Гидронефроз на УЗИ. УЗИ диагностика нарушения проходимости мочеточника.
Добавил пользователь Валентин П. Обновлено: 22.01.2026
Категории МКБ: Врожденные нарушения проходимости почечной лоханки и врожденные аномалии мочеточника (Q62), Гидронефроз с обструкцией лоханочно-мочеточникового соединения (N13.0), Обструктивная уропатия и рефлюкс-уропатия (N13)
Общая информация
Краткое описание
Одобрено
Объединенной комиссией по качеству медицинских услуг
Министерства здравоохранения Республики Казахстан
от «29» июня 2017 года
Протокол №24
Гидронефроз (гидронефротическая трансформация) — это заболевание почки, характеризующееся расширением чашечно-лоханочной системы, гипо- или атрофией почечной паренхимы и прогрессирующимухудшениемвсехосновныхфункций, вследствие нарушения оттока мочи и гемоциркуляции. Гидронефроз, сопровождающийся расширением мочеточника, называется уретерогидронефрозом.
Код(ы) МКБ-10:
| МКБ-10 | |
| Код | Название |
| N13.0 | Гидронефроз, обусловленныйстриктуройлоханочно-мочеточниковогосегмента (ЛМС) |
| N13 | Обструктивная уропатия и рефлюкс-уропатия.Гидронефроз. |
| Q62 | Врожденные нарушения проходимости почечной лоханки и врожденные аномалии мочеточника. Врожденный гидронефроз. |
Дата разработки/пересмотра протокола: 2017 год.
Сокращения, используемые в протоколе:
| УЗИ | - | ультразвуковое исследование |
| КТ | - | компьютерная томография |
| МРТ | - | магнитно-резонансная томография |
| ОАК | - | общий анализ крови |
| ОАМ | - | общий анализ мочи |
| СОЭ | - | скорость оседания эритроцитов |
| ЭКГ | - | электрокардиограмма |
Пользователи протокола: врачи скорой неотложной медицинской помощи, врачи общей практики, терапевты, урологи, хирурги.
Категория пациентов: взрослые.
Шкала уровня доказательности:
| А | Высококачественный мета-анализ, систематический обзор РКИ или крупное РКИ с очень низкой вероятностью (++) систематической ошибки результаты которых могут быть распространены на соответствующую популяцию. |
| В | Высококачественный (++) систематический обзор когортных или исследований случай-контроль или Высококачественное (++) когортное или исследований случай-контроль с очень низким риском систематической ошибки или РКИ с невысоким (+) риском систематической ошибки, результаты которых могут быть распространены на соответствующую популяцию. |
| С | Когортное или исследование случай-контроль или контролируемое исследование без рандомизации с невысоким риском систематической ошибки (+). Результаты которых могут быть распространены на соответствующую популяцию или РКИ с очень низким или невысоким риском систематической ошибки (++ или +), результаты которых не могут быть непосредственно распространены на соответствующую популяцию. |
| D | Описание серии случаев или неконтролируемое исследование или мнение экспертов. |
| GPP | Наилучшая клиническая практика. |

Автоматизация клиники: быстро и недорого!
- Подключено 300 клиник из 4 стран
- 800 RUB / 4500 KZT / 27 BYN - 1 рабочее место в месяц

Автоматизация клиники: быстро и недорого!
- Подключено 300 клиник из 4 стран
- 1 место - 800 RUB / 4500 KZT / 27 BYN в месяц
Мне интересно! Свяжитесь со мной
Классификация
Классификация[1,2]:
Данное заболевание подразделяют на две формы:
· первичный или врожденный, гидронефроз, развивающийся вследствие какой-либо аномалии верхних мочевых путей;
· вторичный, или приобретенный, гидронефроз как осложнение какого-либо заболевания (например, мочекаменная болезнь, опухоли почки, лоханки или мочеточника, повреждения мочевых путей).
Гидронефроз может быть односторонним и двусторонним.
Различают 4 степени гидронефроза:
· 1 степень - паренхима сохранена;
· 2 степень - незначительное повреждение паренхимы;
· 3 степень - значительное повреждение;
· 4 степень - отсутствие паренхимы, почка не функционирует.
Различают 3 стадии гидронефроза:
· 1-я стадия (начальная) - признаки гидрокаликоза, экскреторная функция почек не страдает;
· 2-я стадия (ранняя) - признаки пиелоэктазии, умеренная атрофия паренхимы почки, функция почки страдает умеренно;
· 2-я стадия (поздняя) - функция почки страдает, признаки расширения лоханки и чашечек на всем протяжении, атрофия паренхимы почки;
· 3-я стадия (терминальная) - отсутствие функции почки, значительная атрофия паренхимы, значительное расширение чашечно-лоханочной системы.
| Группа | Категория факторов риска | Примеры факторов риска |
| 1 | препятствия, локализованные в уретре и мочевом пузыре | ▪ заболевания, вызывающие инфравезикальную обструкцию и нарушающие, при длительном существовании, пассаж мочи из верхних мочевыводящих путей (ВМП): ▪ стриктуры; ▪ дивертикулы; ▪ врождённые и приобретённые клапаны уретры; ▪ аденома простаты (за исключением ретротригонального роста); ▪ заболевания мочевого пузыря как причина гидронефроза: ▪ опухоли; ▪ дивертикулы; ▪ уретероцеле; ▪ пузырно-мочеточниковый рефлюкс; ▪ нейрогенный мочевой пузырь (атония стенок мочевого пузыря). |
| 2 | препятствия по ходу мочеточника, но вне его просвета | ▪ аденому простаты при ретротригональном росте (симптом «рыболовных крючков»); ▪ РПЖ со сдавлением устьев мочеточников; ▪ опухолевые процессы в малом тазу и забрюшинной клетчатке (саркомы, лимфомы, опухоли кишечника и др.); ▪ увеличенные лимфатические узлы забрюшинного пространства (опухолевые метастазы); ▪ воспалительные процессы забрюшинного пространства (болезнь Ормонда, тазовыйлипоматоз); ▪ заболевания кишечника (болезнь Крона, неспецифический язвенный колит); ▪ последствия лучевой терапии при новообразованиях органов малого таза (шейка матки, прямая кишка). |
| 3 | препятствия, вызванные отклонением положения и хода мочеточника | ▪ перегибы и искривления; ▪ перекручивание вокруг продольной оси; ▪ ретрокавальное расположение мочеточника; ▪ обтурацию просвета. Эти причины ведут к возникновению одностороннегогидроуретеронефроза. |
| 4 | препятствия (сдавления) по ходу мочеточника или зоны лоханочно-мочеточникового сегмента | ▪ высокое отхождение мочеточника от лоханки; ▪ добавочный почечный сосуд, идущий к нижнему сегменту почки и перекрещивающий мочеточник у места отхождения его от лоханки, — одна из наиболее частых причин гидронефроза. Сосуд сдавливает мочеточник и воздействует на его нервно-мышечный аппарат. Кроме того, в результате воспалительной реакции в этой области образуются периваскулярные и периуретеральные рубцовые спайки, создающие фиксированные перегибы или сдавливающие ЛМС. В самой стенке мочеточника в этом месте формируется рубцовая зона с резко суженным просветом — странгуляционная борозда; ▪ камни; ▪ опухоли; ▪ клапаны и шпоры на слизистой оболочке в области ЛМС и мочеточника; ▪ стриктуры мочеточника (при наличии стриктур верхней трети мочеточника стоит исключить так называемоеовариковарикоцеле); ▪ дивертикулы мочеточника; ▪ кистозный уретерит; ▪ полипы мочеточника |
| 5 | изменения в стенках мочеточника или лоханки, вызывающие нарушение оттока мочи. | ▪ нейромышечной дисплазией мочеточник с обструкцией просвета, первичныммегауретером; ▪ посттравматическими изменениями и стриктурами мочеточника в результате повреждения его стенки (огнестрельные ранения, повреждения при гинекологических операциях). |
Диагностика
МЕТОДЫ, ПОДХОДЫ И ПРОЦЕДУРЫ ДИАГНОСТИКИ [14,16,18]
Диагностические критерии
Жалобы и анамнез:
Гидронефроз нередко протекает бессимптомно. Наиболее часто проявляется:
· болью в поясничной области;
· макрогематурией;
· гипертермией;
· дизурией.
Анамнез:
· наличие вышеуказанных симптомов и время их появления от момента осмотра;
· перенесённые операции или патологические процессы органов малого таза, брюшной полости и забрюшинного пространства.
Физикальное обследование:
· обнаружение пальпируемого образования в подреберье, а при выраженном гидронефрозе — в соответствующей половине живота;
· тимпанический звук при перкуссии характеризует забрюшинное расположение образования. Тупой звук свидетельствует о значительном гидронефрозе и оттеснении органов брюшной полости;
· ректальное исследование позволяет оценить состояние предстательной железы, вагинальное — половых органов.
Лабораторные исследования:
· общий анализ крови:лейкоцитоз, нейтрофильный сдвиг влево, анемия легкой и средней степени тяжести, ускорение СОЭ.Лейкоцитоз со сдвигом формулы влево и увеличение СОЭ свидетельствуют о присоединении мочевой инфекции. При билатеральном гидронефрозе пониженное содержание гемоглобина указывает на наличие почечной недостаточности. Возможны лейкоцитурия, канальцевая протеинурия, гематурия, снижение относительной плотности мочи при двустороннем поражении;
· общий анализ мочи (по показаниям и по Нечипоренко):лейкоцитурия, протеинурия, бактериурия, гипостенурия (снижение функции концентрирования), микро-, макрогематурия;
биохимический анализ крови:азотемия (повышение уровня креатинина), мочевины, снижение ОЖСС, ферритина, гипокалиемия, гипокальциемия. Содержание креатинина и мочевины, электролитов (калия и натрия). Повышение уровня креатинина и мочевины может указывать на двусторонний характер процесса.
При подозрении на вторичный гидронефроз лабораторная диагностика включает тесты, необходимые для определения основного заболевания (анализ крови на ПСА, цитологическое исследование мочи).
Инструментальные исследования[16]:
· КТ почек:расширение полостной системы почек, оценивается состояние парехимы почки.
· УЗИ почек:расширение полостной системы почек, оценивается состояние парехимы почки.
· Доплерография почек: оценивается кровоснабжения почки, определяют наличие добавочных сосудов
· Дополнительным методом обследования является УЗИ с диуретической нагрузкой (лазикс из расчета 0,5 мг/кг) -определяют размеры ЧЛС обеих почек, оценивают динамику коллекторной системы на 15-й, 30-й, 45-й минутах исследования. В норме максимальной расширение ЧЛС происходит на 10-15 мин после введения лазикса, а возвращение к первоначальным размерам происходит к 20-30 минуте
· Экскреторная урография:расширение чашечно-лоханочной системы почек различной степени, расширение лоханки (вне-,внутрипочечное), отсутствие контрастирования мочеточника, задержка эвакуации контрастного вещества из коллекторной системы на отсроченных урограммах.
· Спиральная КТ с болюсным контрастным усилением:показывает паренхиматозную, экскреторную и сосудистую фазу, расширение чашечно-лоханочной системы, состояние паренхимы, наличие дополнительных сосудов, конкрементов, объемные образования забрюшинного пространства, сдавливающие мочеточник из вне.
· Антеграднаяпиелоуретерография:дополнительный метод обследования,позволяющий определить расширение чашечно-лоханочной системы, локализацию обструкции.
· Ретроградная уретеропиелография: дополнительный метод обследования, позволяющий определить уровень и протяженность обструкции.
Показания для консультации специалистов:
· консультация терапевта -для исключения сопутствующей соматической патологии (артериальная гипертония, сахарный диабет, системные заболевания, аллергические заболевания, язвенная болезнь желудка и т д.);
· консультация кардиолога - для исключения патологии ССС (артериальная гипертония, ишемическая болезнь сердца, стенокардия напряжения, инфаркты миокарда, оперативные вмешательства на сердце в анамнезе и т д.);
· консультация пульмонолога - для исключения патологии дыхательной системы (бронхиальная астма, ХОБЛ и т д.);
· консультация оториноларинголога - для исключения патологии носоглотки;
· консультация стоматолога - для санации полости рта.
Диагностический алгоритм: (схема)

Алгоритм диагностики и лечения гидронефроза
Гидроуретеронефроз
Гидроуретеронефроз - это гидронефротическая трансформация почки с расширением мочеточника и развитием гипотрофии или атрофии ренальной паренхимы на фоне нарушения уродинамики и гемоциркуляции. Симптомы зависят от степени выраженности патологии. Возможно бессимптомное течение или появление болей в области поясницы, слабость, повышение АД. Диагностика базируется на данных УЗИ почек и простаты, обзорной и экскреторной урографии, уретеропиелографии, микционной цистоуретерографии, КТ, МРТ и лабораторных анализов: ОАМ, пробы Нечипоренко, ОАК, бакпосева урины на флору. Лечение преимущественно оперативное, направлено на устранение препятствия оттоку мочи.
МКБ-10

Общие сведения
Гидроуретеронефроз встречается достаточно часто, в детском возрасте регистрируется преимущественно у мальчиков (5:2), чаще слева, двустороннее поражение диагностируется у 15%. В возрасте от 20 до 40 лет болезнь встречается у 1% людей, женщины страдают вдвое чаще мужчин, что связывают с беременностью и распространенностью опухолевой гинекологической патологии. У пациентов старше 50 лет гидроуретеронефротическая трансформация развивается на фоне другой патологии, определяющей прогноз заболевания (например, у мужчин - на фоне ДГПЖ).
Причины гидроуретеронефроза
Причина гидроуретеронефротической трансформации - обструкция любого отдела мочевыводящих путей. Препятствие может возникнуть в мочевом пузыре, уретре или самом мочеточнике (связано со сдавлением извне или внутренними изменениями). Отклонение положения и хода уретера также нарушает уродинамику. Заболевания, которые могут привести к гидроуретеронефрозу:
- доброкачественная гиперплазия простаты;
- стриктура уретры;
- рак мочевого пузыря, уретера, предстательной железы, мочеиспускательного канала;
- аномалии развития, уретеральные клапаны, способствующие рефлюксу мочи (диагностируются в раннем детском возрасте);
- фиброзные процессы в брюшной полости с образованием массы, сдавливающей мочеточники и сосуды, питающие почку (болезнь Ормонда, метастатическое поражение, эндометриоз);
- сосудистые мальформации, ведущие к перегибу мочеточника через добавочный сосуд;
- уретероцеле;
- пролапс тазовых органов у женщин;
- травмы позвоночника и спинного мозга, потенцирующие дисфункцию мочевого пузыря;
- воспалительные заболевания кишечника.
К предрасполагающим факторам относят прохождение лучевой терапии, мочекаменную болезнь. Врожденный гидроуретеронефроз провоцирует воздействие токсико-эмбриологического агента во время беременности матери, длительная алкогольная и никотиновая интоксикация, работа, связанная с вредными условиями труда. При обструкции нижних мочевыводящих путей гидроуретеронефроз носит двусторонний характер.
Патогенез
Секреторная и реабсорбирующая ренальные функции на ранней стадии гидроуретеронефроза сохранены, но отставание обратного всасывания приводит к накоплению урины в лоханке и ее деформации. Стаз инициирует гипертрофию мускулатуры ЧЛС. Избыточное развитие спиральных мышц чашечек способствует резкому повышению давления урины на сосочки и форникальную зону. Нарушается нормальное выделение фильтрата из сосочков в лоханку, из-за чего снижается диурез.
Длительная гипертрофия сменяется истончением, страдает уродинамика, начинает расширяться ЧЛС. Из-за нарушения микроциркуляции ткани подвергаются гипотрофии. Часть паренхимы, где сохраняется высокое давление, производит фильтрат, который попадает в ЧЛС, а затем с помощью тубулярного рефлюкса поступает в собирательные канальцы, функционирующие при более низком давлении. Развивается общее нарушение паренхиматозного кровообращения, полная атрофия мозгового и коркового вещества.
Патология может быть приобретенной и врожденной, односторонней и двусторонней. По степени вовлечения структур почки различают несколько стадий гидронефротической трансформации почек и мочеточника:
- Первая. При пиелоэктазии незначительно увеличен объем лоханки, стенки растянуты, но изменения еще обратимы. Нарушение функциональной способности отсутствует.
- Вторая. Гидрокаликоз характеризуется значительным расширением чашечно-лоханочной системы почек. Происходит увеличение размеров органа, атрофия тканевых структур почки. Функция снижена на 40%.
- Третья. Для терминальной стадии гидроуретеронефроза типична утрата функций на 80-100%. Почка увеличена в 1,5-2 раза. Видоизмененный орган рассматривают как потенциальный очаг гнойной инфекции в организме.
Гидроуретеронефроз во 2-м триместре беременности, обусловленный влиянием прогестерона и механическим сжатием тазовых отделов мочеточника беременной маткой, рассматривается как физиологический. После родов в течение 6-12 недель отмечается постепенная нормализация состояния.
Симптомы гидроуретеронефроза
Клиническая картина связана с основным заболеванием, в остром периоде ведущим симптомом является почечная колика на стороне поражения - отмечаются сильные боли в поясничной области, невозможность найти положение для облегчения страданий, тошнота, иногда рвота, связанная с рефлекторным раздражением солнечного сплетения. У некоторых пациентов с уронефролитиазом наблюдают рези при учащенном мочеиспускании, примесь крови в моче.
У 15% появляются жалобы на повышение артериального давления, обусловленное нарушениями со стороны ренин-ангиотензин-альдостероновой системы. При водной нагрузке боли усиливаются. Типичны изменения свойств мочи - запаха и цвета, появление осадка. Гипертермия свидетельствует о присоединении острого воспаления. Общими симптомами являются слабость, утомляемость. В компенсированной форме болезнь длительно протекает бессимптомно.
Осложнения
К осложнениям гидроуретеронефроза относят присоединение рецидивирующих инфекций мочевыводящих путей. Атаки пиелонефрита могут повторяться несколько раз в год, постепенно вырабатывается резистентность микрофлоры к используемым противомикробным препаратам. Постоянный очаг инфекции ослабляет иммунные силы организма.
У пациентов с гидроуретеронефрозом и иммуносупрессией повышается вероятность развития гнойного апостематозного пиелонефрита, карбункула почки, уросепсиса. Застойный фильтрат в чашечно-лоханочной системе является благоприятной средой для размножения бактерий. При повышении плотности в осадок выпадают соли, что служит матрицей для камнеобразования. Атрофия коркового и мозгового слоя приводит к утрате ренальной функции, при двустороннем гидроуретеронефрозе развивается ХПН.
Диагностические мероприятия традиционно начинают с беседы с пациентом, оценки жалоб, анализа истории болезни. Симптом поколачивания положительный. У больных с неразвитым жировым слоем на продвинутой стадии заболевания пальпаторно можно прощупать увеличенную почку. Антенатальный гидроуретеронефроз у плода визуализируется на 16-20 неделе гестации с помощью УЗИ. Алгоритм обследования у пациента с подозрением на гидронефротическую трансформацию включает:
- Анализы мочи. В ОАМ, пробе Нечипоренко - выраженная лейкоцитурия, бактериурия, протеинурия. В бакпосеве определяют один или несколько микробных патогенов. Для исключения ХПН оценивают уровень мочевины, креатинина, скорость клубочковой фильтрации.
- Анализы крови. В ОАК при гидроуретеронефрозе может быть ускорена СОЭ со сдвигом формулы влево, что свидетельствует о сопутствующем воспалении. При анемии возникает подозрение на ХПН или неопластический процесс.
- Инструментальная диагностика. Исследование первой линии - УЗИ почек, мочевого пузыря, внутренних половых органов. При подозрении на нижнюю обструкцию выполняют уретроцистоскопию. КТ лучше обнаруживает камни по сравнению с урографией и УЗИ. МРТ почек с контрастным усилением визуализирует опухоли, сосудистые мальформации.
Дифференциальную диагностику проводят с пиелонефритом, врожденным мегакаликозом, перипельвикальной кистой. При выраженном болевом синдроме исключают нефролитиаз и нефроптоз. Пальпируемое образование в забрюшинном пространстве подозрительно на опухоль, гематурия и пиурия - на пионефроз и туберкулез почки. При вторичном гидроуретернефрозе важно определить причину и принять меры по ее устранению.
Лечение гидроуретеронефроза
Лечение связано с патогенетическим фактором, преимущественно оперативное. Целью врачебных мероприятий является восстановление адекватного пассажа мочи, сохранение или улучшение почечной функции, устранение препятствия. В послеоперационном периоде в течение года необходимо проходить УЗИ почек, исследовать уровни мочевины и креатинина, общий анализ мочи. Терминальная стадия гидроуретеронефроза - показание к операции в объеме нефроуретерэктомии.
Консервативная терапия
Консервативная терапия играет вспомогательную роль при подготовке к хирургическому вмешательству или применяется для ликвидации осложнений гидроуретеронефроза. Препарат выбирают с учетом результатов культурального анализа, длительность курса определяют индивидуально, при микст-инфекции используют комбинацию нескольких антибиотиков.
Хирургическое лечение
При частых обострениях пиелонефрита, формировании камней, прогрессировании почечной недостаточности, некупируемом болевом синдроме обосновано оперативное лечение. При остром воспалении, ухудшении функции при билатеральном поражении или при единственной почке, тяжелой сопутствующей патологии, препятствующей радикальному вмешательству, прибегают к чрескожной пункционной нефростомии, установке стента в ЧЛС через мочеточник.
Восстановить проходимость лоханочно-мочеточникового сегмента можно с помощью открытого или лапароскопического реконструктивного вмешательства. Урологи практикуют:
- пластику ЛМС по Андерсену-Хайнсу (уретеропиелоанастомоз с резекцией суженого участка);
- операцию Кальп-де-Вирда;
- пиелопластику V-Y образную (по Фолею);
- операцию Нейвирта (уретерокаликоанастомоз).
В последнее время пользуются популярностью эндоскопические пластические операции с использованием перкутанного или трансуретрального доступов. Бужирование, баллонная дилатация, применение баллона-катетера имеют меньший риск осложнений в сравнении с открытыми вмешательствами. Эндоскопическая пластика не осуществляется при предшествующих операциях на органах брюшной полости или неуспешных предыдущих реконструктивно-пластических вмешательствах.
Прогноз и профилактика
Прогноз для жизни зависит от основного заболевания, стадии, на которой впервые был диагностирован гидроуретеронефроз, адекватности терапии. Своевременное выявление и активная тактика лечения обеспечивают радикальное улучшение, сохранение хорошего качества жизни. Физиологическое расширение полостей почки в период беременности не рассматривается как патология и требует наблюдения в динамике с еженедельным контролем общего анализа мочи.
Профилактика подразумевает раннее обращение за консультацией уролога, нефролога, прохождение ультразвукового антенатального урологического исследования во 2 триместре и после рождения ребенка. Женщина до планируемой беременности и в период гестации должна максимально обезопасить себя от контакта с вредными факторами. Все пациенты с урологической патологией подлежат диспансерному учету и по показаниям нуждаются в противовоспалительном лечении.
2. Рентгеноэндоскопические методы диагностики и лечения заболеваний почек и верхних мочевых путей. Автореферат диссертации/ Мартов А.Г - 1993.
Обструктивная уропатия
Обструктивная уропатия - это синдром, который возникает при нарушении оттока мочи на любом участке мочевыводящих путей. Причиной заболевания выступают врожденные аномалии мочевыводящих путей, мочекаменная болезнь, объемные новообразования органов малого таза и функциональные расстройства. Уропатия проявляется нелокализованными болями в животе, затруднением или задержкой мочеиспускания. Для диагностики болезни назначают КТ и МРТ органов брюшной полости, экскреторную урографию, цистоуретрографию, анализы крови и мочи. Лечение предполагает хирургическое устранение обструкции и индивидуальный курс медикаментозной терапии.



Обструктивная уропатия встречается с частотой 1:2000 населения, при этом до 11% пациентов с хронической почечной недостаточностью имеют такой сопутствующий диагноз. В диагностике болезни отмечают два пика: детский период, когда нарушения связаны с врожденными аномалиями, и возраст старше 60 лет, для которого характерны различные органические заболевания органов мочевыделения. Во всех возрастных группах мужчины болеют чаще женщин. Учитывая тяжесть течения и высокий риск осложнений, обструктивная уропатия составляет значимую проблему современной урологии.

Причины
Обструкция возникает на любом участке мочевыводящей системы - от почечных канальцев до наружного отверстия уретры. Врожденная уропатия, характерная для детского возраста, связана с анатомическими дефектами: клапанами задней уретры, стенозом мочеточниково-пузырного сочленения, обструктивным мегауретером. Приобретенные нарушения вызываются следующими группами причин:
- Механическая обструкция. Закупорка просвета мочевого тракта чаще всего связана с мочекаменной болезнью и уролитиазом. Причиной обструктивных нарушений могут выступать полипы мочеточника, уротелиальная карцинома, кристаллы мочевой кислоты в почечных канальцах.
- Функциональные урологические болезни. Патологии мочевыделения развиваются при нейрогенном мочевом пузыре и дисфункции шейки органа. Лекарственно-индуцированная дисфункциональная уропатия наблюдается при приеме антихолинергических препаратов.
- Болезни простаты. Доброкачественная гиперплазия предстательной железы (аденома простаты) - самая частая причина обструктивной уропатии у пожилых мужчин. Реже нарушения мочевыделения возникают вследствие абсцедирующего простатита, рака предстательной железы.
- Гинекологические заболевания. Задержка оттока мочи у женщин зачастую вызвана компрессионным синдромом. Мочевыводящие пути сдавливаются при тубоовариальном абсцессе, кисте Гартнерова канала, раке шейки матки и яичников.
- Редкие причины. Компрессию мочевыводящих путей провоцируют заболевания желудочно-кишечного тракта (аппендицит, болезнь Крона, дивертикул), забрюшинного пространства (лимфома, саркоидоз, метастатические опухоли). Сдавление может быть вызвано расширенными кровеносными сосудами при аневризме, тромбофлебите яичниковой вены.
При обструктивной уропатии происходит несколько патологических процессов, которые дополняют и усугубляют действие друг друга. Сначала наблюдается повышение давления в мочеточниках, которое в течение 2-3 суток компенсируется растяжимостью мочевыводящих путей. Затем скопление мочи вызывает дилатацию собирательных трубочек и дистальных канальцев в почках. Этот процесс со временем приводит к тубулярной атрофии и поражению клубочкового аппарата почек.
Одновременно с этим снижается внутрипочечный кровоток и наблюдается перераспределение венозного оттока. Усиливающаяся ишемия почки активирует работу ренин-ангиотензиновой системы, которая продуцирует вазоконстрикторные вещества. В условиях гемодинамических нарушений усиливается выработка провоспалительных цитокинов. Интерстициальное пространство инфильтрируется макрофагами и лимфоцитами, происходит ремоделирование почечной паренхимы.

Симптомы обструктивной уропатии
Главным клиническим проявлением заболевания называют болевой синдром, который возникает при любой степени тяжести обструкции. Боли связаны с перерастяжением мочевого пузыря и мочеточников. Они не имеют четкой локализации, могут иррадиировать в поясницу, мошонку у мужчин и половые губы у женщин. Симптоматика схожа с проявлениями заболеваний ЖКТ и половых органов, что нередко становится причиной диагностических ошибок.
При двустороннем поражении основным клиническим признаком является задержка мочи. Частичная обструкция мочеточников сопровождается ослаблением струи, необходимостью сильно натуживаться дл опорожнения мочевого пузыря. При полной закупорке мочевого тракта у пациентов развивается анурия. Односторонние поражения при обеих функционирующих почках не вызывают значимых дизурических расстройств.
Неспецифическая симптоматика обструктивной уропатии представлена слабостью, повышенной утомляемостью, тошнотой и отсутствием аппетита. В случае присоединения бактериальной инфекции возможна лихорадка и усиление дизурических явлений. Поскольку почечная патология зачастую осложняется вторичной артериальной гипертензией, пациенты жалуются на головные боли, сердцебиение, дискомфорт в области сердца.
При отсутствии лечения уропатии развивается обструктивная нефропатия, которая патоморфологически представлена тубулоинтерстициальным нефритом. Если процесс развивается в обеих почках, функции фильтрации крови и образования мочи резко снижаются, поэтому у пациентов развивается почечная недостаточность. При односторонней уропатии не исключен риск критической почечной дисфункции, поскольку в здоровой почке может возникать реактивный сосудистый или мочеточниковый спазм.
Еще одним опасным последствием заболевания являются инфекции мочевыводящих путей (ИМП). Чаще всего они вызваны кишечной палочкой, клебсиеллой, стафилококками и стрептококками. Поражения верхних отделов мочевого тракта в основном представлены хроническим рецидивирующим пиелонефритом, воспаление нижних мочевыводящих путей проявляется циститом и уретритом. Бактериальные ИМП изредка осложняются паранефритом, абсцессом почки, сепсисом.
Пациентам с жалобами на затруднения оттока мочи и другие нарушения мочеиспускания требуется помощь врача-уролога. Специалист собирает жалобы и анамнез заболевания, проводит физикальный осмотр с проверкой симптома Пастернацкого. Для выяснения первопричины обструктивной уропатии необходимо расширенное лабораторно-инструментальное обследование:
- УЗИ брюшной полости. Базовый метод, который используется для диагностики гидронефроза, обструкции на уровне почек и мочеточников. Исследование дополняют допплеровской ультрасонографией для выявления повышенного сосудистого сопротивления - раннего маркера острой обструктивной уропатии.
- КТ с контрастированием. Компьютерная томография является наиболее информативным методом для диагностики уровня обструкции, особенно при уролитиазе. С помощью исследования удается изучить структуру почечной паренхимы и определить осложнения уропатии. При наличии противопоказания к рентгеновскому облучению диагностику заменяют МРТ.
- Экскреторная урография. Диагностика проводится при недостаточной информативности КТ, выявляет камни мочевых путей и кровяные сгустки, затрудняющие отток мочи. Как альтернатива внутривенному введению контраста, применяется ретроградная пиелография, при которой контрастное вещество вводится через цистоскоп, минуя сосудистое русло.
- Цистоуретрография. Исследование помогает определить обструктивные нарушения в нижнем отделе мочевыводящих путей. По характеру продвижения контрастного вещества в процессе мочеиспускания удается диагностировать пузырно-мочеточниковый рефлюкс, обструкцию шейки мочевого пузыря, стриктуру уретры.
- Исследования мочи. Всем пациентам проводят общий анализ мочи для определения ее плотности, прозрачности, состава органического и неорганического осадка. Концентрационную функцию почек анализируют по методу Зимницкого, при подозрении на вторичные инфекции выполняют пробу Нечипоренко и бакпосев мочи.
- Исследования крови. В клиническом анализе крови обращают внимание на уровень лейкоцитов как маркер ИМП, количество гемоглобина и эритроцитов - анемия указывает на хроническую болезнь почек. В биохимическом анализе врачей особенно интересует количество мочевины и креатинина. Обязательно подсчитывают скорость клубочковой фильтрации (СКФ).
Поскольку обструктивная уропатия имеет десятки этиологических факторов, урологу необходимо провести масштабную дифференциальную диагностику. При появлении симптоматики в детском возрасте обязательна консультация педиатра и генетика на предмет врожденных заболеваний и аномалий. Нарушение тока мочи в сочетании с похудением и синдромом интоксикации требует прицельного онкологического обследования.

Лечение обструктивной уропатии
Первоочередная задача врачей - устранить препятствия оттока мочи и восстановить работу мочевыделительной системы. Для этого используют малоинвазивные и хирургические методики. При анурии и резком ухудшении состояния пациента вмешательство проводится в экстренном порядке, параллельно с диагностикой, в остальных случаях показана плановая операция.
Способ хирургического лечения зависит от этиологического фактора. При нижней обструктивной уропатии показана постановка мочевого катетера, который обеспечивает постоянное и беспрепятственное выведение жидкости. При высоком уровне обструкции устанавливают уростому или нефростому, которые сохраняются до устранения первопричин болезни. При мочекаменной болезни необходимо эндоскопическое удаление камней, чрескожная или ультразвуковая литотрипсия.
Фармакотерапия
Медикаментозное лечение подбирается дифференцировано с учетом степени нарушения почечной функции и наличия признаков инфекционных осложнений. При наличии ИМП назначаются курсы антибактериальной терапии. После восстановления проходимости мочевых путей назначают диуретики для ликвидации олигурии. Проводится симптоматическая коррекция интоксикационного, анемического и других синдромов, сопряженных с почечной патологией.
Почечная патология при уропатии имеет обратимый характер, поэтому при своевременном восстановлении процесса мочевыделения пациенты полностью выздоравливают. Прогноз ухудшается при нелеченой инфекции мочевыделительной системы и хронических нарушениях работы почек, которые сохраняются, несмотря на проводимую терапию. Профилактика заключается в предупреждении заболеваний, которые способны вызвать обструкцию.
2. Диагностика и лечение обструктивных уропатий у детей/ А.А. Айнакулов, С.Н. Зоркин// Детская хирургия. - 2012. - №6.
Гидроуретер и гидронефроз — симптомы, диагностика, лечение

Член EAU (Европейская Ассоциация Урологов). Стаж работы +17 лет. Принимает в Университетской клинике. Цена приема — 2000 руб.
- Запись опубликована: 19.10.2022
- Reading time: 4 минут чтения
Гидронефроз и гидроуретер возникают в результате обструкции оттока мочи в мочевыделительной системе на уровне почечной лоханки и мочеточника соответственно. Патология встречается во всех возрастных группах, от новорожденных до пожилых пациентов. Оба состояния следует своевременно диагностировать и лечить, чтобы предотвратить тяжелую почечную дисфункцию.
Кратко о патологии
Гидроуретер и гидронефроз — распространенные заболевания, встречающиеся в нефрологической и урологической практике.
Мочевыделительная система представляет собой сложную многокомпонентную систему органов, ее основная функция — поддержание гомеостаза организма путем регулирования объема жидкости в организме, баланса электролитов и выделения конечных продуктов метаболизма через конечный продукт — мочу.
Анатомически система включает почки, мочеточники, мочевой пузырь и уретру. Каждая почка имеет наружный корковый слой и внутренний мозговой слой. Мозговое вещество (слой) формируется в виде почечных пирамид, заканчивающихся почечными сосочками. Эти сосочки открываются в малые почечные чашки, затем в большие. Это уже собирательная система, здесь накапливается моча. Большие чашечки сливаются в почечную лоханку, затем лоханка продолжается в мочеточник. Мочеточник переходит в пузырь, затем моча идет в уретру. Это выделительная система.
Гидроуретер — это расширение мочеточника из-за затруднения оттока мочи. Гидронефроз — дилатация и растяжение собирательной системы одной или обеих почек из-за обструкции оттока мочи дистальнее почечной лоханки (т. е. мочеточника, мочевого пузыря и уретры).
Гидронефроз и гидроуретер могут проявляться независимо или вместе. Встречаются во всех возрастных группах. Проявления могут быть острыми или хроническими, физиологическими (очень часто у беременных женщин) или патологическими, односторонними или двусторонними.
Причины развития гидроуретера и гидронефроза
Гидроуретер развивается, когда существует препятствие оттока мочи. Моча скапливается в мочеточнике, он переполняется и расширяется. Вначале развивается непроходимость, затем гидроуретер.
Причины непроходимости мочевыводящих путей можно разделить на внутреннюю и внешнюю компрессию (сжатие). Причины внутренней обструкции включают:
- камни в почках;
- злокачественные новообразования;
- стеноз лоханочно-мочеточникового канала;
- стриктуры мочеточников в результате предшествующего воспаления;
- кисты почек;
- клапаны задней уретры.
Сдавление мочеточника снаружи могут вызвать:
- доброкачественная гиперплазия предстательной железы; ;
- злокачественные новообразования (яичники, прямая кишка, матка, простата);
- травмы;
- ретроперитонеальный фиброз;
- абсцесс предстательной железы и др.
Анатомические аномалии могут стать причиной гидроуретера и гидронефроза. К ним относятся клапаны уретры или стриктура, а также стеноз мочеточниково-пузырного или мочеточниково-лоханочного соединения. Врожденные дефекты диагностируются еще в детском возрасте.
Развитию гидроуретера и гидронефроза способствует наличие определенных заболеваний. Например, при несахарном диабете, из-за образования большого объема мочи, риск их достаточно высок.
Статистика по распространенности и причинам патологии
Причины и проявления таких отклонений различаются в зависимости от возрастных групп. У новорожденных и детей основная причина — структурные аномалии. Ежегодно из примерно 6% всех новорожденных во всем мире (8 млн) рождаются с серьезными врожденными дефектами, до 1% новорожденных имеют врожденные дефекты почек и мочевыводящих путей. Гидронефроз и гидроуретер присутствует у большого числа новорожденных и младенцев. Например, в США подобная патология встречается у 1 из 100 живорожденных, лечится консервативно.
Возникает чаще всего из-за обструкции лоханочно-мочеточникового соединения. Другие распространенные причины — обструкция уретеро-везикального соединения, клапанов задней уретры и стриктуры. Например, в США встречается у 1 из 100 живорожденных, лечится консервативно. Реже встречается пузырно-мочеточниковый рефлюкс, на долю которого приходится 10-20% неонатального и младенческого гидронефроза. В большинстве случаев спонтанное разрешение наступает к 2-летнему возрасту.
Нефролитиаз остается наиболее частой причиной гидроуретеронефроза у молодых людей. Нефролитиазом страдают более 5% населения, в развитых странах цифры увеличиваются. Например, согласно Национальному исследованию здоровья и питания (NHANES), распространенность камней в почках в США составляет 8,8%, приблизительно 600 000 взрослых страдают от заболевания в год. Больше поражает мужчин - 10,6% по сравнению с 7,1% у женщин. Тесно связаны с формированием конкрементов в почках — белая раса, ожирение и диабет.
Гипертрофия и новообразования предстательной железы, опухоли таза и забрюшинного пространства, а также камни в почках считаются наиболее распространенными причинами у пожилых людей.
Гидронефроз обычно наблюдается у 80% беременных женщин. Этиологией считается механическое сдавление мочеточников из-за увеличения матки и воздействия прогестерона. Он чаще всего выявляется во втором триместре и может сохраняться до 6-12 недель после родов. Стентирование мочеточника применяется в качестве лечения, если у пациентов развивается боль и почечная недостаточность.
Гидроуретер часто встречается у женщин в возрасте 20-60 лет не только в связи с беременностью, но и гинекологическими злокачественными новообразованиями. В возрастной группе старше 60 лет чаще встречается у мужчин из-за заболеваний предстательной железы и осложнений.
Механизм развития гидроуретера и гидронефроза
Любое препятствие мочеточника (внешнее, внутреннее и на любом участке) приводит к переполнению его мочой и расширению. Когда обструкция вызвана, например, камнем, гидроуретер развивается остро. Если процесс хронический, моча попадает в мочевой пузырь, хоть и медленно. Следует отметить, что прием мочегонных, усиливающих диурез, может привести к переходу вялотекущего гидроуретера в фазу обострения.
При отсутствии лечения гидроуретера, процесс развивается дальше уже с вовлечением почек. Препятствие оттоку мочи приводит к увеличению гидростатического давления в собирательной системе. Это вызывает повышение внутриклубочкового давления, что в конечном итоге влияет на скорость клубочковой фильтрации.
Степень функции почек определяют продолжительность и тяжесть обструкции. Чем быстрее будет удалено препятствие оттоку мочи, тем быстрее восстанавливается функция мочевыделительной системы. Гидронефроз можно считать острым, если функция почек полностью восстанавливается после устранения обструкции.
Если обструкция не устранена, это может привести к рубцеванию почек и необратимому их повреждению с нарушением функции клубочков и канальцев. Длительная закупорка вызывает расширение собирательной системы, сдавление сосочков и истончение паренхимы, что в конечном итоге приводит к атрофии коры и тубулоинтерстициальному фиброзу. В результате при хроническом гидронефрозе функция почек не восстанавливается даже после устранения обструкции. Возникает ряд неблагоприятных последствий — нарушение реабсорбции натрия, нарушение подкисления мочи, приводящее к метаболическому ацидозу, и предрасположенность к концентрации мочи.
Симптомы
У детей протекает обычно бессимптомно. Однако в более тяжелых случаях врожденного гидроуретера и гидронефроза могут отмечаться отсутствие аппетита и частые инфекции мочевыводящих путей.
Взрослые с острой обструкцией оттока мочи обычно испытывают постоянную тупую боль. Болевой синдром развивается в результате растяжения почечной капсулы. Периодически возникают эпизоды выраженной боли из-за усиления перистальтики (например, кишечника), временно повышающей давление.
Многие пациенты жалуются также:
- на тошноту и рвоту;
- на дизурию или императивные позывы к мочеиспусканию.
Пациенты с более дистальной обструкцией из-за гипертрофии предстательной железы могут жаловаться на сильное давление внизу живота и позывы в туалет
Диагностика гидроуретера и гидронефроза
В первую очередь выясняют жалобы, затем проводят физикальное обследование. При пальпации у пациентов отмечается болезненность в реберно-позвоночном углу, они часто не могут найти удобное положение для осмотра. По проявлениям и осмотру можно лишь предположить наличие гидроуретера, для правильной диагностики необходимо комплексное обследование.
Лабораторные тесты
При лихорадке, болях в животе, тошноте или снижении перорального потребления следует провести анализ мочи. Пациенты предрасположены к инфекциям мочевыводящих путей (ИМП), их наличие покажет бактериурия и лейкоцитурия. Наличие крови говорит о камнях как причине обструкции.
Базовая метаболическая панель (биохимический анализ) назначается всем, необходима для оценки функции почек. В дальнейшем — для оценки лечения.
Инструментальные исследования
Младенцам и детям с врожденным гидроуретеронефрозом нужно выполнить цистоуретрограмму мочеиспускания для выявления случаев с пузырно-мочеточниковым рефлюксом.
Взрослым проводят в первую очередь УЗИ, по показаниям КТ. Компьютерная томография (КТ) обладает высокой чувствительностью и специфичностью, когда причиной симптомов является нефролитиаз или внешнее сдавление опухолью. Кроме того, КТ достаточно для оценки других причин острой сильной боли в боку, например, забрюшинных опухолей.
У пациентов с симптомами, с камнями в почках в анамнезе и предшествующими эпизодами, УЗИ достаточно для оценки гидронефроза. УЗИ также остается предпочтительным методом визуализации у беременных с гидроуретером/гидронфрозом.
Лечение гидроуретера и гидронефроза
Тактика лечения зависит во многом от причины гидроуретера. Цели лечения, следующие:
- восстановить отток мочи;
- снять воспаление при наличии;
- предотвратить поражение почек, ХПН.
Если мочеточники расширены, но нет симптомов, показано периодическое наблюдение (анализы мочи, УЗИ).
При симптоматическом течении гидроуретера тактика делится на консервативную и оперативную.
Срочное вмешательство проводится, если:
- высокая вероятность почечной дисфункции;
- есть подозрение на инфекцию, ведущую к тяжелому сепсису;
- присутствуют симптомы сильной боли, тошноты и рвоты.
При подозрении на обструкцию нижних мочевых путей на уровне мочевого пузыря ставят мочевой катетер для оттока урины.
Установка мочеточникового стента под контролем цистоскопии проводится при различных внутренних и внешних причинах гидронефроза на уровне мочеточника. Установка чрескожной нефростомической трубки под контролем рентгеноскопии считается менее инвазивной процедурой. Выполняется, когда установка мочеточникового стента противопоказана или невозможна.
Экстракорпоральная ударно-волновая литотрипсия используется для лечения почечных камней в почечной лоханке, чтобы предотвратить будущий гидронефроз и обструкцию мочеточника.
Хирургическое вмешательство также требуется в некоторых случаях с внешней компрессией тазовыми, забрюшинными опухолями, аневризмами аорты и т. д.
Консервативное лечение сводится к приему спазмолитиков (Баралгин, Но-шпа) для снятия боли, колики. Антибиотики назначаются при воспалении. При гиперплазии простаты используют альфа-адреноблокаторы (тамсулозин, доксазозин).
Дифференциальный диагноз
Другие состояния, которые должны быть включены в дифференциальный диагноз гидроуретера, включают:
- околотазовые кисты;
- врожденные мегакаликозы; ;
- дивертикулы почечной чашечки.
Прогноз
Длительная обструкция из-за гидронефроза или гидроуретера может привести к необратимому повреждению почек из-за канальцевой атрофии и интерстициального фиброза. Общий прогноз восстановления почек после устранения обструкции зависит от продолжительности и тяжести обструкции.
Инфекция мочевыводящих путей остается наиболее частым осложнением гидронефроза. В дальнейшем это может привести к пиелонефриту, заражению самой почки.
После устранения хронической обструкции у пациентов может развиться постобструктивный диурез.
Профилактика
Профилактика гидроуретера заключается в наблюдении у уролога, особенно лицам с хроническими урологическими, гинекологическими, андрологическими заболеваниями.
При склонности к нефролитиазу необходимо придерживаться диеты (исключить алкоголь, потребление соли, продукты с содержанием оксалатов, пить достаточно воды). Беременным показана лечебная физкультура.
Степени гидронефроза
В зависимости от выраженности повреждения (атрофии) почечной паренхимы выделяют несколько степеней гидронефроза:

Рисунок. Нормальное строение почки. Чашечки и лоханка вместе составляют чашечно-лоханочную систему, из которой моча оттекает в мочеточник.
Степень 0:
- Расширения чашечно-лоханочной системы отсутствует.
Степень 1 (легкая степень гидронефроза):
- Расширение лоханки, без расширения чашечек.
- Паренхима почек сохранена.
Степень 2 (легкая степень гидронефроза):
- Расширение лоханки и чашечек почки.
- Эвакуаторная функция лоханки нарушена.
- Размер почки увеличен на 10-15%.
- Паренхима почки сохранена.
Степень 3 (умеренный гидронефроз):
- Выраженное расширение чашечно-лоханочной системы.
- Умеренное уменьшение паренхимы почки (умеренная атрофия кортикального слоя).
- Размер почки увеличен в 1,5-2 раза.
- Функция почки снижается на 30-40%.
Степень 4 (тяжелый гидронефроз):
- Значительное расширение чашечно-лоханочной системы, которая выглядит как многокамерная полость.
- Разница между чашечками и лоханкой не определима.
- Выраженная атрофия кортикального слоя почки.
- Работа почки снижается до 50%-80%, вплоть до полного отсутствия функции.

Рисунок. Степени гидронефроза.
Как определить степень гидронефроза?
Ранняя диагностика гидронефроза очень важна. Ранние степени заболевания могут быть обратимы, в то время как на поздних стадиях повреждение почек может быть уже не обратимым. В настоящее время существует несколько возможностей, которые позволяют не только определить степень расширения чашечно-лоханочной системы и выраженность атрофии почечной паренхимы, но и установить причину возникновения заболевания и оценить функциональную активность почки.
Ультразвуковая диагностика
Благодаря ультразвуковой диагностике удается установить степень расширения чашечно-лоханочной системы, размер почки и объем ее паренхимы. Нередко удается установить причину гидронефроза и уровень, на котором существует препятствие для оттока мочи, например, сдавление мочеточника забрюшинной опухолью или увеличение предстательной железы.
Ультразвуковая диагностика характеризуется высокой чувствительностью (90%) и специфичностью (98%) в определении степени гидронефроза и уровня, на котором нарушен отток мочи. Ультразвуковое исследование является не инвазивным, не требует использования контрастных веществ и не использует энергию рентгеновских лучей, т.е. не несет радиологической нагрузки.
Рентгеноконтрастные исследования мочевыделительной системы
Рентгенологические методы с использованием контрастных веществ основаны на использовании рентгенологических лучей и специальных веществ, способных к поглощению их поглощению. Контрастное вещество вводится в организм, и когда оно попадает в мочевыделительную систему, выполняется серия рентгенологических снимков, позволяющих оценить анатомическое строение почек, мочеточников, мочевого пузыря, определить степень гидронефроза и уровень нарушения оттока мочи. Наиболее широко применяются методы микционной цистоуретрографии и экскреторной или внутривенной урографии. Они являются достаточно информативными. Недостатком является необходимость использования контрастных веществ для визуализации мочевыделительной системы почки, что может быть ассоциировано с развитием аллергических реакций и нарушением работы почек.

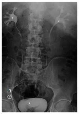
Рисунок. Экскреторная урография. 1 и 2 - чашечно-лоханочная система правой и левой почки, 3 - мочеточник, 4 - мочевой пузырь.
Компьютерная томография
Компьютерная томография является наиболее информативным методом диагностики гидронефроза. Компьютерная томография эффективна, если после проведения ультразвукового исследования и экскреторной урографии не удается установить причину, если визуализация почек затруднена или результаты обследований неоднозначны. Например, путем ультразвуковом исследования и экскреторной урографии возможно определить степень гидронефроза и уровень закупорки, но не увидеть ретроперитонеальную опухоль, являющуюся причиной обструкции. В этом случае большое значение имеет томография. Наиболее информативно это исследование также с использованием контрастного вещества.
Радионуклидная стинциграфия
Радионуклидная диагностика наиболее полезна для оценки кровотока и определения степени функциональной активности почки.
Более подробную информацию вы найдете в статье “Диагностика гидронефроза 1,2,3 или 4 степени”.
Читайте также:
