Диагностика липомы сердца на рентгене, КТ, МРТ
Добавил пользователь Владимир З. Обновлено: 22.01.2026
Как диагностировать причины липомы мягких тканей? В качестве первых диагностических шагов пациенту рекомендуется:
- Записаться на консультацию к хирургу
- Сделать УЗИ мягких тканей, рентгене или МРТ.
- Записаться на консультацию к хирургу
- Сделать УЗИ мягких тканей или рентгене.
Для уточнения окончательного диагноза врач может назначить дополнительно МРТ мягких тканей.
Липома — это доброкачественная опухоль, растущая в жировом слое. По своей структуре новообразование мягкое и легко передвигается даже при небольшом надавливании. Обычно липомы диагностируются в среднем возрасте, продолжая увеличиваться по мере старения организма. Обычно новообразование не представляет угрозы жизни пациента. Специального лечения, как правило, не требуется. Если жировик доставляет физический дискомфорт, его можно удалить хирургическим путем.
Симптомы липомы мягких тканей
Липомы мягких тканей способны развиваться в любой части тела. Диагностировать их можно по следующим признакам:
- пальпируемое уплотнение под кожей. Обычно новообразования формируются в области шеи, плеч, спины, живота, рук или бедер.
- мягкая на ощупь структура. Комок деформируется и двигается даже при небольшом нажатии пальцами.
- небольшие размеры. Обычно новообразования достигают до 5-ти см в диаметре, но могут расти по мере старения организма.
- болевые ощущения (в редких случаях). Если опухоли давят на близлежащие нервы и кровеносные сосуды, при пальпации может возникать боль.
Какой врач занимается лечением липомы
Липома не является жизнеугрожающим диагнозом. Но чтобы исключить другие опасные заболевания со схожей симптоматикой, обратитесь за помощью к дерматоонкологу или хирургу.
Диагностика причины липомы мягких тканей
На данный момент точные причины возникновения липом мягких тканей неизвестны. Заболевание способно передаваться генетически от родителей к детям. Поэтому, вероятно, новообразования развиваются из-за факторов наследственности.
Факторы риска
возраст от 40 до 60 лет. Несмотря на то, что липомы могут возникать в любом возрасте, они чаще диагностируются у представителей данной возрастной группы.
генетика. Предрасположенность к появлению доброкачественных опухолей может передаваться по наследству от родителей к детям.
Диагностика липомы мягких тканей
Чтобы диагностировать липому мягких тканей, хирург выполняет:
- общий осмотр пациента
- биопсию для лабораторного изучения образца опухоли.
Если жировик имеет размер более 5-ти см, дополнительно используется УЗИ мягких тканей, рентген или МРТ. С помощью визуализирующих исследований доктора оценивают другие характеристики новообразования. Также перечисленные обследования необходимы с целью исключения/подтверждения липосаркомы — редкой формы рака. Липосаркомы тоже развиваются в жировых тканях пациента, быстро прогрессируют, не двигаются при пальпации и могут доставлять сильную боль.
Метро: Автово, Ленинский проспект, Проспект Ветеранов
Санкт-Петербург Район: Красносельский
Адрес: СПб, Авангардная ул., 4, корп. 8
Аппарат: КТ Siemens Somatom 16 срезов. УЗИ экспертного класса. Рентген аппарат
Режим работы: 09:00 - 20:00
Цены на МРТ и КТ сердца. Липома - что это такое и как лечить?
Какой метод диагностики липомы сердца выбрать: МРТ, КТ, ЭХО-КГ, ангиографию
Методы выбора
Что покажет рентген грудной клетки при липоме сердца
- Часто норма
- Может формировать рентгеноконтрастное образование
- Большая липома вызывает увеличение тени сердца
- Гемодинамически значимые поражения могут вызывать признаки СН.
Для чего проводят УЗИ сердца
- Гиперэхогенное внутри- или околосердечное образование
- Подвижное или на широком основании
- Наличие липомы в просвете камер определяет функцию сердца и клапанов.
Информативна ли МСКТ сердца при липоме
- Гомогенная опухоль, имеющая плотность, идентичную жировой ткани, окруженная капсулой
- Кальки фи каты отсутствуют
- Участки кровоизлияний и некроза.
Когда назначают МРТ при жировой опухоли сердца
- Высокая интенсивность Т1 -взвешенного сигнала (сходная с жировой тканью)
- Отсутствие усиления
- Супрессия интенсивности сигнала в последовательности подавления жировой ткани является патогномоничным признаком липомы.
Какие инвазивные диагностические процедуры проводят
- Инвазивные тесты не дают дополнительной диагностической информации.

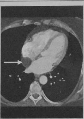
Внутрипредсердная липома у мужчины 54 лет (случайная находка). Аксиальная контрастно-усиленная КТ демонстрирует образование пониженной плотности с растворением жировой ткани [стрелка).

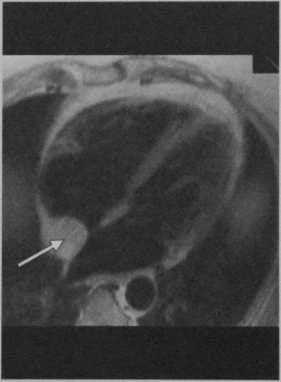
Тот же пациент.Т1 -взвешенная последовательность TSE с темной кровью на четырехкамерном срезе демонстрирует гиперинтенсивное образование с растворением жировой ткани, граничащее с задней частью межпредсердной перегородки (стрелка).
Клинические проявления
Типичные симптомы липомы:
- Часто протекает бессимптомно с отсутствием нарушения функции сердца
- Может проявляться неспецифическими симптомами
- Одышка
- Аритмии (мерцание предсердий, ЖТ, АВ-блокада)
- Большие липомы вызывают нарушение функции сердца.
Методы лечения, течение и прогноз
- Хирургическая резекция - операция по удалению липомы
- Хороший послеоперационный прогноз после удаления липомы.
Что хотел бы знать лечащий врач?
- Нарушение функции сердца
- Локализация (внутрисердечное, перикардиальное расположение)
- Дифференциальный диагноз
- Сдавление желудочков или предсердий.
Какие патологии имеют симптомы, схожие с липомой в сердце
Рабдомиосаркома у детей
- Фиброма: одиночная, желудочковая, кальцинированная, имеет различные контрастные характеристики при КТ и МР-исследовании
- Рабдомиома: множественные образования
Жировая инфильтрация межпредсердной перегородки
- Жировая инфильтрация более 2 см в поперечном диаметре
- Часто пациенты с избыточным весом и мерцанием предсердий
- Дополнительное овальное окно
Советы и ошибки
Требуется дифференциальный диагноз с липоматозом сердца и липоматоз¬ной внутрипредсердной гипертрофией.
Диагностика липомы мягких тканей на снимках МРТ и КТ конечностей
Что такое липома мягких тканей и почему она развивается
- Женщины поражаются чаще, чем мужчины.
- Синонимы: жировик , липобластома
- Липома - наиболее частая доброкачественная жировая опухоль мягких тканей (гистологически определяется только зрелая жировая ткань без атипичных клеток). Содержит фиброзную капсулу, частично разделена соединительнотканными перегородками
- Возрастная предрасположенность: 30-50 лет
- Причины возникновения липом в настоящее время достоверно и окончательно не выяснены. Ведущим фактором в их развитии по мнению большинства ученых является нарушение эмбриогенеза
- Внутрикостные липомы встречаются редко
- Варианты опухоли: миолипома, ангиолипома.
- Расположение жировиков на теле: поверхностное (подкожное) или глубокое (межфасциальное, внутримышечное)
- Предрасположенность к развитию жировой опухоли в области плечевого пояса, спины (липома на спине или жировик на спине), конечностей.
Какой метод диагностики липомы мягких тканей выбрать: МРТ, КТ, рентген, УЗИ
Что покажут рентгеновские снимки конечностей при липоме мягких тканей
- Обычно признаки отсутствуют
- Возможны кальцинаты
- Может вызывать утолщение или эрозирование кортикального слоя при околокостной локализации.
Что покажет УЗИ жировика
- Обычно гиперэхогенное образование с четкими, гладкими границами
- Кальцинаты дают гиперэхогенный сигнал внутри образования с акустическим затемнением.
Что покажут снимки КТ мягких тканей при жировике
- Гомогенные структуры с плотностью, эквивалентной жировой ткани (от -50 до -100 Н)
- Гладкие, четкие границы
- Часто обнаруживаются «пушистые» кальцинаты
- Накопление контрастного вещества отсутствует.
Что покажут снимки МРТ мягких тканей при липоме
- Интенсивность сигнала во всех последовательностях сходная с подкожной жировой клетчаткой
- Гиперинтенсивное на Т1-взвешенном изображении
- Гиперинтенсивное на Т2-взвешенном изображении
- Гомогенный сигнал, разделенный тонкими гипоинтенсивными соединительнотканными перегородками
- Отсутствие накопления контрастного вещества.
- Неспецифические симптомы
- Мягкие пальпируемые узлы или участки припухлости
- Очень медленный рост.

а,b Женщина 75 лет с крупной подкожной липомой на задней поверхности плеча: а) Фронтальная плоскость, Т1 -взвешенное изображение. Крупное образование с перегородкой, изоинтенсивное жировой ткани; b) Постконтрастное Т1 -взвешенное изображение с подавлением МР-сигнала от жировой ткани. Отсутствие накопления контрастного вещества опухолью и ее перегородками, что исключает миосаркому.
Методы лечения липомы
- В большинстве случаев лечение не требуется
- К малоинвазивным методикам относят удаление липомы лазером
- При крупных опухолях или наличии подозрения на липосаркому — проводится операция по удалению липомы мягких тканей совместно с капсулой.
- После удаления липом лазером или с помощью скальпеля проводится обязательный гистологический анализ тканей, входящих в состав мягкотканного образования
Течение и прогноз
- Очень благоприятный при доброкачественном характере опухоли.
Что хотел бы знать лечащий врач
- Распространенность
- Сдавление нервных и сосудистых структур
- Исключение липосаркомы.
Какие заболевания имеют симптомы, схожие с липомой мягких тканей
Липосаркома
- Накопление контрастного вещества; при I степени поражения перегородка может минимально накапливать контрастное вещество
Что покажет КТ сердца -процедура, противопоказания, показания
Обследования сердца на КТ обычно включает в себя два протокола: КТ самого сердца, КТ сосудов сердца или КТ-коронарография. Это обследование чаще всего назначается для экспертной диагностики проблем кровоснабжения миокарда и перикарда и целого ряда других проблем с сердечной мышцей и питающих ее коронарных артерий. Для качественной визуализации
Обследования сердца на КТ обычно включает в себя два протокола:
Это обследование чаще всего назначается для экспертной диагностики проблем кровоснабжения миокарда и перикарда и целого ряда других проблем с сердечной мышцей и питающих ее коронарных артерий. Для качественной визуализации коронарных артерий требуется введение контрастного препарата на базе йода. Без контрастирования ангиография будет малоинформативной.
Сведение об исследовании
- Продолжительность: 15-20 минут
- Требование к подготовке: Нет
- Назначение врача: Не требуется
- Применение контраста: Да на базе йода
- Противопоказания и ограничения: Есть
- Рекомендуемая мощность аппарата: 12 срезов и выше
- Время выдачи результатов: 30-40 минут
- Что входит в стоимость: заключение + запись снимков
Что такое компьютерная томография сердечных сосудов и сердца
МСКТ сердца и коронарография относится к категории рентгенографических методов. Принцип работы современного мультиспирального томографа строиться на способности рентгеновских лучей с разной скорость проходить через ткани разной плотности. В отличие от рентгенографической коронарографии, позволяющий получить только двухмерные снимки, компьютерная томография коронарных артерий и сердца дают рентгенологу возможность получить множественные снимки грудной области и выстроить трехмерные изображения сердца и сосудистой системы. Этот эффект достигается за счет применения подвижного источника излучения, перемещающегося вокруг тела пациента по спирали, использования чувствительных датчиков и компьютерной программы, проводящей обработку полученных данных.
Показания к проведению КТ-ангиографии коронарных сосудов и сердца
Основной диагноз, при подозрении на который назначается МСКТ сердца и коронарных артерий с контрастированием, - это:
- ишемия, нарушение кровоснабжения сердечной мышцы в следствии аномалий развития сосудов, стеноза, закупорки тромбами, холестериновыми бляшками
- угроза аневризмы
- аномалии перикарда
- травмы сердца
- врожденные патологии сердечных клапанов
- трансплантация сердца.
Навести на мысль о необходимости проверить состояние сердца пациента могут:
- Одышка;
- Боли в области груди, возникающие во время физических нагрузок;
- Повышенная утомляемость и хроническая усталость;
- Отеки конечностей.
Ишемическая болезнь способна привести к инфаркту, поэтому крайне важно обнаружить ее на ранних этапах. Особенно важно вовремя проходить регулярные обследования сердца пациентам, находящимся в группе риска - речь идет о пациентах старше 40 лет, у которых наблюдается повышенный уровень холестерина. Мужчины страдают от ишемической болезни чаще, чем женщины, а малоподвижный образ жизни и неправильное питание являются дополнительными факторами риска.
Кроме того, эта процедура может назначаться кардиохирургом в рамках подготовки операции на сердце.
Что покажет компьютерная томография сердца
- травмы;
- дефекты межпредсердной перегородки сердца патологии перикарда;
- дополнительные хорды;
- доброкачественные опухоли, включая миксомы, папиллярные фиброэластомы, рабдомиомы, фибромы, гемангиомы, липомы, параганглиомы и кисты перикарда;
- злокачественные опухоли, включая саркомы, перикардиальные мезотелиомы и первичные лимфомы. окклюзии, мальформации, аневризмы, перегибы коронарных сосудов сердца и аорты;
- тромбы и кальцинаты в сосудах или на стенках сердца подготовка к операции коронарного шунтирования, реконструктивной хирургии атриовентрикулярных клапанов сердца, стентирования, трансплантации сердца.
Особенности проведения процедуры КТ коронарных сосудов и сердца
Особенностью МСКТ обследования сосудов сердца является необходимость использования контраста. Только с контрастированием можно получить достаточно четкие снимки, позволяющие в полной мере оценить состояние коронарных сосудов и параметры кровотока. Введение контрастного вещества осуществляется внутривенно - для этого на руку пациенту ставят катетер. Так же перед обследованием больному обязательно подключат кардиомонитор - для получения четких изображений врачу необходимо будет синхронизировать сканирования с сердечным ритмом обследуемого.
Подготовка к КТ с контрастированием
КТ с использованием контраста нуждается в подготовке к процедуре. Начать соблюдать диету с исключением продуктов, способствующих газообразованию, следует за три дня до обследования. Также накануне КТ с контрастированием селезенки пациенту стоит отказаться от еды и питья, задерживающих стул. КТ селезенки выполняют на пустой желудок. Промежуток не менее 4 часов необходим с момента приема пищи до сканирования на томографе.
Противопоказания
Основным абсолютным противопоказанием к компьютерной томографии является беременность на любом сроке вынашивания. Рентгеновские лучи могут проводить к необратимым мутациям, застывшей беременности или выкидышу. Детям КТ проводят только по назначению врача при наличии серьезных медицинских показаний, когда польза от диагностики превышает риска от облучения организма ребенка.
КТ сердца с использованием контрастирования не всегда можно провести пациентам:
- с повышенным уровнем креатинина в крови;
- с аллергией на йод;
- с заболеваниями щитовидной железы.
Как рассчитывается стоимость КТ-коронарографии и сердца
Цена проведения МСКТ сердца зависит от целого ряда факторов. Обследование на компьютерном томографе с большим количеством срезов способно обеспечить больший объем диагностической информации и точность обследования. Для качественного исследования врачи рекомендуют выбирать КТ аппараты со срезовой мощностью не менее 32 срезов. Чем выше срезовые возможности установки, тем дороже стоит обследование на ней. Так же на цену влияет опыт и регалии проводящего исследование рентгенолога, поколение применяемого в процессе контраста, и характер обследования.
Сделать КТ в Петербурге максимально выгодно Вам поможет Единый центр записи. Звоните, чтобы получить исчерпывающую консультацию по адресам и ценам, правилам подготовки и особенностям процедуры.
КТ ангиография сосудов малого таза без стоимости контраста (подвздошные артерии и вены, почечные вены)
КТ, МРТ, УЗИ, рентген - обзор методов исследования

В медицинских центрах СПб в арсенале у врачей есть несколько методов высокотехнологического обследования. Их принято разделять на инвазивные (с проникновением внутрь организма или подкожного покрова) и неинвазивные. КТ, МРТ, УЗИ, рентген относятся к основным неинвазивным видам диагностики. Однако принцип визуализации и физика процесса у каждого из этих способов сканирования разная, поэтому и зоны их приоритетного применения отличаются.
Что покажет рентген

Рентген - это самый широко доступный тип обследования. В Санкт-Петербурге его можно сделать быстро на платной или бесплатной основе как в частных, так и в государственных клиниках и больницах. Основная задача рентгенографии - дать общее представление об изменении структуры органов и костной ткани. С помощью рентген-аппарата врач может хорошо визуализировать:
- инородные тела;
- переломы;
- воспаление легких;
- рак молочной железы;
- туберкулез.
Основное преимущество рентгенографии заключается в том, что это быстрый и дешевый метод сканирования. Однако по точности и диагностической ценности он безусловно уступает как УЗИ, так и таким высокотехнологичным методам исследования, как МРТ и КТ.
В основе физики работы рентген-аппарата лежат просвечивающие способности рентгеновских лучей. Получение плоского двухмерного изображения основано на ослаблении рентгеновского излучения при его прохождении через различные ткани. При рентген-сканировании пучок излучения, проходя через ткани организма, которые обладают различной плотностью, рассеивается и тормозится. Таким образом, на пленке возникают изображения разной степени интенсивности. Лучевая нагрузка при рентгенографии небольшая, но она всегда есть и может составлять от 0,1 до 1 мЗв. Поэтому рентгенография запрещена для беременных женщин, а здоровому человеку рентген можно делать 1- 2 раза в год.
Кроме дозы облучения у рентгеновского сканирования есть один существенный диагностический недостаток - плоская картинка. Поскольку рентген изображения - это тень ткани на пленке, объемно оценить органы и структуры человеческого тела с помощью рентгена не получается.

ЗАПИСЬ НА ПРИЕМ
Что покажет компьютерная томография
КТ или компьютерная томография - это еще одно рентгенографическое обследование, но его диагностические способности существенно выше обычного рентгена. Достигается это за счет того, что датчик, излучающий рентген лучи, движется вокруг области обследования по 360-градусной траектории. Так получаются многочисленные снимки, которые компьютер томографа выстраивает в трехмерные изображения - томограммы обследуемой области. КТ хорошо показывает:
- опухоли;
- все костные ткани - кости, череп;
- лор-заболевания;
- причину почечной колики;
- инородные тела;
- повреждения органов из-за внешних травм;
- внутренние кровотечения;
- причины “острого живота”.
С помощью компьютерной томографии в медицинских центрах СПб проводят скрининг рака легких у курильщиков. Такая томография позволяет выявить в 2 раза больше опухолей на ранней стадии. Простая флюорография (на базе рентгена) рак легких не показывает, поскольку плоскостное изображение не видит маленькие очаги опухоли, а вот на КТ можно визуализировать новообразование до 1 мм величиной.
С появлением на рынке низкодозных компьютерных томографов стало возможным проводить пан-КТ- или КТ всего тела. Такое тотальное сканирование человека от макушки до пяток позволяет врачам сразу найти патологические области, особенно после автотравмы и множественных повреждений.
Основной недостаток КТ - это высокая лучевая нагрузка, которая при некоторых обследованиях может доходить до 15 мЗв. Поэтому, в отличие от МРТ и УЗИ, КТ следует делать только по показаниям и направлению врача. Здоровым пациентам компьютерную томографию не рекомендуется делать чаще, чем 1 раз в год. Его нельзя проводить беременным женщинам, а детям малого возраста по возможности КТ следует заменять безопасными УЗИ и МРТ.
Что показывает МРТ
Магнитно-резонансная томография или МРТ - это сфокусированный метод, который проводит очень детальное обследование. Диагностическая точность МРТ превышает УЗИ и во многих случаях КТ, за исключением сканирования полых органов (легких, желудка, кишечника) и костей. МРТ является золотым стандартом диагностики:
- заболеваний головного и спинного мозга;
- патологий суставов;
- межпозвоночных дисков;
- сердца и сосудов;
- болезней гинекологического, проктологического и урологического характера.
В отличие от быстрого КТ и УЗИ, магнитно-резонансное обследование требует времени - в среднем пациенту нужно лежать в томографе и соблюдать неподвижность 30-60 минут.
Принцип работы МРТ основан на эффекте ядерного магнитного резонанса. МР томограф в своей конструкции имеет мощный магнит, который создает магнитное поле, и датчик, который подает радиочастотные сигналы. В такой ситуации протоны атомов водорода начинают колебательные движения, выделяя при этом импульсы. Их улавливает компьютер томографа и преобразовывает в трехмерные изображения. Чем больше воды содержится в клетках ткани, тем детальней получается ее изображение. Поэтому на МРТ хорошо отображаются органы с большим содержанием воды: МРТ головного мозга, МРТ спинного мозга, МРТ глазных орбит, МРТ органов малого таза, МРТ позвоночника, МРТ суставов, и плохо визуализируются органы с большим содержанием воздуха МРТ органов грудной клетки или кости.
Основы преимуществом МРТ перед КТ и рентгеном является отсутствие в ходе сканирования какого-либо излучения. А вот недостатком этого метода диагностики будет ряд ограничений - наличие ферромагнитного металла в теле пациента и имплантированных в организм водителей ритма, несовместимых с МРТ.



Что покажет УЗИ
Ультразвуковое исследование или УЗИ - это широко распространенный вид обследования, активно применяемый в диагностических центрах СПб. В ходе данной процедуры диагностика проводится с помощью ультразвуковых волн. Проходя через границы тканей различной плотности, ультразвук по-разному отражается от них. Ультразвуковая установка имеет датчик, который посылает ультразвуковой сигнал, а затем фиксирует ответ и переводит его в графическое изображение. Таким способом врачи могут хорошо обследовать:
- органы малого таза;
- органы брюшной полости;
- лимфоузлы и молочные железы;
- мягкие ткани;
- сосудистую систему.
К сожалению, серьезным препятствием для ультразвука являются кости, через которые сигнал пробиться не может. Поэтому малоинформативным является
- УЗИ головного мозга
- УЗИ сердца
- УЗИ органов средостения
- УЗИ позвоночника.
Основным достоинством УЗИ является отсутствие каких-либо противопоказаний и ценовая доступность. По диагностической ценности и точности УЗИ безусловно уступает МРТ и КТ, однако является приоритетным профилактическим и скрининговым методом обследования для многих заболеваний, включая патологии мочеполовой системы у мужчин и женщин, рака молочных желез и органов брюшной полости, воспалений мягких тканей.
Можно ли делать МРТ и рентген в один день
МРТ и КТ, а также МРТ и рентген в один день делать можно. Магнитно-резонансная томография не несет в себе никакой лучевой нагрузки, поэтому ее можно совмещать с любым видом обследования, будь то рентгенография или ультразвуковое сканирование. Однако нельзя в один и тот же день делать несколько КТ или КТ и рентген. Каждый из этих видов обследования имеет лучевую нагрузку от 0,1 до 10 мЗв, которая суммируется как превышающая доза радиации при многократном исследовании.
Читайте также:
