Изменения плаценты при беременности. Тромбоз межворсинчатого пространства плаценты
Добавил пользователь Дмитрий К. Обновлено: 11.12.2025
Новая коронавирусная инфекция (НКВИ) продолжает оставаться одной из наиболее актуальных проблем современной медицины. Происходит накопление фактов, свидетельствующих о большей, чем в популяции, заболеваемости беременных, неблагоприятных материнских и перинатальных исходах 3.
В настоящее время нет единого мнения об увеличении частоты мертворождаемости при заболевании матери НКВИ; однако доказано, что плацента является одним из органов-мишеней для SARS-CoV-2, поскольку в ее клетках содержатся рецепторы ангиотензинпревращающего фермента 2, к которым прикрепляется вирус [4]. Даже при малосимптомном или бессимптомном течении инфекции у беременной дистальная ворсинковая гипоплазия и плодные сосудистые нарушения встречаются в некоторых случаях чаще, чем при тяжелых формах.
Возможность репликации вируса в тканях плаценты не всегда находит свое подтверждение. В частности, в работе Tallarek А.С. et al. (2021) [5] отмечено, что экспрессия вируса SARS-CoV-2 ex vivo в терминальных ворсинах при острой инфекции недостаточна для тяжелого повреждения плаценты. У выздоравливающих беременных женщин не было обнаружено вирусной экспрессии в плаценте. Эти данные были подтверждены и в эксперименте: инокуляция эксплантов плаценты, полученных из образцов неинфицированных женщин, при родах с вирусом SARS-CoV-2 выявила неэффективную репликацию SARS-CoV-2 в различных типах тканей плаценты, что объясняет низкую экспрессию вируса ex vivo. В когортном исследовании американских авторов [6] также не было получено никаких доказательств плацентарной инфекции или вертикальной передачи SARS-CoV-2.
Некоторые авторы [7] отмечают значительную вариабельность в спектре патологических находок в плацентах от матерей с НКВИ. Причем это касается плацент, где у матери подтверждено инфицирование, а у новорожденного - нет. Однако в единичных случаях вирус выделяли и новорожденные сразу после рождения. Авторы отметили, что в плацентах от инфицированных материнско-неонатальных диад часто диагностируется хронический гистиоцитарный интервиллузит. Особенно заметна положительная реакция синцитиотрофобласта на SARS-CoV-2, что соответствует опубликованным критериям трансплацентарной вирусной передачи и подтверждается идентификацией вирусных антигенов в клетках плода с помощью иммуногистохимии или гибридизации РНК in situ. Авторы считают, что одновременное развитие хронического гистиоцитарного интервиллузита и некроза трофобласта, по-видимому, является фактором риска заражения плаценты SARS-CoV-2, а также передачи вируса от матери к плоду, и описывают потенциальный механизм, с помощью которого коронавирус может нарушать взаимодействие матери и плода.
В работе Husen M.F. et al. (2021) [8] отмечено, что в 62% случаев родов на фоне НКВИ имелись маркеры повреждения плаценты, а в 10% - положительная иммуногистохимическая реакция на наличие SARS-CoV-2, сопровождающаяся уникальным сочетанием диффузных тяжелых воспалительных изменений плаценты с массивными отложениями перивиллезного фибрина (возможно, фибриноид Рора), некрозом синцитиотрофобласта, диффузным хроническим интервиллузитом и специфической, беспрецедентной инфильтрацией CD20+ В-клетками.
В работе Jaiswal N. et al. [9] опубликованы данные о повреждениях плацент у перенесших НКВИ в легкой или бессимптомной формах. Выявлено нарушение кровотока как со стороны матери, так и со стороны плода: признаки материнской сосудистой мальперфузии были значительно более выражены в плацентах от COVID-19-положительных беременностей: ретроплацентарные гематомы, ускоренное созревание ворсинок, дистальная гиперплазия ворсинок, атероз, фибриноидный некроз, гипертрофия стенок артериол, эктазия сосудов и персистенция интрамурального эндоваскулярного трофобласта. Плодовая сосудистая мальперфузия, значительно связанная с ковид-положительными беременностями, проявлялась хориоангиозом, тромбозом сосудов хориальной пластинки плода, отложением фибрина и эктазией сосудов. Перивиллезные отложения фибрина чаще встречались в плацентах от матерей с НКВИ.
Эти данные подтверждены и российскими авторами [10, 11], которые при проведении морфометрического исследования плацент от беременных с НКВИ легкой и среднетяжелой степени выявили увеличение общего периметра с одновременным уменьшением общей площади капилляров и степени васкуляризации ворсинок плаценты у рожениц с COVID-19. Это, по мнению авторов, указывает на нарушение кровообращения в плодовой части и развитие гипоксии плаценты, что может быть причиной неблагоприятных исходов у новорожденных.
Профилактика антенатальной гибели плода у пациенток с НКВИ должна быть основана на накоплении сведений о причинах данного осложнения, особенно при легкой и среднетяжелой формах заболевания, не приводящих к тяжелой дыхательной и полиорганной недостаточности. Поэтому анализ каждого случая антенатальной гибели плода у беременных пациенток с НКВИ является основой для формирования рекомендаций по профилактике.
В связи с вышеизложенным мы публикуем данные о двух наблюдениях.
Мальгина Г.Б. , Гришкина А.А. , Дьякова М.М. , Бычкова С.В. , Чистякова Г.Н. , Пепеляева Н.А. , Мелкозерова О.А. , Башмакова Н.В. , Пестряева Л.А.
Изменения плаценты при беременности. Тромбоз межворсинчатого пространства плаценты
Плацента формируется из базальной части децидуальной оболочки и разросшихся ворсин ветвистого хориона. Большинство ворсин «плавают» в крови матери, циркулирующей в межворсинчатом пространстве. Поверхность ворсин покрыта синцитиотрофобластом, поверхность которого имеет микроворсинки для резорбции. Цитотрофобласт образует сплошной слой в первой половине беременности, во второй половине беременности ворсины утрачивают цитотрофобласт.
Материнская часть плаценты представляет собой утолщенную часть децидуальной оболочки. В ней образуются углубления, в которых циркулирует материнская кровь и в которые погружаются ворсины. Между углублениями образуются выступы (перегородки), в которых проходят спиральные маточные артерии и к которым прикрепляются якорные ворсины. Клиническая картина многих осложнений беременности, развивающихся во II—III триместрах беременности, часто служит проявлением патологического процесса, сформировавшегося еще в период плацентации.
В современной литературе относительно возможностей оценки структуры и функции плаценты существуют совершенно полярные точки зрения — от традиционной приверженности к оценке ее структуры до полного отрицания данной оценки. В разные годы проводились попытки при помощи структуры плаценты уточнить степень зрелости внутриутробного плода, выявить течение внутриутробной инфекции. Большинство из предложенных критериев имеет ограниченное значение в диагностике антенатальной патологии и может быть интерпретировано только в совокупности данных, полученных при УЗИ. Во многих ситуациях выявляемые при эхографии нарушения структуры плаценты бесспорны и играют важную роль в оценке и прогнозировании течения гестации.
Аномалии локализации. Низкое расположение плаценты: край плаценты определяется менее чем на 6 см от уровня внутреннего зева во II и III триместрах беременности. Предлежание плаценты определяют в случае, если ткань плаценты перекрывает внутренний зев шейки матки. Виды предлежания: полное, частичное, краевое [2, 3].
Особенности структуры. Старение плаценты — инволютивно-дистрофические процессы, которые происходят с увеличением срока беременности, имеют эхографические признаки. По классификации P. Grannum, при неосложненном течении беременности плацента последовательно проходит степени созревания от 0 до III. Степень обнаруживается в сроке до 30 нед; I степень в 27—36 нед; II степень в 34—39 нед; III степень после 36 нед. Ультразвуковые признаки преждевременного созревания плаценты: обнаружение II степени до 32 нед; III — до 36 нед (цит. по [4]). Если нет задержки роста и нарушений гемодинамики плода, кальциноз плаценты следует рассматривать как фактор риска снижения функциональной активности плаценты.
Приращение (врастание) плаценты. По данным литературы [5—10], placenta creta является редкой формой плацентарных аномалий — около 15% случаев среди всех наблюдений приросшей плаценты. Заболеваемость возросла в 10 раз за последние 50 лет, что отражает быстро растущее число кесаревых сечений. Врастание плаценты является результатом частичного или полного отсутствия губчатого слоя децидуальной оболочки вследствие атрофических процессов в эндометрии. Различают три варианта инвазии плаценты: pl. accreta, pl. increta, pl. percreta. Эта классификация условная, поэтому в настоящее время рекомендуют употреблять термин creta [11].
Ультразвуковые признаки аномального прикрепления плаценты: расположение плаценты в зоне рубца на матке; истончение или отсутствие миометрия на отдельных участках в зоне расположения плаценты; лакуны в структуре, диффузное утолщение плаценты; диффузный или локальный интраплацентарно-лакунарный кровоток с высокоскоростным турбулентным потоком венозного типа; типичный хориальный кровоток в атипичном месте; патологическое сосудистое соединение плаценты с мочевым пузырем с низкорезистентным артериальным плацентарным кровотоком; расширение периферических субплацентарных васкулярных каналов с венозным пульсационным потоком над шейкой матки [5—10].
Ретрохориальные гематомы, отслойки плаценты. Отслойка плаценты возникает вследствие нарушения ее прикрепления к стенке матки, что приводит к кровотечению из сосудов децидуальной оболочки.
Частота преждевременной отслойки нормально расположенной плаценты (ПОНРП) колеблется от 20,0 до 45,1% [12—14].
Среди причин ПОНРП называют гипертоническую дисфункцию миометрия [15], гипертоническую болезнь, травмы живота, курение, отслойки и субхориальные гематомы в анамнезе [16—18]; восходящий амниохорионит, многократные аборты, привычное невынашивание, преэклампсию, аутоиммунные заболевания [13, 19], а также аденомиоз плацентарного ложа и хронический эндометрит [15].
Современная гипотеза ПОНРП [16, 17] предполагает участие в отслойке в условиях дефицита протеина C и протромбина гемореологических и генетических факторов в сочетании с доминированием генетических дефектов гемостаза — мутации фактора V Лейдена. Утверждают, что первичные гемореологические нарушения в плаценте обусловлены структурными изменениями микроворсинок или щеточной каемки синцитиотрофобласта (СЦТБ), с нарушением их целостности, высоты и регулярности распределения на поверхности клеток в условиях нарушенного гемостаза [20]. Деструкция микроворсин сочетается с недостаточностью первой, второй волны инвазии цитотрофобласта и децидуализации, а также склерозом базального эндометрия, возникающего в исходе эндометрита [20, 21]. Развившийся дисбаланс между гиперкоагуляционными возможностями материнской крови и противосвертывающей системой микроворсинок сопровождается нарушениями маточного и плацентарного кровообращения. Изменения гемостаза — причина и следствие ПОНРП. В развитии ПОНРП большое значение придают антифосфолипидному синдрому (АФС), генетическим дефектам гемостаза (мутация фактора V Лейдена, дефицит ангиотензина-II, дефицит протеина C и пр.), предрасполагающим к тромбозам. Тромбофилия, развивающаяся вследствие этих нарушений, препятствует полноценной инвазии трофобласта, способствуя дефектам плацентации, ПОНРП [20].
Выявлено 4 взаимосвязанных механизма развития ПОНРП. Первые 2 предусматривают расстройства гемодинамики в маточно-плацентарной области в период нидации, имплантации и плацентации, сочетающиеся с нарушением инвазии цитотрофобласта и, следовательно, незавершенным ремоделированием спиральных артерий. Последующие механизмы ПОНРП включают нарушение целостности СЦТБ ворсин с локальным снижением активности антикоагуляционных механизмов, а также приобретенные и врожденные тромбофилии. Указанные механизмы приводят к морфологическим нарушениям в последе и нарушениям кровообращения в межворсинчатом пространстве [22].
В ранние сроки беременности при отслойке амниотических оболочек прогноз более благоприятный, чем при отслойке ворсистого хориона. Если площадь отслойки плодного яйца занимает менее ¼ площади — прогноз благоприятный; при гематомах, отслаивающих 1/3 площади хориона и более, может наступить внутриутробная гибель эмбриона [23].
Типы отслойки плаценты. По отношению к амниотическим оболочкам:
— ретроплацентарный — между плацентой и миометрием;
— субхориальный — между плацентой и амниотической оболочкой (не имеет клинической симптоматики).
По месту формирования гематомы:
— центральная отслойка плаценты;
— краевая отслойка, чаще встречается при низком расположении, предлежании плаценты;
— субамниотические гематомы, которые формируются вследствие разрыва хориальных сосудов около корня пуповины.
Утолщение плаценты чаще всего происходит при иммунных конфликтах, инфекционных процессах, сахарном диабете, тромбофилических состояниях.
Расширение межворсинчатого пространства — один из самых частых ультразвуковых симптомов при структурных изменениях плаценты. При УЗИ выявляются множественные гипоэхогенные включения в плаценте различной локализации, неправильной формы, с ламинарным током крови в них. Расширение межворсинчатого пространства может быть проявлением патологии свертывающей системы крови, плацентарной недостаточности [22].
Добавочная доля плаценты (placenta bilobata). Диагностируется на основании выявления участков плацентарной ткани, между которыми имеется свободная зона. В послеродовом периоде может осложниться отрывом добавочной дольки, ее задержкой в полости матки и послеродовым кровотечением [23].
Кольцевидная плацента (placenta membranacea). Развивается вследствие нарушения дифференциации на ворсинчатый и гладкий хорион. Характеризуется большой площадью прикрепления, в том числе в области внутреннего зева, притом ее толщина даже в конце беременности не превышает 10 мм. Может сочетаться с патологическим прикреплением, задержкой роста плода (ЗРП), преждевременными родами, антенатальной гибелью плода [24].
Плацента, окруженная валиком (placenta circumvallata). Относится к экстрахориальному типу плацентации, при котором плодовый край плаценты поднят, завернут, а амниальные оболочки отходят не от края плаценты, а от ее внутренней (материнской) поверхности. При эхографии чаще всего визуализируется перетяжка между полюсами плаценты, так называемая плацентарная полка, состоящая из амниальных оболочек. Данный ультразвуковой признак визуализируется во II триместре и не визуализируется в III триместре беременности. Оптимальный срок для выявления — 13—14 нед, первое скрининговое УЗИ. При данной патологии несколько чаще встречаются ЗРП, гипоксия плода, дородовое излитие околоплодных вод, преждевременные роды, кровотечение в родах [25].
Субамниотические кисты плаценты. Анэхогенные однокамерные образования над плодовой поверхностью плаценты. Размеры от 5 до 7—8 см, чаще всего являются следствием субамниотических гематом, возникающих в конце I или начале II триместра.
Хорионангиома плаценты. Доброкачественная опухоль плаценты, размеры которой могут варьировать от нескольких миллиметров до 7—8 см, как правило, одиночная, но может быть представлена несколькими мелкими узлами. Обычно она располагается на плодовой поверхности плаценты.
При УЗИ представляет собой образование с четкими контурами, неоднородной эхоструктурой с кистозным и солидным компонентом. Иногда хорионангиомы бывают гомогенными с множественными перегородками или пониженной эхогенности с неоднородной структурой. В ряде случаев хорионангиома имеет эхографическое сходство с миоматозными узлами, гематомами в стадии организации, липомой плаценты. При цветовом допплеровском картировании (ЦДК) внутри опухоли визуализируются сосуды разного калибра. Осложнения хорионангиомы зависят от ее размеров [26].
Пузырный занос — это перерождение ворсин хориона в пузырьки с жидкостью, разрастание эпителия ворсин, особенно синцития.
Полный пузырный занос (ППЗ) — генетически обусловленное тотальное поражение трофобласта, хромосомный набор чаще диплоидный, 46ХХ, обе хромосомы — отцовские. В 3—13% встречается комбинация 46ХУ, где все хромосомы — отцовские. ППЗ характеризуется отсутствием признаков зародышевого и эмбрионального развития. Злокачественная трансформация возникает в 20% наблюдений, при 46ХУ чаще развивается метастатическая опухоль.
Неполный пузырный занос — частичное перерождение плаценты, при котором эмбрион продолжает развиваться, всегда триплоидный, с 1 материнской хромосомой (чаще — 69ХХУ, 69ХХХ, реже — 69ХУУ), имеются фрагменты нормальной плаценты и плода [27]. Эхографические критерии полного пузырного заноса: увеличение размеров матки, несоответствие сроку беременности, эмбриона и его частей в полости матки нет, содержимое полости — бесформенные гиперэхогенные структуры с множеством кистозных образований, граница опухоли и миометрия отчетливая, ровная, возможна визуализация расширенных сосудов миометрия.
Мезенхимальная дисплазия плаценты (МДП) — редкое нарушение, связанное с необычной аномалией стволовых ворсинок плаценты, характеризуется плацентомегалией, кистозной дилатацией и образованием везикул, сосудистыми аномалиями [28].
Ультразвуковая картина МДП достаточно характерна и заключается в диффузном утолщении плаценты, множественных кистозных полостях, занимающих часть плаценты или всю ее площадь. Кистозные полости при МДП имеют существенные отличия от частичного пузырного заноса: размеры кист позволяют дифференцировать их в виде отдельных округлых анэхогенных структур с ровными четкими контурами, гладкой внутренней поверхностью. Архитектоника сосудистой сети не нарушена, топография плацентарных сосудов соответствует строению нормальной сосудистой сети плаценты. Извитые, расширенные сосуды стволовых ворсин могут четко определяться при ЦДК.
Вирусные инфекции. Изучение плаценты при вирусной инфекции проводится уже несколько десятилетий. Впервые еще в 1965 г. [29] отмечен ряд изменений морфологической картины плаценты при ее инфицировании вирусами простого герпеса: неровные контуры ядра с неравномерно распределенным хроматином; крупные, гиперхромные, бесструктурные ядра, цитоплазма амниоцитов оксифильная либо слегка базофильная, ацидофильный некроз значительных участков амниона, отечность стромы [30, 31]. В хориальной пластинке и ворсинчатой строме обнаруживаются группы клеток с гиперхромными ядрами, скопления лимфоидных клеток [31]. Поражение сосудов ворсинчатого хориона разного калибра проявляется отеком, утолщением стенок, очаговыми или диффузными инфильтратами стенок, сужением или даже облитерацией сосудов. В межворсинчатом пространстве — небольшие скопления лимфоидных клеток и плазмоцитов, отложения фибрина и реже кровоизлияния. В части ворсин обнаруживались мелкие пылевидные или более крупные глыбки кальция. Характерно также наличие кальциноза, фиброза, образования кист. В оболочках плаценты изменения были такого же рода. Они характеризовались прогрессирующим поражением плаценты с наличием в инфильтратах плазмоцитов, периваскулярным или диффузным фиброзом стромы ворсин. В сосудах отмечался тромбоз с облитерацией просветов и кальцинозом. Число капилляров в ворсинах резко снижено. При герпесе в ткани плаценты возникают характерные структурные изменения всех слоев с поражением как эпителиальных структур, так и сосудистого русла [31, 32].
При УЗИ плаценты при инфекционных заболеваниях картина неспецифична: в структуре плаценты определяются мелкие расширения межворсинчатых пространств, утолщение плаценты, преждевременное старение и кальциноз [32].
Вирусный гепатит. Среди всех известных нозологических форм наиболее актуальными являются гепатиты В и С [33]. В литературе описаны следующие морфологические изменения в плаценте: гипоплазия плаценты — в 24% наблюдений, нарушение созревания ворсин — в 32%, диссоциированное созревание, инфаркты, псевдоинфаркты — в 30%, аномалии развития сосудов пуповины — в 8%, плацентит — в 17%, хориоамнионит — в 52% [28]. Ультразвуковые признаки также неспецифичны и характерны для плацентарной недостаточности: увеличение или уменьшение толщины плаценты (диффузное или локальное утолщение плаценты, «тощая» плацента); изменение индекса амниотической жидкости (многоводие или маловодие); преждевременное старение и кальциноз плаценты [34].
Такие же изменения характерны и для других инфекционных заболеваний, таких как цитомегаловирусная инфекция [32].
Сахарный диабет. Для последов родильниц с сахарным диабетом (СД) характерной морфологической картиной является незрелость ворсинчатого дерева с отложением фибpинoидa мeжду вopcинками. При этом частота диссоциированного и преждевременного созревания ворсин (6,5% против 6,4%) одинакова при наличии или в отсутствие диабетической фетопатии. Состояние сосудистого дерева плацент у беременных с СД характеризуется наличием облитерационной ангиопатии, которая чаще встречается при СД 1-го типа (52,4%), реже при гестационном СД (38,1%) и СД 2-го типа (9,5%). При эхографии отмечаются утолщение плаценты и расширение межворсинчатых пространств без специфических структурных изменений [35—37].
Тромбофилии. Беременность всегда сопровождается состоянием гиперкоагуляции, что связано с повышением уровня фибриногена, протромбина, развивается так называемая гравидарная тромбинемия, значительно — на 50—80% — возрастает уровень FVIII, FIX, FX факторов свертывания крови. Одновременно снижается активность системы фибринолиза и физиологических антикоагулянтов: повышается активность ингибитора активатора плазминогена с одновременным повышением уровня активаторов плазминогена — t-PA, u-PA, FXII [38—41]. На фоне тромбофилии происходят также изменения в плаценте: нестойкость баланса гемостаза в системе мать—плацента возникает в течение осложненной беременности, когда под влиянием ряда факторов появляются многочисленные повреждения эпителиального покрова ворсин плаценты, приводящие к нарушению щеточной каймы, оголению базального слоя и даже стромы ворсин и высвобождению дополнительных плацентарных коагулирующих агентов. Последнее сопровождается активацией внешней системы свертывания, а в дальнейшем запускает внутренний путь коагуляции материнской крови в межворсинчатом пространстве.
Морфологические исследования последа при тромбофилии у матери выявили многочисленные структурные изменения, связанные с гиперкоагуляцией: в интервиллезном пространстве — очаги отложения фибриноида с замуровыванием ворсин; псевдоинфаркты, тромбы, кровоизлияния в децидуальной базальной пластине; увеличение объемной плотности межворсинчатого фибриноида в 5—10 раз; уменьшение объемной плотности терминальных ворсин в 2—3 раза; уменьшение объемной плотности базальной пластины в 1,4—1,2 раза, что может способствовать развитию преждевременной отслойки плаценты.
При наследственной тромбофилии в плаценте была выявлена незрелость ворсин (варианты промежуточных дифференцированных ворсин и диссоциированного созревания котиледонов) [42—44].
В настоящее время ультразвуковая картина плаценты при тромбофилии не описана, хотя логично предполагать, что эти патологические процессы будут отражаться в структурных особенностях плаценты при эхографии. Клиническую целесообразность данных исследований подтверждают слова А.Н. Дробинской и соавт. [44]: «Возможность клинико-морфологической диагностики наследственной тромбофилии позволяет определить причину осложнений и прогноз беременности, а при своевременной коррекции гемореологических нарушений у беременных с тромбофилией они имеют шанс выносить беременность. Знание морфологических основ плацентарной недостаточности при наследственной тромбофилии необходимо для совершенствования методов своевременной коррекции гемореологических нарушений».
Заключение
Таким образом, структурные изменения в плаценте при УЗИ во многих ситуациях играют важную роль в оценке и прогнозировании течения беременности, например при аномалиях локализации и прикрепления, гематомах, отслойках и кистах плаценты, трофобластических заболеваниях. Однако большинство эхографических критериев встречаются при самых различных патологических состояниях и могут быть интерпретированы только при анализе совокупности данных, полученных при УЗИ. Кроме того, представляет научный интерес и имеет большое практическое значение изучение особенностей изменений в плаценте при наследственной тромбофилии, которые могут быть выявлены при ультразвуковом (допплерометрическом) исследовании.
Сведения об авторах
В последние годы большое внимание уделяется изучению гиперкоагуляционного синдрома у беременных. С нарушением в свертывающей системе крови связаны многие осложнения беременности, такие как привычное невынашивание беременности, угрожающий выкидыш, неразвивающаяся беременность, формирование ретрохориальных и ретроамниальных гематом, задержка роста плода (ЗРП), преждевременная отслойка нормально расположенной плаценты (ПОНРП) и преэклампсия [1].
В последние годы в отдельную группу причин репродуктивных потерь выделены нарушения в системе свертывания крови — наследственные и приобретенные дефекты гемостаза [2].
Для физиологического течения беременности характерна активация коагуляционного потенциала крови в течение всей беременности: стимуляция эндотелиальных клеток, статистически значимая динамика повышения концентрации фактора Виллебранда в плазме крови и снижение активности фермента ADAMTS-13, динамическое статистически значимое повышение уровня фибриногена, динамическое увеличение уровня тканевого фактора (ТФ) в плазме крови, изменения в системе протеина С, связанные со снижением уровня свободного протеина S или вторичной резистентностью V фактора к активированному протеину C (АПС-резистентностью), статистически значимая динамика снижения активности фактора XIII (фибринстабилизирующего), динамическое нарастание уровня D-димера при увеличении срока беременности [3—7].
Одновременно снижается активность системы фибринолиза и физиологических антикоагулянтов: повышается активность ингибитора активатора плазминогена с одновременным повышением уровня активаторов плазминогена — t-PA, u-PA, FXII.
Патологическое изменение этих параметров обусловлено, как правило, генетическими причинами или антифосфолипидным синдромом (АФС) [8—11].
Клинический протокол «Исследование системы гемостаза во время беременности и после родов» [12] в настоящее время рекомендует расширенное исследование системы гемостаза в следующих случаях: подозрение на венозные тромбоэмболические осложнения (ВТЭО) любой локализации; осложнения беременности (преэклампсия, ЗРП, плацентарная недостаточность, отслойка плаценты, антенатальная гибель плода); подозрение на ДВС-синдром или его клинические проявления; тяжелая соматическая патология (онкологические, ревматологические и гематологические заболевания, трансплантированная почка, сахарный диабет, артериальная гипертензия и др.) Показаниями к обследованию для выявления приобретенных тромбофилий являются следующие: ВТЭО в анамнезе, привычное невынашивание, внутриутробная гибель плода, тяжелая преэклампсия в анамнезе (родоразрешение до 34 нед), тяжелая ЗРП или плацентарная недостаточность [12].
С клинической точки зрения, необходимо помнить, что патологические изменения системы гемостаза могут предшествовать клинической реализации осложнений гестации [13]. Мутации генов тромбофилии и развивающиеся вследствие этого гиперкоагуляционные нарушения препятствуют полноценной инвазии трофобласта, способствуя дефектам плацентации [14].
На фоне тромбофилии происходят изменения и в сформированной плаценте: нестойкость баланса гемостаза в системе мать—плацента возникает в течение осложненной беременности, когда под влиянием ряда факторов появляются многочисленные повреждения эпителиального покрова ворсин плаценты, приводящие к нарушению щеточной каймы, оголению базального слоя и даже стромы ворсин и высвобождению дополнительных плацентарных коагулирующих агентов. Последнее сопровождается активацией внешней системы свертывания, а в дальнейшем запускает внутренний путь коагуляции материнской крови в межворсинчатом пространстве [15].
Дополнительным фактором, поддерживающим и усугубляющим сниженную перфузию плаценты, является тромбирование маточно-плацентарных сосудов вплоть до полного блока микроциркуляции, когда возможны и ПОНРП, и антенатальная гибель плода [16].
Морфологические исследования последа при тромбофилии у матери выявили многочисленные структурные изменения, связанные с гиперкоагуляцией: в интервиллезном пространстве — очаги отложения фибриноида с замуровыванием ворсин, псевдоинфаркты, тромбы, кровоизлияния в децидуальной базальной пластине; увеличение объемной плотности межворсинчатого фибриноида; уменьшение объемной плотности терминальных ворсин; уменьшение объемной плотности базальной пластины в 1,4—1,2 раза, что может способствовать развитию преждевременной отслойки плаценты [17, 18].
Логично предполагать, что эти патологические процессы будут отражаться в структурных особенностях плаценты при эхографии.
Один из частых ультразвуковых симптомов при структурных изменениях плаценты — расширение межворсинчатых пространств (МВП). При ультразвуковом исследовании выявляются множественные гипоэхогенные включения в плаценте различной локализации, неправильной формы, с ламинарным током крови в них. По мнению G. Burton и соавт. [19], этот признак может быть проявлением патологии свертывающей системы крови и плацентарной недостаточности.
Возможности ультразвуковой оценки плаценты ограничены. В разные годы предпринимались попытки при помощи структуры плаценты уточнять степень зрелости плода, выявлять течение внутриутробной инфекции [20].
Цель исследования — изучение характера акушерской патологии при наличии структурных особенностей плаценты в виде расширения межворсинчатых пространств, выявленных при УЗИ.
Материал и методы
Ретроспективный анализ проведен за 2015—2018 гг. В ходе УЗИ у 3369 пациенток во II и III триместрах беременности структурные изменения плаценты в виде расширения МВП различного размера обнаружены в 325 (9,6%) наблюдениях. На начальном этапе исследования проведен ретроспективный анализ историй родов 80 пациенток с известным анамнезом, консультированных и обследованных в условиях Московского областного НИИ акушерства и гинекологии. Единственным критерием включения в исследование служили структурные изменения плаценты в виде расширения МВП. За расширение МВП принимали выявление в структуре плаценты гипоэхогенных неоднородных зон неправильной или условно треугольной формы с нечеткими контурами, расположенных произвольно или между котиледонами плаценты, в ряде случаев с обнаруживаемым током крови в пространствах. Округлые анэхогенные зоны в центре котиледонов не рассматривались как расширения МВП. Ретрохориальные и ретроамниальные гематомы рассматривались как осложнения беременности. Условно расширения МВП подразделяли на единичные (1—3 в срезе плаценты) и множественные (более 3). По размерам расширения МВП разделили на незначительные (максимальный размер менее 20 мм), значительные (более 20 мм и менее 1 /3 плаценты) и массивные (общий размер участков расширения МВП превышал 1 /3 от площади сечения плаценты).
УЗИ плаценты проведены на аппарате Samsung WS 80A или Voluson E 10 при помощи конвексного датчика.
Оценку параметров свертывающей системы крови проводили с помощью стандартных коагулологических тестов: определения активированного частичного тромбопластинового времени (АЧТВ), протромбинового времени (ПВ), тромбинового времени (ТВ), антитромбина III (АT III), фибриногена (ФГ) на автоматическом коагулометре Sysmex СS-2000i.
Для оценки патогенетической роли тромбофилий пациенткам проводилось молекулярно-генетическое типирование по следующим полиморфизмам: F5 169 G>A, F2:20210 G>A, MTHFR:677C>T, PAI1 SERPINE1 PAI-1): -675 5G>4G. Для выделения ДНК из цельной крови использовались пробирки Sarstedt с калий ЭДТА в соотношении 1,2—2 мг ЭДТА на 1 мл крови, а также наборы Diatom TM DNA Prep 200. Постановка осуществлялась наборами фирмы «ДНК-Технология» в режиме реального времени (Real-Time) амплификатором ДТ Prime 5 фирмы «ДНК-Технология».
Статистический анализ полученных данных осуществлялся с помощью программ Statistica 13.3 и Microsoft Excel 2007. Достоверность различий данных групп оценивали по критерию Стьюдента. Результаты представлены как среднее±стандартное отклонение (M±∑∆). Критическое значение уровня значимости принимали равным 5% (p=0,05).
Для оценки точности УЗИ при наличии гиперкоагуляции у беременной производился расчет чувствительности метода для каждой группы выявленных изменений.
Чувствительность, прогностическая ценность положительного результата (PPV), прогностическая ценность отрицательного результата (NPV) и точность были рассчитаны при условии, что результаты УЗИ были подтверждены лабораторными методами.
Расчет специфичности такого метода диагностики произвести не представляется возможным, поскольку скрининговые исследования на гиперкоагуляцию и полиморфизм генов тромбофилии нецелесообразны и не проводятся, поэтому рассчитать количество пациенток в популяции, имеющих тромбофилию без клинических проявлений, не представляется возможным.
Результаты и обсуждение
Клиническую группу составили 80 беременных в возрасте от 20 до 45 лет, средний возраст 32,6 года. В дальнейшем группа была разделена на 3 подгруппы (1А, 1В, 1С) в зависимости от степени структурных изменений плаценты.
Течение данной беременности осложнилось обострением ВПГ- и ЦМВ-инфекции у 6 (7,5%) пациенток. У обследованных беременных наблюдались следующие экстрагенитальные заболевания: сахарный диабет (СД) — у 18 (22,5%), среди них СД 1-го типа — у 7 (8,75%), манифестный СД — у 1 (1,25%), гестационный сахарный диабет (ГСД) — у 11 (13,75%) беременных; бронхиальная астма — у 1 (1,25%) пациентки, тромбоз периферических вен во время беременности — у 3 (3,75%) пациенток, кардио-склероз — у 1 (1,25%), хроническая болезнь почек — у 5 (6,25%), хронический гепатит — у 2 (2,5%).
Среди 80 пациенток у 39 беременность была первой, у 41 в анамнезе имелись беременности и роды. Отягощенный акушерский анамнез выявлен у 22 беременных, что составило 27,5% от общего числа пациенток и 58,5% от повторнобеременных.
Осложнения течения данной беременности, зафиксированные на момент обследования, были следующими: отслойка плаценты выявлена в 2 (2,5%) наблюдениях, экстрахориальная плацентация — в 1 (1,25%), признаки преждевременного старения плаценты — в 2 (2,5%), синдром задержки роста плода (СЗРП) I степени — в 5 (6,25%), СЗРП II степени — в 2 (2,5%), СЗРП III степени — в 4 (5%), антенатальная гибель плода зафиксирована в 1 (1,25%), критические показатели плодового кровотока — в 4 (5%) наблюдениях, проявления массивного субхориального тромбоза — в 2 (2,5%), диабетическая фетопатия обнаружена у 2 (2,5%) плодов.
Анализ экстрагенитальной патологии и осложнений беременности проведен в зависимости от степени структурных изменений плаценты (рис. 1, 2).

Рис. 1. Характер экстрагенитальной патологии у пациенток со структурными изменениями плаценты в виде расширения МВП.

Рис. 2. Исходы предыдущей беременности у пациенток со структурными изменениями плаценты в виде расширения МВП.
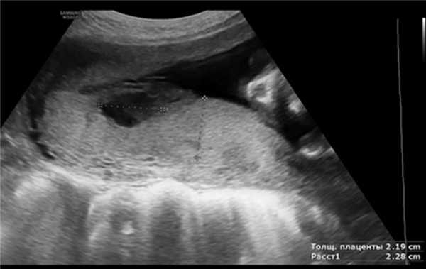
В подгруппу 1А вошли 25 беременных с единичными расширениями МВП размером менее 20 мм (рис. 3). Среди соматической патологии, фигурирующей в клиническом диагнозе, встречались ГСД — 3 (12%) наблюдения, хронический гепатит — у 2 (8%) пациенток, бронхиальная астма — у 1 (4%), ВПГ- и ЦМВ-инфекция — у 4 (16%), кондиломатоз — у 4 (16%). Невынашивание отмечено в анамнезе у 3 беременных, СЗРП I степени — у 2, СЗРП III степени — в 1 наблюдении при обострении ВПГ- и ЦМВ-инфекции в данную беременность. Перинатальных потерь не было.

Рис. 3. Единичные расширения МВП плаценты.
Мутация генов тромбофилии выявлена в 44% исследований, PAI I — в 7 (28%) наблюдениях, сочетанные маркеры тромбофилии — в 4 (16%) наблюдениях. Гиперкоагуляция подтверждена при проведении лабораторных исследований. Чувствительность признака составила 28%, точность диагностики — 28%.
В подгруппу 1В были отнесены 26 пациенток со значительными структурными изменениями (рис. 4) в плаценте (расширение МВП более 20 мм и менее ⅓ плаценты).

Рис. 4. Значительные расширения МВП плаценты.
В этой подгруппе (см. рис. 1) среди экстрагенитальной патологии выявлены СД в 11 (42,3%) наблюдениях, обострение ВПГ-инфекции — у 1 (3,8%) пациентки.
У 6 пациенток в группе 1В беременность была повторной. Все имели осложнения предыдущей беременности: отслойку плаценты и экстренное кесарево сечение (2), преждевременные оперативные роды в 36 нед по поводу тяжелой преэклампсии (1), антенатальную гибель плода (1), невынашивание беременности (2), т.е. в половине наблюдений в этой подгруппе предыдущая беременность закончилась фатальными осложнениями. Во время данной беременности у 1 пациентки произошла отслойка плаценты, у 1 выявлен СЗРП III степени, и в 2 наблюдениях обнаружены критические показатели плодового кровотока в начале III триместра, что потребовало экстренного досрочного родоразрешения.
Среди 26 пациенток не обследованы на генетические маркеры тромбофилии 11 (42,3%), в 2 (7,7%) наблюдениях носительство генов тромбофилии не подтверждено, в 11 (42,3%) наблюдениях выявлена сочетанная тромбофилия, в 2 (7,7%) наблюдениях — PAI I. Чувствительность признака составила 87%, доля ложноположительных диагнозов —13%.
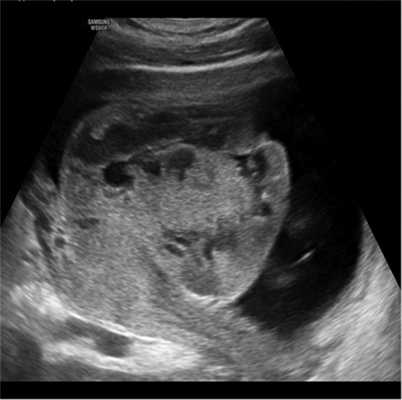
Подгруппу 1С составили 29 беременных с массивными расширениями МВП, т.е. общая площадь структурных изменений плаценты превышала ⅓ от максимального сечения (рис. 5).

Рис. 5. Массивные структурные изменения плаценты в виде расширения МВП.
Среди них у 18 пациенток беременность была первой, у 11 — повторной. У отдельных пациенток беременность была отягощена хроническими соматическими заболеваниями (см. рис. 1): СД 1-го типа — у 5 (17,2%) беременных, ГСД — у 1 (3,4%) беременной, хроническая болезнь почек — в 4 (13,7%) наблюдениях.
Отягощенный акушерский анамнез среди повторнобеременных отмечен в 8 наблюдениях: антенатальная гибель плода произошла в 1 наблюдении, интранатальная гибель — у 1 пациентки, невынашивание беременности — прерывание в I триместре — 3 наблюдения, отслойка плаценты в конце II—начале III триместра — 3 наблюдения, т.е. в 72,7% исход предыдущей беременности был неблагоприятный.
Данная беременность протекала с осложнениями: активация ВПГ-инфекции — в 1 наблюдении, СЗРП I степени — в 1 наблюдении, СЗРП II степени — у 2 пациенток, СЗРП III степени — у 3, выявлены критические показатели плодового кровотока при первом обращении — у 2 беременных, антенатальная гибель плода — у 1, массивный субхориальный тромбоз — у 1, диабетическая фетопатия — у 2 пациенток. Таким образом, в 29,1% наблюдений при первом посещении выявлены некомпенсированные тяжелые осложнения во время данной беременности, препятствующие рождению доношенного здорового новорожденного.
Из группы 1С 9 беременных не были обследованы на полиморфизм генов гемостаза. Среди обследованных не выявлено мутаций у 2 (10%) беременных, выявлены мутации у 18 (90%) беременных, среди них мутация Leiden — в 1 (0,5%) наблюдении, сочетанные — в 17 (89,5%) наблюдениях. Чувствительность признака составила 90%, доля ложноположительных предположений — 10%.
При анализе выявляемых мутаций генов гемостаза обнаружена положительная корреляция между структурными изменениями плаценты в виде расширения МВП и наличием мутаций (0,63) и очень слабая положительная корреляция между изменениями в плаценте и формой мутации (коэффициент корреляции 0,18).
Таким образом, установленные результаты ретроспективного анализа структурных изменений плаценты в виде расширения МВП позволили сделать следующее заключение.
Единичные расширения МВП размером не более 20 мм не могут служить специфическим маркером каких-либо гестационных осложнений, поскольку встречались при хроническом течении или обострении инфекционных процессов и при гиперкоагуляционных состояниях без статистически значимых различий. В группе беременных с единичными расширениями МВП, независимо от генеза изменений, не отмечалось перинатальных потерь во II—III триместрах беременности.
Статистически значимых различий в характере патологии, выявляемой при значительных и массивных расширениях МВП плаценты, не обнаружено. Акушерский анамнез, осложнения течения беременности у этих подгрупп пациенток в большом проценте случаев приводят к неблагоприятным перинатальным исходам.
При анализе выявляемых мутаций генов гемостаза в обследованных подгруппах пациенток обнаружена положительная корреляция между структурными изменениями в плаценте — расширением межворсинчатых пространств — и наличием мутации генов гемостаза (коэффициент 0,63), что диктует необходимость дополнительного обследования беременных с характерными структурными изменениями плаценты на полиморфизм генов тромбофилии и гиперкоагуляцию.
Участие авторов:
Концепция и дизайн исследования — М.А. Чечнева, Т.С. Будыкина;
Сбор и обработка материала — Н.В. Бирюкова, С.М. Захаров, З.В. Торшина, В.В. Овчинникова;
Статистическая обработка — С.М. Захаров;
Написание текста — М.А. Чечнева, Т.С. Будыкина, С.М. Захаров;
Редактирование — М.А. Чечнева, Т.С. Будыкина.
Авторы заявляют об отсутствии конфликта интересов.
Participation of authors:
Concept and design of the study — M.A. Chechneva T.S. Budykina;
Data collection and processing — N.V. Biryukova, S.M. Zakharov, Z.V. Torshina, V.V. Ovchinnikova;
Массивный субхориальный тромбоз плаценты и исход беременности
ГУЗ Московский областной НИИ акушерства и гинекологии Министерства здравоохранения Московской области, Москва; ФГБУ Научный центр акушерства, гинекологии и перинатологии им. академика В.И. Кулакова Минздравсоцразвития России, Москва
Цель исследования. Клинико-анатомический анализ этиологии, клинического течения и исходов редкого вида нарушений маточно-плацентарного кровообращения - массивного субхориального тромбоза (МСХТ).
Материал и методы. Представлены 8 наблюдений МСХТ при одноплодной беременности, из них 4 с интра- и антенатальной гибелью плода на сроках 18-31 нед и 4 - с рождением живых детей в сроки 32 нед и 37-38 нед. Проведены клинико-анатомические сопоставления с определением значения плаценты в критическом состоянии и антенатальной гибели плода. При исследовании плаценты определяли массу органа и плацентарно-плодовый коэффициент, состояние межворсинчатого пространства, ворсинчатого дерева, сосудов ворсин, трофобласта.
Результаты исследования. В плацентах внутриутробно погибших плодов МСХТ занимал до 4/5 площади хориальной пластинки с распространением до базальной пластинки и сдавлением ворсинчатого дерева. В плацентах новорожденных МСХТ имел вид солитарной субхориальной гематомы или субхориальных масс фибрина, занимающих до половины площади хориальной пластинки. Для новорожденных с МСХТ характерны синдром задержки роста плода и низкая масса плацент с хорошо выраженными компенсаторными изменениями ворсинчатого хориона. Тромботические массы состояли из неизмененных, гемолизированных эритроцитов и фибрина разного возраста, условно подразделяемого на «зрелый» (6-24 ч) и «старый» (более 24-48 ч). Хориальная пластинка в зоне МСХТ была в состоянии фибриноидного некроза.
Заключение. Неблагоприятный исход МСХТ для плода обусловлен малой массой плаценты, физиологической незрелостью компенсаторных процессов. Пролонгированное течение МСХТ позволяет диагностировать данное критическое состояние фетоплацентарного комплекса, провести необходимую терапию и составить представление о дальнейшем ведении беременности.
Массивный субхориальный тромбоз (МСХТ) является редким вариантом расстройства маточно-плацентарного кровообращения. В Международной классификации болезней данная форма тромбоза отсутствует. Вместе с тем частота МСХТ в плаценте при прогрессирующей и доношенной беременности составляет 0,53:1000-1:2000 родов [4, 5, 7].
Макроскопически МСХТ представляет собой тромботические массы толщиной до нескольких см, отделяющие хориальную пластинку от ворсинчатой ткани на значительном протяжении, иногда с поражением до базальной пластинки, что приводит к формированию трансплацентарного тромбоза [3, 10]. Массивные субхориальные тромбы имеют вид бугров, вызывают деформацию плодовой поверхности плаценты, «выбухания» в амниотическую полость. При микроскопическом исследовании МСХТ состоит исключительно из слоев тромботических масс и не содержит ворсин хориона. Тромбоз может быть ограничен субхориальным пространством, но нередко распространяется на хориальную пластинку, расслаивая ее; в отдельных котиледонах МСХТ прерывается стволовыми ворсинами [6, 11].
Причина МСХТ неизвестна. Этиологию поражения связывают с глубокой имплантацией бластоцисты,
разрывом плодовой хориальной артерии, массивным отложением фибриноидного материала в венах децидуальной ткани, затрудненным оттоком по ним материнской крови. Кровь тромботических масс материнского происхождения, хотя имеются данные [3, 6], что они содержат и ядерные эритроциты плода.
Указывается на возможность гибели плода вследствие деформации и сдавления хориальной пластинки и пролабирования гематомы в амниотическую полость [7, 11]. Нередко МСХТ сопровождается резким снижением функционального состояния хориальной ткани, что вызывает выкидыш на ранних сроках беременности и внутриутробную гибель плода во II и III триместрах [2]. Не исключается, что при прогрессирующей беременности МСХТ провоцирует роды, часто преждевременные [4, 6, 9].
Цель исследования состояла в клинико-анатомическом анализе МСХТ при одноплодной беременности у 8 женщин, из них 4 - с интра- и антенатальной гибелью плода на сроках 18-31 нед и 4 родили живых детей в сроки 32 нед и 37-38 нед.
Материал и методы исследования
Расширение межворсинчатых пространств плаценты как маркер осложнений беременности при тромбофилии
Цель. Проследить течение и исходы беременности у пациенток с массивными структурными изменениями плаценты в виде расширения межворсинчатых пространств (МВП) в зависимости от коррекции гиперкоагуляции.
Материалы и методы. В исследование включены 139 беременных с впервые выявленными при УЗИ структурными изменениями плаценты в виде массивного расширения МВП и подтвержденной тромбофилией. В течение беременности проведен анализ толщины и структуры плаценты и исходов беременности в зависимости от лечения. 1-я группа (n=64) не получала или нерегулярно применяла антикоагулянтную или антиагрегантную терапию. 2-я группа (n=75) в течение всей беременности получала лечение под контролем лабораторных данных.
Результаты. Проведен сравнительный анализ течения беременности у пациенток с тромбофилией и характерными структурными изменениями в плаценте. Показано, что у пациенток, получавших постоянную антикоагулянтную терапию под лабораторным контролем с достижением параметров нормокоагуляции, наступают уменьшение толщины и нормализация эхоструктуры плаценты. Улучшение перинатальных исходов выражается в снижении количества неразвивающихся беременностей в 4 раза, отслоек плаценты - в 3,5 раза, задержек внутриутробного роста плода - в 1,5 раза, увеличении срочных родов - в 4 раза.
Заключение. Эхоструктура плаценты может служить дополнительным диагностическим маркером тромбофилии и гиперкоагуляции, а также дополнительным критерием эффективности проводимого лечения.
Определенную роль в формировании осложнений беременности, приводящих к увеличению количества преждевременных родов, перинатальных осложнений и перинатальных потерь, играют гиперкоагуляционные состояния, в том числе связанные с тромбофилией.
Наследственная тромбофилия - это нарушение свертывания крови, при котором доказано увеличение риска венозной тромбоэмболии (ВТЭ). Наследственные тромбофилии связаны и с неблагоприятными исходами во время беременности. Тем не менее существует ограниченное количество данных, позволяющих проводить скрининг и лечение этих состояний во время беременности. Различные виды тромбофилий обусловливают неоднозначный риск тромбоза у матери и неблагоприятные исходы беременности, поэтому также неоднозначны показания к скринингу для выявления этих состояний [1, 2].
Неблагоприятные исходы при беременности включают как ранние (привычное невынашивание), так и поздние опосредованные сосудистые проблемы плаценты (антенатальная гибель плода, преэклампсия, отслойка плаценты и задержка внутриутробного роста). Simcox L.E. et al. говорят: «Существует мало убедительных доказательств связи неблагоприятных исходов беременности с тромбофилией во время беременности» [3].
В течение последних десятилетий многократно обсуждается вопрос, необходимо ли обследование беременных на наследственные тромбофилии в виде повсеместного скрининга, что привело бы к значительным материальным затратам, или тестирование отдельных групп населения с высоким предполагаемым риском осложнений беременности на основании анамнестических данных.
Тестирование на тромбофилию однозначно рекомендовано у пациенток с венозным тромбозом или эпизодами тромбоза у близких родственников в анамнезе [4]. По мнению Dłuski D. et al., тесты на тромбофилию следует проводить у женщин с неблагоприятными исходами беременности в анамнезе, которые планируют беременность, чтобы начать антикоагулянтную профилактику [5].
Однако необходимость применения антикоагулянтной терапии у беременных с тромбофилией с целью улучшения исходов и профилактики осложнений беременности также относится к вопросам неоднозначным и нерешенным [6].
Метаанализ рандомизированных контролируемых исследований от 2016 г., сравнивающих применение низкомолекулярного гепарина (НМГ) у женщин с наследственной тромбофилией и предшествующим невынашиванием беременности, утверждает, что не было значительных различий в показателях числа живорождений в зависимости от наличия или отсутствия терапии НМГ (относительный риск (ОР) 0,81; 95% доверительный интервал (ДИ) 0,55-1,19; Р=0,28) [7].
В обзоре 2019 г. исследуются доказательства влияния наследственной тромбофилии на привычное невынашивание и другие осложнения беременности; обсуждается вопрос, может ли антитромботическое лечение изменить исход беременности. Основной вывод - обследование на наследственную тромбофилию не требуется при привычном невынашивании беременности или осложнениях на поздних сроках беременности [8].
Ранняя диагностика и своевременная коррекция гиперкоагуляционных изменений, вероятно, могли бы оказать определенное влияние на предупреждение развития грозных осложнений, в том числе приводящих к неблагоприятным перинатальным исходам. В настоящее время клинические рекомендации по тромбофилии предусматривают диагностические мероприятия в ряде конкретных ситуаций: пациентки с эпизодом ВТЭ в анамнезе, ассоциированной с наследственной или приобретенной тромбофилией высокого риска, относятся к группе очень высокого риска последующих ВТЭ [9, 10].
В других клинических ситуациях обследование показателей свертывающей системы крови не предусмотрено. Для проведения дорогостоящих исследований нужны отдельные показания, которые могут не проявляться при даже тщательном клиническом наблюдении беременной в рамках существующего протокола. В ранее проведенном ретроспективном исследовании нами была показана корреляция структурных изменений плаценты с частотой выявления наследственной тромбофилии и гиперкоагуляции, а также с частотой неблагоприятных перинатальных исходов в анамнезе. Было предложено считать массивные структурные изменения плаценты в виде расширения межворсинчатых пространств (МВП) маркером гиперкоагуляции при данной беременности [11]. Вторая часть исследования представляет собой проспективный анализ клинических наблюдений пациенток, у которых в течение настоящей беременности при ультразвуковом исследовании (УЗИ) выявлены массивные расширения МВП плаценты.
Цель исследования: проследить течение и исходы беременности у пациенток с массивными структурными изме.
Читайте также:
