ЭРХПГ, КТ, МРТ, УЗИ признаки острого калькулезного холецистита
Добавил пользователь Владимир З. Обновлено: 28.11.2025
Предрасполагающими факторами являются повышенное содержание в желчи холестерина, нарушение содержания солей и фосфолипидов, застой и инфекция.
- Гемолитические заболевания: серповидноклеточная анемия, талассемия, наследственный сфероцитоз
- Холестаз: киста холедоха, болезнь Кароли, полное парентеральное питание, цирроз
- Нарушения метаболизма: ожирение, муковисцидоз, диабет, гиперлипидемия, беременность
- Кишечная мальабсорбция: болезнь Крона, бариатрическая хирургия, резекция подвздошной кишки
Генетика
- Семейная заболеваемость среди некоторых этнических групп: американские индейцы навахо, пима, чиппева.
Эпидемиология
- Наибольшая распространенность среди женщин с ожирением на пятом десятилетии жизни.
- У новорожденных редко, за исключением случаев предрасположенности, таких, как врожденная обструкция желчных протоков, обезвоживание, инфекция, гемолитическая анемия.
- У детей более старшего возраста сопутствует серповидноклеточной анемии, муковисцидозу, гемолитической анемии, болезни Крона.
Возраст
- Пик заболеваемости: пятое—шестое десятилетие жизни, увеличивается с возрастом
Пол

Патология
Макроскопические особенности
- 80% холестериновые камни, по определению содержащие > 50% холестерина
- 20% пигментированные камни, содержащие холестерин и кальция карбонат/билирубинат
- Пигментированные конкременты черного цвета встречаются при гемолитических расстройствах и циррозе
- Пигментированные конкременты коричневого цвета формируются при хронических бактериальных или паразитарных инфекциях, чаще в желчных протоках, чем в желчном пузыре
Микроскопические особенности
- Признаки острого/хронического воспаления стенки желчного пузыря различной степени выраженности.
Клинические проявления
Боли или дискомфорт в правом верхнем квадранте живота после приема жирной пищи.
Бессимптомная случайная находка при лучевом исследовании. Осложнения включают в себя острый или хронический холецистит, холедохолитиаз, холангит, панкреатит, желчнокаменную кишечную непроходимость и рак желчного пузыря.
Радиологические находки:
Ультразвуковое исследование (УЗИ):
- Высокоэхогенные структуры в просвете желчного пузыря дают интенсивную однородную акустическую тень.
- Подвижны, смещаются под действием гравитации.
- Ложноотрицательные результаты ультразвукового исследования: маленький сократившийся желчный пузырь, заполненный конкрементами, мелкие конкременты, эктопия/атипичное расположение желчного пузыря, пациент с ожирением/ неконтактный
Варианты УЗ‐картины
Скопление в ямке желчного пузыря ярких эхосигналов с акустической тенью, представляющих собой заполненный конкрементами желчный пузырь, может быть ошибочно принято за луковицу двенадцатиперстной кишки. Симптом двойной дуговой тени или симптом «стенка‐эхо‐ тень»: две эхогенных изогнутых линии, разделенные эхо‐прозрачной полосой (передняя стенка желчного пузыря, желчь, эхосигнал в виде изогнутой линии от конкремента, и тень позади него. Не отбрасывающие тени конкременты желчного пузыря (конкременты < 5 мм). Неподвижный фиксированный конкремент или неподвижный конкремент в шейке желчного пузыря.
Желчный пузырь
Утолщение стенки желчного пузыря является диагностическим признаком, который встречается максимально часто при диагностике болезней желчного пузыря. Исторически так сложилось, что при утолщении стенки желчного пузыря врачи в первую очередь врачи думают о первичном заболевания желчного пузыря, а именно остром холецистите. В данной статье хотелось бы разобрать, какие патологические состояния приводят к утолщению стенки желчного пузыря так, как помимо воспалительных заболеваний желчного пузыря существует другие патологии, приводящие к тому же патоморфологическому признаку, как утолщение стенки желчного пузыря.

Схематичная патология. На данном рисунке продемонстрирован растянутый и гиперемичный желчный пузырь. Данные изменения встречаются при калькулезном холецистите, обусловленные обструкцией камнем желчного протока или шейки желчного пузыря.
УЗИ признаки калькулезного холецистита.
При помощи УЗИ, МРТ и КТ всегда возможно различить нормальную стенку желчного пузыря от утолщенной. Традиционно, УЗИ используется в качестве первого метода исследования при заболеваниях желчного пузыря так, как данный метод обладает высокой чувствительностью и специфичностью при обнаружении камней желчного пузыря. Также к достоинствам УЗИ относится:
- возможность оценки в реальном времени.
- дешевый метод.
- быстрый в выполнении.
- нет лучевой нагрузки.
Однако, компьютерная томография стала популярным методом при диагностике пациентов с симптомами острого живота. При остром животе КТ является первым методом исследования желчного пузыря во многих хирургических клиниках. Также КТ используют, как дополнительный метод исследования, если на УЗИ не выявили патологию или возникли какие-либо сомнения.
У МРТ также высокая диагностическая ценность при визуализации патологии желчного пузыря, но в связи с дороговизной метода и долгим временем выполнения диагностики, используют редко.
В норме стенки желчного пузыря на УЗИ визуализируется следующим образом:
- слизистой слой — гиперэхогенный.
- мышечный слой — гипоэхогенный.
- наружный или серозный слой — гиперэхогенный.
Толщина стенки желчного пузыря зависит от того насколько растянут желчный пузырь. Также толщина желчного пузыря увеличивается при следующих патологиях:
- холецистит.
- цирроз печени.
- асцит.
- острый вирусный гепатит.
- гипопротеинемия.
- злокачественное новообразование.
- правожелудочковая недостаточность.

Сверху: УЗИ желчного пузыря стенка норма в виде «карандаша». Справа УЗИ картина псевдо-утолщения стенки желчного пузыря.
На КТ желчный пузырь в норме визуализируется, как образование с плотностью присущей мягким тканям. Указано стрелкой.
Утолщение стенки желчного пузыря — это частая диагностическая находка. Утолщением является размер стенки более 3 мм. При УЗИ утолщенная стенка имеет слоистый внешний вид, а на КТ выявляется гиподенсный слой, что соответствует субсерозному отеку.

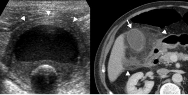
Слева — УЗИ — желчного пузыря у 59 летней женщины с острым холециститом. Субсерозный отек так, как гипоэхогенное утолщение между гиперэхогенными слоями (мышечным и слизистым). Справа — КТ брюшной полости с контрастным усилением. Также визуализируется субсерозный отек так, как наружный слой гиподенсный.

Острый холецистит стоит на четвертом месте среди заболеваний брюшной полости, требующих немедленной госпитализации. Если на УЗИ у пациентов, поступивших с острым животом, визуализируется утолщение стенки желчного пузыря, то первое о чем думают радиологи — это острый холецистит. Для постановки диагноза холецистита должны присутствовать также следующие признаки, как на УЗИ, так и на КТ:
- Дилатация желчного пузыря.
- Камни.
- Положительный симптом Мерфи при надавливании ультразвуковым датчиком в область желчного пузыря.
- Гиперемия стенки желчного пузыря в режиме Допплер.
- Воспалительный процесс в жировой клетчатке, окружающая желчный пузырь.

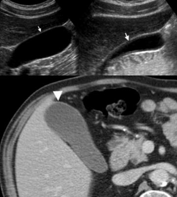
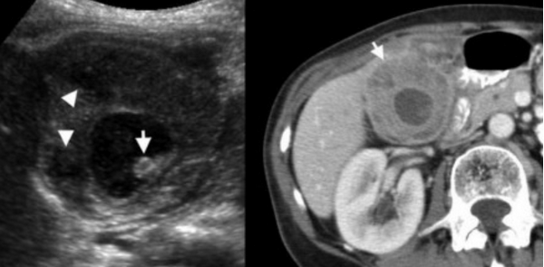
Острый калькулезный холецистит. После контрастного усиления визуализируется растянутый желчный пузырь (белые наконечники) со слегка утолщенной стенкой. Визуализируется камень в шейки желчного пузыря (белая стрелка).

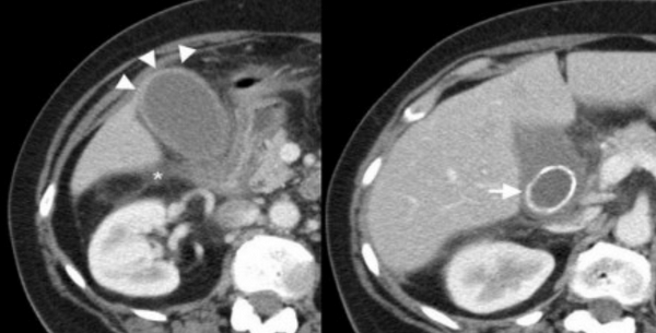
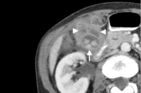
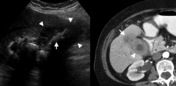
Сверху изображения пациента 62 лет с калькулезным холециститом. На УЗИ визуализируется стенки желчного пузыря растянутые, с субсерозным отеком (указано белыми стрелками) и в просвете желчного пузыря камень и взвесь. На КТ визуализируется переход воспалительного процесса с желчного пузыря на соседние ткани (перихолецистит).
УЗИ некалькулезный холецистит.
Острый бескаменный холецистит возникает у пациентов во время поста, а также у пациентов, которые принимают лекарства, вызывающие холестаз. К признакам некалькулезного холецистита относятся все признаки острого калькулезного холецистита кроме наличия камней в просвете желчного пузыря, но при этом взвесь обычно присутствует.

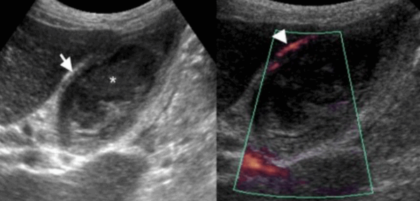
74 — летнему мужчине выполнено УЗИ желчного пузыря. Диагноз: острый некалькулезный холецистит. На левой сонограмме стрелкой указано утолщение стенок желчного пузыря. В просвете желчного пузыря взвесь. На правой сонограмме у того же пациента при исследовании в доплеровском режиме выявлен еще один признак воспаления — гиперемия.
УЗИ хронических холецистит
Термин хронического холецистита используют для обозначения вялотекущего воспалительного процесса с фиброзированием стенки желчного пузыря и образованием в просвете камней.

Представлен больной с хроническими болями в правом подреберье, который ежедневно воздерживался от еды с вечера. Утолщение слабо выраженное и не является физиологическим. Также визуализируются обструкция и камень. После УЗИ данному больному был поставлен диагноз — хронический холецистит.
Ксантогранулематозный холецистит.
Ксантогранулематозный холецистит — это воспалительное заболевание, характеризующаяся тем, что в стенке желчного пузыря образуются ксантомы и гранулемы. При исследовании выявляют утолщение стенки желчного пузыря, уменьшение органа в размере, а также интрамуральные узелки, которые визуализируются, как гипоэхогенные включения на УЗИ и гиподенсные на компьютерной томограмме. Данные включения схожи с включениями при карциноме желчного пузыря.

УЗИ и КТ желчного пузыря. Ксантогранулематозный холецистит. Слева на УЗИ визуализируется (помечено стрелками) утолщение стенки желчного пузыря с интрамуральным включением и с камнем в просвете органа. Справа на КТ выявляется утолщение стенки с гиподенсными включениями.

Выше представлено КТ пациента 71 года с ксантогранулематозным холециститом. Постконтрастное КТ. Визуализируется утолщение стенки желчного пузыря с включениями, которые соответствуют абсцессу или фокусам воспаления.
КТ желчного пузыря/Рак желчного пузыря
Наиболее часто встречаемый рак желчного пузыря является карцинома. Карцинома желчного пузыря занимает пятое место по частоте встречаемости среди раков желудочно-кишечного тракта. Чаще его обнаруживают случайно (в 2% случаях) при гистологической проверке после холецистэктомии. Карцинома желчного пузыря выявляется на последних стадиях заболевания так, как себя не проявляет клинически на ранних. Специфических признаков при карциноме желчного пузыря также нет. Рак может поражать желчный пузырь диффузно, целиком стенку или пристеночно. Карцинома желчного пузыря имеет схожую картину с ксантогрануломатозным холециститом, но при постановке диагноза радиологу помогают такие находки:
- Прорастание в соседние органы.
- Вторичная дилатация желчных протоков.
- Метастазирование в печень или лимфатические узлы.

УЗИ (слева) и КТ (справа) желчного пузыря. На УЗИ ярко выраженное утолщение стенки желчного пузыря (указаны белыми стрелками). Множественные камни в просвете желчного пузыря (указано стрелкой). Компьютерная томография с контрастным усилением. На КТ визуализируются утолщение стенки с внутристеночными гиподенсными включениями. На КТ также выявлено, что процесс распространился на печень (указано стрелкой).
Хронический калькулезный холецистит
Хронический калькулезный холецистит - это персистирующее воспаление слизистой оболочки желчного пузыря, сопряженное с наличием в нем конкрементов. Гастроэнтерологи считают, что данная патология связана с вторичным инфицированием желчи. Хронический калькулезный холецистит клинически проявляет себя болями в правом боку, тошнотой, колебаниями настроения. Диагностика включает печеночные пробы, УЗИ гепатобилиарной системы, обзорную рентгенографию ОБП, РХПГ, МРТ и КТ печени и желчевыводящих путей, холесцинтиграфию. Лечение консервативное (диета, анальгетики, спазмолитики, антибиотики) либо комбинированное (дополняется оперативным вмешательством).
МКБ-10

Общие сведения
Хронический калькулезный холецистит является очень распространенной патологией: не менее 20% женщин и 10% мужчин репродуктивного возраста страдают данным недугом. Высокая заболеваемость среди женщин связана с большим количеством эстрогенов в их организме, поскольку именно эти гормоны приводят к усилению секреции холестерина в желчных путях и образованию конкрементов. Конкременты в желчевыводящих путях, в том числе и в желчном пузыре, обнаруживаются в 30% всех патологоанатомических секций. Замечено, что с возрастом частота выявления желчных конкрементов, сопровождающихся воспалительным процессом, увеличивается. Именно поэтому данная патология является актуальной проблемой современной гастроэнтерологии.

Причины
Главный причинный фактор, приводящий к развитию хронического калькулезного холецистита - конкремент, расположенный в желчном пузыре и обтурирующий пузырный проток. К факторам риска развития хронического калькулезного холецистита относят:
- принадлежность к женскому полу;
- ожирение или резкое похудение;
- использование гормонального метода контрацепции;
- прием некоторых медикаментов;
- беременность.
Патогенез
Конкремент в просвете желчного пузыря, длительное время может существовать бессимптомно. Рано или поздно наступает момент, когда камень смещается и перекрывает выход из желчного пузыря, что приводит к застою желчи в нем. Застойные явления вызывают повышенную выработку провоспалительных медиаторов и повреждение слизистой оболочки, которая начинает продуцировать большое количество слизи и воспалительного экссудата. Развивается холецистит. Перерастяжение желчного пузыря экссудатом заканчивается еще более массивной выработкой провоспалительных медиаторов - патологический круг замыкается.
Воспалительная инфильтрация стенки желчного пузыря запускает ее рубцовое сморщивание, которое постепенно приводит к утолщению и кальцинированию пузырной стенки. Воспалительный процесс (холецистит) поддерживается постоянно с периодами ремиссий и обострений. Длительно текущий хронический калькулезный холецистит предрасполагает к развитию рака желчного пузыря.
Симптомы
Наиболее характерным признаком хронического калькулезного холецистита является боль в правом подреберье. Чаще всего она возникает через несколько часов после приема пищи (особенно жирной, жареной), имеет тупой ноющий характер. Болевому синдрому присуща иррадиация в правое плечо, шею, лопатку. Иногда боль может принимать острый характер, напоминая при этом желчную колику. Боль сопровождается тошнотой, бессонницей.
При длительном течении патологии могут возникать изменения нервной системы: раздражительность, мнительность, повышенное беспокойство. Нередки случаи, когда хронический калькулезный холецистит никак не проявляется на протяжении длительного времени. Для данного заболевания не характерна желтуха.
Осложнения
Хронический калькулезный холецистит может осложняться такими состояниями, как эмпиема желчного пузыря, анаэробная инфекция, пузырно-кишечный свищ (формируется в результате образования пролежня в месте нахождения конкремента). Возможны перфорация желчного пузыря, панкреатит и сепсис.
Диагностика
Главной целью консультации гастроэнтеролога является как можно более раннее установление диагноза, своевременное выявление осложнений хронического калькулезного холецистита, определение показаний к оперативному лечению. При осмотре и пальпации живота можно выявить ряд симптомов, указывающих на воспалительный процесс в желчном пузыре:
- симптом Мерфи (при надавливании на область правого подреберья пациент задерживает дыхание);
- симптом Ортнера (боль при постукивании по правой реберной дуге);
- симптом Кера (боль на высоте вдоха при одновременном надавливании в области правого подреберья);
- френикус-симптом (боль при надавливании между двумя ножками грудино-ключично-сосцевидной мышцы).
- Лабораторные анализы. Биохимические пробы печени не имеют решающего значения, но на полную обтурацию желчных протоков конкрементом может указывать повышение уровней общего билирубина, ЩФ, АЛТ и АСТ.
- УЗИ печени и желчного пузыря. Является весьма специфичным и чувствительным методом диагностики хронического калькулезного холецистита. Наиболее информативно данное исследование, если оно проводится после восьми часов голодания.
- Рентгенография ОБП. На обзорной рентгенографии органов брюшной полости желчные конкременты визуализируются лишь у каждого десятого пациента. На анаэробную этиологию холецистита указывает газ в просвете либо в толще стенки желчного пузыря. Также на рентгенограмме может быть видна частичная либо тотальная кальцификация стенок желчного пузыря.
- Томография. При проведении МРТ и КТ желчевыводящих путей в пользу хронического калькулезного холецистита свидетельствует утолщение пузырной стенки, наличие жидкости в околопузырной клетчатке, отторжение слизистой оболочки, газ в просвете либо толще стенки пузыря.
- Холесцинтиграфия. Обладает практически 100% чувствительностью при постановке диагноза хронического калькулезного холецистита. Для улучшения наполнения желчного пузыря перед исследованием назначается морфин - благодаря введению этого препарата замедляется выход желчи через сфинктер Одди в 12-перстную кишку.
- РХПГ. Консультация врача-эндоскописта и ретроградная холангиопанкреатография назначается тем пациентам, у которых подозревается наличие конкрементов в общем желчном протоке. РХПГ является не только диагностической, но и лечебной процедурой, во время которой конкременты можно удалить. Следует помнить о риске развития панкреатита после РХПГ (около 5% пациентов).
Лечение хронического калькулезного холецистита
Пациенты с хроническим калькулезным холециститом в стадии обострения, а также с тяжелым течением заболевания требуют госпитализации в отделение гастроэнтерологии. Остальные могут получать лечение амбулаторно. Терапия длительная, вне периода обострения обычно консервативная. Основные направления лечения: эрадикация инфекции, устранение болевого синдрома, улучшение оттока желчи. Терапия хронического калькулезного холецистита во многом совпадает с лечением желчнокаменной болезни.
Консервативная терапия
Консервативное лечение включает в себя диетотерапию, назначение антибактериальных и обезболивающих препаратов, спазмолитиков. При обострении хронического калькулезного холецистита в первые двое суток требуется соблюдение водной паузы, затем назначается диета №5а с постепенным переходом на стол №5.
Антибактериальные препараты, назначаемые при хроническом калькулезном холецистите, включают защищенные пенициллины, аминогликозиды, цефалоспорины 3-го поколения, линкозамиды, карбапенемы. Назначая анальгетики, следует помнить о том, что морфин нарушает отток желчи через сфинктер Одди. Из наркотических анальгетиков предпочтение отдают промедолу, из ненаркотических - парацетамолу, анальгину. В качестве спазмолитика обычно используют папаверин. Во время ремиссии пациентам рекомендуется санаторно-курортное лечение.
Хирургическое лечение
Учитывая тот факт, что основным причинным фактором формирования хронического калькулезного холецистита выступают конкременты в желчевыводящих путях, для полного излечения от этого заболевания требуется удаление камней. Золотым стандартом в этой области считается лапароскопическая холецистэктомия, однако широко используется и открытая холецистэктомия. Холецитэктомия из мини-доступа применяется намного реже.
Прогноз и профилактика
Неосложненное течение хронического калькулезного холецистита обычно имеет благоприятный прогноз. При осложненном варианте заболевания, а также у пациентов, имеющих тяжелые сопутствующие заболевания, прогноз ухудшается - летальность может составлять 50-60%. Для осложненного хронического холецистита характерно быстрое развитие эмпиемы и гангрены желчного пузыря, свищевых ходов, абсцессов печени, перитонита.
Профилактика хронического калькулезного холецистита включает предупреждение образования камней и своевременное лечение острого холецистита. Первичная профилактика формирования конкрементов заключается в снижении веса при ожирении, отказе от гормональных препаратов, содержащих эстрогены.
Если у пациента имеются конкременты в желчном пузыре, для предупреждения хронического холецистита требуется соблюдать ряд условий: придерживаться диеты с ограничением жирного и сладкого, поддерживать достаточную физическую активность, не допускать длительных периодов голодания, принимать достаточное количество жидкости. После удаления конкрементов из желчного пузыря рекомендуется проводить УЗИ гепатобилиарной системы не реже двух раз в год для своевременного выявления рецидива холелитиаза.
Острый калькулезный холецистит
Острый калькулезный холецистит - островоспалительный процесс в желчном пузыре, формирующийся в течение нескольких часов после закупорки пузырного протока желчным конкрементом. Основное проявление - интенсивная боль в правом подреберье, длящаяся более 6 часов; тошнота, рвота, гипертермия, иногда желтуха. Для постановки диагноза используют физикальные и лабораторные данные (общий анализ крови, печеночные пробы), инструментальные методики (УЗИ, рентгенографию, КТ, МРТ гепатобилиарной зоны; гепатохолесцинтиграфию, ЭРХПГ). Лечение комбинированное: кратковременная (не более 72 часов) инфузионная и антибактериальная терапия с последующей холецистэктомией.

Острый калькулезный холецистит - особая форма воспалительного процесса в желчном пузыре, характеризующаяся наличием конкрементов в его просвете. Заболеванием страдает до 15% взрослого населения, крайне редко эта патология определяется у детей. Является одним из проявлений желчнокаменной болезни. В подавляющем большинстве случаев данный диагноз устанавливают после 40 лет, чаще у женщин, что связано с особенностями гормональной регуляции у женского пола. Также в зоне риска находятся беременные, люди с ожирением, пожилые пациенты и те, кто принимает гормональные препараты.
Желчнокаменная болезнь и сопровождающий ее острый холецистит относятся к числу наиболее распространенных заболеваний - их выявляют примерно у 20% женщин и 10% мужчин. С возрастом заболеваемость увеличивается: после 60 лет желчнокаменная болезнь диагностируется у 70% населения. В последние годы ЖКБ приобретает не только общемедицинское, но и социальное значение, а холецистэктомии выходят на второе место после аппендэктомий (в России ежегодно выполняется не менее 100 тысяч операций). Бессимптомные камни желчных путей обнаруживаются примерно в 30% всех патологоанатомических исследований. Лечением данной патологии занимаются гастроэнтерологи, терапевты, эндоскописты и хирурги.
Причины острого калькулезного холецистита
Самым главным патогенетическим механизмом формирования острого калькулезного холецистита является закупорка пузырного протока конкрементом. Существует ряд факторов, увеличивающих риск развития этого заболевания: женский пол, возраст, ожирение, семейный анамнез, особенности питания и др.
Высокая частота острого калькулезного холецистита у женщин объясняется повышенным уровнем эстрогенов и нарушениями гормонального фона вследствие частых беременностей, родов, приема гормональных контрацептивов и синтетических эстрогенов. Повышенный уровень гормонов сопровождается нарушением сократительной функции желчного пузыря, снижением уровня желчных кислот.
Чем старше становится человек, тем медленнее протекают обменные процессы в организме, выше уровень холестерина в желчи, хуже эвакуаторная способность желчных путей, поэтому с возрастом заболеваемость увеличивается. При ожирении ускоряется синтез холестерина и его экскреция в желчь, а лечебные мероприятия приводят к ухудшению состояния желчных путей (диета с ограниченной калорийностью сопровождается образованием густой замазкообразной желчи, шунтирующие операции увеличивают риск холелитиаза).
В развитии острого калькулезного холецистита имеет значение семейный анамнез, но не столько наследственная предрасположенность, сколько общие особенности питания и образа жизни. Именно поэтому около половины пациентов с ЖКБ имеют указания на наследственный характер патологии. К формированию острого калькулезного холецистита может приводить повышенное содержание в пище углеводов, жиров, холестерина, отсутствие устоявшегося режима питания, длительное исключительно внутривенное введение питательных веществ, голодание и резкое исхудание. Также важная роль в развитии патологии отводится таким факторам, как малоподвижный образ жизни, длительный прием эстрогенов, аналогов соматостатина, цефтриаксона и др. медикаментов, болезнь Крона, сахарный диабет и цирроз печени.
Закупорка устья желчного пузыря камнем приводит к застою желчи в его просвете. Это обусловливает выброс провоспалительных цитокинов и повреждение стенки пузыря. Развивается холецистит (воспаление пузыря), который сопровождается повышенным слизеобразованием. Перерастяжение пузыря большим количеством секрета вызывает еще более выраженную гиперпродукцию цитокинов и усиливает повреждение его стенок - таким образом, патологический круг замыкается. В результате перечисленных механизмов пузырные сосуды сдавливаются, происходит некроз и инфицирование стенки желчного пузыря, возможна ее перфорация.
Симптомы острого калькулезного холецистита
Главный клинический признак острого калькулезного холецистита - желчная колика, характеризующаяся острой болью в правом подреберье или в области надчревья, иррадиирующей в правую половину туловища, лопатку, руку, гораздо реже - в левую половину тела. При остром калькулезном холецистите желчная колика имеет свои особенности - возникает перед утренним пробуждением или сразу после него, интенсивность болевых ощущений нарастает в течение нескольких часов, они более выражены, чем при других заболеваниях.
Боль возникает после погрешностей в диете (употребления слишком жирной, жареной либо острой пищи, алкоголя), стрессовых ситуаций. Во время приступа пациент обильно потеет, отмечается страдальческое выражение лица, вынужденное положение в постели (с подтянутыми к животу коленями). При пальпации живота у больного с острым калькулезным холециститом может отмечаться локальное напряжение мышц передней брюшной стенки в правом подреберье.
Кроме боли, признаками острого калькулезного холецистита являются тошнота, рвота съеденной пищей и желчью. В течение 12 часов от начала заболевания присоединяется бактериальная инфекция, что проявляется гипертермией, отсутствием аппетита, слабостью и недомоганием. При полной либо частичной обструкции холедоха конкрементом развивается механическая желтуха (данный симптом при остром калькулезном холецистите встречается достаточно редко). При активном росте бактериальной флоры может развиться эмпиема желчного пузыря с осложнением в виде перфорации или формирования свища желчного пузыря, панкреатит, сепсис.
Диагностика острого калькулезного холецистита
При наличии у пациента клинических, анамнестических и физикальных данных, свидетельствующих в пользу острого калькулезного холецистита, нужно как можно раньше верифицировать данный диагноз, исключить его осложнения и выявить показания и противопоказания к хирургическому лечению. Результаты лабораторных тестов при остром калькулезном холецистите неспецифичны: лейкоцитоз с нейтрофильным сдвигом, повышение уровня билирубина, щелочной фосфатазы и трансаминаз.
УЗИ гепатобилиарной зоны дает наилучшие результаты при проведении исследования натощак. В 90% случаев УЗИ позволяет выявить желчные конкременты и в 80% случаев - признаки воспалительного процесса. К специфическим критериям острого калькулезного холецистита относят утолщение пузырной стенки более 4 мм, жидкость в перипузырном пространстве.
Рентгенография желчных путей позволяет визуализировать конкременты только у каждого десятого пациента. Примерно у 1% больных определяется внутристеночная или внутрипросветная эмфизема желчного пузыря. КТ и МРТ внутренних органов дают возможность не только установить правильный диагноз в 95% случаев, но и своевременно выявить осложнения и сопутствующие заболевания. Кроме утолщения и эмфиземы пузырной стенки, выпота в околопузырном пространстве, во время этих исследований может определяться субсерозный отек, отторжение слизистой оболочки.
Гепатохолецистосцинтиграфия также является достаточно точным методом, при котором введенный радиоизотоп предоставляет возможность отследить нарушения эвакуации желчи по желчевыводящим путям. Проведение ЭРХПГ показано с лечебной и диагностической целью только пациентам с подозрением на наличие конкрементов, обтурирующих холедох, так как достаточно часто это исследование приводит к развитию реактивного панкреатита.
Лечение острого калькулезного холецистита
Консервативное лечение при остром калькулезном холецистите направлено на устранение воспалительного процесса, профилактику осложнений заболевания, предотвращение дальнейшего камнеобразования. Начинают терапию с лечебного голодания с постепенным переходом на лечебный стол номер 5.
Следующим этапом является обезболивание. При остром калькулезном холецистите противопоказано введение морфина, так как он вызывает спазм сфинктера Одди и затрудняет отток желчи в кишечник. Предпочтительно использование тримеперидина, парацетамола, папаверина.
Для купирования инфекции применяются антибактериальные средства широкого спектра действия в различных комбинациях: ампициллин, гентамицин, клиндамицин, метронидазол, цефалоспорины третьего и четвертого поколения, имипенем, циластатин. В комплексе лечения используют дезинтоксикационные средства. При необходимости вводят противорвотные медикаменты.
Операцией выбора при остром калькулезном холецистите является ранняя лапароскопическая холецистэктомия (в течение 72 часов от появления первых симптомов на фоне адекватного обезболивания и антибактериальной терапии). Результаты такого вмешательства намного лучше, чем при общепринятой в прошлом в гастроэнтерологии выжидательной тактике (операция проводилась через 6-8 недель от начала заболевания).
При наличии у пациента эмпиемы, гангрены или прободения желчного пузыря, перитонита операция проводится в первые часы от поступления в экстренном порядке. Пожилым больным, а также тем, чье состояние не позволяет провести радикальную операцию, осуществляют чрескожную холецистостомию на фоне массивной антибактериальной терапии.
Неосложненное течение острого калькулезного холецистита имеет благоприятный прогноз для больного. У пожилых и ослабленных пациентов, а также при развитии осложнений летальность может достигать 60%. Профилактика данной патологии заключается в предотвращении образования конкрементов в полости желчного пузыря.
Калькулезный холецистит ( Холелитиаз )
Калькулезный холецистит — это воспаление стенки желчного пузыря, возникшее на фоне холелитиаза. Проявляется желчной коликой или тупыми болями в правом подреберье, диспепсией, интоксикацией, желтухой. Диагностируется с помощью УЗИ, динамической сцинтиграфии гепатобилиарной системы, обзорной рентгенографии и МСКТ брюшной полости, ретроградной холангиопанкреатографии. Для лечения используют миотропные спазмолитики, НПВС, наркотические анальгетики, антибиотики, инфузионную терапию, противорвотные и ферментные препараты. Вне обострения выполняют холецистэктомию.

Калькулезный холецистит — одна из форм желчнокаменной болезни, поэтому его распространенность коррелирует с частотой ЖКБ в популяции. Холелитиазом страдает до 10-20% населения разных стран, острый вариант холецистита развивается у трети больных, хронический — у 60-96%. Патология обычно диагностируется после 40 лет, женщины заболевают в 3-5 раз чаще мужчин. В группу риска входят пациенты с отягощенной наследственностью, избыточным весом, гиподинамией, погрешностями в питании, страдающие сахарным диабетом, циррозом печени, болезнью Крона, длительно употребляющие эстроген-гестагенные препараты, аналоги соматостатина, некоторые антибиотики.
Развитие калькулезного холецистита тесно связано с прогрессированием желчнокаменной болезни, провоцируется теми же этиологическими факторами, что и процессы камнеобразования. По мнению специалистов в сфере современной гастроэнтерологии и гепатологии, основными причинами воспалительного поражения оболочек желчного пузыря при холелитиазе являются:
- Раздражение слизистой конкрементами. Изначально микролиты и небольшие конкременты находятся в составе желчи во взвешенном состоянии и эвакуируются из пузыря при желчевыделении. На фоне повышенной литогенности желчи камни увеличиваются в размерах, начинают оказывать механическое давление на стенки органа, провоцируя местные воспалительные, атрофические, некротические процессы. Наибольшую опасность представляют крупные плотные образования многогранной или шиловидной формы.
- Застой желчи. При холестазе ускоряется кристаллизация и рост конкрементов, возрастает риск закупорки желчных протоков и механического повреждения слизистой, создаются условия для быстрого размножения микрофлоры. Воспаление на фоне калькулезного процесса чаще возникает при дискинезии желчного пузыря и желчевыводящих путей, обструкции Фатерова сосочка панкреатическими опухолями, сдавлении желчных ходов объемными образованиями (неоплазиями, эхинококковыми кистами).
- Инфицирование желчного пузыря. У 50-75% пациентов с калькулезным воспалением из желчи высеиваются патогенные и условно-патогенные микроорганизмы. Возбудители обычно попадают в орган гематогенным, лимфогенным, реже восходящим путем из просвета двенадцатиперстной кишки. Воспаление зачастую вызвано кишечной палочкой, бактероидами, развивается при наличии очагов инфекции в других органах или снижении иммунитета во время беременности, на фоне сахарного диабета, приема иммуносупрессоров.
Механизм развития патологических процессов отличается при острой и хронической формах калькулезного холецистита. При обтурации конкрементом пузырного протока нарушается отток желчи, что приводит к растяжению стенок органа, повреждению слизистой, усилению экссудации, выделению простагландинов, фосфолипазы А, других медиаторов. Сдавливание сосудов, нарушение их тонуса под действием биологически активных веществ сопровождается расстройством микроциркуляции, распространением воспаления на все слои желчепузырной стенки, в тяжелых случаях — острой ишемией, некрозом. Вследствие бактериальной инвазии ситуация усугубляется инфекционным процессом.
Иногда хроническое воспаление возникает после острого калькулезного, хотя обычно оно развивается постепенно в результате постоянного давления застоявшейся желчи и механического раздражения эпителиоцитов конкрементами. Чаще слизистая атрофируется, реже отмечается гиперплазия с папилломатозом и полипозом. Возможно дивертикулообразное внедрение слизистой между гладкомышечными волокнами по ходу сосудов (синусы Рокитанского-Ашоффа). Все оболочки органа инфильтрируются лимфоидными клетками и макрофагами, в мышечном и субсерозном слоях формируются слизеобразующие железистые образования (аденомиоз), возникают точечные некрозы. Исходом хронического воспаления становится фиброз, рубцовая деформация, петрификация органа.
Классификация
При систематизации клинических форм калькулезного холецистита учитывают динамику возникновения и течения патологии. С учетом первопричины различают острый процесс, спровоцированный обтурацией желчного пузыря конкрементом, и постепенно прогрессирующее хроническое воспаление. Выделяют три формы хронического холецистита, осложнившего холелитиаз:
- Первично-хроническое воспаление. Отличается постепенно нарастающими диспепсическими расстройствами и слабо выраженным болевым синдромом. Требует тщательной диагностики, поскольку зачастую маскируется под другие гастроэнтерологические заболевания.
- Хронический рецидивирующий процесс. Основной вариант болезни с характерным чередованием обострений и ремиссий, интенсивным болевым синдромом. Из-за сходства с острым холециститом требуется динамическое наблюдение и лечение в стационарных условиях.
- Хронический резидуальный холецистит. Является исходом острого процесса. Связан с необоснованным консервативным ведением больного, сопровождается хронизацией воспаления, развитием осложнений с сохранением боли после нормализации температуры.
С учетом интенсивности симптоматики различают болевую приступообразную форму заболевания и торпидное воспаление с преобладанием тупых болей, возникновением колик раз в несколько лет. В зависимости от частоты приступов и сопутствующей симптоматики течение болезни бывает легким (не чаще 1-3 желчных колик в год), умеренным (1-2 приступа в месяц), тяжелым (от 3 и более рецидивов в месяц).
Симптомы калькулезного холецистита
В клинической картине доминирует болевой синдром. При остром процессе, обострении хронического воспаления после пищевых погрешностей или эмоциональных переживаний возникает желчная колика — приступ нестерпимых болей в эпигастрии и проекции пузыря, которые могут иррадиировать в лопатку, спину, прекардиальную область. Отличительная особенность колики при холецистите — высокая интенсивность болевых ощущений, длительность до нескольких часов, сочетание с фебрильной лихорадкой, потливостью, ознобом, бледностью кожных покровов, выраженной тошнотой, рвотой с примесью желчи.
Боли при хроническом холецистите тупые или ноющие, появляются периодически, локализуются справа в подреберье. Иногда пациенты жалуются не на боль, а на тяжесть в правой подреберной области. Также наблюдаются диспепсические расстройства: горечь во рту, тошнота и рвота, нарушения стула с чередованием запоров и диареи, вздутие живота. Симптомы обычно усиливаются после приема больших порций жирной пищи, у женщин - перед менструацией. При длительном течении заболевания пациенты становятся раздражительными, эмоционально лабильными, жалуются на быструю утомляемость, бессонницу.
В результате проникновения бактериальной флоры на фоне хронического застоя желчи при калькулезном холецистите может формироваться эмпиема желчного пузыря, перихолецистит. У 15% больных происходит перфорация стенки органа с развитием желчного перитонита. Тяжелые бактериальные воспаления осложняются сепсисом. При длительно текущем заболевании нередко образуются пузырно-кишечные свищи, что обусловлено ишемией и некрозом стенки в области давления на нее большого конкремента. В 1% случаев активное размножение газообразующих бактерий приводит к развитию эмфизематозного холецистита.
Обтурация желчевыводящих путей провоцирует возникновение механической желтухи с интоксикацией организма и поражением клеток головного мозга. Наиболее опасное осложнение калькулезного воспаления — обызвествление стенок с уменьшением полости органа (так называемый «фарфоровый» желчный пузырь). Это состояние требует немедленного лечения, поскольку в 5-7% случаев становится причиной образования злокачественной опухоли. При вовлечении в процесс соседних органов наблюдается папиллит, билиарный панкреатит, гепатит, другие воспалительные заболевания и дистрофические процессы.
Постановка диагноза осуществляется врачом-гепатологом или гастроэнтерологом. О возможном развитии калькулезного холецистита свидетельствует типичная клиническая картина, наличие положительных пузырных симптомов (Мерфи, Ортнера, Кера). Для подтверждения диагноза проводят комплексное обследование с применением методов, позволяющих визуализировать конкременты билиарной системы. Наиболее информативными являются:
- УЗИ желчного пузыря. Сонография — основной метод диагностики калькулезного воспаления, который позволяет обнаружить конкременты более 2 мм в диаметре. Также при ультразвуковом исследовании выявляется утолщение желчепузырной стенки, наличие жидкости в околопузырном пространстве.
- Рентгенография брюшной полости. Обзорная рентгенограмма используется для диагностики осложнений: свободный газ в просвете органа свидетельствует об эмфизематозном холецистите, диффузная кальцификация стенки указывает на развитие «фарфорового» желчного пузыря.
- МСКТ органов брюшной полости. Компьютерная томография рекомендуется в сложных диагностических случаях и при недостаточной информативности других методов. В ходе исследования определяют толщину стенок органа, выявляют отек, воспалительную инфильтрацию, отторжение слизистой оболочки.
- Динамическая сцинтиграфия гепатобилиарной системы. По серии рентгеновских снимков после введения радиофармпрепарата удается оценить моторно-эвакуаторную функцию билиарной системы. Информативность метода в подтверждении диагноза калькулезного варианта холецистита достигает 95-100%.
- Ретроградная холангиопанкреатография. Рентгенографию, дополненную эндоскопией, применяют для оценки состояния желчевыводящих протоков, выявления мелких камней, которые не визуализировались при сонографии. Метод используют в лечебных целях для извлечения конкрементов из общего желчного протока.

МРТ живота. Гипоинтенсивные конкременты в желчном пузыре на фоне умеренно выраженного отека перихолецистических тканей
Лабораторные методики играют вспомогательную роль в диагностике калькулезной формы заболевания. В общем анализе крови в период обострения наблюдается лейкоцитоз со сдвигом влево, увеличение СОЭ. В биохимическом исследовании крови определяется повышение общего холестерина и щелочной фосфатазы. Для исключения болезней желудка и 12-перстной кишки может выполняться гастродуоденоскопия. Дифференциальная диагностика проводится с патологиями желчного пузыря (острым и хроническим бескаменным холециститом, холестерозом), заболеваниями других органов пищеварительной системы (панкреатитом, гепатитом, гастродуоденитом), правосторонней почечной коликой, поражениями сердечно-сосудистой системы (инфарктом миокарда, нестабильной стенокардией).
Лечение калькулезного холецистита
Выбор тактики зависит от формы холелитиаза, большинству пациентов рекомендовано хирургическое удаление желчного пузыря. Больных с острым воспалением госпитализируют в хирургический стационар, где после дообследования и короткой подготовки осуществляют лапароскопическую холецистэктомию. Проведение операции в течение трех суток после возникновения симптомов позволяет уменьшить летальность и снизить частоту осложнений по сравнению с плановыми вмешательствами, выполненными через 6-8 недель консервативной терапии. При тяжелом, осложненном течении острого холецистита, пожилом возрасте пациентов операцией выбора является чрескожная холецистэктомия, дополненная антибиотикотерапией.
При хроническом варианте калькулезного воспаления рекомендовано консервативное лечение до купирования признаков обострения. В первые сутки рецидива питание ограничивается употреблением жидкостей, в последующем в рационе уменьшают количество тугоплавких жиров, экстрактивных веществ, продуктов с холестерином. Схема медикаментозной терапии включает:
- Обезболивающие препараты. Применяют миотропные спазмолитики, которые за счет воздействия на мышечную оболочку пузыря и желчных протоков устраняют холестаз. При выраженном болевом синдроме (желчной колике) показаны нестероидные противовоспалительные средства, реже - наркотические анальгетики.
- Антибактериальные средства. Обычно используют препараты, к которым чувствительна условно-патогенная микрофлора кишечника (кишечная палочка, клебсиеллы, псевдомонады). Наиболее эффективны аминогликозиды в комбинации с линкозамидами, имидазолы в сочетании с цефалоспоринами 3-го поколения, карбапенемы.
При выраженной интоксикации требуется дезинтоксикационная терапия. Симптоматически назначаются противорвотные и энзимные препараты. После стабилизации состояния в плановом порядке производится открытая, лапароскопическая, SILS-холецистэктомия или холецистэктомия из мини-доступа. Дробление конкрементов в полости органа проводится редко при наличии противопоказаний к другим вмешательствам.
У большинства пациентов удается добиться стойкого улучшения состояния. Прогноз неосложненного калькулезного холецистита относительно благоприятный. В случае тяжелых гнойных осложнений летальность может достигать 50-60%. Профилактика направлена на предотвращение камнеобразования, включает нормализацию режима питания (соблюдение сбалансированной диеты, ограничение употребления высококалорийных жирных блюд, прием пищи 4-5 раз в день), посильные физические нагрузки, отказ от назначения препаратов, стимулирующих образование конкрементов.
Читайте также:
- УЗИ при тиреоидите Хашимото
- КТ при трансфациальном переломе (Ле Фор)
- УЗИ при пиломатриксоме
- Кровообращение при открытом артериальном протоке. Патовизиология открытого боталлова протока
- Ауторегуляция кровотока. Теории механизма ауторегуляции кровотока. Миогенная, нейрогенная теория. Теория тканевого давления. Обменная теория.
