Этапы развития абсцессов мозга. Морфология отогенных абсцессов мозга
Добавил пользователь Евгений Кузнецов Обновлено: 22.01.2026
Большинство абсцессов головного мозга располагается в белом веществе височной доли полушарий мозга или в мозжечке, по соседству с поражённой височной костью при отите. Значительно реже встречаются абсцессы головного мозга в теменной, затылочной, лобной доле, в области моста, ножек мозга, продолговатом и даже спинном мозге и на стороне, противоположной больному отитом уху (контралатеральные абсцессы).
Абсцесс левого полушария мозжечка, выявленный при магнитно-резонансной томографии головного мозга в T1 C+ режиме на аксиальном срезе.
Причины появления абсцессов головного мозга и мозжечка
Причиной возникновения абсцессов головного мозга являются травматический и метастатический фактор. Абсцесс головного мозга встречается в 4-5 раз чаще при хроническом гнойном воспалении среднего уха (отите), чем при остром отите.
При остром воспалении среднего уха (отит) абсцесс головного мозга может возникнуть и без прободения барабанной перепонки (при негнойном процессе) и даже выявиться после клинического излечения острого среднего отита, при нормальной отоскопической картине.
При хронических гнойных средних отитах абсцесс мозга возникает в преобладающем большинстве случаев при эпитимпанитах и мезоэпитимпанитах, осложненных холестеатомой. Возможны случаи абсцесса мозга и при мезотимпанитах.
Чаще всего в гное из абсцесса головного мозга находят различные виды стрептококка, стафилококк, диплококк, кишечную палочку, анаэробы, протей и т. д. Нередко в гное из абсцесса головного мозга имеется смешанная флора. Флора, выявленная в гное при посеве из абсцесса головного мозга, не всегда идентична обнаруживаемой в выделениях из уха, что объясняется присоединением к микробу, вызвавшему воспаление уха, других патогенных возбудителей.
Факторами, способствующими возникновению абсцесса головного мозга, являются:
- понижение сопротивляемости организма вследствие общих инфекционных заболеваний
- особенности строения височной кости (чрезмерная пневматизация, особенно пирамиды височной кости, предлежание сигмовидного синуса, низкое положение средней черепной ямки и т. д.)
Пути распространения инфекции из височной кости в головной мозг при абсцессе головного мозга различны. При абсцессе височной доли головного мозга чаще всего отмечается контактный путь инфекции, при котором имеются те или иные изменения, вплоть до разрушения крыши полостей среднего уха (барабанной полости или пещеры). Инфекция может распространиться с кровью в результате тромбоза небольших венозных сосудов крыши барабанной полости или тромбоза пазух твердой мозговой оболочки (поперечной, пещеристой, верхней каменистой). Возможно распространения инфекции с формированием абсцесса головного мозга через врожденные дефекты крыши барабанной полости или швы черепа.
При абсцессе мозжечка инфекция распространяется преимущественно из пораженного лабиринта (при хронических гнойных средних отитах) или из тромбированной поперечной (сигмовидной пазухи). При гнойном лабиринте инфекция может проникнуть в мозжечок после разрушения костного лабиринта (чаще всего задний полукружный канал) по перилабиринтным клеткам (контактный путь) или по преформированным путям (водопроводы преддверия и улитки и внутренний слуховой проход).
Абсцесс левого полушария мозжечка, выявленный при магнитно-резонансной томографии головного мозга в T2 режиме на аксиальном срезе.
Абсцессы более редких локализаций в отдаленных от первичного очага поражения в височной кости областях мозга обычно возникают в результате тромбоза поперечной пазухи. Дальнейшее распространение инфекции может быть либо контактным, либо при помощи ретроградного продвижения тромбов по мелким венам мозга, либо путем метастазирования. Таким способом возникают отогенные абсцессы головного мозга в лобной, теменной и затылочных долях, а также множественные и контралатеральные абсцессы.
При распространении инфекции из височной кости в полость черепа наружный листок твердой мозговой оболочки, отличающийся плотностью и богатым кровоснабжением, оказывается очень часто трудно преодолимым барьером. В связи с этим в большинстве случаев процесс ограничивается развитием эпидурального абсцесса и менингита. Реже экстрадуральный абсцесс является этапом развития абсцесса мозга.
Сращения внутреннего листка твердой мозговой оболочки с мягкой и паутинной оболочкой и последних с веществом мозга препятствуют распространению инфекции в подпаутинном пространстве и предупреждают развитие разлитого менингита. Те же сращения, особенно при их васкуляризации, благоприятствуют распространению инфекции в вещество головного мозга.
Наиболее частый путь проникновения инфекции в головного мозга — это венозный (ретроградное распространение инфекции путем тромбообразования) или периваскулярный (по лимфатическим пространствам, окружающим вены мягкой мозговой оболочки).
Распространение инфекции в головной мозг по ходу артерий происходит редко. При этом наблюдается тромбоз артерий с заносом инфицированного эмбола в белое вещество головного мозга.
Внедрение гноеродной инфекции в мозг не всегда ведет к образованию абсцесса. Абсцесс головного мозга возникает чаще всего при снижении иммунобиологических реакций организма.
Симптомы и клиническое течение абсцессов головного мозга и мозжечка
Симптомы, наблюдающиеся при абсцессе полушарий головного мозга и мозжечка, разнообразны и варьируются в зависимости от локализации абсцесса, реакции окружающей мозговой ткани, внутричерепного давления и т. д. Симптомы могут быть подразделены на:
- общеинфекционные
- общемозговые
- очаговые
- отдаленные
В течении отогенного абсцесса головного мозга принято различать начальную, скрытую (латентную), явную и конечную (терминальную) стадии. Очаговые симптомы отогенного абсцесса выявляются в явной стадии. Чаще всего начальная стадия проходит незамеченной, явная стадия иногда отсутствует. Вследствие этого абсцесс мозга распознается порой с большим опозданием, иногда лишь на операционном столе или патологоанатомическом исследовании.
К общеинфекционным симптомам относятся страдальческое выражение лица (в более поздних стадиях), похудание, запор, сухой, обложенный язык, понижение или отсутствие аппетита. Реже наблюдается повышенный аппетит (булимия).
Абсцесс левого полушария мозжечка и расширение боковых желудочков, выявленные при магнитно-резонансной томографии головного мозга в T1 C+ режиме на коронарном срезе.
Скорость оседания эритроцитов (СОЭ) повышена при неосложненных абсцессах (без сопутствующего менингита или сепсиса), лейкоцитоз умеренный, формула белой крови (лейкоцитарная формула) мало изменена. Температура тела при неосложненных абсцессах головного мозга обычно нормальная или субфебрильная, выраженные повышения температуры эпизодичны и непостоянны.
Из общемозговых симптомов при абсцессе головного мозга наиболее постоянным является головная боль. Головная боль бывает иногда невыносимой (при значительном повышении внутричерепного давления). Головная боль часто имеет разлитой характер, но может быть и локализованной, на стороне абсцесса, причем при абсцессе височной доли в лобно- или теменно-височной области, а при абсцессе мозжечка чаще в области затылка или лба.
Часто, особенно при абсцессе мозжечка, наблюдается рвота. Характерна рвота «фонтаном», возникающая внезапно и вне связи с приемом пищи без предшествующей тошноты.
Преимущественно в явной стадии абсцесса головного мозга отмечается брадикардия. Изменения глазного дна (застойные диски зрительного нерва) при абсцессе головного мозга наблюдаются почти у половины больных и обычно сочетаются с другими выраженными общемозговыми или очаговыми симптомами. Менингеальные симптомы часты, они могут быть и при неосложненных абсцессах головного мозга.
В спинномозговой жидкости (ликворе) после люмбальной пункции при неосложненных абсцессах отмечается умеренное повышение количества белка, иногда незначительный плеоцитоз.
Оглушённость, заторможенность, повышенная сонливость, апатия — обычно сопутствуют явной стадии абсцесса головного мозга. Из других нарушений психики встречаются изменения характера, интеллекта, патологическая рассеянность и забывчивость. Больные неохотно и не сразу отвечают на вопросы, проявляя безучастное отношение ко всему окружающему. Очень редко отмечаются острый психоз, систематизированный бред и другие тяжелые психические нарушения.
При абсцессах лобной доли головного мозга нередко отмечается немотивированная эйфория и чрезмерная болтливость больных.
Очаговые симптомы при абсцессе височной доли головного мозга в виде сенсорно-амнестической афазии бывают выражены лишь при левосторонней локализации (у правшей). Реже симптомом абсцесса височной доли головного мозга является гемианопсия (главным образом гомонимная с выпадением обеих правых или левых половин зрения), однако провести соответствующее исследование удается очень редко.

Осмотр полей зрения (периметрия) выявляет его дефекты и их расположение при проведении диагностической процедуры периметрии.
Из очаговых симптомов при абсцессе мозжечка следует отметить спонтанный нистагм, чаще направленный в сторону абсцесса. Подобное направление нистагма становится особенно диагностически ценным при выключении лабиринта больного уха. К очаговым симптомам относятся также промахивание при пальце-носовой и указательной пробах, адиадохокинез, стато-кинетические нарушения в виде отклонения в сторону или падения при пробе Ромберга и ходьбе (последние нарушения у большинства больных вследствие тяжести состояния не могут быть выявлены). Ценными симптомами являются расстройства мышечного тонуса на стороне абсцесса головного мозга, а также иногда наблюдающееся расстройство речи в виде дизартрии.
Так называемые очаговые симптомы абсцесса мозжечка по существу являются симптомами поражения вестибулярной системы главным образом в области моста и продолговатого мозга.
Парезы конечностей при абсцессе мозжечка встречаются относительно редко и бывают на стороне абсцесса. Парезы черепных нервов (глазодвигательного, тройничного, отводящего, лицевого по периферическому типу) чаще встречаются при осложненных абсцессах мозжечка.
Очаговые симптомы при абсцессах мозжечка чаще всего не выражены или выявляются поздно. При абсцессах правой височной доли, теменной, затылочной и других редких локализаций очаговые симптомы чаще всего отсутствуют.
Отдаленные симптомы абсцесса височной доли головного мозга обусловлены передачей давления на отдаленные от абсцесса области большого мозга, мозжечка, продолговатого мозга и т. д. или распространением на них отека, энцефалита. У ряда больных с абсцессом головного мозга отмечаются симптомы поражения пирамидного пути (парезы и параличи конечностей на противоположной стороне, нарушение чувствительности, патологические рефлексы), иногда приступы джексоновской эпилепсии, нередко парезы или параличи черепных нервов (глазодвигательного, лицевого по центральному типу, отводящего, тройничного, подъязычного, реже других нервов).
В течение абсцесса мозга у большинства больных начальная стадия в виде кратковременного повышения температуры, познабливания, нерезкой головной боли, тошноты не вызывает подозрения. Она чаще всего расценивается как обострение процесса в ухе, а порой даже не привлекает внимания ни больного, ни врача. Затем следует более или менее длительный период (латентная стадия) — реже до года и больше, когда характерные симптомы не выражены, а те или иные симптомы (чаще всего периодическая, нерезкая головная боль) связываются с основным процессом в ухе.
Переход в явную стадию возникает при значительном распространении абсцесса или зоны энцефалита с отеком и набуханием мозга, ведущим к повышению внутричерепного давления. Появляются общемозговые симптомы, но очаговые симптомы выражены далеко не всегда. Иногда явная стадия настолько быстро переходит в терминальную, что больного именно в этом состояний госпитализируют и оперируют.
Конечная стадия абсцесса головного мозга является следствием прогрессирующего энцефалита или отека мозга и повышения внутричерепного давления со сдавлением и смещением стволовой части мозга, вследствие чего возникает паралич дыхательного центра. В ряде случаев конечная стадия наступает при прорыве абсцесса в желудочки или субарахноидальное пространство. Развивающийся при этом менингит имеет бурное течение и может за короткое время (12-24 ч) привести к смерти.
Диагностика абсцессов головного мозга и мозжечка
Описанная клиническая картина абсцесса головного мозга объясняет трудность диагностики при отсутствии очаговых симптомов. При неосложненном (менингитом или сепсисом) абсцессе предположительный диагноз вполне обоснован общим тяжелым состоянием больного при наличии гнойного процесса в ухе, нормальной или слегка повышенной температуре, резкой головной болью, брадикардией.
Магнитно-резонансная томография (МРТ) проводится при подозрении на абсцесс головного мозга.
У больных с осложненными абсцессами клиническая картина менингита перекрывает симптомы абсцесса мозга, что крайне затрудняет диагноз. При наличии очаговых симптомов диагноз, естественно, не вызывает особых затруднений.
При обоснованном подозрении на отогенный абсцесс головного мозга диагноз ставят во время операции (иногда при этом выявляют характерные изменения твердой мозговой оболочки средней и задней черепных ямок или даже обнаруживают свищ, ведущий в полость абсцесса) с пункцией мозга (височной доли или мозжечка).
При скрытом, "холодном" течении абсцесса головного мозга (преимущественно в случаях хронического инкапсулированного абсцесса без выраженного повышения внутричерепного давления) часто успешно применяют — вспомогательные методы диагностики в виде:
Стадии абсцессов головного мозга:
Стадия (срок)
Гистологические признаки
КТ и МРТ признаки
Сопротивление к аспирации
Лечение и профилактика абсцессов головного мозга и мозжечка
При подозрении на абсцесс головного мозга производят операцию на височной кости — простую при остром среднем отите или общеполостную (радикальную) при хроническом гнойном среднем отите. Производят широкое обнажение твердой мозговой оболочки в средней или задней черепной ямке (иногда твердая мозговая оболочка оказывается обнаженной патологическим процессом, разрушившим прилежащую к оболочке кость) в зависимости от операционных находок и симптоматики.
Если твердая мозговая оболочка не изменена, а также отсутствуют очаговые симптомы и резкое повышение внутричерепного давления, то от пункции мозга можно временно воздержаться и пристально следить в ближайшие дни за послеоперационной динамикой симптомов. В противном случае производят пункцию височной доли мозга или мозжечка. При выявлении абсцесса проводится хирургическое вмешательство.
Лечение абсцесса головного мозга может быть закрытым (ряд пункций с отсасыванием гноя и введением в его полость антибиотиков) и открытым (широкое раскрытие абсцесса после разреза твердой мозговой оболочки) с последующим дренированием полости. Оба метода используются отохирургами, причем лучшие результаты получены при открытом методе лечения, обеспечивающем лучший контроль над полостью абсцесса и лучшие условия оттока.
Нейрохирурги, основываясь на опыте лечения травматических и метастатических (не отогенных) абсцессов мозга, предпочитают подход к абсцессу через неинфицированную область — через чешую височной кости (при абсцессе височной доли) или затылочную кость (при абсцессах мозжечка). При таком подходе не вскрываются пораженные полости среднего уха, что является безусловным недостатком метода. Кроме того, нейрохирурги нередко полностью удаляют абсцесс (вместе с капсулой, при ее наличии).
Нейрохирургический метод лечения несомненно показан при отогенных множественных или контралатеральных абсцессах, при абсцессах, значительно отдаленных от первичного очага в ухе, и при отогенных абсцессах с хроническим течением и очень плотной капсулой. В преобладающем же большинстве случаев лучшим методом хирургического вмешательства является отиатрический открытый метод, при котором одновременно удаляют гнойный очаг в ухе и широко вскрывают полость мозгового абсцесса.
В послеоперационном периоде проводят лечение антибиотиками в зависимости от антибиотикограммы и сульфаниламидами, вводимыми как внутримышечно и таблетировано, так и местно — в полость абсцесса. Применяют дегидратационную терапию (по показаниям), производят переливания растворов плазмы.
Больному обеспечивают тщательный уход, высококалорийное и витаминизированное питание (при необходимости искусственное питание), следят за физиологическими отправлениями организма.
Несмотря на успехи хирургического и консервативного лечения, смертность при отогенных абсцессах головного мозга относительно высока, как результат несвоевременной диагностики.
Профилактика абсцессов головного мозга заключается в своевременной диагностике и лечении инфекционных заболеваний придаточных пазух носа и уха, последствий черепно-мозговых травм.
Абсцесс головного мозга ( Церебральный абсцесс )
Абсцесс головного мозга — это ограниченное скопление гноя в полости черепа. Различают три вида абсцессов: внутримозговые, субдуральные и эпидуральные. Симптомы абсцесса головного мозга зависят от его месторасположения и размеров. Они не являются специфичными и могут составлять клинику любого объемного образования. Диагностируется абсцесс головного мозга по данным КТ или МРТ головного мозга. При абсцессах небольшого размера подлежат консервативному лечению. Абсцессы, расположенные вблизи желудочков головного мозга, а также вызывающие резкий подъем внутричерепного давления, требуют хирургического вмешательства, при невозможности его проведения - стереотаксической пункции абсцесса.
МКБ-10
Общие сведения
Абсцесс головного мозга — это ограниченное скопление гноя в полости черепа. Различают три вида абсцессов: внутримозговые (скопление гноя в веществе мозга); субдуральные (расположенные под твердой мозговой оболочкой); эпидуральные (локализованные над твердой мозговой оболочкой). Основными путями проникновения инфекции в полость черепа являются: гематогенный; открытая проникающая черепно-мозговая травма; гнойно-воспалительные процессы в придаточных пазухах носа, среднем и внутреннем ухе; инфицирование раны после нейрохирургических вмешательств.
Причины
Среди выделенных возбудителей гематогенных абсцессов головного мозга преобладают стрептококки, часто в ассоциации с бактериотидами (Bacteroides spp.). Для гематогенных и отогенных абсцессов характерны Enterobacteriaceae (в том числе Proteus vulgaris). При открытой проникающей черепно-мозговой травме в патогенезе абсцесса мозга преобладают стафилококки (St. aureus), реже Enterobacteriaceae.
При различных иммунодефицитных состояниях (иммунодепрессивная терапия после трансплантации органов и тканей, ВИЧ-инфекция) из посева содержимого абсцесса головного мозга выделяют Aspergillus fumigatus. Однако идентифицировать возбудителя инфекции в содержимом абсцесса мозга довольно часто не представляется возможным, так как в 25-30 % случаев посевы содержимого абсцесса оказываются стерильными. Болезнь провоцируется следующими патологическими состояниями:
- Воспалительные процессы в легких. Чаще всего причиной образования гематогенных абсцессов головного мозга являются бронхоэктатическая болезнь, эмпиема плевры, хроническая пневмония, абсцесс легкого). Бактериальным эмболом становится фрагмент инфицированного тромба, который попадет в большой круг кровообращения и потоком крови разносится в сосуды мозга, где фиксируется в мелких сосудах (прекапилляре, капилляре или артериоле). Незначительную роль в патогенезе абсцессов могут играть хронический (или острый) бактериальный эндокардит, инфекции ЖКТ и сепсис.
- Черепно-мозговая травма. В случае открытой проникающей ЧМТ абсцесс мозга развивается вследствие прямого попадания инфекции в полость черепа. В мирное время доля таких абсцессов составляет 15-20%. В условиях боевых действий она возрастает в разы (минно-взрывные ранения, огнестрельные ранения).
- ЛОР-патологии. При гнойно-воспалительных процессах в придаточных пазухах носа (синуситы), среднем и внутреннем ухе возможны два пути распространения инфекции: ретроградный — по синусам твердой мозговой оболочки и мозговым венам; и непосредственное проникновение инфекции через твердую оболочку мозга. Во втором случае отграниченный очаг воспаления первоначально формируется в мозговых оболочках, а затем — в прилежащем отделе мозга.
- Послеоперационные осложнения. Абсцессы мозга, формирующиеся на фоне интракраниальных инфекционных осложнений после нейрохирургических вмешательств (вентрикулиты, менингиты), возникают, как правило, у тяжелых, ослабленных больных.
- Другие заболевания. Незначительную роль в патогенезе гематогенных абсцессов могут играть хронический (или острый) бактериальный эндокардит, инфекции ЖКТ и сепсис.
Патогенез
Формирование абсцесса мозга проходит в несколько этапов.
- 1-3 сутки. Развивается ограниченное воспаление мозговой ткани — энцефалит (ранний церебрит). На данном этапе воспалительный процесс обратим. Возможно как спонтанное его разрешение, так и под влиянием антибактериальной терапии.
- 4-9 сутки. В результате недостаточных защитных механизмов или в случае неверного лечения воспалительный процесс прогрессирует, в его центре полость, заполненная гноем, способная к увеличению.
- 10-13 сутки. На этой стадии вокруг гнойного очага формируется защитная капсула из соединительной ткани, которая препятствует распространению гнойного процесса.
- Третья неделя. Капсула окончательно уплотняется, вокруг нее формируется зона глиоза. В дальнейшем развитие ситуации зависит от вирулентности флоры, реактивности организма и адекватности лечебно-диагностических мероприятий. Возможно обратное развитие абсцесса мозга, но чаще увеличение его внутреннего объема или образование новых очагов воспаления по периферии капсулы.
Симптомы абсцесса головного мозга
На сегодняшний день патогномоничная симптоматика не выявлена. Клиническая картина при абсцессах головного мозга схожа с клинической картиной объемного образования, когда клинические симптомы могут варьироваться от головной боли до тяжелейших общемозговых симптомов, сопряженных с угнетением сознания и выраженными очаговыми симптомами поражения головного мозга.
В некоторых случаях первым проявлением болезни становится эпилептиформный припадок. Могут наблюдаться менингеальные симптомы (при субдуральных процессах, эмпиеме). Эпидуральные абсцессы головного мозга зачастую ассоциируются с остеомиелитом костей черепа. Наблюдается прогредиентное нарастание симптоматики.
Диагностика
Для диагностирования абсцесса головного мозга огромное значение имеет тщательный сбор анамнеза (наличие очагов гнойной инфекции, острое инфекционное начало). Наличие воспалительного процесса, сопряженного с появлением и усугублением неврологических симптомов — основание для дополнительного нейровизуализационного обследования.
Точность диагностирования с помощью КТ головного мозга зависит от стадии формирования абсцесса. На ранних стадиях заболевания диагностика затруднена. На этапе раннего энцефалита (1-3 сутки) КТ определяет зону сниженной плотности неправильной формы. Введенное контрастное вещество накапливается неравномерно, преимущественно периферических отделах очага, реже в центре.
На более поздних этапах энцефалита контуры очага приобретают ровные округлые очертания. Контрастное вещество распределяется равномерно, по всей периферии очага; плотность центральной зоны очага при этом не меняется. Однако на повторной КТ (через 30-40 минут) определяется диффузия контраста в центр капсулы, а также наличие его и в периферической зоне, что не характерно для злокачественных новообразований.
Инкапсулированный абсцесс мозга на КТ имеет вид округлого объемного образования с четкими ровными контурами повышенной плотности (фиброзная капсула). В центре капсулы зона пониженной плотности (гной), по периферии видна зона отека. Введенное контрастное вещество накапливается в виде кольца (по контуру фиброзной капсулы) с небольшой прилежащей зоной глиоза.
На повторной КТ (через 30-40 минут) контрастное вещество не определяется. При исследовании результатов компьютерной томографии следует учесть, что противовоспалительные препараты (глюкокортикостероиды, салицилаты) в значительной степени влияют на скопление контраста в энцефалитическом очаге.
МРТ головного мозга — более точный метод диагностирования. При проведении МРТ на первых стадиях формирования абсцесса мозга (1-9 сутки) энцефалитический очаг выглядит: на Т1-взвешенных изображениях — гипоинтенсивным, на Т2-взвешенных изображениях — гиперинтенсивным. МРТ на поздней (капсулированной) стадии абсцесса головного мозга: на Т1-взвешенных изображениях абсцесс выглядит, как зона пониженного сигнала в центре и на периферии (в зоне отека), а по контуру капсулы сигнал гиперинтенсивный. На Т2-взвешенных изображениях центр абсцесса изо- или гипоинтенсивный, в периферической зоне (зоне отека) гиперинтенсивный. Контур капсулы четко очерчен.
Дифференциальная диагностика абсцесса головного мозга должна проводиться с первичными глиальными и метастатическими опухолями полушарий мозга. При сомнениях в диагнозе следует проводить МЗ-спектроскопия. В таком случае дифференциация будет основываться на различном содержании аминокислот и лактата в опухолях и абсцессах головного мозга.
Иные способы диагностики и дифференциальной диагностики абсцесса головного мозга малоинформативны. Увеличение СОЭ, повышенное содержание С-реактивного белка в крови, лейкоцитоз, лихорадка — симптомокомплекс практически любых воспалительных процессов, включая внутричерепные. Бакпосевы крови при абсцессах головного мозга в 80-90% стерильны.
Лечение абсцесса головного мозга
На энцефалитической стадии абсцесса (анамнез - до 2 недель), а также в случае небольшого абсцесса головного мозга (до 3 см в диаметре) рекомендовано консервативное лечение, основой которого должна стать эмпирическая антибактериальная терапия. В некоторых случаях возможно проведение стереотаксической биопсии в целях окончательной верификации диагноза и выделения возбудителя.
Абсцессы, вызывающие дислокацию мозга и повышение внутричерепного давления, а также локализованные в зоне желудочковой системы (попадание гноя в желудочковую систему зачастую приводит к летальным исходам) — абсолютные показания к хирургическому вмешательству. Травматические абсцессы головного мозга, расположенные в зоне инородного тела также подлежат хирургическому лечению, так как данный воспалительный процесс не поддается консервативному лечению. Несмотря на неблагоприятный прогноз, грибковые абсцессы также являются абсолютным показанием к хирургическому вмешательству.
Противопоказанием к хирургическому лечению являются абсцессы мозга, расположенные в жизненно важных и глубинных структурах (зрительный бугор, ствол мозга, подкорковые ядра). В таких случаях возможно проведение стереотаксического метода лечения: пункция абсцесса мозга и его опорожнение с последующим промыванием полости и введением антибактериальных препаратов. Возможно как однократное, так и многократное (через установленный на несколько суток катетер) промывание полости.
Тяжелые соматические заболевания не являются абсолютным противопоказанием к проведению хирургического лечения, так как стереотаксическая операция может проводиться и под местной анестезией. Абсолютным противопоказанием к проведению операции может быть только крайне тяжелое состояние пациента (терминальная кома), так как в таких случаях любое оперативное вмешательство противопоказано.
Медикаментозное лечение
Целью эмпирической (в отсутствии посева или при невозможности выделения возбудителя) антибактериальной терапии является покрытие максимально возможного спектра возбудителей. Рекомендуемые программы лечения:
- При абсцессе головного мозга без ЧМТ или нейрохирургического вмешательства в анамнезе показан следующий алгоритм лечения: ванкомицин; цефалоспорины III поколения (цефотаксим, цефтриаксон, цефиксим); метронидазол. В случае посттравматического абсцесса головного мозга метронидазол заменяют на рифампицин.
- Возбудителем абсцесса головного мозга у пациентов с иммунодефицитными состояниями (кроме ВИЧ) чаще всего является Cryptococcus neoformans, реже Сandida spp или Aspergillius spp. Поэтому в данных случаях назначают амфоретицин В или липосомальный амфоретицин В. После исчезновения абсцесса (по данным нейровиуализационных исследований) применяют флуконазол в течение 10 недель, впоследствии дозу уменьшают вдвое и оставляют в качестве поддерживающей.
- У пациентов с ВИЧ возбудителем абсцесса головного мозга чаще всего является Toxoplasma gondii, поэтому эмпирическое лечение больных должно включать в себя сульфадиазин с пириметамином.
После выделения возбудителя из посева лечение необходимо изменить, учитывая антибиотикограмму. В случае стерильного посева следует продолжить эмпирическую антибактериальную терапию. Продолжительность интенсивной антибактериальной терапии — не менее 6 недель, после этого рекомендуется сменить антибиотики на пероральные и продолжить лечение еще 6 недель.
Назначение глюкокортикоидов оправдано только в случае адекватной антибактериальной терапии, так как только при положительном прогнозе глюкокортикоиды могут вызвать уменьшение выраженности и обратное развитие капсулы абсцесса головного мозга. В иных случаях их применение может вызвать распространение воспалительного процесса за пределы первичного очага.
Хирургическое лечение
Основными методами хирургического лечения внутримозговых абсцессов являются простое или приточно-отточное дренирование. Их суть заключается в установке в полость абсцесса катетера, через который осуществляется эвакуация гноя с последующим введением антибактериальных препаратов. Возможна установка второго катетера меньшего диаметра (на несколько суток), через который проводится инфузия раствора для промывания (чаще всего, 0,9 % раствора хлорида натрия). Дренирование абсцесса необходимо сопровождать антибактериальной терапией (сначала эмпирической, далее — с учетом чувствительности к антибиотикам выделенного патогена).
Стереотаксическая аспирация содержимого абсцесса без установки дренажа — альтернативный метод хирургического лечения абсцесса головного мозга. Главные его преимущества — снисходительные требования к квалификации медперсонала (для контроля над функционированием приточно-отточной системы необходимы пристальное внимание и специальные знания) и меньший риск вторичного инфицирования. Однако в 70% использования данного метода возникает необходимость повторных аспираций.
В случае множественных абсцессов головного мозга необходимо в первую очередь дренировать очаг, наиболее опасный в отношении осложнений (прорыв гноя в желудочковую систему, дислокация мозга), а также наиболее значимый в клинической картине. В случае эмпиемы или субдурального абсцесса головного мозга применяют дренирование, не используя приточно-отточную систему.
Прогноз при абсцессе головного мозга
В прогнозировании абсцессов головного мозга большое значение имеет возможность выделить возбудителя из посева и определить его чувствительность к антибиотикам, только в этом случае возможно проведение адекватной патогенетической терапии. Кроме этого, исход заболевания зависит от количества абсцессов, реактивности организма, адекватности и своевременности лечебных мероприятий. Процент летальных исходов при абсцессах головного мозга — 10%, инвалидизации — 50%. Почти у трети выживших пациентов последствием заболевания становится эпилептический синдром.
При субдуральных эмпиемах прогнозы менее благоприятны из-за отсутствия границ гнойного очага, так это свидетельствует высокой вирулентности возбудителя, либо о минимальной сопротивляемости пациента. Летальность в таких случаях — до 50%. Грибковые эмпиемы в сочетании с иммунодефицитными состояниями в большинстве случаев (до 95%) приводят к летальному исходу.
Эпидуральные эмпиемы и абсцессы головного мозга обычно имеют благоприятный прогноз. Проникновение инфекции через неповрежденную твердую мозговую оболочку практически исключено. Санация остеомиелитического очага позволяет устранить эпидуральную эмпиему. Своевременное и адекватное лечение первичных гнойных процессов, а также полноценная первичная обработка ран при ЧМТ позволяют в значительной степени снизить возможность развития абсцесса головного мозга.
1. Абсцессы головного мозга: диагностика и лечение/ Ырысов К.Б., Арстанбеков Н.А., Мамашарипов К.М.// Наука и новые технологии - 2011 - № 6
2. Современная терапия абсцесса головного мозга/ Амчеславский В.Г. , Шиманский В.Н. , Шатворян Б.Р. // РМЖ (Русский медицинский журнал) - 2000 - №13
3. Диагностика абсцессов головного мозга/Султанов Б.М., Ырысов К.Б., Мамашарипов К.М.// Вестник КГМА им. И.К. Ахунбаева. - 2012 - № 1
Отогенный абсцесс мозга и мозжечка

Отогенными абсцессами мозга и мозжечка называют полости в непосредственно в самом мозге или мозжечке, которые заполнены гноем, и отграничены от окружающей мозговой ткани соединительнотканной капсулой или воспалительно-размягченным веществом мозга.

В зависимости от срока возникновения, отогенные абсцессы делят на ранние и поздние, которые формируются позднее чем через 3 месяца. Ранние абсцессы последовательно проходят следующие стадии:
- Гнойно-некротический энцефалит;
- Формирование пиогенной капсулы;
- Манифестация абсцесса;
- Терминальная стадия абсцесса мозга.
Поздние абсцессы подразделяются на быстро и медленно развивающиеся, а также бессимптомные формы.
Причины возникновения и течение болезни
Местом локализации отогенных абсцессов являются височная доля мозга и мозжечок, расположенные в непосредственной близости от очага инфекции. На стадии энцефалита (1-3 дня) вокруг кровеносных сосудов развивается местная воспалительная реакция, которая сопровождается отёком тканей мозга и образованием некротической зоны. На поздней стадии энцефалита (4-9 день) в мозговой ткани наблюдается максимальный отёк, размеры некроза увеличиваются, и происходит формирование гноя. Вокруг зоны воспаления из фибробластов формируется ретикулярная сеть, являющаяся предшественником коллагеновой капсулы, т.е. той капсулы которая будет окаймлять абсцесс мозга.
На ранней стадии формирования капсулы (1-13 день) происходит уплотнение коллагенновой сети, а некротический центр изолируется от окружающего его мозгового вещества. На поздней стадии формирования капсулы, происходящей на 14 день или позже, абсцесс имеет следующие 5 слоёв:
- некротический центр;
- периферическую зону воспалительных клеток и фибробластов;
- коллагеновую капсулу;
- область вновь образованных сосудов;
- область реактивного глиоза с его отёком.
Для того чтобы капсула хорошо сформировалась нужно две недели. На её формирование оказывают влияние множество факторов: источник инфекции, вид возбудителя, состояние иммунитета пациента, применение антибиотиков и глюкокортикостероидов.
Клиническая картина
Клиническая картина зависит от места локализации абсцесса и его размера, стадии развития патологического процесса, реакции окружающих тканей. В течение заболевания имеется 4 стадии: начальная, латентная, явная и терминальная.
Начальная стадия продолжается от одной до двух недель и называется энцефалической стадией абсцесса мозга. Для неё характерны такие симптомы, как вялость, высокая температура тела, головная боль, тошнота и рвота.
Продолжительность латентной стадии в среднем 2 недели. Она характеризуется 4-мя группами симптомов.
К первой группе относится проявления, которые характерны для нагноительных процессов: отсутствие аппетита, вялость, задержка стула, неприятный запах изо рта, истощение, «обложенность» языка, изменения в составе крови, характерные для воспалительного процесса.
Ко второй группе относятся общемозговые симптомы: головная боль, брадикардия (снижение частоты сердечных сокращений ниже 60 ударов), ригидность затылочных мышц, положительные симптомы Кернига и Брудзинского.
В третьей группе представлены симптомы нарушения деятельности проводниковых систем и подкорковых ядер: гемипарезы (парез одной половины тела) и гемипараличи, парез лицевого нерва по центральному типу, судорожные припадки, парез глазодвигательного нерва, пирамидные симптомы (Бабинского, Оппегейма и т.д.).
Четвертая группа симптомов очень важна для определения локализации процесса и отражает гнёздную симптоматику. Если у праворуких пациентов появляется амнестическая и сенсорная афазия (расстройство речи), то это свидетельствует о том, что абсцесс локализуется в области левой височной доли мозга. Если у больных отмечается атаксия (нарушение координации движений) и головокружения, то вероятнее всего абсцесс располагается в правой височной доле и распространяется на проводящий путь, который связывает правую височную долю и левый мозжечок. Также могут отмечаться психические расстройства эмоционального и личностного характера, которые проявляются эйфорией или депрессивным состоянием, отсутствием критического отношения к своей болезни, психомоторным возбуждением, негативизмом (противостояние и противоречие другим людям). При поражении правой височной доли важным признаком является нарушение полей зрения - гемианосмия, с выпадением одноименных половин зрения каждого глаза.
При абсцессе мозжечка наблюдается снижение тонуса мышц с пораженной стороны. Основным признаком является атаксия, которую обычно обнаруживают при ходьбе и выполнении координационных проб (пальце-пальцевая, пальценосовая, адиадохокинез (неспособность выполнять быстрые, чередующиеся движения), исследование в позе Ромберга). Характерными являются падения и промахивания со стороны пораженного мозжечка. Очень показательным является нистагм (непроизвольное движение глазных яблок), направленный вверх и в обе стороны, нередко множественный.
При исследовании крови выявляется умеренный нейтрофильный лейкоцитоз, увеличенное СОЭ. При неосложненном абсцессе цереброспинальная жидкость вытекает под большим давлением. Чаще всего она бывает светлой и имеет умеренный сдвиг: незначительный плеоцитоз (увеличение числа клеток) до уровня 100-200 клеток в 1 мкл. и умеренное повышение белка. В случае прорыва абсцесса в субарахноидальное пространство спинномозговая жидкость становится гнойной. При абсцессе мозжечка при взятии спинномозговой пункции жидкость нужно выпускать медленно и небольшими порциями, чтобы избежать вклинивания ствола мозга в затылочное отверстие.
На терминальной стадии развития заболевания проявляют себя дислокационные симптомы: анизокория (неравные размеры зрачков), ограничение взора, нарушение ритмичности дыхания, потеря сознания. Продолжительность этой стадии абсцесса мозга и мозжечка составляет несколько дней и заканчивается смертью пациента. При этом наблюдается нарастающий отёк мозга, паралич центров, имеющих жизненно важное значение, или прорыв абсцесса в желудочки мозга. Довольно редко прорыв абсцесса в желудочки мозга и гнойный вентрикулит (воспаление желудочков мозга) заканчиваются благоприятным исходом.
Для того чтобы провести точную диагностику места расположения абсцесса мозга и мозжечка, проводят компьютерную и магнитно-резонансную томографию головного мозга. При проведении компьютерной томографии выявляется тонкая, гладкая стенка абсцесса, которая имеет правильные контуры. Магнитно-резонансная томография позволяет также определить капсулу абсцесса. Если нет возможности провести вышеперечисленные виды исследования, можно провести пневмоэнцефалографию или радиоизотопную сцинтиграфию головного мозга.
Абсцесс мозга и мозжечка следует отличать от гнойного менингита, негнойного локальногоэнцефалита, серозного лептоменингита (арахноидита), гнойного лабиринтита. При менингите наблюдается высокая температура и тахикардия (увеличение частоты сердечных сокращений), а при абсцессе температура тела субфебрильная и отмечается выраженная брадикардия. Больные менингитом возбуждены, а при абсцессе сонливы и заторможены, на глазном дне имеется характерный «застойный сосок». Различить менингит и абсцесс можно при исследовании спинномозговой жидкости: при менингите будет высокий плеоцитоз, а при абсцессе наблюдается умеренный плеоцитоз и увеличение количества белка. При арахноидите отсутствуют изменения в спинномозговой жидкости. В отличие от энцефалита при абсцессе мозга симптомы интоксикации отсутствуют.
Лечение
При этом заболевании необходима срочная госпитализация в лор-стационар, где пациенту в обязательном порядке проведут хирургическую санацию уха с дренированием абсцесса мозга и мозжечка.
Прогноз
Прогноз на выздоровление зависит от своевременности диагностики, правильности применения комплекса антибиотиков широкого спектра действия, а также других необходимых лекарственных средств.
Информацию из данного раздела нельзя использовать для самодиагностики и самолечения. В случае боли или иного обострения заболевания диагностические исследования должен назначать только лечащий врач. Для постановки диагноза и правильного назначения лечения следует обращаться к Вашему лечащему врачу.
Публикации в СМИ
Абсцесс головного мозга — гнойно-воспалительное локализованное заболевание, располагающееся в паренхиме мозга и имеющее характерные клинико-патологические проявления в виде комбинации симптомов объёмного образования мозга и воспалительного процесса.
Эпидемиология. В развитых странах заболеваемость составляет 1:100 000, в развивающихся странах эти значения могут быть в десятки раз выше. Мужчины/женщины — 3:1.
Факторы риска: патология лёгких, «синие» пороки сердца, бактериальный эндокардит, открытая и проникающая черепно-мозговая травма (ЧМТ), иммунодефицитные состояния.
Этиология и патогенез
• Наиболее частые возбудители — стрептококки, стафилококки, кишечная палочка, анаэробные бактерии, грибы, токсоплазмы. У пациентов с иммунодефицитом бывают абсцессы, вызванные токсоплазмой и нокардией. В 25% содержимое абсцесса стерильно, в 33-50% — стрептококки (в т.ч. анаэробные и микроаэрофильные). Множественная микрофлора высевается в 10-30% случаев (обычно анаэробы).
• Пути распространения инфекции — контактный и гематогенный. Наиболее частый путь — гематогенный (в 25% всех случаев первичный источник инфекции так и не бывает обнаружен).
Клиническая картина. Симптоматика в целом не специфична, чаще проявляется признаками гипертензионного синдрома (вплоть до дислокации с нарушениями сознания). Фокальный неврологический дефицит зависит от локализации и наблюдается в 30-50% случаев.
Диагностика • Как и при подозрении на любое объёмное образование головного мозга, в первую очередь следует сделать КТ. Чувствительность метода приближается к 100%, специфичность значительно ниже, во многом зависит от стадии формирования абсцесса •• 1 стадия — ранний церебрит: 1-3 день, начало развития инфекционно-воспалительного процесса, отсутствие демаркации от окружающего здорового мозга, токсические изменения в нейронах, периваскулярные инфильтраты. Сопротивление при пункции умеренное •• 2 стадия — поздний церебрит: 4-9 день, выпадение в очаге ретикулярного матрикса, появление центрального некроза. Сопротивление при пункции отсутствует •• 3 стадия — ранняя инкапсуляция: 10-13 день, появление неоваскуляризации, выраженного некротического центра, по периферии формируется соединительнотканная капсула (она обычно тоньше со стороны желудочка). Сопротивление при пункции отсутствует •• 4 стадия — поздняя инкапсуляция: после 14 дней, чёткая коллагеновая капсула, некротический центр, зона глиоза вокруг капсулы. Сопротивление при пункции сильное, в момент прокола капсулы ощущение «провала» • Дифференциальную диагностику проводят между глиобластомой и метастазом.
Общие клиническое анализы отражают лишь изменения, характерные для хронического воспалительного процесса в организме. Посев крови чаще всего отрицателен. Поясничная пункция, хотя и может дать некоторую дополнительную информацию относительно патогена, противопоказана в связи с риском провокации транстенториального вклинения.
Лечение должно осуществляться в специализированном нейрохирургическом стационаре. Существуют две принципиальных тактики лечения: «чисто медикаментозное» (главным образом антибиотикотерапия) и «комбинированное» (хирургическая манипуляция и антибиотикотерапия). Показания к назначению глюкокортикоидов (ГК) на настоящий момент оставлены лишь для пациентов с выраженными признаками внутричерепной гипертензии и дислокационного синдрома (дексаметазон).
Результаты лечения и прогноз. Прогноз для жизни благоприятный. В настоящее время летальность не превышает 10% (а чаще значительно ниже). Постоянный неврологический дефицит наблюдается у 45%. Наихудший прогноз имеют пациенты с грибковыми абсцессами на фоне иммунодепрессивной терапии (летальность приближается к 100%).
МКБ-10• A06.6+G07* Амебный абсцесс головного мозга • A17.8+ G07* Абсцесс головного мозга туберкулезный • B43.1 Феомикотический абсцесс мозга • G06 Внутричерепной и внутрипозвоночный абсцесс и гранулёма.
Примечания • Вклинение мозга — грыжевидное выпячивание участка головного мозга в естественные отверстия (например, в большое затылочное), развивающееся в результате резкого повышения внутричерепного давления (ВЧД; при отёке, абсцессе, опухоли мозга и т.д.) • Гнойный вентрикулит — воспаление стенок желудочков головного мозга, характеризующийся резким ухудшением общего состояния; фебрильной температурой тела, угнетением сознания до комы; выраженный менингеальный синдром, наличие гноя в ликворе при пункции. Часто заканчивается летальным исходом.
Код вставки на сайт
Абсцесс головного мозга
Абсцесс головного мозга: причины, симптомы, лечение, прогноз
Абсцесс мозга — локальное инфекционно-воспалительное поражение мозговой ткани с ее последующим расплавлением и образованием полости, заполненной гнойным содержимым. Специфических признаков данное заболевание не имеет. Оно проявляется интоксикационным синдромом, общемозговыми симптомами и очаговым поражением мозгового вещества.
Абсцесс головного мозга представляет собой вторичную патологию, осложняющую течение основного заболевания. Первичный очаг инфекции обычно располагается за пределами ЦНС. Патогенные микроорганизмы проникают в головной мозг различными путями: контактным, гематогенным, прямым. Заболевание нередко становится результатом травматического или органического поражения мозга.
Абсцесс мозга - серьезная болезнь, которая в настоящее время регистрируется довольно редко. Обычно болеют дети из бедных семей, ВИЧ-инфицированные лица, а также больные, длительно получающие лучевую или химиотерапию. Абсцесс головного мозга встречается преимущественно у мужчин в возрасте 30-45 лет.
Классификация

Согласно этиологической классификации выделяют следующие виды абсцесса головного мозга:
- Риногенный — осложнение гнойного ринита или синусита,
- Отогенный — осложнение гнойного воспаления среднего и внутреннего уха, барабанной трубы, сосцевидного отростка,
- Одонтогенный — осложнение парадонтита, стоматита, гингивита,
- Травматический - следствие открытой или закрытой ЧМТ,
- Ятрогенный — результат оперативного вмешательства,
- Гематогенный — проникновение микробов в мозг с током крови,
- Метастатический — осложнение гнойного воспаления внутренних органов, например, легких, эндокарда.
Абсцесс мозга бывает субдуральным, эпидуральным и внутримозговым. Эта классификация основана на расположении абсцесса в черепной коробке относительно твердой мозговой оболочки.
По структуре выделяют 2 типа абсцесса:
- Интерстициальный - отличается наличием капсулы, отделяющей гнойное воспаление от здоровой ткани мозга. Эти абсцессы формируются у лиц с высокой резистентностью, хорошо поддаются терапии и имеют благоприятный прогноз.
- Паренхиматозные - не имеют капсулы, являются неблагоприятными в отношении прогноза, формируются при резком снижении иммунной защиты. Такие абсцессы считаются особо опасными для жизни больных. Это обусловлено свободным нахождением гнойного содержимого в веществе мозга и его взаимодействием со здоровыми тканями. При паренхиматозных абсцессах невозможно провести эффективное хирургическое вмешательство.
Этиология и патогенез
Основной причиной абсцесса мозга является бактериальная инфекция:
- Стрептококковая,
- Стафилококковая,
- Эшерихиозная,
- Протейная,
- Пневмококковая,
- Менингококковая,
- Грибковая,
- Токсоплазмозная,
- Микст-инфекция.
Поскольку абсцесс мозга являются вторичным заболеванием, проникновение инфекции из первичного очага осуществляется различными механизмами и путями.
- Метастатический механизм реализуется гематогенным путем. Он имеет место при наличии у больного гнойно-воспалительных процессов в легких, эндокарде, органах пищеварительной системы. При хронической пневмонии или абсцессе легкого в системный кровоток проникает бактериальный эмбол. Он с кровью попадает в мозговые сосуды и провоцирует развитие заболевания.
- Контактный механизм реализуется отогенным, риногенным и одонтогенным путями. Отогенный путь приводит к формированию абсцессов у больных с гнойным воспалением среднего или внутреннего уха, а также сосцевидного отростка. Риногенным путем происходит инфицирование вещества мозга у лиц, страдающих хроническим ринитом или синуситом. При этом сначала развивается ограниченный менингит, а затем гнойный энцефалит. Одонтогенный путь характерен для лиц, имеющих воспалительные изменения во рту: кариес, пульпит, гингивит, стоматит.
- Прямой путь проникновения инфекции в мозг происходит при открытой ЧМТ. Этот путь инфицирования наиболее актуален в военное время: после взрывных и огнестрельных ранений.
- Аутоинфицирование происходит в случае закрытой ЧМТ. Возбудителем заболевания при этом становится собственная микрофлора организма человека, приобретающая патогенные свойства.
Для того, чтобы сформировался абсцесс, необходимо соблюдение двух условий: наличие патогенного микроба и снижение общей резистентности организма человека.
Формирование абсцесса - длительный процесс, состоящий из последовательных стадий, сменяющих друг друга.
Стадии развития заболевания:
стадии развития заболевания
Ранний церебрит - инфекционное воспаление мозговой ткани, которое разрешается спонтанно или под влиянием антибиотиков. Эта стадия длится трое суток и характеризуется отсутствием границы между здоровыми тканями мозга и пораженными, наличием периваскулярных инфильтратов и токсического поражения нейронов.
Заболевание начинается остро и проявляется признаками интоксикационного синдрома, очаговых и общемозговых симптомов.
У больных повышается температура тела, возникает головная боль, озноб, гипергидроз, бледность кожи, слабость, отсутствие аппетита, сухость во рту, в крови - лейкоцитоз, увеличение СОЭ. Это признаки выраженной интоксикации.

К общемозговым относятся следующие симптомы:
- нестерпимая головная боль,
- тошнота и рвота, не приносящая облегчения,
- брадикардия,
- слезотечение и светобоязнь,
- напряжение и спазм затылочных мышц,
- психозы,
- вялость и апатия,
- сонливость,
- головокружение,
- потеря сознания,
- беспричинные перепады настроения,
- эпиприпадки,
- кома.
Очаговая неврологическая симптоматика позволяет диагностировать патологию, основываясь на ее клинических признаках.
Клиника абсцесса мозга определяется местом его расположения:
- Локализация очага в правом полушарии проявляется парезом и параличом левой половины туловища.
- Симптомами абсцесса височной доли мозга являются зрительные дисфункции, дисфония или афония, судороги всего тела и конечностей. У больных возникает сенсорная афазия, речь становится бессмысленной, он не может читать и писать, не понимает, что говорят окружающие. Психические расстройства проявляются эйфорией или депрессией, снижением критики.
- Абсцесс лобной доли - дурашливое и приподнятое настроение, эйфория, неразборчивость речи, повышенная болтливость, снижение интеллекта, бред, перепады настроения от веселья к грусти.
- Поражение мозжечка проявляется нистагмом, дискоординацией движений, атаксией, гипертензионным синдромом, мышечной гипотонией. Движения больных становятся размашистыми и нечеткими, походка шаткой с падениями, их глаза «бегают» из стороны в сторону.
- Абсцесс основания мозга - дисфункция глазодвигательного аппарата, развитие косоглазия, потеря зрения, судороги, паралич конечностей.
Возможно появление клинических признаков, связанных с инсультом и отеком мозга. Близкое расположение абсцесса к мозговым оболочкам проявляется менингеальными симптомами и знаками — ригидностью затылочных мышц, позой легавой собаки, повышенной чувствительностью к прикосновениям.
Осложнениями абсцесса головного мозга являются: вклинение гнойника, его прорыв в желудочки мозга, рецидивы, вторичное инфицирование послеоперационной раны, воспаление костей черепа — остеомиелит, возникновение повторяющихся эпилептических припадков. Клинически эти процессы проявляются параличами и парезами, потерей зрения и слуха, нарушением памяти, снижением интеллекта и прочими дисфункциями центральной нервной системы.
Диагностика абсцесса мозга начинается с осмотра и выслушивания жалоб больного. На основании данных анамнеза и определенных симптомов заболевания специалисты могут поставить предварительный диагноз. Важное значение имеют очаговые неврологические и общемозговые признаки, острое начало патологии, развитие внутричерепной гипертензии, наличие в организме очагов хронической инфекции.
Дополнительные диагностические методы, подтверждающие или опровергающие предполагаемый диагноз:
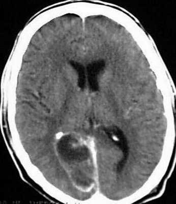
абсцесс мозга на снимке
КТ головного мозга — доступный и высокочувствительный метод. Без контрастирования он определяет лишь зону пониженной плотности. Структура патологического очага становится четкой только под воздействием рентгеноконтрастного вещества.
Лечение абсцесса мозга направлено на уничтожение инфекционных агентов и признаков воспаления, на улучшение микроциркуляции в зоне поражения, на устранение основных клинических признаков и укрепление организма в целом. Лечение проводится в нейрохирургическом стационаре.
В зависимости от стадии болезни, места локализации гнойника и его размера проводят консервативную или хирургическую терапию.
Консервативную терапию проводят на начальной стадии патологии, а также когда размер гнойника не превышает трех сантиметров в диаметре.

- Антибактериальная терапия — использование антибиотиков широкого спектра действия из группы цефалоспоринов, макролидов, фторхинолонов, защищенных пенициллинов, противогрибковых препаратов. Больным назначают «Цефтриаксон», «Метронидазол», «Ванкомицин», «Левомицетин», «Амфотерицин», «Флуконазол». После получения результатов анализа на чувствительность выделенного микроба к антибиотикам лечение необходимо подкорректировать.
- Глюкокортикоиды назначают в тех случаях, когда лечение антибиотиками не дает положительных результатов. Глюкокортикостероиды уменьшают выраженность воспаления и подвергают обратному развитию капсулу абсцесса. Обычно назначают «Преднизолон», «Дексаметазон».
- Препараты, улучшающие мозговое кровообращение - «Винпоцетин», «Церебролизин», «Пирацетам», «Актовегин».
- Лекарства, предупреждающие судороги - «Дифенин», «Алепсин», «Содантон».
- Мочегонные и противоотечные средства - «Маннитол», «Фуросемид», «Лизикс».
- Противовоспалительные и жаропонижающие средства - «Парацетамол», «Ибупрофен».
- Общеукрепляющая терапия — витамины группы В, адаптогены, антигипоксанты.
После стабилизации общего состояния больного гнойник вскрывают и дренируют. Гнойную полость орошают антибактериальным раствором. После операции больной некоторое время находится в реанимационном отделении, а затем его переводят в палату на неврологическую койку. После подобного оперативного вмешательства требуется длительный реабилитационный период.

Показания к операции:
- Локализация гнойника в вентрикулярной зоне мозга,
- Абсцесс, ставший причиной гипертензионного синдрома,
- Абсцесс, возникший в результате травматического повреждения головного мозга,
- Абсцесс грибкового происхождения.
- Начальная стадия патологии — энцефалит,
- Расположение абсцесса в непосредственной близости жизненно важных центров,
- Множественные неоперабельные гнойниковые поражения мозга,
- Коматозное состояние больных.
Прогноз заболевания очень серьезный, но в большинстве случаев всё же благоприятный. Летальность при абсцессе мозга составляет до 30%, а инвалидизация - до 50%. Даже после выздоровления практически у половины больных остаются неврологические симптомы - судорожные припадки. У некоторых выпадают различные функции организма.
Мероприятия, позволяющие предотвратить формирование абсцесса в головном мозге:
- Обеззараживание раны при ЧМТ,
- Своевременное выявление и санация очагов хронической инфекции,
- Стимуляция иммунитета и повышение сопротивляемости организма к инфекциям,
- Сбалансированное и правильное питание,
- Прием поливитаминов и минеральных комплексов.
Абсцесс головного мозга - серьезная патология, возникающая на фоне имеющихся в организме заболеваний. Чтобы своевременно обнаружить недуг и незамедлительно начать лечение, необходимо знать первые клинические симптомы и уметь применять дополнительные методы исследования. Ранняя и адекватная терапия способна снизить риск развития опасных для жизни осложнений и сделать отрицательные последствия для организма минимальными.
Читайте также:
