Механизм смещения отломков нижней челюсти. Смещение отломков под влиянием мышц.
Добавил пользователь Владимир З. Обновлено: 11.12.2025
Удобной для клинического применения является классификация неогнестрельных переломов нижней челюсти, предложенная Б.Д.Кабаковым и В.А.Малышевым. В соответствии с этой классификацией неогнестрельные переломы нижней челюсти подразделяют следующим образом.
А. По локализации.
1. Переломы тела челюсти:
а) с наличием зуба в щели перелома;
б) при отсутствии зуба в щели перелома.
2. Переломы ветви челюсти:
а) собственно ветви;
б) венечного отростка;
в) мыщелкового отростка: основания, шейки, головки.
Б. По характеру перелома.
Без смещения отломков, со смещением отломков.
В зависимости от количества линий перелома выделяют одиночные, двойные (два перелома на одной стороне челюсти), двусторонние (переломы на разных сторонах челюсти), множественные переломы. Одиночные переломы встречаются чаще, чем двойные; множественные — реже, чем одиночные и двойные.
В зависимости от направления щели перелома последние могут быть поперечными, продольными, косыми, аркообразными и зигзагообразными, крупно- и мелкооскольчатыми.
Перелом нижней челюсти может быть полным, проходящим через всю толщу костной ткани, и неполным (трещина), когда целость компактной пластинки какого-то отдела кости не нарушена.
Перелом нижней челюсти возникает вследствие воздействия силы, превышающей пластические возможности костной ткани. Такой перелом принято определять, как травматический. В случае снижения прочности костной ткани вследствие ее истончения при некоторых заболеваниях (злокачественная опухоль, кистозное новообразование, дисплазия, хронический остеомиелит и др.) может возникнуть перелом нижней челюсти под воздействием усилия, не превышающего физиологическое (пережевывание пищи). Такой перелом называют патологическим. Перелом может быть в месте приложения силы (прямой) или на некотором удалении от этого места и даже на противоположной стороне (непрямой или отраженный). Довольно часто прямые и непрямые переломы возникают одновременно, особенно при расположении линии перелома с двух сторон от средней линии.
Переломы тела нижней челюсти клинически подразделяют на переломы подбородочного отдела (в пределах от клыка до клыка); бокового отдела (в пределах от клыка до второго моляра); области угла (участок между вторым и третьим моля-
ром и лунка третьего моляра). В области угла перелом чаще проходит через лунку восьмого зуба.
Переломы нижней челюсти в пределах зубного ряда, как правило, открытые, так как при смещении отломков происходит разрыв не только надкостницы, но и связанной с ней слизистой оболочки альвеолярной части. Кроме того, в щели перелома часто расположен корень зуба, т.е. она сообщается через травмированную периодонтальную щель с полостью рта. Переломы за зубным рядом чаще всего закрытые, но могут быть открытыми в случае разрыва окружающих мягких тканей.
Механизм перелома нижней челюсти. Перелом нижней челюсти возникает вследствие перегиба, реже — сжатия и сдвига, крайне редко — отрыва. Нижняя челюсть имеет дугообразную форму. Действующая на нее сила вызывает выраженное напряжение костной ткани в наиболее изогнутых ее участках (подбородочный отдел, угол челюсти, область подбородочного отверстия и лунки клыка) и в тонких местах, т.е. наиболее вероятного изгиба ее (шейка нижней челюсти). Именно в этих наиболее «слабых» участках ломается нижняя челюсть вследствие перегиба. Могут быть различные клинические варианты переломов нижней челюсти как следствие перегиба:
прямой перелом бокового отдела тела нижней челюсти, если сила приложена на небольшой площади этого участка. Иногда этот прямой перелом может со четаться с непрямым в области мыщелкового отростка с противоположной стороны (рис. 12.5, а);
непрямой перелом с противоположной сто роны в области шейки нижней челюсти или угла ее, если сила приложена на большой площади бо кового отдела тела нижней челюсти (рис. 12.5, б);
непрямой перелом по средней линии, если сила приложена симметрично на широкой площа ди бокового отдела тела нижней челюсти с обеих сторон (рис. 12.5, в);
непрямой перелом в боковом отделе подбо родочной части тела нижней челюсти и в области шейки ее (с другой стороны), если сила приложе на с двух сторон несимметрично на широкой пло щади бокового отдела тела нижней челюсти (рис. 12.5, г). При смещении места приложения силы с одной стороны к углу тела нижней челюсти кзади произойдет прямой перелом в области угла и не прямой в боковом участке подбородочного отдела тела нижней челюсти (рис. 12.5, д);
непрямой перелом в области шеек нижней челюсти с двух сторон, если сила приложена на широкой площади в области подбородочного от дела тела нижней челюсти.
Таким образом, в результате перегиба прямой перелом нижней челюсти возникает в случае приложения силы на небольшой площади определенного участка челюсти. Перелом будет непрямым (с противоположной стороны), если сила приложена на значительной площади костной ткани.
челюсти подвергается сжатию. При этом происходят перелом костных балочек и нарушение структуры кости. Вследствие этого разъединяется кость по обеим сторонам от сжатого участка.
Щель перелома чаще происходит в среднем отделе ветви в поперечном ее направлении (рис. 12.6, б).
Смещение отломков происходит вследствие продолжающегося действия приложенной силы, под влиянием собственной их тяжести и в силу сокращения (тяги) прикрепленных к отломку мышц. Последний фактор является основным при переломе нижней челюсти, так как мышцы действуют постоянно и разнонаправленно.
Механизм отрыва. Им можно объяснить перелом венечного отростка нижней челюсти, когда сила приложена к подбородку сверху вниз или сбоку, а зубы плотно сжаты и височная мышца напряжена. Изолированное его повреждение наблюдается крайне редко.
Рис. 12.5. Возможные переломы нижней челюсти вследствие перегиба (по Вассмунду).
а — прямой перелом тела нижней челюсти; б — непрямой перелом нижней челюсти в области мыщелкового отростка или угла; в — непрямой перелом нижней челюсти в области подбородка; г — непрямой перелом нижней челюсти в области ее шейки и бокового отдела тела; д — прямой перелом нижней челюсти в области угла и непрямой в боковом отделе подбородочной области.
Механизм сдвига. Этот механизм может быть прослежен тогда, когда участок кости, подвергшийся воздействию силы, смещается по отношению к соседнему, имеющему точку опоры. Чаще всего вследствие сдвига возникает продольный перелом ветви нижней челюсти, когда сила приложена к области нижнего края угла челюсти в проекции венечного отростка на узкой площади и направлена вверх. Участок ветви нижней челюсти, не имеющий опоры для противодействия приложенной силе (передний отдел ветви с венечным отростком), смещается вверх по отношению к заднему отделу, имеющему опору в суставной впадине.
Нижняя челюсть перемещается под воздействием двух групп мышц: поднимающих (задняя группа) и опускающих (передняя группа) нижнюю челюсть. Все мышцы парные и прикрепляются в симметричных точках. Они действуют на всю нижнюю челюсть и усиливают действие друг друга.
Такой перелом более вероятен при отсутствии больших и малых коренных зубов на нижней челюсти или их антагонистов на стороне повреждения, при полном отсутствии зубов на нижней и верхней челюстях или если в момент нанесения травмы у пострадавшего был полуоткрыт рот (рис. 12.6, а).
Мышцы, опускающие нижнюю челюсть, слабее жевательных мышц, поднимающих ее. Это связано не только с их меньшим поперечным сечением, но и с воздействием этих мышц на подбородок под достаточно острым углом. Когда целость нижнечелюстной дуги нарушена и щель перелома проходит не по средней линии, образуется как минимум два неодинаковых по размеру отломка.
Механизм сжатия. Если две силы действуют навстречу друг другу и приложены на широкой площади, костная ткань подвергается компрессии. При воздействии силы снизу вверх на широком основании в области нижнего края угла нижней челюсти фиксированная в суставной впадине ветвь нижней
Жевательные мышцы каждой стороны воздействуют на неравные по величине отломки самостоятельно. Мышцы, опускающие нижнюю челюсть, не разъединены и прикреплены в основном на большом отломке в области внутренней поверхности подбородка. Они преодолевают сопротивление жевательных мышц, прикрепленных к нему, и тянут конец большого отломка вниз. Таким образом, сила жевательных мышц одной стороны, поднимающих челюсть, меньше силы всех мышц, опускающих нижнюю челюсть. Смещение отломков тем значительнее, чем больше площадь
прик] ломк; Же цы, г мыши внутр ската ной с]
люсп сторо сторо
Вис разну ного, ренне ной л сти б( новид височ ляетс* нечно ти ее ности напра Перед чел юс тянут
Мее тесНа! ется о отроет ности Прикр внутре (симм< ней че внутрь
При нижнк ностор тивопс
Лат 1а1егаН; височн (верхн( ло от гребня сухожи Нижня сти кр Верхня и суета става; мы шел ней че; ред и в
прикрепления оставшихся мышц к отдельным отломкам.
Жевательные мышцы (задняя группа) — мышцы, поднимающие нижнюю челюсть. Жевательная мышца (т.та8зе1ег) начинается от нижнего края и внутренней поверхности скуловой дуги, переднего ската суставного бугорка височной кости, височной фасции. Прикрепляется к жевательной бугристости наружной поверхности ветви нижней челюсти. Поднимает нижнюю челюсть. При одностороннем сокращении она смещает челюсть в сторону сокращения.
Височная мышца (тЛетрогаНз) имеет веерообразную форму и состоит из 3 слоев: поверхностного, среднего и глубокого. Начинается от внутреннего листка височной фасции в области височной линии, височной кости, височной поверхности большого крыла и подвисочного гребня клиновидной кости, теменной кости, чешуи лобной, височной поверхности скуловой кости. Прикрепляется к верхушке и наружной поверхности венечного отростка, ветви нижней челюсти в области ее вырезки, косой линии и внутренней поверхности ветви нижней челюсти. Мышечные пучки направлены кверху, кнаружи и несколько назад. Передние и средние пучки поднимают нижнюю челюсть, задние — выдвинутую вперед челюсть тянут назад.
Медиальная крыловидная мышца (т.р1егу§о1с1еи5 тесНаНз) имеет четырехугольную форму. Начинается от стенок крыловидной ямки крыловидных отростков клиновидной кости, наружной поверхности пирамидального отростка небной кости. Прикрепляется к крыловидной бугристости на внутренней поверхности угла нижней челюсти (симметрично с жевательной мышцей). От нижней челюсти мышечные пучки направлены вверх, внутрь и кпереди под углом 37—48°.
При двустороннем сокращении поднимает нижнюю челюсть и выдвигает ее вперед, при одностороннем — смещает нижнюю челюсть в противоположную сторону и вверх.
Латеральная крыловидная мышца (т.р1егуё01с1еи5 1а1ега11з) имеет треугольную форму и лежит в подвисочной ямке. Начинается двумя головками (верхней и нижней). Верхняя головка берет начало от подвисочной поверхности, подвисочного гребня большого крыла клиновидной кости и от сухожилия глубокого слоя височной мышцы. Нижняя головка отходит от наружной поверхности крыловидного отростка клиновидной кости. Верхняя головка прикрепляется к суставной сумке и суставному диску височно-нижнечелюстного сустава; нижняя головка — к крыловидной ямке мыщелкового отростка нижней челюсти. От нижней челюсти мышечные волокна направлены вперед и внутрь.
При двустороннем сокращении выдвигает нижнюю челюсть вперед, при одностороннем — сме-
Рис. 12.6. Перелом ветви нижней челюсти вследствие сдвига (а) и сжатия (б).
щает в противоположную сторону [Михайлов С.С., 1973].
Мышцы, опускающие нижнюю челюсть (передняя группа). 1. Двубрюшная мышца (т.(И§а81пси8): переднее брюшко (уеШег ап1епог) начинается от двубрюшной ямки нижней челюсти, заднее (уеШег ро81епог) — от сосцевидной вырезки височной кости. Промежуточное сухожилие, общее для переднего и заднего брюшка, прикрепляется к большому рогу подъязычной кости. От нижней челюсти мышечные пучки переднего брюшка направлены вниз и кзади. При фиксированной подъязычной кости переднее брюшко опускает нижнюю челюсть и смещает ее кзади.
Подбородочно-подъязычная мышца (т.§епю- Нуо1де8) начинается от внутренней подбородочной ости. Прикрепляется к телу подъязычной кости. От нижней челюсти мышечные пучки направлены вниз и кзади. При фиксированной подъязычной кости опускает нижнюю челюсть и несколько смещает ее кзади.
Подбородочно-язычная мышца (т.§епюё1о88и8) начинается от подбородочной ости и, веерообраз но расходясь, прикрепляется к язычной фасции на спинке языка. Мышца тянет язык вниз и кпе реди.
Подъязычно-язычная мышца (т.Ьуо§1о88из) начинается от больших рогов и верхнебоковых отделов тела подъязычной кости. Направляется вперед и кверху и вплетается в толщу языка, прикрепляясь к язычной фасции по краям языка и спинки его. Мышца тянет язык вниз и кзади.

Рис. 12.7. Направление мышечной тяги.
1 — височная мышца; 2 — наружная крыловидная; 3 — жевательная; 4 — внутренняя крыловидная; 5 — челюст-но-подъязычная; 6 — подбородочно-язычная; 7 — подбо-родочно-подъязычная.
Две последние мышцы при одновременном сокращении и укрепленной подъязычной кости смещает нижнюю челюсть кзади [Михайлов С.С., 1973].
Движения нижней челюсти обусловлены мышцами, поднимающими и опускающими ее. Зная функцию мышц и направление тяги их волокон на отломках, можно определить характер их смещения, что дает возможность не только установить, но и уточнить расположение перелома (рис. 12.7).
Сгруппировав мышцы в зависимости от их функции, можно получить достаточно четкое представление об их роли в смещении отломков нижней челюсти:
смещение нижней челюсти вверх (смыкание челюстей): височная, жевательная, медиальная крыловидная мышцы;
опускание нижней челюсти: двубрюшная, че- люстно-подъязычная, подбородочно-подъязыч- ная мышцы;
смещение нижней челюсти вперед: латеральная крыловидная, медиальная крыловидная (при двустороннем сокращении), жевательная (по верхностный слой);
смещение нижней челюсти назад, ранее выдви нутой кпереди: височная (задние пучки), дву брюшная и подбородочно-подъязычная мыш цы;
смещение нижней челюсти влево: правые лате ральная и медиальная крыловидные; левые ви сочная, двубрюшная, челюстно-подъязычная и подбородочно-подъязычная мышцы;
— смещение нижней челюсти вправо: левые латеральная и медиальная крыловидные, правые височная, двубрюшная, челюстно-подъязычная и подбородочно-подъязычная мышцы.
Таким образом, передняя группа мышц смещает концы длинного отломка вниз. Челюстно-подъязычная мышца поворачивает его вдоль продольной оси, наклоняя зубы в оральную сторону. Латеральная и в меньшей степени медиальная крыловидные мышцы смещают больший отломок в сторону перелома. Жевательная и височная мышцы поднимают меньший отломок кверху. Кроме того, жевательная мышца смещает основание малого отломка кнаружи, альвеолярную часть с зубами наклоняя орально. Латеральная крыловидная мышца на стороне малого отломка смещает его несколько кнутри. При этом смещение отломков нижней челюсти происходит вверх, вниз, кнутри, кнаружи. Возможно смещение их в горизонтальной плоскости (по длине), когда концы фрагментов соприкасаются своими боковыми поверхностями. Это чаще встречается при косых переломах или в ситуациях, когда боковое смещение превышает поперечное сечение сломанного участка кости. При переломах мыщелкового отростка сместившиеся отломки чаще располагаются под углом друг к другу. В клинической практике указанные варианты смещения отломков сочетаются между собой.
Клиническая картина и диагностика переломов нижней челюсти. При переломах нижней челюсти жалобы больных могут быть разнообразными в зависимости от локализации перелома и его характера. Больных всегда беспокоят боли в определенном участке челюсти, которые усиливаются при ее движении. Откусывание и пережевывание пищи, особенно жесткой, резко болезненно, иногда невозможно. Некоторые больные отмечают онемение кожи подбородка и нижней губы (чаще при разрыве нижнелуночкового нерва), неправильное смыкание зубов. Могут быть головокружение, головная боль, тошнота.
Собирая анамнез, следует выяснить, где, когда, при каких обстоятельствах получена травма, ее характер (производственная, непроизводственная и др.). Необходимо установить время и место травмы, сведения, характерные для травматических повреждений головного мозга или основания черепа (потеря сознания, ретроградная амнезия, тошнота, рвота, кровотечение из ушей и др.). Эти данные фиксируют в истории болезни, так как они не только имеют существенное значение для диагностики повреждения и тактики ведения больного, но и определяют характер выдаваемого документа о нетрудоспособности, могут представлять интерес для правоохранительных органов и учреждений социального страхования.
Механизм смещения отломков нижней челюсти. Смещение отломков под влиянием мышц.
Переломы нижней челюсти обусловлены особенностями её анатомии, а смещение отломков - преимущественно сокращением прикрепляющихся к ней мышц.
Нижняя челюсть (mandibula) - непарная подвижная кость подковообразной формы. В её толще проходит нижнечелюстной канал, где располагаются нижнеальвеолярный нерв, артерия и вена. В ветви нижней челюсти различают венечный и мыщелковый отростки. К нижней челюсти прикрепляются жевательные мышцы, которые условно делят на две группы. Поднимающая группа (задняя) -жевательная, височная, медиальная и латеральная крыловидные мышцы. Мышцы, опускающие нижнюю челюсть (передняя группа): двубрюшная, челюстно-подъязычная, подбородочно-подъязычная, подбородочно-язычная и подъязычно-язычная.
Жевательные мышцы нижней челюсти и направление их тяги: а) 1 - m. temporalis; 2 - m. masseter; 3 - m. pterygoideus medialis; 4 - m. pterygoideus lateralis; 5 - m. geniohyoideus; 6 - m. digastricus; 7 - m. mylohyoideus; б) 1 - m. temporalis; 2 - m. digastricus; 3 - m. hyoglossus; 4 - os hyoideum; 5 - m. mylohyoideus
Классификация переломов нижней челюсти
Выделяют переломы, полученные на производстве и вне его (производственная и непроизводственная травма). Последнюю подразделяют на бытовую, транспортную, уличную, спортивную и др. Превалирует непроизводственная травма (более 90 %), среди которой ведущее место занимает бытовая травма (более 75 %).
Наиболее употребительной является классификация Б.Д. Кабакова и В.А. Малышева, в соответствии с которой переломы нижней челюсти подразделяют на следующие типы.
По локализации.
- Переломы тела челюсти:
- с наличием зуба в щели перелома;
- с отсутствием зуба в щели перелома.
- Переломы ветви челюсти:
- собственно ветви;
- венечного отростка;
- мыщелкового отростка: основания, шейки, головки.
По характеру перелома.
- без смещения отломков;
- со смещением отломков;
- линейные;
- оскольчатые.
Перелом нижней челюсти возникает вследствие воздействия на неё силы, которая превышает пластические возможности костной ткани. Такой перелом называют травматическим. Если челюсть ломается под воздействием усилия, не превышающего физиологического, то перелом определяют как патологический.
Если перелом возникает в месте приложения силы, его называют прямой, если на некотором удалении от места удара - то непрямой или отражённый.
В зависимости от направления щели перелома его подразделяют на продольный, поперечный, косой и зигзагообразный. Кроме того, он может быть крупно- и мелкооскольчатым.
По количеству выделяют одиночные, двойные и множественные переломы. Они могут располагаться с одной стороны челюсти - односторонние или с двух сторон - двусторонние. Одиночные переломы встречаются чаще двойных, множественные - реже, чем одиночные и двойные.
Переломы тела нижней челюсти подразделяют на:
- переломы подбородочного отдела (в пределах от клыка до клыка);
- переломы бокового отдела (в пределах от клыка до второго моляра);
- переломы в области угла (участок межзубного промежутка между вторым и третьим моляром и лункой третьего моляра).
Переломы в пределах тела нижней челюсти в пределах зубного ряда всегда открытые, так как слизистая оболочка альвеолярной части неподвижна и в случае смещения отломков разрывается вместе с надкостницей, при этом щель перелома сообщается с полостью рта. Кроме того, если перелом проходит через лунку зуба, то периодонт его частично или полностью разрывается. В этом случае костная рана всегда сообщается с полостью рта через периодонтальную щель.
Переломы ветви нижней челюсти обычно закрытые. При переломе мыщелкового отростка различают переломы основания, шейки и головки.
В области тела нижняя челюсть ломается в 67 %, ветви - в 33 %, угла - в 37 % и подбородка - в 5 %.
Механизм переломов нижней челюсти
Выделяют четыре механизма перелома нижней челюсти: перегиб, сдвиг, сжатие, отрыв.
Схема механизмов переломов нижней челюсти (по Вассмунду): а) 1 - прямой перелом вследствие перегиба в области тела нижней челюсти; 2 - двойной непрямой перелом вследствие перегиба в области тела нижней челюсти и мыщелкового отростка; 3 - непрямой перелом вследствие перегиба в области подбородка; 4 - двусторонний перелом нижней челюсти вследствие перегиба в области угла слева (прямой) и подбородка справа (непрямой); 5 - двусторонний непрямой перелом нижней челюсти в области мыщелковых отростков; б) 1- перелом ветви нижней челюсти вследствие сдвига; 2 - перелом ветви вследствие сжатия; 3 - перелом венечного отростка вследствие отрыва
Нижняя челюсть при ударе испытывает высокое напряжение в области наиболее изогнутых и тонких участков: мыщелковый отросток, угол челюсти, ментальное отверстие, клык. В этих «слабых» местах она ломается из-за перегиба. При этом прямой перелом нижней челюсти чаще возникает в месте приложения силы на нешироком участке, а непрямой - если сила приложена на значительной площади костной ткани.
Механизм сдвига. Вследствие сдвига происходит продольный перелом ветви нижней челюсти. При этом сила удара приложена снизу вверх в области основания нижней челюсти, кпереди от угла на узком участке в проекции венечного отростка, т.е. на участке кости, не имеющем опоры. Этот участок при переломе сдвигается относительно другого участка этой кости, имеющего опору.
Механизм сжатия может проявиться, если действующая и противодействующая силы направлены навстречу друг другу. При нанесении удара снизу вверх по основанию тела нижней челюсти в области угла на широкой площади ветвь нижней челюсти, фиксированная в суставной впадине, подвергается сжатию, вследствие чего она ломается в поперечном направлении - чаще в среднем отделе.
Механизм отрыва может проявиться, когда сила удара направлена сверху вниз на область подбородка и при этом зубы плотно сжаты. В этом случае происходит рефлекторное сокращение всех жевательных мышц. Мощная височная мышца, будучи прикреплённой к тонкому венечному отростку, может оторвать его от ветви челюсти. Не все авторы признают реальность осуществления такого механизма перелома венечного отростка.
Причины смещения отломков
Смещение отломков нижней челюсти происходит вследствие:
- сокращения прикреплённых к отломкам жевательных мышц (определяющий фактор);
- продолжающегося действия приложенной силы;
- собственной тяжести отломка.
Нижняя челюсть находится под воздействием двух групп мышц. Все мышцы парные и прикрепляются в симметричных точках. Мышцы, опускающие нижнюю челюсть, слабее мышц, поднимающих её.
Нижняя челюсть объединяет поднимающие и опускающие мышцы в единую систему. Синхронность в её работе исчезает, когда целостность нижнечелюстной дуги нарушена и образуются два неодинаковых по размерам отломка. Жевательные мышцы каждой стороны (задняя группа) воздействуют на неравные по величине отломки разрозненно. В то же время мышцы, опускающие нижнюю челюсть (передняя группа), практически не разъединены. Они преодолевают сопротивление жевательных мышц, прикреплённых к большому отломку, и смещают его конец вниз. Смещение отломков тем значительнее, чем больше площадь прикрепления мышц на каждом из отломков.
Таким образом, смещение отломков нижней челюсти может происходить вверх, вниз, кнутри и кнаружи.
Клиническая картина переломов нижней челюсти
При переломах нижней челюсти жалобы больных разнообразны и во многом определяются локализацией перелома и его характером.
Больных беспокоят припухлость в околочелюстных тканях, боль в нижней челюсти, которая усиливается при открывании и закрывании рта, неправильное смыкание зубов. Откусывание и пережёвывание пищи резко болезненно, иногда - невозможно. У некоторых больных отмечается онемение кожи в области подбородка и нижней губы. При наличии сотрясения головного мозга может быть головокружение, головная боль, тошнота и рвота.
Собирая анамнез, врач должен выяснить, когда, где и при каких обстоятельствах получена травма. По клиническим признакам (сохранение сознания, контактность, характер дыхания, пульса, уровень АД) оценивается общее состояние больного. Необходимо исключить повреждение других анатомических областей.
При обследовании определяется нарушение конфигурации лица за счёт посттравматического отёка мягких тканей, гематомы, смещения подбородка в сторону от средней линии. На коже лица могут быть ссадины, кровоподтеки, раны.
Гематома в области подбородка у больного с переломом нижней челюсти в этой области
При пальпации нижней челюсти выявляется костный выступ, дефект кости или болезненная точка, чаще в области наиболее выраженной припухлости мягких тканей или гематомы.
Важный диагностический критерий - положительный симптом нагрузки (болевой симптом): при надавливании на заведомо неповреждённый участок нижней челюсти в области перелома появляется резкая боль за счёт смещения отломков и раздражения повреждённой надкостницы.
Варианты надавливания на нижнюю челюсть пальцем руки для определения локализации перелома - «симптом нагрузки»
Если в результате повреждения челюсти и смещения отломков происходит разрыв или травма нижнего альвеолярного нерва, то на стороне перелома в области кожи нижней губы и подбородка будет отсутствовать болевая реакция, что устанавливается с помощью острой иглы.
Для установления перелома мыщелкового отростка изучают объём движения головки в суставной впадине. Для этого врач вводит пальцы в наружный слуховой проход больного с обеих сторон и прижимает их к передней стенке последнего. Головки пальпируют во время движения челюсти, при этом наличие или отсутствие синхронного движения головок, недостаточность его амплитуды будет свидетельствовать в пользу перелома мыщелкового отростка.
Во время открывания и закрывания рта определяется уменьшение амплитуды движения нижней челюсти, боль и смещение подбородка в сторону от средней линии (в сторону перелома).
Прикус бывает нарушен из-за смещения отломков за счёт неравномерной тяги жевательных мышц. При этом зубы малого отломка будут контактировать с антагонистами, а на большем отломке контакт зубов с антагонистами будет отсутствовать почти на всём протяжении, кроме моляров.
Варианты смещения отломков нижней челюсти (схема): 1 - перелом нижней челюсти в области клыка слева: малый отломок смещается вверх и внутрь, большой - вниз и в сторону перелома; 2 - перелом нижней челюсти в области угла справа: малый отломок смещается вверх и внутрь, большой - вниз и кнаружи; 3 - двусторонний перелом нижней челюсти в области углов: обе ветви нижней челюсти смещаются внутрь и вверх, большой отломок - вниз и кзади; 4 - двусторонний перелом в области подбородка: малый отломок смещается вниз и кзади; оба больших отломка смещаются внутрь, кверху (дистальный отдел) и частично - вниз (передний отдел)
Нарушение прикуса (контакт моляров на стороне перелома) у больного с переломом нижней челюсти в области моляров
Перкуссия зуба, находящегося в щели перелома, может быть болезненной.
Особый диагностический признак перелома тела нижней челюсти - образование гематомы не только в преддверии рта, но и с язычной стороны альвеолярной части. При ушибе мягких тканей она определяется только с вестибулярной стороны.
Иногда в полости рта обнаруживается рваная рана слизистой оболочки альвеолярной части, которая распространяется в межзубной промежуток, где проходит щель перелома.
Абсолютно достоверным признаком перелома является симптом подвижности отломков челюсти. Врач фиксирует предполагаемые отломки пальцами обеих рук в области основания челюсти и со стороны зубов. Далее осторожно производит покачивание отломков «на излом», при этом происходит нарушение целостности зубной дуги вследствие смещения отломков.
Определение подвижности отломков нижней челюсти с помощью пальцев двух рук (симптом подвижности отломков)
В случае перелома в области угла удобнее фиксировать меньший отломок в области ветви нижней челюсти, расположив первый палец левой руки со стороны полости рта на её переднем крае, а остальные пальцы (снаружи) - на заднем её крае. Пальцами правой руки захватывают большой отломок и смещают его так, как изложено выше.
Данные клинической картины необходимо подтвердить результатами рентгенологического исследования. Рентгенограммы позволяют уточнить топическую диагностику перелома, выраженность смещения отломков, наличие костных осколков, отношение корней зубов к щели перелома. Обычно делают два рентгеновских снимка: в прямой и боковой проекциях, или ортопантомограмму. При переломах мыщелкового отростка дополнительную информацию дают специальные укладки для ВНЧС.
Рентгенограмма нижней челюсти в боковой проекции при её переломе в области угла: незначительное смещение отломка вследствие наличия зуба мудрости на меньшем отломке
Рентгенограмма нижней челюсти в боковой проекции при её переломе в области угла и отсутствии зубов на меньшем отломке: значительное смещение меньшего отломка вверх до соприкосновения альвеолярной части с коронкой зуба мудрости
Рентгенограмма нижней челюсти в прямой проекции. Перелом мыщелкового отростка со смещением кнаружи
Варианты расположения плоскостей при переломе нижней челюсти
При множественных переломах нижней челюсти смещение отломков кажется хаотическим. На самом деле оно имеет свои закономерности и зависит от тяги прикреплённых к ним мышц, веса отломка, направления повреждающей силы, локализации щели перелома и скоса плоскости перелома. Средние отломки могут поворачиваться внутрь, заходить друг за друга, подтягиваться кверху или смещаться вниз. Это может сопровождаться разрывом слизистой оболочки альвеолярной части, выраженным нарушением прикуса. Могут быть сопутствующие переломы и вывихи зубов. Нередко отломки свободно смещаются из-за разрыва мышц. При таких переломах часто возникают существенные повреждения мягких тканей и сочетанная черепно-мозговая травма.
Источник: Хирургическая стоматология : учебник (Афанасьев В. В. и др.); под общ. ред. В. В. Афанасьева. - М. : ГЭОТАР-Медиа, 2010
Механизм смещения отломков челюстей
Как известно, при переломах костей очень часто наступает смещение их отломков, которое может быть первичным и последующим. Первичное возникает под непосредственным действием травмирующего агента, а к последующему обычно приводит неправильная тактика лечения либо некорректная транспортировка больного. При переломах нижней челюсти особенно часто имеет место смещение вследствие тяги мышц.
Ввиду того, что перелом кости характеризуется не только лишь анатомическими изменениями, но также и расстройствами функции, отмечается нарушение физиологического равновесия мышц. Иногда к нему приводят прямые удары, однако чаще изменение естественного баланса мускулатуры развивается вне зависимости от повреждения мышцы, часто выступая в роли следствия сокращения расстояния между пунктами фиксации мышц на фоне перелома кости. Также мышцы травмируются острыми краями раздробленных костей, и, помимо этого, страдают от химических раздражителей, вырабатывающихся в воспалительном очаге и вызывающих повышенную рефлекторную возбудимость.
Все эти перечисленные факторы усиливают сокращение мышцы и приводят к так называемой травматической рефлекторной гипертонии, что и влечёт за собой смещение отломков. Но здесь следует учитывать и другую особенность: кроме сократительной способности мышцы, свою лепту в развитие данного патологического процесса вносит и другое свойство мускулатуры - эластическая ретракция, из-за чего смещение становится стойким.
Смещение отломков под влиянием всех этих причин может наблюдаться при переломе абсолютно любой кости в человеческом теле, но вследствие того, что динамика и статика нижней челюсти весьма специфичны, особенно часто эта проблема проявляется именно при её повреждениях.
В норме, в отсутствие каких-либо проблем, касающихся данной анатомической структуры, работа одноимённых парных жевательных мышц протекает согласованно. При нарушении целостности нижней челюсти вследствие бытовой, производственной или другого рода травмы либо огнестрельного ранения, а также при переломах нижней челюсти на фоне патологического процесса чётко поставленная работа прикрепляющихся к ней мышц нарушается: страдает согласованный антагонизм одноимённых мышц и исчезает двусуставность, в результате чего отломки и смещаются.
На основании тяги жевательных мышц и характера смещения костных отломков специалисты могут довольно чётко установить место перелома. К примеру, если он произошёл в области фронтальных зубов (так называемый срединный перелом) благодаря равномерной тяге одноимённых контрлатеральных мышц при свежей травме заметного смещения может и не произойти, а будет лишь незначительный наклон костных отломков с большим расхождением в районе нижней части нижней челюсти.
Также смещение может отсутствовать и в том случае, когда место перелома находится в области угла нижней челюсти (речь идёт об угловом переломе). Объясняется это наличием своеобразной муфты из мышц-поднимателей, фиксирующихся здесь.
При одностороннем переломе на уровне первого премоляра или клыка образуется два неравных между собой отломка: один малый, другой большой. Первый под влиянием тяги наружной крыловидной мышцы смещается кпереди и вовнутрь, уходя в одновременно вверх из-за тяги височной мышцы и других мышц-поднимателей. При этом нижний край малого отломка несколько разворачивается наружу под влиянием тяги челюстно-подъязычной и жевательной мышц, действующих в такой ситуации наподобие пары сил.
(495) 506-61-01 - где лучше оперировать головной мозг
Клиника реконструктивной хирургии лица А.Амира - Израиль
Доктор Амир является одним из ведущих специалистов Израиля в области пластической хирургии и обладает богатым опытом в проведении сложных восстановительных операций, в частности, в области головы и шеи. За годы своей практики д-р Амир помог тысячам пациентов со сложнейшими травмами в буквальном смысле восстановить свое лицо.Подробнее
Центр реконструктивной хирургии головы и шеи - МЦ им.Сураски
Профессор Дан Флис, лор-онколог, заведующий отделением отоларингологии - хирургии головы и шеи и челюстно-лицевой хирургии в МЦ Сураски (Ихилов), Тель-Авив, является выдающимся специалистом в области реконструктивной онко-хирургии головы и шеи Подробнее
Перелом нижней челюсти - симптомы и лечение
Что такое перелом нижней челюсти? Причины возникновения, диагностику и методы лечения разберем в статье доктора Козлова Петра Юрьевича, стоматолога со стажем в 7 лет.
Над статьей доктора Козлова Петра Юрьевича работали литературный редактор Маргарита Тихонова , научный редактор Сергей Федосов
Определение болезни. Причины заболевания
Перелом нижней челюсти — это нарушение целостности кости в одном или нескольких отделах.

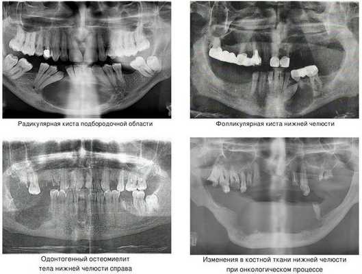
Наиболее частой причиной возникновения перелома нижней челюсти является травматический фактор. В ряде случаев речь может идти о патологическом переломе из-за деструктивных процессов в костной ткани. [1] К таким патологическим процессам относятся:
- кисты челюстей;
- остеомиелит (гнойное воспаление костных тканей);
- онкологический процесс.
Кисты челюстей в основной массе протекают бессимптомно, медленно, но верно разрешая костную ткань. Часто патологический перелом вызвают радикулярные (корневые) и фолликулярные кисты. [2] Первые связаны с изменениями в периапикальных тканях одного или нескольких зубов, вторые являются результатом нарушения прорезывания зубов, чаще нижних зубов мудрости.
При онкологическом процессе нижняя челюсть может быть как первичным очагом, так и местом метастазирования посредством либо прорастания из близлежащих областей, либо распространением с током крови или лимфы. [3] Патологический процесс распространяется до тех пор, пока не разрушит костную ткань нижней челюсти до той стадии, в которой обычное пережевывание пищи может перевести к перелому.

По собственным наблюдениям, считаю, что переломы нижней челюсти можно отнести к сезонным заболеваниям: пик частоты наступает с приходом весны, спад — ближе к зиме. Сезонность объясняется получением травмы в ходе драк, чаще уличных.
Перелом верхней челюсти - симптомы и лечение
Что такое перелом верхней челюсти? Причины возникновения, диагностику и методы лечения разберем в статье доктора Горбань Виталия Валерьевича, челюстно-лицевого хирурга со стажем в 11 лет.
Над статьей доктора Горбань Виталия Валерьевича работали литературный редактор Юлия Липовская , научный редактор Сергей Федосов и шеф-редактор Лада Родчанина
Перелом верхней челюсти — это полное или частичное нарушение анатомической целостности верхней челюсти под действием нагрузки, превышающей её прочность.

Самая частая причина переломов — влияние травмирующих агентов [1] [2] [3] . На второе место следует поставить хирургические переломы верхней челюсти при проведении операций по нормализации прикуса и изменению пропорций лица [4] [5] [9] [10] [11] .
Переломы верхней челюсти не настолько частая патология, как переломы нижней челюсти. Это связано в тем, что верхняя челюсть не самая "легкодоступная" для ударов часть лица. Так, видный травматолог П.З. Аржанцев приводит данные статистики: травмы верхней челюсти составляют 3,3 % случаев от всех травм челюстно-лицевой области [6] [7] [8] . Чаще всего с этой ситуацией сталкиваются молодые мужчины, ведущие активный образ жизни, и спортсмены, занимающиеся контактными единоборствами.
Одной из самых частых причин локализованных переломов верхней челюсти являются бытовые травмы. Основной причиной сочетанных повреждений являются дорожно-транспортные происшествия и катастрофы. Также перелом верхней челюсти может произойти при огнестрельных ранениях, однако в мирное время такие случаи встречаются довольно редко.
При обнаружении схожих симптомов проконсультируйтесь у врача. Не занимайтесь самолечением - это опасно для вашего здоровья!
Симптомы перелома верхней челюсти
Симптомы переломов верхней челюсти определяются характеристиками травмы. Например, возможен отёк и гематомы мягких тканей средней трети лица, боль (в покое и при смыкании зубов), подвижность верхней челюсти и/или верхней челюсти и костей средней зоны лица (зависит от уровня перелома), онемение кожи подглазничных областей, слизистой нёба, слизистой альвеолярного отростка, подкожная эмфизема (скопление воздуха), носовые кровотечения и кровотечения из разрывов слизистой полости рта, деформации средней зоны лица различной выраженности.
В более тяжёлых случаях — симптом "очков" (гематомы вокруг глаз), ликворея (истечение цереброспинальной жидкости из отверстий в твёрдой мозговой оболочке, образовавшихся при переломе основания черепа) [3] . Еще один распространённый симптом — нарушение прикуса: те или иные нарушения прикуса наблюдаются в большинстве случаев переломов верхней челюсти.

Очень часто перелом верхней челюсти сопровождается сотрясением головного мозга. Основными симптомами сотрясения являются: кратковременный эпизод потери сознания, головная боль, головокружение, тошнота, часто возникает рвота, шум в ушах, появляется потливость, нарушается сон. Жизненно важные функции не нарушаются.
Симптомы переломов прогрессируют в первые минуты и часы после травмы. При сочетании перелома верхней челюсти с переломом основания черепа могут отмечаться нарушения обоняния. Ощущение инородного тела в горле — не самый явный симптом — может возникать при значительном смещении верхней челюсти кзади, в сторону носо- и ротоглотки. При таких дислокациях больные чаще жалуются на нарушение проходимости верхних дыхательных путей.
Патогенез перелома верхней челюсти
Чтобы понимать, как ломается верхняя челюсть следует сначала остановиться на её анатомии. Верхняя челюсть (лат. maxilla) — парная кость, которая у взрослого человека представляет собой единую систему. Она имеет две больших полости (верхнечелюстные пазухи) и участвует в формировании ещё трёх полостей — глазницы и полости носа. По своему строению это ажурная, тонкая структура, находящаяся в передне-средней части черепа.
Она соединена с другими костями лицевого скелета и основания черепа: скуловой, лобной, носовой, слёзной, решётчатой, клиновидной, нёбной.

Выделяют так называемые отростки верхней челюсти: скуловой отросток (соединяется со скуловой костью и формирует ширину лица ), лобный отросток (формирует плавность профиля спинки носа и опосредованно участвует в формировании очертаний глазниц), нёбный отросток (формирует твёрдое небо, срастается по средней линии нёбного шва с противоположной верхнечелюстной костью) и альвеолярный отросток (содержит в себе зубы).

Верхняя челюсть представляет собой достаточно прочную структуру, благодаря местам особой прочности — контрфорсам, которые представляют собой костные утолщения. Различают лобно-носовой, альвеолярно-скуловой, крыловидно-нёбный и нёбный контрфорсы. Забегая вперёд, стоит сказать, что при оперативном лечении переломов верхней челюсти эти "линии" используются для надёжной, ригидной фиксации (остеосинтеза) повреждённых костей.

Однако в строении верхней челюсти есть и участки сниженной прочности. Они находятся вдоль швов, соединяющих верхнюю челюсть с другими костями лицевого скелета, а также с костями основания черепа.Таким образом, можно понять, что при чрезмерном механическом воздействии верхняя челюсть чаще всего ломается именно в местах перехода от прочных участков к слабым или просто в слабых местах [4] .
По этой причине линия перелома часто проходит не строго по анатомическим границам верхней челюсти, а смещается на соседние, связанные с ней кости. Это объясняет, почему в практике челюстно-лицевых хирургов встречаются не столько переломы самой верхней челюсти, сколько её "выламывание" с фрагментами других костей лица и основания черепа.
Классификация и стадии развития перелома верхней челюсти
Чаще всего переломы классифицируют по Рене Ле Фору. Этот французский хирург систематизировал и описал формирующиеся повреждения костей средней зоны лица экспериментально: на головы свежих человеческих трупов он оказывал разные по направлению и силе воздействия по типу тупой травмы. Именно так и было обнаружено, что большинство линий переломов проходит по трём типам [1] :
- | тип — нижний, или горизонтальный тип, перелом Герена — Ле Фора. Перелом проходит над альвеолярным отростком и нёбным отростком через боковую и переднюю поверхности верхней челюсти, от крыловидных отростков основной кости к краю грушевидного отверстия.
- || тип — средний, или пирамидальный перелом, суборбитальный перелом. Линия перелома проходит через корень носа, внутреннюю стенку глазницы и далее — через нижнеглазничную щель кпереди по нижней стенке глазницы к месту альвеолярно-скулового контрфорса с переломом крыловидных отростков. Проще говоря, верхняя челюсть единым блоком "отсоединяется" от остальных костей средней зоны лица.
- ||| тип — верхний тип (поперечный, суббазальный, он же черепно-лицевое разъединение). Самый грозный вид перелома верхней челюсти, когда происходит отрыв верхней челюсти вместе со скуловыми костями от мозгового черепа. Как правило сочетается с тяжёлыми повреждениями головного мозга [3] .

Отличительные признаки каждого типа проявляются по уровню подвижности фрагментов, тяжести состояния больного и данным дополнительных методов исследования (компьютерной томографии).
Помимо классификации Ле Фора существует классификация переломов по Вассмунду, которая отличается лишь отсутствием в линии перелома костей носа. Различают также изолированные переломы отростков, поверхностей и частей верхней челюсти. Однако каждый челюстно-лицевой хирург, занимающийся травматологией, знает, что в жизни всё происходит не совсем так, как написано в книгах. Очень часто верхняя челюсть ломается по другим схемам. Поэтому, готовясь оперировать пациента, хирурги сталкиваются с очень трудоёмкой задачей — им необходимо понять, как собрать этот многооскольчатый "конструктор" с максимальным восстановлением анатомии и функции челюсти через минимальные разрезы с минимальным нарушением кровоснабжения и максимальной стабильностью.
Осложнения перелома верхней челюсти
Все осложнения, связанные с переломами верхней челюсти, можно разделить на ранние и отсроченные.
К ранним осложнениям стоит отнести: кровотечения, развитие подкожной эмфиземы, нарушение прикуса, потерю зубов.
Поздние осложнения переломов более многообразны. Во многом развитие поздних осложнений зависит от характера полученной травмы, уровня перелома и своевременности оказанной помощи. Самыми частыми осложнениями являются:
- формирование посттравматических деформаций средней зоны лица;
- нарушения прикуса;
- несращение переломов челюсти;
- развитие хронических верхнечелюстных синуситов из-за нарушения целостности слизистой пазух и нарушения дренажной функции пазух;
- нарушение носового дыхания;
- формирование стойких невритов (воспаления нервов) подглазничных нервов из-за ущемления рубцово-изменёнными отломками сосудисто-нервных пучков. При этом утрачивается чувствительность кожи подглазничной области, слизистой полости рта и зубов в зоне иннервации подглазничного нерва.
Самым грозным осложнением высокого перелома верхней челюсти сочетанного с переломом черепа является ликворея (истечение ц ереброспинальной жидкости ). Кости основания черепа плотно связаны с твёрдой мозговой оболочкой и при нарушении её целостности требуется серьёзное лечение пациента совместно с нейрохирургами. Истечение ликвора из полости черепа может происходить через слуховые проходы, но чаще — через полость носа [3] .
К редким осложнениям следует отнести развитие менингита (воспаления мозговых оболочек) и других внутричерепных воспалительных осложнений.

Однако самыми частыми осложнениями переломов верхней челюсти являются стойкие нарушения прикуса и асимметрии лица — следствие несвоевременного обращения пациентов к врачу и неправильного сращения отломков. Самый эффективный способ борьбы с осложнениями — при получении травмы и особенно при подозрении на перелом верхней челюсти необходимо своевременно обратиться к челюстно-лицевым хирургам или медработникам других специальностей.
Диагностика перелома верхней челюсти
Правильная постановка диагноза базируется на сборе анамнеза, осмотре и рентгенологической картине.
При осмотре может определяться:
- подвижность фрагментов верхней челюсти или всего верхнечелюстного комплекса;
- "ступеньки" из-за смещения костных фрагментов при прощупывании верхней челюсти через кожу;
- нарушение чувствительности кожи подглазничных областей, зубов и слизистой полости рта;
- кровотечение из носа или полости рта;
- нарушения зрения (двоение в глазах);
- нарушения движения глазного яблока;
- "симптом верхнеглазничной щели" при высоких переломах верхней челюсти в сочетании с нарушением целостности глазницы: отсутствие движений глазного яблока, опущение верхнего века, отсутствие чувствительности верхнего века и кожи лба, расширение зрачка;
- экзофтальм (смещение глазного яблока вперёд );
- звуки "потрескивания" в области линии перелома при смыкании зубов;
- нарушение носового дыхания.
Симптоматика переломов костей средней зоны лица многообразна, поэтому для постановки точного диагноза требуется выполнение рентгенологической диагностики. Самым современным и точным методом является компьютерная томография . С её помощью челюстно-лицевой хирург имеет возможность точно определить локализацию линии разъединения костных фрагментов и тип перелома, выбрать наиболее адекватную и малотравматичную тактику лечения [11] .

При подозрении на перелом верхней челюсти обязательна консультация невролога, так как в абсолютном большинстве случаев нарушение целостности костей лицевого скелета сопровождается сотрясением головного мозга. При констатации перелома основания черепа пациента обязательно должен осмотреть нейрохирург, офтальмолог, терапевт и иногда лор-специалист. При сочетанных травмах (например при ДТП) привлекаются общие хирурги, травматологи.
Лечение перелома верхней челюсти
При оказании доврачебной помощи пациенту нужно остановить кровотечение, предупредить аспирацию ( проникновение в дыхательные пути) крови и рвотных масс. Если нижняя челюсть не пострадала и имеется достаточное количество зубов на обеих челюстях, необходимо наложить пращевидную повязку, прижав нижнюю челюсть к верхней или выполнить иммобилизацию (обездвиживание) жёсткой подбородочной пращой [4] .

При рисках нарушения дыхания требуется немедленное введение воздуховода для сохранения проводимости дыхательных путей [1] . Кроме того, необходимо провести обезболивание и быструю транспортировку больного в специализированные медучреждения. Самое важное на этом этапе — сохранить жизнь и здоровье пациента.
Существует множество методов нехирургического лечения переломов верхней челюсти, например, разного типа повязки и наружные фиксации, которые в настоящее время практически не применяются.
Самым частым методом ортопедического лечения переломов является двучелюстное шинирование — наложение на зубные ряды шин-скоб с репозицией отломков и фиксацией прикуса в привычном для больного положении. Этот метод консервативен и малотравматичен, но в ряде случаев не позволяет получить хорошей фиксации фрагментов верхней челюсти, особенно при высоких и сложных переломах. В среднем при переломах верхней челюсти требуется обездвиживание и ограничение жевательной нагрузки на срок 4-5 недель.
Самым современным и адекватным методом лечения на данный момент является остеосинтез (фиксация титановыми накостными конструкциями) переломов верхней челюсти. Это хирургическое вмешательство, выполняемое из внутриротовых разрезов. При таком варианте лечения можно точно сопоставить и зафиксировать фрагменты для создания условий их сращения [7] .

При лечении высоких переломов также используется коронарный доступ, который позволяет создать косметичный и широкий доступ к костям всей средней зоны лица и глазницам [5] . Своевременное выполнение остеосинтеза позволяет предотвратить поздние послеоперационные осложнения, облегчить реабилитацию пациента и ускорить сроки выздоровления.
Переломы с грубыми нарушениями целостности верхней челюсти и значительными смещениями отломков в сторону глотки рекомендуется лечить хирургическими методами. Однозначного мнения относительно других видов переломов нет — тактика диктуется состоянием больного и конкретной клинической ситуацией.
Стоит отметить, что очень важно постоянное ношение межчелюстной фиксации для плотного контакта фрагментов и исключения их подвижности, особенно под действием жевательной нагрузки [9] . Также необходимы качественная гигиена полости рта и наблюдение пациента у челюстно-лицевого хирурга
Восстановление после переломов занимает от четырёх до шести недель, в зависимости от характера перелома, особенностей организма пациента и метода лечения.
Пациенты с переломами верхней челюсти на ранних сроках должны питаться жидкой пищей, на самых поздних сроках — мягкой. Приём жёсткой пищи и активное жевание следует ограничить. Остальные рекомендации даются исходя из общесоматических и неврологических нарушений (постельный режим и т. д.).
Прогноз. Профилактика
Прогноз перелома верхней челюсти — относительно благоприятный. Самыми неприятными из осложнений, бесспорно, являются неврологические. Практически всегда эти осложнения связаны с несвоевременным обращением пациента за медицинской помощью или с отсутствием динамического наблюдения за пациентом.
Правильно подобранное и своевременно оказанное лечение, контроль пациентов в динамике — ключ к минимизации осложнений и благоприятной реабилитации пациентов.
Самая лучшая профилактика любых переломов челюстей — сведение к нулю возможных причин возникновения переломов и своевременность обращения пациента к доктору. Возможные осложнения лечения близки по сути к осложнениям самих переломов.
Рекомендация от хирурга: избегать ударов в область челюсти и пристёгиваться в автомобилях — уже на скорости 40 км/ч ударная сила может привести к перелому верхней челюсти.
Читайте также:
