Диагностика травм диафрагмы. Методы исследования
Добавил пользователь Евгений Кузнецов Обновлено: 22.11.2025
В.Ф. ЧИКАЕВ, Р.А. ИБРАГИМОВ, Ш.А. ШЕЙХОВ, В.В. ЯРАДАЙКИН, И.Ф. АХТЯМОВ
Казанский государственный медицинский университет
Республиканская клиническая больница МЗ РТ, г. Казань
Чикаев Вячеслав Федорович
доктор медицинских наук, профессор кафедры травматологии, ортопедии и хирургии экстремальных состояний
Частота повреждений диафрагмы при закрытых торакоабдоминальных травмах, по данным литературы, колеблется от 0,8 до 4,7%. Авторами проведен анализ особенностей клинической картины, диагностики и лечения повреждений диафрагмы. Клинические проявления травмы диафрагмы определяет степень ее повреждений. При сочетанной травме и дыхательной недостаточности необходимо быть настороженным в отношении повреждений диафрагмы. При сочетанной травме тактические подходы в лечении пострадавших с повреждением диафрагмы проводятся по принципу «Damage control» и ликвидация повреждений диафрагмы является приоритетной.
Ключевые слова: диафрагма, повреждение, сочетанная травма.
V.F. CHIKAEV, R.A. IBRAGIMOV, SH.A. SHEYKHOV, V.V. YARADAYKIN, I.F. AKHTYAMOV
Kazan State Medical University
Republican Clinical Hospital of the Ministry of Health of the Republic of Tatarstan, Kazan
Diagnosis and treatment of diaphragm injury in emergency surgery
The frequency of diaphragm injuries in case of closed thoracoabdominal trauma, as represented in literature, varies from 0.8 to 4.7%. The authors analyzed the clinical presentation features, diagnosis and treatment of diaphragm injuries. Clinical implications of diaphragm injury determines its damage ratio. In case of concomitant injury and respiratory depression one should be conscious in regard to diaphragm injuries. In case of concomitant injury tactical approaches to the treatment of patients with diaphragm injury are conducted under the principle of «Damage control» and correction of damaged diaphragm is a priority.
Key words: diaphragm, injury, concomitant injury.
Несмотря на то, что есть ранние описания посттравматической диафрагмальной грыжи, которым около 400 лет, вопросы диагностики и лечения повреждений диафрагмы остаются весьма актуальными. Невзирая на технический прогресс, повреждения диафрагмы в ряде случаях остаются недиагностированными. До 90% диафрагмальных разрывов при закрытой травме встречаются у молодых людей после дорожно-транспортных происшествий 2.
Материалы методы
Проведен анализ особенностей диагностики и лечения пострадавших с повреждениями диафрагмы. За последние 10 лет в хирургическом отделении ГБСМП № 1 г. Казани по поводу повреждения диафрагмы оперированы 10 пациентов. При сочетанной закрытой травме живота — 7 пациентов, по поводу торакоабдоминального ранения — 3. У 8 пострадавших разрыв диафрагмы был слева, у 2 — справа. При закрытой травме в одном случае сочетанная травма диафрагмы была с повреждением уретры и переломами костей таза, в остальных случаях повреждение диафрагмы сочеталось с травмой грудной клетки. Возраст больных колебался от 20 до 52 лет. При закрытых повреждениях травмирующая сила приводит к глубокому и внезапному повышению внутрибрюшного давления, передача действующей силы на внутрибрюшные органы, передаваясь куполам диафрагмы, способствует ее разрыву. При ударе и приложении достаточного высокого давлении в брюшной полости возникает тенденция разрыва левого купола диафрагмы, который менее защищен, что объясняет ее более высокую частоту повреждения по сравнению с правым. Сравнительная редкость правосторонних разрывов диафрагмы зависит от защитной роли печени, закрывающей снизу всю правую половину грудобрюшной преграды. Существенное влияние на разрыв диафрагмы при тупой травме оказывает степень наполнения полых органов брюшной полости. С увеличением наполнения создаются более благоприятные условия для передачи гидравлического удара. В наших наблюдениях все пострадавшие поступили в течение дня, как правило, после приемов пищи.
Особенности диагностики и лечения
В диагностике повреждений диафрагмы большое значение уделяется анамнезу и характеру полученной травмы. При проникающих ранениях в торакоабдоминальной области необходимо думать о возможности повреждения диафрагмы.
Основное место в диагностике повреждений диафрагмы принадлежит лучевым методам диагностики (7-9): рентгенологическому исследованию, компьютерной томографии. Разрыв диафрагмы установлен у 6 пострадавших при рентгенологическом исследовании (рис 1, 2), у 1 больного с тяжелой сочетанной травмой — при компьютерной томографии, у 3 больных — как интраоперационная находка. Закрытая травма порой не приводит к возникновению симптомов, которые являются патогномоничными для повреждений диафрагмы. При небольших повреждениях диафрагмы клиника, как правило, бывает скудной и стушевывается другими более тяжелыми травмами сочетанных повреждений и является находкой при рентгенологических исследованиях.
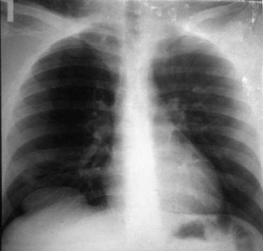
М., 20 л. Сочетанная травма. Закрытый перелом костей таза, разрыв уретры, Разрыв правого купола диафрагмы. Тяжесть повреждений по шкале оценки ВПХ П. (МТ) — 13 баллов, ВПХ (СП) — 29 (Гуманенко Е.К. 1999 г).

Больной М., 23 г. Рентгенологическая картина (прямая и боковая проекции) повреждения правого купола диафрагмы. Присасывание в плевральную полость ткани правой доли печени. Проведена лапаротомия, эпицистостомия, ушивание разрыва диафрагмы. Пациент выписан в удовлетворительном состоянии. Восстановление разрыва уретры проведено вторым этапом в урологической клинике

Падение с высоты или прямые воздействия на торакоабдоминальную область транспортных средств во время автодорожных происшествий или случаев повреждения с размозжением тканей должны также насторожить ургентного хирурга в связи с возможным повреждением диафрагмы. Однако знание механизма травмы, наличие повреждения в торакоабдоминальной зоне, признаки дыхательной недостаточности, выраженное ослабление или отсутствие дыхания, появление коробочного звука или притупление при перкуссии на стороне повреждения позволяют заподозрить повреждение диафрагмы.
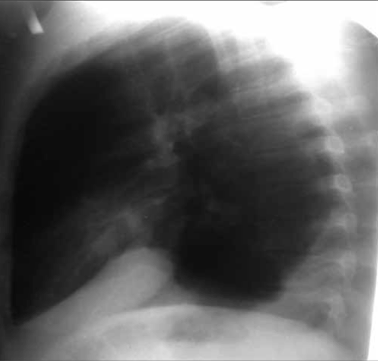
Больной Ж., 22 г. Сочетанная травма. Повреждение левого купола диафрагмы. Картина дислокации органов брюшной полости в левую плевральную полость. Закрытый перелом плечевой кости, закрытый перелом малоберцовой кости. Тяжесть повреждений по шкале оценки ВПХ П. (МТ) — 9,2 балла, ВПХ (СП) — 27

При сочетанной травме тактические подходы к лечению пострадавших необходимо проводить по принципу «Damage control» (7). Устранение повреждений диафрагмы при сочетанной травме является приоритетным. В данном клиническом случае на первом этапе произведена ликвидация разрыва диафрагмы путем ушивания лапаротомным доступом, дренирование плевральной полости. Вторым этапом проведен интрамедуллярный остеосинтез перелома плечевой кости.
Хирургическая тактика при лечении повреждений диафрагмы может быть разделена на процедуры по ликвидации повреждений в их острый период и те, которые необходимы для коррекции в последующем. Экстренное оперативное вмешательство лапаротомным доступом выполнено у 6 пострадавших, а у 2 — на 2-3-и сутки, что было связано с трудностями диагностики, у 2 — торакотомным доступом при сочетанном повреждении грудной клетки.
Повреждения диафрагмы классифицируются с использованием Шкалы повреждений органов Американской ассоциации хирургии травмы. В наших наблюдениях повреждения диафрагмы были II-III ст., в одном случае — IV.
Практически всегда к острым повреждениям диафрагмы оперативный доступ осуществляли посредством верхнесрединной лапаротомии. Методичное исследование брюшной полости и забрюшинного пространства позволяет избежать пропущенных повреждений. После того как это выполнено, должно быть обращено внимание на полный осмотр диафрагмы. Правая половина диафрагмы лучше всего осматривается после рассечения серповидной связки и отведения печени книзу. Левая половина диафрагмы может быть осмотрена после нежной ретракции селезенки и большой кривизны желудка книзу.
Ушивание диафрагмы проводили нерассасывающимся шовным материалом. При завершении ушивания целостность линии шва контролировали увеличением внутригрудного давления с воздействием большого дыхательного объема и исследованием движения диафрагмы. Этот маневр повторяют над поврежденным участком со стерильным физиологическим раствором, чтобы определить, есть ли просачивание воздуха или плевральной жидкости через линию шва. Эвакуацию воздуха и крови из груди достигали дренированием плевральной полости. Дренаж размещается классически в пятом межреберье по средне-подмышечной линии, но может быть размещен ниже под непосредственным визуальным контролем. Дренаж с плевральной полости убирали после контрольной рентгенографии грудной клетки.
При торакоабдоминальном ранении в двух случаях ушивание диафрагмальных ран проводили торакотомным доступом. Однако почти все повреждения, сочетанные с диафрагмальной раной, по сути, внутрибрюшные, что требует обязательной ревизии брюшной полости. В наших случаях с целью контроля проводили лапароцентез.
В одном случае повреждение диафрагмы оперировано не в острый период. Больной М. 42 лет поступил в хирургическое отделение с клиникой острой спаечной кишечной непроходимости. В анамнезе 2 года назад проникающее ранение брюшной полости, лапаротомия. Ввиду неразрешающейся кишечной непроходимости пациент оперирован в экстренном порядке. При лапаротомии выявлено ущемление петли тонкой кишки в дефекте диафрагмы. Вероятно, при первой операции было пропущено повреждение левого купола диафрагмы — дефект 3 см. Проведено ушивание дефекта диафрагмы.
Таким образом, клинические проявления травмы диафрагмы зависят от степени ее повреждений. При сочетанной травме в зависимости от механизма травмы и при дыхательной недостаточности необходимо быть настороженным в отношении повреждений диафрагмы. Травма диафрагмы является тяжелой патологией, требующей комплексного подхода в диагностике и лечении. При сочетанной травме тактические подходы в лечении пострадавших с повреждением диафрагмы проводится по принципу «Damage control» и ликвидация повреждения диафрагмы является приоритетным.
1. Абакумов М.М., Лебедев Н.В., Малярчук В.И. Повреждения живо¬та при сочетанной травме. — М.: Медицина. — 2005. — 176 с.
2. Аскерханов Г.Р., Халилов А.Х., Магомедов М.И. осложнения поздних проявлений ранения левого купола диафрагмы // Материалы Всероссийской конференции хирургов, посвященной 85-летию Р.П. Аскерханова. — Махачкала, 2005. — С. 259.
3. Бисенков Л.Н. Неотложная хирургия груди. — СПб. — 1995. — 234 с.
4. Бисенков Л.Н., Зубарев П.Н., Трофимов В.М., Шалаев С.А., Ищенко Б.И. Неотложная хирургия груди и живота. — СПб, Гиппократ, 2002. — 507 с.
5. Брюсов П.Г., Коноваленко С.И., Левчук А.П. Лечение огнестрельных проникающих торакоабдоминальных ранений в современных локальных военных конфликтах // Международный хирургический конгресс «Новые технологии в хирургии». Сборник трудов. — Ростов-на-Дону, 2005. — С. 13.
6. Гуманенко Е.К. Объективная оценка тяжести травмы. — СПб, 1999. — 230 с.
7. Нифантьев О.Е., Уколов В.Г. Диагностика ранений диафрагмы при проникающих ранениях груди // Вестн. хир. им. И.И. Грекова. — 1985. — № 8. — С. 29-30.
8. Соколов В.А. «Damage control» — Современная концепция лечения пострадавших с критической политравмой // Вестник травматологии и ортопедии им. НН. Приорова. — 2005. — № 1. — С. 81-84.
9. Флорикян А.К. Хирургия повреждений груди. — Харьков: Основа, 1998. — 437 с.
10. Шумаков С.И. / в кн. Сб. научн. работ врачей Пензенской обл. больницы, 2. — Пенза, 1957. — С. 160-161.
11. Murray J.A., Demetriades D., Cornwell E.E., Asensio J.A., Velmahos G., Berne T.V. Penetrating left thoracoabdominal trauma: the incidence and clinical presentation of diaphragm injuries // J. Trauma. — 1997. — № 4. — Р. 624-626.
12. Murray J.A., Asensio J.A. Penetrating thoracoabdominal trauma // Emerg. Med. Clin. North. Am. — 1998. — № 1. — Р. 107-128.
13. Zacharias S.R. Damage control surgery // A.A.C.N. — 1999. — № 1. — P. 95-103.
14. Zakharia A.T. Cardiovascular and thoracic battle injuries in the Lebanon War. Analysis of 3000 personal cases // J. Thorac. Cardiovasc. Surg. — 1985. — № 5. — Р. 723-733.
Опухоли диафрагмы
Опухоли диафрагмы - это группа доброкачественных и злокачественных новообразований первичного или метастатического характера, локализованных в области грудобрюшной преграды. Неоплазии небольшого размера протекают скрыто. При крупных опухолях появляются признаки сдавления лёгкого, смещения средостения, симптомы хронической гипоксии, абдоминальные боли. Заболевание обнаруживается с помощью методов лучевой диагностики, характер новообразования подтверждается гистологическим исследованием операционного материала. Неоплазия удаляется хирургическим путём. При необходимости выполняется последующая пластика диафрагмы.
МКБ-10

Общие сведения
Первичные опухоли диафрагмы являются очень редкой патологией. На сегодняшний день в медицинской литературе описано не более 200 случаев заболевания. У 50-60% пациентов неоплазии имеют доброкачественный характер, чаще всего встречаются кисты или липомы. Злокачественные новообразования представлены преимущественно саркомами (рабдомиосаркома, фибросаркома). Среди больных отмечается незначительное преобладание женщин, возраст пациентов колеблется от 40 до 80 лет. Правый и левый купола диафрагмы поражаются одинаково часто. Приблизительно у 15% больных с доброкачественной патологией, у 11% пациентов со злокачественными образованиями клинические проявления отсутствуют. Метастатические поражения диафрагмы встречаются чаще первичных.

Причины
Новообразования грудобрюшной преграды могут быть первичными и вторичными (метастатическими). Метастатические опухоли возникают в результате гематогенного, лимфогенного или контактного распространения онкологической патологии органов брюшной и грудной полостей, строение таких опухолей определяется особенностями первичного процесса. Наиболее часто прорастают диафрагму или метастазируют в этот орган неоплазии лёгких, плевры, рёбер, грудной стенки, желудка. Иногда в области диафрагмы обнаруживаются эндометриомы.
Первичные опухоли развиваются непосредственно в грудобрюшной преграде. Причина их появления до конца не изучена. Определённую роль в неопластическом процессе играет ионизирующее излучение. В работах специалистов в сфере онкологии описаны случаи возникновения новообразований диафрагмы у пациентов, получавших лучевую терапию по иному поводу в детском возрасте. Другими предпосылками к опухолевому росту являются травмы с последующим образованием соединительнотканных рубцов, воздействие некоторых химических веществ.
Патогенез
Патогенез неопластического роста отражает этапы формирования опухоли любого органа или ткани. Канцероген взаимодействует с генами, контролирующими рост и деление клеток (протоонкогенами). Происходит изменение генома клетки - она приобретает способность к бесконечному делению. Под действием канцерогена подавляются функции белков, тормозящих пролиферацию изменённых клеток (онкосупрессоров). Клетка утрачивает способность к полному созреванию (дифференцировке), активно и бесконтрольно делится, образуется опухолевый узел.
Степень злокачественности неоплазии зависит от её зрелости. Низкодифференцированные новообразования ведут себя наиболее агрессивно. Они быстро растут, прорастают органы, разрушая нормальные окружающие ткани (инвазивный рост). От основного опухолевого узла отделяются изменённые клетки и с током крови или лимфы разносятся по организму (метастазирование). Бластома имплантационным способом распространяется на соседние органы. Доброкачественные опухоли представлены зрелыми высокодифференцированными клетками, неспособны к инвазивному росту и метастазированию, по мере увеличения в размерах могут сдавливать соседние органы.
Классификация
Опухоли диафрагмы делятся на первичные и вторичные, доброкачественные и злокачественные. В зависимости от тканей, из которых они исходят, различают мышечные, соединительнотканные, мезотелиальные, ангиогенные, неврогенные и смешанные новообразования. Среди доброкачественных неоплазий чаще выявляются липомы, фибромы и фибролипомы, реже лейомиомы, хондромы, лейомиофибромы, фибролимфангиомы, очень редко дизэмбриомы. Наиболее распространёнными злокачественными опухолями являются саркомы (миосаркома, хондросаркома, рабдомиосаркома, липосаркома).
Злокачественные неоплазии систематизируются по стандартной системе TNM, в которой отражается распространённость процесса в пределах органа (Т), метастазирование в регионарные лимфатические узлы (N) и отдалённые органы (М). По данной системе опухоли диафрагмы классифицируются дважды. Первый раз распространённость онкологической патологии оценивается по клиническим данным, во второй - по гистологическим (система рТNM). По результатам патоморфологического исследования резецированного материала определяется степень злокачественности новообразования. На основании данных системы TNM устанавливаются стадии онкологического процесса.
Симптомы опухолей диафрагмы
Опухоли грудобрюшной перегородки небольших размеров протекают бессимптомно. Появление клинических признаков указывает на прорастание соседнего органа или его компрессию. Чаще всего пациенты предъявляют жалобы на грудные или абдоминальные боли разной локализации и степени интенсивности, ощущение тяжести в груди. При сдавлении органов грудной полости у больного возникает сухой непродуктивный кашель, одышка. Смещение средостения иногда сопровождается отёком лица, шеи, надключичных областей. Расширенные подкожные вены с многочисленными коллатералями в области груди отчётливо прорисовываются на передней грудной стенке - симптом «головы Медузы».
При длительно существующей диафрагмальной опухоли, сдавливающей легкие, появляются признаки хронического кислородного голодания. Происходит деформация концевых фаланг пальцев рук по типу «барабанных палочек», ногти приобретают вид «часовых стёкол». Лёгочная гипертрофическая остеоартропатия поражает предплечья, голени, лучезапястные и голеностопные суставы. Пациенты жалуются на боли в конечностях. Вторичные изменения со стороны бронхолёгочной системы сопровождаются периодическим повышением температуры тела до субфебрильных и фебрильных значений.
При локализации опухоли в левом куполе диафрагмы присутствуют проявления диспепсии. Пациента беспокоит тяжесть в эпигастрии, ощущение переполнения желудка. После еды возникают мучительные боли в животе, изжога, тошнота, рвота. При сдавлении пищевода отмечаются нарушения глотания. Для злокачественных поражений диафрагмы опухолевой природы характерна повышенная утомляемость, нарушение аппетита, прогрессирующее снижение массы тела и другие симптомы общей раковой интоксикации.
Осложнения
Увеличиваясь в размерах и метастазируя, злокачественные диафрагмальные опухоли повреждают органы грудной клетки или брюшной полости. Прорастание плевры приводит к появлению «ненасытного», быстро накапливающегося после каждой эвакуации неопластического плеврита. Наличие экссудата, компрессия лёгких и сердца провоцируют развитие тяжёлой лёгочно-сердечной недостаточности. Паралич грудобрюшной преграды, возникающий при повреждении диафрагмального нерва, усугубляет дисфункцию внутренних органов. На поздних стадиях болезни наблюдается опухолевая интоксикация, развивается кахексия. Осложнения доброкачественных новообразований диафрагмы обусловлены сдавлением лёгкого, смещением средостения.
Диагностика
Неоплазии диафрагмы тяжело поддаются диагностике. Симптомы опухоли часто скрываются под маской лёгочной, сердечной патологии, заболеваний желудочно-кишечного тракта. Патогномоничные признаки неопроцесса отсутствуют. В диагностическом поиске принимают участие пульмонологи, кардиологи, гастроэнтерологи, окончательный диагноз устанавливается врачом-онкологом. Применяются следующие методы:
- Физикальное обследование. При осмотре пациента с запущенной формой онкологического процесса можно обнаружить акроцианоз или диффузную синюшность кожных покровов, расширение и избыточное ветвление подкожных вен груди. При прорастании плевры наблюдается отставание половины грудной клетки в акте дыхания. Выявляются перкуторные и аускультативные симптомы смещения средостения, притупление лёгочного звука, ослабление дыхания в нижних отделах на стороне поражения. У пациентов с небольшими бластомами и доброкачественными процессами объективные изменения отсутствуют.
- Лучевые исследования. Являются основными методами диагностики диафрагмальных опухолей. Выполняется рентгенография и КТ брюшной полости, грудной клетки. При необходимости применяется контрастирование. Методики позволяют визуализировать округлые или неправильной формы образования, связанные с контуром диафрагмы, определить их размеры, предположить доброкачественный или злокачественный характер процесса, определить признаки инвазии соседних органов и наличие метастазов в лимфатических узлах.
- Гистологическое исследование. На основании изучения полученного во время операции материала устанавливается окончательный диагноз. С помощью данного метода уточняется степень дифференцировки неопластических клеток, происхождение опухоли. При необходимости дополнительно назначаются молекулярно-генетические и иммуногистохимические исследования новообразования.
- Методы функциональной диагностики. Имеют второстепенное значение. На электрокардиограмме нередко обнаруживается отклонение сердечной оси, присутствуют нарушения ритма и проводимости. При исследовании функции внешнего дыхания выявляются рестриктивные нарушения вентиляционной способности - уменьшение жизненной ёмкости лёгких. Наличие подобных отклонений косвенно указывает на возможность неопластического процесса, но не позволяют верифицировать диагноз.
Опухоли диафрагмы необходимо дифференцировать с новообразованиями органов забрюшинного пространства, грудной и брюшной полостей. В ходе дифференциальной диагностики используются специальные методы лучевого исследования (пневмомедиастинография, бронхография, ангиопульмонография, спленопортография, пиелография). Для исключения бронхогенного рака выполняется бронхоскопия. В неясных случаях производится видеоторакоскопическое исследование.
Лечение опухолей диафрагмы
После установления диагноза выполняется хирургическое вмешательство трансторакальным доступом. Доброкачественные образования вылущивают, возникший дефект ушивают. При злокачественном неопроцессе осуществляют резекцию опухоли в пределах здоровых тканей. Для ликвидации дефекта прибегают к аллопластике диафрагмы лоскутами капрона или тефлона. После удаления опухоли правого купола края отверстия иногда подшивают к печени. Вопрос о назначении послеоперационной лучевой или химиотерапии решается с учетом результатов патоморфологического исследования новообразования.
Прогноз и профилактика
Прогноз при доброкачественных образованиях диафрагмы благоприятный. После удаления неоплазии функции подвергавшегося компрессии органа полностью восстанавливаются. Рецидивы встречаются редко. При злокачественной патологии исход зависит от стадии процесса, природы новообразования и степени дифференцировки опухоли. Выживаемость значительно повышается при выявлении онкологического заболевания на ранних стадиях. Метастазы в диафрагму протекают неблагоприятно. Профилактика включает здоровый образ жизни, использование индивидуальных средств защиты при работе с источниками радиации и химическими агентами, регулярные профилактические медицинские осмотры.
3. Диагностика патологических состояний диафрагмы с помощью компьютерной томографии: Авторефрат диссертации/ Салим Ю. Т. - 1990.
Травмы диафрагмы
Травмы диафрагмы - это повреждения грудобрюшной преграды, возникающие в результате воздействия внешних факторов. При небольших разрывах симптоматика стертая. Обширные закрытые травмы могут проявляться признаками сдавления лёгкого, внутреннего кровотечения, ущемления желудка или кишечника. При открытых ранениях присутствуют симптомы нарушения целостности органов грудной клетки и (или) брюшной полости. Патология диагностируется с помощью осмотра, физикальных данных, УЗИ и лучевых методов исследования грудной и абдоминальной полостей, торако- или лапароскопии. После обнаружения дефекта диафрагмы осуществляется его хирургическая коррекция.


Травмы диафрагмы встречаются в 0,5-5% случаев всех сочетанных повреждений. Разрыв органа при закрытой травме чаще происходит в месте соединения его мышечной и сухожильной частей. Размер образовавшегося дефекта может существенно варьироваться (от 2 до 20 см). Из-за анатомических особенностей организма преобладают повреждения левого купола. Двусторонние, множественные разрывы выявляются редко. Ранение диафрагмы при открытой травме может локализоваться в любой её части. Из-за трудностей диагностики у 50-70% пострадавших диафрагмальный дефект не обнаруживается прижизненно. Пациенты погибают от тяжёлых сочетанных торакальных или абдоминальных травм, поздних осложнений недиагностированной патологии.
- Причиной открытых травм диафрагмы являются огнестрельные или колото-резаные торакоабдоминальные ранения, чаще встречающиеся в период военных действий.
- В мирное время превалируют закрытые травмы, возникающие вследствие дорожно-транспортных происшествий, при падении с высоты.
- К разрыву диафрагмы иногда приводит компрессия грудной клетки или живота при сдавлении тяжелым предметом.
Ранее считалось, что спровоцировать подобную травму может повышение внутрибрюшного давления при чихании, кашле, рвоте, а также у женщин во время родов. Современные экспериментальные исследования в области общей хирургии и травматологии указывают на то, что предпосылкой разрыва в таких случаях становится врождённое истончение мышечного слоя диафрагмы.
Открытые повреждения диафрагмы очень редко бывают изолированными. Обычно колюще-режущий предмет или пуля (при огнестрельном ранении) проходит из грудной полости в брюшную или наоборот, травмируя диафрагму, а также прилежащие к ней ткани и органы. При закрытом ранении разрывы диафрагмы обусловлены чрезмерным натяжением органа, возникающим из-за сдавления рёбер или живота. Дефект грудобрюшной преграды может также образоваться при её повреждении отломками рёбер.
Из-за разницы давления в грудной и брюшной полостях желудок, петли кишечника, селезёнка, реже печень и желчный пузырь пролабируют в грудную клетку, поджимают лёгкие и средостение, могут ущемиться в образовавшемся отверстии. Повреждение крупных сосудов становится причиной массивных внутренних кровотечений. Прилежащие к диафрагме листки плевры имеют большое количество болевых рецепторов. Раздражение этих рецепторов при чрезмерном натяжении плевры из-за пролапса органов или её повреждения, травмы других органов и массивная кровопотеря потенцируют развитие травматического шока.
В зависимости от локализации места разрыва различают травмы левого или правого купола диафрагмы, а также нарушения целостности ее мышечной или сухожильной части. Ранения органа могут быть единичными и множественными, изолированными или сочетанными с другими травматическими повреждениями. Большое клиническое значение имеет деление травм грудобрюшной перегородки на:
Открытые
Возникают при проникающем ранении живота или груди. По клиническим проявлениям подразделяются на следующие группы:
- С преимущественно абдоминальными повреждениями. Преобладают признаки ранения органов живота. Травма ОГК незначительная. Явления гемо- или пневмоторакса отсутствуют.
- Спревалирующими торакальными поражениями. На первый план выходят симптомы тяжёлой травматизации плевры и лёгкого, выраженная дыхательная недостаточность.
- С признаками торакоабдоминальной травмы. Ярко выражены проявления ранений органов обеих полостей.
Закрытые
Не сопровождается нарушением целостности кожных покровов. Раневой канал отсутствует. Клиническая картина определяется размерами разрыва и степенью пролабирования органов живота в полость груди.
Симптомы травм диафрагмы
Клинические проявления диафрагмальной травмы очень разнообразны, зависят от величины разрыва и наличия сочетанных повреждений других органов. Патогномоничным симптомом диафрагмальной травмы является болезненность в области мечевидного отростка грудины. Иногда появляется некупируемая икота. При открытых травмах всегда присутствует глубокий раневой канал, нередко имеющий выходное отверстие. Ранение с повреждением брюшной полости характеризуется картиной острого живота. Пострадавшие жалуются на интенсивные, усиливающиеся при пальпации боли в животе, которые могут быть острыми или тупыми, разлитыми или локализованными. Ярко выраженный болевой синдром нередко сопровождается рвотой. Пациенты принимают вынужденное положение, беспокойны.
При сопутствующем повреждении ОГК больного беспокоят резкие боли в груди и затруднение дыхания. При вдохе со стороны входного отверстия раны слышен «сосущий» звук. При выдохе или кашле воздух выталкивается из раны вместе с пенистой кровью. Возникает и нарастает подкожная эмфизема. В области груди, шеи, лица появляется быстро распространяющаяся припухлость, при пальпации которой слышен характерный хруст. Травмы грудной клетки с повреждением диафрагмы часто сопровождаются кровохарканьем. Из-за раздражения большого количества рецепторов париетального и висцерального листков плевры может развиваться плевропульмональный шок, характеризующийся нарушением гемодинамики и выраженной респираторной недостаточностью.
Резкое снижение артериального давления, тахикардия, бледность кожных покровов, слабость, нарушение сознания наблюдаются при значительной кровопотере, обусловленной ранением крупных кровеносных сосудов. При пролабировании внутренних органов в грудную полость обнаруживаются признаки компрессии лёгкого, смещение средостения. У пострадавшего возникает одышка при малейшей нагрузке и в покое. Кожа приобретает цианотичный оттенок. Присутствует учащенное сердцебиение и нарушения сердечного ритма.
Из-за хорошего кровоснабжения диафрагмы травмы этого органа часто осложняются внутрибрюшным или внутригрудным кровотечением. Описаны случаи смерти пациентов от кровопотери, вызванной травматизацией грудобрюшной преграды во время плевральной пункции. Своевременно не диагностированные сопутствующие абдоминальные травмы через несколько дней приводят к развитию перитонита. Массивные торакальные повреждения нередко сопровождаются плевропульмональным шоком. Из-за сложностей диагностики небольшие по размеру травмы диафрагмы часто остаются невыявленными, в последующем формируются травматические диафрагмальные грыжи. Грозным осложнением таких грыж является ущемление в образовавшемся разрыве внутренних органов с последующим некрозом их стенок, развитием кишечной непроходимости, перитонита.
Диагностическим поиском при подозрении на травму диафрагмы занимаются травматологи, торакальные и абдоминальные хирурги. При массивном ранении явными симптомами разрыва грудобрюшной преграды считаются выпадение органов живота из раны на груди, истечение из неё желчи, желудочного или кишечного содержимого. Обнаружить небольшие повреждения перегородки при проникающей травме груди или живота часто бывает трудно из-за общего тяжёлого состояния пострадавшего. Наличие дефекта в диафрагме выявляется с помощью следующих методов:
- Осмотр и физикальные данные. При осмотре открытой раны оценивается состояние входного и выходного отверстий, определяется ход раневого канала. Обнаружить образовавшийся дефект иногда удается путем пальпации раневого хода пальцем. Иногда наблюдается асимметрия живота либо грудной клетки. На разрывы диафрагмы указывает наличие перитонеальных симптомов и притупления в отлогих местах живота при повреждении груди, укорочение лёгочного звука или тимпанит, ослабление дыхания при травмах брюшной полости. При аускультации лёгких могут прослушиваться кишечные шумы.
- Лучевая диагностика. Выполняется рентгенография и КТ грудной полости, КТ брюшной полости. Выявить разрыв на рентгенограмме можно только при пролапсе органов пищеварения в область грудной клетки. Для уточнения локализации травматического дефекта грудобрюшной перегородки, дифференциальной диагностики травмы и релаксации органа осуществляется контрастная рентгенография желудка либо ирригография. Просматривается желудок или петли кишечника в левой половине грудной клетки, определяется смещение пищевода.

КТ органов грудной клетки/брюшной полости. Травматический дефект в передних отделах диафрагмы справа с эвентрацией кишечника, сальника, кровеносных сосудов в грудную полость
- Ультразвуковое исследование.УЗИ ОБП и УЗИ плевральной полости даёт возможность подтвердить наличие диафрагмального дефекта, смещение ОБП, наличие свободной жидкости в обеих полостях. Наблюдается высокое стояние одного из куполов диафрагмы. Левосторонний разрыв сопровождается разъединением плевральных листков с появлением неоднородного содержимого между ними. При правостороннем дефекте обнаруживается необычно высокое расположение печени - её верхний край может находиться на уровне второго ребра.
- Лапароскопия, видеоторакоскопия. Являются наиболее информативными методами диагностики. Позволяют визуализировать и локализовать разрыв органа. Применяются в сложных случаях, в том числе - для дифференцировки травмы с релаксацией диафрагмы. Видеоторакоскопия выполняется осторожно, верхним доступом из-за опасности повредить пролабирующие органы.

Лечение травм диафрагмы
В целях снижения летальности устранение жизнеугрожающих состояний, осложняющих диафрагмальную травму, должно быть максимально ранним и начинаться на догоспитальном этапе. Назначается адекватное обезболивание. Выполняется остановка кровотечения и восполнение ОЦК путем внутривенного вливания коллоидных плазмозаменителей и кристаллоидных растворов. Восстанавливается проходимость дыхательных путей, производится подача увлажнённого кислорода. Артериальная гипотензия купируется введением прессорных аминов.
В хирургическом стационаре осуществляется предоперационная подготовка, включающая в себя устранение пневмо- и гемоторакса, постановку назогастрального зонда и удаление содержимого желудка. Все эти мероприятия проводятся на фоне продолжающейся инфузионной терапии. Непосредственно во время операции выполняется прошивание кровоточащих сосудов, восстановление целостности внутренних органов, удаление патологического содержимого из полостей.
Объём оперативного вмешательства зависит от давности повреждения и состояния органов, перемещённых в плевральную полость (при наличии подобной патологии). Из-за отсутствия прочных сращений в течение нескольких часов или дней после травмы низведение осуществляется легко, лапаротомным доступом. При невозможности этой манипуляции или ущемлении органов дополнительно производится торакотомия. После восстановления нормального расположения внутренних органов производится ушивание дефекта диафрагмы. В послеоперационном периоде контролируются и корригируются витальные функции, назначается антибактериальная терапия.
Прогноз во многом зависит от характера травмы и величины образовавшегося дефекта. Около 50% пациентов с разрывом диафрагмы погибают от летальных осложнений до установления диагноза. Смерть в постоперационном периоде наступает в 35% случаев, чаще обусловлена наличием сочетанных повреждений. У пострадавших с открытым ранением диафрагмы прогностические показатели хуже, чем у больных с закрытой травмой. К профилактике подобных повреждений можно отнести общие меры по предупреждению травматизма, соблюдение правил личной безопасности в быту и на рабочем месте.
3. Диагностика и хирургическое лечение повреждений диафрагмы/ Кубачев Г.К., Омаров И.Ш., Турдыев Д.С.
4. Повреждения диафрагмы при открытой и закрытой торакоабдоминальной травме/ Кубачев Г.К., Кукушкин А.В.
Диагностика травм диафрагмы. Методы исследования
1 ГБОУ ВПО «Ростовский государственный медицинский университет» Минздравсоцразвития России, кафедра хирургических болезней № 4 ФПК и ППС
В основу работы положен опыт лечения больных, госпитализированных в связи с ранениями и закрытой травмой груди, на фоне сочетанной и множественной травмы. В зависимости от тактики проведенных лечебно-диагностических мероприятий. Дана оценка ближайших результатов в течение 10-14 дней после операции, а отдаленные изучались в сроки, начиная с 6 месяцев. В дальнейшем контрольные осмотры пациентов осуществляли в 9 месяцев, в 1 год и более (до 3-х лет) после операции. Эффективность видеоторакоскопии при ранениях грудной клетки, в частности, торакоабдоминальных ранений, составила 40 %. Таким образом, диагностические и лечебные возможности применения видеоторакоскопии в условиях экстренного вмешательства позволяют получить достоверные данные о повреждениях внутренних органов в совокупности со снижением травматичности лечебных мероприятий и риском развития послеоперационных осложнений.

1. Абдулжалилов М. К., Алишихов А. М. Трудности диагностики и выбора хирургической тактики при сочетанных закрытых травмах груди и живота // Второй съезд хирургов ЮФО. Материалы съезда. - Пятигорск, 2009. - С. 40.
2. Алишихов А. М., Богданов Д. Ю., Матвеев Н. Л. Опыт применения эндовидеохирургических технологий в диагностике и лечении торакоабдоминальной травмы // Эндоскопическая хирургия. - 2010. - № 5. - С. 7.
3. Багдасарова Е. А., Абагян А. Э., Тавадов А. В., Саргсян А. Р. Профилактика и лечение осложнений после сочетанных торакоабдоминальных ранений // Международный хирургический конгресс «Новые технологии в хирургии». Сб. трудов. - Ростов-на-Дону, 2005. - С. 10.
4. Бебуришвили A. Г. Видеоторакоскопия как альтернатива торакотомии при закрытой травме грудной клетки // Всероссийский съезд по эндоскопической хирургии, 3-й: тезисы. Эндоскоп. хир. - М., 2000. - № 2. - С. 9.
5. Бисенков Л. Н., Зубарев П. Н., Трофимов В. М. и др. Неотложная хирургия груди и живота. - СПб.: Гиппократ, 2006. - 560 с.
6. Бурчуладзе П. О., Жестков К. Г. Сравнительный анализ возможностей неинвазивных методов и диагностической торакоскопии при торакоабдоминальных ранениях // Эндоскоп. хир. - 2005. - № 1. - С. 25.
7. Воскресенский О. В., Даниелян Ш. Н., Абакумов М. М. Видеоторакоскопия в диагностике и лечении ранений и закрытых повреждений груди и их осложнений // IX cъезд хирургов Российской Федерации. - Волгоград, 2011. - С. 589.
8. Воскресенский О. В., Жестков К. Г., Абакумов М. М., Гуляев А. А. Видеоторакоскопия в лечении пострадавших с проникающими ранениями груди // Хирургия. - 2006. - № 1. - С. 22-28.
9. Дегтярев О. Л., Ситников В. Н., Турбин М. В., Хамченков А. Г. Лечебно-диагностическая торакоскопия при повреждениях органов груди на фоне множественной и сочетанной травмы // Всероссийский форум «Пироговская хирургическая неделя». Приложение к научно-теоретическому журналу «Вестник Санкт-Петербургского университета». Серия 11. Медицина. - СПб., 2010. - С. 668.
10. Дегтярев О. Л. Торакоабдоминальные ранения на фоне множественных и сочетанных повреждений // Материалы XIV Съезда Общества Эндоскопических хирургов России. Альманах института А. В. Вишневского. - М., 2011. -Т 6. - № 1. (1) - С. 190.
В настоящее время торакоабдоминальная травма - один из самых распространенных видов травм, характеризующихся высокой частотой развития осложнений и летальностью. Основной проблемой, затрудняющей принятие тактического решения при торакоабдоминальная травме, является отсутствие достоверной информации о повреждениях внутренних органов. Традиционно используемые средства диагностики позволяют судить о повреждении косвенно, с определенной долей вероятности [1-3, 6]. Достоверные данные о повреждениях внутренних органов позволяет получить ревизия при полостной операции, однако как диагностический метод полостная операция характеризуется высокой травматичностью и частым развитием послеоперационных осложнений [1, 2, 5, 7].
Для диагностики, а зачастую и устранения повреждений в настоящее время используются эндовидеохирургические методы [1-3, 11, 17]. Однако, несмотря на очевидные преимущества эндовидеохирургии, для экстренной диагностики и хирургической коррекции повреждений данный метод используется редко, в основном в специализированных многопрофильных стационарах [1, 2, 8, 9, 13, 14, 16, 17]. Диагностические и лечебные возможности данного метода в условиях экстренного вмешательства изучены недостаточно и требуют дальнейших разработок [12].
В обобщающем исследовании R. Villavicencio [18] показано, что торакоскопия эффективна в выявлении ранений диафрагмы в 98 %, при эвакуации гемоторакса - в 90 %, в случае внутриплеврального кровотечения в 82 % наблюдений.
Все вышесказанное определяет выраженную потребность в повышении точности диагностики и объективизации характера, объема и тяжести внутригрудных повреждений с целью определения сроков и методов хирургического лечения у пострадавших с сочетанными повреждениями груди.
МАТЕРИАЛ И МЕТОДЫ
В основу данной работы положен опыт лечения 794 больных, госпитализированных в связи с ранениями и закрытой травмой груди, на фоне сочетанной и множественной травмы в период с 2004 по 2011 год. В зависимости от тактики проведенных лечебно-диагностических мероприятий все больные были разделены на две группы: клиническая группа I (контрольная) - обследованные и пролеченные без применения видеоторакоскопии (n=364); клиническая группа II (основная) - обследованные и пролеченные с применением лечебно-диагностической видеоторакоскопии (n=430). Обе клинические группы были сопоставимы по возрастным, половым и клиническим характеристикам. Распределение по возрастным периодам пациентов с повреждением органов груди на фоне политравмы в контрольной и основной группах было неодинаково, однако достоверных различий нами не выявлено (р>0,05). Средний возраст пострадавших составил 41,6 ± 2,4 года.
В обеих группах наблюдались различные травмы в сравнимых количествах. Во II клинической группе было некоторое преобладание пострадавших с повреждением опорно-двигательного аппарата. Однако статистически различия оказались незначимыми (p>0,05).
Основные показатели оценивали по общепринятым методикам: тяжесть шока - по индексу Allgower; тяжесть кровопотери - по методике Н. А. Кузнецова (2003). Анализируя клиническое течение повреждений груди, при сочетанной и множественной травме учитывали периодизацию травматической болезни [10, 11]. Тяжесть политравмы и ее шокогенность, возможность применения тех или иных операций оценивали по балльной системе в соответствии с рекомендациями НИИ скорой помощи им. И. И. Джанелидзе (г. Санкт-Петербург, 2007 г.) [15]. Показания к экстренной торакоскопии при травмах грудной клетки определялись в соответствии с рекомендациями МНИИ скорой помощи им. Н. В. Склифосовcкого (г. Москва, 2009 г.).
Оценку ближайших результатов проводили в течение 10-14 дней после операции, а отдаленные изучались в сроки, начиная с 6 месяцев. В дальнейшем контрольные осмотры пациентов осуществляли в 9 месяцев, в 1 год и более (до 3-х лет) после операции.
РЕЗУЛЬТАТЫ И ОБСУЖДЕНИЕ
При закрытой травме груди у пациентов группы сравнения были выявлены следующие клинические симптомы: одышка - 298 человек (81,9 %), кровохарканье - 10 человек (2,7 %), пневмоторакс - 56 человек (15,4 %), гемоторакс - 48 человек (13,2 %), в том числе свернувшийся гемоторакс - 22 (45,8 %) случая из 48 случаев гемоторакса, гемопневмоторакс - 180 человек (49,5 %), деформация грудной стенки - 66 человек (36,3 %), патологическая подвижность грудной стенки - 78 человек (21,4 %), подкожная эмфизема - 186 человек (51,1 %). При открытой травме груди были выявлены следующие клинические симптомы: одышка - 24 человек (6,6 %), кровохарканье - 6 человек (2,7 %), пневмоторакс - 8 человек (2,2 %), гемоторакс - 40 человек (11,0 %), гемопневмоторакс - 32 человека (8,8 %), деформация грудной стенки - 2 пациента (0,5 %), патологическая подвижность грудной стенки - 4 человека (1,1 %), подкожная эмфизема - 36 человек (9,3 %), присасывание или выделение воздуха из раны - 70 человек (19,2 %).
Во II клинической группе, при закрытой травме груди на фоне политравмы были выявлены следующие клинические симптомы: подкожная эмфизема - 302 пациента (70,2 %), одышка - 298 пациентов (69,3 %), гемопневмоторакс - 222 пациентов (51,6 %), пневмоторакс - 58 пациентов (13,5 %), деформация грудной стенки - 50 пациентов (11,6 %), гемоторакс - 36 пациентов (8,4 %), патологическая подвижность грудной стенки - 36 пациентов (7,4 %), кровохарканье - 10 пациентов (2,3 %).
При открытой травме груди были выявлены следующие клинические симптомы: присасывание или выделение воздуха из раны - 74 пациента (17,2 %), гемопневмоторакс - 68 пациентов (15,8 %), подкожная эмфизема - 40 пациентов (9,3 %), одышка - 36 пациентов (8,4 %), кровохарканье - 14 пациентов (3,3 %), пневмоторакс - 6 пациентов (1,4 %), гемоторакс - 6 пациентов (1,4 %), деформация грудной стенки - 2 пациента (0,5 %), патологическая подвижность грудной стенки - 2 пациента (0,5 %). При сочетании трех симптомов травму считали тяжелой.
Одним из основных диагностических методов при обследовании пострадавших с закрытой травмой груди и ранениями груди был рентгенологический. Рентгенологическое исследование выполнено у 94,5 % и 92,1 % больных соответственно в контрольной и основной группах, остальным его не проводили из-за тяжести состояния и необходимости экстренных хирургических вмешательств.
При поступлении в стационар у большинства пострадавших контрольной группы (280 человек - 76,2 %) имелся гемоторакс или гемопневмоторакс, диагностированный рентгенологически.
Рентгенологически у II клинической группы выявлены: переломы ребер - у 348 человек (80,9 %), высокое стояние диафрагмы - у 346 (80,5 %), эмфизема мягких тканей - у 356 (82,8 %), гемопневмоторакс - у 290 (67,4 %), пневмоторакс - у 64 (14,9 %), ушиб легкого - у 50 (11,6 %), гемоторакс - у 42 (9,7 %), свободный газ под диафрагмой - у 28 (6,5 %), расширение тени средостения - у 4 (0,9 %).
В группе контроля при обследовании пострадавших с закрытой травмой груди подозрения на повреждение диафрагмы не выявлено, тогда как в основной группе видеоторокоскопией диагностированы ушибы и разрывы диафрагмы у 76 больных (22,5 %), которым в последующем была выполнена лапаротомия.
Ранение в торакоабдоминальной зоне, подозрение на ранение диафрагмы по данным клинического и инструментального исследований или наличие абдоминальной симптоматики явилось показанием к видеоторакоскопии у 24 пациентов (26,0 %). У 20 раненых (21,7 %) в ходе видеоторакоскопии диагностированы раны диафрагмы, которые имели продольную форму, размерами от 1 до 6 см. При этом у 16 пострадавших раны проникали в брюшную полость, у 12 раненых (13,0 %) с дефектами сухожильной части диафрагмы более 2 см визуализировались органы брюшной полости. В связи с чем, им была выполнена лапаротомия. Раны правого и левого куполов диафрагмы были выявлены в одинаковом количестве случаев - 6 (6,5 %) пострадавших. При ранах правого купола диафрагмы размерами 2 см и меньше, у 4 (4,3 %) пострадавших, во время видеолапароскопии были выявлены изолированные ранения правой доли печени, гемостаз был достигнут электрокоагуляцией.
У 4 (4,3 %) пациентов раны диафрагмы при видеоторокоскопии были расценены как непроникающие в брюшную полость. Раны размерами до 2 см при отсутствии кровотечения и стабильной гемодинамике были ушиты торакоскопически. Однако этим больным также была выполнена диагностичекая лапароскопия с целью исключения повреждений органов брюшной полости.
Следует отметить, у 12 из 20 пациентов с ранениями диафрагмы (60,0 %) не было ни клинических, ни рентгенологических признаков повреждения диафрагмы, за исключением локализации раны в «торакоабдоминальной зоне». Ранения диафрагмы явились находкой при видеоторакоскопии. Кроме того, у 2 (16,7 %) пациентов с локализацией ранения в «торакоабдоминальной зоне» видеоторакоскопией было исключено повреждение диафрагмы.
Летальности в группе раненых с торакоабдоминальными ранениями не было. В послеоперационном периоде у 2 раненых развился посттравматический плеврит (2,2 %), и у 2 пациентов (2,2 %) - динамическая кишечная непроходимость. Осложнения не потребовали повторных вмешательств и были купированы консервативно.
Раны диафрагмы ушиты герниостеплером в 8 случаях из 20. У 20 пациентов выполнена лапароскопия с целью исключения повреждения органов брюшной полости.
Эффективность видеоторакоскопии при ранениях грудной клетки, в частности, торакоабдоминальных ранений составила 40 %.
Таким образом, диагностические и лечебные возможности применения видеоторакоскопии в условиях экстренного вмешательства позволяют получить достоверные данные о повреждениях внутренних органов в совокупности со снижением травматичности лечебных мероприятий и риском развития послеоперационных осложнений.
Рецензенты:
Хоронько Юрий Владиленович, доктор медицинских наук, профессор, заведующий кафедрой оперативной хирургии и топографической анатомии ГБОУ ВПО «Ростовский государственный медицинский университет» Министерства здравоохранения и социального развития Российской Федерации, г. Ростов-на-Дону.
Саркисян Ваган Арамович, доктор медицинских наук, заведующий отделением множественной и сочетанной травмы МБУЗ «Городская больница скорой медицинской помощи», г. Ростов-на-Дону.
Пермская государственная медицинская академия им. акад. Е.А. Вагнера
Красноярский центр репродуктивной медицины
Кафедра судебной медицины Первого МГМУ им. И.М. Сеченова
ФГБОУ ВО «Пермский государственный медицинский университет им. акад. Е.А. Вагнера» Минздрава России, Пермь, Россия
Судебно-медицинские и клинико-анатомические аспекты диагностики колото-резаных повреждений диафрагмы
Журнал: Судебно-медицинская экспертиза. 2019;62(4): 5‑9
Цель исследования — путь изучения топографоанатомических характеристик колото-резаных повреждений диафрагмы (ПД), уточнить границы торакоабдоминальной области для повышения качества клинической диагностики и судебно-медицинской экспертизы пострадавших с торакоабдоминальными ранениями (ТАР). По результатам судебно-медицинского исследования 81 трупа погибших от ТАР провели анализ клинико-анатомических характеристик ТАР; в анатомическом эксперименте на 90 трупах, не имевших прижизненной патологии органов груди, изучили типовые границы реберно-диафрагмального плеврального синуса. Результаты судебно-медицинских исследований и анатомического эксперимента использовали при диагностике ПД у 411 пострадавших с колото-резаными ранениями груди и живота. Уточнили границы торакоабдоминальной области, расположение раны в которой делает особенно высокой (10—50%) вероятность ПД. Разработали методику диагностики ПД, с помощью которой у 411 пострадавших с ранениями груди и живота выявили 81 случай ПД. Результаты исследования доказывают целесообразность использования компьютерной томографии при экспертизе живых лиц с ранением в торакоабдоминальной области. Такое исследование позволит выявить недиагностированное ПД, дать правильную квалификацию повреждения и получить сведения об особенностях раневого канала.
Колото-резаные повреждения острыми предметами занимают лидирующие позиции в структуре смертельного травматизма и являются актуальной проблемой как судебно-медицинской экспертизы трупов и живых лиц, так и клинической практики [1—5]. К числу наиболее тяжелых относятся торакоабдоминальные ранения (ТАР), при которых всегда имеется повреждение диафрагмы (ПД) [4—7]. Угрозу для жизни и здоровья пациента с ТАР представляют как повреждения органов груди и живота, так и не выявленное вовремя ПД, которое может стать воротами диафрагмальной грыжи с ущемлением органов брюшной полости и причиной высокой летальности [5—9].
Частота ошибок при выявлении ПД составляет 30—70% [4, 5, 7, 10]. Диагностика осложняется тем, что достоверные клинические, рентгенологические и сонографические симптомы ПД встречаются не более чем у 39—45% пострадавших с ТАР [4—7, 9, 10]. Более чувствительной (50—80%) является компьютерная томография (КТ), однако она применима только у стабильных пациентов [5, 8, 9]. Помимо клинического использования, КТ сегодня активно внедряется в практику судебно-медицинской экспертизы [11]. Эффективнее всего ПД обнаруживают при операциях [4—6, 9, 10].
При отсутствии очевидных показаний к операции в выявлении ПД возникают сложности [7]. Например, у пациентов со стабильной гемодинамикой без клинических проявлений повреждений внутренних органов груди и живота хирургу трудно не только обнаружить ПД, но даже установить проникающий характер ранения [5, 8]. Причина этого — узость межреберья и «сложный» ход раневого канала, обусловленный «активным и пассивным смещением» тканей грудной стенки при изменении положения туловища после нанесения ранения [3].
Невольным заложником подобной диагностической ошибки становится судебно-медицинский эксперт, в распоряжении которого при экспертизе живых лиц имеется только протокол операции. Колото-резаное повреждение, квалифицированное как легкий или средней тяжести вред здоровью, в дальнейшем может привести к тяжким последствиям вплоть до летального исхода.
Для диагностики ТАР выделяют торакоабдоминальную область (ТАО), расположение раны в которой делает особенно высокой (10—50%) вероятность ПД и служит показанием к различным диагностическим операциям [4, 5—7, 10]. Границы этой области определяют по-разному: верхняя граница — от IV до VI ребра, нижняя — от XI ребра до уровня пупка и подвздошных гребней [5—7].
В ТАО диафрагма ближе всего прилежит к грудной стенке и наиболее легко достижима для ранящего предмета в зоне реберно-диафрагмального синуса [12]. Границы синуса изменчивы и зависят от типа телосложения пациента [13, 14].
Цель исследования — повысить качество клинической диагностики и производства судебно-медицинской экспертизы пострадавших с ТАР путем определения топографоанатомических границ области тела, наиболее уязвимой для формирования подобного рода повреждений.
Материал и методы
Анатомические исследования проводили в ГКУЗОТ ПК «Пермское краевое бюро судебно-медицинской экспертизы». Уточнение границ ТАО и уточнение клинико-анатомических характеристик ТАР провели по результатам судебно-медицинского исследования 81 трупа пострадавших с ТАР. Типовые границы реберно-диафрагмального плеврального синуса определяли у 90 трупов мужского пола второго периода зрелого возраста (по 30 объектов долихо-, мезо- и брахиморфного типов телосложения) без патологии груди. Выбор объектов исследования обусловлен данными литературы о том, что среди пострадавших с ТАР преобладают мужчины зрелого возраста [14].
В клиническом разделе работы проанализировали результаты диагностики 81 случая ПД у 411 пострадавших с проникающими ранениями груди и живота, находившихся на лечении в торакальном отделении ГАУЗ ПК «Городская клиническая больница № 4» Перми.
Результаты и обсуждение
Из погибших в результате ТАР 57 (70,37%) мужчин и 24 (29,63%) женщины, у 56 (69,14%) обнаружили единичные ТАР, у 25 (30,86%) — множественные. В 44 (54,32%) случаях ТАР локализовались слева, в 33 (40,74%) — справа, а в 4 (4,94%) случаях имела место двусторонняя локализация ран. Всего у 81 трупа выявили 154 (100%) ТАР, из них 82 (53,2%) располагались справа, а 72 (46,8%) — слева.

Изучили локализацию кожных ран при ТАР относительно вертикальных линий груди. Обнаружили справа 24 (15,6%) раны на участке от передней до средней подмышечной линии и 22 (14,2%) раны на участке от среднеключичной до передней подмышечной линии. Слева 18 (11,7%) ран располагались на участке от среднеключичной до передней подмышечной линии, 15 (9,7%) — от передней до средней подмышечной линии и 14 (9,1%) ран — от окологрудинной до средней ключичной линии. Иная локализация ран встречалась реже (табл. 1). Таблица 1. Локализация ТАР относительно вертикальных линий (n=154) Полученные данные свидетельствуют о том, что вероятность ПД при локализации раны в других участках между линиями достаточно велика, хотя более половины (51,3%) ТАР сосредоточены между среднеключичной и средней подмышечной линией.
Далее исследовали локализацию ран относительно межреберий. Выявили 25 (16,2%) ран слева в седьмом межреберье, 16 (10,4%) в шестом межреберье справа и 15 (9,7%) ран в пятом межреберье справа.
Значительно реже ранения были в четвертом межреберье слева — 2 (1,3%) случая, во втором справа и в одиннадцатом межреберье справа и слева — по 1 (0,6%) случаю. В первом и третьем межреберьях ранений не обнаружили.

Ранения в 104 (67,5%) случаях располагались в промежутке между пятым и восьмым межреберьями (табл. 2). Таблица 2. Локализация ТАР по межреберьям и областям передней брюшной стенки (n=154)
Таким образом, практически все смертельные ТАР 153 (99,6%) находились в пространстве от четвертого межреберья сверху до эпигастральной области и одиннадцатого межреберья снизу. Определили верхнюю границу ТАО — нижний край IV ребра и нижнюю границу — линию, проведенную через нижние точки X ребра (нижняя граница эпигастральной области) и далее идущую по нижнему краю XI и XII ребер.

В анатомическом эксперименте определили типовую проекцию на кожу реберно-диафрагмального плеврального синуса (табл. 3). Таблица 3. Проекция верхней и нижней границ реберно-диафрагмального синуса на ребра и межреберья при различных типах телосложения
Верхнюю границу синуса определяли как нижнюю границу легкого, нижнюю — как место крепления верхней поверхности диафрагмы к грудной стенке. Установили, что передние отделы синуса наиболее высоко расположены у людей с брахиморфным типом телосложения, наиболее низко — с долихоморфным типом телосложения, а задние отделы, наоборот, выше расположены при долихоморфном, а ниже — при брахиморфном типе телосложения. По передней подмышечной линии синус занимает пространство от VII по VIII ребра при всех типах телосложения.
Результаты исследований стали частью методики диагностики ПД при проникающих колото-резаных ранениях груди и живота.
Пострадавшим с кровотечением и другой патологией, требующей открытых операций, выполняли лапаро- или торакотомию с осмотром диафрагмы. При отсутствии показаний к лапаротомии при ранениях живота производили лапароскопию и осматривали диафрагму.
Если не было показаний к торакотомии у пострадавшего с проникающим ранением груди, то сначала оценивали топографию раны. При локализации раны выше четвертого межреберья выполняли торакоскопию и осматривали диафрагму. Если рана располагалась в ТАО (ниже четвертого межреберья), но вне проекции реберно-диафрагмального синуса, выполняли торакоскопию, а при наличии спаек в плевральной полости — дополнительно лапароскопию. Если сращения были и в брюшной полости, дополнительно выполняли КТ.
Все раны, локализованные в проекции реберно-диафрагмального синуса, рассматривали как ТАР, пока не было доказано обратное. Дополнительно к торакоскопии расширяли рану грудной стенки до размеров мини-торакотомии и тщательно осматривали диафрагму. При необходимости выполняли лапароскопию и КТ.
Описанные подходы применили в лечении 411 пострадавших с проникающими ранениями груди и живота. ПД обнаружили у 81 (100%) из них. Этим больным в общей сложности выполнили 201 операцию. Выздоровели 73 (90,12%) и умерли 8 (9,88%) пострадавших.
Никто из выздоровевших пострадавших впоследствии не попадал в поле зрения торакальных хирургов ГКБ № 4 по поводу посттравматической диафрагмальной грыжи (всех больных с торакальной патологией Перми госпитализируют в ГКБ № 4). Это с высокой долей уверенности позволяет утверждать об эффективности диагностики.
У 2 (2,47%) стабильных пациентов без клинических проявлений повреждения органов груди и живота и с расположением раны в ТАО диагноз ПД был установлен при КТ.
Необходимо отметить, как важно при проведении судебно-медицинских экспертиз установить механизм нанесения колото-резаных повреждений и идентифицировать орудие травмы [2, 15]. Для идентификации травмирующего предмета очень важен показатель глубины раневого канала [1], при этом судебно-медицинское исследование раневых каналов до сегодняшнего дня остается прерогативой секционного исследования трупов [3]. Внедрение метода КТ в практику экспертизы живых лиц с ранениями груди, расположенными в ТАО, позволит провести анализ взаимного расположения рубца на месте кожной раны и обнаруженного дефекта диафрагмы и получить сведения об особенностях раневого канала.
Выводы
1. Смертельные ТАР, сопровождающиеся ПД, в 67,5% случаев располагаются между пятым и восьмым межреберьями и в 51,3% случаев — между среднеключичной и средней подмышечной линиями груди.
2. Максимальная опасность ПД возникает при расположении ранения в ТАО, ограниченной четвертым межреберьем сверху и линией, соединяющей нижние участки X ребер и идущей по нижнему краю XI и XII ребер снизу. В ТАО опасность ПД возрастает при расположении ранения в зоне реберно-диафрагмального синуса, границы которой имеют типовые особенности, однако по передней подмышечной линии занимают пространство с VII по VIII ребро при всех типах телосложения.
Для эффективного выявления ПД следует визуализировать диафрагму при каждом проникающем ранении груди и живота. Способ визуализации целесообразно определять в зависимости от клинической картины и топографии ранения.
3. В судебно-медицинском отношении при осмотре трупа на месте его обнаружения расположение колото-резаного ранения груди ниже четвертого межреберья должно сориентировать эксперта на возможность повреждения диафрагмы и органов брюшной полости. Подобная локализация раны, выявленная при судебно-медицинском исследовании трупа пострадавшего, должна нацелить врача на обязательное исследование грудобрюшной преграды in situ до эвисцерации органов груди/живота.
4. При проведении экспертизы живого лица с установленным клинически диагнозом «непроникающей» колото-резаной раны в случае выявления рубца в проекции реберно-диафрагмального синуса целесообразно рекомендовать пострадавшему пройти КТ. В случае обнаружения дефекта диафрагмы это рентгенологическое исследование позволит объективно установить проникающий характер имевшего место ранения и адекватно определить степень тяжести вреда, причиненного здоровью.
Читайте также:
