Изменения ЭКГ при инфаркте миокарда. ЭКГ при острой фазе инфаркта миокарда
Добавил пользователь Валентин П. Обновлено: 21.01.2026
Инфаркт миокарда - одно из самых опасных заболеваний сердечно-сосудистой системы, имеющее летальность до 35%. Я убежден в том, что статистические показатели можно заметно улучшить, если больные будут владеть простыми навыками распознавания признаков патологии и оказания первой помощи. Здесь я хочу рассказать о ведущих клинических симптомах болезни, диагностике и лечении. Эти знания однажды могут спасти жизнь.
Что это такое
Начнём с определения. Инфаркт миокарда представляет собой некроз сердечной мышцы, возникший в результате острого нарушения кровоснабжения органа. Главным фактором является длительность ишемии. Если боль, обусловленная недостатком питания сердца, превышает 15-20 минут, то необратимых изменений не избежать. В 99,9% случаев развивается инфаркт левого желудочка, так как именно он берёт на себя всю основную нагрузку.
По объёму вовлечённых тканей выделяют:
- крупноочаговый или инфаркт миокарда с зубцом q;
- мелкоочаговый или инфаркт миокарда без зубца q.
При наличии зубца Q на электрокардиограмме патологию называют Q-инфарктом миокарда.
Причины
В норме сердце получает кровь посредством коронарных сосудов.
Выделяют целый ряд факторов, из-за которых гемодинамика может быть нарушена:
- Атеросклеротическое поражение венечных артерий, питающих сердце. Кроме сужения просвета сосудов наблюдается изъязвление бляшек и наложение в данных очагах тромботических масс, которые ещё больше усугубляют ситуацию, приводя практически к полной окклюзии.
- Острый тромбоз артерий. Тромбы чаще всего образуются в венах нижних конечностей на фоне длительной гиподинамии или варикозной болезни.
- Длительный спазм коронарного русла, который возникает на фоне целого спектра патологий центральной нервной системы (черепно-мозговые травмы, систематические стрессы, невроза и т.п.)
Врачи так же выделяют целый ряд факторов риска, способствующих развитию сосудистой катастрофы:
- сахарный диабет;
- гипертоническая болезнь или симптоматическая артериальная гипертензия;
- вредные привычки (курение, злоупотребление алкоголем и наркотиками);
- ожирение (индекс массы тела выше 30);
- малоподвижный образ жизни;
- дислипидемия (повышение общего холестерина и ЛПНП);
- мужской пол;
- возраст более 45 лет.
Больше информации о факторах рисках и том, как с ними бороться, читайте по ссылке.
Я уверен, что у вас имеется минимум несколько подобных критериев. Если их вовремя не устранить (большинство из них корригируемые), то в будущем не избежать такого грозного осложнения, как инфаркт миокарда. Пожалуйста, не забывайте, что чем раньше начата профилактика, тем меньше риск развития серьезной патологии.
Классификация
Принципов систематики данного заболевания множество и они различаются в разных странах. Остановимся на основных типах, которые имеют практическое значение.
В зависимости от этапа развития некроза выделяют следующие стадии:
- Острейшая - до 6 часов от начала развития. Именно в этот период можно попытаться устранить причину окклюзии коронарных артерий, что приведёт к полному восстановлению жизнедеятельности кардиомиоцитов.
- Острая - от 6 часов до 2 недель.
- Подострая - от 14 дней до 2 месяцев.
- Период рубцевания. Продолжается до 5-10 лет, в ряде случаев может наблюдаться пожизненно.
Классификация заболевания по стадиям основана на ЭКГ-признаках. С тонкостями диагностики мы разберёмся позднее.
К сожалению, статистика показывает, что второй вариант встречается лишь в 20% случаев. При мелком очаге поражения функции миокарда практически не нарушаются, а вероятность развития фатальных осложнений (аневризма с тампонадой сердца, острая сердечная недостаточность) близка к нулю. Все больные быстро возвращаются к привычной жизни. Бывали случаи, когда они самостоятельно сбегали из отделения.
Клиническая картина
Симптоматика заболевания крайне разнообразная.
В продромальном периоде (несколько часов до сосудистого осложнения) больных может беспокоить:
- гипертонический криз;
- приступ нестабильной стенокардии (при наличии ИБС в анамнезе);
- эпизоды аритмий;
- изменение общего состояния (взволнованность, резкие головные боли, повышенная потливость).
Любые изменения состояния организма (особенно в возрасте от 45 лет и при наличии серьёзных сердечно-сосудистых заболеваний) должны насторожить. Всегда рекомендую своим больным в таких ситуациях бросить все дела, присесть или прилечь на кровать, а затем измерить артериальное давление и пульс. При наличии нарушений - принять соответствующие медикаменты, заранее рекомендованные лечащим врачом, или вызвать бригаду скорой помощи.
Типичная клиническая картина сходна практически у всех пациентов.
Болевой синдром носит интенсивный характер и всегда локализуется за грудиной. Может наблюдаться иррадиация в левое плечо и предплечье, лопатку. Реже развивается дискомфорт в горле и эпигастральной области.
Важный признак - длительность болей свыше 15 минут и полное или частичное отсутствие эффекта от приёма «Нитроглицерина». Если у вас наблюдаются подобные симптомы - срочно вызывайте скорую помощь. Ни в коем случае нельзя принимать анальгетики. Они могут смазать картину боли и обеспечить мнимое благополучие, при котором некроз будет продолжать бессимптомно прогрессировать.
Нарушение функций сердца
При q-образующем инфаркте миокарда могут иметь место признаки сердечной недостаточности со стороны малого (одышка до 40 дыхательных движений в минуту, малопродуктивный кашель с прожилками крови) или большого (отёки ног, бледность кожных покровов, акроцианоз, эпизоды потери сознания) кругов кровообращения.
В зоне некроза часто оказываются зоны проведения импульсов, которые обеспечивают сокращение и расслабление органа.

ЭКГ при инфаркте миокарда
При этом чаще всего наблюдаются:
- экстрасистолия; ;
- АВ-блокады любой степени; .
Практика показывает, что при развитии таких осложнений вероятность смертельного исхода возрастает в несколько раз, так как значительно нарушается местная и общая гемодинамика.
Большую опасность представляют собой атипичные формы инфаркта миокарда:
- - боли в верхних отделах живота, тошнота, рвота,вздутие. Признаки напоминают обострение гастрита или панкреатита.
- Астматическая. При таком варианте быстро нарастает одышка, напоминая симптоматику бронхиальной астмы.
- Безболевая. У больных имеется только слабость и различные проявления осложнений (изменение окраса кожных покровов, угнетение сознания). Типична для лиц с сахарным диабетом.
- Церебральная - головокружения, нарушения сознания, бред, галлюцинации.
- Периферическая. При данной форме боли в области сердца отсутствуют полностью, но могут наблюдаться в прочих участках тела: левый мизинец, нижняя челюсть, шейно-грудной отдел позвоночника.
- Отёчная. В течение нескольких минут нарастают отёки ног и внутренних полостей с развитием асцита, гепатомегалии.
При наличии патологий со стороны сердечно-сосудистой системы любое изменение поведения организма должно насторожить вас. Хоть частота развития подобных форм низкая (за последний год встречал около 20 таких больных, что составляет 1-2% от общего потока поступающих), не обращать внимания на них нельзя.
Диагностика
Ведущим методом распознавания заболевания является ЭКГ, который может быть выполнен после приезда скорой помощи.

Точки наложения электродов при снятии электрокардиограммы
Изменения кривой отличаются в зависимости от стадии инфаркта миокарда.
Подъём сегмента ST, зубец Q остаётся положительным.
Появление патологического Q, уменьшение амплитуды зубца R, замедление подъёма сегмента ST по сравнению с предыдущей стадией. Tлибо сглажен (располагается на изолинии), либо отрицательный.
Подострый (время начала рубцовых изменений)
Зубец Q остаётся, ST приходит в нормативное расположение (на линии), T-резко отрицательный.
Наличие Q, зубец T постепенно возвращается на изолинию.
Совет специалиста
Сейчас существует множество электронных браслетов, которые кроме показа времени и подсчёта шагов позволяют регистрировать ЭКГ в нескольких отведениях (как правило, в двух). Точки приложения электродов представлены на фото.
Если вы хотите самостоятельно распознать инфаркт миокарда, то просто сравните, похожа ли линия на электрокардиограмме на кошачью спинку, где зубец R является головой кота, сегмент ST - спиной, а правая часть контура T - опущенным хвостом. Посмотрите на изображения. Всё крайне просто, не так ли? Q-инфаркт миокарда будет отличаться лишь наличием патологического зубца.
Большое значение имеет выявление локализации очага некроза. Его легко обнаружить, зарегистрировав вышеописанные изменения в определённых отведениях:
- боковая стенка - I, aVL,V5, V6;
- перегородка - V3;
- передняя область - I, V1 и V2;
- нижняя стенка - II,III, avF;
- верхушка - V
Попутно, при изучении электрокардиограммы, определяются различные нарушения ритма.
Следует отметить, что инфаркт без зубца q имеет некоторые отличия. Вольтаж (дистанция подъёма или опущения) элементов ЭКГ значительно менее выражены, а главный признак крупноочагового поражения (Q) отсутствует.
Лабораторная диагностика
Существуют и другие методы, подтверждающие наличие диагноза. К ним относят:
- Общий анализ крови (наблюдается лейкоцитоз, повышение СОЭ); - маркёр некроза поперечно-полосатой мускулатуры. Однако он так же будет положительным, при поражении любой скелетной мышцы.
Оба метода могут подтвердить наличие инфаркта миокарда лишь спустя 6-8 часов и выполняются на стационарном уровне после госпитализации больного.
Инструментальная диагностика
Обычно одними лабораторными тестами дело не ограничивается. Дополнительную помощь может оказать коронография - введение контрастного вещества в коронарные артерии, которое визуализируется на рентгенограмме. Метод позволяет оценить локализацию очага поражения, степень окклюзии, а так же принять решение относительно дальнейшего лечения.
Первая помощь
Если у Вас или ваших близких случилась подобная неприятная ситуация - не паникуйте.
Можно предпринять определённый ряд действий, которые помогут облегчить общее состояние:
- Вызвать бригаду скорой медицинской помощи.
- Уложить больного на кровать с приподнятым изголовьем или подложить под спину и шею подушки.
- Обнажить грудную клетку, открыть окна. Нужно как можно больше свежего воздуха.
- Каждые 5 минут давать под язык «Нитроглицерин» или «Нитроспрей». Важно обязательно контролировать давление перед новой дозой нитропрепаратов. Если оно ниже 100/60 мм. рт. ст. или близко к этим цифрам, то оказание медикаментозной помощи следует прекратить. Нужно так же следить за ЧСС, чтобы она не превышало 100 ударов/мин.
- Дать «Аспирин» в дозе 300 мг.
Ни в коем случае не следует употреблять обезболивающие средства и прочие медикаменты. Они могут исказить картину боли и привести к более тяжёлым последствиям.
Лечение
Если специалисты после осмотра и проведения ЭКГ установили диагноз: «Инфаркт миокарда», то они экстренно госпитализируют больного, оказывая неотложную помощь в медицинской карете:
- «Ацетилсалициловая кислота» 0,3, если она не была дана ранее;
- «Бисопролол» 0,0125;
- «Морфин» 1 мл 1% раствора - для купирования болевого синдрома;
- «Атропин» 0,1% 1 мл - при признаках гипотонии и брадикардии;
- «Клопидогрель» 0.3;
- «Гепарин» — 70 ЕД на каждый килограмм массы тела пациента, но не более 4 000 ЕД;
- кислородотерапия - при одышке или других признаках дыхательной недостаточности.
Больной доставляется в реанимационное отделение кардиохирургического стационара. Если с момента инфаркта прошло менее 6 часов - проводится системный или локальный тромболизис. На более поздних сроках - аорто-коронарное шунтирование или постановка стенка.
В больнице назначается симптоматическая терапия.
Методы лечения:
- Предупреждение развития аритмий. Используются b-блокаторы («Метопролол», «Атенолол», «Карведилол»), антагонисты кальциевых каналов («Верапамил», «Амиодарон», «Нифедепин»).
- Профилактика тромбоэмболических осложнений («Гепарин», «Ксарелто», «Клексан»).
- Обезболивание («Фентанил» и «Дроперидол»).
- Предотвращение повторной ишемии миокарда («Нитроглицерин», «Изосорбида динитрат»).
После выхода из реанимации (2-3 сутки) назначается строгая диета с уменьшением пищи по объёму и её калорийности. Исключаются острые, жареные, жирные блюда. Приёмы еды должны быть частыми - до 6-8 раз в день.
Личный опыт показал, что больные, которые не пытались купировать ангинозные боли самостоятельно, а срочно обратились за медицинской помощью, имеют более хорошие шансы на благоприятный исход. В 10% случаев наблюдается полное восстановление сердечной мышцы.
Клинический пример
Встречаются ситуации, когда клиническая картина инфаркта миокарда настолько слабо выражена, что больные не придают ей должного значения и не обращаются за помощью к специалистам.
Больная Д. 59 лет. Пришла ко мне на приём с жалобами на частые загрудинные боли, появление отёков ног и увеличение живота в объёме, одышку при ходьбе на маленькие дистанции.
При физикальном обследовании выявлено повышение артериального давления (165/105 мм.рт.ст.), акроцианоз, отёки ног и асцит. Выслушиваются влажные хрипы в лёгких (нижние отделы), акцент IIтона над аортой. Левая граница сердца смещена влево (на 2 см кнаружи от среднеключичной линии).
В ходе обследования был поставлен диагноз: «ИБС. Стабильная стенокардия напряжения. 3ФК. Состояние после инфаркта миокарда. ГБ 3 ст. АГ 2 ст. Р4. Н2б. ДЛЖ, микроальбуминурия».
Основополагающими методами диагностики были:
- ЭКГ (перегрузка правых отделов сердца, ГЛЖ, рубцовые изменения после ИМ);
- Эхо-КГ (гипокинезия передней и боковой стенки левого желудочка, ДЛЖ и ГЛЖ);
- ОАМ (микроальбуминурия - 0.03 г/л);
- обзорная рентгенография ОГК (застойные явления в лёгких, повышение КТИ).
Получается, что больная в прошлом (около 4-5 лет назад) перенесла инфаркт миокарда с поражением переднебокового отдела левого желудочка. Терапия назначена не была, участки сердца перестали адекватно работать, что привело к застою в малом и большом кругах кровообращения за счёт массивного ремоделирования миокарда. Рекомендованы препараты: «Эналаприл», «Гидрохлортиазид», «Нитроглицерин - при болях за грудиной», «Изосорбида динитрат», «Месидол», «Курантил». Подобная терапия замедлит патологические изменения и продлит жизнь пациентке.
Таким образом, патология представляет серьёзную проблему, способную забрать человеческую жизнь. При инфаркте миокарда, особенно подтверждённом обилием клинических признаков, следует срочно начать оказание первой помощи, предварительно вызвав бригаду врачей. Только уверенные действия и полное спокойствие дают надежду на успех.
Для подготовки материала использовались следующие источники информации.
Стадии развития инфаркта миокарда: длительность и характеристики
При поступлении больного в стационар я, как врач-кардиолог, всегда определяю, на каком этапе находится заболевание: провожу ЭКГ в динамике, оцениваю результаты анализа крови и общее состояние пациента. Это позволяет определиться с дальнейшими действиями по оказанию помощи. Давайте разберемся, какие выделяют стадии инфаркта миокарда по времени, чем они отличаются друг от друга и что происходит в каждый период с сердечной мышцей.
Инфаркт миокарда по стадиям
У большей части пациентов инфаркт миокарда развивается постепенно. Сначала у больного со стенокардией увеличивается частота и продолжительность сердечных приступов, снижается порог физической нагрузки, возникают боли в загрудинной области, которые не беспокоили уже много лет. А «Нитроглицерин» не купирует болевой синдром так быстро, как раньше.
После начала приступа и появления стойкой ишемии и некроза выделяется 4 стадии развития инфаркта, каждая имеет свои клинические симптомы и проявления на кардиограмме.
Острейшая стадия
Длительность — от 10-20 минут до нескольких часов. Нестабильная стенокардия перерастает в инфаркт:
- Резко возникшая боль уже не купируется нитратами и проходит после использования наркотических анальгетиков.
- Боль давящая, сжимающая, пекущая.
- При классическом проявлении определяется в груди слева, отдает под левую лопатку, ключицу, шею, нижнюю челюсть, половину головы.
При объективном осмотре:
- Бледные кожные покровы, холодный пот, синий носогубный треугольник.
- Аускультативно отмечается приглушение I тона в зоне верхушки.
- Частота пульса меняется. По данным статистики, нарушение ритма и проводимости, тахикардия или брадикардия, наблюдается у 90% больных.
- Давление сначала повышается, а потом падает.
- Появляется одышка, в некоторых случаях наблюдаются признаки легочной недостаточности.
- В анализе крови отмечается рост уровня тропонина и миоглобина.
На ЭКГ отмечается резкое снижение зубца R, значительный подъем ST выше изолинии и его слияние с T (монофазная кривая).
Морфология ткани изменяется. Очаг повреждения имеет отчетливые границы, миокард становится бледным, отечным. На вторые сутки область ишемии желтеет, у нее появляется демаркационная линия.
Подробнее о признаках инфаркта на ЭКГ можно прочесть здесь.
Острая
Продолжается до 10 дней. Ангинозная боль, характерная для острейшей стадии, проходит. Сохраняется пониженное давление, нарастают признаки сердечной недостаточности. Почти всегда прогрессируют нарушения ритма и проводимости. В первые двое суток на первое место выходит резорбционно-некротический синдром:
- Повышается температура, не выше 37,5 °C. Если показатель выше, то это свидетельствует о присоединении инфекции. Продолжается 5-7 дней.
- Увеличивается уровень лейкоцитов в крови, преимущественно нейтрофилов, увеличивается СОЭ.
- В крови определяются маркеры некроза сердечной мышцы (повышение миоглобина, АЛТ, АСТ, тропонина).
На кардиограмме острая стадия развившегося инфаркта миокарда проявляется четко, особенно при обширном поражении. В это время происходит формирование патологического зубца Q, T становится отрицательным, ST сохраняет позицию выше изолинии.

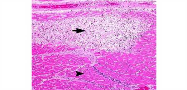
На гистологическом срезе хорошо виден участок повреждения с лизисом ядер и некротическим распадом клеток (стрелка вверху). Внизу указатель обозначает демаркационную область с инфильтрацией ткани лейкоцитами, образованием новых капилляров и отека. Она находится на границе области инфаркта и нормального миокарда.

Подострая
Подострая стадия инфаркта миокарда длится от 10 дней до 1-2 месяцев. Для этого периода характерными признаками являются:
- Полное прекращение боли в сердце.
- У многих больных — восстановление проводимости и ритма.
- Нормализация дыхания.
- Тоны сердца становятся громче или остаются приглушенными (в зависимости от степени повреждения).
- Температура и картина общего анализа крови приходит в норму.
- Давление нормализуется.
ЭКГ: Зубец Q переходит сразу в R, при крупноочаговом поражении R исчезает, желудочковый комплекс приобретает вид QS, ST возвращается к изоэлектрической линии, T становится отрицательным.
Если сделать срез в это время и рассмотреть микропрепарат, то на нем будет четко определяться область поражения серо-розового оттенка с красной каймой по периферии.
Рубцевание
Развивается на протяжении 2-6 месяцев от начала заболевания. В стадии рубцевания (формирования кардиосклероза) наблюдаются восстановительные процессы, миокард приспосабливается к работе в новых условиях:
- У многих пациентов развивается гипертрофия левого желудочка (компенсаторный механизм).
- Постепенно возвращается к исходным показаниям пороговая толерантность к физическим нагрузкам.
- Очень редко наблюдаются эпизоды нарушения ритма, у большей части больных ритм нормализуется.
- Возрастает вероятность появления истерий, фобий и других неврологических отклонений.
Кардиограмма показывает уменьшение патологического зубца Q, ST сохраняется на изолинии, снижается амплитуда отрицательного T или он переходит на изолинию. Это признак формирования рубца.
При гистологическом исследовании это выглядит как белое образование, немного западающее внутрь и состоящее из грануляций. Повторные инфаркты, стенокардия и гипертония приводят к развитию кардиосклероза там, где таких участков много и они не могут выполнять прежние функции. Морфогенез таких изменений хорошо виден на приложенном фото.

Ниже можно увидеть динамику изменения лабораторных показателей, в зависимости от времени развития некроза.
Клинический случай
В стационар поступил пациент с сильными загрудинными болями, которые отмечались на протяжении трех дней. Прием анальгетиков и «Нитроглицерина» не приносил облегчения. Ранее был поставлен диагноз стенокардии напряжения ФК II. За неделю до приступа испытал сильный стресс, состояние ухудшалось. На кардиограмме определился крупноочаговый инфаркт с локализацией в передней стенке, острая стадия. В крови — повышение миоглобина и тропонина.
Через месяц стационара пациент был выписан для лечения в амбулаторных условиях. ЭКГ показало рубцевание в области поражения, показатели крови пришли в норму.
При появлении первых признаков инфаркта меры следует принимать незамедлительно. Я советую сразу звонить в скорую помощь, и пока врач едет, обеспечить больному полный покой, усадить или уложить в такое положение, которое максимально облегчит состояние. Дать «Корвалол», «Нитроглицерин», «Аспирин», проветрить помещение.
Самым опасным является острейший период, который обычно проявляется очень сильной болью, одышкой, нарушениями ритма. От быстроты и правильности действий находящегося рядом человека зависит жизнь пациента. Лучше всего при вызове врача описать симптомы, чтобы могла приехать специализированная бригада, которая снимет ЭКГ, даст кислород и введет препараты для ограничения зоны некроза.
Инфаркт миокарда на ЭКГ: фото пленок и принципы расшифровки
Инфаркт миокарда (ИМ) представляет собой острую форму ишемической болезни сердца. Возникает вследствие внезапного нарушения кровоснабжения сердечной мышцы, из-за закупорки (тромбоза) атеросклеротической бляшкой одной из венечных артерий. Это приводит к некрозу (гибели) определенного количества клеток сердца. Изменения при таком заболевании можно увидеть на кардиограмме. Виды инфаркта: мелкоочаговый - охватывает менее половины толщины стенки; крупноочаговый - больше ½; трансмуральный - поражение проходит сквозь все слои миокарда.
Признаки патологии на пленке
Электрокардиография на сегодня − наиболее важный и доступный метод диагностики инфаркта миокарда. Делают исследование с помощью электрокардиографа − аппарата, который трансформирует сигналы, полученные от работающего сердца, и превращает их в кривую линию на пленке. Запись расшифровывает врач, сформировав предварительное заключение.
К общим диагностическим критериям ЭКГ при инфаркте миокарда относят:
Может ли ЭКГ не показать инфаркт
Есть ситуации, когда признаки ИМ на ЭКГ не очень убедительны или вовсе отсутствуют. Причем случается это не только в первые часы, а даже на протяжении суток с момента заболевания. Причина подобного явления − зоны миокарда (левый желудочек сзади и его высокие отделы спереди), которые не отображаются на рутинной ЭКГ в 12 отведениях. Поэтому картину, характерную для ИМ, получают только при снятии электрокардиограммы в дополнительных вариантах: по Небу, по Слапаку, по Клетену. Также для диагностики используют кардиовизор - прибор, определяющий скрытые патологические изменения в миокарде.
Определение стадии
Раньше выделяли четыре стадии ИМ:
- острейшая;
- острая;
- подострая;
- рубцевания.
В последних классификациях первая стадия носит название острого коронарного синдрома (ОКС).
- Увеличение высоты зубца Т (высокий и заостренный).
- Смещение ST вверх (элевация) или вниз (депрессия) от изолинии.
- Слияние ST и T.
- Патологический зубец Q или QS.
- Уменьшение зубца R.
- Смещение ST ближе к изолинии.
- Формируется T (в основном отрицательный, «коронарный Т»).
- Патологический зубец Q или QS.
- ST на изолинии.
- Уменьшение глубины T, который прежде был отрицательным.
- Патологический зубец Q или QS сохраняется.
- ST на изолинии.
- Т бывает: отрицательным, изоэлектрическим, слабоположительным.
К свойствам первых трех стадий относятся реципрокные изменения - при сравнении, в отведениях, противоположных патологическому процессу, наблюдают обратные ему отклонения (элевация вместо депрессии, положительный Т взамен отрицательного).
Фото с расшифровкой

Рис. 1. Острый коронарный синдром.

Рис. 2. Острый коронарный синдром-2.

Рис 3. Острый инфаркт миокарда.

Рис. 4. Подострый инфаркт миокарда.

Рис. 5. Стадия рубцевания.
Как определить очаг инфаркта по ЭКГ
Каждое отведение отображает изменения от определенного участка сердечной мышцы. Для лучшего понимания, какая же локализация инфаркта миокарда по ЭКГ, рассмотрим соответствие области сердца и отведения:
- І - левый желудочек (ЛЖ) спереди и сбоку;
- ІІ - подтверждает І или ІІІ-отведение;
- ІІІ - диафрагмальная поверхность, сзади;
- aVL - боковая стенка ЛЖ;
- aVF - та же, что и ІІІ;
- V1, V2 - межжелудочковая перегородка;
- V3 - передняя стенка;
- V4 - верхушка;
- V5, V6 - ЛЖ сбоку;
- V7, V8, V9 - ЛЖ сзади.
Отведение по Небу:
- A - передняя стенка ЛЖ;
- I - нижнебоковая стенка;
- D - сбоку и сзади;
- V3R, V4R - правый желудочек (ПЖ).
- патологический Q, QS, QR;
- ST выше изолинии;
- T «коронарный»;
- R не увеличивается в правых грудных.
- зубец R уменьшается;
- остальные признаки, как при ИМ МЖП.
- аналогичны ИМ-верхушки, только есть еще и в V3, I и А по Небу;
- противоположные отклонения в ІІІ, aVF.
- характерные для инфаркта изменения в І, ІІ, aVL, V3 - V6, A и I по Небу;
- реципрокные изменения в ІІІ, aVF и D по Небу.
- отклонения в І, aVL;
- реципрокные изменения в V1, V2, реже в ІІІ, aVF;
- прямые особенности ИМ в дополнительных грудных.
- отклонения в V5 - V6, І, ІІ, aVL и І по Небу;
- противоположные изменения в V1 - V2.
- отклонения только в aVL.
- отклонения в ІІ, ІІІ, aVF и D по Небу;
- реципрокные изменения в І, aVL, V1 - V3.
- отклонения в ІІ, ІІІ, aVF, V5 - V6;
- противоположные изменения в V1 - V3.
- только в V3R - V4R, иногда V5R - V6R.
- PQ выше изолинии во II, III, aVF, V1 - V2 (чаще при инфаркте правого);
- PQ снижен во II, III или поднят в I, aVL, V5 - V6 (при ИМ левого предсердия).
Часто встречается обширный инфаркт, при котором повреждение охватывает большие площади сердца. В таком случае проявления на ЭКГ несут в себе совокупность отклонений из определенных областей одновременно.
Стоит быть внимательным при обнаружении полной блокады левой ножки пучка Гиса, поскольку она скрывает патологические формы инфаркта.

Рис. 6. Переднеперегородочный ИМ.

Рис. 7. ИМ с переходом на верхушку сердца.

Рис. 8. ИМ передней стенки ЛЖ.

Рис. 9. Переднебоковой ИМ.

Рис. 10. Заднедиафрагмальный ИМ.

Рис. 11. Инфаркт ПЖ.
Выводы
Описанная болезнь − крайне серьезная и жизнеугрожающая патология. От ее своевременной диагностики и лечения зависит жизнь человека. Поэтому людям следует быть очень внимательными к своему здоровью и при появлении симптомов инфаркта миокарда обращаться за неотложной помощью. Обследование такого больного обязательно начинается с ЭКГ. При подозрении на скрытые формы снимают кардиограмму в дополнительных отведениях. Если у пациента, который ранее уже перенес инфаркт, клинические признаки такой патологии, то предполагают повторный эпизод болезни. Но часто на ЭКГ из-за рубца от ранее перенесенных атеротромбозов новых изменений можно и не увидеть. В подобных ситуациях применяют дополнительные методы исследования с определением маркеров ИМ в крови.
ЭКГ при инфаркте миокарда

Весь контент iLive проверяется медицинскими экспертами, чтобы обеспечить максимально возможную точность и соответствие фактам.
У нас есть строгие правила по выбору источников информации и мы ссылаемся только на авторитетные сайты, академические исследовательские институты и, по возможности, доказанные медицинские исследования. Обратите внимание, что цифры в скобках ([1], [2] и т. д.) являются интерактивными ссылками на такие исследования.
Если вы считаете, что какой-либо из наших материалов является неточным, устаревшим или иным образом сомнительным, выберите его и нажмите Ctrl + Enter.
ЭКГ при инфаркте миокарда обладает высокой диагностической ценностью. Несмотря на это, его информативность не стопроцентна.
При неотложных и терминальных состояниях для оценки обычно используют II стандартное отведение, которое позволяет лучше дифференцировать ряд количественных показателей (например, дифференцирование мелковолновой фибрилляции желудочков от асистолии).
Диагностически значимые изменения на электрокардиограмме при остром коронарном синдроме могут проявиться значительно позже первых клинических проявлений ангинозного статуса. Для своевременного обнаружения диагностически значимых изменений следует снять ЭКГ при инфаркте миокарда как можно раньше и осуществлять повторные записи, особенно если у больного возобновляются ангинозные приступы. Регистрацию следует в обязательном порядке производить в 12 отведениях. При необходимости следует использовать дополнительные отведения (V3R и V4R, по задней подмышечной и лопаточной линям (V7-V9), в IV межреберье и т.п.).
Подъемы сегмента ST могут наблюдаться не только при инфаркте миокарда, но и при синдроме ранней реполяризации, полной блокаде левой ножке пучка Гиса, обширных рубцовых изменениях в миокарде, хронической аневризме левого желудочка, перикардите и других состояниях. Поэтому диагноз разных вариантов острого коронарного синдрома должен основываться на совокупности признаков и соотноситься с клинической картиной заболевания.
К кому обратиться?
Морфология сегмента ST и зубца Т в норме
Так как основными критериями подхода к выбору лечебной тактики острых коронарных синдромов являются изменения сегмента ST, то следует хорошо представлять морфологию сегмента ST и зубца Т в норме и патологии.
Сегмент SТ - это отрезок электрокардиограммы между концом комплекса QRS и началом зубца Т. Он соответствует периоду сердечного цикла, когда оба желудочка полностью охвачены возбуждением.
В отведениях от конечностей сегмент ST расположен на изолинии (изолиния - интервал между концом зубца T и началом зубца Р следующего сердечного цикла) с небольшими колебаниями в пределах ±0,5 мм. Изредка, в III стандартном отведении, снижение сегмента ST может превышать у здоровых людей 0,5 мм, особенно если последующий зубец T низкой амплитуды или отсутствует. В грудных отведениях VI- V3 допустима элевация SТ не более 3,5 мм, при этом сегмент SТ имеет форму «дугой вниз». У здоровых людей такой подъем сегмента ST, как правило, сочетается с глубоким зубцом S и высоким положительным зубцом Т. В грудных отведениях V4-V5-V6 допустима небольшая депрессия ST не более 0,5 мм.
Описаны пять вариантов смещений сегмента ST ниже изолинии: «горизонтальная», «косонисходящая», «косовосходящая», «корытообразная» и депрессия сегмента ST «дугой вверх».
В типичных случаях миокардиальная ишемия проявляется на электрокардиограмме депрессией сегмента ST. При ишемической болезни сердца депрессия сегмента ST чаще характеризуется как «горизонтальная», «косонисходящая» или «корытообразная». Существует достаточно обоснованное мнение, что именно горизонтальное смещение сегмента ST наиболее патогномонично для ишемической болезни сердца. Как правило, степень депрессии сегмента ST обычно соответствует выраженности коронарной недостаточности и тяжести ишемии. Чем она больше, тем серьезнее поражение миокарда. Депрессия сегмента ST > 1 мм свидетельствует об ишемии миокарда, а более 2 мм - о повреждении или некрозе миокарда. Тем не менее, этот критерий не является абсолютно достоверным. Глубина депрессии сегмента ST в любых отведениях зависит не только от степени коронарной недостаточности, но и от размера зубца R, а также может варьировать от частоты дыхания и частоты сердечных сокращений. Диагностически значима депрессия SТ более 1 мм в точке и в 2 отведениях электрокардиограммы и более. Косонисходящая депрессия ST менее типична для пациентов с ишемической болезнью сердца. Она также часто наблюдается при гипертрофии желудочков, блокаде ножки пучка Гиса, у пациентов, принимающих дигоксин и т.п.
ЭКГ при инфаркте миокарда свидетельствует о том, что острое повреждение или инфаркт миокарда может приводить не только к депрессии ST, но и к смещению сегмента SТ вверх от изолинии. Дуга сегмента ST при этом в большинстве случаев имеет форму выпуклостью в сторону смещения. Такие изменения сегмента SТ наблюдаются в отдельных отведениях ЭКГ, что отражает очаговость процесса. Для острого повреждения и инфаркта миокарда характерны динамические изменения ЭКГ.
Зубец T соответствует периоду реполяризации желудочков (то есть процессам прекращения возбуждения в желудочках). В связи с этим форма и амплитуда нормального зубца T весьма вариабельны. Зубец Т в норме:
- должен быть положительным в отведениях I, II, AVF;
- амплитуда в I отведении должна превышать амплитуду в III отведении;
- амплитуда в усиленных от конечностей отведениях составляет 3-6 мм;
- продолжительность 0,1-0,25 с;
- может быть отрицательным в отведении VI;
- амплитуда V4 > V3 > V2 > VI;
- зубцы Т должны быть конкордантны комплексу QRS, то есть, направлен в ту же сторону, что и зубец R
В норме сегмент SТ плавно переходит в Т-волну, в связи с чем конец сегмента ST в начало зубца Т практически не дифференцируется. Одним из первых изменений сегмента ST при миокардиальной ишемии бывает уплощение его конечной части, в результате чего граница между сегментом ST и началом зубца становится более четкой.
Изменения зубца Т менее специфичны и менее чувствительны, чем отклонение сегмента ST для диагностики недостаточности коронарной перфузии. Инверсия зубца Т может наблюдаться и при отсутствии ишемии как вариант нормы, либо вследствие других сердечных или внесердечных причин. Наоборот, инверсия зубца T иногда отсутствует при наличии ишемии.
Поэтому анализ морфологии сегмента ST и зубца Т проводится в комплексе с оценкой всех элементов ЭКГ, а также клинической картиной заболевания. При различных патологических состояниях сегмент ST может смешаться как вниз, так и вверх от изолинии.
Инфаркт миокарда: диагностика
Инфаркт миокарда следует предполагать у мужчин в возрасте старше 30 лет и женщин старше 40 лет (у больных сахарным диабетом - в более молодом возрасте), если ведущим симптомом является боль в груди или дискомфорт. Боль необходимо дифференцировать от боли при пневмонии, эмболии легочной артерии, перикардите, переломе ребра, спазме пищевода, остром расслоении аорты, почечной колике, инфаркте селезенки или различных заболеваниях брюшной полости. У пациентов с предварительно диагностированной грыжей, пептической язвой или патологией желчного пузыря клиницист не должен пытаться объяснить новые симптомы исключительно этими заболеваниями.
При любом ОКС подходы к ведению больного одинаковы: выполняют начальную и серию ЭКГ, исследуют активность кардиоспецифических ферментов в динамике, что позволяет различить нестабильную стенокардию, HSTHM и STHM. Каждое приемное отделение должно иметь диагностическую систему для немедленного выявления пациентов с болью в груди с целью их срочного обследования и проведения ЭКГ. Выполняют также пульсоксиметрию и рентгенологическое исследование грудной клетки (прежде всего для выявления расширения средостения, свидетельствующего в пользу расслоения аорты).
Электрокардиография
ЭКГ - наиболее важное исследование, которое необходимо выполнить в течение 10 мин после приема пациента. ЭКГ - ключевой момент в определении тактики, поскольку введение фибринолитических препаратов приносит пользу больным с STHM, но может увеличивать риск у больных с HSTHM.
В отношении больных с STHM начальная ЭКГ обычно бывает диагностической, поскольку демонстрирует подъем сегмента > 1 мм в двух или более смежных отведениях, отражающих локализацию пораженной области. Патологический зубец не обязателен для постановки диагноза. Электрокардиограмму необходимо читать тщательно, поскольку подъем сегмента может быть небольшим, особенно в нижних отведениях (II, III, aVF). Иногда внимание врача по ошибке сосредоточивается на отведениях, где присутствует снижение сегмента. При наличии характерных симптомов подъем сегмента имеет специфичность 90 % и чувствительность 45 % для диагностики инфаркта миокарда. Последовательный анализ серии данных ЭКГ (выполняют в первый день каждые 8 ч, далее ежедневно) позволяет выявить динамику изменений с постепенным обратным их развитием или появление патологических зубцов , что в течение нескольких дней позволяет подтвердить диагноз.
Поскольку нетрансмуральный инфаркт миокарда происходит обычно в субэндокардиальном или интрамуральном слое, он не сопровождается появлением диагностически значимых зубцов или существенных подъемов сегмента. Обычно такие инфаркты миокарда характеризуются различными изменениями сегмента ST-T, которые менее существенны, переменны или неопределенны и иногда интерпретируются с трудом (HSTHM). Если подобные изменения несколько улучшаются (или ухудшаются) при повторных ЭКГ, ишемия вероятна. Однако, когда данные повторных ЭКГ остаются неизменными, диагноз острого инфаркта миокарда маловероятен, и, если сохраняются клинические данные в пользу инфаркта миокарда, необходимо использование других критериев для постановки диагноза. Нормальная электрокардиограмма, полученная у пациента без боли, не исключает нестабильную стенокардию; нормальная электрокардиограмма, записанная на фоне болевого синдрома, хотя и не исключает стенокардию, свидетельствует о вероятности другой причины боли.
При подозрении на инфаркт миокарда правого желудочка обычно выполняют ЭКГ в 15 отведениях; дополнительные отведения записывают в V4R и (для выявления заднего инфаркта миокарда) в V8 и V9.
ЭКГ-диагностика инфаркта миокарда более трудна, если имеется блокада левой ножки пучка Гиса, поскольку данные ЭКГ напоминают изменения, характерные для STHM. Подъем сегмента , конкордантный комплексу QRS, свидетельствует в пользу инфаркта миокарда, как и подъем более 5 мм сегмента по крайней мере в двух грудных отведениях. В целом любой больной с клиническими признаками инфаркта миокарда и появлением блокады левой ножки пучка Гиса (или если не было известно о ее наличии до данного эпизода) получает лечение, как больной с STHM.
ЭКГ при инфаркте миокарда с зубцом Q
Крупноочаговые изменения. По ЭКГ устанавливают диагноз инфаркта миокарда с зубцом Q, определяют стадию инфаркта миокарда и локализацию крупноочаговых изменений.
Патологический зубец Q в большинстве случаев начинает формироваться через 2 ч и полностью сформировывается в пределах 12-24 ч. У части больных патологический зубец Q формируется в течение одного часа после появления симптомов инфаркта миокарда. Патологическим считают зубец Q шириной 0,04 с и более (или 0,03 с, если его глубина более 1/3 зубца R) или комплекс QS. Кроме этого, патологическим считается любой, даже «крошечный» зубец Q (q), если он регистрируется в грудных отведениях V1-V3 или в нижних отведениях (II, III, aVF) - комплексы типа qrS. Американская коллегия кардиологов предложила считать признаком инфаркта зубцы Q шириной 0,03 с и более и глубиной 1 мм и более, а также любые Q в отведениях V1-V3. Появление блокады левой ножки пучка Гиса классифицируют как «неопределенный тип ИМ» (АСС, 2001 г).
Локализация крупноочаговых изменений
Принято различать 4 основных локализации инфаркта: передний, боковой, нижний и задний. Инфаркт миокарда нижней локализации иногда называют задним или заднедиафрагмальным, а задний инфаркт называют также зад-не-базальным или «истинно задним».
Среди перечисленных локализаций инфаркта миокарда труднее всего выявить изменения задней и высокой боковой локализации. Поэтому, при отсутствии явных изменений ЭКГ у больного с подозрением на инфаркт миокарда, необходимо прежде всего исключить наличие признаков инфаркта именно этих локализаций (изменения в отведениях V1-2 или aVL).
У больных с крупноочаговым инфарктом нижней локализации довольно часто (до 50%) имеется также инфаркт правого желудочка, причем у 15% из них гемодинамически значимый ИМ правого желудочка (возникают признаки правожелудочковой недостаточности, гипотония, шок, намного чаще развивается АВ-блокада П-Ш степени). Признаком вовлечения правого желудочка является подъем сегмента ST в отведении VI у больного с нижним инфарктом. Для подтверждения наличия инфаркта правого желудочка надо зарегистрировать ЭКГ в правых грудных отведениях VR4-VR6 - подъем сегмента ST на 1 мм и более является признаком вовлечения правого желудочка. Следует отметить, что подъем сегмента ST в правых грудных отведениях сохраняется недолго - около 10 ч.
Как уже было отмечено, точное определение локализации поражения при ИМ без зубца Q по ЭКГ невозможно, т.к. депрессия сегмента ST или отрицательные зубцы Т не отражают локализации ишемии или мелкоочагового некроза миокарда. Тем не менее принято отмечать локализацию изменений ЭКГ (передне-перегородочная, нижняя или боковая) или просто указывать отведения ЭКГ, в которых регистрируются эти изменения. У 10-20% больных с ИМ без зубца Q в ранней фазе отмечается подъем сегмента ST - в этих случаях можно более-менее точно определить локализацию инфаркта миокарда (после этого обычно наблюдаются депрессия сегмента ST и/или инверсия зубцов Т).
Продолжительность изменений ЭКГ при ИМ без зубца Q может быть любой - от нескольких минут или часов до нескольких недель или месяцев.
Кардиоспецифические маркеры
Кардиоспецифические маркеры - миокардиальные ферменты (например, КФК-МВ) и компоненты клеток (например, тропонин I, тропонин Т, миоглобин), которые выходят в кровь после некроза клетки миокарда. Маркеры появляются в разное время после повреждения, и их количество снижается в различной степени. Обычно исследуют несколько различных маркеров через определенные интервалы времени, чаще каждые 6-8 ч в течение 1 дня. Более новые тесты, выполняемые непосредственно у постели больного, удобнее; они также чувствительны при выполнении с более короткими интервалами (например, в момент поступления больного, а затем через 1,3 и 6 ч).
Критерием для установления диагноза инфаркта миокарда является выявление повышения уровня биохимических маркеров некроза миокарда. Однако повышенные уровни маркеров некроза миокарда начинают определяться только через 4-6 ч от начала инфаркта миокарда и поэтому обычно их определение проводится уже после госпитализации больного. Тем более, что на догоспитальном этапе нет необходимости в выявлении признаков некроза миокарда, т.к. это не оказывает влияния на выбор лечебных мероприятий.
Основным маркером возникновения некроза миокарда является повышение уровня сердечных тропонинов Т («ти») и I («ай»). Повышение уровня тропонинов (и последующая динамика) является наиболее чувствительным и специфичным маркером ИМ (некроза миокарда) при клинических проявлениях, соответствующих наличию острого коронарного синдрома (повышение уровня тропонинов может наблюдаться и при повреждении миокарда «неишемической» этиологии: миокардит, ТЭЛА, сердечная недостаточность, ХПН).
Определение тропонинов позволяет выявить повреждение миокарда примерно у одной трети больных инфарктом миокарда, не имеющих повышения MB КФК. Повышение тропонинов начинается через 6 часов после развития инфаркта миокарда и остается повышенным в течение 7-14 дней.
«Классическим» маркером инфаркта миокарда является повышение активности или увеличение массы изофермента MB КФК («кардиоспецифичный» изофермент креатинфосфокиназы). В норме активность MB КФК составляет не более 3% от общей активности КФК. При инфаркте миокарда отмечается повышение MB КФК более 5% от общей КФК (до 15% и более). Достоверная прижизненная диагностика мелкоочагового инфаркта миокарда стала возможной только после введения в клиническую практику методов определения активности MB КФК.
Менее специфично изменение активности изоферментов ЛДГ: повышение активности преимущественно ЛДГ1, увеличение отношения ЛДГ1/ЛДГ2 (более 1,0). Более раннюю диагностику позволяет осуществить определение изоформ КФК. Максимальное повышение активности или увеличение массы КФК («пик КФК») отмечается в первые сутки инфаркта миокарда, после этого наблюдается снижение и возвращение к исходному уровню.
Определение активности ЛДГ и ее изоферментов показано при позднем поступлении больных (через 24 ч и более). Пик ЛДГ отмечается на 3-4 сутки ИМ. Кроме повышения активности или массы ферментов при инфаркте миокарда отмечается повышение содержания миоглобина. Миоглобин является наиболее ранним (в первые 1-4 ч), но неспецифичным маркером некроза миокарда.
Содержание тропонинов наиболее достоверно для диагностики инфаркта миокарда, но возможно его повышение при ишемии миокарда без инфаркта; высокие цифры (фактические значения зависят от методики определения) рассматривают как диагностические. Пограничные показатели тропонина у больных с прогрессирующей стенокардией указывают на высокий риск неблагоприятных событий в будущем и, таким образом, на необходимость в дальнейшем обследовании и лечении. Ложноположительные результаты иногда получают при сердечной и почечной недостаточности. Активность КФК-МВ - менее специфичный показатель. Ложно-положительные результаты возникают при почечной недостаточности, гипотиреозе и повреждении скелетных мышц. Количество миоглобина - показатель, неспецифичный для инфаркта миокарда, однако, поскольку его содержание увеличивается ранее, чем других маркеров, он может быть ранним диагностическим признаком, способствующим диагностике при нехарактерных изменениях данных ЭКГ.
Эхокардиография
Для выявления зон нарушения регионарной сократимости широко используют эхокардиографию. Кроме выявления участков гипокинезии, акинезии или дискинезии, эхокардиографическим признаком ишемии или инфаркта является отсутствие систолического утолщения стенки левого желудочка (или даже его утоныиение во время систолы). Проведение эхокардиографии позволяет выявить признаки инфаркта миокарда задней стенки, инфаркт миокарда правого желудочка, определить локализацию инфаркта миокарда у больных с блокадой левой ножки. Очень важное значение имеет проведение эхокардиографии в диагностике многих осложнений инфаркта миокарда (разрыв папиллярной мышцы, разрыв межжелудочковой перегородки, аневризма и «псевдоаневризма» левого желудочка, выпот в полости перикарда, выявление тромбов в полостях сердца и оценка риска возникновения тромбоэмболии).
Другие исследования
Обычные лабораторные исследования не являются диагностическими, однако способны демонстрировать некоторые отклонения от нормы, которые могут возникать при некрозе ткани (например, увеличение СОЭ, умеренное повышение количества лейкоцитов со сдвигом лейкоцитарной формулы влево).
Визуализирующие методы исследования не нужны для постановки диагноза, если кардиоспецифические маркеры или данные ЭКГ подтверждают диагноз. Однако в отношении больных с инфарктом миокарда прикроватная эхокардиография неоценима как метод, позволяющий выявить нарушения сократительной способности миокарда. Перед выпиской из стационара или вскоре после нее пациентам с признаками ОКС, но отсутствием изменений данных ЭКГ и нормальными кардиоспецифическими маркерами выполняют стресс-тест с визуализацией (радиоизотопное или эхокардиографическое исследование, выполняемое на фоне физической или фармакологической нагрузки). Выявленные изменения у таких пациентов указывают на высокий риск осложнений в следующие 3-6 мес.
Катетеризацию правых камер сердца с использованием пульмонального катетера баллонного типа можно использовать для измерения давления в правых отделах сердца, легочной артерии, давления заклинивания легочной артерии и сердечного выброса. Это исследование обычно выполняют только в том случае, если у больного развиваются тяжелые осложнения (например, тяжелая сердечная недостаточность, гипоксия, артериальная гипотензия).
Коронарографию наиболее часто используют для одновременной диагностики и лечения (например, ангиопластика, стентирование). Однако ее можно применять с диагностической целью у больных с признаками продолжающейся ишемии (по результатам ЭКГ и клинической картине), гемодинамически неустойчивых, с продолжающимися желудочковыми тахиаритмиями и другими состояниями, свидетельствующими о повторении ишемических эпизодов.
Формулировка диагноза инфаркта миокарда
«Инфаркт миокарда с зубцом Q передне-перегородочной локализации (дата начала симптомов инфаркта миокарда); «Инфаркт миокарда без зубца Q (дата начала симптомов)». В первые несколько дней инфаркта миокарда многие кардиологи включают в диагноз определение «острый» (формально острым периодом инфаркта миокарда считается 1 месяц). Конкретные критерии острого и подострого периодов определены только для ЭКГ-признаков неосложненного инфаркта миокарда с зубцом Q. После диагноза инфаркта миокарда указывают осложнения и сопутствующие заболевания.
Читайте также:
- Врожденная патология плода и новорожденного. Врожденные заболевания плода в картинках
- Если тебя обидели. Как преодолеть обиду и что делать с обидчиком?
- Как отличить любовь от зависимости? Психология отношений
- Регуляция вдоха дыхательного акта. Влияние дыхательного аппарата
- Блокада синаптического пути торакальных больных. Показатели адекватности анестезии
