Диагностика пинеоцитомы по КТ, МРТ
Добавил пользователь Владимир З. Обновлено: 01.01.2026
Пинеоцитома входит в группу доброкачественных опухолевидных образований, которые начинают своё развитие в области головы. Этот вид опухоли затрагивает шишковидную железу или другими словами эпифиз - один из ключевых органов диффузной эндокринной системы. Ознакомьтесь со свежей информацией о симптомах пинеоцитомы, которая может оказаться полезной для выявления патологии.
- Что такое пинеоцитома и причины её возникновения
- Проявление симптоматики при пинеоцитоме
- Как обнаружить пинеоцитому?
- Как сейчас лечат пинеоцитому
- Профилактика пинеоцитомы
- О прогнозе при пинеоцитоме
Что такое пинеоцитома и причины её возникновения
Пинеоцитома принадлежит к доброкачественным образованиям в области эпифиза (шишковидной железы), берущих своё начало из железистых клеток паренхимы. Для опухоли этого вида свойственно медленное развитие, её края рельефно просматриваются, а мигрирование клеток и метастазирование в другие органы, а так же в тканевые структуры, отсутствует.
Отдельную нишу занимают опухоли смешанного типа с чертами как пинеоцитом, так и пинеобластом.
Пинеоцитома несёт серьёзную опасность для жизни человека в тех случаях, когда она разрастается до большого размера и сдавливает важнейшие участки головного мозга.
Также возможно расположение этой доброкачественной опухоли, равно как и недоброкачественной, в капсуле, поэтому ёё называют инкапсулированной, а радикальное удаление подобных новообразований проходит намного легче, потому что проще отграничить поражённые ткани от здоровых отделов головного мозга.
Пинеоцитомы в процентном отношении составляют менее 50% всех паренхиматозных опухолей эпифиза. Болезни подвержены большей частью люди в возрастной категории от 25 до 35 лет, независимо от пола.
Сказать о точных причинах и условиях возникновения пинеоцитомы довольно сложно, ведь они до конца не определены.
Не исключено, что такими факторами могут стать:
- негативные условия окружающей среды;
- наследственные причины;
- травмы, связанные с черепно-мозговой деятельностью;
- различные патологии во внутриутробном развитии.
О том, что плохая экологическая обстановка оказывает отрицательное воздействие на организм и приводит к развитию опухолевых образований, известно давно. Радиоактивное излучение, вредные выбросы промышленных предприятий и многие другие факторы ведут к повреждению клеточного генома, происходят изменения в свойстве клеток, они чрезмерно ускоряют своё деление.
Хотя точно не доказано, что развитие пинеоцитомы связано с наследственностью, некоторая генетическая предрасположенность прослеживается.
Черепно-мозговые контузии могут привести к развитию опухолевого процесса в области шишковидной железы, в том числе и к пинеоцитоме, в результате нарушений в структуре клеток.
Губительное воздействие на эмбрион в период его внутриутробного развития оказывают многие факторы, связанные с алкоголизмом и курением беременной женщины, наличие инфекций. Впоследствии это может сказаться на процессах в развитии, привести к формированию аномальных клеток, которые дадут толчок опухолевидному процессу - не только доброкачественной природы, но и злокачественной. При лечении рака за рубежом, изучая анамнез пациента, врачи учитывают эти обстоятельства.
Проявление симптоматики при пинеоцитоме
Расположение эпифиза за третьим желудочком мозга, и недалеко от так называемого сильвиева водопровода, благоприятствует тому, что при крупных пинеоцитомах происходит сдавливание этих органов, ведущее к нарушению движения цереброспинальной жидкости (ликвора).
Это ведёт к повышению внутричерепного давления, сопровождаемого головными болями и тошнотой, рвотой.
Помимо таких признаков, возможно наблюдение фокальных очагов неврологических нарушений:
- паралич движений, связанный с глазным яблоком;
- проблемы с координацией, а также и ходьбой;
- гипотония;
- дрожание конечностей.
Эпифиз - железа, размер которой чуть больше 1 сантиметра, тем не менее её опухоли, и пинеоцитомы в том числе, вызывают целый ряд неврологических отклонений.
При опухолеобразных новообразованиях в шишковидной железе часто наблюдается так называемый синдром Парино. Эта патология связана с офтальмологическими нарушениями. Пациент страдает косоглазием, отклонениями в движении глазного яблока, у него заметны диссоциация реакции на свет и прочие признаки.
К типичным симптомам пинеоцитомы можно отнести и преждевременное половое развитие в детском возрасте из-за нарушений в органах внутренней секреции, к которым относится эпифиз.
У пациентов дальнейший рост опухолевидного образования приводит к окклюзионной гидроцефалии из-за проблем с ликвороциркуляцией. Это может стать причиной отёка мозга и прочих серьёзных нарушений в жизнедеятельности организма. Наблюдаются изменения в речи, обонятельные галлюцинации, сонливость, вялость, проблемы с углеводным обменом, увеличение массы тела, расстройства в вегетативной нервной системе, а позднее и психические заболевания.
В зависимости от размера и особенностей локализации пинеоцитомы клиническая картина может существенно различаться.
Перед лечением пинеоцитомы за границей пациент проходит тщательное неврологическое обследование, направленное на получение полной информации об этой опухоли.
Как обнаружить пинеоцитому?
Пинеоцитомы имеют вид серо-розоватого узла дольчатой структуры, плотно соединённой с мягкой оболочкой мозга. У опухоли есть пинеоцитарные розетки, состоящие из группы множественных клеточных отростков с безъядерными волокнистыми зонами.
Диагностирование пинеоцитомы, как и прочих опухолей в области головного мозга, проводят, оценивая рефлексы, кожную чувствительность, движения верхних и нижних конечностей, проблемы со стороны зрения, нарушения в функционировании нервно-мышечной системы.
В обследовании ведущая роль принадлежит МРТ, КТ, УЗИ, так как эти способы диагностики достаточно информативны и дают возможность точно оценивать многие параметры доброкачественной опухоли.
Также проводятся анализы крови, цереброспинальной жидкости, гистологические исследования для обнаружения возможных аномальных клеток.
Вовремя проведённое обследование и успешная терапия пинеоцитомы помогают избежать деструктивной симптоматики, которая характерна для онкологического процесса.
Как сейчас лечат пинеоцитому
Одним из эффективнейших способов устранения пинеоцитомы считают хирургическое вмешательство, в онкологических центрах за границей его выполняют, используя метод иссечения. Но это возможно в тех случаях, когда она расположена в доступном месте и состояние пациента стабильно.
Для минимизации травматических последствий оперативное вмешательство проводится с применением ультрасовременных микрохирургических технологий.
Хотя операция достаточно сложная, можно найти медучреждения, где цены на медицинские процедуры при пинеоцитоме демократичны, как и стоимость лечения рака за границей в целом.
В дополнение к хирургии самостоятельным методом выступает радиотерапия. Её применение обусловлено локализацией пинеоцитомы в недоступной области, кроме того, процедура может применяться для уменьшения размера образования. В зарубежных клиниках эффективность лучевой терапии довольно высока.
А такая её разновидность как стереотаксическая радиохирургия позволяет по-новому лечить опухоли головного мозга, концентрируя дозу облучения по максиму на опухолевом источнике без поражения здоровых клеток мозга.
Профилактика пинеоцитомы
Как таковые специфические мероприятия по профилактике пинеоцитомы не разработаны ввиду того, что пока не до конца подтверждёна концепция развития патологии.
Но общими профилактическими средствами, которые предупредят появление болезни, могут быть такие:
- защита от воздействия факторов онкогенного характера, таких как радиация, канцерогены, токсины;
- правильный уклад жизни без вредных привычек у будущих матерей;
- предупреждение травматизма головного мозга.
О прогнозе при пинеоцитоме
Радикальное удаление доброкачественного образования в виде пинеоцитомы помогает пациенту излечить болезнь. К возможным рецидивам могут привести не полностью уничтоженные клетки после хирургического вмешательства.
Осложнение бывает и при малигнизации опухолеподобного новообразования и развитии метастазирования.
Полное же удаление пинеоцитомы подтверждено статистическими данными о благоприятном прогнозе, в таких случаях выживаемость больных очень высока и близка к 100%.
Вовремя диагностированная пинеоцитома хорошо поддаётся лечению, а после проведения терапевтического курса можно навсегда забыть об этом заболевании.
Пинеоцитома
Пинеоцитома — доброкачественное новообразование шишковидной железы (эпифиза), развивающееся из железистых клеток паренхимы. Клинически проявляется симптоматикой окклюзионной гидроцефалии, парезом взора, страбизмом, расстройством конвергенции. В 50% случаев наблюдается мозжечковый синдром. Пинеоцитома выявляется по клиническим данным, результатам нейровизуализации (церебральная МРТ, КТ), анализа цереброспинальной жидкости, гистологического исследования. Наиболее эффективное лечение — радикальная нейрохирургическая резекция, по показаниям дополненная ликворошунтирующей операцией.
Общие сведения
Паренхиматозные опухоли эпифиза (шишковидной железы) носят название пинеаломы. Они составляют менее 1% новообразований ЦНС, включают доброкачественные (пинеоцитома) и злокачественные (пинеобластома) образования. Специалистами в сфере неврологии и нейрохирургии пинеоцитома часто обозначается термином "доброкачественная пинеалома". Неоплазия имеет нейроэктодермальное происхождение, возникает из клеток железистой ткани (пинеацитов), секретирующих мелатонин — основной регулятор биоритмов «сон-бодрствование». Пинеоцитома встречается в 40% случаев пинеалом, заболевают преимущественно люди молодого и среднего возраста (пик заболеваемости приходится на 25-35 лет). Опухоль распространена повсеместно, имеет одинаковую встречаемость среди мужчин и женщин.
Причины пинеоцитомы
Этиология доброкачественной пинеаломы точно не определена. Предполагают полиэтиологичность заболевания, включающую участие наследственных факторов, экзогенных воздействий, триггеров, провоцирующих начало роста опухоли. Наиболее вероятными этиофакторами возникновения заболевания считаются:
- Неблагоприятная окружающая среда. Онкогенным эффектом обладает радиация, токсические вещества, содержащиеся в выхлопных газах, выбросах отдельных химических производств, пищевые консерванты и т. п. Воздействие указанных факторов повреждает клеточный геном, свойства клеток изменяются, начинается их чрезмерное деление с развитием опухолевого образования.
- Наследственная предрасположенность. В случае пинеоцитомы не прослеживается прямая наследственная взаимосвязь. Исследователи предполагают реализацию генетической детерминированности как большей вероятности возникновения новообразования при одинаковых условиях жизни.
- Нарушения внутриутробного развития. Неблагоприятные влияния на плод в антенатальном периоде (гипоксия, внутриутробные инфекции, алкоголь, курение беременной) способны вызывать сбой отдельных процессов развития с формированием атипичных клеток. Ребёнок рождается и растёт здоровым. В последующем воздействие провоцирующих триггеров может обусловить активацию атипичных пинеоцитов, дающих начало опухолевому процессу.
- Черепно-мозговая травма. Не является непосредственной причиной заболевания. Способна спровоцировать рост пинеоцитомы при наличии в эпифизе латентных атипичных клеток, возникших в результате изменений генома, отклонений в процессе антенатального развития.
Патогенез
Указанные выше этиофакторы обуславливают трансформацию нормальных пинеоцитов в склонные к постоянному делению опухолевые клетки. Пинеоцитома характеризуется медленным неуклонным ростом. Место её локализации (эпифиз) расположено между полушариями мозга за третьим желудочком вблизи сильвиева водопровода, обеспечивающего отток цереброспинальной жидкости (ликвора) из третьего желудочка в четвёртый. Учитывая размеры шишковидной железы (в среднем 1 см в диаметре), очевидно, что даже небольшая пинеоцитома вносит изменения в анатомическое взаиморасположение окружающих эпифиз церебральных структур.
В первую очередь сдавливается сильвиев водопровод, затрудняется и периодически блокируется ликвороциркуляция. Результатом является скопление ликвора в желудочковой системе выше места блокировки — развитие окклюзионной гидроцефалии, обуславливающей основные симптомы опухоли. В процессе роста пинеоцитома сдавливает верхние холмики среднего мозга — подкорковые центры зрительного анализатора, что вызывает появление зрительных нарушений. При достижении значительных размеров новообразование оказывает давление на ткани мозжечка, провоцируя мозжечковую симптоматику.
Макроскопически пинеоцитома представляет собой серо-красный узел дольчатого строения, тесно спаянный с мягкой мозговой оболочкой. При микроскопическом изучении клетки опухоли имеют сходное со зрелыми пинеоцитами строение, снабжены отростками. Пинеоцитома отличается наличием пинеоцитарных розеток — скоплений клеточных отростков, имеющих вид безъядерных волокнистых зон.
Симптомы пинеоцитомы
В клинической картине доминируют симптомы внутричерепной гипертензии: упорная цефалгия, тошнота, рвота. Со временем пациенты отмечают отсутствие эффекта принимаемых от головной боли медикаментов, практически постоянное, не связанное с питанием чувство подташнивания, приносящие кратковременное облегчение частые рвоты. Типично присоединение зрительных расстройств: парез взора вверх (синдром Парино), косоглазие, диплопия, нарушение конвергенции, опущение верхнего века. Симптоматика носит двусторонний характер. В половине случаев наблюдается мозжечковая атаксия: шаткость ходьбы, нистагм, дискоординация, гиперметрия движений, прерывистость речи (дизартрия), интенционный тремор. У ряда пациентов пинеоцитома протекает с эпилептическими пароксизмами. Возможно развитие гиперсомнии, у больных детского возраста — преждевременное половое созревание.
Осложнения
Окклюзионная гидроцефалия сопровождается ликворно-гипертензионными кризами, обусловленными преходящей практически полной блокировкой ликворооттока. Кризы характеризуются выраженной цефалгией, многократной рвотой, расстройством сознания. Полная окклюзия сильвиева водопровода характеризуется быстрым нарастанием интракраниальной гипертензии, сдавлением головного мозга, дислокационным синдромом. В результате возникает компрессия церебрального ствола. Дисфункция локализующихся в продолговатом мозге витальных центров дыхания и сердечной деятельности ведёт к гибели больного. Грозным осложнением является малигнизация пинеоцитомы. При злокачественной трансформации наблюдается интенсивный инвазивный рост опухоли, образование метастазов.
Диагностика
Анамнез заболевания (постепенное начало, неуклонное прогрессирование), клинические данные (признаки окклюзионной гидроцефалии, глазодвигательные нарушения в неврологическом статусе) позволяют неврологу предположить наличие объёмного образования в пинеальной области. С целью уточнения диагноза назначаются следующие дополнительные исследования:
- Консультация офтальмолога. Необходима для оценки остроты зрения, проведения периметрии, офтальмоскопии. Наблюдается умеренное снижение зрительной функции преимущественно за счёт диплопии. Зрительные поля сохранны. Офтальмоскопия определяет двусторонний отёк дисков зрительного нерва, свидетельствующий о выраженной внутричерепной гипертензии.
- Нейровизуализация. КТ, МРТ головного мозга визуализуют новообразование пинеальной локализации, выявляют окклюзию опухолью сильвиева водопровода, гидроцефалию. Пинеоцитома отличается чёткими контурами, при контрастировании — интенсивным гомогенным накоплением контрастного вещества. Отсутствие возможности проведения томографических исследований является показанием к эхоэнцефалографии, позволяющей определить объёмное образование по смещению серединного эхо-сигнала.
- Исследование цереброспинальной жидкости. Забор материала осуществляется путём ликворной пункции. Противопоказанием к исследованию является выраженная гидроцефалия с угрозой развития дислокации. Анализ ликвора подтверждает повышенное содержание белка, клеточных элементов (цитоз). Отсутствие воспалительной реакции позволяет исключить абсцесс головного мозга, прочие инфекционные поражения. Обнаружение опухолевых клеток свидетельствует о злокачественном характере пинеаломы.
- Биопсия новообразования. В большинстве случаев получение опухолевых тканей осуществляется интраоперационно, в сложных диагностических ситуациях проводится стереотаксическая биопсия. Гистологическое исследование дает возможность точно верифицировать тип новообразования.
- Электроэнцефалография. Выступает вспомогательным диагностическим методом в случае наличия эпиприступов. Диагностирует эпилептогенный очаг на фоне неспецифических диффузных изменений биоэлектрической активности.
Пинеоцитома нуждается в дифференцировке от других опухолей эпифиза (гермином, пинеобластом), церебральных кист, абсцессов, внутримозговых гематом, паразитарных поражений. Невозможно различить указанные образования, основываясь только на клинических данных. Диагноз «пинеоцитома» требует нейровизуализационного и гистологического подтверждения.
Лечение пинеоцитомы
Стандартным способом лечения доброкачественной пинеаломы является нейрохирургическое удаление. Операция производится нейрохирургом путём краниотомии с последующим инфратенториальным супрацеребеллярным доступом. При необходимости профилактики послеоперационной гидроцефалии удаление опухоли дополняют шунтирующей операцией, вентрикулоцистерностомией III желудочка. Если пинеоцитома имеет небольшой размер, рассматривается вопрос радиохирургического удаления. Полученные в ходе оперативного вмешательства ткани неоплазии подвергаются незамедлительному гистологическому анализу. Выявление промежуточной дифференцировки новообразования, процессов малигнизации служит показанием к послеоперационной лучевой и химиотерапии.
Нейрохирургическому лечению сопутствует симптоматическая консервативная терапия. Уменьшение гидроцефалии, профилактика отёка мозга осуществляется назначением мочегонных препаратов, инъекций магния сульфата. Многократная рвота купируется противорвотными средствами (метоклопрамидом), эпилептические пароксизмы — приёмом антиконвульсантов (диазепама, карбамазепина).
Прогноз и профилактика
Радикальная резекция новообразования даёт пациенту шанс навсегда избавиться от заболевания. При неполном удалении оставшиеся после операции опухолевые клетки могут стать источником рецидива. Малигнизирующаяся пинеоцитома имеет серьёзный прогноз, обусловленный развитием имплантационных метастазов. Специфическая профилактика не разработана, поскольку остаются неясными этиопатогенетические механизмы развития пинеоцитомы. К общим профилактическим мерам относится предупреждение воздействия онкогенных факторов: радиации, канцерогенов, токсинов, ведение здорового образа жизни будущими матерями.
Диагностика пинеоцитомы по КТ, МРТ
Статья написана по книге Власова Е.А. "Опухоли мозга. КТ- и МРТ-диагностика" посмотреть / заказать
Номенклатура
Опухоли нейроэпителиальной ткани / Опухоли пинеальной области / Пинеоцитома / МКБ/О 9361/1 (G I)
Определение
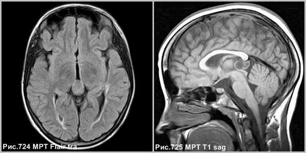
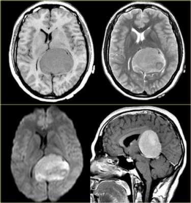
Пинеоцитома - доброкачественная опухоль, возникающая из ткани шишковидной железы, имеющая четкие контуры (рис.724, 725).

Эпидемиология
Менее 1% от всех опухолей ЦНС, 15-20% от всех опухолей пинеальной области, пик встречаемости 35 лет (интервал встречаемости 30-40 лет).
Морфология и биологическое поведение
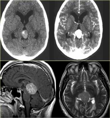
Пинеоцитома - доброкачественная опухоль, происходящая из паренхимы corpus pineale, хорошо ограниченное, инкапсулированное, медленно растущее, неинвазивное поражение. Опухоль может содержать кальцинаты по периферии [137]. Размеры образования могут быть различны, но это не связано с атипией опухоли. На КТ пинеоцитомы были описаны как → или слегка ↑, на МРТ это солидная фракция описывается, как ↓T1 и →Т2 [137].

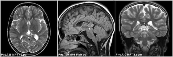
Объёмное образование шишковидной железы, представленное мягкотканным образованием с наличием капсулы (стрелки на рис.729, 730). Пинеоцитома может иметь кисты (головка стрелки на рис.728).
Контрастное усиление
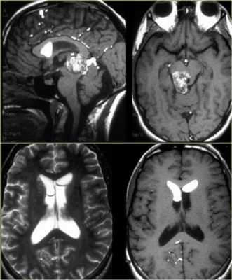
На КТ и МРТ солидные компоненты интенсивно накапливают контраст [34,43,49,53,130].

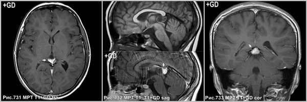
Интенсивное контрастирование солидных участков пинеоцитомы (стрелки на рис.731-733).
Дифференциальный диагноз
Герминома
Герминома - злокачественная, чаще солидная опухоль с петрификатом в центре, в то время как пинеоцитома обызвествляется по периферии. Герминома метастазирует и инфильтрирует таламусы.
Пинеобластома
Пинеобластома - первично злокачественная опухоль (как медуллобластома, ретинобластома или эпендимобластома, прежде входила в состав ПНЭО). Опухоль плохо отграничена, имеет инвазивный характер роста. Возникает в возрасте до 20 лет. Содержит кисты и некрозы, обычно крупная на момент первого исследования и осложненная гидроцефалией. Всегда имеются метастазы.
Киста шишковидной железы

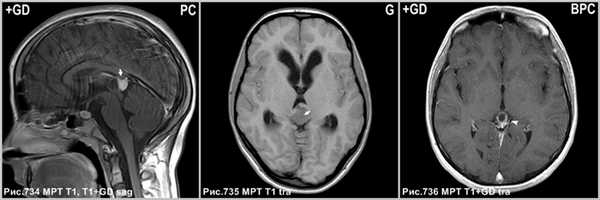
Постконтрастное Т1 демонстрирует накопление агента в солидном участке опухоли (стрелки на рис.734). В центре герминомы определяется петрификат (стрелка на рис.735) и отсутствующее обызвествление по периферии. Накопление контраста в стенке кисты шишковидной железы (головка стрелки на рис.736).
Клиническая картина, лечение и прогноз
В случае с большим размером опухоли возникает сдавление водопровода и развивается окклюзионная гидроцефалия. Пинеоцитомы не сопровождаются гиперактивным половым поведением.
Пинеоцитомы лечатся хирургическим путем и имеют отличный прогноз, когда достигается полная резекция (что бывает почти всегда, поскольку это хорошо отграниченные поражения).
Пятилетняя выживаемость 86%. Были представлены рецидивы и даже лептоменингеальные метастазы, но это редкость. Образование медленно растет, редко приобретает злокачественный тип роста, что проявляется кровоизлияниями, инфильтрацией.
На МРТ это проявляется ↑МР-сигналом по DWI, повышение показателей перфузии и пиком лактат-липидного комплекса на спектроскопии. В крови обнаруживается повышенное содержание мелатонина, основного гормона шишковидной железы.
Источник
Полная или частичная перепечатка данной статьи, разрешается при установке активной гиперссылки на первоисточник
- вы потеряли описание вашего МРТ или КТ,
- врача не устроило описание вашего МРТ или КТ
- вы сомненеваетесь в выводах по результатам вашего МРТ,
Похожие статьи
Глиобластома
Глиобластома - опухоль высокой степени злокачественности, гетерогенного строения с центральным некрозом, быстрым инфильтративным ростом, перифокальным отеком и наихудшим прогнозом среди всех глиом.
Опухоли ствола мозга
Глиома ствола мозга не является отдельной гистологической формой, а лишь отражает анатомическую локализацию неопластического поражения, в состав которого могут быть включены: диффузные и отграниченные астроцитомы, эмбриональные опухоли, эпендимома и глиобластома.
Липома
Интракраниальная липома - представляет собой, не вполне бластому в морфологическом и биологическом представлении, а скорее дисэмбриогенетический доброкачественный жировой депозит, без признаков изменения в динамике.
Герминома - самое частое образование шишковидной области, злокачественная, не инкапсулированная опухоль с высокой частотой метастазирования по оболочкам мозга, хорошо реагирующая на лучевую терапию.
Пинеобластома - первично злокачественная опухоль, без четких контуров с инвазивным типом роста, содержит кисты и некрозы, а так же сопровождается обструктивной гидроцефалией с расширением размеров желудочковой системы.
Метастазы опухолей в мозг
Метастазы - очаги периферического распространения злокачественной опухоли с характерными чертами округлого образования, множественности поражения, перифокального отёка и масс-эффекта.
Контрастное усилением метастазов в головном мозге
На сегодняшний день Т1 с контрастным усилением представляет собой лучший метод для обнаружения метастазов в головном мозге [4, 27, 151]. Повышение может быть однородным, точечным или кольцевидным, но оно, как правило, интенсивное [50].
Опухоли пинеальной области

Анатомия
Пинеальная зона — это сложная анатомическая часть, к которой относятся шишковидная железа, прилежащие мозговые структуры, ликворные пространства и сосуды.
Шишковидная железа располагается кзади от III желудочка мозга, кпереди и снизу от находится задняя спайка мозга, кпереди и сверху — comissura habenularum, ниже — четверохзолмная пластинка и водопровод мозга, а чуть выше и кзади — валик мозолистого тела.
Сразу за железой располагается четверохолмная цистерна. Распространяясь кпереди, эта цистерна образует velum interpositum, который лежит над шишковидной железой и идет кпереди под свод. Внутренние вены мозга и большая вена мозга находятся в непосредственной близости от пинеальной железы.
Клиника при образованиях шишковидной железы
- Внутричерепная гипертензия (компрессия водопровода, как следствие гидроцефалия).
- Синдром Parinaud (поражение среднего мозга).
- Мозжечковые расстройства.
- Эндокринная патология.
Эпидемиология
У взрослых опухоли пинеальной области составляют 0,5-1%, а у детей 3-8% от всех интракраниальных новообразований.
Классификация
- Кисты шишковидной железы
- Полость (киста) промежуточного паруса (лат. Cavum veli interpositi)
- Арахноидальная киста
- Пинеоцитома
- Пинеобластома
- Смешанные опухоли шишковидной железы
- Сосочковая опухоль шишковидной железы
- Герминома
- Тератома
- Хориокарцинома
- Тератома
- Хориокарцинома
- Эмбриональная карцинома
- Карцинома желточного мешка
- Смешанные герминативноклеточные опухоли
- Астроцитома
- Менингиома (около шишковидной железы)
- Метастазирование шишковидной железы
- Мальформация вены Галена
- Тромбоз внутренней мозговой вены
- a — Опухоль с преимущественной локализацией в четверохолмной цистерне с диаметром узла до 2,5 см — 10%
- b — Опухоль с преимущественным расположением в задних отделах III желудочка с диаметром узла до 2,5 см — 12%
- c — Опухоль средних размеров (комбинация вариантов 1 и 2) с диаметром опухолевого узла до 4 см — 32%
- d — Опухоль больших размеров, полностью занимающая четверохолмную цистерну и задние отделы III желудочка, нередко врастающая в один из боковых желудочков; максимальный размер 6-7 см — 41%
- e — Гигантская опухоль, практически полностью занимающая полость III желудочка, часть IV желудочка и врастающая в оба боковых желудочка; диаметр более 7 см — 5%

Схема взаиморасположения опухолей пинеальной области и четверохолмной пластинки.
- a — Опухоль лежит на четверохолмной пластинке, придавливая её к покрышке среднего мозга
- b — Опухоль растет из четверохолмной пластинки, при этом сама четверохолмная пластинка не дифференцируется (или определяется её остатки). В структуре покрышки среднего мозга грубых изменений нет.
- c — Опухоль врастает в просвет водопровода мозга через оральное отверстие, дислоцируя передние отделы четверохолмной пластинки в сторону четверохолмной цистерны. Диаметр каудального отверстия водопровода практически не изменен.
- d — Опухоль, располагающаяся в основном в просвете водопровода мозга, дислоцирует четверохолмную пластинку в сторону цистерны на всем протяжении. Каузальные отделы опухоли достигают IV желудочка.
- e — Опухоль располагается в задних отделах III желудочка, при этом задняя часть опухоли прилегает к оральным отделам водопровода мозга.

Пример менингиомы, локализующаяся рядом с шишковидной железой.

Пример типичного дермоида


Пример герминомы. Обратите внимание на гомогенное контрастирование и обызвествления.
Источник
- Radiology Assistant
- Коновалов А.Н, Корниенко В.Н., Пронин И.Н. — МРТ в нейрохирургии
- Radiopaedia
- 1. Smirniotopoulos JG, Rushing EJ, Mena H. Pineal region masses: differential diagnosis. Radiographics. 1992;12 (3): 577-96. Radiographics (abstract) — Pubmed citation
3. Ganti SR, Hilal SK, Stein BM et-al. CT of pineal region tumors. AJR Am J Roentgenol. 1986;146 (3): 451-8. AJR Am J Roentgenol (abstract) — Pubmed citation
Киста шишковидной железы
Кисты шишковидной железы (эпифиза) встречаются часто, протекают бессимптомно, и в большинстве случаев являются случайной находкой. Кисты, особенно большие и нетипично выглядящие, сложно отличить от кистозных опухолей, вследствие чего пациенты с подозрительными изменениями должны подвергаться длительному наблюдению. На КТ или МРТ киста шишковидной железы выглядит как однокамерное жидкостное образование с плотностью ликвора или с интенсивностью сигнала, как у ликвора. Периферическое контрастное усиление типично для большей части кист, кальцинаты в виде «ободка» обнаруживаются в 25% случаев.
Сделать МРТ шишковидной железы в Санкт-Петербурге
Причины кисты шишковидной железы?
Причины возникновения кисты шишковидной железы точно не известны. Она представляет собой врожденное состояние или может быть обусловлена нарушениями гормонального баланса.
Распространенность кисты шишковидной железы
Кистозная трансформация шишковидной железы обычно обнаруживается у молодых взрослых людей 20-30 лет, в три раза чаще у женщин. Как случайная находка кисты выявляются на МРТ головного мозга в 5% случаев и в 20-40% случаев при посмертном исследовании. В одном из исследований с использованием высокоразрешающей МРТ головного мозга бессимптомные кисты шишковидной железы были выявлены у 23% здоровых людей.
Симптомы кисты шишковидной железы
Подавляющее большинство кист шишковидной железы имеют малые размеры (в 80% случаев меньше 1 см) и характеризуются бессимптомным течением. Кисты, обуславливающие симптоматику, преимущественно возникают у женщин во второй половине жизни. Кисты большего размера могут обуславливать объемное воздействие на пластинку четверохолмия, приводя к сдавлению верхнего двухолмия и возникновению синдрома Парино. При сдавлении водопровода мозга, расположенным между третьим и четвертым желудочком, возможно развитие обструктивной гидроцефалии. Редко, в случае кровоизлияния в кисту, она может быстро увеличиваться в размерах. Это состояние называется апоплексией кисты шишковидного тела.
Киста шишковидной железы может обуславливать головную боль, нарушения зрения, невозможность перевести взгляд кверху или книзу. Редкие симптомы: атаксия, эмоциональные расстройства, нарушения мыслительной деятельности, головокружение, нарушения сна, тошнота, гормональный дисбаланс (раннее половое созревание, вторичный паркинсонизм).
Строение
Стенка кисты шишковидной железы состоит из трех концентрических слоев:
- Внутренний слой представлен фибриллярной глиальной тканью, часто с включениями гемосидерина
- Средний слой представляет собой паренхиму шишковидной железы с обызвествлениями или без таковых
- Тонкий наружный слой состоит из соединительной (фиброзной) ткани
Предполагается, что в образовании кист играют роль гормональные изменения, поскольку они чаще всего обнаруживаются у молодых женщин. С возрастом кисты вначале увеличиваются в размерах, а затем «сморщиваются». У мужчин эти образования остаются в стабильном состоянии длительное время. Кисты обычно содержат белковую жидкость, которая отличается от ликвора на томограммах; иногда в них обнаруживается кровь. Стенки кисты интенсивно накапливают контраст.
Как выглядит киста шишковидной железы на КТ и МРТ?
При компьютерной томографии визуализируется объемное образование с плотностью жидкости, с четко очерченными краями, и периферическими кальцинатами, обнаруживаемыми у 25% пациентов. Во многих случаях также наблюдается периферическое накопление контраста в кисте в виде тонкого и ровного «ободка». Киста нарушает ход внутренних вен мозга, смещает их кверху.

Киста шишковидной железы с типичным гиперинтенсивным сигналом на МРТ (Т2 ВИ) (отмечена синей стрелкой). Слева: аксиальная томограмма, справа - сагиттальная
На МРТ наблюдаются следующие признаки:
- Типичный изо- или гипоинтенсивный сигнал по сравнению с паренхимой головного мозга
- В 55-60% случаев гиперинтенсивный сигнал по сравнению с ликвором
- Сигнал обычно однородный
- Сигнал высокой интенсивности
- Обычно слегка менее интенсивный по сравнению с ликвором
- Сигнал высокой интенсивности, который часто не подавляется полностью
- Рестрикция диффузии отсутствует
- Примерно 60% кист накапливают контраст
- Накопление контраста в большинстве случаев происходит в виде тонкого (меньше 2 мм) и ровного «ободка» (полного или неполного)
- Возможно диффузное контрастное усиление жидкостного содержимого кисты препаратами на основе гадолиния в отсроченной фазе (60-90 минут), вследствие чего киста становится похожей на солидное объемное образование
- Редко может обнаруживаться нетипичное узловое контрастное усиление, также могут определяться признаки кровоизлияния в кисту
Как отличить кисту шишковидной железы от опухоли?
Кисту шишковидной железы, особенно в случае узлового контрастного усиления, невозможно отличить кистозной пинеоцитомы только на основании методов визуализации. В области шишковидного тела могут возникать также другие образования: папиллярная опухоль, герминома, эмбриональный рак, хориокарцинома, тератома, эпидермоидная киста, арахноидальная киста, аневризма вены Галена, метастазы.
Несмотря на то, что подобные случаи возникают редко, всегда лучше показать результаты исследования опытному нейрорадиологу. Перепроверка снимков КТ или МРТ поможет точнее разобраться в вопросе, есть ли подозрения на опухоль. Сегодня это можно сделать дистанционно, воспользовавшись сервисами Второго медицинского мнения, такими как Национальная телерадиологическая сеть.
Лечение кисты шишковидной железы
Прогноз
В большинстве случаев долговременный прогноз благоприятный. В одном из исследований, в котором приняли участие 32 человека, наблюдаемые в течение от 6 месяцев до 9 лет, увеличение размеров кист произошло у трех из них, размеры 75% кист остались теми же или уменьшились. Следовательно, кисты шишковидной железы без атипичных признаков не требуют выполнения КТ и МРТ с целью контроля; пациенты наблюдаются клинически. Пациенты с кистами размером 10-12 мм из-за сходства с кистозной пинеоцитомой должны наблюдаться на МРТ.
Читайте также:
