Эпидуральная классическая гематома на КТ
Добавил пользователь Евгений Кузнецов Обновлено: 01.11.2025
Субдуральные гематомы представляют собой скопление крови в пространстве между твердой мозговой и паутинной оболочками мозга. Может встречаться в любой возрастной группе, основаня причина - черепно-мозговая травма. КТ достаточно, чтобы поставить диагноз. Прогноз варьирует в широких пределах в зависимости от размеров и давности кровоизлияния. Более > 70% субдуральных гематом имеют другие важные повреждения: САК, ДАП, контралатеральные ушибы.
Эпидемиология
Субдуральные гематомы встречаются во всех возрастных группах:
- у детей чаще случайная травма,
- у молодых людей: дорожно-транспортные происшествия,
- у лиц пожилого возраста: падения (явный анамнез травмы может отсутствовать),
- встречаются в ~ 15% всех случаев травм головы,
- встречаются в 30% от травм головы со смертельным исходом.
Клиническая картина
Острые субдуральные гематомы обычно встречаются при черепно-мозговой травме, особенно у молодых пациентов, где они сочетаются с ушибами головного мозга. У большинства пациентов (65-80%) субдуральные гематомы сопутствуют выраженному угнетению сознания и аномалии зрачкового рефлекса. Клинические проявления подострых / хронических субдуральных гематом у пожилых людей без или с незнечительной травмой головы в анамнезе, часто являются неопределенными и являются одной из классических причин псевдо-деменции.
Патология
Субдуральные гематомы возникают при растяжении и разрыве мостиковых вен, залегающих в субдуральном пространстве, при воздействии внезапно возникающих сдвигающих сил при травме. Так же может повреждаться паутинная оболочка, вызывая скопление крови между паутинной и твердой мозговой оболочками. В 10 - 30% хронических субдуральных гематом имеются повторные кровоизлияния. Повторные кровотечения обычно происходят при разрыве перерастянутых корковых вен, так как они пересекают увеличенное заполненное субдуральное пространство, или из васкуляризированной псевдокапсулы. Субдуральные гематомы располагаются между твердой мозговой и паутинной оболочкой. Как правило они имеют лентовидную форму или форму полумесяца, и я вляются более протяженными чем эпидуральные гематомы. В отличие от эпидуральной гематомы, субдуральные гематомы не ограничиваются швами черепа, но ограничиваются серпом мозга и наметом мозжечка.
Диагностика
У взрослых 85% субдуральных гематом являются односторонними. У детей раннего возраста 75-85% являются двусторонними. Типичные места локализации субдуральных гематом лобно-теменные области и средняя черепная ямка. Межполушарные субдуральные гематомы чаще встречаются у детей с не дорожно-транспортными травмами. В подавляющем большинстве случаев, КТ достаточно для постановки диагноза. Введение контраста иногда бывает полезно, если есть подозрение на субдуральную эмпиему, при подозрении на наличие небольшой изоденсивной субдуральной гематомы или попытке разграничить расширение субарахноидальных пространств от хронической субдуральной гематомы.
Ренгенография черепа
При наличии КТ или МРТ модальностей нецелесообразна, бесполезна и даже вредна.
Компьютерная томография
Признак "водоворота" - это признак активного кровотечения. Проявления субдуральной гематомы при КТ зависят от давности и степени организации гематомы - в среднем плотность субдуральной гематомы снижается на 1,5 HU в день.
Острейшая субдуральная гематома
В большинстве случаев, исследование пациентам проводится позднее острейшей фазы (первый час), но в случаях когда исследование выполнено в этот период, субдуральные гематомы появляются относительно изоденсивной плотностью по отношению к коре головного мозга, с неоднородностью в виде завихрениий, из-за смеси сгустков крови и продолжающегося поступления не свернувшейся крови. Степень отека головного мозга (особенно у молодых пациентов, у которых черепно-мозговая травма часто является более тяжелой) влияет на объемное воздействие, нет прямой связи между размером субдуральной гематомы и степенью дислокации [2].
Острая субдуральная гематома
Классическая картина острой субдуральной гематомы - однородная гиперденсивная экстра-аксиально расположенная зона лентовидной формы или формы полумесяца, которая широко распространяется вдоль конвекса гемисферы головного мозга. По мере сворачивания крови, плотность гематомы увеличивается, как правило, до > 50-60 HU, таким образом, гематома является гиперденсивной по отношению к коре головного мозга [2]. До 40% субдуральных гематом имеет смешанную гипер- или гиподенсную плотность, за счет несвернувшейся крови и плазмы. Редко, острые субдуральные гематомы могут быть изоденсивной плотности по отношению к коре головного мозга, что встречается при коагулопатиях или тяжелой анемии, когда концентрация гемоглобина падает до 8 до 10 г/дл.
Подострая субдуральная гематома
Со временем за счет деградации белков плотность сгустков крови снижается. В период от 3 до 21 дней (обычно 7-14 дней), плотность снижается до ~30 HU и гематома становиться изоденсивной относительно коры головного мозга, что затрудняет диагностику, особенно если имеются двусторонние субдуральные гематомы [2]. Контрастное усиление при КТ полезно при отсутствии возможности выполнить МРТ. Ключевыми моментами в диагностике является ряд косвенных признаков:
- ЦСЖ борозд не доходит не костей черепа
- объемное воздействие включающее сглаживание борозд и латеральную дислокацию срединных структур
- кажущееся утолщение коры
Хроническая субдуральная гематома
В конечном счете субдуральная гематома становится гиподенсной и может достигать ~ 0 HU, она может быть изоденсивной относительно ЦСЖ и может симулировать субдуральную гигрому.
Повторное острое кровоизлияние в хронической субдуральной гематоме
Повторным острым кровоизлияним в хроническую субдуральную гематому считается эпизод острого кровоизлияния в ранее существовующую хроническую субдуральную гематому. Проявляется в вид гиподенсного скопления с уровнями. Может наблюдаться у пациентов с нарушениями свертывания крови или принимающих антикоагулянты [2].
Магнитно-резонасная томография
Проявления обычно обусловлены биохимическими свойствами гемоглобина который варьируют от сроков гематомы. Наиболее чувствительной является FLAIR последовательность.
Сверхострая субдуральная гематома
- T1: изоинтенсивный сигнал, по отношению к сигналу от серого вещества головного мозга
- T2: интенсивность сигнала варьирует от изо- до гиперинтенсивного
- FLAIR: гиперинтенсивный сигнал, по отношению к сигналу ЦСЖ
- T1: интенсивность сигнала варьирует от изо- до гиперинтенсивного, по отношению к сигналу от серого вещества головного мозга
- T2: сигнал гипоинтенсивный, по отношению к серому веществу
- FLAIR: гиперинтенсивный сигнал, по отношению к сигналу ЦСЖ
Во фронтальной плоскости может иметь двояковыпуклую форму, а не форму полумесяца, которая является типичной в аксиальной плоскости
Эпидуральная гематома
Эпидуральная гематома представляет собой скопление крови между внутренней поверхностью черепа и наружным слоем твердой мозговой оболочки, который называется периостом. При эпидуральной гематоме, как правило, в анамнезе имеется травма и сопутствующий перелом черепа. Источником кровотечения обычно является разрыв острыми краями перелома черепа ветвей менингеальной артерии (чаще всего, средней менингеальной артерии). Эпидуральные гематомы, как правило, имеют двояковыпуклую форму, могут иметь объемное воздействие вызывая вклинение головного мозга. Как правило, эпидуральные гематомы ограничены черепными швами. КТ и МРТ являются подходящими модальностями для диагностики эпидуральных гематом. При своевременно оказанном лечении, прогноз при эпидуральной гематоме хороший.
Обычно эпидуральные гематомы встречаются у молодых пациентов с травмой головы и переломом костей черепа в анамнезе.
Патофизиология
Источником кровотечения обычно является разрыв менингеальной артерии, как правило, средней менингеальной артерии. Сопутствующий перелом костей черепа встречается в ~ 75% случаев [2]. Болевой синдром вызывается за счет сепарацией твердой мозговой оболочки от костей черепа при кровотечении . Эпидуральные гематомы в задней черепной ямке редки, но потенциально более жизнеугрожающие 2. Иногда источником эпидуральной гематомы является разрыв венозных синусов.
Локализация
В 95% случаев эпидуральные гематомы односторонние, однако встречаются двусторонние и множественные эпидуральные гематомы.
Особые локализации ассоциированные с венозным кровотечением, включают в себя:
- в области vertex— центрально расположенной наивысшей точки свода черепа (смещают верхний сагиттальный синус) [5]
- передняя черепная ямка [6]
- возможно венозное кровотечение из сфенопариетального синуса
- не вызывают смещение срединных структур или дислокации
- редко увеличиваются в размерах
Для понимания морфологии эпидуральных гематом полезно понимать ее отношение к костям свода черепа и твердой мозговой оболочке. Эпидуральная гематома по сути является субпериостальной гематомой расположенной в черепе, между внутренней поверхностью черепа и париетальным слоем твердой мозговой оболочки (периостом). В результате эпидуральная гематома ограничена черепными швами, поскольку внутренний слой периоста через швы переходит в наружный слой периоста у детей и плотно срастаеться с ними у взрослых. Это позволяет дифференцировать эпудиральные гематомы от субдуральных - последние не ограничены черпными швами. Однако эпидуральные гематомы могут пересекать и смещать венозные синусы в областях где нет швов, поскольку венозные синусы расположены между париетальным и висцеральным слоями твердой мозговой оболочки. Редко эпидуральные гематомы могут пересекать швы. В исследовании Huisman TA, Tschirch FT [4] отмечено что до 11% эпидуральных гематом у детей пересекают швы в случаях:
- линия перелома пересекает линию шва
- при наличии диастаза шва
- гематома в области vertex, обычно венозного генеза, часта пересекает срединную линию локализуясь над верхним сагиттальным синусом [5]
Эпидуральные гематомы хорошо визуализируются при КТ головного мозга. Они имеют двояковыпуклую (чечевицеобразную, линзовидную) форму, часто локализуются в области чешуйчатой части височной кости. Эпидуральные гематомы имеют гиперденсивную плотность, несколько неоднородны и имеют четкие границы. В зависимости от размера, могут иметься признаки вторичного объемного воздействия (напр., смещение срединных структур, subfalcine грыжа, UNCAL грыжа).
При остром кровотечение могут иметь неоднородную структуру за счет менее гиперденсивной свежей крови. Периферическое контрастное усиление встречается при визуализации хронических эпидуральных гематом и обусловленно грануляциями и неоваскуляризацией.
Магнитно-резонансная томография
МРТ позволяет четко визуализировать смещенную твердую мозговую оболочку, в виде гипоинтесивной линии на Т1 и Т2 последовательностях, что помогает отдифференцировть эпидуральную гематому от субдуральной.
Остая эпидуральная гематома имеет изоинтенсивный МР сигнал на Т1 ВИ и может иметь различную интенсивность МР сигнала на Т2 последовательностях.
Ранняя подострая эпидуральная гематома гипоинтенсивна на Т2 изображениях, в то время как поздняя и хроническая эпидуральная гематома будут иметь гиперинтесивный МР сигнал как на Т1 так и на Т2 последовательностях.
Внутривенное введение контраста позволяет визуализировать смещенные или окклюзированные венозные синусы в случаях венозного источника эпидурального гематомы.
Дифференциальный диагноз
При больших размерах гематомы обычно не возникает сложности с постановкой правильного диагноза. При небольших размерах, особенно с сопутствующим поражением паренхимы (напр. ушиб головного мозга, травматическое субарахноидальное кровоизлияние, субдуральная гематома) дифференциальная диагностика может быть затруднительна.
Гематома на КТ головного мозга - что покажет
![]()
КТ головного мозга является приоритетным способом быстрой диагностики гематомы головного мозга при травме головы. Внутричерепные гематомы — это скопления крови в головном мозге либо в пространстве между головным мозгом и черепом. В ходе 1-3 минутного обследования врач может провести дифференциальную диагностику следующих видов скопления крови:
- Субдуральная гематома
- Эпидуральная гематома
Эпидуральная гематома на КТ
Небольшое скопление крови, которое расположилось над поверхностной оболочкой мозга, называют в медицине эпидуральной гематомой. Как правило, она возникает во время перелома черепа. При таком повреждении чаще всего источником кровотечения становятся оболочечные артерии. В зависимости от расположения по отношению к мозжечку такая гематома подразделяется на подвиды:
- Субтенториальная гематома - находится ниже намета мозжечка;
- Супратенториальная гематома - находится выше намета мозжечка.
Признаки эпидуральной гематомы на КТ
Если рассмотреть эпидуральную гематому на полученных томографических снимках, то можно отметить ее особенную форму. Она напоминает двояковыпуклую линзу, что соприкасается с костью. Иногда при переломе черепа можно наблюдать такую картину: перелом кости находится прямо в области дна гематомы.
Абсолютно точный признак эпидуральной гематомы - это наличие у углов скопления крови, так называемых, ликворных «стрелок», которые появляются в случае разрыва арахноидальной оболочки. При этом ликвор постепенно переходит из арахноидальной полости в субдуральное пространство. Тут же можно наблюдать присутствие костных отломков. Что касается строения эпидуральных гематом, то их структура по обыкновению однородная. При травмах очень редко можно встретить неоднородное скопление крови или наличие газа в черепе.
Субдуральная гематома на КТ
Небольшое скопление крови, которое расположилось под твердой оболочкой мозга, в медицине называют субдуральной гематомой. Сравнивая ее с эпидуральной, можно отметить, что она провоцирует явное, очевидное смещения мозга, а также гораздо более сильное сжатие ликворных пространств. Появляется такая гематома в связи со смещением головного мозга по отношению к его кости. Внешне она напоминает серп с острыми углами. Кажется, что такое скопление крови очень плотно прилегает к кости, хотя это не так. Источник кровотечения такого вида гематом - вены.
Признаки субдуральной гематомы на КТ
Рассматривая на томограмме субдуральную гематому, можно выделить следующие ее виды:
- Правостороннюю;
- Левостороннюю;
- Задней черепной ямки.
Что касается их внешнего вида, то в острой фазе все они показывают высокую плотность, по структуре однородны. Подострые гематомы на изображении отличаются от тех, что фиксируются в острый период. Они приобретают капсулу, по плотности становятся схожи с веществом мозга, а также способны увеличиваться. При хроническом течении гематома тоже имеет капсулу, но отличается тем, что она гипотензивна, способна вызывать атрофию извилин и коры головного мозга, что прилежат к ней.
Что касается структуры субдуральных гематом, то они характеризуются на КТ сканировании:
- Атипичной локализацией;
- Слоистой структурой;
- Нехарактерной формой;
- Не зависимо от размера скопления крови наблюдается масс-эффект;
- Медленным расправлением мозга;
- Нередко перерастает в хроническую или подострую форму.
Что входит в КТ головного мозга
В стандартный протокол КТ головного мозга входит обследование следующих структур:
- серое вещество головного мозга
- белое вещество головного мозга
- субарахноидальное пространство
- желудочки мозга,
- хиазмально-селлярная область
- краниовертебральный переход
- внутренние слуховые проходы
- наружные слуховые проходы
- кости основания и свода черепа.
Дифференциальная диагностика гематом на КТ
Чтобы врачу дифференцировать гематомы, он сравнивает такие характеристики:
- Определяет форму гематомы;
- Изучает ее вершины и углы;
- Соотносит длину и ширину;
- Рассматривает прилежание к костям;
- Выявляет смещение структур;
- Находит отхождение венозных коллекторов.
Вершина эпидуральной гематомы характеризуется значением от 40 градусов и более, соотношение длины и ширины равняется пять к одному или чуть меньше. К тому же она плотно соприкасается с костями, практически не вызывает смещение мозга.
Вершина субдуральной гематомы всего 20% или меньше, соотношение размера больше, чем пять к одному, не примыкает к костям, влияет на заметное смещение мозга.
![]()
- Кармазановский, Г.Г. Клиническая компьютерная томография / Г.Г. Кармазановский // Лечащий врач. 1998. - № 6.
- Коновалов А.Н., Махмудов У.Б., Филатов Ю.М. и соавт.: Клиника, диагностика и хирургическое лечение гематом ствола мозга. Журн. «Вопросы Нейрохирургии» 1
- Бабчин А.И. Травматические субдуральные гидромы: Автореф. дисс. канд. мед. наук. JI., - 1982.
- 1. Бабчин А.И. Травматические субдуральные гидромы: Автореф. дисс. канд. мед. наук. JI., - 1982.
Коновалов А.Н., Корниенко В.Н. Компьютерная томография в нейрохирургической клинике. М.: Медицина, 1985.
Горбацевич А.Б. , Шустин В.А. К диагностике и хирургическому лечению хронических субдуральных гематом //Вопросы нейрохирургии. -1961.-N5.
Кандель Э.И., Чеботарева Н.М., Вавилов С.Б. Компьютерная томография в диагностике субдуральных гематом // III Всесоюзный съезд нейрохирургов: Тез. докл. -М., 1982
Корниенко В.Н., Васин Н.Я., Кузьменко В.А. Компьютерная томография в диагностике черепно-мозговой травмы. М.: Медицина, 1987.
Кузнецов С.В. Клинические и компьютерно-томографические сопоставления при черепно-мозговой травме: прогнозирование исходов // Вопр. нейрохирургии. 1986,- № 3
Середа А.П. Травматические субдуральные гидромы (клиника, диагностика и хирургическое лечение): Автореф. дисс. .канд. мед. наук. -Киев, 1981.
Информационные статьи о диагностике
![]()
Магнитно-резонансная томография головного мозга - это послойное сканирование тканей мозга с последующей их визуализацией в виде объемных черно-белых томограмм. Принцип работы МР-томографа строится на эффекте ядерного магнитного резонанса. МРТ аппарат состоит из диагностического стола, сканирующей установки со встроенным мощным магнитом и компьютера для обработки данных. Когда голова пациента
![]()
В клиниках Санкт-Петербурга томографию мозга проводят по двум основным протоколам - МРТ головного мозга без контраста (она же нативная магнитно-резонансная томография) и МРТ головного мозга с контрастным усилением. В 70% случаев бесконтрастного обследования достаточно для того, чтобы провести диагностику.
![]()
При диагностике инсульта в медицинских центрах Санкт-Петербурга на помощь врачам приходит компьютерная томография и МРТ головного мозга и сосудов головы и шеи. Инсульт - это опасное нарушение мозгового кровообращения с необратимым повреждением тканей мозга. При инсульте умирают клетки вещества мозга, поскольку затрудняется или прекращается поступление крови к тому или иному участку мозга. Факторы,
Субдуральная гематома
Субдуральная гематома — ограниченное внутричерепное скопление крови, локализующееся между твердой и арахноидальной мозговыми оболочками. В большинстве случаев является следствием травмы. Проявляется вариативными по форме и длительности нарушениями сознания и психики, головной болью, рвотами, очаговым неврологическим дефицитом (мидриаз, гемипарез, экстрапирамидные расстройства). Решающую роль в диагностике имеют данные КТ или МРТ. В легких случаях достаточным является консервативное лечение (антифибринолитическое, противоотечное, симптоматическое), но чаще требуется хирургическое удаление гематомы.
![Субдуральная гематома]()
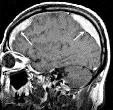
![МРТ головного мозга. Массивная двухсторонняя хроническая субдуральная гематома.]()
![КТ головного мозга. Подострая субдуральная гематома справа]()
Общие сведения
Субдуральная гематома — локальное скопление крови, находящееся между твердой и паутинной (арахноидальной) церебральными оболочками. Составляет около 40% от всех внутричерепных кровоизлияний, к которым также относятся эпидуральные и внутримозговые гематомы, желудочковые и субарахноидальные кровоизлияния. В преобладающем большинстве наблюдений субдуральная гематома выступает следствием черепно-мозговой травмы, частота ее встречаемости при тяжелой ЧМТ доходит до 22%. Гематомы субдуральной локализации могут возникать в любом возрасте, но чаще наблюдаются у людей старше 40 лет. Среди пациентов соотношение мужчин к женщинам составляет 3:1.
Субдуральные гематомы классифицируют на острые (проявляющиеся в первые 3-е суток ЧМТ), подострые (проявляющиеся в период от 3-х суток до 2-х недель с момента травмы) и хронические (проявляющиеся позднее 2-х недель). Согласно МКБ-10, выделяют нетравматическое и травматическое субдуральное кровоизлияние с наличием/отсутствием проникающей в череп раны. В клинической практике субдуральная гематома является предметом изучения для специалистов в области травматологии, нейрохирургии и неврологии.
![Субдуральная гематома]()
Причины
Субдуральная гематома формируется преимущественно вследствие возникающего в результате ЧМТ разрыва интракраниальных вен, проходящих в субдуральном пространстве. Гораздо реже она возникает вследствие сосудистой церебральной патологии (артерио-венозных мальформаций и аневризм церебральных сосудов, гипертонической болезни, системного васкулита) и нарушений свертывания крови (коагулопатии, терапии антикоагулянтами). Отличием от эпидуральной гематомы является возможность двустороннего образования субдуральной гематомы.
Субдуральная гематома на стороне действия повреждающего агента (гомолатеральная гематома) образуется при малоподвижной голове и небольшой площади контакта с травмирующим предметом. Формирование гематомы возможно и без прямого контакта черепа с травмирующим фактором. Это может произойти при резкой остановке или перемене направления движения. Например, во время езды в транспорте, при падении на ягодицы или на ноги. Происходящее при этом резкое встряхивание головы обуславливает смещение полушарий мозга внутри черепной коробки, влекущее за собой разрыв интракраниальных вен.
Субдуральная гематома, противоположная стороне повреждения, носит название контрлатеральной. Она формируется при ударе черепа о массивный малоподвижный объект или при действии на неподвижную голову травмирующего предмета с большой площадью контакта. Контрлатеральная субдуральная гематома часто связана с разрывом вен, которые впадают в сагиттальный венозный синус. Намного реже гематомы субдурального пространства обусловлены непосредственным травмированием вен и артерий мозговой коры, происходящем при разрыве твердой церебральной оболочки. На практике часто наблюдаются двусторонние субдуральные гематомы, что связано с одновременным приложением нескольких механизмов травмирования.
Острая субдуральная гематома формируется преимущественно при тяжелой ЧМТ, подострая или хроническая — при легких формах ЧМТ. Хроническая субдуральная гематома заключена в капсулу, которая образуется спустя неделю после травмы благодаря активации фибробластов твердой оболочки мозга. Ее клинические проявления обусловлены нарастающим увеличением объема.
![МРТ головного мозга. Массивная двухсторонняя хроническая субдуральная гематома.]()
Симптомы
Общемозговые симптомы
Среди общемозговых проявлений отмечаются расстройства сознания, нарушения психики, цефалгия (головная боль) и рвота. В классическом варианте характерна трёхфазность нарушений сознания: утрата сознания после ЧМТ, последующее восстановление на какое-то время, обозначаемое как светлый промежуток, затем повторная утрата сознания. Однако классическая клиника встречается достаточно редко. Если субдуральное кровоизлияние сочетается с ушибом головного мозга, то светлый промежуток вообще отсутствует. В других случаях он имеет стертый характер.
Длительность светлого промежутка весьма вариабельна: при острой гематоме — несколько минут или часов, при подострой — до нескольких суток, при хронической — несколько недель или месяцев, а иногда и несколько лет. В случае длительного светлого промежутка хронической гематомы его окончание может быть спровоцировано перепадами артериального давления, повторной травмой и др. факторами.
Среди нарушений сознания преобладают дезинтеграционные проявления: сумеречное состояние, делирий, аменция, онейроид. Возможны расстройства памяти, корсаковский синдром, «лобная» психика (эйфория, отсутствие критики, нелепое поведение). Зачастую отмечается психомоторное возбуждение. В ряде случаев наблюдаются генерализованные эпиприступы.
Пациенты, если возможен контакт, жалуются на головную боль, дискомфорт при движении глазными яблоками, головокружение, иррадиацию боли в затылок и глаза, гиперчувствительность к свету. Во многих случаях больные указывают на усиление цефалгии после рвоты. Отмечается ретроградная амнезия. При хронических гематомах возможно снижение зрения. Острые субдуральные гематомы, приводящие к компрессии мозга и масс-эффекту (дислокационному синдрому), сопровождаются признаками поражения мозгового ствола: артериальной гипотонией или гипертензией, дыхательными нарушениями, генерализованными расстройствами тонуса мышц и рефлексов.
Очаговые симптомы
Наиболее важным очаговым симптомом выступает мидриаз (расширение зрачка). В 60% случаев острая субдуральная гематома характеризуется мидриазом на стороне ее локализации. Мидриаз противоположного зрачка встречается при сочетании гематомы с очагом ушиба в другом полушарии. Мидриаз, сопровождающийся отсутствием или снижением реакции на свет, типичен для острых гематом, с сохранной реакцией на свет — для подострых и хронических. Мидриаз может сочетаться с птозом и глазодвигательными нарушениями.
Среди очаговой симптоматики можно отметить центральный гемипарез и недостаточность VII пары (лицевого нерва). Нарушения речи, как правило, возникают, если субдуральная гематома располагается в оболочках доминантного полушария. Сенсорные расстройства наблюдаются реже пирамидных нарушений, затрагивают как поверхностные, так и глубокие виды чувствительности. В ряде случаев имеет место экстапирамидный симптомокомплекс в виде пластического тонуса мышц, оральных автоматизмов, появления хватательного рефлекса.
Диагностика
Вариабельность клинической картины затрудняет распознавание субдуральных кровоизлияний. При диагностике неврологом учитываются: характер травмы, динамика нарушения сознания, наличие светлого промежутка, проявления «лобной» психики, данные неврологического статуса. Всем пациентам в обязательном порядке проводится рентгенография черепа. В отсутствие других способов распознаванию гематомы может способствовать Эхо-ЭГ. Вспомогательным методом диагностики хронических гематом выступает офтальмоскопия. На глазном дне офтальмолог зачастую определяет застойные диски зрительных нервов с их частичной атрофией. При проведении ангиографии церебральных сосудов выявляется характерный «симптом каймы» - серповидная зона аваскуляризации.
Решающими методами в диагностике субдуральной гематомы являются КТ и МРТ головного мозга. В диагностике острых гематом предпочтение отдается КТ головного мозга, которая в таких случаях выявляет однородную зону повышенной плотности, имеющую серповидную форму. С течением времени происходит разуплотнение гематомы и распад кровяных пигментов, в связи с чем через 1-6 нед. она перестает отличается по плотности от окружающих тканей. В подобной ситуации диагноз основывается на смещении латеральный отделов мозга в медиальном направлении и признаках сдавления бокового желудочка.
![КТ головного мозга. Подострая субдуральная гематома справа]()
При проведении МРТ может наблюдаться пониженная контрастность зоны острой гематомы; хронические субдуральные гематомы, как правило, отличаются гиперинтенсивностью в Т2 режиме. В затруднительных случаях помогает МРТ с контрастированием. Интенсивное накопление контраста капсулой гематомы позволяет дифференцировать ее от арахноидальной кисты или субдуральной гигромы.
Лечение
Консервативная терапия осуществляется у пациентов без нарушений сознания, имеющих гематому толщиной не более 1 см, сопровождающуюся смещением церебральных структур до 3 мм. Консервативное лечение и наблюдение в динамике с МРТ или КТ контролем показано также пациентам в коме или сопоре при объеме гематомы до 40 мл и внутричерепном давлении ниже 25 мм рт. ст. Схема лечения включает: антифибринолитические препараты (аминокапроновую кислоту, викасол, апротинин), нифедипин или нимодипин для профилактики вазоспазма, маннитол для предупреждения отека мозга, симптоматические средства (противосудорожные, анальгетики, седативные, противорвотные).
Острая и подострая субдуральная гематома с признаками сдавления головного мозга и дислокации, наличием очаговой симптоматики или выраженной внутричерепной гипертензии являются показанием к проведению срочного хирургического лечения. При быстром нарастании дислокационного синдрома проводится ургентное эндоскопическое удаление гематомы через фрезевое отверстие. При стабилизации состояния пациента нейрохирургами осуществляется широкая краниотомия с удалением субдуральной гематомы и очагов размозжения. Хроническая гематома требует хирургического лечения при нарастании ее объема и появлении застойных дисков при офтальмоскопии. В таких случаях она подлежит наружному дренированию.
Прогноз и профилактика
Число смертельных исходов составляет 50-90% и наиболее высоко у пожилых пациентов. Следует отметить, что летальность обуславливает не столько субдуральная гематома, сколько травматические повреждения тканей мозга. Причиной смерти также являются: дислокация мозговых структур, вторичная церебральная ишемия, отек головного мозга. Угроза смертельного исхода остается и после хирургического лечения, поскольку в послеоперационном периоде возможно нарастание церебрального отека. Наиболее благоприятные исходы отмечаются при проведении операции в первые 6 ч. с момента ЧМТ. В легких случаях при успешном консервативном лечении субдуральная гематома рассасывается в течение месяца. Возможна ее трансформация в хроническую гематому.
Профилактика субдуральных кровоизлияний тесно связана с предупреждением травматизма вообще и травм головы в частности. К мерам безопасности относятся: ношение шлемов при езде на мотоцикле, велосипеде, роликах, скейте; ношение касок на стройке, при восхождении в горах, занятии байдарочным спортом и другими видами экстрима.
Спинальное эпидуральное кровоизлияние
Спинальное эпидуральное кровоизлияние — кровотечение в полость между внутренней поверхностью стенок позвоночного канала и дуральной оболочной спинного мозга с образованием эпидуральной гематомы. Клинически дебютирует с интенсивной корешковой боли, локализующейся соответственно уровню кровоизлияния, сменяющейся спинально-проводниковыми неврологическими расстройствами (парезами, гипестезией, тазовой дисфункцией). Диагностируется в основном по данным МРТ позвоночника. Лечение в большинстве случаев хирургическое — ламинэктомия и аспирация гематомы. Консервативная терапия сопровождает операцию или используется самостоятельно при наличии положительной динамики процесса.
![Спинальное эпидуральное кровоизлияние]()
Спинальное эпидуральное кровоизлияние — отдельный вид гематомиелии (спинномозгового кровоизлияния), при котором излитие крови происходит в эпидуральное пространство — щель между твердой (дуральной) мозговой оболочкой и стенками позвоночного канала. Спинальное эпидуральное кровоизлияние, связанное с травмой позвоночника, называют травматическим. Остальные случаи относят к спонтанным кровоизлияниям. Распространенность травматических эпидуральных кровоизлияний не велика, они составляют не более 0,75% всех позвоночно-спинномозговых травм. В молодом возрасте, в связи с повышенной подвижностью позвоночника, такие кровоизлияния могут возникать при отсутствии костных повреждений. Причину спонтанного эпидурального кровоизлияния удается установить лишь в 10% случаев. Диагностику и лечение спинальных кровоизлияний проводят специалисты в области неврологии, травматологии и нейрохирургии.
Причины спинального эпидурального кровоизлияния
Травматическое спинальное эпидуральное кровоизлияние может быть вызвано переломом позвоночника, переломовывихами и вывихами позвонков, родовой травмой, огнестрельными ранениями, ушибом позвоночника. В отдельных случаях оно имеет ятрогенный генез и выступает осложнением эпидуральной блокады, операций на позвоночнике, люмбальной пункции.
Спонтанное спинальное кровоизлияние бывает обусловлено нарушениями в свертывающей системе (например, при гемофилии, тромбоцитопении), антикоагулянтным лечением, варикозным расширением вен эпидурального пространства, артериальной гипертензией, аномалиями сосудов эпидурального пространства. К последним относятся аневризмы, артерио-венозные фистулы, кавернозные мальформации и венозные аномалии. Сосудистые мальформации считаются самой частой причиной развития эпидурального спинального кровотечения. Пусковыми факторами, вызывающими повреждение эпидуральных сосудов, могут выступать резко возникающая гипертензия в полых венах, резкий подъем внутрибрюшного или внутригрудного давления.
К факторам, лежащим в основе кровоизлияния, также относятся случаи сращения эпидуральных вен с надкостницей позвоночного канала. В такой ситуации при чрезмерной мобильности позвоночника и повышенной физической нагрузке, особенно у лиц с выраженным лордозом, происходит натяжение вен, обуславливающее их повреждение. Аналогичный механизм кровоизлияния может реализоваться при наличии спаек и воспалительных изменений структур позвоночника, в которые вовлекаются стенки сосудов. С другой стороны, чрезмерные нагрузки на позвоночник и большая мобильность, например, при занятиях экстремальным спортом, могут спровоцировать эпидуральное кровоизлияние даже при отсутствии каких-либо предрасполагающих сосудистых факторов.
Симптомы спинального эпидурального кровоизлияния
Спинальное эпидуральное кровоизлияние манифестирует резкой болью в том отделе позвоночника, где произошла сосудистая катастрофа. Боль сходна с болью при радикулите и обусловлена раздражением спинномозговых корешков изливающейся в эпидуральное пространство кровью. Через несколько часов (иногда - минут) боль стихает, на первый план выходят спинально-проводниковые расстройства. Возникает и прогрессирует мышечная слабость, достигающая ниже уровня поражения степени плегии. Наблюдается снижение мышечного тонуса, проводниковые сенсорные нарушения, симметричное снижение периостальных и сухожильных рефлексов. Расстройство тазовой функции характеризуется недержанием мочи.
Особенности клинической картины кровоизлияния зависят от его расположения. У пациентов после 40-летнего возраста в подавляющем большинстве случаев наблюдаются эпидуральные кровоизлияния в поясничном и крестцовом отделах, у лиц моложе 40 лет — в шейном и грудном. Преобладает дорзальная локализация образовавшихся эпидуральных гематом.
Диагностика спинального эпидурального кровоизлияния
При постановке предварительного диагноза учитывается внезапность возникновения симптомов, их связь в физической активностью, типичная этапность (вначале боль, а затем слабость и онемение конечностей), неврологическая картина. Однако установить диагноз эпидурального кровоизлияния только по клинической картине не представляется возможным. Необходимо проведение МРТ или КТ позвоночника. МРТ позвоночника является более информативным методом, поскольку позволяет визуализировать эпидуральную гематому и дифференцировать ее от других оболочечных кровоизлияний. Кроме того, МРТ позволяет определить степень сдавления спинного мозга и выявить признаки компрессионной миелопатии. Дополнительно может быть проведена КТ сосудов или магнитно-резонансная ангиография.
При отсутствии возможности нейровизуализации проводят люмбальную пункцию и контрастную миелографию. Для выявления сосудистых аномалий возможно применение ангиографии позвоночника, но в остром периоде спинального кровоизлияния это метод обычно не используется. Эпидуральное спинальное кровоизлияние необходимо дифференцировать от субдуральной спинальной гематомы и субарахноидального спинального кровоизлияния, а также от прочих поражений: ишемического спинального инсульта, острого миелита, спинального эпидурального абсцесса, спинальной формы рассеянного энцефаломиелита, опухолей спинного мозга и др.
Лечение спинального эпидурального кровоизлияния
Самостоятельное разрешение эпидуральной спинальной гематомы наблюдается редко, в связи с этим в большинстве случаев применяется хирургическое лечение. Операция позволяет быстро ликвидировать гематому и добиться декомпрессии спинного мозга. Доступ к гематоме осуществляется путем ламинэктомии. Удаление эпидуральной гематомы производится путем вакуумной аспирации. По мнению большинства нейрохирургов результат хирургического лечения во многом определяется своевременностью его проведения и степенью неврологических нарушений на момент операции.
Консервативное лечение осуществляется травматологом (при травматическом эпидуральном кровоизлиянии) или неврологом в случаях, когда пациент был доставлен в стационар в поздние сроки заболевания, и у него отмечается заметный регресс неврологического дефицита. Следует сказать, что регресс клинических симптомов и томографическое подтверждение рассасывания гематомы являются показаниями к консервативной терапии вне зависимости от сроков кровоизлияния. В тоже время, консервативные мероприятия сопровождают и дополняют оперативное лечение. Назначаются гемокоагулянты (аминокапроновая к-та, викасол), антигипоксанты и нейрометаболиты (витамины гр В, неостигмин, свинной церебральный гидрализат). При тазовых расстройствах проводят катетеризацию мочевого пузыря и профилактику урогенитальной инфекции.
Исход эпидурального спинального кровотечения определяется своевременностью удаления образовавшейся эпидуральной гематомы. Благоприятный прогноз возможен, если операция проведена до развития значительного неврологического дефицита, т. е. до возникновения в спинном мозге необратимых изменений, связанных с его сдавлением гематомой. В остальных случаях наблюдается стойкий остаточный неврологический дефицит в виде парезов, чувствительных нарушений, тазовых расстройств.
Читайте также:
- Связь между обонянием и вестибулярной функцией. Функции глотки
- Советы по остановке носового кровотечения
- Диагностика диффузного аксонального повреждения по КТ, МРТ
- Анатомия: Селезенка. Величина селезенки. Строение селезенки. Форма селезенки
- Взаимосвязь глаз и мозга. Выявление внутричерепной опухоли по глазам









