Имплантация зубов, пародонтоз - причины возникновения
Добавил пользователь Валентин П. Обновлено: 10.01.2026
Одни из самых часто встречаемых заболеваний полости рта - пародонтоз и пародонтит. Они могут доставлять дискомфорт и приводить к таким серьезным последствиям, как потеря одного или нескольких единиц зубного ряда. Заболевание осложняется появлением воспалительных процессов связочного аппарата, что сказывается на здоровье костной ткани и увеличивает подвижность зубов.
Особенности заболевания
К сожалению, это заболевание встречается не только у пожилых людей, молодые люди в возрасте от 30 лет также могут столкнуться с неприятными симптомами. Чем моложе пациент, тем острее для него стоит вопрос о восстановлении прежней красоты улыбки, но имплантация в данном случае имеет множество нюансов.
Течение болезни
«Чаще всего пародонтоз является следствием запущенного пародонтита, его генерализованной стадией, но иногда может развиваться и самостоятельно вследствие общего нарушения функционирования организма.»
- обильный налет по всей поверхности зубов;
- оголение корня зуба из-за образования глубоких десенных карманов;
- резкий запах;
- образование щелей, истирание эмали и ее потемнение;
- кариес;
- расшатывание зубов как следствие атрофии связочного аппарата - самое опасное проявление пародонтита, так как может стать причиной потери зубов.
Как лечить
«Как и любое стоматологическое заболевание, пародонтоз поддается лечению, особенно при обнаружении его на ранних стадиях.»

Проведя комплексное обследование полости рта, врач назначает медикаментозную терапию и необходимые в конкретном случае физиопроцедуры. При этом зубы с особой подвижностью обязательно шинируются. К сожалению, полностью вылечить данную проблему невозможно, данные меры направлены лишь на приостановку распространения воспалительного процесса в тканях.
Можно ли провести имплантацию?
На сегодняшний день проведение процедуры по имплантации при наличии у пациента пародонтита или пародонтоза - сложная задача. Связано это с сильным воспалением, которое обязательно сопровождает данное заболевание. Далее рассмотрим основные проблемы, с которыми специалист и пациент могут столкнуться при проведении операции.
Нарушения в костной ткани
Недостаток костной ткани и ее рыхлость требуют проведения процедуры по ее наращиванию. На это уходит не менее 5-6 месяцев. Это полноценная хирургическая операция, требующая вложения достаточно больших денежных средств.
Подвижность
При сильном расшатывании зубов их необходимо удалять. Период восстановления тканей занимает до полугода, поэтому имплантацию придется отложить.
Воспаление
При пародонтозе все окружающие зуб ткани подвержены воспалительным процессам, что может сказаться на надежности закрепления импланта и его дальнейшей приживаемости.
Отторжение

К сожалению, даже после проведенной операции по вживлению импланта, врач не может дать 100% гарантии успешного результата. Близость тканей, в которых протекает воспалительный процесс, может сказаться на итоге всей работы. С вышеперечисленными ситуациями пациент может столкнуться в случае проведения имплантации по классической двухэтапной методике, так как в этом случае костная ткань обязательно должна соответствовать жестким требованиям по объему и качеству.
Варианты имплантации при воспалении тканей пародонта
Существует и несколько альтернативных вариантов решения проблемы потери зубов при пародонтозе. Как правило, особым спросом пользуется одноэтапная методика реконструкции, подразумевающая моментальную нагрузку постоянным протезом.
«Важно отметить, что пародонтоз и связанный с этим заболеванием сильный воспалительный процесс, как правило, охватывает большую область полости рта и требует комплексного лечения.»
Одноэтапная
Способ восстановления улыбки, при котором перед самой имплантацией проводится и лечение пародонтоза, то есть поврежденные зубы просто удаляются. Для вживления имплантов используются здоровые участки кости челюсти, поэтому риск расшатывания и неприживления сводится к минимуму. Со временем места с поврежденной тканья восстанавливаются, ведь источника вредных бактерий больше нет.
Одномоментная
- Базальная
- All on 6
- All on 4
- Скуловая
Двухэтапная имплантация при пародонтозе и пародонтите
Опытные врачи категорически против проведения классической двухэтапной имплантации при выявлении таких сложных заболеваний, как пародонтоз или пародонтит, особенно на запущенных стадиях. Проблема заключается в том, что при этом импланты должны быть вживлены именно в те участки кости, которые максимально подвержены воспалению. Это большой риск, ведь воспаление может послужить причиной отторжения. Именно поэтому, если врач считает проведение одноэтапной операции невозможным вариантом развития событий, то следует сначала удалить пораженные зубы, пройти полное лечение и лишь потом направляться на консультацию к имплантологу. Окончательное решение о возможности проведения классической процедуры будет зависеть от результатов многих анализов, компьютерного обследования и заключения нескольких специалистов. Существует и альтернативное решение: установка бюгельной системы, которая позволяет зафиксировать расшатанные зубы без необходимости их удаления и восстановить уже утраченные единицы.
Пародонтоз - симптомы и лечение
Что такое пародонтоз? Причины возникновения, диагностику и методы лечения разберем в статье доктора Длугоборской Юлии Викторовны, стоматолога со стажем в 11 лет.
Над статьей доктора Длугоборской Юлии Викторовны работали литературный редактор Елена Бережная , научный редактор Сергей Федосов
Определение болезни. Причины заболевания
Пародонтоз — это заболевание тканей пародонта дистрофического характера.
К тканям пародонта относятся ткани, главной задачей которых является удержание зуба в кости челюсти. К ним относится: десна; связочный аппарат, удерживающий зуб — периодонт; цемент зуба — внешняя поверхность зуба, покрывающая его корень; и альвеолярная часть кости челюсти.
Согласно мировой статистике, пародонтозом страдают около 60% населения.
Риск возникновения заболевания увеличивается с возрастом и связан с нарушением обмена веществ в организме, снижением прочности костей всего организма и челюстей в том числе (остеопороз). Главной причиной пародонтоза является недостаточное кровоснабжение десен (нарушение трофики тканей, недостаточное количество кислорода и других веществ).

Факторы развития
Данное заболевание часто характерно для людей, страдающих:
- сахарным диабетом;
- злокачественными образованиями; [1]
- патологиями печени;
- атеросклерозом;
- повышенной кислотностью желудка;
- эндокринными заболеваниями;
- хроническими заболеваниями почек;
- нехваткой витаминов и микроэлементов в организме;
- нервно-психическими заболевания (уменьшается количество слюны и образуется больше налета, а также выделяется гормон кортизол, замедляющий процесс заживления тканей). [2]
На течение пародонтоза значительно влияет такая пагубная привычка, как курение: помимо снижения иммунных сил организма в целом, страдают десны вследствие нарушения поступления кислорода в ткани, а также их раздражения. Поэтому замечено, что у курильщиков течение заболеваний пародонта хуже втрое по сравнению с некурящими. [1] Последние годы ученые выявили также важную роль наследственного фактора в возникновении пародонтоза. [3]
Среди причин возникновения пародонтоза зубов следует выделить:
- Наличие зубных отложений (зубных камней, налета) на зубах (данный фактор создает скопление бактерий на зубах, которые в процессе своей жизнедеятельности вызывают воспаление десен и поддерживают его.
- Неправильное смыкание и положение зубов в зубном ряду (нарушение прикуса).
- Повышенное жевательное давление.
Отличие пародонтоза от пародонтита
При пародонтите повышается подвижность зубов, воспаляется слизистая оболочка и костная ткань, окружающая зуб. При пародонтозе этих признаков нет.
При обнаружении схожих симптомов проконсультируйтесь у врача. Не занимайтесь самолечением - это опасно для вашего здоровья!
Симптомы пародонтоза
Первые признаки пародонтоза
Подвижность зубов на ранних стадиях не наблюдается. В начале болезни пациенты могут отмечать дискомфорт, зуд в области десен, кроме того, для пародонтоза характерна повышенная чувствительность зубов. Количество зубных отложений, как правило, незначительное.
Основные симптомы пародонтоза
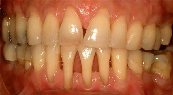
Клиническая картина пародонтоза: оголение шеек зубов (часть зуба около десны) и корней, рецессия (опущение) десен, [4] зуб становится «вытянутым», при этом воспаление, отечность и кровоточивость отсутствует, цвет десны бледно-розовый (может быть бледнее цвета здоровой десны), десна плотно охватывает зуб (в отличие от воспалительного заболевания тканей пародонта - гингивита и пародонтита).
Пародонтоз часто сопровождается появлением клиновидных дефектов (в околодесневой области). Клиновидный дефект — это поражение зубов некариозного характера, в виде «ступени» возле десны, со стороны щек и губ. Чаще всего страдают передние зубы и клыки, реже — зубы в боковых отделах. Если к процессу присоединяется воспаление в десневой ткани, то пациент замечает кровоточивость десен при чистке зубов, приеме жесткой пищи, может появиться неприятный запах изо рта.
Пациенты с пародонтозом редко обращаются к стоматологу на ранних стадиях, ведь выраженных болевых ощущений нет. Течение заболевания хроническое, вялое и продолжительное. Скорость прогрессирования пародонтоза напрямую связана с возрастом пациента, его общим состоянием здоровья, уходом за зубами, образом жизни и лечением либо игнорированием лечения патологии.
Патогенез пародонтоза
При пародонтозе изменения затрагивают невидимую для глаз человека часть — костную ткань челюсти. Изменения, которые происходят в ней, приводят к подвижности зубов и как результат — их удалению. На уровне кости изменения затрагивают процесс образования костной ткани: новая ткань на фоне разрушения не успевает восстановиться с помощью специальных клеток, строящих ее. Ткань кости челюсти постепенно убывает. Этот процесс виден только на рентгенограмме челюстей. [5]

При пародонтозе появляются нарушения в кровеносных сосудах, питающих кость: сужается их просвет за счет утолщения и изменения стенок сосудов. На поверхности десны нарушается обмен белка на клеточном уровне, в более глубоких слоях слизистой оболочки десен происходит разрушение волокон соединительной ткани, которые создают поддержку зубов в челюсти.
На фоне этих нарушений страдает обмен питательных веществ в деснах и возникает их недостаток — дистрофия.

На данный момент существует также мнение о разрушении тканей кости клетками собственного организма при пародонтозе. [6] Согласно этой теории, в организме при определенных обстоятельствах начинается иммунная перестройка: клетки, которые обычно отвечают за борьбу с бактериями, вирусами и другими чужеродными клетками, начинают принимать за таковые собственные клетки. Запускается иммунный ответ, который направляет свои силы на ткани пародонта (на костную ткань, сосуды и нервы пародонта). Таким образом, данный процесс можно сравнить с отторжением органов донора при пересадке в другой организм. [7]
Классификация и стадии развития пародонтоза
В классификации болезней пародонта пародонтоз занимает отдельное место. По отечественной классификации, принятой еще в конце ХХ века, его относят к дистрофическим заболеваниям.
По своей распространенности на ткани пародонтоз может быть только одного вида: генерализованный (т. е. распространяется на верхнюю и нижнюю челюсть и все зубы).
По характеру течения пародонтоза выделяют:
- Хроническое течение.
- Стадию ремиссии.
Острое течение не характерно для данной патологии.
Следует отметить, что классификация ВОЗ на территории некоторых стран Европы и Америки включает 2 формы пародонтоза: воспалительно-дистрофическую и дистрофическую.
Стадии пародонтоза
Различают легкую, среднюю и тяжелую степень пародонтоза.
Для легкой степени тяжести характерно отсутствие жалоб, изменения в костной ткани видны только на рентгеновском снимке.
Средняя степень пародонтоза характеризуется оголением шеек зубов и корней (до 3мм), на рентгеновском снимке можно заметить снижение высоты костных перегородок между зубами, достигающее половины высоты корней зубов. Пациенты могут жаловаться на появление неприятных ощущений в деснах, зуда, на изменение положения зубов (наклон, смещение в виде веера).
При тяжелой степени пародонтоза оголение шеек зубов и корней доходит до 5 мм, костные перегородки разрушены уже на 2/3 длины корней зубов, что приводит к появлению подвижности зубов и изменению их положения в челюсти и смыкания между собой.
Осложнения пародонтоза
По мере возникновения и развития пародонтоза прогрессирует и подвижность зубов, что приводит к их потере. В результате этого жевательное давление распределяется на оставшиеся зубы неравномерно, и это еще больше усугубляет течение заболевания. После потери зубов без надлежащего лечения процесс атрофии костной ткани не заканчивается, а продолжает разрушать челюсть. [9] Потеря полноценной функции жевания приводит к затрудненному пережевыванию пищи, а это в свою очередь нарушает функцию пищеварения, таким образом возникают заболевания желудка и кишечника, организм не в полной мере получает питательные вещества и витамины. Кроме того, страдает внешний вид и произношение звуков, если зубы утрачиваются в зоне улыбки.
Не стоит забывать, что к пародонтозу может присоединиться воспалительный процесс, а из тканей десны инфекция по кровеносным и лимфатическим сосудам попадает во внутренние органы, вызывая сердечно-сосудистые заболевания, нарушая работу почек, может провоцировать ревматизм в суставах. Могут возникать абсцессы (гнойники) в области десен за счет проникновения гноя через карман между зубом и десной.
В полости рта инфекция может вызвать воспаление в надкостнице (периостит), которое далее прогрессирует в абсцесс (ограниченное воспаление) и флегмону (неограниченное воспаление), лимфаденит челюстно-лицевой области (воспаление в лимфатических узлах), остеомиелит. Такие тяжелые состояния уже угрожают жизни, и лечение проводится в стационаре.
Диагностика пародонтоза
Диагностирует пародонтоз, как правило, врач стоматолог-терапевт либо пародонтолог. Заподозрить начало заболевания доктору помогает клинический опыт, так как жалоб и видимых изменений в полости рта может и не быть.
Выяснение подробностей относительно состояния здоровья, наличия хронических заболеваний и вредных привычек, рода профессиональной деятельности — неотъемлемая часть сбора информации о пациенте. Ведь причина возникновения пародонтоза часто зависит именно от этих факторов.
При осмотре и обследовании специалист определяет уровень гигиены полости рта пациента, наличие и характер зубных отложений, изменения цвета, плотности десны, наличие рецессии десны, клиновидных дефектов, проверяет целостность зубного ряда и наличие жевательной перегрузки на зубы, наличие неправильного смыкания зуба, проблем с прикусом.
Воспаление в десне определяется с помощью пробы Шиллера-Писарева и оценивается по балльной шкале до и в процессе лечения. Состояние сосудов тканей пародонта можно оценить с помощью определения стойкости мелких кровеносных сосудов (автор — Кулаженко, ведется учет времени образования гематом в области десны при воздействии вакуума). Для этих целей также используется метод реопародонтографии, фотоплетизмографии, биомикроскопии. Для определения насыщенности тканей пародонта кислородом в последние годы применяется метод полярографии.
Степень разрушения кости челюстей исследуют с помощью рентгенологического исследования (панорамная рентгенография, компьютерная томография), по которой можно различить стадии пародонтоза. Плотность костной ткани изучают с помощью эхоостеометрии. Изучение состава слюны и микрофлоры полости рта дает большие возможности в терапии пародонтоза. [8]
Дифференциальная диагностика пародонтоза проводится с пародонтитом.
Лечение пародонтоза
Лечение пародонтоза подбирается индивидуально, в зависимости от клинической ситуации и общего состояния организма. Оно должно быть направлено не только на коррекцию патологии в полости рта, но и на устранение причин, повлекших за собой возникновение пародонтоза. [10]
Зачастую, благодаря современному оборудованию и анестезии, лечение проходит безболезненно.
- Медикаментозная терапия при пародонтозе: Трентал (улучшает микроциркуляцию крови, разжижает кровь, показан при атеросклерозе), Инсадол (также улучшает микроциркуляцию, ускоряет образование новой костной ткани, повышает иммунитет), Тыквеол (борется с атеросклерозом, снимает воспаление, способствует регенерации тканей).
- Препараты для нормализации обмена веществ: витамины С, А, Е, РР, группы В.
- Физиотерапия при пародонтозе: водная терапия (гидротерапия как на весь организм, так и местно, в полости рта) для повышения микроциркуляции; электрофорез лекарственных средств, применение аппарата Д‘Арсонваля, оксигенотерапия, магнитолазерная терапия, [12] фототерапия. [11]
- Народные средства для лечения пародонтоза: отвары женьшеня, элеутерококка, аралии маньчжурской, моралиевого корня, розеолы розовой (не показана при гипертонии). Они не излечат от пародонтоза, но помогут уменьшить воспаление полости рта.
- Зубные пасты и гели. Пародонтоз — это невоспалительное заболевание, поэтому паста, гель или ополаскиватель напрямую не помогут. Но такая терапия не помешает: тщательная гигиена полости рта препятствует образованию зубного налёта и камня.
При лечении пародонтоза в домашних условиях можно применять массаж дёсен.
Непосредственно в полости рта стоматологом должны быть произведены такие манипуляции:
- профессиональная гигиена полости рта — снятие твердых и мягких зубных отложений; [13]
- лечение кариеса и его осложнений, устранение всех очагов инфекции;
- коррекция преждевременных контактов зубов; [14]
- исправление неправильного положения зубов и прикуса (ортодонтическое лечение);
- замещение дефектов зубов и отсутствующих зубов коронками, протезами и другими конструкциями для полноценного жевания и правильного распределения нагрузки; [15]
- хирургическое лечение (лоскутные операции на тканях десны).
К дополнительным методам лечения относятся:
- Избирательное пришлифовывание зубов. При пародонтозе зубы со временем сдвигаются и перестают нормально смыкаться. При проведении процедуры выявляют участки зубов, к оторые соприкасаются друг с другом и не позволяют нормально сомкнуть челюсти . Их стачивают стоматологическими борами, после чего челюсти начинают смыкаться со множественными контактами зубов.
- Шинирование подвижных зубов. Проводится только при очень тяжёлых формах, когда из-за выраженного оголения корней зубы становятся подвижными. Несколько зубов скрепляют друг с другом пломбировочным материалом и специальной проволокой, например стекловолоконной. Процедура позволяет устранить подвижность зубов.
Диета при пародонтозе
В рационе должно быть достаточно овощей, фруктов, рыбы, молочных продуктов и меньше сладостей. Правильное питание обеспечит организм витаминами и минералами, которые важны для иммунитета, здоровья дёсен и зубов. Диета с ограничением сахара предотвратит интенсивное размножение бактерий в полости рта.
Прогноз. Профилактика
Прогноз заболевания зависит от стадии, на которой пациент обращается за помощью. Чем более ранняя стадия пародонтоза, тем выше вероятность успешного лечения. Стоит обратить внимание, что течение пародонтоза хроническое и длительное, развитие заболевания и уже наступившие изменения можно остановить, подобрав комплексное лечение. [16]
К сожалению, запущенные стадии пародонтоза приводят к расшатыванию зубов, их выпадению и разрушению костной ткани. [17] Образовавшийся дефект в челюсти восполнить достаточно сложно, так, например, успех имплантации и дальнейшего протезирования у больных пародонтозом значительно ниже, чем у людей со здоровым пародонтом.
Гигиена полости рта при пародонтозе
Предотвратить пародонтоз поможет тщательная и регулярная гигиена полости рта. Следует пользоваться зубной щеткой, пастой, зубной нитью и разнообразными ершиками для чистки зубов в труднодоступных местах.
К другим мерам профилактики пародонтоза, как, впрочем, и других заболеваний десен, относятся:
- пальцевой массаж дёсен (с помощью ирригатора либо самомассаж);
- профессиональной гигиене полости рта у стоматолога раз в полгода, лечение всех очагов инфекции в полости рта;
- устранении дефектов зубного ряда (отсутствующих зубов) своевременно (для предотвращения изменений в костной ткани челюстей);
- исключении профвредностей;
- нормализации распорядка дня;
- профилактике нарушения общего состояния организма;
- рациональном питании (жесткая пища, наличие в рационе овощей, фруктов, рыбы, молочных продуктов, ограничение потребления сахара и сладостей); [18]
- отказе от вредных привычек (курение, алкоголизм, наркотическая зависимость);
- избегании стрессовых ситуаций. [19][20]
За дополнение статьи благодарим Петра Козлова — стоматолога, научного редактора портала "ПроБолезни".
Пародонтоз и пародонтит
Пародонтоз - термин, отражающий невоспалительное системное поражение околозубной ткани (пародонта).
Пародонт - это ткани, которые удерживают зуб. К ним относятся кость, десна, слизистая оболочка и связки.
Пародонтит - это воспалительный процесс в окружающих зуб тканях. Пародонтит — это второе по распространенности после кариеса заболевание зубочелюстной системы.
Пародонтит представляет собой инфекционное заболевание, при котором наступает разрушение опорного аппарата зуба. При пародонтите инфекция попадает в пространство между зубом и десной и начинает разрушать связку корня зуба с костью.
У 100% взрослого населения Земли и у 80% детей, как утверждают специалисты ВОЗ, отмечаются те или иные признаки пародонтита.
Пародонтит является одной из основных причин потери зубов в старшем возрасте.
Причины, вызывающие пародонтоз и пародонтит
Причины пародонтоза до конца неизвестны. Определенную роль играет наследственная предрасположенность, нередко пародонтоз развивается на фоне другой патологии, например, атеросклероза, сахарного диабета, нарушения функции желудочно-кишечного тракта, гиповитаминоза, изменений реактивности организма и др. Влияет и нарушение питания тканей, окружающих зуб, вследствие особенностей кровообращения в этой зоне (атеросклеротические изменения кровеносных сосудов).
Местные факторы, такие, как воздействие микроорганизмов на пародонт, могут лишь отягощать течение процесса.
Пародонтит может стать следствием действия патогенных микроорганизмов, накапливающихся в зубном налете и камне, травм зуба, кариеса, некачественно выполненного зубного протезирования или реставрации нарушений целостности зуба. Существенно повышают вероятность развития пародонтита нарушения гигиены полости рта, искривления зубов и нарушения прикуса, особенности питания, снижение общей иммунной реактивности организма пациента.
Главной причиной заболевания десен является бактериальный налет, который представляет собой липкую, бесцветную пленку, постоянно образующуюся на зубах. Если налет не удалять, он отвердевает и образует грубый пористый нарост, который называется зубным камнем. При прогрессировании заболевания токсины могут привести к разрушению поддерживающих зубы тканей. Между зубом и десной образуется пространство - зубодесневой карман, который заполняется налетом. Поддерживающая зубы кость подвергается постоянному разрушению.
Пародонтит может развиваться после воспаления десен -гингивита или другого заболевания - пародонтоза.
Симптомы, характерные для пародонтоза и пародонтита
При пародонтозе патологический процесс носит невоспалительный характер, и проявляется обнажением шеек зубов за счет разрушения тканей вокруг зуба. При этом зубы длительно сохраняют хорошую фиксацию (она нарушается позже, когда зуб оголяется на большом протяжении), имеются незначительные зубные отложения, бледное окрашивание десен, десневые карманы и выделения гноя отсутствуют. Пациента беспокоит повышенная чувствительность шеек зубов, ощущение зуда в деснах. Постепенно прогрессируя, болезнь может приводить к потере зубов.
К сожалению, для пародонтоза свойственно медленное развитие. На начальной стадии пародонтоз не вызывает болевых и других ощущений.
Болезнь развивается бессимптомно, постепенно разрушая пародонт. Поэтому больные, как правило, не спешат обращаться к врачу.
Пародонтит может выражаться по-разному в зависимости от стадии, а часто начинается с кровоточивости десен. На этой стадии процесс еще обратим - не затронута пародонтальная связка, которая окружает зуб и связывает его с соседними, так чтобы жевательное давление распределялось равномерно по всему зубному ряду и не возникала перегрузка в тканях пародонта.
Без лечения процесс проникает глубже и разрушает пародонтальную связку, возникает пародонтальный карман, в который, в свою очередь, откладывается налет и камень и стимулирует дальнейшее прогрессирование процесса. Пародонтальные ткани (окружающие зуб десна, костная ткань) разрушаются, и зуб начинает шататься, теряя костную опору в челюсти. На этом этапе может наблюдаться так же изменение положения зубов, их патологическая подвижность, появление щелей между ними, нарушение функции жевания, травматическая артикуляция.
Начальный период болезни характеризуется зудом, пульсацией в деснах, подвижностью зубов, чувством неудобства при жевании, неприятным запахом изо рта. По мере прогрессирования процесса опорный аппарат зуба расшатывается, подвижность зубов увеличивается, шейки зубов обнажаются и приобретают повышенную чувствительность. Отсутствие адекватных мер терапии на данном этапе приводит к потере практически здоровых зубов.
Обострение хронического пародонтита обычно связано с резким ухудшением общего состояния больного (инфекционные болезни, сердечная недостаточность и т.д.). При обострении возникает резкая пульсирующая боль, повышение температуры, недомогание и слабость. Отмечается яркое покраснение и вздутие десны, из зубодесневого кармана выделяется гной.
Лечение
Лечение пародонтоза
Лечение комплексное, направлено на стабилизацию патологического процесса. Назначают средства, улучшающие кровообращение и регенерационные процессы в пародонте (массаж десен, десневой душ, дарсонвализацию и другие физиотерапевтические процедуры), проводят лечение основного заболевания.
Лечение пародонтита
Заболевание требует неотложного вмешательства врача-стоматолога. Лечение пародонтитов включает в себя нехирургические и хирургические методы. Первые (профессиональная гигиена) применяют на ранних стадиях болезни и для профилактики. Они заключаются в удалении зубного камня (механически или ультразвуком) и полировке поверхности зуба с последующей обработкой коронки и корня зуба специальными щетками с фторосодержащим защитным лаком.
Существует процедура удаления глубокого зубного камня, которая называется кюретаж: врач снимает отложения с помощью специальных крючков, экскаваторов, кюреток (закрытый кюретаж), либо, если требуется операция, разрезав десну (открытый кюретаж). Другим способом хирургического лечения является лоскутный метод, когда снимается верхняя часть десны, корни зубов вычищаются, и лоскут пришивается на место. Задача хирургических методов - устранить десневые карманы (следствие рассасывания костной ткани) для того чтобы зуб вновь обрел устойчивость.
Прогноз:
При грамотном и своевременном лечении пародонтоза, возможно, сохранить зубы и нормализовать качество жизни. Если же не заниматься проблемой - есть риск утерять зубы уже в молодом возрасте.
Рациональное лечение и систематический гигиенический уход за полостью рта позволяют добиться ремиссии (излечения). При отсутствии лечения либо пренебрежении режимом реабилитации - полная деструкция костного пародонта и утрата зубов.
Профилактика
Профилактика включает полноценный контролируемый стоматологом уход за полостью рта, а также раннее выявление и устранение причин заболевания.
Что можете сделать Вы?
Даже если зубы выглядят здоровыми, это не означает, что заболевания десен отсутствуют.
При любой возникшей проблеме с деснами или зубами, такими как чувствительность, отечность, болезненность, кровоточивость и др., нужно немедленно обратиться за консультацией к стоматологу, который адекватно оценит всю серьезность возникшей проблемы.
Что можете сделать Ваш врач?
Только стоматолог и гигиенист с помощью простого исследования могут определить наличие или отсутствие заболеваний пародонта. Суть исследования заключается в измерении зубодесневого кармана (при пародонтите) при помощи специального зонда. Этот метод позволяет доктору быстро и безболезненно оценить состояние ваших десен, предложить план лечения для предотвращения дальнейшего развития заболевания, разработать специальный режим самостоятельной гигиены, который будет отвечать конкретной ситуации.
Р-р д/местн. и наружн. прим. масляный 20%: 5 мл, 10 мл, 15 мл, 20 мл, 30 мл или 50 мл фл., 15 мл, 20 мл или 25 мл фл.-капельн.
Спрей д/местн. прим. дозированный 0.255 мг/1 доза: фл. 15 мл (80 доз), 20 мл (115 доз), 30 мл (176 доз) или 40 мл (230 доз)
Имплантация зубов, пародонтоз
Все мы желаем выделять каждой составляющей собственного образа - оригинальным гардеробом, привлекательной улыбкой, уверенностью в каждом действии.
Одним из самых неприятных заболеваний следует считать пародонтоз, который заключается в воспалении десен. Основная причина такой ситуации практически всегда заключается в инфекции, она попадает в пространство между десной и зубом, что в дальнейшем приводит к различным воспалениями и разрушению связки с челюстью для зубного корня. В результате пациенту грозит расшатывание и потеря зубов. Чтобы исключить подобную вероятность, следует заблаговременно заботиться о профилактике данного заболевания, при первых симптомах лучше обратиться к профессионалам, поскольку в домашних условиях достичь желаемого результата довольно сложно.
Стоматологи определяют оптимальный метод для лечения этого заболевания в соответствии с уровнем сложности пародонтоза. Первые уровни сложности заболевания не представляют особой опасности для зубного ряда, поэтому гарантируется эффективное лечение без особых усилий. В последнее время широкое распространение свойственно для лечения данного заболеваний посредством ультразвука. Практически не потребуется воздействие на зуб, чтобы вылечить пародонтоз. Современные подходы в стоматологии исключают болевые ощущения для пациентов, поэтому при первых признаках заболевания стоит обратиться за профессиональной помощью.
Пародонтоз
Пародонтоз - поражение тканей пародонта, которое имеет системный характер. Это серьезное стоматологическое заболевание, которое приводит к оголению зубных корней ил-за рецессии десны и убыли ткани, а также к последующему разрушению костной ткани. Пародонтоз, в отличие от пародонтита (заболевания не стоит путать), встречается гораздо реже.
Симптоматика заболевания
Развитие пародонтоза происходит достаточно медленными темпами. Заболевание сопровождается постепенной атрофией альвеолярных отростков и дистрофическими изменениями в костной ткани зубов. При этом происходит оголение корней.

Среди симптомов пародонтоза принято выделять следующие:
- восприимчивость к температурным раздражителям, сладкой и кислой пище - все это появляется из-за оголения зубных корней, на которых эмали практически нет,
- бледность десневых тканей,
- зуд и жжение в деснах,
- изменение красоты улыбки - коронки зубов становятся очень длинными. Такую патологию принято называть «лошадиной улыбкой»,
- появляются промежутки между зубами в области корней,
- зубы становятся подвижными по мере убыли тканей вокруг их корней, т.к. удерживать их уже становится практически невозможно.
Если провести ОПТГ - панорамный рентген-снимок, то на нем будет явно видна деструкция костной ткани, т.е. ее значительная убыль вокруг корней. Причем по всему зубному ряду, поскольку пародонтоз редко локализуется в области одного зуба.

Причины развития болезни
Основной причиной появления пародонтоза принято считать недостаточное кровоснабжение десен, которое приводит к постепенному ухудшению обменных процессов в мягких тканях полости рта и их атрофии. Таким образом, к факторам, провоцирующим развитие заболевания, относятся следующие явления:
- нехватка витаминов,
- нарушения в работе желудочно-кишечного тракта,
- сбои в работе эндокринной системы и гормональные изменения,
- сахарный диабет, активное курение,
- врожденная предрасположенность, т.е. наследственные факторы.
При этом пародонтоз может быть как самостоятельным заболеванием, так и завершающей стадией пародонтита - воспаления тканей пародонта. Во втором случае в результате длительной медикаментозной терапии или вовсе отсутствии лечения опять же нарушаются обменные процессы в десневых тканях, поэтому воспалительный процесс снижается, но ткани становятся фактически безжизненными и значительно сокращаются в объеме.
Возможные осложнения
Если слишком долго игнорировать симптомы пародонтоза и не предпринимать мер по решению данной проблемы, заболевание может привести к весьма плачевным последствиям. Патология приводит не только к эстетическим проблемам, но и полной невозможности проведения гигиенических процедур, проблемам с питанием (из-за боли, которая возникает при механическом воздействии на оголенные корни).

Запущенная форма заболевания способна и вовсе привести к выпадению зубов. Атрофические процессы и разрушение связочного аппарата лишают зубы естественной поддержки. В результате они сильно расшатываются и выпадают. Чтобы не допустить такого исхода, важно своевременно обратиться за профессиональной помощью к специалисту.
Методы лечения
Лечение пародонтоза - это очень сложный и длительный процесс. К сожалению, добиться полной ремиссии практически невозможно. Самое главное - вычислить причину патологии и воздействовать именно на нее. Пациенту нужно обязательно нормализовать питание и сон, ввести в рацион все необходимые витамины и микроэлементы, очень качественно и тщательно ухаживать за зубами и деснами, проводить массажи слизистой. На определенных этапах могут также помочь инъекции витаминных комплексов непосредственно в десны.
Профессиональная гигиена полости рта
Несмотря на то, что пародонтоз имеет системный, а не инфекционный характер, лечение заболевания в обязательном порядке предусматривает проведение профессиональной чистки зубов от скопления налета и камня, над- и поддесневых отложений. Для этого проводится комплексная чистка в кабинете у стоматолога с применением ультразвука, Air Flow и использования составов, которые позволят укрепить зубную эмаль.
Пластика десны
Пластика десен позволяет скорректировать внешний вид края слизистой. Лоскутный метод предполагает подсадку участка десневой ткани на место, где наблюдается проседание. Данная процедура позволяет скрыть оголенные корни зубов и вернуть эстетику улыбке. При пародонтозе эта мера эффективна лишь при небольшой убыли десны и одновременно проводимой медикаментозной терапии, которая позволит остановить прогрессирование рецессии слизистой.
Аппаратное лечение Vector и Varius
Аппаратное лечение при пародонтозе позволяет провести восстановление обменных процессов между клетками десневой ткани. По сути, это разновидность физиолечения. Методика позволяет очень эффективно удалить зубные отложения, даже если они находятся глубоко под деснами. При этом фактически проводится укрепление десен, восстановление их питания, что способствует остановке как воспалительного процесса, так и рецессии.
Имплантация с немедленной нагрузкой
Это единственное верное решение на запущенной стадии заболевания. Современные методы имплантации позволяют провести удаление подвижных зубов и одновременно заменить их корни на искусственные аналоги - имплантаты. При выборе методов с немедленной нагрузкой конструкции будут зафиксированы в более глубоких отделах челюстной кости и даже других лицевых костях, что позволяет отказаться от проведения костной пластики и синус-лифтинга. Протезирование проводится сразу, максимум - на 3-ий день. Новый несъемный протез можно полноценно использовать для жевания.
Читайте также:
- Дисбактериозы ( дисбиозы ) при антибиотикотерапии. Аллергизирующее действие антибиотиков. Иммунодепрессивные эффекты антибиотиков.
- Антихолинергические средства при лабиринтите. Транквилизаторы в лечении лабиринтита.
- Идиопатический миокардит Абрамова-Фидлера
- Методика установки транспилорического зонда у новорожденного
- Анатомия анального канала, его сфинктеров и пространств
