Исход и осложнения лазеротерапии ретинопатии недоношенных детей
Добавил пользователь Владимир З. Обновлено: 28.01.2026
Изучить отдаленные клинико-функциональные исходы ретинопатии у глубоко недоношенных детей.
МАТЕРИАЛ И МЕТОДЫ
В исследование вошли 42 пациента (84 глаза) с ретинопатией недоношенных (РН) в возрасте 9—18 лет. Всем больным проведено комплексное офтальмологическое обследование, включая морфометрические (оптическая когерентная томография), функциональные (электроретинограмма) и психофизические (компьютерная периметрия) методы исследования.
РЕЗУЛЬТАТЫ
Выявлена высокая частота слабовидения в школьном и юношеском возрасте (67%) у глубоко недоношенных детей с РН, что обусловлено тяжестью течения активной РН и формированием выраженных остаточных изменений на глазном дне в рубцовой фазе заболевания, высокой частотой аномалий рефракции (92%), в том числе миопии высокой степени (46%), поздними осложнениями, развивающимися при РН любой степени (68%), нарушением электрогенеза сетчатки вследствие как РН, так и глубокой морфофункциональной незрелости сетчатки.
Заключение. Пациенты с любой степенью рубцовой РН, родившиеся на ранних сроках гестации и с экстремально низкой массой тела, нуждаются в регулярном комплексном офтальмологическом обследовании и пожизненном динамическом наблюдении.
ФГБУ «Национальный медицинский исследовательский центр глазных болезней имени Гельмгольца» Минздрава России
Дата принятия в печать:
Введение
Несмотря на успехи в организации офтальмологической помощи недоношенным детям, в совершенствовании методов диагностики и лечения, ретинопатия недоношенных (РН) остается ведущей причиной снижения зрения в детском возрасте. Несомненные достижения в организации скрининговых осмотров недоношенных детей и изучении клинических проявлений активной РН, а также разработанные показания и методы лечения прогрессирующих форм РН позволили значительно сократить число неблагоприятных анатомо-функциональных результатов и тяжелых исходов РН, приводящих к инвалидности по зрению с детства.
Однако в связи с возрастанием числа выживших недоношенных младенцев с ранним гестационным возрастом, экстремально низкой массой тела при рождении и большой соматической отягощенностью растет частота тяжелых и атипичных форм заболевания, резистентных к традиционной терапии [1—7]. Именно у данного контингента пациентов анализ особенностей клинического течения, результатов лечения, отдаленных клинико-функциональных исходов РН и прогнозирование зрительных функций являтся важной и актуальной задачей.
Цель исследования — изучить клинико-функциональное состояние глаз у детей с РН, рожденных на раннем сроке гестации и с низкой массой тела, в подростковом и юношеском возрасте.
Материал и методы
Обследовано 42 пациента (84 глаза) в возрасте 9—18 лет (в среднем 13,9 года); все дети наблюдались нами с момента окончания активной фазы РН (4—6 мес жизни), из них 11 человек — до 18 лет. Все дети родились от преждевременных родов в гестационном возрасте 22—27 нед (в среднем 25,9 нед), с массой тела 510—1200 г. (в среднем 820 г). Коагуляция сетчатки (крио- и лазеркоагуляция) в активной фазе РН произведена на 53 (63,1%) глазах. Группу сравнения составили 128 пациентов с рубцовой РН различной степени в возрасте 9—17 лет, родившихся в гестационном возрасте 28—33 нед (в среднем 29,6 нед) и с массой тела 1050—1860 г (в среднем 1430 г).
Кроме стандартных методов (визометрия, тонометрия, рефрактометрия под мидриазом, биомикроскопия, офтальмоскопия глазного дна) обследование включало фоторегистрацию структур глазного яблока с помощью фундус-камеры Topcon FX-50 (Topcon Corporation, Япония), Smartscope 5M (Optomed Ltd, Финляндия). Оптическую когерентную томографию (ОКТ) выполняли, используя прибор Spectralis HRA+OCT (Heidelberg, Германия), оценивали толщину сетчатки в фовеа, толщину нейроэпителия в височной (Т1) и носовой (Т2) парафовеолярной зонах, макулярный объем, сохранность фовеолярной депрессии и состояние слоев нейроэпителия.
Для оценки функциональной активности сетчатки регистрировали общую электроретинограмму (ЭРГ), ритмическую ЭРГ (РЭРГ), хроматическую макулярную ЭРГ (МЭРГ) с помощью электроретинографа научно-медицинской фирмы «МБН-6» (Россия). Компьютерную статическую периметрию проводили, используя прибор Perimat-206 (Германия).
Результаты
В исследуемой группе пациентов после окончания активной фазы РН в результате самопроизвольного или индуцированного регресса (после коагуляции сетчатки) сформировались остаточные изменения различной степени, характеризующие рубцовую фазу заболевания [8]. Распределение глаз в зависимости от степени остаточных изменений на глазном дне после перенесенной РН представлено на рис. 1.

Рис. 1. Распределение глаз, включенных в исследование, по степени рубцовой РН.
Благоприятные исходы РН с формированием остаточных изменений I—III степени выявлены на 54 (64,3%) глазах, неблагоприятные (РН IV—V степени) — на 30 (35,7%) глазах, из них на 16 (52%) глазах прогрессирование РН произошло, несмотря на проведенную коагуляцию сетчатки. У 8 (19%) пациентов IV—V степень РН сформировалась на обоих глазах. Асимметричное поражение (I—III степень РН на «лучшем» глазу/IV—V степень — на парном глазу) выявлено у 11 (26,2%) обследуемых.
Частота сопутствующей неврологической и общесоматической патологии у пациентов с ранним гестационным возрастом при рождении составила 33% (14 человек), что значительно выше, чем у детей контрольной группы (17%; 22 из 128 человек; p<0,05). Структура сопутствующей патологии в исследуемой группе была следующей: детский церебральный паралич (n=5), отставание в умственном развитии (n=4), аутизм (n=2), тугоухость IV—V степени (n=2), постгипоксическая энцефалопатия, органическое поражение ЦНС (n=4). В ряде случаев сопутствующие патологические состояния сочетались между собой.
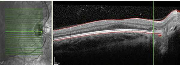
При анализе клинического состояния глаз у глубоко недоношенных пациентов выявлены некоторые особенности. На 10 (18,5%) из 54 глаз с благоприятными исходами РН, на которых в активной фазе РН локализовалась в I или II зоне, наблюдались смещение ретинальных сосудов и тракция сетчатки в носовую сторону. Данный факт свидетельствует о более ранней манифестации заболевания в назальном отделе сетчатки, что характерно для детей, рожденных на ранних сроках гестации (рис. 2) [4, 9].

Рис. 2. Смещение ретинальных сосудов и эктопия макулы в носовую сторону (данные ОКТ).
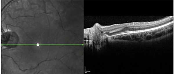
Кроме того, при самопроизвольном регрессе на 12 глазах с I—III степенью рубцовой РН в отдаленном периоде наблюдения сохранялись остаточные аваскулярные зоны на периферии сетчатки, а также анастомозы и сосудистые «щетки» на границе с аваскулярной сетчаткой, что косвенно подтверждает «незрелость» сетчатки на момент рождения. При этом, несмотря на локализацию патологического процесса в активной фазе РН в I или II зоне глазного дна, остаточные аваскулярные зоны определялись только на височной периферии, что свидетельствует о возможности продолженного васкулогенеза сетчатки уже после завершения активной фазы РН (рис. 3).

Рис. 3. Остаточные аваскулярные зоны и сосудистые анастомозы у ребенка 10 лет на глазу с рубцовой РН.
Особенностью неблагоприятного течения РН в исследуемой группе было стремительное развитие отслойки сетчатки на 6 глазах через 1,5—3 нед после выявления первых признаков экстраретинальной пролиферации, несмотря на проведенную коагуляцию сетчатки. Отслойка сетчатки носила тракционно-экссудативный характер с геморрагическим компонентом, выраженной пролиферацией и рубцеванием в стекловидном теле, что приводило к раннему развитию синдрома мелкой передней камеры (6—10 мес жизни), иридо-корнеального контакта и вторичной глаукомы, что, по-видимому, явилось следствием течения заболевания по типу задней агрессивной РН.
На момент исследования в возрасте 9—18 лет острота зрения у пациентов исследуемой группы широко варьировала. На 27 (32,2%) глазах острота зрения составляла 0,3 и более, а на 57 (67,8%) глазах — менее 0,3, что значительно превосходило частоту низкого зрения в контрольной группе (32,3%; p<0,05). Слепота и слабовидение определялись на 27 глазах с IV—V степенью рубцовой РН и на 30 глазах с благоприятными исходами РН, что потребовало детального изучения причин снижения зрения.
Одним из факторов снижения зрения были аномалии рефракции, выявленные на 50 (92,6%) из 54 глаз с РН I—III степени, что превышает частоту аномалий рефракции в контрольной группе (84%). При этом преобладающим видом нарушений рефракции была миопия — 47 (87%) из 50 глаз, из них миопия высокой степени определялась на 25 (46,3%) глазах (частота миопии высокой степени у детей в контрольной группе — 14,9%; p<0,05), миопия средней степени — на 8 (14,8%) глазах, миопия слабой степени и астигматизм — на 14 (25,9%) глазах. Только на трех глазах (5,6%) выявлена гиперметропия. В большинстве случаев в процессе динамического наблюдения миопия носила стационарный характер, а на 9 (18%) из 50 глаз она прогрессировала в возрастной период от 5 до 14 лет.
Важной причиной снижения зрения у глубоко недоношенных детей в отдаленном периоде наблюдения послужили поздние осложнения, развившиеся на 57 (67,9%) из 84 глаз. Виды осложнений при рубцовой РН разной степени и сроки их развития представлены в табл. 1.
Таблица 1. Осложнения при рубцовой РН разной степени
Степень рубцовой РН
Срок развития осложнений (средний возраст)
Периферические ретинальные дистрофии
Вялотекущий увеит и субатрофия глазного яблока
При благоприятных исходах РН основным видом осложнений было развитие и прогрессирование периферических ретинальных дистрофий (26 глаз) по типу «решетки», «следа улитки», разрывов сетчатки, ретиношизиса (рис. 4). В большинстве случаев развитие этого вида осложнений произошло на глазах с РН II степени (19 из 26 глаз; 73%).

Рис. 4. Периферическая ретинальная дистрофия по типу «следа улитки» на глазу со II степенью рубцовой РН.
Развитие и прогрессирование ретинальных дистрофий привело к возникновению отслойки сетчатки на 13 глазах с II—IV степенью РН у детей в возрасте от 9 до 17 лет (в среднем в 14,1 года). При II степени РН отслойка сетчатки носила регматогенный характер (5 глаз), а при III и IV степени — регматогенный и тракционно-регматогенный характер (8 глаз), что потребовало комбинированных хирургических вмешательств (рис. 5).

Рис. 5. Поздняя субтотальная отслойка сетчатки регматогенного характера на глазу с РН II степени и частичной атрофией зрительного нерва.
При неблагоприятных исходах РН также возможно развитие поздних осложнений, что приводит к потере остаточного зрения, косметическим дефектам и ухудшению качества жизни пациентов. Так, на 8 глазах с IV—V степенью РН развилась осложненная катаракта. Начальные помутнения появлялись в задней капсуле хрусталика в зоне фиксации витреальных тяжей и пленок, затем распространялись на все слои хрусталика с включением кальцификатов. При потере остаточного зрения, а также во избежание развития иридо-корнеального контакта целесообразно проведение ленсвитрэктомии, несмотря на плохой функциональный прогноз.
Вторичная глаукома возникла на 4 глазах с V степенью РН у детей в возрасте от 10 мес до 11 лет (в среднем 7,5 года). Глаукома при V степени рубцовой РН является результатом стойких органических изменений переднего сегмента глаза вследствие массивного рубцевания в ретрохрусталиковом пространстве, образования прехрусталиковых пленок, сращения и заращения зрачка. В этих случаях наблюдалось формирование мелкой передней камеры с иридо-роговичным контактом, распространенным зрачковым и витреальным блоками, что препятствует циркуляции внутриглазной жидкости.
Лечение вторичной глаукомы — должно быть хирургическим, включая реконструкцию передней камеры, формирование зрачка, рассечение ретрохрусталиковой пролиферативной мембраны, ленсэктомию, витрэктомию. Целесообразно проводить хирургическое вмешательство еще до повышения уровня внутриглазного давления при угрозе формирования иридо-корнеального контакта. При отсутствии предметного зрения и плохом прогнозе, а также при декомпенсации глаукомного процесса на афакичном глазу и восстановленной передней камере возможно проведение циклодиодфотокоагуляции.
Прогрессирующая субатрофия глаза зафиксирована на 4 глазах с V степенью РН, начиная с 10 мес жизни ребенка она сопровождалась вялотекущим увеитом, постепенным уменьшением переднезадней оси глаза и утолщением оболочек по данным эхографии.
Коатсоподобные хориоретинальные очаги выявлены на двух глазах с IV степенью РН у пациентов 12 и 17 лет. Развитие этих изменений произошло в зонах интра- и преретинального фиброза и характеризовалось появлением субретинального экссудата желтоватого цвета, сосудистых мальформаций с новообразованными сосудами (рис. 6). Причины таких изменений окончательно неизвестны, возможно, их развитие связано с длительной ишемией.

Рис. 6. Коатсоподобные хориоретинальные изменения на глазу с рубцовой РН III степени.
Учитывая, что одним из определяющих факторов развития остроты зрения является состояние макулы, мы провели морфофункциональные исследования центральных отделов сетчатки [10—12].
Результаты проведенной ОКТ показали, что у глубоко недоношенных детей с благоприятными исходами РН на 33 (61%) из 54 глаз отмечалось нарушение анатомического контура макулы. На 12 глазах с остаточными изменениями I—II степени сглаженность фовеолярного контура в совокупности с сохранностью эмбрионального строения макулы (слоев нейроэпителия в фовеа) свидетельствовала о нарушении дифференцировки макулы вследствие недоношенности, и лишь на трех глазах она сопровождалась снижением остроты зрения ниже 0,3. На 10 глазах со II степенью РН сглаженность фовеолярного контура сопровождалась наличием структурных изменений (кистовидный отек и тракционная деформация нейроэпителия), невидимых при офтальмоскопии, что и объясняло некорригируемое снижение остроты зрения. При III степени РН сформированный фовеолярный контур и сохранность слоев нейроэпителия в макуле выявлены только на двух глазах. В остальных случаях фовеолярный контур был сглажен или отсутствовал вследствие тракционной деформации макулы после перенесенной РН и коррелировал со сниженной остротой зрения (рис. 7).

Рис. 7. Сглаженный фовеолярный контур и тракционная деформация сетчатки на глазу с рубцовой РН III степени.
При сравнении морфометрических показателей центральной зоны сетчатки в исследуемой (26 глаз) и контрольной (58 глаз с благоприятными исходами РН) группах выявлены достоверные различия (табл. 2).
Таблица 2. Морфометрические показатели макулы
Диабетическая ретинопатия - симптомы и лечение
Что такое диабетическая ретинопатия? Причины возникновения, диагностику и методы лечения разберем в статье доктора Перовой Татьяны Юрьевны, офтальмолога со стажем в 8 лет.
Над статьей доктора Перовой Татьяны Юрьевны работали литературный редактор Маргарита Тихонова , научный редактор Сергей Федосов и шеф-редактор Лада Родчанина
Определение болезни. Причины заболевания
Диабетическая ретинопатия (Diabetic retinopathy) — это наиболее тяжёлое осложнение сахарного диабета первого и второго типа , которое связано с поражением сосудов сетчатки глаза. Чаще всего оно приводит к снижению зрения и слепоте [1] .

У диабетиков первого типа ретинопатия возникает в более раннем возрасте, у больных вторым типом диабета — на поздних сроках заболевания. Спрогнозировать время появления ретинопатии сложно, так как у каждого пациента оно индивидуально, но чаще всего при диабете второго типа ретинопатия развивается на 3-5 году болезни.
По данным Сент-Винсентской декларации 1992 года, которая была посвящена исследованию эпидемиологии диабетической ретинопатии при сахарном диабете первого типа, она возникает в 90 % случаев, при сахарном диабете второго типа — в 38,9 % [15] .
Проблемы сахарного диабета сегодня выходят на первое место во всём мире. Этим заболеванием страдают примерно 5 % населения Земли всех национальностей и возрастов. В России число больных превышает 8 млн, причём ежегодно их число увеличивается на 5-7 % [15] .
К факторам риска, которые приводят к ухудшению сахарного диабета, можно отнести:
- уровень глюкозы крови (показатели гипергликемии); ;
- хроническую почечную недостаточность ; ;
- молодой возраст;
- период беременности;
- генетическую предрасположенность (наследственность);
- вредные привычки ( курение ).
Но в первую очередь частота развития диабетической ретинопатии связана со стажем заболевания:
- при стаже сахарного диабета до 5 лет ретинопатия возникает в 9-17 % случаев;
- от 5 лет до 10 лет — в 44-80 % случаев;
- от 15 лет — в 87-99 % случаев [15] .
Во время беременности риск появления ретинопатии отсутствует, так как срок гестационного диабета очень короткий, чтобы позволить ретинопатии развиться. Если же диабетическая ретинопатия развилась ещё до зачатия, то беременность может усугубить течение болезни [16] .
При обнаружении схожих симптомов проконсультируйтесь у врача. Не занимайтесь самолечением - это опасно для вашего здоровья!
Симптомы диабетической ретинопатии
Внешне диабетическая ретинопатия никак себя не проявляет. Она начинает прогрессировать безболезненно и малосимптомно — в этом и есть её главное коварство. Только с течением времени проявляется первый признак заболевания — ухудшение чёткости зрения, из-за чего ретинопатию чаще всего выявляют уже на пролиферативной, т. е. самой поздней стадии болезни. Но при этом стоит помнить, что даже при запущенном заболевании зрение может оставаться в пределах нормы [16] .
Когда отёк затрагивает центр сетчатки, пациент ощущает нечёткость зрения, ему становится трудно читать, писать, набирать текст, работать с мелкими деталями на близком расстоянии. При кровоизлияниях возникают плавающие серые или чёрные плотные пятна, которые движутся вместе с глазом, ощущение пелены или паутины перед глазами. Эти симптомы появляются из-за поражения сосудов на глазном дне.

Когда после лечения кровоизлияния рассасываются, пятна исчезают. Однако симптомы могут возникнуть вновь при нестабильном уровне глюкозы или скачке артериального давления. Поэтому пациент должен держать под контролем эти показатели и при появлении признаков болезни обратиться на приём к окулисту [2] .
Патогенез диабетической ретинопатии
Сахарный диабет — это заболевание, при котором в организме возникает нехватка инсулина из-за невосприимчивости к нему тканей . Данное состояние в первую очередь влияет на внутренний слой сосудистых стенок — эндотелий. Он выполняет множество важных функций: участвует в процессе обмена веществ, обеспечивает непроницаемость сосудистой стенки, текучесть и свёртывание крови, появление новых сосудов и пр.
Изменения эндотелия на фоне сахарного диабета происходят из-за каскада нарушений, спровоцированных длительной гипергликемией — высоким уровнем глюкозы в крови. В избыточной концентрации глюкоза быстро вступает в химические реакции, которые пагубно воздействуют на клетки, ткани и органы. Такой длительный процесс называется глюкозотоксичностью [3] .
Гипергликемия и глюкозотоксичность со временем приводят к гибели клеток в сосудах — перицитов, которые контролируют обмен жидкости, сужая и расширяя капилляры. После их разрушения проницаемость кровеносных сосудов сетчатки повышается, они становятся тоньше и растягиваются в связи с давлением скапливающейся жидкости под слоями сетчатки. Это приводит к образованию микроаневризм — небольших локальных расширений капилляров сетчатки, которые способствуют развитию ишемии (снижению кровоснабжения сетчатки) и появлению новых сосудов и тканей на глазном дне.

Таким образом, в развитии диабетической ретинопатии и её прогрессировании наиболее важное значение имеют два основных патогенетических механизма:
- Нарушение внутреннего барьера, который составляет эндотелий капилляров сетчатки. Из-за повышенной проницаемости стенок сосудов появляются отёки, твёрдые экссудаты (скопления жидкости) и кровоизлияния на глазном дне.
- Образование микротромбов и закупорка сосудов сетчатки. По этим причинам нарушается обмен веществ между кровью и тканью через стенки капилляров, появляются зоны ишемии и гипоксии сетчатки. Всё это, в свою очередь, приводит к появлению новых кровеносных сосудов на глазном дне.
Классификация и стадии развития диабетической ретинопатии
Согласно общепринятой классификации E. Kohner и M. Porta [14] , в зависимости от патологических изменений выделяют три стадии диабетической ретинопатии:
- I стадия — непролиферативная;
- II стадия — препролиферативная;
- III стадия — пролиферативная.
Непролиферативную стадию диабетической ретинопатии ещё называют фоновой [16] . Её обычно диагностируют у диабетиков с большим стажем заболевания (от 10 до 13 лет). Она сопровождается закупоркой сосудов (чаще артерий) и повышением проницаемости капилляров (микрососудистой антипатией). В сетчатке образуются мелкие аневризмы (локальные расширения сосудов), отёки, экссудат и точечные кровоизлияния в центре или глубоких тканях сетчатки. Экссудат может быть мягким или твёрдым, белым или желтоватым, с чёткими или смазанными границами. Чаще всего он располагается в центре сетчатки и свидетельствует о наличии хронического отёка [16] . Качество зрения при этом не страдает.

Препролиферативная стадия сопровождается аномалиями сосудов, появлением экссудата различной консистенции, а также больших ретинальных кровоизлияниями. Она отличается тем, что:
- количество признаков, имеющихся на первой стадии, увеличивается;
- появляются субретинальные и преретинальные кровоизлияния;
- возникает гемофтальм — кровоизлияние в стекловидное тело;
- появляется макулопатия — поражение центральной зоны сетчатки;
- в макулярной зоне образуются участки ишемии и экссудации.

На препролиферативной стадии требуется тщательное обследование, чтобы обнаружить ишемические поражения сетчатки. Их наличие будет указывать на прогрессирование болезни и скорый переход к более тяжёлой стадии диабетической ретинопатии.
Пролиферативная стадия развивается при закупорке капилляров. Она приводит нарушению кровоснабжения в отдельных зонах сетчатки. Отличается появлением новых кровеносных сосудов в сетчатке или на диске зрительного нерва, обширными кровоизлияниями, наличием фиброзных спаек и плёнок.

Также существует классификация тяжести диабетической ретинопатии . Она чётко отражает стадии прогрессирования и распространённость болезни. Согласно ней, выделяют четыре степени тяжести:
- I степень — изменения только в зоне одной сосудистой аркады;
- II степень — фиброзные изменения диска зрительного нерва;
- III степень — наличие изменений I и II степени;
- IV степень — распространённые фиброзные поражения всего глазного дна [11] .
Осложнения диабетической ретинопатии
Диабетическая ретинопатия приводит к возникновению следующих осложнений:
- — потеря прозрачности хрусталика из-за образования плотных непрозрачных структур в его содержимом. Вследствие помутнения он не пропускает достаточное количество света, и человек перестаёт видеть отчётливую картинку. Из-за мутности хрусталика зрение становится как бы "затуманенным", очертания объектов — нечёткими и размытыми.
- Вторичная глаукома — повышение внутриглазного давления и поражение зрительного нерва, развивающееся на фоне другого заболевания — катаракты, кератита, травмы глаза, тромбоза вен сетчатки и др. При этом наблюдается прогрессирующее снижение остроты зрения и болевой синдром.
- Гемофтальм — кровоизлияние в полость стекловидного тела. Кровь так же, как и помутневший хрусталик, мешает попаданию света на сетчатку, из-за чего снижается чёткость зрения.
- Ретиношизис — расслоение сетчатки из-за нарушения кровообращения. Возникает чаще всего при сосудистых заболеваниях глаз, воспалительных процессах (хронических формах увеита, иридоциклита), онкологических заболеваниях сосудистой оболочки, в результате воздействия некоторых лекарств.
- Отслойка сетчатки — отделение сетчатки от сосудистой оболочки глаза. При этом возникает резкое снижение зрения, появляется пелена, "занавеска" перед глазом, сужаются поля зрения, появляются мушки, искры, молнии.
- Слепота . Она является необратимой и становится причиной инвалидизации.
Все эти состояния приводят к постоянному контролю со стороны эндокринолога, офтальмолога, терапевта и невропатолога. А такие осложнения, как катаракта, вторичная глаукома, гемофтальм и отслойка сетчатки, требуют проведения операции [12] .
Диагностика диабетической ретинопатии
Диагноз диабетической ретинопатии выставляется на основании нескольких составляющих: анамнеза, результатов офтальмологического обследования и особенностей клинической картины глазного дна.
Для первичного обследования (скринига) проводятся определённые виды исследований:
- визометрия — проверка остроты зрения;
- периметрия — оценка состояния периферического зрения;
- биомикроскопия — изучение переднего отрезка глаза (роговицы, передней камеры, хрусталика, конъюнктивы и век);
- офтальмоскопия под мидриазом — осмотр глазного дна через расширенный зрачок с использованием линзы Гольдмана;
- контактная тонометрия — измерение внутриглазного давления тонометром Маклакова.
Данные обследования должны проходить все пациенты с сахарным диабетом любого типа минимум раз в год, а беременные пациентки — раз в триместр. Это позволит вовремя выявить ретинопатию и не допустить развитие осложнений [16] .

Для отслеживания динамики изменений на сетчатке выполняется фотографирование глазного дня с помощью фундус-камеры. Иначе её называют ретинальной камерой. Она также помогает определить степень диабетической ретинопатии [16] .

При наличии помутнений хрусталика и стекловидного тела показано проведение УЗИ глаза , чтобы оценить состояние этих структур. Для выявления признаков глаукомы выполняется гониоскопия , которая позволяет осмотреть переднюю камеру глаза.
Наиболее информативным методом визуализации сосудов сетчатки является флуоресцентная ангиография . Она помогает оценить состояние капилляров и качество кровообращения, благодаря чему можно обнаружить начальные проявления диабетической ретинопатии, а также закупорку капилляров, зоны ишемии сетчатки и образование новых сосудов. Эти данные позволяют определить степень тяжести диабетической ретинопатии и определиться с тактикой лечения [16] .

Совместно с ангиографией проводят оптическую когерентную и лазерную сканирующую томографию сетчатки [13] . Эти исследования предназначены для оценки выраженности макулярного отека и эффективности проводимого лечения [16] .
Лечение диабетической ретинопатии
Диабетическая ретинопатия при тяжёлой форме сахарного диабета неизбежно возникает и прогрессирует. Поэтому основная цель лечения ретинопатии заключается в том, чтобы как можно дольше избегать осложнений сахарного диабета и замедлить переход начальных проявлений ретинопатии к более серьёзным (пролиферативным) изменениям, которые приводят к значительному снижению зрения и инвалидизации [8] .
Независимо от стадии диабетической ретинопатии необходимо провести соответствующее лечение основного заболевания, нормализовать артериальное давление и липидный обмен. Поэтому лечением ретинопатии занимаются сразу несколько специалистов: эндокринолог, офтальмолог, невролог и терапевт [9] .
Медикаментозное лечение диабетической ретинопатии включает использование нескольких лекарственных групп:
- препараты, воздействующие на артериальную гипертензию, диабетическую нефропатию и ретинопатию;
- ангиоретинопротекторы и антиоксиданты, укрепляющие сосудистую стенку и иммунитет, препятствующие образованию микротромбов;
- препараты, улучшающие микроциркуляцию крови, её вязкость и текучесть;
- гиполипидемические препараты, нормализующие липидный обмен в организме;
- глюкокортикоиды, которые вводят в стекловидное тело для устранения отёка;
- ингибиторы VEGF, которые также вводят в стекловидное тело, чтобы не допустить или приостановить образование новых сосудов (например, афлиберцепт, ранибизумаб, бевацизумаб ) [16] .

При развитии третьей стадии диабетической ретинопатии, угрожающей жизни пациента, терапевтические возможности очень ограничены. В таких случаях может потребоваться лазерная коагуляция сетчатки . Показаниями к её выполнению служат:
- экссудативная (отёчная) макулопатия;
- ишемия сетчатки;
- появление новых сосудов на сетчатке или передней поверхности радужной оболочки;
- прогрессирование патологических изменений на глазном дне через 3-6 месяцев после компенсации сахарного диабета.

На данный момент существует три основных метода лазерной фотокоагуляции:
- Фокальная лазеркоагуляция (ФЛК) — нанесение коагулянта (вещества, "склеивающего" сетчатку с сосудистой оболочкой) на участки просачивания красителя (флуоресцеина), расположения микроаневризм, кровоизлияний и твёрдых экссудатов. Чаще применяется при макулярном отёке с повышенной проницаемостью сосудов.
- Барьерная лазеркоагуляция — нанесение коагулянтов на околомакулярную зону в несколько рядов. Чаще применяется при первой стадии диабетической ретинопатии в сочетании с макулярным отёком.
- Панретинальная лазеркоагуляция (ПРЛК) — нанесение коагулянтов на все зоны сетчатки, избегая макулярной области. Чаще применяется при второй стадии диабетической ретинопатии с обширными зонами ишемии. Правильно выполненная ПРЛК на ранних стадиях пролиферации является достаточно эффективным методом лечения диабетической ретинопатии.
В далеко зашедших случаях показано хирургическое вмешательство , а именно субтотальная витрэктомия (почти полное удаление стекловидного тела) с удалением задней пограничной мембраны, которая прикреплена по окружности диска зрительного нерва [6] .

Показаниями для витрэктомии служат:
- витреальное кровоизлияние (постоянно кровоточащие сосуды);
- наличие спаек;
- отслойка сетчатки.
Для многих пациентов с тяжёлым течением диабетической ретинопатии витрэктомия является единственным вариантом сохранения зрения.
Прогноз. Профилактика
Во многом прогноз зависит от стадии диабетической ретинопатии и степени тяжести сахарного диабета. Наиболее неблагополучный вариант будущего возможен при пролиферативной стадии заболевания, так как на этом этапе возникают различные осложнения, которые приводят к значительной потере остроты зрения и слепоте.
Для сохранения зрения пациенту с сахарным диабетом крайне важно следить за основным заболеванием и артериальной гипертензией, строго следовать всем назначениям эндокринолога и терапевта, постоянно наблюдаться у офтальмолога. Если внезапно стала снижаться острота зрения или появились другие жалобы на состояние глаз, то необходимо незамедлительно обратиться к специалисту [10] .
Отдалённые результаты лазеротерапии у недоношенных детей
1. Бойчук И.М., Кацан С.В., Стоянова Е.С., Заичко Е.С. Нарушение рефракции и косоглазие у детей с ретинопатией недоношенных // Офтальмологический журнал. - 2013. - № 2. - С. 26-29.
2. Катаргина Л.А., Коголева Л.В., Белова М.В., Мамакаева И.Р. Клинические исходы и факторы, ведущие к нарушению зрения у детей с рубцовой и регрессивной ретинопатией недоношенных // Клиническая офтальмология. - 2009. - № 3. - С. 108-112.
3. Катаргина Л.А., Коголева Л.В., Мамакаева И.Р. Состояние рефракции у детей с ретинопатией недоношенных первых 2 лет жизни // Российский офтальмологический журнал. - 2009. - № 3. - С. 25-28.
4. Катаргина Л.А., Коголева Л.В., Белова М.В. Поздние осложнения регрессивной/рубцовой ретинопатии недоношенных // Российский офтальмологический журнал. - 2010. - № 3. - С. 49-53.
5. Соловьева С.Ю., Жукова О.В., Мальцева И.А. и др. Анализ изменений органа зрения в отдалённом периоде у детей, перенёсших ретинопатию недоношенных (1-5 стадии) // Ретинопатия недоношенных 2016: Сб. тр. научно-практ. конф. - М., 2016. - С. 155-157.
6. Трояновский Р.Л., Синявский О.А., Солонина С.Н. и др. Ретинопатия недоношенных как пожизненная болезнь: предупреждение и лечение отслоек сетчатки у детей и взрослых // Невские горизонты - 2014: Материалы научно-практ. конф. - СПб., 2014. - С. 207-210.
7. Park K.H., Hwang J.M., Choi M.Y. et al. Retinal detachment of regressed retinopathy of prematurity in children aged 2 to 15 years // Retina. - 2004. - № 3. - P. 368-375.
8. Ricci B. Refractive errors and ocular motility disorders in preterm babies with and without retinopathy of prematurity // Ophthalmologica. - 1999. - № 5. - Р. 295-299.
Исход и осложнения лазеротерапии ретинопатии недоношенных детей
предоставляем актуальную медицинскую информацию от ведущих специалистов, помогая врачам в ежедневной работе
Для цитирования: Методика лазерного лечения прогрессирующей ретинопатии недоношенных с различными вариантами течения. Клиническая офтальмология. 2006;7(4):156.
Laser treatment of progressiv retinopathy of prematurity with different courses of disease
S.A. Korotkih, E.A. Stepanova, P.V. Kulakova
State Medical Academy, Ekaterinburg
Purpose. The development of an original laser coagulation technique in retinal avascular zones with intent to increase the efficacy of progressive stages of ROP treatment.
Materials and methods. More than 100 patients of our centre (including 58 children diagnosed with malignant form of the disease) have been operated on with diode photo coagulator “Keeler Multilaser 1500”. An original technique of diode coagulation was used to increase the efficacy of laser treatment. The technique consisted in blocking the largest possible area of avascular retina with the volume of coagulation approaching 100%. Having received laser treatment a course of parabulbar injections of retinalamin was prescribed for retinal and vascular protection.
Two groups of patients comparable according to hazards of developing ROP were selected. The control group comprising 24 children with progressive ROP (10 patients among them were diagnosed with plus-disease) received conventional laser treatment. The experimental group composed of 31 children with progressive ROP, including 11 cases of plus-disease, received laser treatment using the new technique.
Results and discussion. The follow-up period after the procedure comprised from 6 to 36 months. There was a notably higher stabilization rate of both regular course of ROP (91, 2%) and plus-disease (75%). We consider negative outcomes to be either the result of retarded treatment or bigger intervals between the stages of treatment, when the proliferation syndrome is impossible to control.
Conclusions
1. The incidence of ROP stabilization after received laser treatment was higher in the experimental group both in cases of regular ROP (91, 2%) and plus-disease (75%).
2. There was a notably higher efficacy of treatment (especially in the case of plus-disease) using the method of maximum coagulation of avascular retinal zones.
3. Laser treatment should be prescribed at earlier stages of the diagnosed plus-disease (at stage 2 or having detected the initial signs of extraretinal growth).
Литература
1. Асташева И.Б., Сидоренко Е.И. Молниеносная ретинопатия недоношенных («плюс-болезнь»): распространенность, факторы риска, критерии диагностики и варианты течения. // Вестн. офтальмол.- 2002.- №6.- с.5-9.
2. Асташева И.Б., Сидоренко Е.И., Аксенова И.И. Лазеркоагуляция в лечении различных форм ретинопатии недоношенных. // Вестн. офтальмол.- 2005.- №2.- с.31-34.
3. Володин Н.Н. «Ретинопатия недоношенных». // Методические рекомендации для врачей. - М. - 2003. - 23 с.
4. Катаргина Л.А., Хватова А.В., Коголева Л.В., Дементьева Г.М. Особенности ретинопатии недоношенных, протекающей как «плюс-болезнь». // Вестн. офтальмол.- 2002.- №6.- с.3-5.
5. Катаргина Л.А., Хватова А.В., Коголева Л.В., Денисова Е.В. Проблемы и перспективы профилактического лечения ретинопатии недоношенных. // Вестн. офтальмол.- 2005.- №2.- с.38-41.
6. Парамей О.В., Захарченко А.В., Валявская М.Е. Восьмилетний опыт криолечения активной ретинопатии недоношенных: тактика ведения больных и результаты. // Вестн. офтальмол.- 2005.- №2.- с.34-38
7. Фомина Н.В., Сайдашева Э.И. О лазерном лечении активной фазы ретинопатии у недоношенных детей в Санкт-Петербурге. // Материалы юбилейной научной конференции, посвященной 70-летию основания первой в России кафедры детской офтальмологии «Современные проблемы детской офтальмологии».- Санкт-Петербург.- «Пиастр».- 2005.- с.183-184.
8. Хватова А.В., Катаргина Л.А., Коголева Л.В., Дементьева Г.М. и др. Активные и рубцовые стадии ретинопатии недоношенных. Диагностика и контроль за лечением. // Пособие для врачей. - М., 1998. - 16 с.
9. Хватова А.В., Катаргина Л.А., Дементьева Г.М., Коголева Л.В., Фролова М.И., Скрипец П.П. Эффективность выявления и профилактического лечения ретинопатии недоношенных. // Вестн. офтальмол.-2000.- №5.- с.34-37.
10. Noonan C.P., Clarс D. I. Trends in the management of stage 3 retinopathy of prematurity. // Br. J. Ophthalmol. - V.80. - P. 278-281.
Рубцовая/регрессивная фаза ретинопатии недоношенных (РН) характеризуется многообразием клинической картины, особенно у детей, перенёсших пороговую стадию болезни [2]. Рубцовым изменениям сетчатки обычно сопутствуют аномалии рефракции, чаще всего близорукость (до 65-75,5%), сложный астигматизм (15-25%), анизометропия (16-20%), амблиопия высокой степени (56,5%), косоглазие (10-20%), нистагм, атрофия зрительного нерва (13%), реже глаукома, катаракта и другая патология [1-3, 5, 8].
Поздние осложнения рубцовой РН наблюдаются у 31,2% детей [4], наиболее опасны прогрессирующие периферические дистрофии и поздние отслойки сетчатки (20,1%) [2], манифестирующие в возрасте от 6-10 месяцев до 17 лет и старше [4, 6, 7].
Исследовать состояние органа зрения у недоношенных детей, перенёсших пороговую стадию активной РН.
Материал и методы
В динамике обследовано 80 пациентов (134 глаза) в возрасте от 3 до 19 лет (средний возраст 10,5 лет). Всем детям в раннем возрасте при прогрессировании активной РН до пороговой стадии была выполнена транссклеральная лазеркоагуляция сетчатки диодным лазером с длиной волны 810 нм. Срок гестации недоношенных детей варьировал от 24 до 34 недель (28,8±1,7), масса тела при рождении от 600 до 2070 граммов (1314±296). Из исследования были исключены глаза с неблагоприятными исходами (прогрессирование РН до частичной или тотальной отслойки сетчатки в активном периоде) и парные глаза, не подвергавшиеся лазерным вмешательствам.
Обследование включало визометрию, авторефрактометрию, биомикроскопию, бинокулярную офтальмоскопию, фоторегистрацию изменений глазного дна, по показаниям ультразвуковое и электрофизилогическое исследование и оптическую когерентную томографию. В ходе работы исследовали зрительные функции (корригированная острота зрения - КОЗ) и состояние органа зрения: наличие и характер рубцовых изменений сетчатки и сопутствующую офтальмопатологию.
Аномалии рефракции были зафиксированы у 69 детей (118 глаз) (86,2%): миопия на 78 глазах (58,2%), гиперметропия - на 29 (21,6%), смешанный астигматизм - на 11 (8,2%). Степень миопии варьировала от 1,0 до 22,0 дптр. (в среднем 5,82 дптр), при этом миопия высокой степени была отмечена на 30 глазах (38,4%).
Анизометропия от 1,75 до 10,25 дптр (в среднем 4,75 дптр) зафиксирована у 22 детей (27,5%). Астигматизм в пределах от 1,25 до 6,0 дптр присутствовал в 43,2% случаев (58 глаз), в среднем составляя 2,35±0,78 дптр.
Косоглазие (в том числе паралитическое) развилось у 36 детей (45%), у пятерых детей присутствовал выраженный горизонтальный нистагм, у 4 вторичная глаукома и осложнённая катаракта; реже наблюдали помутнение роговицы, птоз, хориоретинит. Частичная атрофия зрительных нервов, по данным объективных исследований, подтверждена у 5 пациентов.
КОЗ у недоношенных детей варьировала в широких пределах: от 0,01 до 1,0 (составив в среднем 0,55±0,27). В 14,9% случаев острота зрения была равна 1,0, в то же время в 15,6% случаев КОЗ не превышала 0,1. Обычно низкие зрительные функции у детей были обусловлены сочетанием анатомических факторов (рубцовые изменения сетчатки, гипоплазия макулы, атрофия/гипоплазия зрительного нерва и др.) с рефракционными нарушениями/амблиопией и частой сопутствующей патологией центральной нервной системы. У детей с минимальными рубцовыми изменениями сетчатки средняя КОЗ составила 0,64, у детей с 3-й степенью рубцовой РН КОЗ была достоверно ниже - 0,40 (p<0,001).
Поздние осложнения в виде периферических витреохориоретинальных дистрофий наблюдали у 9 детей (11,2%), у 4 из них развилась поздняя отслойка сетчатки в возрасте от 1 года до 16 лет. Детям проводились: дополнительная лазеркоагуляция, пломбирование склеры, витреоретинальные вмешательства.
Успешно выполненная в активную фазу РН лазеротерапия позволяет сохранить анатомическое строение сетчатки и глаза. Однако зрительные функции у недоношенных детей не всегда коррелируют с состоянием сетчатки. Частые нарушения рефракции, глазодвигательного аппарата и другая офтальмопатология значительно снижают остроту зрения даже при минимальных рубцовых изменениях сетчатки. Прогрессирование с возрастом дегенеративных изменений сетчатки грозит её поздними отслойками с потерей зрения. Наличие в анамнезе у детей ретинопатии недоношенных требует пожизненного активного наблюдения данной группы пациентов.
Читайте также:
