Гингивит: лечение, симптомы и признаки, причины, профилактика
Добавил пользователь Дмитрий К. Обновлено: 11.12.2025
Гингивит - воспалительный процесс слизистой оболочки десен. Характеризуется отечностью и покраснением десен, кровоточивостью при еде и минимальном контакте, неприятным запахом изо рта, иногда - возникновением эрозий. При соблюдении гигиены полости рта и своевременном лечении наступает полное излечение. Может наблюдаться хроническое, рецидивирующее течение, ведущее к развитию пародонтита с последующим обнажением шеек зубов, их расшатыванием и потерей.


Общие сведения
Гингивит (Gingivit) - это острое или хроническое воспаление десен, встречающееся довольно часто. Причиной гингивита является нарушение ухода за полостью рта, люди молодого возраста и дети в период прорезывания зубов более подвержены гингивиту.
Причины гингивита
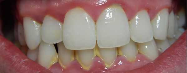
Основной причиной гингивита является клейкий зубной налет. Он скапливается вдоль краев десен и в труднодоступных для чистки зубов местах, через 72 часа налет уплотняется и образуется зубной камень, который невозможно удалить с помощью обычной чистки зубов.
В пубертатном периоде и во время менструаций вероятность возникновения гингивита возрастает. Женщины, длительно принимающие оральные контрацептивы, тоже попадают в группу риска. Прием иммуносупрессоров, в частности - циклоспорина, и гипотензивных средств, содержащих нифедипин, в качестве побочного действия провоцируют развитие гипертрофического гингивита. Эти препараты вызывают гиперплазию тканей десны, что затрудняет уход за зубами и ежедневное удаление налета. Скопление налета и размножение микроорганизмов способствуют развитию гингивита.
Эндогенными причинами гингивита является рост зубов. Поскольку растущий зуб травмирует десну, то у детей в период прорезывания зубов часто диагностируется катаральный гингивит. Недостаток витамина С, заболевания желудочно-кишечного тракта, снижение общего и местного иммунитета занимают в патогенезе гингивита существенное значение. Так, у людей без патологий краткосрочная невозможность соблюдать гигиену полости рта не ведет к развитию гингивита.
Воздействие внешних физических факторов, таких как травмы, ожоги, лучевое облучение и влияние агрессивных химических веществ на десну являются самыми распространенными причинами гингивита. Бактериальные агенты вызывают гингивит в большей части у детей и у взрослых с нарушениями иммунной системы.
В последнее время существенную роль в возникновении гингивита играют ятрогенные факторы, когда пациенты со слабой психикой, под гнетом информационного потока о важности ухода за полостью рта, обнаруживают у себя симптомы гингивита. Неправильное поведение врача, так же может спровоцировать появление гингивита психогенного характера. Гингивиту более подвержены курильщики, пациенты с зубным камнем и люди, употребляющие чрезмерно горячую или холодную пищу.
У детей до полового созревания иммунная защита только формируется, поэтому наличие очагов хронической инфекции, кариес зубов ведет к развитию гингивита. Процент заболеваемости гингивитом у детей с туберкулезной инфекцией, ревматизмом, болезнями печени и желчного пузыря выше. При сахарном диабете изменяется химический состав слюны, ее антибактериальные свойства снижаются. Среди лиц, страдающих любой формой сахарного диабета, гингивит встречается в 70% случаев.
Гингивит редко развивается как самостоятельное заболевание. Гораздо чаще он является симптомом других заболеваний полости рта или же следствием заболеваний внутренних органов.
Клинические проявления гингивита

В большинстве случаев гингивит протекает без нарушения зубодесневого соединения. Если воспалена вся десна челюсти или обеих челюстей, то гингивит принял распространенный характер. Но чаще диагностируют локализованный гингивит, когда поражен незначительный отрезок десны. При ограниченном гингивите также имеются поражение близлежащих зубов. Если гингивитом поражены только десневые сосочки, то диагностируют папиллит, при поражениях всего десневого края говорят о маргинальном течении гингивита.
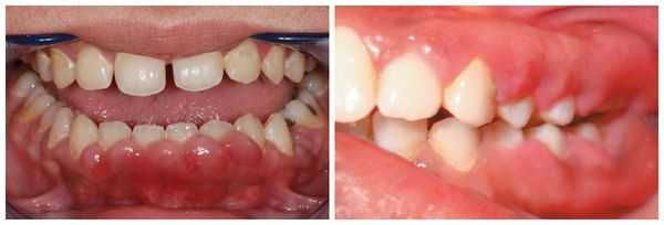
При остром гингивите имеются классические проявления воспалительного процесса - отечность, гиперемия, местное увеличение температуры тканей, болезненность и гиперсаливация. Отмечается кровоточивость десен, точечные кровоизлияния, иногда при гингивите могут быть изъязвления десен.
Хронический гингивит возникает вследствие длительного воздействия неблагоприятных факторов. И чаще всего его клиническая картина смазана. Основным проявлением хронического гингивита является гиперплазия десен, иногда десневой тканью покрыта вся коронка зуба, чего в норме не должно быть.
Для катарального гингивита характерна ярко-выраженная воспалительная реакция, присутствует покраснение и отечность десен. Воспаленная поверхность становится чувствительной к переменам температур. Некоторые пациенты при катаральном гингивите отмечают зуд и болезненность во время приема пищи.
При язвенно-некротическом гингивите на слизистой оболочке десен появляются изъязвленные участки и участки некроза. Десны резко болезненны. Из-за размножения гнилостной микрофлоры появляется галитоз - зловонное дыхание. Страдает общее состояние пациента: поднимается температура, иногда до фебрильных значений, увеличиваются регионарные лимфатические узлы. Из-за болезненности нарушается прием пищи, иногда при гингивите наблюдается стойкий отказ от питания (анорексия), нарастает общая слабость и симптомы истощения.
Гипертрофический гингивит клинически проявляется увеличением десневых сосочков, которые со временем покрывают большую часть зуба. На начальных этапах гипертрофический гингивит практически не проявляется, неприятные ощущения тоже отсутствуют. Гиперплазию тканей обычно замечают во время профилактического осмотра стоматолога. Но со временем, при отсутствии терапии, нарастает болезненность десен во время приема пищи и во время прикосновений. Чистка зубов для пациентов с гипертрофическим гингивитом становится тяжелопереносимой и болезненной процедурой, в результате они отказываются от ухода за полостью рта, в связи с чем присоединяется множественный кариес.
Помимо явлений гингивита и кариеса, присутствует неприятный запах изо рта, скопление зубного налета и зубного камня. Прием пищи становится резко болезненным. Особенно острая реакция наблюдается при приеме кислой, горячей и острой пищи. При атрофическом гингивите возникает атрофия десен. Уровень десны постепенно снижается, обнажается шейка зуба, а потом и его корень. Субъективно проявляется только болезненностью во время принятия холодной или горячей пищи.
Во время менопаузы у женщин часто развивается гингивит десквамативного характера. Образование кератинсодержащих клеток эпителия уменьшается, что проявляется увеличением проницаемости слизистой. Десны легко повреждаются, кровоточат и болезненны даже при незначительном прикосновении. Иногда явлениям гингивита предшествует образование пузырьков.
Гингивит не является самостоятельным заболеванием. В основном это одно из клинических проявлений пародонтита и пародонтоза, поэтому важно своевременно выявлять признаки гингивита и проводить терапию.
Диагностика и лечение гингивита

Диагностируют гингивит во время визуального и инструментального осмотров. Дополнительной диагностики не требуется. Однако для выявления основной причины необходим тщательный опрос пациента и обследование его другими пародонтологом. До выявления и коррекции заболевания, которое является причиной гингивита, прибегают к местному лечению.
При гингивите необходимо очистить зубы от зубного налета и зубного камня и порекомендовать пациентам тщательно соблюдать гигиену полости рта. Лицам, которые предрасположены к возникновению гингивита, нужно чаще посещать стоматолога для проведения профессиональной гигиены полости рта.
Показано использование препаратов, которые улучшают местный иммунитет. После принятия пищи обязательно полоскание рта антисептическими растворами и отварами трав. Полоскание неагрессивными составами, например отваром ромашки, можно проводить без ограничений, но следует иметь в виду, что при гингивите с осторожностью нужно использовать растворы соды и спиртовые растворы лекарственных трав. Если при гингивите ярко выражен болевой синдром, то оправдан прием анальгетиков.
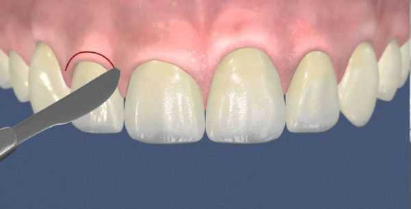
Гипертрофический гингивит часто возникает из-за неправильного пломбирования и установки коронок. Замена реставраций приводит к полному излечению. Гингивит, возникший на фоне беременности, приема препаратов, саморазрешается после родов или отмены лекарственных средств. Если же гиперплазия тканей носит стойкий характер, то показана гингивэктомия с удалением разрастаний.
Прогноз при гингивите благоприятный, но при отсутствии лечения процесс может перейти в глубокую форму - развиться пародонтоз, при котором возможно выпадение зубов.
Хронический гингивит
Хронический гингивит - это воспаление десневых сосочков и края десны, протекающее с периодами обострений и ремиссий. Хронический гингивит проявляется застойной гиперемией и отечностью слизистой десен, кровоточивостью, деформацией (разрастанием, атрофией) десны, неприятным запахом изо рта. Диагноз хронического гингивита ставится пародонтологом на основании данных анамнеза и осмотра полости рта. Лечение хронического гингивита включает профессиональную гигиену полости рта, местную обработку антисептиками, прием противовоспалительных, противоотечных средств, иммунокорректоров, физиотерапию, по показаниям - удаление разрастаний десны.
МКБ-10
Хронический гингивит - длительно текущий, неярко выраженный воспалительный процесс в поверхностных тканях десны. При гингивите прочность зубодесневых связок не нарушается, но в случае хронического течения патологические изменения могут прогрессировать до пародонтоза и сопровождаться потерей зубов. Хронический гингивит - самое распространенное заболевание пародонта в терапевтической стоматологии, в том числе у лиц подросткового и молодого возраста. После 60 лет частота встречаемости хронического гингивита достигает 90-100%. Женщины болеют хроническим гингивитом реже, чем мужчины.
Причины
Этиология хронического гингивита может иметь инфекционную, травматическую, токсическую и другую природу. Наиболее значимыми являются следующие причинные факторы:
- факультативная микрофлора, накапливающаяся в зубных отложениях при недостаточном уходе за полостью рта. У детей риск воспаления десен повышен из-за отсутствия должной гигиены, обильных скоплений старого зубного налета при несформированной местной иммунной защите;
- длительное раздражение тканей десны зубным камнем, острой кромкой разрушенного зуба, свисающим краем пломбы, искусственными коронками или ортодонтическими аппаратами;
- термический ожог десны, воздействие на нее кислот, щелочей, ионизирующего излучения; интоксикация солями тяжелых металлов, медикаментами, курение.
- аномалии и деформации зубочелюстной системы (ротовое дыхание, неправильный прикус, скученность зубов, отсутствие антагонистов).
Факторы риска
К возникновению хронического гингивита предрасполагает снижение неспецифической сопротивляемости организма на фоне:
- эндокринных сдвигов (сахарного диабета, пубертатного периода, беременности, климакса, приема КОК);
- патологии пищеварительной системы;
- гиповитаминозов;
- инфекционных заболеваний (туберкулеза, сифилиса, актиномикоза);
- иммунных нарушений. Десквамативный гингивит развивается при заболевании системной красной волчанкой, обыкновенной пузырчаткой, красным плоским лишаем или при патологической локальной иммунной реакции на некоторые вещества в зубных отложениях.
Классификация
По этиологии хронический гингивит подразделяют на инфекционный, травматический, термический, химический, ятрогенный, гормонально обусловленный, аллергический. По распространенности хронический гингивит может быть локализованным (папиллит - воспаление межзубного сосочка и маргинальный гингивит - воспаление свободного края десны) и генерализованным (диффузным).
Хронический гингивит может протекать в легкой форме (с поражением десневых сосочков), среднетяжелой (с распространением на краевую десну) и тяжелой (с захватом всей альвеолярной десны). По характеру воспалительного процесса различают катаральный, гипертрофический и атрофический хронический гингивит, а также особые морфологические типы: плазмоцитарный (атипический аллергический гингивостоматит), десквамативный и гранулематозный.
Симптомы хронического гингивита
Хронический катаральный гингивит характеризуется длительным течением и незначительными жалобами. Отмечается отечность и застойная гиперемия (краснота, синюшность) слизистой оболочки десен, их кровоточивость при чистке зубов и приеме грубой пищи. Воспалительные изменения могут проявляться ограниченно на десневых сосочках и по краю десны или распространяться на всю альвеолярную часть. Наблюдается отложение зубного налета и наддесневого зубного камня, неприятный запах изо рта.
Гипертрофический гингивит развивается на фоне хронического катарального воспаления; проявляется разрастанием тканей десны за счет увеличения объема межзубных сосочков. Выраженность разрастаний может быть легкой степени (десна покрывает не более 1/3 коронки зуба), средней тяжести (до половины коронки) и тяжелой (закрыто более 1/2 коронки зуба). При отечной форме хронического гипертрофического гингивита десны опухшие, покрасневшие, немного болезненные, кровоточат при приеме пищи и чистке зубов; при фиброзной форме десны плотные, бледно-розового цвета, с наличием ложных пародонтальных карманов.
При хроническом гингивите на фоне отравления солями тяжелых металлов появляется кайма темного цвета по десневому краю, повышенное слюноотделение и металлический привкус во рту. Особенностью плазмоцитарной формы хронического гингивита является формирование микроабсцессов, возможность распространения воспаления на нёбо и быстрое развитие стоматита.
При десквамативном гингивите имеются отечные эритематозные пятна, серозно-геморрагические пузырьки, очаги легко отслаивающегося эпителия с обнажением кровоточащей и болезненной подлежащей ткани. Характерна цикличность течения с резким внезапным началом, постепенным угасанием симптомов и продолжительным (1-2 года) периодом ремиссии. В случае гранулематозного гингивита появляются одно- или многоочаговые пятна красного или красно-белого цвета размером до 2 см в области межзубных сосочков, иногда с захватом других участков десны.
Длительное хроническое течение гингивита сопровождается его переходом в атрофический гингивит, характеризующийся дистрофическими изменениями десневых сосочков и десневого края, истончением и уменьшением объема десны, оголением шеек зубов, повышением их чувствительности к температурным и вкусовым раздражителям, сильной болезненностью десен.
Диагностика
Диагноз хронического гингивита может быть установлен врачом-стоматологом или пародонтологом по данным анамнеза, визуального и инструментального осмотра полости рта. При стоматологическом осмотре оценивается состояние зубов, слизистой оболочки десневых сосочков и десневого края, вид прикуса, наличие зубных отложений, состояние зубных протезов и пр.
Зондирование десневой бороздки выявляет положительный симптом кровоточивости, сохранение целостности зубодесневого соединения, отсутствие десневого кармана, неподвижность зубов. Состояние костной ткани определяется по данным рентгенографии зуба. Для установления причины хронического гингивита и оценки состояния организма в целом необходимы консультации других специалистов: эндокринолога, гастроэнтеролога, инфекциониста, дерматолога, аллерголога, ревматолога.
Лечение хронического гингивита
Комплексное лечение хронического гингивита предусматривает устранение этиологического фактора, воздействие на патологический очаг и организм пациента в целом. Устранение местных раздражающих и травмирующих десну факторов включает снятие зубных отложений, лечение кариеса, удаление разрушенных зубов, исправление аномалий прикуса, дефектов пломбирования и протезирования, коррекцию и замену ортопедических и ортодонтических конструкций, пластику уздечек губ и языка и др.
В рамках комплексной терапии хронического гингивита проводится профессиональная гигиена полости рта, обработка слизистой оболочки антисептиками (р-ром перекиси водорода, хлоргексидина, мирамистином), полоскания отварами трав (ромашки, коры дуба, эвкалипта) после еды или чистки зубов, пародонтологические аппликации на десны. В отдельных случаях своевременное и тщательное удаление местных раздражителей способствует полной ликвидации воспалительных явлений.
При хроническом гингивите возможно применение противоотечных и противовоспалительных препаратов, при необходимости - антибиотиков, иммунокорректоров. Положительный эффект в лечении хронического гингивита дают массаж десен, УФО, лекарственный электрофорез, лазеротерапия. При тяжелой степени хронического гипертрофического гингивита производят диатермокоагуляцию или криодеструкцию разрастаний, по показаниям - гингивэктомию.
Прогноз и профилактика
При своевременном и рациональном лечении хронического катарального гингивита наступает выздоровление; без устранения его причин возможны рецидивы. Полное излечение атрофического гингивита недостижимо, возможно лишь приостановить процесс атрофии. Исход симптоматического гингивита зависит от тяжести основного заболевания. В отсутствие лечения хронический гингивит переходит в периодонтит и пародонтоз с риском потери зубов. Профилактика хронического гингивита заключается в соблюдении правил гигиены полости рта, регулярном посещении стоматолога (1-2 раза в год), санации очагов хронической инфекции и лечении общесоматической патологии.
Гингивит - симптомы и лечение
Что такое гингивит? Причины возникновения, диагностику и методы лечения разберем в статье доктора Карелина Андрея Сергеевича, стоматолога со стажем в 11 лет.
Над статьей доктора Карелина Андрея Сергеевича работали литературный редактор Юлия Липовская , научный редактор Сергей Федосов и шеф-редактор Лада Родчанина
Определение болезни. Причины заболевания
Гингивит — воспалительное заболевание дёсен, которое проявляется болезненностью, отёчностью, кровоточивостью и выделением экссудата (жидкости, которую продуцируют ткани в ответ на воспаление).

Воспалённая десна становится мягкой, шероховатой, неплотно прилегает к коронкам зубов. По данным Всемирной организации здравоохранения, более чем у 90-95 % взрослых людей присутствуют воспалительные процессы мягких тканей ротовой полости, а утрата зубов из-за воспаления дёсен и пародонта (тканей, окружающих зуб) случается в 5 раз чаще, чем от кариозных поражений [1] .
В большинстве случаев гингивит возникает из-за скопления зубного налёта в результате плохой гигиены ротовой полости. Бляшки из налёта постоянно раздражают слизистую, формируют карманы (увеличивают расстояние между зубом и мягкими тканями), в которых активно размножаются бактерии. Т. е. чаще всего причиной воспаления дёсен являются бактерии. Кроме того, гингивит может быть следствием аллергии, грибковых и вирусных инфекций.
Провоцирующие факторы в развитии воспаления дёсен:
- изменения гормонального фона;
- сахарный диабет;
- авитаминоз;
- приобретённые (ВИЧ) и врождённые иммунодефициты (синдром Ди Джорджи);
- беременность;
- лейкоз;
- недостаток витамина С;
- отягощённая наследственность (есть близкие родственники, которые страдали воспалительными заболеваниями дёсен);
- повреждение десны [1] .
Повреждения слизистой могут возникать при неправильном прикусе, стоматологических манипуляциях, воздействии агрессивных химических веществ, использовании жёсткой зубной щётки, употреблении твёрдой пищи. Даже незначительная травма эпителия — это входные ворота для инфекции.
К ятрогенным (связанным с врачебными манипуляциями) факторам, способствующим воспалению, относятся острые края зубных протезов, коронок, неотполированные пломбы, прилегающие к десне.
При обнаружении схожих симптомов проконсультируйтесь у врача. Не занимайтесь самолечением - это опасно для вашего здоровья!
Симптомы гингивита
На начальной стадии заболевания пациенты жалуются на дискомфорт в ротовой полости. При осмотре поражённый участок десны гиперемирован (т. е. имеется покраснение), увеличен в объёме. Возможна кровоточивость во время употребления твёрдой пищи и чистки зубов. Боли на ранней стадии заболевания, как правило, ещё нет. Многие пациенты жалуются на повышенное слюновыделение.

Воспалённая десна отстаёт от поверхности зуба, в образовавшейся полости скапливаются остатки пищи, появляется неприятный запах изо рта. Если не лечить заболевание, в кармане активно размножаются бактерии, развивается кариес шейки зуба [2] .
Со временем появляется боль в десне, которая усиливается во время приёма пищи и при стоматологическом осмотре. Особенно болевой синдром выражен при употреблении горячего, холодного и кислого. При выраженном воспалении или распространённом процессе могут появляться не только местные, но и общие симптомы: повышение температуры, слабость, повышенная утомляемость, раздражительность.
При осмотре стоматолог видит изменение цвета поражённых участков слизистой, гипертрофию (увеличение объёма) межзубных сосочков и края десны. Обычно в области воспаления присутствует зубной налёт, зубной камень и поражения кариесом. При обследовании стоматологическим инструментом десна может кровоточить. При хроническом воспалении клиническая картина стёрта, но может наблюдаться выраженная гипертрофия мягких тканей. При длительно текущем процессе разросшаяся десна может закрывать практически всю коронку зуба. При десквамативной ( с появлением пузырьков на дёснах) и язвенной форме гингивита на десне могут образовываться пузырьки и язвочки [3] .

Патогенез гингивита
Развитие гингивита начинается с формирования бляшек из зубного налёта. Они образуются после отсутствия полноценной гигиены ротовой полости в течение 1-2 дней. Наиболее частые места образования бляшек — межзубные промежутки и пришеечная зона.

Из слюны и выделяемой десной жидкости формируется плёнка — пелликула. В норме она выполняет защитную функцию, но на начальных стадиях гингивита способствует адгезии (прилипанию) бактерий, которые присутствуют в ротовой полости даже у здорового человека. Обычно это аэробные кокки и палочки.
Микроорганизмы активно размножаются, в глубине их колонии образуется анаэробная (бескислородная) среда. Это создает оптимальные условия для размножения агрессивной грамотрицательной микрофлоры. Эти бактерии продуцируют токсины, которые способны проникать в ткани и разрушать слизистую оболочку, что приводит к эрозивным изменениям эпителия.
Организм пытается противостоять повреждающему действию и в ответ запускает воспалительную реакцию с целью уничтожения патогенных факторов . В некоторых случаях иммунитет самостоятельно справляется с микрофлорой, но чаще воспаление прогрессирует или приобретает хронический характер.
Разрушающее действие микроорганизмов и воспалительный процесс ведут к ухудшению микроциркуляции в десне, снижению активности антиоксидантных защитных механизмов. Это приводит к агрессивному воздействию на эпителий факторов системы комплемента (защитных белков, циркулирующих в крови), что вызывает прогрессирующее разрушение слизистой. У пациентов с дефектами иммунитета, гормональными нарушениями, болезнями крови, травматическим повреждением дёсен и истончённой слизистой мягкие ткани более уязвимы, процесс их деструкции идёт более активно.
Если патологический процесс активно развивается, в мягких тканях возрастает количество клеток иммунной системы (лимфоцитов и макрофагов). Они разрушают клетки и фибриллярные структуры цитоплазмы ( жесткие, параллельно расположенные волокна, которые определяют форму клетки) . Это приводит к расширению пространства между десной и зубом, истончению эпителиального слоя.
Воспаление может полностью пройти с наступлением выздоровления, либо перейти в хроническую форму. Во втором случае процессы регенерации нарушаются, эпителий замещается грануляционной тканью (соединительной тканью, которая образуется при заживлении тканевых дефектов), которая может сильно разрастаться, прикрывая коронку зуба [4] .
Классификация и стадии развития гингивита
Согласно Международной классификации болезней 10 пересмотра (МКБ-10), выделяют острое и хроническое течение гингивита:
- При остром течении пациент ощущает болезненность и дискомфорт, часто бывают кровотечения, мягкие ткани гиперемированы.
- Хроническое воспаление иногда вызывает дискомфорт, пациента беспокоит неприятный запах изо рта, край десны часто утолщён в виде валика. Хроническую форму гингивита делят на такие виды:
- хронический без дополнительных уточнений;
- десквамативный (с появлением пузырьков на дёснах);
- гиперпластический (проявляется разрастанием десны);
- простой маргинальный (поражающий край десны);
- язвенный [5] .
По распространённости воспалительного процесса гингивит может быть локальным либо генерализованным (распространённым). В последнем случае часто выявляются общие симптомы в виде повышения температуры и слабости.
По тяжести течения:
- Лёгкие поражения слизистой — поражаются только межзубные сосочки.
- Поражения средней тяжести — в воспалительный процесс вовлекается свободный край десны.
- Тяжёлые поражения слизистой — воспаляются мягкие ткани, прикреплённые к зубу.
По морфологическим признакам:
- Катаральный гингивит. Х арактерно выделение большого количества экссудата, выраженное покраснение слизистой, отёчность, болезненность, локальное повышение температуры.
- Гипертрофический гингивит. Сосочки между зубами увеличиваются, со временем они могут полностью закрывать коронки зубов. Десна приобретает синюшный оттенок, кровоточит во время еды, чистки зубов или при стоматологическом осмотре, формируются глубокие десневые карманы.
- Язвенный гингивит. Слизистая приобретает серый оттенок, видны очаги деструкции [6] .
На ранней стадии заболевания отмечается покраснение, припухлость, кровоточивость дёсен. Если вовремя обратиться к стоматологу, можно быстро снять воспаление и полностью восстановить мягкие ткани. Если не лечить заболевание, развиваются деструктивные процессы в десне, дефекты замещаются грануляционной тканью. Если воспаление будет прогрессировать и дальше, процесс может перейти на ткани пародонта, что может привести к утрате зубов.
Осложнения гингивита
Гингивит — это не такое безобидное заболевание, как кажется некоторым пациентам. Многие полагают, что воспаление пройдёт само, не оставив следа. Это возможно только при небольшом очаге поражения и хорошем иммунитете. Следует помнить, что воспалённая десна — это источник инфекции, которая может распространяться в ротовой полости и вызывать серьёзные последствия. Именно поэтому при первых симптомах нужно обращаться за медицинской помощью. Самые распространённые осложнения гингивита:
- язвенно-некротические изменения слизистой; (воспаление пародонта); (воспаление соединительной связки, фиксирующей зуб в кости челюсти) ;
- распространение инфекции за пределы ротовой полости.
При гингивите на слизистую полости рта действуют иммунные силы организма (лимфоциты и макрофаги) и токсины, которые выделяют бактерии. Если воспалительный процесс вовремя не купировать, эпителий начнёт разрушаться. На начальных стадиях этот процесс обратим, но при длительном течении заболевания десна гипертрофируется за счёт грануляционной ткани. В этом случае терапевтическое лечение может быть неэффективным.
Микрофлора, которая поразила десну, может распространяться на ткани пародонта. Это приводит к шаткости зубов, а со временем — к их утрате. Таким образом, вследствие заболеваний дёсен можно потерять совершенно здоровые зубы.

Бактерии, размножающиеся между десной и зубом, могут вызывать пришеечный кариес. Кроме того, это постоянный источник неприятного запаха изо рта, от которого не избавит даже чистка зубов и использование растворов для полоскания и освежения дыхания.
В тяжёлых случаях воспалительный процесс переходит на костную ткань челюсти. Это очень опасное осложнение, которое сложно поддаётся лечению и может привести к необратимым изменениям лицевого скелета, утрате нескольких или всех зубов. Возможно развитие остеомиелита челюсти, когда разрушается костная ткань и образуются свищи — ходы, через которые гной из области корня зуба выходит в ротовую полость. Заболевание существенно ухудшает состояние пациента, приводит к общей интоксикации: слабости, снижению работоспособности, повышению температуры тела, боли в мышцах и суставах.
Инфекция по кровеносному руслу может распространяться далеко за пределы ротовой полости. В этом случае возможно развитие воспалительных заболеваний ЛОР-органов: ангины Винсента, парафарингеального абсцесса. Воспаляться могут не только соседние органы. С током крови инфекция может попасть в любой орган. Если гингивит вызван стрептококком, у пациента может развиться миокардит (воспаление сердечной мышцы) или пиелонефрит ( воспаление ткани почек) [7] .
Диагностика гингивита
Диагностика начинается с того, что врач слушает жалобы пациента и собирает анамнез. Обычно клиническая картина довольно типична. Необходимо выяснить, как давно появились первые симптомы, проводилось ли какое-либо лечение. При сборе анамнеза нужно обратить внимание на наличие хронических заболеваний, гормональных нарушений, оценить состояние иммунитета. Эти факторы важны при выборе тактики лечения.
При осмотре стоматолог без труда выявит изменённый участок десны. Задача доктора — определить тяжесть поражения, оценить распространённость процесса, выявить, задействованы ли в воспалении ткани пародонта и периодонта. Также нужно выяснить причину гингивита и устранить её. Если десна постоянно повреждается острым краем коронки, то снятие воспаления — это временная мера. Без устранения повреждающего фактора болезнь будет рецидивировать.
Если есть подозрение на распространение процесса за пределы десны, необходимы дополнительные обследования, позволяющие оценить состояние корня зуба, костной ткани челюсти, пародонта. С этой целью широко используют рентгенографию [8] .
Если процесс генерализован (распространён по организму), пациенту необходимо сдать общий анализ крови. Он позволяет оценить ответ организма на воспаление и определить степень тяжести состояния.
Для диагностики используют и дополнительные методы:
- проба Шиллера — Писарева — определение гликогена, содержание которого резко возрастает при воспалении;
- определение индекса кровоточивости;
- проба Кулаженко — определение стойкости и проницаемости микроциркуляторного русла;
- полярография — определение уровня кислорода в тканях пародонта;
- реопародонтография — исследование функционального состояния сосудов тканей пародонта путём регистрации пульсирующего в них потока крови .
Часто гингивит выявляется во время профилактического осмотра. При этом пациенты не предъявляют жалоб, так как на ранних стадиях процесс может протекать бессимптомно. Именно поэтому важно каждые 6 месяцев посещать стоматолога.
Лечение гингивита
Для успешного лечения нужно в первую очередь устранить причину воспаления. С этой целью обязательно проводится удаление налёта и зубного камня.

При начальных стадиях заболевания этой процедуры и использования местных антисептиков достаточно. Для снятия воспаления используется метронидазол, хлоргексидин, настои шалфея и ромашки. Для улучшения регенерации показано местное применение "Солкосерила", облепихового масла.
Если коронка, пломба или скол зуба приводят к постоянному повреждению десны, необходимо провести лечение зуба и устранить повреждающий фактор. К десне должна прилегать гладкая поверхность без шероховатостей и острых краёв.
Если воспаление имеет распространённый характер, нарушено общее самочувствие пациента, а в анализе крови есть признаки воспаления, назначают курс антибиотиков, активных в отношении грамотрицательной флоры. Также используют иммуностимуляторы и витамины [2] .
Если у пациента выражен болевой синдром, к терапии добавляют обезболивающие препараты. С этой целью используют препараты из группы НПВС (нестероидных противовоспалительных средств).
В комплексной терапии гингивита в качестве дополнительного лечения иногда используются физиотерапевтические методы лечения:
- электрофорез с алоэ, аскорбиновой кислотой;
- фонофорез с гепариновой мазью;
- облучение кварцевой лампой;
- лазеротерапия [12] ;
- дарсонвализация;
- вакуумный массаж десен [9] .
При гипертрофической форме гингивита перечисленные лечебные мероприятия могут не дать положительного результата. В таком случае для уплотнения разросшихся мягких тканей в межзубные сосочки делают инъекции склерозирующих средств. Если таким способом устранить разросшуюся грануляционную ткань не удалось, используют криодеструкцию (заморозку и удаление тканей с помощью жидкого азота), диатермокоагуляцию (иссечение слизистых тканей при помощи горячего инструмента) или удаление с помощью скальпеля — гингивэктомию [10] .

Прогноз. Профилактика
При своевременном начале лечения заболевания, особенно при катаральной форме (характеризуется покраснением и отёчностью дёсен), прогноз всегда благоприятный. Мягкие ткани полностью восстанавливаются, а при устранении причины воспаления оно не развивается снова.
При обширном поражении и разрастании десны приходится частично удалять десневые сосочки, это может привести к обнажению шеек зубов. Если таким пациентам регулярно не проводить профилактические мероприятия, быстро развивается пародонтит.
Если не пройти курс лечения, воспаление дёсен, как правило, заканчивается утратой зубов. Микрофлора поражает ткани пародонта, фиксирующие зуб, он начинает шататься и со временем выпадает.
Часто неблагоприятный прогноз при гингивите бывает у больных сахарным диабетом. Нарушение микроциркуляции, обусловленное основным заболеванием, приводит к нарушению трофики тканей, замедляет процессы регенерации. Таким пациентам необходима постоянная поддерживающая терапия, которая замедляет наступление необратимых изменений, а также контроль уровня глюкозы в крови.
Для профилактики гингивита нужно соблюдать следующие рекомендации:
- регулярно чистить зубы (2 раза в день);
- использовать щётку с мягкой щетиной;
- после еды пользоваться зубной нитью и ополаскивателем;
- каждые шесть месяцев проводить профессиональную чистку зубов у стоматолога;
- не пропускать плановые визиты к доктору;
- своевременно лечить кариес;
- если пломба или коронка травмирует десну, срочно обращаться к стоматологу;
- избегать употребления твёрдой пищи, травмирующей дёсны.
Если кровоточивость дёсен отмечается более трёх суток, не нужно заниматься самолечением, необходимо обратиться за медицинской помощью. Начальные стадии гингивита можно быстро вылечить с помощью местной терапии. Запущенное заболевание плохо поддаётся лечению и может закончиться необратимыми последствиями [11] .
Острый гингивит
Острый гингивит - воспаление десен, протекающее с выраженной клиникой без нарушения целостности зубодесневого соединения. При катаральном гингивите десна становится отечной, гиперемированной. Появляются жжение, кровоточивость. Язвенный гингивит характеризуется развитием участков изъязвлений, десневой край приобретает изъеденный вид, покрыт серым налетом. Диагностика включает сбор анамнеза, клинический осмотр, инструментальные и лабораторные методики исследования. С целью этиотропного лечения острого гингивита показаны следующие мероприятия: профессиональная гигиена полости рта, назначение противомикробной терапии, устранение местных раздражающих факторов.
Острый гингивит - заболевание, возникающее вследствие вовлечения в воспалительный процесс тканей десны, протекает с сохранением целостности зубоэпителиального прикрепления. Представители женского и мужского пола в равной степени подвержены развитию заболевания. Острый гингивит диагностируют гораздо реже, чем хронический. Наиболее часто десквамативный гингивит выявляют у девочек в период полового созревания. Язвенный гингивит чаще встречается у мужчин в возрасте до 30 лет. Кроме первичного острого гингивита, вызванного ассоциацией условно-патогенных микроорганизмов полости рта, в стоматологии диагностируют и симптоматический гингивит, сигнализирующий о заболеваниях крови, патологии эндокринной системы, дисфункции органов ЖКТ.
Причины острого гингивита
Ведущая роль в возникновении острого гингивита принадлежит инфекционному фактору. Обильная пародонтопатогенная микрофлора, находящаяся в зубной бляшке, оказывает выраженное повреждающее действие на ткани пародонта. Множественные кариозные полости, зубочелюстные деформации, патологии прикуса - все эти местные факторы создают благоприятные условия для накопления зубного налета и развития воспалительного процесса. Однако бактериальную модель этиопатогенеза острого гингивита необходимо рассматривать в комплексе с индивидуальными реакциями организма.
Микробный фактор может быть реализован только в условиях неадекватной иммунной защиты. К общим предрасполагающим условиям, снижающим реактивность организма и способствующим развитию острого гингивита, относят инфекционные заболевания, болезни эндокринной системы, вредные привычки, стрессовые ситуации. Наиболее часто при остром гингивите в зубном налете выявляют повышенное содержание актиномицетов. Доказана прямая корреляция между выраженностью клиники и количественным содержанием Actinomyces viscosus.
Продуцируемый патогенами лейкотоксин вызывает лизис нейтрофилов, в результате чего клетки крови утрачивают свои защитные свойства. Эндотоксины, проникая через интактный эпителий десны, активируют систему комплемента, стимулируют продукцию биологически активных веществ, под воздействием которых развиваются признаки острого гингивита: отек, гиперемия, кровоточивость. Вследствие выхода форменных элементов за пределы сосудистой стенки усугубляется нарушение микроциркуляции. Расстройства кровотока, повышение проницаемости сосудов являются ведущим звеном воспалительной реакции.
В основе патогенетического механизма развития язвенной формы острого гингивита лежит иммунокомплексная реакция 3 типа, в результате которой возникает поверхностный васкулит, снижается скорость кровотока, что способствует запуску реакций тромбообразования. Это в конечном итоге приводит к развитию ишемии и некрозу. Десквамативная форма острого гингивита возникает в результате изменения гормонального фона в период полового созревания.
Классификация острого гингивита
По характеру течения острый гингивит разделяют на следующие формы:
- Легкую. Очаг поражения локализирован в участке межзубных сосочков.
- Средней тяжести. В патологический процесс вовлекаются не только интерпроксимальные сосочки, но и маргинальный край.
- Тяжелую. Патологические изменения выявляют на всем протяжении слизистой оболочки десны, в том числе и в альвеолярной ее части.
По распространенности воспалительного процесса острый гингивит бывает локализованным (охватывает слизистую в участке 4 зубов) и генерализованным. Наиболее часто диагностируют катаральную, десквамативную и язвенную формы острого гингивита.
Симптомы острого гингивита
При остром катаральном гингивите пациенты жалуются на боль, жжение, припухлость десен, неприятный запах изо рта. В ходе обследования выявляют ярко гиперемированную десну. Изменяется рельеф десневого края, сосочки приобретают куполообразную форму. Спровоцировать кровоточивость может не только чистка зубов, но и употребление жесткой пищи. В ходе осмотра полости рта у пациентов с острым гингивитом удается установить причинно-следственную связь возникновения воспалительного процесса с местными раздражающими факторами: наличием твердых и мягких отложений, кариеса, аномалий прикрепления уздечек, патологий прикуса.
Десквамативный гингивит является одной из форм катарального воспалительного процесса. Проявляется ярко выраженной гиперемией десен, отечностью, жжением, кровоточивостью. На десне выявляют участки слущивания эпителия. При язвенной форме острого гингивита повышается температура тела, ухудшается самочувствие, снижается работоспособность. Пациенты жалуются на болезненность слизистой. Неприятные ощущения усиливаются даже при незначительном прикосновении языком к пораженному участку. При остром язвенном гингивите в полости рта выявляют зоны изъязвлений, покрытые сверху наслоениями серо-зеленого цвета. В патологический процесс могут быть вовлечены интерпроксимальные сосочки, маргинальный край, а также альвеолярная часть десны.
Диагностика острого гингивита
Постановка диагноза «острый гингивит» базируется на основе собранного анамнеза, данных физикального обследования, результатов дополнительных методов исследования. Во время осмотра при катаральном гингивите врач-стоматолог выявляет гиперемированную, отечную десну. Сосочки напряжены, кровоточат при легком касании. Целостность зубоэпителиального прикрепления при остром гингивите сохранена, отсутствуют пародонтальные карманы. При десквамативной форме острого гингивита наряду с отечностью и кровоточивостью в участке десен диагностируют зоны слущивания поверхностного эпителия.
Язвенный гингивит характеризуется образованием изъязвлений. Наблюдается изъеденный десневой край, интерпроксимальные промежутки зияют. Регионарные лимфатические узлы у пациентов с язвенной формой острого гингивита увеличены. Проба Шиллера-Писарева при остром гингивите положительная. После нанесения йодсодержащих препаратов изменяется цвет слизистой от светло-желтого до темно-коричневого. Интенсивность окрашивания коррелирует со степенью тяжести воспаления. Индекс PMA при остром гингивите положительный. При поражении межзубных сосочков PMA - 25%, при вовлечении в патологический процесс маргинальной части десны PMA - 50%. Если индекс PMA больше 50%, это говорит о наличии воспалительных изменений и в участке альвеолярной десны.
В ходе оценки уровня гигиены при остром гингивите выявляют высокие цифры показателей Грин-Вермиллиона, что говорит о неудовлетворительном индексе гигиены. На прицельной рентгенограмме и ортопантомограмме патологические изменения в костной ткани альвеолярного отростка отсутствуют. При язвенной форме острого гингивита с помощью бактериоскопического исследования удается выявить в поверхностном слое слизистой наряду с резидентной микрофлорой полости рта повышенное содержание фузобактерий и спирохет. Более глубокие ткани содержат исключительно чистую культуру фузиспириллярного симбиоза. При проведении бактериоскопии у пациентов с катаральной формой острого гингивита выявляют увеличенное количество актиномицетов.
Дифференцировать острый гингивит инфекционного происхождения необходимо не только с пародонтитом, но и с вторичным воспалительным процессом, развивающимся при болезнях крови, патологиях эндокринной системы, расстройствах функционирования органов ЖКТ. Для исключения симптоматического острого гингивита показаны консультации узких специалистов: гематолога, эндокринолога, гастроэнтеролога.
Лечение острого гингивита
Острый гингивит требует комплексного лечения. В первое посещение выполняют профессиональную гигиену полости рта. Для удаления твердых и мягких зубных отложений используют ручные кюреты, ультразвуковые скейлеры. Процедуры чистки проводят под постоянным орошением слизистой антисептическими растворами. На заключительном этапе показана полировка зубов для предотвращения последующей ретенции налета. Этиотропная терапия острого гингивита включает применение хлорсодержащих средств, производных нитрофуранов, окислителей. Препараты, обладающие антибактериальным действием, назначают в виде полосканий, ирригаций.
При остром гингивите широко используют и средства растительного происхождения, оказывающие выраженные антисептическое и противовоспалительное действие. При отсутствии положительной динамики показано применение препаратов из группы нестероидных противовоспалительных средств. После купирования воспаления при остром гингивите выполняют санацию полости рта, устраняют местные раздражающие факторы. Терапия десквамативного гингивита проводится аналогично алгоритму лечения катарального воспалительного процесса. Для ускорения регенерации тканей при десквамативной форме острого гингивита применяют кератопластики.
Лечение язвенного гингивита включает мероприятия, направленные на обезболивание пораженных тканей, антисептическую обработку полости рта. Для устранения некротизированных наслоений используют некролитические препараты на основе протеолитических ферментов. Хорошего эффекта удается достичь при комбинировании антибиотиков с кортикостероидами, протеолитическими ферментами. С целью ускорения восстановительных процессов при остром гингивите назначают средства для стимуляции эпителизации. При нарушении общего состояния используют антибиотики, противовоспалительные, антипротозойные препараты для приема внутрь.
При своевременном выявлении и комплексном лечении острого гингивита в 95% случаев удается купировать воспалительный процесс и предотвратить развитие осложнений. Только в 5% случаев отмечается прогрессирование острого гингивита с возникновением деструктивных изменений, появлением признаков пародонтита.
Гингивит
Информацию из данного раздела нельзя использовать для самодиагностики и самолечения. В случае боли или иного обострения заболевания диагностические исследования должен назначать только лечащий врач. Для постановки диагноза и правильного назначения лечения следует обращаться к Вашему лечащему врачу.
Для корректной оценки результатов ваших анализов в динамике предпочтительно делать исследования в одной и той же лаборатории, так как в разных лабораториях для выполнения одноименных анализов могут применяться разные методы исследования и единицы измерения.
Гингивит: причины появления, симптомы, диагностика и способы лечения.
Определение
Гингивит - воспаление ткани десны, обусловленное неблагоприятным воздействием местных и общих факторов и протекающее без нарушения целостности зубодесневого соединения.

Причины появления гингивита
В большинстве случаев гингивит становится следствием неудовлетворительной гигиены полости рта и скопления зубного налета, который раздражают слизистую. В результате формируются десневые карманы (увеличивается расстояние между зубом и мягкими тканями), в которых активно размножаются бактерии. Таким образом, воспаление десен имеет бактериальную природу.
Кроме того, гингивит может стать следствием аллергии, грибковых и вирусных инфекций.
К факторам, которые нередко провоцируют развитие воспалительного процесса в деснах, относят:
- изменения гормонального фона;
- сахарный диабет;
- авитаминоз;
- приобретенные (ВИЧ) и врожденные иммунодефициты (синдром Ди Джорджи);
- беременность;
- лейкоз;
- дефицит витамина С;
- отягощенная наследственность (близкие родственники, у которых диагностированы хронические воспалительные заболевания десен);
- травмирование десны (слизистая оболочка рта может травмироваться из-за неправильного прикуса, стоматологических манипуляций, воздействия агрессивных химических веществ, использования жесткой зубной щетки или нити, употребления твердой пищи).
К ятрогенным (связанным с врачебными манипуляциями) факторам, способствующим воспалению, относятся острые края зубных протезов, коронок, неотполированные пломбы, плотно прилегающие к десне (обычно такие ставят после лечения пришеечного кариеса).
Классификация заболевания
Согласно Международной классификации болезней 10 пересмотра (МКБ-10), выделяют острое и хроническое течение гингивита:
- при остром течении пациент ощущает болезненность и дискомфорт, наблюдается кровоточивость десен, мягкие ткани гиперемированы;
- хроническое воспаление иногда вызывает дискомфорт, пациента беспокоит неприятный запах изо рта, край десны часто утолщен.
- хронический гингивит без дополнительных уточнений;
- десквамативный гингивит с пузырьками на деснах;
- гиперпластический гингивит с разрастанием десны;
- простой маргинальный гингивит с поражением края десны;
- язвенный гингивит.
По тяжести течения:
- легкое поражение слизистой — поражаются только межзубные сосочки;
- поражение средней тяжести — в воспалительный процесс вовлекается свободный край десны;
- тяжелое поражение слизистой — воспаляются мягкие ткани, прилежащие к зубу.
- катаральный гингивит - характеризуется выделением большого количества экссудата, выраженным покраснением слизистой, отечностью, болезненностью, локальным повышением температуры;
- при гипертрофическом гингивите сосочки между зубами увеличиваются и со временем могут полностью закрыть коронку зуба. Десны приобретают синюшный оттенок, кровоточат во время еды, чистки зубов или при стоматологическом осмотре, формируются глубокие десневые карманы;
- при язвенном гингивите видны очаги деструкции, а слизистая приобретает серый оттенок.
На начальной стадии заболевания пациенты жалуются на дискомфорт в ротовой полости, повышенное слюноотделение. При осмотре пораженный участок десны гиперемирован и увеличен в объеме. Возможна кровоточивость во время приема твердой пищи и чистки зубов.
По мере развития воспалительного процесса десна отстает от поверхности зуба, в образовавшейся полости скапливаются остатки пищи, появляется неприятный запах изо рта. Если не лечить заболевание, в кармане начнется активное размножение бактерий.
Со временем появляется боль в десне, которая усиливается во время приема пищи (особенно горячей, холодной и кислой) и стоматологического осмотра.
При выраженном воспалении или распространенном процессе могут появляться не только местные, но и общие симптомы: повышение температуры тела, слабость, утомляемость, раздражительность.
При осмотре стоматолог видит изменение цвета пораженных участков слизистой, гипертрофию (увеличение объема) межзубных сосочков и края десны. Обычно в области воспаления присутствует зубной налет, зубной камень и кариес. При обследовании стоматологическим инструментом десна может кровоточить.
Хроническое воспаление делает клиническую картину стертой, однако может наблюдаться выраженная гипертрофия мягких тканей. При длительно текущем процессе разросшаяся десна способна закрыть практически всю коронку зуба.
Диагностика гингивита
Диагностика начинается с выслушивания жалоб пациента и сбора анамнеза. Обычно клиническая картина довольно типична. Врач выясняет давность появления первых симптомов, наличие у пациента хронических заболеваний и гормональных нарушений - эта информация важна при выборе тактики лечения.
Во время осмотра стоматолог определяет тяжесть поражения, оценивает распространенность воспаления, выявляет, вовлечены ли в процесс ткани пародонта и периодонта. Крайне важно установить и устранить, если возможно, основную причину гингивита.
Если есть подозрение на распространение процесса за пределы десны, требуются дополнительные обследования, позволяющие оценить состояние корня зуба, костной ткани челюсти, пародонта. С этой целью широко используют рентгенографию.
Рентгенологическое исследование нижней челюсти предназначено для оценки ее структуры и поиска патологий.
Читайте также:
