Хирургическая анатомия внутреннего слухового канала
Добавил пользователь Владимир З. Обновлено: 13.12.2025
, lamina spiralis ossea. Двухслойная костная пластинка, которая начинается от стержня улитки и выступает в просвет улиткового канала. Вместе с улитковым протоком полностью разделяет канал на лестницу преддверия и барабанную лестницу. Рис. Б.
Крючок спиральной пластинки
, hamulus laminae spiralis. Свободный, загнутый кверху в виде крючка конец костной спиральной пластинки у верхушки улитки. Рис. Б.
Отверстие улитки, геликотрема
Вторичная спиральная пластинка
, lamina spiralis secundaria. Костный гребень в нижней половине первого завитка улитки, который отходит от наружной стенки спирального канала напротив костной спиральной пластинки. Таким образом, нижняя часть базилярной пластинки натянута между двумя спиральными костными гребнями. Рис. Б.
Внутренний слуховой проход
, meatus acusticus internus. Начинается на задней стенке пирамиды височной кости и имеет длину, примерно, 1 см. В нем проходят преддверно-улитковый и лицевой нервы, а также артерия и вена лабиринта. Рис. А.
Внутреннее слуховое отверстие
Дно внутреннего слухового прохода
Поперечный гребень
, crista transversa. Ориентирован в поперечном направлении и разделяет дно внутреннего слухового прохода на верхнее и нижнее поле. Рис. А.
Поле лицевого нерва
Поле улитки
, area cochleae. Обширная область, которая расположена книзу от поперечного гребня и содержит продырявленный спиральный путь. Рис. А.
Продырявленный спиральный путь
, tractus spiralis foraminosus. Соответствует спиральному каналу улитки. Содержит отверстия, через которые проходят волокна от спирального узла, формирующие улитковую часть преддверно-улиткового нерва. Рис. А.
Верхнее преддверное поле
, area vestibularis superior. Расположено латерально от поля лицевого нерва. Содержит отверстия, через которые проходят волокна эллиптически-мешотчатоампулярного нерва. Рис. А.
Нижнее преддверное поле
, area vestibularis inferior. Находится с латеральной стороны от продырявленного спирального пути. Содержит отверстия, через которые проходят волокна сферически-мешотчатого нерва. Рис. А.
Одиночное отверстие
, foramen singulare. Находится позади нижнего преддверного поля и содержит заднюю ветвь ампулярного нерва. Рис. А.
СРЕДНЕЕ УХО
Барабанная полость
, cavitas tympanica (cavum tympani). Имеет вид косо ориентированного щелевидного пространства, которое расположено кнутри от барабанной перепонки и содержит слуховые косточки. Сверху и сзади барабанная полость сообщается с сосцевидными ячейками, спереди и снизу - со слуховой трубой и далее с носоглоткой.
Покрышечная стенка
, paries tegmentalis. Костная пластинка (tegmen tympani), которая отделяет барабанную полость от полости черепа и расположена с латеральной стороны от дугообразного возвышения на передней стенке пирамиды височной кости. Рис. В.
Надбарабанное углубление
, recessus epitympanicu. Часть барабанной полости, которая дугообразно изогнута вверх и латерально, располагаясь выше уровня барабанной перепонки. Рис. В.
Купольная часть
Яремная стенка
Шиловидный выступ
, prominentia styloidea. Возвышение на нижней стенке барабанной полости, которое соответствует шиловидному отростку. Рис. В.
Лабиринтная стенка
Окно преддверия
Ямочка окна преддверия
, fossula fenestrae vestibuli. Небольшое углубление на медиальной стенке барабанной полости между молоточком и наковальней. Рис. В.
Борозда мыса
, sulcus promontorii. Находится на поверхности мыса. В ее разветвлениях лежат нервы, формирующие барабанное сплетение. Рис. В.
Хирургическая анатомия внутреннего слухового канала
ФГБОУ ВО «Оренбургский государственный медицинский университет» Минздрава России, Оренбург, Россия
ФГБОУ ВО «Оренбургский государственный медицинский университет» Минздрава России, 460000, Оренбург, Россия
ГБУЗ «Оренбургская областная клиническая больница», Оренбург, Россия
Клинико-анатомическое обоснование и применение способа определения границ резекции задней стенки внутреннего слухового канала в хирургии неврином слухового нерва
Журнал: Оперативная хирургия и клиническая анатомия. 2019;3(4): 15‑20
Введение
Резекция задней стенки внутреннего слухового канала (ВСК) при помощи высокоскоростного бора применяется в хирургии неврином слухового нерва для удаления интрамеатальной части опухоли в целях обеспечения наибольшей радикальности. Основной задачей оптимизации данного этапа доступа является определение максимального объема резекции задней стенки ВСК с минимальным риском повреждения структур внутреннего уха, лицевого нерва, луковицы яремной вены, расположенных в непосредственной близости от зоны резекции. Для определения границ резекции при планировании этого этапа операции на сериях компьютерных томограмм используются внутренние костные ориентиры — отверстие внутреннего слухового прохода [1], задняя губа ВСК как фиксированный костный ориентир для расчета угла резекции на этапе планирования и использования нейронавигации во время операции [2]. В исследованиях ряда авторов предложено сочетанное использование эндоскопической техники для интраоперационной визуализации содержимого слухового канала [3] и нейронавигационной установки в целях осуществления планирования резекции задней стенки ВСК [4]. В качестве дополнительных методик предлагается применение нейрофизиологического мониторинга: регистрации вызванных потенциалов ствола, электрокохлеографии [5—7]. Существенный недостаток предложенных методик состоит в зависимости от нейронавигационной аппаратуры, имеющей вариабельные, подчас недопустимые величины ошибок совмещения, другой сложной техники, требующей специальных навыков хирурга. В описанных методиках отсутствуют указания на пространственные измерения при определении направления резекции костных структур, в частности, угла резекции задней стенки слухового прохода. Таким образом, актуальной остается разработка анатомически обоснованного способа определения направления и объема резекции задней стенки ВСК при удалении неврином слухового нерва с учетом индивидуальных особенностей строения и пространственного расположения пирамиды височной кости и ВСК в зависимости от формы задней черепной ямки (ЗЧЯ).
Цель исследования — разработка и внедрение способа определения границ и объема резекции задней стенки ВСК с использованием костных ориентиров основания ЗЧЯ, обеспечивающего наименьший риск повреждения структур внутреннего уха при удалении интрамеатальной части невриномы слухового нерва.
Материал и методы
Особенности строения внутреннего основания ЗЧЯ, внутренней грани пирамиды височной кости и внутреннего слухового канала изучали на 160 компьютерных томограммах пациентов в возрасте от 18 до 70 лет (92 мужчины, 68 женщин) без патологии черепа и головного мозга, направленных на исследование для исключения объемного процесса. Обследование проводили на спиральном компьютерном томографе Aquilion 32 (Toshiba, Япония), используя стандартные протоколы исследования. Определяли форму ЗЧЯ, измеряя 3 основных параметра: длину (расстояние от основания спинки турецкого седла до внутреннего затылочного выступа), ширину (расстояние между наибольшими углублениями борозд сигмовидных синусов у основания верхней грани пирамиды) и глубину (расстояние от воображаемой линии длины до заднего края большого затылочного отверстия). Измеряли длину пирамиды по верхнему краю от основания до верхушки, длину слухового канала от переднего края в пределах каменистой части, угол между задней стенкой ВСК и задней гранью пирамиды, расстояние между задним краем ВСК и бороздой сигмовидного синуса, угол схождения осей пирамид. Планирование и 3D-моделирование резекции задней стенки ВСК осуществляли с использованием программы анализа компьютерных и магнитно-резонансных томограмм eFilm Workstation 1.8.3 (eFilm Medical Inc., Канада) и системы компьютерной нейронавигации Stealth Station/S7 (Medtronic, США).
Сравнительный анализ результатов хирургического лечения пациентов с акустическими невриномами проводили в двух группах больных, оперированных в нейрохирургическом отделении Оренбургской областной клинической больницы в период с 2010 по 2015 г.
Основную группу составили 8 пациентов (5 мужчин и 3 женщины в возрасте от 59 до 68 лет). Средний размер невриномы был 31,3±0,9 мм (III—IV стадия по Koos, 1976; T3b — 6; T4a — 2 по Samii, 1997). Пациенты оперированы посредством ретросигмовидного доступа с резекцией задней стенки ВСК с применением предложенного способа определения границ резекции для удаления интрамиатальной части опухоли.
В контрольную группу были включены 12 пациентов (5 мужчин, 7 женщин в возрасте от 58 до 65 лет). Средний размер невриномы был 30,8±0,8 мм (III стадия по Koos; Т3а — 3; Т3b — 7; T4a — 2 по Samii). Пациенты оперированы ретросигмовидным доступом с резекцией задней стенки ВСК с применением традиционной технологии.
Вариационно-статистическую обработку количественных параметров выполняли при помощи программ Microsoft Office Exсel 2007 и Statistica 10. Критический уровень значимости при проверке статистических гипотез в данном исследовании принимали равным 0,05.
Результаты и обсуждение
Индивидуальные различия в строении внутреннего основания ЗЧЯ характеризовали линейные краниометрические параметры: длина, ширина и глубина. По вариантам сочетания крайних значений этих параметров определили 8 форм строения внутреннего основания ЗЧЯ, которые по частоте выявления распределились следующим образом: длинная широкая глубокая — 25 (15,6%) наблюдений из 160, длинная широкая мелкая — 14 (8,7%), длинная узкая глубокая — 56 (35%), короткая узкая мелкая — 12 (7,5%), короткая широкая мелкая — 6 (3,8%), длинная узкая мелкая — 27 (16,9%), коротая узкая глубокая — 13 (8,1%), короткая широкая глубокая — 7 (4,4%).
Длина верхней грани пирамиды височной кости в среднем была 68,5±1,7 мм и положительно коррелировала с длинной ЗЧЯ (R=0,99; p=0,035).
Длина внутреннего слухового прохода в среднем была 11,2±0,3 мм и имела прямую зависимость от длины пирамиды височной кости (R=0,56; р=0,017). Во всех наблюдениях отмечалось вызванное опухолью расширение внутреннего отверстия ВСК от 7 до 10 мм.
Угол между задней стенкой ВСК и задней гранью пирамиды в среднем составил 50,3±1,3°. В узких формах ЗЧЯ — 56,8±2,2°, в широких — 47,4±1,9°.
Расстояние между задним краем ВСК и бороздой сигмовидного синуса в среднем достигало 22,8±0,13 мм, в коротких широких формах ЗЧЯ — 2,52±0,2 мм, в длинных узких — 1,84±0,1 мм.
Величина угла схождения осей пирамид прямо зависела от длины и ширины ЗЧЯ (R=0,89; р=0,43) и характеризовала особенности продольной ориентации пирамиды височной кости. В длинной ЗЧЯ он был 100,0±1,3°, в короткой — 104,0±3,2°, в узкой — 100,1±1,2°, в широкой — 105,4±1,1°.
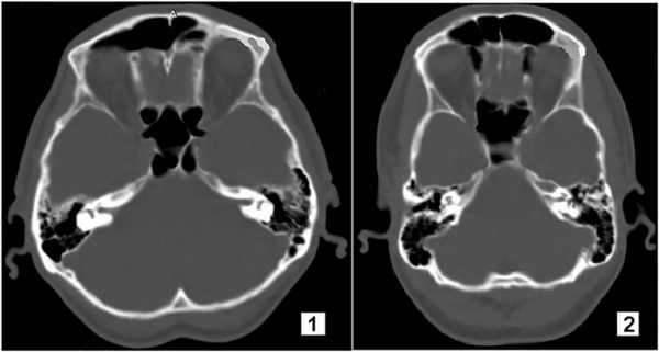
Короткая широкая ЗЧЯ (13 наблюдений из 160, или 8,1%) по сравнению с длиной узкой отличалась более массивной петрозальной частью, ВСК залегал глубже и был короче в среднем на 4,2±0,2 мм. В короткой ямке угол схождения пирамид височных костей был тупой, пирамида смещалась кзади, а вершина внутрь, верхний край пирамиды опускался относительно плоскости верхней грани. В широкой ямке вершина пирамиды смещалась вниз и латерально (рис. 1).

Рис. 1. Различия в строении пирамиды височной кости в короткой широкой (1) и длинной узкой (2) задней черепной ямке.
В узкой длинной ямке (83 наблюдения, 51,9%) каменистая часть пирамиды была выражена меньше, но длина канала была больше, так как была больше длина пирамиды. Чем длиннее была пирамида, тем ближе отверстие внутреннего слухового прохода было расположено к верхушке и срединной плоскости. В длинной узкой ЗЧЯ угол схождения пирамид приближался к 90°, верхний край пирамиды был приподнят по отношению к плоскости верхней грани, задняя грань располагалась отвесно. Таким образом, риск повреждения структур внутреннего уха и лицевого нерва во время резекции задней стенки ВСК был выше в узких длинных формах ЗЧЯ, а в коротких широких формах возрастал объем необходимой резекции.
Краниометрические исследования послужили клинико-анатомической основой для разработки способа определения границ резекции задней стенки ВСК с целью удаления интрамеатальной части опухоли.
Определение границы резекции задней стенки ВСК выполняли на компьютерной томограмме пациента во фронтальной проекции в костном окне (рис. 2).

Рис. 2. пределение границы резекции заднего края внутреннего слухового канала на КТ во фронтальной проекции. 1 — лабиринт; 2 — задний край внутреннего слухового прохода; 3 — граница резекции.
Измеряли расстояние от средней точки заднего края внутреннего слухового прохода до границ лабиринта, прибавляя расстояние безопасности 1 мм. На аксиальной компьютерной томограмме в костном окне на уровне середины внутреннего слухового прохода (рис. 3) отмеряли полученное расстояние от его края на задней стенке ВСК и отмечали точку «А1». Такое же расстояние отмеряли на задней грани пирамиды височной кости и отмечали точку «А». Соединив точки А и А1, определяли ось бурения «1».

Рис. 3. Определение точки (b) выхода оси бурения (1) на поверхность затылочной кости и зоны (r) резекции задней стенки внутреннего слухового канала. А — точка входа бурения; 1 — ось бурения; s — сигмовидный синус; а — угол хода ВСК от плоскости задней грани пирамиды височной кости.
Расположение точки входа оси бурения «А» на задней грани пирамиды височной кости фиксировали, измеряя расстояние от этой точки до наружного края трепанационного окна. Наружную границу трепанационного окна «а» всегда располагали на линии между точками «АСТЕРИОН» и задним основанием сосцевидного отростка. Точку выхода оси бурения «b» на поверхность затылочной кости определяли в системе координат относительно срединной линии «m» в сагиттальной плоскости и линии проведенной от точки «АСТЕРИОН» в аксиальной плоскости, медиальную границу трепанационного окна «с» определяли от точки выхода оси бурения, прибавив расстояние рабочей части бора (рис. 4).

Рис. 4. Схема определения латеральной (а) и медиальной (с) границ трепанационного окна (то) и точки оси бурения (b) на поверхности затылочной кости. — средняя линия, As — точка «АСТЕРИОН», оСО — точка заднего основания сосцевидного отростка.
На операционном столе укладывали пациента на бок, противоположный локализации опухоли, голову немного наклоняли к груди, поворачивали на 15—20° к полу и жестко фиксировали в скобе Мейфилда. Верхнее плечо оттягивали вниз. Пальпаторно определяли заднее основание сосцевидного отростка и точку «АСТЕРИОН», отмечали линию кожного разреза с учетом надежного обнажения этих точек. После выполнения разреза кожи и скелетирования кости визуализировали точки «Аs» (АСТЕРИОН) и «оСО» (заднего основания сосцевидного отростка). Между этими точками проводили линию, определяющую латеральную границу трепанационного окна. Точку выхода оси бурения «b» на поверхность затылочной кости определяли, измеряя расстояние от линии «As-oCO» и от линии, проведенной перпендикулярно от точки «As» к средней линии «m». Медиальную границу трепанационного окна определяли, отступив от точки «b» на расстояние, соответствующее размерам основания рукоятки бора. Осуществляли краниотомию с четким соблюдением отмеченных границ. После выполнения тракции или резекции наружной части полушария мозжечка, обнажения задней грани пирамиды височной кости определяли расположение точки «А» на задней грани пирамиды на уровне середины внутреннего прохода, измеряя расстояние «аA» от латеральной границы трепанационного окна на уровне точки «b». В области точки «А» скелетировали пирамиду, устанавливали бор в намеченную точку бурения и, упираясь краем бора на медиальный край трепанационного окна на уровне точки «b», достигали запланированной оси бурения и осуществляли резекцию задней стенки ВСК.
Сравнительный анализ результатов оперативного лечения 8 пациентов основной группы (с использованием предложенного способа определения границ резекции ВСК при удалении невриномы слухового нерва) и 12 пациентов (с использованием традиционного способа резекции задней стенки ВСК) в раннем послеоперационном периоде показал следующее.
У 10 (83,3%) пациентов из 12 контрольной группы и у 3 (37,5%) из 8 основной группы после удаления невриномы слухового нерва отмечалось повреждение лицевого нерва с развитием пареза лицевой мускулатуры различной степени выраженности. В результате этого у 50% пациентов контрольной группы и 33% основной группы сформировался стойкий неврологический дефицит. Развитие травматического лабиринтита в ближайшем послеоперационном периоде в виде различной степени выраженности вестибулярной атаксии было отмечено у 4 (33,3%) пациентов из 12 в контрольной группе и у 1 (12,5%) пациента из 8 в основной группе.
Заключение
Применение анатомически обоснованного способа определения границ резекции задней стенки внутреннего слухового канала при планировании оперативного вмешательства и возможность интраоперационного контроля процесса резекции при удалении невриномы слухового нерва позволило увеличить зону доступности, достичь адекватного обнажения интрамеатальной части опухоли с возможностью визуализировать лицевой нерв, увеличить радикальность удаления опухоли, снизить в 2,7 раза частоту повреждения структур лабиринта и в 2,2 раза лицевого нерва.
НИИ нейрохирургии им. акад. Н.Н. Бурденко РАМН, Москва
ФГАУ «НИИ нейрохирургии им. акад. Н.Н. Бурденко» Минздрава России, Москва, Россия
ФГБНУ «НИИ нейрохирургии им. акад. Н.Н. Бурденко», Москва, Россия
Хирургическое лечение неврином слухового нерва (вестибулярных шванном)
Журнал: Журнал «Вопросы нейрохирургии» имени Н.Н. Бурденко. 2017;81(3): 66‑76
Клинические рекомендации — это актуальные систематически разработанные положения, созданные для того, чтобы помочь врачу в принятии решений относительно врачебной тактики в определенных клинических ситуациях, они содержат установки по проведению диагностических и скринирующих тестов, по объему медицинской и хирургической помощи и по другим аспектам клинической практики. Вестибулярные шванномы составляют 8% всех внутричерепных образований, до 30% опухолей задней черепной ямки и 85% опухолей мосто-мозжечкового угла. Заболеваемость невриномами слухового нерва составляет примерно 1 случай на 100 000 населения в год. В работе представлены вопросы классификации, диагностики и лечения неврином слухового нерва. В рекомендациях подробно рассмотрены ключевые аспекты формулировки клинического диагноза, классификационные признаки, определение показаний к хирургическому или лучевому лечению, а также принципы выжидательной тактики при вестибулярных шванномах. Особое внимание уделено хирургическому лечению неврином слухового нерва, приведены критерии выбора хирургического доступа, использования современного операционного оснащения, этапы удаления опухоли. В соответствии с принятой клинической классификацией предложены алгоритмы действий в зависимости от стадии заболевания и динамики развития патологического процесса, возраста пациента и клинических проявлений. Ключевые положения клинических рекомендаций основаны на критериях доказательности. Работа предназначена для практической деятельности специалистов нейрохирургов.
Клинические рекомендации (КР) — это актуальные, систематически разработанные положения, созданные для помощи врачу в принятии решений относительно врачебной тактики в определенных клинических ситуациях. Они содержат установки по проведению диагностических и скринирующих тестов, по объему медицинской и хирургической помощи и по другим аспектам клинической практики [1].
Цель составления КР — попытка стандартизации вопросов диагностики и лечения заболеваний по всем разделам медицины, в том числе и по нейрохирургии.
КР включают описание методов диагностики и лечения профильных заболеваний, уровни доказательности основных положений, указатели лекарственных препаратов по Международным непатентованным названиям, оценку информационных ресурсов, использованных для разработки документа. Все основные разделы КР («Общие сведения», «Диагностика», «Лечение») должны содержать уровни доказательности приводимых в данном разделе положений.
В КР могут использоваться различные шкалы уровней доказательности, например, критерии, основанные на шкале уровней (категорий) доказательности Оксфордского центра доказательной медицины. По рекомендации Ассоциации нейрохирургов России в КР нейрохирургического профиля используется шкала «Стандарты—Рекомендации—Опции», в которой «Стандарт» соответствует уровню доказательности класса А, «Рекомендация» — уровням доказательности класса В—С, «Опция» — уровню доказательности класса С.
Стандарты. Это общепризнанные принципы диагностики и лечения, которые могут рассматриваться в качестве обязательной лечебной тактики. Большей частью — это данные, подтвержденные наиболее доказательными исследованиями (1—2 класс) — мультицентровыми проспективными рандомизированными исследованиями, или же данные, подтвержденные результатами независимых крупных нерандомизированных проспективных или ретроспективных исследований, выводы которых совпадают.
Рекомендации. Лечебные и диагностические мероприятия, рекомендованные к использованию большинством экспертов по этим вопросам, которые могут рассматриваться как варианты выбора лечения в конкретных клинических ситуациях. Эффективность рекомендаций определяется в исследованиях 2-го и реже — 3-го класса доказательности, т. е. в проспективных нерандомизированных исследованиях и крупных ретроспективных исследованиях. Для перехода этих положений в разряд стандартов необходимо их подтверждение в проспективных рандомизированных исследованиях.
Опции. Основаны на небольших исследовательских работах 3-го класса доказательности и представляют, главным образом, мнение отдельных авторитетных по тем или иным направлениям экспертов, или экспертных групп.
Общие сведения. Вестибулярные шванномы составляют 8% от всех внутричерепных образований, до 30% опухолей задней черепной ямки и 85% опухолей мосто-мозжечкового угла [2]. Термины «вестибулярная шваннома» и «невринома слухового нерва» являются синонимами, обозначающими доброкачественные опухоли, которые состоят полностью из шванновских клеток и исходят из вестибулярной порции слуховестибулярного нерва (более часто из верхней части вестибулярной порции) [3, 4]. В мировой литературе в основном используется термин «вестибулярная шваннома», а в отечественной — «невринома слухового (VIII) нерва».
Заболеваемость невриномами слухового нерва составляет примерно 1 случай на 100 000 населения в год [5]. Другими словами, каждый год в Российской Федерации появляется 1500 новых случаев неврином слухового нерва. Учитывая постоянное совершенствование методов нейровизуализации, позволяющих устанавливать диагноз на ранних стадиях заболевания, эта цифра может быть еще выше.
Невриномы слухового нерва в 95% случаев является односторонней опухолью. 5% неврином имеют мультицентрический двусторонний характер роста и являются проявлением нейрофиброматоза типа II (НФ-2) — наследственного, аутосомного заболевания, имеющего доминантный характер наследования. Истинные, спорадические невриномы слухового нерва развиваются наиболее часто на четвертом—пятом десятилетии жизни, имея общий возрастной период от 12 до 88 лет [6]. Более часто невриномы встречаются у женщин, чем у мужчин, примерное соотношение 3:2. Двусторонние невриномы, обусловленные НФ-2, проявляются значительно раньше, во втором—третьем десятилетии жизни [7, 8].
Невриномы слухового нерва являются, как правило, плотным, опухолевым образованием, в редких случаях содержат в своей структуре кисты, имеют хорошо выраженную капсулу, четко отграниченную от мозгового вещества. Они возникают во внутреннем слуховом проходе, в зоне Obersteiner-Redlich между миелин-продуцирующими олигодендроцитами и шванновскими клетками, расположенными в 8—10 мм от пиальной оболочки боковой поверхности моста. Рост опухоли происходит в сторону наименьшего сопротивления по корешку нерва в средней части мостомозжечкового угла. Близлежащая часть нерва может быть изолирована при маленькой опухоли, но с увеличением размера последней включается в ее структуру [9]. При более поздних стадиях заболевания и значительно больших размерах опухолевого узла происходит аналогичное воздействие на близлежащие черепные нервы. По частоте вовлечения в этот процесс на первом месте стоит, естественно, вестибуло-кохлеарный нерв, затем в порядке убывания частоты следуют лицевой и тройничный нервы, языкоглоточный нерв и другие [3, 10].
Классификации стадий развития заболевания
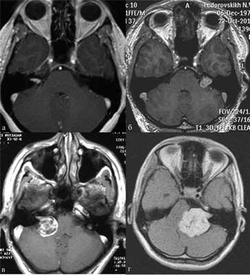
В практической деятельности наиболее универсальными являются классификации, предложенные Koos [11] и Samii [12]. Они основаны на оценке размеров невриномы и ее отношении к окружающим мозговым и костным структурам (рис. 1, 2).

Рис. 1.Иллюстрация классификации неврином слухового нерва по Koos. а — I стадия — опухоль находится в пределах внутреннего слухового прохода, диаметр экстраканальной части составляет 1—10 мм; б — II стадия — опухоль вызывает расширение канала внутреннего слухового прохода и выходит в мостомозжечковый угол, ее диаметр составляет, 11—20 мм; в — III стадия — опухоль распространяется до ствола головного мозга без его компрессии, диаметр составляет 21—30 мм; г — IV стадия — опухоль вызывает компрессию ствола головного мозга, ее диаметр более 30 мм.

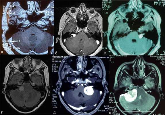
Рис. 2.Классификация неврином слухового нерва по M. Samii. а — Т1 — интрамеатальная опухоль (рис. 2, a); б —Т2 — интра-экстрамеатальная опухоль; в — Т3а — опухоль заполняет мостомозжечковую цистерну; г —Т3b — опухоль распространяется до ствола головного мозга; д —Т4а — опухоль вызывает компрессию ствола; е —Т4b — опухоль грубо деформирует ствол мозга и IV желудочек.
В клинической практике обе эти классификации следует равноценно рассматривать в качестве основных принципов оценки клинической стадии заболевания (опция).
По данным анализа большого массива клинических исследований (663 собственных наблюдения), на сегодняшний день средний размер невриномы слухового нерва составляет 32×30×30 мм. Распределение по стадиям заболевания представлено следующим образом:
Миринготомия уха - что за операция и как проходит?

Сильная боль при отите часто связана со скоплением в среднем ухе жидкости (слизи, гноя или крови). Эти субстанции обычно не должны там находиться, и когда вдруг там оказываются — это может сильно ухудшить качество жизни. Если прием антибактериальных препаратов не принес нужного эффекта, может помочь миринготомия - прокол барабанной перепонки.
Как устроено ухо
Ухо разделяют на три отдела: наружное ухо, среднее и внутреннее. В состав наружного уха включают ушную раковину, наружный слуховой проход и барабанную перепонку, являющуюся границей между наружным и средним ухом.
Среднее ухо представлено барабанной полостью, пещерой сосцевидного отростка и их содержимым - прежде всего, слуховыми косточками, а также слуховой (евстахиевой) трубой, соединяющей барабанную полость с полостью глотки.
Внутреннее ухо представлено преддверием, улиткой, полукружными каналами и расположено в пирамиде височной кости.
Наиболее мучительным для человека является средний отит - отек и воспаление слизистой барабанной полости.
Что такое миринготомия, пapaцeнтeз, тимпанотомия?
Все это разные названия хирургической операции, суть которой - прокол барабанной перепонки, извлечение вредного содержимого из барабанной полости, образовавшегося там из-за воспаления. Сквозной разрез обеспечивает свободный выход скопившейся в среднем ухе жидкости, после чего человеку становится значительно лучше, а боль отступает.
Вмешательство связано с определенными сложностями. Длительно протекающий воспалительный процесс утолщает перепонку, и в ней бывает трудно сделать маленький сквозной прокол. Операция обычно назначается детям, ведь они болеют отитом чаще взрослых из-за возрастных особенностей анатомии слуховой трубы.
Показания
Прокол барабанной перепонки показан в следующих случаях:
- выраженный болевой синдром при подтвержденном среднем отите;
- жидкость в среднем ухе, выявленная путем специального обследования - тимпанометрии;
- нет положительной динамики при длительном приеме антибиотиков и других лекарств;
- дисфункция евстахиевой трубы у взрослых;
- ухудшение слуха из-за скопления жидкости в барабанной полости;
- необходимость проведения анализа, для выявления возбудителя возможной инфекции и проведения адекватной лекарственной терапии.
Если экссудат из полости среднего уха удалить вовремя, не дожидаясь осложнений, отит не перейдет в хроническую стадию.
Важно! Миринготомия барабанной перепонки не заменяет антибактериальной терапии, не уменьшает частоту развития среднего отита и не снижает число рецидивов.
Противопоказания
Миринготомия может быть противопоказана при любых признаках опухоли среднего уха или сосудистых аномалиях. К относительным противопоказаниям относят предшествующую лучевую терапию области головы и шеи.
Как проходит операция
Методику проведения операции определяет ЛОР-врач на основе данных всестороннего обследования пациента, подтвержденного диагноза и наличия показаний к вмешательству.
Чтобы получить наилучший обзор полости среднего уха, применяют микроскоп. Затем выполняют маленький надрез в барабанной перепонке, а жидкость из среднего уха удаляют. В большинстве случаев, может понадобиться небольшая трубка, которая останется в месте надреза, и позволит дренажу продолжаться.
Для закрытия надреза наложение швов не требуется - он заживет сам.
Диагностика
Острый средний отит определяется по совокупности признаков:
- данные анамнеза;
- показатели отоскопии - исследования наружного уха и барабанной перепонки с помощью специального прибора;
- характерные симптомы наличия жидкости за барабанной перепонкой: сильная боль в ухе, снижение слуха и проявление интоксикации: бледность, слабость, отсутствие аппетита, головная боль и повышенная температура.
В некоторых случаях врач назначает дополнительные диагностические процедуры: бактериальный посев экссудата и рентгенографию височной кости.
Подготовка
Включает ряд обязательных исследований:
- проверка слуха;
- общий анализ крови;
- тимпанография - оценка деформации барабанной перепонки на перепады давления.
За неделю до плановой операции необходимо прекратить прием противовоспалительных препаратов и лекарств, разжижающих кровь.
Под каким наркозом проходит?
Миринготомия относится к малоинвазивным вмешательствам и обычно выполняется в амбулаторных условиях. Взрослым достаточно местного обезболивания, а детям необходим общий наркоз, поэтому ребенку нельзя принимать пищу за 6 часов до операции.
Сколько длится?
При отсутствии технических сложностей - 15-20 минут.
Процесс операции
Прокол барабанной перепонки проводится в несколько этапов:
- удаление серы из слухового прохода;
- промывание уха раствором антисептика;
- введение анестетика;
- линейный разрез барабанной перепонки стерильной парацентезной иглой;
- обработка антисептиком;
- установка плотного марлевого тампона (турунды) с лекарством.
Послеоперационный период и реабилитация
В послеоперационном периоде слуховой проход несколько раз в день промывают фурацилином или борным спиртом для быстрого снятия воспаления и улучшения состояния пациента. Чтобы вредное содержимое барабанной полости вытекало скорее, рекомендуют ложиться прооперированным ухом вниз, на подушку.
Обычно полное восстановление после операции происходит в течение 4-х недель, но уже примерно через 5 дней после операции отверстие в барабанной перепонке заживает. В течение 3-5 дней после операции из места прокола может выделяться гной, это нормально. Восстановительный период требует соблюдения следующих рекомендаций:
- слуховой проход следует ежедневно очищать;
- если врач прописал ушные капли, нужно закапывать их строго в соответствии с назначением;
- необходимо регулярно менять ватные тампоны в ухе;
- уточнить у врача правила проведения водных процедур.
Возможные осложнения
Срочно позвоните врачу или в скорую, если после операции произошло что-то из нижеперечисленного:
- появились признаки инфекции — лихорадка или озноб;
- ухо покраснело, появился отёк, усилилась боль, пошла кровь или другие выделения;
- если боль не проходит после приёма лекарств, назначенных для этого врачом;
- ухудшился слух;
- появился кашель, одышка, боль в груди, сильная тошнота или рвота.
Прокалывание барабанной перепонки для удаления скопившегося в полости содержимого - рутинная процедура, которая избавляет от острой боли при воспалении среднего уха. Родители часто опасаются таких радикальных методов лечения отита, особенно у совсем маленьких детей. Но многолетняя успешная практика подтвердила высокую эффективность и безопасность миринготомии.
Болезнь Меньера
Болезнь Меньера - это заболевание, связанное с повышением количества жидкости (эндолимфы) во внутреннем ухе.

3.33 (Проголосовало: 12)
- Анатомия внутреннего уха
- С чем связано появление симптомов болезни Меньера
- Причины развития болезни Меньера
- Симптомы
- Диагностика
- Какие еще заболевания могут напоминать болезнь Меньера
- Консервативное лечение
- Хирургическое лечение
Болезнь Меньера - это болезнь, связанная с повышением количества жидкости (эндолимфы) во внутреннем ухе. Впервые комплекс симптомов, описанных в 1861 году французским врачом Проспером Меньером, в дальнейшем получил название болезни Меньера.
Анатомия внутреннего уха
Внутреннее ухо расположено внутри каналов и полостей височной кости, которые называются костным лабиринтом. Внутри костного лабиринта находится повторяющий его контуры и размеры перепончатый лабиринт.
Пространство между перепончатым и костным лабиринтом заполнено жидкостью - перилимфой, которая по своему составу близка к спинномозговой жидкости. Пространство внутри перепончатого лабиринта заполнено эндолимфой, и оно полностью изолировано его стенками.
Выделяют три различные по строению и функциям части внутреннего уха - преддверие, улитка и полукружные каналы. Улитка - орган звуковосприятия. Именно в ней расположены чувствительные волосковые клетки, которые дают начало слуховому нерву. Преддверие и полукружные каналы - орган равновесия.
С чем связано появление симптомов болезни Меньера
Появление симптомов связано с увеличением количества эндолимфы. Эндолимфа, увеличиваясь в объёме, растягивает стенки перепончатого лабиринта. Такое состояние называется эндолимфатический гидропс или водянка лабиринта. Поскольку перепончатый лабиринт имеет множество чувствительных рецепторных зон во всех трех отделах, то их раздражение приводит к появлению симптомов заболевания.
Болезнь Меньера в настоящее время не изучена полностью, поэтому есть несколько теорий, откуда берется избыточное количество эндолимфы:
- проникновение жидкости из плазмы крови через сосудистую стенку капилляров;
- проникновение жидкости из перилимфы через стенку перепончатого лабиринта;
- нарушение механизма продукции и абсорбции (всасывания) эндолимфы;
- накопление в эндолимфе ионов и веществ с большим молекулярным весом, что приводит к увеличению осмотического давления;
- недостаточность объема перилимфы.
Причины развития болезни Меньера
Патофизиология болезни Меньера изучена недостаточно хорошо и в настоящее время нет ни одной теории, которая полностью объясняла бы ее происхождение. Но клинически можно выделить факторы, способствующие развитию болезни или провоцирующие ее приступы. К таким факторам можно отнести: вирусные инфекции, аутоиммунные процессы, психо-эмоциональный стресс, аллергические реакции, травмы, эндокринные заболевания.
Симптомы
Для болезни Меньера характерно появление приступов со следующими симптомами:
Это обязательная триада. При отсутствии одного из симптомов нужна тщательная дифференциальная диагностика, так как и головокружение, и шум в ушах, и снижение слуха встречаются при множестве других заболеваний. В большинстве случаев шум в ушах и снижение слуха одностороннее, то есть патологический процесс происходит только в одном ухе.
Головокружение достаточно интенсивное, проявляется в виде вращения тела или окружающих предметов, такой вид головокружения называется системным. Часто в момент приступа бывает тошнота и рвота. Несистемное головокружение (пошатывание при ходьбе, потемнение в глазах, мелькание «мушек» перед глазами) не характерно для типичной картины болезни Меньера и может быть только в конечной ее стадии.
Также в момент приступа может быть ощущение полноты, распирания, заложенности в пораженном ухе.
Приступов может быть разное количество - от одного раза за несколько месяцев до ежедневных, что определяет тяжесть заболевания.
Клинически выделяют стадии болезни:
- 1 стадия (начальная). Приступы головокружения возникают внезапно или после стресса. Перед приступом могут быть предвестники, например, заложенность в больном ухе. Во время приступа появляется шум в ухе, снижается слух, после завершения приступа слух в течение нескольких дней восстанавливается до нормальных значений. Вне приступов самочувствие хорошее, шума в ушах нет.
- 2 стадия (выраженных клинических проявлений). Приступы головокружения учащаются и усиливаются, сопровождаются тошнотой и рвотой. Шум в ушах присутствует и вне приступов. Слух также стойко снижается. Могут быть постоянные давящие головные боли, ощущение заложенности, распирания в больном ухе.
- 3 стадия (конечная). В этой стадии при обследовании не выявляется типичных признаков водянки лабиринта. Происходит необратимая гибель рецепторных клеток как слухового, так и вестибулярного отдела внутреннего уха. Поэтому приступы головокружения ослабевают - становятся более редкими и менее выраженными, несистемного характера - шаткость походки, покачивание при ходьбе. Слух на больном ухе снижен значительно и стойко.
Рутинный осмотр наружного уха и барабанной перепонки не выявляет каких-либо изменений. Для установления диагноза болезни Меньера необходимо комплексное обследование внутреннего уха. Для этого проводят пробы с камертонами, исследование порогов слуха с помощью снятия аудиограммы, вестибулярные пробы, рентгенологическое исследование височных костей, КТ и МРТ головы, ультразвуковая доплерография магистральных сосудов головы и шеи. Необходимы консультации невролога, отоневролога, отохирурга, окулиста, терапевта, эндокринолога.
Но, как уже было сказано, на начальной стадии заболевания вне приступа все показатели могут быть в пределах нормы, а клинические симптомы напоминают таковые при других заболеваниях. Для установления точного диагноза необходимо выявить и подтвердить водянку лабиринта. В настоящее время существует два достоверных способа диагностики гидропса лабиринта - это электрокохлеография и дегидратационные пробы.
Методика дегидратационных проб. Первоначально проводят исследование слуха - аудиограмму. Затем пациент принимает внутрь раствор глицерола с лимонным соком. Количество глицерола высчитывается, исходя из массы тела пациента. Затем вновь снимают аудиограмму через 1, 2, 3, 24 и 48 часов после приема раствора. Пробу считают положительной, если через 2-3 часа слух улучшается на 5 дБ по всему диапазону частот или на 10 дБ на трех из исследуемых частот, и улучшается разборчивость речи не менее, чем на 12% от исходного. Проба считается отрицательной, если через 2-3 часа слух снижается и ухудшается разборчивость речи. Другие варианты расцениваются как сомнительные.
Методика электрокохлеографии. Электрокохлеография - это регистрация электрической активности улитки и слухового нерва после звукового раздражителя. В исследуемое ухо подается звук типа щелчков с заданным интервалом, датчик аппарата усиливает амплитуду электрического сигнала, возникающего в волосковых звуковоспринимающих клетках улитки, в результате появляется график, напоминающий ЭКГ. Водянка лабиринта имеет определенные признаки на этом графике.
Какие еще заболевания могут напоминать болезнь Меньера
Шум в ушах, головокружение и снижение слуха не являются исключительными симптомами болезни Меньера, поэтому необходимо именно комплексное обследование пациента с использованием вышеперечисленных методик для исключения других патологий с похожими проявлениями: острое нарушение мозгового кровообращения, вертебро-базиллярная недостаточность, доброкачественное пароксизмальное позиционное головокружение, опухоли головного мозга, травмы черепа, фистула лабиринта, воспаление вестибулярного нерва, рассеянный склероз, гнойные осложнения острого или хронического среднего отита, психогенное головокружение.
Консервативное лечение
Медикаментозное лечение болезни Меньера проводится как для купирования приступов, так и для их предупреждения. В момент приступа для облегчения головокружения применяют раствор атропина или платифиллина внутримышечно, вестибулярные блокаторы центрального действия и седативные средства. В межприступный период назначают мочегонные препараты, препараты, улучшающие микроциркуляцию внутреннего уха, бетагистин.
Хирургическое лечение
Существует методика дренирования эндолимфатического мешка, то есть создание искусственного оттока эндолимфы для уменьшения давления во внутреннем ухе.
При высокой степени тугоухости, выраженной в тяжелых приступах головокружения и неэффективности других видов лечения, проводят хирургическое разрушение лабиринта - лабиринтотомию. В результате такой операции утрачивается слух на оперированном ухе, но прекращаются приступы головокружения.
Своевременное обращение к врачу поможет сохранить Ваше здоровье.
Не откладывайте лечение, звоните прямо сейчас. Мы работаем круглосуточно в Москве.
Читайте также:
