КТ, МРТ при аденокарциноме мочевого пузыря
Добавил пользователь Евгений Кузнецов Обновлено: 21.01.2026
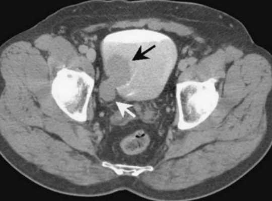
КТ мочевого пузыря - надежный и точный метод исследования, применяемый в дифференциальной диагностике заболеваний органов малого таза. Компьютерная томография основана на применении рентгеновских лучей и способности тканей человеческого тела поглощать их с разной интенсивностью. В процессе сканирования врач получает серию послойных изображений просвечиваемой области, что позволяет диагностировать малейшие патологические изменения мочеполовой системы.
Что покажет КТ мочевого пузыря
В процессе компьютерной томографии врач получает возможность оценить форму, размер и границы обследуемого органа, выделить особенности структуры и патологические изменения строения. Сканирование мочеполовой системы с помощью томографа выявляет следующие заболевания:
наличие камней в просвете мочеточника, почечной лоханке и полости мочевого пузыря;
патологическое расширение или, наоборот, стеноз мочеточников;
воспалительные изменения стенок мочевого пузыря и окружающих тканей;
эрозии, язвы слизистой оболочки мочевого пузыря;
новообразования в области органов мочеполовой системы;
травматические поражения стенок органа.
КТ мочевого пузыря, усиленное контрастированием, визуализирует кровоснабжение рассматриваемой области, состояние кровеносных сосудов и лимфатической системы. В результате получения тонких срезов изучаемых тканей врач фиксирует малейшие изменения в них и выявляет заболевания на ранних сроках.
КТ мочевого пузыря и простаты
В дифференцировании заболеваний мужской мочеполовой системы мультиспиральная компьютерная томография имеет большое значение. В процессе обследования пациента помещают на передвижной стол, который проходит через кольцевую часть томографа, где находится рентгеновская трубка и специальные датчики для считывания информации. Излучатели внутри аппарата совершают круговые движения, что, в совокупности с перемещением стола, обеспечивает спиральное сканирование рассматриваемых тканей.
Полученные в процессе КТ мочевого пузыря послойные снимки томограф транслирует на экран компьютера, где, при необходимости, сложная компьютерная программа воссоздает 3D-изображение изучаемой зоны.
Такое подробное исследование позволяет обнаружить аномалии развития и патологические процессы, протекающие в тканях мочевого пузыря и простаты, визуализирует состояние слизистой оболочки мочеиспускательного канала и паренхимы железы, определяет границы, размеры органов, изменения формы и структуры.
КТ мочевого пузыря и простаты назначают при наличии симптомов:
нарушения процесса мочеиспускания;
наличие в моче примесей (кровь, соли, белок) при неясной этиологии;
боли внизу живота, иррадиирующие в пах;
нарушения эректильной функции;
травмы в области малого таза.
Исследование проводят перед хирургическим вмешательством, с целью определить локализацию и объем предстоящих действий, а также в послеоперационном периоде для оценки восстановления тканей.
С помощью мультиспиральной КТ выявляют и дифференцируют патологические процессы, протекающие в тканях мочеполовой системы, и локализуют травматические поражения этой области.
Заболевания, которые диагностируют при КТ мочевого пузыря и простаты:
воспалительные явления (острый и хронический простатит, цистит);
новообразования (кисты, полипы, аденома, рак) мочевого пузыря и простаты;
метастазы в эти органы;
лимфаденопатия регионарных узлов;
травматические поражения предстательной железы и мочевого пузыря, перфорации полых органов;
наличие камней и инородных тел в полости пузыря;
сосудистые патологии в рассматриваемой области.
Ранняя диагностика патологических процессов способствует результативности лечения и гарантирует благоприятный прогноз в большинстве случаев.
Компьютерная томография с контрастированием
Для повышения точности и информативности КТ обследование мочевого пузыря проводится с рентгеноконтрастным веществом. Данный метод диагностики назначают при подозрении на наличие опухолей в мягких тканях и полости пузыря, сосудистых патологиях и дистрофических процессах. В качестве красящего раствора используют препараты йода, которые хорошо поглощают ионизирующее излучение.
КТ мочевого пузыря с контрастированием проводят в два этапа: вначале пациенту делают серию нативных снимков, после чего в кровеносное русло вводят контрастный раствор. В результате визуализации сети сосудов на снимках видны изменения в мягких тканях, новообразования и аномалии кровоснабжения рассматриваемой зоны.
Существует ряд противопоказаний к проведению кт мочевого пузыря с контрастированием:
детский возраст до 12 лет;
некоторые заболевания щитовидной железы;
индивидуальная непереносимость препаратов йода.
Беременным женщинам категорически противопоказаны обследования с применением ионизирующего излучения. Процедуру компьютерной томографии в этом случае заменяют аналогичным методом диагностики, безопасным для здоровья будущего малыша.
При дисфункции почек, сопровождающейся почечной недостаточностью, возрастает период выведения контрастного раствора из организма, что усиливает токсичность препарата и негативно сказывается на общем состоянии пациента.
Заболевания щитовидной железы приводят к нарушению обмена веществ, патологическим изменениям гуморальной регуляции жизнедеятельности и другим серьезным последствиям. Введение препаратов йода при КТ мочевого пузыря может негативно влиять на состояние эндокринной системы, значительно усугубив ситуацию.
В остальных случаях препараты йода практически безвредны и при нормальном функционировании выделительной системы выводятся из организма в течение 1-2 суток.
Что лучше − КТ или МРТ мочевого пузыря?
КТ мочевого пузыря отличается высокой информативностью при выявлении новообразований и воспалительных явлений, позволяет сократить время обследования. Цена на процедуру значительно ниже, чем стоимость МРТ аналогичной области. Но использование рентгеновского излучения имеет ряд противопоказаний и, в некоторых случаях, целесообразно проведение магнитно-резонансной томографии.
МРТ безопасно для организма: магнитное поле не оказывает патологического воздействия на клетки человеческого тела. Данный метод диагностики дает возможность оценить структуру и строение мягких тканей, отражает малейшие изменения в них и по информативности превосходит КТ мочевого пузыря. К минусам относят значительную продолжительность процедуры и высокую стоимость (подробнее о ценах на инструментальные методы обследования можно узнать на сайтах медико-диагностических центров).
Какой из методов целесообразнее использовать в каждом конкретном случае решает врач на основании показаний и клинической картины болезни.
Как подготовиться к КТ обследованию мочевого пузыря
КТ мочевого пузыря проводят натощак, при опорожненном кишечнике. Для этого перед процедурой следует отказаться от приема пищи (за 4-5 часов до обследования).
С целью профилактики метеоризма в течение 2-3 дней перед томографией соблюдают диету, препятствующую повышению газообразования. Из рациона убирают бобовые, кисломолочные продукты, дрожжевое тесто, свежие фрукты и овощи. Четкое изображение получается при наполненном мочевом пузыре, поэтому перед процедурой необходимо воздержаться от посещения туалета. Рекомендуют за 10-15 минут до проведения обследования выпить 0,5 литра воды без газа.
Проведение контрастной КТ мочевого пузыря требует дополнительной подготовки. Перед введением йодного раствора необходимо сдать анализ крови на уровень креатинина. Содержание его выше нормы говорит о дисфункции почек и почечной недостаточности, что является противопоказанием к проведению процедуры.
Карцинома мочевого пузыря
Карцинома мочевого пузыря - что это такое и сколько проживёт человек? Карцинома является разновидностью рака мочевого пузыря. У мужчин рак злокачественная опухоль возникает чаще, чем у женщин. Преимущественно карцинома встречается в возрасте от 40 до 60 лет. Для лечения больных карциномой созданы все условия в Юсуповской больнице:
- Палаты любого типа и степени комфортности;
- Диагностическая аппаратура ведущих фирм США и западноевропейских стран;
- Высокая квалификация врачей;
- Профессионализм и внимательное отношение персонала к пожеланиям пациентов;
- Диетическое питание, которое по качеству не отличается от домашней кухни.
Пациенты Юсуповской больницы имеют возможность проходить сложные диагностические и лечебные процедуры в клиниках-партнёрах и на кафедрах медицинских институтов. Благодаря программам исследований, которые проводятся на базе Юсуповской больницы, пациенты могут получать лекарственные препараты, которые отсутствуют в других онкологических клиниках.
Прогноз пятилетней выживаемости улучшается при ранней диагностике заболевания. К неблагоприятным факторам прогноза инвазивных карцином относят множественность поражения, размеры опухоли более трёх сантиметров, наличие фоновых изменений в виде карциномы ин ситу мочевого пузыря, что повышает риск развития рецидива. Урогенитальный рак мочевого пузыря характеризуется инфильтративным ростом уже на стадии выявления заболевания. В таком случае прогноз особенно неблагоприятный.

Причины
Карцинома мочевого пузыря возникает под воздействием следующих повреждающих факторов:
- Канцерогенов (никотина, бензола или анилиновых красителей);
- Отягощённой наследственностью;
- Онкогенными вирусами.
У женщин происходит инфицирование мочевого пузыря вследствие короткой уретры, вследствие чего развивается урогенитальная карцинома мочевого пузыря.
Стадии и виды
Различают 4 стадии карциномы мочевого пузыря. О нулевой стадии онкологи говорят в том случае, когда в мочевом пузыре обнаруживаются раковые клетки, которые не фиксировались в слизистой оболочке органа. На первой стадии опухоль проникает в глубину слоёв стенки органа, но не затрагивает мышечный слой. При второй стадии новообразование поражает мышечный слой, но не прорастает в него. Третья стадия заболевания характеризуется прорастанием стенки мочевого пузыря. На четвёртой стадии карциномы опухоль прорастает все слои стенки мочевого пузыря, распространяется в окружающую орган жировую клетчатку, метастазирует в лимфатические узлы и внутренние органы.
Различают 3 степени карциномы мочевого пузыря:
- Уротелиальная карцинома мочевого пузыря g1 (прогноз оптимистичный) характеризируется тем, что клетки опухоли почти ничем не отличаются от здоровых. клеток, и именно поэтому она является уротелиальной карциномой мочевого пузыря. Опухоль низкой степени злокачественности. Она обладает небольшим уровнем роста и не имеет тенденции к распространению;
- Инвазивная уротелиальная карцинома мочевого пузыря g2 - клетки опухоли отличаются от здоровых, опухоль быстро растёт и распространяется по организму;
- Уротелиальная карцинома мочевого пузыря g3 является наиболее опасным видом злокачественной опухоли, быстро прогрессирует и даёт метастазы.
Папиллярная уротелиальная карцинома мочевого пузыря образуется из доброкачественных опухолей с высоким потенциалом малигнизации. Плоскоклеточная метаплазия часто встречается в карциномах высокой степени анаплазии. При веретеноклеточном варианте онкологи нередко выявляют регионарные и отдаленные метастазы. В случае превалирования лимфоэпителиомоподобного варианта прогноз относительно благоприятен. Такие варианты уротелиальной карциномы, как микропапиллярная, саркомоподобная, с железистой дифференцировкой, имеют худший прогноз.
Переходно-клеточная карцинома - наиболее часто встречающийся вид рака мочевого пузыря. Опухоль развивается из клеток переходного эпителия. Агрессивным клиническим течением отличаются мелкоклеточная, перстневидноклеточная, плоскоклеточная карциномы. Инвазивная уротелиальная карцинома мочевого пузыря буквально прорастает стенку органа.
Оценку степени распространённости опухоли онкологи Юсуповской больницы проводят в соответствии с классификацией по системе TNM. Чаще всего предварительную клиническую стадию устанавливают по данным цистоскопии, ультразвукового и гистологического исследования биопсийного материала.
При неинвазивных поражениях слизистой мочевого пузыря базальный слой уротелия сохраняет ровный чёткий контур. Под ним находится непрерывная базальная мембрана. В участках инвазии контур утрачивается. В области последней отмечаются явления фиброза и воспалительная инфильтрация.
Злокачественная опухоль, инфильтрирующая строму «широким фронтом», менее агрессивна, чем та, которая имеет «щупальцеобразный» рост. Выделяют и другие других формы инвазивного роста злокачественного новообразования:
- Микропапиллярный;
- Микрокистозный;
- Гнёздный.
Уротелиальная карцинома мочевого пузыря принципиально отличается от прогрессирующих поверхностных карцином по своим молекулярно-патогенетическим механизмам развития.
Симптомы и диагностика
Длительное время карцинома мочевого пузыря протекает бессимптомно. Типичными признаками рака мочевого пузыря являются появление крови в моче и боль при мочеиспускании. Если опухоль препятствует прохождению мочи из почек в мочевой пузырь, развивается дисфункция почек. Она выражается болью в поясничной области. Если новообразование блокирует уретру, процесс мочеиспускания становится весьма затруднительным.
Гематурия (появление крови в моче) бывает первой жалобой у 90% пациентов. Гематурия характеризуется наличием эритроцитов в моче. Микрогематурию обнаруживают только при проведении микроскопического исследования. Макрогематурию можно увидеть, поскольку моча приобретает красный или ржавый цвет.
Учащённое, болезненное мочеиспускание, затруднённое начало, неприятные ощущения после мочеиспускания встречаются у 25% пациентов. Отёк наружных половых органов, ног возникает при сдавливании вен лимфатических сосудов. Боль в тазу и животе наблюдается при запущенной опухоли.
Симптомы карциномы мочевого пузыря неспецифичные и встречаются при других болезнях мочевыводящих путей. Только опытный специалист определит настоящую причину присутствия крови в моче и назначит адекватное лечение. Юсуповская больница оснащена современной аппаратурой для проведения качественной диагностики. Чем раньше обнаружена болезнь, тем эффективнее будет лечение карциномы мочевого пузыря и тем лучше прогноз.
При подозрении на карциному мочевого пузыря онкологи проводят комплексное обследование пациента с помощью следующих методов:
- Цитологического исследования мочи;
- Компьютерной томографии брюшной полости;
- Ультразвукового исследования.
Для оценки распространения заболевания проводят дополнительные диагностические процедуры: остеосцинтиграфию, рентгенологическое исследование органов грудной клетки. В Юсуповской больнице существует возможность проведения всех диагностических исследований для достоверного выявления патологии мочевого пузыря с помощью новейшей аппаратуры с высокой разрешающей способностью.
Лечение
Онкологи Юсуповской больницы проводят комплексное лечение карциномы мочевого пузыря. Оно включает хирургические, медикаментозные и лучевые методы. Лечебную тактику определяют на заседании Экспертного Совета с участием профессоров и врачей высшей категории. Основным оперативным вмешательством является трансуретральная резекция мочевого пузыря. Его выполняют на ранней стадии заболевания. В последующем проводят иммунотерапию или лучевое лечение.
Если опухоль прорастает в большую часть стенки мочевого пузыря, хирурги выполняют радикальную цистэктомию (удаление мочевого пузыря) с последующей пластикой (формированием искусственного мочевого пузыря из толстой или тонкой кишки). Пластическая операция позволяет восстановить мочеиспускание естественным путем. Лучевое и химиотерапевтическое лечение используют дополнительно к оперативному вмешательству для предотвращения возврата заболевания.
Внутрипузырная химиотерапия снижает риск возникновения местных рецидивов. Химиотерапевты назначают пациентам цитостатические препараты до и после оперативного вмешательства, что увеличивает безрецидивный период и является наиболее эффективным методом лечения распространённой карциномы мочевого пузыря. Стандартный индукционный курс БЦЖ состоит из 6 еженедельных инстилляций. У 40-60 % больных возникает необходимость в проведении повторного курса
Лучевая терапия помогает уменьшить размеры опухоли. Это облегчает оперативное вмешательство. Облучение опухоли выполняют при кровотечении. Радиотерапия заметно снижает боль при метастазах в костях.
По окончании лечения пациенты находятся под наблюдением онколога Юсуповской больницы. Это позволяет своевременного выявить возможный рецидив заболевания. После осмотра пациента онколог назначает общий анализ и цитологическое исследование мочи, анализ крови. При наличии показаний выполняет цистоскопию и применяет рентгенологические методы диагностики.
Профилактика
Профилактика рака мочевого пузыря включает:
- Устранение профессиональных вредностей;
- Защиту от промышленных канцерогенов (ношение защитной одежды, исключение непосредственного контакта с химикатами);
- Радикальное лечение всех доброкачественных папиллом мочевого пузыря;
- Адекватная терапия цистита;
- Отказ от курения;
- Употребление достаточного количества жидкости;
Получить ответы на вопросы, касающиеся диагностики и лечения карциномы мочевого пузыря, уточнить стоимость операции вы можете по телефону. Контакт центр Юсуповской больницы работает круглосуточно 7 дней в неделю.
МРТ при раке мочевого пузыря
Рак мочевого пузыря занимает второе место по частоте встречаемости среди онкологических заболеваний мочеполовой системы. В разы чаще встречается у мужчин и очень редко поражает женский организм. Причины болезни до сих пор не известны, но если верить врачебным наблюдениям, рак чаще диагностируется у курящих людей или у лиц, которые работают на вредных предприятиях.
Опухоль развивается из стенок органа, имеет 4 стадии злокачественности, несколько разновидностей, а при отсутствии правильного лечения часто является причиной смертности. Повысить шансы на жизнь поможет ранняя диагностика. К безопасным и информативным методам относится МРТ при раке мочевого пузыря. Помогает распознать опухоль на любой стадии развития, определить размер, локализацию, стадию злокачественности, наличие или отсутствие метастазов. МР томография с точностью в 95% позволяет визуализировать опухолевидный процесс в органах малого таза, получить четкие снимки в разных проекциях.

Симптомы онкозаболеваний мочевого пузыря
Магнитно-резонансная томография может назначаться при подозрении на рак мочевого пузыря, так и для контроля динамики болезни после пройденной терапии. Направление на обследование выдает врач уролог при жалобах пациента на определенные симптомы, которые могут быть выражены в меньшей или большей степени:
Покажет ли МРТ рак мочевого пузыря?
При подозрении на рак мочевого пузыря, обследование магнитным резонансом лучше проводить с контрастом. Процедура включает внутривенное введение препаратов, позволяющие врачу получить более четкие снимки, обследовать не только мочевой пузырь, но и прилегающие полые органы малого таза.
В качестве контрастного вещества применяют препараты на основе солей гадолиния, которые позволяют распознать разницу между здоровыми и пораженными тканями организма, определить четкие границы, определить размер и локализацию опухолевидных процессов. Полученные результаты позволят выявить все признаки опухолей злокачественного или доброкачественного характера:
- размер, форму и стадию развития;
- расположение;
- наличие или отсутствие метастазов;
Как выглядит рак мочевого пузыря на МРТ?
Опухоли мочевого пузыря на МРТ снимках четко просматриваются с введением контрастного вещества. На результатах новообразования и метастазы, окрашены в цвет, также хорошо заметны границы между здоровыми и патологическими структурами, увеличение лимфатических узлов.
Магнитно-резонансная томография в диагностике рака мочевого пузыря определяет расположение опухоли, прорастание в глубокие слои органа и окружающие ткани. Проводит инвазию лимфатических узлов, слизистой оболочки половых структур. Благодаря данной методике можно обнаружить скрытые патологические процессы, вовремя провести лечение, тем самым снизить процент смертности. Высококачественные снимки МРТ отслеживают динамику болезни, что позволяет корректировать лечение, снизить риск рецидивов. В отличие от КТ или рентгена, проводить МРТ можно неограниченное количество раз. Главное не медлить с посещением врача при первых признаках болезни, когда шансы на выздоровление значительно выше, чем на поздних стадиях рака.
МРТ и КТ при раке мочевого пузыря - что покажет

МРТ малого таза с контрастом, КТ мочевого пузыря являются аппаратными методами диагностики рака мочевого пузыря. Исходя из первичных симптомов, истории болезни, противопоказаний и диагностических целей, врач уролог назначает необходимые способы обследования.
В большинстве случаев, МРТ малого таза с контрастом, КТ мочевого пузыря выбираются как первичные методы диагностики. Если результаты исследования носят тревожный или неясный характер, дополнительно назначается:
Разница между МРТ и КТ
Компьютерная томография и магнитно-резонансная томография используются для получения изображений органов и тканей в трехмерной проекции. Разница в томографии заключается в том, что при МРТ используются радиоволны, а при КТ - рентгеновские лучи для получения изображения. Хотя оба томографических метода имеют высокую информативность, есть диагностические различия, которые могут сделать каждый из них более подходящим вариантом в зависимости от обстоятельств.
КТ-сканирование более быстрая форма диагностики, чем магнитно-резонансная томография, и обычно используется для экстренного обследования. При использовании как КТ, так и МРТ существуют определенные риски. Они зависят от типа визуализации, а также от способа ее проведения. К рискам КТ относятся: вред для внутриутробного ребенка при беременности и доза радиации. Риски МРТ включают реакции на металлические импланты в теле из-за сильного магнитного поля, громкий шум от аппарата, повышенная, клаустрофобические риски.
Если врачу нужны более детальные изображения мягких тканей, связок или органов высоким состоянием воды, обычно назначается магнитно-резонансная томография. Если необходимо получить хорошие изображение костных структур и полых органов, обычно рекомендуется компьютерная томография.
МРТ малого таза в диагностике заболеваний мочевого пузыря
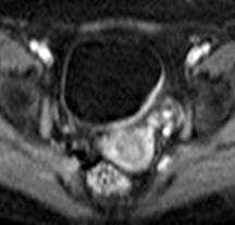
С внедрением в клиническую практику МРТ постоянно проводятся работы по сравнительной характеристике перспективы применения этого метода в диагностике как заболеваний мочевого пузыря, так и окружающих его тканей и органов. На данный момент большинство авторов убедительно доказывают, что точность, чувствительность и специфичность МРТ в диагностике опухолей мочевого пузыря максимально высока. Особенно важно применять МРТ с целью оценки стадии опухолевого процесса и дифференциальной диагностики поверхностного и инвазивного рака. На настоящий момент установлено, что внутривенное контрастирование при этом значительно повышает диагностические возможности метода.
Также подавляющее большинство исследователей пришли к выводу о гораздо большей информативности МРТ при оценке экстравезикальной инвазии опухоли.
Опухоли мочевого пузыря
Визуализируется экзофитно растущее в просвет мочевого пузыря объемное образование на ножке (папиллярная уротелиальная опухоль).
С целью оценки глубины инвазии опухоли в стенку мочевого пузыря при МРТ исследовании используется внутривенное динамическое контрастирование.
Неинвазивная папиллярная уротелиальная опухоль. Корональное Т2-взвешенное МР- изображение показывает тканевой интенсивности сигнала опухоль (стрелка),растущая в просвет мочевой\го пузыря. При бесконтрастном исследовании создается впечатление о сохранности прилежащих отделов гипоинтенсивной стенки мочевого пузыря. Однако достоверно судить о степени глубины инвазии можно только по постконтрастным сканам.
При этом важно проведение именно динамического внутривенного контрастирования (в артериальную фазу происходит усиление только ткани опухоли, но еще не успевает произойти усиление интактной стенки мочевого пузыря). На представленном контрастном Т1-ВИ изображении (артериальная фаза) на фоне накопления КВ тканью опухоли, подслизистого слоя, видно отсутствие инвазии прилежащей стенки мочевого пузыря.
Неинвазивная уротериальная карцинома.

а) Т2-аксиальное изображение б) DW-аксиаальная плоскость
Мужчина, 49 лет, уротелиальная карцинома.
а) Т2-взвешенное изображение показывает опухоль с тканевой интенсивностью МР-сигнала на заднее-левой стенке мочевого пузыря. При этом видно легкое повышение интенсивности МР-сигнала от гипоинтенсивной в норме стенки пузыря (стрелки). (б Диффузинно-взвешенное изобрежение показывает опухоль (тонка стрелка) и ее распространение в подслизистый слой (головки стрелок), без признаков инвазии в мышечный слой.
Инвазивная уротелиальная карцинома.

а)Т2-tra б) Т1-sag в)Т2-диффузия (DW)
Мужчина, 72 года. В заднее-левых отделах мочевого пузыря визуализирвется объемное образование (уротелиальная карцинома), стадия 3b.
(а) Аксиальное T2-взвешенное изображение показывает больших размеров опухоль с инвазией мышечной стенки и развитием гидроуретера (стрелка). Видна инвазия мышечного слоя, но достовено судисть о паравезикальном распространении невозможно.
(б) Динамическое контрастирование на скане, проходящем перпендикулярно к основанию опухоли выявляет тотальное поражение стенки пузыря, нечеткость заднего контура опухоли.
(в) Поперечное диффузионно-взвешенное изображение демонстрирует большую опухоль с признаками трансмурального роста и инвазии в паравезикальную клетчатку (стрелка).
Инфильтративно растущие опухоли мочевого пузыря.

а) Т2 cor FS б) Т2-tra
Женщина, 56 лет. Клинически - гематурия, морфологически верифицированная опухоль мочевого пузыря. На представленных бесконтрастных Т2-взвешенных изображениях в корональной (а) и аксиальной (б) плоскостях видно асимметричное инфильтративное утолщение левой стеки мочевого пузыря, ригидность и уплощение левой стенки на фоне нормального наполнения пузыря. При этом наружный контур инфильтративно утолщенной стенки имеет нечеткие контуры.

Внутривенное динамическое контрастирование, Т1-ВИ, ранняя (артериальная фаза). Видно выраженное диффузное контрастное усиление всей толщины инфильративно измененной левой (и частично задней) стенок мочевого пузыря, с нечеткостью ее наружного контура и признаками минимального экстравезикального распространения.
Метастазы рака мочевого пузыря

Аксиальное Т1-взвешенное изображение (а), Т2-ВИ с жироподавлением (б) у пациента с раком мочевого пузыря. Определяется мелкое объемное образование шейки левой бедренной кости (стрелки). При внутривенном контрастном усилении (с) - Т1 c FS определяется усиление данного мелкого образования, что позволяет подтвердить вторичную, метастатическую природу данного очага, несмотря на его малые размеры.
Таким образом, ценность МР-исследования заключается в возможности полипозиционного исследования, выбора любых плоскостей сканирования; многочисленных МР-последовательностях, дополняющих друг друга для повышения диагностической ценности получаемых результатов. Динамическое контрастное усиление, а также диффузионно-взвешенные последовательности являются неоценимыми в диагностике глубины инвазии стенки мочевого пузыря, оценки экстравезикального распространения. Одновременно появляется возможность исследования паравезикальных тканей и органов; оценки состояния тазовых, паховых, параортальных лимфоузлов, костных структур на уровне визуализации.
МРТ должна предшествовать любому оперативному вмешательству по поводу опухоли мочевого пузыря, являясь на сегодняшний день наиболее информативной из неинвазивных методов диагностики. Диагностика неинвазивной формы опухоли мочевого пузыря делает возможным трансуретральную резекцию образования, т.е. позволяет правильно спланировать радикальное оперативное пособие.
Дивертикулы мочевого пузыря.
Это локальное выпячивание стенки мочевого пузыря. Преобладают у мужчин, частота их встречаемости увеличивается с возрастом.
Развивается дивертикул, как правило, на фоне длительного повышения внутрипузырного давления при инфравезикальной обструкции (доброкачественная гиперплазия, рак предстательной железы, стриктуры уретры). Существует высокий риск развития уротелиального рака в дивертикуле мочевого пузыря за счет задержки в нем канцерогенных веществ.
При больших размерах дивертикулов показано оперативное лечение. По данным МРТ определяется локализация, размеры и осложнения дивертикула (воспаление или развитие опухоли).

а) Т2-сагиттальное изображение б) Т2-аксиальное изображение.
Истончение стенки и увеличения объема мочевого пузыря на фоне хронической инфравезикальной обструкции (вследствие ДГПЖ). Видна трабекулярность стенки мочевого пузыря, дивертикул задней стенки мочевого пузыря слева (б), стрелка; двусторонняя уретерэктазия.
Незаращение мочевого протока
Урахус - кистозная или трубчатая структура, расположенная по средней линии, на уровне от пупка до верхушки мочевого пузыря. При незаращении мочевого протока могут возникать пупочный свищ, пузырно-пупочный свищ или киста урахуса.
а)Т1-аксиальное изображение б)Т2-сагиттальное изображение
а) Т1-аксиальное изображение показывает слабогипоинтенсивное включение, примыкающее к передней стенке мочевого пузыря (стрелка). б) сагиттальное T2-ВИ показывает гиперинтенсивное овальной формы (жидкостное) образование по средней линии в проекции верхушки мочевого пузыря. Данных за наличие связи между данным жидкостным образованием и полостью мочевого пузыря не выявлено (киста урахуса).
Читайте также:
- МРТ латеральных поддерживающих структур коленного сустава в норме
- Оценка двигательной единицы. Патология двигательной единицы мышц
- Язвенный туберкулез кожи
- Нарушение проведения звука при отсутствии барабанной перепонки, молоточка и наковальни
- Механизм смещения отломков нижней челюсти. Смещение отломков под влиянием мышц.
