Герпетический стоматит: причины, симптомы и лечение
Добавил пользователь Евгений Кузнецов Обновлено: 08.01.2026
Что такое герпетический стоматит? Причины возникновения, диагностику и методы лечения разберем в статье доктора Кожевниковой Светланы Николаевны, стоматолога со стажем в 28 лет.
Над статьей доктора Кожевниковой Светланы Николаевны работали литературный редактор Маргарита Тихонова , научный редактор Сергей Федосов и шеф-редактор Лада Родчанина
Определение болезни. Причины заболевания
Герпетический стоматит — это инфекционное заболевание, которое вызывает вирус простого герпеса первого типа [6] . Сопровождается лихорадкой, слабостью, головной болью, появлением язв на слизистой полости рта и воспалением региональных лимфоузлов.

Этот вид стоматита составляет примерно 80 % всех инфекционных стоматитов полости рта. Он возникает чаще у детей, очень редко — у подростков и взрослых. Наиболее распространён в возрасте от 1 до 3 лет (до 70%) [7] . Это связано с расширением контактов у детей в этот период и особенностями местного иммунитета слизистой рта. В этом возрасте у ребёнка исчезают антитела, полученные от матери, которые защищали его в первые месяцы жизни. У каждого седьмого-десятого ребёнка заболевание переходит в рецидивирующую форму.
Вирус простого герпеса распространён по всему миру. Он содержит ДНК, в котором присутствует около 80 генов [6] . Развивается вирус внутри клеток. Во внешней среде при температуре 20-25 ℃ сохраняется в течение суток. При 50 ℃ разлагается через 30 минут. Устойчив к холодным температурам. На различных металлических предметах выживает до двух суток. Неустойчив к действию физических и химических факторов, разрушается под влиянием ультрафиолета и рентгеновских лучей, чувствителен к этиловому спирту и дезинфицирующим средствам [8] .
Герпетический стоматит — заразное заболевание. Источником является больной или бессимптомный носитель. Распространение идёт при непосредственном контакте. Никаких особых ситуаций и факторов для заражения не требуется, потому что вирус распространён повсеместно и контакт с ним происходит в детском возрасте. Большинство взрослых уже инфицированы.
Инкубационный период — скрытое течение болезни до появления его первых признаков — может длиться 2-26 дней, чаще 5-7 дней. Срок инкубации не влияет на тяжесть заболевания [9] .
При обнаружении схожих симптомов проконсультируйтесь у врача. Не занимайтесь самолечением - это опасно для вашего здоровья!
Симптомы герпетического стоматита
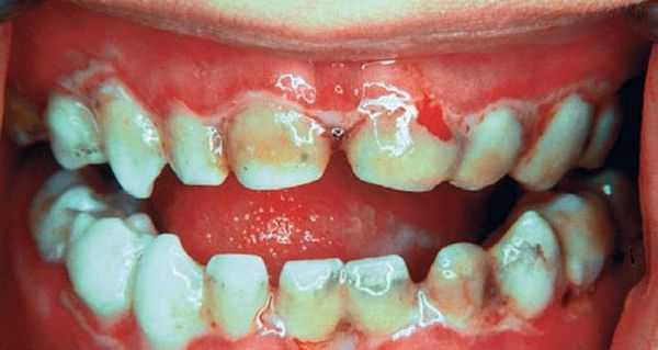
При лёгкой форме состояние ребёнка удовлетворительное. Инкубационный период не выражен, однако в процессе развития болезни (продромальном периоде) обязательно появляется субфебрильная лихорадка — до 38℃. Других симптомов в этот момент не возникает. Через 1-3 дня слизистая оболочка полости рта краснеет, усиливается слюнотечение. Далее покраснение становится ярче, появляется боль, ребёнок плохо ест и спит. Впоследствии возникают единичные или сгруппированные мелкие язвочки — афты (3-5 штук). Так начинается стадия разгара. Высыпания появляются однократно в течение 1-2 дней. После этого температура снижается, но боль ещё сохраняется, постепенно уменьшаясь. Общее состояние нормализуется, появляется аппетит, улучшается сон. Афты полностью заживают в течении 3-5 дней. Небольшое покраснение слизистой может сохраняться до 10 дней. Иногда увеличиваются шейные и подчелюстные лимфоузлы, но чаще при лёгкой форме этого не происходит. Изменения в крови не характерны.

На пике лихорадки и интоксикации появляются изменения на слизистой и коже вокруг рта. На покрасневшей отёчной слизистой возникают афты. Обычно их количество достигает 25-30 штук, элементы могут сливаться. Усиливается слюноотделение, кровоточивость дёсен. После высыпания температура снижается, однако элементы могут появиться повторно вместе с новым подъёмом температуры. Воспаляются лимфоузлы.
Период разгара продолжается до 10 дней. В дальнейшем состояние постепенно улучшается: снижается температура, появляется аппетит, нормализуется сон. Элементы на слизистой и коже заживают. Дольше всего сохраняются покраснение и воспаление лимфоузлов. Появляются изменения в крови: снижается уровень лейкоцитов и увеличивается уровень лимфоцитов, может повыситься СОЭ (скорость оседания эритроцитов).

Тяжёлая форма встречается значительно реже. Уже в продромальном периоде у ребёнка выражены все признаки острого инфекционного процесса: вялость, слабость, головная боль, боль в мышцах и суставах. Температура повышается до 40℃. Сразу в первые сутки появляются изменения на слизистой и коже вокруг рта. Губы становятся сухими, слизистая отекает, приобретает ярко красный оттенок, сильно кровоточит, появляется много афт по всей слизистой рта и глотки, а также много пузырьков на коже вокруг рта, мочках ушей и век. Возможно развитие герпетических паронихиев на пальцах рук (гнойных воспалений). В местах слияния элементов имеются некротические (омертвевшие) участки. Высыпания неоднократно появляются снова и снова. Ярко выражено воспаление лимфоузлов. Выздоровление длительное. Наблюдаются изменения крови в виде понижения количества лейкоцитов со сдвигом формулы влево, может быть токсическая зернистость нейтрофилов, повышение СОЭ и С-реактивного белка.
У некоторых детей заболевание переходит в рецидивирующую форму. Последующие рецидивы уже могут протекать менее остро, без значимого нарушения самочувствия и лихорадки, т. к. в крови появляется некоторое количество антител. Но поражение слизистой полости рта будет возникать всегда [4] [5] [6] [7] [9] .
Патогенез герпетического стоматита
Механизм развития острого герпетического стоматита очень сложен и изучен не до конца [4] . Однако известны следующие звенья патогенеза.
В момент заражения вирус простого герпеса прикрепляется к рецепторам мембраны клетки, которая чувствительна к вирусу. Происходит слияние клеточной мембраны и внешней оболочки вируса, при этом клеточная мембрана не повреждается, и вирус проникает внутрь. Затем клеточные ферменты растворяют внутреннюю оболочку вируса, и он проникает внутрь ДНК клетки. В таком состоянии вирус простого герпеса может находиться длительное время [6] .

Прикрепление и размножение вируса, как правило, происходит в клетках местных тканей и близлежащих лимфоузлов. Этим объясняется лимфаденит (воспаление лимфоузлов), который наблюдается ещё до появления афт в полости рта [11] .
В разгар болезни вирус нарушает баланс между свёртывающей и антисвёртывающей системами крови, из-за чего дёсны и слизистая рта могут кровоточить. Предполагается, что эта же причина приводит к образованию микротромбов в капиллярах, из-за чего возникают участки некроза слизистой [11] .
После выздоровления выделение вируса со слюной может продолжаться ещё несколько недель [4] . Он способен сохраняться в нервных ганглиях в течение всей жизни человека. В это период он практически не поддаётся противовирусному лечению. После активации вирус переносится по аксиону в первичный очаг проникновения, из-за чего возникает повторное поражение. Бессимптомное выделение вируса в слюне наблюдается у 5-10 % людей.

Классификация и стадии развития герпетического стоматита
Согласно Международной классификации болезней (МКБ-10), герпетический стоматит относится к инфекциям, вызванным вирусом герпеса и классифицируется как "В00.2 Герпетический гингивостоматит и фаринготонзиллит" [4] .
По течению бывает острым и хроническим рецидивирующим. При этом острый герпетический стоматит имеет три степени тяжести: лёгкую, среднетяжёлую и тяжёлую. Тяжесть течения болезни оценивается на основе совокупности общих и местных симптомов. К общим симптомам относятся рост температуры, слабость, чувство усталости; к местным — покраснение слизистой и появление афт.
Кроме этого выделяют пять периодов болезни: инкубационный, продромальный, начальный, разгар заболевания и реконвалесцентный — период выздоровления.
Осложнения герпетического стоматита
Как правило, герпетический стоматит не опасен, за исключением его развития у детей с первичным иммунодефицитом, проходящих химиотерапию, принимающих иммуносупрессивную терапию после пересадки органов и тканей, которая направлена на подавление нежелательной реакции иммунитета. У таких детей заболевание протекает в тяжёлой форме. Может сопровождаться кровотечением из слизистой рта и носа.
Наиболее частое осложнение — переход болезни в рецидивирующую форму. Рецидивы могут следовать один за другим, сильно изматывая пациента. Иногда возможны и другие, более серьёзные осложнения:
- герпетический миокардит — учащается пульс, снижается артериальное давление, возникает одышка, лихорадка;
- герпетический менингоэнцефалит — резко поднимается температура, отмечается головная боль, рвота, судороги;
- генерализованная герпетическая инфекция с поражением нескольких органов [4] .
Кроме этого может присоединяться вторичная бактериальная инфекция, бронхит, пневмония, отит, кератит, инфекционно-токсический шок — токсическое поражение мозга вирусом.
Диагностика герпетического стоматита
Диагноз острого герпетического стоматита ставится на основании совокупности данных: анамнеза (истории болезни), клинической картины, течения болезни и результатов лабораторных исследований.
При типичных формах заболевания диагностика трудностей не вызывает, поэтому дополнительные методы не используются. Лабораторная и инструментальная диагностика может помочь в выявлении осложнений либо при возникновении трудностей в диагностике: при нетипичном случае, затяжном течении, генерализованных формах болезни. Для этого могут использоваться следующие методы:
- микроскопический анализ — проводится не раньше второго дня болезни; под микроскопом исследуются мазки, взятые с поражённой слизистой, чтобы определить причину заболевания;
- иммунофлюоресцентный анализ (МФА) — проводится в период появления высыпаний; позволяет определить количество антигенов в крови;
- вирусологическое исследование — проводится в острый период болезни; используется для обнаружения клетки вируса и антигенов в крови;
- молекулярно-генетический метод (ПЦР) — проводится в острый период; помогает определить генотип вируса и верно подобрать способ лечения;
- иммуноцитохимия — проводится в острый период для выявления вируса;
- серологический тест— проводится на 7-10 день болезни, чтобы выяснить срок заболевания;
- исследование цереброспинальной жидкости — может потребоваться при осложнениях, чтобы подтвердить поражение центральной нервной системы;
- клинический анализ крови и мочи — проводится для определения осложнений;
- биохимический анализ крови — проводится в острый период для определения, поражены ли внутренние органы;
- инструментальная диагностика — УЗИ, КТ, МРТ, электроэнцефалография (ЭЭГ), рентгенография, электрокардиография (ЭКГ), офтальмоскопия.

Оценку всех исследований проводит только врач в комплексе с клиническими и анамнестическими данными [5] .
Лечение герпетического стоматита
Лечение пациентов с лёгкими и среднетяжёлыми формами заболевания проводится амбулаторно, т. е. дома, но с регулярным посещением врача. Госпитализации подлежат пациенты с тяжёлыми формами стоматита, осложнениями и генерализованными формами болезни — когда вирус поражает весь организм. Лечение включает в себя соблюдение режима, диеты, местной и общей терапии [5] .
Все пациенты нуждаются в щадящем режиме. Если ребёнок лежит, его нужно обеспечить свежим воздухом, регулярной сменой белья. Если он играет и отказывается от постели, не нужно его укладывать насильно — лучше занять спокойными играми, чтением и т. д. Не следует ходить с больным ребёнком в детский сад, школу, магазины, торговые центры, кинотеатры, детские площадки. Нужно помнить, что заболевание очень контагиозное, и другие дети могут заразиться. Но в период выздоровления прогулки на свежем воздухе отдельно от других детей возможны.
Помещение, где находится ребёнок, должно проветриваться 3-4 раза в день, необходима ежедневная влажная уборка. Также ребёнок нуждается в более продолжительном сне. Но если он спит почти весь день и с трудом просыпается или наоборот почти не спит, то требуется дополнительный осмотр врача.
А вот отказ от еды не так страшен. Приём пищи становиться для очень болезненным, поэтому не следует настаивать и тем более кормить ребёнка насильно. Стоит предлагать жидкую пищу, кашу, кисель, протёртые супы.
Важно заняться профилактикой обезвоживания. Маленькие лихорадящие дети очень быстро обезвоживаются, это усиливает интоксикацию и утяжеляет состояние. Поэтому необходимо обильно поить ребёнка. Стоит предлагать любые жидкости: воду, компот, чай, разведённые соки без сахара. Количество выпитой жидкости должно быть не меньше 1,5-2 литров. Если есть рвота или ребёнок отказывается от питья, нужно выпаивать его по чайной ложке каждые 5-7 минут.
Также немаловажную роль играет обезболивание. В разгар заболевания пациенты испытывают сильные головные боли и боли во рту. Для обезболивания чаще используют парацетамол и ибупрофен. Доза рассчитывается в зависимости от массы тела, препараты можно чередовать.
Лихорадку выше 38,5℃ у маленьких детей, у детей с фебрильными судорогами в анамнезе или при плохой переносимости следует сбить. Лихорадку выше 39,5℃ нужно снизить у всех пациентов. Если при приёме жаропонижающего средства температура снизилась хотя бы на градус — это хорошо, но если не снизилась или поднялась ещё выше, то требуется дополнительный осмотр врача.
При лёгкой степени тяжести вполне можно обойтись местным лечением. Для этого необходима тщательная гигиена полости рта, полоскание или обработка антисептическими растворами, которые не содержат спирт: фурацилин 1:5000, 2 % водный раствор хлоргексидина и т. д. Для обработки афт используется мазь ацикловир — 3 % для слизистых, 5 % для кожи. Примерно с третьего дня болезни добавляются заживляющие средства на основе масляного раствора витамина А, облепиховое масло, аекол, солкосерил. Местное лечение проводится 5-6 раз в день до полного заживления элементов поражения.
ВАЖНО: применение местных обезболивающих препаратов на основе лидокаина не рекомендуется детям до 12 лет [5] . Использование местных аэрозольных антисептиков при остром герпетическом стоматите также нежелательно.
При среднетяжёлых формах одного местного лечения недостаточно. Добавляется общее противовирусное лечение. Для этого у детей используют ацикловир и валацикловир (валтрекс). Первый препарат применяется в возрастной дозировке 5 раз в сутки — это важно. Валтрекс же применяется 2 раза в сутки, что удобнее.
ВАЖНО: препараты интерферонов (виферон, генферон, циклоферон), а также гомеопатические противовирусные средства (анаферон, афлубин) и иммуномодуляторы (имудон, тимоген, ликопид) не показаны, так как их эффективность и безопасность при лечении инфекций, вызванных вирусами герпеса, не доказана.
Рецидивирующие формы требуют дополнительного осмотра врача и назначения пролонгированного курса противовирусного лечения.
Тяжёлые и осложнённые формы болезни лечатся в профильном стационаре, так как амбулаторное лечение будет малоэффективным [1] [2] . Предполагает приём противовирусных средств в форме таблеток и инъекций, дезинтоксикационную терапию, восполнение потерянной жидкости и электролитов, внутривенную подачу необходимых растворов [11] .
Стоит помнить, что острый герпетический стоматит — это заболевание, вызванное вирусом. Поэтому в рутинных случаях не требует назначения антибиотиков, даже если лихорадка длится более трёх суток — это типичное состояние для болезни.
Прогноз. Профилактика
Прогноз заболевания в подавляющем большинстве случаев благоприятный. Герпетический стоматит заканчивается полным выздоровлением, но при этом вирус остаётся с человеком на всю жизнь. В 7-10 % случаев заболевание переходит в рецидивирующую форму. При герпетических менингоэнцефалитах и генерализованных формах прогноз крайне неблагоприятный, требуется обязательное лечение в стационаре [3] .
Профилактика герпетического стоматита заключается в соблюдении простых мер гигиены: мытье рук, проветривании помещений, соблюдении режима сна, закаливании, сбалансированном питании. Заболевшие дети должны быть изолированы. Взрослым с герпетическими высыпаниями на губах не рекомендуется целовать детей, пробовать пищу, облизывать ложку, соску. При контакте с ребёнком необходимо надевать маску. В детских учреждениях, где имеется вспышка или единичные случаи заболевания, необходимо провести дезинфицирующую уборку помещения и игрушек, организовать ежедневный осмотр детей [4] .
Язвенный стоматит - симптомы и лечение
Что такое язвенный стоматит? Причины возникновения, диагностику и методы лечения разберем в статье доктора Грачевой Юлии Александровны, стоматолога со стажем в 17 лет.
Над статьей доктора Грачевой Юлии Александровны работали литературный редактор Вера Васина , научный редактор Елена Страндстрем и шеф-редактор Лада Родчанина
Язвенный стоматит — воспаление и нарушение поверхностного слоя слизистой оболочки полости рта с появлением язв. Болезненные язвы также могут образовываться и на языке. Немного реже возникают беловатые поражения слизистой, и совсем редко ротовая полость выглядит нормальной, но присутствует синдром жжения во рту .

Язвенный стоматит — это самая сложная форма стоматита. Его проявления в полости рта мешают приёму пищи, могут приводить к обезвоживанию и развитию вторичной инфекции, особенно это выражено у пациентов с иммунодефицитом.
Предрасполагающие факторы для развития язвенного стоматита:
- ослабление иммунной системы;
- курение, алкоголь;
- травмы ротовой полости;
- передача инфекции через грязную еду, игрушки, бытовые вещи, от животных;
- пища и вода плохого качества.
Часто причиной стоматитов становится аллергия или токсическая реакция на некоторые вещества, используемые в стоматологии — препараты для анестезии, пломбировочный материал, брекеты, протезы, ортодонтические пластинки.
Провоцирующими факторами также являются:
- воспалительные заболевания кишечника (язвенный колит, синдром Рейтера);
- болезни системы кровообращения (циклическая нейтропения, хроническая анемия);
- гормональные дисфункции;
- хронический иммунодефицит;
- травмы рта, возникающие, например, из-за плохо подобранных зубных протезов;
- аллергия;
- хронический стресс.
Стоматитам наиболее подвержены дети, распространённость в зависимости от возраста:
- дети 1—3 лет (31 % от общего числа детей, заболевших стоматитом);
- дети грудного возраста (26 %);
- дошкольного возраста (20 %);
- младшего школьного возраста (13 %);
- старшего школьного возраста (10 %).
Чаще всего стоматиты возникают в весенний период, на который приходится 38 % заболевших детей, что связано с ослаблениеи защитных сил организма в это время года. Затем следует зима — 26 %, осень — 25 % и лето — 11 % [17] .
Симптомы язвенного стоматита
Виды язвенного стоматита:
- травматический;
- инфекционный;
- аллергический;
- хронический рецидивирующий афтозный стоматит.
Все эти формы обладают схожими симптомами: отёком, покраснением слизистой оболочки, наличием язвенных элементов. Расположение воспаления зависит от причины возникновения, например, язвы на боковой поверхности языка могут появляться при травмировании острым краем разрушенного зуба или съёмным зубным протезом.

Ещё одним симптомом язвенного стоматита являются везикулы (пузырьки). Они появляются в основном при инфекционном стоматите. Везикулы возникают на слизистой оболочке рта и коже лица (крыльях носа, щеках, верхней губе) и сохраняются 10-12 дней. Мелкие пузырьки быстро превращаются в эрозии с налётом. Воспаление может сопровождаться болями в суставах, мышцах, невралгией, головной болью и увеличением лимфатических узлов.

Другие симптомы язвенного стоматита — зуд, жжение и сухость во рту, а также боль при приёме пищи. На слизистой оболочке возникают отёк и покраснение, может наступить омертвение сосочков языка. Подобные симптомы чаще наблюдаются при аллергическом стоматите.
Патогенез язвенного стоматита
Механизмы развития стоматита до конца не изучены, но, вероятнее всего, заболевание вызвано реакцией иммунной системы на раздражители. Одна из самых распространённых теорий возникновения заболевания — инфекционно-аллергическая [18] . Согласно ей, стоматит возникает в результате повышенной чувствительности организма к различным аллергенам и микроорганизмам . Важное значение в развитии заболевания имеют аутоиммунные процессы — на слизистой оболочке полости рта обитают различные микроорганизмы, в ответ на их присутствие организм вырабатывает антитела, которые могут атаковать собственные клетки эпителия.
При первых симптомах стоматита под влиянием медиаторов воспаления происходит раздражение чувствительных нервных окончаний . При этом возникает аллергическая реакция немедленного типа с выделением биологически активных веществ, таких как гистамин, брадикинин, ацетилхолин и др. Это приводит к повреждению эпителия слизистой оболочки , расширению стенок сосудов, увеличению их проницаемости, что становится причиной отёка.
К развитию стоматита также могут приводить хронические инфекции желудочно-кишечного тракта и ЛОР-органов. Они способствуют повышению чувствительности к аллергенам и снижению сопротивляемости к микробам.
Хроническое течение и рецидивы могут быть связаны с обострением болезней внутренних органов. Рецидивы обусловлены развитием иммунопатологических реакций на фоне ослабления защитных сил организма.
Классификация и стадии развития язвенного стоматита
Выделяют:
- Травматический стоматит.
- Инфекционный стоматит:
- герпетический;
- везикулярный;
- язвенно-некротический стоматит Венсана.
- Аллергический стоматит.
- Хронический рецидивирующий афтозный стоматит.
- Стоматиты, вызванные интоксикацией солями тяжёлых металлов (свинца, ртути, висмута).
Травматические стоматиты возникают при повреждении слизистой оболочки зубным камнем, краем разрушенной коронки зуба, съёмным зубным протезом, неправильно расположенными зубами. При этом происходит воспаление дёсен, а в дальнейшем — образование язв.
Инфекционные стоматиты. К развитию герпетического стоматита приводит вирус простого герпеса первого типа. При поражении слизистой оболочки сперва появляется воспаление в виде пятна, которое затем превращается в пузырёк с прозрачным либо с мутным содержимым. После этого возникает язва — болезненный покрасневший участок слизистой. В дальнейшем язва превращается в афту — белесоватое внутри образование с покраснением по краям. Затем афта вновь переходит в пятно, и происходит заживление.

Везикулярный стоматит — острая форма инфекционного заболевания, вызванная везиловирусом. Инкубационный период составляет 2-6 дней, после чего пациент ощущает головную боль, дискомфорт при движениях глаз, общую мышечную слабость, озноб, появляется насморк, боль в горле, повышается температура тела. Больные часто жалуются на увеличение шейных лимфоузлов. При везикулярном стоматите на слизистой оболочке рта появляются пузырьки с красным контуром, наполненные жидкостью. Везикулы расположены на дёснах, губах, языке и внутренней поверхности щёк. Они чувствительны, поэтому приём пищи вызывает боль [10] [13] .

При язвенно-некротическом стоматите Венсана на десневых сосочках появляются поверхностные язвочки, покрытые беловатым налётом. В начале заболевания пациенты испытывают головную боль, общую слабость, у них повышается температура, возникает ломота в суставах. У больных кровоточат дёсны, во рту возникает ощущение жжения и сухости. Боль усиливается при малейшем прикосновении, из-за этого язык при разговоре малоподвижен. Приём пищи и чистка зубов практически невозможны. Усиливается выделение слюны, увеличиваются и становятся болезненными регионарные лимфатические узлы, появляется сильный гнилостный запах изо рта.

Для аллергического стоматита характерны покраснение и отёк дёсен. При пузырно-эрозивной форме появляется эрозия с беловатым налётом и крупный пузырь на слизистой оболочке твёрдого нёба, который впоследствии разрывается. Аллергический стоматит часто возникает при аллергии на лекарственные препараты. Самая тяжёлая его форма — язвенно-некротическая, при которой сперва появляются язвы, а в дальнейшем происходит отмирание тканей и образование рубцов на поверхности слизистой.
Хронический рецидивирующий афтозный стоматит. Выделяют три формы:
- Фибринозная форма (афта Микулича) — чаще заболевают девочки и женщины в возрасте от 10 до 30 лет. В полости рта появляются резко болезненные одиночные или множественные изъязвления (афты). Количество афт составляет от 1 до 100, в большинстве случаев — 1-6. Заживление происходит за 7-14 дней с образованием нежного рубца или без видимого рубцевания.
- Некротический периаденит (афта Сеттона) — стоматит начинается как глубокая язва, протекает длительно и волнообразно. Количество язв, как правило, от 2 до 10. При заболевании встречается "ползущая" язва, для которой характерны заживление на одном полюсе и рост на другом. Размер язв — от 1 см до значительного поражения участков слизистой оболочки. При заживлении образуется деформирующий рубец.
- Герпетиформный афтозный стоматит — множественные мелкие неглубокие афты, резко болезненные с частыми рецидивами и кратковременными ремиссиями в течение 1-3 лет. Заболевание начинается с небольших эрозий размером 1-2 мм, которые затем увеличиваются и сливаются в обширные эрозивные поверхности. Изъязвления могут поражать любые участки полости рта.

Осложнения язвенного стоматита
Длительное воздействие слабого раздражителя, например зубного протеза, приводит к разрастанию участков слизистой оболочки щёк, губ, нёба. Вследствие этого может развиться лейкоплакия — заболевание, поражающее слизистую оболочку и приводящее к её визуальным и структурным изменениям. На начальных стадиях болезнь проявляется ороговением и покрытием белесым налетом слизистой нёба, дёсен, языка, внутренней стороны щёк. В дальнейшем возможно образование злокачественной опухоли.

При язвенном стоматите нередко кровоточат дёсны, в отдельных случаях могут выпадать зубы. Также при заболевании снижается иммунитет, из-за чего организм более подвержен инфекциям. Речь больного становится осипшей или хриплой, что чревато возникновением ларингита — болезни горла и связок.
Диагностика язвенного стоматита
На приёме врач расспросит пациента , как давно проявились первые симптомы заболевания, какова их интенсивность, возникали ли подобные случаи ранее. Также доктору необходимо знать о сопутствующих и перенесённых заболеваниях и аллергологическом статусе.
При осмотре ротовой полости стоматолог обратит внимание на зубные отложения, наличие острых краёв коронок зубов, на состояние ортопедических конструкций, патологическую стираемость зубов.
В ряде случаев потребуется лабораторная диагностика. Для этого из полости рта берётся мазок, который поможет выявить возбудителя и подобрать лекарственные препараты.

При аллергическом стоматите дополнительная диагностика может включать биохимический анализ слюны с выявлением активности ферментов. Также может потребоваться определение болевой чувствительности слизистой оболочки и гигиеническая оценка протезов.
Дифференциальную диагностику проводят с трофической язвой, с изъязвлённой опухолью, туберкулёзной и сифилитической язвами, стоматитом Венсана.
Инфекционный стоматит дифференцируют с другими вирусными заболеваниями (везикулярным стоматитом, ящуром и др.), а также с аллергическим стоматитом. Пузырно-эрозивные поражения при аллергическом стоматите слизистой оболочки рта следует отличить от пузырчатки, многоформной экссудативной эритемы, герпетического стоматита.
Лечение язвенного стоматита
Основная цель терапии состоит в том, чтобы уменьшить боль и ускорить заживление. Прежде всего необходимо устранить раздражители, которые причиняют дискомфорт пациенту. Далее следует уменьшить симптомы настолько, насколько это возможно.
Для лечения стоматита назначают полоскания растворами фурацилина, мирамистина, хлоргексидина, перекисью водорода. Полоскания уменьшат боль и зуд, очистят ротовую полость от остатков пищи, которые травмируют повреждённые участки.
При сильной боли назначают аппликации с обезболивающими средствами — "Камистадом", "Лидокаин асептом". Лечение различных форм стоматитов будет отличаться.
Инфекционный стоматит. При лечении в первую очередь необходимо понять, вследствие какой проблемы с иммунитетом возникло это состояние, и укрепить защитные силы организма. Для этого внутримышечно вводят "Продигиозан", полость рта обрабатывают антисептиками, протеолитическими ферментами, назначают УФ-терапию [11] .
Везикулярный стоматит. Для уменьшения симптомов будут полезны полноценный отдых, обильное питьё, приём жаропонижающих препаратов. Также слизистую оболочку рта обрабатывают антисептиками ("Супрастин", "Гексэтидин", "Пипольфен") и применяют противовирусные мази — риодоксоловую и теброфеновую. Часто назначают антигерпетические препараты — "Фамцикловир", "Ацикловир", "Валацикловир". Если придерживаться рекомендаций врача, то симптомы заболевания быстро уходят, и больной выздоравливает.
Язвенно-некротический стоматит Венсана. При лечении тщательно удаляют зубные отложения, обрабатывают слизистую оболочку полости рта антисептиками и назначают приём поливитаминов (например, "Компливита").
Аллергический стоматит. Лечение заключается в устранении причины аллергии и приёме внутрь антигистаминных препаратов. В тяжёлых случаях аллергического стоматита вводят внутривенно раствор тиосульфата натрия. При лечении в стационаре назначают капельное вливание гемодеза, изотонического раствора хлорида натрия, полиглюкина, а также приём кортикостероидов.
Хронический рецидивирующий афтозный стоматит. При местном лечении устраняют травматические факторы, полоскают рот тетрациклином (250 мг на 5 мл воды 4 раза в день в течение 5-7 дней), делают аппликации с кортикостероидами и антибиотиками, назначают обезболивающие. При глубоких язвах применяют протеолитические ферменты.
Общее лечение включает приём препаратов:
- , рифампицин (две капсулы дважды в сутки); (по одной таблетке дважды в сутки в течение 20 дней); (10 мл 30 % раствора внутривенно один раз в сутки или 1,5-3 г внутрь);
- "Продигиозан" (начинают с 15 мкг один раз в пять дней и увеличивают дозу до 100 мкг); (50 мг три раза в сутки два дня подряд в неделю или 150 мг однократно);
- "Делагил" (по одной таблетке один раз в день);
- "Колхицин" (по одной таблетке дважды в день в течение двух месяцев);
- "Аевит" (1 мл один раз в день внутримышечно в течение 20 дней);
- "Гистаглобулин" (2 мл подкожно один раз в три дня) [11] .
Стоматиты при интоксикациях солями тяжёлых металлов и химическими растворами. Если на слизистую попало химическое вещество, необходимо сразу смыть его нейтрализующим раствором. Дальнейшее лечение пациентов с химическими ожогами проводится обезболивающими и антисептическими средствами и препаратами, ускоряющими восстановление эпителия. Также важна высококалорийная диета. При обширных рубцах показано оперативное вмешательство [15] .
При своевременном обращении к врачу и адекватном лечении прогноз благоприятный [12] . Тяжелее всего поддаётся терапии хронический рецидивирующий афтозный стоматит. Для профилактики рецидивов следует:
- исключить контакты с провоцирующими факторами;
- придерживаться диеты;
- соблюдать гигиену полости рта;
- своевременно лечить инфекции;
- отказаться от вредных привычек [7][12] .
Для предпреждения стоматита важно следить за состоянием зубов: регулярно посещать стоматолога, вовремя лечить кариес, снимать зубные отложения.
Герпетический стоматит у детей
Герпетический стоматит у детей - острое воспалительное поражение слизистой оболочки полости рта, вызываемое вирусом простого герпеса. Герпетический стоматит у детей проявляется лихорадкой, лимфаденитом, слюнотечением, тошнотой, везикулярными высыпаниями, эрозиями и афтами в ротовой полости, потерей аппетита. Диагноз герпетического стоматита у детей ставят по данным анамнеза, клинической картины, цитологического исследования, РИФ, ПЦР, ИФА. Лечение герпетического стоматита у детей включает противовирусную, десенсибилизирующую, иммунокорригирующую терапию, местную обработку полости рта, физиопроцедуры.
Общие сведения
Герпетический стоматит у детей - герпес-вирусная инфекция, протекающая с преимущественным поражением слизистой полости рта и явлениями общей интоксикации. В педиатрии и детской стоматологии герпетический стоматит занимает первое место среди воспалительных заболеваний полости рта у детей, составляя почти 80% случаев. Герпетический стоматит рассматривается как проявление первого контакта организма ребенка с вирусом простого герпеса I типа. Наиболее часто герпетический стоматит встречается у детей от 1 до 3 лет, что связано с их возрастно-морфологическими особенностями, снижением уровня трансплацентарных антител и незрелостью клеточного и специфического иммунитета. Герпетический стоматит может наблюдаться и у детей первого года жизни, с первых месяцев находящихся на искусственном вскармливании.
Выделяют два типа герпетического стоматита у детей: первичный острый и хронический рецидивирующий. Дети, переболевшие острым герпетическим стоматитом, становятся бессимптомными вирусоносителями или страдают хроническим типом инфекции. Герпетический стоматит у детей может сопровождаться поражением нервной системы и внутренних органов, угнетением иммунных реакций, поэтому требует серьезного внимания со стороны педиатров, детских стоматологов, детских иммунологов, детских неврологов и других специалистов.
Причины герпетического стоматита у детей
ВПГ I типа - ДНК-содержащий вирус, относящийся к семейству Herpesviridae и клинически проявляющийся высыпаниями на коже лица и слизистой оболочке ротовой полости. Попадая в организм ребенка, ВПГ активно размножается в эпителиальных клетках и окружающих лимфатических узлах (чаще всего, подчелюстных), проникает в кровяное русло (первичная вирусемия), а оттуда в различные органы (печень, селезенку и др.) с последующим размножением и вторичной вирусемией. На следующем этапе наблюдается поражение кожи и слизистых губ, полости рта и зева с развитием у детей симптомов герпетического стоматита. Герпесная инфекция способна переходить в латентную форму с пожизненной персистенцией вируса в нервных ганглиях.
Источником возбудителя являются дети, больные острым герпетическим стоматитом, взрослые с рецидивирующим герпесом губ и вирусоносители. Герпетический стоматит очень заразен: ВПГ I типа может передаваться здоровым детям контактно-бытовым (через поцелуи, игрушки, предметы обихода) и воздушно-капельным путем (при кашле и чихании), возможна вертикальная передача от матери к плоду (при рецидиве герпеса с вирусемией у беременной).
Рецидивы хронического герпетического стоматита у детей возникают на фоне подавления иммунитета под действием провоцирующих факторов: переохлаждения, перегревания, длительной инсоляции, эмоционального стресса, авитаминоза, приема больших доз антибиотиков, перенесенных ОРВИ. Чаще всего герпетический стоматит у детей наблюдается в весенне-осенний период.
Симптомы герпетического стоматита у детей
В зависимости от клинических симптомов герпетический стоматит у ребенка может протекать в легкой, среднетяжелой и тяжелой формах; в его развитии выделяют инкубационный, продромальный периоды, разгар болезни (катаральный, период высыпаний), период угасания и клинического выздоровления. Среди детей чаще встречаются легкие и среднетяжелые формы герпетического стоматита.
Латентный период герпетического стоматита у детей составляет от 2 до 14 дней. В продромальном периоде ребенок становится беспокойным, капризничает, плачет, отказывается от пищи, плохо спит. Отмечаются слюнотечение, тошнота, рвота, увеличение и болезненность подчелюстных и шейных лимфоузлов.
Образование везикул продолжается в течение 2-4 дней и сопровождается сильной болезненностью. Одновременно можно наблюдать высыпания на разных стадиях развития. Афты и эрозии постепенно очищаются и затягиваются без рубцевания. Для герпетического стоматита у детей характерно волнообразное течение: появление высыпаний с лихорадкой завершается коротким стабильным периодом, затем начинается новая волна высыпаний с очередным скачком температуры.
При сниженном иммунитете и присоединении вторичной бактериальной инфекции возникают гнойничковые поражения слизистой и кожи. Острый герпетический стоматит у детей в зависимости от тяжести течения и эффективности лечения может продолжаться от 7 до 14 дней. Опасное течение острая герпесвирусная инфекция может приобретать в первые месяцы жизни ребенка в связи с генерализацией поражения, риском развития септического состояния, поражения внутренних органов, серозных оболочек мозга.
Диагностика герпетического стоматита у детей
Диагноз герпетического стоматита у детей ставится на основании клинической картины, анамнеза, результатов цитологического, вирусологического и серологического исследований.
Для идентификации вируса может использоваться сыворотка крови, слюна, мазки, смывы или соскобы со слизистой ротовой полости. Установить возбудителя герпетического стоматита у детей можно методом иммунофлюоресценции (РИФ) и ПЦР. Серологическую идентификацию титра вирусных антител проводят с помощью ИФА и РСК.
Герпетический стоматит у детей необходимо дифференцировать от других видов стоматита (аллергического, медикаментозного, грибкового), герпетической ангины, специфических инфекций (кори, скарлатины, ветряной оспы, дифтерии), многоформной эксудативной эритемы.
Лечение герпетического стоматита у детей
При неосложненном течении герпетического стоматита лечение амбулаторное, в осложненных случаях и у детей первых трех лет жизни может потребоваться госпитализация. Детям с герпетическим стоматитом показаны постельный режим, обильное питье, протертая, теплая, нераздражающая пища, пользование отдельной посудой и предметами гигиены.
Комплексное лечение герпетического стоматита у детей (общее и местное) подбирают в зависимости от периода заболевания и степени выраженности симптомов. При лихорадке и болезненности назначают парацетамол, ибупрофен; для снятия отека - антигистаминные препараты (мебгидролин, клемастин, хифенадин). Системная этиотропная терапия (ацикловир, интерферон) более эффективна в начальном периоде. С целью иммунокоррекции назначаются лизоцим, экстракты тимуса, инъекции гамма-глобулина.
Местное лечение герпетического стоматита у детей проводится детским стоматологом и детским пародонтологом. Осуществляется ежедневная обработка слизистой оболочки полости рта антисептиками, анестетиками, отварами трав, смазывание противовирусными препаратами. При среднетяжелой форме герпетического стоматита у детей для очищения поверхности слизистой от некротических масс используются растворы протеолитических ферментов (трипсина, химотрипсина).
В период эпителизации эрозий применяют кератопластические средства (витамины A, Е, масло шиповника и облепихи). Физиолечение при герпетическом стоматите у детей назначают с первых дней заболевания (УФО, инфракрасное облучение). При рецидивирующем герпетическом стоматите у детей показаны курсы общеукрепляющих средств (витаминов C, В12, рыбьего жира), высококалорийная диета.
Прогноз и профилактика герпетического стоматита у детей
Герпетический стоматит у детей в большинстве случаев заканчивается клиническим выздоровлением через 10-14 дней. В тяжелых случаях существует риск осложнений в виде герпетического кератоконъюнктивита, герпетического энцефалита, генерализации инфекции.
Предотвратить контакт детей с герпесвирусной инфекцией невозможно, т.к. носительство ВПГ среди взрослого населения составляет 90 %. Профилактика герпетического стоматита может включать изоляцию больного ребенка от здоровых детей, ограничение контактов со взрослыми в активной фазе инфекции, соблюдение правил личной гигиены, закаливание, занятия физкультурой.
Острый стоматит
Острый стоматит - поражение слизистой оболочки полости рта различного генеза. При стоматите Венсана образуются участки изъязвлений. При кандидозе слизистая становится сухой, гиперемированной. Появление творожистых наслоений говорит о псевдомембранозной форме микотического стоматита. Наличие типичной пузырьково-эрозивной сыпи, регионарного лимфаденита подтверждает диагноз герпеса. При медикаментозном стоматите клиника варьирует от локальной гиперемии до появления обширных эрозивных участков. Диагностика включает сбор анамнеза, клинический осмотр, лабораторные исследования. Лечение направлено на купирование воспалительного процесса, повышение резистентности организма.
Острый стоматит - воспаление слизистой оболочки ротовой полости, сопровождающееся выраженной клиникой. Среди вирусных поражений наиболее распространенным заболеванием является герпетический стоматит. Свыше 70% людей всей планеты являются носителями вируса простого герпеса. Первичное инфицирование происходит после 6 месяцев жизни. Это связано с постепенным снижением в крови ребенка специфических антител, переданных от матери. Острый стоматит Венсана чаще диагностируют в период с октября по декабрь. Основную группу пациентов составляют мужчины молодого возраста. Кандидозу полости рта наиболее подвержены младенцы. Распространенность носительства кандиды среди взрослых составляет 60-70%, среди детей - 80%.
Причины острого стоматита
Снижение местных и общих факторов защиты создает благоприятные условия для перехода сапрофитных микроорганизмов в патогенную форму. При активизации анаэробной ассоциации, состоящей из фузобактерий и боррелий Венсана, развивается язвенно-некротический острый стоматит. Способствуют проявлению заболевания низкий уровень гигиены, наличие множественных кариозных дефектов, травматизация слизистой острыми краями разрушенных стенок зубов. Нерациональный прием антибиотиков, болезни эндокринной системы, неудовлетворительный индекс гигиены, смещение ph слюны в кислую сторону - основные причины развития острого микотического стоматита.
Острый герпетический стоматит возникает в результате внедрения и активизации в организме вируса простого герпеса. Пути инфицирования - контактный, трансплацентарный, воздушно-капельный. Стрессы, физическая усталость, переохлаждение, гиперинсоляция - все эти факторы подавляют иммунную реактивность организма, способствуют переходу вируса простого герпеса из латентного состояния в активную форму. Острый стоматит травматического происхождения возникает в результате химического ожога, прикусывания слизистой, повреждения острым предметом. В стоматологии также встречается острый медикаментозный стоматит, развивающийся вследствие приема лекарственных средств.
Для патогенеза острых стоматитов характерно превалирование экссудации. Вслед за кратковременным спазмом мелких поверхностных сосудов наступает период их стойкого расширения. Наряду с дилатацией наблюдается стаз, что приводит к нарушению оксигенации тканей. При остром стоматите Венсана, тяжелых формах медикаментозного стоматита кроме воспалительного компонента присутствует и альтеративный. Некротические процессы охватывают глубокие слои слизистой. В основе патогенетического механизма развития медикаментозного острого стоматита лежит аллергическая реакция (чаще замедленного типа). В ответ на прием лекарственного средства иммунная система начинает продуцировать антитела. При последующем введении того же препарата развивается острый аллергический стоматит.
Классификация острого стоматита
По этиологии острые стоматиты разделяют на 3 категории:
- Инфекционные заболевания. Основные возбудители - вирусы, бактерии, дрожжевые грибы. К этой группе относят острый стоматит Венсана, герпетическую инфекцию, кандидоз полости рта (псевдомембранозную и атрофическую формы).
- Травматические поражения. Развиваются вследствие механической травмы, физического воздействия, химического ожога.
- Аллергические реакции. Острые медикаментозные стоматиты возникают в результате сенсибилизации организма. Выделяют катаральную, экссудативно-гиперемическую, эрозивно-язвенную формы.
По характеру течения выделяют легкую, среднетяжелую и тяжелую степени острого стоматита.
Симптомы острого стоматита
При остром стоматите Венсана на слизистой оболочке полости рта образуются зоны изъязвлений, покрытые сверху грязно-серыми наслоениями. Состояние пациентов резко ухудшается, развивается гипертермия. Гнилостный запах изо рта ощущается на расстоянии. От малейшего касания языком пораженного места появляется интенсивная боль. При псевдомембранозной форме острого кандидозного стоматита возникает выраженное жжение слизистой. В полости рта выявляют участки с творожистыми наслоениями белого цвета. При атрофической форме острого стоматита, вызванного дрожжевыми грибами, слизистая ярко красная, налет отсутствует. Пациенты указывают на болезненность, повышенную чувствительность слизистой.
В продромальном периоде герпетической инфекции развивается острый катаральный стоматит. Спустя 1-2 дня появляются сгруппированные пузырьки, заполненные прозрачной жидкостью. Оболочка пузырьков очень тонкая, в результате чего они быстро лопаются, обнажая болезненную раневую поверхность. Во время разрешения острого стоматита эрозии покрываются корками. При остром травматическом стоматите в полости рта выявляют участок гиперемии слизистой с признаками мацерации.
При контакте слизистой с кислотой образуется зона сухого коагуляционного некроза, четко отграниченная от здоровых тканей. В случае попадания щелочи формируется влажный глубокий колликвационный некроз. Пациенты жалуются на выраженный болевой синдром. Воздействие высоких (низких) температур приводит к слущиванию поверхностного эпителия. Развитию острого медикаментозного стоматита предшествуют жжение, гиперемия, отечность слизистой. Субэпителиально формируются везикулярно-буллезные элементы поражения, заполненные серозной жидкостью. Пузырьки быстро вскрываются, оголяя обширные эрозивные поверхности.
Диагностика острого стоматита
При физикальном осмотре больного с острым стоматитом Венсана врач-стоматолог выявляет участки некроза слизистой, покрытые серым налетом. При пальпации диагностируют регионарный лимфаденит. В анализе крови определяют повышение лейкоцитов, ускорение СОЭ. Бактериоскопическое исследование подтверждает наличие в тканях слизистой увеличенного количества фузобактерий и спирохет Венсана.
При обследовании пациентов с острым кандидозным стоматитом выявляют сухую, ярко гиперемированную слизистую, покрытую творожистыми пленками. При обзорной микроскопии мазков, взятых с пораженных участков слизистой, обнаруживают почкующиеся дрожжевые грибы и нити псевдомицелия. С помощью внутрикожной аллергопробы определяют сенсибилизацию к антигенам кандиды.
Наличие признаков интоксикации, пузырьково-эрозивной сыпи, регионарного лимфаденита говорит о развитии острого герпетического стоматита. Вирусологическим методом выделяют вирус простого герпеса из содержимого пузырьков. В серологических реакциях преципитации, связывания комплемента определяют наличие специфических антител (IgM, IgG) к вирусу herpes simplex. При остром медикаментозном стоматите иммунологическое исследование мазка с пораженных участков слизистой подтверждает присутствие повышенной концентрации эозинофилов. Из вспомогательных методов также используют биохимический анализ крови, кожные аллергопробы, определение специфических IgE к лекарственным средствам.
При постановке диагноза необходимо дифференцировать между собой разные формы острого стоматита, а также провести дифдиагностику заболевания с экссудативной эритемой, лейкоплакией, красным плоским лишаем, с симптоматическими стоматитами. В процессе диагностики может возникнуть необходимость в консультации аллерголога-иммунолога, инфекциониста.
Лечение острого стоматита
Местное лечение острого стоматита Венсана направлено на обезболивание, антисептическую обработку, очищение слизистой от некротических тканей. Хорошего антимикробного и некролитического эффекта удается достичь при комбинировании антибиотиков с протеолитическими ферментами. Для ускорения восстановительных процессов назначают кератопластики. Общее этиотропное лечение острого стоматита Венсана включает прием антибиотиков, антипротозойных препаратов.
Терапия острого кандидозного стоматита состоит из применения противогрибковых средств. Полиеновые антибиотики назначают для приема внутрь или местно в виде аппликаций. Чтобы избежать привыкания микрофлоры, стоматологи рекомендуют чередовать препараты. Для антисептической обработки используют лекарства, обладающие антимикотической активностью. Через 2-3 дня после начала лечения проводят санацию полости рта.
Лечение острого герпетического стоматита включает применение противовирусных препаратов на основе ацикловира. Важной составляющей терапии острого стоматита является иммуномодуляция. С этой целью назначают производные интерферона, а также индукторы эндогенных интерферонов. Местно применяют средства на основе искусственного лизоцима, обезболивающие спреи, антисептики. Для ускорения эпителизации наносят кератопластики.
Первоочередным аспектом при проведении лечения острого медикаментозного стоматита является устранение дальнейшего контакта с препаратом-аллергеном. С целью десенсибилизации назначают антигистаминные препараты. При обширных язвенно-некротических поражениях применяют глюкокортикоиды. Местно используют антисептики, некролитики (в случае наличия некротизированных тканей). В фазе дегидратации назначают кератопластики.
При остром травматическом стоматите показаны орошения слизистой противомикробными препаратами. При наличии выраженного болевого синдрома применяют местные анестетики, противовоспалительные нестероидные средства. Для нейтрализации токсического воздействия при химическом ожоге используют антидоты.
При своевременно начатом лечении острого стоматита прогноз благоприятный. Выздоровление наступает в течение 7-10 дней (при тяжелой форме заболевания - в течение 14-20 дней). Острый стоматит свидетельствует о сниженной реактивности организма. Чтобы избежать рецидивов, в период ремиссии необходимо проводить квалифицированную иммуномодулирующую терапию.
Стоматиты
Стоматит — воспалительный процесс слизистой оболочки полости рта различной этиологии. Характеризуется покраснением, отечностью слизистой (катаральный стоматит), образованием пузырьков и эрозий (афтозный стоматит), изъязвлений (язвенный стоматит) в полости рта, болезненностью и жжением, особенно при приеме пищи. Для определения этиологии стоматита проводят исследование мазков, взятых из пораженного участка слизистой. Лечение стоматита состоит из этиологической, обезболивающей, раноочищающей и заживляющей терапии. В легких случаях соблюдение гигиены и санация полости рта приводят к выздоровлению. Рецидивирующее или тяжелое течение стоматита говорит о наличии общего заболевания организма.



Стоматит - это воспаление слизистой оболочки полости рта. Заболевание может возникнуть по разным причинам, но среди детей младшего возраста заболеваемость стоматитами в несколько раз выше.
Причины стоматита
Стоматит может выступать как самостоятельное заболевание и как симптом системных патологий. Так, причиной появления стоматита как симптома может быть пузырчатка, системная склеродермия и стрептодермия. Иммунодефицитные состояния в продромальный период чаще всего проявляются длительными плохо поддающимися лечению стоматитами. Но чаще стоматит выступает как самостоятельное заболевание. Механические травмы сколотыми зубами, твердыми фрагментами пищи или неправильно установленными протезами являются причинами травматических стоматитов. После устранения травмирующего фактора такие стоматиты проходят самостоятельно.
Слишком горячая пища может вызвать ожог слизистой, такой стоматит тоже проходит без лечения. Исключением является хроническое воспаление слизистой оболочки рта из-за регулярного приема чрезмерно горячей пищи. Гиперчувствительность к пище, лекарственным веществам и к компонентам средств по уходу за полостью рта может стать причиной затяжных аллергических стоматитов, трудно поддающихся лечению.

Инфекционные стоматиты, в том числе герпетические и кандидозные встречаются у людей разных возрастных групп. При этом у детей превалирует контактный путь заражения, а причиной инфекционных стоматитов у взрослых являются сопутствующие заболевания, такие как бронхиальная астма и сахарный диабет.
Именно по причинам возникновения и классифицируют стоматиты. Вторая классификация ведется по глубине поражения, так различают катаральные, язвенные, некротические и афтозные стоматиты.
Симптомы стоматита
Катаральный стоматит является самой распространенной формой стоматитов. Слизистая оболочка полости рта становится отечной, гиперемированной и болезненной. Пациенты предъявляют жалобы на болезненность во время принятия пищи, увеличение слюноотделения, иногда на кровоточивость и на неприятный запах изо рта. В некоторых случаях при катаральном стоматите слизистая покрыта желтовато-белым налетом.
Язвенный стоматит может являться запущенной формой катарального стоматита или же развиваться как самостоятельное заболевание. При язвенном стоматите поражена вся слизистая оболочка, тогда как при катаральном - только ее верхний слой. На начальном этапе катаральный и язвенный стоматит имеют сходную симптоматику, но через 3-5 дней после начала заболевания повышается температура тела, и увеличиваются регионарные лимфатические узлы. Пациенты предъявляют жалобы на резкую болезненность во время принятия пищи, многие из них отказываются от еды. Нарастают симптомы общей слабости, появляется головная боль. Особенно ярко проявляются симптомы язвенного стоматита у детей и ослабленных больных.

При афтозном стоматите слизистая оболочка полости рта покрывается множественными или единичными афтами - язвами овальной или округлой формы. От здоровой ткани афты отграничены узкой красной каймой, а в центре афтозной язвы имеется серый или желтый налет. Афтозный стоматит начинается с симптомов общего недомогания, после повышения температуры тела слизистая полости рта становится болезненной, далее в областях болезненности появляются афты. После заживления на месте афтозных язв остаются шрамы.
При инфицировании полости рта вирусом простого герпеса диагностируют острый герпетический стоматит. Герпетическому стоматиту в основном подвержены дети в закрытых учреждениях. Продромальный период отсутствует, заболевание начинается с резкого подъема температуры до фебрильных значений, общее самочувствие пациентов тоже страдает. При осмотре слизистая полости рта гиперемирована, отечна, иногда имеются очаги кровоточивости десен. Большинство пациентов с герпетическим стоматитом предъявляют жалобы на увеличение слюноотделения и на появление неприятного запаха изо рта. Через несколько дней на слизистой появляются группки мелких пустул и везикул и присоединяются симптомы некротических изменений эпителия.
Язвенно-некротический стоматит или стоматит Венсана вызывается симбиозом веретенообразной бактерией и спирохетой ротовой полости. Гиповитаминозы и снижение иммунитета способствуют возникновению данного стоматита. Клинически язвено-некротический стоматит характеризуется появлением на слизистой рта язв и эрозий и повышением температуры тела до субфебрильных значений. Пациенты предъявляют жалобы на болезненность и кровоточивость десен, со временем присоединяется гнилостный запах изо рта. Для язвено-некротического стоматита характерно начало процесса с десневого края, далее воспаление переходит на другие участки слизистой оболочки.
Аллергический стоматит может быть любой степени тяжести, начиная от катаральной формы и заканчивая язвено-некротической. По распространению аллергический стоматит может быть локализованным или диффузным. При воздействии на слизистую лекарственными веществами, которые и стали аллергенами, аллергический стоматит обычно носит катаральный или катарально-геморрагический характер. Пациенты предъявляют жалобы на сухость во рту и зуд, прием пищи становится болезненным. Слизистая оболочка полости рта отечна, гиперемирована, при длительно-текущем аллергическом стоматите отмечаются атрофические изменения сосочков языка.
Диагностика

Клинической картины, субъективных жалоб и внимательного осмотра стоматологом достаточно, чтобы правильно поставить диагноз. Иногда прибегают к лабораторной диагностике: ПЦР-исследование на кандидоз и герпес, бакпосев соскоба или мазка. А при неподдающихся лечению стоматитах показано общее обследование для выявления системных заболеваний, которые и стали основной причиной стоматита.
Лечение стоматита
Целью терапии является уменьшение болезненности и длительности течения заболевания. Статистические данные подтверждают, что стоматиты реже встречаются или же проходят быстрее, если пользоваться средствами по уходу за полостью рта которые не содержат лауриловый сульфат натрия, именно этот компонент может спровоцировать появление вялотекущих и рецидивирующих стоматитов.
Аппликации и полоскание низкопроцентными растворами анестетиков помогают снизить болезненность, что особенно важно при язвенных стоматитах. Это помогает сохранить аппетит и не допустить отказа от пищи.
Язвенные элементы смазывают бензокаином, лидокаином, тримекаином, а также соком алоэ или каланхоэ, эти вещества не только снижают болезненность при стоматите, но и покрывают эрозированные участки защитной пленкой. Следует учитывать, что анестетики подходят для кратковременного лечения, длительное использование таких препаратов недопустимо.
Хороший эффект оказывают препараты, которые очищают язвы от бактериального налета. При язвенных стоматитах слой бактериального налета препятствует быстрому заживлению элементов, поэтому стоматит приобретает вялотекущий или рецидивирующий характер. Очищающие пасты в большинстве своем содержат перекись карбамида и перекись водорода.
Использование антибактериальных препаратов является агрессивным методом лечения стоматитов. Их применяют, если имеется реинфицирование язвочек, чаще всего применяются препараты, в состав которых входит хлогексидина биглюконат. Длительное использование таких препаратов вызывает образование пятен на зубах и пломбах, которые проходят после окончания лечения.
Противовирусные мази оказывают хороший эффект, если стоматит имеет вирусную природу. Использование интерфероновой, оксолиновой, теброфеновой и других противовирусных мазей возможно только после назначения врачом. Существуют препараты, которые создают защитную пленку на язвочках. Такая пленка ускоряет заживление, предотвращает реинфицирование язвочки и ее травматизацию. Это препараты, которые содержат каротолин, масло облепихи, масло шиповника и винилин.
Полоскание полости рта раствором фурацилина, настоями и отварами зверобоя, календулы, ромашки, коры дуба и других трав с антисептическим действием ускоряют процесс заживления. При катаральном стоматите выздоровления можно добиться только за счет частых полосканий полости рта. Для лечения стоматитов применяют физиотерапевтические методы: ультразвук, магнитотерапию, УФО и др.
Лечение стоматита травматического характера заключается в устранении провоцирующих факторов, симптоматическая терапия проводится по показаниям. Прогноз, как правило, благоприятный; лишь в единичных случаях хронический травматический стоматит может стать причиной лейкоплакии языка или малигнизации клеток полости рта. При стоматите аллергической природы необходимо выявить и устранить аллерген, после чего симптомы стоматита проходят. В тяжелых случаях требуется гипосенсибилизирующая терапия и госпитализация.
Профилактикой стоматитов является правильный уход за полостью рта, пропаганда здорового образа жизни и обучение правилам личной гигиены начиная с детского возраста.
Читайте также:
