Глоссалгия: причины, симптомы и лечение
Добавил пользователь Евгений Кузнецов Обновлено: 22.11.2025
Что такое гальваноз? Причины возникновения, диагностику и методы лечения разберем в статье доктора Гордеевой Анны Васильевны, стоматолога-ортопеда со стажем в 10 лет.
Над статьей доктора Гордеевой Анны Васильевны работали литературный редактор Маргарита Тихонова , научный редактор Сергей Федосов
Определение болезни. Причины заболевания
Полость рта представляет собой сложную биологическую среду. В её мягких тканях и на границе со слюной протекает огромное количество электрохимических процессов. Одним из них является образование гальванических микротоков — слабых электрических импульсов. Они возникают при контакте слюны с установленными во рту металлическими конструкциями. Это нормальный процесс, но при усилении микротоков могут развиться различные заболевания, и в первую очередь — гальваноз. Раньше эту болезнь называли непереносимостью сплавов металлических включений в полости рта.
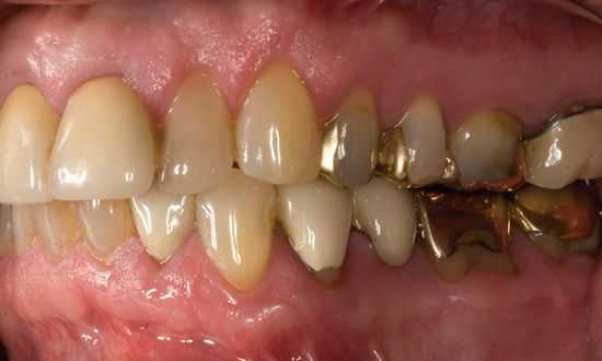
Гальваноз — это стоматологическое заболевание, которое возникает в результате усиленного воздействия гальванических токов на ткани ротовой полости. Такой ток появляется на фоне электрохимического взаимодействия металлических зубных конструкций со слюной.

Для этого патологического состояния характерными симптомами являются: металлический привкус во рту, сухость слизистой ротовой полости, искажение вкуса и жжение языка. Нередко при гальванозе отмечаются такие неврологические нарушения, как головные боли, повышенная раздражительность и др.
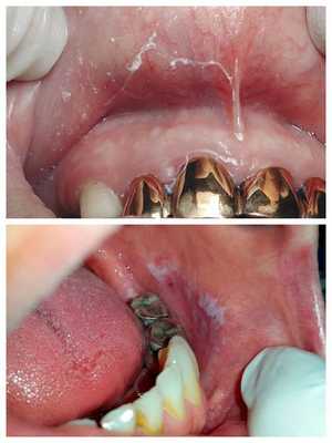
Первые симптомы пациенты начинают замечать уже через 1-2 месяца после установки металлических протезов из нержавеющей стали, бюгельного хромокобальтового протеза, повторной ортопедической процедуры с применением нового мостовидного протеза, изготовленного из сплава золота. Реже гальваноз возникает после использования других металлически сплавов.

Анализ клинических исследований показал, что "непереносимость" некоторых материалов коронок и зубных протезов свойственна 15-43 % людей [15] .
Современные стоматологи выделяют несколько основных причин развития гальваноза после протезирования металлическими конструкциями:
1. Наличие гальванического элемента . Факторами его образования являются:
- отличие электродного потенциала разных металлов, входящих в состав сплава, используемого для изготовления протеза;
- разный состав одинаковых металлических сплавов;
- структурное отличие одинаковых сплавов металлов;
- нарушение технологии изготовления материала;
- низкое качество материалов;
- врачебные ошибки во время установки или внедрения материалов (например, изготовление бюгельного протеза при наличии во рту разнородных металлов).
2. Токсическое влияние тяжёлых металлов и микроэлементов , в частности ионов меди, хрома, кадмия и др.
3. Индивидуальные особенности организма человека и наличие определённых заболеваний :
- индивидуальная непереносимость отдельных компонентов металлического протеза;
- своеобразные электролитные свойства слюны;
- наличие хронических очагов инфекции — кариеса , пародонтита , кандидоза и др.;
- заболевания внутренних органов, в частности пищеварительной системы — хронический гастрит , язва желудка , язва двенадцатиперстной кишки и др.;
- нарушения личной гигиены полости рта.
Гальваноз относится к числу патологических состояний, причины развития и патогенез которых на сегодняшний день остаётся до конца не изученным. Несмотря на этот факт, стоматологи чётко знают основные симптомы недуга и обладают достаточной базой для проведения его эффективного лечения [2] [3] .
При обнаружении схожих симптомов проконсультируйтесь у врача. Не занимайтесь самолечением - это опасно для вашего здоровья!
Симптомы гальваноза
При гальванозе у человека уже через 1-2 месяца после протезирования возникают жалобы следующего характера:
- ме таллический привкус во рту, который присутствует постоянно;
- ощущение кислоты, которое усиливается после употребления кислой пищи;
- чувство жжения или покалывания кончика языка и его боковых поверхностей — связанно с наличием в нём множества рецепторов;
- боль в области внутренней поверхности щёк;
- сухость слизистых оболочек ротовой полости или, наоборот, гиперсаливация (повышенное слюноотделение), вызванные нарушением регуляторной работы центральной нервной системы;
- головная боль;
- нервозность, раздражительность, быстрая нервная возбудимость; ;
- общая слабость;
- канцерофобия — навязчивый иррациональных страх развития онкозаболевания (возникает из-за стресса на фоне гальваноза; с возрастом вероятность развития патологического страха перед онкозаболеваниями увеличивается).
Нарушение вкусовой чувствительности/или извращение вкуса — довольно частый симптом гальваноза. Он наблюдается в 60 % клинических случаев заболевания. Данный признак проявляется искажённым восприятием вкусов пищи, когда сладкое кажется горьким, а кислое — солёным.
Известно, что вкусовые качества продуктов питания и напитков зависят от их химического состава. К примеру, достаточная концентрация ионов Н воспринимается как кислый вкус, а ионов ОН — как щелочной; наличие свободных ионов предаёт солёный вкус, за горький привкус пищи отвечают 1-3 и 5-7 группы микроэлементов периодической системы Менделеева (литий, магний, хром), а за её сладкие свойства — представители 3-5 группы (титан, цирконий). Если при гальванозе параллельно действуют ионы, отвечающие за сладкий и горький вкус, то во рту возникает ощущение солёного привкуса либо человек вообще ничего не ощущает.
Симптомы галь ваноза более выражены в утреннее время. Наиболее часто болезнь сопровождается поражениями слизистых оболочек рта:
- гиперкератозом — утолщением (ороговением) слизистой с появлением на ней белых участков;
- эрозиями и язвами.
Очаги изъязвлений с признаками местного воспаления локализуются в основном на кончике языка или его боковых поверхностях, а также на губах, нёбе, внутренней поверхности щёк [1] [4] [5] [11] .

Патогенез гальваноза
Металличес кая зубопротезная конструкция представляет собой сплав металлов. Находясь в полости рта, он может подвергаться коррозии (разрушению) или другим повреждениям. Вступая в реакцию со слюнной жидкостью, протез превращается в источник микротоков, подобный гальванической батарейке. В результате на слизистой полости рта начинает распространяться электрический ток.
В основе коррозии лежит ряд окислительно-восстановительных реакций, в ходе которых металлы отдают свои ионы в раствор электролита (в данном случае — в слюну) и быстро окисляются. Легче всего этому процессу поддаются металлы с наиболее высоким негативным потенциалом. Так, железо более склонно к окислению, нежели медь, марганец окисляется сильнее хрома, а никель — олова. Чем сильнее свойство металла к окислению, тем выше его химическая активность.
Слюна, являясь сложной биохимической средой, принимает на себя роль электролита — токопроводящего вещества. Она содержит:
- воду (около 97 % состава);
- органические и минеральные соединения;
- ферменты;
- свободные аминокислоты;
- микро- и макроэлементы (натрий, калий, кальций, железо, серебро и другие);
- неорганические вещества, в состав которых входят отрицательные ионы фтора, хлора и брома;
- витамины группы В, С, Н.
Слюнная жидкость имеет выраженные буферные свойства, благодаря чему она нейтрализует кислоты и щёлочи. При употреблении растительной и белковой пищи буферные свойства слюны усиливаются, а при приёме углеводов и потере элементов зубного ряда — снижаются. В норме рН слюны находится в пределах 5,0-8,0.
Как электролит слюна принимает активное участие в электрохимических процессах между протезами в полости рта. Продукты таких реакций (гальванотоки, микроэлементы) и являются причиной появления признаков гальваноза. При этом появляющиеся в результате коррозии оксиды металлов (золота, хром-кобальта, стали) негативно влияют на состояние организма, что приводит к развитию различных осложнений [7] [8] [11] .
Схематично патогенез гальваноза можно изобразить следующим образом:

Классификация и стадии развития гальваноза
Согласно современной классифи кации, существует две формы гальваноза: типичная и атипичная (скрытая).
При атипичной форме гальваноза потенциометрические показатели в ротовой полости, такие как электрическая проводимость слюны, сила тока, количество и активность заряженных частиц, создающих электрический потенциал, возр астают в 3-4 раза по сравнению с нормой. При таком варианте развития событий пациенты предъявляют периодические или совсем ре дкие жалобы на жжение языка, сухость во рту, общую слабость. Как правило, у больных присутствует только один из признаков недуга, который уже спустя несколько месяцев обрастает осложнениями в виде аллергических реакций на металлы и формированием продуктов их коррозии.

Атипичная форма гальваноза относится к числу трудно узнаваемых заболеваний. В результате своего длительного существования и отсутствия адекватной терапии она может провоциро вать рост опухолей, появление воспаленных участков на слизистых оболочках, их изъязвления. При определённых обстоятельствах атипичный вариант гальваноза трансформируется в его типичную форму.
Типичный гальваноз проявляется повышением потенциометрических показателей более чем в 4 раза и сопровождается стойкой клиникой заболевания с ярко выраженными симптомами местного и общего характера. Чаще всего этим видом гальваноза страдают пациенты, у которых при обследовании диагностируются признаки коррозии металлов, обширные дефектные участки стирания в несъёмных зубных протезах, большое количество сколов на них.
К последствиям типичного гальваноза специалисты относят аллергические реакции на металлы и развитие опухолей в области ротовой полости (как доброкачественных, так и злокачественных), а также воспалительных процессов в околочелюстных мягких тканях — гингивита и папиллита. Запущенные формы гальваноза в 100 % случаев сопровождаются местным остеопорозом костей челюсти [2] [6] .
Осложнения гальваноза
Постоянным спутником гальваноза является снижение иммунитета. Токи, возникающие в полости рта, негативно воздействуют на полезные бактерии микрофлоры полости рта. Это способствует развитию болезнетворных бактерий и образований по типу грибковых. В результате ослабевания общей стойкости организма к инфекционным агентам у пациента часто возникают следующие осложнения местного и общего характера:
- гингивит — острое воспаление дёсен, которое сопровождается их отёчностью и кровоточивостью;
- папиллит — воспалительный процесс одного или нескольких сосочков десны;
- токсическийстоматит — раздражение слизистых оболочек ротовой полости, вызванное действием "тяжёлых" металлов; на губах и слизистых оболочках;
- частые простудные заболевания с выраженными признаками общей интоксикации — головной болью, слабостью, повышением температуры и др.;
- активация хронических очагов инфекции — синуситов, бронхитов и др.

Чем опасен гальваноз в полости рта
Если игнорировать первые симптомы гальваноза и не предпринимать по отношению к ним терапевтических манипуляций, заболевание обрастает общими осложнениями, которые на практике проявляются аллергическими реакциями, а также образованием зон опухолевого роста с высоким риском малигнизации — перерастания опухоли в злокачественное новообразование [9] .
Диагностика гальваноза
В процессе определения диагноза врач учитывает особенности клинической картины, проводит детальный осмотр полости рта, а также ряд лабораторно-инструментальных исследований.
При осмотре полости рта и металлических конструкций в большинстве клинических случаев врач обнаруживает симптомы непереносимости протезов, признаки изменения самой конструкции, нарушения технологии её изготовления. Но самым важным этапом диагностики гальваноза является лабораторно-инструментальное обследование . Оно включает в себя несколько моментов:
- изменение величины разности потенциалов между конструкциями из металла и слюной с помощью специального оборудования — вольтметра, потенциометра, амперметра (основной диагностический критерий заболевания);
- измерение pH слюны путём использования ионометра и рН-метра — позволяет определить концентрацию ионов водорода в секрете слюнных желёз;
- оценка минерального состава слюны с использованием метода спектрального анализа.

Если человек страдает гальванозом, то разница потенциалов в его ротовой полости составляет 120-150 мВ, также наблюдается сдвиг рН в кислую сторону. При этом величина гальванических микротоков напрямую не связана с выраженностью патологических симптомов болезни.
Немаловажное значение в процессе определения гальваноза имеет дифференциальная диагностика. Заболевание следует отличать от следующих патологий:
- . При гальванозе у пациентов отмечаются жалобы на ощущение жжения в зоне языка, а при глоссалгии людей беспокоит боль в данной области, а также отёк покрасневших слизистых оболочек ротовой полости и повышение тягучести слюны.
- Неврит языкового нерва и невралгия тройничного нерва . При последней патологии болевые ощущения возникают в курковой области во время еды или разговора. При неврите пальпация языка резко болезненна, что не характерно для гальваноза.

- Токсические и аллергическиестоматиты . Они возникают как реакция на зубопротезные конструкции. При стоматите у пациентов изменяется показатели общего анализа крови — повышение СОЭ (скорости оседания эритроцитов) не более чем на 20 мм/ч, уменьшение или же незначительное повышение количества лейкоцитов, содержание палочек, моноцитов, лимфоцитов и плазмоцитов выше нормальных значений. При гальванозе подобные нарушения отсутствуют [10][12][13][14] .
Лечение гальваноза
Лечение гальваноза должно быть комплексным и включать в себя несколько терапевтических моментов:
- устранение причины заболевания путём удаления металлических протезов, коронок и т. п.;
- ликвидация проявлений местных патологических реакций;
- повышение иммунитета.
Перед началом лечения врач проводит тщательный осмотр всех элементов зубопротезной конструкции и определяет проблемные участки. Затем он удаляет повреждённые коррозией изделия, которые состоят из разнородных металлов. Если подобные лечебные мероприятия не приносят желаемого эффекта, стоматолог извлекает протезы полностью и заменяет их полноценной конструкцией из однородного материала.
Обязательным этапом терапии гальваноза является лечение полости рта, медикаментозная коррекция участков воспаления и оперативное лечение опухолевого процесса (в случае необходимости). Всем пациентам, которые страдают разными формами гальваноза, в обязательном порядке назначают препараты местной и общей иммунотерапии.
Медикаментозное лечение гальваноза
Применяются антигистаминные (Супрастин, Зодак, Зиртек) и противовоспалительные препараты (Нимесил, Ибупрофен, МИГ). Все лекарства нужно принимать строго по назначению врача с учётом сопутствующих заболеваний и совместного влияния препаратов на организм.
Общеукрепляющие средства и поддержание иммунитета
Общеукрепляющие средства подбираются терапевтом индивидуально. Чтобы восстановить кишечную микрофлору, применяются пробиотики (Бак-Сет форте, Линекс, Бифиформ). Также могут быть назначены витамины В1, В6, аскорбиновая кислота и рекомендован курс плазмолифтинга. Важно, чтобы пациент сбалансировано питался, полноценно высыпался, соблюдал режим труда и отдыха.
Прогноз. Профилактика
При своевременной диагностике заболевания и правильной тактике лечения у пациентов есть все шансы для полного выздоровления и полноценного восстановления жевательной функции после смены металлических протезов на конструкции, выполненные из гипоаллергенных материалов.
Предупредить гальваноз намного проще, чем вылечить. Поэтому профилактика заболевания — важный этап на пути к совершенствованию улыбки каждого пациента. Протезы из диэлектрических материалов исключают риск возникновения гальваноза, также как изготовление всех элементов конструкции из одного сплава.
Чтобы отследить гальваноз на начальных этапах его развития, когда он легко поддаётся коррекции, человеку с протезными конструкциями необходимо несколько раз в год посещать своего лечащего врача с профилактическим визитом и проводить профессиональную санацию полости рта [2] .
Также в рамках профилактики крайне важно лечить заболевания внутренних органов, особенно пищеварительного тракта. В противном случае они могут повлиять на кислотность слюны, тем самым внеся свой вклад в развитие гальваноза после установки металлоконструкций в полости рта [16] .
Пощипывание языка
Пощипывание языка отмечается при глоссалгии, глоссодинии, десквамативном глоссите, ксеростомии, кандидозе ротовой полости, болезнях зубов, аллергических реакциях. Может быть следствием употребления некоторых продуктов и напитков, курения, приема лекарственных средств. Для установления причины симптома проводят опрос и стоматологический осмотр, применяют ультрасонографию, сиалографию, электромиографию, другие инструментальные исследования, лабораторные методики. Лечение включает лекарственные средства общего и местного действия, физиотерапевтические процедуры.
Почему щиплет язык
Физиологические причины
У здоровых людей кратковременное пощипывание языка наблюдается после употребления некоторых продуктов: помидоров, лука, чеснока, пряностей, специй, острых приправ, солений, маринадов. Часто провоцируется ягодами, кислыми фруктами (лимоном, киви, ананасом). В число напитков, способных вызывать развитие симптома, входят кефир, некоторые соки, крепкий чай, кофе, спиртное, в первую очередь - вино.
Иногда горячие напитки или пища становятся причиной поверхностного ожога слизистой. В этом случае пощипывание интенсивное, дополняется покалыванием и жжением. Ощущение также типично для заядлых курильщиков, связано с постоянным раздражением языка табачным дымом. Иногда нарушение возникает на фоне приема антидепрессантов, антибиотиков, противорвотных, седативных и гормональных средств.
Глоссалгия
Является функциональным расстройством, часто развивается на фоне болезней ЖКТ, эндокринных и неврологических патологий. Пощипывание, жжение и саднение языка при глоссалгии могут быть периодическими или постоянными, становятся причиной быстрого утомления при разговоре, дополняются сухостью в полости рта. Преимущественно беспокоят в области кончика и боковых поверхностей. Симптом усиливается на фоне волнения, исчезает или ослабевает при приеме пищи. Внешние изменения, как правило, отсутствуют.
Глоссодиния
Наряду с покалыванием и пощипыванием пациенты могут предъявлять жалобы на ощущение волоса или «ползание мурашек». Симптом ярче выражен в зоне кончика, может распространяться по всему языку. Корень страдает редко. Характерно распространение области поражения и увеличение длительности неприятных ощущений при прогрессировании глоссодинии. Проявления нарастают к вечеру, иногда беспокоят всю ночь, исчезают во время еды. Нарушение наблюдается при следующих заболеваниях:
- Поражения пищеварительной системы: гастрит, язвенная болезнь желудка, холецистит, панкреатит, колит.
- Эндокринные патологии: сахарный диабет, нарушения функций щитовидной железы.
- Сердечно-сосудистые проблемы: гипертоническая болезнь, атеросклероз, ИБС.
- Неврологическая дисфункция: вегето-сосудистая дистония, функциональные расстройства при стрессах, неврозах, психоэмоциональном истощении.

Десквамативный глоссит
В большинстве случаев патология протекает бессимптомно, однако, некоторые больные предъявляют жалобы на изменение вкусовых ощущений, покалывание, пощипывание языка. Возможны нарушения дикции. При осмотре выявляются множественные беловатые участки, которые после отслаивания эпидермиса превращаются в красные пятна. Десквамативный глоссит может сопровождать следующие состояния:
- Гастроэнтерологические проблемы: гастрит, энтероколит, холецистит, гепатит.
- Аутоиммунные болезни: ревматизм, системная склеродермия, СКВ.
- Хронические дерматозы: псориаз, экссудативный диатез.
- Гиповитаминозы:дефицит витаминов В1, В2, В5, В6, В12.
Иногда развивается в период беременности, беспокоит пациентов с патологиями системы кроветворения, вегетативными расстройствами. У некоторых больных выявляется наследственная предрасположенность.
Болезни зубов
Распространенной причиной пощипывания, боли и жжения являются заболевания зубов: кариес, отложения зубного камня. Симптом возникает при повреждении края языка отломком зуба, протезом или коронкой, поражение имеет локальный характер. Иногда причиной развития становится индивидуальная реакция на материал протеза. В подобных случаях наблюдаются зуд, раздражение и покраснение слизистых оболочек.
Ксеростомия
Из-за недостаточного количества слюны язык пересыхает, возникает чувство покалывания, стянутости, пощипывания. Нарушение усугубляется при приеме твердых сухих продуктов, длительном разговоре. Со временем изменения прогрессируют, неприятные ощущения становятся постоянными. Для уменьшения выраженности симптоматики пациенты часто пьют воду или полощут рот. Вкусовые ощущения снижаются или извращаются. Ксеростомия может диагностироваться в следующих случаях:
- Эндокринные патологии: гипертиреоз, сахарный диабет.
- Болезни слюнных желез: опухоли, паротит, конкременты.
- Обезвоживание: лихорадка, усиленное потоотделение, многократная рвота или диарея.
- Инфекционные заболевания: ВИЧ, некоторые другие вирусные инфекции.
- Прочие причины: состояние после лучевой терапии, частые или затяжные стрессы.
Кандидоз полости рта
Пощипывание, дискомфорт, покалывание выявляются при хронической форме болезни. Острый кандидоз чаще проявляется болью и жжением. Неприятные ощущения разлитые, охватывают язык и слизистую полости рта. Пораженные участки покрыты плотным серым налетом, при снятии которого обнажается ярко-красный воспаленный эпителий. При гиперпластическом кандидозе слизистые становятся болезненными, шероховатыми. Атрофический кандидоз локализованный, очаги располагаются рядом с протезами, представляют собой участки эритемы с четкими границами.
Аллергические реакции
Наиболее распространенным этиологическим фактором пощипывания является пищевая аллергия. Симптом также может наблюдаться при реакции на пыльцу растений, домашнюю пыль, шерсть животных и другие аллергены. Преобладает сильный зуд, который вынуждает пациента «чесать» область поражения зубами, может дополняться пощипыванием языка, сопровождается чиханием и слезотечением.
Диагностика
Определение причины пощипывания языка находится в ведении врача-стоматолога. При подозрении на наличие провоцирующих заболеваний пациентов направляют к терапевтам, гастроэнтерологам, неврологам, другим специалистам. Программа обследования включает такие мероприятия, как:
- Стоматологический осмотр. В зависимости этиологии симптома могут обнаруживаться зубной камень, плохо подогнанные протезы, кариозные зубы, сухость слизистой оболочки, очаговые или диффузные изменения в области языка, щек и десен. Дополнительно проводятся определение кислотности слюны, измерение разницы потенциалов.
- Неврологическое обследование. Информативно при глоссодинии. По результатам выявляются отсутствие занавесочных и глоточных рефлексов, ритмичное дрожание языка. Подчелюстной и верхний шейный вегетативные узлы болезненны при ощупывании. По данным электромиографии устанавливается распространенность и продолжительность парестезий.
- Обследование слюнных желез. Рекомендовано для уточнения причин возникновения ксеростомии. По результатам УЗИ слюнных желез выявляют врожденные аномалии, кисты, опухоли, конкременты, воспалительные процессы. В ходе сиалографии с использованием контрастного препарата обнаруживают новообразования, признаки воспаления.
- Лабораторные анализы. Выполняют общий и биохимический анализ крови для исключения В12-дефицитной анемии и гиповитаминозов. При подозрении на кандидоз показана микроскопия соскоба. Выявление псевдомицелия является поводом для проведения микробиологического исследования.
- Другие методики. При вторичном характере заболеваний, вызывающих пощипывание языка, могут назначаться фиброгастроскопия, колоноскопия, УЗИ органов брюшной полости, электрокардиография, эхокардиография, тесты на специфические маркеры для определения аутоиммунных патологий.

Лечение
Помощь до постановки диагноза
Пациентам советуют отказаться от курения, употребления алкоголя, приема продуктов, провоцирующих пощипывание языка. Пищу следует готовить на пару, путем тушения или варки. Еда должна быть мягкой, не травмирующей язык и слизистую рта. Уменьшить выраженность симптома можно с помощью регулярных полосканий чистой водой. Не рекомендуется использовать эликсиры и другие жидкости, раздражающие слизистые оболочки.
Консервативная терапия
На начальном этапе проводят профессиональную гигиену, осуществляют санацию полости рта. Если причиной симптома являются коронки или протезы, может потребоваться их замена. При пощипывании другой этиологии проводятся следующие мероприятия:
Глоссалгия
Глоссалгия - болевые ощущения в зоне языка без видимых его изменений. Проявляется чувством жжения, покалывания, саднения, пощипывания в языке, ощущением сухости во рту, не связанными с приемом пищи и другими раздражителями. Глоссалгия всегда вторична по отношению к основному заболеванию (невроз, заболевания ЖКТ, печени, эндокринные нарушения) или травме (постановка зубного протеза, удаление зуба, операции в полости рта и т. д.). Устранение причины глоссалгии ведет к ее исчезновению. Для купирования болевого синдрома возможно назначение аппликаций или ванночек с местными анестетиками.

Общие сведения
Глоссалгия - это заболевание полости рта, не имеющее явных патогенетических причин. Болезненность и жжение языка возникает на клинически неизмененной слизистой языка и сопровождается покалыванием и чувством онемения. Иногда схожие симптомы наблюдаются в области губ, твердого нёба, очень редко болезненные ощущения наблюдаются на всей слизистой полости рта. Глоссалгии наблюдаются у женщин после 40-ка лет, у мужчин глоссалгии диагностируют в 6 раз реже.

Причины глоссалгий
Сами пациенты связывают глоссалгии с травматизацей языка и полости рта инородными предметами, зубами с отколотыми краями, неправильно установленными протезами и пломбами. Глоссалгии, как отмечают пациенты, чаще появляются после расстройств вегетативной нервной системы. В дальнейшем раздражение поддерживается на уровне нервно-рефлекторной цепи и глоссалгии принимают хронический характер.
Глоссалгии относятся к функциональным нарушениям, как и вегето-сосудистая дистония; органических причин глоссалгий не найдено. Часто глоссалгии развиваются на фоне заболеваний желудочно-кишечного тракта и печени. Сосудистые поражения особенно в сочетании с эндокринными нарушениями и заболеваниями центральной и периферической нервной системы приводят к глоссалгиям у мнительных пациентов. Развитию глоссалгий способствуют нарушения нервной системы, приводящие к снижению чувствительности или к извращенному восприятию в ответ на раздражение.
Органические поражения центральной нервной системы реже являются причинами глоссалгий. Иногда симптомы глоссалгий развиваются на фоне энцефалитов, нейросифилиса и нарушений мозгового кровообращения (ишемический или геморрагический инсульт).
По результатам многочисленных исследований, глоссалгии признаны одним из симптомов висцеро-рефлектроного бульбарного синдрома, при котором поражается языкоглоточный и блуждающий нервы. И нарушения иннервации приводят к возникновению ложных ощущений, при полном отсутствии раздражающего или травмирующего фактора. При уже имеющихся глоссалгиях, внешние раздражители усиливают симптоматику.
Симптомы глоссалгий
При глоссалгиях пациенты предъявляют жалобы на чувство жжения, пощипывания и саднение в области языка. Неприятные ощущения возникают периодически или носят постоянный характер. Симптомы глоссалгий пациенты часто связывают с ощущениями как при приеме чрезмерно острой пищи. Глоссалгиями обусловлена и быстрая утомляемость во время разговора.
Треть пациентов с глоссалгиями жалуются на сухость в полости рта. При этом во время волнений и переутомлений симптоматика глоссалгий нарастает. Иногда симптомы глоссалгий появляются эпизодически, например, перед серьезным разговором или перед публичным выступлением. Во время приема пищи симптомы глоссалгий исчезают или становятся менее выраженными, иногда это приводит к булимии или алиментарному увеличению массы тела.
Ощущения жжения и покалывания наиболее выражены на боковых зонах и на кончике языка, реже глоссалгии появляются на спинке и корне языка. Болезненность носит диффузный характер, глоссалгии не имеют явно выраженного очага поражения и локализация болей может меняться. При отсутствии лечения, симптомы глоссалгий могут исчезать, но потом вновь появляются уже в другой области. Иногда глоссалгии проходят бесследно.
Изменения слизистой языка и полости рта отсутствуют. И лишь у незначительной части пациентов с глоссалгиями отмечается небольшая отечность, обложенность языка налетом, который возникает из-за постоянной сухости во рту, и гипертрофические изменения отдельных сосочков языка. Варикозные расширения вен языка при глоссалгиях присутствуют только у пациентов старческого возраста. Во время инструментального осмотра выявляется снижение болевой чувствительности в пораженной зоне, дистрофические изменения слюнных желез и как следствие - гипосаливация.
Пациенты с глоссалгиями имеют признаки депрессий, иногда аутичности. Иногда пациенты чрезмерно возбудимы, в поведении присутствуют тревожность и мнительность. Уделяют повышенное внимание к мелочам, углубляясь в особенности своего состояния. На просьбы успокоиться, становятся агрессивными, усматривая в этом некомпетентность или халатность доктора.
Практически все пациенты с глоссалгиями страдают канцерофобией или же боязнью других тяжелых заболеваний. Во время беседы выясняется, что помимо глоссалгий имеются и другие невротические состояния - нарушения сна, кардиалгии, спастический колит.
Нередко пациенты отказываются от лечения глоссалгий из-за возникшей ятрогении и боязни терапевтических процедур. Иногда врачи ложно диагностируют опухоли, из-за заведомо ошибочного рассказа пациента о течении заболевания, и направляют пациентов на обследование к онкологу, чем еще больше подпитывают мнение пациента о неизлечимости глоссалгии. В дальнейшем же при постановке правильного диагноза отказываются от лечения, мотивируя это несоответствием терапии тяжести состояния.
Дифференциальная диагностика
Глоссалгии необходимо дифференцировать с органическими заболеваниями языка, которые возникают в результате травмы или являются симптом невритов и невралгий. Симптоматику глоссалгий следует дифференцировать от проявлений синдрома патологического прикуса и от начальных проявлений остеохондроза шейного отдела позвоночника. Основным же отличием глоссалгий от симптомов органических поражений является несоответствие болезненных ощущений интенсивности воздействия. Кроме этого при глоссалгиях изменения языка и слизистой рта практически отсутствуют.
Так же следует отличать глоссалгии от болей в области языка в связи с наличием травмы языка. В случаях травм, болезненность имеет локализованный характер и за границы очага поражения не распространяется. Такие боли проходят после устранения травмирующего фактора.
Боли при невралгиях носят кратковременный характер и локализуются в области иннервации конкретного нерва, тогда как при глоссалгиях боли имеют диффузный характер, что обусловлено неорганическими поражениями блуждающего нерва. Боли при невритах обычно односторонние, в зоне поражения частично или полностью пропадает тактильная чувствительность, они усиливаются во время приема пищи, что для глоссалгий нехарактерно.
Лечение глоссалгий
При глоссалгиях в первую очередь проводят санацию полости рта. Заменяют нерационально установленные протезы, формируют правильную высоту прикуса. Одновременно с этим проводят обследование у других специалистов (невролога, гастроэнтеролога, эндокринолога) и беседы с психологами.
Патогенетическое лечение глоссалгий заключается в нормализации гомеостаза и в воздействии на периферические и центральные звенья болевого симптома. В частности показан прием препаратов брома, валерианы, легких транквилизаторов, таких как феназепам. Хороший эффект оказывают инъекции витаминов группы В и тримекаиновые блокады язычного нерва. За счет блокад при глоссалгиях восстанавливаются функции нерва, и симптомы могут пройти бесследно.
Показаны препараты железа. Для снятия неприятных симптомов при глоссалгиях применяют местные анестетики в виде аппликаций и ротовых ванночек. Это анестезин на масле, раствор цитраля в персиковом масле или раствор тримекаина. Смазывание языка раствором витамином А на масле шиповника помогает устранить симптомы сухости и усилить слюноотделение.
Сочетание этих процедур с физиотерапевтическими и с рефлексотерапией помогает устранить симптомы глоссалгий. Мнительным пациентам часто достаточно бесед с психологом, иногда при согласии пациента, после гипнотического сна глоссалгии проходят бесследно.
Глоссодиния ( Парестетический феномен , Стоматодиния )
Глоссодиния - это неврогенное заболевание, которое развивается на фоне хронической патологии внутренних органов, проявляется парестезиями, изменениями вкусовой чувствительности и секреции слюны. Пациенты указывают на появление жжения, покалывания на слизистой рта, языке, небе, коже лица. Во время приема пищи парестетические симптомы отсутствуют. Диагностика включает клинический осмотр, исследование слюны, выявление характерных неврологических рефлексов. Терапия направлена на устранение причинных факторов, пусковых механизмов и местных парестетических проявлений. Задача патогенетического лечения ‒ нормализация работы ЦНС.
МКБ-10
Глоссодиния (парестетический феномен, стоматодиния) - висцеро-рефлекторный стволовой синдром, сопровождающийся нарушением чувствительности языка, парестезиями, изменением секреторной функции слюнных желез. Среди заболеваний слизистой полости рта частота глоссодинии составляет 15-18%. Чаще патологию диагностируют у женщин молодого и среднего возраста. У подавляющего большинства пациентов с диагнозом «глоссодиния» неприятные ощущение сконцентрированы на языке. У 2/3 пациентов наблюдается изменение скорости саливации: из них у 80% - гипосаливация, у 20% - повышенное слюноотделение. Психосоматические расстройства способствуют развитию болезни.
Причины глоссодинии
Этиологические факторы не до конца изучены. Установлена патогенетическая связь глоссодинии с общесоматической патологией. Причинами глоссодинии являются хронические болезни внутренних органов и неврогенные нарушения:
- Расстройства системы пищеварения. При гастрите, колите, холецистите характерная парестезийная симптоматика возникает в момент обострения основного заболевания и отсутствует в период ремиссии. Проявления глоссодинии также могут быть связаны с панкреатитом, язвенной болезнью желудка.
- Заболевания эндокринной системы. Изменения гормонального фона способствуют запуску парестетического феномена. Признаки глоссодинии возникают у больных с сахарным диабетом, при нарушении функционирования щитовидной железы.
- Болезни сердца и сосудов. Причинами глоссодинии выступают начальная форма атеросклероза, гипертония, ишемическая болезнь (ИБС). Заболевания, для которых характерно поражение церебральных сосудов, также протекают с выраженной парестетической симптоматикой.
- Дисфункция нервной системы. К этой группе относят вегето-сосудистую дистонию, а также функциональные нарушения нервной системы, сопровождающиеся бессонницей, снижением работоспособности, быстрой утомляемостью.
Факторы риска
Манифестации патологии на фоне хронических заболеваний способствует влияние локальных или общих провоцирующих факторов. Пусковые механизмы:
- местные условия: дисфункция височно-нижнечелюстного сустава, супраконтакты вследствие нерационального протезирования;
- воздействие на слизистую оболочку полости рта механических, химических или термических раздражителей;
- стрессовые ситуации;
- психогенные расстройства: к возникновению глоссодинии склонны пациенты с тревожными, депрессивными состояниями.
Патогенез
При заболеваниях органов пищеварения, сопровождающихся функциональными расстройствами, в сегментарный аппарат ствола головного мозга и надсегментарные структуры вегетативной нервной системы поступает постоянный поток нервных импульсов. Вследствие этого в новой коре, лимбико-ретикулярном комплексе и гипоталамусе развиваются застойные очаги возбуждения.
Наблюдается нарушение связи корково-подкорково-стволовых структур с вовлечением иммунной системы, опиоидергических нейронов, гипоталамо-гипофизарной регуляции. Это вызывает еще более выраженное раздражение ядер сегментарного аппарата. На слизистой полости рта, языке, небе возникают парестезии, развиваются секреторные и вкусовые бульбарные расстройства.
У больных наблюдается повышенная активность симпато-адреналовой системы с одновременным угнетением калликреин-кининовой. Вследствие гипертензии в органах-мишенях возникает гипоксия и тканевая ишемия с избыточным накоплением продуктов метаболизма, что приводит к изменениям чувствительных структур вегетативных ядер.
Классификация
Характерный признак глоссодинии - концентрация парестезий в одной зоне с постепенным распространением симптоматики на смежные участки. На основании этого принципа нейростоматолог Яворская Е.С. выделяет 6 форм патологии:
- Лингвально-мандибулярная. Неприятные ощущения сфокусированы на языке с распространением на слизистую альвеолярного отростка нижней челюсти.
- Мандибуло-максиллярная. В патологический очаг вовлечены губы, слизистая, покрывающая альвеолярные отростки, небо.
- Максиллярная. Парестезии локализованы в участке верхней челюсти.
- Глоссофарингеальная. Парестетический очаг с корня языка распространяется на глотку и пищевод.
- Фронтопариетальная. Неприятные ощущения возникают на коже лобной зоны с постепенным вовлечением теменного участка.
- Окципитальная. Ощущения жжения, покалывание соответствуют затылочной области.
В клинической стоматологии существует еще одна альтернативная классификация, где за основу также взят принцип локализации патологических проявлений. Включает 2 формы:
- Мукозную. Глоссодиния распространяется на слизистую оболочку полости рта, язык, небо, альвеолярные отростки, глотку.
- Дерматомукозную. Парестетическая симптоматика, кроме слизистой полости рта, альвеолярных отростков, проявляется и на коже центральных отделов лица.
Симптомы глоссодинии
Заболевание характеризуется возникновением парестетических ощущений на слизистой ротовой полости. Характерные жалобы: покалывание, зуд, «ползанье мурашек», наличие волоса. Для глоссодинии характерна концентрация местной симптоматики в участке кончика или по всей поверхности языка, реже в зоне корня. Со временем очаг поражения расширяется по типу «масляного пятна». В патологический процесс вовлекаются слизистая полости рта, глотка, кожа лица.
Сначала неприятные ощущения длятся несколько минут. С прогрессированием заболевания пациенты жалуются на постоянный дискомфорт. Чаще эпизоды возникают к вечеру. Иногда жжение в языке может длиться всю ночь, после чего больные чувствуют себя изможденными. Во время еды парестезийный симптомокомплекс отсутствует. Кроме покалываний, жжения, зуда, пациенты могут указывать, что язык стал отекшим, не помещается во рту. Возникает ощущение давления в горле, нарушаются глотание и артикуляция.
Осложнения
Длительность периодов парестезий со временем имеет тенденцию к нарастанию. Это приводит к эмоциональному угнетению. Пациенты ощущают выраженную физическую усталость, слабость, снижение работоспособности. Больные часто страдают бессонницей. На фоне глоссодинии могут развиться неврастения, невроз, канцерофобия.
Диагностика глоссодинии базируется на жалобах, данных клинического осмотра и вспомогательных методах исследования. Пациента обследуют стоматолог-терапевт, гастроэнтеролог, невропатолог. Диагностика включает:
- Осмотр. Слизистая оболочка рта бледно-розового цвета без патологических изменений. На спинке языка незначительный налет. При пальпации языка патологических образований не обнаруживают, форма и размеры без изменений. При сжатии возникает болезненность.
- Исследование слюны. Может отмечаться как гипер-, так и гипосаливация. Водородный показатель определяют с помощью индикаторных полосок, рh в пределах нормы. При глоссодинии отсутствуют гальванические токи в ходе измерения разницы потенциалов.
- Электромиографию. С помощью электромиографа определяют исходную локализацию, зоны распространения, длительность парестезийной симптоматики.
- Неврологическое исследование. Глоточные и занавесочные рефлексы отсутствуют, при осмотре языка диагностируют активные сокращения мышечных волокон, ритмичное дрожание. В ходе пальпации проекционных участков верхнего шейного и поднижнечелюстного вегетативных узлов присутствует болезненность.
- Вспомогательные исследования. Для выявления соматической патологии назначают общий и биохимический анализ крови, электрокардиограмму, определение кислотности желудочного сока.
Дифференцируют глоссодинию с глоссалгией, гальванозом, глосситами, воспалительными заболеваниями слизистой оболочки. Также следует исключить невралгию языкоглоточного и язычного нерва, неврит язычного нерва.
Лечение глоссодинии
Фармакотерапия
Терапия заболевания требует комплексного подхода. Местные симптоматические мероприятия неэффективны. Только полноценная междисциплинарная этиопатогенетическая терапия, направленная на снятие обострения и достижение стойкой ремиссии хронического соматического заболевания, позволяет остановить застойный поток патологических импульсов.
- Этиотропная терапия. Цель ‒ нормализация работы сердечно-сосудистой, эндокринной системы, органов ЖКТ. Кроме назначения медикаментозного лечения, рекомендуют придерживаться диеты, употреблять пищу небольшими порциями с интервалами 2-3 часа. Это позволяет устранить дискинезию желчевыводящих путей, которая часто наблюдается при глоссодинии.
- Патогенетическая терапия. Основная задача - воздействие на вагосимпатический отдел, разрыв цепи патологической импульсации. Для улучшения работы нервной системы назначают витамины B, PP. Так как глоссодиния сопровождается гипертензией и, как следствие, - ишемизацией органов-мишеней, пациентам показаны спазмолитики, препараты, снижающие артериальное давление и расширяющие просвет сосудов.
- Симптоматическое лечение. Устранение парастетического симптомокомплекса достигается за счет приема седативных препаратов, нейролептиков. Для снятия неприятных ощущений со слизистой оболочки, кожи, языка выполняют блокады, назначают препараты на основе железа.
Стоматологический этап
Пациентам проводят профессиональную гигиену полости рта, лечение кариеса и его осложнений. Чтобы не допустить травмирования слизистой, острые края пломб сглаживают. При наличии дефектов зубного ряда показано протезирование с использованием однородных металлов. Пластмассовые коронки возможны только как временные конструкции.
Физиотерапия
При глоссодинии широко применяется озонотерапия. Благодаря выраженному воздействию озона на обменные процессы вместе с насыщением тканей кислородом происходит утилизация продуктов метаболизма. Использование лазеротерапии снижает парестетическую симптоматику, способствует выработке местных факторов иммунитета, купирует воспалительный процесс.
Прогноз и профилактика
Прогноз при глоссидинии зависит от причины заболевания и от того, настолько точно будут установлены все этиологические факторы соматического генеза. Поэтому в прогностическом плане важны два показателя: сотрудничество со стороны пациента и качественный сбор анамнеза с участием смежных специалистов: стоматолога, терапевта, эндокринолога, невропатолога, кардиолога, психиатра.
Схемы первичной профилактики глоссодинии не разработано. Вторичные превентивные мероприятия заключаются в своевременном выявлении и лечении общесоматической патологии, поддержании здорового образа жизни. Также важно избегать стрессовых ситуаций.
1. Особенности клинических проявлений и лечения глоссалгии и глоссодинии/ Лавровская Я.А., Романенко И.Г., Лавровская О.М., Буглак В.А.// Вестник медицинского института «Реавиз»: реабилитация, врач и здоровье. - 2019. - №2.
2. Методы дифференциальной диагностики глоссодинии и гальваноза в амбулаторных условиях/ Борисова Э.Г., Никитенко В.В., Хлебников Д.А.// Медико-фармацевтический журнал «Пульс» - 2016. - №4.
Глоссалгия - симптомы и лечение
Что такое глоссалгия? Причины возникновения, диагностику и методы лечения разберем в статье доктора Лобовой Алевтины Вячеславовны, стоматолога со стажем в 6 лет.
Над статьей доктора Лобовой Алевтины Вячеславовны работали литературный редактор Маргарита Тихонова , научный редактор Сергей Федосов и шеф-редактор Лада Родчанина
Глоссалгия (синдром жжения языка, глоссодиния) — это заболевание ротовой полости, которое характеризуется болевыми и неприятными ощущениями в области языка при отсутствии каких-либо поражений и воспалений [1] [9] . Частота глоссалгии среди патологий орофациальной области (заболеваний рта, зубов и челюсти) составляет от 1-2 % [12] .
На данный момент можно выделить три теории, которые могут объяснить развитие данного заболевания:
1. Мультифакториальная — воздействие одного и более патологических генов и факторов внешней среды. В эту теорию включены местные факторы, которые воздействуют непосредственно на область языка. Сюда можно отнести:
- физическое и механическое воздействие на язык (частое прикусывание языка, употребление горячей и чрезмерно острой пищи);
- бактериальные, вирусные агенты и грибы (такие как Candida albicans, вирус герпеса);
- несостоятельные ортопедические и терапевтические конструкции (острые края пломб, неплотное прилегание коронок к зубам);
- нарушение жевательной функции вследствие травм или дисфункции ВНЧС.
К общим факторам относятся:
- гипо- и авитаминозы, дефицит макро- и микроэлементов (витамины группы В, железо);
- эндокринные заболевания, такие как сахарный диабет, гипо- и гипертиреоз, менопауза и т.д.;
- уменьшение количества слюнной жидкости;
- приём антигистаминных, химиотерапевтических, антипсихотических и других лекарственных препаратов;
- патология системы пищеварения (гастрит, язвенная болезнь желудка);
- заболевание нервной системы — нейропатия и невралгия;
- иммунные расстройства, которые связаны с аутоиммунной патологией (красная волчанка), а также иммунодефицитными состояниями (ВИЧ-инфекция).
2. Психогенная — данное заболевание чаще всего возникает на фоне выраженного стресса, тревожных, депрессивных, астено-невротических, ипохондрических состояний и нарушений сна.
3. Идиопатическая — в данном случае глоссалгия рассматривается как самостоятельное заболевание, не связанное с какими-либо нарушениями в других системах организма [5] [6] .
Симптомы глоссалгии
Жалобы, которые предъявляют пациенты, разнообразны. В то же время они достаточно точно позволяют поставить диагноз. При глоссалгиях пациенты, как правило, жалуются на чувство жжения, пощипывания и покалывания в области языка.
Неприятные ощущения могут возникать как периодическое явление, так и иметь постоянный характер. В некоторых случаях неприятные ощущения пациенты сравнивают с ощущениями, как от приёма острой пищи. Из-за этого часть больных отмечает невозможность долгих разговоров, так как развивается повышенная утомляемость.
Большое количество пациентов предъявляют жалобы на чрезмерную сухость в полости рта и небольшое количество слюны.
Во время стрессовых ситуаций, различного рода волнений, а также при сильной утомляемости симптомы глоссалгии прогрессируют. Жжение и болевые ощущения усиливаются, а следовательно психологическое состояние таких больных ухудшается. Они становятся очень раздражительными и плаксивыми. Во время приёма пищи пациенты чувствуют облегчение, неприятные ощущения пропадают или становятся менее выраженными.
Ощущения жжения и покалывания наиболее выражены на боковых поверхностях и на кончике языка, в редких случаях глоссалгии появляются на спинке и корне языка. Болезненность имеет разлитой характер. Если отсутствует лечение, то симптомы глоссалгии могут исчезать, а потом появляться, но уже в другой области языка. Также у этого заболевания есть тенденция к полному самостоятельному исчезновению.
Каких-либо видимых изменений слизистой оболочки языка, а также полости рта при глоссалгии не наблюдается. У некоторых пациентов можно отметить небольшую отёчность языка в связи с увеличением некоторых сосочков, а также налёт, как правило, белого цвета, иногда жёлтого, который возникает из-за недостаточного выделения слюны. В пожилом возрасте могут отмечаться варикозные расширения вен языка, что проявляется незначительным увеличением языка и его синюшностью.

Как правило, неврологический статус таких пациентов нарушен. Могут присутствовать признаки депрессии, апатии и усталости. В противовес этому пациенты могут быть чрезмерно активны, возбуждены, встревожены и очень мнительны.
Большая часть таких пациентов страдают нозофобией — тревожным фобическим расстройством, проявляющимся иррациональным страхом развития угрожающих жизни заболеваний. Во время беседы становится явным, что помимо глоссалгий у пациента присутствуют другие невротические состояния — нарушения сна, быстрая утомляемость, нарушения стула [4] [6] [8] .
Патогенез глоссалгии
Основным механизмом при возникновении глоссалгии считают психоэмоциональные расстройства, а также манипуляции врача в ротовой полости.
Главная роль в патогенезе глоссалгии отводится нарушениям в центральной и периферической нервной системе, а также в системе микроциркуляции. Разнообразие проявлений заболевания объясняется анатомо-физиологическими особенностями челюстно-лицевой области и богатством иннервации ("пронизывания" нервными клетками) лица и тканей полости рта.
Роль нарушений высшей нервной деятельности, изменений кровоснабжения и гормонального фона в развитии глоссалгии продолжают изучать. Учёные пытаются найти взаимосвязь между клиническими проявлениями заболевания, изменениями микрофлоры полости рта, а также состоянием других систем организма.
В исследованиях была подтверждена психосоматическая природа заболевания [12] . Основными клиническими проявлениями являются тревога, депрессия, ипохондрия. Повышенная тревожность и депрессия связаны с нарушением сопряжённой деятельности активирующих систем мозга, которое возникает в результате обширного органического поражения головного мозга.
Самыми распространёнными неврологическими заболеваниями, сопутствующими глоссалгии, являются дисциркуляторная энцефалопатия (заболевание головного мозга с нарушением кровообращения) и полинейропатия (поражение большого количества периферических нервов).

При анализе показателей иммуноцитокинового статуса больных с глоссалгией выявлено наличие гипоиммунного состояния, которое обусловлено стрессом нервной и эндокринной системы [5] [6] [9] .
Классификация и стадии развития глоссалгии
Классификация глоссалгии по месту возникновения болевых ощущений:
- лингвальные (расстройства чувствительности возникают в области передних 2/3 языка);
- максиллярные (ощущения возникают в районе второй ветви тройничного нерва);
- глоссофарингеальные (возникают в области иннервации языкоглоточного и блуждающего нервов, а затем переходят на другие части языка);
- мандибулярные (ощущения в районе иннервации нижнего альвеолярного нерва);
- окципитальные (первичные зоны парестезии в области затылка с нарушением чувствительности в полости рта);
- фронтальные (сенсорный феномен первично возникает в области лба, висков и глаз с нарушением чувствительности в полости рта) [2] .
Осложнения глоссалгии
Данное заболевание не представляет угрозы для жизни, но может заметно ухудшить её качество. Если при возникновении глоссалгии не приступить к её тщательному обследованию и лечению, болезнь может прогрессировать и стать хронической. При этом её проявления будут периодически то возникать, то затихать. Это может приводить к усугублению уже имеющегося невротического и депрессивного состояния. Тревожность, нервозность и нарушения сна будут прогрессировать без терапии. Пациентом в данном случае должен заниматься не только стоматолог, но и невролог и психиатр.
Заболеванию свойственно самопроизвольное исчезновение без какого-либо лечения. Но определить, проявит ли себя глоссалгия повторно в будущем, точно невозможно. Исход при правильном и грамотном лечении, как правило, благоприятный [3] .
Осложнения также могут иметь воспалительный характер — например, может развиться афтозный стоматит в связи с гипосаливацией (недостатком слюны), так как сухость во рту и увеличивает травмирующее воздействие физических факторов.

Диагностика глоссалгии
Основополагающим при постановке диагноза глоссалгии являются жалобы и сбор анамнеза пациента.
Жалобы больные предъявляют на неприятные ощущения в области языка, боль без какой-то точной локализации, жжение, покалывание, онемение и зуд. Локализоваться патологические ощущения могут на кончике языка, боковой поверхности, десне, иногда на твердом нёбе и глотке. Во время еды пациенты отмечают, что все неприятные ощущения уменьшаются либо происходит их полное исчезновение.
При сборе анамнеза выясняется, что неприятные ощущения беспокоят пациента в течение длительного времени. Для такого больного свойственна плаксивость, раздражительность, нозофобия и иногда истерия, постоянное внимание к языку и уточнение самых мелких деталей своего заболевания. В анамнезе, как правило, имеется расстройства нервной системы, заболевания желудочно-кишечного тракта и печени (например, гастрит или гепатит), эндокринные нарушения (сахарный диабет), иммунологические проблемы, а также патологии в полости рта (кариес, пародонтит).
Физикальное обследование: при непосредственном осмотре слизистая оболочка полости рта и языка без каких-либо изменений, может быть недостаточно увлажнённой в связи с гипосаливацией. Возможно незначительное увеличение языка из-за отёка.
Дифференцировать глоссалгию необходимо со следующими заболеваниями:
- (неврит) и языкоглоточного нервов. При невралгиях характер болей острый, приступообразный, имеются “курковые зоны’’ (участки кожи или слизистой, прикосновение к которым вызывает сильную боль). Боли возникают при разговоре и приёме пищи, а при глоссалгии в таких ситуациях неприятные ощущения исчезают;
- травматическое поражение язычного нерва. Для острой или хронической травмы языка характерна боль и жжение в определённом месте, которая усугубляется при приёме пищи и разговоре. Во время осмотра полости рта всегда есть травмирующий фактор (острый край зуба или протеза), а также гиперемированный участок слизистой. Если убрать травмирующий агент, боль и неприятные ощущения полностью исчезают;
- кандидоз, для которого частыми жалобами являются сухость и жжение в полости рта. В анамнезе, как правило, отмечается приём антибиотиков и кортикостероидных препаратов. Это заболевание очень часто встречается у лиц пожилого возраста, которые носят съёмные пластмассовые протезы. Как правило, слизистая оболочка полости рта будет гиперемированной и сухой, язык обложен белым творожистым налётом. Бактериоскопия выявляет гриб Candida;
- аллергические реакции;
- артроз височно-нижнечелюстного сустава;
- глоссит ( воспаление языка) [6][11] .
Лечение глоссалгии
При лечении глоссалгии необходимо местное терапевтическое и общее воздействие. Терапия включает в себя приём медикаментозных препаратов и устранение травмирующих факторов.
К местному лечению относятся:
- полная санация полости рта;
- обучение пациента индивидуальной гигиене полости рта (правильная чистка зубов с применением специально подобранных средств) ;
- устранение местных травмирующих факторов (таких как зубной камень, острые края пломб и зубных протезов);
- лечебная блокада нервов (инъекции обезболивающих препаратов);
- местные аппликации со стоматологическими обезболивающими гелями ;
- применение кератопластических препаратов (например, масла шиповника), которые снимают воспаление и способствуют восстановлению слизистой оболочки;
- для нормализации слюноотделения используются препараты йода в таблетках;
- протезирование однородными металлами или бесцветной пластмассой, чтобы избежать гальванического эффекта.
К общему лечению относится:
- щадящая диета (исключение кислой, солёной, острой и жирной пищи) на период лечения и купирования всех симптомов;
- приведение в норму неврологического статуса пациента с использованием седативных препаратов, транквилизаторов, анксиолитиков, ноотропов;
- нормализация мозгового кровообращения ( назначение таких препаратов, как мексидол, циннаризин );
- приём витаминных комплексов;
- некоторым пациентам требуется беседа с психологом, когда самостоятельно или с помощью медикаментозной терапии не удаётся снять нервное напряжение [6][10] .
Прогноз для жизни при глоссалгии, как правило, благоприятный. При правильном лечении и адекватной индивидуальной гигиене полости рта заболевание исчезает достаточно быстро и обычно не появляется вновь. Однако если вовремя не провести полноценную терапию, заболевание может привести к ухудшению психоэмоционального состояния и усугубить имеющиеся проблемы в нервной системе [3] .
Рекомендации, выполнение которых поможет быстрее вылечить глоссалгию и не допустить её развития:
Читайте также:
