Диагностика злокачественной опухоли оболочки нерва средостения на КТ, МРТ
Добавил пользователь Евгений Кузнецов Обновлено: 31.10.2025
Давыдов М.И., Полоцкий Б.Е., Мачаладзе З.О., Тюляндин С.А., Карселадзе А.И., Савелов Н.А., Ахмедов Б.Б. (РОНЦ им. Н.Н.Блохина)
В материалах РОНЦ им. Н.Н.Блохина 1980-2005 гг. отражен опыт диагностики, хирургического и комбинированного лечения свыше 500 больных. Среди анализированных случаев - опухоли органов и тканей собственно средостения: вилочковой железы (16,9%), нейрогенные (17,7%) и мезенхимальные (10,4%) опухоли; новообразования из тканей, дистопированных в средостение (внегонадные герминогенные опухоли, тератомы, дермоидные кисты) - 22,7%, а также - процессы с изолированным поражением лимфатических узлов средостения: лимфомы Ходжкина и неходжкинске лимфомы (25,7%), случаи саркоидоза Бека (29), ангиофолликулярной гиперплазии (4) и др.
Обобщение опыта, накопленного, в особенности, в 1990-х - 2000-х гг., с учетом современных возможностей клинической онкологии, позволило оптимизировать уточняющую диагностику, обосновать расширение показаний к хирургическому и комбинированному лечению, повторным и паллиативным операциям. Результаты операций по поводу новообразований средостения, прежде всего при массивных опхолевых поражениях, сопряженных со сдавлением дыхательных путей, пищевода, магистральных сосудов (при условии должного реанимационно-анестезиологического обеспечения) характеризуются сравнительно низкой летальностью, улучшением качества жизни и увеличением ее продолжительности.
ОБЩИЕ ПОЛОЖЕНИЯ (КЛИНИКА, ДИАГНОСТИКА, ЛЕЧЕНИЕ. )
Материалы РОНЦ подтверждают известные сведения о локализации и преимущественно злокачественном характере опухолей осредостения. Соотношение злокачественных и доброкачественных новообразований составило 3:1. Тимомы, лимфомы, внегонадные герминогенные опухоли (ВГО), мезенхимомы локализовались в переднем средостении, нейрогенные опухоли - в заднем; несоответствие локализации и структуры новообразования отмечено у 15% больных нейрогенными опухолями - в тех случаях, когда новообразования локализовалась в переднем средостении. Определение исходной локализации процесса было затруднено при «гигантских» опухолях, когда (в 10-20% случаев) наблюдались поражения как переднего, так и заднего средостения с распространением процесса на б?льшую часть гемиторакса.
Длительность клинических проявлений составляла от нескольких месяцев до 3 лет. При небольших опухолях, не связанных с прилежащими анатомическими образованиями не отмечалось клинических проявлений (до 30-40% случаев). В остальных наблюдениях регистрировались проявления, обусловленные наличием опухоли - миастения (5%), осиплость (часто сопряженная с ВГО), медиастинальный компрессионный синдром (до 30-40% случаев, в особенности при злокачественных процессах); а также различные неспецифические симптомы (повышение температуры тела, кашель, боли и чувство сдавления за грудиной, др.). Рентгенологическое исследование, безусловно, позволяло определять локализацию и размеры опухоли. Для уточнения топографии новообразований, выявления связей с прилежащими анатомическими образованиями применялись КТ и МРТ. Чувствительность. специфичность и точность * этих методов соответствовали 90-80%, достигая 97-98% значимости оценки - как например, МРТ в диагностике распространенности тимом. Повышение уровня опухолевых маркеров сыворотки крови (АФП и ХГЧ) наблюдалось при несеминомных герминогенных опухолях средостения. Морфологическое подтверждение диагноза, кроме пункционной биопсии (информативность, при лимфопролиферативных заболеваниях, соответствует 48%), достигалось хирургическими методами диагностики. При этом, вместо медиастиноскопии и парастернальной медиастинотомии (16 и 43 исследования 1990-х гг.) в 2000-х гг. стала применяться видеоторакоскопия (53 исследования).
Следует отметить, что современные возможности диагностики позволяют устанавливать морфологический диагноз во всех случаях лимфопролиферативных заболеваний с поражением средостения. При этом, агрессивность применяемых методов лечения вынуждает считать недопустимой попытку лечения при данных новообразоованиях без морфологического диагноза.
Хирургический метод - основа лечения больных опухолями средостения. Исключения составляют злокачественные внегонадные герминогенные и лимфопролиферативные заболевания основу лечения которых составляют консервативные методы лечения. Учитывая низкую эффективность химио-лучевой терапии в отношении остальных медиастинальных новообразований хирургическое лечение, в том числе и с паллиативной целью, с выполнением повторных операций, способствует существенному продлению жизни. Выполнение боковой торакотомии в 73% случаев обеспечивало возможность удаления опухоли. Локализация процесса, безусловно, определяла особенности хирургического доступа. Так, при нейрогенных опухолях, растущих в форме «песочных часов» торакотомия дополнялась одномоментной ляминэктомией для радикального удаления внутригрудной и внутрипозвоночной частей опухоли - по N.Guleke (1916) в модификации H.Grillo et al. (1983). Для удаления местнораспространенных и «гигантских» опухолей выполнялась двусторонняя торакотомия, полная продольная стернотомия (4), иные комбинированные доступы.
ОСОБЕННОСТИ, ОБУСЛОВЛЕННЫЕ ЛОКАЛИЗАЦИЕЙ НОВООБРАЗОВАНИЙ
Опухоли вилочковой железы. Из 85 наблюдений в 44,7% случаев диагностированы доброкачественные новообразования, в 55,3% - злокачественные. Клиническое течение заболевания не всегда определялось гистологическим строением опухоли и характером её роста. Оперированы 70 (82,4%) больных; остальным проведено консервативное лечение из-за распространенности опухолевого процесса.
Радикальные операции составили 59 (84,3%) случаев; у остальных пациентов удаление опухоли выполнено с паллиативной целью, у 6 (8,6%) операция ограничена эксплоративной торакотомией. Адекватным объемом оперативного вмешательства при новообразованиях вилочковой железы является тимомэктомия - удаление опухоли и всей ткани вилочковой железы с жировой клетчаткой и лимфоузлами переднего средостения. Такой объем операции выполнен 44 больным. Кроме того, 15 пациентам выполнены расширенно-комбинированные тимомэктомии в связи с инвазией опухолей в окружающие структуры. Дополнительная лучевая и химиотерапия проведена в 19,2% случаев (в основном - при III-IV стадиях тимом типов В2, В3 и С). Отдаленные результаты хирургического лечения. Более 3 лет после радикального хирургического лечения прожили 84,8%, более 5 лет - 82,6% и более 10 лет - 73,9% больных. Отдаленные результаты определялись распространенностью процесса (инвазия капсулы, поражение плевры), гистологическим типом опухоли. Так, тимомы типов А и В1 прогностически наиболее благоприятны (10-летний срок переживают 90% пациентов). Для тимом типов АВ, В2 и В3 5-летняя выживаемость соответствовала 64-68%; прогноз при тимомах типа С достоверно хуже - 32%. При отсутствии инвазивного роста гистологическая форма тимомы не влияет на отдаленные результаты хирургического лечения. Тимомы с инвазией в пределах капсулы являются злокачественными по клиническому течению и требуют назначения послеоперационного лучевого лечения.
Нейрогенные опухоли (89 случаев) распределены в две гистогенетические группы: новообразования из клеток нервной ткани (22; 24,7%) и из оболочек периферических нервов (67; 75,3%). Доброкачественные опухоли (шванномы, нейрофибромы, ганглионевромы, параганглиомы) выявлены у 69,7%, злокачественные (саркомы Юинга, нейробластомы, ганглионейробластомы, др.) - у 30,3% пациентов. Решение лечебных задач определялось характерной локализацией нейрогенных опухолей и особенностями их распространения.
Мезенхимальные опухоли (52 наблюдения) представлены различными гистологическими формами: сосудистые опухоли - 17 (32,6%); жировые - 15 (28,8%); фибробластические - 6 (11,5%), фиброгистиоцитарные - 2 (3,8%); костно-хрящевые - 5 (9,6%); мезенхимомы - 2 (2,8%), а также опухоль из скелетных мышц - 1 (1,9%); синовиальная саркома - 1 (1,9%); саркомы неясного генеза - 3 (5,8%). Доброкачественные опухоли составили 42,3%, злокачественные - 57,7% случаев. Лечение больных мезенхимальными опухолями, в особенности - злокачественными, в условиях низкой эффективности химиолучевой терапии, является только хирургическим. Оперативные вмешательства отличаются большой сложностью, что обусловлено, как правило, распространенностью процесса. Хирургическое лечение проведено 40 пациентам, консервативное - 12. В плане дополнительного лечения только 7 больным проведена пред- или послеоперационная химиолучевая терапия. После хирургического лечения в группе из 19 больных злокачественными новообразованиями рецидивы выявлены в 13 случаях (68,4%) - в том числе, в 9 из 11 паллиативных и в 4 из 8 радикальных операций (81,8 и 50% соответственно). По поводу рецидивов выполнялись повторные операции, один из больных оперирован трижды, другой - четырежды. Показатели общей и безрецидивной 5-летней выживаемости при доброкачественных мезенхимальных опухолях стремятся к 100%. При злокачественных - 1-3-5-летняя продолжительность жизни составила 75; 62,5; 48,6% после радикальных операций и 63,6; 27,2; 18,1% - после паллиативных.
Таким образом, даже при распространенном опухолевом процессе и при локорегиональных рецидивах должна применяться активная хирургическая тактика. Повторные (и многократные) операции, в том числе и с паллиативной целью, позволяют вновь добиться продления жизни. Присущий мезенхимальным опухолям агрессивный местный рост и склонность к рецидивам обосновывают целесообразность дальнейшего поиска вариантов комбинированного лечения, с применением неоадъювантной или адъювантной химиолучевой терапии. Каждую составляющую лечения следует использовать в полном объеме, постоянно развивая и совершенствуя.
Внегонадные герминогенные опухоли (ВГО). Наблюдались 114 пациентов с внегонадными герминогенными опухолями средостения: мужчин - 97 (85,1%), женщин - 17 (14,9%) в возрасте от 14 до 72 лет, средний возраст - 26 лет. Семинома диагностирована в 17,5%, несеминома - в 82,5% случаев. Среди больных несеминомными ВГО был выявлен эмбриональный рак, опухоли желточного мешка, хориокарциномы, тератомы различной степени зрелости, дермоидные кисты. Общие принципы диагностики и лечения. При повышении уровня опухолевых маркеров (АФП, ХГ, ЛДГ) без признаков поражения яичек необходима компьютерная томография органов грудной клетки, брюшной полости и забрюшинного пространства. При морфологическом подтверждении диагноза злокачественной внутригрудной герминогенной опухоли показано проведение 4-6 курсов химиотерапии (схемы ВЕР, ВР, др), лучевой терапии (РОД= 2-3 Гр; СОД - до 60-70 Гр). Полный эффект лечения больных внегонадными семиномами регистрируется в 80%, несеминомами - в 23% случаев. Частота рецидивов выше в группе внегонадных несеминомных опухолей (6,7 и 29,4%; р<0,05). При сохранении опухоли семиномного строения после индукционной химиотерапии показано динамическое наблюдение. При наличии остаточной несеминомной опухоли после окончания индукционной терапии рекомендуется хирургическое лечение. Рост маркеров является показанием к проведению химиотерапии второй линии. Выявление жизнеспособных герминогенных клеток в резидуальной опухоли обусловливает проведение послеоперационной химиотерапии.
Лимфомы (с поражением лимфоузлов средостения) без иных проявлений заболевания выявлены у 129 больных. Лимфомы Ходжкина диагностированы у 82, неходжинские лимфомы - у 47 пациентов. Морфологический диагноз был установлен с применением хирургических методов диагностики. Хирургический этап завершался на стадии диагностики. В последующем больным проводилось лечение в соответствии с вариантом лимфомы и комплексом прогностических признаков по программам химио- и лучевой терапии, применявшимся в РОНЦ в анализируемые исторические этапы.
Опухоли средостения
Рекомендовано
Экспертным советом
РГП на ПХВ «Республиканский центр
развития здравоохранения»
Министерства здравоохранения
и социального развития
Республики Казахстан
от «30» октября 2015 года
Протокол №14
Опухоли средостения - собирательный термин, служащий для обозначения новообразований различного генеза, происходящих из разнородных тканей и объединенных в одну нозологическую форму лишь благодаря единым анатомическим границам. [1,2,3,4] (УД - А)
Название протокола: Опухоли средостения.
Код протокола:
Код(ы) МКБ - 10:
С 37.0 Злокачественные новообразования вилочковой железы
С 38 Злокачественные новообразования сердца, средостения и плевры
Сокращения, используемые в протоколе:
| АЛТ аланинаминотрансфераза АСТ аспартатаминотрансфераза АЧТВ активированное частичное тромбопластиновое время ВОЗ Всемирная организация здравоохранения в/в внутривенно в/м внутримышечно ВИЧ вирус иммунодефицита человека Гр грей ЕД единицы ЖКТ желудочно - кишечный тракт ЗНО злокачественное новообразование ИГХ иммуно-гистохимическое исследование ИФА иммуноферментный анализ КТ компьютерная томография ЛТ лучевая терапия МРТ магнитно-резонансная томография ОАК общий анализ крови ОАМ общий анализ мочи ПХТ полихимиотерапия ПЭТ позитронно -эмиссионная томография РОД разовая очаговая доза СОД суммарно-очаговая доза ССС сердечно- сосудистая система СОЭ скорость оседания эритроцитов УЗИ ультразвуковое исследование ЭКГ электрокардиограмма ЭхоКГ эхокардиография per os перорально TNM Tumor Nodulus Metastasis - международная классификация стадий злокачественных новообразований |
Дата разработки/пересмотра протокола: 2015 год.
Категория пациентов: взрослые.
Пользователи протокола: онкологи, хирурги, терапевты, врачи общей практики, пульмонологи, кардиохирурги, онкогематологи.
Оценка на степень доказательности приводимых рекомендаций.
Шкала уровня доказательности:
| А | Высококачественный мета-анализ, систематический обзор РКИ или крупное РКИ с очень низкой вероятностью (++) систематической ошибки, результаты которых могут быть распространены на соответствующую популяцию. |
| В | Высококачественный (++) систематический обзор когортных или исследований случай-контроль или высококачественное (++) когортное или исследований случай-контроль с очень низким риском систематической ошибки или РКИ с не высоким (+) риском систематической ошибки, результаты которых могут быть распространены на соответствующую популяцию. |
| С | Когортное или исследование случай-контроль или контролируемое исследование без рандомизации с невысоким риском систематической ошибки (+). Результаты которых могут быть распространены на соответствующую популяцию или РКИ с очень низким или невысоким риском систематической ошибки (++или+), результаты которых не могут быть непосредственно распространены на соответствующую популяцию. |
| D | Описание серии случаев или неконтролируемое исследование, или мнение экспертов. |
| GPP | Наилучшая фармацевтическая практика. |

Автоматизация клиники: быстро и недорого!
- Подключено 300 клиник из 4 стран
- 800 RUB / 4500 KZT / 27 BYN - 1 рабочее место в месяц

Автоматизация клиники: быстро и недорого!
- Подключено 300 клиник из 4 стран
- 1 место - 800 RUB / 4500 KZT / 27 BYN в месяц
Мне интересно! Свяжитесь со мной
Классификация
Клиническая классификация : (наиболее распространенные подходы, например:
по этиологии, по стадии и т.д.).
ГИСТОЛОГИЧЕСКАЯ КЛАССИФИКАЦИЯ [5] (УД-А):
Эпителиальные опухоли:
· Тимома;
1. Тип А (веретеноклеточный, мозговой);
2. Тип АВ (смешанный);
3. Тип В1(лимфоцитарный);
4. Тип В2 (кортикальный);
5. Тип В3 (эпителиальный).
· Микронодулярная тимома);
· Метапластическая тимома;
· Склерозирующая тимома;
· Липофиброаденома.
Рак вилочковой железы (включая нейроэндокринные, эпителиальные опухоли тимуса):
· Плоскоклеточный рак;
· Базалиоидный рак;
· Мукоэпидермоидный рак;
· Лимфоэпителиомаподобный рак;
· Карциносаркома ;
· Светло клеточный рак;
Аденокарцинома:
· Папиллярная аденокарцинома;
· Карцинома с t транслокацией;
Высокодифференцированная нейроэндокринная карцинома (карциноид):
· Типичный карциноид;
· Атипичный карциноид;
Высокодифференцированная нейроэндокринная карцинома:
· Крупноклеточная нейроэндокринная карцинома;
· Мелкоклеточная нейроэндокринная карцинома;
· Недифференцированная карцинома.
Смешанные эпителиальные включая нейроэндокринные карциномы:
Герминогенные опухоли средостения;
Одного гистологического типа:
· Семинома;
· Эмбриональная карцинома;
· Опухоль желточного мешка;
Хориосаркома :
· Тератома взрослая;
· Тератома невзрослая.
Более одного гистологического типа:
· Полиэмбриома;
Герминогенные опухоли средостения с соматическим типом озлокачествления;
Герминогенные опухоли средостения ассоциированные с гематологическим озлокачествлениями;
· Медиастинальная лимфома и гемопоэтические неоплазмы;
· Б-клеточные лимфомы;
· Первичная Б-клеточная лимфома;
· Экстранодулярная тимусная Пограничная Б-клеточная лимфома MALT типа;
· Б-клеточная лимфома Б-клеточная лимфома клеточная лимфома;
Т - клеточные лимфомы:
· Предшественник Т-лимфобластной лимфомы;
· Предшественник Т-лимфобластной лейкемии.
Ходжкинская лимфома средостения:
· Серой зоны между Ходжкинскими и неХоджкинскими лимфомами;
· Гистиоцитарные,дендритические опухоли;
· Лангергансоклеточный гистиоцитоз;
· Лангергансоклеточная саркома;
· Гистиоцитарная саркома;
· Злокачественный гистиоцитоз;
· Фолликулярная дендритические опухоли;
· Фолликулярная дендритические саркома;
· Интердигититационная дендритические опухоли;
· Интердигититационная дендритические саркома;
· Миелоидная саркома и острая миелоидная лейкемия.
Мезенхимальные опухоли тимуса и средостения
· Тимолипома;
· Липома средостения;
· Липосаркома;
· Солирная фиброма;
· Синовиальная саркома;
· Сосудистый неоплазмоз;
· Рабдомиосаркома;
· Лейомиоматозная опухоль;
· Опухоли периферических нервов;
· Редкие опухоли средостения;
· Эктопированные опухоли тимуса;
· Эктопированные тиреоидные опухоли;
· Эктопированные паратиреоидные опухоли.
ТNМ КЛАССИФИКАЦИЯ ЗЛОКАЧЕСТВЕННЫХ ЭПИТЕЛИАЛЬНЫХ ОПУХОЛЕЙ [5] (УД-А)
Т -первичная опухоль;
ТХ - недостаточно данных для оценки первичной опухоли;
ТО - нет доказательств первичной опухоли;
Т1 - Опухоль полностью инкапсулирована;
Т2 - Опухоль переходит на перикапсулярную ткань;
Т3 - Опухоль переходит на соседние структуры такие как:
· перикард;
· медиастинальная плевра;
· грудная стенка;
· легкие;
· магистральные сосуды.
Т4-Опухоль с плевральной или перикардиальной диссеминацией;
N-региональные л/узлы:
NХ- недостаточно данных для оценки л/узлов;
NО-нет региональных метастазов;
N1-Метастазы в передние медиастинальные л/узлы;
N2- Метастазы в другие внутри грудные л/узлы исключая передние медиастинальные л/узлы;
N3 Метастазы в лестничные и надключичные л/узлы.
Классификация тимом по степени выраженности инвазивного роста [5] (УД - А).
I стадия (Т1N0М0) - полностью инкапсулированная опухоль без инвазии в медиастинальную жировую клетчатку;
II стадия (Т2N0М0) - инфильтрация в пределах жировой клетчатки средостения;
III стадия (Т3N0М0) - инфильтрация медиастинальной плевры или перикарда, или прилежащих органов:
а) отсутствие инвазии крупных сосудов;
б) инвазия крупных сосудов.
IV стадия
а) опухоль с имплантатами по плевре и перикарду Т4N0М0;
б) опухоль с лимфогенными метастазами Т1-4N1-2М0;
в) опухоль с гематогенными метастазами Т1-4N0-2М1;
Доброкачественными считают только инкапсулированные тимомы без имплантатов или метастазов.
Диагностика
Перечень основных и дополнительных диагностических мероприятий:
Основные (обязательные) диагностические обследования, проводимые на амбулаторном уровне:
· Сбор жалоб и анамнеза
· Общее физикальное обследование
· Рентгенография органов грудной клетки (2 проекции)
· Компьютерная томография органов грудной клетки и средостения
· Фибробронхоскопия диагностическая
· Пункционная/аспирационная биопсия под УЗ контролем
· Трепанобиопсия опухоли средостения
· Цитологическое исследование
· Гистологическое исследование
Дополнительные диагностические обследования, проводимые на амбулаторном уровне:
· УЗИ надключичных и шейных лимфатических узлов
· УЗИ плевры и плевральной полости
· Ультразвуковая диагностика комплексная (печень, желчный пузырь, поджелудочная железа, селезенка, почек)
· Фиброэзофагоскопия
· Отрытая биопсия увеличенных надключичных и шейных лимфатических узлов (при наличии увеличенных лимфоузлов);
· Магниторезонансная томография органов средостения с контрастированием
· Позитронно-эмиссионная томография (ПЭТ) + компьютерная томография всего тела
Минимальный перечень обследования, который необходимо провести при направлении на плановую госпитализацию: согласно внутреннему регламенту стационара с учетом действующего приказа уполномоченного органа в области здравоохранения.
Основные (обязательные) диагностические обследования, проводимые на стационарном уровне (при экстренной госпитализации проводятся диагностические обследования не проведенные на амбулаторном уровне):
· Общий анализ крови
· Биохимический анализ крови (белок, креатинин, мочевина, билирубин, АЛТ, АСТ, глюкоза крови)
· Коагулограмма (протромбиновый индекс, фибриноген, фибринолитическая активность, тромботест)
· Общий анализ мочи
· Рентгенография органов грудной клетки (2 проекции)
· Компьютерная томография органов грудной клетки и средостения
· Фибробронхоскопия диагностическая
· УЗИ надключичных, подмышечных лимфатических узлов
· Спирография
· Электрокардиографическое исследование
· ЭХО кардиография (пациентам 50 лет и старше, так же пациенты моложе 50 лет при наличии сопутствующей патологии ССС)
Дополнительные диагностические обследования, проводимые на стационарном уровне (при экстренной госпитализации проводятся диагностические обследования непроведенные на амбулаторном уровне):
· Магниторезонансная томография органов средостения с контрастированием
· УЗИ надключичных и шейных лимфатических узлов
· УЗИ плевры и плевральной полости
· Ультразвуковая диагностика комплексная (печень, желчный пузырь, поджелудочная железа, селезенка, почек)
· Пункционная/аспирационная биопсия под УЗ контролем
· Трепанобиопсия опухоли средостения
· Фиброэзофагоскопия
· Отрытая биопсия увеличенных надключичных и шейных лимфатических узлов (при наличии увеличенных лимфоузлов)
· Цитологическое исследование
· Гистологическое исследование
Диагностические мероприятия, проводимые на этапе скорой неотложной помощи: не проводятся.
Диагностические критерии постановки диагноза:
жалобы и анамнез
Клинические проявления в зависимости от стадии и локализации:
· боли за грудиной
· синдром верхней полой вены (отсутствие или наличие расширение, набухание вен шеи, отечности лица, шеи или верхнего плечевого пояса)
· одышка при физической нагрузке
· осиплость голоса
· слабость
· потливость по ночам
· субфебрильная температура
· похудание
Анамнез: часто новообразования средостения длительное время протекают бессимптомно, и их случайно обнаруживают при профилактическом рентгенологическом исследовании грудной клетки.
При более поздних стадиях наиболее частыми симптомами являются боли, возникающие вследствие сдавления или прорастания опухоли в нервные стволы или нервные сплетения.
Поражение возвратного гортанного нерва проявляется осиплостью голоса, диафрагмального нерва - высоким стоянием купола диафрагмы.
Проявлением компрессионного синдрома является и сдавление крупных венозных стволов и, в первую очередь, верхней полой вены (синдром верхней полой вены). У больных появляются боли в груди, одышка, отечность и синюшность лица, верхней половины туловища, набухание вен шеи и грудной клетки. При сдавлении трахеи и крупных бронхов возникает кашель и одышка. Сдавление пищевода может вызвать дисфагию.
Физикальное обследование:
· ассиметричность грудной клетки;
· синдром верхней полой вены (отсутствие или наличие расширение, набухание вен шеи, отечности лица, шеи или верхнего плечевого пояса);
· цианоз или полнокровие лица (плетора);
· тахипное.
Лабораторные исследования:
Цитологическое исследование (увеличение размеров клетки вплоть до гигантских, изменение формы и количества внутриклеточных элементов, увеличение размеров ядра, его контуров, разная степень зрелости ядра и других элементов клетки, изменение количества и формы ядрышек);
Гистологическое исследование (крупные полигональные или шиповидные клетки с хорошо выраженной цитоплазмой, округлыми ядрами с четкими ядрышками, с наличием митозов, клетки располагаются в виде ячеек и тяжей с или без образования кератина, наличие опухолевых эмболов в сосудах, выраженность лимфоцитарно-плазмоцитарной инфильтрации, митотическая активность опухолевых клеток).
Инструментальные исследования:
· Рентгенологическое исследование;
Неврогенная опухоль - от 2-3 до 25 см. Форма полуокруглая. Тень однородная, интенсивность ее зависит от размеров, очертания четкие и ровные, иногда волнистые. Широко примыкает к позвоночнику. В боковой проекции тень неврогенной опухоли в подавляющем большинстве случаев накладывается на тень позвоночника. При многопроекционном исследовании выясняется, что опухоль не отводится от позвоночника и располагается в реберно-позвоночном желобе. Неврогенная опухоль обычно не смещается при дыхании.
Лимфомы - Неравномерное расширение тени средостения с полициклическими контурами, свидетельствующее о наличие конгломератов увеличенных медиастинальных лимфоузлов.
Опухоли тимуса - доброкачественная опухоль вилочковой железы на рентгенограмме представляет собой тень овоидной или грушевидной формы, контур слегка волнистый, четкий; ассиметричное положение, слева или справа от срединной линии. Злокачественные опухоли тимуса рентгенологически проявляются тенью с бугристыми, неровными краями, распространение двухстороннее.
Целомическая киста перикарда - от 3 до 20 см. Форма полукруглая или полуовальная. Видимые контуры кисты четкие, иногда волнистые. Медиальный контур кисты, как правило, сливается с более интенсивной тенью сердца и не дифференцируется. Примыкает к сердцу, куполу диафрагмы и передней грудной стенке. Целомические кисты перикарда часто изменяют свою форму при различных фазах дыхания, удлиняясь на вдохе и уплощаясь при выдохе.
· Трепанобиопсия из опухоли средостения
При цитологическом исследовании материала - увеличение размеров клетки вплоть до гигантских, изменение формы и количества внутриклеточных элементов, увеличение размеров ядра, его контуров, разная степень зрелости ядра и других элементов клетки, изменение количества и формы ядрышек. При гистологическом исследовании материала - крупные полигональные или шиповидные клетки с хорошо выраженной цитоплазмой, округлыми ядрами с четкими ядрышками, с наличием митозов, клетки располагаются в виде ячеек и тяжей с или без образования кератина, наличие опухолевых эмболов в сосудах, выраженность лимфоцитарно - плазмоцитарной инфильтрации, митотическая активность опухолевых клеток.
· Тонкоигольная аспирационная биопсия увеличенных надключичных и шейных лимфатических узлов
При цитологическом исследовании материала - увеличение размеров клетки вплоть до гигантских, изменение формы и количества внутриклеточных элементов, увеличение размеров ядра, его контуров, разная степень зрелости ядра и других элементов клетки, изменение количества и формы ядрышек.
Показания для консультации специалистов:
· Консультация кардиолога (пациентам 50 лет и старше, так же пациенты моложе 50 лет при наличии сопутствующей патологии ССС);
· Консультация невропатолога (при сосудистых мозговых нарушениях, в том числе инсультах, травмах головного и спинного мозга, эпилепсии, миастении, нейроинфекционных заболеваниях, а также во всех случаях потери сознания);
· Консультация гастроэнтеролога (при наличии сопутствующей патологии органов ЖКТ в анамнезе);
· Консультация нейрохирурга (при наличии метастазов в головной мозг, позвоночник);
· Консультация эндокринолога (при наличии сопутствующей патологии эндокринных органов).
· Консультация нефролога - при наличии патологии со стороны мочевыделительной системы.
· Консультация фтизиатра - при подозрении на туберкулез внутригрудных лимфатических узлов.
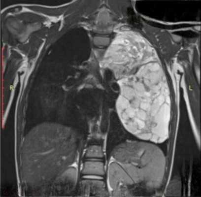
Что показывает МРТ средостения?
Эта область организма человека хорошо защищена со всех сторон и добраться до ее органов не так просто. Средостение и проблемы, с ним связанные - об этом мы говорим сегодня с врачом-рентгенологом ООО «МРТ Эксперт Владивосток» Хе Сергеем Мансиковичем.
- Сергей Мансикович, скажите, что представляет собой средостение и какие органы в нём располагаются?
Это часть грудной полости, ограниченная спереди грудиной, сзади позвоночником, а по бокам - внутренними поверхностями легких и плевральными полостями. Средостение содержит комплекс органов, куда входят, в частности, сердце с входящими и выходящими из него крупными сосудами (полые вены, аорта), пищевод, трахея, главные бронхи, тимус, крупные нервные стволы, лимфатические узлы и некоторые другие анатомические образования.
- Вы могли бы привести примеры заболеваний органов средостения?
Они многочисленны. К ним можно отнести пороки развития, открытые и закрытые повреждения, доброкачественные и злокачественные опухоли.
- Как их можно заподозрить? Какими симптомами обычно проявляются болезни средостения?
Признаки, так же как и сами патологии, разнообразны. Это боли, кашель, одышка, общая слабость, повышенная температура тела, потливость, похудание.
- Какие методы диагностики образований средостения находятся в распоряжении врача? Как он может подтвердить или исключить предполагаемый диагноз?
Перечисленные методы являются неинвазивными. Несмотря на их широкие диагностические возможности, ответить на все вопросы состояния органов средостения с их помощью невозможно. Например, на КТ был выявлен онкологический процесс органа средостения. Какое именно это новообразование? С помощью томографии ответить на этот вопрос затруднительно. В таких случаях может применяться инвазивный метод исследования - медиастиноскопия. Он заключается в непосредственном осмотре органов средостения с помощью специального прибора - эндоскопа. При медиастиноскопии, можно, к примеру, взять кусочек опухоли, обнаруженной при компьютерной томографии, с целью уточнения разновидности новообразования. Кроме того, можно проводить некоторые лечебные манипуляции.
Решение о том, какое именно исследование необходимо человеку, принимается лечащим врачом.
- Скажите, а МРТ органов грудной клетки и средостения - это одно и то же или это разные исследования?
Они не идентичны. Комплекс органов средостения - лишь часть грудной клетки. Иными словами, если мы говорим о томографии ее органов, то это, соответственно, само средостение плюс легкие, части плевральных полостей.
Еще один важный момент. Магнитно-резонансная томография применительно к легким недостаточно информативна, поскольку легкие содержат воздух. «Золотым стандартом» в этом плане является компьютерная томография.
- Сергей Мансикович, когда назначают МРТ средостения?
Она используется во всех случаях, когда нужно уточнить диагноз. Например, у больного были найдены изменения на флюорограмме или рентгенограмме грудной клетки, когда с уверенностью поставить диагноз затруднительно. В этом случае, в зависимости от того, где на снимке располагается подозрительная область, врач может порекомендовать провести либо магнитно-резонансную, либо компьютерную томографию.
- Что включает в себя МРТ органов средостения?
Она предполагает исследование всех анатомических образований, входящих в него, и их возможных изменений. О них мы говорили ранее.
- С какой целью проводят магнитно-резонансную томографию средостения вместе с МРТ брюшной полости?
Это делается в тех случаях, когда патологический процесс находится на границе между грудной и брюшной полостями, или же когда по результатам исследования органов средостения врач видит, что процесс также может распространяться и в брюшную полость. В этом случае целесообразно такое совместное исследование двух полостей.
- Расскажите, пожалуйста, как проводится МРТ средостения?
Никаких особенностей в проведении исследования этой области нет. В обязательном порядке уточняются все противопоказания к проведению МРТ, в том числе и к исследованию с контрастным веществом. Также выясняется, какие заболевания переносил человек, а также имеющиеся на момент исследования. В целом особых ограничений по режиму дня, питанию или приему медикаментов нет (если лечащий врач не оговорил иное).
Пациента размещают на специальному столе аппарата МРТ, тело фиксируется специальными ремнями для сохранения неподвижности. В связи с тем, что аппарат в процессе работы издает достаточно ощутимый шум, на голову человека надеваются специальные наушники или ему предлагаются беруши. После этого выполняется диагностическая процедура. В зависимости от объема исследований она продолжается от 30 минут и дольше.
Хе Сергей Мансикович
Выпускник Тихоокеанского государственного медицинского университета 2013 года.
В 2014 году окончил интернатуру по специальности «Хирургия».
В 2015 - интернатуру по специальности «Рентгенология».
Прошел усовершенствование по магнитно-резонансной томографии.
В настоящее время работает врачом-рентгенологом в ООО «МРТ Эксперт Владивосток».
Опухоли средостения: что это такое, классификация.
Опухоли средостения - общее название новообразований, которые расположены в медиастинальном пространстве груди. В 40% случаев диагностирования опухоли являются злокачественными, и тогда ставится диагноз рак средостения. Все опухоли делятся на две большие группы - первичные и вторичные. В первом случае речь идет о тех новообразованиях, которые формируются непосредственно в области средостения, во втором - опухоли образуются сначала в тканях, расположенных вне обозначенной области, а рак средостения развивается уже из метастаз. Иногда опухоли средостения называют рак тимуса, но это не совсем корректное обозначение диагноза. Дело в том, что он обозначает наличие злокачественных клеток в вилочковой железе, тогда как опухоли средостения могут начать свой рост и из других структур.


В зависимости от локализации опухоли различают следующие виды злокачественных новообразований:
- передняя часть средостения - герминогенные опухоли, тимомы, лимфомы, дизэмбриогенетические опухоли, феохромоцитомы;
- средняя часть средостения - метастатическая карцинома, лимфома;
- задняя часть средостения - нейрогенные опухоли, вторичные опухоли (меланомы, саркомы).
Отдельно в медицине рассматриваются мезенхимальные опухоли - представляют собой рак мягких тканей, к таковым относятся липомы и гемангиомы, лейомиосаркомы и фибромы. Поражают разные части средостения, относятся к группе вторичных, потому что «вырастают» из метастаз.
К редким опухолям средостения относятся липо- и фибросаркомы. Их опасность заключается в том, что они долгое время протекают бессимптомно и пациент обращается за помощью к врачу при выраженных нарушениях, когда рак находится уже на 3 и 4 стадии развития. Также к этой группе относится рак тимуса (тимома) - развивается в клетках вилочковой железы.
Какие симптомы укажут на рак средостения?
Рак может протекать в двух стадиях - бессимптомной и с выраженными признаками. Продолжительность прогрессирования опухоли средостения без симптомов зависит от нескольких факторов - место локализации новообразования, уровень общего иммунитета, возраст человека. Часто бессимптомно протекающий рак диагностируется случайно, во время проведения стандартной процедуры флюорографии в рамках диспансеризации.
К основным признакам рака средостения относятся:
- кашель - сухой, приступообразный, не проходящий даже после прохождения курса лечения;
- одышка - появляется сначала после физических нагрузок, но очень быстро начинает беспокоить человека и в покое;
- боль в области груди - возникает спонтанно, периодически исчезает, усиливается во время кашля, носит давящий характер;
- кровохарканье - симптом, присущий редким опухолям средостения, свидетельствует о стремительном росте опухоли и повреждении структур дыхательных путей;
- внезапное похудение - больной начинает терять вес даже на фоне привычного аппетита: до 15 кг в течение 3-4 недель;
- общая слабость - больной испытывает постоянное желание лечь и отдыхать, работоспособность уменьшается и не восстанавливается даже после качественного отдыха;
- незначительное повышение температуры тела - происходит спонтанно, не превышает субфебрильных показателей.
Злокачественные опухоли растут достаточно быстро, поэтому переход из бессимптомной стадии в форму с выраженной клинической картиной недолгий. Могут проявляться и дополнительные симптомы типа отечности верхней части туловища и лица, синюшного цвета лица, расширения подкожных вен шеи.
Самым ранним проявлением рака средостения считается болевой синдром, особенно часто он проявляется при раке тимуса. В таком случае боли идентичны приступам стенокардии. Существует и ряд специфичных признаков опухолей средостения:
- для мезенхимальных опухолей характерны зуд кожи и повышенная потливость в ночное время суток;
- герминогенные опухоли могут сопровождаться птозом (опущением) век, понижением уровня глюкозы в крови;
- при нейрогенных опухолях нередко отмечается спонтанное повышение артериального давления;
- редкие опухоли средостения проявляются изжогой, диареей (поносом).
Общие симптомы, слабовыраженная клиническая картина, многообразие признаков, которые присущи и другим патологиям, делают диагностику только по жалобам пациента и стандартным обследованиям практически невозможной. Кроме этого, опухоли средостения могут быть и доброкачественными - например, рак тимуса по своей клинической картине полностью идентичен признакам доброкачественных новообразований в вилочковой железе.
Диагностика опухоли средостения.
Опухоль средостения может быть диагностирован инструментальными методами, которые являются самыми информативными:
- В большинстве случае комплексного рентгенологического исследования достаточно для выявления опухоли разных отделов средостения, в том числе и рака тимуса. Врачи не только подтверждают факт наличия новообразования, но и могут дать ему характеристику - форму, размер и локализация. Если подозревается рак средостения любого вида, то пациенту назначается рентгеноскопия грудной клетки. Если есть подозрение на развитие мезенхимальной опухоли, то проводится рентгенография пищевода. Назначается для подтверждения диагноза и получения данных о нейрогенной опухоли - размер, степень распространения, форма, точная локализация. Данные такого исследования более точные, чем рентгенография. На их основе врач может проработать тактику проведения хирургического вмешательства. Дополнительно выполняется магнитно-резонансная томография, она дает возможность определить степень поражения мягких тканей средостения, подтвердить или опровергнуть факт распространения метастаз в лимфатические узлы. Опухоли средостения могут прорастать в бронхи, трахею и для исключения или подтверждения такого роста используется бронхоскопия, видеоторакоскопия или медиастиноскопия.
Если перечисленных обследований недостаточно, то назначается хирургическая биопсия. Морфологическое исследование биологического материала позволяет полностью охарактеризовать рак средостения. Эта манипуляция важна для классификации опухоли - будет ли диагностирован именно рак тимуса или опухоль представляет собой доброкачественное образование.
Если есть подозрение на тимому (рак тимуса), то целесообразно проводить ультразвуковое исследование. Оно не выявит опухоль средостения, но даст возможность оценить состояние лимфатических узлов и жировой ткани в подключичной области.
К общим методам диагностики относятся анализы крови (общий, биохимический, коагулограмма), анализ мочи (общий), ЭКГ.
Лечение опухолей средостения.
Самым эффективным методом лечения опухолей средостения считается его хирургическое удаление, которое всегда сопровождается и специфической терапией. Если диагноз был поставлен на ранней стадии, врач может четко определить размер и форму опухоли, то применяется радиохирургический метод ее удаления по системе КиберНож. В случае больших размеров опухоли средостения удаляются классическим хирургическим методом с последующей химиотерапией. Диагностирование рака на поздней стадии делает нецелесообразным оперативное удаление новообразования, поэтому пациенту назначают только поддерживающее лечение (химиотерапия или лучевая) - рак средостения прекращает стремительно разрастаться, снижается вероятность распространения метастаз, облегчается симптоматика.
Если диагностирован рак тимуса (тимома), то врач опирается на данные исследований - каков размер опухоли средостения, есть ли ее разрастание. В некоторых случаях сначала проводится несколько курсов химиотерапии и только после этого назначается хирургическое лечение. Дополнительно, после проведения операции по удалению опухоли средостения, пациенту назначают гормональные препараты, иммуноподдерживающие средства.
Принимать решение о проведении терапевтического лечения или хирургического удаления опухоли средостения может только лечащий врач. Операция выполняется только в том случае, если специалист будет уверен в том, что он сможет удалить сразу все новообразование. Так как диагноз рак средостения часто ставится на поздних стадиях заболевания, то даже хирургические методы могут быть бесполезными по причине распространения метастаз, поражения внутренних органов и мягких тканей вокруг средостения.
Прогноз рака средостения.
Теоретически прогнозы на выздоровление при диагностировании опухоли средостения (рака тимуса) положительные. Но проблема заключается в сложностях диагностики - клиническая картина не типичная для злокачественных образований, часто люди либо предпринимают попытки лечения сами, либо обращаются со стандартными жалобами к врачу и им ставят неверный диагноз. Пока проводится лечение неверного заболевания, время проходит и наступает рак, средостения достигает тяжелой стадии. При своевременном выявлении рака тимуса вероятность благоприятного исхода составляет 68%.
Опухоли средостения (рак тимуса) возможно вылечить, но при условии своевременного выявления. Хирургический метод и последующая химиотерапия дают возможность полностью выздороветь. По причине неспецифической клинической картины диагностирование на ранней стадии затруднено, поэтому важно проходит диспансеризацию - это реальный шанс полностью избавиться от злокачественных образований.
Опухоли средостения, или по-другому медиастинальные опухоли — это новообразования, которые берут свое начало из органов средостения. Средостение - это область, ограниченная легкими по бокам, грудиной спереди и позвоночником сзади. К органам средостения относятся сердце, аорта, пищевод, тимус, трахея, лимфатические узлы, сосуды и нервы.

Кто находится в «зоне риска»?
Медиастинальные опухоли встречаются достаточно редко. Они могут развиваться в любом возрасте и из любых органов и тканей, которые находятся в средостении, однако в большинстве случаев их диагностируют у пациентов от 30 до 50 лет. В детском возрасте чаще встречаются опухоли заднего средостения. Они обычно происходят из нервной ткани и, в большинстве случаев, не злокачественные. У взрослого населения преобладают опухоли переднего средостения - обычно там располагаются лимфомы и тимомы.
Классификация образований средостения
Средостение анатомически делится на 3 зоны. Соответственно этим зонам классифицируются и опухоли средостения.
- Опухоли переднего средостения: лимфома (Ходжкинская и неходжкинская), тимома. герминогенные опухоли, загрудинный зоб.
- Опухоли центрального средостения: бронхогенная киста, лимфаденопатия, киста перикарда, опухоли трахеи, опухоли пищевода, аномалии пищевода (ахалазия, грыжа, дивертикул).
- Заднее средостение: нейрогенные опухоли, лимфаденопатия, нейроэнтерические кисты.

Клиническая картина
Чаще всего опухоли средостения являются случайной находкой при рентгенологических исследованиях, так как до 40% опухолей клинически не проявляются. Клинические проявления опухоли средостения будут зависеть от следующих факторов:
- локализация и размеры опухоли;
- злокачественный или доброкачественный характер образования;
- темп роста.
В зависимости от вышеописанных факторов клиническая картина может быть различной. Самые частые симптомы можно разделить на две группы:
- Местные: кашель, кровохарканье, охриплость, одышка, затрудненное дыхание, боли в грудной клетке, гиперемия лица и верхней половины туловища, расширение вен лица, шеи, нарушения ритма.
- Общие: Лихорадка, озноб, ночная потливость, потеря веса.

Рентгенологический метод является основным для визуализации новообразования средостения. Компьютерная томография позволяет оценить локализацию опухоли и спланировать дальнейшее обследование.
Без гистологической верификации поставить окончательный диагноз невозможно. При вовлечении в процесс пищевода или трахеи выполняют эндоскопическое исследование для взятия биопсии и визуализации изменений.
При невозможности получить образец ткани для исследования эндоскопически применяются инвазивные методы: трансторакальная биопсия, медиастиноскопия, видеоторакосокпия. Последние два метода — это серьезные операции, которые проводятся в специализированных медицинских учреждениях.

Лечение
В связи с разнообразием возможных причин медиастинальные опухоли лечатся в зависимости от типа опухоли:
- Тимомы нуждаются в хирургическом лечении. При высокой степени злокачественности за хирургическим вмешательством следует лучевая терапия. Для удаления опухоли используются различные доступы: как минимально инвазивные и роботические операции, так и открытые «большие» операции (торакотомии и стернотомии).
- Лимфомы лечатся химиотерапией и лучевой терапией. Хирургия в данном случае применяется как диагностический метод, а не лечебный.
- Нейрогенные опухоли удаляются хирургическим методом.
- Некоторые опухоли, если они не проявляются клинически и являются доброкачественными, можно оставить под наблюдение.



Профилактика и прогнозы
К сожалению, достоверных методов профилактики для опухолей средостения не выявлено. Но результаты можно существенно улучшить, если выявить заболевание на ранней стадии. Если симптомы, описанные ранее не проходят в течение двух недель, возможно стоит обратиться за квалифицированной медицинской помощью. Прогнозы в данном случае трудно давать, они зависят, типа опухоли и ее злокачественности от проводимого лечения.
Список литературы:
Читайте также:
- Рекомендации по анализу рентгенограммы плечевого сустава в косой ПЗ проекции (метод Грэши)
- Возможности абдоминопластики. Показания к пластике живота
- Затраты в здравоохранении. Формы оценки здравоохранения
- Воспаление околоушной слюнной железы. Причины хронического паротита
- Варианты нормы таза, тазобедренного сустава на рентгенограмме, МРТ
