КТ аплазии и гипоплазии поднижнечелюстной железы
Добавил пользователь Владимир З. Обновлено: 28.01.2026
Гипоплазия эмали - недостаточное развитие поверхностного слоя (эмали) молочных или постоянных зубов. Крайне выраженной формой гипоплазии эмали является аплазия - ее полное отсутствие. Проявляется изменением формы и внешнего вида зубов, наличием белесых или депигментированных участков, бороздок, углублений, при аплазии - болевыми ощущениями на различные раздражители. Наиболее часто гипоплазия эмали ведет к развитию глубокого кариеса, пульпита, формированию неправильного прикуса.
Общие сведения
Гипоплазия эмали - это врожденный порок недоразвития зуба или его тканей связанный с нарушения обмена веществ у плода. Аплазия эмали является крайним выражением гипоплазии и проявляется полным отсутствием эмалевого покрытия или же отсутствием зуба.
Причины развития
Возникают гипоплазии эмали из-за серьезных нарушений обмена веществ в организме плода. И основной причиной является либо патология закладок клеток зародыша, либо неблагоприятные факторы, негативно влияющие на плод.
Не вполне корректно утверждение о том, что гипоплазия эмали возникает только из-за нарушения минерального обмена и участки гипоплазии - это ни что иное, как зона деминерализации. Если бы это было основной причиной гипоплазий эмали, то патология не была столь широко распространена. На сегодняшний день заболеваемость постоянно растет, так как вредные факторы начинают действовать на зачатки зубов еще задолго до формирования и рождения плода. Выводы о том, что токсикозы и инфекционные заболевания у беременной приводят к аномалиям развития плода, вполне обоснованны. Исследования подтверждают, что аплазии эмали и другие аномалии зубов чаще встречаются у детей, чьи матери перенесли во время беременности ОРВИ, краснуху, токсоплазмоз. Или же если часть беременности протекала с серьезными токсикозами. Недоразвитие эмали наблюдается у недоношенных детей и у детей, получивших травмы во время родов. Предрасполагающими факторами являются энцефалопатии, атопические дерматиты, рахит и другие нарушения обмена кальция.
Гипоплазия эмали в той или иной степени обнаруживается практически у половины детей дошкольного и младшего школьного возраста. При этом она носит системный характер и чаще наблюдаются поражение нескольких зубов. Гипоплазия эмали с глубокими изменениями диагностируют у 40% клинически здоровых детей.
Гипоплазия эмали диагностируется на молочных и на постоянных зубах, при этом чаще она встречается именно на постоянных зубах, что ведет к увеличению риска заболеваний зубов в старшем возрасте. Нарушения эмалевого покрытия молочных зубов связаны с патологиями, протекающими в организме женщины во время беременности. Тогда как гипоплазия эмали постоянных зубов обусловлена нарушениями процессов обмена веществ в организме ребенка, которые развиваются, начиная с 5-6 месяца жизни. А поскольку заболевания в период первого года жизни встречаются гораздо чаще, чем серьезные патологии во время беременности, то соответственно гипоплазия эмали постоянных зубов превалирует, что является серьезной проблемой.
Локализация и групповая принадлежность зубов при гипоплазии эмали зависит от того, в каком возрастном периоде ребенок перенес заболевание, которое и стало главным патогенетическим звеном. Так, заболевания, перенесенные в первые месяцы жизни, приводят к гипоплазии эмали режущего края центральных резцов и бугров шестых зубов. Это связано с формированием данных зубов на 5-6 месяце жизни ребенка.
Если же заболевания вызывают глубокие изменения в обмене веществ ребенка или продолжается в течение длительного времени, то участки гипоплазии эмали наблюдаются по всей длине коронки и на поверхности зуба. Неровная структура эмали указывает на длительность и волнообразность заболеваний, перенесенных в период формирования зубов. Тяжесть перенесенных заболеваний сказывается и на глубине изменений эмали. Так, незначительные патологии могут проявляться лишь меловидными пятнами, а тяжелые заболевания могут вызвать недоразвитие эмали вплоть до ее аплазии.
При местной гипоплазии эмали поражаются только часть зубов. Обычно ее возникновение связано с локализованными нарушениями обмена веществ вблизи зачатков постоянных зубов. Воспалительные процессы в области верхушки корней молочных зубов способствуют возникновению местной гипоплазии эмали. Такой вид гипоплазии чаще встречается на малых коренных зубах, потом как их зачатки расположены между корнями молочных моляров.
Клинические проявления
Системная гипоплазия
В зависимости от тяжести, системная гипоплазия эмали может проявляться изменением цвета эмали, ее недоразвитием или же полным отсутствием.
Изменение цвета эмали проявляется в виде симметричных белых пятен различных форм, которые расположены на одноименных зубах. Меловые пятна обнаруживаются на вестибулярной поверхности и не сопровождаются неприятными или болезненными ощущениями. Диагностическим признаком является то, что наружный слой эмали на пораженном участке гладкий, блестящий и не изменяет цвет при взаимодействии с красителями. На протяжении жизни пятно не изменят ни цвет, ни форму.
Более тяжелые проявления гипоплазии чаще не заметны при обычном осмотре. Волнистая, точечная и бороздчатая эмаль проявляется после высушивания поверхности. При тщательном осмотре стоматологу становятся заметны чередования небольших валиков и углублений с неизмененной эмалью. Чаще эта форма гипоплазии проявляется в виде точечных углублений в эмали, которые располагаются на разном уровне. В первое время эти участки имеют нормальный цвет, но по мере дальнейшего роста зуба эти участки постепенно пигментируются. В некоторых случаях гипоплазия эмали проявляется в виде одиночной гиперпигментированной полосы на коронке зуба. Иногда эта бороздка довольно глубока и происходит заметное уменьшение размера коронки зуба в виде перехвата, такую форму гипоплазии называют бороздчатой. Очень редко наблюдается лестничная гипоплазия, когда на коронке зубов формируется несколько бороздок. Но характерным является то, что даже при тяжелых формах таких гипоплазий эмали, ее целостность не нарушена.
Реже других изменений встречается аплазия эмали на определенном участке. При этом болевой синдром формируется при контакте с раздражителем и проходит после его устранения. Клинически данная патология проявляется отсутствием эмали на части коронки зуба, но чаще на дне чашеобразного углубления, либо в бороздке, охватывающей коронку зуба. Часто при аплазии эмали имеется и недоразвитие дентина. Это проявляется изменениями формы зубов, характерной для данной группы.
Изменения формы зубов при гипоплазиях эмали
- Зубы Гетчинсона. При данной патологии верхние центральные резцы имеют отверткообразную или бочкообразную форму. Их размер у шейки несколько больше, чем у режущей поверхности и имеется полулунная выемка у режущего края. Ранее полагалось, что данный симптом наблюдается только при врожденном сифилисе, однако позже установили, что аномалия возникает и при иных причинах.
- Зубы Пфлюгера. При данном симптоме поражены первые моляры, размер коронки у щеки больше, чем у жевательной поверхности. Бугры недоразвиты, что придает зубам схожесть с конусом.
- Зубы Фурнье. Клинически выглядят так же, как и при симптоме Гетчисона, но без полулунной выемки.
Местная гипоплазия эмали.
Такие гипоплазии возникают на постоянных зубах из-за вовлечения в воспалительный процесс зачатков зубов или вследствие механической травмы развивающего зачатка. Клинически этот тип гипоплазий проявляется в виде белых или желтовато-коричневых пятен, а чаще в виде точечных углублений по всей поверхности. В некоторых случаях эмаль коронки зуба полностью или частично отсутствует.
Гипоплазии эмали зубов приводят к тому, что микробы более агрессивно воздействуют на дентин, беспрепятственно проникая в него и вызывая глубокий кариес. Вторым серьезным осложнением является поражение других тканей зуба - цемента, дентина и пульпы, так как гипоплазии эмали редко протекают изолированно. У многих детей впоследствии формируется неправильный прикус.
Лечение
Тактика лечения зависит от степени выраженности гипоплазии, так при одиночных пятнах и неглубоких поражениях эмали этиотропное лечение не проводится. Проводят профилактику кариеса и уделяют больше внимания уходу за полостью рта. Иногда, если пятна расположены на вестибулярной поверхности зубов, то они становятся косметическим дефектом, так как хорошо видны во время разговора. Для их устранения проводят пломбирование композиционными материалами. Если присутствуют изменения эмали в виде точечных углублений и перехватов, то тоже устраняют с помощью пломбирования.
Ярко-выраженные дефекты эмали и дентина являются показанием для ортопедического лечения с установкой металлокерамических коронок. Профилактикой гипоплазии эмали является гармоничное развитие ребенка, для того чтобы не допустить серьезных заболеваний в период формирования иммунитета.
Аденома слюнной железы - симптомы и лечение
Что такое аденома слюнной железы? Причины возникновения, диагностику и методы лечения разберем в статье доктора Куфтарева Виталия Александровича, стоматолога со стажем в 10 лет.
Над статьей доктора Куфтарева Виталия Александровича работали литературный редактор Елизавета Цыганок , научный редактор Пётр Козлов и шеф-редактор Маргарита Тихонова

Определение болезни. Причины заболевания
Аденома слюнной железы (Salivary gland tumor) — это доброкачественная опухоль, которая развивается из эпителия выводных протоков больших и малых слюнных желёз.

Аденома постепенно увеличивается, и появляется безболезненная припухлость, из-за чего лицо становится асимметричным.
Исследователи склоняются к трём главным факторам риска появления аденомы слюнной железы:
- воздействие вредных веществ — радиация, работа на вредном производстве, например связанном с изготовлением резины и добычей асбеста, облучение при лечении рака головы и шеи [9][11] );
- влияние вирусов — вируса герпеса, Эпштейна — Барра;
- генетический фактор.
К факторам риска также косвенно относится воспаление слюнной железы, но явные причины аденомы медицине пока неизвестны.
Плеоморфная аденома слюнной железы
Опухоли слюнных желёз встречаются редко и в большинстве случаев они доброкачественные [9] . Чаще других доброкачественных опухолей развивается плеоморфная аденома (смешанная опухоль): в 70 - 80 % случаев, т. е. 2-3,5 случаях болезней слюнных желёз на 100 тыс. населения в год [6] [10] . Она может возникнуть в любом возрасте, но обычно развивается у людей от 20 до 49 лет. Мужчины и женщины болеют плеоморфной аденомой в соотношении 1,0:1,6 [1] [11] . Как правило, она развивается в околоушных, поднижнечелюстных и подъязычных железах. Часто поражает твёрдое и мягкое нёбо.
![Плеоморфная аденома [12]](https://probolezny.ru/media/bolezny/adenoma-slyunnoj-zhelezy/pleomorfnaya-adenoma-12_s.jpg)
При обнаружении схожих симптомов проконсультируйтесь у врача. Не занимайтесь самолечением - это опасно для вашего здоровья!
Симптомы аденомы слюнной железы
Часто протекает бессимптомно и медленно. Возникает в любых слюнных железах, но чаще поражает околоушные, чуть реже поднижнечелюстные и малые железы [2] .

В период быстрого роста опухоль за несколько месяцев увеличивается в 2-3 раза, из-за чего появляется припухлость, которая изменяет конфигурацию лица или шеи — это первый признак, на который обращают внимание. На ощупь она плотная и безболезненная, легко смещается.
Если опухоль достигает значительных размеров, слюнная железа не может работать как прежде, окружающие ткани отекают и воспаляются, из-за чего появляется боль. Когда проток слюнной железы полностью перекрывается, слюноотделение снижается, в связи с чем возникает сухость во рту.
Крупная аденома может сдавить кровеносные сосуды и нервы. В таком случае кожа начинает неметь и покалывать, иногда появляется чувство жжения или ползающих мурашек. Также возможен паралич некоторых мимических мышц. Если опухоль деформировала глотку, пациенту становится сложно глотать еду [2] [3] .
Патогенез аденомы слюнной железы
Под воздействием внешних и внутренних факторов риска клетки протоков слюнных желёз начинают быстрее расти и делиться. Как правило, они окружены от окружающих тканей капсулой, поэтому не поражают соседние здоровые клетки, как это происходит при развитии злокачественной опухоли. В результате скопления клеток образуется аденома.
Медленный рост может сменяться бурным развитием. Выросшая опухоль сдавливает окружающие ткани, нарушая тем самым их обмен веществ. Обычно имеет дольчатое строение [1] .
Классификация и стадии развития аденомы слюнной железы
Аденома слюнных желез делится на 12 видов:
- Плеоморфная аденома (или смешанная опухоль) — опухолевый узел круглой или овальной формы, который находится в капсуле и чётко отграничен от ткани слюнной железы. Толщина капсулы может меняться. На разрезе ткань белесоватая и блестящая, иногда с хрящевыми образованиями. Если рассмотреть опухоль под микроскопом, можно увидеть многообразие клеточных элементов, поэтому её назвали смешанной. Некоторые клетки могут оттесняться к капсуле, а на их месте образуются щели, заполненные жидкостью или коллагеновыми волокнами. Когда опухоль достигает больших размеров, обменный процесс в ткани может нарушиться, что приводит к кровоизлиянию и появлению очагов некроза. Изначально это доброкачественная разновидность аденомы, но она может стать злокачественной. Обычно это происходит через 15-20 лет от появления аденомы. После удаления возможен рецидив [1][2][7][8] .
- Аденолимфома (Уортина опухоль) — состоит из железистых структур и лимфатических клеток, оформленных клетками эпителия. Внешне опухоль бывает круглой и овальной формы с кистозными образованиями внутри (или просто пустотами). Такая аденома может содержать как много маленьких образований, похожих на ячейки, так и 3-4 крупные кисты, заполненные прозрачной или слизистой жидкостью. Кисты чередуются с плотными участками разного цвета (от белесовато-серого до бурого). Опухоль окружена очень тонкой эластичной оболочкой, шероховатой на ощупь. При прощупывании можно почувствовать, как содержимое опухоли движется под оболочкой. Иногда несколько опухолевых узлов объединяются под общей капсулой. Аденолимфома может быть инфарктной или инфицированной. Это случается, когда часть ткани внутри опухоли отмирает. Существует теория, что такая аденома зарождается в лимфатической ткани, которая постепенно врастает в ткань слюнной железы. Аденолимфома крайне редко рецидивирует и озлокачествляется, поэтому хирургическое лечение показывает хорошие результаты [1][2][4][7] .
- Онкоцитома — состоит из крупных эпителиальных клеток с большим количеством цитоплазмы. Встречается в основном у пожилых людей [1] . Имеет сферическую или овальную форму с гладкой поверхностью, но иногда бывает дольчатой или узловой. Размер варьируется от 1 до 5 см. Онкоцитома развивается под тонкой капсулой или без неё. Внутри есть мелкие кистозные включения с мутной жидкостью, но нет кровеносных сосудов. Опухоль проникает в окружающие ткани и органы, что сближает её со злокачественными образованиями. При этом её клетки устойчивы к рентгеновскому излучению, поэтому лучевая терапия в этом случае бесполезна. Однако грамотно проведённая операция с полным удалением опухолевой ткани поставит точку в лечении, так как онкоцитома редко рецидивирует [1][4][7] .
- Базальноклеточная аденома — делится на три типа: тубулярный, трабекулярный и мембранозный. Очень редкая опухоль, которая встречается в 1-3 % случаев аденом слюнных желёз. Чаще болеют люди старше 60 лет, при этом у женщин встречается в 2 раза чаще, чем у мужчин [1] . Опухоль поражает в основном крупные железы, особенно околоушную слюнную железу. На ощупь это твёрдый смещаемый узел. При разрезе имеет чёткую однородную структуру серого или коричневого цвета. Состоит из клеток, похожих на базальные клетки, из которых появляется весь эпителий кожи (его повреждение ведёт к появлению рубцов и шрамов). В отличие от здоровой ткани в этом случае из-за своего нетипичного расположения клетки образуют тяжи, трубки или тонкие мембраны. В одной опухоли могут сочетаться сразу несколько типов строения. В редких случаях аденома может стать злокачественной, при этом рецидивирует только мембранозный тип опухоли, но довольно часто (в 25 % случаев) [1] .
- Каналикулярная аденома — состоит из призматических эпителиальных клеток, которые соединяются между собой, образуя пучки, похожие на бусины. Встречается у пациентов старше 50 лет, женщины болеют в 2 раза чаще, чем мужчины. Как правило, поражает верхнюю губу или щёку [1] . Часто развивается в виде узла, чётко отграниченного от окружающих тканей (у мелких аденом она отсутствует). Рядом с крупной опухолью иногда можно увидеть мелкие узелки [1] .
- Сальная аденома — чрезвычайно редкая опухоль, составляет 0,1 % от случаев аденом слюнных желёз [1] . Состоит из гнёзд здоровых сальных клеток разных размеров. Представляет собой чётко отграниченную безболезненную опухоль до 3 см в диаметре. Эта аденома редко рецидивирует и становится злокачественной [1] .
- Лимфаденома — подразделяется на сальную и несальную опухоль, которая состоит из лимфоцитов и железистых клеток, ограниченных капсулой. Сальная лимфаденома похожа на сальную аденому, описанную выше, только к сальным клеткам добавляются лимфоидные фолликулы. В несальной лимфаденоме нет сальных клеток. Это плотная опухоль со множеством мелких полостей или одной большой полостью. Всего описано 10 случаев лимфоаденомы. Опухоль практически не озлокачествляется и не рецидивирует [1] .
- Протоковая папиллома — делится на инвертированную (преобразованную) протоковую и внутрипротоковую папиллому. Инвертированная папиллома — это плотное безболезненное образование, которое возникает в малых слюнных железах. Растёт не агрессивно. Состоит из большого количества эпителиальных клеток с протоком в центре, который может открываться на поверхность слизистой оболочки. Капсулы у такой опухоли нет. Внутрипротоковая папиллома обычно находится в крупных слюнных железах и представляет собой одну большую кисту, окружённую капсулой. В обоих случаях опухоль достаточно безобидна и после адекватного хирургического лечения обычно не рецидивирует [1] .
- Папиллярная сиалоаденома — экзотическая опухоль сосочкового или бородавчатого вида. Крепится на ножке или широком основании в виде полусферы. Состоит из множества железистых и эпителиальных клеток, расположенных в виде протоков. У сиалоаденомы нет капсулы, она может агрессивно расти, также часто рецидивирует (в 10-15 % случаев) [1] .
- Цистаденома — редкая доброкачественная опухоль. Представляет собой безболезненное и бесформенное образование. Состоит из одной крупной кисты или множества мелких кист, окружённых дольками слюнной железы и соединительной ткани. Характеризуется доброкачественным течением, медленным ростом и отсутствием рецидивов после удаления, однако описаны редкие случаи озлокачествления опухоли [1] .
- Миоэпителиома — состоит из миоэпителиальных клеток, т. е. клеток, похожих на мышечную ткань. Может состоять из разных клеточных структур, но в одной опухоли обычно находят один вид клеток, комбинации встречаются редко. Если долго не лечить опухоль, она может стать злокачественной. При удалении прогноз для миоэпителиомы благоприятный, рецидивы случаются редко [1] .
- Ацинозно-клеточная опухоль — это промежуточная опухоль между доброкачественной и злокачественной. Она активно прорастает в окружающие ткани, но не даёт метастазов. Её клинические проявления похожи на симптомы остальных аденом. Как правило, диагностировать ацинозно-клеточную опухоль получается только с помощью гистологического обследования. Врач оценивает её злокачественность и решает вопрос о необходимости лучевой терапии [2] .
Осложнения аденомы слюнной железы
Осложнения делятся на две группы:
- нарушения в органах, возникшие из-за опухоли;
- изменения внутри самой опухоли.
Нарушения в органах
Если аденома увеличивается, прорастает в железистую ткань слюнной железы и замещает её, снижается выделение слюны. Это приводит к появлению сухости во рту и нарушению процессов пищеварения, так как слюна — это важный компонент пищеварительной системы: она участвует в первичной обработке углеводов поступающей пищи.
При сдавливании кровеносного сосуда или нерва появляется сбой в передаче нервных импульсов и поступлении полезных веществ к мышцам лица, что приводит к нарушению их работы и болям. Также длительное сдавливание иногда становится причиной воспаления в сосудисто-нервном пучке, из-за чего могут развиться невралгии и невриты, которые сопровождаются сильной болью.
Изменения внутри опухоли
Доброкачественные опухоли в основном состоят из здоровых, но неправильно расположенных клеток организма. При длительном существовании опухоли может появиться нетипичная группа клеток с повреждённой ДНК. Чем больше таких клеток, тем выше риск, что опухоль станет злокачественной. Такой процесс перерождения аденомы называется малигнизацией.
При удалении крупной аденомы есть риск, что в организме останется небольшая часть клеток, из которых может вырасти новая опухоль, т. е. произойдёт рецидив.
Иногда в крупных опухолях появляются очаги погибших клеток — зоны некроза. Это происходит из-за нарушения обмена веществ внутри опухоли. Такой очаг может привести к серьёзному воспалению и осложнить лечение [1] .
Чем раньше опухоль найдут и прооперируют, тем ниже вероятность развития осложнений.
Диагностика аденомы слюнной железы
Первый признак аденомы — припухлость, но обычно она безболезненная, поэтому пациент попадает к врачу гораздо позже, чем нужно. На более поздней стадии к симптомам прибавляются сухость во рту и боли по ходу ветвей нерва.
![Припухлость при аденоме слюнной железы [13]](https://probolezny.ru/media/bolezny/adenoma-slyunnoj-zhelezy/pripuhlost-pri-adenome-slyunnoy-zhelezy-13_s.jpg)
При этом окончательный диагноз ставят только после удаления опухоли с помощью гистологического исследования, которое определяет тип аденомы по строению клеток.
Опрос и физикальный осмотр
Чтобы сформировать целостную картину, врач уточняет у пациента, когда появилась припухлость, как быстро она увеличивалась, какие изменения появились одновременно с ней, что предпринял пациент по поводу аденомы, есть ли хронические болезни и т. д.
После опроса проводится осмотр. Врач оценивает форму и размер образования, состояние слизистой оболочки над ним, анализирует целостность протоков крупных слюнных желёз и размер лимфатических узлов, проверяет, свободно ли открывается рот, есть ли признаки поражения нерва и сухость во рту.
При ощупывании врач определяет консистенцию образования, наличие болезненности, прилегание к окружающим тканям и подвижность опухоли.
Инструментальная диагностика
Далее используют дополнительные методы обследования:
- Цитологический метод — с помощью специальной иглы у пациента берут биологический материал и исследуют под микроскопом. У этого метода много недостатков: результаты зависят от условий взятия пункции и квалификации врача, проводящего исследование. Так как пункцию берут до операции, под обследование может попасть абсолютно любой участок опухоли, поэтому метод может дать неполную картину болезни. Часто проводят под контролем УЗИ.
- УЗИ — определяет точные размеры и положение опухоли, но иногда участки слюнных желёз перекрываются массивными костными образованиями, например ветвью нижней челюсти, и сигнал до них не доходит.
- Сиалография — очень информативный метод, при котором в проток слюнной железы вводят контрастное вещество, после чего делают рентгеновский снимок. Анализируя распространение контрастного вещества по слюнной железе, можно отличить опухоль от неопухолевой патологии, например слюннокаменной болезни, при которой тоже есть припухлость. Если контрастное вещество вытекает за пределы железы, это указывает на опухоль, так как нарушается структура оболочки железы или протока. Также по ряду признаков можно предположить, злокачественная опухоль или доброкачественная (если целостность железы не нарушена).
- КТ и МРТ — передают трёхмерное изображение слюнной железы и опухоли, что помогает точно определить её положение и размеры. Также с помощью МРТ можно узнать о строении опухоли, что сделает постановку диагноза более точной [1][2][3][4][5] .
![КТ аденомы слюнной железы [14]](https://probolezny.ru/media/bolezny/adenoma-slyunnoj-zhelezy/kt-adenomy-slyunnoy-zhelezy-14_s.jpg)
Лечение аденомы слюнной железы
Основным и единственным вариантом лечения аденомы слюнных желёз является операция. В большинстве случаев удаление опухоли сопровождается повреждением железы и нарушением её работы, поэтому железу тоже вырезают.
Если опухоль образовалась в малой слюнной железе, то её иссекают в пределах здоровых тканей. Иногда небольшую доброкачественную аденому удаляют в пределах её оболочки, но только если у опухоли есть капсула. Этот вариант операции является более щадящим, однако такой метод не используют при лечении плеоморфной аденомы. Это связано с тем, что такая опухоль может стать злокачественной. Также её капсула имеет неравномерную толщину и местами истончается, что затрудняет работу хирурга.
Послеоперационный период длится примерно неделю, дополнительные методы лечения аденомы (например, химио- или лучевая терапия) не требуются.
Хирургическое лечение слюнных желёз может оказаться довольно сложным, поскольку внутри и вокруг желёз находится несколько важных нервов, например лицевой нерв, который проходит через околоушную железу [9] . С этим связаны возможные послеоперационные осложнения, например парез лицевого нерва.
Прогноз. Профилактика
Прогноз благоприятный. При полном удалении железы вместе с опухолью рецидивы случаются крайне редко. В случае щадящего способа лечения есть вероятность повторного появления опухоли. В таком случае операцию проводят повторно и более радикально.
Профилактика аденомы слюнной железы
Как таковых мер профилактики не существует, однако стоит следовать общим рекомендациям:
Гипоплазия зубов - симптомы и лечение
Что такое гипоплазия зубов? Причины возникновения, диагностику и методы лечения разберем в статье доктора Дьяченко Татьяны Анатольевны, детского стоматолога со стажем в 10 лет.
Над статьей доктора Дьяченко Татьяны Анатольевны работали литературный редактор Маргарита Тихонова , научный редактор Елена Страндстрем и шеф-редактор Лада Родчанина

Гипоплазия — это порок развития твёрдых тканей одного или целой группы зубов [13] . Бывает врождённым и приобретённым. Развивается тогда, когда формируются зачатки молочных или постоянных зубов. Не является кариозным поражением.
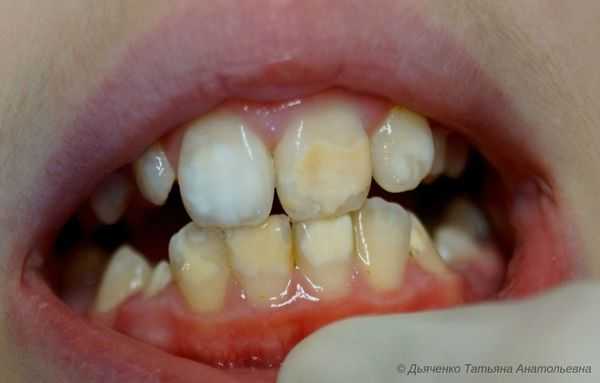
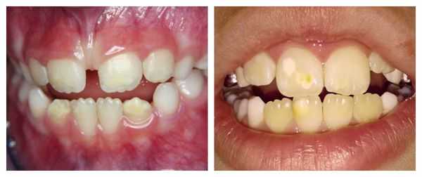
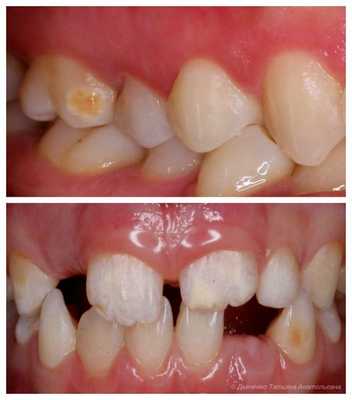
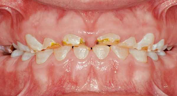
Сопровождается гипоплазия неоднородным цветом эмали, её истончением и изменением рельефа — углублениями различной формы и величины (от точек до бороздок и ямок). При прорезывании зубы сразу отличаются: на их поверхности присутствуют белые, жёлтые или коричневые пятна.

Иначе такое поражение зубов называют наследственной гипоплазией, аплазией, дисплазией или коричневой дистрофией эмали, а поражённые зубы — рифлёными или гипсовыми [1] .
Статистика
Гипоплазия — самое распространённое некариозное поражение твёрдых тканей зуба — эмали и дентина. Она встречается у 50 % детей с хроническими нарушениями обмена веществ, возникшими до или после рождения [10] .

Как показало стоматологическое обследование населения России 1999 года, распространённость некариозных поражений среди детей 12 лет составляет 43,5 %. При этом на долю системной гипоплазии эмали приходится 36,7 % [1] .
Самой распространённой формой болезни является системная гипоплазия — поражение всех зубов постоянного или молочного прикуса. Она составляет 90,6% всех видов гипоплазии [1] . Чаще дефект затрагивает режущие края или бугры зубов. В трёх из пяти случаев развивается у детей до 9-ти месяцев жизни.
В зарубежной литературе гипоплазию моляров и резцов (боковых и передних зубов) называют Molar Incisor Hipomineralisation (MIH) [1] . Эта форма болезни распространена во всём мире [18] . Рост её заболеваемости MIH может объясняться стрессами, ухудшением общего состояния организма, негативным влиянием окружающей среды и пищи [17] .

Причины и факторы риска
Развитие гипоплазии связывают с нарушениями обмена веществ в момент формирования зачатков зубов. Этому способствуют внешние и внутренние негативные факторы, которые воздействуют на организм будущей мамы или её уже родившегося ребёнка.
К внутриутробным факторам относятся:
- резус-конфликт (несовместимость отрицательного резус-фактора матери и положительного резус-фактора ребёнка);
- токсикоз и другие нарушения в организме беременной; , токсоплазмоз во время беременности;
- приём тетрациклина беременной (или ребёнком) [5] .
Внутренние факторы, связанные с заболеваниями ребёнка:
- синдром Дауна, ДЦП и другие поражения центральной нервной системы (они являются и причиной гипоплазии, и сопутствующими патологиями) [4] ;
- рахит или инфекционные заболевания у ребёнка ( корь , скарлатина );
- гипо- и авитоминоз;
- изменение минерального и белкового обмена при диспепсии (нарушении пищеварения) и заболеваниях эндокринных желёз (чаще щитовидной железы) [3] ;
- проникновение инфекции из воспалительного очага молочного зуба в зачаток постоянного.
Внешние факторы:
- недоношенность, низкая масса тела новорождённого [16] ;
- искусственное вскармливание ребёнка ;
- местное воздействие на зачаток зуба, например родовая травма ;
- травма челюстей и зачатка в момент формирования зуба.
Если патологические факторы воздействовали на плод — развивается гипоплазия молочных зубов. Если это произошло в раннем детстве — страдают уже зачатки постоянных зубов.
Симптомы гипоплазии зубов
То, как проявит себя гипоплазия, зависит от тяжести причинного фактора:
- при слабо выраженных нарушениях метаболизма образуются только меловидные (белые) пятна;
- при тяжёлых заболеваниях возникают серьёзные нарушения, вплоть до частичного или полного отсутствия эмали.

Чаще пациента с гипоплазией беспокоит неэстетичный вид зубов, особенно когда поражается передняя группа. Это может привести к комплексу неполноценности и психоэмоциональным травмам. Дети перестают улыбаться, прикрывают зубы руками при разговоре, чувствуют себя некомфортно в обществе.
Из-за хрупкости и неполноценности тканей зубов у ребёнка быстро развивается кариес , выпадают пломбы.
При отсутствии эмали часто возникает боль после контакта со сладкой, холодной, горячей пищей и другими внешними раздражителями. При тяжёлых, более серьёзных формах гипоплазии появляются проблемы с пережёвыванием еды [12] .
Серьёзные нарушения развития могут также вызвать изменения в формировании дентина, пульпы и внутренних тканей зуба [4] [13] . Гипоплазию дентина можно выявить только во время гистологического исследования зуба. При нарушении развития пульпы наблюдается дегенерация нервных элементов.
Иногда болезнь сочетается с гипоплазией челюстей. Клинически данное состояние проявляется в виде искривлённого подбородка с асимметрией лица. У больного образуется неправильный прикус.
Проявление таких гипопластических дефектов напрямую связано с возрастом ребёнка, в котором он перенёс болезнь или столкнулся с другой причиной гипоплазии.
Патогенез гипоплазии зубов
Образование эмали — процесс, от которого зависит красота и здоровье зуба. Он начинается на этапе формирования зачатка, т. е. до прорезывания. В нём участвует множество клеток. Одни из них — амелобласты. Это клетки, которые строят эмаль из эмалевых призм, как стену из кирпичиков.
Один амелобласт в норме формирует одну эмалевую призму, из которых состоит внешняя ткань уже прорезавшегося зуба. После прорезывания амелобласты запрограммированно разрушаются. Без них зубная эмаль теряет способность восстанавливаться [14] .

После образования тканей эмаль проходит три стадии минерализации. Первые две стадии обычно заканчиваются до прорезывания, последняя (третья) — в первый год после прорезывания. Если эмаль зачатка не минерализовалась, то по консистенции она становится похожей на хрящ [14] .
Исходя из особенностей процесса образования зачатка и минерализации эмали, выделяют две гипотезы патогенеза болезни:
- Первая гипотеза связана с изменениями в амелобластах. Из-за нарушения формирования белковой матрицы такие клетки полностью гибнут ещё во время формирования зачатка [12] . Это и приводит к гипоплазии эмали. Но иногда нарушения возникают не только на уровне амелобластов, но и одонтобластов. В таком случае развивается гипоплазия дентина [3] .
- Вторая гипотеза связана с ослаблением процесса минерализации структурных тканей эмали [13] .
Классификация и стадии развития гипоплазии зубов
В зависимости от поражённой группы зубов выделяют две формы гипоплазии:
- Гипоплазия молочных (временных) зубов . Развивается во время внутриутробной жизни плода. Возникает из-за нарушений в организме беременной женщины (например, токсикоза), токсоплазмоза, краснухи, системных заболеваний или родовой травмы.
- Гипоплазия постоянных зубов . Встречается чаще гипоплазии молочных зубов [3] . В 60 % случаев развивается в первые 9 месяцев жизни ребёнка [10] . Возникает у детей, перенёсших такие заболевания, как рахит, гипопаратиреоз, токсическую диспепсию, алиментарную дистрофию, врождённый сифилис, болезни пищеварительного тракта или эндокринные нарушения.
По количеству поражённых зубов заболевание бывает двух форм:
- Местная гипоплазия — нарушено развитие тканей одного или двух зубов. Причиной такой гипоплазии может стать медикаментозное или инструментальное воздействие на зачаток постоянного зуба, а также длительная инфекция у корней молочного зуба [11] .
- Системная гипоплазия — поражено больше двух зубов. Чаще наблюдается на одной группе зубов, которые формировались в одно время, т. е. симметрично. При длительном влиянии неблагоприятных факторов поражаются все зубы в полости рта.

По клинической картине выделяют пять форм гипоплазии:
- Пятнистая форма . Сопровождается появлением пятен белого, жёлтого или коричневого цвета. Границы чёткие, поверхность гладкая и блестящая. Форма, размер и расположение пятен чаще симметрично.
- Эрозивная форма . Эмаль сильно истончена. Дефекты, как правило, округлой, чашеобразной формы, одного размера. Расположены симметрично на одноименных зубах.
- Бороздчатая форма . Отличается бороздчатыми, линейными углубления на поверхности зуба или зубов. Располагаются вдоль режущего края.
- Смешанная форма . Включает в себя признаки всех вышеуказанных форм.
- Аплазия — отсутствие эмали на определённом участке зуба. Наиболее серьёзное проявление гипоплазии [10] .

Отдельно рассматривают формы системной гипоплазии, которые затрагивают дентин:
- Зубы Гетчинсона — аномалия, при которой коронки центральных верхних резцов имеют отвёрткообразную форму с полулунными вырезками по режущим краям [9] .
- Зубы Фурнье — зубы бочковидной формы без полулунной вырезки, шейки которых больше режущих краёв.
- Зубы Пфлюгера — аномалия первых моляров (жевательных зубов). Возникает в результате сифилитической инфекции [7] . Зубы имеют конусовидную форму, их бугры недоразвиты, шейки больше жевательной поверхности.

Гипоплазия как результат медикаментозных поражений:

Осложнения гипоплазии зубов
Структура гипоплазированного зуба отличается тонкими, неполноценными тканями. Он слабее и беззащитнее перед микробами по сравнению со здоровыми зубами. Поэтому пациенты с гипоплазией предрасположены к развитию кариеса и его осложнений, особенно при некачественной гигиене полости рта.
Кариес возникает после образования дефектов под влиянием бактериальной инфекции [3] . Если дефекты затрагивают дентин, в дальнейшем может развиться:
- — воспаление нервно-сосудистого пучка зуба; — воспаление связочного аппарата и околоверхушечных тканей зуба.
При системной гипоплазии, особенно на буграх и режущих поверхностях, зубы быстро и сильно стираются. В результате снижается высота прикуса.

У некоторых пациентов с гипоплазией как осложнение появляется дополнительный симптом — повышенная чувствительность зубов [10] .
Диагностика гипоплазии зубов
Для постановки диагноза доктор опрашивает пациента, проводит общий осмотр и осмотр полости рта.
Опрос пациента . Врач узнаёт о перенесённых и сопутствующих заболеваниях пациента. Уточняет, какие неблагоприятные факторы могли повлиять на состояние зубов. Место проживания, работы и профессиональные вредности матери также имеют значение.
Чтобы исключить влияние лекарств на образование дефектов, доктор выясняет, какие препараты принимает или принимал пациент, а также его мать во время беременности. Также важно узнать, когда образовались пятна, сколы, ямки и эрозии. При гипоплазии указанные дефекты видны сразу после прорезывания зубов, а не через некоторое время, как при кариесе [8] .
Осмотр пациента . Доктор обращает внимание на состояние волос, кожи и ногтей, прощупывает щитовидную железу. Это нужно, чтобы выявить фоновые заболевания, которые могли стать причиной развития гипоплазии.
Осмотр полости рта . Врач проводит зондирование, обращая внимание на цвет, структуру и рельеф поверхности зубов. Чтобы отличить эти пятна от начального кариеса, выполняет окрашивание пятна 2 % водным раствором метиленового синего. Гипоплазия, в отличие от кариеса, не окрашивается. Перед диагностическим тестом зуб нужно очистить и высушить.

Дифференциальная диагностика . Важно отличить гипоплазию от других болезней:
- Кариес в стадии пятна возникает после прорезывания, в то время как гипоплазия формируется до появления или прорезывания зуба. Кариозные дефекты чаще располагаются в фиссурах — естественных углублениях зуба, тогда как гипоплазия обычно локализуется на поверхности зубов со стороны щёк или губ. При кариесе во время зондирования часто обнаруживается шероховатость эмали, её целостность нарушена [13] . При гипоплазии углубления и ямки имеют гладкую поверхность. возникает у людей, которые живут на территории с повышенным уровнем фтора. С возрастом флюороз может исчезнуть, однако чаще, как и гипоплазия, остаётся на всю жизнь [10] . Многие исследователи рассматривают флюороз как гипоплазию специфического происхождения [13] .
- Кислотный некроз эмали сопровождается жалобами на ощущение вязкости во рту — оскомину. Встречается у людей, работающих с химическими кислотами. В отличие от гипоплазии развивается после прорезывания зубов под влиянием внешних негативных факторов.

Лечение гипоплазии зубов
Характер и вид лечения зависят от степени гипоплазии.
При единичных белых пятнах на 1-2 зубах и отсутствии эстетических жалоб лечебные мероприятия не проводятся. Как правило, в этом случае поражены жевательные зубы.
Когда гипоплазия расположена на центральных зубах, дефекты эмали видны при разговоре и улыбке, вызывают у пациента психологический дискомфорт. В таком случае даже слабовыраженные формы гипоплазии требуют лечения, например с помощью пломбирования поражённых зубов композитным материалом.
Пациентам с системной гипоплазией и серьёзными поражениями зубов чаще показано обследование и лечение не только у стоматологов, но и у эндокринолога, терапевта, гинеколога или инфекциониста. Всё зависит от выявленного фонового заболевания [8] .
При выраженных пороках развития требуется помощь стоматолога-ортопеда. Доктор восстановит форму и функцию зуба с помощью вкладки, винира, люменира или коронки.

В качестве лечебно-профилактических процедур рекомендуется пройти интенсивные курсы реминерализирующей терапии, особенно при пятнистой форме гипоплазии. Реминерализация снижает повышенную чувствительность, укрепляет ткани зубов, делает их более устойчивыми к кариесу.
Реминерализация включает в себя:
- Глубокое фторирование зубов . Назначаются фторсодержащие гели и пасты, но только после дифференциальной диагностики с флюорозом.
- Кальцинирование зубов . Применяются пасты и гели с активным кальцием.
Иногда длительная реминерализация помогает уменьшить размеры пятен. Но полностью устранить дефекты не получится, так как эмаль зуба не способна самовосстанавливаться.
В завершении лечения стоматолог обучает пациента правильной гигиене полости рта, чтобы предотвратить развитие осложнений гипоплазии.
Нарушения в тканях зуба при развившейся гипоплазии необратимы: без лечения дефекты эмали остаются на всю жизнь [12] . Размер, форма и цвет пятнистой гипоплазии со временем не увеличиваются, если не осложняется кариесом. Для предотвращения осложнений нужно тщательно следить за гигиеной полости рта, чистить зубы правильно и регулярно.
Теория и практический опыт в ультразвуковой диагностике патологии слюнных желез

Экспертный класс по доступной цене. Монокристальные датчики, полноэкранный режим отображения, эластография, 3D/4D в корпусе ноутбука. Гибкая трансформация в стационарный сканер при наличии тележки.
В отечественной и зарубежной литературе встречается много работ, посвященных сиалогии (от греч. Sialon - слюна и logos - учение) - науке о заболеваниях и повреждениях слюнных желез, методах их диагностики и лечения. По данным разных авторов, на долю заболеваний слюнных желез приходится до 24% всей стоматологической патологии. В настоящее время в клинической практике наиболее часто встречаются дистрофические, воспалительные заболевания слюнных желез (сиалоаденозы, сиалоадениты), а также опухоли и врожденные пороки развития слюнных желез. Кроме того, патологические изменения слюнных желез часто сопутствуют другим заболеваниям (сахарный диабет, бронхоэктатическая болезнь, саркоидоз, цирроз печени, гипертриглицеридемия, лимфогранулематоз и др.).
Для диагностики заболеваний слюнных желез используются различные инструментальные методы [1]:
- рентгенография (при подозрении на образование камней в протоках слюнных желез, однако в 20% камни поднижнечелюстных слюнных желез и 80% околоушных слюнных желез нерентгеноконтрастны);
- сиалография (исследование протоков слюнных желез с рентгеноконтрастным веществом, редко оказывается полезно при дифференцировании опухолей от воспалительных процессов, однако она может помочь дифференцировать объемное образование слюнных желез от образований в соседних тканях. У больных с подозрением на аутоиммунное заболевание слюнных желез может обнаружиться характерная картина мешотчатого расширения протоковой системы. При острой инфекции слюнных желез сиалографию предпринимать не следует [2]);
- компьютерная томография вместе с сиалографией;
- ультразвуковой метод (является наиболее доступным, безопасным и информативным в процессе дифференциальной диагностики патологического состояния слюнных желез).
Анатомия слюнных желез [3]

Рис. 1. Лимфатические узлы в толще околоушной слюнной железы.
Малые слюнные железы - губные, щечные, язычные, небные, резцовые - располагаются в соответственных участках слизистой оболочки. Могут быть источником развития аденокарцином полости рта.
Патология слюнных желез
Пороки развития СЖ встречаются редко. Наиболее распространены аномалии размера желез (агенезия и аплазия, врожденная гиперплазия (рис. 2) и гипоплазия), их расположения (гетеротопия, добавочные СЖ), аномалии выводных протоков (атрезия, стеноз, эктазия, кистозная трансформация, дистопии протоков).

Рис. 2. Гиперплазия левой подъязычной слюнной железы.
Сиаладениты - большая группа полиэтиологических воспалительных заболеваний СЖ (рис. 3). Первичные сиаладениты - сиаладениты, рассматриваемые в качестве самостоятельных заболеваний (например, эпидемический паротит). Вторичные сиаладениты - сиаладениты, являющиеся осложнениями или проявлениями других заболеваний (например, сиаладенит при гриппе). Эхографическая картина при разной этиологии малоспецифична. Этиология имеет клиническое значение в процессе определения тактики лечения.

Рис. 3. Сиаладенит правой поднижнечелюстной слюнной железы.
По этиологическому фактору сиаладениты классифицируют [4] на:
- сиаладениты, развивающиеся под влиянием факторов физической природы (травматический сиаладенит, лучевой сиаладенит (рис. 4) возникает при лучевой терапии злокачественных опухолей головы и шеи);
- сиаладениты, развивающиеся под действием химических факторов (токсические сиаладениты);
- инфекционные сиаладениты (пути проникновения ифекции в СЖ: стоматогенный (через протоки), контактный, гематогенный и лимфогенный);
- аллергические и аутоиммунные сиаладениты (рецидивирующий аллергический, болезнь и синдром Шегрена и др.);
- миоэпителиальный сиаладенит, вызванный патологическим процессом, ранее обозначавшийся как доброкачественное лимфоэпителиальное поражение. Термин доброкачественное лимфоэпителиальное поражение впервые применил J.T. Godwin в 1952 г., заменив понятие болезнь Микулича;
- обструктивные сиаладениты, развивающиеся при затруднении оттока слюны при обструкции выводного протока камнем (рис. 5-7) или сгустившимся секретом, а также вследствие рубцового стеноза протока. По распространенности процесса различают очаговый, диффузный сиаладениты и сиалодохит - воспаление выводного протока. Течение процесса может быть острым и хроническим;
- пневмосиаладенит, развивающийся при наличии в ткани СЖ воздуха при отсутствии бактериальной газообразующей инфекции. Воздух проникает в железу из полости рта при повышении там давления через проток. Пневмосиаладенит характерен для ряда профессий, прежде всего для стеклодувов и музыкантов, играющих на духовых инструментах.

Рис. 4. Постлучевой сиаладенит.

Рис. 5. Камень протока поднижнечелюстной слюнной железы.

Рис. 6. Камень в паренхиме поднижнечелюстной слюнной железы.

Рис. 7. Камень в протоке поднижнечелюстной слюнной железы.
Опухоли слюнных желез
Опухоли слюнных желез подразделяются на две группы: эпителиальные и неэпителиальные. Эпителиальные опухоли преобладают у взрослых (95%). У детей в СЖ эпителиальные и неэпителиальные опухоли встречаются одинаково часто. Помимо истинных опухолей в СЖ развиваются процессы, напоминающие опухоли (опухолеподобные поражения).
Среди эпителиальных опухолей СЖ различают доброкачественные новообразования, а также злокачественные - карциномы.
К доброкачественным эпителиальным новообразованиям СЖ относят папилломы протоков, аденомы и доброкачественную сиалобластому. Аденомы СЖ делят на две группы: полиморфные (самая частая аденома СЖ) и мономорфные (все остальные) аденомы. В группу мономорфных аденом были искусственно включены опухоли разного строения, происхождения и прогноза.
Плеоморфная (полиморфная) аденома (смешанная опухоль СЖ) - аденома СЖ, построенная из двух типов клеток: эпителия протоков и миоэпителиоцитов. Макроморфологическая картина. Опухоль обычно представляет собой эластичный или плотный узел дольчатой серовато-белой ткани, как правило, инкапсулированный частично. Типичной для плеоморфной аденомы является так называемая хондроидная строма, напоминающая гиалиновый хрящ. Варианты эхографического изображения плеоморфных аденом представлены на рисунке 8.



Рис. 8. Плеоморфная аденома СЖ.
Опухоль Уортина - аденолимфома, в которой образуются множественные кистозные полости, покрытые двухслойным эпителием. В просвет кист вдаются сосочки. В строме опухоли происходит выраженная пролиферация лимфоидной ткани. Эта опухоль почти исключительно развивается в околоушной железе.
Другие варианты доброкачественных опухолей встречаются реже. Это доброкачественная онкоцитома (оксифильная аденома), базально-клеточная аденома, канальцевая аденома, цистаденома доброкачественная сиалобластома.
Среди доброкачественных первичных неэпителиальных опухолей наиболее часто встречаются гемангиома, лимфангиома, нейрофиброма и липома.
Среди злокачественных неэпителиальных опухолей чаще обнаруживаются злокачественные лимфомы (они возникают, как правило, на фоне миоэпителиального сиалоаденита, болезни и синдрома Шегрена).
Опухолеподобные поражения слюнных желез

Рис. 9. Кисты слюнных желез.
- Кисты слюнных желез (мукоцеле). Различают два типа мукоцеле СЖ: ретенционный тип (ретенционная киста малой СЖ, формирующаяся при задержке слюны в выводном протоке) и тип внутритканевой секреции, когда при травме стенки протока слюна поступает непосредственно в волокнистую ткань, окружающую железу. Мукоцеле дна полости рта называются также ранулами.
- Кисты выводных протоков больших СЖ - выраженная дилатация выводного протока вследствие задержки в нем секрета. Блокада оттока слюны может быть вызвана различными причинами: опухолью, камнем, уплотнившейся слизью, поствоспалительным стенозом вплоть до рубцовой облитерации просвета.
- Сиалоаденоз (сиалоз) - неопухолевое и невоспалительное симметричное увеличение СЖ вследствие гиперплазии и гипертрофии секреторных клеток. Исходом сиалоза нередко является липоматоз СЖ. Процесс имеет хроническое рецидивирующее течение. Сиалоз встречается при ряде заболеваний и состояний: сахарный диабет, гипотиреоз, недостаточность питания, алкоголизм, цирроз печени, гормональные нарушения (гипоэстрогенемия), реакции на лекарственные препараты (чаще всего на антигипертензивные), неврологические нарушения.
Аденоматоидная гиперплазия малых СЖ приводит к их увеличению до 0,5-3,0 см в диаметре. Причинами аденоматоидной гиперплазии являются травма и длительное воздействие ионизирующей радиации.
Онкоцитоз - возрастные изменения секреторных клеток и эпителия протоков СЖ. СЖ при этом могут слегка увеличиваться, но обычно величина их не меняется.
Подводя итог, хочется отметить, что ультразвуковое исследование с применением допплерографии во многих наших наблюдениях помогало точно определить характер патологического процесса в СЖ. Однако этот метод диагностики не позволяет однозначно подтвердить или опровергнуть злокачественный характер образования слюнных желез.
Литература
- Доброкачественные и злокачественные опухоли мягких тканей и костей лица. А.Г. Шаргородский, Н.Ф. Руцкий. М.: ГОУ ВУНМЦ, 1999.
- Топографическая анатомия и оперативная хирургия. И.И. Каган, С.В. Чемезов. М.: ГЭОТАР-Медиа, 2011.
- Слюнные железы. Болезни и травмы. В.В. Афанасьев. М.: ГЭОТАР-Медиа, 2012.
- Воспалительные заболевания тканей челюстно-лицевой области и шеи. А.Г. Шаргородский. М.: ГОУ ВУНМЦ, 2001.
УЗИ аппарат HM70A
Аномалии развития щитовидной железы ( Дисгенезия щитовидной железы )
Аномалии развития щитовидной железы - это врожденные патологии, включающие нарушения положения, количества, структуры органа, а также остаточные эмбриональные образования. В зависимости от вида порок щитовидной железы может сопровождаться эутиреозом, признаками гипо- или гипертиреоза, поперхиванием, кашлем, одышкой. Диагностика аномалий проводится с помощью ультразвукового исследования, тонкоигольной биопсии, сцинтиграфии, КТ, определения уровня тиреоидных гормонов. Лечение может включать медикаментозную терапию (тиреостатики, ЗГТ) или хирургический подход.
МКБ-10



Врожденные аномалии щитовидной железы (дисгенезии ЩЖ) выявляются как в детской, так и во взрослой популяции. Часто они регистрируются как случайные находки при исследовании органов шеи по другим показаниям или при аутопсии. Среди аномалий органа наиболее часто встречаются аплазия (20-30%), эктопия (50-60%), гипоплазия ЩЖ (5%), агенезия перешейка (5%). Аномальная тиреоидная ткань подвержена риску развития тех же заболеваний, которые возникают в нормальной щитовидной железе. Эти обстоятельства диктуют необходимость дальнейшего поиска методов профилактики и оптимального лечения аномалий ЩЖ.

Причины
Врожденные аномалии ЩЖ - гетерогенная группа патологий, имеющая многофакторную этиологию. Они формируются в эмбриогенезе при нарушении закладки и развития органа под влиянием эндогенных причин и внешних воздействий:
- Генетические факторы. Различные мутации (делеции, инсерции, миссенс-мутации) в ДНК-областях могут вызывать структурные, количественные и другие нарушения в железе. Известно, что мутации TSHR и PAX8 приводят к изолированным аномалиям органа, FOXE1, NKX2-1 ‒ к синдрому «мозг-легкие-щитовидная железа». Изменения в TTF-1 опосредуют агенезию ЩЖ, а в TTF-2 - нарушения миграции зачатка органа. О генетической природе говорит более высокая частота аномалий среди монозиготных близнецов, а также наличие других пороков развития ЩЖ в одной семье.
- Внутриутробные инфекции. Наиболее неблагоприятные последствия для плода имеют инфекции TORCH-комплекса: токсоплазмоз, краснуха, ЦМВ, герпес, микоплазмоз, сифилис и др. Они вызывают множественные аномалии развития, тяжесть и виды которых зависят от срока инфицирования.
- Фармакотерапия. Прием беременной ЛС с тератогенным действием (противосудорожных, противоопухолевых, антибактериальных) в ранние сроки развития эмбриона может привести к нарушению правильного формирования ЩЖ и других органов. Наиболее часто аномалии ЩЖ сочетаются с врожденными пороками паращитовидных желез и тимуса.
- Другие экзогенные влияния. Неблагоприятное воздействие на закладку ЩЖ оказывает ионизирующая радиация (особенно облучение органов головы и шеи), контакт с химическими токсикантами, электромагнитное излучение и пр.
Патогенез
Щитовидная железа начинает свое развитие на 3-й неделе эмбриогенеза. На первом этапе в области корня языка определяется скопление клеток энтодермы. В конце 4-й недели зачаток ЩЖ приобретает вид полости, которая соединяется с глоткой узким каналом ‒ щитовидно-язычным протоком (ductus thyreoglossus). В дальнейшем происходит миграция зачатка по ходу тиреоглоссального протока к месту своего конечного положения. На уровне 4-х жаберных карманов медиальный зачаток ЩЖ сливается с латеральными зачатками.
Различные аномалии ЩЖ обусловлены нарушением хода этапов формирования органа. Так, при преждевременном прекращении миграции зачатка возникает дистопия ЩЖ. Тиреоидная ткань располагается строго в пределах бывшего щитоязычного протока. Если зачаток выходит за пределы тиреоглоссального тракта, диагностируется эктопия ЩЖ. В области дистальной трети тиреоглоссального протока у 15-75% людей формируется добавочная пирамидальная доля ЩЖ. Также добавочные доли могут обнаруживаться в корне языка, в области подъязычной кости, яремных вен, в перикарде и миокарде.
В случае преждевременного апоптоза клеток-предшественников возникает гипоплазия или аплазия ЩЖ. По данным исследований, дисгенезии ЩЖ обусловливают до 85% случаев врожденного гипотиреоза. Нарушение разделения зачатка железы приводит к гемиагенезии. Слияние тиреоглоссального канала по срединной линии приводит к образованию двух долей железы, лишенных перешейка. При задержке облитерации щитоязычного протока формируются боковые или срединные врожденные кисты.

Классификация
В современной эндокринологии все аномалии закладки щитовидной железы делятся на несколько групп:
- Аномалии размеров и структуры. Включают аплазию (агенезию, атиреоз) и гипоплазию. При отсутствии одной доли с перешейком (или без него) либо только перешейка говорят о гемиагенезии ЩЖ.
- Аномалии положения. К атипичным положениям относятся дистопия и эктопия - смещение тиреоидной ткани из стандартной анатомической позиции в другие зоны: лингвальная, сублингвальная, внутриглоточная, внутригортанная, медиастинальная и другие виды эктопии/дистопии.
- Аномалии ductus thyroglossus. При незаращении щитоязычного протока формируются срединные/боковые кисты и свищи шеи, добавочные доли.
Симптомы
Синдром гипотиреоза
Проявления аномалий щитовидной железы зависят от тиреоидного статуса. Агенезия органа всегда сопровождается тяжелым врожденным гипотиреозом (ВГ). Новорожденные с ВГ обычно рождаются позже срока, имеют большую массу тела (>3500 г), отечное лицо и тело, низкий голос при крике. Несмотря на переношенность, характерна функциональная незрелость младенцев. У них отмечается затяжная желтуха, плохое заживление пупочной ранки.
При отсутствии специального лечения возникает дисфагия, мышечная гипотония, гипотермия. Развивается брадикардия, артериальная гипотония, кардиомегалия. Запаздывает прорезывание и смена зубов. Происходит задержка психомоторного развития. Ребенок становится инвалидом.
Пациенты с гипоплазией ЩЖ могут иметь эутиреоидный статус или гипотиреоз. Манифестный гипотиреоз сопровождается повышенной утомляемостью, подавленностью, снижением работоспособности, ухудшением памяти. Больных беспокоит сухость кожи, поредение волос, зябкость, отечность лица и конечностей. Часто обнаруживаются нарушения со стороны ЖКТ (запоры, ЖКБ), сердца (дислипидемия), репродуктивной системы (бесплодие).
Синдром гипертиреоза
При гемиагенезии возможен эутиреоз, недостаточность или гиперфункция ЩЖ. Наличие добавочных долей, а также эктопия ЩЖ часто сопряжены с гипертиреозом. Гиперфункция ЩЖ клинически проявляется резким усилением работы всех систем органов и ускорением обмена веществ: развивается сердцебиение, одышка, потливость, повышенный аппетит, потеря массы тела. Отмечается возбуждение нервной системы: плаксивость, раздражительность, беспокойство, тремор. Характерный симптом - экзофтальм.
Другие проявления
Дистопированная /эктопированная ЩЖ в зависимости от своей локализации может давать различную симптоматику: поперхивание при приеме пищи, сухой кашель, затрудненное дыхание, осиплость голоса.
Кисты шеи медленно увеличиваются в размерах по мере накопления содержимого. Имеют вид округлого, хорошо смещаемого образования, расположенного по средней линии (срединная киста) или в боковой части шеи (боковая киста). Кисты больших размеров могут доставлять дискомфорт при глотании и речи. В случае инфицирования возникает болезненность, отек, гиперемия кожи над образованием. При прорыве гноя образуется свищ соответствующей локализации.
Осложнения
В аномально сформированной или расположенной ЩЖ могут развиваться такие же заболевания, как и в нормальном органе. В их числе ‒ хронический и подострый тиреоидит, аденома, многоузловой зоб, аденокарцинома. Эктопия с гиперплазией ЩЖ опасна развитием аберрантного зоба, который может привести к компрессии жизненно важных органов. Редким осложнением является рак щитовидно-язычного протока, не подвергшегося облитерации.
Диагностика
Аномалии щитовидной железы, сопряженные с эутиреозом, обнаруживаются случайно при обследовании, хирургическом вмешательстве или аутопсии. В симптоматических случаях специальное обследование назначается врачом-эндокринологом или хирургом. Диагностика включает:
- УЗИ щитовидной железы. Эхоскопическая картина аномалий может быть различной. При агенезии железа не определяется в типичном месте. При гипоплазии тиреоидный объем уменьшен, паренхима диспластична. Гемиагенезия диагностируется по наличию единственной доли ЩЖ, отсутствию перешейка. При аномалиях положения железы тиреоидная ткань обнаруживается в других анатомических областях. УЗИ используется для проведения тонкоигольной биопсии и морфологического подтверждения диагноза.
- Сцинтиграфия. Радионуклидная диагностика позволяет определить топографию органа, обнаружить аберрантные ткани оценить функциональную активность щитовидной железы.
- Томография. В рамках уточняющей диагностики перед оперативным вмешательством используется КТ/ МРТ шеи, средостения. Исследования также способствуют выявлению патологических процессов в эктопированной ткани.
- Оценка тиреоидного статуса. Основывается на исследовании гормонального профиля: определении уровня ТТГ, трийодтиронина, тироксина, титра антител к ТГ, МАГ. Сопутствующий ВГ выявляется в рамках неонатального скрининга.

Лечение аномалий щитовидной железы
При врожденных пороках ЩЖ используется выжидательная, консервативная и хирургическая тактика. Выбор методов лечения или их сочетания зависит от типа аномалии, тиреоидного статуса. При гемиагенезии или гипоплазии в сочетании с эутиреозом показано динамическое наблюдение и лабораторный контроль. В остальных случаях используется:
- Консервативная терапия. Основной метод коррекции гипофункции ЩЖ - заместительная гормонотерапия. При атиреозе она продожается пожизненно. При тиреотоксикозе назначают тиреостатики, препараты йода, глюкокортикоиды, проводят лечение радиоактивным йодом.
- Хирургическое вмешательство. Оперативному удалению подлежат эктопированные ткани, узловые образования, щитовидная железа, пораженная злокачественным процессом. Также хирургического иссечения требуют кисты и свищи шеи.
Прогноз и профилактика
Аномалии ЩЖ, не сопровождающиеся нарушением гормональной функции органа, не нуждаются в лечении, не влияют на качество жизни. При гипер- или гипофункции ЩЖ развиваются клинические проявления, требующие вмешательства специалиста. Аномально расположенные тиреоидные ткани имеют высокие риски малигнизации.
Уменьшить вероятность формирования врожденных патологий щитовидной железы помогает тщательное планирование беременности, профилактика внутриутробного инфицирования плода, исключение влияния тератогенных факторов.
1. Аномалии развития щитовидной железы: обзор литературы/ Огнерубов Н. А., Зрютина А. В.// Вестник российских университетов. Математика. - 2013.
2. Агенезия перешейка щитовидной железы - редкая аномалия развития: описание случая/ Огнерубов Н.А.// Вестник российских университетов. Математика. - 2013.
3. Молекулярно-генетические основы дисгенезии щитовидной железы/ Макрецкая Н.А., Безлепкина О. Б., Колодкина А.А. и др.// Клиническая и экспериментальная тиреоидология. - 2018.
Читайте также:
- Анатомия: Корешки спинного мозга. Канатики, стволы, узлы, сегмент спинного мозга
- Рак грушевидных синусов. Рак верхнего или вестибулярного отдела гортани
- Злонамеренный больной. Клиника симулируемых заболеваний
- Перегрев организма. Симптомы теплового удара
- Чесотка у детей: клиника, диагностика, лечение
