Дистопия зуба: причины, симптомы и лечение
Добавил пользователь Владимир З. Обновлено: 13.12.2025
Дистопированный зуб - зуб, занимающий неправильное положение в зубном ряду или смещенный за пределы альвеолярного отростка челюсти. К вариантам дистопии относят вестибулярное, оральное, мезиальное, дистальное расположение зуба, инфраположение, супраположение, тортопозицию и транспозицию. Дистопированные зубы представляют косметический и функциональный недостаток; могут способствовать формированию неправильного прикуса, хронической травматизации слизистой оболочки полости рта, развитию перикоронарита, сочетаться с ретенцией. Дистопированные зубы выявляются в процессе стоматологического осмотра, изучения ортопантомограмм, моделей челюстей и телерентгенограмм. В зависимости от своего расположения дистопированные зубы могут подлежать ортодонтическому лечению или удалению.

Общие сведения
Дистопированный зуб (дистопия) - аномалия зуба, характеризующаяся его неправильным положением в зубной дуге или за ее пределами и затрудняющая прорезывание других зубов. В стоматологии под правильным положением зубов понимают строго определенную позицию, соответствующую каждому зубу в зубном ряду, а также его взаимоотношения с соседними зубами и зубами-антагонистами на противоположной челюсти. Зубы, выросшие со смещением или наклоном, а также прорезавшиеся вне зубной дуги, считаются дистопированными. Чаще всего дистопированными бывают нижние третьи моляры («зубы мудрости»), верхние и нижние резцы, верхние клыки; реже - верхние и нижние премоляры и верхние третьи моляры. Дистопия зубов часто сочетается с ретенцией, дистальным, мезиальным, открытым прикусом, скученностью зубов и пр.

Причины дистопии зубов
К дистопии зубов могут приводить эмбриональные, генетические либо экзогенные факторы. Чаще всего наличие дистопированных зубов обусловлено атипичным формированием зачатков зубов в эмбриональном периоде. Дистопия зубов может быть связана с макродентией, наличием сверхкомплектных зубов в зубном ряду, резкой диспропорцией размеров молочных и постоянных зубов, преждевременным удалением временных зубов, нарушением сроков и последовательности прорезывания некоторых зубов, частичной адентией.
Дистопированные зубы могут появляться при несоответствии величины зубов размерам челюсти; довольно часто это встречается у детей, которые наследуют от одного из родителей крупные зубы, а от другого - маленькую челюсть. Генетическая предрасположенность также может являться фактором дистопии зубов.
Экзогенные факторы, обусловливающие появление дистопированных зубов, обычно носят травматический характер. В их числе - рубцы слизистой оболочки полости рта, механические повреждения зуба (ушиб, вывих зуба), полученные при падении, ударе и т. п., вредные привычки (сосание большого пальца, прикусывание карандаша и др.). При частичном изменении положения зуба, сохранившего связь с лункой, говорят о неполной травматической дистопии. В случае полного смещения зуба за пределы лунки и удержании его положения только за счет мягких тканей, травматическая дистопия расценивается как полная.
Дистопии клыков обычно способствует их позднее, в сравнении с другими постоянными зубами, физиологическое прорезывание (в возрасте от 9-12 лет). Поэтому к моменту появления клыков, для них часто не остается достаточно места в зубном ряду, отчего они вынужденно занимают место во втором ряду, становясь дистопированными. Зубы мудрости оказываются дистопированными из-за того, что в молочном прикусе у них отсутствуют зубы-предшественники, а, следовательно, «восьмеркам» самостоятельно приходится «прокладывать» себе путь через костную ткань. Кроме этого, дистопии третьих моляров способствует их позднее прорезывание, а также крайнее положение в зубном ряду, когда отсутствие зуба-соседа не регулирует их местоположение и правильное размещение.
Классификация дистопии
В зависимости от характера смещения выделяют:
- аномалии положения зубов в сагиттальной и трансверзальной плоскости (вестибулярное и оральное, мезиальное и дистальное положение дистопированных зубов)
- аномалии положения зубов в вертикальной плоскости (супрапозиция верхних и нижних зубов, инфрапозиция верхних нижних зубов)
- тортопозиция и транспозиция
Иногда к аномалиям положения зубов также относят диастемы, тремы, скученность зубов. Вестибулярное положение зубов (лабиальная/губная позиция передних зубов, буккальная/щечная позиция боковых зубов) характеризуется смещением зубов в сторону преддверия полости рта, кнаружи от зубного ряда. Оральное положение зубов (палатинальная/небная позиция верхних зубов и лингвальная/язычная позиция нижних зубов) предполагает смещение зуба в глубину полости рта.
Под мезиальным положением зубов понимают их смещение кпереди, под дистальным - смещение кзади от своего нормального места положения в зубной дуге. Расположение зубов выше окклюзионной плоскости носит название супраположения; ниже плоскости смыкания зубных рядов - инфраположения. Реже среди аномалий положения встречается тортопозиция - поворот зуба вокруг продольной оси и транспозиция - взаимная перестановка зубов в зубном ряду.
Симптомы дистопии зубов
Дистопированные зубы могут причинять эстетические неудобства, а также вызывать функциональные нарушения. В ряде случаев дистопированный зуб оказывается расположенным вне альвеолярного отростка (например, в теле или ветви челюсти, в твердом нёбе, глазнице, стенке полости носа и др.).
Дистопированные зубы нарушают нормальное прорезывание других зубов, что способствует формированию неправильного прикуса. Смещение или наклонное положение дистопированных зубов вызывает повреждение и травмирование тканей языка, губ, щек с образование декубитальных язв. Кроме этого, неправильное положение зубов затрудняет проведение адекватной гигиены полости рта, удаление зубного налета и пищевых остатков, создавая тем самым благоприятные условия для развития кариеса.
Над непрорезавшейся частью дистопированных и ретинированных зубов часто образуются десневые карманы (капюшоны), в которых также скапливаются остатки пищи и микроорганизмы, вызывающие воспалительный процесс - перикоронарит.
Дистопированные зубы могут служить причиной нарушений жевательной функции и звукопроизношения.
Диагностика дистопии зубов
Наличие дистопированных зубов обычно выявляется стоматологом-терапевтом или ортодонтом в процессе клинического осмотра. Для уточнения положения дистопированных зубов обычно проводится ортопантомография, изготовление и изучение гипсовых моделей челюстей, телерентгенография с расчетом телерентгенограмм, оценка прикуса.
На основании комплекса методов диагностики решается вопрос об оптимальной лечебной тактике в отношении дистопированных зубов. С этой целью пациенту может потребоваться консультация стоматолога-хирурга или пародонтолога.
Лечение дистопии зубов
Если дистопированный зуб не представляет серьезной эстетической и функциональной проблемы, а лишь наносит хроническую травму слизистой оболочке полости рта, можно ограничиться пришлифовыванием острых бугров. При наличии для дистопированного зуба места в зубной дуге осуществляется ортодонтическое лечение. В остальных случаях выбор делается в пользу удаления дистопированных зубов.
Для исправления положения зубов используются съемные и несъемные ортодонтические аппараты механического и функционального действия, брекет-системы.
Удаление дистопированного зуба в хирургической стоматологии относится к разряду сложных операций. Абсолютными показаниями к удалению дистопированных зубов служат челюстные кисты, периостит и остеомиелит челюсти, полная травматическая дистопия зуба; относительными показаниями - периодонтит и пульпит, сложности с лечением кариеса 7-х зубов или протезированием и др. Осложнения, связанные с удалением дистопированного зуба, могут включать вывих соседнего зуба, вывих и перелом нижней челюсти, травму нижнечелюстного канала, кровотечение из лунки зуба. Дистопированные зубы, расположенные вне альвеолярного отростка, необходимо удалять в условиях стационара.
При неполной травматической дистопии под местной или общей анестезией осуществляется репозиция смещенного зуба с его последующим шинированием с помощью гелиокомпозита или проволочных лигатур. В большинстве случаев дистопированные зубы требуют проведения комбинированного аппаратно-хирургического лечения.
Прогноз и профилактика
Лечение дистопированных зубов желательно проводить до окончания роста лицевого скелета (14-16 лет). Это связано с лучшими эстетическими и функциональными результатами, более быстрыми сроками нормализации положения зубов. Коррекция положения дистопированных зубов у взрослых имеет свои нюансы и технические сложности, чаще требует проведения подготовительно-профилактических вмешательств (экстракции отдельных зубов, компактостеотомии, фибротомии и пр.).
Профилактика аномалий положения зубов начинается еще в период внутриутробного развития ребенка и продолжается после его рождения. Она включает обеспечение оптимальных условий для развития зубочелюстной системы: благоприятное протекание беременности, рациональное вскармливание, борьбу с вредными оральными привычками, предупреждение травм челюстей, наблюдение ребенка у стоматолога с момента прорезывания зубов, рациональное протезирование при преждевременной потере молочных зубов.
Ретинированный зуб
Ретинированный зуб - полностью сформированный в челюсти, но не прорезавшийся (или частично прорезавшийся) наружу зуб. В одних случаях ретинированные и полуретинированные зубы никак себя не проявляют; в других вызывают боли, воспалительные процессы (перикоронарит, периодонтит, периостит, абсцесс, флегмону), сочетаются с дистопией. Наличие ретинированных зубов в полости рта выявляется с помощью прицельной рентгенографии и ортопантомографии. В зависимости от клинической ситуации тактика в отношении ретинированных зубов может быть различной (иссечение «капюшона» при перикоронарите, удаление ретинированного зуба, ортодонтическое перемещение и др.).
МКБ-10


Ретинированный зуб - затруднение полноценного прорезывания зуба, находящегося в челюстной кости или прикрытого десной. Ретенция - часто встречающаяся аномалия прорезывания зубов. По статистике, наиболее часто ретинированными оказываются нижние и верхние третьи моляры (зубы мудрости), клыки верхней челюсти и вторые премоляры нижней челюсти. При этом непрорезавшиеся «восьмерки» встречаются у 35-45% наблюдений. Лечение ретинированных зубов представляет собой сложную и актуальную проблему современной хирургической стоматологии и ортодонтии.

Причины ретенции зубов
Наличие ретинированных зубов может быть обусловлено эмбриологическими особенностями. Зубы могут оставаться ретинированными вследствие чрезмерно толстых стенок зубного мешочка вокруг коронки прорезающегося зуба, плотной ткани десны и слабой ростковой силы. Эти обстоятельства препятствуют полноценному прорезыванию зуба, в результате чего он остается ретинированным или полуретинированным.
К эмбриологическим предпосылкам ретенции также следует отнести неправильное положение оси зубного зачатка, приводящее к его столкновению с соседним, ранее уже прорезавшимся зубом. В этом случае правильнее говорить не о ретинированном, а об импактном зубе - т. е. зубе, прорезывание которого нарушено в связи с препятствием со стороны соседнего зуба, и следствием которого явилась ретенция.
Существует теория, что в процессе эволюционного развития, в связи с сокращением в рационе человека грубой животной и растительной пищи, а, следовательно, и меньшей жевательной нагрузки, отмечается редукция челюстей за счет уменьшения дистального отдела альвеолярной кости. Это обусловливает дефицит пространства для зубов, которые прорезываются позже остальных (в частности, для зубов мудрости), и может служить причиной их ретенции.
Факторы риска
Факторы риска, увеличивающие вероятность появления ретинированных зубов, могут включать в себя:
- генетическую предрасположенность
- раннее выпадение или удаление молочных зубов
- наличие сверхкомплектных зубов
- аномалии развития челюстей
- плохое питание,
- общую инфекционную истощенность и соматическую ослабленность организма и т. д.
Классификация
В зависимости от степени выделяют полную и частичную ретенцию и соответственно ретинированный и полуретинированный зуб. Ретинированный зуб полностью покрыт десной или костной тканью, не виден в полости рта и не доступен для пальпации. Коронковая часть полуретинированного зуба частично прорезана, однако ее большая часть остается прикрытой тканями десны. С учетом глубины залегания различают ретинированные зубы с тканевым погружением (зуб расположен в тканях десны) и костным погружением (зуб расположен в челюстной кости).
Положение корня и коронки ретинированного зуба в десне или кости может быть:
- вертикальным - ось зуба имеет нормальное положение, совпадающее с вертикальной линией;
- горизонтальным - ось зуба образует с вертикалью прямой угол; при этом положение зуба может быть поперечным, сагиттальным или косым;
- угловым (ангулярным) - ось зуба образует с вертикалью угол, меньше 90°. В зависимости от наклона различают медиально-угловое (с наклоном вперед), дистально-угловое (с наклоном назад), язычно-угловое (с наклоном вовнутрь, в сторону языка) и щечно-угловое (с наклоном кнаружи, в сторону щеки) положение.
Крайне редко встречаются обратные ретинированные зубы (обычно это нижние восьмерки), у которых корни повернуты к альвеолярному краю, а коронка - в сторону тела челюсти. Ретенция зубов может быть односторонней либо двусторонней, симметричной. Ретинированным может оказаться как молочный, так и постоянный зуб.
Симптомы ретенции зубов
Полуретинированный зуб заявляет о себе частичным прорезыванием коронки в каком-либо отделе зубного ряда. В результате постоянного травмирования прилегающей к прорезывающейся части коронки слизистой оболочки, она становится отечной и гиперемированной. При воспалении окружающих тканей десны развивается клиника гингивита или перикоронарита.
Ретинированные зубы часто характеризуются бессимптомным течением и являются случайными рентгенологическими находками. Объективным признаком ретенции зуба служит его отсутствие в альвеолярной дуге. Ретинированный зуб с тканевым погружением может определяться в виде выпячивания десны; в этом случае при пальпации определяются его контуры или отдельные части.
При давлении ретинированного зуба на соседние зубы может возникать их смещение и рассасывание корней; субъективные жалобы включают дискомфорт и болезненность при жевании пищи, открывании рта. В месте соприкосновения ретинированного зуба с прорезавшимся зубом нередко развивается пришеечный кариес, пульпит или хронический верхушечный периодонтит. При раздражении нервных волокон и окончаний возникают боли в области непрорезавшегося зуба, парестезии, обусловленные невралгией или невритом тройничного нерва.
В области ретинированных зубов нередко образуются фолликулярные кисты, которые могут подвергаться нагноению, осложняться гнойным периоститом, околокистозным остеомиелитом челюсти, гнойным гайморитом, абсцессом, флегмоной. Воспалительные осложнения сопровождаются повышением температуры тела, общим недомоганием.
Диагностика
Диагностика полуретинированного зуба незатруднительна: при стоматологическом осмотре над десной выявляется верхушка зуба, контуры зуба определяются при пальпации, коронка обнаруживается при зондировании. Ретинированный зуб может быть достоверно обнаружен только с помощью прицельной рентгенографии или ортопантомографии; в некоторых случаях требуется проведение компьютерной томографии. Полуретинированный зуб с отложениями зубного налета или зубного камня может быть ошибочно принят за корень зуба, пораженный кариесом.

КТ челюстно-лицевой области (3D-реконструкция). Непрорезавшийся ретинированный клык верхней челюсти справа, расположенный под углом в толще альвеолярного отростка.
Лечение ретенции зубов
Решение о тактике в отношении ретинированного зуба должно приниматься взвешенно, исходя из индивидуальной клинической ситуации и рентгенологических данных. Нередко в лечении ретинированных зубов участвуют специалисты различных специализаций - стоматологи-хирурги и ортодонты.
При задержке смены временных зубов и отсутствии физиологической резорбции корней показано их удаление. Если причиной ретенции служат сверхкомплектные зубы, они также подлежат экстракции. В случае развития перикоронарита проводится его хирургическое лечение - иссечение слизистого лоскута («капюшона») в области ретинированного зуба под местной инфильтрационной анестезией.
Хирургическое лечение
- при неправильном расположении (дистопии)
- отсутствии для него места в зубном ряду
- деструкции шейки зуба
- выраженной клинической симптоматике
- развитии осложнений.
Операция удаления ретинированного зуба отличается повышенной травматичностью, поскольку связана с необходимостью отслаивания слизисто-надкостничного лоскута, освобождения зуба от кости при помощи бора и последующего вывихивания щипцами и элеваторами, наложения кетгутовых швов на слизистую оболочку. При обнажении корней соседних зубов требуется обязательная резекция верхушки корня с ретроградным пломбированием. В послеоперационном периоде назначается профилактический прием антибиотиков, антисептические полоскания полости рта. Заживление раны после такого удаления может осложняться альвеолитом
Ортодонтическое лечение
При отсутствии прямых показаний для удаления ретинированного зуба и наличии для него свободного места в зубном ряду первым этапом проводится хирургическое лечение - иссечение десны или части кости, а затем ортодонтическое лечение - перемещение зуба в правильное положение с помощью брекетов или кнопок.
Ретинированный зуб является потенциальным источником серьезных осложнений: образования пародонтальной кисты, развития кариеса, пульпита, периодонтита, язвенного стоматита, перикоронарита, периостита, остеомиелита, абсцесса, флегмоны, гнойного лимфаденита, одонтогенного синусита и др. В связи с этим ретинированные зубы требуют обязательного лечения наиболее подходящим способом. Ретинированные зубы могут использоваться в качестве аутотрансплантатов при восстановлении зубного ряда.
На сегодняшний день методы предотвращения ретенции зубов не известны. Общие принципы профилактики включают контроль за правильным развитием челюстей ребенка, сроками прорезывания зубов, своевременное проведение ортодонтического лечения.
Дистопированные зубы: их опасность, особенности, как это лечат

Неправильное положение зуба в челюсти - достаточно распространенное явление. Если стоматолог наблюдает его у пациента, то человеку ставится диагноз «дистопия зуба». Чаще всего проблему наблюдают у так называемых «зубов мудрости» - третьих моляров, уже ставших атавизмом. Но также проблема может коснуться верхних и нижних резцов, клыков, премоляров.
Дистопированный зуб мудрости: что это?
Дистопированный зуб мудрости - это третий моляр, он же «восьмерка», который расположен неправильно относительно остального зубного ряда. Такой зуб почти всегда подлежит удалению.
Частным случаем дистопированного зуба мудрости является непрорезавшаяся, но полностью сформировавшаяся восьмерка, оказавшаяся повернутой параллельно десне. В этом случае зуб есть, хоть его и не видно, и он находится в некорректном положении, поэтому можно говорить о дистопии.

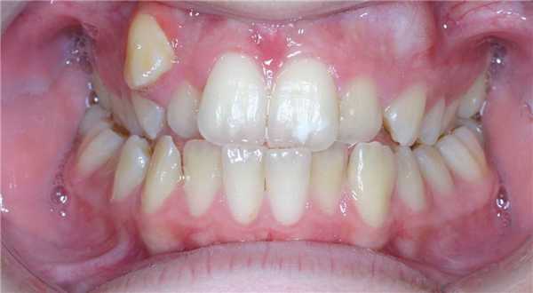
Два примера дистопии зубов
Причины появления дистопированных зубов мудрости
Очень часто дистопия зуба связана с генетическими причинами. Предрасположенность к сдвигу зубных рядов передается по наследству вместе с небольшим размером челюстей и другими моментами индивидуальной внешности, которые могут вызвать смещение зубов. Другими факторами, провоцирующими неправильный рост моляров, резцов и клыков, врачи называют:
- нетипичное формирование зачатка зуба в эмбриональном периоде;
- макродентия, частичная адентия, сверхкомплектные зубы и другие заболевания;
- неправильное прорезывание (может быть спровоцировано ранним удалением молочного прикуса);
- малый размер челюсти;
- механические повреждения, травмы зубного ряда;
- вредные привычки вроде жевания посторонних предметов, сосания пальца (влияют на развитие неправильного прикуса);
- позднее прорезывание клыков, для которых в зубном ряду уже не остается места.
Современная стоматология успешно вылечивает пациента, независимо от причин дистопии зуба и его положения в десне. Главное - вовремя обратиться за помощью.
Виды дистопии зубов мудрости
Дистопия зуба мудрости классифицируется в зависимости от того, в какую сторону сдвинута коронка. Выделяют следующие разновидности заболевания:
- вестибулярная (смещение вперед);
- оральная (нахождение зубов позади всего ряда);
- мезиальная (наклон вперед);
- дистальная (наклон назад);
- с супраположением (выше зубного ряда);
- с инфраположением (ниже зубного ряда);
- с тортопозицией (зуб повернут вокруг своей оси);
- с транспозицией (зуб находится на месте другого зуба).
В наиболее тяжелых случаях можно наблюдать появление зуба вне полости рта: например, внутри носа. Это очень опасно и требует немедленного лечения.
Симптомы дистопии
Симптомы дистопии зубов чаще всего наглядны и легко заметны. Достаточно посмотреть на положение всех элементов зубного ряда, чтобы увидеть, что некоторые из них заняли не свои места или просто растут неровно. Другие симптомы:
- в прикусе отсутствует зуб, причем сроки прорезывания уже прошли;
- на месте зуба мудрости чувствуется воспаление, боли;
- зуб мудрости не появился в положенные сроки
Интересно, что я ряде случаев зуба мудрости нет вообще - он не формируется и не прорезывается. Стоматологи называют такой вариант разновидностью нормы.
Последствия дистопии
Хотя дистопия зуба не кажется страшным заболеванием, она может создать немало проблем. Именно поэтому неправильно выросшие зубы мудрости чаще всего удаляют. Среди наиболее неприятных последствий заболевания:
- нарушение всего зубного ряда, т. к. из-за одного неправильного элемента остальные сдвигаются или не могут корректно прорезаться;
- травмирование тканей щек, языка, губ, что может вызвать появление язв и даже спровоцировать развитие опухолей;
- усложнение гигиены полости рта, что приходит к воспалениям, кариесу, причем как на дистопированном, так и на соседних зубах;
- появление десневых карманов, где скапливаются бактерии, приводя к перикоронариту;
- нарушение жевательной функции, что в свою очередь снижает качество пищи и может привести к ухудшению работы ЖКТ;
- сложности с произношением слов, плохая дикция;
- нарушение лицевого скелета, неэстетичный внешний вид нижней части лица.
Диагностика дистопии
Ортодонт или даже стоматолог-терапевт может легко определить дистопию зуба при обычном осмотре, если аномалия не является сложной. В ряде случаев, когда элемент зубного ряда остается в десне, оказывается в небе или ином месте, во время осмотра можно только заподозрить проблему.
Если врач не нашел какой-то из зубов, который уже должен прорезаться у ребенка (или взрослого, если речь идет о восьмерках), он направляет пациента на рентгеновское исследование. На снимке отлично видны все нарушения и можно увидеть сформированные зубы в мягких тканях. Для уточнения положения и для последующего лечения применяют артопантомографию, создание гипсовых моделей челюстей и делают телерентгенографию.

Дистопированный зуб на рентгене
Когда лучше всего лечить дистопию зубов?
Как и любое стоматологическое нарушение, лечить дистопию нужно сразу же после обнаружения проблемы. Проще всего менять положение зубов в детском и подростковом возрасте (примерно до 18 лет). Это связано со временем формирования костей челюсти. До взрослого возраста кость еще достаточно мягкая, что позволяет легко выравнивать прикус.
Иногда, хотя и редко, для лечения дистопии используются трейнеры. Читайте о них подробнее в статье: Трейнеры для выравнивания зубов: описание, разновидности, советы по использованию
Если речь о коренных дистопированных зубах, то их почти всегда удаляют. Сами по себе третьи моляры считаются атавизмом и необязательным элементом в зубном ряду, к тому же их лечение связано с проблемами и сложностями. Поэтому врачи не пытаются сохранить эти зубы.
Иногда лечение связано не с удалением, а с подтачиванием зуба. Такое решение принимают, если дистопированный элемент не мешает жевательной функции и не нарушает эстетику полости рта. В этом случае рекомендуется постоянно наблюдаться у врача, т. к. такие элементы зубного ряда легко поражаются кариесом. Причем последствия у него намного серьезнее, чем в обычных случаях: неправильное положение зуба стимулирует развитие бактерий, воспаление, осложнения.

Установка брекетов для лечения дистопии клыков
Удаление дистопированного зуба мудрости
Удаление дистопированного зуба мудрости - это достаточно серьезная операция, требующая от врача профессионализма и внимательности. Неправильные действия могут привести к вывиху соседних зубов, нижней челюсти, травме нижнечелюстного канала и другим проблемам. Поэтому очень важно обращаться к опытным специалистам, которые знакомы со спецификой удаления сложных зубов.
Показания к удалению дистопированного зуба
Однозначные показания к удалению:
- обнаружение челюстной кисты;
- травматическая дистопия;
- заболевания челюсти, вызванные данным зубом;
- сложности с лечением кариеса соседних с дистопированным зубов;
- появление пульпита и периодонтита.
Практика такова, что у ребенка решение об удалении принимается с учетом всех этих факторов. У взрослого же человека скорее решают оставлять или не оставлять зуб - удаление считается универсальным решением, наиболее простым и безопасным. К нему прибегают почти во всех случаях.
Этапы удаления дистопированного зуба мудрости
Операцию по удалению проводят в несколько этапов. Соблюдение технологии позволяет обезопасить пациента и упростить проведение операции для врача. Также перед началом работы обязательно проводятся подробные исследования: делается полный рентген челюсти, вылечивается весь доступный кариес и т. д.
Во время удаления зуба хирург выполняет следующие действия:
- Введение анестетика. Это может быть местное обезболивание или общий наркоз, если предстоит удаление нескольких зубов сразу.
- Полное обнажение зуба. Для этого отслаивают лоскут слизистой и надкостницу.
- Отпил стенок с помощью бормашины. Это необходимо, чтобы выровнять элемент и упростить его удаление.
- Выемка зуба. Целый моляр извлекается щипцами. Если зуб был предварительно разрушен, убираются его осколки. Важно, чтобы врач удалил все осколки, иначе возникнет воспаление.
- Нанесение антисептиков для исключения развития заражения раны.
- Возвращение лоскута слизистой на место.
- Нанесение швов.
После того, как рана зашита, операция заканчивается, но лечение - нет. Через неделю нужно обязательно прийти к врачу, чтобы снять швы. Также желательно наблюдаться у специалиста в течение 1-2 месяцев, чтобы убедиться, что у удаления не было последствий.

Удаление дистопированного зуба в картинках
Прогноз дистопии
Появление дистопированного зуба у ребенка - не такая уж серьезная проблема (особенно, если он всего один). До того, как у человека заканчивает расти лицевой скелет, нормализовать положение основных зубов можно достаточно быстро. Поэтому рекомендуется начинать лечение сразу же после обнаружения проблемы. В этом случае все зубки скорее всего встанут на место и в дальнейшем, во взрослом возрасте, уже не будут вызывать опасений.
Будучи вылеченной своевременно, дистопия практически не имеет негативного влияния на дальнейшую жизнь человека. Чаще всего правильный прикус сохраняется на долгое время и не требует наблюдения у врача.
Профилактика дистопии
Стоматологи уверены: если внимательно следить за здоровьем зубов малыша с раннего детства, можно избежать большинства проблем с прикусом. Дистопированные зубы - не исключение, ведь далеко не всегда их появление связано с наследственными факторами. Для профилактики дистопии врачи рекомендуют следующее:
- правильное питание, соблюдение режима дня у беременной мамы;
- предупреждение травм челюсти с раннего возраста;
- регулярное посещение стоматолога, ношение аппаратов для исправления неправильного прикуса;
- отказ от вредных привычек (в том числе отучение от пустышки после года и от сосания пальца во сне) и т. д.
Если вы и ваш ребенок регулярно посещаете врача-стоматолога, то он даст рекомендации, что именно делать в вашем случае.
Выводы. Советы специалиста
Дистопией называют неправильное положение зуба в челюсти: смещение его вперед или назад, вниз или вверх, а также поворот вокруг своей оси или наклон. Появление такой аномалии связано как с наследственными факторами, так и со вредными привычками или механическими повреждениями челюсти. Чем раньше будет обнаружена дистопия, тем проще ее вылечить. У взрослых чаще всего дистопированным оказывается зуб мудрости - третий моляр, т. к. для его прорезывания в челюсти может просто не хватать места.
Последствиями подобных аномалий называют общие нарушения прикуса, частые воспалительные заболевания, нарушение жевательной функции и многое другое. В зависимости от сложности случая, дистопию лечат либо удалением зуба, либо с помощью брекет-систем. Если принято решение об удалении, важно провести операцию аккуратно и корректно. Если лечение начато вовремя, то прогноз у заболевания положительный.
Дистопия зуба
Дистопией в стоматологии - это аномалия зуба, при которой происходит неправильное его положение в зубном ряду, смещение или отклонение. Обычно встречается дистопия зубов мудрости (третьих моляров), верхних и нижних резцов, клыков, а также премоляров.

Причины дистопии зуба
Дистопия зуба может быть вызвана эмбриональными, генетическим или экзогенными факторами.
- Чаще всего дистопия зуба возникает из-за нетипичного формирования зачатков зуба еще в эмбриональном периоде
- Нередко дистопию провоцируют сверхкомплектные зубы, макродентия, частичная адентия или резкая диспропорция размеров постоянных и молочных зубов
- Если постоянные зубы прорезываются неправильно, либо пришлось слишком рано удалить молочный зуб, то тоже возможно возникновение дистопии
- Дистопия нередко встречается у детей, которые унаследовали от одного родителя маленькую челюсть а от второго крупные зубы. Также может быть унаследована сама дистопия
- Дистопия может возникнуть из-за травм, механических повреждений и различных вредных привычек
- Дистопия клыков возникает, если они прорезались слишком поздно, в 9-12 лет, когда в зубном ряду уже нет для них места. То же самое происходит с зубами мудрости
Виды дистопии зубов
В зависимости от того, как именно сместился зуб, выделяется несколько разновидностей дистопии:
- Аномалии в трансверзальной и сагиттальной плоскостях (дистальное, мезиальное, оральное и вестибулярное расположение дистопированного зуба)
- Аномалии в вертикальной плоскости (инфрапозиция или супрапозиции нижних или верхних зубов)
- Транспозиция и тортопозиция
В случае с вестибулярным положением зубы смещаются к преддверию полости рта, то есть наружу от зубного ряда. Оральное положение - это противоположность вестибулярному, то есть зубы уходят в глубину ротовой полости. Мезиальное положение - это смещение зубов вперед, а дистальное - назад.
Супраположение - это расположение зубов выше нормального положения, а инфраположение - наоборот, расположение ниже.
Тортопозиция и транспозиция встречаются намного реже. Первая означает поворот зуба вокруг своей оси, а вторая - перестановка зубов в зубном ряду, то есть когда к примеру клык занимает место премоляра, а премоляр становится на место клыка.

Симптомы и последствия дистопии
Дистопированные зубы обычно причиняют серьезные эстетические неудобства, но их главное негативное влияние заключается в функциональных нарушениях.
В самом запущенном случае зуб может располагаться вообще вне альвеолярного отростка, то есть в ветви или теле челюсти, в твердом нёбе и даже в носовой полости, что приводит к серьезному дискомфорту и проблемам с другими органами
Дистопированный зуб способен определить стоматолог-терапевт или ортодонт в ходе обычного клинического осмотра. Чтобы уточнить положение дистопированных зубов чаще всего применяют артопантомографию, а также изготавливают гипсовые модели челюстей и осуществляют телерентгенографию.
Дистопированный зуб можно обнаружить и самостоятельно, однако точный диагноз способен поставить только врач.

Лечение дистопии
Если дистопированный зуб не является серьезной функциональной или эстетической проблемой, а только хронически травмирует слизистую оболочку полости рта, то зачастую достаточно будет только пришлифовать острые бугры, чтобы они не вредили мягким тканям полости рта.
Если для дистопированного зуба есть место в зубной дуге, то возможно ортодонтическое лечение при помощи брекетов, правда оно обычно затягивается. Также если дистопирован клык, то возможно удаление менее значимого зуба для создания в зубном ряду места для этого клыка, после чего и будет проводиться лечение.
Во всех остальных случаях обычно принимается решение об удалении дистопированного зуба.

Удаление дистопированного зуба
Подобная операция считается достаточно сложной и осуществляется только при наличии показаний. К показаниям к удалению дистопированного зуба относят:
- Наличие челюстной кисты
- Остеомиелит или периостит челюсти
- Травматическая дистопия зуба
- Дистопированный зуб мудрости, осложняющий лечение кариеса седьмых зубов
- Пульпит и периодонтит
При удалении дистопированного зуба возможен вывих соседних зубов, вывих нижней челюсти, травма нижнечелюстного канала и кровотечение из лунки зуба, так что удаление осуществляется только при наличии показаний. Впрочем, эти осложнения возникают в основном из-за врачебных ошибок, так что при обращении к квалифицированному стоматологу опасаться пациенту нечего.
Удаление дистопированного зуба осуществляется в несколько этапов:
- Введение в десну анестетика для обезболивания
- Отслаивание лоскута слизистой и надкостницы для полного обнажения зуба
- Отпиливание дистальной и вестибулярной стенок дистопированног озуба при помощи бормашины
- Извлечение осколков или целого зуба щипцами
- Обработка открытой раны антисептиками
- Возвращение отслоенного лоскута на место
- Наложение на рану швов
- Снятие швов - осуществляется только через неделю после операции
Полное удаление гарантирует, что дистопированный зуб уже никогда не причинит пациенту неудобств. Если удаление особенно сложное, то его рекомендуется осуществлять на стационаре, а иногда даже под наркозом, но обычно это относится к дистопированным зубам мудрости.
Дистопию зуба желательно вылечить до того, как у пациента закончит расти лицевой скелет, то есть до 14-16 лет. Это необходимо для того, чтобы достичь лучших функциональных и эстетических результатов, а также осуществить лечение быстро и нормализовать положение основных зубов.
Чтобы скорректировать дистопию у взрослого без удаления зуба требуется провести целый ряд подготовительных вмешательств и вообще осуществить множество манипуляций. Именно поэтому дистопию у взрослых обычно лечат удалением проблемного зуба.
Для профилактики дистопии у ребенка важно правильно питаться еще во время беременности, следить, чтобы у ребенка не было вредных привычек, а также предупреждать травмы челюсти и регулярно посещать стоматолога с самого раннего возраста.
Удаление ретинированных и дистопированных зубов
Ретинированные и дистопированные зубы - это зубы, которые растут и прорезываются с отклонениями от нормы. Они часто вызывают боль, могут стать причиной нарушения прикуса. В большинстве случаев единственным вариантом лечения оказывается удаление ретинированного, дистопированного зуба.
Что такое дистопия и ретенция
Дистопия - это ситуация, когда зуб полностью прорезывается, но делает это не неправильно, в основном не в том направлении. Зуб может расти не в том месте, например, прорезаться практически в небе или даже в носовой пазухе. А может вылезти на нужном месте, но оказаться отклоненным в сторону, повернутым или выдвинутым вперед. Дистопия - не только эстетический недостаток. Сдвинутый зуб может мешать другим, травмировать мягкие ткани и вызывать неудобство при жевании.

Ретенция - это ситуация, когда зуб не прорезался полностью или частично (он называется полуретинированным). Такое бывает из-за слишком плотных десен, либо если в челюсти уже нет места. Зуб при этом развился, просто он находится в челюсти и не вылез наружу. Ситуация, когда зуба нет даже в зачаточном состоянии - другая проблема и называется она адентией.

Какие зубы подвержены дистопии и ретенции
Ретинированный зуб это зуб, который не в состоянии самостоятельно прорезаться, а значит не может разместиться в положенном месте, поэтому остается внутри кости или располагается под слизистой оболочкой. Чаще всего удаление ретинированного зуба - это удаление зуба мудрости. Кроме того, из-за позднего прорезывания и формирования зачатков эти зубы часто неестественно разворачиваются, то есть становятся еще и дистопированными.
Достаточно часто встречается дистопия клыков. Они прорезываются позже всего, и если места в челюсти остается мало, могут развернуться и выпирать. Это существенно мешает пережевывать пищу и нарушает эстетику улыбки. Ретенция клыков встречается реже, но может возникнуть, если у человека крупные зубы при небольшом размере челюсти.
Другие зубы тоже бывают ретинированными или дистопированными, но это происходит реже.
Диагностика ретенции и дистопии
Довольно часто непрорезавшиеся или дистопированные зубы совершенно никак себя не проявляют и не вызывают дискомфорта. Иногда их обнаруживают только на рентгене, который делается для других целей. Иногда ретинированный зуб вызывает боль и может изменять прикус, но понять, что причина именно в непрорезавшейся восьмерке, удается не всегда.
Дистопированный зуб обычно видно сразу - он выглядит неестественно из-за выпирания или развернутого положения. Мягкие ткани могут травмироваться и воспаляться, вокруг дистопированного зуба появляются язвочки, может даже выделяться гной. Иногда становится неудобно и больно принимать пищу.

Показания к удалению
Удаление ретинированного зуба - серьезная операция. Поэтому если зуб не мешает, то лучше отложить ее - нет смысла травмировать десну просто так. Но если случаи, когда удаление показано:
- отек и покраснения десны;
- болезненность;
- онемение лица из-за того, что зуб давит на нерв;
- изменение прикуса - например, дистопированный зуб давит на соседние;
- развитие остеомиелита или периостита;
- хронический пульпит или периодонтит в непрорезавшемся зубе;
- недостаточно места в челюсти для коррекции прикуса;
- кариес соседней семерки (показание к удалению зуба мудрости).
Если ретинированный зуб пока не слишком вас беспокоит, от удаления следует воздержаться во время беременности, обострения хронических заболеваний, критических дней.
При нарушении прикуса не обязательно удалять дистопированный зуб - можно выдернуть соседний и дать дистопированному вырасти нормально. Так делается, если у пациента дистопия клыков - отсутствие клыка нарушит эстетику улыбки и жевательные функции.
Как проходит удаление
Удаление дистопированного зуба практически не отличается от удаления обычного и проходит по следующей схеме:
- Врач делает местное обезболивание - для полного блокирования боли используются современные средства, например, ультракаин.
- Зуб подцепляется специальными щипцами и выдергивается.
- Лунка обрабатывается антисептиками. Если удалялся коренной зуб, на рану обязательно накладывают швы.
Полуретинированный зуб удаляется также, а вот полностью ретинированный предварительно нужно освободить. Для этого врач надрезает слизистую и при помощи специальных насадок на бормашину выпиливает кость.
Обычно удаление занимает 10-20 минут, если требуется сверлить кость, в кресле стоматолога придется провести до часа.
Если вы боитесь стоматолога или плохо переносите хирургические вмешательства, можно провести удаление ретинированного зуба под наркозом. В состоянии медицинского сна за один раз можно удалить 2-3 ретинированных зуба. Сама операция под наркозом проходит очень легко, в том числе для врача - ему проще получить доступ ко всем уголкам полости рта.
Уход после удаления
Чтобы не спровоцировать осложнений, после удаления нужно обязательно соблюдать следующие рекомендации:
- Обязательно чистите зубы дважды в день, стараясь не задевать область операции в первые 2-3 дня.
- Жуйте пищу только здоровой стороной рта, ешьте больше мягких, жидких и пюреобразных продуктов.
- Если вам не накладывали швы, не полоскайте рот в первые 3-5 дней - в лунке образуется сгусток, который способствует естественному заживлению, и вы можете его выполоскать.
- Чтобы не повредить сгусток, пейте лучше через трубочку.
- Старайтесь на время заживления раны ограничить курение и употребление алкоголя.
- В первые дни для снятия боли принимайте обезболивающие таблетки, прописанные врачом.
- В первую неделю старайтесь не перенапрягаться, избегайте физических нагрузок.
- Если во время операции наложены швы, рот можно с первого дня полоскать антисептиками и травами.
Что будет, если не удалять
Часто ретинированный или дистопированный зуб доставляет определенные неудобства, но люди все равно не торопятся его удалять, например, из-за страха перед стоматологом или ссылаясь на занятость. Особенно часто так делают с восьмерками, так как они не нарушают эстетику улыбки.
Однако ретинированные и дистопированные зубы могут стать причиной серьезных проблем:
- Из-за трудностей в пережевывании пищи могут возникнуть проблемы с пищеварением.
- Может развиться кариес соседних зубов.
- Давление дистопированных зубов может постепенно испортить прикус.
- В процессе пережевывания пищи иногда травмируются щеки и язык.
- Сильная дистопия может вызывать нарушение прикуса.
- Дистопированные и ретинированные зубы сложно чистить от налета, из-за этого во рту скапливается много бактерий, что приводит к воспалению десен.
Профилактика ретенции и дистопии
Полностью предотвратить ретенцию и дистопию невозможно - аномалии в развитии зубов часто закладываются на генетическом уровне. Снизить риск можно, если в детстве контролировать прикус и рост челюстей у ортодонта, вовремя корректировать прикус. Также не рекомендуется удалять молочные зубы раньше времени - на их место могут сдвинуться соседи, из-за чего постоянный зуб просто не сможет прорезаться.
Альтернативы удалению
Ретинированный зуб тоже удалять не обязательно. Можно надрезать десну и кость для того, чтобы он смог прорезаться и занять место в зубном ряду. Иногда эти зубы вообще не трогают, и они остаются с человеком, не причиняя никаких неудобств.
Отзывы об удалении ретинированных зубов
Как правило, пациенты отмечают, что ретинированные зубы доставляют много проблем как до, так и после удаления. Некоторые вынуждены принимать обезболивающие средства в течение одной-двух недель, так как рана после удаления зуба мудрости заживает очень долго. Нередко пациенты отмечают повышение температуры и общую слабость, поэтому следует приготовиться к тому, что после операции вы на некоторое время выпадете из жизни.
Также многие отмечают, что они пока отказались от удаления ретинированного зуба, и он не доставляет им никаких хлопот.
Читайте также:
- Вторичные опухоли глазницы: признаки, гистология, лечение, прогноз
- Максимальная физическая работоспособность. Субмаксимальная нагрузка на физическую нагрузку
- Клетки крови при миелодиспластических синдромах
- Геронтология и гериатрия. Возраст пациента и хирургическая пульмонология
- Этапы рентгенографии. Методика изготовления рентгеновских снимков больного
