие сведения
Аменорея является расстройством менструальной функции, при которой у женщин репродуктивного возраста (16 - 45 лет) не наступает менструация на протяжении полугода и более. Аменорея, как правило, не является самостоятельным заболеванием, а служит симптомом генетических, биохимических, физиологических, психо-эмоциональных расстройств в организме. При ложной аменорее циклические и гормональные изменения в яичниках и матке сохранены, но менструальные выделения из половых путей отсутствуют из-за какого-либо анатомического препятствия. При истинной аменорее отсутствует овуляция, и становится невозможной беременность.
Причины аменореи
Первичная аменорея
Причинами первичной аменореи могут служить генетически обусловленные (наследственные), анатомические и психо-эмоциональные факторы:
- Наследственность. У многих пациенток с первичной аменореей в семейном анамнезе отмечается позднее (после 17 лет) наступление менструации у матери или старших сестер. В таких случаях говорят о наследственных факторах, вызывающих аменорею. Первичная аменорея наблюдается при синдроме Тернера - заболевании, характеризующемся недоразвитием половых желез в результате аномального развития половых хромосом.
- Конституциональные и анатомические особенности. К ним относятся общая задержка физического развития, проявляющаяся в особенностях телосложения (худоба, недостаточный вес, неразвитая грудь, узкий таз и т. д.), а также отклонения в развитии половых органов (заращение канала влагалища или девственной плевы).
- Нервно-психическое истощение. Частыми виновниками первичной аменореи оказываются стрессы, тяжелые психо-эмоциональные потрясения, анорексия и изнурительные физические нагрузки. Такие факторы чрезвычайно опасны для неразвитого подросткового организма, т. к. вызывают нарушения на стадии становления менструальной функции.
Вторичная аменорея
Вторичная аменорея встречается приблизительно у 10% женщин в возрасте 17-45 лет и рассматривается как тяжелое нарушение менструальной функции. Факторами, наиболее часто влияющими на прекращение установившихся менструаций и развитие вторичной аменореи, являются:
- Анорексия(38%). Большинство пациенток с вторичной аменореей являются жертвами модных диет и анорексии - тяжелого психического и физического расстройства, характеризующегося навязчивым стремлением похудеть. Целенаправленный отказ от еды, злоупотребление слабительными процедурами, искусственно вызванная рвота при анорексии приводят к резкому снижению веса и развитию психосексуальных нарушений, депрессии, запоров и вторичной аменореи.
- Поликистоз яичников (26%). Характерными симптомами, позволяющими заподозрить поликистозные изменения яичников, служат гирсутизм, акне, нарушение жирового обмена, аменорея и отсутствие беременности.
- Ранняя менопауза (22%). Менопауза считается ранней (преждевременной), если менструация прекращается у женщины, не достигшей 40-летнего возраста по причине недостаточной функции яичников. Спровоцировать преждевременную менопаузу и аменорею может затяжной стресс.
- Гиперпролактинемия (11%). Гиперпролактинемия - это состояние, обусловленное повышением уровня гормона пролактина в крови. Характеризуется молокообразными выделениями из молочных желез, различными нарушениями менструальной функции, вплоть до полного прекращения менструаций - аменореи.
В ряде случаев прекращение менструаций может служить временной реакцией на нервные потрясения и восстанавливаться через определенное время самостоятельно, без дополнительных вмешательств. Однако, в большинстве случаев вторичная аменорея требует квалифицированного медицинского вмешательства.
Классификация
В основе классификации лежат два типа аменореи - ложная и истинная.
- Ложная. Циклические и гормональные изменения в яичниках и матке сохранены, но менструальные выделения из половых путей отсутствуют из-за какого-либо анатомического препятствия. Такими препятствиями могу служить врожденные пороки строения половых органов: атрезия влагалища, шейки матки или девственной плевы. Т. о., в зависимости от анатомического порока при ложной аменорее менструальная кровь может скапливаться в маточных трубах (гематосальпинкс), полости матки (гематометра) или влагалище (гематокольпос).
- Истинная. Характеризуется отсутствием менструальных кровотечений и обусловливающих их циклических процессов в организме. При истинной аменорее отсутствует овуляция, и становится невозможной беременность. В свою очередь, в зависимости от вызывающих ее причин, истинная аменорея может быть физиологической либо патологической.
- Физиологическая аменорея не является болезненным состоянием и обусловлена естественными состояниями (беременность, кормление грудью) или возрастными периодами женщины (детство, менопауза).
- Патологическая аменорея служит тревожным симптомом, свидетельствующим о функциональных или органических нарушениях в женском организме. Если менструация не наступает изначально в подростковом возрасте, говорят о первичной аменорее. В тех случаях, когда регулярные менструации прекращаются в связи с какими-либо причинами, аменорею считают вторичной.
Лактационная аменорея
Отсутствие менструации и гормонально-зависимых циклических изменений в половой системе, сопровождающее период грудного вскармливания ребенка, называется лактационной аменореей. Лактационная аменорея является физиологическим методом контрацепции, основанным на отсутствии овуляции и, вследствие этого, невозможности беременности. Однако эффективен метод лактационной аменореи лишь на протяжении полугода с момента родов и исключительно при грудном вскармливании.
Условиями эффективности лактационной аменореи как метода контрацепции является соблюдение следующих правил:
- кормление ребенка по каждому его требованию как минимум 6 раз в сутки;
- обязательное ночное кормление;
- отсутствие смешанного вскармливания и прикормов.
Механизм лактационной аменореи основан на подавлении у женщины овуляции при постоянном сосании грудного молока ребенком, а, следовательно, отсутствии менструального цикла и беременности. Эффективность контрацептивного эффекта при лактационной аменорее близка к 98%. Среди несомненных достоинств метода лактационной аменореи - высокая надежность, естественность, польза для ребенка, простота в применении, отсутствие побочного влияния, быстрое послеродовое восстановление.
К недостаткам лактационной аменореи, как метода контрацепции, следует отнести кратковременность предохранения от беременности (максимум полгода), обязательную необходимость соблюдения всех условий ее эффективности. Кроме того, лактационная аменорея не гарантирует защиты от половых инфекций и венерических заболеваний (в том числе ВИЧ и гепатит В). При невозможности использовать лактационную аменорею в качестве основного метода контрацепции, следует совместно с наблюдающим женщину гинекологом подобрать более надежное средство защиты от нежелательной беременности.
Диагностика
На гинекологическом приеме у пациентки, жалующейся на прекращение менструаций, в первую очередь исключают беременность и выясняют моменты, провоцирующие развитие аменореи: увлечение диетами, физические и психические перегрузки, сопутствующие заболевания, время наступления менопаузы у матери и бабушек т. д. Врач-гинеколог оценивает рост и вес пациентки, их соотношение друг с другом и показателями нормы. В некоторых случаях дистрофия или, напротив, ожирение могут вызывать вторичную аменорею вследствие гормональных и физиологических сбоев в организме.
При подозрении на аменорею обследование направлено на выявление характера нарушений функции яичников. С этой целью проводится исследование уровня гормонов (в первую очередь пролактина, гестагенов, эстрогенов, полового хроматина, кариотина), УЗИ органов малого таза (для исключения поликистоза яичников и определения состояния эндометрия). Дополнительно составляется график изменений ректальной температуры, проводится цитологический анализ мазка заднего свода влагалища для определения эстрогенной насыщенности организма пациентки.
Важным диагностическим тест-критерием при вторичной аменорее является «симптом зрачка». При нормальном течении менструального цикла, в период с 6-го по 20 день, диаметр наружного зева шейки матки, заполненного прозрачной слизью, увеличивается и при осмотре напоминает зрачок. Для аменореи характерно незначительное раскрытие маточного зева и малое количество слизи. Исходя из полученных результатов, как правило, устанавливается причина аменореи и назначается лечебный курс.
Лечение аменореи
Принципы лечения первичной аменореи направлены на устранение либо коррекцию вызвавших ее факторов. Пациенткам с синдромом Тернера показана пожизненная заместительная гормонотерапия (эстрогенизация). При задержке физического и репродуктивного развития девочкам назначается диета, направленная на наращивание мышечной и жировой массы и гормональное лечение, стимулирующее менструальную функцию. Гормональная терапия должна проводиться под строгим наблюдением гинеколога-эндокринолога.
При повышенной эмоциональной неустойчивости проводится лечение, направленное на укрепление нервной системы. Если первичная аменорея вызывается анатомическими причинами, проводится хирургическое устранение препятствий - создание условий для нормального оттока менструальной крови из полости матки по половым путям наружу.
Аменорея, связанная с резким снижением веса или физическими нагрузками, является следствием неправильного образа жизни и требует его изменения. Критическим показателем для нормального течения менструального цикла у взрослой женщины является потеря 10 и более килограммов веса, а также масса тела менее 50 кг. До полной нормализации менструальной функции обычно назначаются прогестагенные оральные контрацептивы, не содержащие эстрогенных компонентов. Нередко вторичная аменорея устраняется без гормональной терапии при соблюдении разумных физических нагрузок, рационального режима питания, труда и отдыха, нормализации психо-эмоционального фона.
Вторичная аменорея, развивающаяся при синдроме поликистозных яичников, требует лечения фонового заболевания. Для нормализации овуляторного цикла при поликистозе яичников назначают гормональные контрацептивы или проводят лапароскопическую диатермокоагуляцию ткани органа (по показаниям).
Гиперпролактинемия, как фактор развития аменореи, устраняется приемом препаратов - агонистов дофамина, понижающих уровень пролактина. Эффективность лечения определяется контролем базальной температуры, повышение которой указывает на совершение овуляции. При опухолевых поражениях гипофиза показано нейрохирургическое вмешательство. Вторичная аменорея, обусловленная преждевременной менопаузой, корректируется при помощи длительно проводимой заместительной гормональной терапии.
Вспомогательные репродуктивные технологии
ВРТ и метод экстракорпорального оплодотворения, который успешно применяет современная гинекология, позволяет осуществить беременность женщинам с преждевременной менопаузой и не поддающейся лечению вторичной аменореей. В таких случаях для искусственного оплодотворения (методами ИКСИ, ПИКСИ или ИМСИ) используется донорская яйцеклетка или донорский эмбрион. Затем осуществляется подсадка эмбрионов в матку будущей матери.
Прогноз и профилактика
Внезапное прекращение менструаций у женщин детородного возраста (вторичная аменорея) является сигналом бедствия и неполадок в организме, требующих к себе внимания. Часть из них легко устранима изменениями в образе жизни, другие нуждаются в квалифицированной медпомощи. Опасность аменореи состоит в том, что она всегда сопряжена с женским фактором бесплодия. В юном возрасте особенно опасно увлекаться различными диетами: ограничения себя в питании приводят к недостаточному поступлению в организм белка, жиров, витаминно-минеральных соединений, замедляющему развитие, в т. ч. и половое и способствующему развитию аменореи. Следует избегать увлечений силовыми видами спорта: тяжелой атлетикой, единоборствами, бодибилдингом и т. д.
Гонорея
Гонорея - венерическая инфекция, вызывающая поражение слизистых оболочек органов, выстланных цилиндрическим эпителием: уретры, матки, прямой кишки, глотки, конъюнктивы глаз. Относится к группе инфекций, передаваемых половым путем (ИППП), возбудитель - гонококк. Характеризуется слизистыми и гнойными выделениями из уретры или влагалища, болью и дискомфортом во время мочеиспускания, зудом и выделениями из анального отверстия. При поражении глотки - воспалением горла и миндалин. Нелеченная гонорея у женщин и мужчин вызывает воспалительные процессы в органах малого таза, приводящие к бесплодию; гонорея во время беременности ведет к инфицированию ребенка во время родов.
Гонорея (триппер) - специфический инфекционно-воспалительный процесс, поражающий, в основном, мочеполовую систему, возбудителем которого являются гонококки (Neisseria gonorrhoeae). Гонорея - венерическая болезнь, так как передаётся преимущественно при половых контактах. Гонококки быстро погибают во внешней среде (при нагревании, высушивании, обработке антисептиками, под прямыми солнечными лучами). Гонококки поражают, главным образом, слизистые оболочки органов с цилиндрическим и железистым эпителием. Они могут располагаться на поверхности клеток и внутриклеточно (в лейкоцитах, трихомонадах, клетках эпителия), могут образовывать L-формы (не чувствительные к воздействию препаратов и антител).
По месту поражения выделяют несколько видов гонококковой инфекции:
- гонорея мочеполовых органов;
- гонорея аноректальной области (гонококковый проктит);
- гонорея костно-мышечной системы (гонартрит);
- гонококковая инфекция конъюнктивы глаз (бленнорея);
- гонококковый фарингит.
Гонорея из нижних отделов мочеполовой системе (уретры, периуретальных желёз, цервикального канала) может распространяться в верхние (матку и придатки, брюшину). Гонорейный вагинит почти не встречается, так как плоский эпителий слизистой влагалища устойчив к воздействию гонококков. Но при некоторых изменениях слизистой (у девочек, у женщин во время беременности, в менопаузу) его развитие возможно.
Гонорея более распространена среди молодых людей 20 - 30 лет, но может встречаться в любом возрасте. Очень велика опасность осложнений гонореи - различные мочеполовые расстройства (в том числе сексуальные), бесплодие у мужчин и у женщин. Гонококки могут проникать в кровь и, циркулируя по всему организму, вызывать поражения суставов, иногда гонорейный эндокардит и менингит, бактериемию, тяжелые септические состояния. Отмечается инфицирование плода от зараженной гонореей матери во время родов.
При стертых симптомах гонореи больные усугубляют течение своей болезни и распространяют инфекцию дальше, не зная об этом.
Заражение гонореей
Гонорея является высоко заразной инфекцией, в 99% - имеет половой путь передачи. Заражение гонореей происходит при разных формах половых контактов: вагинальном (обычном и «неполном»), анальном, оральном.
У женщин после полового акта с больным мужчиной вероятность заражения гонореей составляет 50-80%. Мужчины при половом контакте с женщиной, больной гонореей, заражаются не всегда - в 30-40% случаев. Это обусловлено некоторыми анатомическими и функциональными особенностями мочеполовой системы у мужчин (узкий канал уретры, гонококки могут быть смыты мочой). Вероятность заражения гонореей мужчины выше, если у женщины менструация, половой акт удлинен и имеет бурное завершение.
Иногда может встречаться контактный путь инфицирования ребёнка от больной гонореей матери во время родов и бытовой, непрямой - через предметы личной гигиены (постельное бельё, мочалку, полотенце), обычно у девочек. Инкубационный (скрытый) период при гонорее может длиться от 1 суток до 2 недель, реже до 1 месяца.
Заражение гонореей новорожденного ребенка
Гонококки не могут проникнуть через неповреждённые плодные оболочки во время беременности, но преждевременный разрыв этих оболочек приводит к инфицированию околоплодных вод и плода. Заражение гонореей новорожденного может произойти при прохождении его через родовые пути больной матери. Поражается при этом конъюнктива глаз, у девочек еще и половые органы. Слепота у новорождённых в половине случаев вызвана заражением гонореей.
Симптомы гонореи
Исходя из длительности заболевания, различают свежую гонорею (с момента заражения < 2 месяцев) и хроническую гонорею (с момента заражения >2 месяцев).
Свежая гонорея может протекать в острой, подострой, малосимптомной (торпидной) формах. Существует гонококконосительство, которое субъективно не проявляется, хотя возбудитель гонореи присутствует в организме.
В настоящее время гонорея не всегда имеет типичные клинические симптомы, так как часто выявляется смешанная инфекция (с трихомонадами, хламидиями), которая может менять симптоматику, удлинять инкубационный период, затруднять диагностику и лечение болезни. Встречается много малосимптомных и бессимптомных случаев гонореи.
Классические проявления острой формы гонореи у женщин:
- гнойные и серозно-гнойные влагалищные выделения;
- гиперемия, отек и изъязвление слизистых оболочек;
- частое и болезненное мочеиспускание, жжение, зуд;
- межменструальные кровотечения;
- боли внизу живота.
В более половины случаев гонорея у женщин протекает либо вяло, малосимптомно, либо совсем не проявляется. В этом случае позднее обращение к врачу опасно развитием восходящего воспалительного процесса: гонорея поражает матку, маточные трубы, яичники, брюшину. Может ухудшаться общее состояние, повышаться температура (до 39° С), наблюдается нарушение менструального цикла, диарея, тошнота, рвота.
Гонорея у девочек имеет острое течение, проявляется отеком и гиперемией слизистой вульвы и преддверия влагалища, жжением и зудом гениталий, появлением гнойных выделений, болями при мочеиспускании.
Гонорея у мужчин протекает в основном в виде острого уретрита:
- зуд, жжение, отечность уретры;
- обильные гнойные, серозно-гнойные выделения;
- учащенное болезненное, иногда затруднённое мочеиспускание.
При восходящем типе гонореи поражаются яички, простата, семенные пузырьки, повышается температура, возникает озноб, болезненная дефекация.
Гонококковый фарингит может проявляться покраснением и болью в горле, повышением температуры тела, но чаще протекает бессимптомно. При гонококковом проктите могут наблюдаться выделения из прямой кишки, болезненность в области анального отверстия, особенно при дефекации; хотя обычно симптомы мало выражены.
Хроническая гонорея имеет затяжное течение с периодическими обострениями, проявляется спаечными процессами в малом тазу, снижением полового влечения у мужчин, нарушениями менструального цикла и репродуктивной функции у женщин.
Осложнения гонореи
Бессимптомные случаи гонореи редко выявляются на ранней стадии, что способствует дальнейшему распространению заболевания и даёт высокий процент осложнений.
Восходящему типу инфекции у женщин с гонореей способствуют менструации, хирургическое прерывание беременности, диагностических процедур (выскабливания, биопсия, зондирование), введение внутриматочных спиралей. Гонореей поражаются матка, маточные трубы, ткани яичников вплоть до возникновения абсцессов. Это ведет к нарушению менструального цикла, возникновению спаечного процесса в трубах, развитию бесплодия, внематочной беременности. Если больная гонореей женщина беременна, велика вероятность самопроизвольного выкидыша, преждевременных родов, инфицирования новорожденного и развития септических состояний после родов. При заражении гонореей новорождённых, у них развивается воспаление конъюнктивы глаз, которое может привести к слепоте.
Серьёзным осложнением гонореи у мужчин является гонококковый эпидидимит, нарушение сперматогенеза, снижение способности сперматозоидов к оплодотворению.
Гонорея может переходить на мочевой пузырь, мочеточники и почки, глотку и прямую кишку, поражать лимфатические железы, суставы, и другие внутренние органы.
Избежать нежелательных осложнений гонореи можно, если своевременно начать лечение, строго соблюдать назначения венеролога, вести здоровый образ жизни.
Диагностика гонореи
Для диагностики гонореи недостаточно наличия клинических симптомов у больного, необходимо выявить возбудителя заболевания с помощью лабораторных методов:
- исследование мазков с материалом под микроскопом;
- бакпосев материала на специфические питательные среды для выделения чистой культуры;
- ИФА и ПЦР-диагностика.
В микроскопии мазков, окрашенных по Граму и метиленовым синим, гонококки определяются по типичной бобовидной форме и парности, грамнегативности и внутриклеточному положению. Возбудителя гонореи не всегда можно обнаружить этим методом по причине его изменчивости.
При диагностике бессимптомных форм гонореи, а также у детей и беременных, более подходящим методом является культуральный (его точность 90-100%). Использование селективных сред (кровяной агар) с добавлением антибиотиков позволяет точно выявить даже небольшое количество гонококков и их чувствительность к препаратам.
Материалом для исследования на гонорею являются гнойные выделения из цервикального канала (у женщин), уретры, нижнего отдела прямой кишки, ротоглотки, конъюнктивы глаз. У девочек и женщин после 60 лет используют только культуральный метод.
Гонорея часто протекает в виде смешанной инфекции. Поэтому больного с подозрением на гонорею, обследуют дополнительно и на другие ИППП. Проводят определение антител гепатиту В и С, к ВИЧ, серологические реакции на сифилис, общий и биохимический анализ крови и мочи, УЗИ органов малого таза, уретроскопию, у женщин - кольпоскопию, цитологию слизистой цервикального канала.
Обследования проводят до начала лечения гонореи, повторно через 7-10 дней после лечения, серологические - через 3-6-9 месяцев.
Необходимость использования «провокаций» для диагностики гонореи врач решает в каждом случае индивидуально.
Лечение гонореи
Недопустимо самостоятельное лечение гонореи, оно опасно переходом заболевания в хроническую форму, и развитием необратимых поражений организма. Обследованию и лечению подлежат все половые партнёры больных с симптомами гонореи, имевшие с ними половой контакт за последние 14 дней, или последний половой партнёр, если контакт произошел ранее этого срока. При отсутствии клинических симптомов у больного с гонореей обследуют и лечат всех половых партнёров за последние 2 месяца. На период лечения гонореи исключается алкоголь, половые отношения, в период диспансерного наблюдения разрешаются половые контакты с использованием презерватива.
Современная венерология имеет на вооружении эффективные антибактериальные препараты, позволяющие успешно бороться с гонореей. При лечении гонореи учитывается давность заболевания, симптомы, место поражения, отсутствие или наличие осложнений, сопутствующей инфекции. При остром восходящем типе гонореи необходима госпитализация, постельный режим, лечебные мероприятия. В случае возникновения гнойных абсцессов (сальпингита, пельвиоперитонита) проводят экстренное оперативное вмешательство - лапароскопию или лапаротомию. Основное место в лечении гонореи отводится антибиотикотерапии, при этом учитывается устойчивость некоторых штаммов гонококков к антибиотикам (например, пенициллинам). При неэффективности применяемого антибиотика назначается другой препарат, с учётом чувствительности к нему возбудителя гонореи.
Гонорею мочеполовой системы лечат следующими антибиотиками: цефтриаксон, азитромицин, цефиксим, ципрофлоксацин, спектиномицин. Альтернативные схемы лечения гонореи включают применение офлоксацина, цефозидима, канамицина (при отсутствии заболеваний органов слуха), амоксициллина, триметоприма.
Детям до 14 лет в лечении гонореи противопоказаны фторхинолоны, беременным женщинам и кормящим матерям тетрациклины, фторхинолоны, аминогликозиды. Назначаются антибиотики, не влияющие на плод (цефтриаксон, спектиномицин, эритромицин), проводят профилактическое лечение новорождённых у матерей больных гонореей (цефтриаксон - внутримышечно, промывание глаз раствором нитрата серебра или закладывание эритромициновой глазной мази).
Лечение гонореи может корректироваться, если есть смешанная инфекция. При торпидных, хронических и бессимптомных формах гонореи важно сочетание основного лечения с иммунотерапией, местным лечением и физиопроцедурами.
Местное лечение гонореи включает в себя введение во влагалище, уретру 1-2% р-ра проторгола, 0,5% р-ра нитрата серебра, микроклизмы с настоем ромашки. Физиолечение (электрофорез, УФО, токи УВЧ, магнитотерапия, лазеротерапия) применяют при отсутствии острого воспалительного процесса. Иммунотерапия при гонорее назначается вне обострения для повышения уровня иммунных реакций и делится на специфическую (гоновацина) и неспецифическую (пирогенал, аутогемотерапия, продигиозан, левамиозол, метилурацил, глицерам, и др.). Детям до 3 лет иммунотерапия не проводится. После лечения антибиотиками назначают лакто- и бифидопрепараты (перорально и интравагинально).
Успешным результатом лечения гонореи считается исчезновение симптомов заболевания и отсутствие возбудителя по результатам лабораторных анализов (через 7-10 дней после окончания лечения).
В настоящее время оспаривается необходимость различных видов провокаций и многочисленных контрольных обследований после окончания лечения гонореи, проведенного современными высокоэффективными антибактериальными препаратами. Рекомендуется один контрольный осмотр пациента для определения адекватности данного лечения гонореи. Лабораторный контроль назначают, если остаются клинические симптомы, имеются рецидивы болезни, возможно повторное заражение гонореей.
Профилактика гонореи
Профилактика гонореи, как и других ЗППП, включает в себя:
- личную профилактику (исключение случайных половых связей, использование презервативов, соблюдение правил личной гигиены);
- своевременное выявление и лечение больных гонореей, особенно в группах риска;
- профосмотры (у работников детских учреждений, медицинского персонала, работников сферы питания);
- обязательное обследование беременных женщин и ведение беременности.
С целью профилактики гонореи, новорождённым сразу после рождения в глаза закапывают раствор сульфацила натрия.
Рассеянный склероз - симптомы и лечение
Что такое рассеянный склероз? Причины возникновения, диагностику и методы лечения разберем в статье доктора Новикова Юрия Олеговича, мануального терапевта со стажем в 41 год.
Над статьей доктора Новикова Юрия Олеговича работали литературный редактор Маргарита Тихонова , научный редактор Сергей Федосов
Определение болезни. Причины заболевания
Рассеянный склероз (РС) является одним из частых хронических аутоиммунных заболеваний центральной нервной системы (ЦНС).

Распространенность РС высока и делится на зоны с высокой, умеренной и низкой встречаемости заболевания. Высокая распространённость отмечена в Северной Америке и Северо-Западной Европе.
В мире выявлено около 2 млн больных РС. В нашей стране в различных областях количество заболвших РС колеблется от 2 до 70 больных на 100 000 человек, причём значительно реже болезнь встречается в Средней Азии и Закавказье. В крупных промышленных районах и городах заболеваемость выше, чем в сельской местности, у лиц мужского и женского пола она одинакова.
- начало болезни в молодом возрасте, обычно между 20 и 35 годами (в отдельных случаях заболевают люди и более молодого, и более старшего возраста);
- многосимтомность;
- полиморфизм (многообразность) проявлений;
- прогрессирующее течение с весьма типичной наклонностью к ремиссиям и новым обострениям. [1][2]
Причина возникновения РС точно не установлена. Высказывалось мнение об инфекционной природе этого заболевания. Такое предположение основывается на случае острого развития заболевания с повышением температуры и свойственными инфекционным заболеваниям изменениям ликвора и крови, а также патоморфологических данных.
В настоящее время известно, что возбудителем РС может являться нейтропный фильтрующийся вирус, идентичный вирусу рассеянного энцефаломиелита. Исследователи из Гарвардской медицинской школы обнаружили, что риск рассеянного склероза увеличивается в 32 раза после заражения вирусом Эпштейна - Барр . Также учёные установили, что вероятность развития РАС не повышалась при инфицировании цитомегаловирусом и вирусом герпеса [17] .

В основе демиелинизации (избирательного поражения головного мозга) лежит аутоиммунный процесс. Пути передачи инфекции не выяснены. Заражения непосредственно от больного не происходит. Возможность контактного пути распространения болезни следует считать маловероятным. [3] [4]
При обнаружении схожих симптомов проконсультируйтесь у врача. Не занимайтесь самолечением - это опасно для вашего здоровья!
Симптомы рассеянного склероза
При всём многообразии и изменчивости расстройств, свойственных РС, можно выделить основную, наиболее частую, типичную его форму—цереброспинальную.
Обычно заболевание цереброспинальной формой РС начинается в молодом возрасте. Эта форма характеризуется:
- сочетанием пирамидных и мозжечковых расстройств;
- нередким поражением зрительных нервов;
- иногда преходящей диплопией (раздвоение видимых объектов);
- ремиттирующим течением (повторные ремиссии).
Развитие пирамидных и мозжечковых расстройств обусловлено частым образованием очагов воспаления в боковых столбах спинного мозга, мозговом стволе и ножках мозжечка.

Наиболее ранними симптомами являются:
- утрата брюшных рефлексов;
- утомляемость и слабость ног;
- лёгкое интенционное дрожание в руках;
- нистагм (неконтролируемое ритмичное движение глаз).
Офтальмологические проявления
Нередко начальным изолированным расстройством является поражение зрения, развивающееся по типу так называемого ретробульбарного неврита (острое воспаление зрительного нерва). При этом возникает слепота или скотома (слепой участок в поле зрения) того или иного глаза.

Поскольку процесс локализуется не в соске зрительного нерва, а в его стволе (ретробульбарно), то на глазном дне в течение иногда довольно длительного срока изменений не обнаруживается.
При значительном поражении поперечника зрительного нерва утрачивается прямая реакция зрачка слепого глаза на свет при сохранённой реакции сужения его в случае освещения другого глаза (содружественная реакция зрачка).
Для ретробульбарного неврита при РС характерно выпадение центральных полей зрения (центральная скотома), так как бляшки развиваются обычно внутри ствола зрительного нерва. В отличие от этого при ретробульбарном неврите сифилитической этиологии или при воспалении придаточных полостей носа чаще наблюдается концентрическое сужение полей зрения, так как воспалительный процесс развивается с наружной поверхности зрительного нерва — с его оболочек.

Через известный срок при РС обнаруживаются изменения глазного дна — побледнение соска зрительного нерва (атрофия). Типичным для РС является преимущественное побледнение височных половин сосков зрительных нервов. Утрата зрения может быть полной или частичной, одно- или двусторонней. Через некоторое время обычно наступает улучшение, но процесс может и нарастать. Двусторонняя слепота отмечается редко.
Мозжечковые и пирамидные расстройства
Наиболее ранними мозжечковыми расстройствами является:
- интенционное дрожание в руках, обнаруживаемое при пальце-носовой пробе;
- расстройство почерка;
- нистагм глазных яблок при отведении в стороны.
Резко выраженный нистагм (иногда не только горизонтальный, но и вертикальный или ротаторный), зависящий от пораженпя мозжечка, расстройства речи (скандированная речь) и дрожание головы или туловища являются уже признаком далеко зашедшего процесса.

Развиваются и другие мозжечковые симптомы — адиадохокинез (невозможность быстрой смены противоположных движений — сгибания или вращения), шаткая походка и др.
Иногда, наряду с выраженными симптомами пирамидного поражения, отмечаются и симптомы поражения периферического двигательного неврона: утрата сухожильных рефлексов конечностей, атрофии мышц.

Нарушения чувствительности не столь выражены, как двигательные расстройства. Своеобразной парестезией (ощущение жжения, мурашек, покалывания) при РС является возникающее при резком сгибании головы к груди ощущение электрического тока, как бы пробегающего по позвоночнику вниз, с иррадиацией в ноги, иногда в руки. В некоторых случаях наблюдаются нарушения суставно-мышечного и вибрационного чувства в нижних конечностях. Значительно реже расстраивается поверхностная чувствительность.
Из черепномозговых нервов, кроме зрительных, чаще поражаются отводящий и глазодвигательный нервы. Паралич глазных мышц обычно имеет преходящий характер и выражается лишь диплопией, которая может быть начальным симптомом заболевания.

Нередки поражения тройничного, лицевого и подъязычного нервов. Развитие склеротических бляшек в надъядерных отделах кортико-нуклеарного пути может стать причиной возникновения псевдобульбарного синдрома, а в мозговом стволе — развития бульбарных симптомов (симптомы поражения черепных нервов).
Нарушения функций тазовых органов являются нередкими симптомами РС. Встречаются следующие нарушения:
- императивные (внезапные и неподавляемые) позывы, учащения, задержки мочи и стула;
- недержание, неполное опорожнение мочевого пузыря, приводящее к уросепсису — характерны для боле поздних стадий.
Нередки нарушения функции половой системы. Эти проблемы могут одновременно являться функциональными нарушениями тазовых органов, а также могут быть самостоятельными симптомами.
Психические нарушения редки. Деменция и выраженные формы психического расстройства свойственны лишь поздним периодам заболевания и обусловлены множественными и распространенными очагами в коре и подкорковых образованиях больших полушарий.
Патогенез рассеянного склероза
Для того, чтобы понять механизм развития РС, необходимо ознакомиться с патологической анатомией данного заболевания.
При микроскопическом исследовании обнаруживаются заметные и достаточно характерные изменения, выявляемые с наибольшим постоянством в спинном мозгу, мозговом стволе и полушариях головного мозга. Видны множественные бляшки различной величины (от точечных до весьма массивных, которые, к примеру, занимают весь поперечник спинного мозга), рассеянные преимущественно в белом веществе. Такая множественность и разбросанность очаговых изменений и определяет название болезни.

Отдельные бляшки имеют округлую форму, они нередко сливаются и создают изменения сложных очертаний. Цвет бляшек на разрезе розовато-серый (недавно образовавшиеся очаги) или серый, желтоватый (старые очаги).

При разрезе бляшки определяется их большая плотность по сравлению с нормальной мозговой тканью. Эти уплотнения, склерозирование бляшек дало возможность охарактеризовать заболевание как склероз.
При микроскопии на первый план выступают изменения миелиновых волокон. В области очага, бляшки, в белом веществе наблюдаются в той или иной степени распад миелиновой оболочки, покрывающей нервные волокна центральных проводников, причём осевой цилиндр нередко остаётся неповреждённым.

В остром периоде, при наличии отёка и инфильтрации, в очаге поражения нарушается проводимость по нервным волокнам. В дальнейшем, при условии гибели осевых цилиндров, возникают необратимые, стойкие выпадения.
После периода острого воспаления оказывается, что осевые цилиндры частично сохраняют свою целостность и проводимость, иногда даже наблюдается ремиелинизация нервных волокон. В результате наблюдается не только ремиссия, но даже и вполне удовлетворительное восстановление отдельных утраченных ранее функций, что очень характерно для РС.

Образование новых воспалительных очагов определяет ухудшение и возникновение новых симптомов. [2] [5]
Классификация и стадии развития рассеянного склероза
Строгой и общепринятой классификации РС нет. Некоторые авторы предлагают подразделять РС по клиническому течению, другие по локализации процесса. [9]
По характеру течения выделяют:
- ремитирующую форму — характеризуется редкими обострениями, чередующимися с ремиссиями, иногда длящимися годами, причём поражённые участки мозга восстанавливаются как частично, так и полностью;
- первично прогрессирующую — незаметное начало и медленное, но необратимое нарастание симптоматики;
- вторично-прогрессирующую — сначала напоминает ремитирующую, но на поздних стадиях характерен переход в прогрессирующую форму;
- прогрессирующе-ремитирующую — редкая форма, когда заболевание, начинаясь с ремитирующего течения, переходит в первично-прогрессирующее.

По локализации поражения мозга:
- церебральная — страдает пирамидная система;
- стволовая — наиболее тяжёлая форма РС, быстро приводящая больного к инвалидности;
- мозжечковая — церебеллярные нарушения, часто сочетается с поражением ствола мозга;
- оптическая — страдает зрительная система;
- спинальная — поражается спинной мозг, возникают тазовые расстройства и спастический нижний парапарез;
- цереброспинальная форма — наиболее распространённая, характеризуется большим количеством склеротических бляшек в головном и спинном мозге, клинически выявляются мозжечковые и церебральные нарушения, патология зрительной, вестибулярной и глазодвигательной систем.
По стадиям РС делят на:
- острую стадию, которая длиться первые две недели обострения;
- подострую, длящуюся два месяца от начала обострения и является переходной стадией к хроническому прогрессированию заболевания;
- стадию стабилизации, при которой в течение трёх месяцев не наблюдается обострений.
Осложнения рассеянного склероза
Серьёзными осложнениями, особенно при спинальных формах, являются пролежни и глубокие нарушения тазовых органов.

Неблагоприятно могут протекать также острые и подострые случаи с поражением жизненно важных отделов мозгового ствола.
Неврологический статус пациента напрямую зависит от его иммунитета. Зачастую появляется повышенная утомляемость, развивается мышечная слабость, головокружение. В стадии прогрессирования отмечается атаксия (нарушение координации и произвольных движений), значительное уменьшение физических и особенно двигательных возможностей конечностей с развитием спастики (двигательные нарушения в связи с повышенным тонусом мышц).
Весьма часто резко снижается острота зрения, теряется чёткость изображения, уменьшаются поля зрения, происходит искажение цветов, диплопия, развивается амблиопия и стабизм (косоглазие).
У пациентов зачастую возникает раздражительность, неустойчивость настроения, в некоторых случаях эйфория, неадекватное отношение к своему состоянию.
При РС нередки когнитивные нарушения — снижение памяти, концентрации внимания, нарушение пространственной ориентации.
Также при РС появляются тазовые нарушения — задержка мочеиспускания и длительные запоры, впоследствии больной теряет возможность контролировать процессы опорожнения кишечника и мочевого пузыря. В результате неполного опорожнения мочевого пузыря возникают урологические заболевания, вплоть до уросепсиса.
Вышеперечисленные осложнения требуют особого внимания, так как именно они могут стать причиной смертельного исхода для больного. [15] [16]
Диагностика рассеянного склероза
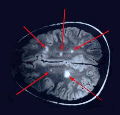
При вероятном РС, наряду с полным неврологическим осмотром, необходимо проводить исследование головного и спинного мозга при помощи МРТ. Этот способ исследования является наиболее информативным дополнительным методом диагностики. С его помощью можно обнаружить участки изменённой плотности в белом веществе головного мозга (очаги демиелинизации и глиоз). [10]

Исследование зрительных вызванных потенциалов, применяемое для определения степени сохранности некоторых проводящих путей, может также являться одним ранних диагностических критериев.
При изучении ликвора информативным считается метод изоэлектрического фокусирования спинномозговой жидкости, позволяющий выделить олигоклональные группы IgG.
Для диагностики РС широко используются критерии, предложенные Международной экспертной группой. [11]
Гонорея: симптомы, признаки, причины и лечение

Еще несколько тысяч лет назад древнеримский лекарь Гален ошибочно ставил диагноз «гонорея» если у больного наблюдались выделения из мочеиспускательного канала (собственно она так и переводится с греческого gonos - семя и rhoia - истечение). О том, что женщины тоже могут болеть гонореей (или «триппером» как называют хворь в простонародье), тогда еще не знали. Но уже догадывались, как передается заболевание.
За прошедшие 2 тысячелетия остановить распространение болезни так и не удалось, но зато были найдены способы лечения гонореи. Правда, при условии, что больной вовремя заметит симптомы ЗППП и обратится за медицинской помощью.
От заражения до появления первых неприятных симптомов может пройти от 2 суток до месяца и даже дольше. Это зависит от иммунитета человека, крепости его здоровья. Часто развитие заболевания тормозит прием антибиотиков для лечения других болезней — ангины, гайморита и т. д.
Гонорея поражает слизистую оболочку органов, поэтому локализация симптомов зависит от способа, которым инфекция проникает в организм. При традиционном половом акте вероятнее всего поражение мочеполовой системы с развитием уретрита или вагинита. Если заражение произошло во время анального контакта, вероятно развитие гонорейного проктита. Орально-генитальный контакт с носителем инфекции может привести к проявлению симптомов гонорейной ангины, фарингита, стоматита. Иногда бактерии могут попасть в глаза, что приводит к развитию бленнореи.
У мужчин заболевание проявляется более заметными признаками, тогда как женщина может и вовсе не обратить внимания на умеренный дискомфорт. Проктит вообще не дает выраженных симптомов.
Наиболее характерные признаки:
- болезненность, резь и жжение при мочеиспускании;
- покраснение и раздражение в устье уретры;
- у мужчин — характерная «утренняя капля»: небольшое количество гнойных желтовато-зеленых выделений из пениса, оставляющих пятна на белье;
- у женщин — тянущие боли в низу живота, которые легко принять за симптомы цистита.
Отсутствие правильного лечения вызывает распространение инфекции. У мужчин гонорея быстро поражает простату, семенные пузырьки, тестикулы. У женщин болезнь вызывает воспаления в шейке матки, трубах, ведущих к образованию спаек и непроходимости. Бесплодие — одно из наиболее частых осложнений гонореи у лиц обоего пола.
Больная гонореей мать может передать инфекцию ребёнку в процессе родов, что приводит к гонорейному конъюнктивиту, пневмонии и другим болезням.
Очень важно начать борьбу с инфекцией как можно быстрее, пока гонококки не распространились по организму. Но назначать лечение должен врач, с учетом многих факторов. Это связано с тем, что неправильный прием антибиотиков изменяет восприимчивость бактерий к антибиотикам, снижая эффективность лекарств. Самолечение чаще всего приводит только к тому, что у микробов вырабатывается устойчивость к лекарственным препаратам, и это значительно усложняет терапию. Курс лечения включает в себя прием антибиотиков, иммуностимулирующих средств, физиотерапию и лечебную диету.
Кроме того, необходимо провести анализы, чтобы удостовериться в эффективности лечения. На время лечения половые контакты полностью исключаются, партнеры должны лечиться одновременно.
Бленнорея: симптомы и лечение

Бленнорея — это гнойное воспалительное поражение конъюнктивы, ассоциированное с бактериальной флорой. Наиболее частый возбудитель бленнореи — это гонококк, однако свою роль могут играть и другие бактерии, например, стрептококковая или пневомококковая флора. В данной статье мы расскажем об основных клинических признаках и методах лечения этого патологического состояния.
Какими симптомами проявляется бленнорея?
Для начала необходимо понимать, что в настоящее время различают бленнорею новорожденных и взрослых.
Бленнорея новорожденных, как правило, манифестирует примерно на вторые или третьи сутки после появления малыша на свет. При этом чаще всего в патологический процесс вовлекаются сразу оба глаза.
Первоначальными клиническими признаками являются покраснение и отечность конъюнктивы. Веки ребёнка так же краснеют и становятся припухлыми. Первоначально наблюдается выделение небольшого количества серозно-геморрагической жидкости из глаза.
Спустя несколько дней из полости конъюнктивы начинают отходить обильные гнойные массы, имеющие густую консистенцию. Они засыхают на ресницах, что приводит к их склеиванию между собой. Выделение гноя в среднем продолжается от двух до трех недель, после чего наступает следующая стадия, характеризующаяся появлением сосочковых и фолликулярных разрастаний на веках и конъюнктиве. В этот период количество гнойного секрета уменьшается, так же как и отечность с покраснением.
В тяжелых случаях конъюнктива может изъявляться, что становится причиной ее дальнейшего рубцевания. Еще одно тяжелое осложнение — это вторичное поражение роговицы с появлением язвы.
Во взрослом возрасте бленнорея чаще всего имеет более тяжелое течение, сопровождается более интенсивными симптомами. При этом в большинстве случаев наблюдается одностороннее поражение глаз.
Воспаление конъюнктивы, вызванное не гонококками, а другой бактериальной флорой, как правило, протекает значительно легче.
Тактика лечения бленнореи

Для начала заметим, что лечение бленнореи должно проводиться только под контролем врача. Самостоятельное применение каких-либо медикаментов недопустимо.
В первую очередь, при таком заболевании необходимо как можно чаще промывать пораженный глаз растворами антисептиков. С этой целью могут использоваться хлоргексидин, раствор перманганата калия и прочее.
В обязательном порядке используются местные антибактериальные средства в виде капель для глаз или мазей. При этом могут назначаться препараты из группы тетрациклинов, пенициллинов и так далее. В 2015 году ученые из Казанской государственной медицинской академии опубликовали работу, в которой была установлена высокая эффективность фторхинолонов в лечении воспалительных заболеваний переднего отдела глаза.
Кроме этого, план лечения может дополняться:
- нестероидными противовоспалительными средствами;
- антигистаминными препаратами;
- системным приемом антибиотиков и так далее.
В среднем продолжительность лечения составляет около двух недель, после чего проводится повторное бактериологическое исследование.
Читайте также:
- Супрахориоидальные кровоизлияния: причины, механизмы развития, осложнения
- Аберрантная внутренняя сонная артерия на КТ, ангиограмме
- Диагностика амилоидоза головного мозга по КТ, МРТ
- Галлюцинации. Классификация галлюцинаций. Истинные галлюцинации. Псевдогаллюцинации. Клиника ( признаки ) галлюцинации.
- Вульгарный и Х-сцепленный ихтиоз у новорожденного
