Лучевая анатомия (КТ, МРТ анатомия) сосудов, нервов, лимфатических узлов брюшной полости
Добавил пользователь Евгений Кузнецов Обновлено: 01.11.2025
МРТ брюшной полости (полное название магнитно-резонансная томография, сокращенно МРТ ОБП) активно применяют врачи различных специальностей для обследования состояния органов области живота. Особенно проведение томографии целесообразно при подозрении на развитие опухолевой или воспалительной патологии в организме, для установки точного онкологического диагноза или мониторинга хода лечения.
Магнитно-резонансная томография брюшного отдела в медицинских центрах осуществляется по трем базовым протоколам:
- бесконтрастная томография
- МР-ангиография брюшной аорты и сосудов.
Решение о том, какой метод сканирования наиболее хорошо подойдёт в вашем конкретном случае, обычно принимает лечащий врач и указывает требования к протоколу в своем направлении на МРТ.

Сведение об исследовании
- Продолжительность: 30-40 минут
- Требование к подготовке: Есть
- Назначение врача: Не требуется
- Применение контраста: По назначению врача
- Противопоказания и ограничения: Есть
- Рекомендуемая мощность аппарата: от 1.5 Тесла
- Время выдачи результатов: 30-40 минут
- Что входит в стоимость: заключение + запись снимков
Что такое магнитно-резонансная томография брюшной полости
Магнитно-резонансная томография брюшной полости осуществляется с помощью современного сканера и компьютерной установки. Принцип работы аппарата заключается в воздействии на молекулы воды тканей сильным магнитным полем и радиочастотными импульсами. Под таким влиянием протоны атомов водорода начинают совершать колебательные движения. Этот резонанс улавливает компьютер, оцифровывает его, и на базе полученных данных строить трёхмерные чёрно-белые изображения органов и тканей. Поскольку магнитное поле и радиочастотные импульсы совершенно безвредны для организма пациента, данное сканирование можно проводить любым категориям больных, включая беременных женщин, маленьких детей, онкобольных или лиц пожилого возраста. Нет ограничения и по количеству сеансов диагностики. Томографию можно осуществлять многократно и в один день совмещать с любыми другими формами диагностики - ультразвуковое исследование, компьютерная томография, рентгенография.
Показания
Список показаний к томографии ОБП:
- режущие и колющие боли в животе;
- пожелтение кожных покровов;
- нарушение деятельности мочевыделительной системы;
- внезапная и резкая потеря веса у пациента;
- подозрение на внутреннее кровотечение;
- нарушение пищеварительной системы.
Выдача направления на обследование органов брюшной полости также происходит при подозрении на внутренние травмы и инородные предметы.
Какие органы входят в МРТ брюшной полости
В ходе сканирования врач проведет оценку следующих органов:
- печень;
- почки и надпочечники;
- селезенка;
- желчный пузырь и желчевыводящие протоки;
- поджелудочная железа;
- верхняя часть мочеточников;
- брыжейка и лимфатические узлы.
Что покажет магнитно-резонансная томография брюшной полости
Магнитно-резонансная томография - это экспертный вид диагностики. Чаще всего ее назначают, если пациенту по результатам осмотра врача, лабораторных исследований, УЗИ, рентгена необходимо дообследование. МРТ способна провести качественную дифференциальную диагностику следующих заболеваний:
МРТ брюшной полости с контрастированием
Контрастное вещество на базе редкоземельного метала гадолиния при попадании в кровь человека обладает накопительной функцией и окрашивает ткани. Область, пораженная заболеванием, получает наиболее яркое окрашивание благодаря интенсивному кровотоку и на итоговых снимках отображается темными пятнами. Контрастирование позволяет увидеть очаги поражения до 1 мм и диагностировать как первичную опухоль, так и метастазы.
В диагностических центрах процедура контрастирования проходит двумя способами:
- Через ручное ведение контраста посредством укола в вену в область локтя. Такое введение препарата происходит за несколько минут до самой процедуры;
- Динамическое контрастирование с помощью инжектора, когда контраст подается дозировано на протяжении сканирования.
Выбор способа введения контраста зависит от целей исследования. Вес пациента напрямую влияет на количество вводимого контрастного вещества и на стоимость МРТ брюшной полости с контрастом.
Противопоказания и риски
МРТ не сопряжена с лучевой нагрузкой и совершенно безопасна для человека. Она может проводиться не ограниченное количество раз с любым временным интервалом. Поэтому возможно проведение нескольких обследований подряд, например, МРТ брюшной полости и малого таза. Поскольку томограф - это по сути большой магнит, противопоказаниями для исследования будет наличие ферромагнитного металла в теле (например, стали) или искусственных вводителей ритма, например, кардиостимуляторов, в паспорте которых не указано, что они совместимы с МРТ. Наличие брекетов, коронок, зубных протезов не является противопоказанием к томографии.
Если осуществляется процедура контрастирования, дополнительными ограничением станет:
- беременность;
- почечная недостаточность.
Действие контрастного состава на формирование центральной нервной системы плода до конца не изучено, поэтому рентгенологи избегают процедуры магнитно-резонансной томографии с контрастом на протяжнее всего периода вынашивания. В случае необходимости проведения МРТ с контрастом в период лактации, следует прекратить грудное вскармливание на 48 часов для предупреждения попадания препаратов в организм младенца.
Подготовка
Для получения качественных результатов МРТ органов брюшного пространства необходима подготовка кишечника. За 3 дня до диагностики следует отказаться от молочных, мучных, жирных продуктов, фруктов и алкоголя. Это делается для того, чтобы снизить уровень газообразования в кишечнике. Не лишним будет принять эспумизан, активированный уголь или аналоговые препараты за день до сканирования.
Процедуру томографии делают натощак, последний прием пищи допускается минимум за 6 часов до нее. Перед прохождением томографии, желательно с утра опорожнить кишечник. Очистительную клизму нужно использовать только в том случае, если у вас сильные запоры. Для расслабления гладкой мускулатуры кишечника за час до обследования можно принять 2 таблетки но-шпы.
Точное выполнение пациентом рекомендаций по подготовке к диагностике снижает вероятность появления побочных эффектов к нулю. Не соблюдение диеты может привести к тому, что исследование будет неинформативным, и его нужно будет переделать.
Процедура
Перед входом в МРТ кабинет пациента попросят снять с себя все металлические предметы и убрать все электронные устройства. Перед началом сканирования обследуемого располагают на столе томографа. Человек должен занять позицию лежа на спине, на зону обследования ему закрепят специальную пластиковую катушку - усилитель сигнала. Затем стол задвинут в сканирующую часть аппарата. МР-томография требует полного расслабления пациента и недвижимости до ее окончания. Оператор МРТ будет периодически просить задерживать дыхание на 15-20 секунд. Эти команды нужно стараться с точностью выполнять.
Продолжительность диагностического сеанса составляет:
- нативный протокол 20 минут:
- контрастный протокол 30-40 минут.
Во время скрининга установка издает довольно сильный шум. Если это раздражает, можно попросить надеть специальные шумоподавляющие наушники. По ходу обследования компьютер томографа будет получать данные и визуализировать их в виде трехмерных изображений органов. Рентгенолог медицинского центра по окончанию процедуры сделает описание результатов и передаст их пациенту в виде письменного заключения и томограмм, записанных на электронном или пленочном носителе.
Расшифровка томограмм
Изображения, полученные по итогу исследования, представляют собой серию черно-белых снимков, которые отображают структуру ОБП и патологические изменения в них. В ходе их расшифровки описывается характер и размер новообразований, очаг возникновения воспалительных процессов или опухолей, их прорастание в другие части организма. Также делается описание состояния здоровых органов. На основании заключения рентгенолога лечащий врач устанавливает диагноз и подбирает методику лечения.
От чего зависит цена и качество МРТ органов брюшной полости
Стоимость и качество магнитно-резонансной томографии во многом определяется следующими аспектами:
- Мощность томографа;
- Применение контрастного вещества;
- Квалификация рентгенолога.
Информативность снимков, получаемых в ходе сканирования, зависит от уровня индукции магнита, измеряемой в Тесла. Чем больше сила магнитного поля, тем точнее и детальнее будут томограммы. Самые качественные МРТ снимки брюшной полости можно получить на сверхвысокопольных установка 3 Тесла. Хорошим соотношением цены и качества будет обследование на томографах 1,5 Тесла. Делать диагностику на аппаратах открытого типа не рекомендуется. Это низкопольные установки с мощностью магнита 0,2-0,5 Тесла. Их индукционная сила не достаточна для качественной томографии внутренних органов брюшного отдела. Если вы ищете возможность пройти качественную томографию, но при этом сэкономить на медицинских затратах, следует рассмотреть вариант сделать МРТ ночью. Такую услугу предлагают некоторые частные круглосуточные клиники. В среднем скидка на ночное время доходит до 30% от дневного прейскуранта.
То, на чем никогда не нужно экономить, - это квалификация рентгенолога. Именно знания и опыт диагноста играют решающую роль в качественной интерпретации снимков. Поэтому при записи на обследование обязательно следует спрашивать о том, каково уровень квалификации врача рентгенолога, который будет вести прием. В сложных, неоднозначных случаях многие медицинские центры применяют процедуру второго экспертного заключения. В ходе нее независимый опытный рентгенолог высшей квалификации оценивает томограммы и предоставляет свое заключение дополнительно к первичному.
МРТ забрюшинного пространства (почки, надпочечники, поджелудочная железа, мочевыводящие пути, лимфоузлы)
Чтобы сделать качественную МРТ, пациенту нужно обратить внимание на несколько аспектов при записи на МРТ:
Спросить какой установлен шаг сканирования. На открытом аппарате он не должен быть более 3,5 мм. На закрытом томографе он не должен превышать 3,5 мм. Шаг исследования всегда можно проверить на МРТ снимках или в заключении врача в графе описания параметров обследования. Если он не совпадает с заявленным, требуйте повторной бесплатной диагностики.
Уточнить опыт и квалификацию врача-рентгенолога, который будет описывать Ваши снимки. От его знаний во многом зависит точность интерпретации полученных изображений. Помните, МРТ аппарат никогда не ошибается, ошибаются люди, которые работают с его данными.
Всегда требуйте запись МРТ исследования не на пленку, а на электронный носитель (диск или флешку). Порой для пациента изображения на рентгенологической пленке кажутся более наглядными, но их информационная ценность в разы ниже, чем у электронных сканов, которые врач может модифицировать любим образом при валидации и постановке диагноза.
Если обследование делают с целью выявления опухолевого образования, его нужно проводить с контрастом, поскольку на нативных изображениях не всегда видны мелкие образования, и не возможно судить в полной мере о злокачественности или доброкачественности опухоли.
- Barker C.D., Brown J.J. MR imaging of the retroperitoneum. //Top. Magn. Reson. Imaging. 1995.
- Pui M.H., Yu S.P., Li Z.P. Imaging diagnosis of abdominal and pelvic sarcomas. //Australas Radiol. 1999.
- Аксель Е.М., Давыдов М.И. Статистика заболеваемости и смертности от злокачественных новообразований в 2000 году. «Злокачествеуные новообразования в России и странах СНГ в 2000». М., РОНЦ им. H.H. Блохина РАМН, 2002. - с.85-106.
Дополнительная информация о томографии

Сделать МРТ в СПб качественно и дешево - возможно? Ответ - Да, если немножко разобраться в тонкостях магнитно-резонансной томографии. В медицинской среде МРТ аппараты принято разделять по следующим признакам: Томографы открытого типа. Свое название такой МРТ аппарат получил благодаря тому, что во время процедуры он закрывает пациента не полностью. Магниты у этого томографа располагаются сверху и снизу выступа, на котором лежит пациент.

МРТ считается одним из самых безопасных методов исследования, но и у него есть ряд противопоказаний. Перед проведением магнитно-резонансной томографии следует убедиться в отсутствии ограничений и принять несложные меры предосторожности, и тогда сканирование пройдет успешно и без вреда для здоровья

Назначить сделать МРТ (или магнитно-резонансную томографию) может практически любой врач от невролога и хирурга до репродуктолога и флеболога. Современные томографические аппараты способны проводить сканирование практический любого органа или части тела. Томографическое обследование - это послойное сканирование. В рамках метода томографии исследование можно сделать на МРТ и КТ. Компьютерная томография получает снимки с помощью рентгеновских лучей. Магнитно-резонансная томография визуализирует мягкие и костные ткани с помощью регистрации эффекта колебания атомов водорода в магнитном поле при воздействии на них радиочастотными импульсами.
МРТ брюшной полости что показывает
Магнитно-резонансная томография или МРТ органов брюшной полости и забрюшинного пространства (почки, надпочечники) представляет собой современный, безболезненный метод лучевой диагностики, отличающийся высокой информативностью. Его суть состоит в получении послойных снимков внутренних органов и окружающих тканей, что позволяет выявить самые незначительные отклонения от нормы в их структуре. Что показывает МРТ органов брюшной полости, пациент может узнать из полученного на руки заключения врача-рентгенолога. Но для точного определения диагноза лучше обратиться к лечащему врачу, так как только он сможет правильно сопоставить результаты обследования с клинической картиной течения болезни и индивидуальными особенностями пациента.

МРТ брюшной полости, что показывает: показания, подготовка, как делают, расшифровка МРТ брюшной полости
МРТ брюшной полости делают с целью обнаружения любых патологических изменений, размеров патологических участков, органов брюшной полости (ОБП) и забрюшинного пространства.
Видео — МРТ брюшной полости, что показывает
Томографию делают с целью обнаружения любых патологических изменений, размеров патологических участков, органов брюшной полости (ОБП) и забрюшинного пространства. Она дает возможность выявить:
- доброкачественные и злокачественные новообразования (метастазы, кисты, гемангиомы в печени и т.д.);
- патологию печени (абсцесс, жировое перерождение, цирроз);
- воспалительные процессы желчного пузыря, поджелудочной железы, толстого кишечника, почек (панкреатит, холецистит и т.д.);
![МРТ брюшной полости]()
МРТ брюшной полости. На МР-томограмме в аксиальной плоскости отмечаются МР-признаки острого холецистита в видеотека и утолщения стенки желчного пузыря, сгущения желчи, отека окружающей клетчатки (яркий МР-сигнал).
- заболевания почек (гидронефроз, пиелонефрит, некроз);
- паразитарные инвазии;
- нарушения целостности органов брюшной полости из-за получения травм;
- перегиб желчного пузыря, камни желчевыводящих протоков;
![МРТ брюшной полости]()
МРТ брюшной полости. На МР-томограмме в аксиальной плоскости отмечаются множественные конкременты в теле и шейке желчного пузыря (темный МР-сигнал).
- аномалии развития;
- спаечный процесс;
- изменения в строении сосудов, ишемические явления, синдром верхней полой вены;
- асцит;
- поражение брюшины.
![МРТ брюшной полости]()
МРТ брюшной полости. На МР-томограмме в корональной плоскости отмечаются МР-признаки метастатического поражения брюшины в виде неправильно округлой формы узловых патологических образований (серый МР-сигнал на представленном изображении).
Диагностика может осуществляться с внутривенным введением контрастного вещества и без. Использование контраста обеспечивает повышение информативности процедуры, так как позволяет более четко визуализировать органы, оценивать особенности их кровоснабжения, а также дифференцировать злокачественные и доброкачественные новообразования.
Какие органы проверяют на МРТ брюшной полости?
МРТ органов брюшной полости включает визуализацию всех внутренних органов живота:
- поджелудочной железы и ее протоков;
- печени, желчного пузыря и его протоков;
- селезенки;
![МРТ брюшной полости]()
МРТ брюшной полости. На МР-томограмме в аксиальной плоскости отмечается увеличение размеров селезенки, МР-сигнал от селезенки однородный, структура селезенки не изменена (серый МР-сигнал на представленном изображении справа).
- кишечника;
- почек;
- надпочечников.
Но врач в направлении может точно указать, какие органы нужно проверить на МРТ брюшной полости, если у него есть весомые подозрения на наличие патологических изменений именно в определенном. Дополнительно специалист обследует окружающие мягкие ткани, уделит внимание кровеносным сосудам, лимфоузлам.
Показания и противопоказания к МРТ брюшной полости
Провести процедуру следует при:
- постоянных или частых болях в животе разной степени интенсивности в области желудка, в левом или правом подреберье;
- регулярной тошноте и рвоте;
- учащении мочеиспускания, изменениях объема и цвета мочи, а также присутствии дискомфорта во время опорожнения мочевого пузыря;
- изменении консистенции стула;
- желтушности кожных покровов, склер, слизистых оболочек;
- выраженной отечности конечностей;
- обнаружении примесей крови в моче.
При наличии показаний больной может самостоятельно записаться на МРТ брюшной полости. Но чаще исследование назначается врачом для подтверждения диагноза и оценки степени выраженности патологических изменений.
Пройти процедуру МРТ потребуется после получения травм живота. Она входит в перечень обязательных исследований при подготовке к хирургическому вмешательству. МРТ обязательно проводят и после операции, что позволяет проверить ее эффективность. С помощью полученных изображений врач может выявить самые ранние послеоперационные осложнения. Также процедура назначается для оценки эффективности консервативного лечения различных отделов ЖКТ и органов мочевыделительной системы.
Магнитно-резонансная томография противопоказана:
- 1-й триместр беременности;
- присутствие встроенного кардиостимулятора, сосудистых стентов или других металлических имплантатов, склонных к намагничиванию;
- наличие в теле металлических инородных тел, осколков или крупных татуировок, сделанных с помощью металлсодержащих красок;
- гиперкинез, внезапные мышечные спазмы;
- хроническая почечная недостаточность и аллергия на гадолиний (противопоказано проведение МРТ с контрастом).
![МРТ брюшной полости]()
Поскольку МРТ делается в специальном аппарате в виде закрытой трубы, оно не может использоваться для обследования пациентов с весом более 150 кг в связи с конструктивными особенностями томографов.
С осторожностью диагностика различных отделов ЖКТ и почек может выполняться при:
- психических расстройствах;
- боязни замкнутых пространств;
- тяжелых состояниях пациента с поддержанием функций жизненно важных органов.
Если требуется выполнить МРТ ОБП женщинам в период лактации, это не сопряжено с какими-либо ограничениями. Но в случаях необходимости использования контраста требуется заранее создать запас грудного молока или на 2—3 дня перевести ребенка на искусственное вскармливание, поскольку соединения гадолиния проникают в грудное молоко и могут отрицательно сказаться на самочувствии малыша. В течение этих дней женщине необходимо регулярно сцеживаться, чтобы избежать проблем с лактацией в дальнейшем.
Подготовка к МРТ брюшной полости
Чтобы проведение МРТ брюшной полости было максимально информативно, пациенту следует за 2 дня до процедуры полностью отказаться от употребления бобовых, газированных напитков, мучного и других трудно перевариваемых или же провоцирующих повышенное газообразование в кишечнике продуктов. Непосредственно исследование проводится натощак. Поэтому как минимум за 6 часов до процедуры нужно отказаться от еды.
Для удаления газов из кишечника предварительно можно принять ветрогонное средство. Также важно до обследования выпить таблетку спазмолитика, например, “Но-шпу”, и опорожнить кишечник и мочевой пузырь.
На диагностику нужно приходить в «правильной» одежде. На ней должны полностью отсутствовать любые металлические элементы, в том числе и на нижнем белье. Ремни, сережки, часы и другие украшения можно надевать, но перед исследованием их потребуют снять.
![МРТ брюшной полости]()
Если пациент сильно волнуется или диагностика требуется ребенку или человеку с психическими нарушениями, заранее следует принять седативное средство. Это поможет нормализовать психологическое состояние и спокойно перенести пребывание в замкнутом пространстве.
Как делают МРТ брюшной полости?
Больные часто не знают, как проходит МРТ брюшной полости и это заставляет их нервничать. Изначально пациент снимает с себя все металлические украшения или переодевается в специальный медицинский халат. Исследование проходит в специальном кабинете, где установлен томограф. В зависимости от того, какой вид МРТ требуется, больному могут предварительно установить внутривенный катетер (при необходимости выполнения МРТ с контрастом) или сразу же провести к аппарату.
Если во время проведения диагностики врач-рентгенолог будет сомневаться в правильности интерпретации изображений, то будет предложено внутривенное введение контрастного вещества на основе гадолиния.
В остальном, как проводится МРТ брюшной полости, одинаково для обеих методик его выполнения. Больной располагается на столе томографа, где ему предлагают надеть наушники или беруши, а затем фиксируют ремнями во избежание совершения случайных движений. На живот укладывается катушка. После этого стол задвигается в томограф, медперсонал покидает помещение и запускает протоколы.
Во время того, как проходит обследование, врач может просить пациента задержать дыхание или дать другие указания, чтобы повысить его информативность. Если в ходе диагностики больной ощутит беспокойство или почувствует себя плохо, он может сообщить об этом специалисту, нажав на специальную кнопку и рассказав о своих ощущениях. При необходимости процедура будет прервана. Появление ощущения жара или привкуса железа во рту является нормальной реакцией организма на введение контрастного вещества, поэтому пугаться таких ощущений не стоит.
В среднем длительность МРТ составляет 30 минут, на протяжении которых необходимо сохранять полную неподвижность. В противном случае снимки могут получиться нечеткими и изображения интерпретировать не удастся. Если на фоне клаустрофобии или других нарушений пациент не может сохранять абсолютную неподвижность или требуется обследовать ребенка младшего возраста, МРТ брюшной полости может выполняться под наркозом. Альтернативой может считаться проведение магнитно-резонансной томографии в открытых томографах, но информативность такого исследования будет значительно ниже, чем в классическом закрытом аппарате.
![МРТ брюшной полости]()
После завершения процедуры стол выдвигается, ремни отстегивают, а больному помогают подняться. Практически всегда проведение МРТ переносится хорошо, поэтому человек самостоятельно покидает помещение и может дождаться заключения специалиста или вернуться к своим повседневным обязанностям.
Нежелательные явления только иногда возникают после проведения МРТ с контрастом. Отдельные люди жалуются на незначительное головокружение, тошноту или кожные высыпания. Зачастую эти симптомы проходят самостоятельно и не требуют никакого лечения.
Расшифровка МРТ снимков ОБП
Результат МРТ брюшной полости представлен в виде изображений послойных срезов органов брюшной полости. Толщина каждого из них составляет порядка 2-4 мм. Поэтому томография выявляет даже незначительные изменения в структуре внутренних органов.
![МРТ брюшной полости]()
Снимки (изображения) тщательно оцениваются рентгенологом. Он сравнивает полученные в ходе исследования результаты с показателями нормы и дает подробное описание обнаруженных изменений, а также указывает размеры всех исследованных ОБП, их положение, форму. Все это отражается в заключении, которое пациент получает на руки спустя 30—60 минут после окончания исследования.
Что лучше КТ или МРТ брюшной полости?
При необходимости проведения исследования ОБП вопросов, информативно ли МРТ брюшной полости и не лучше ли сделать КТ, не возникает. Именно этот метод диагностики заболеваний желчевыводящих протоков, поджелудочной железы, печени и других органов позволяет получить максимально достоверную информацию об их состоянии и обнаружить минимально выраженные патологические изменения.
Поэтому если противопоказания отсутствуют, предпочтение всегда отдают МРТ. Только этот метод может дать исчерпывающую информацию о состоянии внутренних органов брюшной полости и забрюшинного пространства, в отличие от КТ. КТ могут использовать при подозрениях на камни в почках и мочеточниках, так как этот метод позволяет лучше визуализировать плотные образования и определить их природу.
Дополнительным преимуществом МРТ перед КТ является отсутствие лучевой нагрузки на организм. Поэтому это исследование может проводиться так часто, как того требует ситуация без каких-либо негативных последствий для организма. КТ же рекомендуется делать не чаще 1 раза в 6 месяцев.
Что показывает МРТ брюшной полости
![Что показывает МРТ брюшной полости]()
Томография брюшной полости - это одна из самых высокоинформативных форм аппаратной диагностики, доступных широкому кругу пациентов в клиниках СПб. МРТ брюшной полости хорошо покажет структуру тканей органов, их размеры, локацию, наличие чужеродных инвазий, уровень взаимодействия с соседними тканями и структурами. Особо информативным является томография брюшной полости с применением контраста. Наиболее часто она применяется для визуализации опухолевых заболеваний и метастатических поражений.БЕСПЛАТНАЯ
КОНСУЛЬТАЦИЯ О ДИАГНОСТИКЕЕсли сомневаетесь, запишитесь на бесплатную консультацию.
Или проконсультируйтесь по телефону
Какие органы проверяют при проведении МРТ брюшной полостиМРТ брюшной полости включает в себя сканирование следующих органов и систем:
- и желчный пузырь с протоками
- ЖКТ (желудок, тонкий и толстый кишечник)
- лимфоузлы, сосуды, стенки живота из мягких тканей.
В процедуру в некоторых клиниках СПб также входит обследование почек, надпочечников и паранефральной клетчатки.
Что видно на МРТ брюшной полости
Специалисты обращают внимание на то, что томография внутренних органов брюшной полости не является наиболее оптимальным способом для диагностирования камней в почках и мочеточниках. Причина этого в том, что вещества на основе Ca - оксалаты, ураты, фосфаты, которые накапливаются в организме, абсолютно дегидрированные, а значит, не распознаются МРТ аппаратом. При этих патологиях более результативным будет ультразвуковое исследование. Учитывая, что ответ на вопрос, какие органы входят в МРТ брюшной полости, состоит из нескольких аспектов, каждую группу органов стоит рассмотреть отдельно.
Что входит в Стоимость МРТ брюшной полости
МРТ малого таза у женщин (МРТ матки, влагалища, придатков, яичников, фаллопиевой трубы, мочевого пузыря, части мочеточников, прямой кишки, лимфатических узлов)
МРТ малого таза у мужчин (МРТ предстательной железы, мочевого пузыря, части мочеточников, семенного пузыря, прямой кишки, лимфатических узлов)
МРТ брюшной полости (МРТ печени, желчного пузыря, селезенки, поджелудочной железы, желудка)
МРТ забрюшинного пространства (МРТ почек, надпочечников, мочеточников, поджелудочной железы, лимфоузлов)
МРТ желчевыводящих протоков / МР холангиография (МРТ желчного пузыря, желчевыводящих протоков, печени)
Что входит в стоимость
- Подготовка пациента
- Диагностика на томографе
- Расшифровка данных (томограмм)
- Оформление письменного заключения
- Запись снимков на носитель по выбору клиники (пленка, флешка, CD диск)
- Контрастное усиление при томографии с контрастом всегда оплачивается дополнительно, исходя из веса пациента.
- Варианты оборудования, установленного в наших центрах: компьютерные томографы 16 срезов, 32 срезов, 64 срезов, 124 срезов, 160 срезов, магнитно-резонансные томографы открытого типа 0.4Т, полуоткрытого типа 1.5Т, закрытого типа 1.5Т, полузакрытого типа 1.5Т закрытого типа 3.0Т
Что показывает МРТ брюшной полости у женщин и мужчин
При помощи МРТ печени и желчного пузыря локализуют и диагностируют следующие патологии: гемангиомы, аденомы, фокальные узловые гиперплазии, клеточный рак печени и другие опухоли. Данное исследование при наличии показаний может проводиться с контрастным усилением. Благодаря контрастному усилению можно безошибочно распознать опухоли и кисты самым минимальным диаметром. Иногда врачи назначают комбинированное исследование МРТ печени и желчного пузыря, которое известно как магнитно-резонансная холангиопанкреатография. Цель данной диагностики - осмотр протоков для того, чтобы диагностировать их проходимость. Также данное исследование показано перед операциями и при подозрении на камни в желчном пузыре. Главное достоинство холангиопанкреатографии заключается в его высокой информативности и щадящем протоколе, в отличие от эндоскопической ретроградной холангиопанкреатографии (ЭРХПГ), после которой часто остаются болезненные ощущения и случаются осложнения.
что покажет МРТ брюшной полости и кишечникаКишечник является полым органом. При МРТ кишечника диагност может видеть структуру стенки кишки. Кроме того, с помощью томографии можно получить дополнительные сведения о сосудах, которые питают кишечник, и оценить состояние верхней и нижней брюшной артерии. На томограммах хорошо будет видна аневризма аорты и её атеросклеротические изменения. На сегодняшний день врачи все чаще и чаще рассматривают МРТ кишки как альтернативу традиционной колоноскопии при необходимости первичного скринингового осмотра этого органа. При колоноскопии человек испытывает довольно сильные неприятные ощущения. Из-за боли эта процедура требует наркоза, и многие пациенты просто отказываются её делать. Магнитно-резонансное обследование, наоборот, не вызывает у человека никакого дискомфорта и проходит абсолютно безболезненно.
Как проходит МРТ органов брюшной полостиМРТ брюшной полости проводится на высокопольных и сверхвысокопольных томографах закрытого типа. Перед самой процедурой Вас попросят снять с тела все металлосодержащие предметы и лечь на передвижной стол МРТ-аппарата. Затем оператор вкатит стол внутрь трубы томографа и запустит протокол обследования. Во время сеанса сканирования, который длится 20-30 минут, от обследуемого требуется не двигаться и лежать спокойно. По окончании диагностики врач-рентгенолог выдаст диск с записью снимков и медицинское заключение, подробно описывающие, что было выявлено в ходе исследования. Для того, чтобы увеличить визуализацию, МРТ может проводиться с контрастом. В этом случае перед началом процедуры пациенту будет введено внутривенно контрастное веществ. Опасаться этого не стоит. Контраст - это безопасный медицинский препарат, который выводится организмом естественным образом в течение суток.
Расшифровка МРТ брюшной полостиРасшифровка томографии брюшной полости осуществляется врачом рентгенологом сразу после процедуры сканирования. Результаты расшифровки врач оформляет в виде своего заключения и приложенным к ним снимкам на электронном носителе. Пакет данных документов обычно уже входит в стоимость МРТ и выдается на руки пациенту. Следует учесть, что МР-заключение не является окончательным диагнозом и требует консультацию лечащего врача. Рекомендуется заключение и пленки (CD-диски) с изображением бережно сохранять и при повторных томографических исследованиях предоставляет врачу МРТ для оценки контроля в динамике. МРТ в динамике целесообразно проводить на одном типе МР-томографе, чтобы индивидуальные различия в настройке магнитного поля не влияли на качество сравнительного анализа.
Пример расшифровки снимков МРТ брюшной полости
На серии MP-томограмм брюшной полости, взвешенных по Т1 и Т2 в двух проекциях с жироподавлением:
Печень в размерах не увеличена (ККР 125мм, передне-задний левой доли 51мм), структура паренхимы неоднородная в VIII сегменте печени визуализируется простая киста 8мм. МР-сигнал от печени соответствует жировому гепатозу.
Внутрипечёночные желчные протоки не расширены. Ворота печени не изменены.
Портальная вена не расширена 10 мм.
Желчный пузырь не увеличен, контуры ровные, стенка не утолщен. Содержимое однородное, дефекты наполнения не выявлены.
Поджелудочная железа обычных размеров и сигнала, структура однородная, имеет повышенный сигнал на Т1, пониженный на TI FS что говорит о повышенном содержании жира. Проток поджелудочной железы не расширен.
Селезёнка обычных размеров и положения, структура её однородная. Добавочные дольки селезенки до 5мм.
Увеличенных лимфатических узлов не определяется.
Данных за наличие свободной жидкости в брюшной полости не выявлено.
Почки типичной формы и расположения. В паренхиме единичные мелкие кисты до 5мм. По задней поверхности правой почки киста 23мм. ЧЛС не расширены.
Образование левого надпочника 15мм округлой формы с четкими ровными контурами, по сигнальным характеристикам наиболее соответствует аденоме.
MP-картина простой кисты печени. Кисты почек (Bosniak 1). Добавочные дольки селезенки. Аденома левого надпочечника.
Томография не требует сложной подготовки перед МРТ брюшной полости. Достаточно воздержаться от питания за полдня до процедуры и перестать пить жидкость за 3-4 часа до обследования. Кроме того, подготовка к МРТ подразумевает несложную диету, которая направлена на ликвидацию излишнего образования кишечных газов, для чего за три дня до обследования из рациона исключается клетчатка, вода, насыщенная газами, и лактоза. Для этой же цели врачи рекомендуют непосредственно за несколько часов до процедуры принять активированный уголь. Если проводится комбинированный МР-скрининг брюшной полости и малого таза, пациенту следует выпить пару таблеток спазмолитика, например, но-шпы. Также, перед получасовой диагностической процедурой, в течение которой нужно лежать неподвижно, необходимо будет посетить туалет.
МРТ или КТ брюшной полости - что лучше
МРТ и КТ являются двумя основными методами экспертной диагностики органов живота, когда первичные данные УЗИ показали тревожные симптомы или пациенту требуется дообследование. Оба этих томографических исследования не являются универсальными, и у каждого есть свои преимущества и недостатки. КТ покрывает большую зону сканирования и включает в себя саму брюшную полость и забрюшинное пространство. Обследование проходит за короткий промежуток времени, например, за 5-7 мин можно отсканировать все органы брюшной полости и малого таза. При компьютерной томографии есть значительная лучевая нагрузка (в 10-70 раз больше, чем при обычном рентгеновском снимке). Средняя доза облучения, получаемая пациентом за одно исследование, составляет 5-7 мЗв, поэтому не рекомендуется делать КТ более 1-2 раз в год. Из-за лучевой угрозы данное сканирование категорически противопоказано беременным. Детям до 5 лет его проводят только по показанию врача. Кроме того, контрастное вещество для КТ содержит йод и противопоказано людям с аллергией на морепродукты/йод и при некоторых заболеваниях щитовидной железы, а также при почечной недостаточности.
МРТ брюшной полости КТ брюшной полости МРТ брюшной полости более детально оценивает мягкие ткани органов. Поскольку при магнитно-резонансной томографии не используют облучение, она безопасна для беременных и детей. Делать ее можно неограниченное количество раз.
С диагностической точки зрения МРТ предпочтительней при сканировании органов и тканей с большим содержанием воды: мягкие ткани, лимфатические узлы, печень, селезенка, почки и надпочечники. Хорошо зарекомендовала себя МР диагностика и при онко-программах (поиск опухолей и метастазов, определение характера опухоли и ее размера с контрастным усилением). Однако на МРТ трудно качественно сделать сканирование органов, которые активно двигаются, поскольку на томограммах остаются так называемые артефакты движения - засвеченные области. Поэтому, кишечник - это проблемная область для визуализации на МРТ. КТ брюшной полости лучше выбрать для обследования полых органов - желудка, кишечника, желчного пузыря, мочевого пузыря. МРТ сосудов брюшной полости можно делать без контраста, так как кровь - естественный парамагнетик. Обследование брюшной аорты и мелких сосудов брюшной полости на КТ всегда потребует контрастного усиления на базе йода.
Радиологическая анатомия. Анатомия. МРТ, КТ - анатомия, рентгеновская анатомия. Норма. +
by Robin Smithuis
Radiology department, Rijnland Hospital Leiderdorp, the Netherlands.МРТ анатомия отводящего нерва
Insula. МРТ, анатомические исследования
МРТ анатомия цистерн, сегменты языкоглоточного и блуждающего нервов
МРТ анатомия среднего мозга
МРТ. Нормальная анатомия орбиты
МРТ. Нормальная анатомия головного мозга
МР анатомия и патология мужской и женской уретры
МРТ анатомия полового члена
МРТ коленного сустава
МРТ анатомия тазобедренного сустава
"Норма" и патология ахиллова сухожилия. МРТ
Рентгеновская анатомия
Область плечевого сустава
Локтевой сустав
Предплечье
Запястье
Кисть
Поясничный отдел позвоночника
Таз
Тазобедренный сустав
КТ грудной клетки у детей
Pediatric Chest CT 1 - Nonvascular Mediastinal Masses
by Marilyn J. Siegel and Valerie Niehe
Mallinckrodt Institute of Radiology Washington University School of Medicine St. Louis, MO and the Medical Centre Haaglanden inPediatric Chest CT 2
by Marilyn J. Siegel and Robin Smithuis
Atlas of Radiographic Anatomy of the Brain
Axial T1-weighted MRI
Coronal T2 MRI
Magnetic resonance arteriogram (MRA)
Magnetic resonance venogram (MRV)
Сердечная анатомия
Cardiac Anatomy
by Tineke Willems and Marieke Hazewinkel
Radiology department of the University Medical Centre Groningen and the Medical Centre Alkmaar, the NetherlandsContrast-enhanced Periferal MRA
by Tim Leiner
Department of Radiology, Maastricht University HospitalCoronary anatomy and anomalies
by Robin Smithuis and Tineke Willems
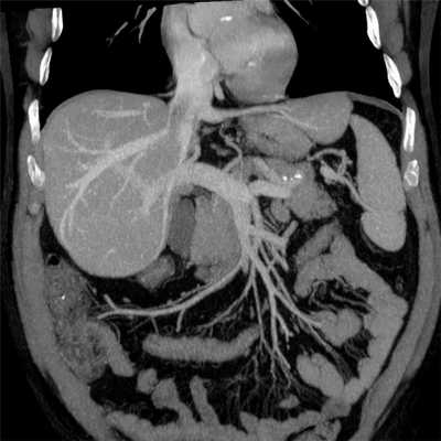
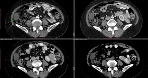
Radiology department of the Rijnland Hospital Leiderdorp and the University Medical Centre Groningen, the Netherlands.КТ-ангиография сосудов брюшной полости
![КТ-ангиография сосудов брюшной полости]()
КТ-ангиография сосудов брюшной полости считается одним из наиболее современных методов определения состояния здоровья сосудистой системы в указанной области. Его главным отличием выступает привлечение специального контрастного вещества.
Обычное ультразвуковое исследование не способно предоставить развернутую картину по структуре и общему состоянию сосудов в брюшной области, что способствовало разработке и внедрению технологии ангиографии. Вместе с контрастом получается визуализировать абсолютно все участки сосудистого русла. На основе полученной визуализации доктор сможет определить не только строение больших и мелких сосудов, но также выявить возможные аномалии в близлежащих органах.
Детализированная картина помогает обнаружить даже малейшие просветы, либо выявить внутренние образования, будь то онкологические опухоли или обычные тромбы. Причем изображение настолько подробно, что опытный рентгенолог способен на его основе распознать только-только зарождающиеся заболевания. Особенно актуален поиск недугов на начальной стадии развития для онкологических заболеваний.
Основные показания для назначения
На фоне многочисленных аналогичных вариантов методика компьютерной томографии, приспособленная для изучения сосудов, дает гораздо меньший процент ложных сведений. Это позволяет ей фиксировать даже крохотные аневризмы, которые за короткий промежуток времени быстро увеличиваются. Свойственно подобное преобразование селезеночной артерии.
Несмотря на стереотип, традиционный рентгеновский снимок вообще не способен предоставить точные данные даже по состоянию крупных артерий и вен, что делает его для диагностики сосудов брюшной полости совершенно бесполезным. Кроме этого, привлечение рентгеновского аппарата подвергает организм пациента лучевой нагрузке. При ангиографии указанный параметр облучения на порядок ниже, что сводит практически на нет противопоказания для его применения.
Показаний для привлечения столь продвинутой методики существует множество. Но почти все из них вращаются вокруг заболеваний опухолевого типа или стремительного развития воспалительных процессов. Также врачи отправляют на диагностику своих пациентов с врожденными патологиями, которые нуждаются в регулярном мониторинге здоровья, чтобы вовремя корректировать программы лечения.
Если же пациенту назначили плановую операцию на внутренние органы брюшной области, то тут тоже не обойтись без прохождения подобного обследования. Но основными причинами для получения направления в кабинет диагностики называют следующие заболевания и предположения:
- аневризмы разной степени тяжести;
- стеноз;
- окклюзия, вызванная давление новообразования, спайки или рубцами после хирургического вмешательства;
- тромбоз;
- болевой синдром в области живота непонятной этиологии;
- атеросклероз не только брюшной аорты, но и ее ветвей;
- метастазы от злокачественной опухоли в парааортальных лимфатических узлах или брыжейке;
- рост опухолей внутрь сосудов;
- любые аномалии сосудистой сетки;
- аортальное расслоение.
Если у пациента с помощью классического УЗИ обнаружили увеличенную печень, а существенных предпосылок для этого нет, то, возможно, отыскать причину получится с помощью КТ-исследования сосудов брюшной полости.
Даже патологии, которые затрагивают функциональность желчевыводящих путей, изучаются посредством ангиографии. Сюда же попали недуги, тесно связанные с перебоями в стабильной работе:
- поджелудочной железы;
- почек;
- мочеточников;
- селезенки;
- надпочечников.
Любые повреждения и травмы органов брюшной полости тоже должны изучаться с помощью современного способа визуализации. Причина тому - частые случаи внутренних кровотечений, которые сложно распознать без обследования.
Иногда доктором, который отправляет больного на КТ указанного типа, становится сосудистый хирург или кардиолог, который подозревает гипертензию, тромбозы воротной или нижней полой вены. А при обнаружении повреждений аорты и ее ближайших ветвей обычно сразу же назначают экстренную операцию.
Когда делать ангиографию нежелательно?
Наиболее существенным противопоказанием для использования в качестве диагностики КТ является беременность на любых сроках. Причина для столь категоричного запрета - радиоактивное излучение. Несмотря на то, что его дозировка при короткой манипуляции является безопасной для взрослого, к плоду это не относится. Игнорирование совета способно аукнуться отклонениями в умственном и физическом развитии будущего малыша. Из-за этого медики предпочитают назначать женщинам в интересном положении альтернативные варианты диагностики.
Немного проще дела обстоят с лактационным периодом. Здесь можно обойтись малыми потерями - просто отказаться от грудного вскармливания приблизительно на двое суток после проведения процедуры. Объясняется это не только ослаблением радиоактивного излучения, но и сроками полного выведения компонентов контрастирующего препарата.
Как раз из-за особенностей состава контрастирующего средства вырисовывается следующее существенное противопоказание - индивидуальная непереносимость или аллергическая реакция. Обычно в качестве контрастного вещества используются различные йодистые комбинации. Если больной точно знает, что у него аллергия на йод в чистом виде или морепродукты в частности, ему следует заранее предупредить об этом доктора.
Если же ранее пациент никогда с подобным не сталкивался, но сомневается в том, что сможет перенести дозу йода в крови без последствий, то ему назначают дополнительную аллергологическую пробу. При положительном результате есть два выхода:
- заменить основу раствора другими компонентами;
- комбинировать стандартный препарат с антигистаминными лекарствами.
![Снимок сосудов брюшной полости]()
Выбор в пользу чего-то одного делает врач на месте, учитывая особенности организма обследуемого.
Все остальные противопоказания из списка числятся относительными. Это означает, что в случае перевеса пользы анализа над возможными побочными явлениями от его применения, его все же назначат. Перечень включает в себя:
- заболевания щитовидной железы;
- заболевания почек; ;
- миеломную болезнь;
- клаустрофобию;
- гиперкинез и непроизвольные спазмы, судорожный синдром;
- детский возраст до 5 лет;
- вес свыше 150 кг.
Попавшая в список почечная недостаточность здесь из-за того, что для скорейшего выведения составляющих контраста почкам приходится работать в усиленном режиме. Если же они перестанут справляться с поставленными перед ними задачами, то элементы препарата превратятся в токсины, которые станут откладываться в тканях.
Клаустрофобия, которая представляет собой невозможность находиться в закрытом пространстве, тоже является относительным противопоказанием. Некоторые люди готовы переступить через своих страхи, так как под аркой с детекторами им придется провести всего около десяти минут. Но если у пациента все же развивается приступ, то ему введут успокоительное лекарство, чтобы стабилизировать эмоциональный фон.
Все проблемы тут идут от того, что во время нахождения под сканером человеку нельзя двигаться, иначе придется все переделывать заново. Малыши, как и люди с непроизвольными судорогами, себя контролировать вряд ли смогут. Отсюда и логичное противопоказание. Но при экстренных обстоятельствах их могут ввести в фазу медикаментозного сна.
Что касается веса, то здесь предельный порог массы тела рассчитывается исходя из отличительных черт конкретного оборудования. Некоторые аппараты выдерживают вес только до 120 кг, но современные модели расширили показатель до 150 и даже иногда до 200 кг.
Подготовительный этап и технология проведения
Существенной подготовки от обследуемого требовать никто не станет. Доктор лишь предупредит, что во время сканирования аппарат будет издавать громкие звуковые сигналы, и пугаться их не стоит. Также перед контрастированием потребуется воздержаться от приема пищи и питья приблизительно за четыре часа до начала диагностического мероприятия.
После того как больной снимет все металлические предметы и уляжется на медицинскую кушетку, рентген-лаборант запустит сканер.
При введении контрастирующего средства люди иногда чувствуют ощущение жара или холода, которые разливаются по телу по ходу тока крови. Подобное считается в рамках нормы.
![Введение препарата]()
Сама манипуляция длится от десяти минут до получаса, что зависит от типа аппарата и особенностей действия контраста. Все это время пациент обязан находиться в горизонтальном положении, оставаясь полностью неподвижным. Так как даже взрослые не всегда могут долго сохранять одну позу, для удобства обследуемых на кушетке предусмотрели вспомогательные ремешки. А под головы им подкладывают валик.
Но если во время исследования что-то все же пошло не так, пациент сможет связаться с медперсоналом посредством обратной связи. Каждый современный аппарат имеет микрофон со стороны пациента.
Вся поступающая информация мгновенно переносится в память компьютера, что необходимо для выстраивания визуальной реконструкции в трехмерном виде.
Как только исследование подойдет к концу, доктор посоветует начать пить больше жидкости, чтобы ускорить выведение вредных компонентов контрастного вещества.
Многих пациентов радует тот факт, что обследование проходит абсолютно безболезненно. Но стоит приготовиться к тому, что у некоторых обследуемых из-за контраста появляется чувство тошноты и головная боль. Это вполне обычные явления, как и легкое покраснение возле места укола.
Что дает агиография?
После того как контрастный препарат вводят в локтевую вену, он мгновенно добирается до сердца и дальше распространяется по аорте, ее ветвям, а позднее и до капилляров в брюшине, открывая картину состояния:
- почечных сосудов;
- селезеночных сосудов;
- чревного ствола;
- верхней брыжеечной артерии;
- нижней брыжеечной артерии.
Все они, как и капилляры, отвечают за транспортировку питательных веществ к внутренним органам брюшной полости. Как только указанные кровяные пути выходят из строя, орган перестает выполнять свои обязанности должным образом, что приводит к резкому ухудшению самочувствия. Обнаружить первоисточник всех проблем позволяет тщательная визуализация, на основе которой можно выяснить следующие характеристики:
- анатомические особенности брюшных сосудов вне зависимости от размеров;
- аномалии врожденного или приобретенного типа, вплоть до удвоения и недоразвития;
- патологии на разных стадиях развития, включая локальный атеросклероз и расслоение стенок;
- процентное соотношение ступени сосудистого сужения;
- показатели нарушения кровотока;
- описание кровотока, включая скорость и уровень кровенаполнения.
Все это описывает врач-рентгенолог , который в случае экстренной необходимости может отдать заключение с подробным описанием самому пациенту приблизительно через полчаса после проведения тестирования. А уже сам лечащий врач на основе полученных результатов, жалоб, итогов других обследований, данных анамнеза, таких, например, как наследственной предрасположенности, делает конкретные выводы. Кроме определения окончательного диагноза лечащий врач также назначает последующую терапию, включающую консервативные методы и/или хирургическое вмешательство.
При обнаружении особенно большого участка поражения, что свойственно расслаивающимся аневризмам и тромбозам вен, операцию назначают экстренно, чтобы спасти жизнь пациента.
Некоторые врачи по старинке продолжают отправлять своих пациентов на стандартную компьютерную томографию. Но только ангиография адаптирована для замеров состояния сосудов при движущейся крови и постоянной пульсации. Движение внутри тела совершенно не мешает ей фиксировать контрольные срезы, передавая послойные изображения хорошего разрешения.
Специальность: терапевт, врач-рентгенолог, диетолог .
Общий стаж: 20 лет .
Место работы: ООО “СЛ Медикал Груп” г. Майкоп .
Образование: 1990-1996, Северо-Осетинская государственная медицинская академия .
Читайте также:












