КТ, МРТ, ангиография сосудистых повреждений шейного отдела позвоночника
Добавил пользователь Владимир З. Обновлено: 22.11.2025
Шейный отдел — самый подвижный и наименее защищенный от травм и внешних воздействий сегмент позвоночного столба. Единственная защита и опора шеи — мягкие ткани, в которых располагаются крупнейшие сосуды, нервы и даже железы внутренней секреции. Из-за того, что каждая из этих структур мало защищена, они часто подвергаются патологическим изменениям, и именно поэтому шея чаще других частей тела требует проведения МРТ. Этот метод диагностики помогает выявить многие нарушения, в том числе те, которые не обнаруживает рентген и КТ. В число заболеваний, что показывает МРТ шеи, входят сосудистые аномалии, патологии межпозвонковых дисков, корешковый синдром и травмы, некоторые эндокринные заболевания, опухоли желез, мягких тканей и спинного мозга.
Стандартная магнитно-резонансная томография и обследование с контрастированием имеют множество преимуществ перед другими методами диагностики в области шеи. Они дают максимально четкую картинку без лучевой нагрузки на организм. Процедуру можно делать беременным женщинам и детям, а также тем, кому противопоказаны другие виды сканирования и рентген. Единственным недостатком томографии является ее стоимость.

Когда нужно делать МРТ шейного отдела позвоночника?
В список того, что показывает МРТ шейного отдела позвоночника, входят все находящиеся в данной области структуры:
- позвонки шейного отдела позвоночника с межпозвонковыми дисками и находящимся внутри пролегающего в центре позвоночного столба спинным мозгом;
- огромное количество нервных окончаний и корешков, отходящих от позвонков;
- кровеносные сосуды шеи, питающие мягкие ткани головы, лица, а также все отделы головного мозга;
- пучки связок, фиксирующих позвонки с черепом и верхней частью корпуса;
- фасции, создающие подобие каркаса и изолирующие мышцы, сосуды и нервы друг от друга;
- мышечные волокна и т.д.
Шея крайне нестабильна и постоянно испытывает колоссальные нагрузки. Спровоцировать серьезное недомогание может мышечный спазм, травма позвонков, хроническая компрессия нервов или вен шеи. Любое нарушение в одной из перечисленных структур всегда (но далеко не сразу) приводит к ухудшению самочувствия человека.
В список заболеваний, что показывает МРТ шейного отдела позвоночника, включены:
- травмы в области шеи — переломы и вывихи позвонков, их смещение;
- врожденные аномалии в строении верхнего или грудного отдела позвоночника — лишние позвонки, шейные ребра, недоразвитие межпозвонковых дисков, сращение позвонков и др.;
- грыжи дисков;
- стеноз нервов и сосудов вследствие искривления, неправильного строения или травм позвоночника;
- атрофические и деформирующие процессы — остеохондроз, спондилез, спондилоартроз;
- воспалительные заболевания структур шеи — миелит, артрит, арахноидит;
- рассеянный склероз;
- врожденные или унаследованные синдромы — Бехтерева, Гийена-Баре;
- врожденные и приобретенные аномалии щитовидной железы;
- врожденные и приобретенные заболевания гортани;
- воспалительные, опухолевые и другие изменения лимфоузлов шеи;
- доброкачественные и злокачественные опухоли, метастазы.
Для получения максимально точной картинки дополнительно делается обследование грудного отдела позвоночника, а также головы. Чтобы интенсивнее «подсветить» на фото сосуды и новообразования, проводится диагностика с контрастом.
Показания к МРТ шейного отдела
Практически все заболевания, что выявляет МРТ шейного отдела позвоночника, имеют неспецифичную симптоматику. Большая их часть проявляется в форме острых или хронических неврологических нарушений:
- острая или хроническая головная боль, распространяющаяся на лицо, шею, иногда на руки;
- потеря чувствительности различных частей тела, онемение конечностей, лица;
- потеря контроля над двигательными функциями конечностей, односторонние и двухсторонние парезы;
- потеря способности к удержанию равновесия, шаткая походка, потеря ориентации в пространстве;
- головокружение;
- звуковые, тактильные и визуальные галлюцинации.

Появляться перечисленные симптомы могут внезапно или происходит постепенное нарастание их интенсивности. Независимо от степени проявления и продолжительности их появление врачи называют прямым показанием для проведения процедуры МР-сканирования шеи. Если вовремя не выявить источник этих проблем, есть вероятность того, что они станут необратимыми или повлекут психические отклонения.
Также МРТ шеи проводят, если врач подозревает у пациента наличие следующих отклонений:
- сдавление спинного мозга вследствие смещения позвонков или образования грыжи;
- нестабильность позвоночных соединений;
- наличие, доброкачественных опухолей или метастаз в костных или мягких тканях шеи;
- наличие опухолей в щитовидной железе и гортани.
При подозрении на любые виды опухолей делают МРТ с применением контраста. Этот же метод показан для выявления сосудистых аномалий.
Магнитно-ядерная томография не имеет ограничений по частоте проводимых исследований, поэтому процедура показана в качестве основного способа мониторинга состояний после химио- и лучевой терапии, хирургических вмешательств. Она хорошо выявляет погрешности и определяет риск рецидива на ранних послеоперационных сроках.
МРТ шейного отдела: противопоказания
У обычного МРТ шейного отдела противопоказаний в разы меньше, чем у других методов лучевой диагностики. К числу относятся:
- первый триместр беременности;
- наличие металлических несъемных зубных протезов;
- наличие кардиостимулятора, несъемного слухового аппарата, инсулиновой помпы;
- металлические клипсы или стенты на сосудах головного мозга, сердца;
- подозрение на присутствие в теле металлических инородных тел.
В список противопоказаний входят заболевания и состояния, при которых пациент не сможет сохранять неподвижность во время создания снимков. К ним относятся боязнь замкнутого пространства и другие виды фобий, психические и неврологические нарушения. Если других способов поставить диагноз не будет, на время процедуры такого пациента могут погрузить в медикаментозный сон.
Затруднить или сделать невозможным обследование взрослого человека может ожирение. Грузоподъемность современных аппаратов не превышает 120 кг, поэтому, если вес больного больше, выбирают другие методы: КТ, УЗИ или рентген.

Дополнительные противопоказания есть для прохождения МРТ с контрастированием. Это непереносимость препаратов, вводимых внутривенно. Если пробы показали аллергию на контрастное вещество, можно подобрать средство с другим составом, но чаще приходится обходиться стандартным сканированием или делать КТ.
Как подготовиться к МРТ шейного отдела?
Специфика подготовки к обследованию зависит от того, как проводится МРТ шейного отдела позвоночника — с контрастированием или без него. При отсутствии контраста специальная подготовка не нужна. Пациенту достаточно заполнить опросник или ответить на вопросы врачу устно. С помощью этого врач убеждается, что нет явных противопоказаний к проведению процедуры.
Пациентам с повышенным уровнем тревожности или слабо выраженной клаустрофобией врач порекомендует за 1-2 часа до начала сканирования принять успокоительное средство. Если же пациент испытывает проблемы с самоконтролем, ему назначат медикаментозный сон. Чтобы наркоз не спровоцировал осложнений, пациент заранее проходит ЭКГ и консультацию анестезиолога.
Более серьезной и сложной подготовки потребует МРТ шеи с контрастом. Так как препараты иногда провоцируют тошноту или рвоту, стоит воздержаться от приема пищи минимум за 8 часов до процедуры. Также врач может попросить не принимать некоторые лекарства в течение 1-3 суток, чтобы избежать нежелательного взаимодействия препаратов с контрастирующим веществом. Если же контраст будет вводиться в спинномозговой канал, а не внутривенно, отказаться от приема некоторых лекарств придется за 5-7 дней до обследования. Исключение составляют случаи, если лекарства нужно принимать постоянно по назначению врача.
Как проходит МРТ шейного отдела позвоночника?
Перед началом исследования врач объясняет, как делают МРТ шейного отдела на установленном в клинике оборудовании, что происходит во время сканирования и какие ощущения могут возникать у пациента. После беседы врач просит снять пирсинг, все украшения и аксессуары, съемные протезы и одежду с металлическими элементами. При необходимости пациенту выдают хлопковую рубаху с завязками, в которую он переодевается перед тем, как его поместят в томограф.
Для получения четких снимков МРТ шейного отдела позвоночника человека фиксируют на подвижном столе томографа с помощью валиков и ремней. Голову могут поместить в специальную рамку. По просьбе пациента ему могут выдать звукоизолирующие наушники, через которые не будет проникать шум томографа, зато будет четко транслироваться голос врача. После этого врач и медперсонал покидает помещение с томографом. Следить за процессом они будут из смежного кабинета.
В среднем полный цикл создания серии снимков на МР-томографе занимает около 20 минут. Если проводится исследование с контрастом, процедура занимает чуть больше времени — около 40 минут.
Расшифровка заключения МРТ шеи
В заключении (расшифровке) к МРТ шеи врач рентгенолог описывает все органы и структуры, находящиеся в поле видимости:
- позвонки — их размер, количество, расстояние между ними, состояние отростков и прочую информацию с указанием, соответствуют ли параметры нормам, а также точным описанием патологий — переломов, протрузий, смещений;
- межпозвонковые диски — их форма, плотность, целостность оболочки, наличие разрывов, смещений и других патологий с указанием их точной локализации;
- спинномозговой канал и спинной мозг — диаметр, количество ликвора, состояние оболочек мозга и его веществ, при наличии патологий указывается их расположение и природа;
- состояние нервов и сосудов, их соответствие нормам, наличие стеноза, тромбозов, других патологий с указанием их локализации, происхождения;
- состояние мышц, связок и фасций, их соответствие нормам.
В зависимости от того, зачем проводилось обследование, в расшифровку могут быть внесены дополнительные данные о том, как выглядит гортань, вилочковая и щитовидная железа, насколько изменена их структура, присутствуют ли в них новообразования. В отдельных случаях для лучшей визуализации создаются трехмерные изображения отдельных органов и структур шеи.
Текстовое описание (расшифровку) со снимками передают врачу, выдавшему направление на МРТ шеи. Узкие специалисты смотрят на обнаруженные нарушения, сопоставляют их с ранее полученными сведениями, при необходимости назначают дополнительные исследования. Только после этого они ставят окончательный диагноз.
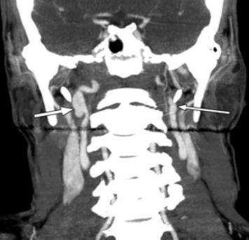
КТ сосудов шеи

КТ-ангиография сосудов шеи (КТА)- неинвазивный способ визуализации с использованием рентгеновских лучей для определения патологических процессов в артериях, венах, близлежащих тканях и органах данной анатомической области. Изменения в брахиоцефальных сосудах часто сочетаются с поражением центральной нервной системы, поэтому иногда обосновано одномоментное исследование головы и шеи. Для получения максимально детализированных снимков выполняют контрастирование.
Что показывает КТ сосудов шеи?

3D-реконструкция артерий шеи при КТА
КТ-ангиография сосудов шеи визуализирует артерии и вены брахиоцефального бассейна. С помощью специальной компьютерной программы, позволяющей придать изображениям объем, рентгенолог видит притоки и мелкие коллатерали, внутренние причины нарушения кровотока, патологические процессы в близлежащих тканях и органах, оказывающие компрессионное действие на артерии и вены. Что показывает КТ сосудов шеи:
аневризмы и псевдоаневризмы;
расслоение стенок сосудов (диссекции);
врожденные пороки развития артерий и вен;
кровоизлияния и гематомы;
воспалительные поражения сосудов (васкулиты);
нарушения кровотока, связанные со сдавлением;
атеросклеротические поражения и последующие стенозы;
опухолевую патологию шеи с инвазией в стенки близлежащих сосудов;
послеоперационные изменения, состояние артериального стента (местоположение, проходимость).
Сужение просвета сонной артерии чаще развивается на фоне атеросклеротической болезни. Раннее выполнение КТ-ангиографии сосудов шеи с контрастом позволяет начать лечение, направленное на предотвращение прогрессирования заболевания или на уменьшение размеров сформировавшейся холестериновой бляшки. Своевременная диагностика и адекватная терапия спасает жизнь пациентам: исследования показали, что стеноз сонной артерии является предиктором последующих сердечно-сосудистых осложнений. Диссекция внутренних сонных и позвоночных артерий указана как причина инфарктов и ишемических инсультов у лиц молодого возраста. КТ артерий шеи и раннее эндоваскулярное вмешательство позволяют избежать фатальных последствий.
КТ сосудов головы и шеи

На томограммах четко прослеживается архитектоника сосудов исследуемой области
КТ-ангиография сосудов шеи с контрастом незаменима при травмах: скорость получения результата и отличная визуализация сосудистых катастроф, повреждений костных структур и нервных тканей позволяют быстро определить тактику ведения пациента. Большинство патологических процессов протекают генерализованно (атеросклероз, аутоиммунные заболевания), поэтому необходимо исследовать одновременно сосуды головы и шеи на предмет характера поражения и степени выраженности заболевания. На томограммах можно увидеть:
аномалии развития сосудов;
аневризмы до и после разрыва;
острые нарушения мозгового кровообращения в каротидном и вертебробазилярном русле (геморрагические или ишемические инсульты) и их причины;
возможные артериовенозные мальформации и пр.
Как делают КТ-ангиографию сосудов шеи

Положение пациента при обследовании
Подготовка к ангиографии шеи
Если КТ-ангиография сосудов шеи проводится в плановом порядке, следует взять с собой направление от лечащего врача, данные предыдущих обследований, выписки из стационара и результат анализа крови на креатинин, выполненный не позднее, чем за 10 дней.
Одежда любая, без металлических включений (крючки, молнии, застежки). По желанию можно воспользоваться одноразовым халатом. Заколки, украшения, съемные зубные протезы перед компьютерным сканированием сдают на хранение.
КТ-ангиография сосудов шеи с контрастированием у некоторых пациентов сопровождается вегетативными реакциями: тошнотой, головокружением, разлитием жара, слюнотечением. Чтобы уменьшить или предотвратить неприятные побочные явления, нужно легко перекусить за 40 минут до диагностической процедуры.
КТ сосудов шеи с контрастом

Современные инжекторные системы значительно улучшают качество диагностики
Введение радиофармпрепарата на основе йода позволяет улучшить видимость мельчайших структур, что повышает качество диагностики. КТ-ангиография сосудов шеи с контрастированием в 95% случаев не сопровождается экстраординарными ситуациями и проходит без осложнений. По мере поступления препарата в вену пациент может испытывать небольшую тошноту, неприятный привкус во рту, головокружение, жжение в месте инъекции. Указанные явления проходят самостоятельно через несколько секунд - минуту и рассматриваются, как вариант нормы. Разлитое чувство зуда кожных покровов, затруднение дыхания, развитие отека шеи, холодный пот, появление сыпи по телу - признаки генерализованной аллергической реакции, об этих симптомах следует сообщить по громкой связи персоналу незамедлительно.
Контрастирование выполняют с помощью инжектора по внутривенному катетеру (усилитель впрыскивается автоматически в определенные фазы исследования), или препарат вводят одномоментно.
Показания и противопоказания

В 44% головная боль сопровождает стеноз внутренней сонной артерии (кинкинг-синдром), а в 25% - ее диссекцию и является предвестником инсульта.
Если результаты уже выполненных исследований нельзя трактовать однозначно, КТ-ангиография сосудов шеи и головы поможет установить верный диагноз. Характерные жалобы, при которых выполнение КТА обосновано:
хронические боли в области шеи, отек;
нарушение координации движений, снижение чувствительности в конечностях;
ухудшение слуха, зрения;
Показаниями к проведению исследования служат подозрения на острое (хроническое) нарушение мозгового кровообращения, опухоль, аутоиммунный процесс. КТ-ангиография сосудов шеи и головы позволяет хирургу определить анатомические особенности, тактику и объем оперативного вмешательства. С помощью КТА в динамике отслеживают изменения на фоне терапии.
Противопоказания к диагностике:
аллергия на контрастное вещество;
гиперфункция щитовидной железы;
терапия сахароснижающими лекарствами (прием препарата прекращают за 48 часов до контрастирования после согласования с эндокринологом);
декомпенсированные заболевания почек с ХПН.
КТ-ангиографию сосудов шеи и головы ребенку проводят по жизненным показаниям, если отсутствует возможность прибегнуть к другим видам диагностики (МРТ, УЗИ). Во время лактации следует в течение 12 часов после сканирования сцеживать молоко, перед этим лучше сделать запас на последующие кормления.
КТ снимки сосудов шеи
КТ-ангиография сосудов шеи с контрастом - золотой стандарт диагностики, но чтобы получить максимальную пользу от исследования, необходима слаженная работа профессионалов. Расшифровкой результатов занимается рентгенолог. В центре “Магнит” в Санкт-Петербурге КТА - одна из востребованных процедур, а наши врачи ответят на любые вопросы. В сложных случаях оценка томограмм проводится коллегиально. Представляем Вашему вниманию несколько томограмм, где четко видны патологические изменения:

КТ-ангиограмма кровеносных сосудов в области шеи. Позвоночная артерия находится между вертикальными линиями. Стрелка указывает на позвоночник

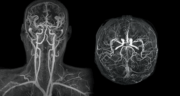
3D-изображения компьютерной мультиспиральной томографии Виллизиева круга. Его контуры можно увидеть на томограмме в центре, шея внизу, основные артерии белого цвета.

Коронарное изображение МСКТ демонстрирует саккулярный затек контраста (толстая стрелка) из правой внутренней сонной артерии (псевдоаневризма). Левая сонная артерия (тонкая стрелка) не повреждена.
МРТ сосудов шеи что показывает
МРТ сосудов шеи или МР ангиография - метод диагностики, предоставляющий исчерпывающие данные о состоянии кровеносных сосудов в области шеи. Поскольку нарушение кровообращения в них оказывает непосредственное влияние на количество поступающей в головной мозг крови, а также кровоснабжение шейного отдела позвоночника, это может привести к серьезным изменениям в его работе и спровоцировать развитие осложнений. Поэтому важно провести исследование как можно раньше, чтобы диагностировать отклонения от нормы в состоянии венозных сосудов и артерий.

Какие заболевания выявляет МРТ сосудов шеи?
С помощью проведения МРТ артерий шеи можно обнаружить большое количество различных заболеваний сосудов. Этот метод является безопасным для человека способом визуализации позвоночных артерий, яремных вен, сонной артерии и их ветвей разного размера. С его помощью удается не только досконально изучить особенности их строения и расположения, но и обнаружить аномалии развития, точно измерить величину просвета, определить скорость кровотока и получить послойные изображения интересующих сосудистых образований с толщиной среза от 1 мм.
Поэтому, сосудистое МРТ шейного отдела показывает:
- аномалии строения и расположения крупных сосудов шеи и их веток;
- атеросклеротические бляшки и тромбы;
- участки сужения или патологической извитости сосудов;
- диссекцию стенок;
- места повреждения сосудистых стенок;
- артерио-венозные мальформации, кинкинг синдром;
- воспалительные процессы в сосудах, в том числе васкулит;
- тромбофлебит;
участки компрессии кровеносных сосудов патологически измененными анатомическими структурами, новообразованиями или образовавшимися после травм или хирургических вмешательств рубцами и пр.

Показания для проведения МРТ сосудов шеи
Магнитно-резонансная томография шейного отдела может назначаться при:
- головных болях, включая мигрени;
- частых головокружениях, предобморочных состояниях, приступах внезапной слабости и потери сознания;
- шуме или звоне в ушах, ухудшении слуха;
- тошноте и утренней рвоте;
- снижении зрения, двоении в глазах;
- ухудшении памяти и других когнитивных функций;
- нарушениях речи и возникновении трудностей при глотании;
- ухудшении координации движений;
- выраженных колебаниях артериального давления, аритмии, особенно при отсутствии патологий сердца;
- дискомфорте в шее;
- нарушении чувствительности рук и пр.
Процедура нужна для обнаружения причин нарушений церебрального кровоснабжения. Она проводится для оценки эффективности назначенного лечения обнаруженных ранее с помощью метода МРТ заболеваний, а также с определенной периодичностью в рамках осуществления контроля над состоянием сосудов при:
- рассеянном склерозе;
- вегето-сосудистой дистонии (ВСД);
- атеросклерозе;
- сахарном диабете;
- гипертонической болезни.
Также обследование показано при получении травм шейного отдела позвоночника и мягких тканей. Его нужно сделать в рамках подготовки к ангиопластике и стентированию, а также после них. В таких случаях исследование позволяет оценить не только характер расположения различных анатомических структур в шее, но и кровеносных сосудов, а также особенности кровоснабжения интересующих врача органов или новообразований.

Как проходит МРТ сосудов шейного отдела?
Как делают МРТ сосудов шеи, зависит от предполагаемого диагноза и индивидуальных особенностей пациента. Чаще всего исследование проводят без введения контрастного вещества. Оно не требует специальной подготовки, но пациенту рекомендуется прийти на него в одежде, лишенной металлических частей, в том числе женщинам стоит выбирать бюстгальтеры без косточек. С собой следует взять паспорт, а также, если есть, направление от врача и результаты предыдущих обследований.
После заполнения необходимых документов пациента провожают в специальный кабинет, где он оставляет личные вещи, мобильный телефон, все металлические украшения, ремень, а при наличии металлических элементов на одежде и ее с заменой на одноразовый халат. После этого его проводят в кабинет с томографом, представляющим собой аппарат внушительных размеров со специальной кушеткой.
Пациент ложится на нее на спину, после чего ему подкладываются валики, а конечности и тело фиксируется специальными ремнями. Это необходимо, чтобы устранить риск совершения случайных движений во время процедуры, так как любое из них может привести к получению неточных снимков и снижению информативности исследования.
В руку исследуемому дают специальную консоль с кнопкой, обеспечивающую связь с рентгенологом, проводящим процедуру. Затем кушетку задвигают в катушку томографа до нужного предела, а медперсонал покидает помещение.

Томограф при работе издает сильный гул, поэтому для его повышения комфорта процедуры пациенту могут предлагаться беруши или наушники. Само исследование длится 15—20 минут. По его окончании кушетка автоматически выдвигается, а медицинские работники помогают снять фиксирующие ремни. В подавляющем большинстве случаев после проведения МРТ сосудов шеи самочувствие не меняется и пациент может самостоятельно покинуть клинику.
МРТ не может проводиться при наличии:
- беременности на ранних сроках;
- кардиостимуляторов, дефибрилляторов, металлических стентов и других металлических предметов внутри тела;
- массы тела более 120—150 кг (объясняется техническими особенностями томографа).
МР ангиография сосудов шеи с контрастированием
МРТ сосудов шеи с использование контраста делают по строгим показаниям: в основном при изначальном возникновении подозрений на наличие опухоли в мягких тканях шеи или обнаружении ее при выполнении обзорной томографии. Оно необходимо для определения стадии заболевания, размеров новообразования, а главное, особенностей кровоснабжения и глубины прорастания уже охваченных патологических процессом сосудов в окружающие ткани.
Суть метода состоит во внутривенном введении непосредственно во время магнитно-резонансной томографии специального препарата на основе гадолиния через установленный накануне катетер. Благодаря этому удается очень четко визуализировать кровеносные сосуды различной величины на интересующем участке тела и досконально исследовать их. Поэтому малейшие патологические изменения будут обнаружены и описаны.
МР ангиография отличается высокой информативностью, но также имеет противопоказания. Кроме классических ограничений для проведения МРТ в виде наличия в организме любых металлических инородных тел и имплантатов с ферромагнитными свойствами, использование контрастного вещества недопустимо при индивидуальной повышенной чувствительности к нему, что наблюдается крайне редко, и на любых сроках беременности.
Длительность исследования с введением контраста составляет 30—35 минут.

Расшифровка снимков МРТ сосудов шеи
К тому, что показывает МРТ сосудов шеи, надо относиться с максимальной внимательностью и ответственностью, так как любые изменения в них могут привести к тяжелым осложнениям, в частности серьезным нарушениям когнитивных функций и летальному исходу. Поэтому расшифровкой полученных снимков занимается только высококвалифицированный специалист. Для этого ему требуется в среднем от 30 минут до 2 часов.
После завершения расшифровки врач подготавливает заключение, в котором указывает все измеренные параметры сосудов, особенности их расположения и строения, а при обнаружении отклонений от нормы тщательно их описывает. Заключение пациент может получить самостоятельно, дождавшись его выдачи в клинике, вместе с фото или записью результатов исследования на цифровой носитель. Также оно может направляться непосредственно врачу, назначившему проведение МРТ. Лечение разрабатывается на основании характера обнаруженных изменений, имеющихся жалоб пациента на самочувствие и наличия сопутствующих заболеваний.
МРТ или УЗИ сосудов шеи, что лучше?
МРТ является не единственным методом, который может использоваться для диагностики заболеваний сосудов шеи. Вместе с ним или в качестве альтернативы при наличии противопоказаний к проведению МРТ пациенту могут назначить УЗИ и КТ.
УЗИ с допплером значительно менее информативно, чем МРТ или КТ. Но поскольку оно широкодоступно, часто назначается в качестве первого этапа обследования для получения начальных данных и оценки скорости кровотока с последующим проведением КТ или МРТ.

Процедура компьютерной томографии подразумевает введение контрастного вещества, но уже на основе йода, и последующее сканирование на специальном аппарате. Но, в отличие от МРТ, КТ сопряжено с созданием лучевой нагрузки на организм, что не позволяет проводить его чаще нескольких раз в год. С точки зрения безопасности, МРТ сосудов шеи существенно выигрывает, но при наличии в теле металлических предметов магнитное поле может привести к их смещению и возникновению тяжелых осложнений, особенно при сдвиге кровоостанавливающих клипс с артерий. Поэтому в таких ситуациях диагностику патологий сосудов шеи осуществляют посредством КТ. Также к помощи компьютерной томографии прибегают при низкой информативности МРТ.
МРТ шейного отдела позвоночника что показывает

МРТ шеи: оценка спинного мозга (сагиттальная плоскость, Т2 последовательность)
МРТ шейного отдела позвоночника - высокоинформативный неинвазивный способ диагностики, использующий магнитное поле и компьютерную обработку для получения изображений. Преимущества магнитно-резонансного сканирования в сравнении с рентгеновскими методами обследования - отсутствие лучевого воздействия и возможность детализации патологических процессов в мягких тканях: на томограммах видны хрящи, синовии, связки, межпозвонковые диски, спинной мозг, нервы. Если в организме человека нет металлических составляющих или функционирующих устройств с ферромагнитными свойствами, негативные последствия, включая отдаленные, после проведения диагностической процедуры отсутствуют.
При подозрении на опухоль, послеоперационный рубцовый процесс, инфекцию для улучшения визуализационных возможностей используют введение контрастного вещества. Последнее имеет тенденцию накапливаться и очерчивать ткани с аномальными сосудами. Для пациента, который уже перенес вмешательство на шейном отделе позвоночника, усилитель помогает дифференцировать оставшуюся или рецидивирующую опухоль, грыжу диска от рубцовых изменений.
Какие заболевания показывает МРТ шейного отдела позвоночника?

МРТ шеи: перелом зубовидного отростка с невральной компрессией (сагиттальная плоскость, Т2 последовательность, STIR)
МРТ позвоночника назначают, если предыдущие способы обследования - КТ, рентгенография, УЗИ с допплером - продемонстрировали неоднозначные результаты или характер выявленных изменений требует уточнения, для оценки индивидуальных анатомических особенностей перед планируемой операцией, в рамках динамического наблюдения за болезнью на фоне лечения. Что показывает МРТ шеи:
- доброкачественные и злокачественные опухоли, в том числе, метастатического характера;
- инфекционно-воспалительные процессы в спинном мозге и его оболочках, рыхлых структурах позвонков и пр.; , нарушенное кровообращение и его причину;
- врожденные аномалии - дефекты в позвонках или спинном мозге - синдром короткой шеи, добавочные ребра и т.п.;
- приобретенные деструкции костной ткани, например, после перенесенного костно-суставного туберкулеза или остеомиелита;
- аневризмы и венозные мальформации;

МРТ шейного отдела позвоночника: оценка лордоза, сагиттальная плоскость, Т2 последовательность
- искривления позвоночника - кифоз, лордоз, сколиоз;
- дегенеративно-дистрофические заболевания - остеохондроз, остеоартроз, спондилез и пр.;
- демиелинизирующие состояния - рассеянный склероз или иные варианты;
- аутоиммунные нарушения позвоночных сегментов, сопровождающиеся спондилитом и анкилозирующим спондилоартритом при болезни Бехтерева;
- дегенеративные патологии спинного мозга - боковой амиотрофический склероз, сирингомиелию и пр.;
- последствия травматических повреждений - переломов позвонков, вывихи, подвывихи, растяжения и разрывы связок, мышц;
- грыжу, дислокацию (смещение), разрушение дисков;
- компрессию нервного корешка или спинного мозга, стеноз позвоночного канала и пр.
МРТ является наиболее чувствительным тестом для обнаружения патологий позвоночника. Нативное исследование не требует подготовки и может быть выполнено в момент обращения. Перед МРТ шеи с контрастом за 40 минут допускается легкий перекус для нивелирования реакций со стороны вегетативной нервной системы: неприятного привкуса во рту, головокружения, тошноты и пр. Перечисленные явления кратковременны, не угрожают жизни и купируются самостоятельно.
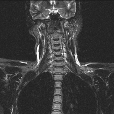
МРТ при болях в шее

МРТ шеи: оценка сколиоза (коронарная плоскость, Т2 последовательность, STIR)
Боль в шее может быть вызвана проблемой в самом позвоночнике или в окружающих его мышцах. Наиболее часто дискомфорт в данной анатомической области обусловлен остеохондрозом, грыжей или протрузией межпозвонковых дисков, компрессией нервно-сосудистых пучков, иннервирующих спинной мозг, невралгией. Перед тем, как сделать выбор в пользу МРТ, врач оценивает характер боли и ее локализацию. Неприятные ощущения в области передней части шеи чаще свидетельствуют о заболевании трахеи, гортани, щитовидной железы, воспаленных лимфатических узлах, осложнениях со стороны уха. Для постановки диагноза в описанных ситуациях иногда достаточно проведения физикального и инструментального осмотра, ультразвуковой сонографии. Если пациент предъявляет жалобы на боль в задней поверхности шеи, усиливающуюся при повороте или наклоне головы, прострелы, ограничение в подвижности - для обнаружения проблемы обосновано сделать МРТ шейного отдела позвоночника. Магнитно-резонансное сканирование показывает структурные изменения в области интереса. Если боль носит функциональный характер, например, сопутствует миозиту, лучевая диагностика будет малоинформативна.
Показания и противопоказания к томографии шейного отдела

МРТ шеи: перелом зубовидного отростка, миелопатия (дисфункция спинного мозга в области поврежденных шейных позвонков) в коронарной плоскости (Т2 последовательность, STIR)
Показаниями к проведению МРТ шейного отдела позвоночника служат:
- необъяснимые головные боли, кратковременные потери сознания;
- пальпируемое образование задней поверхности шеи;
- появление звуковых феноменов при движении, например, постукиваний;
- скованность в области затылка, ограничение амплитуды движений - человеку сложно запрокинуть голову назад, повернуть в сторону или опустить вниз;
- дискомфортные ощущения в шее с иррадиацией в грудной отдел;
- онемение верхних конечностей, выпадение чувствительности плеч, предплечий, кистей, парестезии;
- мышечная слабость в руках, иногда с присоединением парезов в ногах;
- шум в ушах, мушки перед глазами;

МРТ шеи: миелопатия (аксиальная плоскость, Т2 ВИ)
- психо-эмоциональная нестабильность - проявляется плаксивостью, резкими перепадами настроения, бессонницей, апатией, депрессивными расстройствами и пр.;
- гипертонические кризы, устойчивое к медикаментозной терапии повышение артериального давления;
- выявленные изменения в головном мозге предположительно связанные с патологией сосудов шеи;
- нарушение контроля функций тазовых органов;
- предоперационная диагностика;
- контроль изменений в динамике на фоне лечения.
Противопоказания и ограничения к МРТ шейного отдела включают:
- наличие металлических составляющих в теле (ортопедические конструкции, сосудистые клипсы, пули, осколки и шрапнель, стружка).
- работа имплантированных кардиостимуляторов, дефибрилляторов, помп для подачи лекарств, несъемных слуховых протезов и пр.;
- вес пациента свыше 120 кг (для томографов с закрытым контуром);
- выраженное искривление позвоночника, препятствующее принятию положения тела “лежа на спине”;
- резко выраженный болевой синдром;
- острые состояния, подразумевающие реанимационные мероприятия - инсульт, инфаркт, острая травма и пр.;
- неврологические и психические заболевания, протекающие с гиперкинезами (при недоступности введения седативных препаратов, погружающих в медикаментозный сон);
- детский возраст до месяца;
- беременность первого триместра.
Контрастирование при МРТ шейного отдела позвоночника ограничивают:
- отягощенный аллергологический анамнез на введение усилителя на основе гадолиния;
- весь период гестации;
- детский возраст до 12 лет (в стенах больницы МРТ шеи с контрастом по показаниям могут сделать раньше);
- выраженная почечная дисфункция, подразумевающая проведение заместительной очистительной терапии.
Как делают МРТ шейного отдела?

Магнитно-резонансное сканирование: шейный отдел позвоночника в сагиттальной плоскости на Т1 ВИ
В назначенное время пациент пребывает в клинику. После заполнения добровольного медицинского согласия, беседы для выявления возможных противопоказаний и сдачи на хранение всех предметов, содержащих металл, рентгенлаборант провожает испытуемого в диагностическую комнату и укладывает на стол томографа. Для нивелирования технического шума можно воспользоваться берушами или наушниками. Удобство и максимальную неподвижность обеспечивает фиксация конечностей мягкими ремнями.
Наблюдение за ходом диагностической процедуры медперсонал осуществляют через стекло из смежной комнаты, общение происходит по громкой связи. Для получения более качественных томограмм на область шеи накладывают катушку-усилитель.
Каких-либо болевых ощущений во время обследования нет. По команде медтехника стол с пациентом скользит внутрь кольца барабана. Иногда требуется на несколько секунд задержать дыхание. Под воздействием магнитного поля и радиоимпульсов ионы водорода в составе молекул воды изменяют привычное положение, при возвращении на место происходит выброс энергии, фиксируемый датчиками. Полученную информацию анализирует компьютерная программа и скульптурирует многоплоскостные изображения с нужной толщиной среза.
При запланированном МРТ с контрастом препарат (на основе растворимых солей гадолиния) вводит в вену медсестра или краситель подается с помощью специального аппарата - инжектора - в нужные фазы обследования. По окончании диагностики пациент может заниматься привычной деятельностью.
Как выглядит снимок МРТ шейного отдела?

МРТ шейного отдела позвоночного столба: сколиоз (коронарная плоскость, Т2 ВИ)
При описании хода диагностической процедуры врач-рентгенолог обращает внимание на соответствие полученных изображений всех внутренних структур шеи принятым нормам. Для обывателя снимок МРТ позвоночника выглядит как серо-бело-черная абстракция. При более внимательном рассмотрении на сканах различимы контуры головы, позвоночный столб, спинной мозг и пр. Самостоятельно расшифровать магнитно-резонансную томограмму и обнаружить некоторые патологии невозможно, даже специалисты с опытом работы периодически пользуются специальными атласами.
Для качества сканов важны характеристики томографа: оптимально пройти исследование на аппарате (лучше экспертного класса) с закрытым контуром и мощностью от 1,5 Тесла. Сканеры со слабым магнитным полем (от 0,15 Тл) выдают малоинформативные данные, особенно, если необходима оценка мелких деталей.
МРТ шейного отдела, сколько по времени длится?
Длительность МРТ шейного отдела позвоночника зависит от мощности аппарата и необходимости контрастирования. В среднем, нативное сканирование на томографе с закрытым контуром занимает около 15 минут, введение усилителя увеличивает временные затраты в 2 раза. Результаты, если не оговорено иное, можно забрать в течение часа.
КТ или МРТ шейного отдела, что лучше?

Шейный отдел позвоночника в аксиальной плоскости на МРТ (Т2 ВИ)
Компьютерное и магнитно-резонансное сканирования для скульптурирования изображений используют разные физические принципы, что влияет на показания к диагностике.
КТ шеи предпочтительнее, если требуется оценить патологический процесс, исходящий из костной ткани. Минимальные временные затраты и быстрое получение результата сделали компьютерную томографию незаменимой процедурой в диагностике острой травмы (переломов и трещин тела позвонка или остистых отростков) с повреждением сосудов.
Во всех прочих случаях предпочтительнее сделать магнитно-резонансную томографию:
- во время процедуры отсутствует вредоносное для организма радиационное воздействие;
- врач получает максимально четкие и подробные снимки, на которых можно увидеть аномалии развития позвоночного столба, травмы и заболевания, недоступные для визуализации с помощью других способов исследования;
- МРТ лучше, чем КТ демонстрирует состояние спинного мозга, прилегающих мягких тканей, нервов и показывает аномалии, скрытые костной тканью;
- контрастный материал на основе хелатов гадолиния с меньшей долей вероятности вызовет какие-либо значимые побочные реакции в сравнении с йодсодержащим усилителем, применяемым при КТ;
- МРТ более полезна для оценки последствий травм шейного отдела позвоночника, так как позволяет исключить острую компрессию спинного мозга, повреждение связочного аппарата;
- магнитно-резонансное сканирование способно обнаружить незначительные изменения, которые могут быть ранними признаками инфекции или опухоли;
- МРТ лучше, чем КТ выявляет абсцесс шейного отдела позвоночника;
- магнитно-резонансное сканирование - предпочтительный метод оценки возможных осложнений хирургического вмешательства, включая кровотечение, рубцевание, инфекцию и повторное появление грыжи межпозвонкового диска.
В диагностическом центре “Магнит” в Санкт-Петербурге МРТ выполняют на высокопольном (1.5 Тесла) томографе экспертного класса производства Германии. Мы работаем в режиме 24/7, в ночные часы цена на МРТ шейного отдела позвоночника ниже. Приходите, мы Вас ждем!
МРТ сосудов шеи, что показывает?

МРТ сосудов шеи
Магнитно-резонансная томография ― один из наиболее современных и информативных методов диагностики заболеваний внутренних органов и мягких тканей, в том числе в области шеи. Процедуру активно применяют для оценки состояния стенок, диаметра просветов кровеносных сосудов и их проходимости. Одним из самых важных направлений является диагностика патологий вен и артерий шеи. Сосуды данной области обеспечивают функциональность головного мозга, верхнего отдела позвоночника, рук, а также напрямую связаны с сердцем. От их нормального состояния зависит человеческая жизнь. МРТ сосудов шеи способно выявить заболевания на ранних этапах его развития. С помощью данной методики врач ставит правильный диагноз и назначает лечение.
Заболевания сосудов шеи
В данной области расположены крупнейшие артерии (левая и правая сонные), а также их ветви (внутренняя и наружная). Они на 70% обеспечивают кровоснабжение мозга. Остальные 30% приходятся на позвоночные артерии, которые устремляются вглубь черепа через костные каналы. Последние образованы поперечными отростками шейных позвонков.
Крупные яремные вены забирают кровь из мозга и лицевого отдела и несут ее к сердцу. Сохранность функций всех перечисленных сосудов обеспечивает непрерывную трофику структур головы. Любые поражения вен и артерий чреваты параличами, утратой способности видеть или слышать, нарушениями когнитивных функций и даже летальным исходом.
МРТ сосудов шеи позволяет диагностировать:
- аномалии строения и расположения вен или артерий;
- стеноз (сужение отдельных участков);
- патологическое расширение (аневризма);
- атеросклероз (формирование холестериновых бляшек на стенках) артерий;
- воспалительные поражения (васкулит);
- сужение вследствие давления извне — растущим новообразованием и пр.;
- тромбоз и тромбоэмболию (закупорку просвета сгустком крови);
- разрастание рубцовой ткани;
- диссекцию стенок (расслоение).
МР-ангиографию (МРА) применяют для оценки отдаленных последствий травм, выяснения причин хронических и острых нарушений церебрального кровообращения. Часто диагностику экстракраниальных сосудов сочетают со сканированием головного мозга, что дает более развернутую картину патологических изменений.
Как проверить сосуды шеи?
Визуализационные методы крайне важны для оценки состояния вен и артерий. С этой целью применяются:
1. Компьютерная томография (КТ). Метод используют для обнаружения острых нарушений кровообращения, применяют для дополнительной диагностики при низкой информативности МРТ. Его преимуществами являются высокая точность и быстрота проведения, а недостатками ― лучевая нагрузка и необходимость использования контрастного вещества на основе йода, что формирует ряд противопоказаний к КТ.

КТ сосудов шеи и головы в 3D-модификации
2. Дигитальная субтракционная ангиография. Инвазивная рентгенографическая процедура. Ее не назначают в качестве скрининга, поскольку есть более быстрые и безопасные методы исследования. Ангиография подразумевает введение рентгеноконтрастного вещества в сосудистое русло для последующей оценки функций артерий и вен в режиме реального времени. Недостатками являются необходимость специальной подготовки, риск аллергии, лучевая нагрузка и инвазивность. Преимуществами ― наивысшая точность, возможность одновременного выполнения ангиопластики. Ангиографию надо проводить только в условиях операционной.
3. Дуплексное сканирование. Это вариант ультразвукового исследования сосудов, который базируется на измерении скорости кровотока. Метод используют для экстренной диагностики непроходимости или иных патологий экстракраниальных (брахиоцефальных) сосудов, динамического наблюдения. Преимуществами являются информативность, безопасность, безболезненность, отсутствие подготовки и высокая скорость получения результатов. Недостатком считается относительная точность. Метод малоинформативен на начальных стадиях развития заболеваний.
4. МР-ангиография. Не требует специальной подготовки, может проводиться как с контрастированием, так и без него. Для более точной визуализации сосудов используют препараты на основе редкоземельного металла (гадолиния). Данные соединения биоинертны и более безопасны, чем йодсодержащие средства. Преимущества метода в минимальном количестве противопоказаний. МР-ангиография безопасна, безболезненна. Получаемые результаты исследования достаточно информативны. Нативная диагностика разрешена беременным женщинам по показаниям, начиная со второго триместра.
Необходимость контрастирования при МРА определяет лечащий врач. В зависимости от того, что показывает МРТ сосудов шеи и насколько четкие получились снимки, рентгенолог также может назначить повторное обследование с контрастом.
МР-ангиография ― высокоинформативная процедура, которая позволяет изучить не только сосуды, но и мягкие ткани шеи, нервы, лимфатические структуры. Результатами сканирования являются послойные снимки исследуемой области (срезы) в трех взаимноперпендикулярных проекциях, с помощью которых можно точно установить локализацию патологических изменений (опухолей, аневризм и пр.).

МРТ сосудов головы и вещества головного мозга
В основе томографии лежит явление ядерно-магнитного резонанса. Метод не несет лучевой нагрузки и не имеет ограничений по кратности проведения. Магнитное поле безопасно для тканей, органов и систем. МР-ангиографию можно использовать для наблюдением за динамикой развития заболевания и оценки эффективности назначенного лечения.
Недостаток МРТ — ее стоимость и время проведения процедуры. Изучение одной области в нативном режиме занимает 15-20 минут, а с контрастированием ― 30-35.
Показания к МРТ сосудов шеи
Патологии экстракраниальных артерий и вен приводят к нарушениям кровообращения в мозге и ухудшению трофики его тканей. Такие состояния имеют различные проявления. Показаниями для МРТ сосудов шеи являются:
- головокружения;
- тошнота, утренние рвоты;
- обмороки;
- резкие приступы слабости;
- скачки артериального давления;
- головные боли;
- дискомфортные ощущения в шее;
- нарушения речи и глотания;
- ослабление слуха;
- ухудшение зрения;
- расстройства памяти;
- нарушения сна;
- шум в ушах;
- плохая координация движений;
- нарушения чувствительности кожи рук и т.п.
Метод используют при планировании операций, а также для оценки брахиоцефального кровообращения спустя определенное время после травм. Контролировать состояния важных сосудов необходимо при некоторых системных заболеваниях, для чего назначают МРТ артерий и вен шеи, а именно:
- рассеянного склероза;
- сахарного диабета;
- атеросклероза;
- вегето-сосудистой дистонии;
- гипертонической болезни.
Чаще всего МР-ангиографию назначают для уточнения диагноза, когда дуплексное сканирование обладает низкой информативностью.
Как делают МРТ сосудов шейного отдела?
В диагностической клинике «Магнит» сканирование проводят по предварительной записи. Во время ее оформления пациенту нужно сообщить медперсоналу о наличии в теле любых металлических конструкций, а именно:
- штифтов;
- спиц;
- эндопротезов;
- имплантов среднего уха и т.п.
Присутствие в теле изделий и металлов с ферромагнитными свойствами может повлиять на качество снимков. Сотрудникам клиники необходимо сообщить, из какого конкретно материала сделана конструкция. Получить эту информацию можно в медучреждении, где проводили операцию. Нужно попросить оттуда выписку и взять ее с собой на процедуру, чтобы показать рентгенологу.

МРА сосудов головы и шеи
Приходить на МРТ нужно на 5-10 минут раньше назначенного времени, чтобы без спешки заполнить документы. Исследованию предшествует консультация, на которой пациента опрашивают на предмет противопоказаний к процедуре, которыми являются:
- первый триместр беременности;
- наличие водителей сердечного ритма (кардиостимуляторы, дефибрилляторы);
- имплантация инсулиновой помпы;
- присутствие металлических стентов или кровоостанавливающих клипс в артериях, венах;
- иные ферромагнитные импланты.
В процессе опроса и знакомства рентген-техник рассказывает, как делают МРТ сосудов шеи, правила поведения в диагностическом кабинете. Пациентам с клаустрофобией предлагают пройти процедуру на открытом томографе. При повышенной тревожности возможно применение успокаивающих препаратов, но только по назначению врача. Пациентам с острой болью и психоневрологическими заболеваниями МРТ проводят под седацией или наркозом в условиях стационара.
Подготовка к исследованию подразумевает удаление всех металлических объектов. Пациент должен снять украшения, очки, заколки, предметы одежды с такой фурнитурой. Электронные устройства (телефон, часы, слуховой аппарат) остаются за пределами кабинета томографии. Порядок выполнения МРТ сосудов шеи следующий:
- Пациента проводят в специальный кабинет, укладывают на платформу томографа. Транспортер перемещается так, чтобы область шеи оказалась в центре рамки аппарата.
- Лаборант фиксирует положение головы человека, для удобства подкладывает валики, дает в руки кнопку экстренной связи и покидает кабинет.
- Рентген-техник наблюдает за ходом процедуры из соседней комнаты через стекло. Он проверяет исправность громкой связи, напоминает пациенту о необходимости соблюдать неподвижность до конца исследования, включает аппарат.
Во время сканирования томограф издает звуки (щелчки, гул), которые могут вызывать дискомфорт. В диагностической клинике «Магнит» пациентам предлагают наушники для прослушивания приятной музыки во время исследования. Можно вместо них получить обычные беруши. Подготовка занимает 5-10 минут, сканирование длится 15-20.
МРТ сосудов шеи с контрастированием
Иногда нативная МР-ангиография оказывается малоинформативной. Более четко визуализировать сосуды (даже небольшого диаметра) позволяет исследование с контрастированием. Оно подразумевает введение в вену препарата, который увеличивает колебания атомов водорода в молекулах воды в тканях и делает последние более заметными на снимках.

МР-ангиография сосудов шеи
Контрастирование требуется при подозрениях на аномальное развитие сосудов, опухолевые изменения. С его помощью можно оценить состояние вен и артерий, скорость кровотока в них. Порядок МР-ангиографии с контрастом следующий:
- После стандартной подготовки пациента начинается нативное сканирование.
- По завершении съемки в вену предплечья вводят контрастное вещество.
- Повторяют исследование.
Процедура занимает 30-35 минут. Контрастная МР-ангиография противопоказана беременным женщинам. При лактации нужно сделать запас грудного молока на 2 следующих кормления, которые придется пропустить.
Расшифровка фото снимков МРТ сосудов шеи
Подготовка результатов занимает от 15 до 60 минут. В это время пациент может прогуляться или отдохнуть в зоне ожидания. Протоколы исследования отправляются по электронной почте, если Вы укажете ее при заполнении документов. Забрать оригинал можно в любой другой день.
Врач-рентгенолог описывает, что показывает МРТ артерий и вен шеи, он дает пояснения при вручении результатов и рекомендации, к какому врачу обратиться. Специалист не ставит диагноз, не делает прогнозов и не назначает лечение. При получении результатов по электронной почте пациент не сможет проконсультироваться с рентгенологом.
Что лучше МРТ или УЗИ сосудов шеи?
Ультразвуковая диагностика базируется на способности волн проходить через ткани различной плотности и отражаться с определенной скоростью. Это и есть «эхо», которое регистрирует датчик. Затем компьютерная программа преобразует сигнал в изображение.
МР-томограф также улавливает «эхо», однако его издают атомы водорода от молекул воды в мягких тканях, которые резко меняют направленность с выделением энергии. Чем больше атомов, тем сильнее всплеск, чем обусловлено четкое изображение структуры мягких тканей на срезах (спинного и головного мозга и пр.).

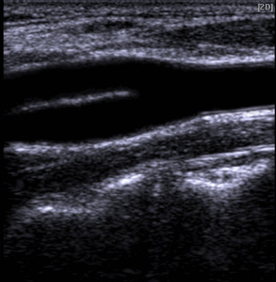
УЗИ сонной артерии в месте бифуркации
Что лучше, МРТ или УЗИ, для диагностики патологий шейных сосудов, определяет врач. Оба метода считаются абсолютно безопасными и нужными. УЗИ занимает меньше времени и не требует ограничений подвижности, тогда как МРТ дает более полные сведения о состоянии всех структур шейного отдела. Ультразвуковые методики подходят для экспресс-диагностики, а томография оптимальна для выяснения природы заболевания и сбора дополнительных сведений.
Врачи предпочитают УЗИ, если для определения патологии решающее значение имеет скорость кровотока в сосудах шеи. МРТ предоставляет важную информацию, если есть подозрения на поражения стенок артерий/вен или мягких тканей, которые могут привести к острым нарушениям мозгового кровообращения.
Читайте также:
