Факторы риска операции при аневризме сосудов головного мозга. Осложнения
Добавил пользователь Владимир З. Обновлено: 13.12.2025

Аневризма мозговых сосудов - очень коварная патология. Долгое время она может протекать бессимптомно, и ее обладатель даже не догадывается о наличии аномалии. Вместе с тем, любая аневризма несет в себе риск кровоизлияния, последствия от которого могут стать фатальными, поэтому операция на аневризму - единственно верное решение при ее обнаружении.
Аневризма мозговых сосудов чаще имеет артериальное строение, может располагаться в самых разных отделах черепа и иметь размеры от микроскопических до гигантских. Конечно, риск разрыва несоизмеримо выше при крупном образовании, но и при мелких аневризмах он есть.
По статистике, аномалии мозговых сосудов можно обнаружить у 5% населения, а разрыв их приходится на самый активный возраст - 30-50 лет. У детей кровоизлияния из аневризм встречаются крайне редко.

виды аневризм сосудов головного мозга
По размеру аневризмы бывают мелкими, средних размеров, крупными и гигантскими, одно- и многокамерными. В зависимости от локализации бывает аневризма сонной артерии (внутренней), передней и средней мозговых, вертебро-базилярного бассейна. Примерно 15% случаев составляют множественные сосудистые аномалии.
Из всех кровоизлияний внутри черепа субарахноидальное - одно из самых тяжелых, а причиной его в 85% случаев становится сосудистая мальформация. Кровь при этом проникает под мягкую мозговую оболочку, сдавливает мозг, нарушает движение ликвора, провоцирует тяжелые неврологические нарушения, а дислокация структур ствола мозга имеет высокий риск гибели в острейшем периоде заболевания.
Оперативное лечение аневризм проводится к отделениях сосудистой хирургии. Оно ставит целью не только борьбу с последствиями разрыва образования, но и его профилактику, что еще более важно. Диагностировать аневризму можно с помощью МРТ, но только в том случае, если пациент сам обратится за помощью. Бессимптомные формы патологии часто остаются вне поля зрения врачей, составляя большую угрозу для здоровья и жизни больных.
При появлении любых признаков нарушения деятельности мозга, сильных головных болей, особенно, повторяющихся, при неблагополучном семейном анамнезе в плане сосудистой патологии мозга следует как можно раньше обратиться за помощью для исключения или подтверждения диагноза, а также своевременного хирургического лечения, которое поможет не допустить развития сценария, угрожающего жизни.
Показания и сроки выполнения операции при аневризме головного мозга
Показанием к операции при аневризме сосудов головного мозга считается уже само наличие аневризмы, даже если она небольшая и протекает бессимптомно. Пациенты с аневризмами живут в буквальном смысле на пороховой бочке, которая может «рвануть» в любой момент. Стресс и постоянные переживания от осознания этого риска могут спровоцировать колебания давления и ангиоспазм, тем самым приблизив момент разрыва, поэтому операцию если и откладывают, то не на длительное время.

Лишь в редких случаях врачи могут принять выжидательную тактику: когда аневризма очень маленькая, расположена глубоко, и операция может нанести больший вред, недели ее наличие, однако, как показывает практика, зачастую нерешительность врача и промедление играют отрицательную роль - патология прогрессирует и следует разрыв.
Неразорвавшиеся аневризмы требуют планового хирургического лечения в нейрохирургии или сосудистом отделении, при этом важно, чтобы его проводили специалисты, имеющие достаточный опыт подобных вмешательств, а клиника имела минимальные показатели смертности и инвалидности среди пациентов.
Часто больные, у которых диагностирована аневризма, сами мучаются вопросом: делать или не делать операцию? Наслушавшись и начитавшись о возможных последствиях лечения, боясь неврологических осложнений от вмешательства, они всерьез задумываются об отказе от него. В таких случаях стоит все же думать не столько о рисках плановой операции, которая может быть малоинвазивной и безопасной, сколько о вероятности кровоизлияния с совсем другой негативной статистикой.

разрыв аневризмы мозга
Разрыв аневризмы в обязательном порядке подлежит хирургической коррекции, но есть некоторые различия по срокам ее выполнения, которые связаны с индивидуальными особенностями течения патологии.
В острейшем и остром периоде кровоизлияний (первые две недели с момента разрыва) показаниями к операции считают:
- Состоявшийся разрыв при неосложненном течении патологии;
- Стабильное состояние пациента;
- Большой риск повторного кровоизлияния;
- Угроза выраженного спазма сосудов и, как следствие, ишемии мозга.
Пациентам в тяжелом и критическом состоянии в этот срок выполняется хирургическая операция только по жизненным показаниям - сдавление мозга, смещение стволовых структур, острая гидроцефалия, массивные очаги некроза мозговой ткани. В иных случаях операцию откладывают на момент стабилизации состояния.
По прошествии первых 14 суток с момента излития крови из аневризмы операцию проводят больным:
- В тяжелом состоянии по причине осложненного течения (выраженный ангиоспазм);
- С аневризмами, трудно доступными для удаления.
Повторное кровоизлияние - одно из опаснейших осложнений, которое дает крайне высокие показатели летальности, поэтому требует экстренной хирургической помощи. Если состояние больного столь тяжело, что операция чрезвычайно рискованна, то наблюдение осуществляют в нейрореанимации, оказывая паллиативную помощь - дренирование желудочков для снижения давления в черепе.
Вопрос хирургического лечения разорвавшихся аневризм при сильной ишемии мозга остается открытым и спорным, до сих пор точно не определены четкие показания к операции у таких пациентов. Вмешательство и общий наркоз могут усугубить повреждение мозговой ткани, поэтому операцию проводят сразу же только при компенсированном ангиоспазме, в других случаях тактика выжидательная.
Предоперационная подготовка

аневризма сосудов мозга на снимке
При плановых клипированиях аневризмы специалисты располагают временем для тщательного обследования пациента и подготовки его к вмешательству. В качестве консервативной терапии назначаются антигипертензивные средства, препараты, нормализующие ритм сердца при аритмиях, проводится коррекция липидного спектра при наличии отклонений.
Перед планированием операции больной подвергается всевозможным обследованиям, включая анализы крови, мочи, коагулограмму, кардиограмму и т. д., как и при других оперативных вмешательствах. Для локализации и уточнения характера сосудистого образования проводят КТ, МРТ с контрастированием, ангиографию, ультразвуковое исследование с допплером.
В случае разорвавшихся аневризм больной поступает в стационар с клиникой острого субарахноидального или внутримозгового кровоизлияния и направляется в нейрохирургическое отделение, времени на обследования фактически нет, поэтому приходится ограничиваться минимумом, позволяющим определиться с расположением мальформации.
Как трепанация, так и эндовазальная хирургия предполагают общий наркоз, хотя в последнем случае возможно применение местной анестезии. Перед операцией пациент беседует с хирургом и анестезиологом (кроме случаев коматозного состояния и острого кровотечения), не ест ближайшие 8 часов до операции, старается выспаться. Волосы в месте трепанации сбриваются.
Техника операций по удалению аневризм
Основными видами вмешательств на сосудистых мальформациях мозга признаны:
- Удаление аневризмы при открытом доступе;
- Эндоваскулярная методика.
Лечение аневризмы при трепанации
Эффективность открытых операций достигает 98%, проводятся они при достаточной доступности аневризмы и в случае разрыва. Пациенту проводится общий наркоз, хирург осуществляет трепанацию черепа, разрезает твердую мозговую оболочку, отыскивает целую аневризму либо место ее разрыва. Далее необходимо выключить мальформацию из общего кровотока. Делается это обычно с помощью металлической клипсы, напоминающей прищепку, которая помещается на сосуд, питающий аневризму, и перекрывает движение по нему крови.
После «выключения» аневризмы твердая мозговая оболочка ушивается, костный лоскут укладывается на место, накладываются швы на кожный лоскут. При сильном отеке мозга возможна декомпрессионная трепанация с оставлением открытого костного окна до того момента, как отек спадет и не будет угрожать смещением стволовых структур. Фрагмент кости на время помещается в клетчатку живота для сохранения жизнеспособности, а затем возвращается на место.

Открытая операция на мозге может повлечь повреждение его ткани и неврологические расстройства впоследствии, поэтому важно действовать предельно осторожно. При наличии кровоизлияния, сгустки и жидкая кровь удаляются из черепа, при проникновении ее в желудочковую систему производится дренирование полостей мозга.
После клипирования аневризмы важно оценить сохранность кровотока по здоровым сосудам мозга еще до того, как операционная рана будет ушита. С этой целью используют интраоперационную допплерографию микродатчиком. Если кровоток в порядке, то операцию можно считать успешной и завершать.
Видео: открытое клипирование аневризмы внутренней сонной артерии
Эндоваскулярное лечение
К числу малоинвазивных вмешательств относят эндовазальное лечение аневризм мозга. Показаниями к нему являются:
- Глубокое и труднодоступное расположение сосудистого клубка;
- Близость жизненно важных структур, что делает открытую операцию очень опасной;
- Старческий возраст и сопутствующая патология, препятствующие общему наркозу и трепанации;
- Неэффективность клипирования при трепанации.

эндоваскулярное лечение аневризм мозга
Доступ при эндоваскулярной операции осуществляют через бедренную артерию, в которую вводят катетер, доставляющий к аномальным сосудам отделяющийся баллон или специальные спирали, вызывающие прекращение кровотока в образовании. Могут быть использованы также стенты, блокирующие аневризму, но обеспечивающие беспрепятственное движение крови по магистралям мозга.
Сначала в просвет аневризмы устанавливается самая крупная спирать, затем полость заполняется более мелкими, которые вызывают тромбоз и выключение аневризмы из кровотока. При широкой шейке питающего сосуда установка спиралей дополняется стентированием.
Разновидностью эндоваскулярного лечения является эмболизация сосудов аневризмы, когда стенки их склеиваются при помощи спирта, хирургического геля, специальных составов. Для устранения аневризмы может потребоваться несколько таких процедур.
При проведении операций на сосудах мозга используется операционный микроскоп, специальный стол с фиксирующей скобой, эндоскопическая и микрохирургическая техника. Состояние кровотока контролируется микродатчиками УЗИ.
Видео: репортаж о малоинвазивном лечении аневризмы мозга
Послеоперационный период
После операции на аневризме минимум сутки пациент находится в отделении нейрореанимации под пристальным контролем врачей. В этот период он получает медикаментозную поддержку в виде анальгетиков, диуретиков, ноотропных препаратов и нейропротекторов в случае состоявшегося кровотечения. Проводится профилактика отека мозга и вторичных неврологических осложнений.
При улучшении самочувствия через сутки больного переводят в отделение нейрохирургии, при ухудшении показана экстренная компьютерная томография, возможно - повторное вмешательство.
Любые операции на сосудах мозга чреваты осложнениями, особенно это касается открытых трепанаций и манипуляций непосредственно вблизи тканей мозга. Среди последствий операции вероятны:
- после разрыва аневризмы, по причине которого возможны некрозы нервной ткани и неврологический дефицит;
- Повторные кровоизлияния;
- Инфекционно-воспалительные изменения в зоне вмешательства (кране редко);
- Тяжелые неврологические нарушения.
Реабилитация после операции на аневризме включает двигательную активность, массаж, физиотерапевтическое лечение. Если неразорвавшаяся аневризма была клипирована эндоскопически, то уже на 3-4 сутки пациент возвращается к привычной жизни, необходимости в каких-либо специальных восстановительных мероприятиях нет.
При состоявшемся кровоизлиянии может потребоваться длительное время для восстановления нарушенных функций мозга. Хорошо, если период реабилитации пройдет в специализированном центре для инсультных больных или санатории. Там специалисты определят необходимые физические занятия и их интенсивность, проведут курсы массажа, обеспечат консервативное лечение неврологических расстройств.
Прооперировать аневризму можно также платно. Стоимость открытой операции колеблется в пределах 20-50 тысяч рублей, эндоваскулярной - начиная с 12-15 тысяч. В цену включены расходные материалы, оплата работы персонала, условия пребывания в больнице и его продолжительность.
В целом, прогноз при своевременно пролеченной аневризме без разрыва благоприятный. В случае кровоизлияний он определяется массивностью гематомы и тем, как сильно был задействован в этом мозг. До 80% больных успешно восстанавливаются, не менее половины из них возвращаются к трудовой деятельности.
Сложнее дело обстоит при повторных кровотечениях из аневризматических сосудов. Смертность при этом достигает 50% и более, четверть больных навсегда остаются глубокими инвалидами. Именно это обстоятельство и заставляет проводить экстренные операции при первичном кровоизлиянии для предупреждения рецидива, риск которого очень высок в первые дни и недели с момента разрыва аневризмы.
Клипирование аневризмы головного мозга: показания, проведение, альтернативы, реабилитация

Аневризма - это патология, которая характеризуется расширением просвета сосуда, выпячиванием сосудистой стенки и формированием аневризматического мешка, обусловленная воздействием факторов врожденного или приобретенного характера. Как правило, аневризма развивается в стенке артерий, а не вен, и чаще всего локализуется в сосудах головного мозга и в аорте.
Операция клипирования аневризмы, используется в основном при локализации в сосудах головного мозга, поэтому речь пойдет о данной патологии.
Аневризма головного мозга встречается не только у взрослых, но и у детей. В последнем случае развитие патологии обусловлено врожденными причинами, в частности, формированием сосудистой (артерио-венозной) мальформации, или неправильного развития сосудов головного мозга плода во время беременности. У взрослых аневризма может никак себя не проявлять с детского возраста, или формироваться под воздействием приобретенных причин - атеросклероза, сифилиса, патологии сосудов и др.
Из клинических проявлений аневризмы головного мозга можно отметить как незначительные признаки (головные боли, тошнота, общая слабость, нечеткость и помутнение зрения), так и яркую симптоматику, обусловленную не только значительными размерами аневризмы, но и спонтанным ее разрывом с возникновением кровоизлияния в мозг. Опасность аневризмы в том, что человек с ее разрывом и кровоизлиянием может просто мгновенно погибнуть или остаться глубоким инвалидом. Поэтому при диагностированной аневризме сосудов головного мозга принимается решение о ее клипировании или эмболизации.
Сущность методики, преимущества и недостатки
Клипирование аневризмы головного мозга - это наложение специального устройства, называемого клипсой, на шейку аневризмы с внешней стороны сосуда. Такая операция является одной из самых сложных в нейрохирургии и проводится с помощью открытого доступа - трепанации черепа.
Клипирование аневризмы головного мозга
Эмболизация аневризмы, как альтернатива открытому клипированию - это внутрисосудистое, (эндоскопическое, эндоваскулярное) вмешательство, целью которого является заполнение аневризмы изнутри баллоном или спиралью, которые полностью «выключают» аневризматический мешок из кровотока.

Каждый из методов имеет свои преимущества и недостатки. Так, например, эндоваскулярное вмешательство менее травматично для пациента, после него не остаются рубцы, а также минимален риск возникновения инфекционных осложнений. В то же время клипирование аневризмы предпочтительнее, так как оно более надежно в плане отключения аневризмы от мозгового кровотока.
Недостатком клипирования является тот факт, что операцию невозможно осуществить при глубоком расположении аневризмы в головном мозге пациента. Недостатком обеих методик является риск возникновения постоперационных осложнений (не более 8%).
Таким образом, выбор методики осуществляется не только в зависимости от исходного состояния аневризмы, но и от ее локализации. Поэтому в каждом случае должны быть тщательно взвешены и оценены показания для операции и риски возможных осложнений.
Показания к операции
Операция на аневризме сосудов головного мозга показана, если у пациента обнаружено аневризматическое выпячивание, размером более 7-10 мм, подтвержденное инструментальными методами диагностики:
- Ультразуковым исследованием сосудов головного мозга,
- МРТ и/или КТ головного мозга, в том числе с использованием рентгеноконтрастного вещества, введенного в сосудистое русло пациента,
- Спинномозговой пункцией с исследованием ликвора (спинномозговой жидкости) на предмет субарахноидального кровоизлиянияпри разорвавшейся аневризме.
Противопоказания для операции
Тактика хирургического лечения у пациентов с кровоизлиянием определяется на основании шкалы, разработанной специально для нейрохирургов (шкала Hunt и Hess (1968); шкала WFNS SAH Scale (1988)). Основными критериями здесь является наличие клинических проявлений аневризмы, двигательных или речевых нарушений, а также сосудистого спазма у пациента (ангиоспазма), диагностированного по результатам рентгеноконтрастного исследования. Так, у пациента с выраженным ангиоспазмом следует воздержаться от операции, так как риск постоперационных осложнений превышает пользу от операции.
Кроме этого, операция противопоказана при наличии у пациента тяжелых острых соматических заболеваний или декомпенсации хронических заболеваний - острого инфекционного процесса, нарушения свертываемости крови, тяжелого сахарного диабета, тяжелого обострения бронхиальной астмы и др.
Подготовка к клипированию аневризмы головного мозга

Подготовка к клипированию или к эндоваскулярному лечению аневризмы различается в зависимости от того, по каким показаниям проводится вмешательство.
Так, при проведении операции в плановом порядке пациент должен получить консультацию невролога, нейрохирурга, а также предоставить этим врачам методы обследования, подтверждающие диагноз и/или выписки из стационара, где пациент получал лечение.
Из необходимых анализов, требующихся для госпитализации в клинику, практикующую подобные операции, следует отметить общеклинические анализы крови и мочи, анализ крови на свертываемость, анализ крови на антитела к ВИЧ и вирусным гепатитам, и флюорографию.
После необходимого обследования и консультации нейрохирурга, определившего показания для клипирования, пациент направляется на госпитализацию в соответствующую клинику. Далее начинается этап непосредственно предоперационной подготовки.
При проведении операции по экстренным показаниям, когда пациент поступает в нейрохирургический стационар с клиникой развившегося внутримозгового кровотечения, после необходимого минимума обследований (КТ, МРТ или УЗИ сосудов) начинается предоперационная подготовка. Проводится коррекция высокого или низкого артериального давления, коррекция гиповолемии (обезвоживания) и водно-электролитного состава крови с помощью препаратов и лечебных растворов (физ. раствор, глюкоза, Рингер и др).
Как проводится операция?
Операция на аневризме всегда проводится с использованием общего наркоза.
При клипировании после осуществления доступа к головному мозгу обнажаются ткани, под которыми располагается аневризма. Далее острым путем рассекаются прилегающие ткани и обнажается несущая артерия. При выделении шейки аневризмы на нее накладывается клипса. При малых размерах аневризмы используются оптические инструменты с увеличением масштаба операционного поля. Иногда у пациента во время операции обнаруживается сложное анатомическое строение аневризмы и окружающих тканей, а также значительные размеры аневризматического выпячивания. В этом случае может быть использовано временное наложение клипс, которые снимаются после осуществления основного этапа операции - наложения клипсы на шейку аневризмы.

техника клипирования аневризмы головного мозга
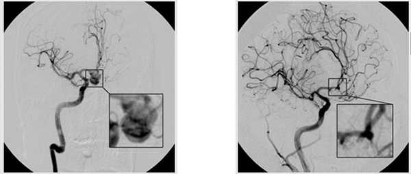
При эндоваскулярном вмешательстве доступ к аневризме осуществляется путем пункции бедренной артерии и ведения зонда под МРТ-контролем к месту операции. На конце зонда располагается баллон, вводимый в просвет аневризмы. После того, как баллон установлен и зафиксирован в аневризме, происходит эмболизация («закупорка») аневризмы, и она становится функционально неактивной.

эндоваскулярная эмболизация аневризмы
Все этапы операции осуществляются под строгим МРТ или КТ-контролем. После вмешательства пациент около пяти суток находится в отделении реанимации, после чего может быть переведен в отделение нейрохирургии.
Какова стоимость операции
В связи с тем, что клипирование аневризмы является очень сложной и опасной операцией, ее проводят не во всех крупных городах России. Так, клиники с соответствующей кадрово-технической оснащенностью существуют в Москве, Тюмени, Уфе, Кирове, Волгограде, Краснодаре и некоторых других областных центрах.
Относительно стоимости операции следует отметить, что плановое вмешательство может быть выполнено по квоте, выделенной из средств Минздрава РФ, но для этого пациент должен обратиться в региональный отдел Минздрава и предоставить все документы, подтверждающие необходимость проведения вмешательства.
В том случае, когда пациент ждать несколько недель или месяцев не намерен, он может быть прооперирован в любом городе на свое усмотрение, но за свой счет. Стоимость операций при этом зависит от многих факторов и составляет от 12 тыс руб до 180 тыс руб при эндоскопической операции и от 22 тыс руб до 170 тыс руб при клипировании аневризмы.

аневризма до/после операции
Возможные осложнения
Осложнения при клипировании аневризмы составляют не более 8%. Однако определенный риск все равно существует, поэтому пациент должен быть тщательно осведомлен о всех возможных последствиях. Последствия могут быть как незначительными, так и серьезными, и даже жизнеугрожающими.
В первом случае после операции у пациента нарушается память, речь, внимание, развиваются двигательные нарушения, а также возникают интенсивные головные боли.
В последнем случае осложнения обусловлены развитием постоперационного сосудистого спазма, приводящего к возникновению ишемии и отека легких. Несмотря на тяжесть этих состояний, все они могут быть скоррегированы соответствующей терапией в условиях реанимационного отделения (антиоксиданты, нейропротекторы, маннитол и др).
При эндоваскулярном вмешательстве возможно прободение стенки сосуда или аневризмы баллоном или спиралью, а также тромбоэмболические осложнения, могущие стать причиной летального исхода.
Профилактикой осложнений является технически правильное проведение оперативного вмешательства, а также беспрерывное наблюдение за пациентом в раннем постоперационном периоде.
Образ жизни

Разумеется, операция по устранению аневризмы в подавляющем большинстве случаев приводит к полному ее выключению из кровотока, и отсутствию риска ее разрыва с кровоизлиянием в ткани мозга. Но это не означает, что пациент после операции может сразу приступить к привычному образу жизни, который он вел до вмешательства. Да, жизнь после операции меняется кардинально, и каждому пациенту перед хирургическим лечением следует это учитывать. Зачастую многим людям после операции приходится заново учиться ходить, принимать пищу, разговаривать, читать и писать. Но это вовсе не означает, что стоит отказывать от клипирования аневризмы, так как ее разрыв без хирургического лечения может стать причиной гибели.
После выписки из стационара, где проводилась операция, пациент направляется на долечивание и реабилитацию в поликлинику по месту жительства. На этом этапе лечением пациента занимается невролог, нейрохирург (если есть в штате поликлиники) и эпилептолог (если у пациента была или наблюдается симптоматическая эпилепсия). Кроме этого, немаловажную роль в реабилитации играют врач-реабилитолог, врач ЛФК, логопед, психолог и другие специалисты.
Прогноз
Прогноз в большинстве случаев после операции на аневризме головного мозга благоприятный. Однако, не стоит забывать о постоперационной летальности, которая в общем (по данным разных клиник), составляет не менее 10%. В то же время летальность среди пациентов, не получивших хирургического лечения, колеблется в пределах 20%. То есть летальность среди лиц, получивших оперативное лечение, ниже в два раза, чем среди лиц, такое лечение не получивших.
Относительно прогноза для здоровья можно сказать, что для 7% пациентов операция на аневризме является инвалидидизирующей, а 80-90% прооперированных пациентов возвращаются практически к исходному уровню здоровья. Относительно трудового прогноза - более 40% пациентов могут вернуться к трудовой деятельности.
В заключение следует отметить, что все показания и противопоказания к клипированию и к эндоскопическому лечению аневризмы определяются только врачами при очном осмотре пациента. Конечно, операция на головном мозге - это не банальная царапина, но в том случае, когда врач открыто говорит пациенту о том, что без операции он может умереть - на хирургическое вмешательство следует согласиться. Самое главное при этом - позитивный настрой и вера в благополучный исход операции, ведь летальный исход и осложнения, как правило, более вероятны у пациентов с гигантскими размерами аневризмы, а также с повторными кровоизлияниями в мозг.
Опасные последствия и вероятные осложнения аневризмы сосудов головного мозга
Последствия аневризмы могут быть необратимыми, в случае если опасное заболевание диагностировано поздно. При несвоевременном выявлении недуга возможна инвалидизация или смерть.
Для справки! Аневризма представляет собой патологическое расширение одного или нескольких церебральных сосудов. Происходит выпячивание стенок артерий, находящихся на определенном участке мозга.
Стоит заметить, что подобная проблема может быть не только приобретенной, но и врожденной. В процессе формирования очагов поражения случается аномальное выпячивание стенок, становящиеся причиной внутренних кровотечений. Нарушения такого характера становятся причиной неврологических нарушений.
Общая информация и статистические сведения
Частоту развития подобной патологии мозговых сосудов точно определить крайне сложно. Связано это с трудностями, возникающими в процессе диагностики заболевания и спутанностью клинической картины патологии. Оценивая клиническую картину можно констатировать тот факт, что однозначные симптомы определяющие присутствие заболевания отсутствуют (см. Признаки и симптомы аневризмы сосудов головного мозга).
Факт! Отталкиваясь от результатов исследований, полученных ведущими специалистами США можно сделать вывод о том, что патологию выявляют у 10-12 пациентов из 100 тыс. населения. Присутствующие изменения видны на приведенном фото.
Стоит заметить, что аневризма может протекать бессимптомно. Примерно в 50% случаев патологическое расширение артерий выявляется входе вскрытия. Грозным осложнением патологии является субарахноидальное кровотечение. Смертность в таких случаях достигает 65%. В настоящее время аневризма сосудов мозга лечится только хирургическими методами.
Примечательно, что патологический синдром чаще всего диагностируют у представительниц женского пола, с чем связана такая особенность - неизвестно. Об особенностях течения патологии расскажет видео в этой статье.
Как протекает патология
Чаще всего аневризма после формирования долгое время не дает о себе знать. Пациент может долго жить с данной патологией, не подозревая о ее наличии вплоть до момента разрыва.
Вероятность разрыва аневризмы повышается на 1% в течении каждого года. Риск смерти в результате такого острого осложнения - 50%, инвалидизации с полной или частичной трудоспособностью - 25%. Важно подчеркнуть, что лишь 25% от общего числа пациентов перенесших разрыв способны жить прежней жизнью.
Среди наиболее распространенных последствий, проявляющихся после разрыва, выделяют:
- геморрагический инсульт;
- вазоспазм;
- необратимые поражения мозга;
- отек мозга в результате кровоизлияния;
- повышение внутричерепного давления;
- закупорка ликворных путей;
- смещение мозговых структур;
- некроз отдельных участков нервной ткани;
- ишемия.
На основании подобной информации можно сделать вывод о том, что представляет опасность не аневризма, а ее разрыв и подобные последствия могут коснуться каждого. Свести к минимуму риск опасных последствий помогает хирургический метод, но многих пациентов пугает вероятность проявления послеоперационных последствий и цена проведения вмешательства.
Внимание! Врач определяет целесообразность проведения операции и методику воздействия.
В любом случае, полноценная жизнь возможна только до момента разрыва аневризмы. Этот этап становится исходной точкой отчета, в этот момент возможен летальный исход или инвалидизация, в то время как операция, это шанс на полноценную жизнь.
Осложнения
При аневризме церебральных артерий проявляются неврологические отклонения, которые и являются последствиями образования.
Последствия, приведенные в данном перечне, проявляются как результат сдавливания ближайших тканей и нервных окончаний.
Среди наиболее распространенных осложнений, которые могут также являться симптомами подобного отклонения, выделяют:
- частичная потеря слуха или уменьшение его качества;
- изменение качества зрения;
- паралич;
- пульсирующая головная боль на определенном участке.
Выделяют и другие опасные осложнения, проявляющиеся при аневризме, которые рассмотрены в таблице.
| Возможные последствия | ||
| Нарушение | Что происходит? | В чем опасность? |
| Кома | Сосудистое расширение на определенных участках мозга может стать причиной комы. Связано это с нарушениями функционирования некоторых отделов мозга. Пациент может пребывать в бессознательном состоянии, нарушается процесс сердцебиения, регуляции температуры тела, дыхания. | Выход из комы маловероятен. |
| Формирование тромба в полости аневризмы | Завихрение крови в области патологического элемента может создать предпосылки для образования тромба. Тромб образуется на месте патологического расширения и занимает все его пространство. | Возникает ишемический инсульт, присутствует вероятность летального исхода. |
| Артериовенозная мальформация | Дефект стенки подразумевающий соединение артерии и вены. | Гипоксия головного мозга в результате закрытия артерии. |
Все перечисленные последствия являются более чем опасными, именно поэтому все специалисты рекомендуют использовать хирургическую методику удаления при первой возможности. Реабилитация после удаления аневризмы мозговых сосудов артерий достаточно длительный процесс.
Длительность периода восстановления зависит от нескольких факторов. В расчет берут половую принадлежность и возраст пациента, а также общее состояние здоровья.
Внимание! Длительность полной реабилитации и восстановления здоровья - 2 года.
Период пребывания пациента в больнице составляет от 3 до 30 дней. Многое зависит и от качества проведения вмешательства. После выписки пациента ждет восстановительный период, инструкция полагает прохождение процедуры физиотерапии, действие которых направлено на восстановление активности всех участков мозга.
Полная реабилитация после аневризмы артерий головного мозга возможна при условии ответственного отношения пациента к собственному здоровью.
Разрыв
Последствия после разрыва аневризм чаще всего бывают необратимыми.
Следует заметить, что разрыв формирования происходит не всегда, но стать его причиной могут следующие факторы:
- чрезмерные физические нагрузки;
- стрессовые ситуации;
- чрезмерное повышение показателей артериального давления;
- изменение гормонального фона;
- употребление наркотических веществ;
- потребление алкоголя в больших дозах;
- инфекционные поражения, протекающие с высокой температурой.
Ухудшение самочувствия пациента при заболевании требует срочного обращения к доктору. Оказание помощи в домашних условиях не имеет смысла.
Среди перечня первых симптомов, характерных для разрыва аневризмы, выделяют:
- выраженные головные боли;
- чувство жара в области головы и грудной клетки;
- изменения зрительных функций;
- нарушения восприятия цветов;
- выраженный шум в ушах;
- головокружения;
- судороги.
Поставить точный диагноз по наличию перечисленных симптомов крайне сложно. Тем не менее, своевременное обращение к специалисту с перечисленными симптомами дает шанс на успех в лечении.
Жизнь после аневризмы сосудов мозга, а точнее после ее разрыва редко бывает полноценной. Ведущие специалисты и инновационные программы восстановления не позволяют возобновить полноценную работу мозга, утраченную в результате кровоизлияния.
Шансы на полноценную жизнь у таких пациентов минимальны. При выявлении аневризмы, оптимальное решение - операция.
Профилактика
К профилактическим мерам, позволяющим предотвратить разрыв при аневризме, относят:
- отказ от никотиновой зависимости и употребления спиртных напитков;
- постоянный контроль показателей артериального давления и прием гипотензивных средств по определенной схеме;
- легкие физические нагрузки (гимнастика, бег трусцой);
- отказ от большого спорта и тяжелых физических нагрузок;
- периодическое посещение специалиста;
- постоянный прием лекарственных средств.
Лечебная физкультура и массаж — это лучшие способы восстановления кровообращения на определенных участках.
Самолечение при наличии аневризмы под строгим запретом. Связано это с тем, что некоторые лекарственные составы могут спровоцировать разрыв формирования. Перед использованием любого средства необходимо советоваться с доктором.
Открытая и эндоскопическая операция при аневризме сосудов головного мозга: сильные и слабые стороны
Аневризма головного мозга (АГМ) - это деформационные очень тонкие (по форме напоминают мешочки без характерной мускулатуры) выпячивания сосудов, как правило, в местах их разветвления или рядом. Проявляться они начинают на четвертом десятке жизни, несмотря на врожденное происхождение.
Диагностируются чаще всего между 30 и 50 годами. Разрыв такого образования при отсутствии лечения наблюдается примерно у половины больных, что приводит к кровоизлиянию в мозг и последующему летальному исходу (вероятность 50-65% в среднем).
По статистике заболевание встречается у 2-5% людей. После манифестации вероятность разрыва возрастает до 90%. Операция при аневризме сосудов головного мозга - единственный возможный способ устранения патологии и предупреждения повторного кровоизлияния.
Что нужно знать
Если объяснять простыми словами, то суть заболевания состоит в образовании очень тонких пузырьков из сосудистых стенок, которые легко лопаются. Патогенез заключается прежде всего в наследственной патологии, ее усугубляют высокое давление, холестериновые отложения и инфекционные заболевания.
Важно. Вредные привычки (табакокурение и злоупотребление алкоголем) способствуют образованию аневризм и усугубляют прогноз при их наличии.
Чаще формируются у основания головного мозга, но не исключено их появление в зоне свода полушарий и глубине ГМ (поражение мелких сосудов).
Классификация по месту локации:
- в виллизиевом круге (вертебробазилярный бассейн);
- артериях: сонной, передней и средней мозговой, соединительных;
- симметричные нарушения (регистрируются довольно редко).
Клинические признаки характерные для общих патологий сосудов головного мозга, что обуславливается расстройствами невротического характера при сдавлении нервов:
- головные боли;
- различные патологии работы анализаторов (уши, глаза) и рецепторов, например, кожная чувствительность, терморегуляция и прочие;
- нарушения координации движений;
- психические расстройства.
Негативная симптоматика приводит пациента к доктору. Врач направляет на его обследование, и только после детального анализа и выяснения всех нюансов проводится выбор лечения. Многое в данном случае может определять цена, а также наличие специального оборудования, которое имеется не во всех клиниках.
Подготовка к операции
Специфическая подготовка заключается в детальном выяснении всех особенностей патологии и уточнении мельчайших деталей. Радикальные методики показаны к использованию в случае, если выявлены аневризмы более 6 мм в диаметре.
Перед началом хирургического вмешательства хирург должен четко осознавать, какие именно действия он будет производить и в какой зоне. Подробная инструкция по осуществлению манипуляций с сосудами прорабатывается заранее, этому во многом помогает проведение обследований, приведенных в нижерасположенной таблице.
Таблица. Предоперационные диагностические процедуры:
Накануне операции пациент должен употреблять легкую пищу, а утром можно пить только воду. Иной специфической подготовки не потребуется. Как правило, при эндоскопических операциях пациенты прибывают в стационар утром, при трепанации черепа, обычно, за сутки, но все решается индивидуально, потому что строгих инструкций тут нет.
Важно. Обнаруженную аневризму можно сравнить с миной замедленного действия, которая в конечном итоге лопнет (субарахноидальное или внутримозговое кровоизлияние), поэтому если операция не будет проведена своевременно, то это может быть одной из причин смерти больного.
Лечение
Операция является единственным возможным способом избавления от этой патологии. Консервативное лечение показано лишь при небольших размерах АГМ, но такие аномалии выявляются редко при проведении плановых обследований или по другому поводу.
Найти мелкое аномальное выпячивание возможно лишь случайно, поскольку в таком случае нет клинических проявлений. Более подробно об этом рассказано на видео в этой статье.
Сравнение методик
Разновидностей методик может быть много, но в основе всех лежат основные, указанные в таблице 2. Суть и механика их довольно схожи, поэтому состоят из основных этапов, о которых подробнее рассказывается ниже.
Операции на аневризмах сосудов головного мозга осуществляются двумя путями:
- открытым - т. е. для получения доступа к сосудам производится трепанация черепа;
- закрытым или эндоваскулярным (эндоскопический) метод, при котором при помощи катетера через вены вводят специальные спирали и баллоны, фиксирующие аневризму.
Таблица 2. Сравнительная характеристика оперативных методик:
- прямой доступ к аневризме;
- надежное клипирование;
- высокие риски нарушений в ГМ ишемического характера после операции;
- остаются рубцы;
- требуется продолжительная госпитализация и реабилитация.
- нет надобности в краниотомии;
- короткие сроки послеоперационного восстановления;
- низкая инвазивность, менее болезненная;
- короткий срок нахождения в стационаре.
- отсутствие прямого доступа;
- возможные осложнения из-за индивидуальных особенностей анатомии пациента и структуры образования (например, при глубоком расположении трудный доступ);
- высокая цена.
Важно. Вне зависимости от варианта хирургической методики они преследуют одну и туже цель - выключение аневризмы из кровотока. Рецидив может случится с вероятностью ниже 8% без учета выбранной операционной методики.
Клипирование
По названию становится понятно, что суть состоит в перекрытии аневризмы специальной зажимающей клипсой. На данный момент в арсенале у хирургов есть масса различных способов, которые помогают получить доступ практически к любой аномалии без учета локации.
Самозажимающее устройство (клипса) производится из особого титанового сплава. В нем имеются так называемые бранши, надежно перекрывающие сосуд с нужной силой, причем есть особый фиксатор, не позволяющий клипсе сползать с места, в котором она установлена. Это существенно повышает надежность открытой операции.
Сложность состоит в необходимости трепанации черепа для получения хирургического доступа. Все манипуляции производятся особыми микроинструментами, что не дает аномалии разорваться при выделении аневризмы. Техника выполнения сложная, хирург должен обладать определенными навыками.
Если деформация сосудов будет мелкой, то для точности используются увеличительные приборы и специальная оптика. В особых случаях может быть применена методика временного наложения клипс, например, при сложной анатомии и трудностях доступа к аневризме. После блокирования основной патологии лишние зажимы удаляются, после чего раны ушиваются.
Заметка. Установка клипс с целью устранения аневризмы приравнивается к наивысшему пилотажу в нейрохирургической практике. Каждый год методики становятся лучше, а результативность лечения повышается.
Эндоваскулярное устранение аневризмы
Эмболизация аневризмы (эндоскопическое, эндоваскулярное вмешательство) - основная суть состоит во внутрисосудистом тромбировании АГМ путем заполнения ее спиралями и баллонами без вскрытия черепной коробки. Проведение подобной операции является дорогостоящим процессом, потому что требуются особые навыки врачей, наличие специального медоборудования (катетеры, спирали, баллоны (из титана или платины), специальные УЗИ-аппараты, КТ и МР томографы).
Методика относится к малоинвазивной - единственный прокол, который осуществляется хирургом, находится в паховой области. Микрокатетеры через бедренную артерию проводятся к шейным сосудам и уже оттуда попадают к месту локации аневризмы в головном мозге.
После того как они подойдут к нужному месту при помощи слабых электрических импульсов выводятся спирали, которые расправляются внутри аномалии. Таким образом АГМ тромбируется и полностью исключается из кровяного русла, ее разрыв становится невозможным.
Не является редкостью, когда аневризмы имеют сложную структуру, широкое основание или форму веретена. Это может помешать стабильности установленных эмбол. В этом случае применяются баллоны и стенты.
Весь ход эндоваскулярной операции отслеживается врачами на цифровом ангиографе, в некоторых случаях для этой цели используют томографы (КТ или МР). В качестве контрастного вещества задействуют препараты, содержащие йод. Одним из неоспоримых преимуществ метода является применение местной анестезии, что важно для пожилых и ослабленных лиц, для которых невозможно осуществить клипирование, поскольку это представляет определенную угрозу для жизни.
Восстановление после операции при аневризме сосудов головного мозга, сделанной эндоваскулярной эндоваскулярным способом проходит значительно быстрее, нежели после трепанации черепа. Пациент (при отсутствии кровоизлияний), как правило, на третьи сутки оказывается дома.
Важно. За несколько дней перед проведением эндоскопической операции рекомендуется отказаться от приема варфарина, аспирина и клопидогреля.
Противопоказания
У нейрохирургов имеется определенная инструкция (шкала WFNS SAH), согласно которой определяется техника устранения патологии.
Главные критерии состоят в:
- степени нарушения речи;
- уровне ангиоспазма, определенного по результатам диагностики.
Рекомендуется отказаться от операции при явном ангиоспазме, потому что в таком случае высока вероятность негативных последствий после операции.
Кроме этого, нельзя осуществлять хирургическое лечение в следующих случаях:
- тяжелые хронические патологии, например, сахарный диабет в стадии декомпенсации или персистирующая бронхиальная астма 3 ст.;
- острые соматические болезни;
- заболевания крови;
- аневризма расположена глубоко в тканях мозга и доступ к ней крайне проблематичен.
Риски развития осложнений после проведения операции не более 8% (клипирование), причем это могут быть как совместимые с жизнью нарушения, так и несовместимые. К первым следует отнести нарушение работы анализаторов (слух, зрение) и головные боли. Опасность для жизни представляют ишемические процессы в головном мозге и отек легких в послеоперационном периоде при аневризме сосудов головного мозга.
Названные выше осложнения подлежат коррекции и могут быть устранены при условии правильно подобранной терапии, которая в тяжелых случаях осуществляется в отделении реанимации (маннитол, антиоксиданты, нейропротекторы и прочие препараты).
К смерти пациента может привести нарушение целостности сосудистой стенки при выполнении эндоскопического стенирования или осложнения тромбоэмболического характера. Поэтому в этом случае хирург должен быть предельно осторожен при выполнении эмболизации. После нее пациента динамически наблюдают до тех пор, пока не будут нивелированы все риски неблагоприятного исхода.
Образ жизни после операции
После клипирования или эмболизации аневризмы риски ее разрыва минимальны, но это не означает, что больной не должен провести коррекцию своего привычного существования. Первые несколько дней пациент проводит в нейрореанимации где постоянно наблюдается, подвергается соответствующей диагностике.
Сопутствующая симптоматика, не являющаяся осложнениями, устраняется лекарственными препаратами. После стабилизации состояния и исключения риска развития осложнений, больной переводится в обычные палаты (после клипирования) или выписывается (при эндоскопии).
Общая реабилитация включает:
- физиотерапевтические процедуры (ЛФК, массажи, физиопроцедуры и др.);
- строгий отказ от вредных привычек;
- соблюдение диет (исключение жирной, богатой холестерином, соленой и очень сладкой пищи);
- на протяжении полугода нельзя заниматься тяжелыми и интенсивными физическими нагрузками.
Обычно на восстановление уходит до четырех месяцев. В этот период должны исчезнуть все негативные проявления, связанные с проведенным клипированием.
После эндоскопии сроки реабилитации существенно сокращены. Через полтора месяца человек может выйти на работу при условии полного ограничения физического труда.
Не является редкостью, когда люди после лечения заново учатся разговаривать, ходить и совершать другую деятельность, поэтому человеку могут понадобиться занятия с нейрохирургом, реабилитологом, психологом, логопедом и другими специалистами, в коих будет потребность.
Важно. Инвалидность после удаления аневризмы наступает редко, примерно в 4-5% случаев. По данным медицинской статистики около 80% прооперированных больных полностью восстанавливают все функции, а 40% возвращаются к работе.
При условии правильно подобранного лечения, как правило, исход будет положительный. Но по разным данным, вероятность смерти после операции составляет от 6 до 10%. Летальность без лечения оценивается от 20 до 75%, что зависит от многих факторов.
Обычно высокие показатели смертности или наступление тяжелой инвалидности связаны с поздним (или посмертным) выявлением патологии. Поэтому врачи рекомендуют при наличии даже незначительных признаков ухудшения работы анализаторов, головных болях и других негативных признаков своевременно обращаться к врачу за консультацией. В некоторых случаях полезно настоять на проведении детальной диагностики.
Операция по удалению аневризмы сосудов мозга у топ — 5 специалистов
Топ — 5 специалистов, которые прооперируют пациентов доктора Аронова
Заведующий отделением рентгеноэндоваскулярных методов лечения, основное направление деятельности - хирургия аневризм, мальформаций, фистул, стенозов, тромб-экстракция.
Специалисты клиники знают, какие тяжелые последствия может повлечь внезапный разрыв аневризмы и призывают всех пациентов, особенно из группы риска, вовремя проводить диагностику аневризмы головного мозга и проходить лечение у квалифицированных докторов с безупречной репутацией:
Доктор Владимир Шумовский. Также можно попасть на прием к известному нейрохирургу Алексею Винокурову. Доктор Владимир Крылов также оперирует по ОМС. Моисей Аронов и Алексей Кривошапкин еще 2 топовых специалиста. Мы поможем вам выбрать.
Диагностика аневризмы мозга
Если у вас есть подозрение на заболевание, запишитесь в клинику на диагностику аневризмы головного мозга по международному протоколу и начните лечение прямо сейчас. Мы организуем для вас помощь врачей-нейрохирургов высочайшего класса.
Обследование при аневризмах головного мозга включает проведение МРТ, эндоваскулярное исследование, ангиография с контрастом или КТ-ангиография, прием нейрохирурга и предоперационную подготовку (лабораторные анализы, ЭКГ, рентген легких).
Что вы получаете, обращаясь за лечением к нам:
- быстрое и точное понимание своей проблемы,
- проведение всех диагностических мероприятий в кратчайшие сроки,
- наш консультант с вами всегда на связи,
- верное стратегическое решение от консилиума специалистов экстра-класса, решение принимает не один врач, а заведующие отделениями и клиниками: ведущие специалисты по вашим проблемным точкам, профильный хирург при необходимости, диагност — израильский врач общей практики,
- лучший вариант лечения в РФ по международным стандартам, это и самые квалифицированные врачи, и их работа по западным стандартам, гарантирующая лучший результат,
- решение всех проблем на всех этапах, то есть всегда «с вами» доктор Аронов, для всего мы предложим лучшее решение,
- душевный комфорт, ясные шаги в лечении — вы получаете все преимущества израильской и европейской медицины в России, медицинская опека израильского врача в России.
Современное лечение аневризмы головного мозга
При обнаружении аневризмы, лечение нужно начать немедленно, не дожидаясь трагических последствий. Цена операции по поводу аневризмы сосудов головного мозга может показаться высокой, однако такова стоимость высококачественных медицинских услуг, виртуозной работы лучших хирургов, использования новейших технологий и пребывания в современном стационаре. Мы обеспечиваем нашим пациентам наилучшие условия из имеющихся сегодня в Москве.
Самым действенным способом лечения аневризмы является операция — лечебная ангиография мозга, при которой делается катетеризация и при необходимости стентирование сосудов. Окончательная цена операции аневризмы сосудов головного мозга будет зависеть от конкретной методики и деталей операции, будут определены только после прохождения диагностики аневризмы головного мозга. Операция может заключаться в перекрытии нужного участка артерии специальными микроспиралями. это эндоваскулярная малоинвазивная операция, не требующая вскрытия черепа. Однако конкретная методика определяется хирургом после тщательного анализа состояния пациента, показаний, типа и размера аневризмы и всех сопутствующих факторов.
Что нужно знать об аневризмах головного мозга
Аневризма представляет собой патологическое расширение стенки сосуда и наполнение его кровью. При наличии таких факторов риска, как артериальная гипертензия, врожденные сосудистые нарушения, атеросклероз, перенесенные травмы головы, патология соединительной ткани, возможен разрыв аневризмы, причем он может случиться внезапно, что сопряжено с кровоизлиянием в мозг и тяжкими осложнениями, вплоть до смертельного исхода. Как правило, при отсутствии различных травм, аневризмы могут развиться после 50 лет, а протекать могут бессимптомно, в чем кроется коварство заболевания. Аневризмы могут различаться по форме, размерам или типу. Они могут быть одразованы из одной или нескольких камер, быть мешотчатыми (или ягодными, это самая часто встречающаяся форма), веретенообразными, боковыми, артериальными или артериовенозными. Маленькие аневризмы достигают 11 мм в диаметре, а гигантские - превышают 25 мм. Отчего они возникают: может играть роль врожденная патология мышечного слоя сосудов, они могут образоваться при некоторых наследственных нарушениях, после травм головы, при опухолях, атеросклерозе, в связи с высоким давлением, также факторами риска являются курение и наркомания. Симптоматика обычно проявляется только после разрыва аневризмы. Она включает, как правило, острую и внезапную сильную боль в голове. Также может быть боль в глазах, чувство онемения или паралич в области лица, помутнение зрения. Может быть нарушение речи, головокружение, ухудшение слуха, тошнота, опущение века и др.
Не медлите, сосудистые заболевания головного мозга очень опасны и могут проявить себя неожиданно. Позвоните нам или оставьте заявку на сайте и запишитесь на консультацию ведущего специалиста и диагностику аневризмы головного мозга.
Отзывы пациентов
Михаил Львович Высоцкий:
Я наблюдался, лечился у доктора Александра Аронова в Медис уже несколько лет, при всяких мелочах со здоровьем, и в какой-то момент у меня обнаружили аневризму на МРТ. После консультаций и «взвешиванья» всех за и против, я зашел на операцию к доктору Моисею Аронову, это эндоваскулярный хирург, наверное из лучших в Москве. Нейрохирург справился с ситуацией и теперь я могу жить дальше спокойно. В противном случае — это как ходить с бомбой в себе. Если у кого-то такая ситуация проявляется, нужно смело выходить на операцию, но с одним «но», нужно идти к лучшему специалисту.
Анна Ларина:
Благодаря вовремя проведенной операции доктором Крыловым, жизнь моей мамы была спасена. Организация всего была отлично выполнена.
Читайте также:
