Хирургическая анатомия заднелатерального доступа к шейно-грудному переходу позвоночника
Добавил пользователь Евгений Кузнецов Обновлено: 01.11.2025
1 ФГБУ «Новосибирский научно-исследовательский институт травматологии и ортопедии им. Я.Л. Цивьяна» Минздрава России
2 ФГБОУ ВО «Новосибирский государственный медицинский университет» Министерства здравоохранения Российской Федерации
3 ФГБОУ ВО «Красноярский государственный медицинский университет имени профессора В.Ф. Войно-Ясенецкого» Министерства здравоохранения Российской Федерации
В статье рассматриваются варианты стеноза на разных уровнях позвоночного канала, а также их сочетание в виде тандем-стеноза. Подчеркивается, что заподозрить тандем-стеноз бывает непросто, поскольку он может протекать без выраженных клинических симптомов на одном из вовлеченных уровней. Тандем-стеноз шейного и поясничного отделов встречается в 5-25% случаев. Лишь в 1% случаев отмечены сочетания стенозов поясничного и грудного отделов позвоночника, а также шейного и грудного отделов. Стеноз позвоночного канала сразу на шейном, грудном и поясничном уровне встречается исключительно редко. Цель исследования: представить опыт трехэтапного хирургического лечения при очень редком варианте тандем-стеноза шейного, грудного и поясничного отделов позвоночника. Кроме исключительной редкости представленного клинического случая трехуровневого тандем-стеноза, представляет интерес логика этапности проведенного хирургического лечения. Очередность оперативных вмешательств на каждом из отделов позвоночника соответствовала степени выраженности клинической симптоматики. Хорошие краткосрочные и среднесрочные результаты полностью подтвердили целесообразность выбранной тактики хирургического лечения.

1. McKillop A.B., Carroll L.J., Battie M.C. Depression as a prognostic factor of lumbar spinal stenosis: a systematic review // Spine J 2014; 14: 837-846. DOI: 10.1016/j.spinee.2013.09.052.
2. Прогнозирование результатов хирургического лечения приобретенного стеноза позвоночного канала на уровне поясничного отдела / Басков А.В. [и др.] // Вопросы нейрохирургии им. Н.Н. Бурденко. - 2003. - № 2. - С. 20-26.
3. Bajwa N.S., Toy J.O., Ahn N.U. Is congenital bony stenosis of the cervical spine associated with congenital bony stenosis of the thoracic spine? An anatomic study of 1072 human cadaveric specimens // J Spinal Disord Tech. 2013; 26: E1-E5. DOI: 10.1097/BSD.0b013e3182694320.
4. Современные аспекты диагностики и лечения грыж межпозвонкового диска поясничного отдела позвоночника / Батышева Т.Т. [и др.] // Лечащий врач. - 2006. - № 6. - С. 31-38.
5. Верещагин Н.В. Патология вертебрально-базилярной системы и нарушения мозгового кровообращения. - М., 1980. - 311 с.
6. Tsuyama N. Ossification of the posterior longitudinal ligament of the spine // Clin Orthop Relat Res. 1984; (184): 71-84.
8. Matsumoto M., Okada E., Toyama Y. et al. Tandem age-related lumbar and cervical intervertebral disc changes in asymptomatic subjects // Eur. Spine J. 2013; 22: 708-713. DOI: 10.1007/s00586-012-2500-z.
9. Moo I.H., Tan S.W., Kasat N., Thng L.K. A case report of 3-level degenerative spondylolisthesis with spinal canal stenosis // Int J Surg Rep. 2015; 8C: 120-123. DOI: 10.1016/j.ijscr.2014.10.018.
10. Freedman B.A., Hoffler C.E. 2nd, Cameron B.M. et al. A comparison of computed tomography measures for diagnosing cervical spinal stenosis associated with myelopathy: a case-control study // Asian Spine J. 2015; 9: 22-29. DOI: 10.4184/asj.2015.9.1.22.
11. Hong C.C., Liu K.P. A rare case of multiregional spinal stenosis: clinical description, surgical complication, and management concept review // Global Spine J. 2015; 5: 49-54. DOI: 10.1055/s-0034-1378139.
12. Lee M.J., Garcia R., Cassinelli E.H. et al. Tandem stenosis: a cadaveric study in osseous morphology // Spine J. 2008; 8: 1003-1006. DOI: 10.1016/j.spinee.2007.12.005.
14. Kojima M., Seichi A., Inoue H. Lumbar spinous process-splitting laminectomy versus conventional laminectomy for lumbar spinal stenosis: a prospective one-year followup study // J Spine Res. 2013; 4: 1393-1398.
Основная опасность такой патологии, как стеноз позвоночного канала, заключается в сдавлении сосудисто-нервных образований, которое приводит к развитию неврологических расстройств. Степень тяжести стеноза определяется выраженностью этих расстройств: от непостоянных, преходящих и умеренных до выраженных и тяжелых, когда нарушена проводимость спинного мозга [1]. Область поражения может ограничиваться одним позвоночно-двигательным сегментом (ПДС), включающим два смежных позвонка, межпозвонковый диск, дугоотростчатые суставы и связки, или включать в себя два позвоночно-двигательных сегмента и более 2.
В ходе многочисленных исследований доказана тесная взаимосвязь между компрессией спинного мозга и деформацией позвоночного канала. При этом важную роль может сыграть величина деформации любой из структур ПДС. Так, уменьшение высоты межпозвоночного диска на 1 мм обусловливает уменьшение размеров межпозвонкового отверстия на 25-30%, а на 3 мм - вызывает уменьшение площади межпозвонкового отверстия до 50% [5]. Показано также, что к уменьшению сагиттального размера позвоночного канала на 3-7 мм приводит увеличение толщины задней продольной связки на 2-5 мм [6]. При интенсивном течении дегенеративного процесса уменьшение размеров, а значит и площади межпозвонкового отверстия, приводит к развитию патологий и неврологических проявлений, характерных для определенного уровня позвоночного канала. На шейном уровне стеноз позвоночного канала приводит к развитию синдрома шейной миелопатии.
На поясничном уровне вследствие стеноза возникают нарушения кровообращения и ликвороциркуляции. Кроме того, как результат механического воздействия, манифестирует корешковая симптоматика. Клинически это проявляется вертеброгенными симптомами разной степени специфичности. Наиболее характерным при стенозе позвоночного канала на поясничном уровне является синдром нейрогенной перемежающейся хромоты (claudicatio intermittens).
Тандемный стеноз позвоночного канала (сочетанный, одновременный, комбинированный, параллельный, тандем-стеноз) представляет собой сочетание стеноза на шейном и поясничном уровнях. Как правило, причиной тандем-стеноза становится процесс спондилолитической дегенерации. Её клинические симптомы представлены следующей триадой: нейрогенной перемежающейся хромотой, прогрессивным нарушением походки, миелопатией и полирадикулопатией [7]. Тандем-стеноз на шейном и поясничном уровнях отмечен в 5-25% случаев у пациентов с доминированием клинической симптоматики компрессии в одном из этих отделов позвоночника. Распространенность тандем-стенозов на поясничном и грудном уровне позвоночника, а также на шейном и грудном уровне составляет около 1% случаев [8]. Стеноз позвоночного канала сразу на шейном, грудном и поясничном уровне встречается исключительно редко [9; 10].
Следует подчеркнуть, что заподозрить тандем-стеноз бывает непросто как раз потому, что он может протекать без выраженных клинических симптомов на одном из вовлеченных уровней [11]. При определении стеноза позвоночного канала в одном из отделов позвоночника, вероятность возникновения тандем-стеноза возрастает на 15,3%, а с течением времени на 32,4% [12].
Клинический диагноз при стенозе позвоночного канала подтверждается данными рентгенологических и электрофизиологических исследований. Обследование пациентов рекомендуется проводить, придерживаясь следующей схемы: неврологический осмотр, спондилография в двух проекциях, функциональная спондилография, спондилография в 3/4 проекции, МРТ, МРТ-миелография, КТ, электронейромиография. Данный алгоритм позволяет анализировать полученные диагностические данные комплексно, с детализацией клинико-морфологических и физиологических особенностей в каждом конкретном случае. Эта совокупность данных определяет выбор наиболее адекватного метода лечения [7; 13].
Хирургический метод лечения пациентов со стенозами различных отделов позвоночного канала является основным. При этом тактика оперативного вмешательства определяется персонифицированно, как сказано выше, на основе анализа данных комплексного обследования. Сложность выбора хирургической тактики при лечении пациентов с тандем-стенозами заключаются в том, что при стенозе позвоночного канала на шейном уровне, даже при наличии инструментальных данных о сдавлении сосудисто-нервных образований в поясничном отделе, неврологическая симптоматика в нижних конечностях может быть связана именно со сдавлением спинного мозга в шейном отделе [7].
Основными показаниями к хирургическому лечению при стенозе позвоночного канала являются: выраженный болевой синдром, не купирующийся консервативными методами, прогрессирующий синдром нейрогенной перемежающейся хромоты, нарушения функции тазовых органов (ФТО) [7; 14].
Цель исследования: представить опыт трехэтапного хирургического лечения при крайне редком варианте тандем-стеноза одновременно на трех уровнях позвоночного канала: шейном, грудном и поясничном.
Материал и методы
Клинический случай. Больной Т., 52 лет, поступил в Новосибирский НИИТО им. Я.Л. Цивьяна 09.11.2015 г. с жалобами на постоянные боли в поясничном отделе позвоночника, в ягодичной области слева, по задней и наружной поверхности обоих бедер, онемение по наружной и задней поверхности обеих голеней, по тылу, наружной поверхности левой стопы, на слабость левой ноги. Со слов пациента, считал себя больным с 2011 года, когда впервые появились боли в поясничном отделе позвоночника, слабость в ногах при ходьбе. Заболевание постепенно прогрессировало. С января 2014 года была утрачена возможность движения левой стопы, появилась спастика в ногах. С октября 2015 года появилась легкая задержка мочеиспускания. Консервативная терапия эффекта не дала. Пациент был консультирован нейроортопедом НИИТО, было рекомендовано оперативное лечение.
Травматолого-ортопедический статус: сглажен поясничный лордоз, паравертебральные мышцы напряжены, пациент отмечает болезненность при пальпации в поясничном отделе позвоночника.
Неврологический статус: снижена сила всех мышечных групп нижних конечностей до 3 баллов проксимально, слева дистально 0 баллов, сила в руках 5 баллов. Мышечный тонус повышен по пирамидному типу в ногах. СХР с верхних конечностей D=S низкие, с нижних конечностей коленные D=S оживлены, ахилловы S
Пациенту был поставлен диагноз: распространенный остеохондроз грудного и поясничного отделов позвоночника. Дегенеративный стеноз позвоночного канала на уровне Th12-L1, L1-L2, L4-L5, L5-S1. Вертеброгенная компрессионно-ишемическая миелопатия на нижнегрудном уровне. Нижний комбинированный парапарез, более выраженный слева до дистальной моноплегии. Синдром люмбалгии. Синдром нейрогенной перемежающейся хромоты.
В связи с выраженным болевым синдромом, неврологическим дефицитом, обусловленными дегенеративным стенозом поясничного отдела позвоночника, неэффективностью консервативной терапии было принято решение о хирургическом лечении на поясничном отделе позвоночника. Согласие пациента на оперативное лечение было получено.
Выполнена операция: декомпрессивная ламинэктомия L4 позвонка, гемиламинэктомия L5 слева, тотальная фасетэктомия L4-L5 с двух сторон, L5-S1 слева, микрохирургическая декомпрессия корешков спинного мозга, транспедикулярная фиксация L4-L5, L5-S1 системой Legasy, задний межтеловой спондилодез L4-L5, L5-S1 имплантатами Fidji.
Послеоперационный период протекал без осложнений. Корешковая симптоматика была купирована. Сохранялась спастика в ногах, проводниковые нарушения чувствительности, обусловленные дегенеративным стенозом позвоночного канала на уровне Th12-L1. В рекомендациях: контрольный осмотр нейроортопеда НИИТО через 3 месяца для принятия решения об оперативном лечении по поводу дегенеративного стеноза на грудном уровне.
Повторно пациент Т. поступил в НИИТО 13.04.2016 г. для проведения второго этапа оперативного лечения - на грудном отделе позвоночника.
Жалобы при поступлении: на боли в грудном отделе позвоночника, боли в левой ноге по наружной поверхности бедра и голени, слабость в ногах, особенно в левой.
Травматолого-ортопедический статус: сглажен поясничный лордоз, симметричное напряжение паравертебральных мышц. Пациент отмечает болезненность при пальпации межостистых промежутков и паравертебральных точек в нижнепоясничном отделе позвоночника.
Неврологический статус: объем движений в конечностях полный, нижний парапарез проксимально 3 балла, дистально парез разгибателей стопы 1 балл слева, мышечный тонус повышен по пирамидному типу в ногах. СХР с верхних конечностей D=S, с нижних конечностей коленные D=S оживлены, клонусы коленных чашечек, стоп, ахилловы, подошвенный отсутствуют с двух сторон. Патологических и менингиальных знаков нет. ФТО нарушена по центральному типу. Нарушения чувствительности по проводниковому типу с уровня Th10, снижение глубокой чувствительности в стопах. Координаторные пробы выполняет нечетко. В позе Ромберга неустойчив, сенситивная атаксия. Патологический симптом Бабинского справа.
Диагноз клинический: распространенный остеохондроз грудного и поясничного отделов позвоночника. Дегенеративный стеноз позвоночного канала на уровне Th11-12. Формирующийся артифициальный костно-металлический блок на уровне L4-L5, L5-S1 после транспедикулярной фиксации и заднего межтелового спондилодеза. Вертеброгенная компрессионно-ишемическая миелопатия на нижнегрудном уровне. Нижний комбинированный парапарез, более выраженный слева до дистальной моноплегии. Синдром люмбалгии. Синдром нейрогенной перемежающейся хромоты.
В связи с выраженным болевым синдромом, неврологическим дефицитом, обусловленными спинальным стенозом, неэффективностью консервативной терапии было принято решение о проведении хирургического лечения.
Выполнена операция: ламинэктомия Th11, микрохирургическая декомпрессия спинного мозга, транспедикулярная фиксация на уровне Th10-L1 системой ИНСТИНКТ.
Послеоперационный период протекал без осложнений. Корешковая симптоматика купирована.
Статус при выписке: неврологическая симптоматика регрессирует, нижний парапарез проксимально 3 балла, дистально парез разгибателей стопы 2 балла слева, мышечный тонус повышен по пирамидному типу в ногах. Выписан на амбулаторное лечение у невролога по месту жительства.
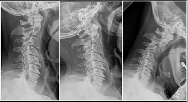
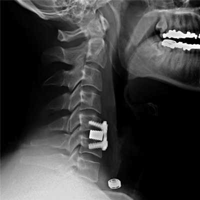
Третье поступление пациента Т. в НИИТО состоялось в августе 2017 г. Жалобы при поступлении: на боли в шейном отделе позвоночника, по наружной поверхности правой руки до 2-3 пальцев, слабость рук, больше слева. Консервативное лечение оказалось неэффективным.
Травматолого-ортопедический статус: сглажен шейный лордоз, симметричное напряжение паравертебральных мышц. Пациент отмечал болезненность при пальпации межостистых промежутков и паравертебральных точек в шейном отделе позвоночника.
Данные обследований (в интерпретации):
МРТ шейного отдела позвоночника: множественные дегенеративные изменения межпозвонковых дисков шейного отдела позвоночника. Дегенеративный стеноз позвоночного канала на уровне С4-С5, С5-С6, С6-С7. Левосторонняя префораминальная протрузия диска С5-С6. Правосторонняя парамедианная протрузия диска С6-С7. Спондилоартроз 2 степени. Фораминальный стеноз С3-С4 С6-С7 с двух сторон, С4-С5 С5-С6 слева.
Пациенту был поставлен диагноз: распространенный остеохондроз шейного, грудного и поясничного отделов позвоночника. Дегенеративный стеноз позвоночного канала на уровне С6-С7 справа. Формирующийся артифициальный костно-металлический блок на уровне Th10-L1 после транспедикулярной фиксации. Формирующийся артифициальный костно-металлический блок на уровне L4-L5, L5-S1 после транспедикулярной фиксации и заднего межтелового спондилодеза. Компрессионно-ишемическая радикулопатия С7 справа. Выраженный болевой синдром.
Была проведена операция: тотальная дискэктомия С5-С6, С6-С7, микрохирургическая декомпрессия спинного мозга и его корешков, вентральный межтеловой спондилодез имплантатом из пористого никелида титана.
Послеоперационный период протекал без осложнений. Корешковая симптоматика купирована. Пациент был выписан на амбулаторное лечение у невролога по месту жительства.
Кроме исключительной редкости представленного в данном клиническом случае примера трехуровневого тандем-стеноза, представляет интерес логика этапности проведенного хирургического лечения. Очередность хирургических вмешательств на каждом из отделов позвоночника соответствовала степени выраженности клинической симптоматики.
В связи с присутствием наиболее яркой клинической симптоматики, в первую очередь была проведена декомпрессивно-стабилизирующая операция на уровне поясничного отдела позвоночника. После проведенного хирургического вмешательства был отмечен регресс неврологической симптоматики в виде нарастания силы в левой нижней конечности.
Далее, в связи с сохраняющейся компрессией спинного мозга и наличием клинически значимой миелопатии на уровне конуса спинного мозга, вторым этапом была выполнена операция на грудном отделе позвоночника. Это вмешательство привело к регрессу неврологического дефицита.
Третьим этапом лечения стало оперативное вмешательство на уровне шейного отдела позвоночника - пациенту была успешно выполнена декомпрессивно-стабилизирующая операция по поводу компрессии корешков спинного мозга. В результате была полностью купирована корешковая симптоматика на этом уровне позвоночного канала.
В итоге пациент был выписан в удовлетворительном состоянии под наблюдение невролога по месту жительства.
Данный случай интересен не только своей сложностью, в силу крайне редкой встречаемости трехуровневого тандем-стеноза, но и логикой этапности хирургического лечения: чем более выраженной была клиническая симптоматика на определенном уровне, тем раньше выполнялось хирургическое лечение.
Вывод. Описанный пример хирургического лечения при трехуровневом тандем-стенозе позволяет продемонстрировать логику принятия решения об этапности хирургических вмешательств и показывает хорошие краткосрочные и среднесрочные результаты у пациента с этой крайне редкой патологией позвоночника, перенесшего трехэтапное хирургическое лечение. Дальнейшее наблюдение за пациентом необходимо для изучения отдаленных результатов.
Хирургическая анатомия заднелатерального доступа к шейно-грудному переходу позвоночника
отдел нейрохирургии и ортопедии Научного центра реконструктивной и восстановительной хирургии Сибирского отделения РАМН;
НУЗ Дорожная клиническая больница ОАО "РЖД", Иркутск
Научный центр реконструктивной и восстановительной хирургии Сибирского отделения РАМН, Иркутск;
ГБОУ ДПО "Иркутская государственная медицинская академия последипломного образования"
НУЗ Дорожная клиническая больница ОАО "РЖД", Иркутск
Кафедра госпитальной хирургии с курсом нейрохирургии Иркутского государственного университета
отдел нейрохирургии и ортопедии Научного центра реконструктивной и восстановительной хирургии Сибирского отделения РАМН
Хирургическое лечение дегенеративного стеноза на двух уровнях в грудном отделе позвоночника
Журнал: Хирургия. Журнал им. Н.И. Пирогова. 2015;(7): 93‑96
Среди дегенеративных заболеваний позвоночника поражение его грудного отдела встречается наиболее редко. Грыжи грудных межпозвонковых дисков (ГГМД) составляют менее 1% всех грыж позвоночного столба [5, 6]. Частота симптоматической ГГМД составляет 1:1 000 000 населения [7]. ГГМД встречается чаще у мужчин (3:1), пик заболеваемости приходится на возраст от 40 до 50 лет [4, 15]. 75% верифицированных ГГМД локализуются в нижних сегментах грудного отдела позвоночника [15]. Множественные симптоматические ГГМД встречаются крайне редко и могут вызывать тяжелые неврологические расстройства. С учетом анатомического строения грудного отдела позвоночника при ГГМД требуется проведение технически сложного оперативного лечения [14, 16]. В мировой литературе описано около 100 больных с верифицированными множественными ГГМД, оперированных различными способами [5, 6, 9].
Приводим собственное наблюдение.
Больной Г. направлен неврологом в нейрохирургическое отделение Дорожной клинической больницы на станции Иркутск-Пассажирский для проведения диагностических мероприятий и определения тактики лечения. При поступлении предъявляет жалобы на выраженные боли в грудном и умеренные боли в поясничном отделе позвоночника, иррадиирующие в нижние конечности, слабость и чувство онемения в нижних конечностях, невозможность передвигаться самостоятельно, а также частое, иногда затрудненное мочеиспускание. Боли в области нижнегрудного отдела позвоночника беспокоят в течение 3 лет. Не лечился, так как боли возникали периодически. Полгода назад появилась слабость в ногах при статистических и динамических нагрузках, боли усиливались. В покое слабость и боли проходили (синдром нейрогенной перемежающейся хромоты). Боли стали постоянными 3 мес назад, слабость в ногах прогрессировала, не позволяя ходить самостоятельно.
Больной обследован. При спондилографии грудного отдела позвоночника выявлен остеохондроз Th III —Th IV , II период, Th VIII —Th XII III период; данные MPT грудного отдела позвоночника: грыжи межпозвонковых дисков Th III —Th IV , Th IX —Th X , Th X —Th XI (рис. 1). При электронейромиографии нижних конечностей обнаружены выраженные изменения по аксональному типу в левом и правом малоберцовом нервах.

Рис. 1. Магнитно-резонансные томограммы грудного отдела позвоночника (Т1 режим): в аксиальной (а, б) и сагиттальной (в) плоскостях до операции.
Неврологический статус при поступлении: положение в постели лежа, анталгическое. Самостоятельно не передвигается вследствие нижнего спастического парапареза. Перкуссия остистых отростков грудного отдела позвоночника резко болезненна с уровня Th VII до верхнепоясничного отдела позвоночника. Коленные рефлексы справа и слева высокие, ахилловы справа и слева высокие. Вальгусная деформация обеих стоп. Клонус нижних конечностей. Симптом Бабинского положительный с обеих сторон. Рефлекс Бехтерева—Менделя положительный с обеих сторон. Мышечный тонус в руках нормальный, в ногах повышен по центральному типу. Сила в руках 5 баллов, в ногах снижена до 2 баллов с обеих сторон. Нарушения чувствительности в виде гипестезии от дерматома D и ниже. Тазовые нарушения по типу парадоксальной ишурии. Уровень болевого синдрома по визуальной аналоговой шкале 92 балла, по шкале Nurick 4 балла [1].
Локально: трофические нарушения (пролежни) в пяточной области с обеих сторон. Диагноз: остеохондроз грудного отдела позвоночника. Грыжи межпозвонковых дисков Th IX —Th X , Th X —Th XI со стенозированием позвоночного канала и сдавлением спинного мозга. Компрессионная миелопатия. Нижний спастический парапарез. Тазовые расстройства по типу парадоксальной ишурии. Трофические нарушения в виде пролежней в пяточных областях с обеих сторон.
Выполнена операция. В положении больного на правом боку под внутривенной анестезией с ИВЛ осуществлена типичная торакотомия по седьмому межреберью, переднебоковой доступ к телам позвонков Th IX —Th XI . Верификация уровня поражения С-дугой совместно с врачом-рентгенологом. Дискэктомия Th IX —Th X , Th X —Th XI с целью определения границ резекции тела позвонка и его мобилизации. С использованием кусачек и высокоскоростной дрели тело позвонка Th X фрагментировано, осуществлена микрохирургическая интраканальная декомпрессия спинного мозга на 270° в виде резекции костно-хрящевых узлов и оссифицированной задней продольной связки с устранением дискомедуллярного конфликта. При ревизии выявлено плотное сращение твердой мозговой оболочки с гипертрофированной оссифицированной задней продольной связкой и грыжами, а также выраженное увеличение эпидуральных вен. При микрохирургической декомпрессии отмечено обильное эпидуральное кровотечение, остановленное с использованием биполярной коагуляции, аппликации Surgicel fibrilar, пластины Тахокомб. Появилась отчетливая пульсация твердой мозговой оболочки. После рентгенологического контроля подобран размер протеза тела Th X . В последний интегрированы концевые пластины с углами наклона 5° краниально и 0° каудально (диаметр 24 мм) с целью восстановления угла наклона и предупреждения развития кифотической деформации грудного отдела позвоночника. С использованием фирменного инструментария выполнено эндопротезирование тела Th x дистракционным имплантатом Obelisc («Ulrich», Германия). Скелетированы боковые поверхности тел позвонков Тh IX и Тh XI , осуществлен корпородез пластиной Z-plate (75 мм; «Конкомет», Россия). Пластина фиксирована четырьмя блокирующимися винтами длиной 50 мм. На контрольных рентгенограммах стояние протеза, пластины, винтов правильное. Гемостаз. Плевральная полость герметизирована с оставлением активного дренажа. Рана послойно ушита.
После операции больному проводили антибактериальную, сосудистую, симптоматическую и витаминотерапию. В течение 2 нед болевой синдром в значительной степени регрессировал, постепенно увеличились сила и объем движений в нижних конечностях, частично восстановилась чувствительность, пролежни зажили в раннем постоперационном периоде. Больной активен, самостоятельно без посторонней поддержки встает и передвигается с ходунками, через 2 нед — без поддержки. При выписке в неврологическом статусе отмечена положительная динамика: коленные рефлексы справа и слева живые, ахилловы справа и слева живые. Отсутствие клонуса нижних конечностей. Симптомы Бабинского и Бехтерева—Менделя отрицательные с обеих сторон. Мышечный тонус в руках и ногах нормальный. Сила в руках 5 баллов, в ногах до 4 баллов с обеих сторон. Частичные нарушения чувствительности с уровня L4 с обеих сторон. Тазовые нарушения отсутствуют. Менингеальных симптомов нет. В послеоперационном периоде оценка по визуальной аналоговой шкале боли составила 30 баллов, по шкале Nurick — 3 балла, по шкале Макнаб — 3 балла [1].
Проведена МРТ (рис. 2): компрессия спинного мозга устранена. Больной переведен в неврологическое отделение для восстановительного лечения.

Рис. 2. Магнитно-резонансные томограммы грудного отдела позвоночника (Т1 режим): в аксиальной (а, б) и сагиттальной (в) плоскостях через 2 нед после операции.
Универсального хирургического доступа при множественных ГГМД нет, выбор доступа зависит от ряда факторов. Taк, C. Dickman и соавт. [11] сообщили о 15 повторно оперированных больных, которым ранее осуществлялись операции по поводу грыж грудных дисков. У 11 из них использованы заднебоковые доступы, у 1 — торакотомия, у 3 — торакоскопия. У 13 больных имелись центральные оссифицированные, у 2 — мягкотканные грыжи. У 12 пациентов грыжи были экстрадуральные, у 3 — интрадуральные. Повторная операция потребовалась вследствие неправильного определения уровня грыжи межпозвонкового диска, интраоперационного повреждения спинного мозга, неадекватной визуализации грыжи межпозвонкового диска, дислокации фрагмента диска в позвоночном канале или перидурально. Средний интервал между первой и повторной операцией составил 150 дней (от 1 дня до 4 лет). Эти данные позволяют судить о наиболее распространенных трудностях и ошибках при хирургическом лечении больных с ГГМД.
Описано несколько основных оперативных доступов при ГГМД. В настоящее время применяют задний (ламинэктомия), заднебоковой (костотрансверзэктомия, трансверзоартропедикулэктомия, транспедикулэктомия), боковой (боковая рахотомия, боковой доступ, боковой экстраплевральный), переднебоковой (трансторакальный трансплевральный) доступы [2].
Выбор оперативного доступа зависит от расположения грыжи (медиальная, парамедиальная, латеральная), степени компрессии спинного мозга, консистенции грыжи (оссифицированная, мягкотканная), гипертрофии задней продольной связки. Из перечисленных доступов трансторакальный дает возможность проведения максимально широкой передней декомпрессии без необходимости ретракции корешка или дурального мешка, тем самым обеспечивая безопасность в отношении содержимого позвоночного канала. Технические сложности такого доступа связаны с проведением широкого и травматичного торакального доступа, остеолигаментарной резекции для декомпрессии спинного мозга на нескольких сегментах, применением трансплантатов и имплантатов для последующего спондилодеза [8, 9, 11].
Таким образом, хирургическое лечение больных с грыжами грудного отдела позвоночника в настоящее время является технически трудным и зачастую осложняется усугублением неврологической симптоматики. Применение тщательного дооперационного обследования с уточнением расположения и консистенции грыжи межпозвонкового диска, выбор адекватных хирургических доступов, использование микрохирургических методик дают возможность улучшить результаты оперативных вмешательств у таких больных. В приведенном клиническом наблюдении использование микрохирургической техники позволило провести адекватную интраканальную декомпрессию и полностью резецировать грыжи межпозвонковых дисков и оссифицированную заднюю продольную связку с устранением диско-медуллярного конфликта, что обеспечило хороший клинический эффект, а адекватная стабилизация — возможность ранней активизации больного после вмешательства.
Работа выполнена при поддержке гранта Президента Российской Федерации СП-156.2013.4.
Операция на шейном отделе позвоночника: опасность, показания, хирургические техники, отзывы
Шейный (цервикальный) отдел - самая подвижная часть позвоночной системы, имеющая изначально узкий позвоночный канал и богатую нервно-сосудистую сеть. Его позвонки отличаются мелкими размерами и специфичным строением, при этом мышечный каркас, который осуществляет поддержку и работоспособность шейных элементов позвоночника, анатомически недостаточно сильный и выносливый. Все это объясняет широкую распространенность возникновения именно в этой хребтовой зоне различного рода дегенераций и травматических повреждений, характеризующихся яркой неврологической симптоматикой.

Строение шейного отдела позвоночника.
Однако большую тревогу вызывает тот факт, что шейные патологии часто сопровождают очень серьезные последствия, среди которых парез и паралич конечностей (особенно рук). Кроме того, запущенные формы болезней могут провоцировать тяжелую дыхательную недостаточность, стремительное ухудшение зрения и слуха, острое нарушение кровообращения в тканях головного мозга и пр. Поэтому лечение цервикальной зоны позвоночного столба предельно важно начинать как можно раньше, как только человек почувствовал первый дискомфорт в соответствующей области.
В противном случае заболевание примет агрессивный характер, что приведет к сильному сужению спинального канала, защемлению нервных корешков и/или пережиму артерий, возможно, к поражению спинного мозга со всеми вытекающими последствиями. Тяжелые состояния лечатся исключительно хирургическим путем.

Ущемление позвоночного канала вледствие выпячивания диска.
Вид оперативного вмешательства подбирается с учетом показаний. Отказываться от операции, если вам она рекомендована, нельзя. Вовремя неразрешенная проблема посредством хирургии грозит инвалидностью, причем иногда необратимой. Многие думают, что вторжение в позвоночник очень опасно, однако помните, что намного опаснее бояться операцию, в связи с чем откладывать ее на потом. Загляните в интернет, там выложено много видео, которые содержательно и наглядно показывают, как выполняется та или иная операция. Вы убедитесь, современная спинальная хирургия шагнула далеко вперед. Действующие сегодня уникальные методики, что подтверждают отзывы пациентов и клинические данные наблюдений, отличаются:
- высокой эффективностью (от 90% и выше);
- минимальной степенью травматизации анатомических структур;
- максимальной сохранностью нормальных функциональных возможностей оперируемого участка;
- незначительной вероятностью интра- или послеоперационных осложнений (в среднем до 5%);
- коротким сроком госпитализации (срок, когда выписывают из стационара, в большинстве случаев наступает в периоде между 3-10 сутками);
- относительно терпимым в плане болевых ощущений и не сильно продолжительным послеоперационным восстановлением (2-3 месяца).
Виды операций на шейном отделе позвоночника
Забегая немного вперед, отметим, что после любого типа операции необходимо провести восстановление, при этом очень качественно и полноценно. От вашей послеоперационной реабилитации, где особое место занимает лечебная гимнастика, будет зависеть окончательный результат хирургического лечения. Примите к сведению следующую информацию: отзывы квалифицированных специалистов дают вразумительно понять, что результаты даже самой успешной операции будут аннулированы, если после нее не последует грамотная и своевременная реабилитация.
Среди существующих хирургических методик, используемых с целью восстановления функциональности шейного отдела, наибольшее распространение обрели декомпрессионные тактики. Их применяют при компрессионном синдроме, то есть когда патологический дефект, возникший в пределах С1-С7 позвонков, производит давление на нервные корешки, артерии, спинной мозг и прочие структуры в соответствующей зоне. С целью декомпрессии довольно часто задействуются следующие методики:
- - иссечение межпозвоночной грыжи с неполным или тотальным удалением межпозвоночного диска, выполняется под контролем микроскопа; - частичная или полная резекция дужки позвонка, остистых отростков, фасеточных суставов, связок; - методика с использованием эндоскопа, реализуемая через миниатюрный доступ, назначается часто при грыжах, многих дегенеративно-дистрофических изменениях, опухолях; - «выпаривание» при помощи лазерного световода небольшого фрагмента ткани пульпозного ядра для втяжения образовавшейся протрузии диска (доступ осуществляется через пункционный прокол).
На шейных уровнях применяются и стабилизирующие тактики оперативных вмешательств, каждая из которых, кстати, может идти совместно и с другими видами операций. Наиболее популярные из стабилизирующих методов:
- - неподвижное соединение (сращивание) двух или более позвонков при их нестабильности;

Импланты шейного отдела позвоночника на рентгене.
Реабилитация и восстановление после операции
Оперативное вмешательство на шее - это средство устранить главный повреждающий фактор (грыжу, остеофиты, опухоль и пр.). Полностью привести в порядок все двигательно-опорные возможности, функции ЦНС и отдельных органов, что пострадали во время болезни, а также ускорить регенерацию тканей после операционной травмы, поможет вам уже сугубо комплексная реабилитационная терапия. Очередная роль правильно организованного восстановительного процесса после манипуляций на шейном отделе - предупредить развитие всех возможных осложнений (мышечной атрофии, рубцов и спаек, инфекций и пр.), в том числе рецидивов основной болезни и появление новых дегенераций на других уровнях.
В среднем на полное восстановление уходит от 2 до 3 месяцев после произведенного сеанса хирургии. Длительность периода реабилитации зависит от тяжести клинического случая, примененного вида и масштабов вмешательства, индивидуальных особенностей организма больного, наличия/отсутствия осложнений. Поэтому в особых ситуациях реабилитацию требуется продлить и до полугода. После любой процедуры показана на определенный срок иммобилизация шеи, как правило, она заключается в ношении специального ортопедического воротника. В основной период реабилитации противопоказано делать резкие движения, прыгать и бегать, нельзя допускать вращений головой, интенсивных наклонов и поворотов шеи, махов и рывков руками и ногами, поднятие тяжестей выше 3 кг.
В раннюю послеоперационную фазу всегда прописываются по показаниям противотромбозные и антибактериальные препараты, противоотечные и обезболивающие средства, определенные физиотерапевтические процедуры. С первых дней назначается щадящий комплекс ЛФК, который по мере восстановления дополняется более сложными и активными элементами физических нагрузок. Планированием физической реабилитации (подбором сеансов физиотерапии, лечебной физкультуры и пр.) должен заниматься исключительно специалист! На поздних этапах показаны занятия в воде (аквагимнастика, плавание) и массаж, по завершении реабилитации рекомендуется продолжить восстановление в течение 14-30 суток в санатории.
Операция при стенозе шейного отдела позвоночника
Под стенозом шейного отдела принято обозначать патологическое сужение просвета позвоночного канала, где располагается одна из главных структур ЦНС - спинной мозг. При данной патологии зачастую необходимо срочно вовлекать нейрохирургию, так как она опасна критическим неврологическим дефицитом и вегетативными расстройствами. Цервикальная стриктура может привести к ишемии головного и спинного мозга, параличу верхних конечностей (могут пострадать и ноги) и даже к парализации всей части тела ниже пораженной области.

Запущенные остеофиты шейного отдела.
Первопричиной стеноза шейного отдела в доминирующем количестве случаев является последней стадии остеохондроз, операция при спинальном сужении рекомендуется как спасение от тяжелой инвалидизации больного. Стоит заметить, что остеохондроз нами указан как обобщающее понятие, включающее широкий спектр заболеваний, которым положил начало именно данный дегенеративно-дистрофический патогенез. В группу патологий, которые развились на почве запущенного остеохондроза, относят межпозвоночные грыжи, краевые разрастания на позвонках, спондилоартроз, окостенения связок и многие другие.
Если клиника симптомов не поддается консервативной терапии или неинвазивные способы не могут быть задействованными ввиду сильно прогрессирующего стеноза, назначается операция. Вмешательство предполагает использование декомпрессионной ламинэктомии под общим наркозом. При комбинированной проблеме, например, вместе с грыжей, ее сочетают с микродискэктомией и спондилодезом. При спондилодезе осуществляют скрепление смежных позвонков металлическими фиксаторами (стержнями, пластинами, крючками и пр.), установку межтеловых имплантатов или вживление костного трансплантата с металлической гильзой.

Установка металлической конструкции.
Хирургическая процедура при стенозе шейного отдела относится к травматичной и долгой (до 3 часов) операции. Однако ее польза при тяжелых диагнозах неоспорима: пациенты, страдающие в дооперационном периоде от нестерпимых корешковых болей, парестезий и пареза конечностей, в большинстве случаев существенное облегчение начинают ощущать уже на следующий день. Конечно, еще какое-то время, для максимального разрешения проблемы, потребуется интенсивная послеоперационная терапия. Риск отсутствия эффекта незначителен (3%). Малоэффективной или полностью неэффективной процедура может быть в редких ситуациях, причем вероятность неудовлетворительного исхода возрастает в разы (до 15%-20%), если спинномозговая компрессия длилась годами.
Где какие цены?
И, наконец, мы подошли к освещению не менее интересующего всех вопроса: сколько стоит операция на шейном отделе позвоночника и где делают ее на подобающем уровне. Ценовой диапазон достаточно широкий, на окончательную стоимость влияет разновидность и категория сложности оперативного вмешательства. Например, только одна ламинэктомия будет стоить примерно 20 тыс. рублей, но, как известно, она редко когда применяется самостоятельно. Вместе с ней зачастую требуется провести удаление грыжи, межпозвоночного диска, новообразования и др., что в свою очередь дополняется внедрением имплантационных систем для стабилизации. Таким образом, все хирургические манипуляции в совокупности могут потянуть на 100-400 тыс. рублей.
Теперь, что касается выбора нейрохирургического медучреждения. Если есть возможность, лучше проблему с позвоночником решать за границей - в Чехии, Германии или Израиле. Чешская Республика стоит на первом месте, поскольку ортопедия и нейрохирургия, система реабилитации после подобных вмешательств здесь развиты как нигде лучше.
Во всем мире Чехия ассоциируется с государством, где предоставляется наилучшая хирургическая и реабилитационная помощь людям с любыми заболеваниями позвоночника и всех звеньев опорно-двигательного аппарата, при этом по самым доступным расценкам. Цены в чешских клиниках при отменном профессионализме специалистов в 2 раза ниже, чем в других европейских странах, которые славятся высокоразвитой медициной и системой здравоохранения (Германия, Австрия и пр). А если сравнивать с Израилем или США, то Чехия и их не хуже, но зато ценами в сторону уменьшения отличается уже в целых 3 и более раз.
Если вы вынуждены оперироваться в России, выбирайте ведущие клиники в Москве или Санкт-Петербурге, которые много лет функционируют при НИИ нейрохирургии позвоночника или при институтах травматологии и ортопедии.
Операции на шейном отделе позвоночника

Боли в шейном отделе позвоночника: Симптомы и происхождение

Обследование шейного отдела позвоночника © joint-surgeon
Шейный отдел является самой верхней и подвижной частью позвоночника, которая отвечает за движения головы человека. В цервикальной области находятся семь шейных позвонков (от C1 до C7). Под большим затылочным отверстием (Foramen magnum), пространством, располагающимся под черепом, через которое спинной мозг сообщается с позвоночным каналом, начинается 1-ый шейный позвонок атлант (Atlas). Второй (осевой) позвонок эпистрофей или аксис (Axis) отвечает за подвижность черепа. Отличие строения аксиса по сравнению с другими позвонками составляет наличие зубовидного костного отростка (Dens axis), вокруг которого совершает обороты атлант. Прежде всего, шейный отдел позвоночника отвечает за устойчивость и мобильность головы, а также за сохранение функций спинного мозга. Именно по этой причине, боли либо травмы этой части позвоночника являются довольно серьёзными показателями, с которыми следует обратиться к специалисту.
Боль в спине, шее и в руке можеть указывать на синдром шейного отдела позвоночника или, другими словами, шейный синдром. Как правило, медики разделяют данный недуг на острую и хроническую формы. В первом случае причиной травмы зачастую является внезапное чрезмерное напряжение. К таким инцидентам относится, например, повреждение шейного отдела позвоночника во время аварии, так называемая хлыстообразная травма. Кроме того, острый синдром может появиться вследствие непривычных телу физических нагрузок либо если Вы долго находитесь на сквозняке. Еще одним источником болезненности в данном отделе позвоночника являются острые межпозвоночные грыжи (пролапс межпозвоночного диска), во время которых внутренняя часть диска выходит наружу, повреждает его фиброзное кольцо и тем самым сдавливает спинномозговые нервы.
Хронические синдромы основываются, как правило, на дегенеративных изменениях несущих структур в области шейного отдела позвоночника. Данная форма болезни наблюдается чаще всего в области дугоотростчатых (фасеточных) суставов. Однако и боковые отклонения позвоночника (сколиоз) могут вызвать хроническую форму заболевания. Нередко данный недуг может быть обусловлен дегенерацией межпозвоночных дисков и связанных с ней протрузиями межпозвоночного диска, возникших по причине дегенеративных изменений фиброзного кольца (Anulus fibrosus), которое окружает ядро межпозвоночного диска.
Характерными симптомами синдрома шейного отдела позвоночника являются боли в шее, часто отдающие в руку. Кроме того, наблюдаются напряжение и уплотнение близлежащих мышечных структур. Боль может отдавать не только в руки и кисти, но и в голову, что может привести к сильным головным болям, головокружению и даже к расстройству зрения и шуму в ушах (тиннитус). Возможны также и такие неврологические симптомы, как например чувство онемения, нарушенные термочувствительность и ощущение холода или даже проявления паралича.
В зависимости от распространения действия болевых ощущений специалисты нашей клиники разделяют заболевание на "верхний", "средний" и "нижний" шейный синдром:
- Синдром верхнего шейного отдела позвоночника (синдром позвоночной артерии):
Боль, которая отмечается в затылочной и височной областях. Немаловажную роль играют при этом изменения в зоне позвоночных суставов. Унковертебральный артроз — это дегенеративное изменение в регионе суставных сочленений между телами позвонков. - Синдром среднего шейного отдела позвоночника (корешковый синдром):
Лучевая боль между лопатками и заплечевой областью. Возможны нарушения функций нервов с соответствующей симптоматикой в руках. Кроме боли у пациента может появиться чувство онемения или снизиться двигательная способность руки. - Синдром нижнего шейного отдела позвоночника:
аналогично синдрому верхнего шейного отдела позвоночника наблюдаются дисфункции руки. Боль иррадирует в кисть. В зависимости от ее локализации отмечаются повреждения нервных корешков.
Причины боли в шейном отделе позвоночника

Поврежденный межпозвоночный диск с пониженным влагосодержанием. © joint-surgeon
Дегенеративные изменения вследствие износа:
- (протрузия или грыжа)
- Связочные нарушения (функциональные расстройства удерживающих связок)
- Дислокация межпозвонковых суставов
- Остеофитные (узелковые) реакции (костные выросты на шейном отделе позвоночника)
Врожденные нарушения:
- Сколиоз или болезнь Шейерманна
- Наследственные аномалии развития (клиновидные позвонки и спондилодез/сращение позвонков)
Воспалительные заболевания:
- Ревматоидный артрит
- Болезнь Бехтерева (островоспалительный ревматизм, в первую очередь поражающий позвоночник)
- Инфекционные заболевания (спондилит или спондилодисцит вследствие наличия бактерий)
Метаболические заболевания:
- Остеопороз (снижение плотности костей)
- Рахит (нарушения опорно-двигательного аппарата и костеобразования)
Опухоли:
- Первичные новообразования (плазмоцитома/миеломная болезнь)
- Метастазы
Травмы:
- Переломы
- Хлыстообразные повреждения в шее
Когда необходимы операции остеоартроза шейного отдела позвоночника?
- Парезы (паралич)
- Нарушения чувствительности, чувство онемения
- Стремительно ухудшающиеся медикаментозно-резистентные боли
При данном заболевании с самого начала необходимо исключить наличие повреждения нервных корешков и шейного отдела позвоночника. Это означает, что в особенности при повторном наступлении болезни врачи-специалисты Геленк-Клиники используют полный спектр клинических, радиологических и неврологических методов диагностики. Кроме тщательного медицинского осмотра пациента, к таким методикам относится еще и электромиография (ЭМГ), а также МРТ.
Операции рекомендуют проводить вслучае значительных ограничений качества жизни, болезненности, нарушений чувствительности и паралича. Клиническими аспектами, являющимися главными индикаторами операции, являются дефициты неврологического характера (онемение, парез, мурашки) и др. В некоторых случаях операции нужно проводить как можно раньше, чтобы иметь возможность провести имплантацию эндопротеза межпозвонкового диска, который поможет снизить давление на спинной мозг шейного отдела позвоночника.
При хронической форме заболевания, наступившей вследствие дегенеративных изменений, может наступить рецидив. Иногда полностью освободиться от жалоб не представляется возможным. В таком случае необходимо хорошо обдумать, когда лучше решиться на стабилизирующую операцию с возможной блокировкой тела позвонка (спондилодез), а когда лучше пойти на операцию по имплантации эндопротеза, сохраняющего подвижность.
Какие операционные техники предлагает Геленк-Клиника?
В зависимости от причины боли хирурги Геленк-Клиники в г. Гунделфинген предлагают пациенту различные методики операции.
Нуклеопластика
Нуклеопластика - это эндоскопическая операция предназначенная для лечения неполной межпозвоночной грыжи. Если фиброзное хрящевое, находящееся вокруг ядра межпозвоночного диска, выступает наружу и сдавливает спинномозговые нервы, нуклеопластика помогает вылечить данный недуг без необходимости проведения открытой операции. Для этого в поврежденный межпозвоночный диск оперирующий хирург вводит высокочастотный электрод через специальную пункционную иглу. При помощи электрического зонда и при наличии рентген оборудования, позволяющего тщательно наблюдать за движениями инструментов, врач сокращает размеры ядра межпозвоночного диска пока оно не перестанет сдавливать спинномозговые нервы. Шансы на успех данной малоинвазивной операции очень высоки. Благодаря этой операции почти 80% пациентов смогли освободиться мот боли и вернуться к прежнему образу жизни.
Эндопротезирование межпозвоночного диска

Цервикальный эндопротез может заменить исходную форму межпозвоночного диска. © Spinal Kinetics
на протяжении десяти лет искусственные межпозвоночные диски являются эффективной и распространённой методикой лечения. Кроме того, эта операция является еще и многообещающей альтернативой зарекомендовавшему себя спондилодезу - операции, блокирующей тела отдельных позвонков. Так же эндопротезирование межпозвоночного диска направлено на восстановление природных функций межпозвонкового диска. Целью данного хирургического вмешательства является ослабление либо нормализация симптоматики, связанной с дегенерацией межпозвоночных дисков и грыжей, например хронических болей в спине и неврологических нарушений. Эндопротез заменяет настоящий межпозвоночный диск, стабилизирует позвоночник и защищает его от последующих травм. В медицинской центре Геленк-Клиник во время данной операции используются протезы типа M6-C. Такие дисковые протезы держаться на протяжении всей жизни и не нуждаются в замене.
Спондилодез
Прогрессирующая форма износа позвоночника зачастую снижает расстояние между позвонками. Таким образом, сужается пространство между ними, что приводит к дестабилизации позвоночника и смещению тел позвонков вперед, назад либо в сторону. Если консервативные методы лечения не принесли желаемого результата и малоинвазивные операции не помогли пациенту, методика обездвиживания болезненного участка является единственным решением. Сочетание специальных винтов и соединяющих компонентов обеспечивает неподвижность оперируемого участка. Благодаря современной медицине данная операция проводиться малоинвазивно, через небольшие разрезы. Стоит отметить, что спондилодез не обеспечивает больному полное освобождение от боли, а только уменьшает болезненность в позвоночнике.
Врач какого профиля проводит операцию?
Очень важным элементом для сотрудников ортопедического медицинского центра Геленк Клиник в Германии является тесная связь между врачами и пациентами. Это значит, что Ваш лечащий врач будет заботиться о Вас начиная со дня составления анамнеза до самой операции. Таким образом, у Вас будет контактное лицо, которое разбирается в Вашей ситуации и сможет в любое время ответить на все Ваши вопросы.
Подготовка к операции на шейном отделе позвоночника
Сначала врач направляет пациента на комплексное клиническое обследование, результаты которого становятся более понятны после визуализационной диагностики. Клиническое обследование — это беседа с пациентом и физический осмотр. Визуализационное обследование — это рентген в положении "лежа" и "стоя", то есть под нагрузкой. Еще одним немаловажным моментов диагностики является МРТ (магнитно-резонансная томография). Таким образом определяется состояние межпозвоночных дисков и нервов в области позвоночника. Помимо этого, проводится измерение плотности костей для установления их стабильности, а также исключения остеопорозных изменений.
Перед операцией с больным встречается анестезиолог, который еще раз тщательно проверяет состояние здоровья пациента перед наркозом. Как правило операция проводится на следующий день после разрешения хирурга и анестезиолога.
Какой вид анестезии получает пациент во время операции шейном отделе позвоночника?
Как правило операция проходит под общим наркозом. Для этого анестезиолог использует комбинацию анестезирующих средств, специально подобранных для пациента. Во время операции Вы не ощущаете боли и крепко спите. Анестезиолог находится рядом с Вами на протяжении всей операции. Он регулярно проверяет Ваши жизненно-важные функции и тщательно следит за тем, чтобы Вы не проснулись.
Какие вспомогательные средства могут понадобиться после операции?
В течение первых дней после операции следите за своими движениями и по возможности не оказывайте нагрузки на шейный отдел позвоночника. Для этого Вам выдадут специальную шину-воротник Шанца - мягкий и упругий фиксатор анатомической формы, предназначенной для стабилизации шейного отдела и предотвращения резких движений.
Будут ли ощущаться боли после хирургического вмешательства на шейном отделе позвоночника?
Каждое хирургическое вмешательство связано с определенной болью. Как правило мы стараемся свести послеоперационные болевые ощущения к минимуму. Как только наркоз перестает действовать Вам делают обезболивающую инъекцию либо дают таблетку. Наша цель — это максимальное освобождение пациента от боли.
Условия размещения в Геленк-Клинике

Ортопедичесй медицинский Центр Геленк-Клиника в Германии, частная палата.
Во время стационарного пребывания в клинике Вы находитесь в отдельной палате с душем и туалетом. Кроме того, мы предоставляем Вам полотенца, халат и тапочки. В палате имеется телевизор. С собой необходимо иметь лишь собственные медикаменты, удобную одежду и ночное белье. После операции мы гарантируем круглосуточный уход в лице квалифицированного обслуживающего персонала и опытных физиотерапевтов. В основном, срок пребывания в стационаре составляет 4 дня. Члены Вашей семьи могут остановиться в отеле, который находиться в нескольких шагах от клиники. Мы с удовольствием позаботимся о резервации номера в гостинице.
На что необходимо обратить внимание после операции?
После операции позвоночник должен находится в состоянии покоя. Избегайте резких движений. В течении 2-3 дней на шею одевается шина-воротник Шанца - мягкий и упругий фиксатор анатомической формы, ограничивающий вращения головы до 30°. В зависимости от медицинских показаний Вам назначается мануальная терапия для устранения функциональных нарушений двигательного аппарата, которую будет проводить опытный физиотерапевт. Снимать швы не нужно, так как во время операции используются специальные рассасывающиеся нити. Поэтому принять душ разрешается уже на 7 день после вмешательства.
- Стационарное лечение: 4 дня
- Рекомендуемое время пребывания в клинике: 10-14 дней
- Возможное возвращение домой: через 7 дней
- Рекомендуемый обратный полет: через 14 дней
- Когда разрешается принять душ: через 7 дней
- Рекомендуемая продолжительность больничного: 4 недели (в зависимости от профессии)
- Когда снимаются швы: нет необходимости (рассасывающиеся нити)
- Когда можно снова водить автомобиль: через 2 недели
- Амбулаторная физиотерапия: 2 недели
Сколько стоит хирургия остеоартроза шейного отдела позвоночника?
Кроме стоимости хирургического лечения , необходимо учитывать еще и расходы на диагностику, приемы врачей, а также дополнительные ресурсы, как например шина-воротник Шанца. Если Вы планируете пройти курс физиотерапии в Германии, мы с радостью позаботимся об организации приемов у высокопрофессиональных физиотерапевтов и составим для Вас предварительную смету расходов.
Информацию касательно стоимости проживания в отеле, а также последующего лечения в реабилитационной клинике Вы сможете найти на интернет странице самого медицинского учреждения. Мы будем рады помочь Вам в организации реабилитационного лечения в Германии.
Как записаться на прием и на саму операцию иностранному пациенту?
Для того, чтобы наши врачи смогли оценить состояние межпозвонковых дисков, позвонков и фасеточных суставов им необходимо предоставить результаты визуализационной диагностики - рентгеновские снимки, а также МРТ шейного отдела позвоночника. После того, как Вы отправите все необходимые документы через наш oинтернет-сайт, в течение 1-2 рабочих дней Вы получите всю необходимую информацию, предложение по лечению, а также смету расходов на операцию.
Иностранные пациенты могут записаться на прием к специалисту Геленк Клиники в короткие сроки, соответствующие их планам. Мы с радостью поможем Вам с оформлением визы после того, как на наш счет поступит предоплата, указанная в смете затрат. В случае отказа в предоставлении визы, мы возвращаем Вам предоплату в полном объёме.
Для иностранных пациентов мы стараемся свести промежуток времени между предварительным обследованием и хирургическим к минимуму. Таким образом Вам не нужно будет приезжать в клинику несколько раз. Во время амбулаторного и стационарного пребывания в Геленк Клинике наш персонал отдела управления делами пациента, владеющий несколькими языками (английский, русский, испанский, португальский) ответит на все, интересующие Вас вопросы. Кроме того, мы предоставляем переводчика (например, на арабский), оплата услуг которого производится пациентом самостоятельно. Мы с удовольствием поможем Вам в организации трансфера, поиске отеля и подскажем как провести свободное время в Германии Вам и Вашим родственникам.
Читайте также:
