Диагностика сосудистой опухоли грудной клетки на рентгене, КТ, МРТ
Добавил пользователь Евгений Кузнецов Обновлено: 13.12.2025
В грудной клетке расположено множество жизненно важных органов, патологии которых сложно диагностировать классическими способами: они скрыты за костями грудины, ребрами, позвоночником, мягкими тканями. Информативным способом, который способен показать структуру, а также функциональность органов, расположенных здесь, врачи называют МРТ — магнитно-резонансную томографию с контрастом или без него. Метод идеально подходит для исследования находящихся внутри грудины органов, сосудов, желез, лимфоузлов, но наиболее эффективным его считают в диагностике опухолевых процессов.
Какие органы проверяют на МРТ грудной клетки?
Чтобы понять, что показывает МРТ грудной клетки, важно понимать суть метода. Он состоит в способности мощного магнитного поля провоцировать резонанс молекул водорода, который в больших количествах содержится в органах грудной клетки (сокращенно ОГК). Магнитно-резонансный томограф улавливает резонансные колебания и отображает их на теле-экране в виде серии монохромных снимков, представляющих собой срезы обследуемой области определенной толщины: чем мощнее МР-аппарат, тем «тоньше» срезы и точнее результаты. Также на основе полученных данных можно сделать трехмерную модель любой структуры, находящейся в полости груди.

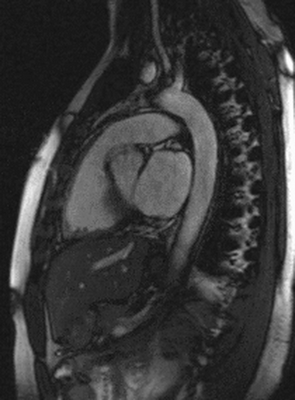
Магнитно-ядерная томография не очень информативна при исследовании костных тканей. Плохо видны на снимках и легкие, в которых слишком много воздуха. В процессе дыхания они двигаются, что не позволяет получить четкие изображения легочных тканей. Чтобы повысить четкость картинки, врач может попросить пациента во время сканирования периодически задерживать дыхание на вдохе. Та же проблема наблюдается при попытке проверить сердечную мышцу — ее ритмичные сокращения мешают обследовать миокард на патологии. Однако временно остановить сердце невозможно, поэтому оно фактически является единственным органом в груди, который проверяют с помощью так называемой синхронизации с пульсом/ЭКГ.
В медицинской практике МРТ грудной клетки делают, чтобы визуализировать следующие органы:
- плевру и ее полость;
- среднюю и нижнюю часть трахеи;
- легкие;
- перикард и сердце;
- диафрагму;
- лимфатические сосуды и узлы средостения;
- вилочковую железу;
- межпозвоночные диски грудного отдела позвоночника;
- спинной мозг в области грудного отдела позвоночника.
При использовании контрастного вещества список диагностируемых органов и структур расширяется за счет крупных и мелких кровеносных сосудов. С помощью этого дополнения МР-сканирование показывает не только строение кровеносной сети, но также особенности ее функционирования и изменения в скорости и направлении кровотока. Благодаря тому, что контраст хорошо накапливается в патологических новообразованиях, контрастное МРТ обладает высокой информативностью в диагностике опухолей органов средостения, включая легкие и лимфатическую систему.
Когда назначают МРТ органов грудной клетки?
Показаниями к проведению МРТ ОГК является подозрение на возникновение в этой области патологических процессов: воспалений, дегенеративных и атрофических изменений, опухолей, нарушений кровоснабжения и очагов инфекций, травм и врожденных пороков развития. Чаще всего магнитно-ядерное сканирование является очередным этапом диагностики, когда проведенные ранее исследования (УЗИ, КТ или рентгенография) выявили аномалии, но не помогли врачу определить конкретное заболевание.
В число прямых показаний к проведению диагностики этим методом включены:
- состояния, указывающие на пороки клапанной системы сердца, атрофию или дистрофию миокарда, прочие врожденные или приобретенные кардиопатологии;
- явные гемодинамические нарушения, которые являются симптомом атеросклероза крупнейших артерий, аневризмы аорты и других сосудистых заболеваний;
- симптомы воспалительных и инфекционных процессов в дыхательной системе — хронический кашель, отхаркивание мокроты с кровью или гноем, затрудненное дыхание, одышка или приступы удушья;
- симптомы опухолевых процессов в грудной клетке — тупые хронические боли, затрудненное дыхание, сухой хронический кашель, резкая потеря веса и т. д.;
- признаки патологий спинного мозга в грудном отделе позвоночника — нарушение чувствительности и двигательной активности верхнего плечевого пояса, хронические головные боли, опоясывающие боли в области груди, нарушения дыхания, не связанные с заболеваниями легких;
- подозрение на заболевания лимфатической системы в области исследования.
В ряде случаев даже при наличии показаний МРТ груди из-за противопоказаний. К абсолютным относятся:
- наличие в организме несъемных металлических элементов — кардиостимулятора, инсулиновой помпы, стентов и клипс на сосудах;
- несъемные металлические зубные протезы из ферромагнитных сплавов;
- первая треть беременности;
- психические нарушения, при которых человек не может соблюдать неподвижность или находиться в замкнутом пространстве;
- вес обследуемого больше 120 кг.
В число относительных противопоказаний включены клаустрофобия, состояние сразу после получения травмы, когда больного беспокоит сильная боль, не дающая соблюдать спокойствие. Чтобы боль прошла, а пациент смог расслабиться и сохранять неподвижность, перед проведением процедуры ему вводят седацию или наркоз. Есть у метода и другие относительные противопоказания. Узнать, делают ли МРТ органов грудной клетки при имеющихся проблемах со здоровьем, можно у рентгенолога накануне исследования.
Подготовка к МРТ грудной полости
Стандартное обследование без контрастирования не требует специальной подготовки. Достаточно консультации с врачом, который будет проводить диагностику. Во время нее ему необходимо проверить, есть ли у пациента безусловные или относительные противопоказания к проведению сканирования. Женщинам дополнительно рекомендуется сделать незадолго до МРТ тест на беременность, чтобы убедиться в ее отсутствии. Пациентам с неуравновешенной психикой, страхом замкнутого пространства, повышенной тревожностью врач посоветует за 1-2 часа до МРТ принять успокоительное средство.

В отличие от описанного выше случая, подготовка к контрастной томографии выглядит не так просто. Так как вводимый препарат может спровоцировать тошноту, за несколько часов до диагностики пациентам рекомендуется воздержаться от еды и питья. Также следует проконсультироваться с рентгенологом относительно постоянно принимаемых лекарств: некоторые препараты могут быть несовместимыми с контрастирующими веществами.
Непосредственно перед процедурой специалист расскажет, как проходит МР-сканирование, сколько по времени оно занимает, что можно почувствовать во время работы томографа. Также он попросит снять сковывающую движения, имеющую металлическую фурнитуру одежду, аксессуары, украшения и пирсинг, оставить в раздевалке телефон, часы и другие устройства.
Как делают МРТ грудной клетки?
Если в процессе подготовки не выявлено противопоказаний, приступают к проведению МР-сканирования. Пациента укладывают на подвижный стол томографа и фиксируют его в нужном положении с помощью ремней и мягких валиков. При необходимости обследуемому вводят необходимое количество контраста (рассчитывается исходя из массы тела).
Медсестра подтверждает, что посмотрела и убедилась в отсутствии на теле пациента металлических предметов, после чего она с врачом покидает помещение с томографом. Общение с обследуемым с этого момента продолжается по громкой связи. Врач включает томограф, стол задвигается в кольцо аппарата и начинается сканирование.
Диагностика без контрастирования длится около получаса. При введении контраста МРТ грудной клетки продолжается на 15 минут дольше. В редких случаях врачу потребуется сделать повторное сканирование, если снимки получились смазанные, что удлинит время процедуры еще на 10-15 минут.
После окончания сканирования пациент может сразу встать, одеться и покинуть кабинет. Заключение и расшифровка МРТ патологий в области грудной клетки обычно занимают около часа. Получить их можно в электронном виде на флешке или в распечатанном виде. Получить их можно как на руки, так и по электронной почте.
Что лучше МРТ или КТ грудной клетки?
Однозначно назвать один из методов — МРТ или КТ — лучшим для диагностики патологий органов грудной клетки, нельзя. Они имеют принципиальные отличия и используются для обследования разных по структуре тканей и органов.
МРТ идеально определяет отклонения мягких тканей и находящихся в грудной клетке органов. Наиболее информативен этот метод для выявления опухолей, особенно злокачественных, нарушений гемодинамики. Преимуществами метода врачи называют:
- отсутствие лучевой нагрузки, благодаря чему метод можно использовать несколько раз подряд, например, для отслеживания динамики после курса лечения и операции;
- высокая четкость картинки;
- возможность дифференцировать доброкачественные и злокачественные опухоли.
В список недостатков МРТ при обследовании грудной клетки входят неэффективность метода при диагностике патологий костных тканей (ребер и позвоночника), а также легких — на снимках не видны признаки пневмонии, переломы и трещины костей. При подозрении на наличие аномалий в этих структурах лучше делать компьютерную томографию.
Что показывает КТ грудной клетки, подготовка, показания и противопоказания

КТ органов грудной клетки - усовершенствованный способ рентгенографической визуализации, который использует излучение для создания детальных изображений грудины, грудино-ключичных суставов, ребер, прилежащих мягких тканей и органов (в первую очередь, легких).
Исследование проводят, если после выполненной обычной рентгенографии причина жалоб осталась неясной или есть подозрение на патологический процесс в данной области. Компьютерная томография органов грудной клетки может быть выполнена в качестве альтернативы МРТ, если у пациента есть противопоказания к проведению магнитно-резонансного сканирования. Для лучшей визуализации возможно введение контрастного вещества. Основным преимуществом КТ является его способность одновременно демонстрировать кости, мягкие ткани (при контрастировании) и кровеносные сосуды.
Что показывает КТ грудной клетки

Мультиспиральная КТ грудной клетки, 3D-реконструкция
Специалисты выделяют в средостении три области: центральное (сосудистое пространство с перикардом и его содержимым, сосудами и лимфатическими узлами), переднее (жировая клетчатка, вилочковая железа, внутренние грудные артерии и лимфоидные ткани) и заднее (трахея, пищевод, нисходящая часть грудной аорты, лимфоузлы и паравертебральные пространства грудной клетки). Соответственно, все патологические процессы, которые протекают в данных зонах, могут быть видны.
Грудина, ребра и их сочленения - основные структуры передней стенки грудной клетки - подвержены различным анатомическим аномалиям и патологическим процессам, которые в некоторых случаях требуют лечения. Врач обосновано направит на диагностическую процедуру, если у пациента имеет место необъяснимый длительный кашель, загрудинные боли, кровохарканье, увеличение регионарных лимфоузлов, ограничение в движении плеча, скованность в области грудного отдела позвоночника и др. КТ органов грудной клетки и средостения может показать следующие изменения:
Остеоартроз (остеоартрит) - распространенная патология, затрагивающая чаще грудино-ключичные суставы. На компьютерной томограмме, в отличие от рентгенограммы, можно увидеть субхондральный склероз, кисты, сужение суставной щели и изменения в волокнистой хрящевой ткани диска. Серонегативные артриты, подагра и некоторые иные заболевания также могут затрагивать соединения отделов грудины между собой и с окружающими костными структурами, что убедительно видно на КТ.
Ранняя диагностика септического артрита грудино-ключичного сустава важна для своевременного начала лечения, так как существует высокий риск осложнений - целлюлита, остеомиелита, медиастинита, септического шока. В запущенных случаях можно увидеть абсцесс и формирование свищевого хода. Изменения, которые видны при КТ органов грудной клетки, включают воспалительные процессы в твердых структурах (разрушение суставных поверхностей, расширение суставной щели), в органах и тканях (диффузная инфильтрация, скопление жидкости, газа, размытость границ, реактивное увеличение лимфоузлов). Осложнившуюся пневмонию, плеврит, абсцесс легкого и мягких тканей грудной клетки можно диагностировать с помощью КТ. Исследование также показывает изменения со стороны сердца и клапанного аппарата.
Острые и травматические состояния.
В результате сильного физического воздействия (чаще - вследствие ДТП) возникают один или несколько переломов грудины. Компьютерная томография позволяет диагностировать сочетанные травмы (повреждения ребер, грудного отдела позвоночника, легких и сердца) и осложнения (легочные ателектазы, гемо- и пневмоторакс, гемоперикард). Спонтанные переломы грудины возникают при наличии новообразования (множественная миелома, метастазирование), остеопороза и могут имитировать острые коронарные заболевания. С помощью КТ грудной клетки возможна диагностика врожденных аномалий сосудов или приобретенных патологий: тромбоэмболии легочной артерии, диссекции аорты и пр. По данным КТ ОГК выявляют причины ишемии, дисфункцию сердечных клапанов.
После выполнения стернотомии (операция обеспечивает лучший доступ к сердцу) есть вероятность осложнений: расхождения краев раны, вторичный остеомиелит грудины или ребер, медиастинит и медиастинальная гематома, плевральный выпот. После хирургических вмешательств на сердце и сосудах могут развиться неблагоприятные последствия (инфицирование электродов кардиостимулятора, инфекционно-воспалительные осложнения и пр.). Эти состояния с помощью КТ дифференцируют с нормальными послеоперационными изменениями. У таких пациентов выполняют компьютерное сканирование в динамике. Осложнения могут присутствовать и после вмешательств на легких и прочих структурах. В экстренных ситуациях преимущество КТ - быстрота получения результатов.
Новообразования и метастазирование.
Большинство неопластических процессов грудины носит метастатический характер, что объясняется прямым проникновением из соседних органов или гематогенным путем. Рак молочной и щитовидной желез, легкого, почки, толстой кишки и лимфомы - самые распространенные источники метастазов грудины. КТ грудной клетки с контрастом - золотой стандарт в диагностике рака легких, позволяет увидеть изменения на начальной стадии, при которой возможно радикальное лечение. Компьютерное сканирование показывает также новообразования средостения, которые многообразны по морфологии и генезу. Наиболее часто встречаются тимомы, кисты, нейрогенные опухоли, злокачественные лимфомы. С помощью сканирования при дисфагии можно предположить рак пищевода, но во всех случаях окнчательный диагноз подтверждает морфологическое исследование.
Нередко пациенты задают вопрос: “Что сделать - КТ или МРТ органов грудной клетки?” К каждому исследованию есть свои показания и противопоказания, но способы часто являются взаимодополняющими. Специалисты диагностического центра могут подсказать, что предпочтительнее в каждом конкретном случае, но лучше, если на руках будет направление от лечащего врача.
Как делают КТ органов грудной клетки

Положение пациента во время КТ грудной клетки
На диагностическую процедуру необходимо предварительно записаться, но возможно выполнение в день обращения, по жизненным показаниям. Современные КТ-сканеры могут исследовать большие участки тела всего за несколько секунд, что особенно подходит для пациентов, испытывающих трудности с длительной неподвижностью и маленьких детей. Рентген-техник размещает пациента на столе, для обеспечения неподвижности возможно использование фиксирующих ремней и подушек. Излишняя мобильность приводит к появлению размытости на изображениях. Наблюдение за ходом процедуры ведется из смежного кабинета, через стекло. Для экстренных случаев есть кнопка связи с персоналом. Стол с пациентом скользит вглубь томографа, вокруг тела начинает вращаться множество рентгеновских датчиков, передавая изображения поперечного сечения грудной клетки на экран монитора. Снимки с помощью специальной компьютерной программы могут быть переформатированы в другие плоскости. Полученные в результате диагностики данные легко перенести на любой носитель или распечатать. Неприятных ощущений во время КТ органов грудной клетки и средостения нет, технический шум, который производит работающее оборудование, можно нивелировать, если воспользоваться наушниками. Сканирование длится менее минуты, вся процедура с подготовкой и укладкой занимает не более получаса.
Для улучшения визуализации в некоторых случаях (преимущественно, в диагностике злокачественных новообразований и для оценки динамики после проведения химиолучевой терапии) выполняют КТ органов грудной клетки с контрастом. Препарат вводят внутривенно, перед этим обязательно оценивают уровень креатинина в крови. Усиленная радиофармпрепаратом компьютерная томография помогает уточнить диагноз при туберкулезе (количество очагов, их расположение, состояние лимфоузлов), но окончательная верификация происходит после оценки результатов комплексного обследования (пробы Манту, диаскинтеста, и, при необходимости, биопсии). Воспаление и повреждение паренхимы легких обычно хорошо видны на КТ без контрастного усиления. Если есть опасения по поводу осложнений, радиофармпрепарат может помочь дополнительно определить степень выраженности патологического процесса.
КТ органов грудной клетки детям проводят исключительно по жизненным показаниям в специальных диагностических центрах при педиатрических клиниках.
Подготовка к исследованию

Перед прохождением диагностики убедитесь в отсутствии противопоказаний
Каких-либо длительных мероприятий подготовка к КТ грудины не подразумевает, для нативного исследования достаточно выбрать удобную одежду без металла, снять украшения. Если предстоит введение контрастного вещества, за 40-50 минут до начала процедуры необходимо неплотно перекусить, что поможет предотвратить или уменьшить вегетативные реакции (легкую тошноту, слюнотечение, головокружение). Пациенты, страдающие сахарным диабетом и принимающие Метформин, по согласованию с эндокринологом должны отказаться от препарата за 48 часов до процедуры. Во время лактации рекомендуют сделать запас молока на два кормления.
Показания и противопоказания к КТ грудины
КТ грудины входит в компьютерное сканирование грудной клетки. Диагностика не является рутинным методом обследования и выполняется, если причина заболевания остается неясной или изменения на рентгенограммах требуют уточнения.
Перечислим основные показания к КТ грудины и грудной клетки:
подозрение на патологический процесс в легких, плевре, сердце, грудине, суставах, средостении;
пред- и послеоперационное обследование;
определение зоны для лучевого воздействия при злокачественных новообразованиях соответствующей области;
отслеживание динамики после проведенного лечения.
Противопоказания к КТ грудины и грудной полости
Современная аппаратура позволяет минимизировать лучевую нагрузку по сравнению с обычной рентгенографией в 1,5-2 раза: КТ ОГК безопасна для большинства людей. Исключение - беременные женщины и дети в возрасте до 14 лет. По техническим причинам диагностическая процедура невыполнима у пациентов с выраженным ожирением (выше 150 кг).
Противопоказания к выполнению контрастирования:
хроническая почечная недостаточность с повышением уровня креатинина;
Введение индикаторного препарата недопустимо, если во время или после предыдущего контрастирования развилась серьезная реакция гиперчувствительности по типу отека Квинке или анафилаксии. Небольшая тошнота, металлический привкус, головокружение, приливы жара рассматриваются как вариант нормы и не являются противопоказаниями к КТ с усилением.
Фото томографии грудной клетки
Расшифровка снимков происходит в тот же день. Полученные изображения анализирует врач-рентгенолог, который и выдает заключение. Определить верный диагноз непросто, ведь среди нескольких десятков оттенков черного, серого и белого необходимо вычленить несоответствующий норме и интерпретировать результат. Представим Вашему вниманию несколько фото томографии грудной клетки:

КТ без контраста у пациента с интерстициальным заболеванием легких в анамнезе и трансплантацией правого легкого показывает суженный участок анастомоза правого бронха (красная стрелка). Собственное левое легкое уменьшено в размерах, с признаками бронхоэктазов, бронхиолоэктазов (черная стрелка). Сужение центрального дыхательного пути на выдохе у трансплантированного легкого (синяя стрелка).

Выпот (красные стрелки) в обеих плевральных полостях.
КТ органов грудной клетки, что показывает, с контрастом или без

КТ органов грудной клетки - высокоинформативное рентгенологическое исследование, которое позволяет установить диагноз в самых тяжелых случаях. Врач назначает компьютерное сканирование, если есть жалобы со стороны сердца, легких, костно-суставных структур данной области, подозрение на опухолевый процесс и пр. КТ грудной клетки может выполняться нативно (без усиления), этого достаточно для оценки легких, но необходимость четкой визуализации сосудов, новообразований и степени их инвазии (проникновения в соседние ткани) подразумевает введение контрастного препарата.
Что показывает КТ
КТ органов грудной клетки показывает патологические процессы в средостении, легких, последствия травм, состояние лимфоидной ткани, индивидуальные анатомические особенности, которые помогают в планировании операции и пр. С помощью КТ можно наблюдать за болезнью в динамике, в том числе после выполненной терапии.
МРТ или КТ органов грудной клетки
Часто пациентов волнует вопрос: “Что лучше - КТ или МРТ?” Специалисты считают, что эти два исследования дополняют друг друга. Компьютерное сканирование подразумевает использование рентгеновского облучения, а при МРТ изображения получают благодаря магнитному полю. Лучевая нагрузка на организм нежелательна в период гестации и в детском возрасте до 14 лет, а магнитно-резонансное обследование невозможно сделать пациентам с установленными имплантами (кардиостимуляторами, инсулиновыми помпами, ортопротезами и пр.). КТ длится несколько минут, что делает ее незаменимой в ургентных ситуациях - при травмах, кровотечении, сердечно-сосудистых катастрофах.
В КТ органов грудной клетки входит оценка следующих органов и структур:
трахеи, бронхов, легких и плевры;
сердца и сосудов;
грудины, ребер и грудного отдела позвоночника;
Эти же структуры видны на МР-томограммах, но в диагностике патологий костной ткани КТ остается исследованием выбора.

В клинике “Магнит” установлен современный и безопасный томограф Siemens Somatom Emotion (16-срезовой)
В назначенное время пациента укладывают на стол томографа в горизонтальное положение. Для обеспечения неподвижности могут использовать фиксирующие ремни и валики, это необходимо для предотвращения артефактов (дефектов) на пленках, которые затрудняют диагностику. Если КТ органов грудной клетки (ОГК) выполняют с контрастированием - вводят внутривенно фармпрепарат одномоментно или болюсно (с помощью инжектора, который подает усилитель в определенные фазы исследования).
Стол перемещает пациента вглубь томографа, внутри кольца которого вокруг исследуемой области начинают вращаться датчики, улавливающие ответ органов и систем на ионизирующий поток частиц, испускаемых лучевой трубкой. Данные передаются на компьютер, а специальная программа выстраивает изображения. Современная МСКТ (мультиспиральная компьютерная томография), использующая множество детекторов, позволяет минимизировать лучевую нагрузку, что делает безопасным прохождение обследования для большинства пациентов. Болевых ощущений нет, для нивелирования механического шума от работы оборудования можно воспользоваться наушниками. Общение с персоналом проходит по громкой связи, под рукой есть ”тревожная кнопка”. Исследование занимает 15-20 минут, после КТ органов грудной клетки пациент может заниматься привычными делами.
КТ органов грудной клетки при туберкулезе
Очаговые изменения на КТ легких, подозрительные на туберкулезное поражение (выделено красным)
Туберкулез поражает пациентов любого возраста и пола, легкие вовлекаются в процесс наиболее часто. Болезнь считают социально опасной, так как при несвоевременной диагностике открытой формы (выделение микобактерий в окружающую среду при кашле) высок риск инфицирования окружающих людей. КТ органов грудной клетки при туберкулезе назначают в следующих ситуациях:
скрининговая рентгенография показала подозрительные на рассматриваемую патологию изменения;
у пациента положительные результаты лабораторных анализов на туберкулез (проба Манту, диаскинтест) при неоднозначных признаках на флюорограмме;
отслеживание динамики после проведенной специфической терапии;
в качестве предоперационной диагностики для выявления анатомических особенностей кровоснабжения и иннервации очагов, локализации патологии.
КТ органов грудной клетки с контрастированием

Болюсное контрастирование позволяет получить высококачественные томограммы, обеспечивая поступление препарата в нужные фазы исследования
Введение контраста при КТ - необходимая мера, если запланировано исследовать сосуды, мягкие ткани, выяснить местоположение опухоли и ее взаимоотношения с близлежащими структурами или метастазирование. МРТ для диагностики неопластических процессов предпочтительнее, но компьютерная томография помогает установить причину, когда к проведению магнитного сканирования есть противопоказания. КТ органов грудной клетки с контрастом способствует получению более информативных томограмм для оценки патологий сосудов. Выполнить дифференциальную диагностику заболеваний, анализируя результаты снимков, полученных после усиления, легче. Врачам часто приходится по данным КТ ОГК различать изменения, типичные для туберкулезной каверны, от раковой опухоли, бронхоплевральный свищ от абсцесса легкого, эмфизему от напряженной кисты и пр.
Подготовка к КТ органов грудной клетки с контрастом:
сдача анализа крови на уровень креатинина (можно сделать экспресс-методом за дополнительную плату перед исследованием в диагностическом центре “Магнит”);
перерыв в приеме сахароснижающих препаратов (Метформин и его аналоги) после разрешения эндокринолога;
отказ от лактации на 12 часов после выполнения КТ органов грудной клетки с введением контраста и предварительный запас молока на два последующих кормления.
КТ органов грудной клетки средостения
В центральной части грудной полости может развиваться множество патологий, которым необходима рентгенологическая оценка. КТ органов средостения - синонимичное название компьютерного сканирования грудной клетки: на томограммах видны все структуры, заключенные внутри реберно-грудинного каркаса.
КТ органов грудной клетки детям

КТ детям проводят в исключительных ситуациях, угрожающих жизни
Низкодозовую КТ органов грудной клетки детям выполняют по жизненным показаниям, если другие, не связанные с рентгеновским облучением, способы визуализации недоступны. Направление на КТ ребенку выдает консилиум врачей, чаще диагностику выполняют во время госпитализации в профильные педиатрические клиники. Основные причины для прохождения компьютерной томографии у детей:
опухоль органов грудной полости;
легочная форма туберкулеза;
диагностика врожденных пороков развития респираторных путей;
вдыхание инородного тела.
Обеспечение неподвижности во время исследования в несознательном возрасте требует выполнения седации. Диагностическая процедура проходит под наблюдением реаниматолога-анестезиолога.

Неплотный прием пищи предотвратит неприятные ощущения, которые могут развиться на введение контрастного препарата
Нативная КТ ОГК в экстренной ситуации может выполняться без всякой подготовки, но напомним о некоторых нюансах, которые сделают диагностическую процедуру более комфортной и информативной:
Одежда. Учитывая, что придется несколько минут лежать на столе, для удобства выберите просторное платье, свободные брюки и свитер. Если после КТ необходимо вернуться на работу, подразумевающую дресс-код, перед исследованием можно переодеться в специальный одноразовый халат. Все металлические детали (включая украшения, косточки бюстгальтера, пирсинг) приводят к появлению артефактов, поэтому их снимают перед процедурой.
Еда. Не стоит объедаться перед исследованием. На это есть две причины: переполненный желудок приведет к дискомфорту, сдавит органы грудной полости и сделает невозможным введение контраста из-за риска рвоты. Даже если Вы идете на КТ ОГК без усиления, часто после оценки нативных томограмм (при визуализации подозрительных объектов), может потребоваться контрастирование. Нельзя приходить на обследование голодным: фармпрепарат провоцирует развитие у некоторых людей вегетативных реакций: тошноты, слюноотечения, головокружения, поэтому оптимальным будет легкий завтрак.
Все выписные эпикризы, результаты предыдущих исследований и направление от врача возьмите с собой.
Показания и противопоказания

Врач перед направлением на рентгеновское исследование учитывает соотношение риска и пользы от диагностики
Показания к КТ органов грудной клетки - жалобы со стороны легких и органов и структур средостения, которые нельзя трактовать однозначно после оценки результатов первичных исследований: рентгенографии, УЗИ и пр. КТ ОГК можно сделать в качестве дополнительной диагностики, если есть:
кровохарканье, одышка, снижение дыхательных экскурсий грудной клетки, кашель, хрипы;
ограничение подвижности и боль в суставах плечевого пояса, грудного отдела позвоночника, пальпируемые образования и посттравматические боли в области грудной клетки, крепитации ребер (характерный хрустящий звук при переломах) и пр.;
затрудненность при глотании, в случае подозрения на стеноз пищевода;
загрудинные боли, усиливающиеся при движении, чувство нехватки воздуха;
увеличение шейных, надключичных и подключичных лимфатических узлов.
Противопоказания
Компьютерная томография не является преимущественным исследованием для беременных и детей младше 14 лет. КТ с контрастом стараются не проводить этой категории лиц и пациентам с отягощенным анамнезом, в который входит:
гиперфункция щитовидной железы;
аллергия на йодсодержащие вещества;
урологическая и нефрологическая патология с нарушением функции почек;
сердечно-сосудистые заболевания в стадии декомпенсации.
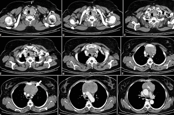
Результат КТ ОГК будет готов через 90-120 минут, в диагностическом центре “Магнит” в СПб полученные данные в сомнительных ситуациях оцениваются коллегиально. Представим на обозрение несколько томограмм, которые демонстрируют патологические процессы в грудной клетке:

КТ органов грудной клетки демонстрирует опухоль средостения (границы выделены маркерами)
МРТ грудной клетки, что показывает?

Органы грудной клетки схематично
Магнитно-резонансная томография позволяет изучить структуру внутренних органов. Метод дает исчерпывающую информацию о состоянии мягких тканей и менее показателен в отношении костей. МР-диагностику назначают для выявления заболеваний органов грудной клетки. Сканирование в большинстве случаев не является методом выбора для обследования легких, однако позволяет хорошо визуализировать трахею, бронхи, плевру, сердце, тимус, крупные кровеносные и лимфатические сосуды. От того, что показывает МРТ грудной клетки, часто зависит окончательный диагноз. Метод применяют как альтернативу и дополнение к КТ, рентгенографии или УЗДГ (ультразвуковое исследование) сердца.
Делают ли МРТ органов грудной клетки?
Низкая информативность МР-сканирования относительно легких обоснована содержанием в их структуре большого количества воздуха. Из-за малой концентрации водорода и постоянного движения снимки получаются нечеткими. Однако магнитно-резонансная томография позволяет выявить опухоли в дыхательной системе, очаги воспаления, фиброзного перерождения или некроза. С ее помощью исследуют органы средостения.
Чаще всего МР-сканирование рекомендуют как дообследование при обнаружении каких-то отклонений другими методами (при неясном затемнении на рентгенограмме легких и пр.). Показаниями для МРТ грудной клетки являются:
- подозрения на патологии сердца (врожденные и приобретенные пороки клапанов, аномалии строения мышечной части органа, диагностика постинфарктных осложнений и пр.);
- нарушения гемодинамики в крупных венах и артериях;
- контроль кровообращения после операций на сосудах, в том числе сердца;
- сомнительные результаты рентгенографии и/или КТ легких (детальное изучение плевры, подозрение на абсцессы, опухоли и пр.);
- диагностика состояния лимфатической системы;
- подозрение на опухоли органов грудной клетки и контроль распространения метастазов в эту область;
- уточнение характера воспалительных изменений в исследуемой зоне;
- подозрения на скопление жидкости в плевральной полости;
- необходимость обследования органов грудной полости при противопоказаниях к КТ и пр.

МР-сканирование органов грудной клетки
Процедуру нельзя проводить при наличии кардиостимулятора или дефибриллятора, инсулиновой помпы. Противопоказанием считают присутствие в теле любых металлических имплантов. Если такие есть, всем пациентам диагностической клиники «Магнит» необходимо предоставить документ из медучреждения, где проводили операцию, с подробным описанием материала. У некоторых людей возникает интерес: «Делают ли МРТ грудной клетки после стентирования?» Данный вопрос решают в индивидуальном порядке. Обычно диагностику можно проводить через полгода после установки стента. Относительными противопоказаниями для МРТ признаны:
- первый триместр беременности;
- боязнь замкнутого пространства (клаустрофобия);
- возраст пациента до 5 лет из-за невозможности ребенка находиться длительно в неподвижном состоянии; ;
- психические заболевания;
- неврологические нарушения или острая боль.
Женщинам, которые вынашивают ребенка в первом триместре, необходимо проконсультироваться с гинекологом и, по возможности, перенести обследование на более поздний срок. При клаустрофобии и избыточной массе тела диагностику проводят на аппаратах открытого типа. Детям, а также пациентам с острой болью, обследование делают под седацией или наркозом в условиях больницы.
Что входит в МРТ органов грудной клетки?
Результатом МР-сканирования являются послойные снимки (срезы) исследуемой области в трех взаимноперпендикулярных плоскостях. Наличие специального программного обеспечения помогает построить на основании них объемные изображения. МРТ органов грудной клетки и средостения позволяет изучить:
- плевру и плевральную полость;
- легкие;
- нижнюю часть трахеи;
- вилочковую железу (тимус);
- сердце и перикард;
- крупные лимфатические сосуды;
- ребра;
- грудной отдел позвоночника и спинной мозг на этом уровне;
- диафрагму.
Контрастное сканирование дает информацию о скорости кровотока, состоянии сосудистых стенок, проходимости артерий и вен. Метод незаменим для диагностики, контроля развития и эффективности лечения опухолевых заболеваний.

МРТ органов средостения и легких
Подготовка к МРТ грудной полости
Нативная магнитно-резонансная томография не требует специфической подготовки. При необходимости контрастирования следует неплотно перекусить за 45 минут до сканирования.
В диагностической клинике «Магнит» процедуру проводят по предварительной записи. Пациенту следует прийти на 5-10 минут раньше назначенного времени, чтобы без спешки заполнить документы.
Подготовка подразумевает консультацию с рентгенологом. Врач задает вопросы относительно цели исследования, наличия у пациента противопоказаний. Если таковых не выявлено, человека проводят в раздевалку. Здесь он должен снять украшения (заколки, очки, кольца, серьги, цепочки, пирсинг), одежду с металлическими вставками или фурнитурой, оставить электронные устройства (телефон, часы, плеер и пр.).
Тревожные пациенты могут испытывать страх или дискомфорт во время проведения исследования, плохо себя чувствовать после завершения процедуры. Во избежание неприятных явлений практикуют применение седативных препаратов перед исследованием, но только по рекомендации и назначению врача. Пациенту необходимо сообщить рентгенологу о склонности к тревоге заранее.
Как делают МРТ грудной клетки?
После подготовки пациента проводят в диагностический кабинет. Здесь выполняется следующее:
- человек укладывается на платформу томографа. Транспортер перемещается так, чтобы область исследования оказалась в центре рамки аппарата;
- рентген-лаборант фиксирует положение больного, при необходимости подкладывает валики, предлагает воспользоваться наушниками, объясняет правила поведения во время процедуры, дает в руки кнопку для экстренной связи;
- рентгенолог выходит из кабинета, проверяет исправность громкой связи. Напоминает пациенту о необходимости не двигаться и включает томограф. Исследование длится 20-30 минут. Введение контраста продляет процедуру на 10-15 минут;
- по окончании исследования пациенту помогают встать. Человек проходит в раздевалку, забирает свои личные вещи.
Подождать результаты можно в комнате для отдыха. Их подготовка длится 15-60 минут. Пациент получает заключение на бумаге и цифровой носитель со снимками. При личной консультации рентгенолог дает больному пояснения. Если Вы заранее оставили свой адрес электронной почты, результаты исследования будут направлены и туда.

МРТ органов грудной клетки
КТ или МРТ грудной клетки, что лучше?
Для изучения состояния сердца (при ряде патологий), тимуса, аорты, нижнего отдела пищевода, спинного мозга, а также отдельных заболеваний позвоночника рекомендована магнитно-резонансная томография. Преимущества метода:
- высокая информативность;
- точность;
- безопасность;
- безболезненность;
- возможность многократного обследования;
- отсутствие лучевой нагрузки.
Недостатками МР-диагностики являются высокая стоимость, временные затраты, малая информативность относительно костной ткани (касательно переломов и пр.) и легких.
Компьютерная томография предпочтительна при подозрениях на патологии костей, сосудов и дыхательных органов. К преимуществам метода относят скорость проведения диагностики, информативность и точность. Недостатками считают — лучевую нагрузку, ограничения относительно кратности проведения, нецелесообразность выполнения при патологиях мягких тканей.
Патология сердца требуют особого подхода и использования разных методов инструментальной диагностики - МРТ, КТ и УЗИ - в зависимости от предполагаемого процесса. В МЦ “Магнит” МРТ и КТ сердца не выполняют.
При диагностике заболеваний органов грудной клетки все методы исследования являются взаимодополняющими. В спорных и сомнительных ситуациях назначают КТ, МРТ и УЗИ, чтобы получить максимум сведений и установить точный диагноз.
Пациенты диагностической клиники «Магнит» могут воспользоваться услугой «Второе мнение». Она подразумевает изучение результатов сканирования и составление заключения еще одним рентгенологом. Мнение другого врача актуально при длительном анамнезе, подозрении на серьезные (онкологические и пр.) заболевания или в спорных клинических ситуациях, когда возникают трудности с постановкой диагноза.
МРТ грудной клетки играет огромную роль при диагностике заболеваний жизненно важных органов. Методику применяют в онкологии, кардиологии, сосудистой хирургии, иммунологии, пульмонологии. Подробные снимки позволяют врачам заметить малейшие отклонения структуры тканей от нормы и на ранних этапах заподозрить серьезные патологии. Точная постановка диагноза обеспечивает своевременное начало лечения и повышает шансы на полное выздоровление.
Как проходит исследование органов грудной клетки?
Рассказываем обо всех видах исследования органов грудной клетки: от КТ до торакотомии. Чем они отличаются? В каком случае какое исследование назначают?

Информацию из данного раздела нельзя использовать для самодиагностики и самолечения. В случае боли или иного обострения заболевания диагностические исследования должен назначать только лечащий врач. Для постановки диагноза и правильного назначения лечения следует обращаться к Вашему лечащему врачу.
С осмотром грудной клетки знакомы все. Некоторые люди проверяют органы грудной клетки регулярно из-за проблем со здоровьем, а кто-то ограничивается обязательной флюорографией раз в год для справки на работу. Однако, исследование органов грудной клетки бывает разное: это может быть рентген, КТ, эндоскопия и даже операция. Чем они отличаются, и в каком случае какой вариант назначают? Давайте разбираться.
Рентген при осмотре грудной клетки
Самый простой способ исследовать внутренние органы — сделать снимок при помощи специального оборудования. В зависимости от типа и мощности прибора снимки будут разного качества и глубины:
- Флюорография (ФЛГ). Цифровой или плёночный снимок лёгких. Снимок делают за счёт рентгеновского излучения очень малой дозы. Это самый распространённый тип исследований, достаточно безопасный даже для детей. Изображение лёгких получается пусть не очень чёткое, но вполне информативное. ФЛГ традиционно используют для профилактики туберкулёза.
- Рентген лёгких. Снимок получается более чёткий, чем при ФЛГ, за счёт высокой дозы облучения. Но из-за этого рентген нежелательно делать беременным женщинам и людям с ослабленным здоровьем.
- Ультразвуковое исследование. Абсолютно безопасный способ обследования. Технически его можно использовать для осмотра всех органов грудной клетки, но обычно с его помощью пытаются обнаружить жидкость в плевральной полости.
Для ФЛГ и рентгена вас попросят раздеться и встать перед устройством, которое сделает снимок. Нужно снять все украшения с шеи, так как на снимке они будут перекрывать тело.

Для ультразвукового исследования тело покрывают гелем, чтобы датчик лучше скользил, и исследуют им нужный участок груди.
Использование томографии
Томография — один из ключевых неинвазивных методов осмотра грудной клетки. Его несомненные преимущества: высокое качество изображения и практически полная безопасность для пациента. Для исследования органов грудной клетки используют два типа томографии:
- Магнитно-резонансная томография. Позволяет детально обследовать всю сердечно-сосудистую и дыхательную системы. Противопоказана людям с большим лишним весом — стол аппарата рассчитан на 120-130 кг. Кроме того, она может навредить тем, у кого стоят металлические импланты и кардиостимуляторы. Но МРТ безопасна для детей, беременных и кормящих матерей, так как в ней не используется рентгеновское излучение.
- Компьютерная томография. С её помощью получают объёмную модель внутренних органов. КТ работает по принципу рентгена, зато не имеет других противопоказаний, кроме возраста и беременности.
В сети наших диагностических центров, перед проведением КТ вас попросят заполнить договор на оказание медицинских услуг, согласие на обработку персональных данных и анкету с информацией о состоянии вашего здоровья — последнее поможет врачу-рентгенологу сделать упор на важные моменты при исследовании.
Дальше вас будет сопровождать рентгенолаборант. Он расскажет вам о ходе исследования, после чего проводит в раздевалку. Обычно для проведения томографии не нужно раздеваться полностью: достаточно снять одежду с металлическими предметами (молниями и пуговицами), обувь, очки и украшения.
Вас проводят в кабинет, где вы ляжете на стол томографа. Лаборант будет наблюдать за ходом исследования. Так что если вам вдруг станет плохо, сможете попросить остановить исследование. Но если противопоказаний нет, пациент всегда чувствует себя комфортно. Всё, что от вас требуется: слушать команды лаборанта и задерживать дыхание в нужный момент. Если при выполнении МРТ нужно лежать неподвижно, то при КТ небольшие движения не будут искажать готовый снимок.
Если нужно провести исследование с контрастом, то после серии снимков лаборант введёт вам контрастное вещество внутривенно — количество зависит от вашего веса. После этого процедуру возобновляют на пару минут.

Всё исследование длится не более пятнадцати минут. После этого лаборант вновь заходит в кабинет, помогает вам подняться и провожает в раздевалку. Заключение с расшифровкой готово сразу после проведения процедуры.
Эндоскопия в исследованиях лёгких
В рамках эндоскопии, через естественные пути в организм вводят инструмент с камерой. Изображение хорошего качества передаётся на монитор, благодаря чему можно рассмотреть нужный участок.
Бронхоскопия — единственный метод безоперационной эндоскопии грудной клетки. Она используется как для диагностики, так и для лечения. С помощью эндоскопа можно удалить слизь, гной и инородные тела, ввести лекарственные препараты, а также взять мокроту и образцы ткани для анализа.
Исследование нельзя проходить при дыхательной недостаточности, обострении астмы, аневризме, инфаркте и нарушениях свёртываемости крови. А перед обследованием вам обязательно назначат анализы:
- флюорографию,
- ЭКГ,
- анализы крови на ВИЧ и гепатиты,
- коагулограмму.
Исследование органов грудной клетки с помощью операций
Разумеется, ни один врач не будет проводить полостную операцию просто для осмотра. Но есть два вида эндоскопии, которые выполняются под общим наркозом через разрезы грудной клетки:
- Торакоскопия — исследование поверхности лёгких и плевральной полости. Через разрезы вводят эндоскоп и инструменты: можно взять образцы тканей и ввести необходимые лекарственные средства.
- Медиастиноскопия — осмотр средостении, который проводится для оценки опухоли лёгких или установки причины увеличения лимфатических узлов.
Нельзя не упомянуть пункции плевральной полости и биопсию плевры. Доктор вводит в тело иглу и берёт на анализ кусочек ткани или плевральную жидкость.

Более серьёзный вид оперативного обследования — торакотомия. Врач самостоятельно осматривает все внутренние органы, вскрыв грудную клетку. Существенный плюс торакотомии — возможность взять образцы любых тканей на обследование и оперативное выполнение лечения.
В каких случаях назначают обследования
Чем проще исследование органов грудной клетки, тем чаще его назначают. Флюорографию рекомендуют проходить раз в год для профилактики. Если по работе вы контактируете с людьми и продуктами питания, результаты ФЛГ потребуются для доступа к работе.
Другие виды обследований без серьёзных показаний вам никто не назначит. ОРЗ или ангина — не повод делать эндоскопию и МРТ. При пневмонии могут назначить томографию и бронхоскопию. А другие виды исследований назначаются при серьёзных и опасных симптомах:
- затемнения на рентгеновских снимках,
- инородное тело в дыхательных путях,
- подозрение на онкологию,
- кровохарканье,
- абсцессы и кисты в дыхательных путях и лёгких,
- воспаления плевры,
- увеличение лимфатических узлов,
- травмы и нагноения в грудной клетке.
Противопоказаний у исследований совсем немного:
- у рентгена и КТ — беременность и период грудного вскармливания;
- у МРТ — избыточная масса тела, металлические имплантаты, кардиостимуляторы, клаустрофобия;
- у бронхоскопии — обострения астмы;
- у всех видов эндоскопии — нарушенная свёртываемость крови, внутренние кровотечения, острая лёгочная недостаточность, инфаркты и перитонит.
Исследования необходимы при серьёзных заболеваниях, так как без них будет тяжело установить причины недугов. Кроме того, почти все виды обследований позволяют сразу же провести лечение, если оно возможно. Поэтому, несмотря на сложность их проведения, они пользуются большой популярностью при всех болезнях дыхательной системы.
Читайте также:
