Трипаносомоз африканский. Возбудитель и механизмы развития сонной болезни
Добавил пользователь Владимир З. Обновлено: 21.01.2026
Управление Роспотребнадзора по Республике Марий Эл
Сонная болезнь - Памятки для населения
Памятки для населения
Сонная болезнь
Сонная болезнь или африканский трипаносомоз − заболевание людей и животных, вызываемое паразитическим простейшим вида Trypanosoma brucei, переносчиком которого является муха цеце.
В 1896-1906 годах Уганду и бассейн реки Конго поразила эпидемия сонной болезни. Болезнетворный агент и переносчик инфекции открыл в 1902-1903 годах Дэвид Брюс. Первое эффективное лекарство атоксил (на основе мышьяка) было разработано Паулем Эрлихом и Киёси Сигой и введено в практику в 1910 году. Препарат, однако, оказался токсичным для человека и мог вызвать слепоту в 82% случаев.
Этиология
Заражение человека происходит при укусе насекомого-переносчика − мухи цеце. Обычно заражение человека возбудителем западноафриканского трипаносомоза происходит недалеко от водоемов и вдоль берегов рек, в то время как заражение возбудителем восточноафриканского трипаносомoза − в саваннах и на местах недавно вырубленных тропических лесов.
Сонная болезнь эндемична в 36 странах тропической Африки. Ежегодно регистрируется до 40 тысяч новых случаев. Вероятно, реальное число заболевших значительно больше и может составлять до 300 тысяч. Около 50 миллионов человек проживают в условиях риска заражения.
Основным хозяином является человек, дополнительным − свиньи.
Мухи цеце нападают в светлое время суток, преимущественно на открытой природе, некоторые антропофильные виды могут залетать в поселки. Кровь пьют и самцы, и самки. В организм переносчика трипаносомы попадают при питании кровью инвазированного позвоночного животного или человека. Около 90% трипаносом, поглощенных мухой цеце, погибают.
Достаточно одного укуса зараженной мухи, чтобы человек заболел сонной болезнью, муха со слюной за один укус выделяет около 400 тысяч трипаносом. Больной становится источником инвазии примерно с десятого дня после заражения и остается им на протяжении всего периода болезни, даже в период ремиссии и отсутствия клинических проявлений.
Заболеваемость носит сезонный характер. Пик приходится на сухой сезон года, когда мухи цеце концентрируются около оставшихся не пересохшими водоемов, интенсивно используемых населением для хозяйственных нужд.
Симптомы
После укуса мухи цеце начинается инкубационный период, который длится 1-3 недели. На месте укуса иногда формируется трипаносомидный шанкар, в котором паразиты активно размножаются, проникая в ткани, кровь и лимфу, и который исчезает через 5-7 дней. Первыми симптомами являются приступы лихорадки, головные боли и боли в суставах, часто сильно увеличиваются в размерах лимфатические узлы. У некоторых больных формируются большие вздутия шейных и затылочных узлов. Если не начать лечение, болезнь продолжает прогрессировать, вызывая анемию, нарушения в работе сердца, почек, эндокринной системы.
Профилактика
Комплекс мероприятий по оздоровлению очагов сонной болезни включает выявление и лечение африканского трипаносомоза, общественную и индивидуальную профилактику населения, борьбу с переносчиками. Имеет значение серологическое обследование, прежде всего людей, относящихся к группе риска (охотники, лесорубы, строители дорог и др.). Обследование должно проводиться не реже двух раз в год (перед сезоном и после сезона наибольшей опасности заражения).
Африканский трипаносомоз человека (сонная болезнь)
Африканский трипаносомоз человека, также известный как сонная болезнь, относится к трансмиссивным паразитарным заболеваниям. Его возбудителям являются паразитирующие простейшие, принадлежащие к роду трипаносом. Они передаются человеку при укусе мухи цеце (род Glossina), инфицированной от людей или животных, выступающих в роли хозяев этих патогенных для человека паразитов.
Муха цеце обитает только в Африке к югу от Сахары, и передавать болезнь могут лишь некоторые ее виды. По неизвестным на сегодняшний день причинам во многих районах ареала обитания мухи цеце случаи сонной болезни не отмечаются. Наиболее подвержены укусам мухи цеце и, следовательно, данной болезни жители эндемичных сельских районов, занимающиеся сельским хозяйством, рыболовством, животноводством и охотой. Случаи болезни могут отмечаться как на территории отдельных деревень, так и в целом регионе. В пределах отдельно взятого инфицированного района интенсивность распространения болезни может сильно варьироваться от одного сельского поселения к другому.
Формы африканского трипаносомоза человека
Африканский трипаносомоз человека имеет две формы в зависимости от вида возбудителя:
Существует еще одна форма трипаносомоза, которая встречается преимущественно в Латинской Америке. Она известна как американский трипаносомоз, или болезнь Шагаса. Возбудитель болезни Шагаса относится к другому подроду Trypanosoma, передается другими переносчиками и вызывает заболевание, клинические проявления которого отличаются от африканского трипаносомоза человека.
Трипаносомоз животных
Другие виды и подвиды паразитов рода Trypanosoma являются патогенными для животных и вызывают трипаносомоз у некоторых видов диких и домашних животных. Трипаносомоз крупного рогатого скота называют нагана. Трипаносомоз домашних животных, особенно крупного рогатого скота, серьезно подрывает экономическое развитие инфицированных сельских районов.
Животные могут быть носителями патогенных для человека паразитов, особенно T.b. rhodesiense, причем домашние и дикие животные являются важным резервуаром последнего. Животные могут быть также инфицированы T.b. gambiense и, вероятно, могут также выступать в качестве его резервуара, хотя и в меньшей степени. Тем не менее реальная роль животного резервуара в эпидемиологии гамбийской формы болезни до сих пор недостаточно изучена.
Крупные эпидемии
За последнее столетие в Африке произошло несколько эпидемий:
- эпидемия 1896-1906 гг., преимущественно затронувшая Уганду и бассейн реки Конго;
- эпидемия 1920 г., затронувшая ряд африканских стран; и
- последняя по времени эпидемия, начавшаяся в 1970 г. и продолжавшаяся до конца 1990-х гг.
В 1920 г. борьба с эпидемией велась силами передвижных бригад, которые выполняли скрининг миллионов людей, проживающих в районах высокого риска. К середине 1960-х гг. распространение болезни было взято под контроль, и на всем континенте регистрировалось менее 5 000 случаев заболевания. После такого успеха эпиднадзор был ослаблен, в связи с чем болезнь вернулась, и к 1970 г. в нескольких регионах ее вспышки разрослись до эпидемии. В 1990-е гг. и в начале XXI века благодаря усилиям ВОЗ, осуществлению национальных программ по борьбе с болезнью, двустороннему сотрудничеству и деятельности неправительственных организаций (НПО) тенденция к росту заболеваемости была остановлена.
Поскольку число новых случаев заболевания африканским трипаносомозом человека за период с 2000 по 2012 г. значительно сократилось в результате международных координированных усилий, в Дорожной карте ВОЗ по борьбе с забытыми тропическими болезнями была поставлена цель по его элиминации как проблемы общественного здравоохранения к 2020 г. и ликвидации передачи инфекции (сведение числа случаев к нулю) к 2030 г.
Бремя болезни
Сонная болезнь угрожает здоровью миллионов людей в 36 странах Африки к югу от Сахары. Многие из них проживают в отдаленных районах с ограниченным доступом к необходимой медицинской помощи, что затрудняет эпиднадзор и, следовательно, диагностику и лечение больных. Кроме того, важными факторами, способствующими передаче инфекции, являются перемещение населения, вооруженные конфликты и нищета.
Текущий ареал распространения заболевания
Показатели распространенности болезни варьируются между странами, а также между районами на территории отдельно взятой страны.
Механизм передачи и симптомы
Болезнь передается главным образом при укусе инфицированной мухи цеце, однако известны и другие механизмы передачи инфекции:
- передача инфекции от матери ребенку: трипаносомы могут проходить через плаценту и инфицировать плод;
- возможна механическая передача через других кровососущих насекомых, однако эпидемиологическая значимость этого пути передачи инфекции неизвестна;
- известны случаи случайного инфицирования персонала лабораторий в результате травмы зараженной иглой;
- есть сведения о передаче паразита половым путем.
На первой стадии инфекции трипаносомы размножаются в подкожных тканях, крови и лимфе. Эта стадия известна как гемолимфатическая фаза болезни, для которой характерны приступы лихорадки, головная боль, увеличение лимфоузлов, боль в суставах и зуд.
На второй стадии паразиты проходят гематоэнцефалический барьер и инфицируют центральную нервную систему. Эта стадия известна как неврологическая, или менингоэнцефалитическая. В целом на этой стадии появляются наиболее очевидные признаки и симптомы болезни: изменение поведения, спутанность сознания, сенсорные расстройства и нарушение координации движений. Важным клиническим признаком на этой стадии является нарушение цикла сна, которое и дало название этой болезни. Без лечения сонная болезнь считается смертельной, хотя известны случаи здорового носительства инфекции.
Ведение болезни: постановка диагноза
Ведение болезни осуществляется в три этапа:
- Скрининг на предмет выявления вероятной инфекции. Он включает серологическое исследование (возможно только в отношении T.b. gambiense) и проверку на наличие клинических признаков, в частности увеличения шейных лимфатических узлов.
- Поиск паразита в биологических жидкостях.
- Определение стадии болезни. Для этого выполняется клиническое обследование пациента и в некоторых случаях исследование спинномозговой жидкости, полученной путем люмбальной пункции.
Во избежание необходимости применения сложных и тяжелых методов лечения диагностика должна выполняться как можно раньше до развития неврологической стадии заболевания.
Ввиду длительного и бессимптомного течения первой стадии сонной болезни, вызванной T. b. gambiense, рекомендуется организация тщательного и активного скрининга групп риска с целью выявления пациентов на ранней стадии заболевания и ограничения дальнейшего распространения инфекции посредством их лечения, после которого они перестают выступать в качестве резервуара. Всесторонний скрининг населения требует серьезных финансовых вложений в кадровые и материальные ресурсы. В Африке, особенно в отдаленных районах с наибольшей распространенностью заболевания, этих ресурсов часто не хватает. В результате часть инфицированных умирает еще до постановки диагноза и получения лечения.
Лечение
Тип лечения зависит от формы и стадии заболевания. Раннее выявление болезни повышает шансы на успешное излечение. Ввиду того что паразит может сохранять жизнеспособность в течение длительного времени и вызывать рецидивы через много месяцев после окончания терапии, для оценки результатов лечения пациенты должны оставаться под наблюдением в течение периода продолжительностью до 24 месяцев, в рамках которого следует проводить клиническое обследование пациентов и выполнять лабораторные исследования физиологических жидкостей, в том числе в некоторых случаях спинномозговой жидкости, полученной путем люмбальной пункции.
Для успешного лечения болезни на второй стадии необходимо применение лекарственных препаратов, способных преодолевать гематоэнцефалический барьер и нейтрализовать паразита в центральной нервной системе.
Препараты для лечения болезни на первой стадии:
- Пентамидин: впервые получен в 1940 г., используется для лечения сонной болезни, вызванной T.b. gambiense, на первой стадии. Несмотря на наличие серьезных побочных эффектов, препарат в целом хорошо переносится.
- Сурамин: впервые получен в 1920 г., используется для лечения болезни, вызванной T.b. rhodesiense, на первой стадии. Препарат имеет ряд нежелательных побочных эффектов, включая нефротоксическое действие и аллергические реакции.
Препараты для лечения болезни на второй стадии:
Препараты для лечения заболевания на обеих стадиях:
Фексинидазол - пероральный препарат для лечения гамбийской формы африканского трипаносомоза человека. В 2019 г. препарат был включен в Перечень основных лекарственных средств ВОЗ и рекомендован в руководстве ВОЗ по лечению африканского трипаносомоза человека. Препарат показан в качестве терапии первой линии на первой и нетяжелой второй стадии заболевания. Он принимается в течение 10 дней через 30 минут после приема твердой пищи под наблюдением квалифицированного медицинского персонала. В настоящее время проводятся клинические испытания этого препарата для лечения родезийской формы трипаносомоза.
Частно-государственные партнерства
В 2000 и 2001 гг. ВОЗ учредила частно-государственное партнерство с компаниями Aventis Pharma (в настоящее время Sanofi) и Bayer HealthCare, в результате чего была создана программа по эпиднадзору и борьбе с данным заболеванием под руководством ВОЗ, в рамках которой эндемичным странам предоставляется поддержка в осуществлении противоэпидемических мероприятий и бесплатно поставляются лекарственные препараты.
Партнерство неоднократно продлевалось в 2006, 2011, 2016 и 2021 г. Успехи в сокращении числа случаев сонной болезни и появление реальной перспективы ее элиминации побудили ряд других партнеров из частного сектора поддержать инициативу ВОЗ по элиминации болезни как проблемы общественного здравоохранения и обеспечению ликвидации передачи инфекции к 2030 г.
Деятельность ВОЗ
ВОЗ оказывает содействие и техническую поддержку национальным программам по борьбе с сонной болезнью.
Организация на безвозмездной основе поставляет эндемичным странам противотрипаносомные лекарственные средства в рамках частно-государственных партнерств с компаниями Sanofi (пентамидин, меларсопрол, эфлорнитин и фексинидазол) и Bayer HealthCare (сурамин и нифуртимокс). Отгрузка и транспортировка лекарственных препаратов осуществляется совместно с логистическим отделением организации «Врачи без границ» MSF-Logistics.
Для содействия разработке новых и недорогостоящих средств диагностики ВОЗ в 2009 г. создала банк образцов биоматериалов, которыми могут пользоваться исследователи. В банке, размещенном в Институте Пастера в Париже, хранятся образцы крови, сыворотки, спинномозговой жидкости, слюны и мочи, взятые у пациентов, инфицированных обеими формами болезни, а также образцы, взятые у неинфицированных людей из эндемичных районов.
В 2014 г. в целях активизации и поддержки усилий по элиминации болезни по инициативе ВОЗ была создана координационная сеть по африканскому трипаносомозу человека. В число партнеров этой сети вошли национальные программы по борьбе с сонной болезнью, организации, занимающиеся созданием новых лекарственных и диагностических средств, международные и неправительственные организации, а также организации-доноры.
Профилактика болезней, общих для человека и животных. Африканский трипаносомоз или «сонная болезнь» - RSS
Профилактика болезней, общих для человека и животных. Африканский трипаносомоз или «сонная болезнь»
Африканский трипаносомоз или «сонная болезнь» − заболевание людей и животных, вызываемое паразитическим простейшим вида Trypanosoma brucei, переносчиком которого является муха цеце.
Сонная болезнь эндемична в странах тропической Африки.
Мухи цеце нападают в светлое время суток, преимущественно на открытой природе, некоторые антропофильные виды могут залетать в поселки. Кровь пьют и самцы, и самки. В организм переносчика трипаносомы попадают при питании кровью зараженного позвоночного животного или человека. Около 90% трипаносом, поглощенных мухой цеце, погибают.
Достаточно одного укуса зараженной мухи, чтобы человек заболел «сонной болезнью», муха со слюной за один укус выделяет около 400 тысяч трипаносом. Больной становится источником инвазии примерно с десятого дня после заражения и остается им на протяжении всего периода болезни, даже в период ремиссии и отсутствия клинических проявлений.
Симптомы заболевания
После укуса мухи цеце начинается инкубационный период, который длится 1-3 недели. На месте укуса иногда формируется трипаносомидный шанкр, в котором паразиты активно размножаются, проникая в ткани, кровь и лимфу, и который исчезает через 5-7 дней. Первыми симптомами являются приступы лихорадки, головные боли и боли в суставах, часто сильно увеличиваются в размерах лимфатические узлы. У некоторых больных формируются большие вздутия шейных и затылочных узлов. Если не начать лечение, болезнь продолжает прогрессировать, вызывая анемию, нарушения в работе сердца, почек, эндокринной системы.
Комплекс мероприятий по предотвращению распространения заболевания включает выявление и лечение африканского трипаносомоза, общественную и индивидуальную профилактику населения, борьбу с переносчиками. Имеет значение серологическое обследование, прежде всего людей, относящихся к группе риска (охотники, лесорубы, строители дорог и др.). Обследование должно проводиться не реже двух раз в год (перед сезоном и после сезона наибольшей опасности заражения).
Трипаносомоз

Трипаносомоз - еще одно заболевание, вызываемое простейшими, а в частности простейшими рода Trypanosome.
Патогенными для человека являются T.brucei и T.cruzi, которые занимают различные территории и передаются разными насекомыми.
Трипаносомоз, вызываемый T.brucei, также называется африканским или сонной болезнью , из названия понятно, какой район для него эндемичен.
Различают две формы африканского трипанососмоза - гамбийскую (вызываемую T.b.gambiense, распространенную в Западной и Центральной Африке) и родезийскую (вызываемую T.b.rhodesiense, эндемичной для Восточной Африки).
Данные формы имеют свои особенности:
При гамбийском трипаносомозе основным хозяином является человек, а второстепенным свинья. Переносчиком возбудителя является муха цеце (обитает в зарослях растительности по берегам рек и ручьев, проявляет наибольшую активность в светлое время суток).
При родезийской форме основными хозяевами и источником инфекции являются животные (антилопы, крупный рогатый скот, овцы) и реже человек. Возбудителя родезийского трипаносомоза также переносят мухи цеце, но обитающие в саваннах и саванных лесах, более светолюбивые и менее требовательны к влаге.
Человек заражается при укусе мухи цеце, у которой в слюнных железах содержатся инвазионные формы трипаносом (это значит, что трипаносомоз - это трансмиссивное заболевание, но также существует вертикальная передача инфекции - от матери к плоду).
После укуса мухи трипаносомы размножаются в подкожно-жировой клетчатке (на месте входных ворот инфекции формируются шанкр), далее через несколько дней распространяются по лимфатическим и кровеносным сосудам и в дальнейшем продолжают паразитировать в органах и тканях, основные это лимфатическая система, центральная нервная система и сердце. Антитела, выработанные в ответ на внедрение паразита, подавляют его размножение, но в результате изменения комбинации гликопротеинов на своей поверхности трипаносомы могут ускользнуть от иммунного ответа хозяина и запустить новый цикл размножения, с чем связано чередование обострений и ремиссий заболевания.
Больной заразен, начиная с 10 дня после укуса и в течение всего времени клинических проявлений.
Клинические проявления имеют три стадии: кожная, гемолимфатическая и стадия поражения ЦНС. Клиническая картина родезийского трипаносомоза отличается более острым и тяжелым течением и ранним поражением центральной нервной системы, прогноз более тяжелый.
При кожной стадии папула может развиться на месте укуса мухи цеце в течение нескольких дней до 2 недель. Она развивается в темновато-красный, болезненный, плотный узелок, который может изъязвляться (трипаносомный шанкр). Шанкр чаще встречается при инфицировании T. b. rhodesiense, и у туристов, нежели коренного населения.
Гемолимфатическая стадия развивается в течение нескольких месяцев при инфицировании T. b. gambiense и нескольких недель - при заражении T. b. rhodesiense. Характерны перемежающаяся лихорадка, головные боли, озноб, мышечные и суставные боли, гиперестезия, лимфаденопатия и отек лица. У светлокожих пациентов может наблюдаться эритематозная сыпь в виде кольцевых эритем до 7-10 см в диаметре. Для гамбийской формы характерен симптом Уинтерботтома (увеличение лимфоузлов в заднем шейном треугольнике).
Стадия поражения ЦНС при гамбийской форме длится от нескольких месяцев до нескольких лет после начала острой болезни. При родезийской форме болезнь более быстрая, и поражение нервной системы часто происходит в течение нескольких недель. Поражение ЦНС вызывает постоянную головную боль, неспособность сконцентрироваться, поведенческие изменения (например, прогрессирующая усталость и безразличие), дневную сонливость, тремор, атаксию и в итоге кому. Без лечения смерть наступает в течение нескольких месяцев от начала заболевания в случае T. b. rhodesiense и в течение 2-3 лет в случае T. b. gambiense. Пациенты без лечения умирают в коме от истощения или вторичных инфекций.
Для диагностики трипаносомоза используется световая микроскопия крови (тонкий или толстый мазок) или пунктата лимфоузла. Концентрация трипаносом в крови часто низкая, поэтому различные концентрационные методики увеличивают чувствительность диагностических методов. Серологической обследование часто неинформативно.
Всем пациентам с африканским трипаносомозом должна быть выполнена люмбальная пункция и исследование спинномозговой жидкости для определения стадии заболевания. При вовлечении СМЖ в патологический процесс наблюдается повышение уровней лимфоцитов (≥ 6 клеток/мкл), общего белка и неспецифического IgM.
Лечение африканского трипаносомоза зависит от вида возбудителя и стадии заболевания.
Для предотвращения африканского трипаносомоза необходимо избегать эндемичных районов и предохраняться от укусов мух цеце. Следует носить закрытую одежду, использовать репелленты.
Американский трипаносомоз (или болезнь Шагаса) вызывается T.cruzi. Болезнь характеризуется хроническим течением с преимущественным поражением сердца, желудочно-кишечного тракта и нервной системы.
Трипаносома крузи передается клопами подсемейства Triatominae (поцелуйные клопы) и эндемична в Южной и Центральной Америке, Мексике, редко в США. К носителям, помимо людей, относятся домашние собаки, опоссумы, броненосцы, крысы, еноты и многие другие животные. Значительно реже происходит передача при употреблении в пищу зараженных инфицированными клопами или их испражнениями тростникового сока или пищи, трансплацентарно от инфицированной матери плоду либо при переливании крови или трансплантации органов от инфицированного донора.
Патогенез заболевания сходен с таковым для африканского трипаносомоза.
Клинически болезнь Шагаса протекает в трех стадиях: острая, латентная и хроническая.
Острая болезнь Чагаса в эндемичных районах обычно развивается у детей и может быть бессимптомной. Симптомы могут появляться через 1-2 недели после заражения. на месте внедрения паразита появляется эритематозное поражение кожи. Если место инвазии - конъюнктива, развивается односторонний периокулярный отек с конъюнктивитом и увеличением расположенных перед ушной раковиной лимфатических узлов (симптом Романьи).
Острая болезнь Чагаса смертельна у небольшого процента пациентов. К смерти приводят острый миокардит с сердечной недостаточностью или менингоэнцефалит. У остальных симптомы утихают без лечения.
Первичная острая болезнь Чагаса у пациентов ВИЧ-инфекцией в продвинутой стадии может протекать в тяжелой и нетипичной форме - не только с поражениями кожи, но и с развитием абсцесса головного мозга.
Латентная стадия не имеет никаких клинических проявлений и может быть выявлена только при скрининговом серологическом обследовании.
Хроническая болезнь Шагаса развивается у 20-30% пациентов после латентной фазы, которая может тянуться годы или десятилетия. Вероятнее всего этому способствует аутоиммунная реакция организма с преимущественным поражением сердца и желудочно-кишечного тракта.
Сердечные нарушения обычно манифестируют нарушениями проводимости, в том числе блокадой правой ножки пучка Гиса или блокадой передней ветви левой ножки пучка Гиса. Хроническая кардиомиопатия часто приводит к слабому расширению всех полостей сердца, апикальным аневризмам и прогрессированию поражения проводящей системы сердца. У пациентов наблюдается сердечная недостаточность, обмороки, внезапная смерть из-за блокады сердца, желудочковой аритмии или тромбоэмболии.
Поражение желудочно-кишечного тракта проявляется как мегаэзофагус - дисфагия, которая может привести к легочным инфекциям или к серьезной гипотрофии. Или мегаколон, который приводит к кишечной непроходимости.
Для диагностики во время острой фазы болезни информативен анализ тонкого и толстого мазков крови, микроскопия окрашенных препаратов пунктата лимфоузлов. Напротив, для латентной инфекции или хронической болезни характерно небольшое количество паразитов в крови, в связи с чем могут быть использованы методы концентрации. Серологические исследования могут использоваться как скрининговые, положительный результат требует дообследования.
Антипаразитарное лечение показано для всех случаев болезни в острой стадии, пациентам с врождённой формой болезни либо с реактивированной инфекцией, а также детям до 18 лет в латентной стадии заболевания. Чем моложе пациент и чем раньше начато лечение, тем с большей вероятностью оно приведёт к паразитологическому выздоровлению.
Эффективность лечения снижается по мере увеличения продолжительности инфекции, а побочные эффекты более вероятны у взрослых. Лечение рекомендуется проводить лицам в возрасте до 50 лет, если нет признаков прогрессирующего повреждения сердца или желудочно-кишечного тракта. В случае пациентов старше 50 лет лечение подбирают индивидуально, с учетом возможных рисков и пользы.
При появлении выраженных симптомов хронической болезни Шагаса со стороны сердечно-сосудистой или пищеварительной системы противопаразитарные препараты не рекомендуются.
Патогенетическая терапия включает лечение сердечной недостаточности, применение кардиостимуляторов при блокаде сердца, антиаритмических препаратов, трансплантацию сердца, расширение пищевода, инъекции ботулотоксина в нижний сфинктер пищевода и оперативные вмешательства при мегаколон.
Профилактика болезни Шагаса включает мероприятия, направленные на снижение численности клопов а также меры индивидуальной защиты, например сетки на кровать при необходимости ночевать в глиняном жилье.
Будьте здоровы, путешествуйте, но не забывайте о мерах индивидуальной защиты. И если все же не удалось избежать укусов мухи цеце или поцелуйного клопа - будьте внимательны к себе, ведь даже в течение нескольких месяцев и лет могут появиться признаки паразитарного заболевания. И Вы уже знаете, куда обратиться за помощью!
Услуги, упомянутые в статье*:
Микроскопическое исследование венозной крови методом концентрации на возбудителей филяриатозов и трипаносомозов (А26.05.010.s01)
Микроскопическое исследование крови методом толстой капли на возбудителей филяриатозов, трипаносомозов (А26.05.010.s02)
*Назначение и интерпретация результатов анализов должны проводиться только лечащим врачом
Трипаносомоз африканский. Возбудитель и механизмы развития сонной болезни

Африканский трипаносомоз человека, также известный как сонная болезнь, относится к трансмиссивным паразитарным заболеваниям. Болезнь передаётся через укус кровососущих мух цеце, инфицированных одноклеточными трипаносомами. Трипаносомоз встречается в 36 странах Африки к югу от Сахары, где водятся переносчики.
Трипаносомы паразитируют в подкожных тканях, крови и лимфе, могут проникать в центральную нервную систему, искажать поведение человека, нарушать цикл сна. При отсутствии лечения болезнь смертельна.
Болезнь передаётся, главным образом, при укусе инфицированной мухи цеце. Однако известны случаи передачи инфекции половым путём и от матери плоду через плаценту.

Муха цеце - переносчик сонной болезни

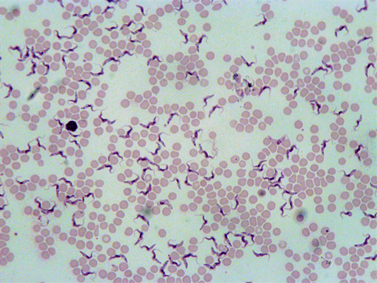
Трипаносомы среди красных клеток крови
В зависимости от вида возбудителя африканский трипаносомоз человека имеет две формы: западноафриканскую (гамбийскую) и восточноафриканскую (родезийскую).
Обычно заражение человека возбудителем западноафриканского трипаносомоза происходит недалеко от водоёмов и вдоль берегов рек, в то время как заражение возбудителем восточноафриканского трипаносомoза − в саваннах и на местах недавно вырубленных тропических лесов.
Человек может быть бессимптомным носителем западноафриканского трипаносомоза на протяжении многих лет. Болезнь проявляется только на поздней стадии развития поражением центральной нервной системы.
Симптомы восточноафриканского трипаносомоза появляются довольно быстро, через несколько месяцев или недель после инфицирования. Болезнь стремительно развивается с поражением центральной нервной системы. Уганда - единственная страна, где встречаются обе формы болезни, хотя районы их распространения не совпадают. Животные могут быть носителями патогенных для человека паразитов. Трипаносомоз крупного рогатого скота называется нагана.
Существует еще одна форма трипаносомоза, которая встречается преимущественно в Латинской Америке. Она известна как американский трипаносомоз или болезнь Шагаса.
Возбудитель болезни Шагаса относится к другой разновидности трипаносом, передаётся клопами и вызывает заболевание, клинические проявления которого отличаются от африканского трипаносомоза человека.
Диагностика и лечение сонной болезни сложны и требуют наличия специального оборудования и обученного персонала.
Несмотря на снижение заболеваемости, сонная болезнь продолжает угрожать здоровью местного населения и туристов. По последним оценкам, численность населения, подверженного риску заболевания составляет 65 миллионов человек. Многие из них проживают в отдаленных районах с ограниченным доступом к медицинской помощи, что затрудняет эпиднадзор и, следовательно, диагностику и лечение больных. Кроме того, важными факторами, способствующими передаче инфекции, являются перемещение населения, вооруженные конфликты и нищета.
Читайте также:
