Дислокация хрусталиковых масс. Причины, тактика
Добавил пользователь Евгений Кузнецов Обновлено: 22.01.2026
Факосклероз - это патология, которая сопровождается уплотнением хрусталика и изменением его морфометрических показателей. Клинические проявления включают в себя снижение остроты зрения, нарушение цветовосприятия, затруднение ориентации в сумерках. При миопической форме пациенты отмечают временное улучшение зрения при работе на близком расстоянии. Основные методы диагностики: визометрия, биомикроскопия, авторефрактометрия, ультразвуковое исследование (А-сканирование глаза). Консервативная терапия предполагает инстилляции препаратов на основе N-ацетилкарнозина. Хирургическое лечение сводится к факоэмульсификации с имплантацией ИОЛ.
МКБ-10

Общие сведения
Факосклероз - это изменения хрусталика, которые представлены увеличением его массы и толщины. Патология встречается преимущественно среди лиц старше 55-ти лет, однако возможно возникновение и у лиц молодого возраста. В общей структуре заболеваемости хрусталика на долю факосклероза приходится 24,4%. Согласно статистическим данным, в 3/4 случаев в течение 5-ти лет развивается главное осложнение ‒ начальная катаракта. Представители обоих полов, различных рас, национальностей и регионов проживания болеют с одинаковой частотой.

Причины факосклероза
Этиология остается до конца не изученной. Ранее в клинической офтальмологии факосклероз рассматривали как естественный инволютивный процесс у пациентов преклонного возраста. Однако склеротические изменения наблюдаются и молодых лиц (особенно с высокой степенью близорукости). Согласно результатам исследований, к числу факторов риска развития патологии относятся:
- Курение. В условиях эксперимента было доказано, что табакокурение ведет к уплотнению хрусталиковых масс. Выраженность помутнения носит дозозависимый эффект. Прекращение курения способствует регрессии отдельных изменений и улучшению зрительных функций.
- Хирургические вмешательства. Вероятность возникновения факосклероза возрастает при выполнении витрэктомии и газовой тампонады сетчатки. На протяжении 2-х лет после операции удается диагностировать поствитрэктомическую катаракту. Первичная хирургическая обработка ранений глаза повышает риск развития болезни.
- Прием медикаментов. Назначение гиполипидемических препаратов предрасполагает к уплотнению центральных отделов хрусталиковых масс. Это наиболее выражено при их одновременном применении с макролидами из-за нарастания уровня циркулирующих в крови продуктов распада статина.
- Травматические повреждения. Причиной склеротических изменений хрусталика могут становиться контузии и проникающие ранения глаз. Признаки факосклероза при этом выявляются в ранние сроки после травмы. Вероятность формирования набухающей катаракты высокая.
Патогенез
С возрастом масса и толщина хрусталика увеличивается, в то время как его участие в процессе аккомодации существенно снижается. По мере образования новых кортикальных слоев ядро сжимается и затвердевает. Данный процесс и лежит в основе развития факосклероза. Патогенез миопической формы напрямую связан с повышением концентрации натрия и кальция в цитоплазме клеток, а также снижением калия и глутатиона.
Химическая модификация и протеолитическое расщепление кристаллинов (хрусталиковых белков) приводит к появлению высокомолекулярных белковых агрегатов. Из-за их увеличения в размере возникают резкие колебания в локальном показателе преломления линзы. Это ведет к рассеиванию света и уменьшению прозрачности. Поэтому у пациентов пожилого возраста хрусталик приобретает желтоватую или коричневатую окраску.
Симптомы факосклероза
В патологический процесс оба глаза вовлекаются в разной степени. Основное клиническое проявление миопической формы - улучшение зрения вблизи на фоне пресбиопии. Пациенты отмечают, что постепенно могут отказаться от использования очков для работы. При этом снижается острота зрения вдаль. По мере образования кортикальных помутнений процесс подбора очковой коррекции затрудняется.
Со временем хрусталик меняет свою окраску, и больные предъявляют жалобы на то, что цвет окружающих предметов становится менее насыщенным. В темное время суток ухудшается ориентация в пространстве. При поражении обоих глаз симптомы факосклероза долгое время остаются незамеченными. Из-за резкого изменения показателей преломления возможно появление монокулярной диплопии.
Осложнения
Развитие патологии становится причиной расстройства аккомодации. С возрастом у пациентов прогрессирует пресбиопия. При одностороннем процессе нарушается бинокулярное и стереоскопическое зрение. Подобные поражения хрусталика в детстве возникают крайне редко, однако влекут за собой формирование амблиопии. Также патология сопровождается изменением клинической рефракции. В 76,4% случаев исходом факосклероза является катаракта.
Диагностика
При сборе анамнеза врач-офтальмолог обращает внимание на продолжительность заболевания, глазные травмы и проведенные ранее микрохирургические вмешательства (витрэктомия, введение газовой смеси). При объективном осмотре следует оценить положение и подвижность глаз, сравнить размеры и форму зрачков с обеих сторон. Комплекс методов диагностики факосклероза включает:
- Визометрию. Степень снижения остроты зрения коррелирует с выраженностью склеротических изменений. Как правило, корригируемая острота зрения не превышает 0,5-0,8 дптр. При миопическом типе зрение вблизи может достигать 0,7-0,9 дптр.
- УЗИ глаза (А-сканирование). Методика позволяет измерить толщину хрусталика, глубину передней камеры, а также длину переднезадней оси глаза. Проводят исследование после инстилляции анестетика. Необходимое положение пациента - вертикальное.
- Биомикроскопию глаза. При осмотре глазного яблока с помощью щелевой лампы определяется уплотнение ядра хрусталика. Оно приобретает желтоватый оттенок. Эмбриональные швы не меняют своей окраски. В возрасте старше 55 лет незначительное уплотнение в сочетании с изменением цвета принято считать нормой.
- Авторефрактометрию. Ранние проявления факосклероза не оказывают влияния на показатели рефракции. Однако при миопическом факосклерозе наблюдается уменьшение сферического компонента. В тоже время цилиндрическая часть остается неизменной.
Лечение факосклероза
Консервативная терапия
При выявлении начальных признаков факосклероза у пациентов без выраженной клинической симптоматики показано местное применение препаратов, содержащих N-ацетилкарнозин. Лекарственное средство обладает антиоксидантными свойствами, т. к. способно противостоять свободным радикалам. Оксидаза защищает хрусталик, а также роговицу и конъюнктиву от повреждения липидными пероксидазами. Консервативная терапия направлена на стабилизацию и улучшение зрительных функций.
Хирургическое лечение
Суть оперативного вмешательства заключается в факоэмульсификации с последующей имплантацией интраокулярной линзы. Операция показана при развитии клинических признаков зрительной дисфункции, миопической форме патологии или сопутствующих рефракционных расстройствах. Хирургическое лечение проводится в амбулаторных условиях. В послеоперационном периоде необходимы инстилляции антибиотиков, нестероидных противовоспалительных средств, глюкокортикостероидов.
Экспериментально лечение
На сегодняшний день на стадии клинических испытаний находится современный ингибитор факосклероза на основе пиреноксина и тиопронина. Результаты исследования показывают, что применение ингибитора факосклероза позволяет предупредить прогрессирование патологических изменений в хрусталике. Ученые полагают, что средство будет назначаться в возрасте после 55-60 лет при наличии первых симптомов заболевания или воздействии факторов риска.
Прогноз и профилактика
С превентивной целью используются поливитаминные комплексы и минеральные добавки. Однако, их применение противопоказано у больных с эксфолиативным синдромом. Первые объективные признаки повышения плотности хрусталиковых масс являются основанием для постановки пациента на диспансерный учет и офтальмологического осмотра не менее 2 раз в год.
Прогноз при данном заболевании для жизни и трудоспособности благоприятный. Своевременное выполнение оперативного вмешательства дает возможность восстановить остроту зрения до прежнего уровня.
2. Lens and cataract. Basic and clinical science course №11// The American Academy of Ophthalmology. ‒ 2017-2018.
3. Evaluation of Amplitude of Accommodation in a Presbyopic Patient Undergoing Stimulation of Sizhukong Acupuncture Point (TH23) - Case Report/ Gilvano Amorim Oliveira// Advances in Ophthalmology & Visual System. - №8 - 2018.
Вывих хрусталика
Вывих хрусталика - патология, характеризующаяся полным смещением хрусталика в витреальную полость или переднюю камеру глаза. Клинические проявления заболевания: резкое ухудшение зрения, болезненность и дискомфорт в области глазницы, факодонез и иридодонез. Для постановки диагноза применяются визометрия, УЗИ глаза, биомикроскопия, ОКТ, бесконтактная тонометрия, гониоскопия. Тактика лечения сводится к проведению ленсэктомии, витрэктомии и имплантации интраокулярной линзы. В послеоперационном периоде рекомендовано назначение глюкокортикостероидов и антибактериальной терапии коротким курсом.

Вывих хрусталика (эктопия, дислокация) - нарушение анатомо-топографического расположения биологической линзы, причиной которого является несостоятельность связочного аппарата. Согласно статистическим данным, распространенность врожденной формы эктопии составляет 7-10 случаев на 100 000 человек. При наследственной предрасположенности у 85% больных удается обнаружить генетические мутации. У 15% пациентов заболевание возникает спорадически. Травмирование глаз в 33% случаев является причиной приобретенного варианта патологии. Лица мужского и женского пола болеют с одинаковой частотой. Болезнь распространена повсеместно.

Причины вывиха хрусталика
Эктопия хрусталика представляет собой полиэтиологическую патологию. К развитию спонтанной формы приводят дегенеративно-дистрофические изменения волокон цилиарной связки, которые чаще выявляются у лиц преклонного возраста. Главный предрасполагающий фактор - хроническое воспаление структур увеального тракта или поражение стекловидного тела. Основные причины вывиха:
- Генетическая предрасположенность. Риску развития врожденной эктопии наиболее подвержены пациенты с синдромом Марфана, Элерса-Данлоса, Книста. Болезнь часто возникает при наследственной гиперлизинемии и дефиците сульфитоксидазы.
- Травматические повреждения. Данное заболевание - одно из распространенных осложнений тупой травмы или проникающего ранения глазного яблока, сопровождающегося повреждением связочного аппарата. В редких случаях вывих происходит при контузии глаз.
- Катаракта. Патологические изменения капсулы, капсулярного эпителия или основного вещества, которые наблюдаются при катаракте - значимые факторы риска эктопии. Причиной выступает нарушение прилегания передних и задних зонулярных волокон.
- Высокая степень гиперметропии. Для дальнозоркости характерно увеличение продольного размера глазного яблока. Это приводит к натяжению и образованию микроразрывов связки, что способствует эктопии.
- Аплазия ресничного пояска. Это врожденный порок развития, при котором связочный аппарат полностью отсутствует. Агенезия ресничного пояска выявляется при синдроме амниотических перетяжек.
В механизме развития врожденного варианта заболевания ведущая роль отводится слабости, частичному или полному отсутствию цилиарной связки. Для преимущественного большинства больных с генетической предрасположенностью характерен дефект синтеза коллагена или эластина, нарушение обмена белка. При частичном разрыве ресничного пояска хрусталик остается фиксированным к пристеночным слоям стекловидного тела, при полном - свободно перемещается в витреальной полости. Расширение зрачкового отверстия становится причиной дислокации в область передней камеры, обычно возникающей в положении «лицом вниз».
Нарушение крепления биологической линзы к ресничному пояску при катаракте влечет за собой дисфункцию связочного аппарата. При дальнозоркости перерастяжение цинновой связки ведет к ее частичному повреждению. Повышение офтальмотонуса или выполнение незначительной нагрузки потенцирует разрыв ресничного пояска и возникновение эктопии. При травмировании глазного яблока ресничный поясок является наиболее «слабым» местом, уязвимым к повреждениям. Это обусловлено тем, что ударная волна приводит не к разрыву капсулы, а к деформации и напряжению волокон цинновой связки. Инволюционные изменения хрусталиковых масс и связочного аппарата провоцируют эктопию у пациентов старческого возраста.
Классификация
Различают врожденную и приобретенную, полную и неполную формы дислокации. Приобретенную эктопию классифицируют на травматическую и спонтанную. При неполном вывихе возникает разрыв связки на 1/2-3/4 окружности. Хрусталик отклоняется в сторону витреальной полости. В клинической классификации выделяют следующие варианты полного вывиха:
- В камеру глаза. Дислокация обуславливает повреждение роговицы, радужки и угла передней камеры. Наблюдается резкий подъем внутриглазного давления (ВГД) и прогрессирующее снижение зрения. Данное состояние требует ургентного вмешательства.
- В стекловидное тело. При данном варианте эктопии хрусталик может быть фиксированным или подвижным. Фиксации способствует формирование спаек к сетчатой оболочке или диску зрительного нерва (ДЗН). При подвижной форме линза может свободно смещаться.
- Мигрирующий. При мигрирующем вывихе хрусталик небольшого размера обладает высокой подвижностью. Он может свободно перемещаться из полости стекловидного тела в камеру, ограниченную радужкой и роговицей, и обратно. О дисклокации свидетельствует развитие болевого синдрома.
Симптомы вывиха хрусталика
Патология характеризуется тяжелым течением. При врожденной форме заболевания родители отмечают белесовато-серое помутнение переднего отдела глазного яблока у ребёнка. Наблюдается выраженная зрительная дисфункция, сохранена только способность к светоощущению. При генетической предрасположенности симптоматика может развиваться и в более зрелом возрасте. Пациенты связывают возникновение клинических проявлений с незначительной физической нагрузкой или легкой травмой. Резко нарушена аккомодационная способность. Попытки фиксировать взгляд приводят к быстрой утомляемости, головной боли.
Больные с приобретенной формой отмечают, что момент вывиха сопровождается выраженной приступообразной болью и резким снижением остроты зрения. Интенсивность болевого синдрома со временем нарастает. Пациенты предъявляют жалобы на чувство «дрожания» глаза, покраснение конъюнктивы, выраженный дискомфорт в периорбитальной области. Развитие факодонеза в комбинации с иридодонезом провоцирует движения глазными яблоками. Выявляется ограниченный участок отделения радужки от цилиарного тела (иридодиализ). Больные отмечают неровность контура зрачка и зону «расщепления» радужной оболочки.
У большинства пациентов наблюдаются признаки офтальмогипертензии. В 52-76% случаев эктопия провоцирует возникновение вторичной глаукомы. Больные подвержены высокому риску присоединения воспалительных осложнений (иридоциклит, ретинит, кератоконъюнктивит). Фиксированная форма сопровождается отслойкой и разрывами сетчатки, дегенерацией роговой оболочки. Развиваются выраженные деструктивные изменения или грыжи стекловидного тела. Образование спаек с ДЗН предрасполагает к невриту зрительного нерва. Наиболее тяжелым осложнением болезни является полная слепота, сопровождающаяся болевым синдромом.
При физикальном обследовании выявляется снижение прозрачности переднего сегмента глаз, которое может сочетаться с признаками травматического повреждения. При движении глаз развивается факодонез, обнаруживающийся офтальмологом при фокальном освещении. При проведении пробы с мидриатиками реакции зрачков не наблюдается. Специальные методы диагностики включают использование:
- Бесконтактной тонометрии. При измерении внутриглазного давления удается диагностировать его повышение. ВГД достигает критических значений только при нарушении оттока водянистой влаги. Подвижный вывих обуславливает незначительное повышение офтальмотонуса.
- Визометрии. Острота зрения резко снижается вне зависимости от степени прозрачности хрусталика. При дополнительном применении компьютерной рефрактометрии удается диагностировать миопический тип клинической рефракции.
- УЗИ глаза. При ультразвуковом исследовании выявляется дислокация в зону передней камеры или стекловидное тело. Определяется одно- или двухсторонний разрыв цинновой связки. Витреальная полость имеет негомогенную структуру. При фиксации хрусталика к сетчатке возникает её отслойка. Переднезадняя ось смещена. При полном разрыве капсула с основным веществом приобретают шаровидную форму.
- Биомикроскопии глаза. При травматическом генезе заболевания визуализируется инъекция сосудов конъюнктивы, очаги кровоизлияния. Прозрачность оптических сред снижена. Вторичные изменения роговицы представлены микроэрозивными дефектами.
- Гониоскопии. При направлении вектора смещения кпереди объем камеры глаза резко снижен. У пациентов с неполной формой патологии пространство, ограниченное радужной и роговой оболочками, глубокое, без патологических изменений. Угол передней камеры (УПК) имеет неравномерную структуру.
- Оптической когерентной томографии (ОКТ). Исследование дает возможность определить характер расположения люксированного хрусталика, тип повреждения цинновой связки. ОКТ применяется непосредственно перед операцией для выбора оптимальной хирургической тактики.
- Ультразвуковой биомикроскопии. При врожденном варианте болезни методика позволяет обнаружить дефекты цилиарной связки на протяжении от 60° до 260°. Хрусталик смещен в горизонтальной и вертикальной плоскостях. Измеряется глубина повреждения роговицы.
В случае травматического происхождения заболевания пациентам дополнительно назначается рентгенография орбит в прямой и боковой проекции. В раннем послеоперационном периоде показано измерение ВГД бесконтактным методом. Для изучения характера циркуляции ВГЖ спустя 5-7 дней после операции применяется электронная тонография. В ходе исследования определяется риск развития глаукомы.
Лечение вывиха хрусталика
При полном смещении биологической линзы показана ленсэктомия. С целью профилактики тракций накануне хирургического вмешательства выполняется витрэктомия. Основной этап операции - поднятие хрусталика с глазного дна и выведение его в переднюю камеру. Для этого применяется методика введения перфторорганических соединений (ПФОС) в полость стекловидного тела. Из-за большого удельного веса ПФОС опускаются на глазное дно и вытесняют патологически измененную субстанцию наружу. Следующий этап после ленсэктомии - имплантация интраокулярной линзы (ИОЛ). Возможные места фиксации ИОЛ - УПК, цилиарное тело, радужка, капсула.
При высокой плотности ядра для удаления люксированного хрусталика применяется ультразвуковая или лазерная факоэмульсификация. Все остатки стекловидного тела, крови и обрывки задней капсулы должны быть полностью извлечены. Пациентам детского возраста проводится имплантация искусственной линзы в сочетании с капсульным мешком и кольцом. В современной офтальмологии применяются методики, которые позволяют фиксировать ИОЛ интрасклерально или интракорнеально с использованием шовной техники. В конце операции показано субконъюнктивальное введение антибактериальных средств и кортикостероидов. При необходимости после вмешательства назначают инстилляции гипотензивных средств.
Своевременная ленсэктомия в 2/3 случаев дает возможность полностью восстановить остроту зрения и нормализировать циркуляцию внутриглазной жидкости. У 30% больных развиваются тяжелые послеоперационные осложнения. Специфические методы профилактики не разработаны. Неспецифические превентивные меры включают использование средств индивидуальной защиты при работе в условиях производства (очки, маски). Для снижения вероятности вывиха пациентам с гиперметропической рефракцией показана коррекция зрительной дисфункции при помощи очков или контактных линз.
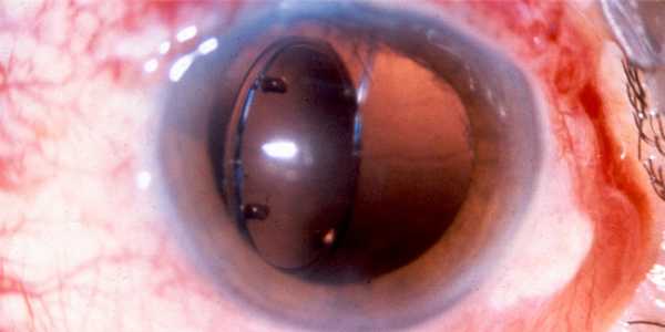
Дислокация искусственного хрусталика глаза (ИОЛ)
Если степень смещения интраокулярной линзы незначительная, то это чаще всего не виляет на остроту зрения и не требует повторной операции. Обычно причинами дислокации становится неправильное размещение линзы во время операции, интраоперационное повреждение связочно-капсулярного аппарата хрусталика, ассиметричное размещение гаптики линзы.
Выраженное смещение ИОЛ встречается в 0,2-2,8% случаев. При этом требуется хирургическая коррекция и повторная операция. В связи с внедрением в клиническую практику методики факоэмульсификации, частота серьезной дислокации линзы возросла. Также имеются описания дислокации ИОЛ на фоне лазерной капсулотомии с применением Nd:YAG лазера.

Основная причина выраженной дислокации ИОЛ заключается в повреждении во время операции или в послеоперационном периоде СКАХ. При этом во время операции СКАХ повреждается в 1-2% случаев. Однако практически всегда удается имплантировать заднекамерную ИОЛ в капсулярный мешок или цилиарную борозду. Для этого используют оставшиеся фрагменты капсулярного мешка в качестве опоры. Одновременно проводят переднюю витрэктомию или имплантацию внутрикапсульных колец.
Если неправильно оценить оставшиеся опорные части СКАХ или не в полном объеме выполнить перечисленные манипуляции, то может возникнуть дислокация ИОЛ в вещество стекловидного тела или на поверхность глазного дна. Реже смещение линзы приводит к развитию гемофтальма, вялотекущего увеита, пролиферирующей витреоретинопатии, отслойки сетчатки, хроническому отеку макулы.
Коррекция при смещении интраокулярной линзы
В зависимости от степени дислокации искусственного хрусталика, врач выбирает тот или иной хирургический доступ. Также учитываются наличие сопутствующих осложнений, например, макулярного отека, отслойки сетчатки, хрусталиковых масс в области глазного дна или стекловидного тела.
Выделяют два типа доступа: передний, или роговичный, и задний, осуществляемый через плоскую часть цилиарного тела. Роговичный доступ чаще используют в том случае, когда линза или ее гаптика расположены в поле зрения хирурга, и он может захватить из транспупиллярно. Показанием для заднего доступа является полная дислокация ИОЛ в вещество стекловидного тела или в плоскость глазного дна. Эта операция относится к разделу витреоретинальной хирургии. Задний доступ помогает провести все необходимые витреоретинальные манипуляции.
При дислокации ИОЛ можно заменить заднекамерную модель линзы на переднекамерную, выполнить репозицию заднекамерной линзы, удалить ИОЛ, не имплантируя другую линзу.
При замене заднекамерной ИОЛ на переднекамерную проводится в том случае, если строение линзы таково, что невозможно провести ее репозицию и шовную фиксацию. Современные модели переднекамерных линз используют для замены заднекамерных устройств. При этом имплантация безопасна, а шовная фиксация не требуется. В этом случае процент специфических осложнений очень мал. Итоговая острота зрения сопоставима с той, которую можно получить при реимплантации заднекамерной линзы. Иногда она даже превышает этот показатель.
При репозиции заднекамрной ИОД проводят ряд манипуляций:
- Помещение линзы в цилиарную борозду и транссклеральная ее шовная фиксация, включая эндоскопический контроль.
- Размещение линзы в цилиарной борозде с использованием оставшихся фрагментов капсульного мешка (без шовной фиксации).
- Шовная фиксация линзы к радужной оболочке.
- Перемещение ИОЛ в переднюю камеру (выполняют очень редко).

Чаще всего размещают заднекапсульную ИОЛ в цилиарной борозде, а затем дополнительно фиксируют шовным материалом путем транссклерального доступа. Этот тип операции техничеки выполнить довольно сложно, так как высок риск осложнений (эндофтальмит, гемофтальм, вялотекущий увеит хронического течения, склеральные свищи, ущемление стекловидного тела, повторная дислокация ИОЛ, отслойка сетчатки). Также при проведении ультразвуковой биомикроскопии после операции было установлено, что менее половины вмешательств (37-40%) привели к правильному положению ИОЛ в цилиарной борозде. В остальных случаях происходит смещение гаптической части линзы кпереди или кзади относительно цилиарной борозды.
Следует еще раз отменить, что дислокация искусственного хрусталика является довольно редким, но очень тяжелым осложнением оперативного лечения катаракты. В зависимости от наличия остатков капсульного мешка, модели дислоцированной линзы, сопутствующих осложнений изменяется дальнейшая тактика лечения. При правильном подходе удается получить отличные функциональные и анатомические результаты.
Цены на лечение
Стоимость манипуляций с интраокулярной линзой (центрация, подшивание, рассечение спаек, капсулы и др.) в нашем офтальмологическом центре составляет 50 000 рублей (за 1 глаз). Выбор метода определяется после осмотра врачом-офтальмологом.
Моей маме поставили искуственный хрусталик и несколько лет мы не могли нарадоватся на ее зрение. Потом зрение у нее стало ухудшаться, на осмотре нашли помутнение капсулы хрусталика. Лечили лазером и снова на некоторое время стало лучше. И вот теперь опять зрение падает! Врач говорит линза подвернулась и нужно оперировать. Можно просто удалить линзу? И потом очками пользоваться.
Здравствуйте, Валентина.
Все зависит от каждой конкретной ситуации с степени смещения ИОЛ. В нашей клинике в таких случаях обычно делается репозиция и подшивание линзы к радужке, чтобы не происходило её смещение в дальнейшем.
Что можете предложить чтобы хрусталик не вылетал снова со своего места?
Делали в ГКБ №1 репозицию - сейчас опять та же история - ИОЛ сместилось.
Добрый день.
В этих случаях мы подшиваем (фиксируем линзу) к радужке. Если у ИОЛ нет специальных "ушек" за которые можно это сделать - то меняем хрусталик на "правильный".
Если хрусталиковая сумка порвана - может идти речь о установке переднекамерной ИОЛ.
Аномалии хрусталика
Аномалии хрусталика - это пороки развития, реже приобретенные патологии, при которых нарушается способность к аккомодации, светопроведению или светопреломлению. Общие симптомы для большинства форм - нарушение зрительных функций, появление «тумана» или «пелены» перед глазами. Диагностика включает в себя наружный осмотр, биомикроскопию, гониоскопию, визометрию, УЗД в В-режиме, ОКТ. Тактика лечения зависит от вида аномалий хрусталика. Консервативная коррекция остроты зрения при помощи очков возможна только при эктопии. Хирургическое лечение аномалий хрусталика сводится к проведению факоэмульсификации или имплантации интраокулярной линзы.


Аномалии хрусталика - это гетерогенная группа заболеваний в клинической офтальмологии, характеризующаяся изменением формы, размера, прозрачности или эктопией хрусталика. Врожденные варианты патологий, как правило, диагностируют в период новорожденности или в раннем детском возрасте. У детей катаракта встречается с частотой 5:100 000. В преклонном возрасте это заболевание становится причиной практически 50% всех случаев слепоты, а после 60-летнего возраста определенная степень помутнения хрусталика определяется у каждого второго пациента. Передний лентиконус зачастую диагностируют у представителей мужского пола, задний - у женщин. Аномалии хрусталика могут развиваться изолированно или быть одним из проявлений генетических синдромов (дислокации хрусталика при синдроме Марфана или Маркезани).
Причины
Нарушение эмбрионального периода развития может привести к таким аномалиям хрусталика, как первичная или вторичная афакия, колобома, лентиконус, эктопия хрусталика и др.
- Причины афакии. При первичном варианте заболевания наблюдается полная аплазия хрусталика. Пусковой механизм - снижение экспрессии генов PAX6 и BMP4, которые отвечают за процесс дифференциации эмбрионального зачатка хрусталика и его отделение от наружной эктодермы. Причина развития вторичной формы - внутриутробное воспаление или идиопатический разрыв капсулы хрусталика. При задержке дифференциации или нарушении обратного развития сосудов капсулы возникает бифакия.
- Причины колобомы. Причина развития врожденного варианта данной аномалии хрусталика - полная или частичная аплазия ресничного пояска. Триггером приобретенной формы может выступать механическое давление кисты или патологического новообразования на уже сформированный ресничный поясок.
- Причины лентиконуса. Этиологический фактор развития переднего лентиконуса - нарушение отделения линзы, вызванное низкой сопротивляемостью хрусталиковой капсулы. Также способствует возникновению данной аномалии хрусталика отсутствие или патологическое прикрепление зонулярных волокон. Появление заднего лентиконуса обусловлено выраженным натяжением или разрывом задней капсулы. Пусковым фактором является обратное развитие артерии студенистого тела на этапе эмбриогенеза.
- Причины эктопии хрусталика. Эктопия относится к числу генетически детерминированных аномалий хрусталика. Тип наследования - аутосомно-доминантный. Этиология заболевания связана с мутацией в гене FBN1, который отвечает за синтез фибриллина. Этот белок входит в состав множества тканей организма, что объясняет высокую распространенность вывихов и подвывихов хрусталика при синдроме Марфана. Однако описаны семейные случаи изолированного развития эктопий хрусталика.
- Причины микро- и макрофакии. Аномалии хрусталика, связанные с изменением его размера (микро-, макрофакия), возникают у пациентов с изменением строения цилиарной связки, перерождением или растяжением гликопротеиновых волокон.

Симптомы аномалий хрусталика
Микрофакия
Специфический симптом микрофакии - дрожание радужки, которое развивается при движении глазных яблок. При данной аномалии хрусталика возникает аметропия, что связано с несоответствием между рефракцией и длиной зрительной оси. За счёт нарушения способности к аккомодации у пациентов резко нарушаются зрительные функции. Аномалия хрусталика часто осложняет течение синдрома Вайлля-Маркезани. При макрофакии увеличение хрусталика приводит к повышению внутриглазного давления, что также становится причиной зрительной дисфункции и высокого риска развития вторичной глаукомы.
Афакия
При первичной афакии в структуре глазного яблока биологическая линза полностью отсутствует. Наличие недоразвитого хрусталика или его частей характерно для вторичной формы. При данной аномалии хрусталика пациенты предъявляют жалобы на снижение остроты зрения, иридодонез и астенопические проявления. При бифакии за счет двойного эластического образования в полости глазного яблока резко изменяется функция светопреломления.
Лентиконус
К числу пороков хрусталика относят передний, задний или внутренний лентиконус, при котором одна из его частей меняет свою конфигурацию. При этой аномалии хрусталика существенно нарушается четкость зрения. Передняя форма заболевания характеризуется выраженным снижением остроты зрения. Для заднего лентиконуса свойственно монокулярное поражение.
Колобома
Колобома может развиваться как изолированная аномалия хрусталика. Реже заболевание сочетается с микрофтальмией, эктопией роговой оболочки или пупиллярной мембраной. Если данная патология сопровождается помутнением хрусталика, пациенты предъявляют жалобы на появление «тумана» или «пелены» перед глазами.
Дислокация хрусталика
Вывих хрусталика зачастую осложняется вторичной глаукомой или увеитом. Специфический симптомокомплекс подвывиха: дрожание радужки, хрусталика и уменьшение размера передней камеры глаза.
Диагностика аномалий хрусталика основывается на анамнестических данных, результатах наружного осмотра, биомикроскопии, гониоскопии, визометрии, тонометрии, ультразвукового исследования (УЗД) в В-режиме, оптической когерентной томографии (ОКТ).
Диагностика микро- и макрофакии
При наружном осмотре пациентов с микрофакией наблюдается мидриаз. Методом биомикроскопии выявляется аномалия хрусталика, при которой размер, а также ресничные связки не соответствуют референтным значениям. Глубина передней камеры глаза увеличивается, стенки становятся неровными, что визуализируется при гониоскопии.
У пациентов с макрофакией на ОКТ обнаруживается значительно увеличенный хрусталик. Размеры передней камеры глаза этой аномалии хрусталика уменьшаются. Методом тонометрии определяется повышение внутриглазного давления. Как микро-, так и макрофакия сопровождаются нарушением аккомодации. Это приводит к снижению остроты зрения, что подтверждается при проведении визометрии.
Диагностика афакии
При первичной афакии методом биомикроскопии наблюдается полное отсутствие хрусталика в полости глазного яблока. Для дифференциальной диагностики с вторичной формой заболевания проводится ОКТ. В отличие от первичной афакии, при вторичной визуализируется недоразвитый хрусталик или его части. У 30% пациентов с колобомой при проведении биомикроскопии определяется помутнение биологической линзы. В нижнем квадранте выявляется треугольный, серповидный или эллипсовидный дефект. При аномалиях хрусталика, проявляющихся дислокацией (вывих, подвывих), часть биологической линзы смещается в переднюю камеру глаза, что диагностируется методом гониоскопии.
Диагностика лентиконуса
При лентиконусе методом биомикроскопии определяется выпячивание одной из стенок хрусталика с полным сохранением прозрачности. У пациентов с передним вариантом данной аномалии хрусталика передняя капсула истончается, уменьшается количество эпителиоцитов с выпиранием коры переднего слоя. Хрусталик имеет вид шара или конуса. Движение глазных яблок сопровождается дислокацией переднего лентиконуса в том же направлении. При задней форме этой аномалии хрусталика происходит смещение в противоположную сторону. Методом биомикроскопии выявляется истончение задней капсулы с аномальным строением ядра. При внутреннем лентиконусе внешнее строение хрусталика соответствует норме, однако волокна имеют конусовидную форму.

Лечение аномалий хрусталика
Тактика лечения определяется формой аномалии хрусталика. Оперативное вмешательство при микрофакии показано пациентам со снижением остроты зрения менее 0,2 диоптрий. На первом этапе проводится операционный микроразрез с последующим капсулорексисом. При помощи специального ультразвукового оборудования осуществляется фрагментация и аспирация хрусталика. Следующий этап - имплантация интраокулярной линзы необходимого размера. Для коррекции остроты зрения используют контактные линзы или очки только у пациентов с незначительными изменениями остроты зрения. Проводить хирургическое вмешательство рекомендовано в подростковом возрасте. Макрофакия также является показанием к удалению хрусталика с дальнейшей имплантацией специальной линзы.
Консервативное лечение рекомендовано при слабо выраженной эктопии хрусталика, лентиконусе или афакии. При дислокациях биологической линзы или бинокулярной афакии (вывих, подвывих) коррекция зрения проводится при помощи очков. Монокулярное отсутствие хрусталика является показанием к назначению контактных методов коррекции остроты зрения. При низкой эффективности рекомендовано оперативное вмешательство. Среди методов хирургического лечения аномалий хрусталика, в частности, катаракты, наиболее распространена факоэмульсификация с последующим проведением имплантации интраокулярной линзы.
Специфическая профилактика аномалий хрусталика отсутствует. Неспецифические превентивные меры развития врожденных форм сводятся к снижению тератогенного влияния медикаментов, химических веществ на организм плода. В период планирования беременности женщине показано проведение специальных тестов на группу TORCH-инфекций, т. к. их течение приводит к нарушению формирования органа зрения на этапе эмбриогенеза. Все пациенты с врожденными или приобретенными аномалиями хрусталика должны 2 раза в год проходить осмотр у офтальмолога. Прогноз для жизни при данной группе заболеваний благоприятный. Однако при малоэффективном лечении большинство форм сопровождается снижением остроты зрения и инвалидизацией.
2. Офтальмология/ Девяткин А.А., Трифонова М.В., Колесникова Т.В., Токарева А.В., Денкевиц М.Н. - 2009.
Люксация и сублюксация хрусталика (вывих и подвывих)
Люксация (сублюксация) хрусталика не только сама по себя является серьёзной патологией, но и несёт риск развития опасных осложнений. Капсула хрусталика поддерживается циановыми связками. Они обеспечивают необходимое геометрическое расположение этой зрительной структуры, а также участвуют в процессе аккомодации. Частичный (сублюксация) или полный (люксация) вывих хрусталика происходит, соответственно, при полном или частичном разрыве связок. В результате этого хрусталик смещается в сторону стекловидного тела или камер глаза. Это приводит к снижению зрения и требует квалифицированной помощи из-за опасности развития сопутствующих нарушений.

Причины люксации и сублюксации хрусталика
Недостаточное развитие циановых связок может быть врождённым. При этом часть волокон может полностью отсутствовать либо наблюдается функциональная недостаточность имеющихся связок.
Приобретенный вывих часто является следствием травм, дегенеративных и возрастных изменений, неравномерного снижения эластичности циановых связок, воспалительных заболеваний, затрагивающих капсулу хрусталика. Функциональная несостоятельность связующего аппарата может развиться в результате систематического действия грубых сотрясений и вибраций. Предрасположенность к нарушению положения хрусталика может быть обусловлена приобретённой катарактой и глаукомой.
По направлению смещения хрусталика выделяют два типа люксации:
1. Частичный вывих (подвивих): хрусталик смещён в сторону стекловидного тела. При таком типе чаще наблюдается лишь частичный подвывих хрусталика. При этом смещение может быть симметричным или односторонним. Сам хрусталик остаётся прозрачным или замутнён незначительно. Зрение может сохраняться на достаточном уровне.
2. Полный вывих: хрусталик смещён в переднюю или заднюю камеру. Такое нарушение приводит к сдавливанию радужки, что может вызвать воспалительный процесс, повреждение роговицы и развитие глаукомы. При этом типе даже неполная люксация может привести к существенной потере остроты зрения.
По степени патологии различают полную люксацию (в случае разрыва всех связок по окружности хрусталиковой капсулы) и сублюксацию I-III степеней.
В зависимости от тяжести подвывиха наблюдается тот или иной симптомокомплекс.
Симптомы и диагностика вывиха хрусталика
Незначительная сублюксация может оставаться незамеченной даже для самого пациента. Ключевой признак для подвывиха любой степени - дрожание радужки (иридодонез). Часто этот симптом виден без применения специальных диагностических методик. В менее определённых случаях прибегают к наблюдению в луче щелевой лампы или при боковом освещении.
В определённых случаях даже специальные методы исследования не выявляют иридоденез. Факодонез хрусталика не передаётся на радужку. Тогда применяется биомикроскопия, позволяющая косвенно предположить люксацию по неравномерности глубины передней или задней камер.
Симптоматическая диагностика может выявлять расстройства аккомодации, хрусталиковый астигматизм, вторичную факотопическую глаукому.
Лечение при люксации и сублюксации хрусталика
Вывих хрусталика той или иной степени и типа требует лечения в той мере, насколько это влияет на зрение пациента и несёт риск осложнений. Предварительная диагностика позволяет собрать сведения о зрительной функции, полях, изменениях прозрачности хрусталика, светочувствительности.
Незначительная сублюксация может быть скорректирована при помощи специальных линз. Если нет риска развития глаукомы, острота зрения достаточна и стабильна, дельнейшее лечение не требуется, и пациент лишь регулярно проходит профилактический осмотр у офтальмолога.
Наш офтальмологический центр располагает всеми возможностями для быстрого и эффективного решения проблемы дислокации хрусталика различными методами. Опытные хирурги быстро устранят заболевания и вернут зрение даже в самых сложных случаях!
В более сложных случаях, при люксации и сублюксации высоких степеней, проводится оперативное лечение. Хрусталик может быть восстановлен на свое место, если есть возможность обеспечить хирургически его дальнейшее стабильное положение и функциональную состоятельность.
При развитии осложнений или бесперспективности сохранения естественного хрусталика, прибегают к его удалению, укреплению капсулы и установке интраокулярной линзы.

Как при любом хирургическом лечении, в этом случае не исключён риск определённых осложнений, однако сама по себе люксация с течением времени может быть ещё более опасна. Осложнённый вторичной глаукомой, вывих вызывает дегенеративные изменения на сетчатке и угрожает полной потерей зрения. Другими опасными заболеваниями, развивающимися на фоне вывиха хрусталика, могут стать: заворот радужки, нарушение трофика зрительного нерва, отслоение сетчатки, поражение роговицы и сосудистая недостаточность.
Своевременная диагностика и проверенные лечебные методики позволяют не только сделать всё возможное для устранения последствий вывиха хрусталика, но и держать под контролем дальнейшую динамику, вовремя провести хирургическую коррекцию или принять терапевтические меры для сохранения высокого качество жизни как можно дольше.
Читайте также:
