Диагностика метастатической нейробластомы по КТ, МРТ
Добавил пользователь Владимир З. Обновлено: 13.12.2025
Нейробластома - эмбриональная опухоль, возникающая в процессе внутриутробного или раннего постнатального периода жизни из стволовых нервных клеток - нейробластов.
Впервые описание этой опухоли, названной впоследствии «детской глиомой», дал Рудольф Людвиг Карл Вирхов в 1864 году. Позднее в 1891 году немецким ученым патоморфологом Феликсом Маршандом был определен источник опухоли - клетки симпатической нервной системы и надпочечники. Симпатическая нервная система - это часть автономной (вегетативной) нервной системы. Она контролирует непроизвольную работу внутренних органов человека, например, работу сердца, кишечника, мочевого пузыря, процесс кровообращения.
Эпидемиология
Нейробластома составляет около 7-8% от всех злокачественных новообразований в детском и подростковом возрасте. Это наиболее часто возникающий вид детских новообразований после опухолей кроветворной и центральной нервной системы. Примерно 40% случаев заболевания встречается на первом году жизни, с возрастом количество случаев уменьшается. Средний возраст на момент диагностирования составляет 19 месяцев.
Причины и риски
Причины появления опухоли до конца не изучены. Нейробластома возникает в том случае, когда нормальные нейробласты не созревают в нервные клетки. Вместо этого они продолжают бесконтрольно расти и делиться. Предполагают, что эти несозревшие (эмбриональные) нервные клетки начинают мутировать еще до рождения ребенка, когда начинают меняться хромосомы и/или происходит сбой в регулировании работы генов. Как подтверждают актуальные исследования, у большинства детей болезнь не является наследственной̆. Только около 1% случаев нейробластомы имеют наследственную основу, чаще всего, вследствие мутаций в гене, который̆ называется ALK (или ген киназы анапластической лимфомы), либо в гене PHOX2B. На сегодняшний̆ день нет клинических исследований, доказывающих, что внешние факторы (окружающая среда, вредные условия работы родителей ребенка, прием каких-либо медикаментов, курение и употребление алкоголя во время беременности) могут стать причиной болезни.
Клиническая картина при нейробластоме
Нейробластома может возникать в любой анатомической области, где располагается симпатическая нервная система: надпочечники, шейный, грудной и брюшной симпатический отделы, параганглии.
Самой частой локализацией нейробластомы является забрюшинное пространство (одинаково часто опухоль диагностируется в надпочечниках и паравертебральных забрюшинных ганглиях). У 15% детей нейробластома локализуется в заднем средостении. Реже опухоль возникает в области таза (6%) и шеи (2%) (рис. 1).

Рис. 1. Локализация нейробластомы
При ранних стадиях заболевания у многих детей может не быть никаких симптомов. Опухоль у них находят случайно, например, при плановом УЗИ обследовании младенцев при диспансеризации. Как правило, жалобы у детей появляются тогда, когда опухоль уже успела сильно вырасти и давит на соседние органы, нарушая их работу, или когда опухоль дала метастазы.
Среди общих симптомов заболевания можно выделить следующие: потеря веса, слабость, костные и суставные боли, некупируемая диарея.
Большинство проявлений болезни и их выраженность зависят от расположения опухоли и ее взаимосвязи с соседними органами и тканями. Так, для пациентов в возрасте до 2-х лет при забрюшинной локализации характерно увеличение размеров живота, лихорадка и потеря веса. Нейробластома забрюшинного пространства пальпируется через переднюю брюшную стенку в виде бугристого, несмещаемого опухолевого узла (рис. 2). У детей старшего возраста заболевание может манифестировать болевым синдромом, обусловленным метастатическим поражением костей, респираторными нарушениями, увеличением размеров живота, появлением запоров. У пациентов с большими забрюшинными опухолями можно обнаружить развитую сеть подкожных вен, развернутые края грудной клетки.

Рис. 2. Нейробластома забрюшинного пространства
Локализация опухоли в шейно-грудном отделе симпатического отдела позвоночника вызывает синдром Горнера (сужение зрачка, разные размеры зрачков, покраснение и/или опущение верхнего века и небольшое поднятие нижнего). Другими изменениями в области глаз могут быть кровоизлияния в кожу или слизистую оболочку, «синяки» на веках и под глазами. На поздней стадии болезни иногда появляются черные круги вокруг глаз (гематома в виде очков) (рис. 3).

Рис. 3.1. Симптом «очков»

Рис. 3.2. Симптом «очков» при метастазах в орбиту
Поражение заднего средостения может стать причиной сухого кашля, дыхательных расстройств, деформации грудной клетки, частого срыгивания. При локализации опухоли в полости таза отмечают нарушение функции тазовых органов (периодическое недержание мочи, нарушение акта дефекации), отёки нижних конечностей.
При распространении опухоли в позвоночный канал и сдавлении ею спинного мозга могут развиваться слабость в ногах, неустойивость походки, параличи нижних конечностей, а также дисфункции органов малого таза (задержка мочеиспускания или непроизвольное мочеиспускание, запоры).
Редко, примерно в 2-4% всех случаев, у детей встречается ассоциированный с нейробластомой церебеллярный синдром («опсоклонус-миоклонус» или энцефалопатия Кинсбурна), характеризующийся некоординированными, нерегулярными движениями туловища и конечностей, миоклонусом и хаотичными движениями глазных яблок.
Нейробластома ‒ гормонопродуцирующая опухоль, способная к секреции физиологически активных веществ - катехоламинов ‒ адреналина, норадреналина и дофамина. В моче, как правило, повышено выведение их метаболитов ‒ ванилилминдальной и гомованилиновой кислот. В 95% случаев гормональная активность нейробластомы тем больше, чем выше степень её злокачественности. Эффекты секретируемых гормонов вызывают специфические клинические симптомы нейробластомы ‒ резкое повышение артериального давления, диарею (вызывается секрецией вазоактивного интестинального полипептида), потливость, эмоциональную лабильность, периодическое повышение температуры.
Нейробластома метастазирует чаще всего в костный мозг, кости, в отдаленные лимфатические узлы, печень или кожу, редко — в головной мозг или легкие. Признаки отдалённых метастазов можно обнаружить в виде экзофтальма, кровоизлияний в орбиты, опухолевых узлов на голове.
Среди особенностей течения нейробластомы можно выделить следующие:
- Регрессия - способность опухоли к спонтанному или индуцированному минимальной полихимиотерапией или лучевой терапией уменьшению (инволюции). Как правило, это происходит у детей до 1 года с IVS стадией заболевания.
- Реверсия - способность опухоли трансформироваться из более злокачественных форм в доброкачественные ганглионевромы (спонтанно или индуцированно).
- В некоторых случаях опухолевый процесс имеет обратную направленность: склонность к агрессивному течению и быстрому метастазированию.
Гистологическая классификация
Существующая гистологическая классификация нейробластомы INPC-Shimada основана на степени зрелости (дифференцировки) опухолевой ткани и выделяет 4 категории (от недифференцированных до зрелых форм):
1) нейробластома, бедная шванновской стромой: недифференцированная, низкодифференцированная, дифференцированная;
2) нодулярная ганглионейробластома;
Стадии заболевания
Существует несколько систем стадирования нейробластомы. Наиболее точной является модифицированная система, разработанная Международным противораковым союзом (INSS) (табл. 1).

Диагностика нейробластомы
Лабораторные методы
В клиническом анализе крови при поражении костного мозга может наблюдаться снижение показателей крови: анемия, лейконейтропения, тромбоцитопения.
В сыворотке крови также можно определить специфические для нейробластомы маркеры: нейрон-специфическую енолазу (НСЕ), уровень метаболитов катехоламинов, лактатдегидрогеназу (ЛДГ) и ферритин.
Простым в выполнении специализированным тестом при диагностировании нейробластомы является определение уровня ванилилминдальной и гомованилиновой кислот в анализе мочи. Их также называют «тестом на оценку метаболитов катехоламинов в моче». Данный анализ может проводиться при сборе мочи ребенка в течение суток или в однократной порции мочи.
Перед началом специфической терапии всегда проводится верификация диагноза; диагноз нейробластомы ставится при гистологическом исследовании биоптата первичной опухоли или метастазов, или при сочетании наличия опухолевых клеток в костном мозге и повышенного уровня суточной экскреции катехоламинов.
Молекулярно-генетическое исследование
Для установления степени злокачественности нейробластомы выполняется ряд генетических исследований: мутация MYCN, делеция хромосом 1р или 11q . Наличие данных мутаций является неблагоприятным фактором прогноза заболевания.
Инструментальные методы
Ультразвуковое исследование
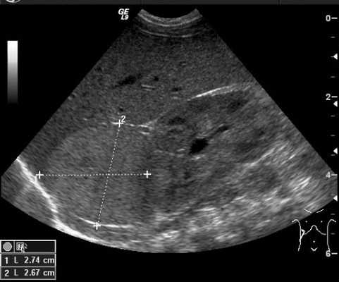
Ультразвуковой метод исследования позволяет выявить наличие опухоли и ее расположение по отношению к внутренним органам. УЗИ позволяет оценить степень местного и отдаленного распространения злокачественного процесса и выявляет метастатическое поражение печени и лимфатических узлов (рис. 4).

Рис. 4. УЗИ образования правого надпочечника
Компьютерная томография брюшной полости и забрюшинного пространства
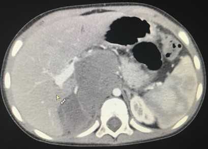
Компьютерная томография более детально дает информацию об анатомическом отношении опухоли к окружающим тканям и органам, позволяет оценить структуру опухоли (рис. 5).

Рис. 5. КТ нейрогенного образования забрюшинного пространства справа
Магнитно-резонансная томография органов брюшной полости, забрюшинного пространства и позвоночника
МРТ органов брюшной полости и забрюшинного пространства ‒ это безопасный и высокоинформативный метод исследования, который позволяет не только уточнить локализацию опухоли, точные размеры новообразования и соотношение его с окружающими тканями, но и выявить метастатические очаги в печени и брюшной полости. Также МРТ дает возможность оценить состояние костных структур и мягких тканей позвоночного столба и позвоночного канала (рис. 6).

Рис. 6. МРТ нейрогенного образования забрюшинного пространства слева
Радиоизотопные исследования
Одним из наиболее информативных специфических методов топической диагностики нейробластом является сцинтиграфия с метайодбензилгуанидином (МЙБГ), меченным 123I. МЙБГ по своей химической структуре сходен с катехоламинами в организме. Это вещество концентрируется в тех опухолях, которые вырабатывают катехоламины. МЙБГ метят радиоактивным изотопом йода (например, 123I) в безопасной для жизни дозе, и готовый препарат внутривенно вводят в кровоток. Накапливаясь в клетках опухоли, он дает излучение. Эти сигналы регистрирует специальная камера и переводит их в изображение. Таким образом, метод позволяет выявить не только первичную опухоль, но и наличие регионарных и отдаленных метастазов (рис. 7).

Рис. 7. Сцинтиграфия с метайодбензилгуанидином (визуализируется первичная паравертебральная опухоль с метастазами в кости черепа)
Остеосцинтиграфия - метод сканирования костей скелета с помощью внутривенного введения радиофармпрепарата. Радиофармпрепарат накапливается участками, пораженными опухолевыми клетками в костях, что видно на снимках, выполняемых гамма-камерой. Таким образом, данный метод исследования позволяет выявить возможные метастазы костей скелета.
Исследование костного мозга (миелограмма и трепанобиопсия) используется для уточнения наличия поражения опухолевыми клетками костного мозга.
Лечение нейробластомы
Учитывая разнообразные сценарии развития исхода заболевания (от спонтанной регрессии до летального исхода от прогрессирования), в терапии нейробластомы предлагаются риск-адаптированные принципы. Стратификация пациентов проводится согласно факторам риска до начала лечения (как правило, это клинические и молекулярно-генетические данные) и на основании ответа опухоли во время лечения (response-adapted). При выделении групп риска перед началом лечения используются следующие прогностические критерии: стадия заболевания, возраст на момент диагностики, результаты молекулярно-генетических данных — амплификация MYCN и делеция короткого плеча 1р (рис. 8).

Рис. 8. Стратификация пациентов на группы риска согласно наличию факторов неблагоприятного прогноза
Неоадъювантная (предоперационая) полихимиотерапия
- Необходимость проведения полихимиотерапии определяется стадией заболевания и наличием или отсутствием неблагоприятных клинических и биологических факторов (n-myc амплификация, делеции короткого плеча 1р).
- Полихимиотерапия позволяет уменьшить размеры первичной опухоли, чтобы сделать хирургическое вмешательство более безопасным и радикальным.
- Базовыми препаратами для лечения нейробластомы являются винкристин, циклофосфамид, антрациклины, ифосфамид, препараты платины, этопозид.
Особенности хирургического лечения
- При локализованных стадиях заболевания лечение может ограничиться полным удалением опухоли.
- При III-IV стадиях заболевания оперативный этап проводится после проведения предоперационной (неоадъювантной) полихимиотерапии, которая направлена на сокращение размеров опухоли с целью последующего радикального удаления образования.
- В тех случаях, когда полное удаление опухоли невозможно, в послеоперационном периоде лечение дополняется лучевой терапией.
Адъювантная (постоперационная) полихимиотерапия
Лекарственное лечение необходимо начать через 5-7 дней после оперативного вмешательства. При отсутствии показаний для проведения 2-й линии полихимиотерапии в схемах лечения используются те же базовые препараты, как и при неоадъювантной терапии.
Лучевая терапия
- Лучевая терапия используется для уничтожения любых опухолевых клеток, которые невозможно удалить хирургическим путем и/или которые не были разрушены посредством предыдущих терапий.
- При нерадикальном характере операции с наличием активной остаточной опухоли проводится облучение остаточной опухолевой ткани, вовлеченных в процесс лимфатических узлов и зон связи опухоли с окружающими органами и тканями.
- Облучение осуществляется ежедневно, начиная с 5-7-го дня после операции.
- По показаниям проводится облучение метастатических очагов (с лечебной, иногда с противоболевой целью).
В случае наличия неблагоприятных прогностических факторов, в частности выявления в опухоли мутации MYCN онкогена, рекомендовано проведение высокодозной полихимиотерапии с аутологичной трансплантацией гемопоэтических стволовых клеток.
Для больных с высоким риском развития рецидива (распространенные стадии заболевания с наличием неблагоприятных молекулярно-генетических маркеров) рекомендовано проведение «поддерживающей» дифференцирующей терапии 13-цис-ретиноевой кислотой и пассивной иммунотерапией антиGD2 моноклональными антителами.
Иммунотерапия
Иммунотерапия - новый метод лечения нейробластомы, который используется для уничтожения раковых клеток. Дисиалоганглиозид GD2 - молекула- антиген, экспрессируемая клетками нейробластомы, это делает ее идеальной мишенью для иммунотерапии антителами: антитело действует против этой молекулы. Клетки иммунной системы могут способствовать гибели клеток нейробластомы.
В НМИЦ онкологии им. Н.Н. Петрова проводятся все этапы лечения, включая минимально-инвазивные операции (лапаро- и торакоскопические), тандемную трансплантацию и пассивную иммунотерапию.
Интенсифицируя терапию у детей с нейробластомой группы высокого риска (с включением тандемной высокодозной полихимиотерапии в консолидацию и пассивной иммунотерапии в постконсолидацию) удалось повысить результаты выживаемости на 20%.
Рекомендации после лечения
- После успешного лечения нейробластомы ребенку необходимо проходить врачебный контроль, который может включать осмотр и консультацию детского онколога, анализ крови на онкомаркеры (ЛДГ, НСЕ), анализ мочи на метаболиты катехоламинов, УЗИ и КТ/МРТ, сцинтиграфию с МЙБГ и другие исследования.
- Детский онколог проводит осмотр 1 раз в 1,5-2 мес в течение первого года после окончания лечения, 1 раз в 3 мес ‒ в течение 2-го года, 1 раз в 6 мес ‒ на протяжении следующих 2 лет, в дальнейшем ‒ 1 раз в год.
- С учета больных не снимают.
СПИСОК ЛИТЕРАТУРЫ
Авторы:

- Изможерова Рина Игоревна;
- Сенчуров Евгений Михайлович;
- Михайлова Елена Андреевна;
- Иванова Светлана Вячеславовна;
- Фасеева Наталья Дмитриевна;
- Борокшинова Ксения Михайловна;
- Жук Ирина Николаевна.


Под научной редакцией:
Кулева С.А.
Заведующий детским онкологическим отделением, врач-детский онколог, ведущий научный сотрудник, профессор, доктор медицинских наук, главный внештатный детский специалист-онколог Комитета по здравоохранению Санкт-Петербурга
Что вам необходимо сделать
Если вы хотите узнать побольше о бесплатных возможностях ФБГУ НМИЦ онкологии им. Н.Н. Петрова Минздрава России, получить очную или заочную консультацию по диагностике и лечению, записаться на приём, ознакомьтесь с информацией на официальном сайте.
Если вы хотите общаться с нами через социальные сети, обратите внимание на аккаунты в ВКонтакте и Одноклассники.
Нейробластома
Нейробластома - злокачественное новообразование симпатической нервной системы эмбрионального происхождения. Развивается у детей, обычно располагается в надпочечниках, забрюшинном пространстве, средостении, шее или области таза. Проявления зависят от локализации. Наиболее постоянными симптомами являются боли, повышение температуры и снижение веса. Нейробластома способна к регионарному и отдаленному метастазированию с поражением костей, печени, костного мозга и других органов. Диагноз устанавливается с учетом данных осмотра, УЗИ, КТ, МРТ, биопсии и других методик. Лечение - оперативное удаление неоплазии, радиотерапия, химиотерапия, пересадка костного мозга.

Общие сведения
Нейробластома - недифференцированная злокачественная опухоль, происходящая из эмбриональных нейробластов симпатической нервной системы. Нейробластома является самой распространенной формой рака экстракраниальной локализации у детей раннего возраста. Составляет 14% от общего количества злокачественных новообразований у детей. Может быть врожденной. Нередко сочетается с пороками развития. Пик заболеваемости приходится на 2 года. В 90% случаев нейробластома диагностируется в возрасте до 5 лет. У подростков выявляется очень редко, у взрослых не развивается. В 32% случаев располагается в надпочечниках, в 28% - в забрюшинном пространстве, в 15% - в средостении, в 5,6% - в области таза и в 2% - в области шеи. В 17% случаев определить локализацию первичного узла не удается.
У 70% больных нейробластомой при постановке диагноза выявляются лимфогенные и гематогенные метастазы. Чаще всего поражаются регионарные лимфоузлы, костный мозг и кости, реже - печень и кожа. Крайне редко обнаруживаются вторичные очаги в головном мозге. Уникальной особенностью нейробластомы является способность к повышению уровня дифференцировки клеток с трансформацией в ганглионеврому. Ученые считают, что нейробластома в отдельных случаях может протекать бессимптомно и завершаться самостоятельной регрессией или созреванием до доброкачественной опухоли. Вместе с тем, часто наблюдаются быстрый агрессивный рост и раннее метастазирование. Лечение нейробластомы проводят специалисты в сфере онкологии, эндокринологии, пульмонологии и других областей медицины (в зависимости от локализации неоплазии).

Причины нейробластомы
Механизм возникновения нейробластомы пока не выяснен. Известно, что опухоль развивается из эмбриональных нейробластов, которые к моменту рождения ребенка не созрели до нервных клеток. Наличие эмбриональных нейробластов у новорожденного или ребенка младшего возраста не обязательно приводит к формированию нейробластомы - небольшие участки таких клеток часто выявляются у детей в возрасте до 3 месяцев. В последующем эмбриональные нейробласты могут трансформироваться в зрелую ткань или продолжить делиться и дать начало нейробластоме.
В качестве основной причины развития нейробластомы исследователи указывают приобретенные мутации, возникающие под влиянием различных неблагоприятных факторов, однако определить эти факторы пока не удалось. Отмечается корреляция между риском возникновения опухоли, аномалиями развития и врожденными нарушениями иммунитета. В 1-2% случаев нейробластома носит наследственный характер и передается по аутосомно-доминантному типу. Для семейной формы неоплазии типичен ранний возраст начала болезни (пик заболеваемости приходится на 8 месяцев) и одновременное или практически одновременное образование нескольких очагов.
Патогномоничным генетическим дефектом при нейробластоме является потеря участка короткого плеча 1-ой хромосомы. У трети пациентов в опухолевых клетках обнаруживаются экспрессия либо амплификация N-myc онкогена, подобные случаи рассматриваются как прогностически неблагоприятные из-за быстрого распространения процесса и устойчивости неоплазии к действию химиопрепаратов. При микроскопии нейробластомы выявляются круглые мелкие клетки с темными пятнистыми ядрами. Характерно наличие очагов кальцификации и кровоизлияний в ткани опухоли.
Классификация нейробластомы
Существует несколько классификаций нейробластомы, составленных с учетом размера и распространенности новообразования. Российские специалисты обычно используют классификацию, которую в упрощенном виде можно представить следующим образом:
- I стадия - выявляется одиночный узел размером не более 5 см. Лимфогенные и гематогенные метастазы отсутствуют.
- II стадия - определяется одиночное новообразование размером от 5 до 10 см. Признаки поражения лимфоузлов и отдаленных органов отсутствуют.
- III стадия - выявляется опухоль диаметром менее 10 см с вовлечением регионарных лимфоузлов, но без поражения отдаленных органов, либо опухоль диаметром более 10 см без поражения лимфоузлов и отдаленных органов.
- IVА стадия - определяется неоплазия любого размера с отдаленными метастазами. Оценить вовлеченность лимфоузлов не представляется возможным.
- IVВ стадия - выявляются множественные новообразования с синхронным ростом. Наличие либо отсутствие метастазов в лимфоузлы и отдаленные органы установить не удается.
Симптомы нейробластомы
Для нейробластомы характерно значительное разнообразие проявлений, что объясняется разными локализациями опухоли, вовлечением тех или иных близлежащих органов и нарушением функций отдаленных органов, пораженных метастазами. На начальных стадиях клиническая картина нейробластомы неспецифична. У 30-35% пациентов возникают локальные боли, у 25-30% наблюдается повышение температуры тела. 20% больных теряют в весе либо отстают от возрастной нормы при прибавке массы тела.
При расположении нейробластомы в забрюшинном пространстве первым симптомом заболевания могут стать узлы, определяемые при пальпации брюшной полости. В последующем нейробластома может распространяться через межвертебральные отверстия и вызывать компрессию спинного мозга с развитием компрессионной миелопатии, проявляющейся вялой нижней параплегии и расстройством функций тазовых органов. При локализации нейробластомы в зоне средостения наблюдаются затруднения дыхания, кашель, дисфагия и частые срыгивания. В процессе роста неоплазия вызывает деформацию грудной клетки.
При расположении новообразования в области таза возникают расстройства дефекации и мочеиспускания. При локализации нейробластомы в области шеи первым признаком болезни обычно становится пальпируемая опухоль. Может выявляться синдром Горнера, включающий в себя птоз, миоз, эндофтальм, ослабление реакции зрачка на свет, нарушения потоотделения, гиперемию кожи лица и конъюнктивы на стороне поражения.
Клинические проявления отдаленных метастазов при нейробластоме также отличаются большим разнообразием. При лимфогенном распространении выявляется увеличение лимфоузлов. При поражении скелета возникают боли в костях. При метастазировании нейробластомы в печень наблюдается быстрое увеличение органа, возможно - с развитием желтухи. При вовлечении костного мозга отмечаются анемия, тромбоцитопения и лейкопения, проявляющиеся вялостью, слабостью, повышенной кровоточивостью, склонностью к инфекциям и другими симптомами, напоминающими острый лейкоз. При поражении кожных покровов на коже больных нейробластомой образуются голубоватые, синеватые или красноватые плотные узлы.
Для нейробластомы также характерны метаболические расстройства в виде повышения уровня катехоламинов и (реже) вазоактивных интестинальных пептидов. У пациентов с такими расстройствами наблюдаются приступы, включающие в себя побледнение кожи, гипергидроз, диарею и повышение внутричерепного давления. После успешной терапии нейробластомы приступы становятся менее выраженными и постепенно исчезают.
Диагноз выставляют с учетом данных лабораторных анализов и инструментальных исследований. В список лабораторных методов, используемых в ходе диагностики нейробластомы, включают определение уровня катехоламинов в моче, уровня ферритина и мембрано-связанных гликолипидов в крови. Кроме того, в процессе обследования пациентам назначают тест на определение уровня нейронспецифической енолазы (NSE) в крови. Этот анализ не является специфичным для нейробластомы, поскольку увеличение количества NSE также может наблюдаться при лимфоме и саркоме Юинга, но имеет определенную прогностическую ценность: чем ниже уровень NSE, тем более благоприятно протекает заболевание.
План инструментального обследования в зависимости от локализации нейробластомы может включать в себя КТ, МРТ и УЗИ забрюшинного пространства, рентгенографию и КТ органов грудной клетки, МРТ мягких тканей шеи и другие диагностические процедуры. При подозрении на отдаленное метастазирование нейробластомы назначают радиоизотопную сцинтиграфию костей скелета, УЗИ печени, трепанобиопсию либо аспирационную биопсию костного мозга, биопсию кожных узлов и другие исследования.
Лечение нейробластомы может проводиться с использованием химиотерапии, лучевой терапии и оперативных вмешательств. Тактику лечения определяют с учетом стадии болезни. При I и II стадии нейробластомы осуществляют хирургические вмешательства, иногда - на фоне предоперационной химиотерапии с использованием доксорубицина, цисплатина, винкристина, ифосфамида и других препаратов. При III стадии нейробластомы предоперационная химиотерапия становится обязательным элементом лечения. Назначение химиопрепаратов позволяет обеспечить регрессию новообразования для последующего проведения радикальной операции.
В некоторых случаях наряду с химиотерапией при нейробластомах применяют лучевую терапию, однако, в настоящее время этот метод все реже включают в схему лечения из-за высокого риска развития отдаленных осложнений у детей младшего возраста. Решение о необходимости лучевой терапии при нейробластоме принимают индивидуально. При облучении позвоночника учитывают возрастной уровень толерантности спинного мозга, при необходимости применяют защитные средства. При облучении верхних отделов туловища защищают плечевые суставы, при облучении таза - тазобедренные суставы и, по возможности, яичники. На IV стадии нейробластомы назначают высокодозную химиотерапию, выполняют трансплантацию костного мозга, возможно - в сочетании с хирургическим вмешательством и лучевой терапией.
Прогноз при нейробластоме
Прогноз при нейробластоме определяется возрастом ребенка, стадией заболевания, особенностями морфологического строения опухоли и уровнем ферритина в сыворотке крови. С учетом всех перечисленных факторов специалисты выделяют три группы больных нейробластомой: с благоприятным прогнозом (двухлетняя выживаемость составляет более 80%), с промежуточным прогнозом (двухлетняя выживаемость колеблется от 20 до 80%) и с неблагоприятным прогнозом (двухлетняя выживаемость составляет менее 20%).
Наиболее значимым фактором является возраст пациента. У больных младше 1 года прогноз при нейробластоме более благоприятный. В качестве следующего по значимости прогностического признака специалисты указывают локализацию неоплазии. Больше всего неблагоприятных исходов наблюдается при нейробластомах в забрюшинном пространстве, меньше всего - в средостении. Обнаружение в образце ткани дифференцированных клеток свидетельствует о достаточно высокой вероятности выздоровления.
Средняя пятилетняя выживаемость пациентов с нейробластомой I стадии составляет около 90%, II стадии - от 70 до 80%, III стадии - от 40 до 70%. У больных с IV стадией этот показатель существенно меняется в зависимости от возраста. В группе детей до 1 года, имеющих нейробластому IV стадии, пять лет с момента постановки диагноза удается прожить 60% пациентов, в группе детей от 1 до 2 лет - 20%, в группе детей старше 2 лет - 10%. Профилактические меры не разработаны. При наличии случаев заболевания нейробластомой в семье рекомендуется консультация генетика.
Нейробластома у детей
Нейробластома является злокачественным заболеванием симпатической нервной системы и самой частой экстракраниальной солидной опухолью детского возраста. Нейробластомы относятся к эмбриональным опухолям, поэтому их развитие связано с ранним детским возрастом. Около 1/3 детей (до 38% среди всех опухолей) заболевают на первом году жизни, с убыванием частоты в последующие годы. 90% пациентов заболевают в возрасте до 4 лет. В 70% случаев уже при установлении первичного диагноза выявляются отдалённые метастазы. Половое преобладание не наблюдается.
Нейробластомы могут развиваться везде там, где расположена симпатическая ткань: забрюшинно в надпочечнике - до 32%, внеорганно паравеертебрально - 28%, в средостении - 15%, в области таза - 5,6%, на шее - 2%, неустановленные зоны первичного развития опухоли - до 17%. Отмечаются метастазы в региональные и отдалённые лимфоузлы, в костный мозг, кости, печень или почку, в кожу, в ЦНС, лёгкие и т.д.
Категория пациентов: дети до 15 лет с верифицированным диагнозом и/или с клиническими проявлениями заболевания.

Автоматизация клиники: быстро и недорого!
- Подключено 300 клиник из 4 стран
- 800 RUB / 4500 KZT / 27 BYN - 1 рабочее место в месяц

Автоматизация клиники: быстро и недорого!
- Подключено 300 клиник из 4 стран
- 1 место - 800 RUB / 4500 KZT / 27 BYN в месяц
Мне интересно! Свяжитесь со мной
Классификация
Топографическая стадия анализируются с данными молекулярно-генетических и лабораторных методов исследования и определяется группа риска.
Локализованная опухоль, находящаяся в области первоначального развития; новообразование полностью удалено с или без микроскопических признаков его остатков; микроскопический подтвержденное отсутствие поражения лимфатических узлов по обе стороны позвоночника.
Односторонняя опухоль с удалением большей её части; микроскопический - поражения лимфатических узлов нет с обеих сторон.
Опухоль распространяется на противоположную сторону с или без метастатического поражения регионарных лимфатических узлов; односторонняя опухоль с метастазами в противолежащих лимфатических узлов; срединная опухоль с метастазами в лимфатических узлах с обеих сторон.
T1-3; любая N, М1 - есть отдаленные метастазы. Диссеминированная опухоль с метастазами в отдалённых лимфатических узлах, костях скелета, лёгких и др. органах.
Локализованная первичная опухоль, определяется в стадии I- II с метастазами в печень, кожу и /или костный мозг.
TNM классификация (1987):
T1, Т2 - единичная опухоль размером 5 см и менее в наибольшем измерении;
- единичная опухоль более 5 см, но менее 10 см;
Ганглионеврома (относится по своей природе к доброкачественным опухолям, состоит из зрелых ганглионарных клеток).
В зависимости от клеточного состава различают три разновидности: симпатогониома, симптобластома, ганглионейробластома.
Диагностика
Диагностические критерии
Наличие клинических симптомов заболевания и данных инструментальных методов исследования (УЗИ, КТ органов брюшной полости и забрюшинного пространства, грудной клетки.) При возможности - цитологическая верификация диагноза и определение катехоламинов.
Клиническое течение
Первоначальные симптомы нейробластомы не имеют специфичности и могут имитировать различные педиатрические заболевания. Растущая инфильтрирующая опухоль, располагающаяся на шее, в грудной клетке, брюшной и тазовых полостях, может, прорастая и сдавливая окружающие её структуры, давать соответствующий симптомокомплекс. При локализации в области головы и шеи первыми симптомами могут быть появление пальпируемых опухолевых узлов. Развиваясь в грудной клетке, опухоль может стать причиной нарушения дыхания, дисфагии, сдавления вен.
Первым сигналом наличия опухоли в брюшной полости может быть наличие в ней пальпируемых опухолевых масс, в то время новообразования таза могут проявляться нарушением акта дефекации и мочеиспускания. Опухоли симпатического ствола проявляют тенденцию прорастать через позвоночные отверстия интраспинально и вызывать неврологические симптомы, вплоть до паралича. Пациенты с метастатическими нейробластомами в момент постановки диагноза часто имеют боли по локализации, в костях - верхних и нижних конечностях, летучего характера, ухудшение общего состояния, лихорадку или кровоизлияния, ретробульбарная инфильтрация вызывает типичные периорбитальные экхимозы (очковые гематомы - симптом «очков»).
Жалобы зависят от локализации первичной опухоли - односторонние пальпируемые опухолевые массы, миоз, птоз, энофтальм (синдром Горнера), вторичные опухоли орбиты с периорбитальными кровоизлияниями, экзофтальм, экхимозы, отек век и конъюнктивы, анорексия, рвота, боли в животе, пальпируемая опухолевая масса в брюшной полости, нарушение функции органов малого таза, параплегии, увеличение лимфоузлов, боли в костях и т.д.
При сборе анамнеза болезни у ребенка обратить внимание на течение беременности у матери, наличие в анамнезе у родственников наследственных синдромов, пороков развития, частоту прерывания беременности, особенно на ранних сроках, или рождение мертворожденных с уродствами.
Врачебный осмотр - выявление наличия опухолевых образований при осмотре-пальпации, врожденных аномалий, измерение АД, веса, роста.
- поиск метастазов - проводится Х-графия, КТ, сцинтиграфия скелета (с 4-х лет), КТ ПЭТ по показаниям, ИГХ.
Показания для консультации специалистов: по показаниям и локализации опухолевого процесса (окулист, нейрохирург, невропатолог и т.д.).
Дифференциальный диагноз:
- нейрофиброматоз;
- болезнь Гиршпрунга;
- все проявления паранеопластического синдрома и т.д.
3. Общий анализ крови, общий анализ мочи, биохимический анализ крови (общий белок, билирубин, мочевина, глюкоза, тимоловая проба).
6. КТ или МРТ локализации первичной опухоли, костей черепа, лицевого скелета, грудной клетки, брюшной полости, малого таза.
Лабораторные исследования.
Инструментальные исследования:
1. Рентгенография пораженной зоны в 2х проекциях.
3. КТ, (МРТ), с изображением подозрительных регионов.
4. Поиск метастазов - проводится Х-графия, КТ, сцинтиграфия скелета (с 4-х лет), КТ ПЭТ, ИГХ.
5. Цитологическое или гистологическое подтверждение диагноза (биопсия).
6. Аспирация и трепанбиопсия костного мозга для исключения поражения костного мозга.
Лабораторная диагностика
Лабораторные исследования:
- ОАК (развернутый);
- ОАМ;
- определение уровня катехоламинов, нейроспицифической энолазы, ферритина, креатинина, остаточного азота.
Лечение
Цели лечения: целью любой стандартизованной терапии должна быть гарантия достаточного локального и системного контроля; для этого служит ХТ, хирургия и облучение. Продолжительность проведения конкретной терапевтической программы зависит от размера опухоли, её распространенности, гистологии, локализации, возраста и связанной с этим резектабельности опухоли, группы риска, прогностических факторов.
Тактика лечения (рекомендованная Институтом детской онкологии ОНЦ РАМН; SIOP (Ммеждународное общество детских онкологов); POG (Pediatric Oncology Group); Европейскаой группой по исследованию нейробластом)
Для лечения нейробластом применяют комбинированный, комплексный методы. На первом этапе, если возможно, проводится оперативное удаление опухоли. При невозможности хирургического этапа из-за большого размера лечения начинается с ХТ. Наиболее эффективные химиопрепараты: винкристин, циклофосфамид, доксорубицин, этопозид, препараты платины.
винкристин - 0,05 мг/кг; этопозид - 4 мг/кг; доксорубицин - 1,25 мг/кг; цисплатин - 1,5 мг/кг, циклофосфамид - 10 мг/кг; карбоплатин - 6 мг/кг.
Интервалы между курсами 3 недели.
Детям в возрасте 0-6 мес. химиотерапия проводится по жизненным показаниям методом дробного введения цитостатиков, в специализированных отделениях и при наличии палаты интенсивной терапии и реанимации новорожденных.
Для стадии I достаточно одного оперативного удаления опухоли и до 4-х циклов химиотерапии по VAC схеме (но больные в 1 стадии заболевания выявляются крайнее редко), в более продвинутых стадиях обязательно применение ХТ, ЛТ. Общая длительность лечения заболевания в зависимости от его стадии составляет до двух лет.
После достижения эффекта от предоперационного химиолучевого лечения, а иногда и полных ремиссий выполняется второй этап лечения - хирургический. Затем проводится лучевая терапия и химиотерапия с консолидирующей целью препаратами аналогичными в дооперационном периоде.
Для лечения опухоли применяется комбинированная ХТ. Общепринятым является использование алкилирующих агентов (ифосфамид), антрациклинов (докорубицин), этопозид, препараты платины и винкаалкалоидов (винкристин) в комбинациях.
комбинации препаратов - /винкристин + циклофосфамид + доксорубицин + цисплатин/; /винкристин +циклофосфамид + доксорубицин/; /этопозид+карбоплатин/.
При больших размерах опухоли в предоперационном периоде, при возможности и курабельности, проводится химиотерапия или облучение.
У больных нейробластомой старше 1 года, с плохим прогнозом заболевания (стадия IV, стадия III заболевания, неблагоприятный гистологический вариант; стадия II заболевания в случае первично нелеченной опухоли) используется интенсивная полихимиотерапия.
Схема индукционной полихимиотерапии, состоящей двух курсов или 5 циклов химиотерапии (первый курс включает в себя 1, 2 и 3 циклы химиотерапии, второй курс 4 и 5 циклы химиотерапии):
Цисплатин 60 мг/м 2 (при весе ребенка
Доксорубицин 30 мг/м 2 (при весе ребенка
Этопозид 100 мг/м 2 (при весе ребенка
Циклофосфамид 900 мг/м 2 (при весе ребенка
После 4-х курсов индукционной химиотерапии на 17-й недели лечения планируется оперативное удаление, как остаточной первичной опухоли, так и/или метастазов. Лучевая терапия проводится на 19-20 неделях в СОД на первичный очаг не менее 15 гр, на отдаленные метастазы - в области костей скелета - не менее 21 гр.
Уважаемый посетитель!
Уведомляем Вас о том, что на данном сайте содержится информация, предназначенная для медицинских специалистов (дипломированных медицинских работников, студентов медицинского образовательного учреждения или представителей компании, работающей в сфере здравоохранения)
Если Вы не являетесь специалистом здравоохранения, администрация не несет ответственности за возможные отрицательные последствия, возникшие в результате самостоятельного использования Вами информации с сайта без предварительной консультации с врачом.
Вы являетесь сотрудником сферы здравоохранения?
Нейробластома - один из видов злокачественных опухолей и встречается обычно у младенцев и детей и очень редко у детей старше 10 лет. Клетки этой опухоли напоминают нервные клетки на ранних этапах их развития у плода.
Одна треть нейробластом развивается в надпочечниках, другая треть - в брюшной полости по ходу нервных стволов вдоль позвоночника и остальные - в грудной полости и на шее. Некоторые нейробластомы возникают из спинного мозга. Иногда в связи с широким распространением опухоли на момент диагностики трудно установить точно место, откуда возникла опухоль.
Не все опухоли нервной системы относятся к злокачественным.
Ганглионеврома - пример доброкачественной опухоли.
Ганглионейробластома является смешанной опухолью и содержит как злокачественные, так и доброкачественные участки. Незрелые (злокачественные) клетки этой опухоли могут расти и метастазировать.
Ганглионевромы обычно удаляют хирургическим путем и затем тщательно изучаются под микроскопом для выяснения нет ли там участков ганглионейробластомы. В случае установления диагноза ганглионевромы дополнительное лечение не требуется. Напротив, ганглионейробластомы лечат так же, как и нейробластомы.
Нейробластома является необычной опухолью по многим причинам. Эта опухоль выделяет гормон, приводящий к необычным изменениям в организме, например, вращательным движениям глазных яблок, спастическим подергиваниям мышц, наличию постоянного жидкого стула.
Указанные изменения носят название паранеопластических синдромов.
Нейробластома может вести себя необычным образом. Иногда опухолевые клетки произвольно погибают и опухоль исчезает. Такое явление встречается чаще всего у очень маленьких детей и значительно реже у больных более старшего возраста. В ряде случаев опухолевые клетки самопроизвольно созревают и перестают делиться. Таким образом нейробластома превращается в ганглионеврому - доброкачественную опухоль.
Как часто встречаются нейробластомы?
Нейробластома является самой частой опухолью у младенцев и занимает четвертое место по частоте среди всех злокачественных опухолей у детей более старшего возраста после острых лейкозов, опухолей центральной нервной системы и злокачественных лимфом.
Ежегодно нейробластомой в России заболевают 6-8 детей на 1 млн. детского населения до 15 лет (средний возраст- 2 года).
Каждый год в США диагностируется приблизительно 650 новых случаев нейробластомы и эта цифра держится стабильно в течение многих лет. У мальчиков нейробластома возникает несколько чаще, чем у девочек. На каждые 6 случаев опухолей у мальчиков приходится 5 случаев у девочек.
Средний возраст больных на момент диагностики составляет 17 месяцев. Одна треть случаев диагностируется у детей до 1 года. Почти 90% нейробластом выявляется до 5-летнего возраста. Лишь 2% опухолей обнаруживается в возрасте после 10 лет и у взрослых больных. В редких случаях нейробластому можно выявить с помощью ультразвукового исследования еще до рождения ребенка.
В 7 из 10 случаев нейробластома на момент диагностики уже имеет метастазы.
Факторы риска при нейробластоме
Фактор риска - это то, что увеличивает вероятность возникновения опухоли.
Факторы, связанные с образом жизни, являются основными при раке у взрослых. В качестве примеров можно привести нездоровую диету (малое потребление фруктов и овощей), малоподвижность, курение и употребление алкоголя. Факторы риска, связанные с образом жизни детей, не влияют на возникновение злокачественных опухолей.
Вероятность возникновения нейробластомы по всему миру почти одинаковая. Это дает возможность предположить, что факторы окружающей среды, например, ее загрязнение, не являются причиной развития этой опухоли.
Единственным известным фактором риска при нейробластоме является наследственность. Полагают, что некоторые люди очень редко могут наследовать риск развития нейробластомы. Только в 1-2% случаев диагностируется семейная форма нейробластомы, т.е. возникновение опухоли у ребенка, в семье которого имелись случаи этого заболевания.
Средний возраст больных на момент диагностики семейных случаев нейробластомы составляет 9 месяцев. Это меньше возраста больных со спорадическими (не наследуемыми) случаями опухоли. Кроме того, у детей с семейной нейробластомой возможно возникновение двух и более аналогичных опухолей в различных органах, например, в обоих надпочечниках.
Важно различать нейробластомы, развивающиеся одновременно в различных органах, от метастатической нейробластомы, когда опухоль возникает в одном органе и затем распространяется по организму. Если нейробластома возникла в нескольких местах, то можно предположить семейную форму заболевания. Метастазы нейробластомы могут возникать как при семейных, так и спорадических случаях опухоли.
Каковы причины возникновения нейробластомы?
Точные причины возникновения нейробластомы не ясны. Однако известны различия между клетками нейробластомы и нормальными нейробластами. Выяснены различия между нейробластомами, которые отвечают на лечение и которые не поддаются терапии и имеют плохой прогноз (исход) заболевания. Эта информация важна при выработке подходов к лечению.
Многие исследователи полагают, что нейробластома возникает в том случае, когда нормальные эмбриональные нейробласты не созревают в нервные клетки или клетки коры надпочечников. Вместо этого, они продолжают расти и делиться.
Нейробласты могут полностью не созреть к моменту рождения ребенка. В действительности, показано, что небольшие скопления нейробластов часто выявляются у младенцев до 3-месячного возраста. Большинство таких клеток в итоге созревают в нервные клетки и не образуют нейробластому. Иногда нейробласты, остающиеся у младенцев, продолжают расти и образуют опухоль, которая может даже метастазировать в различные органы. Однако многие такие опухоли, в конце концов, созревают или исчезают.
По мере роста ребенка вероятность созревания таких клеток уменьшается, а вероятность формирования нейробластомы увеличивается. При достижении нейробластомой больших размеров и появлении симптомов созревание клеток прекращается, они продолжают расти и распространяться, если не проводится лечение.
У некоторых онкологических больных имеются мутации (изменения) ДНК, которые они унаследовали от одного из родителей, что повышает риск развития опухоли. Некоторые полагают, что некоторые семейные случаи нейробластом возникли в результате наследуемых мутаций гена, угнетающего опухолевый рост.
Большинство нейробластом не являются следствием наследуемых мутаций ДНК. Они вызваны мутациями, приобретенными в ранний период жизни ребенка. Эти мутации присутствуют в опухолевых клетках родителя ребенка и не передаются детям. Причины, вызывающие изменения ДНК, приводящие к возникновению нейробластом, не известны.
Можно ли предотвратить развитие нейробластомы?
В настоящее время не существует рекомендаций по предотвращению развития нейробластомы, так как нет факторов риска, которые можно было бы избежать.
При наличии семейных случаев нейробластомы необходима консультация генетика для уточнения риска возникновения данной опухоли у ребенка.
Возможна ли ранняя диагностика нейробластомы?
Проведенные исследования показали, что скрининг (проведение обследования при отсутствии симптомов заболевания) у детей с целью ранней диагностики нейробластомы не имеет ценности.
С помощью скрининга (исследования мочи на выявление определенных веществ) в 6-месячном возрасте действительно удалось диагностировать больше случаев нейробластомы.
Однако эти опухоли относились к таким, которые или исчезали затем самостоятельно или же созревали и, возможно, никогда и не были бы диагностированы.
По той же причине считается, что такой скрининг не приведет к снижению смертности от нейробластомы.
Более того, современные методы скрининга не являются столь специфичными, как бы хотелось. Из двух детей с подозрением на нейробластому, по данным скрининга, лишь в одном случае действительно имелась опухоль. Эти ложные результаты приводили к неоправданному беспокойству родителей и операциям у детей при отсутствии нейробластомы.
В редких случаях нейробластому можно диагностировать до рождения с помощью ультразвукового исследования (УЗИ). Данный метод применяется для определения возраста плода, прогнозирования времени рождения ребенка и выявления некоторых врожденных дефектов. Совершенствование УЗИ и других методов может привести к более точной диагностике нейробластомы до рождения ребенка.
Как диагностируется нейроблстома?
Если у ребенка имеются признаки и симптомы, позволяющие предположить наличие нейробластомы, то потребуется дополнительное обследование, включая анализы крови и мочи, микроскопическое изучение ткани, а также использование методов изображения: компьютерной томографии (КТ), магнитно-резонансной томографии (МРТ), сканирования и пр.
Такое дополнительное обследование необходимо, так как многие симптомы нейробластомы могут быть вызваны другими опухолями и неопухолевыми заболеваниями.
ПРИЗНАКИ И СИМПТОМЫ НЕЙРОБЛАСТОМЫ.
Признаки и симптомы нейробластомы зависят от локализации первичной опухоли и степени распространения процесса в близлежащие или отдаленные органы и части тела.
Наиболее частым признаком нейробластомы является обнаружение опухоли в животе, что приводит к увеличению его размеров. Ребенок может жаловаться на чувство распирания живота, дискомфорт или боль, как результат наличия опухоли. Однако пальпация опухоли не вызывает болевых ощущений. Опухоль может располагаться и в других областях, например, на шее, распространяясь за глазное яблоко и вызывая его выпячивание.
Нейробластома часто поражает кости. При этом ребенок может жаловаться на боли в костях, хромать, отказываться ходить. В случае распространения опухоли в спинномозговой канал может возникнуть сдавление спинного мозга, что приводит к слабости, онемению и параличу нижних конечностей.
У каждого четвертого больного возможно повышение температуры.
Реже могут отмечаться:
- Постоянный жидкий стул (диарея)
- Высокое артериальное давление, приводящее к раздражительности
- Учащенное сердцебиение
- Покраснение кожи
- Потливость
Эти признаки и симптомы являются результатом выброса гормонов клетками нейробластомы.
Иногда у больных возникает отек нижних конечностей и мошонки за счет сдавления кровеносных и лимфатических сосудов в области малого таза. В ряде случаев растущая опухоль может привести к нарушению функции мочевого пузыря и толстой кишки. Давление нейробластомы на верхнюю полую вену, которая несет кровь от головы и шеи к сердцу, может вызвать отек лица или глотки. Эти явления, в свою очередь, могут привести к нарушению дыхания или глотания.
В результате сдавления нервов в грудной полости и на шее могут возникнуть такие симптомы, как опущение век и сужение зрачка. Сдавление нервов около позвоночника может привести к тому, что ребенок потеряет способность двигать руками или ногами.
Появление голубоватых или красноватых пятен, напоминающих небольшие кровоподтеки, может указывать на поражение кожи опухолевым процессом.
Из-за вовлечения в процесс костного мозга, производящего клетки крови, у ребенка могут снизиться все показатели крови, что может вызвать слабость, частые инфекции и повышенную кровоточивость при незначительных травмах (порезах или царапинах).
ИССЛЕДОВАНИЕ КРОВИ И МОЧИ.
Нормальные нервные клетки поддерживают между собой связь за счет высвобождения определенных химических веществ, основными из которых являются катехоламины. В организме катехоламины разлагаются на метаболиты, которые затем выводятся с мочой.
В 90% случаев клетки нейробластомы вырабатывают такое количество катехоламинов, которое можно обнаружить в моче с помощью специальных методов. Обычно определяют два основных метаболита катехоламинов: гомованилиновую кислоту (ГВК) и ванилилминдальную кислоту (ВМК).
Некоторые симптомы, связанные с нейробластомой, например, высокое артериальное давление, учащенное сердцебиение и жидкий стул, непосредственно объясняются повышением уровня катехоламинов.
Биохимический анализ крови позволяет судить о функции печени и почек.
МЕТОДЫ ВИЗУАЛИЗАЦИИ (ПОЛУЧЕНИЯ ИЗОБРАЖЕНИЯ)
Для выявления опухоли и ее метастазов применяют компьютерную томографию (КТ), магнитно-резонансную томографию (МРТ), сканирование костей и ультразвуковое исследование (УЗИ).
БИОПСИЯ
Хотя ряд методов обследования позволяет предположить наличие нейробластомы, тем не менее, окончательный диагноз устанавливается только при обнаружении клеток нейробластомы при микроскопическом исследовании.
Иногда клетки нейробластомы можно спутать с клетками других опухолей детского возраста. В этом случае используется иммуногистохимическое исследование опухоли после специальной обработки антителами. Эти антитела связываются с клетками нейробластомы в отличии от клеток других опухолей у детей.
Если уровни катехоламинов или их метаболитов повышены, то обнаружения клеток нейробластомы в костном мозге достаточно для установления окончательного диагноза. Костный мозг может быть поражен у 25% больных нейробластомой.
В некоторых клиниках применяют новый метод сканирования с использованием радиоактивного метайодобензилгуанидина (МЙБГ). Метод позволяет обнаружить клетки нейробластомы в костном мозге и в других частях тела.
Лечение нейробластомы у детей
Каждый ребенок с нейробластомой должен получать лечение. Метод лечения зависит от стадии опухоли, возраста ребенка, а также прогностических факторов. Лечение включает операцию, применение химиотерапии и/или лучевой терапии. У некоторых детей могут применяться два или все три метода терапии.
Обычно при выборе метода лечения нейробластомы учитывают не столько стадию заболевания, сколько группу риска.
Группа низкого риска. Как правило, детям из группы низкого риска требуется только оперативное вмешательство, за исключением некоторых больных.. Для этой небольшой группы детей может быть использована химиотерапия.
Группа промежуточного риска. Больным с этой группой риска назначают 4-8 циклов химиотерапии до или после операции. В отдельных случаях проводится повторная операция для удаления оставшейся опухоли или лучевая терапия.
Группа высокого риска. Для этой группы пациентов применяют очень интенсивную химиотерапию наряду с трансплантацией костного мозга или периферических стволовых клеток.
Операция и/или лучевая терапия могут быть составной частью общей лечебной программы. Биологические вещества, например, 13-цисретиноидная кислота, назначаются в течение 6 месяцев после прекращения терапии.
К сожалению, у некоторых больных после лечения нейробластомы может возникнуть рецидив (возврат) болезни после первичного лечения. Лечение в этом случае зависит от многих факторов, включая группу риска и место рецидива, и может включать операцию и химиотерапию.
Что происходит после окончания лечения нейробластомы?
У многих детей с нейробластомой высокая вероятность излечения после проведения интенсивной терапии.
Наилучший прогноз (исход) отмечен у детей с локализованным процессом и у младенцев в возрасте до одного года с распространенным процессом и наличием некоторых благоприятных факторов.
Опухоли у этих больных могут полностью исчезнуть без лечения или с помощью минимальной терапии. У более старших детей с распространенной нейробластомой вероятность полного излечения снижается. Кроме того, у них опухоль может рецидивировать, т.е. появиться вновь.
Нередко после проведенного лечения, включающего операцию, химиотерапию и облучение, возникает необходимость повторной операции для оценки эффективности проведенной терапии и удаления оставшейся опухоли.
Наличие нейробластомы обычно не повышает риска возникновения второй опухоли. Однако в некоторых случаев применение интенсивного лечения (химиотерапии или облучения) может вызвать вторую злокачественную опухоль.
В связи с этим дети, перенесшие лечение по поводу нейробластомы, должны находиться под тщательным медицинским наблюдением и регулярно обследоваться.
Мероприятия 2022 года
Архив мероприятий
Противораковое общество РОССИИ создано по инициативе ученых-онкологов и главных врачей онкологических диспансеров, представляющих более 50 регионов России, с целью претворения в жизнь программы профилактики рака в России
Рубрики
Контакты
Читайте также:
- Пример ретикулосаркомы ЖКТ. Лимфосаркома желудка и тонкой кишки
- Структуры внутреннего уха. Анатомические связи лабиринта.
- Микседематозное сердце. Изменения сердечной мышцы при авитаминозах.
- Гомеостаз жидкостей организма. Оценка трофологического статуса
- Генетика ишемической болезни сердца (ИБС). Особенности наследования
