Этапы и техника остеосинтеза при переломах костей голени
Добавил пользователь Евгений Кузнецов Обновлено: 01.02.2026
Выполнение остеосинтеза колена - это способ хирургического лечения переломов костей, который позволяет проводить сопоставление отломков и их последующее сращение. Остеосинтез может проводиться различными способами - наружным либо внутренним, с применением различных методик - чрескостной, накостной либо внутрикостной. Отломки пораженной кости можно зафиксировать при помощи винтов, спиц, пластин, проволоки, плотно прижимая их друг к другу в анатомически правильном положении. После выполнения вмешательства необходим курс реабилитации, чтобы полностью восстановить подвижность сустава и тонус мышц, эластичность связок, сухожилий. Период восстановления может длиться до полугода.
Преимущества остеосинтеза
Переломы голени с вовлечением коленного сустава - это всегда сложная ситуация. При таких травмах необходимо применение операции остеосинтеза колена, подбирая тип вмешательства, который позволяет избежать применения большого количества металлофиксаторов, а также помогает как можно скорее вернуть двигательную функцию после операции, обеспечив при этом максимально возможные биомеханические показатели в области пораженного сустава.
Чаще всего врачи прибегают к применению стягивания проволокой или использования тонких, прочных спиц. Этот метод позволяет зафиксировать отломки, позволяя металлоконструкции работать в синергизме с частями скелета. При этом после операции сила растяжения, воздействовавшая на отломки, трансформируется в сжатие, что усиливает процесс сращивания.
Наиболее часто остеосинтез показан при переломах надколенника для фиксации костных отломков при сложных переломах со смещением фрагментов кости. Иногда при операции требуется дополнительная иммобилизация сроком до полутора месяцев.
Показания к остеосинтезу коленного сустава
Среди ключевых показаний к выполнению остеосинтеза колена можно считать:
- повреждения надколенника - продольные и поперечные;
- открытые переломы;
- отрыв нижнего либо верхнего полюса;
- оскольчатый перелом;
- многофрагментный перелом со смещением костных отломков.
На фоне переломов надколенника часть фрагментов (проксимальные) поднимаются вверх за счет действия сильной четырехглавой мышцы, а дистальные отломки фиксируются собственными надколенными связками. Из-за того, что между отломками формируется большое расстояние, консервативными методами сращивание практически невозможно. Поэтому рекомендуется проведение остеосинтеза в максимально ранние сроки, так как по мере времени костные отломки будет сложнее соединить между собой.
Противопоказания
Хотя операцию выполняют достаточно часто и оперативно, для ее выполнения есть ряд противопоказаний, которые нужно учитывать перед вмешательством. К ним можно отнести большой объем пораженных тканей вокруг раны, рваные, размозженные и инфицированные поверхности. В этой ситуации предварительно проводится первичная обработка ран (хирургическая), а процедуру остеосинтеза выполняют уже после заживления. Также противопоказано хирургическое вмешательство при острой инфекции или обострении хронических патологий, местном воспалительном процессе с нагноением, при тяжелых сочетанных травмах и шоковом состоянии, большой кровопотере, когда операция сопряжена с большим риском.
Подготовка
Перед вмешательством показано проведение полного обследования и прицельной рентгенологической диагностики, которая определяет тип вмешательства. Кроме того, важно сдать все анализы, пройти консультации специалистов, чтобы исключить любые противопоказания к вмешательству.
Как проходит операция
Операция может проводиться в разных техниках, что зависит от клинической ситуации. Если это остеосинтез при помощи винтов, ее проводят как под общим наркозом, так и под спинальной анестезией. При винтовом остеосинтезе в зоне пораженного надколенника проводится дугообразный разрез тканей, врач отделяет кожу и подлежащие ткани от области кости, отворачивает их, получая доступ к надколеннику, который поврежден. Проводится выполнение открытого остеосинтеза за счет компрессионных винтов с областью частичной нарезки. Конструкцию винтов подбирают таким образом, чтобы область нарезки не пересекла зону перелома. Вводить винты начинают с области большего пораженного фрагмента.
Предварительно в области отломков просверливают каналы, которые по диаметру будут соответствовать внутреннему сечению винта. В области канала противоположного фрагмента кости проводится нарезка резьбы метчиком, и затем винт вкручивается сразу в оба отломка, прочно завинчиваясь и формируя область компрессии отломков. После этого проводится контрольный рентген для проверки надежности костной фиксации при сгибании коленного сустава. Проводится ушивание капсулы сустава, кожных покровов, постановка дренажей и наложение на рану стерильной повязки.
Если проводится фиксация отломков надколенника методом остеосинтеза по Веберу, используют сверло 2 мм диаметром. Им просверливают два отверстия на расстоянии около 25 мм, делая параллельные каналы. После того, как создан первый канал, перед высверливанием второго в него ставят спицу, чтобы врач мог параллельно создавать и второй канал. Затем костные отломки соединяют в правильном положении, контролируя, чтобы суставные поверхности на наколеннике были как можно более ровными и гладкими. Отломки нужно удерживать в правильном положении, затем вводить сверло в центральный отломок, просверливая параллельные отверстия в периферическом. Внутрь этих каналов ставятся спицы с загнутыми краями, выступающие участки спиц обматывают проволокой, формируя петли и стягивая их. Концы спиц отрезают, чтобы они были погружены в ткани, затем зашивают капсулу сустава и кожу, рану обрабатывают.
Реабилитационный период
После операции может потребоваться временная гипсовая повязка или лонгета на протяжении 5-6 недель. Иногда повязки не накладывают, но разрешена ходьба только с костылями, пока не будут сняты швы на 10-12 сутки. Затем допустимо хождение с тростью до полного заживления.
В нашей клинике можно получить предварительную консультацию врача с оценкой стоимости остеосинтеза колена. Кроме того, важно учитывать еще и стоимость обследования и подготовительного этапа, особенности металлоконструкций, тип операции и период реабилитации. Наши врачи выполняют любые виды вмешательств, обладают большим опытом и могут помочь вернуть радость движения.
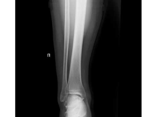
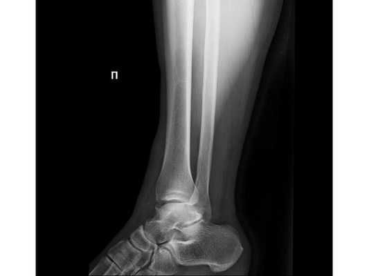
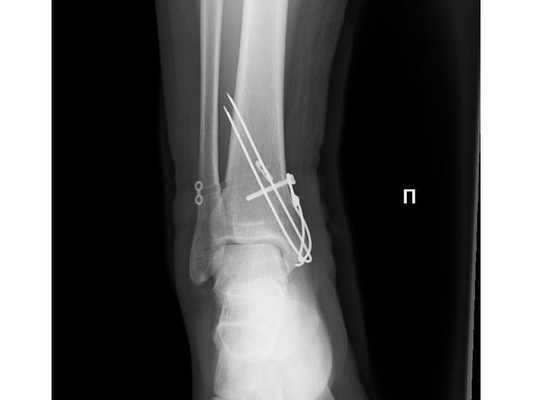
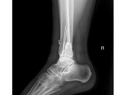
Случай закрытого оскольчатого перелома внутренней лодыжки правой голени со смещением отломков
В приёмное диагностическое отделение ГКБ 29 имени Н.Э. Баумана бригадой скорой медицинской помощи был доставлен мужчина 36 лет с травмой голеностопного сустава правой нижней конечности.
Жалобы
Пациент жаловался на боль и ограничение движений в правом голеностопном суставе, невозможность полноценно опираться на правую нижнюю конечность.
Анамнез
Со слов больного, травма была получена в день обращения в бытовых условиях, в результате подворачивания стопы в голеностопном суставе.
Обследование
При осмотре определяется отёк мягких тканей области голеностопного сустава. Геометрия сустава изменена. Движения в голеностопном суставе ограничены болями, при пальпации пациент отмечает боли в этой области. Также при пальпации есть болезненность в верхней трети правой голени в проекции головки малоберцовой кости.
- Рентгенография правого голеностопного сустава в двух проекциях.
- Рентгенография голеностопных суставов в проекции Mortis.
- Рентгенография правой голени на протяжении с захватом коленного и голеностопного суставов.
- Компьютерная томография правой голени.
Диагноз
Закрытый оскольчатый перелом внутренней лодыжки правой голени со смещением отломков. Закрытый перелом верхней трети малоберцовой кости правой голени. Повреждение дистального межберцового синдесмоза ( соединения большеберцовой и малоберцовой костей) . Подвывих стопы кнаружи (Maisonneuve-type fracture).











Лечение
При поступлении проведена анестезия места перелома раствором новокаина 0,5 % — 40,0 мл. Выполнена попытка одномоментной закрытой ручной репозиции перелома внутренней лодыжки и устранения подвывиха стопы. После этого больной госпитализирован в профильное отделение для определения дальнейшей тактики лечения.
После обследования и уменьшения отёка мягких тканей на четвёртые сутки с момента травмы больному проведено оперативное вмешательство. Под спинномозговой анестезией выполнена открытая репозиция перелома внутренней лодыжки правой голени спицами и стягивающей проволочной петлёй, фиксация дистального межберцового синдесмоза стягивающей петлёй с упорными металлическими площадками.
Ранний послеоперационный период протекал без осложнений. На третьи сутки после операции конечность фиксирована гипсовой повязкой от нижней трети правого бедра до плюснефаланговых суставов. Пациент активизирован с опорой на костыли без нагрузки на правую нижнюю конечность. Выписан на амбулаторное долечивание под наблюдение районного травмпункта.
- Ходьба с опорой на костыли без нагрузки на правую нижнюю конечность в течение 6-8 недель с момента операции.
- Гипсовая иммобилизация правой нижней конечности в течение 6-8 недель.
- Рентгенография правого голеностопного сустава через 4, 8, 12 недель с момента операции.
- Этапное реабилитационное лечение после снятия гипсовой повязки.
Заключение
Специалист, который сталкивается с данным повреждением, должен знать особенности его диагностики и лечения.
1. Повреждение имеет 100 % показания к оперативному лечению. Консервативное лечение в гипсовой повязке обречено на неудачу и сопряжено в дальнейшем с риском развития осложнений:
- вторичное смещение отломков;
- консолидация перелома внутренней лодыжки со смещением (сращение перелома и формированием костной мозоли);
- подвывих стопы кнаружи;
- тугоподвижность голеностопного сустава.
- как следствие — раннее развитие деформирующего артроза правого голеностопного сустава.
2. Наличие на рентгенограммах голеностопного сустава изолированного перелома внутренней лодыжки обязывает доктора выполнить исследование голени на протяжении для выявления перелома малоберцовой кости в верхней её трети.
3. Для оценки повреждения дистального межберцового синдесмоза при переломах лодыжек необходимо выполнение рентгенологического исследования обеих голеностопных суставов в проекции Mortis для сравнения со здоровой конечностью.
5. Переломы лодыжек надсиндесмозные (Weber C / Maisonneuve-type fracture) 100 % всегда сопровождаются повреждением синдесмоза.
6. Фиксация дистального межберцового синдесмоза самозатягивающейся петлёй позволяет корректно позиционировать малоберцовую кость по отношению к большеберцовой и исключить повторные хирургические вмешательства.
7. Гипсовая иммобилизация конечности в послеоперационном периоде обязательна с учётом мягкотканных повреждений голени.
Перелом голени - симптомы и лечение
Что такое перелом голени? Причины возникновения, диагностику и методы лечения разберем в статье доктора Вахитова-Ковалевича Руслана Маратовича, ортопеда со стажем в 8 лет.
Над статьей доктора Вахитова-Ковалевича Руслана Маратовича работали литературный редактор Вера Васина , научный редактор Никита Геращенко и шеф-редактор Маргарита Тихонова
Определение болезни. Причины заболевания
Перелом голени (Fracture of lower leg) — это нарушение целостности большеберцовой или малоберцовой кости. При переломе человек не может опереться на ногу, возникает острая боль, меняется длина и конфигурация голени [1] .

Распространённость
В России травмы крупных костей скелета (плечевой, бедренной и большеберцовой кости) — это основная причина смерти пациентов младше 40 лет [3] . Переломы костей голени занимают первое место среди повреждений длинных трубчатых костей: на них приходится от 20 до 37,3 % случаев [11] .
Причины переломов голени
Повреждения голени чаще всего происходят при автодорожных авариях, падении с высоты, занятиях спортом, катании на коньках и на лыжах.
При переломе голени нередко повреждается несколько костей, например:
- при автодорожной аварии перелом центральной части большеберцовой кости часто сочетается с травмой верхнего конца малоберцовой кости;
- падение с большой высоты может привести к перелому нижнего конца большеберцовой кости и наружной лодыжки.
Чем быстрее оказана медицинская помощь и при необходимости проведена операция, тем реже развиваются осложнения.
При обнаружении схожих симптомов проконсультируйтесь у врача. Не занимайтесь самолечением - это опасно для вашего здоровья!
Симптомы перелома голени
Один из первых признаков перелома — это острая боль, которая возникает из-за повреждения мягких тканей. Чаще всего она не проходит, даже если нога зафиксирована и не двигается, и стихает только после медицинской помощи.
Боль локализуется в зоне перелома и усиливается при прикосновении или надавливании. При движениях она может распространяться выше по ноге, но, как правило, человек этого не замечает, потому что боль слишком сильная.
Нарастающий отёк мягких тканей — второй характерный симптом, который развивается в первые часы после травмы. При отёке часто возникает местная ишемия, т. е. ухудшается кровообращение из-за сужения или полной закупорки просвета артерии. Кроме того, из-за отёка в области перелома развивается дополнительное раздражение, повреждаются мягкие ткани и усиливается боль.
Гематома образуется в месте перелома вслед за отёком из-за повреждения мелких сосудов окружающих и костных тканей. Гематома усиливает отёк и боль, поэтому пока не остановится внутреннее кровотечение, отёк будет нарастать — так замыкается круг симптомов. Чтобы его прервать, ногу нужно зафиксировать.

Деформация ноги и невозможность опереться всегда сопровождают переломы голени. Заметить их можно сразу после травмы.
Характерное потрескивание отломков (крепитация), щелчки и выраженный хруст в области травмы — это достоверные признаки перелома голени. Патологическая подвижность голени, нетипичные движения в ноге, которые вызывают острую боль, также свидетельствуют о переломе. Обычно из-за сильной боли пациенты максимально щадят ногу, стараются не шевелить ею и не дают к ней прикоснуться.
Перечисленные симптомы всегда оцениваются в совокупности: чем больше признаков выявлено, тем вероятнее перелом [1] .
Патогенез перелома голени
Выделяют два вида проявлений перелома голени: местные, возникшие в травмированной ноге, и системные, затрагивающие весь организм.
Основное местное проявление перелома голени — это острая боль, которая напрочь лишает желания двигать ногой [4] .
Мышцы голени в момент травмы рефлекторно сокращаются, что усугубляет перелом: острые костные отломки смещаются и повреждают мышечную ткань. Чем толще кость и сильнее развит мышечный каркас, тем вероятнее, что костные отломки сместятся.
При непроизвольном сокращении мышц из повреждённых мелких сосудов начинается кровотечение. В зоне перелома появляется гематома, развивается отёк мягких тканей и боль усиливается.
Вне зависимости от типа перелома, примерно с 10-го дня гематома становится основой для костной мозоли. Костная мозоль — это будущая соединительная ткань, которая при заживлении преобразуется в кость. Период образования мозоли длится до двух недель, в это время могут возникать системные проявления перелома: обостряются хронические заболевания, повышается температура и систолическое (верхнее) давление.
В дальнейшем, благодаря активному кровоснабжению и доставке минеральных элементов, формируется вторичная костная мозоль и перелом срастается.
Важную роль в сращении перелома играет кровоснабжение кости, наличие костных отломков, расстояние между ними и тип фиксации. Переломы без осколков срастаются лучше, чем оскольчатые. Осколки, как правило, лишены кровоснабжения и отдалены друг от друга, поэтому такие переломы считаются сложными и плохо заживают.
После сращения перелома костная мозоль выглядит как нарост, но в дальнейшем перестраивается [5] . В среднем через 3-3,5 месяца человек может вернуться к бытовым нагрузкам, через полгода линия перелома становится незаметной.
При множественных переломах костей голени, обширной кровопотере, длительном травмирующем воздействии и интенсивной боли может развиться травматический шок, при котором нарушаются функции нервной системы, ухудшается кровообращение и дыхание, что усугубляет патогенез перелома.
Классификация и стадии развития перелома голени
В Международной классификации болезней 10-го пересмотра (МКБ-10) перелом голени кодируется как S82.1 .
- открытый перелом — кость сообщается с окружающей средой, в открытой ране видны костные отломки;
- закрытый перелом — кожа не повреждена, открытых ран нет.
По повреждению кортикального слоя (самой прочной части костной ткани):
- полный перелом — нарушена целостность кости;
- неполный перелом — костная стенка разрушена не полностью.
Чаще всего при неполном переломе появляется боль и выраженный отёк. Нога подвижна и не деформирована, хруста отломков нет. В народе такой перелом называют «трещиной».

По локализации перелома:
- повреждение диафиза — перелом средней трети голени, тела трубчатой кости;
- эпифиза — перелом конца трубчатой кости эпифизарной зоны;
- метафиза — перелом верхней или нижней трети голени (как правило, в отдельную группу такие переломы не выделяют).

По смещению костных отломков переломы бывают:
- Без смещения — простые переломы, при которых не нужно совмещать костные отломки.
- Со смещением — осложнённые переломы, требующие совмещения костных отломков. При таких переломах голень сильно деформирована, отекает и болит, есть крепитация отломков.
По прохождению линии перелома по кости (заметно только на рентгенограмме):
- поперечные;
- косые;
- винтообразные;
- вколоченные;
- фрагментарные;
- отрывные.
Чтобы упростить постановку диагноза, оценить тяжесть и прогноз травмы, Ассоциацией остеосинтеза была создана универсальная классификация переломов длинных трубчатых костей (AO ASIF Trauma).
Основной принцип данной классификации — это разделение переломов в зависимости от повреждённой кости, её сегмента и типа перелома. Фрагмент из классификации приведён на рисунке ниже [12] .

Осложнения перелома голени
Все осложнения перелома голени могут быть разделены на две группы:
- По времени возникновения:
- ранние — возникают в первые часы после травмы;
- поздние — развиваются в процессе лечения и реабилитации.
- По месту проявления: локальные и системные [7] .
Местные, или локальные осложнения
- повреждение мягких тканей (разрыв мышц, сухожилий и фасций);
- повреждение сосудисто-нервного пучка, онемение ноги и нарушение кровотока;
- местная ишемия тканей;
- контрактуры и атрофия мышц, которые проявляются скованностью движений;
- ложный сустав — несросшийся перелом, нарушение непрерывности трубчатой кости.
Ложный сустав можно распознать по рентгенограмме: видна линия перелома, костные края становятся округлыми, ось кости нарушена. Главная опасность заключается в утрате опорной функции голени, из-за чего пациент не может полноценно ходить.
Общие, или системные осложнения
Такие осложнения могут быть опасны для жизни. К ним относятся:
- Травматико-геморрагический шок, который возникает из-за боли при травме или потери крови. Пациент может потерять сознание, у него сильно понижаются давление и частота дыхания.
- Жировая эмболия — закупорка сосудов каплями жира, которые попали в кровь из участка перелома. Сопровождается помутнением сознания, эйфорией и неадекватным поведением: человек плохо осознаёт свои действия, отказывается от помощи, пытается встать и уйти.
- Тромбоэмболия — закупорка сосудов тромбами, из-за чего возникает ишемия или некроз тканей. В тяжёлых случаях, например при тромбоэмболии лёгочной артерии, пациент может погибнуть. Закупорка мелких сосудов приводит к ишемии тканей, в результате чего они разрушаются и организм отравляется продуктами распада. При закупорке крупных сосудов пациент может потерять сознание, у него резко падает давление и возникает терминальное состояние, близкое к клинической смерти.
Осложнения множественных травм носят комплексный характер: повреждается несколько костей или органов, например перелом ноги может сочетаться с черепно-мозговой травмой.
Диагностика перелома голени
Сбор анамнеза и осмотр
Диагностика всех видов травм начинается со сбора анамнеза — врач спрашивает, какие действия привели к перелому и что делал пациент после травмы.
Затем проводится физикальный осмотр и уточняются симптомы. Выделяют два вида признаков перелома:
- достоверные, к которым относится деформация, патологическая подвижность, укорочение или удлинение ноги и костный хруст (крепитация);
- недостоверные — боль, отёк и невозможность опираться на ногу.
Чем больше выявлено достоверных симптомов, тем вероятнее перелом костей голени.
Инструментальные методы диагностики
Объективно подтвердить диагноз позволяет рентгенологическое исследование голени в двух стандартных проекциях: прямой и боковой [8] . Чтобы избежать ошибок, рентген следует выполнять строго по стандартным укладкам.

Шок, вынужденное неестественное положение ноги из-за боли, наличие шин и фиксаторов затрудняют диагностику перелома. Если металлические шины или фиксаторы мешают сделать качественный снимок, то их придётся снять. Когда положение ноги не позволяет сделать снимок, её вправляют под местной анестезией.
В некоторых случаях, если требуется детальная диагностика нескольких сегментов голени или пациент находится в тяжёлом состоянии, показана компьютерная томография с 3d-реконструкцией кости. Исследование можно проводить и при вынужденном положении конечности, но такой томограф есть не во всех клиниках. Поэтому в некоторых случаях, если информации недостаточно, делаются уточняющие прицельные рентгеновские снимки отдельных сегментов кости.

К дополнительным методам диагностики относятся:
- рентгеновские снимки под углом;
- рентгеноскопия (просвечивание) — процедура, при которой изображение выводится на светящемся экране;
- томография с введением контрастных веществ — метод, позволяющий выявить метастазы, которые могли стать причиной перелома;
- денситометрия — исследование плотности костной ткани.
Перечисленные диагностические методы применяются в тех случаях, когда причинно-следственная связь между переломом и предшествующими событиями недостаточно ясна. К примеру, если из-за резкого подъёма с кровати возник оскольчатый перелом обеих костей голени.
Лабораторная диагностика
Лабораторные методы при диагностике травм голени вторичны, они позволяют оценить общее состояние пациента и решить, нужно ли ему ложиться в больницу.
- при критически низком уровне эритроцитов и гемоглобина (свидетельствует о сильной кровопотере);
- при высоком уровне лейкоцитов (возникает при нарушениях в работе внутренних органов).
Лечение перелома голени
При поступлении в стационар проводят следующие процедуры:
- Чтобы уменьшить боль, внутримышечно вводят анальгетики центрального действия. Также показано местное обезболивание раствором Новокаина.
- Выполняется закрытая репозиция конечности, т. е. восстанавливают ось ноги, выводят её в правильное положение.
- В зависимости от типа перелома накладывают скелетное вытяжение или гипсовую повязку. Выбирают тот метод, который позволяет оптимально зафиксировать ногу [9] .
Далее лечение сводится к основным принципам травматологии:
- если общее самочувствие пациента стабильно, костные отломки не смещены или смещены незначительно, то показано консервативное лечение;
- при грубом смещении, угловой деформации и укорочении конечности потребуется операция [10] .
Консервативное лечение
При консервативном лечении пациенту накладывают гипсовую повязку. Повязки могут быть как классическими, так и из полимерных материалов. Тип повязки на сращение перелома не влияет, важно качество наложения и адекватная фиксация. От материала зависит только удобство ношения повязки. Фиксаторы в остром периоде практически не используются.
Общие рекомендации по ношению гипса:
- не мочить повязку, иначе кожа под ней будет преть;
- не пытаться самостоятельно ослабить повязку, не обрезать края и не стараться сделать её удобнее;
- не подсовывать под повязку линейку, расчёску и прочие предметы, чтобы почесать кожу;
- следить за тем, чтобы повязка не пережимала ногу слишком сильно;
- если отёк нарастает, то рекомендуется обратиться к доктору и переложить повязку.
Гипс можно снимать только после того, как кости срослись (это видно на рентгенограмме). В среднем это происходит через 3-3,5 месяца.
Хирургическое лечение
Хирургическое лечение состоит в открытой репозиции костных фрагментов и остеосинтезе — операции, при которой восстанавливают правильную ось ноги и придают отломкам нужное положение. Процедура проводится под общей анестезией. Подходящую технику остеосинтеза врач подбирает в зависимости от участка перелома.

При использовании металлоконструкций кости голени сращиваются в среднем через 3-3,5 месяца после операции. Удалять конструкции по медицинским показаниям можно не ранее, чем через полгода. К таким показаниям относятся риск перфорации кожи и травмы мягких тканей. Также конструкцию нужно убрать, если она мешает разработке сустава, сдвинулась или поломалась.
Если конструкция мешает пациенту, её можно удалить, но не раньше, чем через год.
Аппараты внешней фиксации, например стержневые фиксаторы или аппарат Илизарова, применяют только временно, пока состояние пациента нестабильно и нельзя провести операцию.
Прогноз. Профилактика
Прогноз зависит от вида перелома, возраста пациента, сопутствующих заболеваний и осложнений. Также важно, как быстро человек обратился за помощью, соблюдал ли рекомендации врача и какая тактика лечения была выбрана [1] .
При переломе большеберцовой кости отломки чаще всего смещаются и кость долго сращивается. Большинство переломов диафиза голени, как правило, хорошо фиксируются как при консервативном лечении, так и при оперативном. Хуже заживает перелом нижней трети и опорной площадки голени. Непредсказуемы исходы множественных переломов костей голени и переломы обеих ног.
В целом, если выбрана правильная тактика лечения и своевременно проведена операция, то большинство переломов сращиваются за 3-3,5 месяца.
Остеосинтез переломов костей голени
Главу, посвященную лечению переломов костей голени, мы не случайно начали с подробного изложения приемов постоянного вытяжения в функциональном его варианте. Слишком тяжела для больного цена ошибок и осложнений, которые довольно часто встречаются при оперативном лечении. Неслучайно на долю костей голени приходится 50—70% случаев инвалидности вследствие переломов длинных трубчатых костей. Причем после широкого внедрения накостного и внутрикостного остеосинтеза большеберцовой кости в специализированных травматологических отделениях и хирургических отделениях районных больниц с начала 60-х годов число инвалидов после переломов костей голени резко возросло и составило в отдельных регионах 30—50% общего числа этих больных (С.С.Ткаченко, 1982). Особенно неблагоприятно протекает остеомиелит после внутрикостного остеосинтеза.
Открытый интрамедуллярный остеосинтез, выполнявшийся в те годы индустриальными фиксаторами Дуброва, Богданова, ЦИТО, Кюнчера, требовал наложения гипсовой повязки, не позволял применять функциональное лечение, давал неоправданно высокий уровень инфекционных осложнений — 1,5—6%, несращений и ложных суставов — 4—10,1%, первичной инвалидности (А. В. Воронцов, 1980; В. Ф. Трубников, 1983; И. В. Шумада, 1987).
А. В. Воронцов и В. М. Лебедева (1980) обследовали 338 больных спустя 3—15 лет после остеосинтеза большеберцовой кости и выявили у 78% из них различные патологические состояния — отеки, атрофию мышц, варикозное расширение вен, трофические расстройства и другие изменения, которые они объединяли одним названием — «болезнь оперированной голени». А. Д. Джурко (1988) подтвердил это — спазм магистральных артерий оперированной конечности после остеосинтеза перелома большеберцовой кости стержнем сохраняется до тех пор, пока стержень не удален.
В последние годы по-прежнему сохраняется опасность хирургической инфекции в травматологии и ортопедии. Больше стало госпитальной инфекции, расширяется спектр патогенной флоры, появляются новые устойчивые даже к стратегическим антибиотикам штаммы микроорганизмов, поэтому уменьшается эффективность общепринятой противовоспалительной и антибактериальной терапии.
Все изложенное еще раз позволяет обратить внимание хирургов районных больниц и травматологов на большую осторожность в отношении расширения показаний к оперативному лечению переломов костей голени. Более оправдано в условиях районной больницы и межрайонных травматологических отделений постоянное скелетное вытяжение в функциональном его варианте. Оно позволяет закончить лечение без операции во всех случаях косых и винтообразных переломов.
Оперировать переломы голени имеет право лишь подготовленный к этому через 6-месячную специализацию или клиническую ординатуру хирург. И конечно, именно общий хирург, хорошо владеющий хирургической техникой, может освоить основные приемы внутрикостного и накостного остеосинтеза за 6 месяцев обучения.
Наша клиника на протяжении 30 лет занимается совершенствованием внутрикостного остеосинтеза переломов большеберцовой кости стержнями прямоугольного поперечного сечения из титановых сплавов. Данный вариант внутрикостного остеосинтеза переломов большеберцовой кости имеет следующие преимущества: простота методики операции, не требующей дополнительных, кроме стержня, молотка и долота, инструментов; достаточная стабильность остеосинтеза за счет многоточечной фиксации стержня в костной полости и губчатом веществе метафизов отломков; возможность аутокомпрессии отломков на стержне при нагрузке на конечность; стержень не увели-
чивает объема соединяемых тканей, поэтому не бывает проблем сведения раны без натяжения при открытом остеосинтезе; наконец, самое большое преимущество — возможность выполнения операции в закрытом варианте, когда место перелома не обнажается разрезом.
Остеосинтез переломов большеберцовой кости стержнями прямоугольного поперечного сечения из титановых сплавов предложил Николай Константинович Митюнин (1959, 1964, 1967 гг.).
При остеосинтезе диафизарных переломов он вводил стержень сразу над бугристостью большеберцовой кости (канал формировал ножницами Купфера) широкой плоскостью параллельно задней стенке большеберцовой кости. Николай Константинович пользовался «мягким» массивным (толщиной 5 мм) стержнем (сплав ВТ1), который моделировался в канале, не повреждая его стенок. Поэтому нижний конец стержня, оттолкнувшись от задней стенки канала, загибался кпереди, и необходимо было выбить этот конец из центрального отломка, выпрямить его, забить снова в центральный отломок, а после репозиции добить в канал периферического отломка (см. рис. 9.59 главы 9).
Вот почему остеосинтез переломов большеберцовой кости на уровне сужения трубки всегда был открытым.
При попытке выполнить остеосинтез «мягким» стержнем без выведения его мимо периферического отломка и выпрямления возникала рекурвация большеберцовой кости вследствие деформации стержня.
Остеосинтез «мягким» стержнем опасен был деформацией стержня и зоны перелома при ранней нагрузке, поэтому после остеосинтеза Н. К. Митюнин (и мы вслед за ним до 1983 года) накладывали глухую гипсовую повязку от головок плюсневых костей до верхней трети бедра. То есть метод не был функциональным.
При высоких переломах большеберцовой кости профессор Митюнин разработал открытый ретроградный остеосинтез двумя жесткими стержнями (рис. 11.20.1 и 11.20.2).
При переломах ниже сужения костной трубки (костномозговой канал большеберцовой кости расширяется книзу) Н. К. Митюнин и Г. А. Суханов (1973) разработали прием остеосинтеза двумя стержнями (рис. 11.21) — один вводится сверху антеградно, как обычно, а второй — жесткий — ретроградно через торец периферического отломка в сторону медиальной лодыжки.
Г.А.Суханов (1973) предложил еще один оригиналный прием — остеосинтез двумя жесткими титановыми стержнями с разведением их нижних концов в периферическом отломке (рис. 11.22).
В настоящее время открытый внутрикостныи остеосинтез переломов большеберцовой кости в клинике применяется редко.
Еще профессор Н. К. Митюнин в начале семидесятых годов выполнил несколько закрытых остеосинтезов переломов большеберцовой кости. После того как он уехал из Ярославля (1973 г.), технику закрытого остеосинтеза совершенствовали А. А. Дегтярев, В. Л. Тихомиров, Г. А. Суханов, А. Д. Джурко, Е. В. Зверев.
Закрытый интрамедуллярный остеосинтез переломов большеберцовой кости
По нашему убеждению, в настоящее время это самый перспективный метод лечения диафизарных переломов большеберцовой кости, поскольку как бы не был прост и надежен в плане прочности фиксации открытый внутрикостный или накостный остео-
синтез, он всегда сопряжен с возможностью глубокого нагноения операционной раны, заканчивающегося остеомиелитом и несращением. А это непременная инвалидизация больного. В силу анатомических особенностей голени названные осложнения наиболее часты именно при открытом остеосинтезе большеберцовой кости. Вот почему так понятен призыв многоопытных травматологов в отношении голени — излечить закрытый перелом закрытым способом.
Закрытый остеосинтез для большеберцовой кости предпочтителен и в силу ее анатомических предпосылок для замедленного сращения. Именно при закрытом остеосинтезе надкостница не повреждается больше, чем она была повреждена в момент травмы, не отслаиваются от отломков мышцы, не повреждается начавшееся с первых дней после перелома мозолеобразование.
И еще одна немаловажная сторона закрытого остеосинтеза переломов голени - простота закрытого сопоставления отломков, поскольку передне-внутренняя грань большеберцовой кости доступна пальпации через кожу на всем протяжении сегмента.
Особенности анатомии большеберцовой кости применительно к остеосинтезу пере-
ломов ее стержнями. Е. В. Зверев (1988) исследовал анатомию большеберцовой кости, применительно к закрытому остеосинтезу стержнями прямоугольного поперечного сечения без рассверливания костного канала отломков. Форма поперечных сечений костномозговой полости большеберцовой кости в узком месте овальная, круглая или приближается к треугольнику с закругленными углами (рис. 11.23). Длина узкой части канала достигает максимально 4 / | 0 длины кости, минимально '/,„. Это сужение чаще находится на границе средней и нижней трети, реже в средней трети, но сужение может быть и в верхней трети диафиза. Протяженность губчатого вещества верхнего метафиза достигает 5 см, нижнего — 3 см.
Поскольку задача соединения отломков большеберцовой кости решается путем индивидуального подбора стержня соответственно размерам канала большеберцовой кости в его суженном участке (истмусе), то целесообразно делить диафизарные переломы голени на истмальные — линия перелома пересекает узкую часть костномозгового пространства — и на переломы выше и ниже сужения. Логично предположить, что центральная продольная ось стержня, подобранного по истмусу, будет тем больше приближаться к центральной оси истмальной части каналов (истмальной оси), чем больше размер поперечного сечения конструкции будет соответствовать поперечным сечениям истмуса. Поэтому при выборе рационального места введения конструкции необходимо ориентироваться на продолжение истмальной оси, а для того, чтобы прогнозировать взаимодействие между отломками и штифтом, нужно знать взаимодействие поперечных сечений канала на разных уровнях и оси истмуса (И. И. Литвинов, 1997). Им исследованы 32 большеберцовые кости лиц мужского пола в возрасте 30—49 лет. По рентгенограммам в двух стандартных проекциях и контурам поперечных сечений разных уровней произведена объемная реконструкция костномозговых каналов относительно истмальной оси (рис. 11.24). Найдено, что в большинстве случаев (68,7%) канал искривлен в плоскости, перпендикулярной медиальной грани большеберцовой кости, а бугристость расположена на 12,0+0,8 мм кнаружи от продолжения истмальной оси (рис. 11.25).
Исходя из найденных анатомических особенностей, при остеосинтезе переломов большеберцовой кости титановыми стержнями прямоугольного поперечного сечения целесообразно совмещать плоскость широких граней стержня с плоскостью медиальной грани большеберцовой кости. При этом наименьший размер поперечного сечения штифта совпадает с плоскостью искривления костномозгового канала, в которой конструкция должна обладать способностью упруго деформировать, не заклиниваясь и не повреж-
дая отломки. Место введения штифта должно быть расположено медиальнее бугристости большеберцовой кости на 10,0—12,0 мм и ниже уровня плато ее на 0,5—1,0 см (В.В.Ключевский, И.И.Литвинов, 1997).
Закрытый остеосинтез с введением фиксатора медиальнее бугристости под плато большеберцовой кости
1. Поперечные переломы, косые с плоскостью излома под углом 30°, локализующиеся в супраистмальном отделе диафиза большеберцовой кости.
2. Поперечно-оскольчатые переломы в пределах участка супраистмального отдела большеберцовой кости, где расширение канала не превышает толщины кортикала на уровне перелома.
3. Истмальные переломы.
4. Субистмальные переломы, за исключением вариантов дистального блокирования плоским стержнем, вводимым со стороны нижнего отломка.
Используются стержни из титана марки ВТ-5, ВТ-6 прямоугольного поперечного сечения толщиной 5 мм. Ширина конструкции должна быть на 2 мм меньше наибольшего поперечного размера истмальной (узкой) части костной полости, определяемого по рентгенограммам здорового или поврежденного сегмента в двух стандартных проекциях с расстояния 120 см. Если, к примеру, ширина истмуса на рентгенограмме в прямой проекции составила 12 мм, в боковой проекции — 10 мм, то необходимая ширина стержня должна быть 10 мм (12 мм — 2 мм = 10 мм).
Длина стержня соответствует расстоянию от вершины медиальной лодыжки до верхней границы бугристости большеберцовой кости (рис. 11.26).
Проксимальный конец стержня моделируется по рентгенограмме большеберцовой кости в боковой проекции. Маркируются границы костного канала. Параллельно контурам костной полости в ее суженном участке и посредине его строится истмальная ось. Из предполагаемого места введения стержня (под плато большеберцовой кости) параллельно контуру стенки канала в его верхней расширенной части строится линия до пересечения с истмальной осью. Угол между истмальной осью и указанной линией равен углу изгиба проксимальной части стержня кпереди. Расстояние от предполагаемого места введения стержня до места пересечения двух линий равно длине изогнутой кпереди части стержня (рис. 11.27). Изгиб проксимального конца стержня кпереди выполняется в плоскости, расположенной под углом 45° к плоскости его широких и узких граней. Дистальный конец стержня стачивается со стороны, пртивоположной направлению изгиба его верхнего конца (рис. 11.28, 11.29, 11.30).
Техника операции
Разрез кожи длиной 2,5—3 см делается в проекции внутреннего края связки надколенника, начинаясь от его нижнего полюса. Связка надколенника оттягивается кнаружи однозубым крючком. Место введения стержня находится на 12 мм медиальнее бугристости и на 1 см ниже плато большеберцовой кости (рис. 11.31). Канал в метафизе большеберцовой кости формируется пробойником при согнутом коленном суставе.
Стержень вводится до места перелома при согнутой конечности своими широкими
Остеосинтез костей голени
Остеосинтез костей голени - это хирургическая операция, которая проводится с целью репозиции (восстановления на своих местах) и надежного фиксирования костных отломков, которые получены при травме большеберцовой или малоберцовой кости. Основная цель проведения процедуры - это максимально физиологические условия для того, чтобы кости срастались в их правильном анатомическом положении. Столь радикальное вмешательство как остеосинтез голени рекомендовано не всем пациентам с переломами, а только тем из них, у кого консервативные мероприятия не дали результатов или они нецелесообразны по результатам диагностики (невозможно сращение при гипсовании).
Для максимально правильного соединения костных отломков хирурги могут использовать каркасные конструкции или применяют только отдельные варианты фиксации. Подбор конкретных устройств будет зависеть от размеров повреждения, характера полученных травм и локализации перелома, возраста и дополнительных условий.
Преимущества операции остеосинтеза голени
Основное преимущество подобного вмешательства - это возможность создания условий для максимально быстрого, полноценного сращения перелома костей голени. Это реализуется за счет двух условий. Первое - это надежная и максимально точная фиксация всех костных отломков на своих местах. Второе - процесс раннего восстановления функций тканей с улучшением кровотока и ускорением процесса регенерации. За счет применения различных конструкций кости надежно соединяются, при этом конечность остается подвижной.
Такие операции проводят при сложных переломах - если повреждены одновременно обе кости. Кроме того, остеосинтез левой голени или правой может быть рекомендован при вовлечении в процесс области голеностопа, если смещаются отломки, травмируются окружающие ткани.
Показания к остеосинтезу голени
Перед операцией врач определяет показания к операции остеосинтеза костей голени или голеностопного сустава. Среди ключевых показаний можно выделить:
- наличие компартмент-синдрома, выраженного сдавления тканей из-за повреждения;
- повреждение нервных стволов или сосудистых пучков;
- открытый перелом от 2-3 степени с осложнениями;
- диафизарный перелом у пациентов, имеющих политравму, который требует активного лечения;
- наличие нестабильного перелома, где есть смещение костных фрагментов, причем они смещены более, чем на ½ показателя ширины диафизарной части;
- нестабильный перелом, при котором есть поражение мышц или сухожилий костными отломками или пораженным фрагментом кости;
- в области линии перелома есть укорочение более 1 см;
- перелом сегментарный;
- изначально леченный консервативным путем перелом, имеющий вторичное смещение;
- перелом только большеберцовой кости, но с варусной деформацией, которая превышает 10 градусов;
- ипсилатеральный перелом, имеющий повреждение связочного аппарата в области коленного сустава;
- короткий косой перелом, который имеет осколочно-ротационный характер, и острая часть кости смещена дорсально.
Дополнительно есть ряд показаний к использованию чрескожного остеосинтеза при помощи аппаратных конструкций. Они определяются врачом на основании анализа многочисленных факторов и условий. Прежде всего - это характер перелома. Если это неосложненный перелом (безосколочный) применяют закрытую репозицию (с гипсованием) или винтовой остеосинтез либо погружной (простого типа). Если же это оскольчатый перелом, который не могут решить репозиция с гипсом, возможна чрескожная фиксация с применением аппаратов.
В зависимости от места перелома применяют различные конструкции - остеосинтез голени пластиной, стержнем или штифтом.
При остеосинтезе важно состояние кожи над местом перелома. Если есть дерматит или нагноение, остеосинтез может быть запрещен.
Для проведения накостного остеосинтеза голени или других его вариантов есть ряд противопоказаний. К ним относятся:
- тяжелые поражения, расстройства со стороны нервной системы;
- тяжелые повреждения в области окружающих тканей голени;
- остеопороз;
- инфекционные болезни, лихорадка, интоксикации;
- иммунодефицитные состояния;
- аллергия на анестетики;
- обострение любых хронических патологий.
Врач может определить и другие временные или постоянные противопоказания, которые будут ограничивать вмешательство.
Перед операцией необходимо проведение полного обследования, которое не только уточняет объемы операции, но и исключает различные, ранее не учтенные осложнения и противопоказания. Вмешательство проводят натощак под общим наркозом, реже - под спинальной анестезией.
Если речь идет о переломе голени, специалисты наиболее часто применяют методику интрамедуллярного остеосинтеза, при котором проводится просверливание костномозгового канала или с отсутствием сверления. Последний способ помогает свести к минимуму травмирование тканей при операции, что важно на фоне тяжелых травм или угрозы развития шока.Но остеосинтез с рассверливанием помогает осуществить плотное прилегание всех фиксируемых фрагментов, что особенно важно при наличии ложного сустава.
При открытых переломах применяют методику компрессионно-дистракционного чрескостного вмешательства. Но в последующем необходимо хождение с аппаратом на протяжении определенного времени. После заживления аппарат снимают и проводят интрамедуллярный остеосинтез. При осложненных переломах проводят процедуру надкостного остеосинтеза.
После операции важно строгое соблюдение всех рекомендаций врача по реабилитации. Это важно для нормализации кровообращения, что ускоряет заживление и уменьшает риск вторичных осложнений. Показана физиотерапия, ЛФК, комплексы упражнений специальной гимнастики, чтобы предотвратить контрактуры суставов и ослабление тонуса мышц. Кроме того, ранняя активность предотвращает застойные пневмонии и тромбозы.
Полезны курсы массажа, которые проводят в определенные этапы реабилитации. На протяжении лечения необходимо выполнение контрольных снимков, которые позволяют оценить восстановление костей в динамике.
В нашей клинике проводятся остеосинтез голени и можно узнать цену операции у врача на предварительной консультации. Доктора клиники проводят различные варианты вмешательств даже в сложных случаях. Важно не затягивать с визитом, если нужна операция. Кроме того,в нашей клинике можно пройти предварительное обследование, подготовку к операции и постоперационную реабилитацию.
Стоимость предварительная. Точную стоимость операции может определить только хирург на бесплатной консультации.
Читайте также:
- Боли и парестезии в верхних конечностях при ущемлениях. Анамнез при ущемлениях.
- Принципы рандоминизированных клинических испытаний методов лечения онкологических заболеваний
- Ретроградная и пневмотическая эзофагоскопия. Эзофагоскопия у детей
- Профилактика дефектов нервной трубки. Рекомендации
- Диагностика злокачественной опухоли оболочки нерва средостения на КТ, МРТ
