КТ, МРТ при ecchordosis physaliphora
Добавил пользователь Евгений Кузнецов Обновлено: 01.01.2026
Ольга Кардаш, кандидат мед. наук, Алла Сивашко, Ольга Урбан — врачи-офтальмологи 10-й ГКБ Минска; Татьяна Воронович, заведующая отделением № 1 микрохирургии, Ольга Ярмак, доцент кафедры офтальмологии БелМАПО, кандидат мед. наук. 09.12.2020
(Окончание. Начало в «МВ» № 48 от 26 ноября 2020 г.)
Аденома гипофиза, обнаруженная случайно и не вызывающая симптомов, обычно не требует лечения. Однако требует проведения регулярного обследования в динамике. Аденома больших размеров или та, которая сопровождается клинической симптоматикой, нуждается в обязательном лечении, зависящем от типа аденомы и ее размеров. К устранению данной патологии привлекается ряд специалистов: эндокринолог, нейрохирург, невролог, офтальмолог.
Методы лечения
Помимо хирургического вмешательства используются консервативная медикаментозная терапия и лучевая терапия.
Хирургическое удаление опухоли применяется в двух случаях: при избыточном давлении на зрительный нерв с угрозой потери зрения и при избыточной продукции гормонов опухолью. Основной вид операции — эндоскопическое эндоназальное транссфеноидальное удаление аденомы. Минусом такого вмешательства является сложность, а зачастую и невозможность удаления большой опухоли, особенно при проникновении ее в прилегающие ткани.
Транскраниальный подход. При таком виде вмешательства выполняется разрез клиновидной кости черепа и через него удаляется опухоль. После выполнения операции, а иногда и в качестве самостоятельного вида лечения может применяться лучевая терапия. Только в случаях редких гигантских аденом с над- и параселлярным ростом иногда используется транскраниальный доступ. В последнее десятилетие эндоскоп стал куда более популярным в хирургии гипофиза.
Все чаще в хирургии гипофиза используется интраоперационная компьютерная навигация. В связи с этим важную роль играет интраоперационная МРТ (иМРТ). В результате выживание без прогрессирования может быть значительно продлено. К интраоперационным методам визуализации также относится флуоресценция с индоцианином зеленым. После вскрытия клиновидной пазухи открывается мозговая оболочка. Использование интраоперационной навигации может облегчить ориентацию и помочь лучше определить пределы резекции. Ткань аденомы обычно очень мягкая и хорошо отличается от соседних структур.
При опухолях без инвазии в кавернозный синус полная резекция опухоли может быть достигнута более чем в 80 % случаев. Однако опухоль нередко проникает в кавернозный синус, клиновидную пазуху или внутричерепную диафрагму через диафрагму спинки турецкого седла. Тогда резекция становится значительно более сложной, а резектабельность снижается. Частота полных резекций уменьшается до
Консервативная терапия доступна только при пролактиноме. Даже при очень больших опухолях небольшая доза агонистов дофамина в течение короткого времени может привести к заметному уменьшению объема опухоли. Агонисты дофамина являются препаратом первой линии для лечения пролактином. Но одним из недостатков является то, что лечение должно проводиться в течение нескольких лет или до конца жизни. Хотя терапия имеет мало побочных эффектов, она переносится не всеми пациентами — около 10 % из них не реагируют на лечение даже при высоких дозах агонистов дофамина. Этим пациентам показано хирургическое лечение. Медикаментозная терапия при акромегалии и болезни Кушинга с целью нормализации гормонального баланса играет второстепенную роль в первичной терапии, но используется в резистентных к терапии случаях.
Радиотерапия . При первичной терапии аденомы гипофиза лучевая терапия показана только в исключительных случаях. Основным показанием для стереотаксического однократного облучения является прежде всего лечение нерезектабельных остатков опухоли или рецидива. Доза 15-25 Гр вводится за один сеанс. При этой дозе локальный контроль опухоли достигается более чем в 90 % случаев через 5 лет. Ограничивающими дозу структурами являются зрительный хиазм и зрительный нерв.
Осложнения . Одним из наиболее распространенных является риноликворея. Согласно современным исследованиям, заболеваемость составляет от 2 % до 6 %. Транссфеноидальная декомпрессия зрительной хиазмы успешна в большинстве случаев независимо от используемой методики. Следующая важная цель — послеоперационное сохранение функции гипофиза. Риск новой послеоперационной недостаточности передней доли гипофиза составляет 6-15 %. Размер аденомы и инвазивность являются важными прогностическими факторами, которые способствуют возникновению послеоперационной эффективности передней доли гипофиза.
В настоящее время заболеваемость несахарным диабетом как осложнением операции на аденоме гипофиза составляет 6-11 %. Сосудистые осложнения очень редки. Наиболее частым является носовое кровотечение (1-3 % случаев). Повреждение внутренней сонной артерии чрезвычайно редкое (до 1,3 %), но серьезное осложнение, которое требует немедленного нейрорадиологического вмешательства с эндоваскулярной окклюзией поврежденного сосуда.
Наблюдение . Регулярный контроль зависит от размера опухоли и динамики ее роста. Обычно проводится ежегодная МРТ и двухлетнее эндокринное и офтальмологическое обследование. Важным аспектом является возраст. Молодым пациентам рекомендуется хирургическое вмешательство, даже если функция гипофиза сохраняется. Первый эндокринологический послеоперационный контроль нужно проходить через 4-6 недель. Дальнейший контроль проводится ежегодно у пациентов без нарушения парциальных функций гипофиза и у пациентов с нарушениями после первоначальной заместительной терапии с интервалом в полгода. Первый послеоперационный контроль с помощью МРТ обычно делают спустя 3-6 месяцев после вмешательства, в дальнейшем один раз в год, а затем с частотой раз в 2-3 года.
Случай из практики
Особенности хиазмального синдрома при интрасупраселлярном распространении аденомы гипофиза
Пациент С., возраст 44 года, поступил в отделение микрохирургии с жалобами на снижение зрения левого глаза (OS), выпадение нижней половины поля зрения. Отмечает, что заметил выпадение поля зрения внезапно, проснувшись утром. Обратился в кабинет неотложной офтальмологической помощи 10-й ГКБ Минска, был госпитализирован с диагнозом: новообразование в области диска зрительного нерва (ДЗН) левого глаза; нарушение кровообращения в верхневисочной и верхненазальной ветвях центральной артерии сетчатки (ЦАС) левого глаза.
При поступлении выполнены следующие обследования: общеклинические, осмотр глазного дна с фундус-линзой, эхоскопия.

Эхоскопия. ОD — умеренная деструкция стекловидного тела, задняя гиалоидная мембрана (ЗГМ) частично отслоена, оболочки прилежат, в ДЗН гиперэхогенное включение (друзы?). OS — умеренная деструкция стекловидного тела, ЗГМ частично отслоена, оболочки прилежат, в ДЗН гиперэхогенное включение, ДЗН проминирует в стекловидное тело (см. рис. 1).
Осмотр глазного дна с фундус-линзой. OS — в основании ДЗН округлое проминирующее пигментированное (меланоцитома?) образование, границы и ткань ДЗН не определяются, мелкая капиллярная сеть по поверхности ДЗН, гиперпапиллярно отек нейроэпителия сетчатки (НЭС). Окклюзия артерий по верхневисочной и носовой аркадам, в зоне верхневисочной и верхненосовой аркад молочно-белый отек сетчатки с захватом верхней части фовеа. Сетчатка прилежит (см. рис. 2). Лазерная коагуляция не показана. Рекомендована консультация онкоофтальмолога.
На момент поступления visus ОD = 0,5 с/кор sfr.-1,0 = 0,9; ОS = 0,2 н/кор. Бесконтактная тонометрия (БТМ) = 13/14.

Выполнены КТ и МРТ с внутривенным контрастированием (омнискан 20 мл). На МРТ картина образования гипофиза (аденома?), рекомендована консультация эндокринолога. Множественные очаги в белом веществе обоих полушарий головного мозга, вероятнее сосудистого генеза (микроангиопатия Fazekas 1). Снижена интенсивность MP-сигнала от А1 ПМА справа, от М2 сегментов СМА, от клиноидного сегмента ВСА с обеих сторон, от V4 сегментов позвоночных артерий с обеих сторон. Целесообразно дополнить данными УЗИ БЦА и КТА. Косвенные МР-признаки атеросклеротических изменений интракраниальных артерий. Мелкий очаг в области зрительного нерва в левом глазном яблоке.
Пациент дважды проконсультирован у онкоофтальмолога.
Заключение . Аденома гипофиза. Нарушение кровообращения в области ДЗН вторичного генеза OS. Консультация нейрохирурга РНПЦ неврологии и нейрохирургии.
Макроаденома гипофиза гормононеактивная с интрасупраселлярным ростом. Хиазмальный синдром. Нарушение кровообращения ДЗН OS вторичного генеза. Рекомендовано продолжить лечение в РНПЦ неврологии и нейрохирургии.
Пациент был осмотрен эндокринологом: аденома гипофиза без признаков гормональной активности; кардиологом: АГ 2, риск 3.
Выполнены общеклинические и офтальмологические исследования, статическая периметрия (см. рис. 3).

Сканирование при помощи оптической когерентной томографии (ОКТ) осуществлялось с применением протоколов ДЗН и толщины слоя нервных волокон (ТСНВ) с диаметром 3,4 мм перипапиллярного отдела. Анализ результатов проводили с помощью протокола анализа ДЗН и карты ТСНВ сетчатки. ОКТ макулы OD — структура и рефлективность слоев сохранены; OS — неровный контур оболочек, усиление рефлективности слоев в верхнетемпоральном сегменте, отек наружных отделов фоторецепторов, отслойка НЭС в верхненазальном сегменте. ОКТ ДЗН OD — утолщение ТСНВ в верхнем сегменте, в остальных сегментах в пределах нормы; OS — утолщение ТСНВ в верхнем и назальном сегментах, в остальных сегментах в пределах нормы, Экскавация ДЗН OD — 0,140, OS — 1,0. Пациент получал симптоматическую терапию.
Результаты . На основании характерных жалоб, возраста, осмотра пациента, возникших поражений органа зрения, результатов проведенных офтальмологических исследований, данных МРТ, заключений консультантов, показателей анализа крови на гормоны выставлен диагноз: макроаденома гипофиза (гормононеактивная) с интрасупраселлярным ростом; хиазмальный синдром; нарушение кровообращения в ДЗН ОS вторичного генеза; миопия слабой степени ОD. Сопутствующий: АГ 2, риск 3.
При выписке: visus ОD = 0,5 с/кор sfr.-1,0 = 0,9; ОS = 0,3 н/кор. Бесконтактная тонометрия (БТМ) = 15/17. Пациент направлен в РНПЦ неврологии и нейрохирургии, где ему было предложено оперативное лечение макроаденомы гипофиза, от которого мужчина отказался.
На основе повторно проведенного МРТ (признаки макроаденомы гипофиза эндо-, супраселлярно определяется образование 15ґ15ґ15), заключения консилиума (показаний для экстренного оперативного вмешательства по поводу макроаденомы не выявлено в связи с отсутствием компрессии хиазмы зрительных нервов по данным МРТ) был выставлен диагноз:
- основной: гормононеактивная макроаденома гипофиза с эндо-, супраселлярным ростом без компрессии хиазмы;
- сопутствующий: передняя ишемическая оптиконейропатия ОS (хроническое нарушение кровообращения в ДЗН ОS по артериальному типу). Миопия слабой степени ОU. АГ 2, риск 3.
Проведена нейротрофическая терапия. Даны рекомендации: проведение сосудистой и нейротрофической терапии в условиях офтальмологического стационара, динамическое наблюдение нейрохирурга, офтальмолога, эндокринолога один раз в 6 месяцев, с контролем данных анализов гормонов гипофиза.
Пациент повторно поступил в отделение микрохирургии. При поступлении и выписке: visus ОD = 0,6 с/кор sfr.-1,0 = 1,0; ОS = 0,5 с/кор sfr.-1,0 = 0,7. Бесконтактная тонометрия (БТМ) = 12/14.
В результате проведенной сосудистой и нейротрофической терапии наблюдалось улучшение остроты зрения по сравнению с первой госпитализацией: ОS = 0,5 с/кор sfr.-1,0 = 0,7, уменьшение экскавации ДЗН OS до невыраженной. Но при осмотре с фундус-линзой OS было отмечено формирование в макулярной области так называемой неполной фигуры звезды (см. рис. 4).
Выводы
1. Аденомы гипофиза представляют собой внутричерепные опухоли, которые проявляются офтальмо-неврологическими, эндокринологическими симптомами.
2. Своевременная диагностика является залогом успешного лечения.
3. Основным методом диагностики является МРТ головного мозга с контрастным усилением.
4. Офтальмоскопия, периметрия, исследование гормонов гипофиза помогают в достижении хорошего функционального результата.
5. Для успешного лечения (как оперативного, так и консервативного) и наблюдения необходимо междисциплинарное сотрудничество специалистов: нейрохирурга, невролога, офтальмолога, эндокринолога.
Leave me alone lesions в околоносовых пазухах (не имеющие клинического значения)
С широким внедрением в повседневную стоматологическую и оториноларингологическую практику мультиспиральной и конусно-лучевой компьютерной томографии (далее- МСКТ и КЛКТ), возросло число пациентов, у которых те или иные находки обнаруживаются случайно, и эти находки могут быть бессимптомными, не иметь клинического значения. Цель данной статьи- разграничить физиологические изменения в околоносовых пазухах (далее- ОНП), которые не должны быть никак отражены в выводах по результатам проведения компьютерной или магнитно-резонансной томографии (далее- КТ и МРТ), а также находки категории «leave me alone lesions»*.
Утолщение слизистой оболочки ОНП - пожалуй, самая частая находка при сканировании этой анатомической области. По данным Kevin M. Rak и соавторов [1], толщина слизистой оболочки ОНП не более 3 мм- довольно частая находка и имеет низкое клиническое значение у бессимптомных пациентов. Толщина слизистой оболочки ячеек решетчатой кости около 1-2 мм встречается у 63% бессимптомных пациентов, что является нормой (проявлением носового цикла). По результатам исследований von Kalle и соавторов [2], утолщение слизистой оболочки ОНП и ячеек сосцевидных отростков является частой находкой у детей. Даже выраженное утолщение слизистой (более 5 мм для верхнечелюстного, лобного, клиновидного синусов, вовлечение в процесс более 50% всех ячеек решетчатого лабиринта и ячеек сосцевидного отростка) не обязательно является признаком инфекции. В радиологической практике термины "синусит" и "мастоидит" должны использоваться осторожно. Начало терапии должно базироваться на клинике, а не только лишь на основании рентгенологических находок.
Ошибочно за патологические изменения может быть принят так называемый носовой цикл. По данным Пискуновых [3], носовой цикл - циклические изменения степени набухания слизистой оболочки полости носа (Клин. наблюдение 1). Длительность носового цикла может составлять от 1 до 6 часов. Классический носовой цикл (описан Р. Кайзером в 1895 г.) состоит из двух фаз: рабочей (вазоконстрикции) и фазы отдыха (вазодилатации), изменение резистентности воздушного потока строго периодично. Однако это возможно, только если перегородка носа не имеет выраженной деформации и находится по средней линии. Иначе возникают условия, приводящие к нарушению циклических изменений резистентности, что впоследствии может привести к развитию хронического ринита.
По данным Американского колледжа радиологии, в ысокая частота выявления мягкотканных изменений отмечается при выполнении рентгеновских снимков, КТ и МРТ у пациентов, которые не имеют клиники синусита, но были подвергнуты визуализации по каким-то иным причинам. Частота подобных ситуаций достигает 33-50%. У большинства взрослых пациентов острое респираторное заболевание способствует утолщению слизистой оболочки синусов, включая пути оттока из синусов. Подобные изменения чаще наблюдаются у детей- примерно в 97% случаев при остром респираторном заболевании, протекающем в течении 2 недель, когда КТ было им выполнено по другим причинам. Находки по данным МРТ включают также мягкотканные изменения в синусах, которые могут сохраняться месяцами после перенесенной острой инфекции. Корреляция с клиническими данными критична для определения значимости находок при визуализации. В дополнение, большинство детей с клиническим диагнозом «острый синусит» обычно имеют при анализе рентгеновских снимков изменения, коррелирующие с клинической картиной, и потому тактика от того, что обнаруживается на снимках, не меняется.
Незавершенная пневматизация является вариантом нормальной анатомии и относится к категории «leave me alone lesions» и чаще всего обнаруживается в клиновидной кости (Клин. наблюдение 2). В кости происходит ранняя жировая конверсия костного мозга до ее пневматизации и миграции эпителия. Однако, по непонятным причинам у некоторых пациентов эта пневматизация не происходит, в кости остаются атипичные включения жира на месте синуса клиновидной кости. В ряде случаев незавершенная пневматизация создает диагностические трудности на КТ или МРТ. Выглядит незавершенная пневматизация на КТ как неэкспансивного характера изменения, плотность которых ниже плотности кости, с внутренними линейными обызвествлениями и склеротическим контуром [4] .
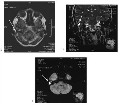
Не стоит забывать и о Ecchordosis physaliphora* (Клин. наблюдение 3). Это врожденная доброкачественная гамартома, которая формируется из нотохордальных зачатков и может встречаться в любой кости, начиная от основания черепа, оканчивая крестцом. Как правило, протекает бессимптомно и является случайной находкой при проведении КТ или МРТ. Выглядит как дефект ската, четко отграниченный и с гладкими контурами, без агрессивного компонента [5]. В литературе описан случай симптомного течения Ecchordosis physaliphora [6], однако, это, скорее, исключение из правил.
В завершении всего вышеизложенного хочется подчеркнуть, что знание тех или иных анатомических и физиологических особенностей позволит избежать ненужных медицинских вмешательств.
*Термин не имеет адаптированного перевода на русский язык; он подразумевает находку, которая не имеет клинического значения.
Насколько опасна желудочковая экстрасистолия? Интервью с заведующим отделением хирургического лечения сложных нарушений ритма сердца и электрокардиостимуляции ФГБУ «НМИЦ ТПМ» Минздрава России Алексеем Владимировичем Тарасовым.
Желудочковая экстрасистолия (ЖЭС) — разновидность нарушения ритма сердца, проявляется преждевременными сокращениями сердца, активация которых происходит из миокарда желудочков.
Об экстрасистолиях мы поговорим с заведующим отделением хирургического лечения сложных нарушений ритма сердца и электрокардиостимуляции ФГБУ «НМИЦ ТПМ» Минздрава России Алексеем Владимировичем Тарасовым.
Как часто Вы в своей практике сталкиваетесь с экстрасистолиями?
Врачи ежедневно сталкиваются с этим диагнозом. Экстрасистолии диагностируются у 50-70% всех пациентов с нарушением ритма, с ишемической болезнью сердца и сердечной недостаточностью.
Расскажите поподробнее о причинах возникновения ЖЭС
ЖЭС — это всегда вторичное нарушение ритма сердца, а, значит, есть какая-то первопричина. Вот ее надо найти врачу, и на нее воздействовать.
Причины могут быть разные: от стресса и наличия вредных привычек - курения, алкоголя, переедания, до патологий сердечно-сосудистой системы - ИБС, стенокардия, гипертония, кардиомиопатия, пороки сердца, миокардит. Также причина может быть в патологиях других внутренних органов - легких, желудочно-кишечного тракта, онкологических заболеваниях.
Насколько желудочковая экстрасистолия опасное заболевание?
Мы никогда не говорим пациенту, что его жизни что-то угрожает, пока не проведем всестороннюю диагностику и не выявим первопричину заболевания. Бывают экстрасистолы безопасные, которые не стоит даже начинать лечить, бывают те, которые требуют немедленных действий!
Какая диагностика ЖЭС?
Главное — понять, угрожает ли экстрасистолия жизни пациента, может ли привести к самому грозному осложнению — внезапной сердечной смерти!
Сначала мы фиксируем жалобы пациента, потом направляем на функциональные исследования сердца. В первую очередь, на ЭКГ в 12 отведениях, затем на суточное холтеровское мониторирование, УЗИ сердца. Для исключения коронарной патологии — нагрузочные тесты. В зависимости от полученных результатов, можем назначить КТ, МРТ, гастроскопию, анализы крови, внутрисердечное электрофизиологическое исследование или генетическое обследование.
То есть, не всем пациентам показано лечение? Расскажите подробнее
Не каждая ЖЭС требует коррекции. Иногда, наоборот, не стоит ее трогать, так как терапия может нанести еще больший вред здоровью. В нашем центре были такие случаи. Не раз мы отменяли антиаритмическую терапию, назначенную другим врачом и отмечали положительную динамику.
Выбор тактики лечения зависит от того, есть ли у пациента органические поражения сердца или оно структурно нормальное.
В лечении мы добиваемся трех целей: уменьшения симптомов, устранения гемодинамических нарушений, улучшения прогноза.
Но наша ключевая цель — профилактика внезапной сердечной смерти. Еще раз подчеркну, главное — определить, имеется ли у пациента на фоне экстрасистолии риск внезапной сердечной смерти!
Какие подходы и методики лечения применяются в вашем отделении?
В самом начале нашей беседы я говорил и сейчас акцентирую на этом внимание, что ЖЭС имеет вторичную природу. Поэтому в начале лечения важно определить первичное заболевание и воздействовать на него.
Далее, это назначение лекарственных препаратов, в том числе антиаритмических, седативных, препаратов калия, магния и др.
При неэффективности лекарственной терапии - радиочастотная аблация или имплантация кардиовертер-дефибриллятора, если аритмия прогностически опасная.
Если нет поражения сердца, пациентам рекомендуется смена образа жизни. Исключение перееданий, тяжелой пищи, алкоголя, курения. Иногда экстрасистолия может уйти даже после отдыха, поездки в отпуск.
А если есть поражение сердца?
Здесь сложнее. У таких пациентов происходят изменения электрофизиологических свойств миокарда, потеря электрической стабильности миокарда, электролитный дисбаланс в миокарде (потеря кардиомиоцитами калия, магния), гиперкатехоламинемия. Главное — назначить бета-адреноблокаторы, так как они выполняют «защитную» функцию от электрической нестабильности у таких больных.
В зависимости от патологии и опасности аритмии мы можем рекомендовать им хирургическое лечение.
В заключении расскажите немного о своем отделении
У нас в отделении хирургического лечения сложных нарушений ритма сердца и электрокардиостимуляции накоплен большой опыт в лечении таких пациентов.
В работе мы опираемся на доказательную медицину, национальные и международные рекомендации, прибегаем к консультациям научного и профессорско-преподательского состава нашего Центра.
У нас есть все необходимые условия для быстрой диагностики, качественного лечения и наблюдения пациентов.
По вопросам отбора пациентов для стационарного лечения и высокотехнологичной помощи, консультаций, по любым вопросам относительно работы отделения:
По вопросам состояния госпитализированных пациентов, общение с лечащими врачами:
Отдел организации платных медицинских услуг и госпитализации:
КТ, МРТ при ecchordosis physaliphora
Кафедра оториноларингологии Российской медицинской академии последипломного образования, Москва
Рентгенодиагностическое отделение ЦКБ гражданской авиации
Кафедра оториноларингологии учебно-научного медицинского центра Управления делами Президента России, Москва
Кафедра оториноларингологии РМАПО
МРТ в предоперационном обследовании и послеоперационном контроле при хроническом среднем отите с холестеатомой
Журнал: Вестник оториноларингологии. 2012;77(5): 14‑19
Косяков С.Я., Лазебный В.В., Коршок В.В., Пчеленок Е.В. МРТ в предоперационном обследовании и послеоперационном контроле при хроническом среднем отите с холестеатомой. Вестник оториноларингологии. 2012;77(5):14‑19.
Kosiakov SIa, Lazebnyĭ VV, Korshok VV, Pchelenok EV. The role of MRI in the preoperative examination and postoperative follow up of the patients presenting with a combination of chronic otitis media and cholesteatoma. Vestnik Oto-Rino-Laringologii. 2012;77(5):14‑19. (In Russ.).
Цель работы - изучить возможности определенных режимов МРТ в диагностике холестеатомы, а также определить критерии предлагаемых протоколов. Исследование проводилось в стандартных режимах Т1, Т2, а также в режиме non-EPI DWI. Нами были обследованы пациенты как с первичной холестеатомой, так и с резидуальной и рецидивирующей холестеатомой. Основной алгоритм радиологической диагностики холестеатомы заключался в следующем: низкоинтенсивный сигнал в режиме Т1, сигнал высокой интенсивности в режимах Т2 и non-EPI DWI. В статье представлены 3 клинических наблюдения. Всем пациентам была выполнена МРТ в режимах Т1, Т2 и non-EPI DWI. У 2 пациентов было подтверждено наличие холестеатомы и верифицирован данный факт на операции, а в одном из примеров данный метод позволил исключить наличие холестеатомы.
Холестеатома — это скопление кератина в матриксе чешуйчатого эпителия в полости среднего уха. Только в 2% случаев холестеатома может быть врожденной. В остальных же случаях это приобретенное заболевание, развивающееся на фоне хронического среднего отита в результате ретракции барабанной перепонки [1].
Холестеатома разрушает структуры среднего уха, нарушает такие функции последнего, как слух, равновесие, функцию лицевого нерва и вызывает осложнения.
Осложнения холестеатомы связаны с костной деструкцией в полости среднего уха, что обусловлено механическим давлением и активностью медиаторов воспаления, которые стимулируют остеокласты. Костная деструкция приводит к разрушению цепи слуховых косточек, развитию лабиринтных фистул, эрозиям канала лицевого нерва с развитием пареза и, наконец, к тяжелым внутричерепным осложнениям.
Лечение холестеатомы всегда только хирургическое. Хирургические подходы могут быть различными и включать операции с сохранением задней стенки наружного слухового прохода и ее удалением, с реконструкцией цепи слуховых косточек и стенок паратимпанальных пространств [2]. Закрытые типы операций длительное время применяли с большой осторожностью по причине высокого процента развития как резидуальных заболеваний, так и рецидива холестеатомы. В связи с этим «золотой стандарт» лечения включал обязательную ревизию через год после операции. Например, по данным клиники в Антверпене, повторные оперативные вмешательства у взрослых составляют 57%, из которых только в 7,2% случаев обнаружена резидуальная холестеатома, а в остальных случаях (92,8%) проводились необоснованные оперативные вмешательства [3].
В настоящее время для предоперационного обследования больных широко используется компьютерная томография (КТ) височных костей. Данный метод позволяет определить состояние слуховых косточек, сосцевидного отростка, надбарабанного пространства, стенок барабанной полости, состояние окон лабиринта и внутреннего уха [4]. Однако специфичность КТ в диагностике холестеатомы низка. В связи с этим КТ можно рассматривать только как «дорожную карту» для оценки состояния различных структур среднего уха (сохранены, повреждены, разрушены). Это дает возможность ориентироваться в наличии анатомических структур, определить костную деструкцию, но ни в коем случае не определить, за счет чего произошла деструкция. На КТ невозможно дифференцировать холестеатому, грануляционную, рубцовую ткань и опухоль. Исследования последних 15 лет это подтверждают [5]. Для послеоперационного контроля КТ имеет еще меньшее значение, так как вследствие низкой специфичности не позволяет дифференцировать послеоперационные рубцовые изменения от экссудата или резидуальной холестеатомы. КТ наиболее значима при определении аэрации среднего уха и сосцевидного отростка, но значимость ее снижается при наличии мягкотканных образований [6].
В течение последних нескольких лет было опубликовано несколько работ [5, 7—10] о диагностике холестеатомы с применением магнитно-резонансной томографии (МРТ) в различных режимах (Т1, Т2, EPI DWI и non-EPI DWI). Эти работы были опубликованы в основном врачами-радиологами в соавторстве с оториноларингологами и носят специфический характер, так как информация в них излагается с позиций рентгенологов с указанием массы технических характеристик оборудования и протоколов обследования.
Цель нашей работы — изучить возможности определенных режимов МРТ в диагностике первичной холестеатомы различных размеров в диагностически сложных случаях, резидуальной холестеатомы у пациентов, подвергнутых множественным оперативным вмешательствам. В конечном счете, предполагается популяризировать данный метод и сделать его доступным для лечебной практики.
Методика исследования
Все пациенты были обследованы на МР-томографе Signa HD GE («Helthcare», США) с напряженностью магнитного поля 1,5 Тесла. Обследование выполнялось без контрастирования в импульсных последовательностях:
— Т1 во фронтальной плоскости с подавлением сигнала от жировой ткани с толщиной среза 3 мм;
— Т2 во фронтальной и сагиттальной плоскостях с толщиной среза 3 мм;
— non-EPI DWI в аксиальной плоскости с толщиной среза 2 мм.
При наличии холестеатомы характерны следующие МРТ-признаки:
1. Сигнал низкой интенсивности в режиме Т1.
2. Гиперинтенсивный сигнал или сигнал средней интенсивности в режиме Т2.
3. Сигнал высокой интенсивности в режиме non-EPI DWI.
При наличии воспаления и грануляционной ткани выявляются следующие МРТ-признаки:
1. Сигнал низкой интенсивности в неконтрастном режиме Т1.
2. Cигнал высокой интенсивности в режиме T2.
3. Сигнал низкой интенсивности в режиме non-EPI DWI.
Для холестерол-гранулемы характерны следующие МРТ-признаки:
1. Сигнал высокой интенсивности в режиме Т1.
2. Сигнал высокой интенсивности в режиме Т2.
Основная проблема закрытых методов хирургии уха заключается в необходимости длительного наблюдения. Развитие резидуальной холестеатомы после первичной операции до момента клинических проявлений, как правило, занимает около 12—18 мес [7]. Учитывая огромные пространства нашей страны, повторная ревизия для иногороднего пациента часто представляет финансовую нагрузку. В то же время с широким распространением диагностического оборудования и, в частности, магнитно-резонансных томографов, появляется возможность, применив описанный метод, контролировать состояние заболевания, не прибегая к повторному хирургическому вмешательству.
Идеальным методом скрининга на сегодняшний день является применение МРТ в режиме non-EPI DWI. Преимуществом является отсутствие необходимости применения дорогого контраста (например, гадолиниума) и связанного с его применением возможного нефротоксического действия, сокращение времени обследования на 45 мин (ожидание поздней фазы контрастирования). Обследование только в режиме non-EPI занимает всего 3—6 мин [8].
Существует два диагностических исключения, которые могут маскироваться под наличие холестеатомы и демонстрировать те же закономерности. Это абсцесс (как правило, имеющий клинические признаки) и скопление серы в наружном слуховом проходе.
Метод МРТ обеспечивает высокую безопасность при хирургических вмешательствах, использующих облитерацию паратимпанальных пространств, что дает возможность контроля резидуального заболевания и позволяет диагностировать рецидивы холестеатомы. Проведение МРТ-исследования в режиме non-EPI DWI через 1 год и 5 лет позволяет, в зависимости от результата, планировать хирургическое вмешательство [10, 12].
Послеоперационный контроль заключается в тщательной отоскопии и наблюдении в течение 10 лет, при подозрении на рецидив холестеатомы необходимо проводить МРТ-исследование (в том числе в режиме non-EPI DWI).
Под нашим наблюдением находились 30 пациентов с подозрением на первичную холестеатому (где клиническая картина не была однозначна) и пациенты со сложностями в диагностике, ранее подвергнутые оперативным вмешательствам. Всем пациентам была проведена МРТ основания черепа в стандартных режимах (во фронтальной проекции) и режиме non-EPI DWI (в аксиальной проекции), без контрастного усиления.
Больная Ф., 30 лет, обратилась с жалобами на головокружение, снижение слуха на правое ухо, слизистое отделяемое из правого уха. Болеет в течение 6 лет, лечилась консервативно. При отомикроскопии визуализируется перфорация в верхнем отделе барабанной перепонки.

Пациентке была выполнена МРТ основания черепа по описанной методике (рис. 1). Рисунок 1. МРТ основания черепа больной Ф. с хроническим правосторонним гнойным средним отитом. Фистула лабиринта. Холестеатома. а — исследование в режиме Т1; б — в режиме Т2; в — в режиме non-EPI DWI.
В режиме Т1 справа определяется образование с низкой интенсивностью сигнала, а в режиме Т2 и non-EPI DWI — образование с гиперинтенсивным сигналом. Диагноз: хронический правосторонний гнойный средний отит; холестеатома; фистула лабиринта. Пациентка была подвергнута санирующей операции на правом ухе с тимпанопластикой и облитерацией паратимпанальных пространств. Были выявлены холестеатома, заполняющая аттик, адитус, антрум, деструкция цепи слуховых косточек, фистула латерального полукружного канала. Послеоперационный период протекал без особенностей, на 15-е сутки была удалена гемостатическая губка и силиконовая выстилка. При контрольном осмотре ухо сухое, отмечает улучшение слуха, головокружения нет. Через 12 мес проведено повторное МРТ-исследование. Признаков холестеатомы не обнаружено. Получен хороший функциональный результат — ухо толерантно к воде, самоочищается.
Больная У., 25 лет, обратилась с жалобами на снижение слуха на правое ухо, периодические выделения из правого уха. 18 лет назад была выполнена радикальная операция по поводу острого мастоидита, острого гнойного среднего отита справа. После операции развился парез лицевого нерва. В связи с продолжающимися обострениями через 8 лет была выполнена повторная операция с тимпанопластикой и мастоидопластикой. Частота обострений снизилась, но периодические выделения из уха продолжались. При отомикроскопии визуализируется неомембрана на задней стенке наружного слухового прохода с отверстием 2×4 мм, которое ведет в мастоидальную полость. Дно и стенки полости необозримы.

На КТ височных костей справа послеоперационная полость, заполненная мягкотканным образованием, определяется большой костный дефект в направлении сигмовидного синуса и мозжечка (рис. 2, а). Рисунок 2. КТ и МРТ височных костей больной У. с хроническим правосторонним средним отитом. Состояние после радикальной операции (1993 г.), санирующей операции с мастоидопластикой и тимпанопластикой (2003 г.). Холестеатома. Парез лицевого нерва. а — КТ; б — МРТ основания черепа в режиме Т1; в — в режиме Т2; г — в режиме non-EPI DWI.
Больной была выполнена МРТ (рис. 2, б—г).
В режимах Т2 и non-EPI DWI определяется сигнал высокой интенсивности, в режиме Т1 — низкоинтенсивный сигнал. Это может свидетельствовать о наличии холестеатомы мастоидальной полости и пирамиды височной кости. Диагноз: хронический правосторонний средний отит; состояние после радикальной операции в 1993 г. и санирующей операции с мастоидопластикой и тимпанопластикой в 2003 г.; холестеатома; парез лицевого нерва.
Больной произведена санирующая реоперация, в ходе которой удалена холестеатома больших размеров, заполняющая отшнурованную послеоперационную полость. Эта полость распространялась до верхушки сосцевидного отростка, граничила с твердой мозговой оболочкой и достигала верхушки пирамиды височной кости. Полость облитерирована. В послеоперационном периоде получен хороший функциональный результат. Ухо толерантно к воде, не было обострений, гноетечения, головокружений. Сохранилась кондуктивная тугоухость I степени. МРТ через 9 мес подтвердила отсутствие холестеатомы.
Больной А., 44 лет, обратился с жалобами на периодические (2 раза в год) гноетечения из правого уха. Ранее пациенту неоднократно предлагалось оперативное вмешательство.
При отомикроскопии определяется утолщение барабанной перепонки, перфорация не визуализируется, признаков холестеатомы нет.

На КТ правой височной кости определяется затемнение в области аттика и антрума, цепь слуховых косточек сохранена (рис. 3, а). Рисунок 3. КТ и МРТ височных костей больного А. с адгезивным средним отитом справа, фиброзной облитерацией аттика. а — КТ; б — МРТ основания черепа в режиме Т1; в — в режиме Т2; г — в режиме non-EPI DWI.
Пациенту выполнена МРТ основания черепа по описанной методике (рис. 3, б—г).
В режиме Т1 и Т2 справа определяется очаг с высокой интенсивностью сигнала, тогда как в режиме non-EPI DWI патологических образований не выявлено. Диагноз: адгезивный средний отит справа, фиброзная облитерация аттика.
В связи с отсутствием данных о холестеатоме операция не производилась, выявленные изменения расценены как фиброзные изменения, оторея была обусловлена периодическим возникновением наружного отита. Больной получал консервативное лечение.
Результаты и обсуждение
Приведенные примеры характеризуют диагностически сложные ситуации, когда пациент перенес, например, несколько обострений, не было четко обозримой перфорации, когда можно было только заподозрить развитие холестеатомы, учитывая данные анамнеза, и, напротив, несколько перенесенных операций затрудняли дифференцирование холестеатомы от послеоперационных изменений.
Проведение пациентам КТ позволило определить мягкотканные образования, но они могли быть обусловлены грануляциями, полипами, рубцовой тканью, мозговой грыжей, а также холестеатомой. Предложенные нами клинические примеры можно разделить на 2 группы. 1-ю группу составили пациенты с хроническим гнойным средним отитом, где была заподозрена первичная холестеатома. Диагностическая сложность состояла в отсутствии явных клинических признаков, наличии косвенных признаков холестеатомы на КТ. 2-ю группу составили пациенты, которые были подвергнуты неоднократным оперативным вмешательствам, однако полного выздоровления не было достигнуто и было подозрение на развитие резидуальной холестеатомы в отшнурованных областях. Для определения наличия и точной локализации распространения резидуальной холестеатомы КТ не могла дать нам достоверной информации, потому что все патологические изменения выглядели абсолютно одинаково. Кроме того, у этих больных периодически возникали обострения, а это само по себе может давать затемнение на КТ. Поэтому нами было принято решение выполнить МРТ основания черепа. Это позволило в большинстве случаев с высокой степенью достоверности подтвердить наличие холестеатомы и верифицировать данный факт на операции, а в одном из примеров отвергнуть ее наличие.
В исследовании, проведенном P. Aikele и соавт. [9], была проведена оценка эффективности МРТ-исследования у пациентов, ранее оперированных по поводу холестеатомы. Из 17 пациентов у 13 холестеатома была выявлена на МРТ и верифицирована при повторном оперативном вмешательстве. Наименьший размер диагностированной холестеатомы составил 5 мм.
Согласно исследованиям B. De Foer и соавт. [10], режим non-EPI DWI позволяет определять холестеатому размером до 2 мм. По данным авторов, повторные оперативные вмешательства в послеоперационном контроле проводились в 62% случаев. С использованием новой методики этот процент снизился до 10%.
У нас в стране пока данный метод не получил широкого распространения, но результаты даже предварительных исследований показали, что МРТ — достоверный метод диагностики холестеатомы, но требуются дальнейшие исследования по определению его чувствительности и специфичности.
Заключение
Метод МРТ, особенно в режиме non-EPI DWI, эффективен в диагностически сложных случаях — при отсутствии явных клинических признаков холестеатомы, но существующем подозрении на нее. Метод также эффективен для диагностики резидуальной холестеатомы и рецидива и может применяться в качестве контроля у пациентов, ранее оперированных по поводу холестеатомы, не прибегая к повторным ревизиям.
Использование метода МРТ изменяет взгляд за закрытые типы операций, снимая последний сдерживающий фактор — трудность контроля. МРТ позволяет диагностировать рецидив холестеатомы и резидуальное заболевание и является абсолютно экономически эффективным методом [11].
МРТ при сакроилеите - что покажет
МРТ крестцово-подвздошных сочленений является основным аппаратным методом диагностики сакроилеита. При необходимости для уточнения разрушения костей может назначаться КТ копчика и крестца. Сакроилеальные сочленения, как и любые суставы, подвержены воспалительным
МРТ крестцово-подвздошных сочленений является основным аппаратным методом диагностики сакроилеита. При необходимости для уточнения разрушения костей может назначаться КТ копчика и крестца. Сакроилеальные сочленения, как и любые суставы, подвержены воспалительным заболевания. Одно из них - сакроилеит. Он возникает при воспалении сакроилеальных сочленений (по другому крестцово-подвздошные суставы) и становится причиной боли в спине. “Сакра" - это крестец нашего тела, который окружен с двух сторон подвздошными костями. Связаны они сакроилеальные сочленения (или крестцово-подвздошными сочинениями). Именно они и воспаляются при данном недуге и дают тянущую боль в нижней части спине.
Сакроилеит - это воспаление одного или обоих крестцово-подвздошных суставов, расположенных в месте соединения нижнего отдела позвоночника и таза. Сакроилеит может вызывать боль в ягодицах или пояснице, а также отдавать в одну или обе ноги. Длительное стояние или подъем по лестнице могут усилить боль. Заболевание бывает трудно диагностировать, поскольку его можно принять за другие причины боли в пояснице. Он связан с группой заболеваний, вызывающих воспалительный артрит позвоночника. Лечение включает физиотерапию и лекарственные препараты.
Причины сакроилеита
Причины дисфункции крестцово-подвздошного сустава включают:
травматическая травма. Внезапный удар, например, автомобильная авария или падение, может повредить крестцово-подвздошные суставы
артрит. Остеоартрит может развиться в крестцово-подвздошных суставах, как и анкилозирующий спондилит - тип воспалительного артрита, поражающего позвоночник
беременность. Крестцово-подвздошные суставы ослабевают и растягиваются, чтобы подготовиться к родам. Дополнительный вес и измененная походка во время беременности могут вызвать дополнительную нагрузку на эти суставы и привести к их повышенному износу
инфекция. В редких случаях крестцово-подвздошный сустав может воспалиться.
Как и другие заболевания, вызывающие хроническую боль, сакроилеит может привести к депрессии и бессоннице.
Симптомы
Дебют этого заболевания важно не пропустить, поскольку от ранней диагностики зависит успех терапии. Но сделать это не просто. Зачастую первые симптома сакроилеита люди воспринимают как банальный остеохондроз и либо игнорируют их, либо идет на прием к неврологу. Но на самом деле этот недуг относится к ревматическим болезням, и лечит его врач-ревматолог.
Боль, связанная с сакроилеитом, чаще всего возникает в ягодицах и нижней части спины. Она также может распространяться на ноги, пах и даже стопы. Боль при сакроилеите может усиливаться при:
- длительном стоянии
- переносе большего веса на одну ногу
- подъеме по лестнице
- беге
- ходьбе большими шагами.
Сакроилеит в запущенной форме приводит к тому, что у человека возникает “утиная походка”. Объясняется это тем, что сакроилеальные сочленения - это довольно-таки большие суставы, и воспалительный процесс в них приводит к фиксации сустава, что ограничивает движение.
Сакроилеит, как верный паж, сопровождает еще одно грозное системное заболевание - болезнь Бехтерева. Чтобы дифференцировать сакроилеит от дегенеративных изменений в позвоночнике и анкилозирующего спондилоартрита, поставить точный диагноз и разобраться в патогенезе, больному назначают сделать МРТ сакроилеальных сочленений (она же МРТ крестцово-подвздошных сочленений).
Как врач ставит диагноз сакроилеит
Во время физического обследования ревматолог или невролог попытается определить причину боли, надавливая на места на бедрах и ягодицах. Он будет перемещать ноги в разные положения, чтобы слегка нагрузить крестцово-подвздошные суставы. КТ костей таза выявляет признаки повреждения крестцово-подвздошного сустава. При подозрении на анкилозирующий спондилит врач порекомендует МРТ крестцово-подвздошных сочленений. Поскольку боль в пояснице может иметь множество причин, врач предложит использовать анестетики, чтобы помочь в диагностике. Например, если такая инъекция в крестцово-подвздошный сустав прекращает боль, то, скорее всего, проблема в крестцово-подвздошном суставе. Однако обезболивающее лекарство может просочиться в близлежащие структуры, что может снизить надежность этого исследования.
Как сделать МРТ при сакроилеите
Сделать МРТ крестцово-подвздошных сочленений вы сможете в каждом диагностическом центре СПб, оснащенном томографом любой модели. Особой подготовки от пациента МРТ сакроилеальных сочленений не требует, кроме способности лежать не двигаясь в течение 30 минут. Если болевые синдромы у вас очень сильные, и вы боитесь, что не сможете вылежать томографическую процедуру до конца, следует рассмотреть возможность приема обезболивающих препаратов или заранее сделать блокаду позвоночника.
По итогам МР-сканирования пациент получает экспертное заключение рентгенолога, запись томограмм на CD и бесплатную консультацию врача, который подробно объяснит, что было выявлено в ходе МР-скрининга и предложит индивидуальный план дальнейших действий.
Чтобы сделать качественную МРТ, пациенту нужно обратить внимание на несколько аспектов при записи на МРТ:
Спросить какой установлен шаг сканирования. На открытом аппарате он не должен быть более 3,5 мм. На закрытом томографе он не должен превышать 3,5 мм. Шаг исследования всегда можно проверить на МРТ снимках или в заключении врача в графе описания параметров обследования. Если он не совпадает с заявленным, требуйте повторной бесплатной диагностики.
Уточнить опыт и квалификацию врача-рентгенолога, который будет описывать Ваши снимки. От его знаний во многом зависит точность интерпретации полученных изображений. Помните, МРТ аппарат никогда не ошибается, ошибаются люди, которые работают с его данными.
Всегда требуйте запись МРТ исследования не на пленку, а на электронный носитель (диск или флешку). Порой для пациента изображения на рентгенологической пленке кажутся более наглядными, но их информационная ценность в разы ниже, чем у электронных сканов, которые врач может модифицировать любим образом при валидации и постановке диагноза.
Если обследование делают с целью выявления опухолевого образования, его нужно проводить с контрастом, поскольку на нативных изображениях не всегда видны мелкие образования, и не возможно судить в полной мере о злокачественности или доброкачественности опухоли.
КТ или МРТ при сакроилеите - что лучше выбрать?
Магнитно-резонансная томография является высокоинформативной и безальтернативной методикой в оценке структурно-функциональных изменений крестцово-подвздошных сочленений. При подозрении на сакроилеит она позволяет не только выявлять ранние изменения, но и дифференцировать степень хронизации и активности процесса. При выполнении MP-исследования КПС необходимо использовать сканирование в режиме Т1 ВИ и STIR, включающий характеристику костных, фиброзно-хрящевых и мягкотканных структур сустава. КТ позвоночника не является приоритетным методом диагностики воспалительных заболеваний крестцово-подвздошных сочленений, так как чувствительность рентгеновских методов недостаточна для четкой визуализации и объективной оценки состояния фиброзных и мягкотканных элементов сустава.
Читайте также:
