Доступ, техника одномыщелкового эндопротезирования коленного сустава
Добавил пользователь Владимир З. Обновлено: 11.12.2025
Одним из наиболее распространенных недугов (от 3-12% взрослых пациентов), связанных с опорно-двигательным аппаратом, является деформирующий остеоартроз, вызывающий дегенерацию и, как следствие, дистрофию поверхностей суставов.
Наиболее результативной методикой лечения, в этом случае, является частичная замена травмированного сустава эндопротезом.
Особенности лечения
Как правило, весь процесс эндопротезирования подразделяется на основных этапа: подготовительный и операционный.
Подготовительный этап
Любой вид хирургического вмешательства, разумеется, является для организма определенным стрессом и может вызвать вполне серьезные осложнения. Именно поэтому врачи проводят предварительное исследование с целью выявления тех или иных противопоказаний, а также определения оптимально подходящих для конкретного пациента анестезионных препаратов и операционной тактики.
Подэтапами подготовки являются:
- обследование в лабораторных условиях: анализы мочи и крови, гастроскопия, рентгеновские исследования, ЭКГ;
- осмотр и подготовка участков кожи, на которых планируется провести операцию. Дело в том, что наличие каких-либо кожных заболеваний является противопоказанием к хирургическому вмешательству, а потому, оперируемую зону необходимо привести в порядок;
- проверка наличия в крови медикаментов, также, в ряде случаев, исключающих проведение процедуры эндопротезирования;
- корректировка веса, позволяющая не только сократить объем хирургических манипуляций, но и существенно уменьшить нагрузку на установленный протез;
- профгигиена (санация) полости рта с целью исключения инфицирования кровотока;
- купирование патологий мочеполовой системы (при наличии таковых).
Операционный этап
Проведение хирургической операции также проводится поэтапно:
- антибактериальная обработка оперируемого участка с покрыванием ее пленкой;
- разрез мягких тканей с последующим обнажением суставной части;
- удаление заменяемых костных и хрящевых частей;
- снятие поверхностных слоев большой берцовой и бедренной костей с последующей шлифовкой опиленной поверхности;
- формирование в костях каналов, в которые помещаются обе части эндопротеза;
- промывка и дренаж раны;
- наложение швов и тугой повязки.
В ряде клинических ситуаций при проведении хирургических манипуляций используется методика виртуальной навигации, обеспечивающей максимальную точность установки протеза.
По окончании операции, продолжительность которой составляет порядка 2 часов, пациент направляется в реанимацию, а затем, при наличии положительной динамики, в общую палату для реабилитации.
Основные отличия одномыщелкового протезирования от тотального
Продолжительный период времени, тотальное эндопротезирование колена (ТЭКС) считалось наиболее эффективным вариантом при лечении остеоартроза. Однако сегодня, с развитием медицинской индустрии, специалистам стал доступен метод одномыщелкового протезирования, имеющий, в отличие от первого, следующие преимущества:
- значительно меньший объем операционных манипуляций;
- быстрый период восстановления и гарантированная возможность возвращения к активному образу жизни;
- минимум дискомфорта и болевых ощущений после установки протеза;
- меньше сложностей при управлении транспортным средством, нежели при тотальном эндопротезировании;
- меньший процент вероятности возникновения ограничений сгибательных процессов конечности;
- доступен более широкий спектр различных сложных движений: выход из общественного транспорта, бег, наклоны и пр.
Показания к одномыщелковому эндопротезированию
Показаниями к установке одномыщелкового эндопротеза являются:
- 2 и 3 степени деформирующий артроз;
- асептический некроз больщой берцовой и мыщелка бедренной костей;
- наличие таких патологий, как подагра, болезнь Бехтерева, ревматоидный артрит, КСВ;
- неправильное сращение костей при некогда полученном переломе.
При этом, у данной хирургической процедуры имеются и противопоказания:
- перенесенные инфарктные состояния;
- некоторые виды деформаций;
- распространенность заболевания на прилегающие участки;
- нестабильность связок;
- тяжелые формы ожирения;
- тромбоз, а также некоторые другие.
Эффективность одномыщелковых протезов

Развитие эндопротезирования, как науки, поспособствовало разработке, а также успешному массовому внедрению и использованию усовершенствованных моделей протезов, способных практически в полной мере компенсировать настоящий коленный сустав.
К основным преимуществам таких протезов можно отнести:
- высокую биоинертность, исключающую проявление аутоимунных реакций за счет использования при производстве конструкции особых материалов;
- повышенную анатомическую идентичность, детально повторяющую структуру сустава;
- идеальное скольжение компонентов протеза;
- прочность и долговечность;
- наличие широчайшей амплитуды движений (функциональность).
Лучшие современные производители эндопротезов
На сегодняшний момент существует несколько ведущих производителей эндопротезов:
Zimmer
Zimmer является крупнейшим поставщиком исходников для ортопедических изделий и эндопротезов:
Zimmer Hihg-Flex. Импланты этой серии, применяемые при одномыщелковом протезировании, способны эффективно выполнять свою функцию в течение порядка 10 лет.
Zimmer Gender Solutions Patello-Femoral Joint. Импланты, актуальные при проведении малоинвазивных хирургических процедур при устранении последствии артроза деформирующего типа.
Biomet
Biomet также является ведущей компанией-производителем стоматологической и ортопедической продукции, пользующейся высоким спросом в медицинской отрасли:
Vanguard. Серия коленных имплантов-протезов тотального типа с бесцементной установкой.
Oxford. Эндопротезы с повышенной надежностью и износостойкостью;
Aesculap
Aesculap - немецкий бренд, специализирующийся на производстве высококачественных эндопротезов.
Минусы частичной замены сустава
Важно отметить, что помимо очевидных и подтвержденных многолетней практикой преимуществ, у частичной замены сустава имеются 2 недостатка:
- ограниченный период эксплуатации конструкции;
- нормальная работа связочного аппарата.
Дело в том, что при ведении более-менее активного образа жизни, эксплуатационный период эндопротеза может составлять порядка 10-15 лет, а в ряде случаев - 20 лет.
Продолжительность восстановления
Малоинвазивность хирургической операции гарантирует пациентам достаточно быструю реабилитацию, а также возврат к нормальному и, в том числе активному образу жизни уже спустя 2,5-3 месяца после установки эндопротеза.
Эндопротезирование у спортсменов
Поскольку спортивные травмы весьма и весьма распространенное явление, вопрос об эндопротезировании у спортсменов стоит очень остро.
В отличие от тотального, одномыщелковое эндопротезирование позволяет сохранить суставной хрящ, ПКС и ЗКС, а также пателлофеморальный сустав, что обеспечивает высокую вероятность возврата к спортивным занятиям. Разумеется, пациенту все же придется исключить такие интенсивные виды спорта, как хоккей, баскетбол, бег и пр, но, в целом, их можно заменить на езду на велосипеде, плавание и т.д.
Для спортсменов важно найти квалифицированного и опытного хирурга, способного наиболее точно подобрать оптимально соответствующий его анатомическим особенностям эндопротез. Это позволит сохранить изначальный спектр движений, а также существенно продлит эксплуатационный период замененного сустава.
Стоимость услуг
Первичная консультация специалиста
- Изучение истории болезни, ознакомление с жалобами пациента
- Проведение осмотра
- Симптоматика заболевания
- Сбор и расшифровка анализов крови, рентгенограмм, МРТ, КТ
- Постановка диагноза
- Выбор лечебной методики
- Исследование анализов, назначенных на первичной консультации
- Определение точного диагноза
- Назначение выбранной методики лечения
Одномыщелковое эндопротезирование коленного сустава
- Нахождение в стационаре
- Эпидуральные анестезионные препараты
- Проведение операции
- Операционные материалы
- Имплантаты (пуговицы и рассасывающиеся винты) импортного производства
Послеоперационный прием специалиста
- Послеоперационный клинический осмотр
- Ознакомление с послеоперационными данными рентгенограмм, МРТ, КТ
- Консультации по реабилитации
- Пункция
- Инъекция препарата гиалуроновой кислоты в сустав (в случае необходимости)
- Снятие швов
Отзывы о враче
Меня зовут Воробьева Елена. В августе 2021 Денис Сергеевич сделал мне операцию по замене тазобедренного сустава. В феврале 2022 года я пришла на очередной осмотр. Доктор сказал, что у меня все абсолютно .
Обратился к Денису Сергеевичу на консультацию по поводу проведения эндопротезирования коленного сустава. Ранее в той же клинике был поставлен диагноз гонартроз с рекомендацией оперироваться. Доктор .
У бабушки (91 год) был сложный перелом плеча со смещением. Никто не брался ей помочь, а в больницу с ковидом отправлять бабушку было страшно. Несколько врачей сказали, что ничем помочь не могут. От .
Мне, Митрополевский Татьяне Валентиновне, 1949 г. Рождения, была выполнена операция тотального цементного эндопротезирования левого тазобедренного сустава. Первая аналогичная операция на правом суставе .
Проживаю в Ростовской области. Последние два года очень беспокоила боль в тазобедренном суставе, уже ничего не помогало, и я решилась на эндопротезирование. По совету ростовского хирурга обратилась .
Больше года ежеминутно я чувствовала мигрирующую боль в области таза, боль усиливалась после сидения и лежания на боку. Прошла весь путь врачей от гинекологии, урологии, проктологии, неврологии и тому .
Обратилась к врачу с сильнейшей болью в тазобедренного суставе, практически не могла ходить. Денис Сергеевич внимательно осмотрел, назначил обследование, по результатам которого провел манипуляции .
Якушев Денис Сергеевич - травматолог-ортопед, но ещё и врач и человек с большой буквы. В 2016 году доктор Якушев Д.С. прооперировал тазобедренный сустав справа у моей мамы. Операция была экстренная .
Очень понравилось всё! Врач подробно рассказал обо всем, объяснил ситуацию. Понятно и доступно! Внимательность, профессионализм! Приятно было пообщаться. Специалиста рекомендую на все 100%!
Хочу сказать большое спасибо Якушеву Денису Сергеевичу! Обратился к нему с отрывом сухожилия бицепса. Диагноз был поставлен очень оперативно и сразу назначена плановая операция. Операцию сделали по .
Мне понравился весь мед персонал, а главное, мой лечащий врач - Якушев Денис Сергеевич. Этот человек на своем месте. Я живу в ростовской обл., хорошие люди дали номер телефона Денис Сергеевич, созвонились .
Хотим выразить огромную благодарность Якушеву Денису Сергеевичу! Спасибо Вам большое за Ваш профессионализм и внимательность, за теплое, доброжелательное отношение к нам и желание помочь! Пациенту .
С 2011 года у моей свекрови (сейчас ей 70 лет) появились сильнейшие боли в правой ноге в области бедра и колена. Мы с мужем неоднократно ее записывали к различным травматологам-ортопедам и неврологам .
Народ! Спешу сообщить, что наша медицина жива, пока у неё есть такие доктора, как Якушев Денис Сергеевич - Травматолог-ортопед, не ошиблась, именно с большой буквы. 28.01.2020 доктор Якушев Д.С.
В январе 2020 г. мужу сделали операцию по замене правого тазобедренного сустава в ФНКЦ МФБА России. Оперировал травматолог-ортопед Якушев Денис Сергеевич. Операция прошла прекрасно, всего за 1 ч. 10 .
Однополюсное, частичное, одномыщелковое эндопротезирование коленного сустава: преимущества и недостатки
Деформирующий остеоартроз — одно из ведущих заболеваний опорно-двигательного аппарата. Он проявляется дегенеративно-дистрофическими изменениями суставных поверхностей. Частота встречаемости составляет от 3 до 12% среди взрослого населения. В этом показателе на первом месте стоит поражение тазобедренного сустава, а на втором - коленного.

Если сустав поражен указанным на изображении образом, то возможна его частичная замена.
Основной метод лечения - постановка эндопротеза вместо поврежденного сустава. Раньше выполнялось преимущественно тотальное эндопротезирование коленного сустава, однако сейчас активно развивается другое направление - одномыщелковое (частичное) эндопротезирование.

Имплант на рентгене.
Описание процесса лечения
Лечение проводится в два этапа: подготовительный и операционный. Подготовительный этап имеет особую важность: хирургическое вмешательство всегда стресс для организма. Во время этого этапа проводится полное сканирование организма с целью предупреждения возможных осложнений:
- Лабораторное и инструментальное обследование (анализ крови, мочи, ЭКГ, флюорография, гастроскопия).
- Подготовка кожных покровов. Перед операцией не должно быть инфекционных заболеваний или повреждений в оперируемой зоне. При наличии ран или воспаленных участков необходимо проконсультироваться с лечащим врачом.
- Лекарства. Если пациент регулярно принимает медикаменты — стоит об этом сообщить. Врач определит, какие из них стоит исключить перед операцией.
- Коррекция массы тела. Это поможет снизить нагрузку на новый протез и объем хирургического вмешательства.
- Санация ротовой полости. Хоть и риск заражения невелик, но инфекционные осложнения могут случиться, если бактерии попадут в системный кровоток.
- Урологическая подготовка. Решается вопрос о купировании острых и хронических заболеваний мочеполовой системы. К примеру, для пожилых больных с болезнями предстательной железы применяется специальная методика проведения операции.
Сама операция выполняется с определенной этапностью:
- Сначала делается антисептическая обработка области сустава, затем нога покрывается пленкой.
- Хирург делает небольшой (до 10 см) разрез мягких тканей через переднюю поверхность и аккуратно обнажает поврежденный сустав.
- Удаляют патологические хрящевые и костные зоны.
- Затем структурные компоненты выстраиваются по оси, снимаются верхние слои бедренных и большеберцовых костей, опиленные компоненты подвергаются шлифовке.
- В большеберцовой кости делается небольшой канал, куда устанавливается задняя втулка протеза.
- На бедренную кость устанавливается другая часть протеза, сходная со структурой удаленной части кости бедра.
- В конце операции рану промывают, делается гемостаз, проводится дренаж раны. Разрез ушивается при помощи узлового шва. Завершается процесс наложением тугой стерильной повязки на прооперированную область.
В отдельных случаях применяется метод компьютерной навигации, позволяющий устанавливать компоненты эндопротеза с высокой точностью, делать балансировку связок сустава, выполнение которой сомнительно при использовании простого инструментария.
Длительность операции не превышает двух часов. Сначала больного отправляют в реанимационное отделение, где пристально следят за жизненноважными показателями организма. Через некоторое время пациента переводят в общую палату, где начинаются реабилитационные мероприятия.

Видео операции
Отличия от тотального эндопротезирования
Длительное время ТЭКС (тотальное протезирование коленного сустава) признавался ведущим методом при лечении остеоартроза. Какие же преимущества имеет одномыщелковое эндопротезирование:
- Гораздо меньший объем хирургического вмешательства;
- Быстрый восстановительный период (уже через несколько месяцев пациент может возвращаться к своим повседневным физическим нагрузкам);
- Менее выражен болевой синдром (как в покое, так и при интенсивной физической нагрузке);
- После частичного эндопротезирования люди вдвое реже жалуются на трудности при использовании автомобиля, чем после тотального;
- Вдвое меньше случаев ограничения сгибания в коленном суставе и контрактур;
- Гораздо чаще людям с частичным эндопротезом доступно положение сидя на корточках, посадка и выход из автотранспорта, наклон и подъем предметов с пола, бег.
Целый ряд неоспоримых и важных преимуществ однополюсного протезирования. Большинство зарубежных коллег подчеркивают у себя схожесть приведенных результатов.

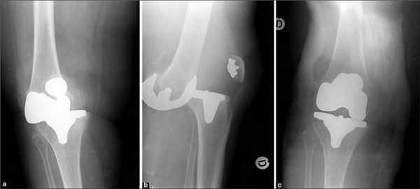
Сравнение двух типов операций.
Показания для частичного эндопротезирования
- деформирующий артроз II-III степени, с преимущественным поражением одного сегмента коленного сустава;
- при изолированном асептическом некрозе мыщелка бедренной или большеберцовой кости голени;
- аутоиммунные заболевания, при которых наблюдаются ДДИ суставных тканей - болезнь Бехтерева, СКР (системная красная волчанка), подагра, ревматоидный артрит;
- неудачно сросшийся перелом.
Как и во всем, у частичного эндопротезирования регистрируются и неудачные исходы, на основании которых были сформулированы противопоказания:
- Нестабильность связочного аппарата;
- Умеренная и выраженная сгибательная и разгибательная контрактура;
- Фиксированная фронтальная деформация;
- Распространенность патологического процесса на соседние участки;
- При аутоиммунных заболеваниях;
- Недавно перенесенные операции;
- Инфаркт миокарда;
- Тромбоз нижних конечностей;
- Тяжелое ожирение.
Одномыщелковые — частичные эндопротезы
Направление эндопротезирования длительное временя активно развивалось. Сейчас современные протезы соответствуют всем базовым требованиям. Они способны стать полноценной заменой коленному суставу.

Как это выглядит после операции.
Основные требования к качественному эндопротезу:
- Биосовместимость. Компоненты, из которых создается имплант, должны быть гипоаллегренными и не вызывать реакции «отторжения» (когда организм отвергает имплант, вызывая аутоиммунную агрессию).
- Анатомичность. Протез обязан подходить по размеру и в точности повторять особенности костной структуры сустава.
- Соответствие характеристик. Материалы должны быть прочными и выдерживать привычные для сустава нагрузки. Гладкость поверхностей протеза обеспечивает достаточно легкое скольжение компонентов.
- Функциональность. Качественно выполненный протез должен обеспечить хорошую амплитуду движений, не ограничивая подвижность колена.
- Сохранение формы и высокая износостойкость. Эндопротез не должен стираться или терять форму, обеспечивая при этом носителя хорошим качеством жизни на 15-20 лет вперед.
Zimmer
Крупный представитель по поставке материалов для ортопедической продукции. В частности эндопротезов.
Zimmer Hihg-Flex. Имплант предназначен для одномыщелкового эндопротезирования коленного сустава. Постановка подобного импланта в 98% случаев гарантирует высокое качество жизни в последующие 10 лет.

Zimmer Gender Solutions Patello-Femoral Joint. Используется в малоинвазивных вмешательствах при хирургическом лечении деформирующего остеоартроза.

Zimmer Gender Solutions
Biomet
Еще одна крупная компания. Ее производство акцентировано на ортопедическую, травматологическую, стоматологическую и спортивную отрасли.
Vanguard. Представляет собой тотальный коленный протез с бесцементным типом фиксации. Вставка импланта пропитана витамином Е.

Oxford. Эндопротез обладает повышенной прочностью и износостойкостью.

Oxford Knee Biomet.
Aesculap
Компания из Германии, существующая с 1967 года, имеет в своей широкой линии продукции ряд эндопротезов.

Aesculap partial knee.
Также можно выделять другие компании-производители: Johnson&Johnson (с его DePuy Synthes), Stryker (Scorpio NRG).
Недостатки частичной замены
Как бы то ни было, частичное эндопротезирование имеет два существенных недостатка: недолговечность протеза и необходимость нормального функционирования связочного аппарата. У людей с малоподвижным образом жизни сустав продержится максимум 7-10 лет, дальше требуется вторичное хирургическое вмешательство.
Люди, придерживающиеся правильного образа жизни, могут рассчитывать на 15, а то и 20 лет беспечной жизни. Протезы компании Zimmer в 98% случаев гарантируют стабильность в течение 10 лет, в 80% — 15 лет, а в 70% случаях протез продержится 20 лет.
Biomet может удивить выживаемостью своих протезов в 98% случаев и гарантировать срок жизни импланта до 20 лет.
Как долго восстанавливаться
Малоинвазивность процедуры обеспечивает быструю реабилитацию. Уже через 2,5-3 месяца реабилитационных мероприятий, можно гарантировать полноценное возвращение к жизни.

Шов при таких операциях как правило в два раза меньше чем при тотальной замене.
Особенности у спортсменов
В любом спорте неизбежны травмы. Насколько сильно может сказаться подобная операция на дальнейшей карьере спортсмена? В любом случае, лучше тотального эндопротезирования. Преимуществом частичного протезирования является сохранность пателлофеморального сустава, передней и задней крестообразных связок, менисков, суставного хряща. Тогда в меньшей мере страдает кинематика и проприоцепция сустава.
По данным исследований, после такой операции к предоперационному уровню спортивных и физических нагрузок возвращается достоверно больше пациентов. Конечно, придется отказаться от тех видов спорта, где приходятся большие нагрузки на коленный сустав (бег, футбол, баскетбол, хоккей и многие другие). Лучшими вариантами на время реабилитации становятся плавание, ходьба, езда на велосипеде.
В ретроспективном анализе сравнивали, сколько людей вернулось в любительский спорт после ТЭКС (65% от общего числа) и одномыщелкового эндопротезирования (93%). К тому же, после полной замены сустава люди были склонны выбирать вид спорта со сниженной физической активностью (в 91% случаев - боулинг).
Необходимый и важный этап для спортсменов — выбор квалифицированного хирурга, который подберет протез, максимально приближенный к анатомическим особенностям индивида. Это позволит в максимальной степени вернуть объем привычных движений, увеличит прочность и износостойкость сустава.
Эндопротезирование коленного сустава - шанс восстановить функции конечности
Хронические суставные патологии практически не поддаются лечению, более того, они прогрессируют не оставляя человеку права на здоровое существование. Эндопротезирование коленного сустава - операций, суть которой состоит в его замене искусственным имплантом.

Сравнение здорового коленного сустава(слева) и полностью разрушенного(справа).
Хрящ, покрывающий концы суставных костей, невозможно восстановить, если он серьезно разрушен. Внутрисуставные уколы плазмы или гиалурона, бесполезная трата денег, нервов и времени.

Это видит хирург во время операции, обратите внимание на неравномерность, а местами отсутствие хрящевой оболочки.

Упрощенная схема установки импланта.
Единственная тактика лечения, которая дает результаты - эндопротезирование. Индустрия выпускает модернизированные имплантаты под требования любого пациента. Искусственные конструкции создаются из биосовместимых материалов, представленных керамикой, инновационными сплавами металлов и высокомолекулярным полиэтиленом, которые не оказывают токсического, аллергического и канцерогенного воздействия на окружающие структуры.
Вступление
Пораженный сустав обследуют высокоинформативными средствами визуальной диагностики, больного направляют на прохождение лабораторных анализов, осмотр у врачей узкой специализации.Далее принимается решение о:
- способом имплантации (тотальный или частичный);
- из какого материала лучше поставить протез;
- фиксация — цементная, бесцементная или гибридная;
- тип анестезии.

Чаще всего анестезия используется спинальная.
Метод протезирования колена успешно практикуют ведущие клиники эндопротезирования коленного сустава федеральные медцентры России, Украины и других государств постсоветского пространства.
Быстро пройти высокотехнологичную процедуру по квоте не всегда возможно, потребуется еще дождаться своей очереди, а на это может уйти 3-6 месяцев, иногда 12 месяцев.
В послеоперационный период колено требует больше времени на восстановление в отличие от бедра. Связано это с тем, что операция в техническом плане сложнее. Послеоперационный шов находится как раз в месте сильного растяжения кожи, что так же осложняет процесс восстановления, ведь нужно активно работать на сгибание-разгибание конечности.
Показания к операции
Примерно каждому десятому пациенту, страдающему патологией колена, требуется эндопротезирование. Причиной критических нарушений выступают следующие заболевания:
- этиологии и подагра;
- деформирующий артроз; ;
- внутрисуставные или околосуставные инфекции;
- травматические поражения; ;
- нарушение гормонального фона.
Хирургическая процедура показана, если обнаружены следующие изменения патологического характера:
- яркая болезненная симптоматика и серьезные двигательные расстройства, при которых консервативные способы и малоинвазивная хирургия не помогают или уже не имеют смысла;
- гонартроз в тяжелом проявлении;
- системная артритная болезнь;
- аваскулярный некроз суставных костей;
- локальные новообразования;
- врожденная и приобретенная дисплазия;
- неправильно сросшиеся переломы;
- посттравматические дегенерации.

Динамика болезни на рентгене.
Откладывать хирургию при гонартрозах 3-4 степени чревато деформацией позвоночника. Это происходит из-за хромоты. Дегенеративные процессы артроза глубоко затронут кости, из-за чего они приобретут хрупкость, потеряют плотность и зафиксировать к ним компоненты импланта станет сложно.
Противопоказания
Разрешается проводить даже в преклонном возрасте. Но при наличии любых патологий в стадии декомпенсации, например, сахарного диабета или гипертонии, хирургия будет отменена. Любые инфекционные воспалительные очаги в организме до запланированной процедуры должны быть ликвидированы полностью. Общий список противопоказаний:
- декомпенсированные хронические болезни;
- локальные и общие инфекции, воспалительные процессы;
- анемия 2-3 ст., низкая свертываемость крови;
- тяжелые психические нарушения;
- неконтролируемый диабет;
- туберкулез кости;
- паралич конечности;
- тромбоз глубоких вен ног.
Иногда требуется провести коррекцию веса, если индекс массы тела слишком высок, это опасно травмами и смещением импланта. Инвалидность после лечения не предусмотрена.
Подготовка к операции

Самый распространенный тип импланта коленного сустава.
Диагностика не ограничивается осмотром только лишь больной конечности, обследованию подлежат обе ноги. В этих целях рекомендуется прохождение:
- рентгенографии;
- ультразвукового исследования (УЗИ);
- магниторезонансной томографии (МРТ); (не всегда).

Платформа импланта прослужившая пациенту 16 лет. Хороший результат.
Осуществляется обход узкоспециализированных врачей (кардиолога, терапевта, иммунолога, анестезиолога, ЛОРа, стоматолога), сдача общеклинических анализов, исследование органов и систем организма. Стандартная диагностика включает:
- общий и биохимический анализы крови;
- коагулограмму;
- общий анализ мочи;
- определение уровня сахара в крови;
- тест на группу крови и резус-фактор;
- ультразвуковую допплерографию вен конечностей (УЗДГ);
- электрокардиограмму (ЭКГ);
- фиброгастродуоденоскопию (ФГДС);
- флюорографию органов дыхания.
Также будет произведен забор крови для переливания.
В клиниках эндопротезирования коленного сустава подготовка начинается примерно за 2 недели до предстоящего сеанса. Обязательно рекомендуется лечебная физкультура. Она поможет подготовить мышечный комплекс к реабилитации, посодействует его укреплению. Особенно при предполагаемой хирургии обоих коленных суставов.
Типы протезов и связанные с ними методики
Вы уже знаете, что бывает полное и частичное эндопротезирование коленного сустава, где в первом случае лечение подразумевает полноценную замену суставных поверхностей, а во втором - имплантацию поврежденного участка одного из мыщелков. Соответственно, протезы классифицируются на тотальные, одномыщелковые и ревизионные для замены импланта.
- После постановки однополюсной системы максимально сохраняется собственный костно-хрящевой сегмент и не затрагиваются связки, кстати, они должны быть в хорошем состоянии.

Одномыщелковая замена сустава на рентгене.

С каждой последующей операции статистика успешности ниже. Импланты при этом становятся все более громоздкими.
Одномыщелковое протезирование подразумевает срок службы небиологического устройства максимум 7 лет. Тотальное замещение предусматривает время службы вживленного механизма от 15 лет. Ревизионное переносится сложнее, а риск инфекции и других негативных явлений почти в 2 раза выше, чем после первичной операции.
Жидкое протезирование коленного сустава
Важно еще вкратце дать информацию о жидком протезировании коленных суставов. Это инъекционные препараты гиалуроната натрия, которые служат для восполнения синовиальной жидкости. Жидкое протезирование коленного сустава производится путем введения через шприц раствора гиалуроновой кислоты во внутрисуставное пространство. Подобная лечебная тактика не восстанавливает разрушенный гиалиновый хрящ, но способствуют временному снижению признаков остеоартроза (сокращает тугоподвижность и боль) за счет улучшения смазочных свойств натурального сочленения. Оно применимо в качестве симптоматической терапии при артрозе, но настоящему эндопротезированию не является альтернативой.

Никакие уколы артрозы не лечат!
Описание хирургического процесса
Вид анестезии определяется врачом-анестезиологом. Что значит общий наркоз, думаем, знают все. А по поводу второй разновидности, скорее, не каждый понимает суть и принцип действия обезболивания, внесем ясность.
Эпидуральный наркоз - это один видов регионарной анестезии, смысл которого в подаче в перидуральное пространство позвоночника (в области поясницы) через катетер специального состава, блокирующего передачу импульсов от нервных сплетений спинного мозга. Нижняя часть тела становится нечувствительной. Человек совершенно не ощущает никакой боли, но остается в сознании. Не исключено, что анестезиолог дополнительно подключит внутривенную систему, подающую эффективный седативный препарат, чтобы снять нервное напряжение или погрузить в глубокий медикаментозный сон.

Чем легче наркоз, тем проще всем, пациенту, травматологу и анестезиологу.
Когда анестетик «заработает», начинается тотальное протезирование коленного сустава.
- Доступ к суставу осуществляется с передней стороны колена путем рассечения мягких тканей, обходя надколенник. Разрез небольшой, он равен примерно 12-14 см.
- Аккуратно высвобождается из анатомического пространства.
- Поскольку конструкция для тотального протезирования коленного сустава имеет сложную геометрию, для ее правильной посадки хирург выполняет несколько высокоточных опилов бедренной и большеберцовой костей.
- После ставится «болванка» разных размеров для подборки лучшего.
- Убедившись, что кости подготовлены правильно, специалист приступает к установке постоянных деталей протеза на свое окончательное место.
- В конце проводится промывание антисептической жидкостью площади, в пределах которой выполнялись операционные действия. Потом в рану вставляют временную дренажную систему для оттока раневого отделяемого, разрез ушивается и покрывается стерильной повязкой.

Пациент лежит на операционном столе, нога забинтована, сейчас начнется операция.
После выписки из стационара следует оформиться в лечебно-реабилитационный центр. В таких медучреждениях оказывают высококомпетентную помощь после тотального цементного эндопротезирования коленных суставов или бесцементного, частичного протезирования и ревизионного вмешательства.
Неблагоприятные реакции

От работы реабилитологов зависит не меньше, чем от работы хирурга.
Больной обязан быть под пристальным наблюдением методистов-реабилитологов в послеоперационный период, исполнять все их требования, касающиеся физических упражнений и посещения физиотерапевтических процедур, а также в установленные сроки приходить на плановый осмотр к основному лечащему врачу. Только в таком случае к концу 3-го месяца можно рассчитывать на благополучный исход.

По состоянию шва можно судить о процессах заживления внутри сустава. Вы видите спокойный, хорошо заживающий шов

Через 6 месяцев он будет выглядеть как на фото
К возможным интраоперационным последствиям относят кровотечение, что происходит в единичных случаях. Значительные кровопотери оперативно восполняются донорским запасом крови, заготовленным еще до операции. Инфицирование и аллергический ответ на анестезию тоже маловероятны, если установка проходит с соблюдением всех норм. В течение первого месяца после состоявшейся артропластики встречаются следующие осложнения (вероятность невелика, но присутствует):
- ; в венозном русле конечности;
- тромбоэмболия;
- жировая эмболия;
- расхождение швов и открытие раны;
- вывих протеза, смещение надколенника;
- нарушение чувствительности в зоне колена;
- повышение местной и общей температуры вследствие локального воспаления или попадания инфекции.
Патологические реакции, которые развиваются в отдаленный период (по прошествии 4 недель и позже):
- расшатывание, смещение, нестабильность искусственных компонентов; , в которую он вставлен;
- образование грубых наростов, рубцов вокруг устройства;
- суставно-мышечная контрактура;
- хронические боли; .

Травмы опасны для людей перенесших такую операцию, поэтому берегите себя как минимум первое время, пока нога не окрепла достаточно.
Одномыщелковое эндопротезирование коленного сустава
Центр Травматологии и Ортопедии Главного военного клинического госпиталя им. Н.Н. Бурденко на протяжении 300 лет хранит традиции героев военной медицины предыдущих поколений. Всё это позволяет центру сохранять статус крупнейшего многопрофильного медицинского учреждения в нашей стране с большим научным потенциалом и высоким уровнем профессионализма каждого из специалистов.
В Центре Травматологии и Ортопедии трудятся врачи высшей категории. Все они являются заслуженными деятелями здравоохранения России и членами международных медицинских обществ. Кроме того, здесь работают 2 доктора медицинских наук и 6 кандидатов. Каждый из экспертов имеет значительный опыт оказания специализированной медицинской помощи пострадавшим, раненым и больным в военно-полевых условиях, а также рядовым гражданам Российской Федерации.
В Центре созданы все условия для проведения своевременной и специализированной помощи пациентам с заболеваниями опорно-двигательного аппарата. Благодаря высокотехнологичному оснащению здесь проводится точная диагностика заболеваний, лечение и реабилитация.
Поскольку госпиталь - это один из головных учреждений Министерства обороны, в нем наблюдаются больные с самой сложной патологией, требующей выполнения операций по замене суставов. Специалисты Центра Травматологии и Ортопедии им. Н.Н. Бурденко имеют значительный опыт лечения пациентов с тяжелыми поражениями суставов, позволяющими поставить больных на ноги даже в самых безнадежных случаях, например, при гонартрозе.
Гонартроз - это тяжелое заболевание коленного сустава, при котором разрушается суставной хрящ, появляются боли и ограничения движений. Консервативное лечение, как правило, малоэффективно и позволяет лишь незначительно уменьшить боль, не влияя на сам патологический процесс.
В некоторых случаях возможен малотравматичный и малоинвазивный вариант лечения - одномыщелковое эндопротезирование коленного сустава. Он подразумевает замену не всего сустава на эндопротез, а его наиболее изношенной части.
Для одномыщелкового эндопротезирования применяются эндопротезы небольших размеров.
Одномыщелковое эндопротезирование показано при изолированных поражениях наружного или внутреннего отделов коленного сустава.
Преимуществами малоинвазивной операции является небольшая травматичность, а также более быстрое восстановление функции. Продолжительность операции по замене одного из мыщелков меньше, чем при тотальном эндопротезировании коленного сустава и составляет порядка 30-40 минут. Это позволяет быстрее реабилитироваться.
Операция одномыщелкового эндопротезирования проходит следующим образом:
Врач осуществляет хирургический доступ небольших размеров к коленному суставу. Удаляет изношенные суставные поверхности одного из мыщелков. При помощи специального костного цемента к бедренной и большеберцовой костям фиксирует компоненты эндопротеза. Ушивает рану.
Реабилитационный период после данной операции составляет 3-4 недели. А пациенты активизируются уже на следующий день: встают и ходят по палате при помощи костылей.
Практика показывает, что в целом восстановление после малоинвазивной операции одномыщелкового эндопротезирования протекает гораздо легче, чем после тотального эндопротезирования коленного сустава.
Данная процедура выполняется в Центре Травматологии и Ортопедии ГВКГ им. Н.Н. Бурденко в течение последних 5 лет. В своей работе врачи применяют качественные эндопротезы фирмы Zimmer Biomet. Широкий ассортимент имплантатов дает возможность подобрать эндопротез с учетом возраста пациента, его физической активности, а также характера и тяжести заболевания или травмы. Современное и высококачественное оборудование Zimmer Biomet позволяет получить отличные результаты операций и поставить на ноги даже самых тяжелых больных.
Для более получения более подробной информации Вы можете записаться на консультацию к специалистам Центра травматологии и ортопедии.
Сотрудничество врачей Центра Травматологии и Ортопедии «Новой Медицины» и «ТелеМед» открывает для пациентов с поражением опорно-двигательного аппарата новые возможности качественной реабилитации, с использованием профессионального высокотехнологичного реабилитационного оборудования.
Новая медицина - это современный подход с использованием инновационных технологий в области медицины. Компания предлагает уникальные услуги по реабилитации на дому, в том числе с использованием телемедицины, аренду высокотехнологического, «умного» реабилитационного оборудования и оказание профессионального ухода за тяжелобольными, маломобильными и пожилыми людьми. Компания объединила лучших специалистов и производителей медицинского оборудования.
ТелеМЕД - это сервис для удаленных консультаций с самыми разными врачами. Он позволяет в любой момент, 24 часа в сутки, когда возникает вопрос о здоровье (вашем или ваших близких) сразу же обратиться к врачу и получить совет и четкий алгоритм действий. По телефону или через интернет, как вам удобней. Это не заменит похода к врачу, но сделает быстрее и легче ваш путь к выздоровлению.
Отзывы о нас
Волкова Светлана Юрьевна
Обратилась за консультацией к Дарье Александровне Найда в октябре 2018г, по поводу боли в колене и приговором хирурга районной поликлиники, что я инвалид, сустав разрушен, с активностью покончено. По результатам консультации Дарьи Александровны: 1. Колено прооперировано (артроскопия мениска коленного сустава) - успешно. 2. Реабилитация - успешно. 3. Моя активность восстановлена! (горные лыжи, горный велосипед (эндуро) - Успешно! Огромная благодарность за профессионализм, за "погружение в жизнь пациента" и за понимание, за внимательное отношение! Доктор от Бога! Рекомендую!
Шевцова Юлия Владимировна
Выражаю огромную благодарность всему коллективу 3 отделения экстренной травматологии от младшего персонала до заведующего отделением. 25.07.2022 мне была проведена операция (перелом 2 лодыжек) зав. отделением Тюлькевич Борисом Владимировичем и Нелиным Максимом Николаевичем. Огромное им человеческое СПАСИБО, анестезиологу Сергею Владимировичу, перевязочному мед брату Данечке, Анечке, Никите, Саше и всему персоналу отделения за их чуткость, человечность, отзывчивость. Здесь работают настоящие профессионалы своего дела. Низкий Вам поклон, всегда Ваша Шевцова Юлия.
После операции по поводу разрыва передней крестообразной связки и мениска коленного сустава, спустя 2 месяца с уверенностью могу заявить, что операция проведена успешно и восстановление прошло без каких-либо осложнений. От всей души хочу выразить искреннюю благодарность лечащему врачу Найде Дарье Александровне, за её высочайший профессионализм. Именно таких, как Вы люди и называют - ВРАЧ ОТ БОГА. Уважаемая Дарья Александровна, желаю Вам дальнейших успехов во всех начинаниях, счастья, благополучия, процветания и долгих лет здоровой жизни. Спасибо большое за Ваш нелегкий и бесценный труд!
Лукин Валерий Вениаминович
Выражаю искреннюю глубокую благодарность всему персоналу 55 травматологического отделения ГВКГ им. академика Н.Н.Бурденко за внимание и высокий профессионализм. Отлаженная, уверенная работа всех специалистов отделения под руководством заведующего отделением Буряченко Бориса Павловича, лично его доброжелательность и внимательное отношение не оставили накануне операции никаких сомнений в её успешности. Операцию по тотальному эндопротезированию левого тазобедренного сустава искусно провел 01.02.2022 г. замечательный врач Варфоломеев Денис Игоревич. Хочу отметить чуткое отношение и высокопрофессиональную работу анестезиолога-реаниматолога Чотчаева М.Р. (извините, имя и отчество так и не удалось уточнить), благодаря которому, в том числе, ни во время, ни после операции не было никаких болевых ощущений и осложнений. Очень доволен операцией. По прошествии полугода об этом можно говорить с полной уверенностью. Отдельное ОГРОМНОЕ СПАСИБО медсёстрам, санитаркам за вашу непростую работу по уходу в послеоперационный период. Всему персоналу отделения доброго здоровья, долгих лет и дальнейших успехов в вашем благороднейшем труде!
Хочу выразить огромную благодарность доктору Дарье Александровне Найда за высокий профессионализм и доброе сердце. В 2020 г муж оперировался у Дарьи Александровны по поводу застарелой травмы( 2 года хромал ,ходили по врачам, все разводили руками). После сложной операции, через 2 месяца муж вышел на работу. Быстро восстановился. По любому вопросу могли позвонить доктору по телефону и она всегда находила время нам ответить. Спасибо Вам, Дарья Александровна .
28 декабря перед самым Новым годом после «полёта» с 2-х метров на землю и обрыва 2 связок на правом плече (рука не поднималась вообще, оторвал надостную и подлопаточную связки) Мне посчастливилось попасть на операционный стол в добрые и опытные руки Дарьи Александровны Найда под чутким присмотром анестезиолога Сергея Владимировича! Операция длилась 3 часа, я даже не заметил, как сработал наркоз:-) После операционный «отходняк» был довольно таки лёгким и комфортным. Прекрасный номер с удобствами, прямо рядом с операционным блоком, чистый, аккуратный, с очень удобной кроватью и прихожей где мы с женой провели послеоперационную ночь порадовал и удивил своей ценой в плане доступности. Уже на третий день я вполне мог обходиться ночью без обезболивающих средств. Ортез носил шесть недель, как велел врач, но (к счастью!!) мог снимать его для принятия душа уже на 2-й день. Новый год встретили дружно и радостно в Семье с друзьями! Дарья Александровна, Сергей Владимирович, искренне благодарю Вас за ваше великое Дело - помогать людям восстановить их здоровье! Прошло 3,5 месяца и я подтягиваюсь на турнике уже 5 раз и свободно отжимаюсь! Всем настоятельно советую послушать рекомендации Дарьи Александровны по реабилитации! Будьте здоровы! Берегите себя сами! Врачам Главного военного Госпиталя им. Бурденко ещё раз поклон до Земли! Вместе с врачами в Госпитале больным помогает сам Бог!
Ирина Владимировна Блаженова
Хочу выразить огромную благодарность Дарье Александровна Найда! После артроскопии коленного сустава вспомнила что такое полноценная жизнь без боли и ограничений! Огромное спасибо за Ваш профессионализм, внимание, доброту! Большое спасибо всем сотрудникам отделения за заботу и отзывчивость! Хочется пожелать Дарье Александровне успехов в таком нелёгком деле!
Гончаров Владислав Владимирович
Делал артроскопию тазобедренного сустава в прошлом году. Операция прошла успешно, боли и дискомфорт исчезли. Дарья Александровна превосходный, отзывчивый врач. Очень ей благодарен.
Выражаю мою искреннюю благодарность и низкий поклон персонально доктору 3го отделения травматологии Найде Дарье Александровне и всему коллективу профессионалов госпиталя Бурденко . В конце марта 2022 года в плановом порядке после предварительного осмотра и тщательной консультации и изучением МРТ ,мне на самом высокопрофессиональном уровне была проведена Артроскопия и тенодез бицепса правого плеча с ушиванием манжеты и креплением надосной связки . Все получилось отлично !Заботливое отношение высококлассных специалистов , собранных в слаженную команду , под руководством Брижань Л.К , в полной мере имел счастье оценить на собственном примере, за что искренне признателен. Наивысшую степень благодарности выражаю моему доктору, Дарье Александровне . Ее по-настоящему «золотые руки» в течении почти 4х часов «собирали» мое многострадальное плечо с застарелой , ещё спортивной травмой , мучавшей меня с десяток лет . Профессионализм и уважительное заботливое отношение, учёт всех особенностей конкретного моего случая и прекрасное оборудование в опытных руках , отличные комфортные условия госпиталя и отношение всего персонала позволили из непростой манипуляции выйти с максимальным комфортом и ощущением лёгкости . Доктор Дарья Александровна сделала на мой взгляд все на высочайшем профессиональном уровне и проявила человечное отношение и заботу , как уверен и к многим другим ее пациентам . Она не просто пояснила все условия операции , блестящие исполнила саму манипуляцию ( а сложности выявлены дополнительно были в процессе и значительные ) , но и пояснила четко особенности реабилитации , рекомендовала и лечение и ортез . Буквально через неделю болевой синдром в плече был уже минимален , прошли тянущие сверлящие боли , от которых порой просыпался неск крайний месацев перед операцией , сустав снова обрёл подвижность .Вообщем , уверенно и с благодарностью могу уже утверждать , что ВСЁ прошло ПРЕВОСХОДНО . Благодаря профессионализму и заботе Дарьи Александровны и всего коллектива , вовлечённости в эффективность результата , человечности и заботе , я обрёл шанс для комфортной полноценней счастливой жизни без боли и ограничений как для моего плеча , так и для разума . Сто раз Большое Вам СПАСИБО . Порекомендую уверенно госпиталь Им.Бурденко и доктора НАЙДУ Д.А. всем , кому это требуется . Пусть все будет успешно и легко , как легка рука моего доктора - профессионала Дарьи Александровны .
Свиридов Павел Александрович
От всего сердца хочу поблагодарить начальника 3 отделения Керимова Артура Аслановича за мастерство, профессионализм. Огромное спасибо за четко организованные и красиво, филигранно проведённые операции по восстановлению моих коленных суставов. Отдельная благодарность моему лечащему врачу Евгению Анатольевичу Кукушко, который участвовал в операциях, а затем приложил все силы, чтобы помочь мне восстанавливаться. Огромная благодарность хирургам, анестезиологу, медсёстрам и всем участникам в проведенных операциях. Выражаю также свою благодарность всему коллективу 3 отделения неотложной травматологии, артроскопии за заботу и оказание помощи и поддержки в период моего лечения, восстановления. Большое спасибо всему коллективу Центра травматологии и ортопедии, руководимому главным травматологом госпиталя, доктором медицинских наук Брижань Леонидом Карловичем. Вы все дали мне возможность нормально ходить. Хотя после ДТП у меня были раздроблены коленные суставы обеих ног и стоял большой вопрос о том буду ли я ходить вообще. Здоровья вам всем на долгие годы, счастья, и чтобы удача постоянно улыбалась вам в жизни.
Copyright © Центр травматологии и ортопедии
ФГБУ «Главный военный военный клинический госпиталь им. ак. Н.Н. Бурденко Министерства обороны Российской Федерации»
Эндопротезирование коленного сустава
С возрастом репаративные возможности хрящевой ткани колена истощаются, при этом неизбежно запускаются процессы дегенерации. Часто при воздействии неблагоприятных внешних и внутренних факторов разрушение суставных элементов достигает критического уровня - в таком случае единственным методом эффективной помощи больному остается эндопротезирование коленного сустава.

За последние годы отрасль оперативного лечения заболеваний хрящевой ткани сделала ряд значимых шагов вперед. Ведущие медицинские центры России наработали достаточный практический опыт в проведении замены суставов, также были введены соответствующие юридические поправки - теперь при правильном подходе к организации лечения протезирование коленного сустава может быть проведено каждому пациенту, которому необходимо данное вмешательство.
Когда показано эндопротезирование
Основные показания к радикальным способам лечения - это неэффективность консервативных методик, наличие стойкого болевого синдрома, двигательных расстройств, нестабильности и выраженной деформации коленного сустава. К ситуации, когда операция оказывается единственным способом поддержания достойного качества жизни больного, приводит прогрессирование следующих патологий:
- ревматоидный артрит;
- болезнь Бехтерева;
- деформирующий артроз 3-4 степени;
- врожденная дисплазия;
- инфекционное поражение сустава;
- гемартроз при гемофилии и других заболеваниях, нарушающих свертываемость крови;
- посттравматический артроз, неправильно сросшиеся внутрисуставные переломы;
- подагра, сахарный диабет и другие болезни, связанные с нарушением обмена веществ;
- асептический некроз костной ткани;
- новообразования в хрящах и костях, нарушающие функции коленного сустава;
- гормональный дисбаланс;
- значительное ожирение.
Для лечения злокачественных опухолей коленного сустава применяют специальные онкологические эндопротезы. Они отличаются более длинной ножкой, которая глубоко вбивается в бедренную кость.

Предрасполагающие факторы
Гонартроз (артроз коленного сустава) и аваскулярный некроз могут возникать в результате развития заболеваний сосудов, варикозной болезни, атеросклероза суставов нижних конечностей, облитерирующего эндоартериита.
Избыточный вес у женщин в 2 раза увеличивает риск развития дегенеративных процессов в хрящевой ткани колена[i], а ожирение 2-3 степени у обоих полов на 13 лет ускоряет необходимость установки протеза коленного сустава[ii].
Противопоказания к проведению операции
Есть ряд состояний, при которых проведение оперативного вмешательства весьма опасно - может привести к серьезным осложнениям и даже летальному исходу. Среди абсолютных противопоказаний к эндопротезированию колена выделяют следующие:
- тяжелые патологии сердечно-сосудистой и дыхательной системы;
- острые соматические заболевания, а также обострение хронических болезней;
- инфаркт миокарда или инсульт давностью менее 8 месяцев;
- варикозная болезнь и тромбоз глубоких вен ног;
- нарушения свертываемости крови, анемия средней и тяжелой степени тяжести;
- иммунодефицитные состояния;
- сахарный диабет в стадии декомпенсации;
- острые и хронические инфекционные заболевания местного и общего характера;
- инфекционный процесс в области колена давностью менее 3-х месяцев;
- парез нижней конечности на стороне планируемого хирургического вмешательства;
- незрелость костной ткани, а также ее врожденные дефекты, приводящие к неспособности удерживать искусственный сустав;
- туберкулезное поражение сустава - менее чем 1,5 года с момента купирования активного процесса;
- отсутствие костномозгового канала бедренной кости;
- эпилепсия с припадками не реже 1 раза в месяц, стойкие психические и неврологические заболевания;
- индивидуальная непереносимость материалов, из которых изготовлен эндопротез.
Операция по замене коленного сустава не проводится лежачим больным, пациентам со значительной мышечной атрофией. Крайняя степень ожирения, заболевания внутренних органов и сосудов в стадии субкомпенсации, онкологический процесс различных локализаций, анкилоз, гормональная остеопатия и остеопороз коленного сустава являются относительными противопоказаниями - в таком случае решение о возможности проведения вмешательства принимается в индивидуальном порядке.
Как правильно готовиться?
Перед тем как ставить коленный эндопротез необходимо пройти комплексное исследование костной и хрящевой ткани, а также организма в целом. К методам оценки состояния скелета следует отнести следующие обследования:
- денситометрия - позволяет измерить минеральную плотность костной ткани и определить выраженность остеопении и степень остеопороза;
- анализ крови на ионизированный кальций;
- определение уровня маркера остеорезорбции b-Cross Laps (и-ctx) в сыворотке.
При обнаружении чрезмерно сниженной плотности костной ткани в ходе предоперационной подготовки необходимо проведение дополнительных лечебных мероприятий. Пациенту назначаются лекарства, регулирующие фосфорно-кальциевый обмен, препараты витамина D, кальция. При наличии значимых факторов риска может быть рекомендовано проведение профилактической терапии. Это достоверно снижает риск развития ранней нестабильности сустава. [iii]
Для оценки состояния области предполагаемого вмешательства проводят несколько инструментальных исследований:
- рентгенографию обоих коленных суставов в 2-х проекциях;
- УЗИ;
- магнитно-резонансную томографию;
- артроскопию (по показаниям).
Назначается ряд лабораторных анализов, позволяющих оценить общее состояние больного, здоровье его внутренних органов и системы гемостаза. В индивидуальном порядке могут проводиться другие дополнительные лабораторные исследования. К примеру, больным с частыми аллергическими реакциями в анамнезе назначают аппликационные накожные тесты.
У пациента есть возможность самостоятельно улучшить прогноз после операции: укрепление иммунитета правильным питанием, грамотное закаливание, снижение веса - все это объективно помогает организму успешно перенести операцию и быстро адаптироваться к новым условиям.
Больному перед эндопротезированием коленного сустава желательно освоить комплекс упражнений для укрепления мышц и тренировки суставов, которые будут применяться во время реабилитации после операции. Это позволит ускорить восстановление после эндопротезирования коленного сустава, с этой же целью проводят обучение пациента правильному обращению со вспомогательными приспособлениями: костылями, тростью, палкой.
Ход операции: техники проведения
Манипуляция с установкой коленного протеза предполагает использование ряда техник - в зависимости от преследуемых целей. Особенности каждой операции указаны в таблице ниже.

Выбор техники эндопротезирования коленного сустава в зависимости от клинической ситуации
Тотальное протезирование коленного сустава
- гонартроз 3 степени;
- вальгусная дефорамация до 10°;
- варусная информация до менее 20°;
- амплитуда сгибания колена не менее 60°.
Ревизионное эндопротезирование коленного сустава
Частичное протезирование коленного сустава (одномыщелковое, парциальное)
Эндопротезирование обоих суставов
Непосредственно перед операцией пациент общается с анестезиологом, который оценивает текущее состояние больного и окончательно определяется с методикой обезболивания. Как правило, речь идет о спинальной анестезии. При ревизионной операции, если есть серьезная сопутствующая патология, используют спинально-эпидуральную анестезию. Общее обезболивание (наркоз) проводится по настоянию пациента или при отсутствии альтернатив.
Прогнозы и возможные осложнения
При грамотной установке, срок службы протеза варьируется от 10 до 30 лет. Идеально пройденный этап реабилитации увеличивает исходный период на годы или даже десятилетия.
Сокращать продолжительность службы импланта могут осложнения, которые настигают пациента сразу после операции или отсрочено. К ранним неблагоприятным реакциям относятся следующие состояния:
- гнойно-воспалительный процесс в результате инфицирования;
- ранняя нестабильность сустава или отдельных его компонентов;
- контрактура - ограничение двигательной активности сустава;
- тромбофлебит вен нижних конечностей - возникает риск тромбоэмболии легочной артерии с возможным летальным исходом;
- вывих импланта - чаще наблюдается после ревизионного эндопротезирования коленного сустава;
- аллергические реакции на компоненты эндопротеза.
Инфицирование области колена через год и более после операции относится к поздним осложнениям и связано с проникновением микроорганизмов с током крови из очагов хронической инфекции. Асептическое расшатывание компонентов вследствие разрушения цемента или кости в месте фиксации импланта наблюдается у 10-15% пациентов в течение первых 10 лет функционирования протеза.
Реабилитация эндопротезирования коленного сустава
Неприятные ощущения после операции сохраняются первые 3-4 дня. Для комфорта пациента и предупреждения послеоперационных осложнений проводят медикаментозную профилактику болевого синдрома. При проведении частичной замены коленного сустава реабилитационный период проходит быстрее. Пациент практически сразу начинает ходить без вспомогательных средств - трости и ходунков.
Для профилактики ранних послеоперационных осложнений врач обычно дает ряд рекомендаций:
- прием антикоагулянтов, антибиотиков, обезболивающих препаратов, препаратов кальция и витамина D, бифософонатов;
- использование компрессионного трикотажа,
- проведение лечебной физкультуры и физиотерапевтического лечения;
Использование ходунков или костылей. Как минимум, в течение 6-ти недель больному предстоит при ходьбе использовать ходунки или локтевые костыли, при этом с первых дней пациенту необходимо проявлять двигательную активность. При проведении одномоментного эндопротезирования двух коленных суставов срок применения костылей может увеличиваться до 3 месяцев. Большой вес пациента и развитие ряда осложнений также может быть показанием к продлению периода использования дополнительной опоры. При необходимости в переходном периоде после отказа от костылей пациент может использовать специальную трость.

Упражнения в рамках программы реабилитации после эндопротезирования коленного сустава должны выполняться медленно, в спокойном режиме. Помощь со стороны специалиста-реабилитолога для грамотного восстановления нужна пациенту в течение 3 месяцев.
Иногда пациентам оказывается необходима помощь психолога - при страхе самостоятельно ходить, делать необходимый комплекс упражнений.
Женщинам, перенесшим эндопротезирование, рекомендуется беременеть не ранее, чем через полгода-год после операции
Эндопротезирование коленного сустава по квоте
Протезирование коленного сустава по квоте дает возможность провести операцию частично или полностью за средства выделенного государственного бюджета. Пациент должен иметь показания к проведению эндопротезирования, указанные в списке действующей Программы оказания высокотехнологичной медицинской помощи. Совместно с лечащим врачом оформляется вся необходимая информация, больной проходит комиссию при поликлинике, после сбора всех необходимых документов он направляется на областную комиссию. Решение об одобрении заявки на проведение операции по квоте, принимает уполномоченная клиника.
Эндопротезирование коленного сустава цена
Эндопротезирование коленного сустава в России на сегодняшний день проводиться практически во всех крупных городах. Стоимость установки протеза коленного сустава может значительно отличаться в разных медицинских центрах, средняя цена по Москве - 138 900 р. Известные клиники травматологии и ортопедии находятся также в СПб, Новосибирске, Нижнем Новгороде, Барнауле, Смоленске, Оренбурге, Сургуте. Надежной репутацией в сфере эндопротезирования коленного сустава пользуется Российский НИИ травматологии и ортопедии им. Р.Р. Вредена - в петербургском центре цена на операцию будет варьироваться от 30 800 р. за одномыщелковое эндопротезирование до 53 900 р. за ревизионное хирургическое вмешательство. Стоимость протезирования в других областях будет несколько ниже. К примеру, в ФГБУ “ННИИТО им. Я.Л.Цивьяна” (Новосибирск) первичная операция будет стоить 18 200 р., реэндопротезирование - 35 000 р. Общие затраты на лечение зависят от того, какая у используемого эндопротеза коленного сустава цена, а также от сложности конкретной клинической картины, условий пребывания в стационаре и тактики послеоперационного периода.
[1] Inoue R. Medical problems and risk factors of metabolic syndrome among radiographic knee osteoarthritis patients in the Japanese general population//Journal of Orthop. Science. - 2011. - Vol. 16. - p. 704-709.
[2] Changulani M., Kalairajah Y., Peel T., Field R.E. The relationship between obesity and the age at which hip and knee replacement is undertaken// The Bone & Joint Journal. - 2008. - Vol. 90-B. - p. 360-363.
[3] Алабут А.В., Салум Н.Ю., Сикилинда В.Д. АЛГОРИТМЫ ДИАГНОСТИКИ, ПРОФИЛАКТИКИ И ЛЕЧЕНИЯ ОСТЕОПОРОЗА ПРИ ЭНДОПРОТЕЗИРОВАНИИ КОЛЕННОГО СУСТАВА//Современные технологии в медицине. - 2013. - №4. - с. 64-68.
[4] Базлов В.А., Гуражев М.Б., Мамуладзе Т.З., Панченко А.А., Пронских А.А., Соловьев В.Ю., Баитов В.С. ИСПОЛЬЗОВАНИЕ ИНДИВИДУАЛЬНЫХ ИМПЛАНТАТОВ В РЕВИЗИОННОМ ЭНДОПРОТЕЗИРОВАНИИ КОЛЕННОГО СУСТАВА// Современные проблемы науки и образования. - 2019. - № 4.
[5] Корнилов Н.Н., Куляба Т.А., Федоров Р.Э. СРАВНИТЕЛЬНАЯ ОЦЕНКА СРЕДНЕСРОЧНЫХ ФУНКЦИОНАЛЬНЫХ ИСХОДОВ ОДНОМЫЩЕЛКОВОГО И ТОТАЛЬНОГО ЭНДОПРОТЕЗИРОВАНИЯ КОЛЕННОГО СУСТАВА С ИСПОЛЬЗОВАНИЕМ РАЗЛИЧНЫХ БАЛЛЬНЫХ СИСТЕМ// Травматология и ортопедия России. - 2012. - №3.
[6] Чугаев Д.В., Ласунский С.А., Сорокин Е.П., Синеокий А.Д., Стафеев Д.В. ФУНКЦИОНАЛЬНЫЕ РЕЗУЛЬТАТЫ ТОТАЛЬНОГО И ПАРЦИАЛЬНОГО ЭНДОПРОТЕЗИРОВАНИЯ КОЛЕННОГО СУСТАВА У ПАЦИЕНТОВ С ГОНАРТРОЗОМ// Травматология и ортопедия России. - 2016. - №3.- с. 296-299.
Автор: доктор Матиенко Инна Васильевна,
Кандидат Медицинских Наук
Читайте также:
- Послеоперационная профилактика осложнений после ранений
- Попадание инородного тела: симптомы, ощущения, причины
- Показания для восстановления дистального сухожилия двуглавой мышцы плеча
- Гемодинамические параметры. Влияние тонуса сосудов на сердечный выброс
- Нервная система при нарушениях митохондриального окисления жирных кислот
