Признаки плоскоклеточного рака уха и его прогноз
Добавил пользователь Евгений Кузнецов Обновлено: 28.01.2026
Плоскоклеточный рак представляет собой злокачественный процесс, который возникает из плоских клеток эпидермиса. Опухоль может образовываться в полости рта, кишечнике, матке, трахее, бронхах, на кожных покровах, половых органах и в других локациях. Выявлено множество факторов развития этого вида рака. Мутацию клеток могут вызвать воспалительные процессы, ультрафиолет, химикаты, канцерогенные вещества и др. Отмечено, что плоскоклеточный рак чаще выявляется у курильщиков, лиц, употребляющих алкоголь, работающих на опасных предприятиях и в зонах с сомнительным экологическим статусом.
В онкологическом центре "Sofia" оказывается высокотехнологичная помощь пациентам, у которых уже установлен диагноз или есть подозрение на развитие рака. Вы можете рассчитывать на комплексный подход к диагностике и лечению, особое отношение персонала и поиск наиболее эффективной тактики с учетом передовых и прорывных методов борьбы с раком.
Типы рака
При плоскоклеточном раке в зависимости от локации выделяют следующие подтипы:
- плоскоклеточный рак кожи (встречается в 20 % случаев);
- плоскоклеточный ороговевающий рак или неороговевающий рак красной каймы губ (встречается в 3 % случаев);
- рак полости рта;
- рак прямой кишки;
- рак гортани;
- рак пищевода;
- рак миндалин;
- плоскоклеточный рак шейки матки;
- рак бронхов и трахеи;
- рак вульвы;
Плоскоклеточный рак: прогноз выживаемости
Для плоскоклеточного рака характерно довольно агрессивное течение и быстрая распространяемость. И прогноз по заболеванию во многом зависит от стадии и локации. В большинстве случаев при раннем обнаружении пятилетняя выживаемость при раке достигает 90 %. Современные методы позволяют успешно бороться с плоскоклеточным раком и сохранять высокое качество жизни пациента.
Диагностика плоскоклеточного рака
Для диагностики плоскоклеточного рака применяют различные методы в зависимости от типа опухоли и локации. Чаще назначают:
- ; ;
- кольпоскопию (при поражении матки);
- колоноскопию и проктоскопию (при поражении кишки);
- бронхоскопию, рентгенографию (при поражении бронхов, легких, трахеи);
- УЗИ, рентген с контрастом (при поражении пищевода);
- бронхоскопию, эзофагоскопию, ларингоскопию (при поражении ЛОР-органов);
- дерматоскопию (при поражении губ и кожных покровов).
В онкологическом центре "Sofia" некоторые виды исследований, в частности ПЭТ/КТ, выполняются по полису ОМС.
Вы можете БЕСПЛАТНО получить медицинскую помощь в Онкологическом центре «Sofia» по программе Государственных гарантий ОМС (Обязательного медицинского страхования) и ВМП (высокотехнологичной медицинской помощи).
Услуга действительна для всех граждан России.
Узнать подробности по каким нозологиям и услугам работает данная программа можно здесь.
Лечение при плоскоклеточном раке
Выбор тактики лечения напрямую зависит от типа онкологии. Наиболее эффективны:
В онкологическом центре "Sofia" проводится комплексное лечение, в том числе симптоматическое - направленное на облегчение состояния пациента, устранение неприятных проявлений злокачественного процесса, купирование побочных явлений. При лечении проводится непрерывный контроль состояния больного, уделяется внимание поддержке иммунной системы. Вместе с лечением прорабатывается программа реабилитации - наши пациенты быстрее возвращаются к привычной жизни.
Врачи онкологического центра "Sofia" назначают лечение в соответствии с современными мировыми протоколами - вы получите помощь, которая по уровню не уступает помощи, оказываемой в ведущих онкологических клиниках Европы и США.
Преимущества онкологического центра Sofia
Одно из ключевых преимуществ онкологического центра"Sofia" - высокий профессионализм квалифицированных онкологов. Созданы комфортные условия, у нас уютный и теплый интерьер - пациенты не чувствуют себя как в больнице. Великолепное оснащение позволяет в кратчайшие сроки поставить диагноз и приступить к лечебным процедурам, ориентируясь на последние достижения мировой медицины.



Преимущества онкологического центра "Sofia":
- все в одном месте: стационар, поликлиническое отделение и собственная лаборатория;
- опытные врачи-онкологи и другие специалисты, лидеры российской медицины по раку плоскоклеточного типа;
- индивидуальное сопровождение по клинике;
- лечение по мировым протоколам и наиболее эффективным методикам;
- полный спектр диагностических и лечебных процедур;
- повышенный комфорт: располагающий интерьер, имеются кафе и ресторан на крыше с панорамным видом;
- многочисленные сертификаты и награды, в том числе JCI;
- оборудование входит в число лучших в Москве;
- 30 лет уникального опыта и безупречной репутации;
- большое количество мест для парковки.
Запись на прием



Клиника находится в Центральном административном округе (ЦАО) Москвы, рядом расположено сразу несколько станций метро: "Новослободская", "Тверская", "Чеховская", "Белорусская" и "Маяковская".
Онкологический центр предлагает помощь лучших врачей
Мы являемся партнером передовых американских и израильских центров. Наши врачи повышали квалификацию в лучших онкоцентрах мира, благодаря чему наши клиенты получают качественное лечение по зарубежным стандартам, не покидая пределов Российской Федерации.

Врач-онколог, член Российского общества маммологов, член RUSSCO (Профессиональное общество онкологов-химиотерапевтов), член Европейского онкологического общества ESMO, Американского общества исследования меланомы -SMR

Профессор, директор онкогематологической клиники университета Мартина Лютера (Галле, Германия), автор более 355 публикаций по проблемам лекарственного лечения опухолей

Заведующий отделением радиотерапии - врач- радиотерапевт.

Онколог, радиолог, заведующий отделением радиотерапии и радиохирургии, профессор медицины и исследователь.
Плоскоклеточный рак
Плоскоклеточный рак, или плоскоклеточная карцинома - это гистологический тип злокачественных опухолей, такой диагноз устанавливают по результатам биопсии после исследования образца опухолевой ткани под микроскопом. Новообразование формируется из плоских клеток эпидермиса, которые выглядят как чешуйки. Оно может возникать на коже, в полости рта, в гортани, трахее, бронхах, пищеводе, на половых органах, в прямой кишке.

В «Евроонко» диагностикой и лечением плоскоклеточного рака занимаются врачи экспертного уровня, за плечами которых обширный опыт работы в ведущих онкологических центрах Москвы. С пациентом работает команда, в которую входят онкологи, дерматоонкологи, хирурги, химиотерапевты, радиотерапевты и другие специалисты. Мы применяем инновационные методы лечения, препараты последнего поколения, проводим противоопухолевую терапию в соответствии с ведущими международными рекомендациями. «Евроонко» - первый российский частный онкологический центр, в котором можно получить эффективное паллиативное лечение на поздних стадиях, даже в случаях, когда от пациента отказались в других клиниках.
Причины возникновения плоскоклеточного рака
Причины плоскоклеточного рака те же, что и для других типов злокачественных опухолей. В клетках происходят определенные мутации, которые приводят к злокачественному перерождению. «Неправильные» клетки утрачивают внешние черты и функции нормальных, начинают бесконтрольно размножаться, приобретают способность распространяться в организме.
Основные факторы риска плоскоклеточного рака:
- На коже такие опухоли часто возникают из-за действия ультрафиолетовых лучей. Наиболее уязвимы открытые участки тела.
- Плоскоклеточный рак половых органов, головы и шеи вызывают некоторые типы вируса папилломы человека.
- Риск развития плоскоклеточного рака повышен у курильщиков и людей, которые употребляют много алкоголя.
- Вероятность развития онкологического заболевания повышается с возрастом, так как в клетках тела накапливаются мутации.
- Шрамы, ожоги, хронический воспалительный процесс.
- Воздействие некоторых канцерогенных веществ, например, если человек работает на производстве и контактирует с химикатами.
- Снижение иммунитета.
Ни один из этих факторов не приводит гарантированно к заболеванию - каждый из них лишь в определенной степени повышает вероятность.
Какие бывают виды плоскоклеточного рака?
Злокачественные новообразования данного гистологического типа встречаются на разных частях тела. В зависимости от локализации, могут несколько различаться их свойства, подходы к диагностике и лечению, прогноз для пациента.

Рак кожи
Злокачественные опухоли кожи представлены плоскоклеточным раком примерно в 20% случаев. Намного чаще пациенты страдают базальноклеточным раком, который происходит из клеток, находящихся в нижнем слое эпидермиса.
Плоскоклеточный рак более агрессивен по сравнению с базальноклеточным. Он с большей вероятностью прорастет в глубокие слои кожи, будет распространяться в организме с образованием отдаленных метастазов. Тем не менее, это происходит довольно редко. Чаще всего опухоль удается обнаружить и удалить на ранней стадии.
Как правило, плоскоклеточный рак возникает на коже лица, ушей, шеи, тыльной стороне рук, реже - в области половых органов. Нередко новообразование развивается там, где находятся шрамы и хронические повреждения.

Плоскоклеточный рак красной каймы губ
Злокачественные опухоли губ составляют не более 1-3% от всех онкологических заболеваний. В большинстве случаев (95%) они представлены плоскоклеточным раком, который бывает двух типов:
- Плоскоклеточный ороговевающий рак ведет себя не так агрессивно, медленно растет, редко образует отдаленные метастазы.
- Плоскоклеточный неороговевающий рак растет быстро, раньше приводит к изъязвлению и чаще метастазирует.
Исследования показывают, что у мужчин этот тип рака встречается в 3-13 раз чаще, чем у женщин. Вероятно, это связано с тем, что представители мужского пола чаще подвергаются воздействию солнечных лучей на рабочем месте, среди них более распространено курение, употребление алкоголя.
Рак полости рта
Раком ротовой полости называют злокачественные опухоли, которые возникают на слизистой оболочке губ, щек, десен, передних двух третей языка, неба, дна ротовой полости (находится под языком). В 90% случаев они представлены плоскоклеточным раком, из них 5% - плоскоклеточный ороговевающий рак, который менее агрессивен, реже прорастает в окружающие ткани, распространяется в лимфатические узлы и метастазирует.
Рак пищевода
Слизистая оболочка пищевода выстлана многослойным плоским эпителием, и из него может развиваться плоскоклеточный рак. Чаще всего такие опухоли находятся в шейном отделе пищевода и верхних двух третях грудного отдела. В нижней трети органа чаще встречаются аденокарциномы - злокачественные опухоли из железистых клеток.
Рак гортани
При раке гортани опухоль практически всегда развивается из плоского эпителия и представляет собой плоскоклеточную карциному. Обычно возникновению опухоли предшествуют предраковые изменения - дисплазия. Клетки, которые находятся в очаге, внешне не похожи на нормальные, но отличаются и от раковых. В ряде случаев дисплазия не приводит к развитию рака и даже проходит самостоятельно, особенно если устранена ее причина, например, человек бросил курить. Но у некоторых людей предраковые изменения приводят к возникновению «рака на месте» (in situ), а затем инвазивной опухоли.

Рак трахеи и бронхов
Плоскоклеточный рак - наиболее распространенный тип злокачественных опухолей в трахее. Обычно он возникает в нижней части трахеи, довольно быстро растет, прорастает ее стенку, приводит к изъязвлениям и кровотечению. Это редкий тип рака, его основной причиной является курение.
Наиболее распространенным раком легкого является немелкоклеточный рак - он встречается в 80% случаев и в 30% случаев представлен плоскоклеточной карциномой. Нередко эти опухоли находятся в бронхах.
Рак шейки матки
Шейка матки состоит из двух частей. Экзоцервикс находится снаружи, во влагалище, это то, что видит гинеколог во время осмотра. Эндоцервикс - канал шейки матки, он соединяет матку с влагалищем. В норме экзоцервикс выстлан плоским эпителием, а эндоцервикс - железистым. Место, где они встречаются, называется зоной трансформации.
Плоскоклеточным раком представлены 90% злокачественных опухолей шейки матки. Чаще всего новообразование возникает в области зоны трансформации. Раки, которые развиваются из железистых клеток эндоцервикса, называются аденокарциномами.
В редких случаях в шейке матки встречается железисто-плоскоклеточный рак.
Рак вульвы
Вульвой называют наружные женские половые органы: преддверие влагалища, большие и малые половые губы, клитор. Большинство типов рака, которые развиваются в этой области, представлены плоскоклеточным раком (70-90%). Они делятся на две группы:
- Большая группа - опухоли, происхождение которых неизвестно. Чаще всего их диагностируют у женщин старшего возраста.
- Меньшая группа - злокачественные опухоли, вызванные вирусом папилломы человека.
Рак прямой кишки
В большинстве случаев злокачественные опухоли прямой кишки представлены аденокарциномами - железистым раком. Плоскоклеточный рак в этом органе встречается очень редко и составляет от 10 до 25 случаев на каждые 100 тысяч случаев колоректального рака.
Плоскоклеточный рак составляет 90% от всех злокачественных новообразований анального канала - узкого прохода, который соединяет прямую кишку с анусом.
Рак миндалин
У человека есть четыре вида миндалин: небные (при их воспалении развивается тонзиллит), трубные (находятся в глотке возле отверстий слуховых труб), язычная (позади языка) и глоточная (у детей из-за нее бывают аденоиды). Чаще всего злокачественные опухоли развиваются в небных миндалинах. В большинстве случаев это плоскоклеточный рак. Его сложно диагностировать, поэтому зачастую он выявляется на поздних стадиях.

Виды диагностики заболевания
Врач-онколог назначает пациенту те или иные виды диагностики, в зависимости от того, в каком органе находится злокачественная опухоль:
Место локализации рака
Методы диагностики
- Осмотр дерматолога.
- Дерматоскопия.
- В «Евроонко» применяется современная дерматоскопическая установка — ФотоФайндер. Она позволяет составить «карту родинок» и выявить мельчайшие изменения на коже.
- Осмотр ЛОР-врача.
- Фарингоскопия.
- Ларингоскопия.
- Бронхоскопия.
- Эзофагоскопия.
- Исследование на ВПЧ.
- Эндоскопическое исследование, в том числе эндоУЗИ.
- Рентгенография с контрастным усилением.
- КТ, МРТ.
- Рентгенография грудной клетки.
- Бронхоскопия.
- Осмотр гинеколога
- Осмотр гинеколога.
- Кольпоскопия.
- Осмотр врача-проктолога.
- Проктоскопия.
- Колоноскопия.
- Анализ кала на скрытую кровь.
Во всех случаях, когда обнаружено патологическое образование, проводят биопсию - исследование, во время которого получают фрагмент подозрительной ткани и отправляют в лабораторию для гистологического и цитологического исследования. Биопсия - самый точный метод диагностики рака. Она помогает не только достоверно установить диагноз, но и определить гистологический тип новообразования.Для того чтобы проверить степень распространения рака в организме и уточнить стадию, врач может назначить дополнительные исследования:
- компьютерную томографию, МРТ;
- рентгенографию грудной клетки, костей;
- ПЭТ-сканирование;
- УЗИ и эндоскопические исследования органов, в которые мог прорасти рак.
Лечение плоскоклеточного рака
Лечение зависит от локализации, стадии рака, общего состояния пациента, наличия у него сопутствующих заболеваний и других факторов.
Лучевая терапия
Ионизирующее излучение повреждает опухолевые и другие быстро размножающиеся клетки. Этот вид лечения плоскоклеточного рака может быть назначен до или после операции, либо на поздних стадиях в паллиативных целях.

Хирургия
Радикальные операции возможны, если нет метастазов, и не произошло сильное прорастание рака в окружающие ткани. В одних случаях таким пациентам показано только хирургическое лечение, в других его дополняют противоопухолевыми препаратами, лучевой терапией - это помогает снизить риск рецидива.
При запущенном плоскоклеточном раке может быть выполнено паллиативное хирургическое вмешательство, направленное на ликвидацию симптомов, восстановление проходимости и функции пораженного органа.
Медикаментозное лечение плоскоклеточного рака
Химиотерапия при плоскоклеточном раке может быть адъювантной (после операции), неоадъювантной (до хирургического вмешательства) или применяется в качестве самостоятельного метода лечения на поздних стадиях.
Если опухоль обладает определенными молекулярно-генетическими характеристиками, назначают таргетную терапию. Таргетные препараты прицельно воздействуют на молекулы, которые помогают раку расти и поддерживать свою жизнедеятельность.
Врачи «Евроонко» применяют при плоскоклеточном раке оригинальные противоопухолевые препараты последнего поколения, назначают их в соответствии с современными международными протоколами.
Симптоматическое лечение при плоскоклеточном раке
Лечение при плоскоклеточном раке и любых других злокачественных новообразованиях должно быть направлено не только на борьбу с самой опухолью, но и на купирование симптомов, улучшение состояния пациента. В «Евроонко» пациент может получить все виды симптоматической терапии при раке:
- Купирование болевого синдрома в соответствии с трехступенчатой схемой ВОЗ.
- Восстановление проходимости пищевода, кишечника, дыхательных путей.
- Устранение кровотечений, при необходимости - переливание крови.
- Купирование тошноты.
- Устранение сдавления опухолью внутренних органов, нервов, сосудов.
- Лечение экстренных состояний в условиях палаты интенсивной терапии, оснащенной современной аппаратурой.
- Контроль и коррекция нутритивного статуса.
- Поддерживающая терапия помогает комфортно перенести курс химиотерапии, предотвратить и купировать побочные эффекты.

Прогноз выживаемости при плоскоклеточном раке
Прогноз зависит от того, в каком месте начался рост рака, на какой стадии установлен диагноз и начато лечение. Например, зачастую выживаемость при раке кожи и красной каймы губ стремится к 100%, потому что такие опухоли, как правило, удается обнаружить достаточно рано, и они не очень агрессивны. Если появились отдаленные метастазы, шансы на ремиссию становятся крайне низкими. Но таким пациентам все еще можно помочь: затормозить прогрессирование плоскоклеточного рака, продлить жизнь, улучшить общее состояние, купировать мучительные симптомы.
Мы в «Евроонко» считаем, что безнадежных больных не бывает. Помочь можно всегда. Никогда не стоит сдаваться. Мы знаем, как помочь.
Рак уха
Бывает ли рак уха? Этот вопрос, который волнует многих людей, внимательно следящих за своим здоровьем. К сожалению, онкология ушной полости считается реальной болезнью. Рак уха - это злокачественная патология, которая поражает наружное и среднее ухо. Это онкологическое заболевание в России встречается редко.
Из всех онкобольных россиян встречается только 2% пациентов, страдающих раком ушной раковины. Патология развивается с примерно одинаковой частотностью у женщин и мужчин. Нередки случаи развития рака среднего уха у детей, находящихся в возрасте до 10 лет. В подростковый период патология практически не развивается. Чаще всего рак ушной полости диагностируют у пожилых пациентов.
Причины возникновения
Этиология рака ушной раковины изучается специалистами со всего мира по сей день. Учеными была выдвинута теория о том, что онкологический процесс развивается под действием раковых вирусов, которые приводят к мутации ДНК. Однако это предположение было подтверждено только частично. Исследователи назвали главные факторы, которые способствуют формированию плоскоклеточного рака уха:
- наличие хронических патологий (отит, экзема);
- генетическая предрасположенность;
- полипы;
- регулярные контакты с агрессивными канцерогенами (щелочи, кислоты, тяжелые металлы);
- воспаление соединительной ткани.
Установлено, что развитию рака ушной полости чаще всего подвергаются люди, которые работают на предприятиях с радиоактивным излучением.
Классификация онкологии уха
По месту расположения злокачественного новообразования рак уха делят на два вида: опухоль наружного и среднего уха. По причинам происхождения онкологический процесс может быть первичным и вторичным. По особенности и интенсивности роста новообразования патологию рак уха бывает экзофитным и эндофитным. По типу гистологического строения опухоли делят на следующие разновидности:
- спиноцеллюлярная эпителиома. Отличительная особенность патологии - ускоренный рост злокачественной опухоли. По мере прогрессирования у пациента в области ушной раковины образуется нарост, который регулярно кровоточит и темнеет. На поздних стадиях опухоль поражает весь слуховой проход;
- базалиома. Плоскоклеточный рак уха развивается из клеток эпителия. Патология сопровождается появлением язвенного образования в зоне ушной полости, которое периодически изъявляется и доставляет пациенту дискомфорт. Рак кожи уха растет медленно и метастазирует только на последних стадиях;
- саркома. Развивается из соединительной ткани. Один из самых опасных видов рака. При локализации опухоли в районе ушной раковины прогрессирование болезни происходит в замедленном режиме. Если раковое новообразование появляется возле слухового прохода, патология достаточно быстро переходит в 3 и 4 стадию. Симптомы рака уха в этом случае проявляются в виде боли, нарушения подвижности челюсти, паралича лицевых мышц.
В редких случаях в области ушной полости образуется меланома (рак кожи уха). Признаки рака уха в этом случае проявляются в виде появления мокнущей язвочки, которая со временем метастазирует в соседние лимфоузлы.
Стадии
Рак уха по своей распространенности протекает в нескольких стадиях:
- 1 стадия. Раковое новообразование поражает кожный покров или слизистую оболочку наружного уха. Костная и хрящевая ткань в этом случае не повреждается;
- 2 стадия. Раковая опухоль проникает в костную и хрящевую ткань, у больного появляются первые признаки рака уха в виде кровоточащих или гнойных изъявлений;
- 3 стадия. Рак метастазирует в соседние лимфатические узлы, общее состояние больного человека ухудшается;
- 4 стадия. Плоскоклеточный рак ушной раковины проникает в глубокие шейные лимфатические узлы, в организме пациента образуются конгломераты и гематогенные метастазы.
При обнаружении 1 или 2 стадии заболевания пациент может рассчитывать на выздоровление в 90% случаев. На позднем сроке прогноз ухудшается, а выживаемость сокращается практически в 2 раза. При метастазировании рак уха приводит к летальному исходу.
Симптомы и признаки рака уха
На раннем этапе развития рак уха не дает выраженной симптоматики, как и любое онкологическое заболевание. По мере прогрессирования у пациента появляется небольшое новообразование, которое по внешним признакам напоминает бородавку. Со временем опухоль уплотняется и увеличивается в размере. Пигментированное новообразование в редких случаях сопровождается негативными признаками. Обычно оно не болит, не жжет и не вызывает чувство дискомфорта.
Многие пациенты обращают внимание на появившийся нарост только из-за эстетичного дефекта. Рак уха обнаруживается при посещении косметологического кабинета с целью удаления бородавки. На более поздних стадиях болезни человек может обнаружить следующие негативные симптомы рака уха:
- регулярное увеличение температуры тела;
- обильное потоотделение;
- общая слабость организма;
- боль в пораженном участке;
- ухудшение слуха;
- перепады давления, тахикардия;
- гнойные и кровяные изъявления из образовавшихся язв.
Когда онкология уха переходит в 3 и 4 стадию рост опухоли значительно ускоряется.
Рак наружного уха
Онкология уха на начальном этапе развития протекает бессимптомно. При переходе во 2 стадию больной человек обнаруживает сильный зуд и боли в районе ушной полости. Нередко плоскоклеточный рак ушной раковины сопровождается звоном или шумом в ушах.
При осмотре врач может обнаружить небольшую язву или грануляцию в области наружного слухового прохода. Со временем язвы начинают кровоточить, жечь и доставлять сильный дискомфорт пациенту. Помимо кровяных изъявлений больной может обнаружить серозные и гнойные выделения.
На 3 и 4 стадии развития онкология уха метастазирует в соседние лимфатические узлы. Рак лимфоузла за ухом сопровождается сильно болью, нарушением слуха, деформацией лицевых нервов, ухудшением общего состояния.
Диагностика
Точный диагноз ставят после проведения следующих исследований:
- отоскопия. Тщательный осмотр ушной полости, барабанной перепонки, слухового прохода. Отоскопия помогает обнаружить опухоль внешних отделов;
- гистологическое исследование. Диагностическая процедура для выявления раковых клеток в иссеченных образцах кожи;
- МРТ. Один из самых точных методов определения наличия онкологии в организме. МРТ позволяет определить онкологию уха на 1 и 2 стадии развития. При этом процедура позволяет узнать более подробные сведения о размере, локализации и типе опухоли;
- КТ. Рентгенологический способ исследования костной ткани на наличие метастазов.
В дополнительных случаях может потребоваться аудиометрия. Эта процедура помогает дать более точные данные о состоянии слухового анализатора.
Лечение
На ранних этапах развития рака ушной раковины больному назначают курсы радиотерапии. После этого дополнительно проводят электроэксцизию. На 2 стадии онкологию уха лечат при помощи хирургического иссечения и последующей радиотерапии. На более поздних этапах развития для лечения рака уха выполняют лучевую терапию с полным иссечением пораженных лимфатических узлов. При множественном метастазировании проводят операцию Крайля.
Рак внутреннего уха
На первых этапах прогрессирования по своим признакам рак уха напоминает хронический отит. У больного человека появляются небольшие проблемы со слухом, заложенность, гнойные изъявления. По мере развития онкология ушной полости начинает сопровождаться сильной болью и дискомфортом, пациенты жалуются на неприятные ощущения в районе шеи, скулы, височной зоны.
На 3 и 4 стадии рака ушной раковины у пациента возникает паралич мимических мышц, нарушение глотания, неподвижность нижней челюсти. Если опухоль достигает сонной артерии, могут развиваться обильные кровотечения. При распространении опухоли в мозговую оболочку происходит образование карциноматозного менингита.
Для постановления диагноза пациента направляют на отоскопию, рентгенографию черепа, гистологическое исследование. Чтобы уточнить объем пораженного раком участка проводят обследование у невролога. Для определения особенностей злокачественной опухоли, ее размера и типа используют МРТ и КТ.
Для лечения рака уха используют комбинированную терапию. Обычно она состоит из субтотальной резекции височной зоны с послеоперационной телегамматерапией. При переходе опухоли в близлежащие лимфатические узлы проводят их иссечение или операцию Крайля. На 3 и 4 стадии развития назначают радиотерапию. Химиотерапия в этом случае окажется менее эффективной.
Как записаться к специалисту в онкоцентре «София»


Плоскоклеточный рак легких
Плоскоклеточный рак легких относится к немелкоклеточному раку легких (НМРЛ). На его долю приходится около 40-50% всех случаев злокачественных новообразований бронхолегочной системы. Как правило, он развивается из эпителия крупных бронхов 2-4 порядка.
Основные формы плоскоклеточного рака легких:
- Центральный рак — это новообразование, которое разрастается из эпителия крупных бронхов 1-4 порядка.
- Периферический рак — эта форма рака легкого поражает мелкие периферические бронхи и альвеолы. Особенностью данной локализации является поздняя симптоматика. Первые признаки заболевания проявляются, когда опухоль начинает прорастать соседние ткани и достигает просвета крупных бронхов, или альвеол. Из-за этого опухоль поздно диагностируется, что неблагоприятно сказывается на прогнозе.
Второстепенные формы злокачественных новообразований легкого:
- Диссеминированный рак — диагностируется несколько опухолевых очагов, которые могут располагаться по всему легкому. Заболевание очень быстро прогрессирует.
- Медиастинальная форма — изначально опухоль имеет внелегочную локализацию, и поражает легкие при метастазировании в медиастинальные лимфатические узлы.
Факторы развития плоскоклеточного рака легких
Главным фактором развития плоскоклеточного рака легкого является курение. В целом у курильщиков риск развития рака легких составляет 17-20%. При отказе от курения, этот показатель снижается, поскольку ткань бронхов восстанавливается. Особенно опасно курение для женщин, принимающих гормональную терапию, у них риск погибнуть от рака легкого на 60% выше, чем у женщин, не принимающих гормоны. Помимо этого, рак легкого, развившийся у курильщика, имеет более неблагоприятное и агрессивное течение, чем аналогичное заболевание у некурящего человека.

Также канцерогенным эффектом в отношении рака легких обладают:
- Радон. Является вторым по значимости фактором риска рака легкого. Радон - это природный газ, который образуется при распаде урана, который в тех или иных концентрациях присутствует в земной коре. Концентрация радона зависит от природных особенностей почвы. В целом 100 Бк/м3 увеличивает риск рака легких на 16%.
- Асбест. Данное вещество повышает риск развития многих видов злокачественных новообразований дыхательной системы, в том числе рака легких.
- Некоторые вирусы. Сюда относят вирус папилломы человека, обезьяний вирус, цитомегаловирус и др. Они влияют на жизненный цикл клетки, блокируют апоптоз (запрограммированную гибель клетки), что провоцирует неконтролируемое деление и рост эпителия.
- Пыль. Исследования, проведенные Американским обществом рака, доказали, что увеличение содержания пыли во вдыхаемом воздухе на 1% увеличивает риск развития рака легкого на 14%.
Из эндогенных причин выделяют следующие факторы риска рака легкого:
- Хронические заболевания легких.
- Гормональные нарушения.
- Возраст старше 50 лет.
- Наследственная предрасположенность.

Симптомы плоскоклеточного рака легких
Клиническая картина рака легких зависит от локализации опухоли и стадии заболевания. Симптоматика неспецифична, т. е. все признаки могут обнаруживаться при других заболеваниях органов дыхательной системы.
Все симптомы рака легких делят на 4 группы:
- Первичные. Эти симптомы развиваются из-за воздействия опухоли на бронхи и альвеолы.
- Симптомы, которые развиваются при прорастании опухоли легких на соседние органы.
- Симптомы, развивающиеся, когда опухоль дает отдаленные метастазы. Например, метастазирование в головной мозг может проявляться признаками инсульта или менингита, при обширном поражении печени может развиваться желтуха.
- Симптомы, возникающие из-за системного воздействия рака легких на организм. Сюда относят повышение температуры тела, похудание и истощение, общую слабость и упадок сил.
Первичные признаки
Наличие и проявление первичной симптоматики будет определяться локализацией и/или размерами опухоли. Раньше всего проявляются эндофитные (растущие в просвет бронха) опухоли плоскоклеточного центрального рака легкого. Первым симптомом является кашель. Сначала он сухой, возникает из-за рефлекторного раздражения стенки бронха. Затем из-за нарушения дренирования неизбежно присоединяется инфекция, и кашель становится влажным. На этом фоне может развиться пневмония. Антибактериальная терапия приносит облегчение, но неизбежно развивается рецидив.
В ряде случаев обнаруживается кровохаркание. При этом мокрота либо полностью пропитана кровью («малиновое желе»), либо кровь присутствует в виде прожилок. Кровохаркание развивается из-за распада опухоли или изъязвления поверхности бронха. Если опухоль проросла в кровеносные сосуды, может развиться серьезное кровотечение.
При закупорке просвета бронха возникает чувство нехватки воздуха. Если поражен крупный бронх, может возникнуть ателектаз (спадение доли легкого).

Вторичные симптомы
- Боль. Бронхи и альвеолы не имеют болевых рецепторов, поэтому болезненные ощущения возникают при прорастании опухоли в соседние ткани, например, плевру. Также причиной развития боли может стать смещение органов грудной клетки и ателектаз.
- Одышка. Развивается из-за спадения легкого или его доли, при опухолевой обтурации просвета бронха, а также при развитии опухолевого плеврита, гемоторакса и др.
- Также вторичными симптомами является осиплость голоса из-за поражения возвратного нерва, нарушение глотания из-за врастания опухоли в пищевод и др.
Стадии заболевания
При первой стадии, опухоль не превышает 3 см. Отсутствуют признаки поражения лимфатических узлов и плевры. Эта стадия бессимптомна, новообразование диагностируется случайно, при обследовании по поводу другого заболевания.
При второй стадии опухоль достигает размеров в 5 см, могут иметься единичные метастазы в регионарные лимфатические узлы. На этой стадии уже появляются клинические симптомы.
3 стадия делится на 3а и 3b. При 3а стадии размеры новообразования превышают 5 см, опухоль прорастает плевру и грудную стенку. Имеются метастазы в регионарные лимфатические узлы. На этой стадии диагностируется более половины всех случаев плоскоклеточного рака легкого.
При 3b стадии опухоль прорастает кровеносные сосуды, плевру, пищевод, перикард (может поражаться сердце). Размер опухоли может быть любым.
При выставлении 4 стадии размер опухоли не имеет значения. Ключевым моментом является наличие отдаленных метастазов.
Для диагностики плоскоклеточного рака легких необходимо специальное обследование, поскольку ни анамнез, ни симптомы, ни данные физикального осмотра не позволяют заподозрить диагноз. Могут использоваться следующие методы:
- Рентгенологическое исследование. Не является точным методом диагностики рака легкого, поскольку чаще всего не позволяет визуализировать опухоль. Тем не менее, ее наличие можно заподозрить по ряду специфических признаков, характерных для нарушения вентиляции легочной ткани. Проводится рентгенография в переднезадней и боковой проекциях. Более информативным методом рентгендиагностики является компьютерная томография. Она позволяет выявить даже начальные формы новообразования до возникновения симптомов нарушения вентиляции, а также обнаружить перибронхиальный плоскоклеточный рак.
- УЗИ проводится для обнаружения отдаленных метастазов.
- Биопсия. Для того чтобы определить морфологический и молекулярно-генетический тип опухоли, необходимо исследовать ее фрагмент в лаборатории. Эти данные влияют на тактику лечения пациента и прогноз течения заболевания. Для проведения биопсии, используются различные методы, некоторые опухоли можно пропунктировать через грудную стенку, другие - во время бронхоскопии, биопсию более глубоколежащих новообразований проводят после хирургического удаления опухоли.

Лечение плоскоклеточного рака легкого
Хирургический метод
Основным методом лечения плоскоклеточного рака легкого является хирургическая операция. Ее объем будет определяться размером опухоли и ее взаимоотношением с окружающими тканями.
При периферической локализации плоскоклеточного рака удаляется доля легкого (лобэктомия), при центральном раке — все легкое (пневмонэктомия). Ингода при центральном раке есть возможность сохранить долю пораженного легкого с помощью бронхопластических операций, когда накладываются межбронхиальные анастамозы.
Современное развитие торакальной онкохирургии и анестезиологии позволяет проводить сложные обширные вмешательства при распространенных формах плоскоклеточного рака легких. Например, при прорастании опухоли в грудную стенку, пищевод и одновременно с удалением новообразования проводится резекция пораженных органов.

Также есть технологии, которые позволяют провести стандартные вмешательства с минимальной травматичностью. Например, лобэктомия проводится посредством видеоассистированной торакоскопии — все манипуляции выполняются через небольшие проколы в грудной стенке. Для того чтобы видеть, что происходит внутри, в грудную полость вводится миниатюрная видеокамера.
После удаления опухоли, ее отправляют в лабораторию для гистологического и молекулярно-генетического исследования. В зависимости от полученных результатов, будет решаться вопрос о назначении послеоперационной адъювантной химиотерапии.
Химиотерапия плоскоклеточного рака легких
К сожалению, у подавляющего большинства больных на момент постановки диагноза имеется местнораспространенная или метастатическая форма заболевания, поэтому такие пациенты нуждаются в химиотерапии. Ее применяют в следующих случаях:
- Как паллиативное лечение плоскоклеточной формы рака 3b-4 стадии.
- Предоперационная химиотерапия.
- Адъювантная (послеоперационная) химиотерапия.
- Совместно с лучевой терапией для лечения местнораспространенных форм опухоли.
Для химиотерапии плоскоклеточного рака легкого используются следующие двухкомпонентные платиносодержащие режимы:
- Гемзар + цисплатин.
- Таксотер+цисплатин.
- Навельбин + цисплатин.
На второй линии ХТ применяются алимта, доцетаксел, эрлотиниб, этопозид, гемцитабин. В качестве препаратов 3 линии используется эрлотиниб (тарцева).

Иммунотерапия
Иммунотерапия применяется при лечении распространенных стадий заболевания у пациентов, не имеющих драйверных молекулярно-генетических нарушений. Используются препараты пембролизумаб (китруда) при положительной экспрессии PD-LI, и ниволумаб. При назначении ниволумаба в рамках терапии второй линии определение PD-LI не требуется.
Суть действия данных препаратов заключается в следующем:
злокачественные клетки блокируют противоопухолевое действие Т-лимфоцитов путем связывания рецептора PD с его лигандами. Пембролизумаб является моноклональным телом, которое блокирует эту связь, тем самым делая раковые клетки заметными для иммунной системы.
Радиотерапия
Долгое время лучевая терапия была основным методом лечения плоскоклеточного рака легких 3-4 стадии. Однако его результаты были неудовлетворительными — медиана выживаемости составляла около 10 месяцев, пятилетняя выживаемость не превышала 5%. В настоящее время используется комбинированное лечение, включающее лучевую терапию в СОД 60-65Гр и двухкомпонентную платиносодержащую химиотерапию. Такое лечение позволило в 2 раза увеличить пятилетнюю выживаемость и медиану жизни.
Симптоматическая терапия плоскоклеточного рака легких
Симптоматическая терапия направлена на облегчение состояния больного и устранение тягостных симптомов заболевания:
- В первую очередь необходимо адекватное обезболивание. Для этого используется паллиативная лучевая терапия, химиотерапия, анальгетики (в том числе наркотические) и другие методы.
- Паллиативная лучевая терапия проводится при кровохаркании и обструкции бронхов.
- Для лечения экссудативного плеврита, который сопровождается одышкой, проводят плевроцентез с эвакуацией выпота и введением в плевральную полость цитостатиков. При массивной экссудате решается вопрос об установке дренажа.
- При развитии легочного кровотечения показано оперативное вмешательство, если его проведение невозможно, выполняют консервативный гемостаз.
- При массивном распаде опухоли встает вопрос о паллиативной операции.
Выживаемость при раке легких
Прогноз выживаемости определяется стадией заболевания. При радикальном хирургическом лечении на начальных стадиях удается добиться 5-летней выживаемости у 50-70% больных. При распространенных формах болезни при отсутствии лечения, средняя продолжительность жизни колеблется в пределах 9 месяцев. Специальное лечение позволяет увеличить этот показатель до 2-х лет.
Плоскоклеточный рак кожи
Плоскоклеточный рак кожи - злокачественная неоплазия, происходящая из шиповатого слоя эпидермиса. Образуется на неизмененной коже или возникает на фоне предраковых заболеваний. Имеет высокий, средний или низкий уровень дифференцировки клеток, может быть экзофитным либо эндофитным, ороговевающим либо неороговевающим. Представляет собой узел или язву с приподнятыми краями. Решающее значение для диагностики плоскоклеточного рака кожи имеют данные гистологического либо цитологического исследования. Лечение - операция, лучевая терапия, криодеструкция, лазерная вапоризация.
Общие сведения
Плоскоклеточный рак кожи - второе по распространенности онкологическое заболевание кожных покровов после базалиомы. Составляет около 20% от общего количества злокачественных неоплазий кожи. Отличается от базалиомы более высокой склонностью к образованию вторичных очагов. Возникает в шиповатом слое эпидермиса, быстро проникает в подлежащие ткани. Плоскоклеточный рак кожи обычно обнаруживается у пожилых больных, иногда выявляется у пациентов молодого и среднего возраста. Может локализоваться в любой анатомической зоне, чаще поражает открытые участки тела, органы промежности и перианальную зону. Достаточно часто рецидивирует. Лечение проводят специалисты в сфере онкологии и дерматологии.
Причины и классификация плоскоклеточного рака кожи
Причины данной патологии достоверно не выяснены. Установлено, что неоплазия может образовываться на неизмененных кожных покровах либо трансформироваться в раковую опухоль из предраковых болезней кожи, в том числе - пигментной ксеродермы и болезни Боуэна. Иногда плоскоклеточный рак кожи формируется на фоне кератоза, кератоакантомы, очага дерматита, хронических воспалительных процессов и язв различного генеза (посттравматических, лучевых, обусловленных нарушениями местного кровоснабжения и пр.), химических и солнечных ожогов.
Одним из ведущих факторов, способствующих развитию плоскоклеточного рака кожи, считают чрезмерную инсоляцию (особенно - у светлокожих блондинов). В число предрасполагающих факторов также входят радиоактивное излучение, продолжительный профессиональный контакт с канцерогенными веществами и генетическая предрасположенность (наличие неоплазий у близких родственников). Существуют исследования, указывающие на связь между плоскоклеточным раком кожи и некоторыми вирусами папилломы.
Обычно новообразование возникает в результате суммирующего действия нескольких перечисленных факторов. Риск развития плоскоклеточного рака кожи увеличивается при нарушениях иммунитета, однако специалисты утверждают, что эндогенные факторы играют незначительную роль по сравнению с экзогенными. С учетом особенностей роста выделяют экзофитную (опухолевый тип), эндофитную (язвенный тип) и смешанные формы плоскоклеточного рака кожи. Опухоли могут быть ороговевающими либо неороговевающими, состоять из одного очага или большого количества локусов. Существует три степени дифференцировки неоплазий: высокая, средняя и низкая.
Патоморфология плоскоклеточного рака кожи
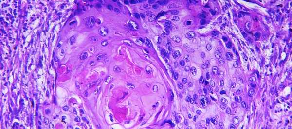
На макроскопическом уровне экзофитный рак кожи представляет собой плотный узел, эндофитный - язву. На поверхности новообразований видны очаги некроза и изъязвления. Для эндофитных опухолей характерно более раннее метастазирование в лимфоузлы. Ороговевающий плоскоклеточный рак кожи обычно имеет более высокий уровень дифференцировки, неороговевающий преимущественно представлен низкодифференцированными формами, склонными к агрессивному течению. Выраженность процессов ороговения не всегда соответствует уровню дифференцировки клеток. Высокодифференцированный плоскоклеточный рак кожи диагностируется чаще низкодифференцированного.
При гистологическом исследовании выявляются тяжи клеток шиповатого слоя эпидермиса, проникающие в глубокие слои кожи и подлежащие ткани. При изучении плоскоклеточного рака кожи определяются нормальные и атипичные клетки. Атипия характеризуется изменением формы, увеличением или уменьшением размера клеток, множественными патологическими митозами, гиперхроматозом и гиперплазией ядер. Высокодифференцированный ороговевающий плоскоклеточный рак кожи частично сохраняет обычную стратификацию, в его ткани видны «роговые жемчужины». Клетки низкодифференцированных неоплазий резко полиморфны, признаки слоев кожи полностью утрачены.
Симптомы и диагностика плоскоклеточного рака кожи
При экзофитном росте неоплазии на коже появляется плотная папула с ободком гиперемии. Плоскоклеточный рак кожи быстро растет, в зоне поражения образуется плотный малоподвижный красный либо розовый узел, покрытый ороговевшими частицами кожи либо бородавчатыми разрастаниями. Опухоль легко кровоточит, на ее поверхности возникают участки некроза и изъязвлений. Диаметр новообразования достигает 2 и более сантиметров. Изъязвление возникает через 3-4 месяца после появления папулы.
Эндофитный плоскоклеточный рак кожи представляет собой язву неправильной формы, четко отграниченную валикообразными краями от окружающих тканей. Поверхностные эндофитные опухоли покрыты коричневой коркой. Для глубоких неоплазий характерны желто-красная окраска и более выраженные крутые края. Дно новообразований бугристое, покрыто беловато-желтым налетом. Плоскоклеточный рак кожи достаточно быстро прорастает подлежащие ткани и метастазирует в лимфоузлы. Скорость роста, склонность к инвазии и время появления метастазов зависят от уровня дифференцировки неоплазии.
Диагноз выставляют дерматоонкологом с учетом анамнеза, данных осмотра, результатов гистологического и цитологического исследования. При подозрении на метастазирование назначают УЗИ регионарных лимфоузлов и другие диагностические процедуры. Дифференциальную диагностику осуществляют с базалиомой и гиперпластическими предраковыми заболеваниями: кератоакантомой, болезнью Боуэна, сенильным дискератозом, эритроплазией Кейра, аденокарциномой потовых желез, кожным рогом и некоторыми другими заболеваниями.
Лечение и прогноз при плоскоклеточном раке кожи
Тактику лечения плоскоклеточного рака кожи онкологи и дерматоонкологи выбирают в зависимости от локализации новообразования, распространенности онкологического процесса, наличия или отсутствия вторичных очагов, возраста и состояния организма больного. При небольших новообразованиях применяют лучевую терапию. Пожилым пациентам рентгенотерапию на начальном этапе обычно осуществляют при плоскоклеточном раке кожи любого размера (включая крупные опухоли). Целью лучевого лечения является полное исчезновение неоплазии или ее уменьшение до размеров, позволяющих провести радикальное хирургическое вмешательство.
Небольшие опухоли без глубокого распространения в подлежащие ткани удаляют, используя криотерапию или лазерную вапоризацию. Методики дают возможность обойтись без последующих масштабных пластических операций, поэтому особенно широко применяются при плоскоклеточном раке кожи лица. При крупных, глубоко проникающих новообразованиях выполняют традиционные операции. Плоскоклеточный рак кожи иссекают вместе с 1-2 см окружающих здоровых тканей. Проводят срочное гистологическое исследование образца, при наличии злокачественных клеток в зоне разреза объем вмешательства увеличивают. При необходимости осуществляют кожную пластику свободным кожным лоскутом, лоскутом, перемещенным с соседних участков либо лоскутом на питающей ножке с других участков тела. При больших неоперабельных неоплазиях назначают системную полихимиотерапию.
После завершения терапии пациент, страдающий плоскоклеточным раком кожи, находится на диспансерном наблюдении. Первый осмотр проводят через 1-1,5 месяца, последующие - через 3 месяца, 6 месяцев и 1 год. В дальнейшем больного осматривают ежегодно. Прогноз при плоскоклеточном раке кожи относительно благоприятный. Метастазы выявляются реже, чем при опухолях других локализаций. Чаще метастизируют крупные, рецидивирующие и глубоко проникающие неоплазии. Вероятность рецидивирования плоскоклеточного рака кожи на протяжении первого года после завершения лечения составляет 10%. На втором году рецидивирует 17% опухолей, на третьем - 21%, на пятом - 27%.
Читайте также:
- Техника амбулаторных операций на глотке, гортани. Аденотомия, тонзиллотомия
- Топография корня легкого. Взаимоотношения элементов корня легкого
- Лечение гирсутизма. Удаление лишних волос
- Поляризационная микроскопия. Интерференционная микроскопия. Люминесцентная микроскопия. Техника микроскопии.
- Влияние андрогенов на женский организм
