Дисфункции височно-нижнечелюстного сустава (ВНЧС). Положение нижней челюсти
Добавил пользователь Евгений Кузнецов Обновлено: 01.01.2026
Наша клиника специализируется в ревматологии и неврологии, мы занимаемся лечением заболеваний височно-нижнечелюстного сустава и периферических нервов лица (невралгия тройничного нерва, парез лицевого нерва и т.д.).
Наша основная задача - точно установить причину страдания височно-нижнечелюстного сустава и выяснить, что именно приводит к лицевой боли: ревматическое заболевание височно-нижнечелюстного сустава, инфекционный процесс (тонзиллит, гайморит, киста зуба и т.д.), неправильный прикус, перенесенная травма, неправильно развитая головка височно-нижнечелюстного сустава и т.д. Болезни суставов и мышц челюсти обычно успешно поддаются лечению.
Все наши неврологи прошли солидную дополнительную подготовку по рентгенологии, остеопатии и мануальной терапии, восстановительному лечению. Воспалительными заболеваниями суставов занимается врач ревматолог. По ходу лечения Вы сможете поддерживать контакт с вашим врачом лично, по электронной почте и по телефону.
Подвижность нижней челюсти обеспечена двумя суставами, соединяющими челюсть с височными костями. Подробнее о строении здесь
Два сустава нижней челюсти в норме должны работать синхронно и симметрично. Тогда нагрузка на суставы распределяется правильно. Это обеспечивается синхронной работой мощных жевательных мышц, которую контролирует мозг.

Чтобы защитить сустав от перегрузок природа поместила внутрь сустава хрящевой эластичный диск. Диски равномерно распределяют нагрузку на поверхность височно-нижнечелюстных суставов.
Основные причины дисфункции ВНЧС:
- Последствия травмы сустава - это перенесенный, иногда очень давно, удар в челюсть. Если симметричность движений височно-нижнечелюстных суставов после удара восстановилась не до конца - со временем хрящи в суставе разрушатся от перегрузки (посттравматический артроз).
- Нарушение прикуса (смыкания зубов), последствия неадекватного лечения и протезирования зубов. В этих случаях мы обычно видим постоянное чрезмерное напряжение мышц одной половины челюсти. Напряженные мышцы препятствуют нормальным движениям височно-нижнечелюстного сустава: не позволяют суставу открыться полностью. Поэтому при открывании рта сустав противоположной стороны вынужден открываться чрезмерно, от чего постепенно разрушается (разрушение сустава - артроз).
- Неправильно развитый височно-нижнечелюстной сустав (недоразвита суставная головка). В этом случае в суставе повышено трение, жевательная нагрузка «сбрасывается» на другой, здоровый, сустав, перегружая его.
Возможны следующие проблемы:
- Боль в мышцах с одной стороны и в суставе другой стороны;
- Подвывих или вывих перегруженного сустава;
- Разрыв суставного диска;
- Боль и хруст при движении челюстей;
- Шум в ухе (сустав находится совсем рядом с ухом) или синдром Костена;
- Повышенный износ зубов.
Суставные симптомы
- Хруст, щелчки, боль при движении челюстью;
- При медленном широком открывании рта челюсть совершает С- или S-образные движения;
- Невозможность плавно открыть рот;
- Припухлость и боль в области сустава (между щекой и ушной раковиной;
- Недостаточное или асимметричное открывание рта;
- Шум в ухе;
- Повышенный износ зубов.
Мышечные симптомы
- Болевые точки в мышцах лица (их часто принимают за боли тройничного нерва);
- Усталость при жевании;
- Жевание на одной стороне при наличии полного комплекта зубов;
- Боли при жевании;
- Недостаточное или асимметричное открывание рта;
- Повышенный износ зубов.
Вы можете сами выполнить тест жевательных мышц. Для этого откройте рот на ½ ширины и поместите пальцы правой руки, от указательного до мизинца, на левую щеку, а большой палец в рот. Таким образом, щека окажется между Вашими пальцами. В области последних 2х зубов нащупайте жевательные мышцы. Сжав мышцы между большим пальцем и остальными пальцами прощупайте мышцы сверху вниз или снизу вверх. То же сделайте левой рукой справа. Оцените следующее:
- разницу в толщине и консистенции (напряженная мышца тверже) мышц справа и слева;
- болезненность мышц справа и слева.
Миофасциальный болевой синдром лица. Это болезненное напряжение лицевых и жевательных мышц, мускулатуры скальпа и шеи. Оно редко бывает заметно внешне, но легко распознается при исследовании типичных болевых мышечных точек. Мы часто видим, что такие пациенты получают необоснованное лечение по поводу невралгии тройничного нерва. Однако повышенный мышечный тонус повышается из-за чрезмерного нервного напряжения.
Лицевые боли и нарушения в работе жевательных мышц (тризм, бруксизм ССЫЛКА) могут быть как симптомом, так и причиной нервных расстройств. Это хронический стресс, депрессия, невроз, расстройства вегетативной нервной системы, бессонница.
Они успешно поддаются лечению, и мы будем рады помочь Вам!
Диагноз строится, в основном, на данных, полученных при тщательном осмотре и обследовании каждого пациента:
- исследование тройничного нерва (неврологический осмотр, электромиография лица),
- ручное исследование височно-нижнечелюстных суставов,
- ультразвуковое исследование (УЗИ) височно-нижнечелюстных суставов,
- ручное исследование или УЗИ мышц лица,
- исследование прикуса.
При необходимости мы предложим Вам выполнить:
- рентгеновское исследование или МР-томографию височно-нижнечелюстных суставов,
- анализы на предмет ревматического или инфекционного заболевания ВНЧС.
Мы предложим Вам лечение дисфункции височно-нижнечелюстных суставов в зависимости от причин:
- Если у Вас нарушен прикус, отсутствуют зубы, неудачный зубной протез. В этом случае мы попытаемся максимально адаптировать Ваши суставы и мышцы к Вашим зубам. Помогут специальные упражнения, массаж и самомассаж жевательных мышц. Мы широко используем остеопатическое лечение. Это метод ручного восстановления правильной работы суставов. Врач со специальной подготовкой по остеопатии мягко и безопасно расслабит напряженные мышцы, восстановит подвижность и нервно-рефлекторное обеспечение сустава. Если этих мер будет недостаточно - рекомендуем обратиться за помощью к стоматологу для коррекции прикуса или протеза.
- Если сустав воспален. Это может быть реактивный или аутоиммунный артрит. Главное условие успешного лечения - точно найти причину воспаления. Диагноз устанавливается, в основном, на основании анализа крови и УЗИ. Исходя из результатов анализа выполним подходящее противовоспалительное лечение. Могут быть использованы НПВП, хондропротекторы, иммуномодуляторы и др. Если воспаление настолько сильное, что препятствует приему пищи, выполним внутрисуставную инъекцию с помощью особо тонких игл, и через несколько часов воспаление стихнет.
- Если разрушен диск и другие хрящи сустава. Хорошо зарекомендовали себя хондропротекторы и электрофорез Карипаина в сочетании с мягким остеопатическим лечением. К восстановлению хрящей можно приступить сразу после стихания воспаления.
- В тяжелых случаях, когда невозможен прием пищи, мы успешно применяем инъекции препаратов ботулотоксина (Диспорт, Ботокса и др) для расслабления спазмированных болезненных жевательных мышц. Эффект наступает через несколько дней и сохраняется обычно 3-6 месяцев.
Височнонижнечелюстной сустав. Болезни ВНЧС. Лечение болезней ВНЧС у ортодонта.⠀
Дисфункция височно-нижнечелюстного сустава диагностируется, когда начинает неправильно работать сустав, отвечающий за соединение челюстей. Он имеет очень сложное строение, в него входит большое количество составляющих. Это позволяет челюсти двигаться вверх-вниз и влево-вправо. Когда отмечается патология хотя бы одной мышцы, связки, хряща или кости, врачи могут заподозрить ВНЧС. Одним из признаков дисфункция височно-нижнечелюстного сустава является знакомое многим людям чувство, что при движении челюсть будто бы «щелкает» или «заклинивает». Но каждый симптом может быть признаком совершенно иного заболевания, причины болезни также не всегда удается точно выявить, поэтому постановка диагноза затруднена и требует обследования.
Использование нового оборудования позволяет стоматологам клиники «Новодента» не только правильно определить наличие недуга, но и назначить адекватное лечение, часто с наложением особой шины.
Признаки и симптомы патологии височно-нижнечелюстного сустава
Дисфункция височно-нижнечелюстного сустава симптомы имеет разнообразные. Поскольку выявленные признаки зачастую свидетельствуют о патологиях, не имеющих отношения к ВНЧС, стоматологу для успешного диагностирования нужно ознакомиться с медкартой обратившегося за помощью человека, назначить комплекс исследований и анализов. Также рекомендуется сделать рентгеновские снимки. Только после этого можно определять схему лечения патологии височно-нижнечелюстного сустава. Пациенту нужно быть внимательным к своему здоровью и незамедлительно посетить специалиста, если наблюдаются дисфункции височно-нижнечелюстного сустава симптомы:
- Головные боли и в области ушей.
- Давление на глаза также может свидетельствовать о патологии височно-нижнечелюстного сустава.
- Неприятное «клацанье» или «щелканье» челюсти.
- Случается, что боль сопровождает зевание, процесс жевания пищи и даже широкое открывание рта.
- Временами челюсти словно «заклинивает», их невозможно разжать, зачастую они «выскакивают».
- Мышцы челюсти ослабевают.
- Резко меняется характер смыкания челюстей.
Причины дисфункции височно-нижнечелюстного сустава (ВНЧС)
Почему возникает дисфункция ВНЧС? У врачей нет единого мнения о том, каковы причины дисфункции височно-нижнечелюстного сустава. Самые распространенные теории следующие:
- Окклюзионно-артикуляционная: дисфункция ВНЧС - следствие неправильного строения зубо-челюстного аппарата. Их причиной становятся патологии рядов зубов, сильная стираемость зуба, перенесенные травмы, ошибки в протезировании, аномалии формирования или развития зубо-челюстного аппарата, нарушения прикуса.
- Миогенная: по мнению специалистов, данная причина дисфункции височно-нижнечелюстного сустава может появиться в результате некорректной работы мышц из-за спазма, постоянной перегрузки и прочего. Спровоцированы они могут быть факторами, приводящими к постоянным микротравмам: односторонним жеванием, непроизвольным ночным скрежетанием зубами, высокими речевыми нагрузками.
- Психогенная: специалисты считают, что дисфункции височно-нижнечелюстного сустава - следствие нарушений деятельности нервной системы человека, ненормальное психо-физическое напряжение, в результате которого и некорректно движется сустав и работает мускулатура.
Большинство исследователей сходятся во мнении, что причины дисфункции височно-нижнечелюстного сустава носят комплексный характер.
Как лечить дисфункцию височно-нижнечелюстного сустава (ВНЧС)
Как лечить дисфункцию височно-нижнечелюстного сустава? Прежде всего, врач должен провести комплекс диагностических действий. В ходе диагностики проводится глубокое медицинское и стоматологическое обследование, делаются панорамные рентгеновские снимки. Это позволяет определить, в каком состоянии находятся челюстные суставы и окружающие их ткани, проверить характер окклюзии. Кроме того, врач должен исключить наличие воспалительного процесса. Во многих случаях стоматолог рекомендует обратиться за дополнительной консультацией к специалисту в области челюстно-лицевой хирургии.
Сегодня нет дисфункции ВНЧС лечения. Однако врачи располагают рядом возможностей для избавления от выявленных симптомов. В большинстве случаев врач дает такие рекомендации:
- Нужно снять спазм и болевые ощущения. Помогают горячий компресс, прием миорелаксантов и безрецептурных обезболивающих препаратов. Возможно назначение противовоспалительных средств.
- Неблагоприятное последствие сильного сжимания челюстей или скрежетание зубами уменьшается при использовании особых капп, изготовленных индивидуально и наложенных на зубы верхней челюсти.
- Хороший эффект дают техники расслабления челюстных мышц. Для приобретения таких навыков существуют особые тренинги и консультации.
- В том случае, когда дисфункции ВНЧС лечение указанными методами неэффективно и выявлены патологии суставов челюсти, может быть рекомендовано оперативное вмешательство.
Наложение шины на нижнюю челюсть как способ лечения дисфункции ВНЧС
Хорошие результаты для лечения дисфункции ВНЧС показывает наложение шины на нижнюю челюсть. После обследования полости рта пациента изготавливается индивидуальная шина на челюсть. Используются гипоаллергенные гибкие пластмассы, которые не затрудняют речь и проведение гигиенических процедур.
Наложение шины на нижнюю челюсть позволяет:
- Восстановить окклюзионную высоту.
- Перераспределить жевательные нагрузки.
- Предотвратить патологическую стираемость зубов.
- Шина на челюсть ограничивает движения нижней челюсти, вызывающие бруксизмом.
- Лечить болевой синдром, вызванный неправильным функционированием жевательной мускулатуры.
- Защитить сустав от повторной окклюзионной травмы.
- Обеспечить регенерацию суставных тканей.
Проведенное в стоматологической клинике «Новодента» наложение шины на челюсть снимает боль и облегчает состояние пациента.
Стоимость первичного приёма у опытного ортодонта-гнатолога 1 900 руб.

Височно-нижнечелюстной сустав (ВНЧС) - это сустав, который расположен спереди от уха и соединяет нижнюю челюсть с основанием черепа. Его основная функция - обеспечивать движения нижней челюсти.
ВНЧС - это один из важнейших суставов нашего организма, без него мы не смогли бы ни разговаривать, ни принимать пищу. Именно поэтому важно на ранней стадии выявить заболевания ВНЧС.
Заболевания ВНЧС распространены - по разным данным ими страдают от 70% до 92% населения, люди разного пола и возраста. Чаще всего из заболеваний ВНЧС встречается мышечно-суставная дисфункция ВНЧС.
Основные признаки мышечно-суставной дисфункции ВНЧС:
- Болевой синдром. В зависимости от стадии заболевания возможно ощущение боли в области жевательных мышц при приеме пищи, долгом говорении, а в сложных случаях даже постоянной мышечной боли.
- Хруст, щелчки в области ВНЧС. Важно понимать, что в норме движения в суставе должно быть бесшумным, а любые щелчки и похрустывания в области сустава говорят о том, что хрящевая ткань сустава травмируется.
- Несимметричное, неравномерное открывание рта. В норме при открывании рта нижняя челюсть должна двигаться равномерно вниз, без боковых смещений. Если происходит смещение нижней челюсти в сторону при открывании рта или ее S-образное движение стоит обратиться к врачу.
- Ограничение открывания рта. В норме рот должен открываться на 40-45 мм, это расстояние примерно равно ширине трех пальцев. При дисфункции ВНЧС открывание рта ограничивается до 20 мм и менее при максимальном открывании рта.
- Прочие симптомы. Так же при дисфункции ВНЧС может быть заклинивание челюсти, скрежет зубами (бруксизм), головокружение, головная боль.
В начале заболевания симптомы дисфункции могут быть выражены незначительно, но без лечения болезнь будет прогрессировать.
Опасно! При длительно сохраняющейся дисфункции может развиваться остеоартроз ВНЧС.
Для правильной диагностики заболеваний сустава необходимо обратиться к врачу. Врач проведет необходимую диагностику: пальпацию жевательных мышц и ВНЧС, аускультацию сустава, оценит ограничение открывания рта, определит согласованность и симметричность работы правого и левого ВНЧС и жевательных мышц. При необходимости назначит дополнительные обследования и консультации смежных специалистов.
Лечение заболеваний ВНЧС:
Лечение назначается в зависимости от результатов обследования. При лечения сустава используется:
- медикаментозная терапия
- физиотерапия
- миогимнастика (мышечная гимнастика)
- сплинт-терапия
Сплин-терапия - один из наиболее эффективных методов лечения мышечно-суставной дисфункции ВНЧС. Пациенту изготавливается индивидуальная капа, которая помогает расслабить жевательную мускулатуру, установить сустав в правильное положение, тем самым устранить причину мышечно-суставной дисфункции ВНЧС.
Дисфункция ВНЧС
Дисфункция ВНЧС - функциональная патология височно-нижнечелюстного сустава, обусловленная мышечными, окклюзионными и пространственными нарушениями. Дисфункция ВНЧС сопровождается болевым синдромом (болью в голове, висках, шее), щелчками в суставе, ограничением амплитуды открывания рта, шумом и звоном в ушах, дисфагией, бруксизмом, храпом и т. д. Методика обследования пациентов с дисфункцией ВНЧС включает изучение жалоб, анализ гипсовых моделей челюстей, ортопантомографию, рентгенографию и томографию ВНЧС, электромиографию, реоартрографию, фоноартрографию и др. Лечение дисфункции ВНЧС проводится с учетом причин и может заключаться в сошлифовывании суперконтактов зубов, правильном протезировании, коррекции прикуса, ношении капы или суставной шины, проведении хирургического лечения.
Общие сведения
Дисфункция ВНЧС - нарушение координированной деятельности височно-нижнечелюстного сустава вследствие изменения окклюзии, взаиморасположения элементов ВНЧС и функции мышц. По статистике, от 25 до 75% пациентов стоматологов имеют признаки дисфункции ВНЧС. В структуре патологии челюстной патологии дисфункции ВНЧС принадлежит ведущее место - более 80%. Впервые связь между нарушением функции височно-нижнечелюстного сустава и ушными болями подметил американский отоларинголог Джеймс Костен в 30-е г.г. прошлого столетия, отчего дисфункцию ВНЧС часто называют синдромом Костена. Также в медицинской литературе дисфункция ВНЧС встречается под названиями мышечно-суставная дисфункция, болевая дисфункция, миоартропатия ВНЧС, дисфункция нижней челюсти, «щелкающая» челюсть и др.
Дисфункция ВНЧС является мультидисциплинарной патологией, поэтому ее решение часто требует совместных усилий специалистов в области стоматологии, неврологии, психологии.
Причины дисфункции ВНЧС
К основным теориям возникновения дисфункции ВНЧС относятся окклюзионно-артикуляционная, миогенная и психогенная. Согласно окклюзионно-артикуляционной теории, причины дисфункции ВНЧС кроются в зубо-челюстных нарушениях, которые могут быть обусловлены дефектами зубных рядов, патологической стираемостью зубов, травмами челюсти, неправильным прикусом, некорректным протезированием, различными аномалиями зубов и челюстей, сопровождающимися уменьшением высоты альвеолярного отростка.
В соответствии с миогенной теорией, развитию дисфункции ВНЧС способствуют нарушения со стороны челюстных мышц: тонический спазм, механическая перегрузка жевательных мышц и др., вызванные односторонним типом жевания, бруксизмом, бруксоманией, профессиями, связанными с большой речевой нагрузкой, что в конечном итоге приводит к хронической микротравме элементов ВНЧС.
Психогенная теория рассматривает этиопатогенез дисфункции ВНЧС, исходя из того, что факторами, инициирующими дисфункцию ВНЧС, выступают изменения со стороны деятельности ЦНС (нервно-психическое и физическое напряжение), вызывающие нарушения функции мускулатуры и нарушение кинематики сустава.
По мнению большинства исследователей, в основе дисфункции ВНЧС лежит триада факторов: нарушение окклюзии, пространственных взаимоотношений элементов ВНЧС, изменение тонуса жевательных мышц. Факторами, предрасполагающими к возникновению дисфункции ВНЧС, служат анатомические предпосылки строения сустава, главным образом, несоответствие формы и размеров суставной головки и суставной ямки.
Симптомы дисфункции ВНЧС
Классический симптомокомплекс дисфункции ВНЧС, описанный Дж. Костеном, характеризуется тупыми болями в области височно-нижнечелюстного сустава; щелканьем в суставе во время приема пищи; головокружением и головной болью; болью в шейном отделе позвоночника, затылке и ушах; шумом в ушах и снижением слуха; жжением в носу и горле. В настоящее время диагностическими критериями дисфункции ВНЧС принято считать следующие группы симптомов:
1. Звуковые феномены в височно-нижнечелюстном суставе. Наиболее частой жалобой пациентов с дифункцией ВНЧС являются щелчки в суставе, возникающие при открывании рта, жевании, зевании. Иногда щелканье может быть настолько громким, что его слышат окружающие люди. При этом боль в суставе присутствует не всегда. Среди других шумовых явлений могут иметь место хруст, крепитация, хлопающие звуки и пр.
2. Блокирование («запирание», «заклинивание») височно-нижнечелюстного сустава. Характеризуется неравномерностью движения в суставе при открывании рта. То есть для того, чтобы широко открыть рот, пациент должен сначала уловить оптимальное положение нижней челюсти, подвигать ею из стороны в сторону, найдя точку, где сустав «отпирается».
3. Болевой синдром. При дисфункции ВНЧС определяется болезненность в триггерных точках: жевательных, височной, подъязычной, шейных, крыловидной, грудино-ключично-сосцевидной, трапециевидной мышцах. Типичны прозопалгия (лицевая боль), головные боли, боли в ушах, зубная боль, давление и боль в глазах. Болевой синдром при дисфункции ВНЧС может имитировать невралгию тройничного нерва, шейный остеохондроз, артрит ВНЧС, отит и другие заболевания.
4. Прочие симптомы. При дисфункции ВНЧС могут иметь место головокружения, нарушение сна, депрессия, бруксизм, дисфагия, шум или звон в ушах, ксеростомия, глоссалгия, парестезии, фотофобия, храп, апноэ во сне и др.
Диагностика дисфункции ВНЧС
Многообразие клинических проявлений дисфункции ВНЧС приводит к трудностям диагностики, поэтому пациенты могут длительно обследоваться у невролога, отоларинголога, терапевта, ревматолога и других специалистов. Между тем, больные с дисфункцией ВНЧС нуждаются в совместном сотрудничестве врача стоматолога и невролога.
При первичном осмотре пациента выясняются жалобы, анамнез жизни и заболевания, проводится пальпация и аускультация области сустава, оценивается степень открывания рта и подвижности нижней челюсти. Во всех случаях производится снятие слепков для последующего изготовления диагностических моделей челюстей, выполняются окклюдограммы.
Для оценки состояния височно-нижнечелюстного сустава проводится ортопантомография, УЗИ, рентгенография ВНЧС, компьютерная томография ВНЧС. С целью выявления поражения околосуставных мягких тканей показана МРТ ВНЧС. Определение показателей артериальной гемодинамики производится путем допплерографии или реоартрографии. Из функциональных исследований при дисфункции ВНЧС наибольшее значение имеют электромиография, фоноартрография, гнатодинамометрия.
Дисфункцию ВНЧС следует отличать от подвывихов и вывихов нижней челюсти, артрита и артроза ВНЧС, перелома суставного отростка, синовита, гемартроза и др.
Лечение дисфункции ВНЧС
На период основного лечения пациенты с дисфункцией ВНЧС нуждаются в уменьшении нагрузки на височно-нижнечелюстной сустав (приеме пищи мягкой консистенции, ограничении речевой нагрузки). В зависимости от причин и сопутствующих нарушений, в лечении дисфункции ВНЧС могут участвовать различные специалисты: стоматологи (терапевты, ортопеды, ортодонты), мануальные терапевты, вертебрологи, остеопаты, неврологи, психологи.
Для устранения болевого синдрома, сопровождающего дисфункцию ВНЧС, показана фармакотерапия (НПВС, антидепрессанты, седативные средства, ботулинотерапия, блокады, внутрисуставные инъекции глюкокортикостероидов), дозированная миогимнастика, массаж, физиотерапия (лазеротерапия, индуктотермия, электрофорез, ультразвук и др.). Важными элементами комплексной терапии могут являться психотерапия и БОС-терапия, позволяющие достичь функционального расслабления жевательной мускулатуры.
Стоматологическое лечение дисфункции ВНЧС по показаниям может включать в себя меры, направленные на воссоздание правильного смыкания зубов (избирательное пришлифовывание зубов, устранение завышающих пломб, грамотное протезирование или перепротезирование и пр.). Для коррекции неправильного прикуса проводится лечение с помощью брекет-систем. В некоторых случаях ортопедическому и ортодонтическому лечению дисфункции ВНЧС несъемными аппаратами предшествует ношение ортопедических шин или кап.
В случае отсутствия эффекта от консервативной терапии дисфункции ВНЧС может потребоваться хирургическое вмешательство: миотомия латеральной крыловидной мышцы, кондилотомия головки нижней челюсти, артропластика и др.
Прогноз и профилактика дисфункции ВНЧС
Лечение дисфункции ВНЧС является обязательным. Пренебрежение данной проблемой может быть чревато развитием дистрофических изменений (артроза) и обездвиживания височно-нижнечелюстного сустава (анкилоза). Комплексное лечение дисфункции ВНЧС с учетом этиологических факторов гарантирует положительный результат.
Предупреждение дисфункции ВНЧС требует снижения уровня стресса и избыточных нагрузок на сустав, своевременного и качественного протезирования зубов, исправления прикуса, коррекции нарушений осанки, лечения бруксизма.
Дисфункции височно-нижнечелюстного сустава (ВНЧС). Положение нижней челюсти
Болевой синдром в области лица и полости рта характеризуется полиморфной клинической картиной, отличается полиэтиологичностью, многофакторностью и объективной сложностью определения разнообразных причин его возникновения. Болевая дисфункция височно-нижнечелюстного сустава (ДВНЧС) является одной из наиболее распространенных причин хронического болевого синдрома в области лица и полости рта в клинической практике, не связанных со стоматологическими заболеваниями, однако подавляющее большинство этих пациентов оказываются на первичном приеме именно у стоматолога, реже — у челюстно-лицевого хирурга. Следует отметить, что определенный вклад в развитие и дальнейшее поддержание патологического процесса при болевой ДВНЧС вносит нарушение анатомических взаимоотношений в височно-нижнечелюстном суставе, в т. ч. дислокация внутрисуставного диска и компрессия богато иннервированной и васкуляризированной биламинарной зоны сустава, что важно учитывать при ведении этих пациентов. В статье представлено клиническое наблюдение пациентки с болевой ДВНЧС. Комплексный подход клиницистов различного профиля к ведению пациентки с орофациальной болью явился залогом успешного исхода ее лечения. Таким образом, диагностика и дальнейшее лечение коморбидных заболеваний и состояний у пациентов с орофациальной болью крайне важны, поскольку позволяют более эффективно помочь этим больным.
Ключевые слова: орофациальная боль, лицевая боль, дисфункция височно-нижнечелюстного сустава, мигрень.
I.N. Lyashev 1 , E.V. Ekusheva 2
1 Federal Research and Clinical Center of Otorhinolaryngology, Moscow
2 Institution of Advanced Training of Federal Medical and Biological Agency, Moscow
Pain syndrome in face and mouth is characterized by a polymorphic clinical picture, characterized by multifactorial etiology and objective complexity of determining a variety of causes for its occurrence. Temporomandibular joint pain dysfunction (TMJPD) is one of the most common causes of chronic pain in the face and oral cavity in clinical practice, not related to dental diseases, but the vast majority of these patients are at the initial consultation at the dentist less often — at the maxillofacial surgeon. It should be noted that a violation of anatomical relationships in the TMJ, including the dislocation of the intra-articular disc and compression of the richly innervated and vascularized bilaminar joint zone makes a particular contribution to the development and further maintenance of the pathological process in TMJPD, which is essential to consider in the management of these patients. The article presents a clinical observation of a patient with TMJPD. A comprehensive approach of clinicians of various profiles to the management of patients with orofacial pain was the key to the successful outcome of its treatment. Thus, diagnosis and further treatment of comorbid diseases and conditions in patients with orofacial pain are crucial, as they allow more effective help to these patients.
Key words: orofacial pain, facial pain, temporomandibular joint dysfunction, migraine.
For citation: Lyashev I.N., Ekusheva E.V. Temporomandibular joint dysfunction: clinical discussion // RMJ. Medical Review. 2018. № 9. P. 22-24.
Для цитирования: Дисфункция височно-нижнечелюстного сустава: клинический разбор. РМЖ. Медицинское обозрение. 2018;2(9):22-24.
В статье представлено клиническое наблюдение пациентки с болевой дисфункцией височно-нижнечелюстного сустава. Рассмотрены вопросы диагностики и дальнейшего лечения коморбидных заболеваний и состояний у пациентов с орофациальной болью.

Патология височно-нижнечелюстного сустава и орофациальная боль
Клиническое наблюдение
Пациентка А., 28 лет, обратилась к челюстно-лицевому хирургу с жалобами на приступообразные боли ломящего, ноющего характера в области верхней челюсти справа, сопровождающиеся жжением, онемением и ощущением ползания мурашек на лице и в полости рта и распространяющиеся в область виска, уха и угол нижней челюсти; на дискомфорт и звуковые феномены (щелчки, хруст) в области ВНЧС, возникающие при широком открывании рта и при пережевывании жесткой и твердой пищи, а также на периодически возникающие интенсивные головные боли в теменно-височных областях, сопровождающиеся тошнотой, непереносимостью света и громких звуков и длящиеся в течение суток и более.
Из анамнеза: приступы головной боли впервые появились еще в школе, в связи с ними всегда принимала анальгетики и старалась лечь и поспать; они возникали несколько раз в году. У мамы и бабушки отмечались аналогичные головные боли, которые прошли с течением времени. Несколько лет назад консультирована неврологом, магнитно-резонансная томография (МРТ) головного мозга патологии не выявила. Был поставлен диагноз «мигрень без ауры», рекомендованы препараты из группы триптанов для купирования боли. В настоящее время приступы интенсивной цефалгии возникают 1 раз в неделю, стали хуже помогать прежде назначавшиеся лекарственные средства. Щелчки и небольшой хруст в области ВНЧС, не сопровождающиеся болью, отмечала еще в юности. В последние несколько месяцев стала замечать дискомфорт в области ВНЧС, больше справа; 2 мес. назад после сильного переохлаждения появились жгучие боли в области верхней челюсти, которые не проходили после приема анальгетических препаратов (нимесулид, ибупрофен). После обращения к неврологу был назначен карбамазепин, прием которого имел лишь частичный противоболевой эффект, более выраженный в 1-й мес. лечения (600 мг/сут), дальнейшее увеличение дозы препарата (до 800 мг/сут) не принесло должного эффекта и очень плохо переносилось пациенткой. Боли в области верхней челюсти справа стали постоянными.
При осмотре: асимметричная лицевая деформация; гипермобильность при движении в области обоих ВНЧС, при аускультации незначительная крепитация. В полости рта — зубо-альвеолярная деформация класса II1 Angle. Справа в проекции иннервации II ветви тройничного нерва отмечается гиперестезия с участками аллодинии. Двигательных, координаторных и иных неврологических расстройств нет.
Проведены МРТ ВНЧС, по данным которой определяется полная вентральная дислокация обоих дисков ВНЧС без репозиции, и конусно-лучевая компьютерная томография (КЛКТ) лицевого скелета, обнаружившая наличие асимметричной скелетной деформации за счет уменьшения задней лицевой высоты и размеров обоих мыщелковых отростков. С целью определения дальнейшей тактики ведения пациентки и проведения комплексного лечения имеющихся хронического болевого синдрома и деформации лицевого скелета консультирована совместно челюстно-лицевым хирургом, ортодонтом и неврологом, а в последующем, после обнаружения высоких титров вируса герпеса человека 6-го типа (ВГЧ-6) в крови и слюне, направлена к дерматовенерологу в Герпетический центр. Диагностированы дисфункция ВНЧС, асимметричная деформация лицевого скелета с тенденцией к вертикальному типу роста, мигрень без ауры, постгерпетическая нейропатия II ветви правого тройничного нерва (ВГЧ-6).
Была рекомендована длительная противовирусная, иммуномодулирующая и противоболевая терапия, включающая препараты из группы триптанов с целью купирования приступов головной боли, β-блокаторов и антиконвульсантов (габапентин) для профилактической терапии мигрени без ауры и лечения постгерпетической нейропатии II ветви правого тройничного нерва. Для нормализации стоматологического статуса рекомендовано комплексное ортохирургическое лечение имеющейся патологии ВНЧС и скелетной деформации в плановом порядке.
После нормализации показателей иммунного статуса (в т. ч. и при отсутствии ВГЧ-6 в крови и слюне) пациентке А. была изготовлена назубная дистракционная предоперационная пластинка для создания декомпрессии в области обоих ВНЧС, выполнены оперативная репозиция и фиксация в физиологическом положении внутрисуставных дисков обоих ВНЧС. На контрольной МРТ ВНЧС отмечалось стабильное положение репонированных дисков обоих суставов. В послеоперационном периоде проведена необходимая коррекция пластинки для создания стабильности нижней челюсти, ношение которой рекомендовано пациентке в дальнейшие 3 мес. Больная отмечала существенное уменьшение разнообразных болевых проявлений в области верхней челюсти и урежение частоты приступов мигрени до двух раз в месяц.
После ортодонтической подготовки зубных рядов проведен второй этап хирургического лечения: ортогнатическая операция для ликвидации имеющейся скелетной деформации. У больной создана адекватная окклюзионная поддержка для обоих ВНЧС, восстановлены оптимальные анатомические взаимоотношения со стороны лицевого скелета. Пациентка А. завершает лечение под наблюдением ортодонта и динамическим наблюдением невролога с коррекцией принимаемой терапии по мере необходимости. Отмечается полный регресс болевого синдрома в области лица и полости рта, приступы головной боли возникают не чаще 1 раза в месяц и успешно купируются приемом триптансодержащих препаратов.
Заключение
Болевой синдром в области лица и полости рта, как правило, характеризуется полиморфной клинической картиной, отличается полиэтиологичностью, многофакторностью и объективной сложностью определения разнообразных причин его возникновения. Представленный комплексный подход челюстно-лицевого хирурга, ортодонта, дерматовенеролога и невролога к ведению пациентки с ДВНЧС, имеющей мигрень без ауры и постгерпетическую нейропатию II ветви тройничного нерва, явился залогом успешного исхода ее лечения, вклад в который внес каждый из специалистов, взаимно дополнявших друг друга до достижения стабильного результата. Таким образом, диагностика и дальнейшее лечение коморбидных заболеваний и состояний у пациентов с орофациальной болью крайне важны, поскольку позволяют более эффективно помочь этим больным, тогда как наличие коморбидной патологии поддерживает их хронический и подчас труднокурабельный болевой
синдром.
Дисфункция височно-нижнечелюстного сустава (ВНЧС)
Височно-нижнечелюстной сустав - это парный орган, который осуществляет соединение нижней челюсти с основанием черепа. Как известно нижняя челюсть - единственная подвижная кость, которая способна совершать сложные движения челюсти в пространстве. Наиболее простые и понятные движения - это открывание и закрывание рта (вверх/вниз). Но, также мы умеем двигать челюсть вправо влево, вперед назад и бесконечное количество комбинаций, когда перемещения происходят одновременно во всех направлениях трехмерной системы координат. Вектор перемещений задают четыре пары основных жевательных мышц: масетериальная (правая и левая), височная (правая и левая), медиальные крыловидные и латеральные крыловидные мышцы правой и левой стороны. Благодаря ним, мы открываем и закрываем рот, откусываем и пережевываем пищу, совершаем глотательные движения, произносим звуки при разговоре, играем на музыкальных инструментах, грызем ногти, раскусываем грецкие орехи, открываем пивные бутылки, целуемся и многое другое. Челюстной сустав обеспечивает возможность таких движений, при этом сохраняя прочную и устойчивую связь между нижней челюстью (Н/Ч) и неподвижными костями всего черепа.
Анатомия челюстного сустава
Описать подробную анатомию сустава в формате популярного изложения не так то просто. Мы поробуем это сделать не углубляясь в детали, но обращая на важные определяющие вопросы.

Суставная часть нижней челюсти называется мыщелком. Мыщелок сочленяется с суставной ямкой. Поверхности этих образований инконгруэнтны и скольжение мыщелка по поверхности ямки было бы невозможно, если бы не внутрисуставной диск, являющийся хрящевой прокладкой. Его верхняя поверхность адаптирована форме ямки, а нижняя форме мыщелка. Это свойство нивелирует инконгруэнтность.

При открывании рта мыщелок (поз.4), а с ним и вся нижняя челюсть совершает два типа движения:
- поступательное движение из ямки (поз.1) к вершине бугра (поз.2)
- вращательное движение (против часов. стрелки).
Синхронно с движением мыщелка движется и суставной диск (поз.3). И это одно из самых простых в описании движений. Многие перемещения намного сложнее и замысловатее.
Для того, чтобы сустав работал в нормальном режиме необходима координированная работа всех жевательных мышц, связок прочно прикрепляющихся к мыщелку и связочного аппарата удерживающего внутрисуставной диск.
Что значит дисфункция ВНЧС?
Любая раскоординация работы элементов сустава называется дисфункцией. Чем больше выражены нарушения взаимодействия, тем грубее симптомы артрита или артроза наступающего в ответ на дисфункцию.
Начальными признаками могут быть незначительные боли и появляющиеся шумы, щелчки, треск и хруст при различных движениях нижней челюсти.
При усугублении проблем, аномальные звуки усиливаются, нарушается свободное и плавное движение нижней челюсти. Открывание рта может происходить неравномерно, со смещением в сторону или зигзагообразно. Боли могут увеличиваться в интенсивности и захватывать или иррадиировать в соседние области. Иногда люди отмечают общие головные боли.
В сложных случаях открывание рта резко снижено и пациенты не могут пережевывать пищу.
Причины дисфункции челюстного сустава
Причинами дисфункции сустава в глобальном смысле являются перегрузки. Это могут быть кратковременные воздействия или результат хронической усталости накопленной за длительный период времени.
Кратковременные нагрузки иногда называют острой травмой. Например, удар. В результате травмы происходят разрывы и растяжения связок, после чего какие-то мышцы будут находиться в гипертонусе, а связочный аппарат будет неспособен удерживать элементы в правильном соотношении по отношению друг к другу.
Многие пациенты страдают от бруксизма, который, безусловно, является хронической травмой для ВНЧС. Гипертонус жевательных мышц и удержание челюстей в положении сомкнутых зубов приводит перегрузкам элементов сустава, нарушению кровообращения, компрессии внутрисуставного диска.
Могут ли зубы являться причиной дисфункции? Да, состояние зубов и характер прикуса также влияют на состояние и работу челюстного сустава. Так описанный нами бруксизм за несколько лет приведет к патологической стираемости зубов. Уменьшение высоты зубов приведет изменению межчелюстного расстояния (снижается высота нижней трети лица), а это приводит к увеличению нагрузок на суставные поверхности.
Являются ли брекеты и ортодонтическое лечение профилактикой болезней челюстного сустава?
Брекеты могут предотвращать проблемы ВНЧС (быть профилактикой), это действительно так. Так задачей ортодонтического лечения является формирование такого вида прикуса, когда любое движение в суставе будет находиться под защитой правильной, функциональной окклюзии. Это означает, что при любых жевательных движениях нижней челюсти зубы должны быть направляющими и определяющими для траектории скольжения суставного отростка. Сустав ограничен от полной свободы перемещений, что и предотвращает перегрузку его структур.
Разберем на простом примере сагиттальных движений нижней челюсти. В случае скольжения зубного ряда вперед и назад, (иммитирующих финальную часть откусывания пищи) движения сустава будут синхронизированы сагиттальному резцовому пути ведения (траектория контакта нижних резцов с небной поверхностю верхних резцов).

Если форма ската суставного бугорка (по которому скользит мыщелок и суставной диск) и небная поверхность верхних резцов (по которому скользят нижние резцы) не будут синхронизированы, то либо сустав будет получать избыточные нагрузки либо зубы будут разрушаться от чрезмерного давления.
Подобным образом сустав должен предохраняться от перегрузок при боковых пережевывающих движениях. Боковые смещения в суставе также должны быть под защитой: При движении вправо клыки рабочей стороны должны обеспечивать правый клыковой путь, при движении влево работает левый клыковой путь.
Брекеты - причина проблем с суставом
Но в жизни случаются так называемые ятрогенные заболевания, когда причиной проблем явился доктор или назначенное им лечение. К сожалению, брекеты могут явиться причиной дисфункции сустава. В ортодонтии часто встречается патологический дистальный прикус , обусловленный недоразвитием нижней челюсти. Это случаи, когда подбородок кажется недостаточно выраженным, а вся нижняя челюсть выглядит маленькой или расположенной непропорционально назад.
В таких случаях требуется увеличить размер нижней челюсти. Но это сложный путь и ортодонты ищут пути обойти сложности. Многие выбирают тлетворный путь вытяжения челюсти вперед, для большей красоты и гармонии лица. Для этого используют аппараты Гербста, "корректор прикуса Форсус", функциональные аппараты с наклонной плоскостью типа Твин-блок.
После использования таких техник лицо, действительно, улучшается. Но что происходит с суставом? В норме суставная головка находиться в середине суставной ямки. Но после такого в кавычках лечения кондилярный отросток выезжает вперед к вершине бугра. Новое положение не является функциональным, так как соотношение элементов сустава резко нарушается: связки перерастянуты, внутрисуставной диск в неустойчивом положении, неспособный адаптировать суставные поверхности. Поэтому его движения не системные, не координированные. Если он смещается, выскальзывая из-под мыщелка, происходит щелчок или треск. Такая ситуация со временем приводит к стиранию суставного диска, в грубых случаях к его перфорации.
Общая цепочка патологических изменений - это изменения прикуса ради зубных признаков окклюзии и улучшения пропорций лица, в результате чего развиваются тяжелые поражения сустава.
Идеальное ортодонтическое лечение также неоднозначно для височно-нижнечелюстного сустава
Гнатология непростая дисциплина, но мы договорились рассматривать проблемы сустава на популярном уровне доступном для понимания простого человека. Вот один из фактов строения зубочелюстной системы.
Сагиттальный резцовый путь синхронизирован движению мыщелкового отростка вдоль ската суставного бугорка. Поэтому глубина резцового перекрытия коррелирует с высотой суставного бугорка.

В случае небольшого резцового перекрытия суставной бугор пологий и невысокий

В случае глубокого резцового перекрытия суставной бугор высокий и отвесный.
Именно такой закон строения зубочелюстной системы сохраняет баланс сил, одновременно сохраняющий здоровье сустава и целостность зубов. Но как быть ортодонту в каждом клиническом случае. Ведь финальный результат любого лечения должен быть таким, чтобы глубина резцового перекрытия составляла 2-3 мм. Это означает, что доктор вынужден пренебречь особенностями строения ВНЧС для того, чтобы отвечать критериям качества.

Улучшение зубных признаков свидетельствует о качественном лечении. Но теперь нарушена координация работы ВНЧС.
Лечение ВНЧС
Дисфункция ВНЧС - достаточно распространенная патология в наши дни, поскольку во многом она вызвана стрессовыми факторами. Здесь бывает тяжело понять что первично, что вторично, потому что люди с дисфункцей сустава приходят, как правило, с патологией прикуса, патологией опорно-двигательной системы (искривление позвоночника, шеи). Поэтому лечение сустава - комплексная история. Бывает такое, что первичная патология - это патология сустава, бывает, что опорно-двигательного аппарата.
Ортодонт должен выяснить, что было первично - прикус, неправильное положение зубов или отсутствие каких-то зубов, возможно не очень удачное ортодонтическое лечение в анамнезе, раннее лечение, когда они были детьми или подростками и последующее лечение могло послужить причиной. Важно правильно провести диагностику.
Комплексное лечение ВНЧС
Когда врач определил причину патологии сустава, или причины, он выясняет готовность пациента к комплексному плану лечения. Помимо ортодонта может быть задействован остеопат или мануальный терапевт, или даже ортопед, если необходима более сложная коррекция опорно-двигательного аппарата.
Пациент должен осознавать, что можно выровнять положение челюсти с помощью суставной шины или «сплинта», но при этом не решить проблему с неправильным прикусом. Для коррекции прикуса потребуется ортодонтическое лечение. Если до этого уже было ортодонтическое лечение, то на повторное лечение решиться сложнее.
Поэтому сначала решается проблема с суставом посредством сплинта или суставной шины, далее проводится коррекция прикуса, и, если необходимо, протезирование. Параллельно ведется работа с остеопатом для восстановления мышечного корсета спины и шеи.
Бывает, что пациент отказывается от лечения на брекетах после решения вопроса с суставом. В таком случае мы его предупреждаем о необходимости носить суставную шину постоянно во избежание появления старых проблем с ВНЧС. Ведь рецидив может случиться на фоне стресса достаточно быстро.
Какие могут быть симптомы дисфункции ВНЧС?
- Болезненность или боль в области одного или обоих ВНЧС в покое или при открывании рта.
- Хруст, щелчки, крепитация и прочие шумы в области одного или обоих ВНЧС при открывании рта.
- Травмы ВНЧС в анамнезе (были ранее), в т.ч. вывих, подвывих, хронический подвывих.
- Ограничения в подвижности ВНЧС, ограничение в открывании рта.
- Чрезмерный тонус жевательных мышц, бруксизм («скрежетание» зубами во сне, в состоянии покоя).
- Асимметрия подбородка, губ, уздечек губ, асимметрия открывания рта, S- образное открывание.
- Подозрение на наличие вынужденного положения нижней челюсти.

Наличие одного или нескольких вышеперечисленных признаков может свидетельствовать о дисфункции ВНЧС.
Традиционное ортодонтическое лечение не направлено на лечение дисфункции ВНЧС. В процессе ортодонтического лечения выраженность дисфункции может не меняться, уменьшаться или увеличиваться. На данный момент в мировой научной ортодонтической литературе нет убедительных данных о связи ортодонтического лечения и состояния ВНЧС. Ухудшение состояния сустава после лечения может быть никак не связано с данным лечением.
Обратите внимание! Даже при отсутствии видимых клинических проявлений дисфункции сустава, могут иметь место скрытые нарушения, которые требуют специальной диагностики для их выявления.
При наличии вынужденного неправильного положения нижней челюсти, ее положение может измениться в процессе лечения с изменением и усложнением плана лечения (необходимость удаления отдельных зубов, увеличение длительности лечения). Достоверно вынужденное положение не может быть диагностировано традиционными ортодонтическими методами, для проверки его наличия, как правило, требуется специальный анализ (мануальный функциональный анализ, определение центрального соотношения челюстей), использование специальной суставной шины на период в несколько месяцев, что, однако, не дает 100% гарантии.
Для проведения детальной суставной диагностики, разъяснения конкретики Вашего случая, дальнейшего изготовления суставной шины можно записаться к врачу-стоматологу-ортодонту, занимающемуся вопросом дисфункции ВНЧС.
Дисфункция ВНЧС - это хроническое состояние, которое может быть компенсировано, но не вылечено (т.е. возможно устранить симптомы, однако, патологические изменения в суставах, если они уже произошли, скорее всего сохранятся).
Что будет если не лечить дисфункцию ВНЧС?
Если дисфункцию не лечить компенсаторные возможности организма рано или поздно могут быть исчерпаны, симптомы усугубятся, патология начнёт прогрессировать, доставляя больший дискомфорт (порой в течение нескольких лет), тем самым влияя на ухудшение функции зубочелюстной системы.
Для того, чтобы попытаться это предотвратить и провести лечение с учётом индивидуальных особенностей строения и функционирования височно-нижнечелюстных суставов, пациентам обычно предлагают следующий подход.
Методика лечения дисфункции ВНЧС
1. Диагностика дисфункции ВНЧС.
- Во время диагностики сустава в клинике проводится ряд измерений и проб, фиксируются все ощущения в области суставов (дискомфорт, щелчки, боль, отклонение челюсти при открывании-закрывании), разница в ощущениях в правом и левом суставе.
- Ортодонт также проводит снятие слепков челюстей и делает фотографии лица и внутриротовые фотографии, а также выполняется трёхмерная компьютерная томография лица (3Д КТ), при необходимости врач может дать направление на дополнительное исследование - магнитно-резонансную томографию ВНЧС (МРТ).
- Часто врач-ортодонт, помимо мануального функционального анализа, проводит визуальную оценку: осанки, симметричности плечевого пояса, лопаток, тазобедренных костных структур и т.п., выполняет необходимые пробы, фотографии. По результатам возможно назначение на консультацию к остеопату или мануальному терапевту для совместного ведения пациента. К составлению плана лечения также могут быть подключены смежные специалисты (ортопед, хирург, пародонтолог).
Какие упражнения назначают пациентам для нормализации работы и расслабления жевательных мышц?
Упражнение№1
Нарисуйте маркером вертикальную черту на зеркале, встаньте напротив, чтобы черта разделяла лицо на правую и левую половины, пальцы положите на область суставных головок, язык поднимите вверх и назад, открывайте и закрывайте рот по черте (может получится не сразу), 2-3 раза/день по 30 повторений. Не нужно открывать рот широко (комфортная ширина), главное - симметрично (чтобы челюсть не “съезжала” ни в какую сторону). Если есть щелчок, открывайте до момента щелчка.
Упражнение№2 (цикл)
Делайте его, когда есть возможность, например, перед телевизором, за компьютером, в пробке за рулём. Открывайте - закрывайте рот, не смыкая зубы 30 секунд, затем достаньте языком попеременно то до правой, то до левой щёк 30 секунд. Снова открывайте - закрывайте рот, затем 30 секунд совершайте движение языком по кругу внутри преддверия (за губами) сначала в одну, затем в другую стороны (по часовой - против часовой стрелки), снова открывайте - закрывайте рот и т.п.. За этот получасовой цикл зубы не должны соприкасаться, губы сомкнуты. Если хочется закрыть рот или глотнуть-- прокладывайте язык между зубами. Повторяйте цикл в течение 20-30 мин 2-3 раза/день
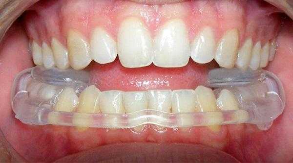
2. Окклюзионная терапия дисфункции ВНЧС
После диагностики пациента записывают к ортодонту на прием по определению центрального соотношения челюстей («истинного» положения нижней челюсти, положения, в котором Вашему суставу и жевательным мышцам будет наиболее комфортно).
Чтобы более точно установить и зафиксировать это положение, для пациента будет индивидуально изготовлена окклюзионная шина (сплинт) из специальной пластмассы, которая стирается по мере ношения. Шину необходимо носить постоянно (спать, говорить, по возможности есть в ней) - в этом смысл окклюзионной терапии, которая поможет суставу и жевательным мышцам перестроиться в наиболее комфортное функциональное состояние.
Чистка и уход за шиной очень простой - после еды (а так же во время чистки зубов) почистить мягкой щёткой с пастой или мылом.
3. Установка брекет-системы пациенту с дисфункцией ВНЧС
Установка брекет-системы на верхнюю челюсть проводится в среднем спустя 3 месяца окклюзионной терапии. Корректируется шина 1 раз в 1-2 недели, либо на усмотрение врача, до устранения основных жалоб со стороны ВНЧС (параллельно с выравниванием зубов на верхней челюсти), затем производится установка брекет-системы на нижнюю челюсть с частичной редукцией (сошлифовыванием) мешающих частей окклюзионной шины, либо полным снятием. Здесь пациенту нужно набраться терпения - процесс может занять несколько месяцев.
Параллельно проводится контроль нового положения нижней челюсти: повторный мануальный функциональный анализ, фотометрия, возможна регистрация прикуса, компьютерная томография лица в процессе лечения, продолжение ортодонтического лечения на брекет-системе.
По завершению ортодонтического лечения следует окончательный контроль положения нижней челюсти (мануальный функциональный анализ, фотометрия, регистрация прикуса, 3Д КТ лица по завершению (после) лечения).


Суставная шина с брекетами
4. Результат лечения дисфункции ВНЧС
Результатом лечения является удовлетворительный эстетический результат, достижение полноценной окклюзии с множественными равномерными фиссурно-бугорковыми контактами и устранение или уменьшение выраженности дисфункции ВНЧС. Обязательным, при наличии показаний, является полноценное рациональное протезирование или функционально- эстетические реставрации зубов, как завершающий этап лечения - по данному этапу необходима развёрнутая консультация стоматолога-ортопеда.
Лечение и диагностика дисфункции ВНЧС в клинике Конфиденция
В клинике Конфиденция работают ортодонты с образованием в области челюстно-лицевой хирургии. Они владеют современными методиками диагностики, такими как сплинт-терапия Aqualizer , а клиника оснащена современным диагностическим оборудованием. В лечении используется комплексный подход, включающий рекомендацию упражнений, ношение суставной шины, установку брекетов. Для полноценного восстановления здоровья сустава и полости рта, в зависимости от случая, привлекаются имплантологи, ортопеды, пародонтологи.
Чтобы получить развернутые консультации специалистов и максимально подробный комплексный план лечения, можно воспользоваться услугой Dental Check-up (включает осмотр всех специалистов, диагностику, план лечения и рекомендации).
Читайте также:

