Диагностика внутричерепных опухолей. Глазные признаки опухоли мозга
Добавил пользователь Владимир З. Обновлено: 13.12.2025
Внутримозговые опухоли полушарий мозга — доброкачественные и злокачественные опухоли, располагающиеся непосредственно в тканях головного мозга. Опухоли полушарий мозга проявляются общемозговыми (головная боль, застой дисков зрительных нервов, головокружение, рвота, психические нарушения) и очаговыми (двигательные нарушения, выпадения чувствительности, зрительные расстройства, нарушения речи, нейро-эндокринный синдром и пр.) симптомами. Диагностика опухоли полушарий мозга включает офтальмоскопию, ЭЭГ, Эхо-ЭГ, КТ и МРТ головного мозга, стереотаксическую биопсию. Лечение опухоли полушарий мозга может включать радикальное или частичное ее удаление, хирургическую декомпрессию головного мозга, химиотерапию, лучевую терапию и симптоматическое лечение.
МКБ-10

Общие сведения
Внутримозговые опухоли полушарий мозга занимают примерно 1,4% от всех злокачественных опухолей. На их долю приходится 2,4% всех летальных исходов, связанных с заболеванием раком, как во взрослом, так и в детском возрасте. Заболеваемость опухолями полушарий мозга составляет 3,7 на 100 тыс. человек. В настоящее время отмечается тенденция к росту этого показателя. Опухоли полушарий мозга в педиатрической практике встречаются заметно реже, чем у взрослых пациентов. Наибольшей заболеваемости подвержены люди в возрасте от 20 до 50 лет. Внутримозговые опухоли полушарий мозга являются предметом совместного изучения неврологии, онкологии и нейрохирургии.

Причины возникновения опухоли полушарий мозга
Бесспорной причиной развития опухоли полушарий мозга является радиация. Это подтверждается возникновением внутримозговых опухолей у пациентов, проходивших лучевую терапию в связи с различными заболеваниями. Предполагается, что риск возникновения опухоли полушарий мозга повышается при употреблении заменителя сахара аспартама, воздействии винилхлорида, неблагоприятном влиянии электромагнитных полей при использовании мобильного телефона.
Некоторые авторы связывают опухоли полушарий мозга с нарушениями в иммунной системе, которые могут иметь врожденный характер, наблюдаются у больных ВИЧ или являются следствием иммуносупрессорной терапии. Также замечено, что ряд опухолей полушарий мозга ассоциируется с такими заболеваниями как туберозный склероз, болезнь Гиппеля-Линдау, нейрофиброматоз Реклингхаузена.
Классификация опухолей полушарий мозга
Принципиальным является разделение опухолей полушарий мозга на первичные и вторичные (метастатические). Первичные опухоли полушарий мозга в большинстве своем развиваются из глиальных элементов, за что и получили название глиальные опухоли. Из них наиболее часто встречается астроцитома. Раже встречаются первичные опухоли полушарий мозга, берущие начало в соединительнотканных структурах (например, в оболочке сосудов головного мозга) и железистой ткани. К ним относятся саркомы и ангиоретикулемы, аденомы.
Метастатические опухоли мозга представляют собой метастазы злокачественных опухолей внемозговой локализации. Чаще других в головной мозг метастазирует рак легких, второе место по частоте внутримозговых метастазов занимает рак молочной железы. Реже вторичные опухоли полушарий мозга возникают при метастазах меланомы, гипернефромы, ретинобластомы, опухолей надпочечников и др.
Симптомы опухоли полушарий мозга
Общемозговые симптомы
Общемозговые симптомы внутримозговой опухоли полушарий мозга связаны с повышением внутричерепного давления (гидроцефалией). Причем степень гипертензии не зависит напрямую от размеров опухоли. Так, небольшие опухоли полушарий мозга могут приводить к нарушению ликвородинамики и существенному увеличению внутричерепного давления, а опухоли больших размеров иногда сопровождаются слабовыраженной общемозговой симптоматикой. К общемозговым симптомам относятся: головная боль, головокружение, рвота, поражение дисков зрительных нервов, психические расстройства, эпилептические приступы.
При внутримозговой опухоли полушарий мозга головная боль носит тупой распирающий диффузный характер. В начальном периоде она обычно возникает периодически, а затем становится постоянной. Зачастую пациенты отмечают уменьшение интенсивности головной боли при определенном положении головы (как правило, в положении лежа на пораженной стороне головы).
Характерным клиническим признаком опухоли полушарий мозга является головокружение. Оно носит приступообразный системный характер в виде ощущения собственного вращения или вращения окружающих предметов. Головокружение может сопровождаться другими симптомами вестибулярной атаксии, тошнотой, вегетативными нарушениями, шумом в ушах. Обычно при опухоли полушарий мозга, в отличие от опухоли мозжечка, головокружение появляется на более поздних стадиях заболевания при значительной ликворной гипертензии.
Отличительной чертой рвоты при опухоли полушарий мозга является ее возникновение вне связи с приемом пищи; наиболее часто утром натощак. Также рвота часто наблюдается на пике головной боли. Поскольку рвота приводит к уменьшению головной боли, то некоторые пациенты с этой целью специально вызывают рвотный рефлекс. При опухолях IV желудочка и мозжечка рвота может возникать без головной боли и провоцироваться изменением положения тела.
Поражение дисков зрительных нервов в большинстве случаев является двусторонним и обусловлено развитием в них застойных явлений под воздействием постоянно повышенного внутричерепного давления. Застойные диски зрительных нервов являются ранним симптомом опухоли полушарий мозга и могут выявляться при офтальмоскопии в период, когда субъективные ощущения пациентов еще слабо выражены. Поражение зрительных нервов клинически проявляется мельканием «мушек» перед глазами, периодически возникающим «туманом» в глазах. При этом, в отличие от неврита зрительного нерва, длительно сохраняется острота зрения. С течение времени застойные изменения могут привести к атрофии зрительного нерва.
Часто при опухоли полушарий мозга наблюдаются психические расстройства. Они могут носить самый разнообразный характер от нарушений мнестической сферы (памяти, внимания, мышления) и психо-эмоциональной перестройки личности (повышенная раздражительность, агрессивность или напротив апатия, чрезмерное благодушие) до тяжелых психических расстройств (галлюцинации, бред, сумеречные состояния сознания). Характерным является постепенное прогрессирование психических отклонений, хотя при злокачественном характере опухоли полушарий мозга этот процесс протекает достаточно быстро.
Нередко опухоли полушарий мозга сопровождаются эпилептическим синдромом. Чаще всего это наблюдается при расположении процесса в височной доле (височная эпилепсия). Возможны различные типы эпи-приступов от малых до первично-генерализованных. Характер предшествующей приступу ауры зачастую позволяет предположить ориентировочное местонахождение опухоли.
Очаговые симптомы
Различают первичную очаговую симптоматику опухоли полушарий мозга, возникающую непосредственным воздействием опухоли на окружающие ее ткани, и вторичную — обусловленную смещением и ущемлением отдаленных от опухоли структур мозга, ишемизацией мозговых тканей, расположенных далеко от опухоли, но кровоснабжающихся сдавленными ею сосудами.
При опухоли полушарий мозга, локализующейся в лобной доле, на первый план выходит лобный синдром: психомоторные расстройства, изменение поведения, эмоционально-волевой сферы. Характерно замедление речи и мышления, парез лицевого нерва центрального типа, возникновение хватательного рефлекса, генерализованные эпи-приступы с предшествующими тоническими судорогами и насильственным поворотом глаз и головы.
Опухоли полушарий мозга, расположенные в теменной доле, сопровождаются нарушениями чувствительности и мышечно-суставного чувства, расстройствами восприятия собственного тела. Опухолевое поражение в доминантном полушарии приводят к нарушению счета, письма (дисграфия) и чтения (дислексия).
Опухоли полушарий мозга в височной доле отличаются ранним появлением эпи-приступов. Возможны сложные слуховые и зрительные галлюцинации, неприятные висцеральные ощущения. Опухоли левой височной доли приводят к появлению сенсорной афазии. Поражение задневисочных отделов протекает с развитием гомонимной гемианопсии (выпадения одноименных половин полей зрения).
Расположенные в затылочной доле опухоли полушарий мозга проявляются разнообразными расстройствами зрительной функции: частичной или полной гемианопсией, зрительными галлюцинациями, фотопсиями и метаморфопсиями, оптической агнозией.
Опухоли полушарий мозга в области турецкого седла (например, аденомы гипофиза) сопровождаются нейро-эндокринным синдромом. В зависимости от возраста пациента, характера и локализации опухоли может наблюдаться акромегалия, гигантизм, гипофизарный нанизм, болезнь Иценко-Кушинга, у женщин — нарушение менструального цикла, аменорея. Опухоли шишковидного тела в детском возрасте приводят к раннему половому созреванию.
Опухоли мозолистого тела приводят к ярко выраженным психическим расстройствами и нарушениям ориентировки в пространстве. Опухоли полушарий мозга в области подкорковых структур манифестируют повышением внутричерепного давления и ранними застойными изменениями зрительных дисков. Затем присоединяются нарушения чувствительности, вегетативные симптомы (гипергидроз, лабильность пульса и артериально давления, разница температур кожи различных участков тела), насильственный смех и плач, маскообразность лица.
Диагностика опухоли полушарий мозга
Заподозрить внутримозговую опухоль невролог может по жалобам пациента и выявленным нарушениям в неврологическом статусе. Исключение опухоли полушарий мозга необходимо у всех пациентов с впервые возникшими эпи-приступами. Обязательным является обследование у офтальмолога с определением остроты зрения, проведением периметрии и офтальмоскопии. При нарушениях слуха назначается консультация отоларинголога, при наличие нейро-эндокринного синдрома — эндокринолога, а для женщин дополнительно гинеколога-эндокринолога.
Опухоли полушарий мозга в большинстве случаев сопровождаются выявляемой в ходе Эхо-ЭГ значительной гидроцефалией. Если опухоль вызывает смещение структур головного мозга, то обнаруживается смещение эхо-сигналов от средней линии. При помощи ЭЭГ определяют наличие эпилептической активности. РЭГ при опухоли полушарий мозга зачастую дает сведенья о тех или иных нарушениях внутримозгового кровообращения, которые могут быть связаны с рефлекторным сосудистым спазмом или сдавлением сосудов растущей опухолью.
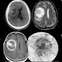
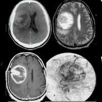
Наилучшими способами объективного выявления опухоли полушарий мозга признаны методы нейровизуализации: КТ и МРТ головного мозга. Они позволяют определить точную локализацию опухоли полушарий мозга и дифференцировать ее от внутримозговой гематомы, кисты при сирингомиелии, абсцесса головного мозга, рассеянного склероза, эпилепсии. Однако поставить достоверный диагноз и верифицировать опухоли полушарий мозга позволяет лишь гистологическое исследование. Оно может проводится с образцами мозговой ткани, полученными в ходе стереотаксической биопсии или интраоперационно.
Лечение опухоли полушарий мозга
Основным методом в лечении опухоли полушарий мозга остается ее хирургическое удаление. Доброкачественные внутримозговые опухоли полушарий мозга достигающее размера не более 3,5 см могут быть удалены с применением стереотаксической радиохирургии. К сожалению, удаление глиальных опухолей зачастую невозможно из-за их значительного прорастания в окружающую мозговую ткань. Полное удаление неглиальных опухолей возможно только при их доброкачественном характере. Удаление вентрикулярных опухолей представляет для нейрохирургов значительные трудности. В случаях когда оно не может быть выполнено в полном объеме дополнительно проводят шунтирующую операцию. Удаление метастатических опухолей возможно, если они носят единичный характер или локализуются в одной зоне.
При неоперабельной опухоли полушарий мозга возможно проведение паллиативных вмешательств, направленных на снижение степени гидроцефалии и предупреждение дислокации мозговых структур. К ним относятся декомпрессивная трепанация черепа, наружное вентрикулярное дренирование, вентрикулоперитонеальное шунтирование.
Хирургическое лечение опухоли полушарий мозга зачастую комбинируется с лучевой и химиотерапией. Облучение проводится обычно в режиме дистанционной гамма-терапии через 1-2 недели после проведенной операции. Условиями проведения эффективной химиотерапии является точная верификация опухоли и определение чувствительности пациента к химиопрепарату. Химиотерапия проводится курсами с обязательным контролем показателей крови и сопровождающей противорвотной терапией. Она может осуществляться путем локального введения препаратов в ликворную систему или непосредственно в ложе опухоли.
Прогноз опухоли полушарий мозга
Благоприятный прогноз наблюдается в случае ангиоретикулемы или аденомы при условии ее радикального хирургического удаления. Глиальные опухоли полушарий мозга отличаются частым рецидивированием, продолжительность послеоперационной выживаемости пациентов при них зависит от степени злокачественности опухоли.
Опухоли головного мозга
Опухоли головного мозга — внутричерепные новообразования, включающие как опухолевые поражения церебральных тканей, так и нервы, оболочки, сосуды, эндокринные структуры головного мозга. Проявляются очаговой симптоматикой, зависящей от топики поражения, и общемозговыми симптомами. Диагностический алгоритм включает осмотр невролога и офтальмолога, Эхо-ЭГ, ЭЭГ, КТ и МРТ головного мозга, МР-ангиографию и пр. Наиболее оптимальным является хирургическое лечение, по показаниям дополненное химио- и радиотерапией. При его невозможности проводится паллиативное лечение.


Опухоли головного мозга составляют до 6% всех новообразований в организме человека. Частота их встречаемости колеблется от 10 до 15 случаев на 100 тыс. человек. Традиционно к церебральным опухолям относят все интракраниальные новообразования — опухоли церебральной ткани и оболочек, образования черепных нервов, сосудистые опухоли, новообразования лимфатической ткани и железистых структур (гипофиза и шишковидной железы). В связи с этим опухоли головного мозга делят на внутримозговые и внемозговые. К последним относят новообразования церебральных оболочек и их сосудистых сплетений.
Опухоли головного мозга могут развиваться в любом возрасте и даже носить врожденный характер. Однако среди детей заболеваемость ниже, не превышает 2,4 случая на 100 тыс. детского населения. Церебральные новообразования могут быть первичными, изначально берущими свое начало в тканях мозга, и вторичными, метастатическими, обусловленными распространением опухолевых клеток вследствие гемато- или лимфогенной диссеминации. Вторичные опухолевые поражения встречаются в 5-10 раз чаще, чем первичные новообразования. Среди последних доля злокачественных опухолей составляет не менее 60%.
Отличительной особенностью церебральных структур является их расположение в ограниченном интракраниальном пространстве. По этой причине любое объемное образование внутричерепной локализации в той или иной степени приводит к сдавлению мозговых тканей и повышению интракраниального давления. Таким образом, даже доброкачественные по своему характеру опухоли головного мозга при достижении определенного размера имеют злокачественное течение и могут привести к летальному исходу. С учетом этого особую актуальность для специалистов в области неврологии и нейрохирургии приобретает проблема ранней диагностики и адекватных сроков хирургического лечения церебральных опухолей.

Причины опухоли головного мозга
Возникновение церебральных новообразований, как и опухолевых процессов другой локализации, связывают с воздействием радиации, различных токсических веществ, существенным загрязнением окружающей среды. У детей высока частота врожденных (эмбриональных) опухолей, одной из причин которых может выступать нарушение развития церебральных тканей во внутриутробном периоде. Черепно-мозговая травма может служить провоцирующим фактором и активизировать латентно протекающий опухолевый процесс.
В ряде случаев опухоли головного мозга развиваются на фоне проведения лучевой терапии пациентам с другими заболеваниями. Риск появления церебральной опухоли повышается при прохождении иммуносупрессивной терапии, а также у других групп иммунокомпрометированных лиц (например, при ВИЧ-инфекции и нейроСПИДе). Предрасположенность к возникновению церебральных новообразований отмечается при отдельных наследственных заболеваниях: болезни Гиппеля-Линдау, туберозном склерозе, факоматозах, нейрофиброматозе.
Классификация
Среди первичных церебральных новообразований преобладают нейроэктодермальные опухоли, которые классифицируют на:
- опухоли астроцитарного генеза (астроцитома, астробластома)
- олигодендроглиального генеза (олигодендроглиома, олигоастроглиома)
- эпендимарного генеза (эпендимома, папиллома хориоидного сплетения)
- опухоли эпифиза (пинеоцитома, пинеобластома)
- нейрональные (ганглионейробластома, ганглиоцитома)
- эмбриональные и низкодифференцированные опухоли (медуллобластома, спонгиобластома, глиобластома)
- новообразования гипофиза (аденома)
- опухоли черепно-мозговых нервов (нейрофиброма, невринома)
- образования церебральных оболочек (менингиома, ксантоматозные новообразования, меланотичные опухоли)
- церебральные лимфомы
- сосудистые опухоли (ангиоретикулома, гемангиобластома)
Внутримозговые церебральные опухоли по локализации классифицируют на суб- и супратенториальные, полушарные, опухоли серединных структур и опухоли основания мозга.
Метастатические опухоли мозга диагностируются в 10-30% случаев ракового поражения различных органов. До 60% вторичных церебральных опухолей имеют множественный характер. Наиболее частыми источниками метастазов у мужчин выступают рак легких, колоректальный рак, рак почки, у женщин — рак молочной железы, рак легких, колоректальный рак и меланома. Около 85% метастазов приходится на внутримозговые опухоли полушарий мозга. В задней черепной ямке обычно локализуются метастазы рака тела матки, рака простаты и злокачественных опухолей ЖКТ.
Симптомы опухолей головного мозга
Более ранним проявлением церебрального опухолевого процесса является очаговая симптоматика. Она может иметь следующие механизмы развития: химическое и физическое воздействие на окружающие церебральные ткани, повреждение стенки мозгового сосуда с кровоизлиянием, сосудистая окклюзия метастатическим эмболом, кровоизлияние в метастаз, компрессия сосуда с развитием ишемии, компрессия корешков или стволов черепно-мозговых нервов. Причем вначале имеют место симптомы локального раздражения определенного церебрального участка, а затем возникает выпадение его функции (неврологический дефицит).
По мере роста опухоли компрессия, отек и ишемия распространяются вначале на соседние с пораженным участком ткани, а затем на более удаленные структуры, обуславливая появление соответственно симптомов «по соседству» и «на отдалении». Общемозговая симптоматика, вызванная внутричерепной гипертензией и отеком головного мозга, развивается позже. При значительном объеме церебральной опухоли возможен масс-эффект (смещение основных мозговых структур) с развитием дислокационного синдрома — вклинения мозжечка и продолговатого мозга в затылочное отверстие.
- Головная боль локального характера может быть ранним симптомом опухоли. Она возникает вследствие раздражения рецепторов, локализующихся в черепных нервах, венозных синусах, стенках оболочечных сосудов. Диффузная цефалгия отмечается в 90% случаев субтенториальных новообразований и в 77% случаев супратенториальных опухолевых процессов. Имеет характер глубокой, достаточно интенсивной и распирающей боли, зачастую приступообразной.
- Рвота обычно выступает общемозговым симптомом. Основная ее особенность — отсутствие связи с приемом пищи. При опухоли мозжечка или IV желудочка она связана с прямым воздействием на рвотный центр и может являться первичным очаговым проявлением.
- Системное головокружение может протекать в виде ощущения проваливания, вращения собственного тела или окружающих предметов. В период манифестации клинических проявлений головокружение рассматривается как очаговый симптом, указывающий на поражение опухолью вестибулокохлеарного нерва, моста, мозжечка или IV желудочка.
- Двигательные нарушения (пирамидные расстройства) бывают в роли первичной опухолевой симптоматики у 62% пациентов. В остальных случаях они возникают позже в связи с ростом и распространением опухоли. К наиболее ранним проявлениям пирамидной недостаточности относится нарастающая анизорефлексия сухожильных рефлексов с конечностей. Затем появляется мышечная слабость (парез), сопровождающаяся спастичностью за счет мышечного гипертонуса.
- Сенсорные нарушения в основном сопровождают пирамидную недостаточность. Клинически проявлены примерно у четверти пациентов, в остальных случаях выявляются только при неврологическом осмотре. В качестве первичного очагового симптома может рассматриваться расстройство мышечно-суставного чувства.
- Судорожный синдром больше характерен для супратенториальных новообразований. У 37% пациентов с церебральными опухолями эпиприступы выступают манифестным клиническим симптомом. Возникновение абсансов или генерализованных тонико-клонических эпиприступов более типично для опухолей срединной локализации; пароксизмов по типу джексоновской эпилепсии — для новообразований, расположенных вблизи мозговой коры. Характер ауры эпиприступа зачастую помогает установить топику поражения. По мере роста новообразования генерализованные эпиприступы трансформируются в парциальные. При прогрессировании интракраниальной гипертензии, как правило, наблюдается снижение эпиактивности.
- Расстройства психической сферы в период манифестации встречается в 15-20% случаев церебральных опухолей, преимущественно при их расположении в лобной доле. Безынициативность, неряшливость и апатичность типичны для опухолей полюса лобной доли. Эйфоричность, самодовольство, беспричинная веселость указывают на поражение базиса лобной доли. В таких случаях прогрессирование опухолевого процесса сопровождается нарастанием агрессивности, злобности, негативизма. Зрительные галлюцинации характерны для новообразований, расположенных на стыке височной и лобной долей. Психические расстройства в виде прогрессирующего ухудшения памяти, нарушений мышления и внимания выступают как общемозговые симптомы, поскольку обусловлены растущей интракраниальной гипертензией, опухолевой интоксикацией, повреждением ассоциативных трактов.
- Застойные диски зрительных нервов диагностируются у половины пациентов чаще в более поздних стадиях, однако у детей могут служить дебютным симптомом опухоли. В связи с повышенным внутричерепным давлением может появляться преходящее затуманивание зрения или «мушки» перед глазами. При прогрессировании опухоли отмечается нарастающее ухудшение зрения, связанное с атрофией зрительных нервов.
- Изменения полей зрения возникают при поражении хиазмы и зрительных трактов. В первом случае наблюдается гетеронимная гемианопсия (выпадение разноименных половин зрительных полей), во втором — гомонимная (выпадение в полях зрения обоих правых или обоих левых половин).
- Прочие симптомы могут включать тугоухость, сенсомоторную афазию, мозжечковую атаксию, глазодвигательные расстройства, обонятельные, слуховые и вкусовые галлюцинации, вегетативную дисфункцию. При локализации опухоли головного мозга в области гипоталамуса или гипофиза возникают гормональные расстройства.
Диагностика
Первичное обследование пациента включает оценку неврологического статуса, осмотр офтальмолога, проведение эхо-энцефалографии, ЭЭГ. При исследовании неврологического статуса особое внимание невролог обращает на очаговую симптоматику, позволяющую установить топический диагноз. Офтальмологические исследования включают проверку остроты зрения, офтальмоскопию и определение полей зрения (возможно, при помощи компьютерной периметрии). Эхо-ЭГ может регистрировать расширение боковых желудочков, свидетельствующее о внутричерепной гипертензии, и смещение серединного М-эхо (при больших супратенториальных новообразованиях со смещением церебральных тканей). На ЭЭГ отображается наличие эпиактивности определенных участков головного мозга. По показаниям может быть назначена консультация отоневролога.
Подозрение на объемное образование головного мозга является однозначным показанием к проведению компьютерной или магнитно-резонансной томографии. КТ головного мозга позволяет визуализировать опухолевое образование, дифференцировать его от локального отека церебральных тканей, установить его размер, выявить кистозную часть опухоли (при наличии таковой), кальцификаты, зону некроза, кровоизлияние в метастаз или окружающие опухоль ткани, наличие масс-эффекта. МРТ головного мозга дополняет КТ, позволяет более точно определить распространение опухолевого процесса, оценить вовлеченность в него пограничных тканей. МРТ более результативна в диагностике не накапливающих контраст новообразований (например, некоторых глиом головного мозга), но уступает КТ при необходимости визуализировать костно-деструктивные изменения и кальцификаты, разграничить опухоль от области перифокального отека.

Помимо стандартной МРТ в диагностике опухоли головного мозга может применяться МРТ сосудов головного мозга (исследование васкуляризации новообразования), функциональная МРТ (картирование речевых и моторных зон), МР-спектроскопия (анализ метаболических отклонений), МР-термография (контроль термодеструкции опухоли). ПЭТ головного мозга дает возможность определить степень злокачественности опухоли головного мозга, выявить опухолевый рецидив, картировать основные функциональные зоны. ОФЭКТ с использованием радиофармпрепаратов, тропных к церебральным опухолям позволяет диагностировать многоочаговые поражения, оценить злокачественность и степень васкуляризации новообразования.
В отдельных случаях используется стереотаксическая биопсия опухоли головного мозга. При хирургическом лечении забор опухолевых тканей для гистологического исследования проводится интраоперационно. Гистология позволяет точно верифицировать новообразование и установить уровень дифференцировки его клеток, а значит и степень злокачественности.
Лечение опухоли головного мозга
Консервативная терапия опухоли головного мозга осуществляется с целью снижения ее давления на церебральные ткани, уменьшения имеющихся симптомов, улучшения качества жизни пациента. Она может включать обезболивающие средства (кетопрофен, морфин), противорвотные фармпрепараты (метоклопрамид), седативные и психотропные препараты. Для снижения отечности головного мозга назначают глюкокортикостероиды. Следует понимать, что консервативная терапия не устраняет первопричины заболевания и может оказывать лишь временный облегчающий эффект.
Наиболее эффективным является хирургическое удаление церебральной опухоли. Техника операции и доступ определяются местоположением, размерами, видом и распространенностью опухоли. Применение хирургической микроскопии позволяет произвести более радикальное удаление новообразования и минимизировать травмирование здоровых тканей. В отношении опухолей малого размера возможна стереотаксическая радиохирургия. Применение техники КиберНож и Гамма-Нож допустимо при церебральных образованиях диаметром до 3 см. При выраженной гидроцефалии может проводиться шунтирующая операция (наружное вентрикулярное дренирование, вентрикулоперитонеальное шунтирование).
Лучевая и химиотерапия могут дополнять хирургическое вмешательство или являться паллиативным способом лечения. В послеоперационном периоде лучевая терапия назначается, если гистология тканей опухоли обнаружила признаки атипии. Химиотерапия проводится цитостатиками, подобранными с учетом гистологического типа опухоли и индивидуальной чувствительности.
Прогноз при опухолях мозга
Прогностически благоприятными являются доброкачественные опухоли головного мозга небольших размеров и доступной для хирургического удаления локализации. Однако многие из них склонны рецидивировать, что может потребовать повторной операции, а каждое хирургическое вмешательство на головном мозге сопряжено с травматизацией его тканей, влекущей за собой стойкий неврологический дефицит. Опухоли злокачественной природы, труднодоступной локализации, больших размеров и метастатического характера имеют неблагоприятный прогноз, поскольку не могут быть радикально удалены. Прогноз также зависит от возраста пациента и общего состояния его организма. Пожилой возраст и наличие сопутствующей патологии (сердечной недостаточности, ХПН, сахарного диабета и др.) затрудняет осуществление хирургического лечения и ухудшает его результаты.
Профилактика
Первичная профилактика церебральных опухолей заключается в исключении онкогенных воздействий внешней среды, раннем выявлении и радикальном лечении злокачественных новообразований других органов для предупреждения их метастазирования. Профилактика рецидивов включает исключение инсоляции, травм головы, приема биогенных стимулирующих препаратов.
Признаки и лечение онкологии головного мозга
Опухоль головного мозга может быть доброкачественной и злокачественной. Доброкачественные новообразования давят на участки мозга, расположенные поблизости опухоли, нарушают ликвородинамику и функцию отдельных структур мозга. Признаки рака головного мозга появляются при прогрессировании патологического процесса. Длительное время злокачественные новообразования мозга никак себя не проявляют. Головные боли при опухоли мозга могут быть единственным первым симптомом заболевания.
Для того чтобы определить их причину, локализацию и степень злокачественности патологического процесса, врачи Юсуповской больницы проводят обследование пациента с помощью современных методов нейровизуализации. Диагностические исследования выполняют на новейшей аппаратуре ведущих фирм США и европейских стран.

Основным методом лечения онкологии головного мозга является операция. Нейрохирурги Юсуповской больницы выполняют инновационные оперативные вмешательства, которые позволяют максимально убрать опухоль, не повреждая неповреждённую ткань мозга. Радиологи применяют инновационные методики лучевого лечения. Они облучают только очаг поражения головного мозга, минимально воздействуя на участки мозга, окружающие опухоль. Химиотерапию после операции проводят современными лекарственными средствами, обладающими минимальными побочными эффектами. Каждому пациенту индивидуально подбирают схему лечения и оптимальные дозы химиотерапевтических препаратов.
Как проявляется опухоль головного мозга
На ранних стадиях заболевания признаки опухоли головного мозга у взрослых изменчивы и нетипичные. Довольно часто врачи общей практики допускают различное их толкование, что весьма затрудняет раннюю диагностику. Важнейшим признаком опухоли головного мозга является прогрессирование симптомов заболевания.
Первым, но не обязательным признаком объёмного образования, расположенного внутри черепа, является головная боль. Она беспокоит пациентов при быстрорастущих формах опухоли мозга - глиобластоме, метастазах злокачественных новообразований.
Как болит голова при опухоли головного мозга? Пациенты предъявляют жалобы на сильные головные боли тогда, когда опухоль вследствие своей локализации вызывает тяжёлый застой спинномозговой жидкости. Приступ головной боли возникает по утрам, сопровождается рвотой «фонтаном» без предшествующей тошноты, кратковременным нарушением зрения.
При доброкачественной опухоли головного мозга симптомы заболевания на ранней стадии не определяются. Если злокачественное новообразование растёт медленно, оно также длительное время не проявляется никакими симптомами. Большинство таких опухолей мозга неврологи выявляют при развитии симптомов выпадения или явлений раздражения головного мозга с эпилептиформными припадками. Если новообразование располагается в немых зонах полушарий головного мозга, первыми признаками болезни быть изменением психики пациента.
При офтальмологическом обследовании врачи определяют застойный сосок глазного дна. Ранним признаком опухоли мозга на ранней стадии может быть нарушение остроты зрения. Симптомы рака головного мозга на ранней стадии заболевания у мужчин такие же, как и у женщин.
Первыми признаки рака головного мозга, которые не указывают на локализацию опухоли у взрослых, являются следующие симптомы: односторонние или двусторонние частичные параличи отводящего нерва, синдром ущемления в области задней и средней черепных ямок. При сдавлении глазодвигательного нерва определяется расширенный зрачок и паралич наружных мышц глаза. К первым симптомам опухоли головного мозга у взрослых относятся признаки нарушения сознания и возрастающие двигательные парезы.
Признаки прогрессирующей опухоли головного мозга
Как проявляется рак головного мозга? При прогрессировании опухоли повышается внутричерепное давление. Пациентов беспокоит гипертензионная головная боль. Она нарастает в горизонтальном положении.
Признаками опухоли головного мозга у взрослых являются очаговые симптомы:
- При новообразованиях проекционной двигательной коры - парезы и Джексоновские припадки (судороги, которые возникли однажды в определённой части тела и продолжают периодически возникать в этой части тела);
- В случае поражения области шпорной борозды - фотопсии (появление в поле зрения движущихся точек, пятен, фигур, молний) и гомонимная гемианопсия (состоянием, при котором человек может видеть только одну сторону, правую или левую);
- При локализации опухоли в области мозжечка - нарушение стояния и ходьбы.
Они возникают в связи с раздражением и выпадением функций поражённого отдела головного мозга. Какие симптомы при раке головного мозга в случае прогрессирования заболевания? По мере роста опухоли очаговые симптомы углубляются. Признаки раздражения сменяются симптомами выпадения: вместо джексоновских припадков возникают параличи, фотопсии сменяются гемианопсиями (двухсторонней слепотой в одной половине поля зрения).
Причиной очаговых нарушений может быть поражение Очаговые признаки опухолей больших полушарий головного мозга могут быть связаны с нарушением функции отёка, сосудистых расстройств и других факторов. Постепенно нарастают явления ликворной гипертензии.
Очаговые симптомы рака головного мозга у мужчин и женщин связаны с расположением опухоли в определённой доле мозга.
Опухоль лобной доли головного мозга проявляется следующими симптомами:
- Эпилептическими припадками;
- Моторной афазией (развивается при поражении доминантного полушария);
- Нарушением обоняния;
- Грубым нарушением психики, изменением поведения, личности (с плоскими шутками) и настроения;
- Гиперкинезами (непроизвольными движениями);
- Расстройством координации движений в виде лобной атаксии (нарушений стояния и ходьбы).
Температура при опухоли головного мозга на начальной стадии развития злокачественного новообразования может повышаться до 37-38 градусов. Постепенное разрастание опухоли воздействует на гипоталамус, ухудшает работу гипофиза, значительно снижает скорость реакции и провоцируя скачкообразное непредсказуемое изменение температуры тела. При раке оболочек мозга повышенная температура может сохраняться на протяжении длительного времени за счёт воздействия атипичных клеток на иммунную систему, которая отвечает повышением температуры тела. Резкие перепады и низкая температура при раке головного мозга (менее 35 градусов) наблюдается в случае активного разрастания новообразования.
Симптомы опухоли мозжечка зависят от гистологического типа новообразования. Астроцитома разрастается относительно медленно и редко распространяется в другие участки. У пациентов возникает утреннее недомогание и головная боль, которые могут наблюдаться на протяжении нескольких недель или месяцев. Порой отмечаются атаксия (нарушение согласованности движений различных мышц при условии отсутствия мышечной слабости) и дисдиадохокинезия (неловкое выполнение быстрых чередующихся движений).
Опухоль мозжечка проявляется следующими симптомами:
- Ночной и утренней головной болью;
- Тошнотой и рвотой;
- Сильной апатией;
- Спутанностью мышления и потерей ориентации.
Иногда у пациентов возникают следующие признаки объёмного образования мозжечка:
- Онемение или слабость в конечностях;
- Расстройство речи;
- Ухудшение зрения, размытость или двоение в глазах;
- Потеря памяти;
- Нарушение сознания.
Диспластическая ганглиоцитома мозжечка является доброкачественной опухолью головного мозга, которая развивается вследствие аномального развития коры мозжечка. Пациенты страдают мигренью, головокружением, тошнотой, рвотой. Иногда наблюдаются следующие симптомы:
- Судороги;
- Ортостатическая гипотензия (снижение артериального давления при переходе из горизонтального в вертикального положение);
- Признаки субарахноидального кровоизлияния.
Диагностика новообразований головного мозга
Симптомы нарушения функции того или иного отдела головного мозга являются показанием для обращения к неврологу. В Юсуповской больнице врачи проводят комплексное обследование пациента:
- Оценку общего статуса;
- Выявление неврологической симптоматики и признаков внутричерепной гипертензии по офтальмоскопической картине глазного дна;
- Электроэнцефалографию;
- И применяют современные
- Компьютерную и магнитно-резонансную томографию.
Для решения вопроса о возможности и целесообразности выполнения оперативного вмешательства онкологи Юсуповской больницы проводят магнитно-резонансную томографию согласно стандарту, в трёх проекциях и в трёх режимах (Т1, Т2 и FLAIR). При необходимости используют дополнительные возможности МРТ:
- МРТ-перфузию;
- Функциональную магнитно-резонансную томографию;
- МРТ-диффузию;
- Магнитно-резонансную спектроскопию.
Если исследование не может быть выполнено, проводят контрастную томографию без контрастирования и с контрастным усилением. В рамках дополнительного протокола выполняют позитронную эмиссионную томографию с метионином. Если по данным магнитно-резонансной предполагается обильное кровоснабжение опухоли, нейрохирурги с целью оптимизации тактики оперативного вмешательства выполняют прямую или компьютерную ангиографию.
Биопсия головного мозга является инвазивной диагностической процедурой, при проведении которой хирург извлекает небольшой образец ткани мозга для дальнейшего исследования под микроскопом. В Юсуповской больнице врачи выполняют все биопсии, рекомендованные международной ассоциацией онкологов-нейрохирургов:
- Пункционную биопсию головного мозга, при которой осуществляется просверливание в черепной коробке небольшого отверстия (через отверстие или с помощью тонкой полой проводится забор небольшого образца новообразования или ткани мозга);
- Стереотаксическую биопсию головного мозга - забор небольшого участка ткани мозга или опухоли минимально инвазивным методом (процедуру осуществляют под контролем магнитно-резонансной или компьютерной томографии, высокую безопасность за счёт очень точного перемещения иглы;
- Открытую биопсию головного мозга - забор образца головного мозга во время оперативного вмешательства.
Для диагностики рака головного мозга проводят исследование уровня онкомаркеров:
- α-фетопротеина;
- ПСА;
- СА-15,3;
- CYFRA-21,1.
Первым диагностическим критерием наличия злокачественной опухоли новообразования в организме является повышение уровня α-протеина. Онкомаркер ПСА относится к опухолевым антигенам, которые вырабатывают клетки предстательной железы. У мужчин до сорока лет его концентрация не должна превышать 2,7 нг/мл четырёх нанограмм в миллилитре, а улиц старшего возраста - 4,0 нг/мл. Уровень ПСА повышается при метастазах в головной мозг атипичных клеток из простаты.
Уровень онкомаркера СА 15-3 определяют при подозрении на метастазы рака грудной железы в головной мозг. У женщин в норме концентрация онкомаркера СА 15-3 не превышает двадцати единиц в миллилитре. Если показатель исследования этого опухолевого антигена превышает пятьдесят единиц, можно думать о наличии метастазов рака других органов в головной мозг.
Маркер злокачественной опухоли CYFRA 21-1 исследуют при подозрении на наличие метастазов рака лёгкого в головной мозг. Интерферентные значения онкомаркера Н CYFRA 21-1 не превышают 3,5 нг/мл.
Все случаи рака головного мозга профессора и врачи высшей категории обсуждают на заседании Экспертного Совета Юсуповской больницы. На консультацию приглашают ведущих нейрохирургов из клиник-партнёров. Клиника онкологии оснащена современным оборудованием, укомплектована специально подготовленным персоналом. Это позволяет осуществлять все инновационные операции на высоком профессиональном уровне и обеспечить качественный уход в послеоперационном периоде.
Инновационные методики лечения рака мозга
Нейрохирурги Юсуповской больницы проводят комплексное лечение опухолей головного мозга. Благодаря оснащённости операционных клиники онкологии новейшим оборудованием, врачи выполняют все новейшие операции. Кандидаты и доктора медицинских наук, врачи высшей категории совместно принимают решение о выборе схемы терапии опухоли головного мозга. Химиотерапевты используют новейшие лекарственные препараты, которые обладают высокой эффективностью и минимальным побочным действием. На базе клиники онкологии проводятся клинические исследования, в рамках которых пациентам предлагают дополнительное лечение: фотодинамическую терапию, иммунотерапию.
Целью хирургической операции при опухоли головного мозга является максимально возможное удаление новообразования, компенсация состояния пациента, точный гистологический диагноз. Операция обеспечивает улучшение качества жизни для большинства больных и увеличивает продолжительность жизни для отдельных пациентов. Удаление раковой опухоли мозга уменьшает количество неопластических клеток, что изменяет клеточную кинетику и обеспечивает большую чувствительность клеток опухоли к химиотерапии.
В Юсуповской больнице врачи проводят хирургическое лечение опухоли головного мозга, которое соответствует европейским стандартам нейрохирургии. Удаление опухоли выполняют с использованием микрохирургического инструментария, интраоперационной оптики и нейронавигации при работе в области функциональных зон. Использование навигационной системы позволяет нейрохирургам точнее планировать ход операции и определять границы новообразования при его диффузном росте. Применение нейронавигации позволяет уменьшить размеры краниотомии увеличить степень удаления опухоли.
Для удаления внутримозговых опухолей, сохранение целостности сосудов и мозговой ткани применяют ультразвуковой деструктор. Он уменьшает до минимума травматичность операции. После операции больных активизируют на 2-3 сутки, не зависимо от объёма оперативного вмешательства. Клиническая симптоматика в послеоперационном периоде остаётся минимальной.
Несмотря на быстрое технологическое развитие, стандартная фотонная лучевая терапия до сих пор оставляет за собой ряд вопросов. Целью новых методов в радиотерапии головного мозга является доставка дозы излучения протонного пучка в ткань опухоли как можно более точно. В Юсуповской больнице для лечения пациентов, страдающих опухолями головного мозга, применяют протонную терапию.
Для применения высокоточного метода протонного пучка опухоль рассматривают и определяют с помощью комбинации компьютерной, магнитно-резонансной и позитронно-электронной томографии. Метод применяют для лечения детей со злокачественными заболеваниями или опухолями головного мозга и молодых больных. Вторая группа - раковые заболевания головного мозга, неизлечимые фотонный лучевой терапией из-за их расположения или низкой чувствительностью к радиации.
После операции пациентам, страдающим раком головного мозга, назначают химиотерапевтические препараты. Новые способы введения химиотерапевтических средств местного действия позволяют миновать гематоэнцефалический барьер головного мозга и повысить эффективность химиотерапии. В настоящее время химиотерапевты используют следующие пути введения лекарственных препаратов при раке головного мозга:
- Интратекально - препарат вводят в спинномозговую жидкость;
- Внутрь тканей опухоли - лекарственное средство вводится в полость, которая образовалась после удаления злокачественной опухоли в виде капсул;
- Конвекционно - непосредственно в опухоль или близлежащие к нему ткани вводят катетер, через него химиотерапевтический препарат очень медленно поступает в головной мозг очень в течение нескольких дней, после чего катетер убирают;
- Внутриартериально - препарат вводится напрямую в артерии головного мозга.
Иногда в саму опухоль мозга вводят специальные пластинки, которые содержат химиотерапевтическое средство. Чтобы пройти курс лечения опухоли головного мозга, звоните по телефону Юсуповской больницы.
Сколько живут с опухолью головного мозга
У детей, молодых людей, зрелых и пожилых, независимо от их образа жизни, онкологи выявляют рак головного мозга. Сколько живут с этим заболеванием. Прогноз зависит от гистологического типа опухоли и стадии патологического процесса.

Причины
Прогноз при анапластической астроцитоме головного мозга давать сложно. Выживаемость пациентов не превышает четырёх лет и не увеличивается даже после проведения операции. При стандартном лечении наиболее частой формой опухоли мозга - глиобластомы -выживаемость составляет 4%. Терапия с применением генетически модифицированного полиовируса позволила увеличить трёхлетнюю выживаемость больных этой формой рака до 21%.
Опухоль головного мозга является одним из самых серьезных диагнозов в современной медицине. Данная форма рака одинаково может поразить важный орган, как мужчин, так и женщин, вне зависимости от возраста, поэтому при малейших подозрениях и симптомах, которые могут указывать на это заболевание, следует обращаться к специалистам. Эксперты рекомендую обращать внимание на частые головные боли, проблемы со зрением и координацией, неоднократные потери сознания, изменения в поведении.
Нейрохирурги утверждают, что опухоль головного мозга отражается на психике, душевном состоянии и индивидуальности человека. Доброкачественные новообразования длительное время протекают бессимптомно. Злокачественная опухоль может стремительно развиваться, проявляться агрессивно и быстро привести к летальному исходу.
Причин опухоли головного мозга много:
- Стремительное деление мозговых клеток;
- Отягощённая наследственность;
- Облучение высокими дозами радиации (опухоли могут образовываться спустя 15-20 лет с момента облучения).
Учёные доказали связь черепно-мозговых травм с возможностью отдалённого формирования оболочечно-сосудистых опухолей. Частота новообразований головного мозга находится в прямой зависимости от возраста пациента. До семи лет опухоли головного мозга встречаются значительно чаще, чем в период от 7 и до 14 летнего возраста. После 14 лет частота новообразований мозга снова возрастает. Максимум случаев заболевания приходится на пятидесятилетний возраст. Затем риск образования опухолей мозга уменьшается.
Учёные установили взаимосвязь гистологического типа новообразования и возраста пациента:
- У детей и юношей чаще возникает медуллобластома и астроцитома мозжечка, краниофарингиома и эпендимома, спонгиобластома ствола мозга;
- От 20 и вплоть до 50 лет преимущественно встречаются менингиомы, глиомы больших полушарий, аденомы гипофиза;
- Начиная с 45 лет чаще встречаются глиомы больших полушарий, менингиомы, невриномы слухового нерва, метастатические поражения головного мозга;
- При достижении в структуре опухолей головного мозга преобладают глиобластомы, метастатические опухоли, невриномы.
Внутримозговые новообразования, а также их злокачественные формы в 2-2,3 раза чаще диагностируются у мужчин. Доброкачественные опухоли более характерны для женщин.
Первые симптомы
Большинство новообразований головного мозга длительное время протекает бессимптомно или имеющиеся признаки не позволяют заподозрить наличие объёмного образования в черепной коробке. Онкологи Юсуповской больницы рекомендуют обращаться за специализированной медицинской помощью при наличии следующих симптомов:
- Частых и продолжительных головных болей, нередко появляющихся в местах развития опухоли, сопровождающихся тошнотой и рвотой;
- Потери координации, слабости, неспособности удерживать равновесие;
- Проблем со зрением и повышенной светочувствительности;
- Появлением внезапных приступов, напоминающих эпилептические.
Родственникам следует организовать консультацию нейрохирурга при наличии у пациента странных изменений в привычном поведении, необоснованной агрессии. С походом к специалисту в случае проявления подобных симптомов лучше не затягивать. Если опухоль головного мозга диагностирована на ранней стадии развития, когда симптомы невыраженные, пациенты живут намного дольше. Когда выявлен рак головного мозга 4 степени, прогноз для жизни неутешительный.
Локализация новообразований зачастую обусловливается их биологической природой. В больших полушариях мозга нейрохирурги чаще находят злокачественные глиомы, а в стволе мозга и мозжечке - доброкачественные новообразования.
Классифицируют опухоли головного мозга по степени зрелости их клеток и гистологическому признаку:
- К зрелым опухолям относятся астроцитомы, эпендимомы, олигодендроглиомы;
- Недозрелые новообразования представлены астробластомы, ганглиобластомы, олигодендроглиобластомы;
- В группу совершенно незрелых новообразований входят медуллобластомы, спонгиобластомы, мультиформные опухоли.
Опухоли головного подразделяют на различные группы по гистогенезу (развитию тканей):
- Новообразования нейроэктодермального или глиального ряда (астроцитомы, невриномы, медуллобластомы, пинеобластомы);
- Оболочечно-сосудистые опухоли - развиваются из арахноидэндотелия мозговых оболочек и стенок сосудов (ангиомы, менингиомы, хордомы, фибросаркомы, остеомы);
- Опухоли хиазмально-селлярной локализации - гипофиза, произрастающие из передней доли аденогипофиза, и краниофарингиомы;
- Бидермальные новообразования, которые состоят из элементов-производных двух зародышевых листков;
- Гетеротопические опухоли (хондромы, дермоиды, эпидермоиды, липомы, пиратемы).
В 1% случаев опухолей головного мозга определяются системные новообразования - множественный менингиоматоз, множественный нейрофиброматоз и множественный ангиоретикуломатоз. Метастазы в головной мозг (прогноз неблагоприятный) находят у 5% пациентов, а новообразования, которые врастают в полость черепа (саркомы, гломусные опухоли) - в 1,8% случаев. На данный момент по гистологическим и гистохимическим признакам выделяют порядка 90 различных опухолей нервной системы. По локализации опухоли головного мозга на супратенториальные новообразования, расположенные в передней и средней черепных ямках и субтенториальные, локализованные в задней черепной ямке.
Прогноз
Продолжительность жизни больного опухолью головного мозга определяет степень доброкачественности новообразования и стадии рака головного мозга. При доброкачественных опухолях очень часто онкологи Юсуповской больницы добиваются полного излечения. Продолжительность жизни или срок от окончания терапии до возобновления продолженного роста, которое потребует оперативного лечения, превышает 5 лет. Если характер опухоли полу доброкачественный, можно говорить о продолжительность жизни или временном интервале до продолженного роста новообразования от 3 и до 5 лет.
В случае относительно злокачественного характера опухоли пациенты живут 2-3 года. При злокачественной опухоли средний период жизни от 4 месяцев и до года, хотя известны и исключения. Глиобластома является не только самой агрессивной, но и одной из самых распространённых опухолей мозга. Онкологи выявляют до 52% первичных новообразований в этом органе. Для борьбы с заболеванием применяют химиотерапию, лучевую терапию и хирургическое лечение. При этом пациенты редко живут дольше 15-20 месяцев после установки диагноза.
Особенно опасны «возвращающиеся» опухоли, которые возникают вновь по завершении лечения. В этом случае продолжительность жизни редко превышает год. Терапия с применением генетически модифицированного полиовируса позволила увеличить трехлетнюю выживаемость пациентов с глиобластомой.
Продолжительность жизни зависит и от начала лечения, возможности провести весь возможный комплекс терапевтических процедур. Если лечение начато на ранних стадиях с применением инновационных методик оперативных вмешательств, лучевой и химиотерапии, пятилетняя выживаемость составляет около 80%. В остальных случаях прогноз не превышает 20-30%.
Сколько живут после операции опухоли головного мозга? Оперативные вмешательства существенно улучшают прогноз выживаемости пациентов. Операции наиболее эффективные на начальных стадиях заболевания. При появлении первых симптомов болезни обращайтесь в Юсуповскую больницу.
Когда обращаться к врачу
Выделяются 2 группы симптомов опухоли головного мозга - общемозговые и очаговые. Из общемозговых симптомов у 90% пациентов встречается головная боль. Причиной её возникновения является раздражение опухолью рецепторов мозговых оболочек. По мере роста происходит растяжение стенок желудочков, в дальнейшем - сдавление опухолью ствола мозга и мозговых сосудов. Боль глубинная, распирающая и разрывающая голову пациента. В самом начале заболевания боль приступообразная. По мере прогрессирования новообразования она становится все более длительной, интенсивность нарастает. Боль усиливается ночью и при физической нагрузке - при дефекации, кашле, повороте или кивании головой.
Кроме распространённых головных болей, которые заметны на 3-4 стадиях заболевания и возникают как результат повышения внутричерепного давления, врачи выделяют местные головные боли. Они возникают по причине раздражения мозговой оболочки, внутримозговых и оболочечных сосудов, стенок крупных сосудов головного мозга, появление различных изменений в костях черепа. Местные боли сверлящие, пульсирующие или дёргающие. Местные головные боли при опухоли мозга неврологи выделяют из общего болевого фона механически путём пальпации черепа, лица. Пациентам предлагают напрячься, покашлять или подпрыгнуть. При таких действиях головная боль усиливается.
У 50% пациентов, страдающих опухолью головного мозга, возникает рвота. Она появляется быстро, не связана с приёмом или характером пищи, отрыжкой, тошнотой, болями в области живота. Зачастую рвота сопутствует приступу головной боли, начинаясь на его пике. Иногда рвота возникает утром при повороте головы. Её причина - раздражения рвотного центра при внутричерепной гипертензии. При опухолях продолговатого мозга, IV желудочка, червя мозжечка, полушария мозжечка, рвота является очаговым и ранним симптомом.
В триаду ведущих симптомов опухоли головного мозга входят застойные соски зрительных нервов. Их офтальмологи определяют у 75-81% заболевших опухолью головного мозга. Застойные соски двусторонние, чаще развиваются при субтенториальных опухолях, реже - при супратенториальных.
Головокружение обнаруживается у 50% пациентов с опухолью головного мозга. Оно развивается как по причине застойных явлений в лабиринте, так вследствие поражения вестибулярных стволовых центров, височной или же лобной доли больших полушарий мозга. Головокружение зачастую сопровождается тошнотой. Пациент может потерять равновесие.
У 60-90% пациентов с опухолью головного мозга врачи определяют психические расстройства. Могут иметь место нарушения сознания:
- Оглушённость;
- Кома;
- Аспонтанность;
- Эмоциональные нарушения;
- Расстройства памяти.
К общемозговым симптомам опухоли мозга относят эпилептические припадки. Они возникают при локализации патологического процесса в задней черепной ямке. Местные симптомы зависят от типа опухоли головного мозга. При опухолях лобной доли неврологи определяют следующие местные признаки заболевания:
- Местные односторонние головные боли;
- Эпилептические припадки;
- Психические расстройства (пациент плохо ориентируется в окружающей обстановке, совершает абсолютно немотивированные поступки, неадекватно весел, шутлив).
Ранним проявлением болезни может быть центральный парез лицевого нерва, хватательный рефлекс на противоположной новообразованию стороне. К более поздним симптомам относится первичная атрофия зрительного нерва на стороне опухоли, застойные явления в другом глазу, экзофтальм на стороне, где обнаружена опухоль, менингеальные признаки, лобная атаксия. Если выявлена опухоль лобной доли головного мозга, прогноз зависит от её гистологического строения и стадии заболевания.
Проявлением опухоли теменной доли головного мозга является нарушение чувствительности (сложных форм и глубокого мышечного чувства), схемы тела, астереогноз. При левосторонней локализации опухоли развивается апраксия (нарушение целенаправленных движений и действий при сохранности составляющих их элементарных движений), нарушение способности письма, чтения, счёта, явления амнестической афазии (у пациентов возникают трудности называния предметов). Двигательные расстройства бывают при подкорковой локализации опухоли.
Для опухолей височной области мозга характерны следующие признаки:
- обонятельные и вкусовые расстройства;
- зрительные и слуховые галлюцинации;
- общие эпилептические припадки;
- гемианопсия (двухсторонняя слепота в половине поля зрения) при очагах в задних отделах доли;
- расстройства со стороны тройничного и глазодвигательного нервов.
При левосторонней локализации опухоли у правшей развивается сенсорная афазия (пациент всё слышит, но не может понять содержания слов). Для этой локализации типично раннее появление общемозговых симптомов.
Опухоли мозжечка проявляются головными болями, сопровождающимися рвотой. Важнейшими очаговыми проявлениями являются расстройство координации, мышечная гипотония, нистагм (непроизвольные колебательные движения глаз высокой частоты). При росте опухоли из червя наблюдается двусторонняя симптоматика:
- Преимущественное нарушение статической координации;
- Повышение внутричерепного давления;
- Приступы сильной головной боли и рвота при изменениях положения головы;
- Нарушение дыхания и сердечно-сосудистой деятельности.
Прогноз в этом случае неблагоприятный. Выделяют четыре стадии рака головного мозга. Если опухоль ограничена, говорят о первой стадии болезни. Дальнейшие стадии устанавливаются в зависимости от площади поражения. Четвёртая стадия означает расширенный рак с метастазами. Прогноз крайне неблагоприятный.
Пациенты часто спрашивают: «Что делать, врачи сказали, что у меня опухоль мозга?» При наличии первых симптомов опухоли головного мозга звоните по телефону Юсуповской больницы. Неврологи проведут обследование с помощью современных методов нейровизуализации, установят диагноз, организуют консультацию нейрохирурга. Комплексное лечение улучшает прогноз при раке головного мозга.
Читайте также:
