Податливость тканей для зубного протеза. Кламмерная фиксация на зубном ряде
Добавил пользователь Евгений Кузнецов Обновлено: 11.12.2025
Любая протезная конструкция для зубов должна обладать хорошей фиксацией, потому что без надежного прикрепления пользоваться ей будет невозможно. Искусственная «челюсть» будет слетать и мешать при разговоре. В таком случае человек не может нормально питаться и вести активную социальную жизнь.
Фиксация зубных протезов заложена в основе их конструкции. Врач-стоматолог при проектировании руководствуется клинической ситуацией. На надежность посадки влияет расположение оставшихся зубов, состояние слизистой оболочки, костной ткани.
Однако даже плотная посадка на челюсти со временем ослабляется, пациенту требуются дополнительные фиксирующие средства, а в некоторых случаях конструкцию переделывают.
Методы фиксации протезов
Для каждого вида зубного протеза предусмотрен свой способ прикрепления.
Принципиальный признак деления — возможность снять конструкцию, поэтому фиксация протеза на челюсти бывает:
Важным аспектом является количество отсутствующих зубов. Можно восстановить все зубные единицы сразу или только некоторые. Методы фиксации для полных и неполных протезных конструкций различаются.
Съемный неполный протез прикрепляется к слизистой оболочке и оставшимся зубам, как к опоре. Поэтому у таких реставраций должны быть приспособления для сцепления с опорными единицами, к примеру:
- кламмеры («крючки»);
- аттачмены (замки);
- телескопические коронки;
- магниты;
- балочные системы.
При полной адентии челюсти съемный аппарат не имеет крючков и замков, а фиксируется путем присасывания базиса к слизистой оболочке. Базис удерживается благодаря клапанному механизму.
Система крепления несъемного протеза:
- на опорные зубы — например, зубной мост удерживается на соседних зубных единицах;
- на имплантаты, вживляемые в костную ткань.
Средства для фиксации протезов
Для улучшения фиксирования съемных протезов при полной или частичной потере зубов применяют различные дополнительные средства. К ним относятся:
- кремы,
- гели,
- порошки,
- прокладки (полоски, пленки, вкладыши).
Улучшают адгезию базиса к слизистой оболочке. Средство наносят на внутреннюю часть пластины. За счет слюны вещество разбухает и создает липкий слой между протезным базисом и тканями полости рта.
Крем от геля отличается более плотной, густой текстурой. Обладатели съемных конструкций выбирают продукцию Корега, Protefix, President и Lacalut. Средства этой категории удерживают базис в среднем на 12 ч. Есть кремы с пролонгированным действием, например, President Garant, — до 36 ч.
В состав порошков входит альгинат натрия — это то вещество, которое содержится в оттискных массах для создания слепков. Порошок наносят на протез, смачивают водой и плотно прижимают к челюсти. При застывании порошок точно повторяет рельеф протезного ложа. Надежная фиксация сохраняется в течение 12 ч.
Выпускаются на верхнюю и нижнюю челюсть. Прокладки защищают слизистую оболочки от натертостей и воспалительных явлений, а также способствуют улучшению фиксирования. Их применяют на этапе адаптации к новой протезной конструкции.

Перед наложением на протезную поверхность вкладыш смачивают теплой водой. Прокладки Protefix, по заверениям производителя, обеспечивают надежное прикрепление на 8 ч. Бренд Fittydent предлагает фиксирующие вкладыши — это то же самое, что и прокладка. Обещанный срок фиксации — 12 ч.
Тот же принцип работы, что и у прокладок. Отличие в том, что пленку нужно вырезать самостоятельно под размер базиса.
Показания и противопоказания
Показания для фиксирующих средств
- неудовлетворительная фиксация съемных зубных аппаратов;
- натирание в период привыкания;
- попадание остатков пищи под базис.
Противопоказания
- аллергическая реакция на компоненты средства.
Преимущества и недостатки
- Надежное прикрепление к слизистой без горизонтального смещения.
- Сокращение периода адаптации.
- Защита от попадания частичек пищи.
- Более комфортное ношение протеза.
- Крема и прокладки растворяются под действием горячей пищи или напитков, фруктовых кислот.
- Ароматические добавки могут изменять вкус еды.
- У некоторых пациентов наблюдается непереносимость компонентов крема.
Фиксация несъемных протезов
Несъемные конструкции фиксируются на постоянную основу, то есть снять их самостоятельно невозможно. К таким ним относятся зубные коронки, виниры, мостовидные конструкции.
Опора на зубы
Зубные коронки, вкладки и накладки (виниры) устанавливают на стоматологический цемент непосредственно на эмаль и дентин. Никаких дополнительных средств для фиксации им не требуется.

Установка мостовидного протеза проходит на опорных зубах, которые подобно опорам моста удерживают полые коронки и промежуточную часть с искусственными зубами. Минус в том, что опоры необходимо обтачивать.
Опора на имплантаты
Зубной мост может крепиться к имплантатам. Они заменяют классические мостовидные и съемные конструкции.

Например, несъемный покрывной протез для имплантации по технологии All-on-4, заменяет полную съемную конструкцию. Главное преимущество — надежное прикрепление к челюсти. Человек может полноценно жевать и разговаривать без стеснения.
Зубные коронки и протезы на имплантатах могут фиксироваться двумя способами:
- С помощью винта — в имплантате и коронке есть шахта, в которую вкручивают винт.
- Крепление на цемент.
Конструкцию на цементе не получится снять без повреждения, поэтому предпочтительнее устанавливать коронки на винты.
Степень крепления несъемных коронок и мостов зависит от:
- качества подготовки полости рта к протезированию,
- мастерства зубного техника,
- качества материала,
- индивидуальной гигиены.
Фиксация съемных протезов
Съемные конструкции при частичной или полной адентии прикрепляются разными методами.
Съемные протезы при частичном отсутствии зубов
Для частичных протезов применяются различные дополнительные приспособления.
- Кламмеры. Это металлические крючки, которые обхватывают соседние единицы. Особая конструкция кламмера не допускает вертикальных и горизонтальных смещений базиса, а также удерживает его на своем месте. Недостаток кламмеров в том, что их можно сломать по неосторожности.
- Аттачмены. Представляют собой систему замков. На оставшиеся опоры устанавливают матрицу, которая соединяется с патрицей на протезе. Это очень надежное крепление.
- Телескопические коронки. Работают по принципу телескопа — на опорный зуб ставят внутреннюю коронку, а на протез — внешнюю. Такой способ обеспечивает сильную фиксацию.
- Магнитная фиксация. Один из пары магнитов устанавливают в протез, а другой — на зубы или имплантаты. Разнополюсные магниты притягиваются друг к другу и создают удерживающий эффект. Однако магниты плохо справляются с горизонтальным смещением конструкции.
- Балочная система. Одна из вариаций системы аттачменов, однако вместо замков устанавливается балка, которая служит матрицей. На протезе имеется патрица. Также балка может держаться на имплантатах. Такой вариант применяют для полностью беззубой челюсти.
В каждом клиническом случае врач подбирает оптимальный способ. Одним из наиболее надежных считается замковая система аттачменов — особенно если замки изготовлены индивидуально для пациента.
Съемные протезы при полном отсутствии зубов
Фиксация на беззубой челюсти представляет собой сложную клиническую задачу, ведь естественной опоры не осталось. Осложняет ситуацию то, что при длительном отсутствии зубных единиц костная ткань атрофируется.
За счет чего удерживается искусственная «челюсть» при полной адентии? Как правило, это сочетанное действие следующих факторов.
- Силы адгезии. Протез прилипает к слизистой оболочке за счет омывания слюной и создания влажной прослойки. Сама слизистая оболочка также обладает некоторой увлажненностью. Однако одной адгезии недостаточно.
- Клапанный механизм. Каплевидный край базиса создает особое функциональное образование — клапан. При надевании протеза слизистая оболочка полости рта прижимается, а затем восстанавливает свою форму. За счет этого наблюдается разница в давлении и создается подобие вакуума. Конструкция присасывается к слизистой.
- Анатомические характеристики. Выступающие структуры полости рта способствуют удержанию. Однако при атрофии костной ткани этот фактор теряет значение, что значительно ухудшает фиксацию.
Мнение эксперта
Ковалёв Алан ВадимовичСтоматолог-ортопед, Хирург-Имплантолог, Пародонтолог
Фиксация на нижней челюсти не представляет трудностей. Конструкция не испытывает сил гравитации и не спадает. Кроме того, сама форма зубного ряда предполагает больше точек соприкосновения с челюстной костью (анатомическая ретенция). Поэтому конструкции на нижней челюсти реже спадают и не вызывают дискомфорт.
С верхней челюстью возникает больше проблем, особенно если произошла значительная атрофия. Плоское небо не дает никакой анатомической ретенции, поэтому конструкция легко спадает.
Многие пациенты используют средства для улучшения адгезии, так как со временем рельеф протезного ложа меняется. Это происходит из-за атрофии костной ткани.
Фиксация коронок: методы крепления и материалы

Насколько важна фиксация коронки зуба и какие виды фиксации применяют?
В современной стоматологии сохранение натуральных зубов считается самой важной задачей. Для этого используют различные терапевтические и даже хирургические методы лечения. Установление искусственных коронок может быть самостоятельным методом, например, если наблюдается патологическое истирание эмали или частью лечения. Такое происходит при эндодонтическом вмешательстве. Из зуба удаляют пульпу (нерв), он становиться хрупким, коронку используют, чтобы защитить зуб от разрушения.
Показания
Показания для реставрации:
- значительные разрушения коронковой части;
- установка мостовидных протезов;
- патологическая стираемость эмали;
- депульпация;
- травмы.
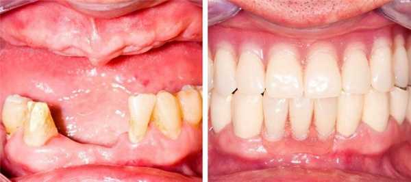
Коронки изготавливают из металла, керамики и металлокерамики. Фарфоровые и пластмассовые коронки практически не применяются из-за хрупкости. Современные материалы отличаются особой прочностью и износостойкостью. Они рассчитаны на длительную эксплуатацию. Но срок службы, а также удобство коронки зависит еще от того, насколько хорошо она подошла и как крепко ее закрепили.
Фиксация зубных коронок
На определенных этапах ортопедического лечения возникает необходимость в использовании временных коронок. В таких случаях используют временную фиксацию коронок на специальный цемент или искусственную смолу. Основная особенность этих материалов в том, что снять временную конструкцию можно без труда. Адгезивные материалы легко счищаются, не оставляют следов.
Постоянная фиксация коронок в стоматологии бывает двух видов: цементная и винтовая. С развитием имплантологии стали разделять фиксацию на свои зубы и на импланты.

Установка коронки на свои зубы
Как бы сильно не был разрушен зуб, пока у него сохраняется корень, есть возможность восстановления. Как именно проводится реставрация, зависит от степени разрушения зуба. При незначительных разрушениях, единицу препарируют - убирают верхний слой, равный толщине коронки. Металлокерамические коронки состоят из 2-х слоев: металла и керамики, поэтому они требуют самого глубокого препарирования. Керамические коронки тоньше, удаляют небольшой слой твердых тканей. Коронки из циркония тонкие, слой снимают минимальный.
Если верхняя часть разрушена на 50% и более процентов, то проводится фиксация коронки штифтом. В канал вводится стержень из стекловолокна, который служит опорой для реставрации.

Этапы
После препарирования поверхности ортопед делает слепок челюстей, по которым в лаборатории штампуют или отливают коронку. Изготовление занимает несколько дней. Перед тем как установить конструкцию, проводят припасовку - проверяют как она подходит, есть ли дефекты. Коронка может быть слишком широкой, узкой, высокой. Припасовка помогает заметить недочеты и устранить их.
Реставрацию сначала устанавливают на временный цемент. Пациенту дают возможность привыкнуть к постороннему предмету во рту, понять, не мешает ли высота, не режет ли край десну. Только после этого конструкцию устанавливают на постоянный цемент.
- Перед фиксацией коронку обрабатывают специальным раствором, обезжиривают и высушивают.
- Далее, проводят обработку зуба антисептиком, остатки влаги удаляют эфиром или воздухом. В некоторых случаях проводят ретракцию десны нитью, чтобы четко обозначить место соединения искусственной коронки и твердых тканей.
- На стерильной пластинке смешивают компоненты для цемента.
- Тонкий слой цемента помещают внутрь реставрации и надевают ее на зуб.
- Излишки удаляют. Пациента просят посидеть с сомкнутыми зубами. Затем еще раз очищают поверхности, полоскают рот специальным раствором. На этом работа ортопеда завершается.
Материалы для фиксации коронок
Цемент для крепления реставраций должен выполнять 2 основные функции: надежно фиксировать коронку и заполнять микрозазоры между ней и дентином. В стоматологии применяют несколько разновидностей фиксирующих материалов:
- Стеклоиономерные цементы (СИЦ). Хороши тем, что обладают антикариозными свойствами, не боятся микропротеканий. Используются для конструкций из металла, с металлическим основанием и керамических.
- Стеклоиономерные цементы модифицированные композитом (СИЦМК). Простые в применении и очень прочные, такие материалы используются для реставраций из металла, циркония, дисиликата лития.
- Композитные. Самые современные материалы. Производят цементы затвердевающие в результате химической реакции, светового излучения и двойного отверждения. Подходят для фиксации металлокерамических коронок, циркониевых, керамических, из дисиликата лития.
Все эти группы подразделяются на многочисленные подгруппы и врач выбирает материал для крепления, исходя из геометрии зуба, материала коронки, клинического случая.
Стоматологические цементы применяются в течение долгого времени, они хорошо изучены, методики нанесения отработаны и несложны по сути. Эти материалы надежно фиксируют реставрации и способны служить длительное время.
Минусами цементов является то, что замешивание производится вручную, возможны ошибки в пропорциях. Это приводит к расцементированию. Избыток кислот отрицательно влияет на состояние дентина.
Протезирование на имплантах
На имплантах коронки закрепляют 2-мя способами: с помощью цемента или винта. Зависит это, в первую очередь, от вида имплантации и моделей имплантов, которые применяют. Но большую роль играют анатомические особенности и клинические проявления.
Цементная фиксация коронок на импланты имеет свои плюсы и минусы. Процесс закрепления реставрации на имплант с помощью цемента мало чем отличается от протезирования на натуральных зубах. Он прост, хорошо изучен, позволяет проводить фиксацию в сложных случаях, где винтовая потребовала бы огромных усилий и умений.
К минусам стоит отнести возможность периимплантита, который может вызвать избыток цемента. При использовании цемента, коронку невозможно отремонтировать, только менять.

Винтовая фиксация коронок на имплант исключает попадание цемента на ткани. Есть возможность ремонта и коррекции. Результаты соединения металла с металлом, без прослойки из цемента, лучше. Единая конструкция абатмента и коронки снижает риск инфекций.
Однако, припасовка протеза с винтовой фиксацией более тонкая, требует определенных навыков и цена на конструкции с винтами выше.
Вот почему выбор врача так важен. Квалифицированный имплантолог учитывает десятки деталей, прежде, чем выбрать способ имплантации, от которого зависит, винтовая фиксация коронки будет применятся или цементная, а опытный ортопед знает, как работать и с той и с другой.
Что делать, если коронка слетела
Не паниковать, промыть ее проточной водой и убрать в прохладное место, обернув тканью из хлопка.
Важно как можно быстрее попасть на прием к стоматологу. Препарированный зуб остро реагирует на любые раздражители, еда и питье становятся проблемой. Зуб под протезом хрупкий, может раскрошиться, если его не оградить от воздействий внешней среды.
Если сразу попасть на прием не получается, можно купить в аптеке стоматологический цемент и самостоятельно закрепить конструкцию. Мера эта временная, откладывать прием у специалиста не стоит.
Существует опасность того, что:
- цемент попадет на ткани, вызовет раздражение или спровоцирует воспаление;
- коронка плохо зафиксируется, будет риск ее проглотить;
- при неадекватной фиксации десна травмируется, может развиться травматический стоматит.
В клинике найдут причину происшествия и примут меры. Установят выпавшую коронку или изготовят новую.
Если зуб, с которого упала коронка болит, десна покраснела, отекла - нужно срочно обратиться к врачу.
Методы фиксации зубных протезов

Зубное протезирование восстанавливает зубной ряд и его функции в случае утери нескольких или всех зубов. Вернуть себе возможность нормально жевать, улыбаться и говорить без опаски меняет жизнь пациентов к лучшему. Однако, успех протезирования во многом зависит от того, как крепятся протезы зубов и насколько прочно это крепление.
Каждый вид ортопедической реставрации имеет свой способ фиксации, а то и несколько.
Задача ортопеда - обеспечивать не только фиксацию зубных протезов (удержание его во рту в покое), но и стабилизацию (удержание во время работы челюстей).
Методы фиксации протезов при полном отсутствии зубов
Удержание пластиночного съемного протеза во рту в покое происходит за счет сочетания нескольких факторов:
- Адгезии (прилипания, сцепления). При наличии влажной прослойки, 2 соприкасающихся объекта прилипают друг к другу. Влажность обеспечивает слюна. Ее вязкость снижает или увеличивает адгезию. Однако, одной этой силы недостаточно, чтобы удержать конструкцию.
- Анатомической ретенции. Выступающие части органов ротовой полости ограничивают движение реставрации. При большой потере костной ткани ретенция значительно снижается.
- Клапанной фиксации. При надевании, протез слегка продавливает слизистую, вытесняя воздух из-под базиса (основы). Слизистая возвращает свою форму и не дает воздуху поступить обратно. Образуется вакуум. Из-за разницы в давлении реставрация присасывается.
Это основной способ, благодаря которому, держатся верхние протезы. С нижними конструкциями дело обстоит сложнее. Чтобы их зафиксировать, часто приходится прибегать к дополнительным средствам.
Средства, повышающие силу фиксации
Установка съемных зубных протезов и привыкание к ним, проходят легче при использовании искусственных адгезивов. Применение адгезивных средств увеличивает стабильность протеза и служит профилактикой воспаления протезного ложа. Исследования подтверждают, что использование адгезивов сокращает период привыкания к искусственной челюсти с 15-30 до 5-8 дней [1] .
Чтобы усилить фиксацию и стабилизацию протеза применяют:
- Адгезивный порошок. Порошок наносят на влажную поверхность, протез вставляют в рот и сильно сжимают зубы на несколько секунд. Для лучшей фиксации съемного зубного протеза рекомендуется воздержаться от приема пищи сразу после установки реставрации. Носить реставрацию на порошке можно до 12 часов.
- Кремы и гели. Принцип действия одинаков, просто у крема более плотная структура. Адгезивное вещество наносят на внутреннюю поверхность протеза. Во рту, под воздействием слюны крем (гель) расширяется, образуя прокладку между слизистой и поверхностью реставрации. Действуют адгезивы от 12 до 24 часов.
- Прокладки. Прокладки, как и другие адгезивы, позволяют надевать зубные протезы без страха их смещения во время еды или кашля. Перед употреблением, прокладки держат в теплой воде в течении 5 секунд. Затем помещают на базис и конструкцию вводят в ротовую полость.
- Пленки. Принцип действия такой же, как у прокладок. Пленку подгоняют под основу протеза, делают надрезы для лучшего прилегания, накладывают на основу и протез помещают в рот. Срок действия - до 10 часов, затем менять пленку и надевать реставрацию нужно снова.
Методы фиксации частичных съемных протезов
Фиксация частичных протезов происходит под воздействием тех же факторов, что и полных: адгезии, анатомической ретенции и клапанного эффекта. Однако у частичных конструкций есть дополнительные механизмы, которые помогают фиксировать зубные протезы. Это делает конструкции более устойчивыми, повышает их стабильность.
Так при установке съемных зубных протезов бюгельного типа используют:
- Кламмеры. Существует несколько видов кламмеров, но общее действие у них одно - закрепить реставрацию на опорных зубах и перераспределить давление на них. Частичные пластиночные протезы также крепятся кламмерами.
- Аттачменты. Это небольшие замочки, которые соединяются по типу матрицы и патрицы. Крепления бывают внутризубные (более сложный вид) или внезубные. Ставят зубные протезы на подвижные и неподвижные аттачменты. Замковые крепления более эстетичны, чем кламмерные, но для них требуется обточка опорных зубов.
- Телескопическая система фиксации. Крепить зубные протезы телескопическим способом начали относительно недавно, но метод уже положительно себя зарекомендовал. Суть его заключается в том, что внутреннюю коронку надевают на опорный зуб, а сверху закрепляют внешнюю коронку, которая соединена с бюгелем. Это самый эстетичный и стабильный вид фиксации.
- Балочная фиксация. Патрицей выступает балка, шинирующая зубы во рту, а матрицей - соответствующее ей углубление на внутренней стороне протеза. Наличие балки повышает устойчивость оставшихся зубов и усиливает фиксацию. Балочные конструкции служат хорошо и долго.
- Магнитная система фиксации. Метод основан на свойстве полюсов с противоположными зарядами притягиваться, а с одинаковым отталкиваться. Магниты устанавливают в базис протеза и в специальные импланты. Или в протез противоположной челюсти. Метод не нашел широкого применения из-за того, что притяжение ослабевает при боковых движениях.
Фиксация условно-съемных протезов
Условно-съемными называют конструкции, которые снять возможно, но для этого требуются определенные манипуляции. Лучше такую процедуру проводить у стоматолога.
Крепятся зубные протезы такого типа на импланты. Способов крепления 2: кнопочный и балочный.
Балочный способ такой же, как при бюгельном протезировании. Балка выполняет роль патрицы и крепится к имплантам. А матрица находится в теле протеза. За счет балки происходит равномерное распределение жевательной нагрузки.
Кнопочный метод тоже использует патрицу и матрицу, но при этом балка отсутствует. Роль патрицы выполняет абатмент (переходной элемент).
Крепление несъемных протезов
Протезы, которые невозможно снять, не повредив, называют несъемными.
К ним относятся:
- Коронки. Помогают сохранить сильно разрушенные зубы, восстановить промежутки в зубном ряду.
- Мостовидные протезы. Призваны восстановить функцию утраченного зуба. К сожалению, кроме обточки зубов под коронки, у мостов есть еще один недостаток. Костная ткань при таком протезировании продолжает убывать, принося функциональные и эстетические изменения.
- Протезы на имплантах (при винтовой фиксации протеза, его можно снимать в кабинете стоматолога). Имплант полностью берет на себя функции зуба. Останавливает потерю костной ткани, принимает жевательную нагрузку.
- Микропротезы (виниры). Принадлежат к эстетической стоматологии, их главная цель - восстановление улыбки
За исключением имплантации, ставится протез зуба при данных способах на препарированную единицу. Для виниров степень препарирования небольшая, снимают только верхний слой эмали.

Для коронок зуб обтачивают тем сильнее, чем толще коронка. Самые толстые коронки из металлокерамики. Из современных керамических составов коронки получаются прочными, легкими и тонкими. Самые тонкие изделия - из диоксида циркония. Он очень твердый, выдерживает нагрузки при минимальной толщине.
Если коронковая часть зуба сильно разрушена, фиксировать зубные протезы приходится на штифте или культевой вкладке. Это стержень из прочного материала, из стекловолокна или металла, который вводят в зубной канал. Он служит опорой для реставрации.
Как ставят протезы зубов на импланты
Есть несколько способов:
- при одиночных дефектах, на имплант ставится протез зуба в виде коронки;
- при дефектах нескольких зубов можно установить мостовидный протез;
- при полном отсутствии зубов протезируется вся челюсть.
Количество имплантов при последнем способе зависит от протокола. Это может быть 4 или 6 имплантов, а при использовании метода Resmile количество имплантов определяет врач, исходя из конкретного клинического случая и комбинирует штифты разного вида для наиболее качественного результата.
Фиксировать зубные протезы на импланты можно двумя способами:
- На цементе. Современные стоматологические цементы надежно закрепляют реставрации и служат продолжительное время.
- На винтах. Это более сложный вид фиксации, требует большого мастерства от врача. Главным достоинством установки зубных протезов на винты, является возможность снять конструкцию без повреждения, провести необходимые манипуляции, а потом поставить обратно.
От того, насколько прочно зафиксирован протез, зависит время привыкания и удобство использования. Способ фиксации подбирает ортопед, опираясь на свой опыт и учитывая конкретные проблемы пациента.
[1] Мирсаев Т.Д. “ Средства, улучшающие адгезию съемных конструкций зубных протезов” Издательский дом “Тираж” 2019
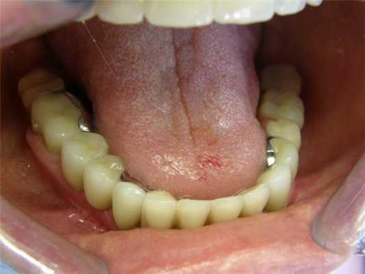
Бюгельные протезы с кламмерной фиксацией

Бюгельные протезы являются самыми передовыми изделиями после имплантов. На сегодняшний день их существует несколько видов.
Строение протезов с кламмерной фиксацией
Кламмерные бюгели достаточно востребованы. «Кламмерами» называют крючки, которые надеваются на опорные зубные ткани. Такие изделия хорошо принимают и распределяют давление во время пережевывания пищи.
На изготовление крючков идет нержавейка, в состав которой входят другие сплавы и металлы. Особенно ценным составляющим материалом является золото. Сам каркас бюгеля выполняется из специального медицинского сплава. Данная протезная система может иметь форму в виде ленты, круга и полукруга. Встречаются и плоские изделия.

Бюгели крепящиеся на крючках адресованы пациентам, которые утратили несколько зубов, имеют глубокий прикус либо слишком плоское небо. Они также подходят при заболевании десневой ткани и при высоком уровнем истирания зубной эмали. Желательно выбирать именно эти конструкции при сахарном диабете и при наличии противопоказаний к прочим видам протезирования.
Преимущества
Бюгельные протезы с кламмерами комфортны в применении и не нуждаются в коррекции. Пациент безболезненно и оперативно привыкает к ним. Дикция в процессе привыкания не страдает.
Давление на зуб формируется только в процессе пережевывания пищи. В спокойном состоянии крючки не оказывают какого-либо влияния на опорный зуб, который к тому же не приходится депульпировать во время установки протеза.
Такие конструкции отличаются простотой в уходе. Их надо дважды в день чистить щеткой с целью удаления остатков пищи.
Прочими преимуществами является отсутствие влияния протезной системы на вкусовые качества пищи и темперные колебания. Кроме того, они равномерно распределяют давление от жевательной нагрузки и укрепляют подвижные зубные ткани.
Что такое бюгельный протез на кламмерах?
Для восстановления зубного ряда в стоматологии часто применяется метод бюгельного протезирования. Что такое бюгельный протез на кламмерах? Это - один из вариантов съемного протезирования. Такой прием имеет массу преимуществ. Он приемлем по цене, является прекрасной альтернативой имплантации.

Понятие бюгельного протеза на кламмерах
В ортопедии бюгельные протезы применяются для восполнения недостающих зубных единиц на нижнем и верхнем рядах. Конструкция на кламмерах состоит из таких элементов:
- Дуги, выполненной из металла или пластмассы. Bugel в переводе с немецкого языка означает дуга.
- Базиса - основы, имитирующей десну.
- Закрепленных на дугу искусственных зубов.
- Кламмеров - фиксирующих крючков.

Обычные пластмассовые съемные аппараты закрепляются за счет массивной основы, имеющей большую толщину. Бюгельные конструкции имеют тонкий базис с меньшим объемом. Надежную фиксацию аппарата обеспечивают кламмеры.
Для пациентов это одна из наиболее удобных конструкций. Не перекрывается передняя часть неба верхней челюсти. Это способствует нормальной дикции, естественной работе вкусовых рецепторов. Миниатюрный базис на нижней челюсти дает свободное движение языку. Он минимизирует риск выпадения протеза при движении языка. Сокращается адаптационный период.
Преимущественные стороны и минусы
Среди положительных сторон бюгельных протезов на кламмерах следует отметить таковые:
- сохраняются целыми опорные зубы, их не нужно обтачивать, как при мостовидном методе;
- надежность, прочность - аппараты, которые сделаны с металлической дугой более крепкие, чем пластиночные протезы;
- высоконадежная фиксация элемента;
- долгий период эксплуатации - от 5 до 10 лет;
- за счет маленького объема основы и его тонкости нет дискомфорта при использовании протеза;
- быстрое привыкание;
- их легко снимать, одевать;
- хорошая биосовместимость;
- правильное распределение жевательной нагрузки;
- применение аппарата с шинированием зубных единиц при их подвижности - предупреждает расшатывание и выпадение зубов, дает возможность регенерации тканей пародонта;
- легкий уход за протезом;
- сравнительно невысокая цена, в отличие от мостов из керамики, имплантов.

Слабые стороны данной методики протезирования:
- не самая великолепная эстетичность - при улыбке кламмеры могут быть заметными;
- не исключено натирание мягких тканей металлическими крючками;
- давление фиксаторов на эмаль зуба - существует риск повреждения зубного покрытия при серьезных жевательных нагрузках;
- возможность появления аллергии на металл при персональной непереносимости составляющих, тогда нужно выбирать конструкции на другой основе: нейлоновой, полиуретановой;
- как и при иных путях съемного протезирования, со временем происходит уменьшение костных тканей челюсти, но десна при ношении бюгельного протеза атрофируется медленнее.
Типы бюгельных протезов кламмерной фиксации
По своему назначению и устройству конструкции бывают 2 видов: простые и шинирующие.
Вторые отличаются от обычных бюгельных протезов тем, что они имеют дополнительные фиксаторы для зубных единиц, являющихся опорой для конструкции. Их практикуют при неправильном прикусе, подвижных зубах, повышенной стираемости зубных единиц.
Встречаются ортопедические бюгельные протезы таких типов:
- Цельнолитые.
- Паяные.
- Фрезерованные.
- Изготовленные с применением особого лазерного спекания частиц. порошкообразного вещества из металлических сплавов.

По используемому материалу для выпуска механизма протезы подразделяются на:
- Продукцию с содержанием металла. Кламмеры, дуги, а иногда каркасы базисов, изготавливают из золотоплатинового, хромокобальтового сплавов.
- Конструкции, не содержащие металлических компонентов. Их делают с применением нейлона, противоаллергенной пластмассы.
В бюгельных протезах применяются опорно-удерживающие виды креплений. Часть нагрузки они передают на зуб.
По охвату фиксаторы подразделяются на приспособления с одним или двумя плечами, в виде кольца, с одним звеном, а также двойные. Крючки могут быть плоскими, круглыми, в форме полукруга, ленточными.
Показания к установке и противопоказания
Стоматология Имплант эксперт рекомендует применение бюгельной конструкции на кламмерах в таких ситуациях:
- недостаток у больного одной или нескольких позиций в зубном ряду;
- при имеющемся одностороннем (двухстороннем) концевом дефекте ряда;
- в случае отсутствия возможностей провести протезирование с помощью несъемных конструкций, например, имплантацию;
- при наблюдающейся подвижности зубных элементов;
- при наличии у пациента бруксизма;
- когда пациент страдает большой стираемостью зубов;
- при присутствии проблем с прикусом;
- для протезирования фронтальных единиц.

Решение зависит от наличия и целостности опорных единиц, чувствительности слизистых десны, общего состояния пародонта.
Противопоказаниями к применению бюгельного протеза на крючках являются:
- Довольно низкие опорные единицы, их неимение.
- Наличие патологии периапикальной ткани опорных зубов.
- Индивидуальная непереносимость съемной конструкции.
- Наличие у клиента тяжелой стадии сахарного диабета.
- Тяжелые психические расстройства.
- Острые протекания болезней ротовой полости.
- Беременность.
- Недуги костных челюстных тканей.
- Прохождение лучевой терапии.
- Неудовлетворительная гигиена ротовой полости.
Этапы изготовления кламмерных бюгельных протезов и установка
Основными этапами протезирования являются клинический, а также лабораторный. От первоначального момента обращения в стоматологию до окончательной реставрации пробелов зубного ряда происходят такие мероприятия:
- Обследование и диагностика. Намечается план работы. Делается заключение доктора о состоянии полости рта.
- При необходимости выполняются терапевтические процедуры.
- Если противопоказания не выявлены, то врач, когда ротовая полость полностью подготовлена, качественно и точно снимает слепки с нижней, верхней челюстей.
- Подборка нужного цвета.
- Передача оттисков в зуботехническую лабораторию.
- Изготовление конструкции.
- Примерка готового изделия пациенту.
- Коррекция протеза (если таковая требуется).
- Установка аппарата.

Конструкции, которые содержат металлические элементы, производят методом литья. Пластиковые изделия - под воздействием высокой температуры.
Изготовление состоит из основных процессов:
- на основе полученных слепков делают гипсовую модель будущего изделия.
- разработка чертежа каркаса конструкции;
- отлив основы аппарата;
- шлифовка, полировка, обработка протеза.
Необходимый уход за протезом
Специфического ухода конструкции к себе не требуют. Но необходимо выполнять гигиенические правила:
- Чистить зубы и бюгельный протез не реже, чем 2 раза в сутки.
- После каждого приема пищи ополаскивать конструкцию под проточной водой.
- Пользоваться специальными ополаскивателями для ротовой полости.
- Для чистки лучше применять щетку с не очень жестким ворсом, неабразивную пасту, чтобы не поцарапать изделие.
- Проводить манипуляции с дезинфицирующими растворами.
- Посещать стоматологическое учреждение не реже 1 раза в полгода для осмотра, профессиональной чистки.

Чтобы сохранялся первоначальный вид протеза, высококвалифицированные специалисты клиники Имплант эксперт рекомендуют:
- не злоупотреблять чаем, кофе, которые могут изменять тон конструкции, оставлять налет;
- по возможности отказаться от вредных привычек, в частности, от курения.
На время службы бюгельного протеза на кламмерах, на его практичность, надежность влияют не только бережное отношение, соблюдение норм гигиены. Многое обуславливается мастерством, качеством работы специалистов, которые создавали изделие, устанавливали его.
Читайте также:
- Электрическая кардиоверсия (дефибрилляция сердца)
- Гиперальдостеронизм: причины, симптомы и лечение
- Рентгенограмма, КТ, МРТ артропатии дугоотростчатых суставов шейного отдела позвоночника
- Неотложные обследования при черепно-мозговой травме. Показания к КТ
- УЗИ, МРТ, КТ при перитонеальной инклюзионной кисте
