Гиперплазия десен у ребенка
Добавил пользователь Владимир З. Обновлено: 06.01.2026
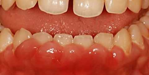
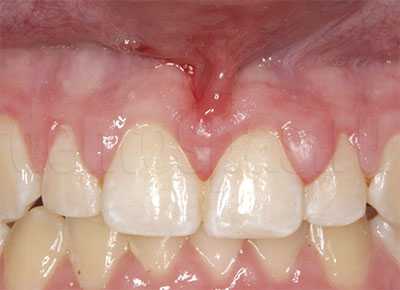
Гиперплазия десны — это ее разрастание, увеличение числа клеток, из-за которого объем пародонта становится больше. Пораженный участок выглядит как новообразование или опухоль, он может закрывать зубы, мешаться во рту. Такие разрастания являются доброкачественными, считаются безопасными, но требуют своевременного лечения.
![Гиперплазия десны]()
Почему разрастается десна?
Выделяют несколько причин увеличения объема тканей пародонта:
- воспаление или травма — нарушает механизмы регуляции и восстановления, провоцирует разрастание десневой ткани в области поражения;
- прием некоторых препаратов. Гиперплазию могут провоцировать иммунодепрессанты, блокаторы кальциевых каналов, антиконвульсанты, некоторые другие лекарственные средства;
- осложнение некоторых системных заболеваний, включая лейкемию, нарушения гормонального фона, обмена веществ;
- опухолевые процессы;
- скопление мягкого налета или зубного камня в пришеечной части коронок, у десневого края;
- отдельные нарушения прикуса (увеличенные межзубные промежутки, рост зубов с наклоном);
- осложнение некоторых заболеваний пародонта (включая гингивит, пародонтит).
На этапе диагностики пародонтолог должен точно определить причины разрастания клеток, чтобы назначить правильное лечение.
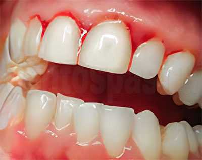
Симптомы гиперплазии десен
Разрастание десны на начальных этапах может быть похоже на отек или формирование опухоли. Постепенно появляются специфические симптомы:
- на поверхности слизистой или под ней появляются уплотнения, которые постепенно увеличиваются, могут становиться более объемными;
- объем десен увеличивается: они становятся шире, десневой край поднимается выше. При этом ткани остаются плотными, признаков отека нет;
- межзубные промежутки заполняются десневой тканью;
- края десны поднимаются, закрывают поверхность коронок;
- при жевании, при чистке зубов разросшиеся участки травмируются, могут воспаляться, после чего их поверхность уплотняется;
- цвет слизистой постепенно становится ярко-розовым.
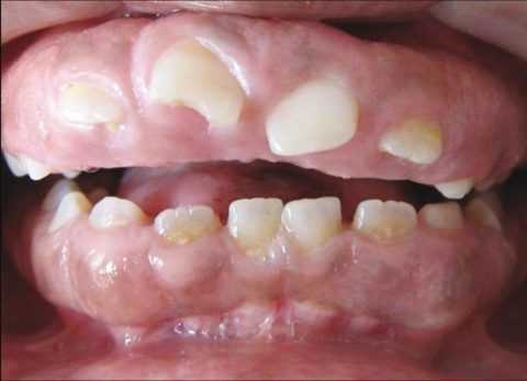
![Гиперплазия верхней десны]()
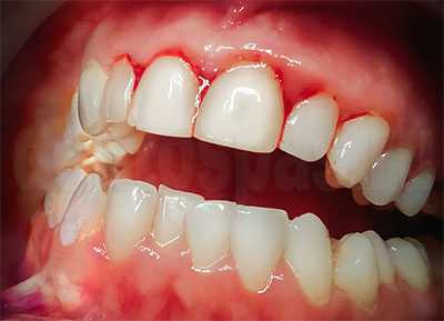
Стадии заболевания
Гиперплазия развивается постепенно, скорость роста новых клеток может зависеть от причины заболевания. Всего выделяют три стадии разрастания.
На первой стадии ткани пародонта увеличиваются в объеме на участках межзубных промежутков. Межзубные десневые сосочки становятся крупнее, могут выглядеть воспаленными или кровоточить, быть чувствительными. При увеличении объема их легче травмировать. При пережевывании твердой еды может возникать болезненность.
На втором этапе рост клеток затрагивает маргинальную десну (участок у десневого края). Он выглядит отечным или опухшим, может казаться более толстым, уплотненным. На этом этапе десневой край начинает подниматься, постепенно закрывая пришеечную часть коронки, из-за чего зубы кажутся «короткими».
На третьей стадии увеличение объема десневой ткани становится хорошо заметным: десна покрывает больше, чем 3/4 высоты зуба, ее толщина может увеличиваться, возможно формирование «бугров», выступающих участков, дополнительных наростов. Цвет слизистой становится однородным, розовым. Она чувствительна, легко травмируется, склонна к болезненности и кровоточивости.
Виды гиперплазии десны
Ткани пародонта могут разрастаться по-разному, с вовлечением разных участков десны. Выделяют несколько видов гиперплазии:
- локализованная: рост новых клеток происходит на ограниченном участке, рядом с одним зубом или группой зубов (только с одной или с обеих сторон);
- генерализованная: десна разрастается по всей поверхности на одной или обеих челюстях;
- папиллярная: новые клетки образуются только на участке десневого сосочка, патология не затрагивает другие десневые ткани;
- маргинальная: разрастается десневой сосочек и область десневого края;
- диффузная: происходит разрастание и маргинальной, и прикрепленной десны (увеличение тканей пародонта на всю высоту от десневого края и до мукогингивальной границы).
Гиперплазия может быть ограниченной. Увеличение тканей в этом случае похоже на опухоль, строго изолировано, имеет широкое основание или ножку. Оно выглядит как нарост или бугорок.
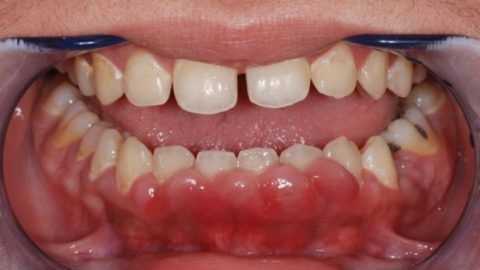
![Гиперплазия десны, вызванная гингивитом]()
Порядок лечения
На первом этапе проводится диагностика. Врач осматривает полость рта, оценивает разросшиеся ткани. Возможен дополнительный рентгенографический контроль, проведение биопсии. На этапе диагностики подтверждают доброкачественную природу новообразования, определяют причину, по которой оно появилось.
Лечение проводится хирургическим путем после обязательного обезболивания. Разросшиеся ткани отслаиваются, удаляются, выполняется ушивание слизистой. Процедуру проводит пародонтолог или стоматолог во время приема. Объем таких вмешательств небольшой, они легко переносятся, не требуют специальной реабилитации. В отдельных случаях дополнительно врач может назначить кровоостанавливающие препараты, местные антисептики, рекомендовать обезболивающие средства.
Дополнительно при лечении проводится санация полости рта. Она необходима, если десна разрослась из-за воспаления, постоянного контакта с мягким налетом или зубным камнем в области десневого края, в результате осложнения при других эндодонтических и пародонтологических заболеваниях.
Если гиперплазия была спровоцирована приемом лекарственных средств, нужна консультация с лечащим врачом для замены назначенных препаратов на более безопасные. Если причина роста клеток — системные заболевания, нарушения обмена веществ, гормонального фона, их нужно устранить, чтобы десна не разрасталась повторно. Если ткани пародонта разрастаются из-за нарушения прикуса или появления промежутков в зубном ряду (после потери зуба), рекомендовано ортодонтическое лечение или протезирование.
Возможные осложнения
Без лечения гиперплазия десен быстро ухудшает состояние зубочелюстной системы:
- снижается качество самостоятельной гигиены: очищать зубы, закрытые разросшейся десной, не удается. Это повышает риск деминерализации эмали, кариеса, других заболеваний;
- при локализованной гиперплазии меняется распределение жевательной нагрузки. Пораженный участок чувствителен к механическим нагрузкам, мешает жеванию. Если десна разрастается по всей поверхности, употребление еды становится болезненным;
- повышается риск воспаления тканей пародонта и периодонта, развития опасных пародонтологических заболеваний.
Врачи клиники «ДентоСпас» отмечают, что лечение гиперплазии десны легче всего проходит на начальных стадиях. Обращаться к пародонтологу за консультацией лучше сразу после появления признаков патологии: отеков, болезненности, изменения цвета слизистой, увеличения объема тканей.
Полезная информация о болезнях десен

Пародонт — комплекс опорно-удерживающих тканей, которые окружают зубы. Это — не только десны, но и надкостница, периодонт, альвеолярные отростки, цемент зуба. Заболевания пародонта опасны. Они могут приводить к потере даже здоровых зубов. В этом разделе — информация о таких болезнях, их симптомах, способах лечения.
Виды болезней пародонта
Чаще всего заболевания десен развиваются в результате воспаления. Это гингивит, периостит, пародонтит. Если нарушается питание тканей, их кровоснабжение, может развиваться пародонтоз — невоспалительное заболевание, при котором происходит постепенная убыль десневой ткани, расшатывание здоровых зубов и их выпадение.
Гингивит развивается как воспаление слизистой из-за травмы или инфекции. Его легко вылечить, но для этого нужно вовремя обратиться к врачу. Запущенный гингивит может переходить в пародонтит — более серьезное воспаление, которое затрагивает ткани пародонта и может приводить к выпадению зубов. При пародонтите десны становятся болезненными, кровоточат, их край опускается. Из-за этого он не прилегает к пришеечной части коронок плотно. Это может приводить к углублению пародонтальных карманов, к более сильному воспалению. Периостит — это острое воспаление, которое часто становится осложнением пульпита или инфекции в полости рта. Пародонтоз не сопровождается воспалением. При этом заболевании опорная структура постепенно разрушается, десневые ткани уменьшаются в объеме, зубы расшатываются, выпадают. Десны могут не кровоточить, не опухать, не болеть.
У вас есть вопросы о болезнях десен?
Мы перезвоним в течение 30 секунд
Причины болезней десен
Есть несколько факторов, которые провоцируют заболевания пародонта:
- болезни зубов: при кариесе или пульпите во рту появляется источник инфекции. Если она распространяется на десны, может развиваться гингивит, периостит или пародонтит;
- неправильный уход: болезни пародонта могут появляться, если на поверхности коронок (и особенно в их пришеечной части) скапливается зубной камень, если при чистке зубной щеткой человек травмирует слизистые, если он использует неподходящие средства гигиены;
- общее состояние здоровья. Некоторые хронические болезни, снижение иммунитета, нарушения обмена веществ, гормональные изменения могут влиять на состояние пародонта. Чаще в этом случае развивается пародонтоз, но при снижении иммунитета, при повышенном риске инфекций могут появляться и воспалительные заболевания.
Как лечат болезни десен?
В стоматологической клинике «ДентоСпас» пародонтологическое лечение проводят врачи с узкой специализацией. Возможно использование медикаментозной терапии, гигиенических, профилактических процедур, проведение хирургических вмешательств. Лечение выполняется в несколько этапов:
- диагностика: врач осматривает полость рта, оценивает состояние пародонта, опрашивает пациента. На этапе диагностики могут требоваться дополнительные исследования: выполнение диагностических снимков, проведение лабораторных анализов (анализа крови, соскоба, если нужно определить возбудителя инфекционного заболевания);
- снятие воспаления. Для этого нужна санация: лечение больных зубов, профессиональная гигиена для удаления минерализованного налета, чистка пародонтальных карманов. Чтобы остановить распространение инфекции и снять воспаление, врач может назначить антибиотики, противовоспалительные препараты;
- хирургическое лечение. Может требоваться при тяжелой стадии воспаления или рецессии десны. Врач восстановит десневые ткани, выполнит шинирование, чтобы укрепить расшатавшиеся зубы;
- имплантация, протезирование. Нужны, если пациент уже потерял один или несколько зубов. Восстановить зубной ряд необходимо, чтобы жевательная нагрузка распределялась правильно, и не появлялось новых заболеваний пародонта.
Пародонтологи клиники «ДентоСпас» отмечают, что все болезни десен проще и быстрее лечатся на ранней стадии. Если обратиться к врачу, когда воспаление только начинается, его удастся легко снять. Если болезнь зайдет далеко, понадобится более сложное и дорогое лечение.

Признаки болезней пародонта
У каждого из заболеваний пародонта свои симптомы, но есть несколько общих признаков проблем с деснами:
- кровоточивость — кровь может появляться при надавливании на поверхность слизистой, во время еды, при чистке зубной щеткой. Если это регулярно повторяется, необходимо обратиться к врачу;
- покраснение или бледность, припухлость, отек. Если десны выглядят покрасневшими, отекшими, это указывает на воспаление. Бледная, синюшная окраска слизистых может быть связана с нарушением питания тканей пародонта;
- десневой край опускается, и кажется, что зубы стали длиннее. Это признак рецессии десневой ткани: постепенно ее объем уменьшается. Зуб перестает удерживаться в лунке, со временем расшатывается, выпадает.
Тревожными признаками также считают любые дискомфортные ощущения: зуд, болезненность. Если изо рта неприятно пахнет, пародонтальные карманы становятся более глубокими, зубы расшатываются или появляется гной, припухлости, отеки, это требует срочной консультации пародонтолога.
Профилактика
Врачи стоматологии «ДентоСпас» рекомендуют каждые полгода проходить профилактические осмотры. Пародонтолог или стоматолог сможет заметить симптомы болезни на ее ранней стадии. Чтобы десны оставались здоровыми, важна гигиена полости рта, правильный ежедневный уход, своевременное лечение.
Признаки заболеваний десен
Заболевания десен легче всего лечатся на ранних стадиях, и поэтому важно знать о том, какие у них могут быть признаки. Если появляются тревожные симптомы, состояние десен меняется, важно как можно быстрее обращаться к врачу.
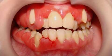
![Кровоточивость десен]()
Кровоточивость
Этот симптом может быть связан с появлением гингивита, пародонтита, изменением гормонального фона. Кровотечение начинается при повреждении слизистой оболочки полости рта. Часто оно указывает на воспаление.
Кровоточивость может проявляться в следующих ситуациях:
- при чистке зубов (пена зубной пасты окрашивается в розовый цвет). Если зубная щетка и техника чистки не менялись, нужно обратиться к врачу за консультацией. Если вы стали чистить зубы активнее, сменили зубную пасту или начали использовать более жесткую зубную щетку, стоит вернуться к прежней технике чистки зубов;
- при использовании зубной нити. Кровь может появляться из-за ослабленной слизистой даже в том случае, если зубная нить используется с осторожностью. Другая возможная причина — слишком агрессивная чистка зубной нитью, надавливание на десневые края. В этом случае стоит действовать аккуратнее, чтобы не травмировать слизистые;
- при употреблении твердых продуктов (свежих фруктов, твердых овощей, орехов). Если при пережевывании еды десны начинают кровоточить, нужно как можно быстрее обратиться к врачу.
При появлении кровоточивости нужно обратить внимание на состояние зубов. Часто воспаление пародонта связано с отложениями зубного камня в пришеечной части коронок, рядом с десневым краем, с наличием невылеченного кариеса или пульпита. Если есть проблемы с зубами, и из-за этого ухудшается состояние пародонта, нужно срочно обратиться к врачу.
![Боль десны]()
Боль
Болезненные ощущения могут возникать при надавливании, прикосновении, если человек резко наклоняется. Они указывают на воспаление, которое нужно лечить. Оно может быть связано с гингивитом или пародонтитом. Эти заболевания быстро прогрессируют, и поэтому важно обратиться к пародонтологу как можно быстрее: даже если кроме периодической боли нет никаких симптомов, а сами десны выглядят как обычно.
Болезненность может возникать и в связи с эндодонтическими заболеваниями (кариесом, пульпитом, их осложнениями). Такие заболевания нужно вылечить как можно быстрее, пока воспаление не перешло на ткани пародонта.
![Неприятный запах изо рта]()
Неприятный запах изо рта
Обычно он появляется как сопутствующий симптом гингивита или пародонтита. Десны при этом могут кровоточить, болеть, выглядеть опухшими, слишком темными или красными. Плохой запах указывает на активное размножение бактерий и развитие воспаления. Он не исчезнет сам по себе: нужно проверить состояние десен и пройти лечение.
Отечность
Отек может появляться после травмы десны. В этом случае он локализован, распространяется только на место ушиба, может немного болеть, но в целом быстро проходит. Если после травмы отечность долго сохраняется, усиливается, боль становится острой или пульсирующей, нужна консультация врача.
В других случаях отечность десен является симптомом воспаления. Она сопровождается болезненностью, может появляться кровоточивость, цвет слизистой меняется (она становится более темной или приобретает ярко-красный оттенок). Такие отеки могут сопровождать гингивит или пародонтит.
Появление нагноений
Абсцессы появляются на деснах при агрессивном воспалении, если его не лечат. Гнойные образования выглядят как отекшие или опухшие участки. Цвет слизистой может изменяться, становиться более темным или ярко-красным. В месте нагноения десна начинает сильно болеть. Если не снять воспаление, возможно появление свищевого хода, флюса, потеря зуба, расположенного рядом с абсцессом.
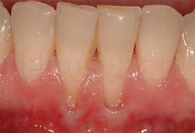
![Рецессия десны]()
Рецессия
Это — изменение структуры тканей пародонта, при котором они «усыхают», уменьшаются в объеме, край десны опускается. Из-за этого зубы могут казаться удлиненными, их пришеечная часть обнажается. Эмаль на этих участках становится более чувствительной, может появляться болезненная реакция на температурные раздражители, при контакте со сладкими или кислыми продуктами.
Рецессия десны может появляться как осложнение воспаления при гингивите. В других случаях она сопровождает пародонтоз. Из-за нарушения питания тканей их структура меняется, происходит убыль пародонта, что может провоцировать потерю зубов. Реже рецессия связана с неправильным прикусом, с постоянной травмой десен из-за неправильной техники чистки зубов или скопления зубного камня в пришеечной части или под десневым краем, в пародонтальном кармане.
Расшатывание зубов
Подвижность зубов — симптом пародонтоза, невоспалительного заболевания десен, при котором происходит рецессия тканей пародонта, а позже — разрушение связок, удерживающих зуб. Из-за этого коронки становятся подвижными, расшатываются и могут выпадать. Расшатывание зубов может сопровождаться рецессией десны, появлением неприятного запаха изо рта. Часто при пародонтозе оно безболезненно и происходит незаметно для пациента. В норме зубы должны быть почти неподвижными. Их смещение в пределах лунки даже с небольшой амплитудой (в 1-2 мм) — опасный симптом, который требует срочной консультации у пародонтолога.
При заболеваниях десен обычно появляется сразу несколько симптомов: при воспалении они отекают, становятся болезненными, кровоточат, возможно повышение температуры тела, а при пародонтозе начинается рецессия и расшатывание зубов. Пародонтологи стоматологической клиники «ДентоСпас» рекомендуют регулярно самостоятельно осматривать десны, контролировать их состояние и как можно быстрее обращаться к врачу, если появляются тревожные симптомы.
Гиперплазия десен - классификация, причины и способы лечения

Гиперплазия десен представляет собой патологический процесс разрастания околозубных мягких тканей. Заболевание, как правило, поражает пациентов среднего и старшего возраста. Данная патология преимущественно имеет наследственное происхождение.
Постепенное прогрессирование болезни приводит к закрытию большей части зуба десной. Эти симптомы приносят ощутимый дискомфорт человеку.
Причины развития гиперплазии десен
Истинная причина развития гипертрофии десен не известна. Некоторые специалисты считают, что возникновение гиперплазии связано с приемом гормональных препаратов на фоне генетической предрасположенности. В подтверждение этой теории ученые констатируют, что большинство клинических случаев разрастания мягких тканей происходит в период гормональных перестроек.
При этом существуют следующие факторы риска:
- половое созревание и беременность;
- хронические заболевания кровеносной системы;
- врожденные аномалия смыкания зубных рядов;
- твердый и мягкий зубной налет;
- хроническая травма десны острыми краями пломбы и некачественными ортопедическими конструкциями.

Лекарственная причина развития гиперплазии
В 25-50% клинических случаев гиперплазия десен формируется у пациентов, систематически принимающих фенитоин и циклоспорин.
По мнению медицинских экспертов, 5-10% больных с патологией почек, которые вынуждены постоянно употреблять блокаторы кальциевых каналов, страдают фиброматозом. В этих людей зачастую специалисты диагностируют гиперплазию мягких тканей ротовой полости.
Лекарственная форма разрастания десен может образоваться в любом возрасте. Часто этой патологии предшествует медикаментозное лечение бактериальной или вирусной инфекции. При этом сначала поражаются десенные сосочки, а потом вся поверхность десны.
Гипертрофическая патология наиболее выражена в области передней группы зубов. Со временем гипертрофия может распространиться на всю коронковую часть зубов.

Классификация гипертрофии десен
Стоматологическая инструкция указывает на две основные группы гиперплазии десны:
- Генерализированный вид. Для данного заболевания типичным признаком считается образование нескольких участков гипертрофии десен, которые постепенно сливаются в один патологический очаг. Для генерализированной формы также характерно плотное увеличение объема мягких тканей ротовой полости, которое имеет гладкую поверхность.
- Ограниченный вид. Очаговое поражение десен, как правило, протекает крайне медленно. Такая патология локализуется в области центральных зубов. Ограниченное разрастание мягких тканей имеет плотную консистенцию и не отличается по цвету от близлежащей десны. Коронковая часть зубов при этом закрыта десенной тканью не менее как на половину своей высоты.
Локальное разрастание десны создает препятствие для расшатывания молочных зубов и прорезыванию постоянных. В некоторых случаях заболевание может провоцировать растворению межзубных костных перегородок.
В стоматологической практике специалисты выделяют три степени гиперплазии десны:
- Увеличение объема десны на треть высоты коронки. Гиперплазия при этом наиболее выражена у основания межзубных сосочков. В таких случаях десна утолщаются в виде валика.
- Закрытие коронковой части зуба на половину ее высоты. Десневой край при этом постепенно перекрывает всю нижнюю часть зуба.
- Гиперплазия десны, которая поднимается выше двух третей высоты. Клиническая картина заболевания характеризируется значительной гипертрофией мягких тканей ротовой полости, кровоточивостью десенных сосочков и обильным разрастанием грануляций.



Клиническая картина заболевания
К основным симптомам гиперплазии десенной ткани можно отнести:
- нарастающее ощущение отека десны;
- постепенное заполнение межзубных промежутков рыхлой грануляционной тканью;
- изменение цвета десны;
- периодическое кровотечение при чистке зубов;
- частичное перекрытие поверхности зуба десной.

Диагностика патологии
Установление диагноза проводит врач-стоматолог по результатам следующих методов исследования:
- Сбор анамнеза болезни. Специалиста интересует наличие жалоб у пациента на болезненность и кровотечение десны. Стоматолог также устанавливает примерную длительность течения заболевания.
- Осмотр полости рта. В большинстве случаев предварительный диагноз врач определяет после визуального и инструментального осмотра ротовой полости. На этом этапе доктор также измеряет глубину зубо-десневого кармана.
- Рентгенологическое обследование. На рентгенологическом снимке врачи-стоматологи определяют функциональное состояние костной ткани, зубов и связочного аппарата. Только по результатам рентгенографии можно поставить окончательный диагноз и исключить наличие пародонтоза или пародонтита.

Основные способы лечения гипертрофии десны
Терапия патологического разрастания мягких тканей ротовой полости начинается с профессиональной чистки зубов от зубного налета. Эта процедура проводится с помощью ультразвукового скалера.

Дальнейшее лечение гипертрофии осуществляется двумя основными способами:
- Консервативная терапия. Медикаментозное лечение показано при лекарственной форме гиперплазии. В таких случаях желательно отменить прием препарата, который вызвал разрастание десны. На местном уровне патологический очаг обрабатывают антисептическим раствором и средством для восстановления поврежденной десны.
- Хирургическая операция. Гиперплазия десны, лечение которой проводилось радикальным методом, имеет наиболее благоприятный прогноз. Хирургическое иссечение десны выполняется традиционным способом с помощью хирургического скальпеля или посредством лазера.

Все хирургические манипуляции в стоматологии проводятся под местной анестезией. При этом лазеротерапия имеет ряд преимуществ:
- низкая травматичность процедуры;
- бескровность операции, что достигается мгновенным запаиванием кровеносных сосудов лазерным лучом;
- точность удаления атипично разросшихся тканей;
- бактерицидный эффект лазерного луча предупреждает вторичное инфицирование операционного поля.
Единственным недостатком такой процедуры является высокая цена. Данную процедуру также должны проводить стоматолог высшей квалификации, которые прошли специальные курсы по работе с лазерными установками.
Гипертрофический гингивит
Гипертрофический гингивит - воспалительные изменения тканей десны, сопровождающиеся их разрастанием (гипертрофией) с образованием ложных зубодесневых карманов, закрывающих зубную коронку. Клинические проявления гипертрофического гингивита характеризуются отечностью, жжением, гиперемией и кровоточивостью десен (при прикосновении, чистке зубов, во время еды), болевой реакцией на горячую, холодную или кислую пищу, неэстетичностью внешнего вида десны. Диагностика гипертрофического гингивита включает в себя осмотр и пальпацию десен, определение стоматологических индексов, проведение рентгенологического исследования. В лечении гипертрофического гингивита используется местная противовоспалительная терапия, склеротерапия, физиотерапия, диатермокоагуляция десневых сосочков, гингивэктомия.
Общие сведения
Гипертрофический (гиперпластический) гингивит - форма хронического гингивита, протекающая с преобладанием пролиферативных процессов в тканях десны. В стоматологии гипертрофический гингивит диагностируется у 3-5% лиц, страдающих заболеваниями пародонта. Развитию гипертрофического гингивита обычно предшествует длительно текущее катаральное воспаление тканей десны (катаральный гингивит). Гипертрофический гингивит может являться самостоятельным заболеванием или сопутствовать обострению генерализованного пародонтита. При гипертрофическом гингивите, несмотря на существенное увеличение объема тканей десны, целостность зубоэпителиального прикрепления не нарушена, а патологические изменения в костной ткани альвеолы отсутствуют.
Причины гипертрофического гингивита
В развитии гипертрофического гингивита могут принимать участие местные и общие факторы. В числе локальных причин наибольшее значение принадлежит нарушениям прикуса (глубокий прикус, открытый прикус), аномалиям отдельных зубов (скученность, сверхкомплектные зубы, скручивание); зубным отложениям (зубному налету и зубному камню); низкому прикреплению уздечки; механической травме десны неправильно установленными пломбами, нерационально подобранными зубными протезами; неудовлетворительной гигиене полости рта при ношении ортодонтических аппаратов и т. д.
В ряду общих факторов, способствующих развитию гипертрофического гингивита, ведущая роль отводится изменениям гормонального статуса, поэтому заболевание нередко развивается в период полового созревания, беременности, климакса. Иногда в качестве самостоятельных форм в пародонтологии выделяют юношеский гипертрофический гингивит и гипертрофический гингивит беременных. Среди прочих причин гипертрофического гингивита следует отметить эндокринные заболевания (сахарный диабет, патологию щитовидной железы), прием некоторых групп лекарственных препаратов (антиэпилептических средств, блокаторов кальциевых каналов, иммуносупрессивных средств, оральных контрацептивов и др.), гиповитаминозы, лейкоз.
Классификация гипертрофического гингивита
По распространенности патологических изменений различают локализованный (в области 1-5 зубов) и генерализованный гипертрофический гингивит. Иногда локализованные поверхностные формы гипертрофического гингивита выделяются в отдельное заболевание - папиллит.
В зависимости от типа гиперпластических процессов гипертрофический гингивит может протекать в отечной (воспалительной) и фиброзной (гранулирующей) форме. Морфологические изменения при отечной форме гипертрофического гингивита включают отек соединительнотканных волокон десневых сосочков, расширение сосудов, лимфоплазмоцитарную инфильтрацию тканей десны. При фиброзной форме гипертрофического гингивита микроскопически обнаруживается пролиферация соединительнотканных волокон десневых сосочков, утолщение коллагеновых волокон, явления паракератоза при минимальной выраженности отека и воспалительной инфильтрации.
С учетом разрастания тканей десны выделяют три степени гипертрофического гингивита:
- легкую - гипертрофия десневых сосочков у основания; разросшийся край десны прикрывает коронку зуба на 1/3;
- среднюю - прогрессирующее увеличение и куполообразное изменение формы десневых сосочков; разросшаяся десна наполовину закрывает зубные коронки;
- тяжелую - ярко выраженная гиперплазия десневых сосочков и края десны, которая закрывает собой зубную коронку более чем на 1/2 высоты.
Симптомы гипертрофического гингивита
Отечная форма гипертрофического гингивита характеризуется жжением, болезненностью и кровоточивостью десен при чистке зубов и приеме пищи, гипертрофией межзубных сосочков, ярко-красным цветом десны. При стоматологическом осмотре обнаруживается увеличение и отечность десневых сосочков, их гиперемия с синюшным оттенком, глянцевый блеск, кровоточивость при зондировании; наличие зубных отложений. Типично образование ложных зубодесневых карманов, содержащих детрит. Целостность зубодесневого соединения при гипертрофическом гингивите не нарушена.
При фиброзном гипертрофическом гингивите на первый план выступают жалобы на массивность десен, их плотность на ощупь, неудовлетворительный эстетический вид. Разросшаяся десна может мешать пережевыванию пищи. Десны бледно-розового цвета, безболезненные, имеют неровную, бугристую поверхность, при контакте не кровоточат. Осмотр выявляет присутствие мягких и твердых поддесневых отложений.
Диагностика гипертрофического гингивита
В план обследования пациента с гипертрофическим гингивитом входит определение индекса гигиены, пародонтального индекса, папиллярно-маргинально-альвеолярного индекса (РМА), проведение пробы Шиллера-Писарева, при необходимости - биопсия и морфологическое исследование тканей десны. При проведении рентгенографии (внутриротовой, панорамной, ортопантомографии), как правило, изменений не обнаруживается либо (при длительном течении гипертрофического гингивита) выявляются остеопороз верхушек межзубных перегородок.
В рамках дифференциальной диагностики исключатся фиброматоз десен, эпулис, разрастание десен при пародонтите. Пациенты с гипертрофическим гингивитом и сопутствующими заболеваниями должны быть проконсультированы врачами-специалистами соответствующего профиля: гинекологом, эндокринологом, гематологом и др.
Лечение гипертрофического гингивита
Пациентам с гипертрофическим гингивитом требуется помощь стоматолога-терапевта, гигиениста, пародонтолога, ортопеда. Терапия отечной формы гипертрофического гингивита включает удаление зубных отложений, обработку слизистой оболочки полости рта антисептиками, пародонтологические аппликации, ротовые ванночки и полоскания отварами трав, физиотерапию (электрофорез, гальванизацию, дарсонвализацию, ультразвук, лазеротерапию), массаж десен. При неэффективности местных противовоспалительных мероприятий проводится склерозирующая терапия - инъекционное введение в десневые сосочки растворов хлорида или глюконата кальция, глюкозы, этилового спирта под местной анестезией.
С целью уменьшения отечности и воспаления при гипертрофическом гингивите производится втирание в десневые сосочки гормональных мазей, инъекции стероидных гормонов. В лечении фиброзного гипертрофического гингивита консервативные методы, как правило, оказываются неэффективными. В этом случае на первый план выходят криодеструкция или диатермокоагуляция гипертрофированных сосочков и гингивэктомия - хирургическое иссечение разросшегося участка десны.
Местное лечение гипертрофического гингивита также должно включать устранение травмирующих факторов: замену пломб, реставрацию зубов, устранение дефектов протезов, пришлифовывание окклюзионных поверхностей, ортодонтическое лечение, пластику уздечек губ и языка и пр. Критериями излеченности гипертрофического гингивита служит исчезновение внешних изменений вида десны и субъективных ощущений, нормализация стоматологических индексов, отсутствие ложных зубодесневых карманов.
Прогноз и профилактика гипертрофического гингивита
При ювенильном гипертрофическом гингивите и гингивите беременных имеет смысл ограничиться консервативным лечением, поскольку после нормализации гормонального фона и родов гиперплазия десен уменьшается или исчезает полностью. Гипертрофический гингивит склонен к рецидивированию, поэтому важным является устранение всех провоцирующих местных и общих факторов.
Профилактика гипертрофического гингивита сводится к исключению хронического механического травмирования десны, регулярному проведению профессиональной гигиены полости рта, правильному гигиеническому уходу за зубами и деснами, решению стоматологических проблем пациента. Крайне важным является терапия эндокринных заболеваний, рациональный подбор лекарственных препаратов.
Читайте также:
- Рентгенограмма, КТ, МРТ, УЗИ при нейрофиброме
- Lactobacillus reuteri в сравнении с симетиконом в лечении колики у младенцев
- Диагностика макроаденомы гипофиза по КТ, МРТ
- Внутренние грыжи после резекции желудка. Профилактика внутренних грыж после резекции желудка.
- Рекомендации по анализу рентгенограммы предплечья в передне-задней (ПЗ) проекции







