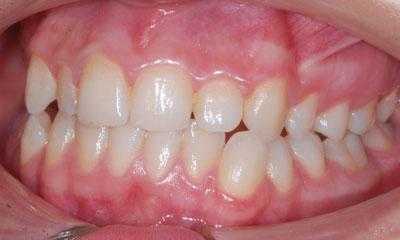
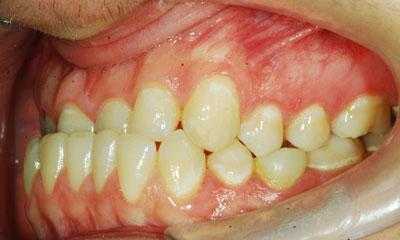
Пример лечения дистального прикуса. Молочные зубы при дистальном прикусе
Добавил пользователь Евгений Кузнецов Обновлено: 21.11.2025
Дистальный прикус считается самой частой ортодонтической проблемой и по разным данным составляет больше половины всех случаев нарушений расположения зубов. Другое название проблемы - прогнатический прикус. Проблема характеризуется неправильным положением зубов при смыкании: верхние сильнее чем нужно выступают над нижними. Аномалия может возникать как из-за усиленного роста верхней челюсти, так и из-за недостаточного развития нижней челюсти.
Виды неправильного прикуса на картинке:

Классификация дистальной окклюзии
В ортодонтии используется несколько классификаций глубокого дистального прикуса, которыми активно пользуются врачи. Глубокий дистальный прикус — это ошибочная «классификация» дистального прикуса, и в действительности «дистальный прикус» весь является глубоким относительно нормального (6). Правильное определение глубокого дистального прикуса — «Первый подкласс по Энглю», который характеризуется выступлением переднего ряда зубов вперед (а выступать этот ряд может по-разному). Но смеем вас заверить, что идеально ровное смыкание есть у крайне малого количества людей и вся проблема является сугубо психологической, и если вам не комфортно, тогда имеет смысл обратиться в клинику. Рекомендуем ознакомиться с презентацией на тему «Classification of malocclusion» (на английском языке).
Классификация именно ДИСТАЛЬНОГО ПРИКУСА (подклассов) по Энглю (1):
- 1. Первый подкласс. Резцы верхнего ряда выступают вперед, в ряде случаев немного вверх. Из-за этого формируется сагитальная щель при смыкании.
- 2. Второй подкласс. Резцы верхнего ряда смыкаются с резцами нижнего, так как растут немного назад. Для такой ситуации не характерно наличие сагитальной щели.


Виды клинических форм дистальной окклюзии по Хорошилкиной:
- 1. Скелетная или гнатическая форма. Аномалия развивается из-за неравномерного развития челюстей и их неправильного положения относительно друг друга.
- 2. Зубоальвеолярная форма. При этой форме неправильно развивается альвеолярный гребень или неправильно располагаются отдельные зубы рядов.
- 3. Смешанная форма. Сочетание предыдущих двух вариантов.
Способ коррекции дистального прикуса зависит от вида аномалии и возраста, в котором она была обнаружена.
Причины развития (5)
Причины дистальной окклюзии могут быть корректируемыми и некорректируемыми. В первом случае развитие аномалии можно предотвратить, если устранять факторы риска. Во втором случае повлиять на причины невозможно. В большинстве случаев прогнатический прикус развивается из-за сочетания разных факторов риска, к которым относятся:
- 1. Генетические изменения. Более чем в половине клинических случаев решающую роль в развитии аномалии играет генетическая предрасположенность. А воздействие других факторов риска лишь усугубляет ситуацию.
- 2. Нарушение внутриутробного развития плода. Любые проблемы со здоровьем матери, воздействие неблагоприятных внешних факторов могут привести к тому, что у новорожденного уже имеются аномалии развития, в частности проблемы с прикусом.
- 3. Неправильное грудное вскармливание, сосание пальца. Использование бутылочек со слишком широким отверстием или неполноценное прикладывание к груди приводит к тому, что нижняя челюсть недостаточно развивается. Усугубить ситуацию могут вредные привычки: сосание соски, пальцев или других предметов.
- 4. Кариозное поражение или несвоевременная потеря молочных зубов. Обе проблемы негативно сказываются на формировании правильного прикуса и развитии челюстей.
- 5. Детские болезни. Влиять на рост челюстей и расположение зубов могут также общие заболевания ребенка: проблемы с дыхательной системой, системные аутоиммунные болезни, рахит, дефицит полезных веществ.
Развитие дистального прикуса у детей в следствии сосания пальца:

Избежать формирования дистального прикуса не всегда удается, даже если стараться устранять все перечисленные факторы риска. При обнаружении проблемы необходима скорейшая ее коррекция.
Признаки прогнатического прикуса (2)
Нарушение прикуса характеризуется изменениями в смыкании зубов, но также могут присутствовать и дополнительные внешние признаки. Все проявления дистальной окклюзии можно разделить на 3 группы:
- 1. Внутриротовые: выступающие передние зубы, наличие расстояния между резцами верхнего и нижнего рядов при смыкании.
- 2. Функциональные: дискомфорт при глотании и жевании, нарушение дикции, затруднение носового дыхания. При этом взрослый человек, который страдает проблемой с детства, скорее всего адаптируется и не будет ощущать подобных неудобств.
- 3. Внешние: выступание носа и верхней губы, но западание нижней, уменьшение подбородка, в запущенных случаях рот постоянно приоткрыт. Дистальный прикус также может сказываться на осанке: появляется сутулость, тело наклонено вперед, живот выступает.

При обнаружении признаков дистальной окклюзии у ребенка или взрослого, следует обратиться к врачам ортодонтической студии Леонида Горбунова для проведения комплексной диагностики и лечения.
Диагностика дистального прикуса
Точно установить наличие дистальной окклюзии может только профессиональный ортодонт [3]. Сначала врач проводит осмотр ротовой полости и предварительно уже может судить о том, какая аномалия прикуса у пациента. Однако для подтверждения диагноза и составления дальнейшего плана лечения проводятся дополнительные исследования:
- 1. Компьютерная томография. Получение трехмерных изображений зубочелюстного аппарата позволяет определить: размеры челюстей, их соотношение, структуру кости, состояние ВНЧС и так далее.
- 2. Слепки. Взятие слепков зубных рядов позволяет определить особенности смыкания зубов. Исследование помогает составить план дальнейшего перемещения зубов для формирования правильного прикуса.
- 3. Фотопротокол. Делаются фото с открытым и закрытым ртом, в анфас и в профиль, с улыбкой и с разных ракурсов. Это позволяет отслеживать динамику коррекции прикуса.
Обращайтесь в нашу клинику, где диагностика выполняется на современном точном оборудовании с гарантией достоверных результатов.

Лечение дистальной окклюзии в детском возрасте проходит быстрее и проще. Для терапии используются различные приспособления для стимуляции роста нижней челюсти и/или торможения развития верхней челюсти. Ортодонты применяют:
- — заслоны для языка;
- — специальные трейнеры;
- — миогимнастику.
При необходимости может проводиться удаление зубов, шлифование клыков для лучшего смыкания.
Если проблему диагностировали в подростковом возрасте и старше, то лечение выполняется с помощью брекетов или съемных элайнеров. Дополнительно может использоваться суставная шина, если нарушена функция височно-нижнечелюстного сустава.
При отсутствии эффекта от консервативного лечения проводится челюстно-лицевая хирургия. Это сложно, дорого.
Схема исправления прикуса хирургическим путем

Сроки исправления дистального прикуса индивидуальны. Точная длительность коррекции зависит от выраженности аномалии, возраста пациента, дополнительных проблем с зубочелюстным аппаратом. У детей лечение занимает, как правило, на 6-8 месяцев меньше времени, чем у взрослого [4].
Пример фото дистального прикуса до и после лечения






Вывод
Неправильный прикус - это не только эстетическая, но и физиологическая проблема зубочелюстного аппарата. Игнорирование дистальной аномалии может ухудшать качество жизни и даже стать причиной некоторых болезней, в том числе, пищеварительного тракта из-за неправильного пережевывания пищи.
Люди с дистальным прикусом страдают от нарушений дикции. У них нарушается работа ВНЧС. Кроме того, стоматологическое лечение у таких пациентов тоже затрудняется, а зубы более подвержены кариозному поражению.
Поэтому при подозрении на дистальную окклюзию следует сразу же идти к врачу. Ребенка можно вести на прием сразу после появления молочных зубов, то есть примерно с 3 лет.
Неправильный прикус у детей
Неправильный прикус у детей - аномальное смыкание зубных рядов при привычном неподвижном положении нижней челюсти. Неправильный прикус у детей сопровождается несвоевременным прорезыванием, скученностью и дистопией зубов; наличием трем и диастем между зубами; болями в области челюсти, головными болями; дефектами звукопроизношения; повышенным риском развития кариеса, пародонтита, заболеваний ВНЧС. Определение неправильного прикуса у детей проводится ортдонтом на основании осмотра и выполнения ортопантомограммы, телерентгенограммы, снятия диагностических моделей. Для исправления неправильного прикуса у детей используются брекет-системы, съемные аппараты, миотерапия, хирургическое лечение.
Общие сведения
Неправильным прикусом у детей называют такое взаимное расположение зубов верхней и нижней челюсти, которое не отвечает физиологическим нормам и функциональным потребностям. В стоматологии и ортодонтии за норму принят так называемый ортогнатический прикус, при котором верхние резцы перекрывают нижние примерно на треть высоты зубных коронок (1,5-3 мм). По статистике, около 35% детей имеют проблемы с прикусом той или иной степени выраженности и нуждаются в консультации детского ортодонта. Неправильный прикус у ребенка является не просто эстетическим недостатком, а может приводить к серьезным заболеваниям зубочелюстной, дыхательной, пищеварительной, опорно-двигательной систем, нарушениям речи, психологическому дискомфорту.
Причины неправильного прикуса у детей
Формирование патологического прикуса у детей может начинаться уже в младенчестве. Чаще всего неправильный прикус диагностируется у детей, получающих искусственное вскармливание. Дело в том, что у новорожденных нижняя челюсть несколько укорочена по отношению к верхней, и на первом году жизни, в процессе естественного вскармливания, происходит выравнивание размеров челюстей. Сосание материнской груди сопровождается активной работой лицевых мышц и движениями нижней челюсти, что способствует ее развитию. Напротив, кормление из бутылочки не требует от ребенка усиленного сосания и задействования нижней челюсти, поэтому она продолжает отставать в размерах от верхней челюсти.
Однако слишком долгое (свыше 1,5 лет) грудное вскармливание детей также может привести к формированию у них неправильного прикуса. К тому же, в этом возрасте в рационе ребенка обязательно должна присутствовать плотная, твердая пища, требующая тщательного пережевывания. В противном случае недостаточная нагрузка на жевательный аппарат также послужит развитию у детей неправильного прикуса.
Неблагоприятным образом на развитии зубочелюстной системы ребенка сказываются вредные оральные привычки: частое и бесконтрольное использование соски, прикусывание губ, сосание пальца или игрушек, бруксизм, привычки грызть ногти и карандаши и пр. В этих случаях также возможно образование диастемы. Способствовать возникновению неправильного прикуса у детей может однообразное положение головки ребенка во время кормления или сна (запрокидывание головки назад или опускание на грудь, привычка спать в одной и той же позе, подкладывание руки под щеку и т. п.).
Тесная взаимосвязь отмечается между состоянием прикуса и характером дыхания ребенка. Нарушение носового дыхания (при аденоидах у детей, хроническом рините, искривлении носовой перегородки, полипах полости носа) и дыхание через рот приводит к неправильному положению языка, несмыканию губ и зубов на фронтальном участке и формированию аномального прикуса у детей. В свою очередь, неправильный прикус также способствует переходу к ротовому дыханию, уменьшению объема носовых полостей и сужению носовых ходов, слабому обогреву и увлажнению воздушной струи, недостаточной бактериостатической и бактерицидной функции слизистой оболочки и частым респираторным заболеваниям - ангинам, ларингитам, трахеитам, бронхитам и пневмониям.
Немаловажную роль в формировании неправильного прикуса у детей играет преждевременная потеря молочных зубов, нарушение сроков прорезывания зубов вследствие нехватки в организме минеральных веществ (фтора, кальция), адентия, множественный кариес, короткая уздечка языка, травмы челюсти. В некоторых случаях неправильный прикус наследуется детьми от родителей. Относительно редко неправильный прикус у детей являются следствием врожденных дефектов, таких как расщелины неба или недоразвитие челюстей.
Классификация неправильного прикуса у детей
К нормальным видам прикуса, обеспечивающим правильное функционирование зубочелюстной системы, относят ортогнатический, прогенический, прямой и бипрогнатический. Среди вариантов неправильного прикуса у детей выделяют следующие основные разновидности:
- дистальный прикус (прогнатия) - резкое выступание верхней челюсти вперед, ее преобладание над нижней челюстью
- мезиальный прикус (прогения) - резкое выступание нижней челюсти вперед, ее преобладание над верхней
- глубокий прикус - глубокое (более чем на 50%) перекрытие верхними резцами нижних
- перекрестный прикус - нарушение нормального соотношения зубных дуг, их смещение вбок относительно друг друга
- открытый прикус - несмыкание верхних и нижних резцов при сомкнутых коренных зубах (открытый передний прикус) или несмыкание коренных зубов при сомкнутых резцах (открытый боковой прикус).
Симптомы неправильного прикуса у детей
К очевидным признакам неправильного прикуса у ребенка следует отнести выдвижение челюстей вперед или назад, неровные зубные ряды, чрезмерная скученность зубов, гипердентия (наличием «лишних», сверхкомплектных зубов), дистопия (неправильное расположение зубов), наличие диастем и трем между зубами. Дети с неправильным прикусом могут жаловаться на трудности с жеванием и глотанием пищи, постоянное прикусывание языка или щек, боль в челюсти и мышцах лица, регулярные головные боли.
Внимательные родители смогут заподозрить проблему неправильного прикуса у своих детей по некоторым косвенным признакам: преобладанию ротового дыхания, заметному напряжению губ и подбородка при глотании, изменению профиля, несимметричности лица, нарушению сроков прорезывания молочных и постоянных зубов.
Однако внешние признаки неправильного прикуса у детей - это всего лишь «вершина айсберга»; гораздо более драматическими могут быть отдаленные последствия. Дети с неправильным прикусом, как правило, «обречены» на быстрое стирание зубной эмали и возникновение гиперестезии зубов. Неприятными спутниками неправильного прикуса у детей служат частые травмы языка и щек, травматические язвы в полости рта, язвенный гингивит, пародонтит, пародонтоз, заболевания височно-нижнечелюстного сустава и др.
Наличие переднего открытого прикуса у детей затрудняет надкусывание пищи; наличие открытого бокового прикуса ограничивает жевание, а наличие дистального и глубокого прикуса ухудшает дыхание. Некачественное пережевывание пищи сопровождается проблемами с пищеварением, нарушение дыхания способствует возникновению частых ОРВИ. Все виды неправильного прикуса в той или иной степени приводят к нарушению звукопроизношения, нечеткости речи, обусловливая наличие у детей механической дислалии.
Дети с неправильным прикусом чувствуют свою физическую неполноценность на фоне сверстников, что постепенно приводит к вторичным психологическим проблемам: замкнутости, унынию, раздражительности.
Диагностика неправильного прикуса у детей
Дети с неправильным прикусом должны быть обследованы детским отоларингологом, детским стоматологом, детским пародонтологом, логопедом. Основная роль в выявлении вида и степени нарушения прикуса принадлежит детскому ортодонту.
С целью проведения подробных расчетов и составления грамотного плана лечения проводится панорамный снимок (ортопантомограмма), рентгенография черепа в боковой проекции (телерентгенограмма), фотографирование лица в фас и профиль. На основании снятого альгинатного слепка изготавливается диагностическая гипсовая модель зубных рядов. Для получения дополнительных данных о неправильном прикусе у детей может потребоваться компьютерная томография, миография. После сбора всех необходимых данных производится компьютерное моделирование результатов лечения.
Лечение неправильного прикуса у детей
Исправление неправильного прикуса у детей происходит гораздо быстрее, чем у взрослых, поэтому исправление зубочелюстных аномалий необходимо проводить как можно раньше, желательно с возраста 5-6 лет. Перед началом ортодонтического лечения неправильного прикуса у детей необходимо проведение полной санации полости рта: терапии кариеса и болезней десен, профессиональной гигиенической чистки полости рта с последующей реминерализующей терапией. В случае скученности или гипердентии может потребоваться удаление зубов.
Возможности современной ортодонтии позволяют применять для коррекции неправильного прикуса у детей различные методики. На ранних стадиях, в период временного прикуса используется миотерапия - специальная лечебная гимнастика для тренировки мимических и жевательных мышц.
Детям в возрасте 5-12 лет, имеющим неправильный прикус, может быть рекомендовано ношение преортодонтического трейнера - функционального аппарата из эластичного силикона. Удобство трейнеров заключается в том, что они используются только во время сна и 1 час в течение дня; при этом эффективно воздействуют на мышцы и зубочелюстную систему, отучают детей от вредных оральных привычек.
Начиная с 11-12-летнего возраста, для коррекции неправильного прикуса у детей могут применяться ортодонтические пластинки - съемные аппараты. С помощью съемных пластинок можно повернуть и переместить зубы, сузить или расширить зубную дугу. Примерно с этого же возраста для исправления неправильного прикуса у детей применяется несъемная аппаратура - брекет-системы, представляющие собой маленькие замочки, с помощью которых каждый зуб соединяется со специальной дугой, корректирующей положение зубов. По окончании основного периода, для закрепления правильного положения зубов, возникает необходимость в ношении ретейнера или ретенционной каппы. Весь период исправления неправильного прикуса у детей с помощью брекет-системы в среднем занимает около 2-х лет.
Логопедические занятия по коррекции дислалии следует начинать, не дожидаясь окончания ортодонтического лечения. В редких и особо тяжелых случаях детям с неправильным прикусом может потребоваться помощь челюстно-лицевого хирурга и хирургическое лечение (устранение аномалий челюстей, уранопластика, велофарингопластика).
Профилактика неправильного прикуса у детей
В большинстве случаев родители в состоянии предупредить формирование неправильного прикуса у детей. Для этого желательно осуществлять грудное вскармливание, а в случае кормления ребенка смесью следует использовать соску с небольшим отверстием для стимуляции активного сосания. Необходимо своевременно отучать ребенка от соски, не культивировать вредные привычки, приучать к твердой пище, следить за сменой позы ребенка во время сна, прививать навыки ухода за полостью рта. После появления первых зубов (не позднее 1 года) рекомендуется посетить детского стоматолога, а в 5-6 лет - детского ортодонта.
Мезиальный прикус
Мезиальный прикус - аномалия окклюзии, характеризующаяся выдвижением вперед нижнего зубного ряда по отношению к верхнему при сомкнутом положении челюстей. Внешними проявлениями мезиального прикуса служат массивный, выступающий подбородок, вогнутый профиль лица, западающая верхняя губа; ротовые признаки включают мезиальную окклюзию моляров и клыков, прямую или обратную резцовую окклюзию; функциональные изменения - нарушения жевания и речи. Диагностике мезиального прикуса помогают данные антропометрических измерений, телерентгенографии, ортопантомографии, анализа диагностических моделей, рентгенографии ВНЧС. Коррекция мезиального прикуса включает миофункциональную гимнастику, массаж альвеолярного отростка, ортодонтическое лечение.
Мезиальный прикус - разновидность неправильного прикуса, обусловленная сдвигом нижней челюсти вперед по отношению к верхней. Наряду с дистальным прикусом (прогнатией), мезиальная окклюзия зубных рядов относится к аномалиям прикуса в сагиттальном направлении. Распространенность мезиального прикуса в популяции колеблется от 1 до 12%. В числе прочих зубочелюстных аномалий удельный вес мезиального прикуса составляет 2-6%. В стоматологии мезиальный прикус также обозначается понятиями «III класс смыкания по Энглю», «прогения», «прогенический прикус», «нижняя прогнатия», «антериальный прикус» и др. Мезиальный прикус может сочетаться с открытым и перекрестным прикусом.
Причины мезиального прикуса
Мезиальный прикус формируется под влиянием генетических, врожденных и приобретенных факторов. Генетические формы мезиального прикуса связаны с наследственными особенностями строения лицевого черепа и регистрируются в 20-40% случаев аномалии. В период антенатального онтогенеза к мезиальному прикусу могут привести заболевания беременной, родовые травмы новорожденного, гипоплазия межчелюстной кости и др. В числе факторов, способствующих формированию мезиального прикуса, большую роль играют сопутствующие аномалии зубов и полости рта: сверхкомплектные зубы на нижней челюсти, частичная и множественная адентия в области верхней челюсти, микродентия верхних зубов или микродентия нижних зубов, короткая уздечка языка, макроглоссия.
Среди причинно значимых постнатальных факторов следует отметить искусственное вскармливание ребенка, заболевания раннего возраста (рахит), ротовое дыхание вследствие ЛОР-патологии (искривления носовой перегородки, гипертрофии небных миндалин) и др. Отдельную группу причин составляют различные поведенческие факторы, способствующие возникновению мезиального прикуса: сосание верхней губы, пальцев и различных предметов; сон с опущенной на грудь головой; привычка подкладывать кулак или кисть руки под подбородок в положении сидя. К развитию мезиального прикуса могут приводить нарушения в сроках и последовательности прорезывания зубов, а именно - ретенция верхних зубов и раннее прорезывание зубов нижней челюсти.
Недоразвитию верхней челюсти и формированию мезиального прикуса в отдельных случаях может способствовать остеомиелит челюстей, последствия коррекции нёбной расщелины, опухоли челюстей, акромегалия.
Классификация мезиального прикуса
С учетом размеров и положения челюстей выделяют следующие виды мезиального прикуса:
1. Мезиальный прикус, обусловленный нижней макрогнатией:
- при нормальных размерах верхней челюсти
- при недоразвитии или дистальном положении верхней челюсти
2. Мезиальный прикус, обусловленный нижней прогнатией:
- при увеличении базального отдела нижней челюсти
- при увеличении подбородочного отдела нижней челюсти
3. Мезиальный прикус, обусловленный верхней микрогнатией.
4. Мезиальный прикус, обусловленный верхней ретрогнатией.
5. Мезиальный прикус, обусловленный сочетанием:
- верхней микрогнатии и нижней макрогнатии;
- верхней ретрогнатии и нижней прогнатии;
- верхней микрогнатии и нижней прогнатии;
- верхней ретрогнатии и нижней макрогнатии.
Первый и второй варианты мезиального прикуса в ортодонтии расцениваются как истинная прогения; третий и четвертый вариант - как ложная прогения, при которых нижняя челюсть имеет нормальные размеры, а мезиальный прикус обусловлен недоразвитием верхней челюсти или ее ретропозицией.
С учетом нарушения окклюзии в сагиттальном направлении и величины и нижнечелюстного угла выделяют три степени мезиального прикуса:
- I степень - сагиттальная щель между передними зубами до 2 мм; нарушение соотношения между первыми молярами в сагиттальном направлении до 5 мм; нижнечелюстной угол до 131°.
- II степень - сагиттальная щель между передними зубами до 10 мм; нарушение соотношения между первыми молярами в сагиттальном направлении до 10 мм; нижнечелюстной угол до 133°.
- III степень - сагиттальная щель между передними зубами больше 10 мм; нарушение соотношения между первыми молярами в сагиттальном направлении 11-18 мм; нижнечелюстной угол до 145°.
Также различают зубоальвеолярную и гнатическую форму мезиального прикуса: в первом случае возможно произвольное смещение нижней челюсти назад до достижения правильной окклюзии боковых зубов; при второй форме смещение невыполнимо.
Симптомы мезиального прикуса
При мезиальном прикусе может отмечаться сочетание тех или иных лицевых и внутриротовых признаков, а также обусловленных ими различных функциональных нарушений. Внешне мезиальный прикус проявляется выдвижением подбородка и нижней губы вперед, западением верхней губы, нередко - зиянием ротовой щели. При этом средняя треть лица в профиль выглядит запавшей, вогнутой. В целом выражение лица пациента с мезиальным прикусом характеризуется как «сердитое».
Внутриротовые признаки мезиального прикуса характеризуются обратным резцовым перекрытием или прямой окклюзией зубов в переднем отделе; наличием мезиальной ступеньки при смыкании жевательных зубов. Возможен оральный наклон зубов на нижней челюсти, образование диастем и трем, наличие дистопированных зубов. Скученное положение зубов на нижней челюсти может обусловливать отложение зубного камня, развитие гингивита и пришеечного кариеса.
Функциональные нарушения при мезиальном прикусе могут включать дефекты речи (межзубный сигматизм - разновидность механической дислалии), затруднения откусывания и пережевывания пищи, дисфункцию ВНЧС. Неправильное распределение жевательной нагрузки в области передних зубов сопровождается перегрузкой тканей пародонта, развитием пародонтоза и ранней потерей зубов. Мезиальный прикус может препятствовать проведению протезирования и дентальной имплантации.
Диагностика
Для распознавания мезиального прикуса, правильной оценки его вида и степени необходима консультация ортодонта. Обследование пациента начинается с осмотра лица в фас и профиль, снятия антропометрических показателей, визуальной оценки окклюзии в полости рта, проведения функциональной пробы, позволяющей отличить истинную прогению от ложной.
Степень выраженности мезиального прикуса оценивается по результатам определения прикуса с помощью прикусных валиков, изучения диагностических моделей, ортопантомографиии, телерентгенографии в боковой проекции, рентгенографии и томографии ВНЧС. Для выявления функциональных нарушений производится электромиография жевательных и височных мышц; консультация логопеда и отоларинголога.
Лечение мезиального прикуса
В дошкольном возрасте, когда челюсти ребенка находятся в процессе роста, для коррекции мезиального прикуса назначается миофункциональная гимнастика и массаж альвеолярного отростка верхней челюсти; при необходимости проводится пластика уздечки языка. Для отучения ребенка от вредных оральных привычек рекомендуется использование вестибулярных пластинок. Ортодонтическое лечение на данном этапе по показаниям может проводиться с помощью аппарата Брюкля, каппы Бынина. Существует мнение, что наилучшие результаты лечения мезиального прикуса в период молочного и раннего сменного прикуса достигаются в случае использования лицевой маски.
В период сменного прикуса лечение мезиальной окклюзии проводится с использованием активаторов Андрезена-Гойпля, Кламмта, Френкеля, аппаратов Вундерера или Персина. С установлением постоянного прикуса для коррекции аномальной окклюзии применяется несъемная ортодонтическая техника - брекет-системы. Одновременно с ортодонтическим этапом проводятся логопедические занятия по коррекции дислалии.
Протетическое лечение мезиального прикуса может включать избирательное пришлифовывание зубов, съемное или несъемное протезирование для нормализации окклюзионных контактов. Иногда при чрезмерном развитии нижней челюсти возникает необходимость предварительного хирургического лечения - удаления зубов, остеотомии ветви нижней челюсти.
Прогноз и профилактика
Наилучшие результаты коррекции мезиального прикуса достигаются при начале лечения в период молочного или сменного прикуса. Несмотря на все сложности, коррекция эстетических и функциональных нарушений возможна даже во взрослом возрасте. Однако в этом случае увеличиваются сроки лечения, нередко требуется поэтапное лечение с участием стоматологов-хирургов, ортодонтов, ортопедов.
Важную роль с точки зрения профилактики мезиального прикуса играет нормальное течение беременности и родов, грудное вскармливание, отучение ребенка от вредных привычек, правильное положение во время сна. Необходимо своевременное лечение заболеваний, замедляющих или нарушающих рост челюстных костей, коррекция аномалий отдельных зубов.
Исправление мезиального прикуса
Мезиальный прикус признается исследователями и практикующими ортодонтами одной из самых редких и сложных в лечении зубных патологий.
Мезиальная окклюзия или прогения — это вид неправильного прикуса, при котором нижняя челюсть выступает вперед относительно верхней. Нижние резцы перекрывают верхние или образуют обратную саггитальную щель — промежуток между передними и нижними передними зубами.
Обратное резцовое перекрытие
Обратное резцовое перекрытие на КЛКТ-снимке
Как определить мезиальный прикус?
- По лицу. Мезиальный прикус можно определить по строению лица даже без взгляда на улыбку. Профиль вогнутый — средняя треть лица немного западает назад, особенно относительно нижней трети. Подбородок выдается вперед и выглядит массивно и непропорционально лицу и верхней челюсти. При этом, нижняя губа выглядит толще, а верхняя западает. Выражение лица кажется сердитым.
- По осанке. Височно-нижнечелюстной сустав напрямую связан с позвоночником, поэтому его неправильное положение (в результате аномалий прикуса) влияет на положение и баланс всего тела. Для обладателей сложных форм мезиального прикуса характерно небольшое отклонение тела назад. Если провести прямую через все тело в профиль, то голова будет отклонена немного назад, а тазовые кости выдвинуты вперед.

Вогнутый профиль при мезиальном прикусе

Нарушение осанки при мезиальном прикусе


Виды мезиального прикуса
По форме:
- Зубоальвеолярная форма. Прикус как результат неправильного положения зубов.
- Гнатическая или скелетная форма — неправильный прикус, образованный патологией развития челюстей. Более сложная форма прикуса, иногда требующая хирургического вмешательства.
Часто клинические случаи мезиального прикуса сочетают в себе обе формы — и неправильно стоящие зубы, и аномальные размеры челюстей.
По причинам возникновения:
- Врожденные аномальные размеры челюстей: макрогнатия нижней челюсти — большая или вытянутая в длину нижняя челюсть; микрогнатия верхней челюсти — недоразвитая, маленькая верхняя челюсть.
- Прогнатия нижней челюсти — вынужденное положение, когда отдельные зубы мешают нормальному смыканию челюстей и росту челюстей. Такой прикус образуется у детей на молочных зубах из-за клыков, которые цепляются за нижние зубы и не дают нижней челюсти занять нормальное положение.
- Ретрогратия верхней челюсти — заднее положение верхней челюсти относительно пропорций лица. В отличие от микрогнатии, в данном случае челюсть имеет нормальный размер, но неправильное положение.
- Аномальные размеры зубов: макродентия — крупные зубы на нижней челюсти, микродентия — маленькие зубы на верхней челюсти.
Причины появления мезиального прикуса
На ранних этапах развития:
- Наследственность — врожденное неправильное строение черепа и лицевых костей. Передается генетически, иногда зависит от этнической принадлежности. Вероятность мезиального прикуса у монголоидной расы выше, чем у европеоидов.
- Болезни матери во время беременности, неблагоприятная внешняя среда, недостаток питательных веществ во время внутриутробного развития.
- Неправильное грудное вскармливание.
- Макроглоссия — увеличенный размер языка.
- Детские заболевания (рахит, нарушения работы эндокринной железы)
- Вредные привычки: сосание верхней губы, пальца.
- Короткая уздечка языка.
В период молочных и постоянных зубов:
- Нарушение стираемости молочных зубов, в результате чего зубы (чаще клыки) мешают нормальному смыканию верхних и нижних челюстей. Нижняя челюсть при смыкании соскальзывает и занимает вынужденное положение впереди.
- Позднее прорезывание или ранее выпадение зубов на верхней челюсти.
- Сверхкомплектные зубы на нижней челюсти.
- Неправильное положение тела: опускание головы на грудь во время сна, подпирание подбородка рукой в сидячем положении.
Последствия мезиального прикуса
В первую очередь, мезиальная окклюзия нарушает внешнюю эстетику. Непропорциональное лицо выдает неправильный прикус даже, если человек не улыбается. Выражение лица кажется суровым и сердитым.
Неправильное резцовое перекрытие и щель между передними зубами сильно затрудняет процесс жевания. Передние зубы стираются друг о друга, а вся жевательная нагрузка перераспределяется между несколькими зубами, которые быстрее разрушаются и больше подвержены кариесу из-за постоянной работы. При потере зубов в результате неправильного прикуса осложняется имплантация и протезирование — для адекватного восстановления зубов может не хватить места.
Если верхние резцы в результаты обратного перекрытия достают до слизистой нижней челюсти, то на месте контактов возникает хроническая травма. Она ведет к размножению бактерий, пародонтиту, рецессиям и повышению риска онкологии.
Неправильные зубные контакты или строение челюстей напрямую влияют на височно-нижнечелюстной сустав. Результатом неправильного положение сустава становятся щелчки, боли при открытии рта или пережевывании пищи, головные боли, дистрофия и заклинивание (застывание в одном положении) сустава.
Для составления полной клинической картины и плана лечения нужны качественные диагностические данные нескольких видов:
- Визуальный осмотр зубов и лица врачом ортодонтом. Обычно происходит на первой консультации. Врач оценивает положение, размеры и состояние зубов. При необходимости направляет к дополнительным специалистам.
- Оценка положения и размера челюстей по КЛКТ. Только 3D-снимок всего черепа даст врачу точное представление о том, как располагаются челюсти относительно друг друга, в каком состоянии находится височно-нижнечелюстной сустав. На основании этих данных составляется план перемещения зубов, оценивается необходимость хирургического вмешательства или дополнительного лечения дисфункции сустава.
- Оценка положения, соотношения и смыкания зубов с помощью слепков.
- Подробный фотопротокол для составления плана лечения и дальнейшего отслеживания динамики лечения.
Лечение
Методики лечения мезиального прикуса зависят от возраста пациента и формы прикуса (скелетной или альвеолярной). Ранее лечение, как правило, проходит быстрее и эффективнее, потому что челюсти, зубы и костная ткань альвеолярного отростка находятся в фазе роста.
Лечение в молочной и сменном прикусе
При диагностике мезиального прикуса у ребенка на молочном или сменном прикусе, в первую очередь, необходимо исключить факторы, которые усугубляют патологию:
- вредные привычки. Облегчить отучение от вредной привычки и адаптацию к правильному положению челюстей помогут специальные челюстные аппараты.
- неправильное глотание или ротовое дыхание. Для устранения проблем с дыханием потребуется консультация врача-ЛОР.
- вынужденное положение челюсти из-за мешающих бугорков или режущих краев отдельных зубов. В этом случае, зубы пришлифовываются в безопасном объеме для нормального смыкания.
Если нижняя челюсть смещена вперед незначительно, то для коррекции показан массаж альвеолярного отростка (места, откуда растут зубы) со стороны неба в переднем участке верхнего зубного ряда. Общее положение челюсти корректируется съемными аппаратами.
При глубоком резцовом перекрытии на сменном прикусе применяется аппарат Брюкля. Он перемещает верхние зубы вперед, а надкусочная пластина способствует разобщению прикуса на фронтальных зубах.
Развитию челюсти может дополнительно мешать давление губ, языка и щек на альвеолярные отростки и зубы. Регулятор функции Френкеля 3-го типа нормализует положение и соотношение зубов, языка и щек.


Аппарат Френкеля 3-го типа
Как показывают исследования, сдержать рост нижней челюсти невозможно, поэтому в молочном и сменном прикусе ортодонтическое лечение сосредоточено на стимуляции роста верхней челюсти. Для этого устанавливается частичная брекет-система «4+2» на постоянные резцы и первые моляры. Действие брекетов способствует расширению и удлинению верхней челюсти.
Частичная брекет-система при мезиальном прикусе"
Лечение в постоянном прикусе зубоальвеолярной формы
При зубоальвеолярной форме мезиальный прикус образуется за счет неправильного положения зубов. Для его исправления достаточно установки брекет-системы. Лечение проходит с обязательным использованием межчелюстных тяг — эластиков, которые помогают вытянуть нижний зубной ряд назад. При сильной аномалии удаляются нижние восьмые зубы (зубы мудрости), а к вытягиванию зубного ряда подключаются мини-винты. Мини-винты или микроимпланты —небольшие винтики, которые становятся абсолютной опорой.
Лечение в постоянном прикусе гнатической формы
Скелетная форма прикуса, то есть, закрепление прикуса на уровне костей черепа, требует дополнительного хирургического вмешательства. Ортогнатический хирург корректирует размеры и положения челюстей уже после установки брекетов и корректировки положения зубов. После операции врач-ортодонт детализирует положение зубов для идеальной улыбки.
Лечение мезиального прикуса в клинике «Конфиденция»
В клинике «Конфиденция» лечения прикуса начинается с детальной диагностики. Мы уделяем этому этапу большой значение, так как от грамотная диагностика дает четкие представления о причинах формирования мезиального прикуса, помогает спланировать правильное лечение.
Для создания 3D-снимков мы используем один из самых современных томографов — он позволяет создать снимки отличного качества при максимальной безопасности для здоровья пациента.
На диагностике и при каждом посещению мы ведет тщательный фотопротокол для отслеживания результатов и корректировки процессов лечения.
Наши ортодонты работают с самыми продвинутыми брекет-системами, в том числе, индивидуальными и лингвальными брекетами.

Лечение мезиального прикуса на брекетах с использованием межчелюстных тяг

Лечение мезиального прикуса: лингвальные брекеты на верхней челюсти, использование межчелюстных тяг
Дистальный прикус: исправление и лечение у ребенка и взрослых

Дистальный прикус зубов или прогнатия - это патология, при которой верхняя челюсть значительно выдвинута вперед. В норме все зубы при смыкании челюстей соприкасаются. Однако при неправильной окклюзии это правило нарушается. Часть зубов не имеет точек соприкосновения или эти точки смещены.
Причины дистального прикуса
Расположение челюстей закладывается во внутриутробном развитии. Если женщина перенесла тяжелую болезнь во время беременности, есть вероятность, что процесс формирования челюстей будет нарушен, и это скажется на окклюзии. Однако чаще всего нарушения возникают уже после рождения ребенка.
- Искусственное вскармливание. Все младенцы рождаются с недоразвитой нижней челюстью, которая сдвинута назад. Во время сосания ребенок постоянно ее напрягает, и к 6 месяцам нижняя челюсть занимает правильное положение. При искусственном вскармливании новорожденные не прикладывают достаточно усилий во время сосания, челюсть остается сдвинутой.
- Вредные привычки. Сосание пальца, одеяла, нижней губы может привести к выдвижению верхней челюсти вперед.
- Нарушение носового дыхания. Неправильное дыхание ведет к тому, что рот все время приоткрыт. Язык занимает нижнее положение, не оказывает давления на верхнюю челюсть. Она сужается, и передние зубы выдвигаются.
- Общие болезни. Рахит, эндокринные нарушения влияют на рост всего организма, включая челюсти.
- Ранняя утрата зубов. Отсутствие зубов означает недостаток стимуляции нижней челюсти при жевании, ее развитие замедляется.
- Травмы и воспаления. Переломы или остеомиелит (воспаление надкостницы) также замедляют нормальное развитие челюстей. Дистальный тип окклюзии редко встречается сам по себе, чаще всего он сочетается с другими аномалиями.
Методы коррекции зависят непосредственно от возраста пациента. Чем раньше начинаются лечебные мероприятия, тем выше вероятность успешного лечения. Поэтому стоматологи рекомендуют записать ребенка на первый прием до того, как ему исполнится 4 года. Врач вовремя заметит патологию и предложит план лечения. Задачи и методы воздействия меняются с возрастом.
Аппаратные методы лечения
С этой целью применяют щитовые аппараты. Пластинки Шонхера, Кербитца, LM-активаторы направлены на укрепление круговой мышцы рта, формирование носового дыхания. Они снижают давление щек на боковые зубы.
В период смены зубов фокус смещается на стимуляцию роста нижней и сдерживание развития верхней челюсти. В этот период по-прежнему применяют LM-активаторы, а также аппараты Френкеля 2-го типа, Твин Блоки, активаторы Андрезена-Гойпля.
- вестибулярные брекеты - состоят из дуги, которая оказывает непрерывное давление на зубы через тонкие пластинки, закрепленные на зубах; - такие же несъемные аппараты, только установленные на внутреннюю поверхность зубов, их не видно при разговоре, улыбке; - прозрачные силиконовые каппы, их снимают во время еды и гигиены.
Хирургические методы лечения
Иногда нормальное развитие челюстей нарушается из-за патологий слизистых: укороченной уздечки языка или губ, тяжей. В таких случаях проводят пластику слизистых: подрезают уздечки. Операции несложные, проводятся в любом возрасте.
- . Удаляют разрушенные или наименее ценные зубы, чаще всего верхние премоляры. Прибегают к экстракции при сильно зауженной челюсти.
- Остеотомия. При сильном недоразвитии нижней челюсти (микрогнатии) используют особый метод исправления дистального прикуса - операцию. Челюсть рассекают и перемещают вперед до нормального положения.
- Поперечная остеотомия. Проводится на верхней челюсти при глубоком дистальном прикусе. Хирурги удаляют часть альвеолярного отростка, чтобы сместить зубы назад.
Ретенция
После аппаратного или хирургического лечения полученные результаты необходимо закрепить. Этот процесс называют ретенцией. Ее основная цель - не дать челюстям вернуться в привычное положение.
Почему нужно исправлять дистальный прикус
При нарушении окклюзии жевательная нагрузка распределяется неравномерно. Это приводит к тому, что зубы с повышенной нагрузкой покрывается трещинами, на эмали появляются сколы. Такие единицы больше предрасположены к кариесу и воспалительным заболеваниям. Они быстрее разрушаются.
Нарушение процесса жевания ухудшает работу желудочно-кишечного тракта, меняет микробиотические показатели в ротовой полости.
Прикус напрямую влияет на осанку. Центр тяжести при патологиях окклюзии смещается, верхняя часть тела отклоняется от вертикальной оси вперед. Это сказывается на работе мышц, одни из них перегружены, другие вообще не работают. Отсюда - боли в спине, сутулость.
Правильный прикус - это не только привлекательная улыбка. Отзывы пациентов с дистальным прикусом до и после коррекции - это рассказ о том, как повысилось качество жизни. После лечения улучшается не только внешний вид, но и самочувствие, и самооценка.
Важно!
Информация, представленная в статье, носит исключительно ознакомительный характер. Поставить диагноз и назначить адекватное лечение может только врач.
Читайте также:
