Фибромиксоидная саркома низкой степени злокачественности - лучевая диагностика
Добавил пользователь Владимир З. Обновлено: 26.12.2025
ГБУЗ «Санкт-Петербургский клинический научно-практический центр специализированных видов медицинской помощи», Санкт-Петербург, Россия;
ЧОУВО «Санкт-Петербургский медико-социальный институт», Санкт-Петербург, Россия
Миксовоспалительная фибробластическая саркома: клинико-морфологический и иммуногистохимический анализ
Журнал: Архив патологии. 2015;77(3): 30‑36
Цель исследования — изучение особенностей миксовоспалительной фибробластической саркомы (МИФС) на собственном материале, включающее клинико-морфологическую, иммуногистохимическую оценку новообразований, а также биологического поведения этих опухолей с анализом рецидивных форм. Материал и методы. Проведено исследование 10 случаев МИФС с акцентом на клинико-морфологические и иммуногистохимические особенности. Результаты. В 9 случаях опухоль занимала акральную часть конечностей, в 1 случае она локализовалась в поверхностных тканях бедра. Все новообразования имели классическую гистологическую картину МИФС. В 4 случаях развились местные рецидивы, наиболее вероятно из-за неадекватного объема хирургического вмешательства. В 3 случаях опухоль сохранила первоначальный гистологический вид, но одна показала выраженную гистологическую прогрессию. При иммуногистохимическом исследовании все опухоли экспрессировали виментин. В некоторых случаях была выявлена положительная реакция с CD68, фактором XIIIа и подопланином. Заключение. Несмотря на изменение морфологической картины, иммунопрофиль рецидивных МИФС сохранялся. Склонность к рецидивированию требует тщательного исследования края резекции для исключения остаточной опухоли.
Миксовоспалительная фибробластическая саркома (МИФС), согласно Классификации ВОЗ опухолей мягких тканей и костей 2013 г., считается местно-агрессивной фибробластической опухолью, возникающей преимущественно в дистальных отделах конечностей и характеризующейся эпителиоидными фибробластами с крупными ядрышками, рассеянными в выраженном смешанном воспалительном инфильтрате и вариабельной миксоидной строме [1].
Данная нозологическая форма впервые была описана E. Montgomery и соавт. в 1997 г. [2]. В следующем году 3 независимые группы авторов представили серии этих опухолей под разными терминами: «воспалительная миксогиалиновая опухоль дистальных конечностей с вироцитами или клетками, похожими на клетки Рида—Штернберга», «акральная миксовоспалительная фибробластическая саркома» и «воспалительная миксоидная опухоль мягких тканей с уродливыми гигантскими клетками» [3—5]. Дальнейшие исследования показали, что авторы представили новую нозологическую форму, для которой впоследствии был адаптирован термин МИФС.
МИФС — редкая опухоль, поражающая преимущественно лиц среднего возраста. Излюбленной локализацией ее являются пальцы рук, реже она развивается в дистальной области как верхних, так и нижних конечностей. Описаны единичные случаи МИФС бедра, плеча и предплечья [1—5, 9].
Для морфологической диагностики МИФС необходимо выявление комбинации следующих характеристик: 1) миксоидно-гиалинизированной стромы; 2) смешанного воспалительного инфильтрата; 3) своеобразных атипичных крупных клеток с округлым ядром и выраженным эозинофильным ядрышком, напоминающих вироциты, или двуядерных крупных клеток, похожих на клетки Рида—Штернберга. Молекулярно-генетические исследования выявили характерную транслокацию t (1;10) и амплификацию 3р12.13 в большинстве случаев [1, 7—9].
В настоящее время опухоль относят к промежуточной категории злокачественности. По данным разных авторов, частота местных рецидивов варьирует от 20 до 70%; метастазирование — нечастый феномен для этой опухоли и составляет не более 3% всех опубликованных наблюдений [1].
Недавнее исследование самой крупной серии МИФС с анализом специфических клинико-морфологических параметров 104 случаев с данными длительного катамнеза выявило следующие факторы, сопряженные с высоким риском рецидивов: 1) размер образования более 3 см; 2) наличие атипических гистологических признаков (ветвящихся и/или толстостенных саркомоподобных сосудов; клеточных участков с солидной, пучковой или муаровой архитектурой; митотическая активность более 10 митозов в 50 полях зрения при увеличении 400 или атипических форм); 3) позитивный край резекции [8].
В отечественной литературе не встретилось работ, посвященных данной нозологической форме. В связи с этим было предпринято настоящее исследование, целью которого явилось изучение особенностей МИФС на собственном материале, включающее клинико-морфологическую, иммуногистохимическую оценку новообразований, а также биологического поведения этих опухолей с анализом рецидивных форм.
Материал и методы
Для поиска МИФС были пересмотрены все мезенхимальные опухоли архива НИИ онкологии им. Н.Н. Петрова за 1990—2010 гг. Было выявлено 9 наблюдений. Один случай (первичная МИФС и ее рецидив) был диагностирован в текущем консультационном и операционном материале Клинического научно-практического центра специализированных видов медицинской помощи (онкологического). Для выяснения катамнеза были проанализированы истории болезни, медицинские карты наблюдения пациентов и данные телефонного опроса пациентов и/или родственников.
Морфологический анализ проводился по микропрепаратам, окрашенным гематоксилином и эозином. Иммуногистохимическое исследование выполнено на автостейнере Ventana BM XT с использованием следующих антител: vimentin (Genemed, v9, 1:200), factor XIIIa (ac-1a1, rtu), CD68 (Genemed, kp-1, 1:500), CD31 (Cell Marque, JC70a, 1:100), CD34 (Genemed, qbend/10, 1:100), CD30 (Genemed, ber-h2, 1:400), SMA (1А4, rtu), MSA (Spring, sp171, 1:100), desmin (Roche, DE-R-11, rtu), AE1/3 (Genemed, ae1/ae3, 1:200), EMA (Genemed, gm008, 1:100), ALK (Roche, alk1, 1:50), S100 (Genemed, polyclonal, 1:300), HMB45 (Genemed, hmb45, 1:100), CD117 (polyclonal, 1:100), NSE (Roche, mrq55, rtu), D2−40 (Genemed, d2−40, 1:100).
Результаты и обсуждение
Основные клинико-морфологические данные изученных случаев МИФС представлены в табл. 1. По результатам проведенной работы МИФС составляет 0,9% опухолей мягких тканей. Возраст больных варьирует от 28 до 87 лет (47,9±20); медиана 45 лет. Мужчин было 5, женщин — 5. Все пациенты отмечали появление безболезненного медленно увеличивающегося в течение нескольких месяцев образования в поверхностных мягких тканях конечностей. Во всех случаях кожа над опухолью оставалась неизмененной. У 4 из 10 пациентов возникли рецидивы, после повторного более широкого иссечения патологического очага рецидива не возникало.

Таблица 1. Клинико-морфологические данные о 10 случаях МИФС Примечание. БПЗ — без проявлений заболевания.
Средний размер первичной опухоли составлял 3,6±1,6 см (медиана 3,5 см), рецидивной — 4,9±0,9 см (медиана 4,8 см). Во всех случаях опухоль была одиночная и располагалась на пальцах и кистях в 7 (70%) случаях, в области запястья в 1 случае, на стопе в 1 и в 1 случае на бедре.
При микроскопическом исследовании новообразование с нечеткими контурами занимает дерму и частично подкожную клетчатку, местами имитируя инвазивный рост. В нескольких случаях в микропрепаратах присутствовал интактный эпидермис.
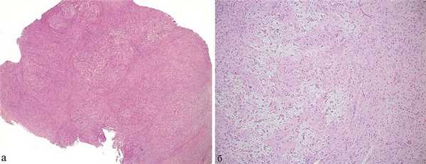
Характерным признаком МИФС при обзорном увеличении была миксоидно-гиалинизированная (фиброзированная) строма. При этом площадь миксоидных участков варьировала, но ни в одном случае не занимала более 50% (рис. 1). В 6 случаях опухоль имела отчетливую нодулярность (см. рис. 1, а). Гиповаскулярные миксоидные участки перемежались с фиброзно-коллагенизированными фокусами, васкуляризированными аналогично грануляционной ткани.

Рис. 1. Гистологическая архитектура МИФС. а — тонкие фиброзные септы делят миксоидно-гиалинизированную опухоль на нодули; б — миксоидные участки чередуются и контрастируют с фиброзно-гиалинизированными зонами. Здесь и на рис. 2—4: окраска гематоксилином и эозином. а — ×15; б — ×50.
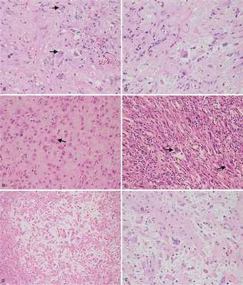
Особой патогномоничностью обладал клеточный состав опухолей. На фоне веретеновидно-эпителиоидно-клеточной популяции обнаруживались крупные эпителиоидные или неправильной формы моно- или бинуклеарные клетки с обширной эозинофильной цитоплазмой, в ядрах которых визуализировались выраженные эозинофильные ядрышки. Такие клетки напоминали клетки Ходжкина, Рида—Штернберга, ганглионарные клетки или вироциты (рис. 2). Клеточный полиморфизм опухолей коррелировал с преобладающей популяцией. Преимущественно веретеноклеточные экземпляры отличались мономорфностью по сравнению с эпителиоидно-клеточными формами. При этом отсутствовала значительная гиперхромазия ядер, а митотическая активность не превышала 6 митозов в 50 полях зрения большого увеличения микроскопа. В миксоидных участках клетки подвергались своеобразной трансформации с формированием мультивакуолизированных форм, напоминавших липобласты (см. рис. 2). Окраска альциановым синим выявляет кислые муцины в цитоплазме этих клеток и достоверно исключает истинные полиморфные липобласты.

Рис. 2. Клеточный состав МИФС. а — крупные эпителиоидные клетки (стрелки) с крупными ядрами и эозинофильными ядрышками, напоминающие ганглионарные клетки или вироциты; б, в — двуядерные опухолевые клетки, напоминающие клетки Рида—Штернберга; г — единичные эпителиоидные клетки (стрелки), напоминающие клетки Ходжкина, среди веретеновидноклеточной популяции. Имеют место слабый полиморфизм и диффузная воспалительная инфильтрация; д — липобластоподобные клетки в миксоидном фокусе опухоли; е — в центре клетка с вакуолизированной цитоплазмой, полиморфным изъеденным ядром, похожая на плеоморфный липобласт. а, б, в, г, е — ×400, д — ×200.
Смешанный воспалительный инфильтрат, состоящий преимущественно из лимфоцитов и плазматических клеток с примесью нейтрофилов и эозинофилов, был постоянной морфологической чертой МИФС, но степень его выраженности варьировала от значительной лимфоплазмолейкоцитарной инфильтрации с формированием лимфоидных фолликулов преимущественно по периферии опухоли до одиночных элементов, инфильтрирующих фиброзно-гиалинизированный матрикс. При тщательном поиске во всех первичных опухолях был выявлен эмпериополез. В 1 случае присутствовали скопления пенистых макрофагов и в 2 опухолях встретились гигантские многоядерные гистиоциты (рис. 3).

Рис. 3. Смешанный воспалительный инфильтрат — характерный компонент МИФС. а — выраженная воспалительная инфильтрация опухоли с формированием лимфоидных фолликулов; б — деталь а: лимфоциты, плазматические клетки, эозинофилы и лейкоциты в составе инфильтрата; в, г — феномен эмпериополеза: лимфоциты и лейкоциты в цитоплазме крупных опухолевых клеток; в — так называемые внутриклеточные микроабсцессы (стрелки); д — единичные клетки типа Тутона среди смешанно-клеточного воспалительного инфильтрата; е — поля пенистых макрофагов по периферии опухоли. а — ×20, б — ×200, в, г — ×400, д — ×200, е — ×100.
Ни в одном случае не было выявлено ни одного атипического гистологического признака. Данные о состоянии края резекции отсутствовали.
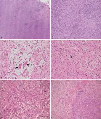
Рецидивные опухоли составили 40% (4 случая из 10). В 3 случаях опухоль в целом сохранила оригинальную гистологическую архитектуру с незначительным увеличением клеточности и митотической активности, но в одном показала выраженную гистологическую прогрессию с увеличением клеточности, полиморфизма, митотической активности, исчезновением миксоидных зон и появлением толстостенных сосудов и сосудов типа аркад (рис. 4). Анализ первичных опухолей в этих случаях не выявил каких-либо проявлений атипии, отмеченных W. Laskin и соавт. [7]. Наиболее логичным объяснением возникновения рецидивных опухолей в нашей серии наблюдений представляется неадекватный объем резекции новообразований. Следует отметить, что после расширенной реэксцизии или ампутации повторных рецидивов не возникало.

Рис. 4. Рецидивная МИФС (см. табл. 1: женщина 53 лет), проявившая выраженную гистологическую прогрессию. Отмечается отсутствие миксоидных зон, увеличение клеточности и полиморфизма, появление сосудов типа аркад (а — стрелки); б — крупная эпителиоидная клетка с полиморфным ядром, выраженным ядрышком и обширной эозинофильной цитоплазмой (стрелка). а — ×50, б — ×400.
Результаты иммуногистохимического исследования первичных и рецидивных МИФС отражены в табл. 2. Данный иммунопрофиль отражает фибробластическую/фиброгистиоцитарную дифференцировку опухоли, что также было отмечено в предыдущих работах с применением как иммуногистохимического метода, так и ультраструктурного анализа [1, 3—7]. Все новообразования экспрессировали виментин. В 5 из 6 исследованных первичных опухолях была выявлена положительная реакция с фактором XIIIa, указывающая на возможную фиброгистиоцитарную дифференцировку. В этом же контексте можно объяснить экспрессию подопланина (D2−40), которую впервые обнаружили W. Laskin и соавт. [7]. Подопланин представляет собой трансмембранный протеин с молекулярной массой 38 кД, это неспецифический иммуномаркер данной опухоли, экспрессирующийся во многих других мио-/фибробластических/гистиоцитарных образованиях, таких как дерматофиброма, клеточная нейротекома, миксофибросаркома и недифференцированная плеоморфная саркома [7]. Цитокератины, гладкомышечный актин, мышечно-специфический актин, белок S100, десмин, CD30, CD34, CD31, ALK, CD117, эпителиальный мембранный антиген, HMB45 и нейронспецифическая енолаза были негативные во всех исследованных первичных и рецидивных опухолях. Следует отметить, что, несмотря на изменение морфологической картины при рецидивировании МИФС, иммунопрофиль опухолей сохранялся.

Таблица 2. Результаты иммунофенотипирования первичной и рецидивной МИФС
Заключение
Полученные результаты в целом совпадают с данными других авторов.
МИФС — редкая опухоль мягких тканей, имеющая излюбленную локализацию в дистальных отделах конечностей. Несмотря на вариабельность морфологической картины от саркомоподобной до псевдовоспалительной, правильная диагностика основывается на выявлении комплекса характерных гистологических признаков. Иммунопрофиль МИФС не является специфичным и не занимает лидирующего положения в диагностике.
Новообразование относится к промежуточной степени злокачественности и отличается благоприятным прогнозом в случае адекватной эксцизии. Данное обстоятельство обосновывает значение верификации этой нозологической формы. Склонность к рецидивированию требует тщательного исследования края резекции для исключения остаточной опухоли.
Саркома
Саркома - это разнородная группа злокачественных новообразований, развивающихся из клеток соединительной ткани в результате мутаций. Разновидностей соединительной ткани много, поэтому и классификация сарком весьма обширна. Они бывают костными и мягкотканными - из жировой ткани, хрящей, связок, сухожилий, мышц и др. Эти злокачественные опухоли чаще всего имеют агрессивное течение и склонны к рецидивированию даже после проведения радикального лечения.
Саркома - это злокачественная опухоль, но не рак. Термином «рак» называют только новообразования из эпителиальных тканей: кожи, слизистых оболочек, желез и пр.
Саркома мягких тканей - это редкая патология. В России заболеваемость в 2018 году составила 1,75 на 100 000 человек. Чаще всего эти новообразования поражают нижние конечности, на долю данной локализации приходится около 40% случаев. Саркомы внутренних органов встречаются редко и локализуются они в почках, сердце, матке и простате. Отдельно рассматривается саркома груди, при которой средний возраст больных составляет около 50 лет.
Классификация сарком мягких тканей
Саркомы классифицируются в зависимости от того, из каких тканей они произрастают:
- Субстратом миосаркомы является мышечная ткань. В зависимости от того, поражена гладкая мускулатура или поперечно полосатая, выделяют лейомиосаркомы и рабдомиосаркому.
- Липосаркома произрастает из жировой ткани.
- Фибросаркома из фиброзной.
- Ангиосаркома — из тканей стенки кровеносных сосудов.
Этиология и патогенез сарком мягких тканей
В большинстве случаев саркома возникает спонтанно, без видимых причин. Однако существуют некоторые факторы, которые могут увеличивать вероятность развития этого заболевания:
- Длительный контакт с химическими канцерогенами, в частности с гербицидами, хлорфенолами и другими.
- Некоторые наследственные заболевания, которые могут трансформироваться в саркомы — нейрофиброматоз 1 типа, синдром Гарднера.
- Воздействие высоких доз ионизирующего излучения, в частности, проведение лучевой терапии по поводу другого злокачественного заболевания. Радиоиндуцированные саркомы могут возникнуть даже через 30 лет после облучения, но средний срок до их появления — 10 лет.
- Снижение иммунитета. Речь не о длительном насморке или кашле, а о настоящей иммунодепрессии, например, при СПИДЕ, необходимости иммуносупрессивной терапии после трансплантации органов или в результате химиотерапии. Кроме того, проведение химиотерапии в детском возрасте является фактором риска развития саркомы мягких тканей у взрослых.
- Длительный лимфостаз и лимфедема.
Процесс развития саркомы начинается с появления мутаций в генетическом аппарате здоровых клеток. В норме клетки-носители таких мутаций вовремя распознаются клетками иммунной системы и уничтожаются. Но в случае развития злокачественного новообразования эти процессы в силу разных причин не срабатывают, и такая клетка начинает давать потомство. Причем делится она бесконтрольно, и за короткий срок опухоль существенно наращивает свои массу и объём. Опухоль прорастает в соседние ткани и органы, а также в кровеносные сосуды. Это дает возможность образования метастазов, возникающих в связи с распространением клеток опухоли по организму с током крови.
Саркомы мягких тканей часто имеют инфильтративный рост и прорастают в окружающие ткани. В таком случае определить ее края не представляется возможным. У некоторых опухолей может быть капсула, которая, впрочем, не мешает ей метастазировать.

Клинические симптомы саркомы мягких тканей
При поверхностном расположении саркомы на начальных этапах имеют вид припухлости. Она безболезненна и постепенно растет, в некоторых случаях достигая огромных размеров. Общее состояние пациента долгое время остается нормальным. Поэтому если человек нащупывает у себя какую-либо опухоль в мягких тканях, особенно если она длительное время не проходит, а тем более увеличивается в размерах, необходимо немедленно обратиться к врачу.
Дальнейшие симптомы будут зависеть от локализации саркомы. Если это внутренние органы, например, матка, то здесь отмечаются кровотечения и боль внизу живота. При ее расположении в области конечностей может быть отек, локальное покраснение кожи и боль при движении, а также деформация внешнего вида конечности. Множественные метастазы саркомы в лёгких со временем могут приводить к развитию дыхательной недостаточности, метастазы в головной мозг - к появлению очаговой и общемозговой неврологической симптоматики.
Диагностика саркомы
Диагностика саркомы предполагает комплексное обследование, которое направлено на обнаружение опухоли, верификацию диагноза и определение стадии заболевания. Первый этап - это обнаружение опухоли. Для этого проводится внешний осмотр и используются методы медицинской визуализации — УЗИ, КТ, МРТ. Эти методы не только позволяют обнаружить опухоль как таковую, но и определить ее взаимоотношение с окружающими тканями, например, есть ли распространение на соседние органы, вовлечены ли в процесс кровеносные сосуды и т. д.
Верификация саркомы проводится путем ее морфологического исследования под микроскопом. Для этого берется материал опухоли, удаленной во время операции, если ее размер менее 2 см. В остальных случаях либо же проводится специальная процедура - биопсия, во время которой из новообразования с помощью специального инструмента забирается столбик ткани. В ряде случаев требуется не только морфологическое исследование, но и более детальное изучение опухоли, например, исследуется наличие определенных генетических поломок или ее рецепторный статус. Такие данные могут помощь при выборе тактики лечения.

И наконец, для определения степени распространения саркомы проводится все та же медицинская визуализация, с помощью которой определяется наличие отдаленных метастазов. Здесь могут использоваться различные специфические тесты (ПЭТ-КТ, сцинтиграфия), которые позволяют обнаружить даже небольшие метастазы, невидимые с помощью обычных методов исследования.
Общие принципы лечения сарком мягких тканей
Выбор тактики лечения сарком определяется следующими параметрами:
- Локализация опухоли.
- Степень ее злокачественности.
- Степень ее распространения.
При низкозлокачественных опухолях достаточно их хирургического удаления, при высокозлокачественных саркомах необходимо комплексное воздействие, которое помимо удаления еще включает лучевую терапию и/или противоопухолевую лекарственную терапию. Это позволит отдалить время развития рецидива и уничтожить отдаленные метастазы.

Что касается рецидивов, то реже рецидивируют саркомы мягких тканей нижних конечностей, а чаще всего — забрюшинные опухоли. Если хирургически удалить саркому нельзя, используют химиотерапию, лучевую терапию или химиолучевое лечение.
При хирургическом лечении сарком мягких тканей конечностей проводятся органосохраняющие операции, во время которых опухоль иссекается с учетом принципов футлярности и зональности. Края резекции (отсечения) исследуются под микроскопом, и, если там обнаруживают злокачественные клетки, проводятся либо повторное иссечение опухоли (краёв резекции), либо послеоперационная лучевая терапия. Если опухоль располагается в глубоких тканях кистей и стоп, органосохраняющее лечение часто бывает невозможным, и тогда выполняется ампутация.
Лучевая терапия проводится в предоперационном и/или послеоперационном периоде. Перед операцией облучение назначают со следующими целями:
- Уменьшение злокачественного потенциала саркомы.
- Уменьшение объема опухоли.
- Снижения интенсивности воспаления и перифокального отека вокруг опухоли.
- Уменьшение риска развития рецидива и - опосредованно - отдаленных метастазов.
- Создание условий для проведения радикальных операций, перевод саркомы из неоперабельного состояния в операбельное.
- Создание условий для более четкого ограничения саркомы от окружающих тканей.
Послеоперационная лучевая терапия при радикальном удалении опухоли направлена на уничтожение злокачественных клеток, гипотетически оставшихся в краях раны, в том числе после нерадикально выполненной операции. Тем самым лучевая терапия снижает вероятность развития местного рецидива и отдаленных метастазов.
Химиотерапия используется при лечении нерезектабельных новообразований, совместно с лучевой терапией, для перевода саркомы в резектабельное состояние. При лечении диссеминированных форм химиотерапия (или другие варианты лекарственной противоопухолевой терапии, в зависимости от типа опухоли или наличия ряда генетических факторов) является основным методом.
При возникновении рецидива операбельные саркомы подвергают хирургическому удалению, а неоперабельные новообразования лечат с помощью химиотерапии, таргетной терапии или иммунотерапии.
Прогноз течения заболеваемости зависит от гистологической формы и степени злокачественности саркомы, чувствительности её к лечению, ее расположения и распространённости, возраста и общего состояния пациента на момент диагностики заболевания. Наиболее благоприятно протекают низкозлокачественные саркомы у сохранных пациентов. У них 5-летней выживаемости удается достичь в 50% случаев, а вот при высокозлокачественных опухолях этот показатель не превышает 10%. Необходимо отметить, что в силу своей редкости саркомы должны предпочтительно лечиться в медицинских центрах с большим опытом работы с пациентами именно с такими злокачественными новообразованиями - как в плане их диагностики, так и их лечения.
Саркома мягких тканей
Саркомами называют опухоли, которые развиваются из клеток предшественниц соединительной ткани — мезодермы. Как и рак, они представляют собой злокачественные новообразования, но с той разницей, что источником раковой опухоли является эпителий, выстилающий внутренние органы и тело человека. Поэтому эти опухоли имеют привязку к конкретному органу, например, рак предстательной железы, рак молочной железы и др. Саркомы же развиваются из соединительной ткани и могут возникнуть в любом органе, где есть такие клетки, то есть фактически везде.
Виды сарком мягких тканей
Саркома мягких тканей — это собирательный термин, который объединяет большое количество злокачественных опухолей, среди которых наиболее часто встречаются следующие:
- — опухоль из гладкомышечных клеток.
- Рабдомиосаркома — опухоль из поперечно-полосатой мускулатуры.
- Липосаркома — злокачественная опухоль из жировой ткани.
- Ангиосаркома — злокачественное новообразование, произрастающее из ткани кровеносных сосудов.
- Фибросаркома — опухоль из фиброзной ткани.
Также саркомы мягких тканей принято разделять по степени злокачественности. Низкозлокачественные новообразования редко метастазируют, но склонны к упорному рецидивированию. Высокозлокачественные опухоли склонны давать метастазы гематогенным путем (с током крови), лимфатические узлы поражаются реже.

Стадии развития
Стадия саркомы мягких тканей определяется степенью злокачественности опухоли, ее размером и наличием метастазов.
- К 1 А стадии относят новообразования низкой степени злокачественности, размером менее 5 см, без метастазов в регионарных лимфатических узлы и отдаленных органах.
- 1 В стадия — опухоли низкой степени злокачественности, более 5 см без метастазов.
- 2А стадия — новообразования средней степени злокачественности, менее 5 см без метастазов.
- 2В стадия — новообразования средней степени злокачественности, более 5 см в наибольшем измерении, без метастазов.
- 3А стадия — саркомы высокой степени злокачественности, менее 5 см без поражения лимфатических узлов и внутренних органов.
- 3В стадия — саркомы высокой степени злокачественности, более 5 см без метастазов.
- 4 стадия — саркома любой степени злокачественности, любого размера при наличии поражения лимфатических узлов или метастазов во внутренних органах.

Факторы риска
В большинстве случаев, саркомы мягких тканей развиваются спонтанно, т. е. без видимых причин. Однако есть определенные обстоятельства, которые увеличивают вероятность развития данного заболевания:
- Воздействие химических канцерогенов, в частности гербицидов, хрорфенолов.
- Генетическая предрасположенность — нейрофиброматоз, синдром Ли-Фраумени, синдром Гарднера.
- Воздействие ионизирующего излучения, например, прохождение лучевой терапии.
- Иммунодефицитные состояния — иммуносупрессия после трансплантации органов, прохождение химиотерапии, СПИД.
- Некоторые виды сарком мягких тканей могут развиваться на фоне лимфостаза конечности.
Симптомы саркомы мягких тканей
На начальных этапах, саркома мягких тканей проявляется как безболезненная опухоль, которая медленно увеличивается в размерах. Может иметь капсулу, которая, впрочем, не мешает метастазированию. Также опухоль может иметь инфильтративный рост, в этом случае определить ее края проблематично.
При дальнейшем росте, симптоматика будет зависеть от локализации опухоли. Например, при саркомах матки будут кровотечения, при поверхностной локализации опухоль вызывает отечность и боли, при этом нарушается функция пораженного органа, например, руки или ноги.
Диагностика саркомы мягких тканей
В рамках диагностики саркомы мягких тканей проводится физикальное обследование, используются методы медицинской визуализации с последующим проведением биопсии и морфологического исследования полученного материала.
Обязательно проводится КТ или МРТ пораженной области. Во-первых, исследование помогает обнаружить опухоль, а во-вторых проконтролировать радикальность излечения.
Для постановки диагноза обязательно проводится морфологическое исследование фрагмента опухоли. Чтобы его получить, выполняют трепанбиопсию с помощью специальной толстой иглы под контролем УЗИ, или инцизионную биопсию, которая подразумевает хирургическое иссечение фрагмента новообразования. В ряде случаев, для уточнения типа саркомы необходимо более детальное исследование, тогда проводят иммуногистохимические и молекулярно-генетические анализы.
Для того чтобы установить степень распространения опухоли, проводят КТ грудной клетки, брюшной полости, а также ультразвуковое исследование лимфатических узлов.
Лечение саркомы мягких тканей
Выбор метода лечения саркомы определяется степенью ее злокачественности, местом расположения и наличием метастазов. Для лечения низкозлокачественных опухолей, лечение преимущественно хирургическое, в остальных случаях используются комбинированные методы, включающие облучение и химиотерапию.
Хирургическое лечение
При хирургическом лечении сарком используются следующие виды операций:
- Широкая местная резекция. Таким способом удаляются низкозлокачественные небольшие новообразования, располагающиеся в коже и подкожной клетчатке.
- Широкое иссечение. При таком вмешательстве саркома удаляется в пределах анатомической зоны, отступая от края новообразования не менее чем на 4-6 см.
- Радикальная органосохраняющая операция. При таком объеме вмешательства удаляется опухоль совместно с мышечными фасциями и неизмененными мышцами, которые отсекаются в месте их прикрепления. При вовлечении в процесс кровеносных сосудов, нервных стволов и костей, производят их резекцию с одномоментной пластикой кожным или кожно-мышечным лоскутом.
- Ампутации или экзартикуляции — удаление конечности или ее вычленение по линии суставной щели. Такие вмешательства проводятся при обширных местно-распространенных высокозлокачественных процессах с вовлечением магистральных кровеносных и нервных стволов на большом протяжении, а также костных структур и мышц.
Во время операции обязательно проводится интраоперационное срочное гистологическое исследование. При наличии злокачественных клеток в краях отсечения и при потенциальной возможности радикального удаления опухоли, выполняют реоперацию.
Лучевая терапия
Лучевая терапия применяется в рамках комбинированного лечения в предоперационном и/или послеоперационном этапе. В первом случае преследуется цель — уменьшение размера саркомы и создание условий для проведения радикального вмешательства. Во втором — уничтожение оставшихся злокачественных клеток. Чтобы воздействие на опухоль было равномерным, используются многопольные методики облучения.

Предоперационная лучевая терапия
При предоперационной ЛТ, границы полей облучения (ПО) должны выходить за размеры ткани опухоли минимум на 3-4 см. Если опухоль имеет большие размеры, производят облучение в пределах 10 см от ее края до достижения суммарной очаговой дозы 45-50Гр. Затем ПО сокращают до размеров новообразования.
Если опухоль располагается на конечности, есть вероятность развития остеолучевого некроза, мышечных контрактур и отеков. Чтобы этого избежать, рекомендуется облучать не более 2/3 окружности конечности, если это возможно. Минимальная толщина необлучаемых тканей в зоне предплечья составляет 2 см, на бедре 4 см, и на голени — 3 см.
Послеоперационная лучевая терапия
Послеоперационная лучевая терапия показана в следующих случаях:
- Высокая степень злокачественности саркомы по данным гистологического исследования.
- Нерадикально проведенная операция — наличие злокачественных клеток в краях отсечения при невозможности проведения реоперации.
- Вскрытие капсулы саркомы во время хирургического вмешательства.
Послеоперационную ЛТ начинают выполнять не позднее, чем через 4 недели после окончания хирургического лечения.
Если предоперацинная ЛТ не выполнялась, поля облучения включают в себя следующие области:
- Ложе опухоли.
- Ткани, которые располагаются на расстоянии 2 см от удаленной опухоли.
- Послеоперационный рубец.
Облучение проводят в суммарной очаговой дозе 60 Гр. Если была проведена нерадикальная операция, дозу увеличивают до 70 Гр. В аналогичном режиме проводят лучевую терапию при невозможности оперативного лечения.

Химиотерапия
Химиотерапия широко используется для лечения высокозлокачественных сарком мягких тканей. Как и при лучевой терапии, ее могут назначать на дооперационном и/или послеоперационном этапе. Неоадъювантная (предоперационная) ХТ призвана воздействовать на очаг опухоли, уничтожать микрометастазы и создать условия для органосохраняющего хирургического лечения. С этой целью проводят 2-3 курса химиотерапии с перерывом в 3-4 недели.
Послеоперационная ХТ может проводиться для уничтожения микрометастазов или уже визуализируемых метастазов. С этой целью выполняют 3-4 курса лечения. При химиотерапевтическом лечении сарком применяют различные комбинации следующих препаратов:
- Доксорубицин.
- Этопозид.
- Винкристин.
- Ифосфамид.
- Дакарбазин.
- Цисплатин и др.
Схема химиотерапии будет определяться морфологическим вариантом опухоли и ее чувствительностью к ранее проводимому лечению.
Прогноз выживаемости при саркоме мягких тканей
Прогноз выживаемости зависит от многих факторов:
- Степень злокачественности саркомы. Наиболее благоприятное течение у низкозлокачественных сарком без метастазов во внутренних органах и лимфоузлах.
- Размеры опухоли.
- Возможность проведения радикального лечения.
- Возраст больного. Наиболее благоприятные прогнозы у детей. У них полного выздоровления удается достичь в 60% случаев. Наименее благоприятные прогнозы у людей старше 60 лет.
При своевременном лечении начальных стадий низкозлокачественных сарком мягких тканей, удается достичь 5-летней выживаемости у половины больных. При 4 стадии процесса, этот показатель не превышает 10%.
Эффективных методов профилактики саркомы мягких тканей нет. Общие рекомендации являются стандартными — отказ от вредных привычек, ведение здорового образа жизни.
Карцинома

Карциномы - это самая распространенная форма рака. Они начинаются в эпителиальных тканях, которые покрывают и защищают органы, выстилают различные полости в теле, а также фильтруют, выделяют и поглощают жидкости.
Что такое рак и как он развивается?
Рак - это опасная для жизни опухоль. Такие новообразования называют злокачественными, поскольку их клетки бесконтрольно размножаются, прорастают в окружающие ткани, распространяются по телу и создают метастазы - дополнительные очаги в других органах.
Заболевание развивается после появления в организме всего одной мутировавшей, или измененной клетки, отличающейся от нормальных. Она возникает из-за различных проблем со здоровьем, влияния химических веществ, радиации, солнечных лучей, наследственных особенностей или случайных сбоев, развивается и создает множество своих копий. Большинство из них выявляется и уничтожается иммунитетом, но некоторым все же удается скрыться от внимания нашей естественной защиты или противостоять ей. Они выживают и постепенно формируют опухоль, разрушающую все, что ее окружает.
На этом их опасные способности не заканчиваются. Нормальные клетки рождаются и функционируют только в одном, строго определенном для них месте. Неправильные же таких ограничений не имеют - они проникают в две важнейшие системы - кровеносную и лимфатическую Лимфатическая система дополняет сердечно-сосудистую. В ней циркулирует лимфа - жидкость, которая омывает все клетки организма, доставляет в них необходимые вещества и забирает отходы. В лимфатических узлах, выполняющих роль «фильтров», опасные вещества обезвреживаются и выводятся из тела. , с их помощью перемещаются в различные части тела, закрепляются в других органах и создают в них метастазы - дополнительные раковые новообразования. Кроме того, у них не работает апоптоз - так называемый механизм «запрограммированной» смерти. Благодаря этому свойству они существуют очень долго и не умирают по окончанию стандартного жизненного цикла.
Со временем рак разрастается, разрушает большое количество важных тканей, нарушает работу организма и убивает его.

Виды карцином
Карцинома - это не одна опухоль, а целое множество их разновидностей. Она развивается в определенном типе клеток эпителия - тонкого слоя ткани, который покрывает и защищает органы, выстилает различные полости в теле, а также фильтрует, выделяет и поглощает жидкости.
Карцинома in situ, предрак, или неинвазивный рак 0 стадии - наличие в организме измененных клеток, находящихся только в том месте, где они появились впервые. Они еще не являются злокачественными - не прорастают в окружающие ткани и не создают метастазы Метастазы - это дополнительные раковые опухоли в органах и тканях, расположенных далеко от основного новообразования. , но способны таковыми стать. Такие новообразования могут появиться в любой области организма, в том числе в молочной железе, шейке матки, мочевом пузыре, коже, во рту и даже в слизистой оболочке глаза.
Аденокарцинома. Возникает в железистых клетках, производящих секрет: например, ферменты - необходимые для переваривания пищи белки, или гормоны, сообщающие тканям, как действовать - работать или отдыхать, выделять что-то или поглощать. Поражает множество различных органов: поджелудочную, предстательную, молочную, щитовидную, слюнные и потовые железы, пищевод, желудок, печень, тонкую, слепую, прямую и сигмовидную кишку, яичники, матку, гипофиз Гипофиз - это небольшая железа, расположенная в основании мозга. Она влияет на рост, развитие и обмен веществ организма. , почки и легкие.
Базально-клеточная карцинома, или базалиома. Развивается в базальных клетках, находящихся в нижней части эпидермиса - наружного слоя кожи. Чаще всего возникает на открытых участках тела, подвергающихся воздействию ультрафиолета - лице, голове и шее. Медленно растет и редко поражает другие ткани.
Инвазивная лобулярная карцинома, или дольковый рак молочной железы. Возникает в вырабатывающих молоко дольках, и постепенно прорастает в окружающие структуры. Затем она распространяется в лимфатические узлы - небольшие органы размером с горошину, выполняющие роль фильтров, задерживающих и обезвреживающих опасные вещества, и создает в различных частях тела метастазы - дополнительные новообразования.
Инвазивная протоковая карцинома - самый распространенный вид рака молочной железы. Формируется в клетках протоков, по которым молоко из долек выходит в сосок, повреждает ближайшие ткани и распространяется по организму с помощью лимфатической системы Лимфатическая система дополняет сердечно-сосудистую. В ней циркулирует лимфа - жидкость, которая омывает все клетки организма, доставляет в них необходимые вещества и забирает отходы. В лимфатических узлах, выполняющих роль «фильтров», опасные вещества обезвреживаются и выводятся из тела. . Ее разновидность - тубулярная карцинома - обычно представляет из себя несколько медленно растущих небольших, до 1-2см в диаметре, похожих на трубочки опухолей.
Карцинома Меркеля - редкий и агрессивный, то есть плохо поддающийся лечению тип рака кожи, чаще всего встречающийся у европеоидов старше 70 лет. Образуется в клетках нижней части эпидермиса Эпидермис - это верхний, наружный слой кожи. , позволяющих нам ощущать прикосновения.
Крупноклеточная карцинома - развивается в крупных округлых клетках, в большинстве случаев обнаруживается на поверхности легкого, но может возникать и в других его частях. Быстро растет и стремительно метастазирует - создает дополнительные очаги заболевания в других тканях.
Медуллярная карцинома. Формируется в мозговом веществе почки, содержащем структуры, отвечающие за поддержание водного и солевого баланса крови, а также в клетках протоков груди и щитовидной железе.
Мелкоклеточная карцинома. Возникает в легких, мочевом пузыре, слюнных железах и желудке. Быстро развивается, рано создает метастазы и имеет плохой прогноз.
Муцинозная карцинома. Образуется в вырабатывающих муцин - компонент слизи, клетках яичников, потовых и молочных желез, мочевого пузыря, легких, кишечника, аппендикса и эндометрия - ткани, выстилающей внутреннюю поверхность матки,
Папиллярная карцинома. Развивается в клетках щитовидной железы, кожи, почек и мочевого пузыря.
Плоскоклеточный рак. Формируется их плоских клеток, расположенных в эпителии - поверхностном слое тканей, защищающем их от инфекций и травм. Это один из самых распространенных видов злокачественных опухолей, который может начаться в любой части тела, где присутствуют подобные клетки. Чаще всего развивается в коже, пищеводе, во рту, губах, языке, миндалинах, легких, гортани, вульве, половом члене, влагалище, слюнных железах, анальном канале, мочевом пузыре и шейке матки.
Почечно-клеточная карцинома. Возникает в клетках, выстилающих почечные канальцы - небольшие трубочки, по которым проходит так называемая первичная моча - жидкость, из которой различные вещества и лишняя вода всасываются и поступают обратно в организм.
Уротелиальная, или переходно-клеточная карцинома. Образуется в особых клетках внутреннего слоя мочевого пузыря и мочевыводящих путей, способных менять форму, не повреждаясь при растяжении ткани.

Диагностика карциномы
При подозрении на наличие рака и перед назначением любого лечения проводится полное обследование, в ходе которого врачи оценивают общее состояние здоровья пациента и количество пострадавших от карциномы тканей. Для этого специалисты назначают целый ряд процедур:
- Анализы крови и мочи: с их помощью нельзя поставить окончательный диагноз, но можно выяснить, насколько хорошо работают внутренние органы, такие как почки и печень, и обнаружить онкомаркеры - особые белки, которые выделяют некоторые виды опухолей.
- УЗИ - исследование мягких тканей с помощью звуковых волн. Проводится быстро, не наносит вреда организму и практически не имеет противопоказаний, но дает не очень четкую картинку, особенно если изучаемая область находится далеко от датчика аппарата.
- КТ,или компьютерная томография - метод диагностики различных заболеваний с помощью серии рентгеновских снимков, объединяемых в одно, очень подробное изображение.
- МРТ ,магнитно-резонансная томография - создание крайне четкой картинки, отображающей состояние мягких тканей благодаря аппарату, использующему действие магнитов и радиоволн.
- Рентген грудной клетки -может потребоваться для выявления поражения легких.
- ПЭТ - позитронно-эмиссионная томография. До проведения данного исследования пациент получает небольшую дозу радиоактивного сахара, который накапливается в измененных клетках. При сканировании содержащие его области выглядят особенно ярко. Данное свойство дает возможность специалистам выявлять любые, даже самые маленькие очаги заболевания, в том числе те, что не видны на КТ и МРТ.
- Биопсия - забор небольшого количества тканей и тщательное изучение свойств их клеток в лаборатории. Это единственный способ, позволяющий точно и безошибочно ставить окончательный диагноз.
При необходимости врачи могут назначить дополнительные процедуры или анализы.
Специалисты онкологического центра «Лапино-2» проводят полную диагностику рака и других опасных опухолей.
Мы выявляем любые проблемы со здоровьем, быстро выполняем обследование на самом современном оборудовании и в максимально сжатые сроки получаем результаты исследований из собственной лаборатории.
У нас работают только настоящие профессионалы своего дела - кандидаты и доктора медицинских наук с большим опытом в области борьбы с онкологией.
В нашем Центре можно не только пройти обследование, но и получить второе мнение - консультацию высококвалифицированного врача любого профиля. Данная услуга позволяет пациенту убедиться в правильности уже поставленного диагноза или выявить неточности уже имеющихся заключений.
Стадии карциномы
Сразу после выявления карциномы врачи устанавливают ее стадию - определяют, какие именно ткани успели пострадать от заболевания, и как далеко распространились измененные клетки. Эта информация дает возможность специалистам представлять примерные прогноза пациента и исходя из них назначать самое подходящее в каждом конкретном случае лечение.
Для стадирования используются международные системы, берущие за основу данные о трех ключевых элементах:
- С помощью буквы «Т» описывается размер основной опухоли и ее прорастание в ближайшие структуры. Ее минимальные габариты обозначаются как «Т1», а максимальные - «Т3» или «Т4», в зависимости от типа рака.
- «N» указывает на количество поврежденных лимфатических узлов - наших «фильтров», задерживающих и обезвреживающих опасные вещества и неправильные клетки. Если все они здоровы, шифр диагноза выглядит как «N0», а если поражены, то после «N» стоит цифра от 1 до 4.
- «М» говорит об отсутствии или наличии метастазов - дополнительных новообразований в других органах. Пока их нет, рядом с «М» стоит 0, и только на последней стадии карциномы в медицинской документации пишется «М1».
Для некоторых видов рака стадия определяется не только данными о T, N и M.
Еще один немаловажный фактор - это дифференцировка опухоли, то есть степень отличия ее клеток от нормальных:
- Высокодифференцированные новообразования, G1: их клетки под микроскопом выглядят почти так же, как здоровые. Они медленно растут и хорошо поддаются лечению.
- Среднедифференцированные,G2: клетки заметно отличаются от обычных.
- Низкодифференцированные, G3: они почти не похожи на нормальные.
- Недифференцированные,G4: их клетки выглядят совсем не так, как те, из которых они превратились в раковые. Они быстро развиваются, стремительно размножаются и плохо реагируют на терапию.
- Даже если степень дифференцировки не принимается во внимание при определении этапа заболевания, она влияет на выбор лечения и прогнозы пациента.
Тип клеток, из которых состоит опухоль, тоже может иметь значение. Например, стадирование плоскоклеточных карцином и аденокарцином пищевода проводится отдельно.
Результаты лабораторных тестов. При раке молочной железы критично наличие на измененных клетках особых белков - рецепторов, которые ускоряют рост новообразования при присоединении к гормонам Гормоны - это создаваемые железами химические вещества, которые сообщают тканям, как действовать - работать или отдыхать, выделять что-то или поглощать .
На перспективе лечения карцином щитовидной железы очень сильно отражается возраст человека.
Еще один значимый момент - расположение первичного очага заболевания в таких органах, как пищевод.
После определения значений для T, N, М и оценки прочих факторов врачи определяют стадию. В большинстве случаев их 4. Они обозначаются римскими цифрами от I до IV:
I. Такие новообразования имеют очень маленькие размеры и растут только в той ткани, в которой впервые возникли.
II. Как правило, на этом этапе поражаются более глубокие слои пораженного органа.
III. К третьей стадии относят более крупные опухоли, повредившие ближайшие структуры, или лимфатические узлы.
IV. На последней, четвертой, обнаруживаются метастазы - дополнительные очаги онкологии в тканях, расположенных далеко от первичного новообразования.
У некоторых видов заболевания есть нулевая стадия. Так называемый предрак, карцинома in situ или неинвазивный рак означает, что в организме присутствуют измененные клетки, но они находятся только в том слое, где впервые появились.

Лечение карциномы
Борьба с раком - сложная задача, требующая участия не одного, даже самого опытного врача, а нескольких докторов различных специальностей - хирурга, онколога, химиотерапевта и других.
Для лечения различных типов карцином применяется несколько методов.
- Часто первым и основным из них является хирургия - удаление пораженных и небольшого количества окружающих их здоровых структур. Если новообразование не крупное и не успело распространить свои клетки в другие области организма, применяются лапароскопические операции, в ходе которых травмируется минимальное количество тканей. Они проводятся через небольшие проколы в коже с помощью специальных инструментов и лапароскопа - тонкой гибкой трубки с видеокамерой и источником света на конце. Подобные вмешательства сокращают сроки пребывания в клинике и позволяют пациентам быстро восстанавливаться. В некоторых случаях приходится изымать не только опухоль, но и весь пострадавший орган - целиком или частично.
- Химиотерапия - прием препаратов, уничтожающих раковые и любые другие быстро делящиеся клетки. Такие вещества попадают в кровоток и воздействуют на все части тела. Подобные средства уменьшают опухоль или не позволяют ей расти, но имеют ряд серьезных побочных эффектов, поскольку оказывают влияние и на здоровые ткани.
- Лучевая терапия - разрушение измененных клеток с помощью радиации. Данный метод используется для борьбы с различными видами карцином. С его помощью специалисты сокращают объемы новообразования, облегчая его хирургическое удаление, уничтожают оставшиеся после операции очаги заболевания и снижают вероятность рецидива - повторного развития рака.
- Гормональная терапия - прием препаратов, которые воздействуют на стимулирующие развитие некоторых видов опухолей гормоны Гормоны - это создаваемые железами химические вещества, которые сообщающие тканям, как действовать - работать или отдыхать, выделять что-то или поглощать. . Подобные средства используются для замедления роста новообразований или облегчения вызванных ими симптомов.
- Таргетная терапия - вещества, уничтожающие определенные типы онкологических клеток. Они назначаются для уменьшения размеров или сдерживания темпов развития карциномы и практически не наносят вреда здоровым тканям.
- Иммунотерапия - препараты, которые активируют собственный иммунитет человека и помогают ему более эффективно выявлять и разрушать измененные клетки.
- Пациентам, которых нельзя полностью избавить от рака, назначается паллиативное лечение. Его задача заключается в улучшении качества жизни и облегчении симптомов заболевания, таких как боль, кровотечения, затруднение дыхания и непроходимость кишечника или мочевыводящих путей.
Специалисты онкологического центра «Лапино-2» проводят любое лечение карцином и других типов рака.
У нас работают только настоящие профессионалы своего дела - врачи с огромным опытом в области диагностики и борьбы с опасными для жизни опухолями.
Нашим пациентам не приходится тратить время на очереди и поездки в различные медицинские организации - все процедуры и вмешательства мы выполняем на территории Центра в максимально сжатые сроки.
Мы используем только самое современное оборудование и оригинальные препараты, дающие предсказуемый результат, а наш персонал делает все, чтобы пребывание в клинике было комфортным для каждого посетителя.
Прогнозы и выживаемость при карциноме
Перспективы каждого человека индивидуальны и зависят от множества факторов - типа рака, его распространенности, степени отличия измененных клеток от нормальных, реакции на лечение, возраста и общего состояния здоровья.
Врачи определяют примерные прогнозы, ориентируясь на данные специального показателя - так называемой «пятилетней выживаемости». Он представляет из себя статистическую выборку - количество пациентов на определенной стадии, проживших 5 или более лет с момента постановки диагноза.
Для всех типов заболевания действует единое правило - чем раньше их удается обнаружить и приступить к терапии, тем выше шансы на полное выздоровление.
Для подавляющего большинства опухолей in situ, клетки которых находятся только в той области, где впервые образовались, он составляет около 100%.
Одни из самых распространенных типов подобных опасных новообразований - карциномы легких. Для мелкоклеточных видов средняя продолжительность жизни на начальных этапах рака равняется 20 месяцам, а пятилетняя выживаемость - 20%. При распространении измененных клеток в другие части тела эта цифра падает до менее чем 1%. Для немелкоклеточных на первой стадии она не превышает 70%, а на последней - 10%.
Читайте также:
- Содержание крови в легких. Резервная кровь в легких
- Показания, этапы и техника операции при разрыве селезенки
- Хронический тиреоидит Риделя: причина, клиника, диагностика, лечение
- Признаки хронической недостаточности кровообращения. Лечение начальных форм недостаточности кровообращения
- Аппаратурный метод лечения аномалий прикуса. Особенности ортодонтической аппаратуры.
