Диагностика наружного кишечного свища. Методы исследования
Добавил пользователь Владимир З. Обновлено: 21.11.2025
Свищ между кишечником и другими структурами тела - это нарушение целостности пищеварительного тракта, путем формирования неестественного отверстия, которое не предусмотрено анатомическим строением кишки. Свищ может выходить наружу организма, открываться в полость соседнего органа, а также в брюшную полость или в таз.
Наружу свищ выходит в виде устья кишки, открывающейся на поверхность кожи, через которое выделяются каловые массы, газы. Это приводит к повреждениям кожи, её раздражению, что делает наружный свищ более заметным, чем внутренний, который может и не проявляться в течение длительного времени. В данном случае диагноз ставится по другим признакам.
Патология относится к хирургическим болезням, сопровождается неуклонным прогрессированием. Болезнь встречается всё чаще и её рост в популяции пропорционален росту заболеваемости другими видами кишечной патологии, так как на фоне хронических заболеваний происходит формирование свищей. Свищ может быть врожденным или приобретенным, но иногда его формируют в ходе операции, если этого требует состояние пациента.
Почему развивается патология?
Чаще всего, свищ - это не самостоятельная болезнь, а осложнение течения основного заболевания. Непосредственный механизм образования фистулы (так еще называют это образование) - нарушение микроциркуляции в стенке кишечника. Рассмотрим, на фоне каких состояний может развиться свищ:
- воспалительная патология пищеварительного тракта. Образованием свища может осложниться аппендицит, онкологическое поражение кишечника, дивертикул или туберкулез;
- грыжа брюшной стенки, которая привела к ущемлению стенки кишечника;
- заболевание сосудов, которые находятся в толще брыжейки и кровоснабжают кишечник;
- последствия проникающей травмы живота;
- абсцессы брюшной полости;
- нарушение проходимости кишечника;
- нарушение техники операции;
- врожденные особенности кишечника, которые сопровождаются незаращением стенки органа.
Как видим, причин формирования свища довольно много и они имеют разное происхождение. Когда целостность кишечника нарушена, развивается потеря пищевой массы, а вследствие этого не всасываются питательные вещества. Воспаление, которое сопровождает свищ приводит к синтезу токсических веществ, которые действуют на весь организм.
Вместе с пищей происходит потеря жидкости, ферментов, снижается объем циркулирующей крови, наступает обезвоживание и дисбаланс внутренней среды. Соответственно, не могут компенсироваться расходы энергии и различных веществ, используются ресурсы организма. Но, после их расходования наступает стадия декомпенсации и начинает формироваться недостаточность органов и систем.
Как классифицируют патологию?
Классифицируется заболевание по разным критериям. Прежде всего, классифицируют врожденную и приобретенную форму болезни. Те патологии, которые обусловлены особенностями организма, встречаются крайне редко и составляют около 2% во всей структуре частоты свищей. Это может быть нарушение эмбриональной закладки органа, связанное с наследственными патологиями или нарушением вынашивания плода, воздействием негативных факторов.
Следующая группа свищей - сформированные оперативно. Они составляют около 50% всех случаев болезни. Через сформированный свищ можно проводить декомпрессию кишечника, осуществлять питание. Применяется искусственный свищ при непроходимости, злокачественных новообразованиях и перитоните.
Свищ, который формируется на фоне болезни - это оставшаяся категория заболеваний. Происходит острая деструкция на фоне воспалительной патологии - разрыв стенки, её прободение язвой, деструкция полости абсцесса или некроз ущемленного грыжей кишечника.
Следующий вид классификации подразумевает разделение патологии на внутренние, внешние и комбинированные свищи.
- внутренний свищ открывается в другие органы или соседние отделы кишечника;
- выход внешнего свища находится на коже;
- смешанный свищ может соединять поверхность тела с внутренней средой.
По наличию отверстия свища определяют сформированную и несформированную патологию. Первые сопровождаются отверстием, которое четко сформировано, а вторые завершаются слепо, приращением стенки органа, кожи или кишки.
Свищи бывают одиночными и множественными.
Может происходить полный выход пищевой массы через свищ - он называется полным. Неполный свищ - это когда часть химуса выходит через него, а часть проходит дальше по желудочно-кишечному тракту.
Через свищ может выходить не только химус. В зависимости от этого выделяют гнойный, слизистые, каловые и смешанные. Свищ может быть осложненным и неосложненным, что также учитывается при классификации.
Эти категории созданы для того, чтобы детализировать диагноз. Классификация соответствует степени тяжести болезни, на её основе можно подобрать лечение и сформировать прогноз для пациента.
Какими симптомами сопровождается болезнь?
Признаки болезни могут много сказать о расположении свища, его особенностях, условиях и обстоятельствах формирования. Рассмотрим признаки свища и о чем это может говорить.
Практически бессимптомное течение имеют сформированные, толстокишечные свищи. Всасывание необходимых нутриентов происходит на высоком уровне, поэтому болезнь может маскироваться под другие состояния. Несформированный свищ - наоборот, имеет яркую клиническую картину и сопровождается тяжелым состоянием пациента.
Если свищ находится в верхних отделах, пациент будет жаловаться на длительное течение диареи, утратой массы тела.
Внешний свищ имеет очевидный симптом - выход кишечника наружу. Через повреждение кожи поступает содержимое пищеварительного тракта. Это могут быть каловые массы, желчь, ферменты или химус, в зависимости от локализации проблемы. Агрессивные вещества негативно воздействуют на кожу, и она раздражается, от постоянной влаги происходит мацерация.
Если проблема локализована высоко - пациенту резко становится хуже, нарастает недостаточность органов, нарушается общее состояние организма.
Обратите внимание на цифры: потеря веса при кишечном свище может достигать 50% от общей массы, а за день через свищ может выливаться до 10 л содержимого.
Низкий свищ имеет менее выраженные симптомы - не происходит значительных потерь воды и веществ, так как кал уже сформирован.
Длительное течение болезни может приводить к образованию сепсиса - заражения крови, дерматитам, потере крови, водно-солевому дисбалансу.
Диагностика кишечного свища
Пациента осматривают и опрашивают врачи: хирург и гастроэнтеролог. Проводится опрос с уточнением жалоб, времени их возникновения и особенностей течения болезни. Далее следует осмотр пациента общий и детальное обследование самого свища. На фоне этих, общих этапов, формируется план диагностики, так как врачу необходимо уточнить данные опроса и осмотра.
Лабораторному анализу подвергается отделяемое из свища - выполняются замеры билирубина, ферментов, кислот. Проводятся пробы с индикаторами, которые подтверждают факт наличия соустья с тем или иным отделом кишечника. Чтобы обследовать общее состояние пациента, проводится ряд общих и биохимических анализов крови, мочи, каловых масс.
Инструментальные методы включают в себя эндоскопический осмотр пищеварительного тракта, ультразвуковую диагностику, томографию, рентгенологические методы. Это позволяет визуализировать органы, дает полную морфологическую картину. Применяются методы с использованием контрастного вещества - это помогает определить уровень нарушения целостности кишечника. Контраст можно вводить перорально или непосредственно в свищ, после чего происходит рентгенологический контроль.
Современные методы лечения кишечного свища
Наличие свища - показание для лечения в хирургическом стационаре, а в некоторых случаях - в палате интенсивной терапии. Если свищ расположен в толстой кишке и не сопровождается значительной клинической картиной, его можно лечить в условиях гастроэнтерологического отделения или даже амбулаторно.
Первый этап лечения - консервативная терапия. Необходимо пополнить дефицит веществ, который наблюдается при болезни. Пациенту вводят растворы минералов, пополняют запас жидкости. При наличии воспаления, гнойных образований или раздражения необходима дезинтоксикация и ликвидация воспалительного процесса.
Есть методы для местного применения - повязки, мази и пасты. Они состоят из гипертонических, антисептических веществ. Необходимо защитить кожу от раздражения и для этого между ней и выделяющимся веществом создают барьер. Применяются механические устройства, которые не допускают выхода каловых масс на кожу. Чтобы ферменты имели более низкую активность и не раздражали поверхность тела, применяются ферменты, блокаторы гистаминовых рецепторов.
Еще одна цель консервативного лечения - восполнить питание. Также, медикаментозные средства могут быть использованы для предоперационной подготовки.
Подготовка к операции
Если показано хирургическое лечение, пациента необходимо подготовить. Для этого применяют консервативное лечение - стабилизируют состояние больного, восполняют кровоток и необходимые вещества.
Перед операцией происходит ряд диагностических процедур - выполняется коагулограмма, определяется группа крови и резус-фактор. Хирургу необходимо знать точную локализацию свища, его глубину и длину, особенности строения.
Обрабатывается поверхность соустья на коже, удаляются гнойно-некротические массы, обрабатывается участок свища.
Пациенту будет проводится наркоз, поэтому подготовка включает в себя опрос и осмотр анестезиолога, который определяет вид обезболивания и подбирает препараты. Применяется антибиотикотерапия, которая снижает риск послеоперационных осложнений.
Оперативное лечение может быть отсроченным и экстренным. Первый вид операции предполагает длительную подготовку и консервативные методы. Экстренная операция проводится при крайних состояниях, которые угрожают жизни пациента. Как правило, это свищи тонкого кишечника, при которых нарастает недостаточность органов. В таком случае пациента подают на операционный стол через несколько часов после поступления.
Операция при свищах требует соответствующей укладки пациента на столе, его положения и обработки операционного поля.
Оперативная тактика подразумевает установление локализации свища. Далее врач иссекает его вместе с пораженными тканями, некротическими массами. Для восстановления проходимости кишечника формируется анастомоз - это искусственное соединение двух участков кишки.
В некоторых случаях наложение анастомоза не является возможным - при поражении значительного участка тканей. В таком случае свищ преобразуется в стому - соединение кишечника с внешней средой и выводится на переднюю брюшную стенку.
Операция завершается наложением швов и антисептической повязкой. Далее следует период послеоперационного лечения, наблюдения и реабилитационных действий.
Как получить лечение в клинике?
Оформите заявку на сайте, мы свяжемся с вами в ближайшее время и ответим на все интересующие вопросы.
Свищ желудка и двенадцатиперстной кишки (K31.6)
Свищ (син. фистула) - канал, соединяющий полые органы между собой или с внешней средой, а также соединяющий опухоль в стадии распада с поверхностью или какой-либо полостью тела. Обычно свищ имеет вид узкого канала, выстланного эпителием.
По характеру формирования различают свищи, которые образуются вследствие патологического процесса, и свищи, образованные после хирургической операции для отведения содержимого полого органа.
Примечание. В данной подрубрике рассматриваются только свищи, сформировавшиеся вследствие патологического процесса (желудочно-тонкокишечные и желудочно-тонко-толстокишечные свищи). Из данной подрубрики исключены искусственно выполненные гастро- и дуоденостомы.

Автоматизация клиники: быстро и недорого!
- Подключено 300 клиник из 4 стран
- 800 RUB / 4500 KZT / 27 BYN - 1 рабочее место в месяц

Автоматизация клиники: быстро и недорого!
- Подключено 300 клиник из 4 стран
- 1 место - 800 RUB / 4500 KZT / 27 BYN в месяц
Мне интересно! Свяжитесь со мной
Классификация
Единая классификация свищей желудка и двенадцатиперстной кишки (ДПК) отсутствует.
I. Свищи пищеварительного тракта подразделяются на две группы:
1. Наружные - свищи, открывающиеся на поверхность тела.
2. Внутренние - свищи, имеющие патологическое соустье между двумя полыми органами или одним полым органом и перитонеальным пространством, забрюшинным пространством, грудной клеткой или кровеносным сосудом.
II. Для наружных свищей, описываемых в данной подрубрике, может быть применена классификация Макаренко Т.П. и Богданова А.В. (1986).
1. По локализации:
- желудок;
- ДПК;
- тощая кишка;
- подвздошная кишка;
- слепая кишка;
- ободочная кишка;
- прямая кишка.
2. По морфологии:*
- губовидные;
- трубчатые.
3. По степени сформированности:
3.1 Несформировавшиеся свищи:·
- свищ на свободной петле, открывающийся в гнойную рану;
- свищ, открывающийся в гнойную полость;
- свищ, открывающийся в гранулирующую рану;
- свищ, слизистая оболочка которого частично срослась с кожей.
3.2 Сформировавшиеся свищи.
4. По функции:
- полные свищи;
- неполные свищи.
5. Одиночные и множественные свищи (на одной петле, на разных петлях одного отдела кишечника).
6. Смешанные свищи (тонкой и толстой кишки)
7. По осложнениям:
7.1 Местные осложнения: абсцессы, флегмоны, гнойные затёки, дерматит, выпадение слизистой, энтерит, колит, кровотечение из свища.
7.2 Общие осложнения: нарушения водного, солевого, белкового обменов; почечная недостаточность; истощение.
8. По характеру шпоры (шпора отмечается только при губовидных свищах):
- шпора мягкая, не выстоит в свищевое отверстие;
- шпора мягкая, выстоит в свищевое отверстие;
- шпора ригидная, выстоит в свищевое отверстие.
9. Фон, на котором развивается и протекает свищ:
- перитонит;
- остаточные гнойники брюшной полости;
- частичная кишечная непроходимость;
- эвентрация.
III. Классификация наружных свищей ДПК.
1. По типу:
- боковой;
- концевой.
2. По локализации внутреннего отверстия свища относительно уровня большого сосочка ДПК:
2.1 Супрапапилярный:
- І части ДПК;
- ІІА части.
2.2 Инфрапапилярный:
- ІІБ части ДПК;
- ІІІ части;
- ІV части.
3. По морфологии:**
- несформированный;
- сформированный.
4. По форме:
- трубчатый;
- губовидный.
5. По количеству внутренних отверстий:
5.1 Одиночный.
5.2 Множественные:
- комбинированные;
- сочетанные.
6. По объему свищевых выделений в сутки:
- низкодебитный (200 мл и меньше);
- высокодебитный (свыше 200 мл).
7. По возможности пассажа содержимого по ДПК:
- неполный;
- полный.
8. По наличию дистального препятствия пассажу содержания из ДПК:
- без дистального препятствия;
- с дистальным препятствием.
* Строение свищей может быть губовидным, эпителизированным или гранулирующим:
Гранулирующий (трубчатый) свищ - относится к приобретенным, может иметь канал различной длины. Канал может быть извилистым и разветвленным или без разветвлений; имеет один выход в полость внутреннего органа и один или несколько выходов на поверхность кожи. Канал покрыт грануляциями и связи с этим существует высокая вероятность самозаживления такого свища.
Губовидный свищ не имеет проточного канала и напрямую соединяет поверхность кожи со стенками полого органа; не заживает самостоятельно.
** Различают сформировавшиеся и несформировавшиеся свищи (необходимость разделения обуславливается отличиями в тактике ведения пациентов).
Несформировавшиеся кишечные свищи (включая дуоденальные) не имеют свищевого хода и представляют собой гнойную полость, на дне которой находится кишечная петля (или культя ДПК) с дефектом стенки. Края дефекта не сращены с кожей, а поврежденная кишка зачастую располагается в глубине раны. Стенки кишки (культи) и ткани вокруг воспалены. Присутствуют гнойные затёки в различные отделы брюшной полости (при несостоятельности культи ДПК - в подпеченочное и поддиафрагмальное пространство, в правый латеральный канал) и в подкожную жировую клетчатку. Кожные покровы вокруг несформировавшегося свища мацерированы Мацерация - размягчение и разрыхление тканей вследствие длительного воздействия на них жидкости
.
2. Желудочно-тонкокишечно-ободочный свищ - возникает при пептической язве, которая локализуется непосредственно в анастомозе, и здесь же формируется свищевой ход.
3. Тонкокишечно-ободочный свищ - формируется как следствие пенетрации и перфорации пептической язвы тощей кишки в толстую кишку вблизи гастроэнтероанастомоза. Язва может локализоваться как в отводящей, так и в приводящей петлях анастомоза.
Этиология и патогенез
- воспалительно-деструктивный процесс в брюшной полости, продолжающийся или возникающий после операции;
- несостоятельность швов анастомозов, ушитой раны (язвы), культи кишки или желудка;
- частичная кишечная непроходимость, возникшая в послеоперационном периоде;
- травмы желудка или кишки (ушибы, гематомы, разрывы);
- инородные тела в брюшной полости;
- злокачественные опухоли;
- некротические изменения в стенке желудка и/или кишки вследствие расстройства кровообращения;
- технические и тактические ошибки оперативного вмешательства;
- радиационное воздействие.
Возникновение внутренних свищей желудка и двенадцатиперстной кишки (ДПК) связано с прободением язвы желудка или ДПК в поперечноободочную кишку, желчный пузырь, общий желчный проток и прочее.
К примеру, желудочноободочный внутренний свищ формируется вследствие пенетрации пептической язвы анастомоза в поперечноободочную кишку с последующей перфорацией в просвет последней. Возникновение подобного свища наиболее часто имеет место после гастроэнтеростомии, реже - после резекции желудка.
Наружные желудочные свищи встречаются редко и в основной массе случаев (85%) являются ятрогенными. Они могут возникать вследствие несостоятельности швов желудочно-кишечного анастомоза, швов гастостомы, швов, формирующих малую кривизну желудка. Около 80% небольших наружных свищей ДПК формируются как осложнения абдоминальной хирургии. Вероятные причины их появления: несостоятельность шва анастомоза, случайное ятрогенное вскрытие кишки, небольшая травма кишечника в момент закрытия раны.
В случаях, не связанных с оперативным вмешательством, свищи, как правило, являются следствием облучения, злокачественных опухолей, воспаления, травмы стенки желудка и ее ишемии.
Операции, наиболее часто приводящие к образованию свищей:
- релапаротомии, требующие, к примеру, обширного лизиса спаек или ревизии анастомозов;
- лапаротомии по поводу травм органов брюшной полости;
- пластики вентральной грыжи;
- лапароскопические операции;
- операции наложения анастомозов по поводу рака желудка, ДПК, поджелудочной железы, язвенной болезни желудка и ДПК;
- операции на желчных путях.
Эпидемиология
Признак распространенности: Редко
Данные о распространенности свищей желудка и ДПК существенно разнятся как по регионам так и по конкретным клиникам.
Наружные свищи желудка
Встречаются крайне редко - составляют менее чем 0,5 % среди случаев выявления наружных свищей желудочно-кишечного тракта. Как правило, наружные свищи желудка возникают в результате травмы или незажившей гастростомы.
Наружные свищи ДПК
Наружные свищи ДПК составляют от 3,4 до 33% всех случаев внешних кишечных свищей разной локализации.
Примерно 10-20% всех наружных свищей кишечника появляются спонтанно и связаны с перфорацией язв, злокачественными опухолями, лучевой терапией, инфекционными заболеваниями.
Внутренние свищи формируются вследствие перфоративной язвы (желудка, ДПК, гастроэнтероанастомоза), опухоли; являются зачастую послеоперационными (постанастоматическими) осложнениями.
До появления эффективной противоязвенной терапии и совершенствования методов высокоселективной ваготомии частота развития внутренних желудочно-тонкокишечно-ободочных свищей в РФ колебалась от 11 до 30 % от всех оперированных по поводу язвенной болезни желудка и ДПК пациентов. В настоящее время это количество уменьшилось.
Факторы и группы риска
Общие причины образования свищей - см. раздел "Этиология и патогенез".
Дополнительные факторы риска:
- пожилой возраст;
- истощение;
- сопутствующая системная патология (например, сахарный диабет);
- прием цитостатиков и/или лучевая терапия.
Клиническая картина
Клинические критерии диагностики
каловая рвота, каловый запах изо рта, отрыжка, истощение, боль в эпигастрии, операция гастроэнтеростомии в анамнезе, пептическая язва в анамнезе, гипертермия, истечение кишечного содержимого через рану
Cимптомы, течение
Клинические проявления внутренних свищей зависят от того, какие органы сообщаются, и от характера основного заболевания, ставшего причиной формирования свища.
Клиническая картина в момент образования свища может напоминать таковую при прикрытой перфорации язвы желудка.
Клинические признаки сформировавшегося желудочно-ободочного свища:
- каловый запах изо рта;
- каловая отрыжка;
- каловая рвота (степень примеси кала при рвоте зависит от размеров свища);
- понос с содержанием непереваренной пищи в кале;
- быстрое похудание;
- появление отеков вследствие нарушения белкового обмена.
При попадании кала в тонкую кишку возможно развитие аутоинтоксикации, проявляющейся головной болью, апатией и депрессией.
В некоторых случаях внутренние желудочные свищи диагностируют только при проведении операции по поводу пептической язвы анастомоза. Было отмечено, что при образовании подобного свища возможно исчезновение болей, которые ранее были упорными. Однако если свищ узкий и воспалительный процесс широко захватывает окружающие ткани, а также при наличии еще одной пептической язвы, боли могут оставаться мучительными или усиливаться.
При наличии в анамнезе больного операции на желудке (гастроэнтероанастомоз или резекция по методу Бильрот II), а также жалоб на каловую рвоту или отрыжку с каловым запахом, изнуряющий понос, истощение, клинический диагноз можно считать установленным.
Постановка диагноза затруднена при отсутствии отчетливой клинической картины и удовлетворительном состоянии больного.
Возможность формирования свища всегда следует иметь в виду при наличии у пациента пептической язвы гастроэнтероанастомоза.
При наружных свищах ДПК в начальном периоде появляется инфильтрат в правом подреберье, что сопровождается перитонеальными явлениями. В дальнейшем инфильтрат становится более поверхностным и прорывается через операционный рубец; свищ также может сформироваться после релапаротомии Релапаротомия - повторная лапаротомия (вскрытие брюшинной полости), производимая в послеоперационном периоде по поводу возникших осложнений
с тампонадой недостаточной культи ДПК.
Диагностика
Задачи диагностики:
- выяснение локализации свища;
- уточнение состояния желудка, отводящей и приводящей петли;
- выяснение взаимоотношения органа, несущего свищ, с соседними органами;
- определение наличия или отсутствия затёков в окружающие ткани.
Методы исследования:
1. Выяснение скорости прохождения пищи по пищеварительному тракту с использованием красителей (средняя скорость составляет приблизительно 10 см/мин.)
2. Рентгенологическое исследование.
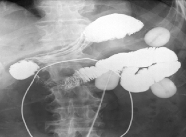
При наружных свищах проводится фистулография (введение контрастного вещества в свищ). Следует уделить внимание обязательному попаданию контраста в отводящую петлю с целью выяснения скорости пассажа контрастного вещества по кишке, обнаружения его задержки и определения уровня этой задержки. Данная информация имеет значение для хирургического вмешательства, при котором необходимо ликвидировать сам свищ, а также перегибы и деформации отводящей петли. Это позволит избежать гипертензии в области швов анастомоза в послеоперационном периоде.
При внутренних свищах осуществляется введение контрастного вещества через рот.
При наружных свищах контрастирование через рот также необходимо для выяснения состояния приводящей петли свища - ДПК и/или желудка.
3. Эндоскопические исследования применяются для получения дополнительной информации о состоянии приводящей и отводящей петли свища, а также для уточнения характера изменений слизистой оболочки свища (гипертрофия Гипертрофия - разрастание какого-либо органа, его части или ткани в результате размножения клеток и увеличения их объема
, деформации, изъязвления, эрозии, рубцы).
4. Пальцевое исследование при наружных широких свищах осуществляется для выяснения наличия сужения начального отдела отводящей кишки, дополнительных ходов в окружающие ткани, а также уточнения характера шпоры.
В зависимости от результатов данного исследования выбирается дальнейшая тактика (например, все методы обтурации Обтурация - закрытие просвета полого органа, в том числе кровеносного или лимфатического сосуда, обусловливающее нарушение его проходимости.
свища противопоказаны при сужениях отводящей петли или высокой ригидности шпоры).
Лабораторная диагностика
При образовании свищей желудка и ДПК изменения в анализах разнообразны и зависят от этиологии, анатомии и патофизиологии свища.
При несформировавшихся свищах на первый план выходят общевоспалительные изменения:
- лейкоцитоз;
- повышение СОЭ;
- сдвиг лейкоцитарной формулы влево.
Лабораторные признаки при сформировавшихся свищах: нарушение водно-электролитного баланса в сочетании с белково-энергетической недостаточностью.
Для прогнозирования закрытия свищей и смертности осуществляется динамическое исследование уровня сывороточного альбумина:
- уровень выше 3,5 мг/дл не является предиктором смертности;
- уровень менее 2,5 мг/дл ассоциируется со смертностью в 42% случаев.
Для прогнозирования вероятности закрытия свища проводятся исследования уровней сывороточного трансферрина, преальбумина, ретинол-связывающего белка. Уровень сывороточного трансферрина более 200 мг/дл связан с более высокой скоростью закрытия свищей и со снижением смертности; уменьшение уровня связано с ухудшением прогноза.
Дифференциальный диагноз
Дифференциальная диагностика не представляет особенных трудностей при наличии у пациента язвенной болезни желудка и двенадцатиперстной кишки (ДПК), рака желудка и ДПК, перенесенной операции на органах желудочно-кишечного тракта в сочетании с характерными признаками изменения раны (при наружных свищах).
Сложности в дифференциальной диагностике возникают в основном при несформировавшихся свищах.
При внутренних свищах следует проводить дифференциальную диагностику со следующими заболеваниями:
- острый холецистит;
- острый панкреатит;
- острый перитонит с межпетельными абсцессами;
- флегмоны забрюшинного пространства, передней брюшной стенки;
- язвы анастомозов;
- свищи других отделов пищеварительного тракта (например, при болезни Крона, дизентерии).
Осложнения
Связанные с возникновением свища изменения в организме обусловлены потерей через наружный свищ белков, жиров, углеводов, витаминов, воды, электролитов и ферментов. На коже вокруг свища может возникать мацерация Мацерация - размягчение и разрыхление тканей вследствие длительного воздействия на них жидкости
(дерматит).
Лечение
Внутренние свищи желудка и ДПК
Наружные свищи
При наружных свищах ДПК применяются методы консервативного и оперативного лечения, которые дополняют друг друга.
Консервативное лечение показано в качестве начальной терапии, за исключением пациентов с острым разлитым перитонитом, внутрибрюшным кровотечением, которым показано срочное оперативное вмешательство.
Цель консервативного лечения - закрытие свища или подготовка пациента к операции при безуспешности закрытия свища консервативными методиками. Первоочередной задачей является стабилизация состояния пациента.
Под воздействием консервативного лечения закрытие наружного свища ДПК достигается почти в половине (46%) случаев.
Задачи консервативного лечения пациентов с наружным свищом ДПК:
1. Коррекция нарушений объема циркулирующей крови, содержания электролитов, белков, кислотно-основного состояния.
2. Борьба с инфекцией.
3. Снижение дебита свища.
4. Санация свищевого хода и инактивация в нем ферментов свищевых выделений.
5. Защита кожи от повреждающего действия выделений из свища.
6. Возвращение в просвет кишечника пищеварительных соков, которые выделились через свищевой ход.
7. Энтеральная нутритивная поддержка и частичное (дополнительное) парентеральное питание.
При подготовке к операции задачей консервативной терапии является перевод несформированного свища в сформированный.
Оперативное лечение
Выбор методов и сроков оперативного лечения осуществляется в зависимости от следующих факторов:
- состояние пациента;
- эффективность консервативной терапии;
- длительность существования свища;
- наличие гнойно-септического процесса;
- объем выделений из свища;
- морфофункциональные характеристики свища.
Оптимальный срок проведения планового оперативного лечения пациентов со сформированным наружным свищом ДПК - через 6-8 недель после сформирования свища, устранения септического процесса, при условии стабилизации общего состояния пациента.
Оптимальный объем операции у больных со сформированным наружным свищом ДПК - высечение свищевого хода, удаление шовных лигатур и ушивание дефекта стенки ДПК, а также устранение дистального препятствия для пассажа при его наличии.
Кишечный свищ
Кишечный свищ - неестественная коммуникация между просветом кишечной трубки и прочими органами или кожей. Внутренние свищи зачастую в течение длительного времени ничем не проявляются. Наружные свищи выявляются при наличии устья на коже, через которое отходит каловое отделяемое и газы, мацерации кожных покровов вокруг свища. Также может отмечаться прогрессирующее похудение, нарастающая полиорганная недостаточность. Диагноз ставится с помощью рентгенологических, эндоскопических и лабораторных исследований, проб с красителями. Консервативное лечение может использоваться при наличии трубчатых свищей, а также как этап подготовки к операции при губчатых свищах.
МКБ-10

Общие сведения
Кишечный свищ - тяжелая хирургическая патология, частота которой прогрессивно возрастает, так как увеличивается общее количество воспалительных заболеваний кишечника, которые чаще всего приводят к формированию противоестественных коммуникаций. Выделяют врожденные, приобретенные и искусственно созданные формы данного заболевания (в основном для энтерального питания или декомпрессии кишечника). Первая операция по устранению кишечного свища была произведена еще в 1828 году, в последующие годы техника оперативных вмешательств совершенствовалась, разрабатывались внебрюшинные методики хирургического лечения. На сегодняшний день упор делается на своевременное выявление и консервативную терапию кишечных свищей.

Причины кишечного свища
Наиболее частой причиной образования свища является некроз кишечной стенки вследствие локального нарушения кровообращения. Привести к этому могут воспалительные заболевания (острый аппендицит, болезнь Крона, дивертикулы кишечника, рак, актиномикоз, туберкулезное поражение кишечной трубки) и нарушения кровообращения и питания стенки кишки (ущемленная грыжа, патология сосудов брыжейки). Формирование свищей часто происходит на фоне проникающих и тупых травм живота. Очень распространенными причинами созревания свищевого хода (до 70% всех случаев) служат различные послеоперационные осложнения: межпетельные абсцессы, перитонит, кишечная непроходимость, несостоятельность швов на кишечной стенке.
Более редкой причиной образования свищей служат нарушения эмбриогенеза (незаращение желточного протока, атрезия дистальных участков кишечника с возникновением кишечно-маточных, кишечно-пузырных и аноректальных свищей). Это достаточно редкая патология. В военное время в качестве причины формирования кишечных свищей преобладают проникающие огнестрельные и осколочные ранения органов брюшной полости.
Образование свищевых ходов между кишечником, другими органами и кожей приводит к тяжелым расстройствам в организме. Основные патогенетические механизмы развития полиорганной недостаточности связаны с потерей пищевого химуса, нарушением всасывания питательных веществ, интоксикацией вследствие воспалительного процесса в области свищевого хода. Наиболее опасными в прогностическом плане являются высокие свищи тонкой кишки: по такому свищевому ходу в течение суток может изливаться до 10 литров содержимого, что приводит к потере немалого количества жидкости, пищеварительных соков и ферментов, электролитов и нутриентов. Значительно снижается объем циркулирующей крови, происходит гемоконцентрация, выражающаяся повышением гематокритного числа. Из-за выраженного обезвоживания снижается объем крови, циркулирующей через канальцы почек, страдает диурез. Компенсаторно повышается продукция альдостерона, который способствует интенсивному выведению калия из организма.
Всасывание нутриентов в кишечнике также страдает. Покрытие энергетических запросов организма сначала происходит за счет расщепления запасов гликогена в печени и мышцах, затем включаются катаболические процессы с использованием эндогенных запасов белка и жира. Распад клеток при избыточном катаболизме приводит к накапливанию в организме калия, токсичных продуктов обмена, что еще более усугубляет почечную недостаточность, поскольку именно почки отвечают за выведение продуктов катаболизма из организма. Развиваются истощение и полиорганная недостаточность, которые в 40% случаев могут приводить к смерти пациента.
Низкие тонкокишечные, а также толстокишечные свищи редко приводят к выраженным дистрофическим изменениям в организме. Основная масса питательных веществ и жидкости всасывается в верхних отделах тонкого кишечника, поэтому потеря кишечного содержимого на уровне дистальных отделов пищеварительной трубки не приводит к значительному обезвоживанию, дефициту нутриентов и истощению. Наибольшую проблему при низких кишечных свищах представляет атрофия слизистой отводящего отдела кишечника, повышающая частоту послеоперационных осложнений в будущем.
Классификация кишечного свища
По этиологии различают врожденные и приобретенные свищи кишечника. Врожденные формы представляют не более 2,5% всех случаев, обычно связаны с недоразвитием кишечной трубки либо незаращением кишечно-пузырного протока. Среди приобретенных кишечных свищей около 50% занимают послеоперационные. Особую группу приобретенных форм заболевания составляют искусственно наложенные отверстия для энтерального питания, разгрузки кишечника при перитоните, кишечной непроходимости, опухолях кишки. Непосредственной причиной образования свищевого хода могут служить: возникновение или прогрессирование деструктивного воспалительного очага; спонтанное вскрытие абсцесса брюшной полости; разрыв петли кишечника при попытке вправления ущемленной грыжи; прогрессирование опухолевого процесса с прорастанием передней брюшной стенки.
В зависимости от пассажа содержимого кишечника свищи могут быть полными (все содержимое изливается из кишечника, не поступая в отводящую петлю) и неполными (содержимое кишечника поступает наружу только частично). Полные свищи часто характеризуются наличием кишечной шпоры. Шпора может быть истинной (постоянное неустранимое выпячивание стенки кишки, противоположной свищу, в полость кишечной трубки с перекрытием ее просвета) и ложной (выпячивание стенки кишки подвижно и устранимо). Истинные шпоры чаще всего приводят к образованию полных губовидных свищей.
По характеру отделяемого различают каловые кишечные свищи, слизистые, гнойные и комбинированные. Также в классификации учитывается наличие осложнений: местных (воспаление, дерматит, эвентрация кишечника), общих (истощение, депрессия).
Симптомы кишечного свища
Клинические проявления кишечных свищей в большой мере зависят от их локализации, морфологических характеристик, времени возникновения. Сформированные свищи имеют более благоприятное течение, обычно не сопровождаются тяжелыми общими симптомами. Несформированные свищи, даже низкие, протекают на фоне интоксикации за счет воспалительного процесса в области устья свищевого хода.
Внутренние межкишечные свищи могут никак не проявляться длительное время. При наличии кишечно-маточных, кишечно-пузырных свищей обычно отмечается выделение каловых масс из влагалища, примесь кала в моче при мочеиспускании, воспалительный процесс органов малого таза. Высокие тонкокишечно-толстокишечные свищи сопровождаются достаточно выраженной клиникой: упорной диареей, постепенной, но значительной потерей веса.
Наружные свищи также имеют свои клинические особенности, обусловленные локализацией. Высокие тонкокишечные наружные свищи характеризуются наличием дефекта на коже, через который обильно выделяется желтое, пенистое кишечное содержимое, содержащее пищевой химус, желудочный и панкреатический соки, желчь. Вокруг свищевого хода быстро развивается мацерация, дерматит. Потери жидкости по высокому свищу тонкой кишки значительные, приводят к постепенной декомпенсации общего состояния и развитию полиорганной недостаточности. Потеря веса может достигать 50%, постепенно разворачивается клиника тяжелого истощения, депрессия. Низкие свищи толстой кишки протекают легче, им не сопутствуют большие потери жидкости. Учитывая то, что каловые массы в толстом кишечнике уже сформированы, выраженной мацерации кожи и дерматитов также не бывает.
К наиболее частым осложнениям кишечных свищей относят истощение, нарушения водно-электролитного баланса, сепсис, дерматит, кровотечение, выпадение слизистой оболочки кишки в свищевой ход.
Диагностика кишечного свища
Консультации гастроэнтеролога и хирурга нужны для визуального осмотра, пальцевого исследования свищевого хода. Во время клинического осмотра устанавливается факт наличия свищевого хода, его морфологические характеристики. Правильно проведенный осмотр области свищевого хода позволит назначить необходимые для подтверждения диагноза исследования. Для уточнения локализации свища может потребоваться анализ отделяемого на предмет наличия в нем билирубина, желчных кислот, панкреатических ферментов. Также большое клиническое значение имеют пробы с красителями. При подозрении на свищ тонкой кишки метиленовый синий дают выпить, при наличии свища толстой кишки - вводят в виде клизмы. В зависимости от времени появления красителя в отделяемом из свищевого хода и устанавливается точная локализация свища.
Для оценки состояния внутренних органов, взаимоотношения их со свищевым ходом может потребоваться УЗИ органов брюшной полости, мультисрезовая спиральная компьютерная томография органов брюшной полости, обзорная рентгенография органов брюшной полости. Также широкое применение нашли рентгенконтрастные методики: рентгенография пассажа бария по тонкому кишечнику, ирригоскопия, фистулография (введение контраста в свищевой ход).
Консультация врача-эндоскописта необходима для проведения ЭГДС, фиброколоноскопии. При использовании этих методов исследования врач получает возможность осмотреть внутреннее устье свища, оценить состояние слизистой оболочки кишечника, выявить истинную или ложную шпору.
Лечение кишечного свища
Лечение пациентов с высокими тонкокишечными свищами проводится в отделениях интенсивной терапии и хирургии; больные с толстокишечными свищами без выраженной симптоматики могут получать лечение в отделении гастроэнтерологии или амбулаторно. Терапию кишечных свищей всегда начинают с консервативных мероприятий. Проводится восполнение дефицита жидкости, нормализация ионно-электролитного состояния. Если в области свищевого хода имеется гнойная рана, абсцесс, выраженный дерматит - осуществляется эрадикация очага инфекции, сопровождающаяся дезинтоксикационной терапией.
Местная терапия включает в себя использование повязок с гипертоническими и ферментными растворами, антисептических мазей и паст. Производится защита кожи от кишечного отделяемого любыми доступными методами. Физическое экранирование заключается в создании барьера между кожей и жидким содержимым кишечника с помощью паст, клея (БФ1, БФ2), полимерных пленок и др. Биохимический метод - обкладывание устья свища салфетками, смоченными в яичном белке, молоке, молочной кислоте. Для механической защиты используют разнообразные аспираторы и обтураторы, препятствующие выделению кишечного содержимого наружу. Для обезвреживания желудочного и панкреатического сока применяют гистаминоблокаторы, протеолитические ферменты.
В период консервативного лечения нужно наладить полноценное и разнообразное энтеральное, а при необходимости и парентеральное питание. Консервативные мероприятия могут привести к закрытию сформировавшихся трубчатых свищей в течение одного-двух месяцев. Губчатые свищи требуют оперативного лечения, однако перечисленные направления нехирургического лечения используются в качестве подготовки к операции. Также операция показана и при трубчатых свищах, если консервативные мероприятия не привели к самопроизвольному закрытию свищевого хода. Это может произойти при наличии непроходимости кишечной трубки дистальнее свища; если причиной формирования свища послужило инородное тело; при образовании очень высоких свищей с большим количеством отделяемого; при сопутствующих воспалительных заболеваниях кишечника; при выявлении раковой опухоли в стадии распада.
Хирургическое лечение требует тщательной, длительной предоперационной подготовки. Исключением являются высокие тонкокишечные свищи с формированием полиорганной недостаточности - при их наличии подготовка не должна занимать более нескольких часов. Во время операции производится определение точной локализации свища, его иссечение вместе с пораженным участком кишки, наложение межкишечного анастомоза. При некоторых видах свищей возможно их внебрюшинное закрытие.
Прогноз и профилактика кишечного свища
Смертность после оперативного лечения кишечных свищей достигает 2-10% (в зависимости от вида свища и состояния пациента перед операцией). Самые частые причины смерти таких больных - сепсис и почечная недостаточность. При своевременном выявлении свищевого хода возможно его самопроизвольное закрытие на фоне консервативной терапии в 40% случаев. Профилактика образования кишечных свищей заключается в своевременном выявлении и лечении фоновых заболеваний, приводящих к формированию свищевых ходов.
Свищ ( Фистула )
Свищ - это патологический канал, который соединяет между собой полые органы, естественные или патологические полости тела между собой (внутренний свищ) либо с окружающей средой (наружный свищ). Проявляется наличием свищевого хода, через который выделяется слизь, гной, содержимое органа или полости: кал, моча, слюна, ликвор, желчь. Диагностируется на основании клинической симптоматики, данных фистулографии, других инструментальных и лабораторных исследований. При внутренних свищах проводятся эндоскопические манипуляции. Лечение определяется видом патологии, может быть консервативным, оперативным, комбинированным.

Свищи (фистулы) - большая и весьма разнородная группа патологических состояний, встречающихся во многих сферах практической медицины. Они имеют врожденный или приобретенный характер, возникают в результате разрушения тканей различного генеза либо создаются искусственно. Нередко тяжело поддаются лечению, в ряде случаев представляют опасность для жизни из-за значительных потерь жидкости, питательных веществ. Наибольшее клиническое значение вследствие своей распространенности и возможных последствий имеют урогенитальные и желудочно-кишечные свищи.

Причины свищей
Непосредственной причиной образования фистул являются нарушения формирования либо разрушение органов и тканей. С учетом этиологии выделяют следующие группы свищей:
- Врожденные. Появляются в результате нарушений развития плода, которые могут быть обусловлены наследственными заболеваниями, воздействием неблагоприятных внешних и внутренних факторов.
- Приобретенные патологические. Формируются на фоне воспалительных процессов, ранений, повреждения стенок полых органов инородными телами, разрушения злокачественными опухолями, химикатами, лучевым воздействием. Иногда становятся осложнением хирургического лечения различных патологий.
- Приобретенные искусственные (стомы). Специально создаются оперативным путем для сохранения жизнедеятельности при нарушении пассажа содержимого полых органов (химуса), секрета (желчи) или экскрета (кала, мочи), для обеспечения поступления питательных веществ в организм.
Патогенез
Врожденные свищи становятся следствием недоразвития или неправильного развития органов и частей тела. Поскольку они образуются естественным путем, их стенки покрыты эпителием. Приобретенные фистулы появляются при прорыве содержимого, сопровождаются разрушением уже сформированных тканей. Стенки представлены грануляциями, снаружи в результате рубцевания со временем образуется прослойка из плотной соединительной ткани.
Особой группой являются губовидные свищи, у которых эпителий слизистой переходит в эпителий кожных покровов. Они относятся к эпителизированным, но создаются искусственно. Эпителизированные свищи самостоятельно не закрываются. Гранулирующие фистулы способны к заживлению при устранении процесса (обычно - воспалительного), поддерживающего отток содержимого по каналу.
В настоящее время исследователи, а также специалисты в области хирургии используют следующую систематизацию свищей:
- По происхождению: врожденные, приобретенные (патологические и искусственные).
- По строению: эпителизированные, грануляционные, губовидные.
- По отношению к окружающей среде: внешние (соединяют полость с внешней средой), внутренние (соединяют две полости).
- По локализации: желудочные, кишечные, ректальные, трахеопищеводные, бронхиальные, уровагинальные, ректовагинальные, околоушные.
- По типу отделяемого: слизистые, гнойные, каловые, мочевые, ликворные и пр.
Симптомы свища
Внутренние фистулы проявляются наличием нетипичного отделяемого из какого-либо естественного отверстия. Значительные потери жидкости и питательных веществ при некоторых типах свищей становятся причиной истощения, грубых нарушений всех видов обмена, которые могут привести к гибели пациента.
Свищи пищеварительной системы
Могут образовываться на всем протяжении ЖКТ, от пищевода до прямой кишки, быть наружными либо внутренними. Желудочные фистулы обычно имеют искусственное происхождение (гастростома), пищеводные провоцируются патологическим процессом, кишечные бывают искусственными (колостома, илеостома, цекостома) и патологическими. Первое место среди причин образования пищеводных свищей занимают опухоли, кишечных - несостоятельность анастомозов.
Формирование наружных свищей сопровождается появлением инфильтрата. При внутренних фистулах клиническая картина напоминает прободение полого органа. При трахеопищеводных соустьях из верхних дыхательных путей откашливаются кусочки пищи. Внутренний желудочно-кишечный свищ проявляется каловой рвотой, каловым запахом изо рта. При наружном сформированном свище на коже обнаруживается ход с пищеводным, желудочным или кишечным отделяемым, при несформированном - гнойная рана, на дне которой видна петля кишки, стенка желудка.
Типичны поносы, рвота, аутоинтоксикация. Скорость истощения и развития обменных нарушений зависит от диаметра свища - чем он шире, тем быстрее усугубляется симптоматика. Возможны обезвоживание, истощение, безбелковые отеки, анемия. Интоксикация, расстройства обмена приводят к изменениям со стороны печени и почек. В тяжелом случае развиваются почечная и печеночная недостаточность.
Свищи желчного пузыря
Желчные свищи обычно становятся осложнением желчнокаменной болезни, бывают наружными или внутренними, могут соединять желчевыводящие пути с желудком, кишкой, плевральной полостью, бронхом. Наружные свищи сопровождаются образованием отверстия с желчным либо гнойным отделяемым, внутренние - симптомами холангита, поносами, потерей веса, интоксикацией.
Ректальные свищи
Включают различные формы парапроктита и ректовагинальные фистулы. Парапроктит возникает при гнойном воспалении стенки кишки и параректальной клетчатки, проявляется болями, ощущением инородного тела, общими симптомами интоксикации. Из заднего прохода выделяется гной либо на коже перианальной зоны обнаруживается отверстие с гнойным отделяемым. При ректовагинальных свищах из влагалища выделяются газы, кал. Нередки боли в промежности, воспалительные заболевания половых органов, мочевыводящих путей.
Урогенитальные свищи
Образуются между половыми органами и уретрой, мочеточниками или мочевым пузырем. Развиваются после тяжелых и осложненных родов, операций, лучевой терапии. Наиболее распространенные - уретро-влагалищные и пузырно-влагалищные фистулы. Реже встречаются пузырно-маточные, мочеточниково-влагалищные и другие варианты.
Сопровождаются подтеканием мочи из половых органов, появлением крови в моче во время менструаций. Обычно безболезненны. Не представляют угрозы для жизни, но существенно снижают ее качество, становятся причиной социальной дезадаптации. Имеют большое клиническое значение из-за высокой распространенности (0,6-2%).
Бронхиальные свищи
Лигатурные свищи
Лигатурный свищ - частое осложнение (до 5%) хирургических вмешательств, особенно - при операциях на органах брюшной полости, малого таза. Развивается из-за отторжения нерассасывающихся нитей, которые находятся в глубине тканей. В период формирования отмечаются боли, интоксикация, после образования свищевого хода состояние нормализуется. Фистулы склонны к хроническому рецидивирующему течению до момента удаления или самостоятельного отхождения нити.
Наиболее распространенными осложнениями любых свищей являются гнойные и негнойные воспалительные процессы, в том числе - образование абсцессов и затеков с поражением соседних анатомических структур, хронические воспаления различных органов (циститы, вагиниты, проктиты). В тяжелых случаях возможен сепсис.
Свищи значительно ухудшают качество жизни, часто становятся причиной потери трудоспособности, негативно влияют на социализацию. При наружных фистулах нередко развиваются дерматиты, формируется косметический дефект. При полных свищах внутренних органов наблюдается кахексия, полиорганная недостаточность.
С учетом локализации свища диагноз устанавливают врачи различных специальностей - хирурги, гинекологи, урологи и пр. В процессе диагностики и определения плана лечения учитывают историю болезни, клиническую симптоматику, данные дополнительных исследований. План обследования включает:
- Сбор анамнеза. В анамнезе часто выявляются операции или хронические заболевания. Формированию наружных фистул предшествует появление болей, инфильтрата, который вскрывается с выделением гноя, а затем содержимого того или иного органа. Образование внутренних свищей сопровождается болями, интоксикацией, другими симптомами, зависящими от расположения фистулы.
- Внешний осмотр. При наличии отверстия на коже по характеру отделяемого определяют вовлеченный орган, по количеству отделяемого - размеры фистулы. Оценивают общее состояние пациента, выявляют признаки истощения, нарушения функций различных органов.
- Пробы с красителями. Иногда для уточнения локализации свища, определения количества ходов, обнаружения затеков используют метиленовый синий и другие растворы, которые дают перорально либо вводят в естественное отверстие.
- Лабораторные анализы. При изучении отделяемого могут выявляться билирубин, амилаза, мочевина и другие соединения, что в сомнительных случаях дает возможность подтвердить повреждение определенного органа.
- Фистулография. Является наиболее распространенным визуализационным методом диагностики наружных свищей. Контраст вводят в отверстие, по данным снимков определяют пораженный орган, точную локализацию фистулы, направление хода, наличие затеков.
- Рентгенография с контрастированием. При внутренних поражениях проводят ирригографию, рентгенографию желудка или пищевода с барием. Контраст выходит через стенку органа на кожу, в соседние органы или полости, что позволяет уточнить особенности свища.
- Эндоскопические исследования. Для выявления фистул, определения их расположения и диаметра отверстий выполняют гастроскопию, колоноскопию, бронхоскопию, цистоскопию и пр.
Некоторые внутренние свищи представляют существенные диагностические затруднения, обнаруживаются только при проведении оперативных вмешательств. Дифференциальную диагностику проводят между различными видами фистул, с воспалительными заболеваниями, другими патологическими процессами.
Лечение свища
Тактика лечения определяется видом фистулы. Гранулирующие свищи могут закрываться на фоне консервативной терапии, при эпителизированных выздоровление возможно только после осуществления оперативного вмешательства. Наряду с устранением основной патологии важную роль играет коррекция обменных нарушений, грамотный уход за отверстием.
Консервативная терапия
Обязательным условием закрытия свища является устранение причины его появления. При невозможности воздействия на этиологический фактор целью терапии становится подготовка больного к операции. Лечение предусматривает проведение общих и местных мероприятий. Показано в случае всех видов свищей - как эпителизированных, так и гранулирующих. Включает:
- Уход за свищом. Необходимо регулярно осуществлять туалет кожи вокруг отверстия, смазывать кожные покровы защитными пастами. При искусственных свищах требуется обучение больного использованию моче- и калоприемников.
- Ограничение выделения содержимого. При некоторых локализациях фистул, например, их ректовагинальном расположении, закрытия свищевого хода в отдельных случаях удается добиться путем разгрузки кишечника на фоне клизм, специальной диеты.
- Другие местные воздействия. Могут быть эффективны промывания химическими растворами, применение ферментативных препаратов, проведение локальной аутогемотерапии. Регенерацию тканей стимулируют путем инъекций коллагенового геля с фибробластами.
- Коррекция общих нарушений. При значительных потерях белка, воды и электролитов показано составление индивидуальной диеты, инфузионная терапия с введением альбумина, солевых растворов, других соединений.
- Противовоспалительная терапия. При вторичном инфицировании назначаются антибактериальные препараты, иммунокорректоры, дезинтоксикационные средства.
Хирургическое лечение
Хирургические вмешательства проводятся при эпителизированных, сформированных гранулирующих, губчатых свищах. С учетом особенностей расположения фистулы и состояния окружающих тканей выполняются следующие операции:
- Иссечение свищевого хода. Производится после окрашивания метиленовым синим или другим раствором, позволяющего точно установить особенности хода, выявить затеки. Ход удаляют вместе с окружающими измененными тканями, рану ушивают, дренируют.
- Иссечение с замещением дефекта. Иногда после удаления измененного участка возникает недостаток тканей либо при сшивании тканей наблюдается их излишнее натяжение. В подобных случаях свищ закрывают путем транспозиции кожно-мышечного или мышечного лоскута, жировой ткани на сосудистой ножке.
- Резекция органа. При некоторых свищах полых органов, например, при кишечных оптимальным вариантом является частичное иссечение органа. Операция может осуществляться в один или два этапа. Во втором случае предварительно накладывают обходной анастомоз для разгрузки путем прекращения пассажа содержимого.
Удаление измененных тканей нередко дополняют действиями, направленными на предотвращение повторного образования свища. Для этого между разобщенными полостями помещают участки фасции, сетчатые имплантаты. В послеоперационном периоде проводят стандартные лечебные мероприятия - перевязки, антибиотикотерапию, обезболивающую терапию.
Прогноз
Прогноз определяется локализацией, видом и временем существования свища, распространенностью изменений окружающих тканей, характером основной патологии, степенью нарушения гомеостаза организма больного, наличием сопутствующих заболеваний. Фистулы, даже гранулирующие, редко поддаются консервативному лечению. После иссечения достаточно часто наблюдается выздоровление. При некоторых видах свищей, сопровождающихся тяжелыми обменными нарушениями, особенно - при высоких желудочно-кишечных, возможен летальный исход.
Профилактика
Профилактические мероприятия включают своевременное лечение заболеваний, которые могут приводить к образованию свищей. Необходимо предупреждать возникновение инфекций в зоне раневых каналов, соблюдать технику наложения анастомозов, обеспечивать разгрузку оперируемых органов на этапе подготовки к вмешательству и послеоперационного восстановления.
3. Хирургическое лечение больных с тонкокишечными свищами/ Кригер А.Г., Кубышкин В.А., Берелавичос С.В. и др.// Хирургия - 2015 - №12.
Читайте также:
