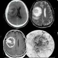
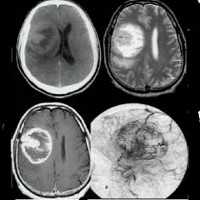
Герминома головного мозга на КТ, МРТ
Добавил пользователь Владимир З. Обновлено: 21.01.2026
Интракраниальная герминома, известная также как дисгерминома или экстрагонадная семинома - дисонтогенетическая опухоль, наиболее часто встречающаяся у детей. Имеется тенденция к локализации по срединной линии - либо в пинеальной области, либо в области нижней стенки 3-го желудочка/ супраселлярной области.
Эпидемиология
Герминомы - опухоли у детей с пиком распространённости, приходящимся на 10-12 лет (90% пациентов моложе 20 лет на момент постановки диагноза). Они составляют примерно 3-5% всех интракраниальных новообразований и всего лишь 0,4-1% интракраниальных опухолей у взрослых.
Данный тип опухолей - наиболее часто встречающийся в пинеальной области, составляя примерно 50% опухолей данной локализации. Герминомы составляют большинство (73-86%) герминоклеточных внутричерепных опухолей.
Гендерная предрасположенность связана с локализацией опухоли. При расположении опухоли в пинеальной области соотношение м/ж составляет 5-21:1, когда как при локализации в супраселлярной области соотношение составляет 1:1,3. Учитывая, что пинеальная область является излюбленной локализацией гермином, данные опухоли чаще встречаются у мальчиков.
Клиническая картина
Клинические проявления зависят от локализации опухоли: при компрессии тектальной пластинки возможно развитие обструктивной гидроцефалии и синдрома Парино, а при вовлечении воронки гипофиза - несахарного диабета (очень часто), гипопитуитаризма (часто), компрессии хиазмы зрительных нервов или признаков внутричерепной гипертензии.
Патология
Из названия понятно, что герминомы относятся к герминоклеточным опухолям. Выделяют следующие типы по локализации:
- Пинеальная область (80-90%) - пинеальная герминома;
- Супраселлярная область (15-40%) - супраселлярная герминома;
- Паравентрикулярные части базальных ганглиев и таламус (5-10%) - чаще всего встречаются в азиатской популляции;
- Пинеальная и супраселлярная области (6-13%);
Диагностика
Герминомы - новообразования с плотностью мягких тканей, накапливающие контрастное вещество. При локализации в пинеальной области опухоль «поглощает» нормальную ткань эпифиза и характеризуются центрально расположенной кальцификацией, в отличие от пинеоцитом и пинеобластом, которые, по некоторым описаниям, характеризуются «взрывными» фокусами обызвествления. Кистозный компонент встречается в 45% случаев.
Компьютерная томография
При проведении компьютерной томографии вследствие высокой целлюлярности герминомы характеризуются гиперденсностью по сравнению с паренхимой головного мозга. Опухоль хорошо накапливает контрастное вещество.
При расположении на нижней стенке третьего желудочка опухоль заполняет его объём и простирается в инфундибулярный и супраоптический карманы. Радиологическая картина, однако, может быть нормальной, и если данный диагноз подозревается клинически (идиопатический гипоталамический несахарный диабет), необходимо более тщательное рассмотрение потенциального очень невыраженного аномального накопления контрастного препарата в воронке гипофиза и ее утолщение.
У детей наличие обызвествления в пинеальной области - полезный маркер данной опухоли, поскольку его отсутствие наблюдается только у детей моложе 6,5 лет и только у ~10% детей в возрасте от 11 до 14 лет.
Магнитно-резонансная томография
При МРТ герминома представляет собой мягкотканное образование, обычно овальной формы или дольчатой структурой, вытесняющее ткань эпифиза со следующими сигнальными характеристиками:
- Т1
- изо- или слегка гиперинтенсивные по сравнению с прилежащей тканью головного мозга
- изо- или слегка гиперинтенсивные по сравнению с прилежащей тканью головного мозга
- может иметь множественные кисты
- может иметь участки кровоизлияний
- имеется предрасположенность к внедрению в соседние ткани (вызывая отек)
- центрально расположенная кальцификация проявляется гипоинтенсивной областью (смещённый эпифиз)
Лечение и прогноз
Основным методом лечения является лучевая терапия, в 85% случаев - долгосрочная. Лептоменингеальное распространение или обсеменение во время оперативного вмешательства являются факторами неблагоприятного прогноза. До начала лечения необходимо исследование всего спинного мозга.
В общем, прогноз хороший, с 5-летней выживаемостью пациентов после лучевой и химиотерапии в 90% случаев.
Глиома головного мозга
Глиома головного мозга — наиболее распространенная опухоль головного мозга, берущая свое начало из различных клеток глии. Клинические проявления глиомы зависят от ее расположения и могут включать головную боль, тошноту, вестибулярную атаксию, расстройство зрения, парезы и параличи, дизартрию, нарушения чувствительности, судорожные приступы и пр. Глиома головного мозга диагностируется по результатам МРТ головного мозга и морфологического исследования опухолевых тканей. Вспомогательное значение имеет проведение Эхо-ЭГ, ЭЭГ, ангиографии сосудов головного мозга, ЭЭГ, офтальмоскопии, исследования цереброспинальной жидкости, ПЭТ и сцинтиграфии. Общепринятыми способами лечения в отношении глиомы головного мозга являются хирургическое удаление, лучевая терапия, стереотаксическая радиохирургия и химиотерапия.
МКБ-10
![Глиома головного мозга]()
Общие сведения
Глиома головного мозга встречается в 60% случаев опухолей головного мозга. Название «глиома» связано с тем, что опухоль развивается из глиальной ткани, окружающей нейроны головного мозга и обеспечивающей их нормальное функционирование. Глиома головного мозга представляет собой в основном первичную внутримозговую опухоль полушарий мозга. Она имеет вид розоватого, серовато-белого, реже темно-красного узла с нечеткими очертаниями. Глиома головного мозга может локализоваться в стенке желудочка мозга или в области хиазмы (глиома хиазмы). В более редких случаях глиома располагается в нервных стволах (например, глиома зрительного нерва). Прорастание глиомы головного мозга в мозговые оболочки или кости черепа наблюдается лишь в исключительных случаях.
Глиома головного мозга часто имеет округлую или веретенообразную форму, ее размер колеблется от 2-3 мм в диаметре до величины крупного яблока. В подавляющем большинстве случаев глиома головного мозга отличается медленным ростом и отсутствием метастазирования. Однако при этом она характеризуется настолько выраженным инфильтративным ростом, что границу опухоли и здоровых тканей не всегда удается найти даже при помощи микроскопа. Как правило, глиома головного мозга сопровождается дегенерацией окружающих ее нервных тканей, что зачастую приводит к несоответствию выраженности неврологического дефицита размерам опухоли.
Классификация
В соответствии с классификацией ВОЗ выделяют 4 степени злокачественности глиом головного мозга.
- К I степени относится доброкачественная медленно растущая глиома (ювенильная астроцитома, плеоморфная ксантоастроцитома, гигантоклеточная астроцитома).
- Глиома II степени злокачественности считается «пограничной». Она отличаются медленным ростом и имеет только 1 признак злокачественности, в основном клеточную атипию. Однако такая глиома может трансформироваться в глиому III и IV степени злокачественности.
- При III степени злокачественности глиома головного мозга имеет 2 из трех признаков: фигуры митозов, ядерную атипию или микропролиферацию эндотелия.
- Глиома IV степени злокачественности отличается наличием области некроза (мультиформная глиобластома).
По месту расположения глиомы классифицируются на супратенториальные и субтенториальные, т. е. находящиеся выше и ниже намета мозжечка.
Симптомы глиомы головного мозга
Подобно другим объемным образованиям глиома головного мозга может иметь разнообразные клинические проявления, зависящие от ее расположения. Чаще всего у пациентов наблюдается общемозговая симптоматика: некупируемые обычными средствами головные боли, сопровождающиеся ощущением тяжести в глазных яблоках, тошнотой и рвотой, иногда судорожными приступами. Наибольшей выраженности эти проявления достигают, если глиома головного мозга прорастает в желудочки и ликворные пути. При этом она нарушает циркуляцию цереброспинальной жидкости и ее отток, приводя к развитию гидроцефалии с повышением внутричерепного давления.
Среди очаговых симптомов глиомы головного мозга могут наблюдаться нарушения зрения, вестибулярная атаксия (системное головокружение, шаткость при ходьбе), расстройство речи, понижение мышечной силы с развитием парезов и параличей, снижение глубоких и поверхностных видов чувствительности, психические отклонения (нарушения поведения, расстройство мышления и различных видов памяти).
Диагностика
Процесс диагностики начинается с опроса пациента по поводу его жалоб и последовательности их возникновения. Неврологический осмотр при глиоме головного мозга позволяет выявить существующие нарушения чувствительности и расстройства координации, оценить мышечную силу и тонус, проверить состояние рефлексов и т. п. Отдельное внимание уделяют анализу состояния мнестической и психической сферы пациента.
Провести оценку состояния нервно-мышечного аппарата неврологу помогают такие инструментальные методы исследования как электронейрография и электромиография. Для выявления гидроцефалии и смещения серединных мозговых структур может применяться эхоэнцефалография. Если глиома головного мозга сопровождается зрительными нарушениями, то показана консультация офтальмолога и комплексное офтальмологическое обследование, включающее визиометрию, периметрию, офтальмоскопию и исследование конвергенции. При наличии судорожного синдрома проводится ЭЭГ.
Наиболее приемлемым способом диагностики глиомы головного мозга на сегодняшний день является МРТ головного мозга. При невозможности ее проведения может применяться МСКТ или КТ головного мозга, контрастная ангиография мозговых сосудов, сцинтиграфия. ПЭТ головного мозга дает сведения о метаболических процессах, по которым можно судить о скорости роста и агрессивности опухоли. Кроме того, с диагностической целью возможно проведение люмбальной пункции. При глиоме головного мозга анализ полученной цереброспинальной жидкости выявляет наличие атипичных (опухолевых) клеток.
Вышеперечисленные неинвазивные методы исследования позволяют диагностировать опухоль, однако точный диагноз глиомы головного мозга с определением ее вида и степени злокачественности можно поставить только по результатам микроскопического исследования тканей опухолевого узла, полученных при проведении оперативного вмешательства или стереотаксической биопсии.
Лечение глиомы головного мозга
Полное удаление глиомы головного мозга представляет собой практически невыполнимую задачу для нейрохирурга и возможно только в случае ее доброкачественности (I степени злокачественности по классификации ВОЗ). Это связано со свойством глиомы головного мозга значительно инфильтрировать и прорастать окружающие ее ткани. Разработка и применение в ходе нейрохирургических операций новых технологий (микрохирургии, интраоперационного картирования головного мозга, МРТ-сканирования) немного улучшило ситуацию. Однако до сих пор хирургическое лечение глиомы в большинстве случаев по сути является операцией по резекции опухоли.
Противопоказаниями к осуществлению хирургического метода лечения является нестабильное состояние здоровья пациента, наличие других злокачественных новообразований, распространение глиомы головного мозга в оба полушария или ее неоперабельная локализация.
Глиома головного мозга относится к радио- и химиочувствительным опухолям. Поэтому химио- и радиотерапия активно применяются как в случае неоперабельности глиомы, так и в качестве пред- и постоперационной терапии. Предоперационная лучевая и химиотерапия может быть проведена только после подтверждения диагноза результатами биопсии. Наряду с традиционными методами радиотерапии возможно применение стереотаксической радиохирургии, позволяющей воздействовать на опухоль при минимальном облучении окружающих тканей. Следует отметить, что лучевая и химиотерапия не могут служить заменой хирургического лечения, поскольку в центральной части глиомы головного мозга зачастую располагается участок, плохо поддающийся воздействию облучения и химиопрепаратов.
Прогноз
Глиомы головного мозга имеют преимущественно неблагоприятный прогноз. Неполное удаление опухоли приводит к ее быстрому рецидивированию и лишь продлевает жизнь пациента. Если глиома головного мозга имеет высокую степень злокачественности, то в половине случаев больные погибают в течение 1 года и только четверть из них живет дольше 2 лет. Более благоприятный прогноз имеет глиома головного мозга I степени злокачественности. В случаях, когда удается произвести ее полное удаление с минимальным послеоперационным неврологическим дефицитом, более 80% прооперированных живут дольше 5 лет.
Герминома — редкая опухоль пениальной области головного мозга
![Герминома головного мозга]()
Герминома головного мозга - редкая опухоль, возникающая при внутриутробном развитии плода. Она возникает из зародышевых листочков, из которых происходит формирование органов и тканей ребеночка.
Образование состоит из разных тканей и может находиться не только в головном мозге, но и в половой системе и позвоночнике.
Эта разновидность опухоли составляет лишь 2% всех случаев, но это новообразование самое распространенное среди глубинных.
В основном опухоль содержится в глубинных структурах мозга и относится к трудно операбельной. Новообразование может быть доброкачественное, а также злокачественное, прогрессирует вместе тем, как организм ребенка растет, а в раннем возрасте может не проявлять никаких признаков.
Первые признаки заболевания проявляются в 12-13 летнем возрасте. Но если новообразование злокачественное, то симптомы проявляются гораздо раньше.
Также опухоль может прогрессировать очень медленно, и только проявиться в 25-30 годам. Статистика показывает, что данная патология чаще встречается у мужской половины населения. В случае если опухоль злокачественная, то она прогрессирует и охватывает близ находящиеся ткани и структуры головного мозга.
Располагается возле третьего желудочка. По статистике, герминома в четверти всех случаев является доброкачественной опухолью.
Причины и симптоматика опухолевого процесса
Герминома мозга, относится к опухолям, которые появляются при нарушении внутриутробного развития. Существует теория, что опухоль
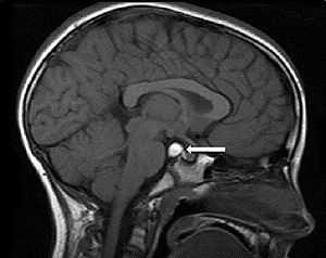
![пинеальная область головного мозга]()
Пинеальная область головного мозга — основное место расположения герминомы
возникает из-за поражения тканевой дифференцировки и переселения тканей на начальном этапе развития плода.
Причинами возникновения внутриутробных изменений являются многие неблагоприятные воздействия, которые влияют на эмбрион через материнский организм.
Чаще всего расположение новообразования — пинеальная область головного мозга, в связи с чем очень часто герминома провоцирует развитие гидроцефалии, когда лишняя жидкость скапливается в мозге, на этом фоне возникают перечисленные симптомы:
- мучительная головная боль, которая не проходит при принятии медицинских препаратов;
- ощущается внутриглазное давление;
- возникают тошнота и рвота, которые не зависят от приема пищи;
- возникают головокружение или обмороки;
- теряется дееспособность и слабость;
- возникает нарушение зрения: возникает двоение в глазах и изъяны зрительных полей, уменьшается острота.
Если у больного злокачественное новообразование, то возникают общие симптомы:
- теряется аппетит;
- возникает анемия и симптомы, которые связаны с ней;
- редко уменьшается вес;
- проявление депрессии, а также теряется интерес к жизни.
Диагностические критерии
![Опухоль в мозгу]()
Герминома головного мозга - очень страшная и плохо поддающаяся лечению патология, поэтому нужно применять специальные своевременные диагностические меры и назначать неотложную терапию.
Самое сложное вовремя диагностировать эту опухоль, так как ее расположение находится в глубоких участках мозга. Поэтому это усложняет диагностику, а также лечение.
На первых этапах жизни обследовать и выявить эту патологию очень сложно, потому что новообразование имеет изначально скрытый характер.
Диагностику можно провести только по достижению больным 10 летнего возраста. Главным первичным фактором, указывающим на наличие герминомы является повышенное внутричерепное давление, поэтому выявить образование на этом этапе можно с помощью электроэнцефалографии.
Следующим этапом обследования является проведение КТ (компьютерной томографии) и МРТ (магниторезонансной томографии) головного мозга. На этой стадии устанавливаются размеры, расположение и характер новообразования.
Затем пациент сдает анализ крови. При лабораторном исследовании следует обнаружить в крови содержимое маркеров новообразования (ХГЧ, АФП, ПЩФ).
Самый эффективный и точный способ определения опухоли является биопсия. Хотя при данной патологии этот метод не всегда оправдан. Так как из-за того, что структура новообразования неравномерная, нельзя точно поставить диагноз, а из-за глубокого расположения опухоли, проведение этой процедуры усложняется. Поэтому доктора во многих случаях этот метод диагностики исключают.
Также требуется дифференцировка от иных новообразований головного мозга, а также от скопления гноя и крови в головном мозге и коллоидной кисты 3 желудочка.
Золотой стандарт терапии — применение трех методик
При лечении/удалении опухоли используются следующие методы терапии:
![Лучевая терапия опухолей]()
- Лучевая терапия. Несмотря на то, что у данной опухоли повышена чувствительность к радиоактивному и химическому облучению, все равно основной способ лечения лучевая терапия. Использовать данную методику не всегда разрешается. Сложности появляются при облучении больных малого возраста, которым лучевую терапию противопоказано делать, так как лучи отрицательно сказываются на формировании и развитии маленького организма.
- Полихимиотерапия. Вместо лучевой терапии малышам при лечении герминомы головного мозга назначают полихимиотерапию. Этот способ оказывает воздействие на новообразование, с помощью специальных медикаментов. В таком случае выписывают комплекс лекарств, которые совместно могут уменьшить распространение образования или приостанавливают его дальнейшее развитие. Это именно то, что необходимо для малышей, так как следует выиграть время, чтобы ребенок вырос.
- Операционный метод лечения. Самая труднореализуемая задача на сегодняшний день в нейрохирургии это хирургическое вмешательство на герминому головного мозга. Основной проблемой является труднодоступность к глубоким участкам коры мозга, так как она чаще всего там расположена. Несмотря на данную сложность, операцию все-таки возможно сделать. Это делается в том случае, когда другие способы лечения не приносят необходимого результата. В случае если нейрохирург решит делать операцию, то решение операционного вмешательства разрешается после тщательного исследования и изучение размеров и расположения опухоли. Для удаления новообразования головного мозга используют такой метод как шунтирование. Существует единственное противопоказание для проведения операции это неясный и быстрый рост герминомы или ее расположение в той зоне, к которой не подобраться.
Удаление пинеальной опухоли головного мозга:
Комплексная терапия
![вмешательство на мозгу]()
В особых случаях используется комплексная терапия лучевой и полихимиотерапии, и дополнительное оперативное вмешательство при лечении новообразования.
Для детей данный метод не следует использовать из-за того, что возникает сильная интоксикация всего организма. Но если нет эффективного результата от каждого из вышеперечисленных методов по отдельности, остается применять только комплексную терапию.
Процент выживаемости пациентов после удаления герминомы довольно высок и составляет 85%.
Профилактика до и после операции
Основным способом профилактики этого и многих других новообразований головного мозга является исключение неблагоприятного воздействия негативных факторов на организм беременной матери.
Будущая мать должна отказаться от вредных привычек и не допускать контакта с ядовитыми и радиоактивными веществами.
Эта опухоль, выявленная на начальном этапе, хорошо поддается лучевому методу терапии и химиотерапии. Пациентам, чтобы контролировать свое состояние и течение болезни после лечения следует проходить и консультироваться у невропатолога единожды в год.
Герминома головного мозга
Герминома головного мозга — дисонтогенетическая опухоль чаще злокачественного характера, локализующаяся в глубинных структурах головного мозга. Герминома головного мозга может проявляться сочетанием клинических признаков гидроцефалии с нарушениями зрения, расстройствами психо-эмоциональной сферы и/или различными нейроэндокринными синдромами. Диагностируется герминома головного мозга путем комплексного сопоставления клинических данных, результатов КТ или МРТ головного мозга, анализа крови на наличие биохимических маркеров опухоли и гистологического исследования образца опухолевой ткани. Герминома головного мозга относится к рентген- и химиочувствительным опухолям, поэтому эти методы успешно применяются в ее лечении. Методом выбора является хирургическое удаление герминомы.
![Герминома головного мозга]()
Герминома головного мозга составляет лишь 2% от всех внутримозговых опухолей, однако она является самой часто встречающейся опухолью глубинных структур головного мозга (пинеальной области, шишковидного тела, III желудочка и гипофизарной области). На долю гермином головного мозга, расположенных в пинеальной области, приходится около 56%. Герминомы головного мозга, локализующиеся в области гипофиза, составляют 25%. В 75% случаев герминома головного мозга представляет собой единичную опухоль, в 25% случаев она носит множественный характер.
Возникает герминомы головного мозга в основном в период от 10 до 20 лет жизни. По некоторым данным этот вид опухолей чаще отмечается у лиц мужского пола. Герминома головного мозга зачастую носит злокачественный характер и склонна к диссеминированному росту в окружающие ее мозговые ткани. Однако около ¼ гермином головного мозга являются доброкачественными новообразованиями.
![Герминома головного мозга]()
Причины возникновения герминомы головного мозга
Наряду с тератомами, хориоидкарциномой, краниофарингиомой, коллоидной кистой III желудочка и др. новообразованиями герминома головного мозга относится к дизонтогенетическим опухолям, причиной возникновения которых являются различные нарушения эмбрионального развития. И хотя дизонтогенетическая теория возникновения гермином головного мозга окончательно не доказана, молодой возраст заболевших говорит в ее пользу. Согласно этой теории герминома головного мозга появляется вследствие нарушений тканевой дифференцировки и миграции тканей на начальных этапах развития эмбриона (I триместр беременности).
Факторами, вызывающими эмбриональные нарушения, являются различные неблагоприятные воздействия, влияющие на плод опосредованно через организм матери. Например, радиоактивное облучение, различные интоксикации, контакт с канцерогенными веществами, инфекционные заболевания (герпес, корь, тяжелый грипп, хламидиоз и пр.).
Симптомы герминомы головного мозга
Поскольку герминома головного мозга локализуется вблизи III желудочка и имеет тенденцию к разрастанию вдоль ликворных путей, значительно нарушая ликвороотток, в ее клинической картине на первый план зачастую выходят симптомы гидроцефалии. Как правило, пациенты жалуются на интенсивную головную боль распирающего характера, чувство давления в глазах, не связанную с едой тошноту и даже рвоту.
В связи со своим расположением вблизи хиазмы зрительных нервов герминома головного мозга часто проявляется зрительными нарушениями: снижением остроты зрения, двоением, дефектами полей зрения. Также герминома головного мозга может сопровождаться расстройствами психо-эмоциональной сфер и нарушениями памяти. Расположение опухоли в области гипофиза приводит к нарушению функционирования гипоталамо-гипофизарной системы и развитию различных нейроэндокринных синдромов: несахарного диабета, пангипопитуитаризма, нарушений менструального цикла, ановуляции и аменореи у женщин.
Диагностика герминомы головного мозга
Первый шаг в диагностике герминомы головного мозга — это тщательный опрос и неврологическое обследование пациента, которые позволяют неврологу выявить не только симптомы гидроцефалии, но и признаки поражения серединных структур. Диагностировать повышение внутричерепного давления помогает эхо-энцефалография, в случае большого размера опухоли при ее проведении определяются эхо-признаки смещения серединных структур мозга.
Следующим звеном в диагностике герминомы головного мозга является применение КТ и МРТ головного мозга. Томографические методы исследования позволяют установить опухолевый характер образования, его размеры и расположение. Примерно у 40% больных с герминомой головного мозга выявляется характерный для этой опухоли признак — опухолевая инфильтрация зрительных бугров и наличие расположенного в середине петрификата (симптом бабочки). В пользу герминомы могут говорить распространение опухолевого процесса по боковым желудочкам и метастазирование в инфундибулярную область III желудочка.
Вспомогательное значение в диагностике герминомы и в оценке состояния заболевания имеет определение в крови биохимических маркеров: хорионического гонадотропина (ХГЧ), альфа-фетопротеина (АФП) и плацентарной щелочной фосфатазы (ПЩФ).
Окончательный диагноз «герминома головного мозга» можно установить по результатам исследования материала опухоли, полученного путем проведения стереотаксической биопсии. Но из-за значительной неоднородности опухоли этот метод диагностики не всегда имеет достаточную достоверность. Более точные результаты дает тщательное морфологическое исследование различных участков опухоли после ее удаления. Однако, учитывая высокую радиочувствительность, которой обладает герминома головного мозга, и определенные сложности оперативных вмешательств на серединных структурах мозга, многие нейрохирурги считают целесообразным проведение стереотаксической биопсии при подозрении на герминому головного мозга.
Герминома головного мозга нуждается в дифференцировке от других опухолей головного мозга (астроцитомы, глиомы, ганглионевромы, гематобластомы, гломусной опухоли, медуллобластомы), а также от абсцесса головного мозга, внутримозговой гематомы, коллоидной кисты III желудочка.
Лечение герминомы головного мозга
Поскольку герминома головного мозга является радио- и химиочувствительной опухолью основной лечебной тактикой при ее диагностировании является проведение лучевой терапии. Облучение опухоли противопоказано в детском возрасте из-за негативного влияния ионизирующего излучения на развивающиеся мозговые ткани. Поэтому у детей и при невозможности радикальной лучевой терапии из-за обширного опухолевого процесса прибегают к проведению полихимиотерапии. Лучевая и химиотерапия применяются также как дополнение к хирургическому лечению в случае злокачественного характера герминомы.
Удаление гермином и других опухолей серединных структур до настоящего времени является одной из самых сложных задач неврологии и нейрохирургии. Основная проблема связана с осуществлением доступа к опухолям такой глубинной локализации. Оптимизация применяемых доступов, возможность спланировать ход операции с помощью нейровизуализирующих методов, появление более совершенных хирургических инструментов привели к тому, что в наше время для пациентов с диагнозом герминома головного мозга хирургическое лечение является методом выбора.
Герминома головного мозга удаляется различными операционными доступами, выбор которых осуществляется нейрохирургом после тщательного изучения локализации и размеров опухоли. При наличии показаний удаление герминомы сопровождается одним из видов шунтирующих операций: вентрикулоперинеостомией или вентрикулоцистерностомией. Хирургическое лечение противопоказано, если герминома головного мозга характеризуется диссеминированным ростом или неоперабельным расположением. Герминома головного мозга небольшого размера может быть эффективно удалена при помощи стереотаксической радиохирургии, заключающейся в однократном локальном облучении опухоли высокой дозой излучения.
Прогноз и профилактика герминомы головного мозга
Герминома головного мозга отличается относительно благоприятным прогнозом как лучевой терапии, так и оперативного лечения. Пятилетняя выживаемость пациентов достигает 95%, а десятилетняя — 88%.
К профилактическим мероприятиям, направленным на предупреждение возникновения герминомы, относится в первую очередь исключение различных неблагоприятных воздействий на организм матери. Ранняя постановка на учет и соответствующие разъяснения со стороны акушера-гинеколога, осуществляющего ведение беременности, могут помочь женщине уберечься от влияния различных тератогенных факторов (медикаментозных, производственных и т. п.).
Менингиома
Менингиома в большинстве случаев представляет собой доброкачественную опухоль, развивающуюся из клеток арахноэндотелия (твердой мозговой оболочки или реже сплетений сосудов). Симптомами новообразования являются головные боли, нарушение сознания, памяти; мышечная слабость; эпилептические приступы; нарушение работы анализаторов (слухового, зрительного, обонятельного). Диагноз ставится на основании неврологического обследования, МРТ или КТ головного мозга, ПЭТ. Лечение менингиомы хирургическое, с вовлечением лучевой или стереотаксической радиохирургии.
![МРТ головного мозга (С+). Объемное образование в теменной области слева, широким основанием прилежащее к мягкой оболочке]()
Менингиома представляет собой опухоль, чаще всего доброкачественной природы, произрастающую из арахноэндотелия мозговых оболочек. Обычно опухоль локализуется на поверхности мозга (реже на конвекситальной поверхности либо на основании черепа, редко в желудочках, или в костной ткани). Как и для многих других доброкачественных опухолей, для менингиом характерен медленный рост. Довольно часто не дает о себе знать, вплоть до значительного увеличения новообразования; иногда бывает случайной находкой при компьютерной или магнитно-резонансной томографии.
Причины развития менингиомы
Выявлен генетический дефект в 22 хромосоме, ответственный за развитие опухоли. Он находится недалеко от гена нейрофиброматоза (НФ2), с чем и связывают повышенный риск развития менингиомы у пациентов с НФ2. Отмечена связь развития опухоли с гормональным фоном у женщин, которая и обуславливает большую заболеваемость женского пола менингиомой. Выявлена закономерная связь между развитием рака молочной железы и опухоли мозговых оболочек. Кроме того, менингиома склонна увеличиваться в размерах при беременности.
Также провоцирующими факторами развития опухоли могут быть: черепно-мозговая травма, радиоактивное облучение (любое ионизирующее, рентгенологическое излучение), всевозможные яды. Тип роста опухоли чаще всего экспансивный, то есть менингиома растет единым узлом, раздвигая окружающие ткани. Возможен и мультицентрический рост опухоли из двух и более очагов.
Макроскопически менингиома представляет собой новообразование округлой формы (или реже подковообразной), чаще всего спаянное с твердой мозговой оболочкой. Размер опухоли может составлять от нескольких миллиметров до 15 см и более. Опухоль плотной консистенции, чаще всего имеет капсулу. Цвет на разрезе может варьировать от серых оттенков до желтых с серым. Образование кистозных выростов не характерно.
Классификация менингиомы
По степени злокачественности выделяют три основных типа менингиом. К первому из них относятся типичные опухоли, разделяющиеся на 9 гистологических вариантов. Больше половины из них представлены менинготелиальными опухолями; около четверти составляют менингиомы смешанного типа и чуть более 10% фиброзные новообразования; остальные гистологические формы встречаются крайне редко.
Ко второй степени злокачественности следует отнести атипические опухоли, которые обладают высокой митотической активностью роста. Такие опухоли обладают способностью к инвазивному росту и могут прорастать в вещество головного мозга. Атипичные формы склонны к рецидивированию. И наконец, к третьему типу относят самые злокачественные или анапластические менингиомы (менингосаркомы). Они отличаются не только способностью проникать в вещество мозга, но и возможностью метастазировать в отдаленные органы и часто рецидивировать.
Симптомы менингиомы
Заболевание может протекать бессимптомно и никак не влиять на общее состояние пациента, вплоть до приобретения опухолью значительных размеров. Симптомы менингиомы зависят от той анатомической области головного мозга, к которой она примыкает (область больших полушарий, пирамиды височной кости, парасагиттальный синус, тенториум, мостомозжечковый угол и пр.). Общемозговыми клиническими проявлениями опухоли могут быть: головные боли; тошнота, рвота; эпилептические припадки; нарушения сознания; мышечная слабость, нарушения координации; зрительные нарушения; проблемы со слухом и обонянием.
Очаговая симптоматика зависит от расположения менингиомы. При расположении опухоли на поверхности полушарий может проявляться судорожный синдром. В ряде случаев при такой локализации менингиомы имеется пальпируемый гиперостоз костей черепного свода.
При поражении парасагиттального синуса лобной доли, возникают нарушения, связанные с мыслительной деятельностью и памятью. Если поражается ее средняя часть, то возникает слабость мышц, судороги и онемение в противоположной опухолевому очагу нижней конечности. Продолжающийся опухолевый рост приводит к возникновению гемипареза. Для менингиомы основания лобной доли характерны расстройства обоняния - гипо- и аносмия.
При развитии опухоли в задней черепной ямке могут возникать проблемы слухового восприятия (тугоухость), нарушения координации движений и походки. При расположении в области турецкого седла возникают нарушения со стороны зрительного анализатора, вплоть по полной потери зрительного восприятия.
Диагностика менингиомы
Диагностика опухоли представляет собой трудность, в связи с тем, что долгие годы менингиома может никак себя клинически не проявлять в виду ее медленного роста. Часто пациентам с неспецифическими проявлениями приписываются возрастные признаки старения, поэтому ошибочный диагноз дисциркуляторной энцефалопатии у больных с менингиомой не является редкостью.
При появлении первых клинических симптомов назначается полное неврологическое обследование и офтальмологическая консультация, в ходе которой офтальмолог исследует остроту зрения, определяет размеры полей зрения и проводит офтальмоскопию. Нарушения слуха являются показанием к консультации отоларинголога с проведением пороговой аудиометрии и отоскопии.
Обязательным в диагностике менингиомы является назначение томографических методов исследования. МРТ головного мозга позволяет определить наличие объемного образования, спаянность опухоли с твердой мозговой оболочкой, помогает визуализировать состояние окружающих тканей. При МРТ в Т1 режиме сигнал от опухоли схож с сигналом от мозга, в режиме Т2 выявляется гиперинтенсивный сигнал, а также отек мозга. МРТ может применяться во время операции для контроля удаления всей опухоли и для того, чтобы получить материал для гистологического исследования. МР спектроскопия применяется для определения химического профиля опухоли.
МРТ головного мозга (С+). Объемное образование в теменной области слева, широким основанием прилежащее к мягкой оболочке
КТ головного мозга позволяет выявить опухоль, но в основном применяется для определения задействования костной ткани и опухолевых кальцинатов. Позитронно-эмиссионная томография (ПЭТ головного мозга) применяется с целью определения рецидивирования менингиомы. Окончательный диагноз выставляется неврологом или нейрохирургом, исходя из результатов гистологического исследования биоптата, которое определяет морфологический тип опухоли.
Лечение менингиомы
Доброкачественные или типичные формы менингиом подвергаются хирургическому удалению. С этой целью вскрывается черепная коробка и производится полное или частичное удаление менингиомы, ее капсулы, волокон, пораженной костной ткани и примыкающей к опухоли твердой мозговой оболочки. Возможна одномоментная пластика образовавшегося дефекта собственными тканями или искусственными трансплантатами. В предоперационном периоде иногда прибегают к предварительной эмболизации менингиомы.
При атипичных или злокачественных опухолях с инфильтративным типом роста не всегда бывает возможным удалить опухоль полностью. В таких ситуациях удаляют основную часть новообразования, а за остальной наблюдают в динамике посредством неврологического обследования и данных МРТ. Наблюдение также показано для пациентов с отсутствием симптоматики; у пожилых пациентов с медленным ростом опухолевой ткани; в случаях, когда хирургическое лечение грозит осложнениями или не выполнимо, в виду анатомического расположения менингиомы.
При атипичном и злокачественном типе менингиомы применяется лучевая терапия или ее усовершенствованная разновидность − стереотаксическая радиохирургия. Последняя представлена в виде гамма-ножа, системы Новалис, кибер-ножа. Радиохирургические методики воздействия позволяют ликвидировать опухолевые клетки головного мозга, уменьшить размеры новообразования, и при этом не страдают окружающие опухоль ткани и структуры. Радиохирургические методики не требуют анестезии, не вызывают боли и не имеют послеоперационного периода. Больной обычно сразу может отправляться домой. Подобные методики не применяются при внушительных размерах менингиомы. Химиотерапия не показана, так как большинство опухолей твердой мозговой оболочки имеют доброкачественное течение, но в этой области ведутся клинические разработки.
Консервативная медикаментозная терапия направлена на уменьшение отека мозга и имеющихся воспалительных явлений (если они имеют место быть). С этой целью назначаются глюкокортикостероиды. Симптоматическое лечение включает в себя назначение антиконвульсантов (при судорогах); при повышенном внутричерепном давлении возможно проведение оперативных вмешательств, направленных на восстановление циркуляции цереброспинальной жидкости.
Прогноз типичной менингиомы при своевременном выявлении и хирургической ликвидации вполне благоприятный. Такие больные имеют показатель 5-летней выживаемость равный 70-90%. Остальные же типы менингиом склонны к рецидивированию и даже после успешного удаления опухоли могут приводить к летальному исходу. Процент 5-летней выживаемости пациентов с атипичными и злокачественными менингиомами составляет около 30%. Неблагоприятный прогноз наблюдается и при множественных менингиомах, составляющих около 2 % от всех случаев развития данной опухоли.
На прогноз также оказывают влияние сопутствующие заболевания (сахарный диабет, атеросклероз, ИБС - ишемические поражения коронарных сосудов и пр.), возраст пациента (чем моложе больной, тем лучше прогноз); показатели опухоли - расположение, размеры, кровоснабжение, вовлечение соседних структур головного мозга, наличие предыдущих операций на мозге или данных о проведении лучевой терапии в прошлом.
Читайте также:









