КТ, МРТ при остеонекрозе верхней и нижней челюсти
Добавил пользователь Евгений Кузнецов Обновлено: 01.11.2025
В статье представлен обзор литературы о текущем состоянии проблемы бисфосфонатного остеонекроза челюсти, сформулированы рекомендации по тактике лечения пациентов, а также предложены меры, направленные на профилактику развития данного осложнения. С каждым годом спрос на информацию о бисфосфонатах увеличивается, так как длительное использование этого лекарства проявляется нежелательным явлением в виде бисфосфонатного остеонекроза челюсти. Бисфосфонатным некрозом челюсти называют осложнение антирезорбтивной терапии, характеризующиеся некрозом и оголением кости, которое длится более восьми недель, с последующим прогрессированием процесса при условии отсутствия лучевой терапии в челюстно-лицевой области в анамнезе. Бисфосфонаты являются одними из самых предписываемых препаратов в мире у пациентов с высоким уровнем заболеваемости раком и частыми метастазами в кости. Приведенный в статье анализ известных на сегодняшний момент данных должен привлечь внимание врачей к данной проблеме.

5. Cella L., Oppici A., Arbasi M. et al. Autologous bone marrow stem cell intralesional transplantation repairing bisphosphonate related osteonecrosis of the jaw. Head Face Med. 2011; 7: 16.
7. Fliefel R., Tröltzsch M., Kühnisch J. et al. Treatment strategie and outcomes of bisphosphonate-related osteonecrosis of the jaw (BRONJ) with characterization of patients: a systematic review. Int. J. Oral. Maxillofac. Surg. 2015; 44 (5) : 568
12. Marx R.E., Sawatari Y., Fortin M., Broumand V. Bisphosphonate-induced exposed bone (osteonecrosis/osteopetrosis) of the jaws: risk factors, recognition, prevention, and treatment. J. Oral. Maxillofac. Surg. 2005; 63: 1567-1575.
13. Ripamonti C.I., Cislaghi E., Mariani Maniezzo M. Efficacy and safety of medical ozone (O(3) ) delivered in oil suspension applications for the treatment of osteonecrosis of the jaw in patients with bone metastases treated with bisphosphonates: preliminary results of a phase I-II study. Oral. Oncol. 2011; 47: 185-190.
14. Rollason V., Laverrière A., MacDonald L.C. et al. Interventions for treating bisphosphonate-related osteonecrosis of the jaw (BRONJ). Cochrane Database Syst. Rev. 2016; 26: 2 CD008455. DOI: 10.1002/14651858.
17. Давыдов М.И. Статистика злокачественных новообразований в России и странах СНГ в 2006 г. Вести российского онкологического научного центра им. Н.Н. Блохина РАМН 2008; 19: 2: прил 1: 52-58.
18. Заславская Н.А., Дробышев А.Ю., Волков А.Г. Опыт лечения остеонекрозов челюстей у пациентов, получающих антирезорбтивную терапию (бисфосфонаты, «Деносумаб»). Cathedra. 2014; (47) : 32-34.
19. Слетов А.А., Сирак С.В., Давыдов А.Б. и др. Аппаратный метод лечения переломов нижней челюсти при бисфосфонатных остеонекрозах. Стоматология для всех. 2014; (2) : 32-36. [Sletov A.A., Sirak S.V., Davydov A.B. et al. Hardware method of treatment mandibular fractures bisphosphonate osteonecrosis. Stomatologiya dlya vsekh. 2014; (2) : 32-36. (In Russ.) ]
20. Сулейманов A.M., Мингазов Г.Г., Саляхова Г.А. Бисфосфонатные остеонекрозы челюстей. Мед. вестн. Башкортостана. 2012; 7 (2) : 112-115.
21. Тарасенко С.В., Дробышев А.Ю., Шипкова Т.П. и др. Тактика лечения больных с бисфосфонатным остеонекрозом челюстей. Рос. стоматол. 2012; (2) : 3-13.2
22. Торопцова Н.В., Беневоленская Л.И. Бисфосфонаты: приверженность терапии - залог успешного лечения остеопороза. Соврем. ревматол. 2008; (1) : 78-81.
В течение последних пятнадцати лет наблюдается растущий спрос на информацию о бисфосфонатах, так как длительное использование этого лекарства позволило выявить нежелательные явления, проявляющиеся в виде бисфосфонатного остеонекроза челюсти (БОНЧ). Эта проблема актуальна, поскольку, раньше частота осложнений ограничивалась единичными клиническими наблюдениями, а сейчас, по сведениям разных авторов, в среднем, достигает 12% [Bamias A., Bartl R., Dimopoulos M., Marx R.E.]. Приведенный в статье анализ известных на сегодняшний момент данных должен привлечь внимание врачей к данной проблеме.
Цель - изучить текущее состояние проблемы бисфосфонатного остеонекроза челюсти (БОНЧ).
- выявить факторы риска возникновения БОНЧ;
- изучить особенности клинической картины БОНЧ;
- сформулировать рекомендации по профилактике БОНЧ.
Материалы и методы. Проведен анализ научной литературы, научных статей и стоматологических журналов.
Результаты и обсуждение
Впервые информация об остеонекрозе челюсти у пациентов, принимающих бисфосфонаты, была опубликована в 2003 году [6]. Последующие публикации вызвали еще больше обеспокоенность врачей. Вследствие этого производители бисфосфонатов издали письмо-предостережение врачам - онкологам и челюстно-лицевым хирургам.
Бисфосфонаты являются одними из самых предписываемых препаратов в мире у пациентов с высоким уровнем заболеваемости раком и частыми метастазами в кости. Этот вид лекарств, который предотвращает потерю костной массы, имеет различные показания и используется для профилактики и лечения остеопороза, лечения болезни Педжета и паранеопластической гиперкальциемии; его применяют как часть схемы лечения рака, особенно метастатического рака кости и множественной миеломы [8]. В России эти злокачественные новообразования составляют 25% в общей структуре онкологической заболеваемости [17]. Различают два класса бисфосфонатов: азотсодержащие (ибандронатовая кислота, золендроновая кислота, алендронат натрия, ибандронат натрия) и без содержания азота (клодроновая кислота, этидронат натрия, тилудронат натрия). Несмотря на то, что лечение бисфосфонатами имеет много преимуществ для пациентов с заболеваниями костной ткани, оно также имеет ряд неблагоприятных эффектов. Наиболее серьезным, из которых является остеонекроз челюсти.
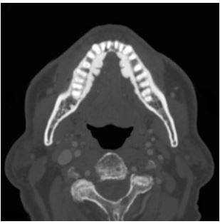
Бисфосфонатным некрозом челюсти называют осложнение антирезорбтивной терапии, характеризующиеся некрозом и оголением кости, которое длится более восьми недель, с последующим прогрессированием процесса при условии отсутствия лучевой терапии в челюстно-лицевой области в анамнезе [6]. Чаще всего процесс развития остеонекроза возникает на нижней челюсти, чем на верхней. Сочетанное повреждение челюстей встречается крайне редко [7]. Поражения могут быть разными по размеру и степени тяжести [12]. На сегодняшний день о развитии БОНЧ у детей и подростков не сообщалось. Выделяют 4 стадии БОНЧ. При 0-й стадии возможно отсутствие обнажения некротизированной кости. 1-я стадия характеризуется обнажением участка некротизированной кости без признаков воспаления и боли. На 2-й стадии наблюдается появление боли и явлений воспаления на обнаженном участке. Во время 3-й стадии встречается один или несколько признаков: обнажение альвеолярной кости, наличие патологического перелома, свищевой ход на коже.
Основополагающие патофизиологические механизмы, лежащие, в основе БОНЧ на данный момент до конца не изучены. Бисфосфонаты ингибируют пролиферацию эндотелия, прерывают внутрикостную циркуляцию и костный кровоток, способствуя развитию остеонекроза [13]. Эту группу препаратов можно рассматривать как селективные лекарственные средства, так как бисфосфонаты поглощаются преимущественно остеокластами в участках активной перестройки кости. Сообщается, что БОНЧ проявляется через 6 - 60 месяцев после начала лечения бисфосфонатами. В костной ткани происходит кумуляция препарата.
Кость челюсти (частично или полностью) становится хрупкой как мел и со временем может обнажаться [11]. Это является причиной сильной боли, а также вызывает проблемы во время приема пищи, разговора, проведения чистки зубов.
Предшествующими событиями развития БОНЧ часто является: удаление зубов, заболевания периодонта, мандибулярные экзостозы, установка дентальных имплантов. Другие факторы, способствующие распространению инфекции, включают в себя: местную инфекцию, использование кортикостероидов и химиотерапию. Также сообщалось, что негативное влияние оказывает плохой стоматологический статус, употребление алкоголя и табака, преклонный возраст, диабет, иммуносупрессия [4].
Известно, что кости челюсти наиболее уязвимы к инфекции, являются своего рода «мишенью», поскольку полость рта имеет тонкую слизистую оболочку. [9]. Кроме того, бактерии имеют более легкий путь к челюсти через тонкие периодонтальные связки. По мнению многих авторов, развитие остеонекроза происходит в челюстных костях из-за особенностей их строения, поскольку, кортикальная костная ткань челюстей имеет скудную васкуляризацию. Бисфосфонаты значительно ухудшают заживление костей, тем самым повышают риск остеонекроза.
К клиническим проявлениям БОНЧ относят: нарушение чувствительности; боль и отек на пораженной челюсти, при отсутствии патологии зубочелюстной системы; нагноение мягких тканей, дефекты слизистых оболочек с гладкими или неровными краями с оголением кости на верхней или нижней челюсти, сохраняющиеся более восьми недель.
Бисфосфонаты назначают перорально и внутривенно. Сообщалось, что БОНЧ чаще всего встречался у пациентов, которые получали золедроновую кислоту, гораздо реже отмечался при приеме пероральных бисфосфонатов [11].
Ключевым фактором этих путей введения является биодоступность. Распространенность остеонекроза челюсти у пациентов, принимающих оральные бисфосфонаты, варьирует от 0,07 до 0,10% [3]. Повышение биодоступности путем парентерального введения повышает эффективность препарата, но может являться причиной более высокой распространенности БОНЧ. В среднем колеблется от 0,8 до 20% [5].
Несмотря на то, что риск не может быть устранен, прогноз обычно хорош для пациентов, принимающих пероральные бисфосфонаты. Площадь экспозиции кости обычно ограничена (от 2 до 10 мм) и имеет меньшую степень тяжести по сравнению с пациентами с раком, которые получают внутривенную терапию. При исследовании остеонекроза челюсти, вызванного пероральными бисфосфонатами, после четырехмесячного перерыва приема лекарства, было достигнуто полное разрешение в 16 из 17 случаев: 11 разрешенных - без хирургического вмешательства, 3 - с местным лечением, а 2 - с резекцией нижней челюсти. Считается, что заболеваемость БОНЧ является низкой в течение 6 месяцев после начала терапии бисфосфонатом, и поэтому пациенты, которые только начали эту терапию, должны пройти тщательную оценку и лечение зубов, если это не было проведено профилактически.
Всем пациентам, которые начинают принимать бисфосфонаты, рекомендуется определить факторы риска БОНЧ (травмы челюсти, активная зубная инфекция, удаление зубов), регулярно проходить стоматологическое обследование, поддерживать хорошую гигиену полости рта и обязательно сообщать о любых симптомах, локализованных в полости рта. Следует избегать хирургических вмешательств.
На начальных стадиях симптоматика может быть недостаточно выражена. Диагноз ставят при визуальном осмотре на основании клинических данных. Диагностировать остеонекроз челюсти можно с помощью МРТ, рентгенодиагностики и компьютерной томографии. Применение лучевых методов значительно расширяет возможности диагностики и способствует постановке диагноза на ранних стадиях [18].
Целью лечения остеонекроза челюсти является предотвращение потери костной массы, сохранение пораженных суставов, стимулирование роста новой кости. Тип лечения зависит от стадии, на которой был диагностирован БОНЧ и объема пораженной челюстной кости. Выделяют два метода лечения БОНЧ - консервативный и хирургический. Консервативная терапия предполагает назначение антибактериального курса, симптоматическую терапию, ежедневную обработку очагов поражения растворами антисептиков [1]. При выборе хирургического метода, производят кюретаж лунок удаленных зубов, резекцию челюсти, секвестрэктомию [2].
Дополнительно с основными методами лечения, некоторые авторы, успешно используют озонотерапию, эрбиевый лазер и крайне высокочастотную терапию [8, 9, 10, 14].
На данный момент нельзя выявить лиц, у которых в последствие разовьется БОНЧ [21]. Лечение бисфосфонатами необходимо назначать всем нуждающимся в нем пациентам, но следует проводить регулярную санацию полости рта. Врачи, которые сталкиваются в своей практике с данной проблемой, должны быть проинформированы о существующем риске БОНЧ. Необходимо своевременно осведомлять пациентов, что терапия бисфосфонатами должна быть отложена, пока не проведется лечение зубов [22].
При лечении пациентов, принимающих бисфосфонаты, врачи должны руководствоваться индивидуальным подходом, так как вероятность возникновения БОНЧ зависит от класса бисфосфонатов, длительности приема, особенностей пациента и стоматологического лечения.
Ранняя диагностика БОНЧ имеет решающее значение для предотвращения чрезмерной потери костной массы.
С целью уменьшения риска развития БОНЧ, пациентам необходимо проводить профилактическую процедуру - санацию полости рта перед началом терапии. В дальнейшем, пациенты должны быть под динамическим наблюдением стоматолога. Больные, в свою очередь, обязаны соблюдать хорошую гигиену полости рта.
КТ челюсти - цены в Москве
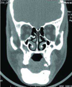
КТ челюсти - метод послойной рентгеновской диагностики, позволяющий производить объемную реконструкцию изображения и детально оценивать состояние зубочелюстной системы пациента. В зону сканирования попадает верхняя и нижняя челюсти, зубные ряды, нижнечелюстной канал, ВНЧС, верхнечелюстные пазухи. Используется для планирования дентальной имплантации и других операций, диагностики аномалий развития, травм, свищей, опухолей, воспалительных заболеваний зубочелюстной системы. Исследование предоставляет точные и достоверные сведения о состоянии костных тканей, их плотности, особенностях анатомии челюстно-лицевой зоны. Для изучения мягких тканей и кровоснабжения челюстного аппарата выполняется контрастная компьютерная томография. На стоимость влияет использование контрастного препарата.
Стоимость КТ челюсти в Москве
- верхняя челюсть ~ 3 478р. 514 цен
- нижняя челюсть ~ 3 617р. 471 цена
- обе челюсти ~ 4 275р. 481 цена

Показания
Процедура применяется в травматологии, ортодонтологии и челюстно-лицевой хирургии для диагностики повреждений челюсти и стоматологических проблем. Может неоднократно проводиться в процессе контроля над эффективностью консервативной терапии, до и после хирургического вмешательства. Каждая челюсть сканируется отдельно. КТ нижней челюсти позволяет определить её размеры, месторасположение нижнечелюстного канала, визуализировать воспалительные и дегенеративные изменения, опухолевые процессы, свищи, полостные образования, сложные переломы, травмы зубных рядов, краниофасциальные аномалии развития, ретинированные зубы. КТ нижней челюсти применяется для контроля имплантации, моделирования челюсти и зубов пациентов для изготовления брекетов.
В области верхней челюсти сканирование дает возможность констатировать ширину и высоту кости, оценить внутреннюю поверхность верхнечелюстных пазух, выявить наличие инородных тел, патологических процессов. С помощью компьютерной диагностики контролируют вживление имплантатов, динамику течения заболевания, восстановление в послеоперационном периоде, качество каналов корней после установки пломбы. КТ верхней челюсти показана при травмах, аномалиях развития, визуализации положения зубов, которые не в состоянии прорезаться самостоятельно из-за того, что находятся под костью или тканью десны, при расщелине неба и патологии слюнных желёз.
Обе челюсти сканируют для дифференциации осложнений кариеса, свежих переломов, посттравматических и врождённых деформаций, новообразований, абсцедирования. Перед пластическими операциями в дополнение к КТ челюсти осуществляют томографическое исследование частей скелета, которые послужат рабочим материалом при замещении удаляемых фрагментов лицевого черепа. В результате получают трёхмерные модели, на основании которых выполняют виртуальную операцию, что существенно облегчает проведение реального вмешательства.
Противопоказания
КТ челюсти противопоказана беременным женщинам и детям младше 14 лет. Процедура не выполняется при психических заболеваниях, сопровождающихся двигательным беспокойством, поскольку несоблюдение полной неподвижности приводит к резкому снижению качества изображения. При необходимости таких исследований по жизненным показаниям пациентам дают неглубокий наркоз. То же самое осуществляют обычным больным, если им трудно себя контролировать.
Противопоказаниями к КТ челюсти являются тяжёлое состояние пациента, а также выраженное ожирение (из-за ограниченных технических возможностей томографа). Несмотря на безопасность диагностики, её не проводят, если несколько исследований с рентгеновскими лучами были выполнены незадолго до процедуры (обусловлено превышением допустимой лучевой нагрузки). В список противопоказаний к контрастной КТ челюсти дополнительно включают непереносимость йодсодержащих препаратов, тяжёлую патологию почек, сахарный диабет, множественную миелому и гипертиреоз. В период лактации контрастное исследование допускается, если пациентка будет воздерживаться от кормления после процедуры.
Подготовка к КТ челюсти
Манипуляция без контраста не требует подготовки. Перед КТ челюсти необходимо снять с себя часы и все металлические предметы, оставить за пределами кабинета телефон, ортопедические и ортодонтические конструкции, слуховые аппараты. Контрастную КТ челюсти проводят натощак, пациенту запрещается приём пищи за 6 часов до процедуры. Женщины в период лактации прекращают грудное вскармливание накануне исследования и возобновляют только через двое суток после его окончания. С собой нужно взять медицинскую документацию, составленную по результатам предыдущих диагностических процедур, и направление врача (при его наличии). Пациент вправе пройти КТ челюсти без направления по собственной инициативе.
Методика проведения
Манипуляция осуществляется с помощью томографа, на мобильном столе, где больной лежит неподвижно. Конструктивные особенности аппарата позволяют использовать сканирование для обследования достаточно узкой области (от 040 х 50 мм до 080 х 80 мм). Чтобы расширить возможности диагностического поиска при КТ челюсти, применяют методику соединения нескольких участков. Исследование длится от 15 до 25 секунд, экспозиция составляет 3-12 секунд, доза облучения колеблется от 350 до 1600 мГр*см2.
Стол томографа при проведении КТ челюсти автоматически перемещается через лучевой туннель, в стенки которого вмонтированы датчики, послойно фиксирующие результаты и передающие их на монитор. Программа обработки изображений позволяет получать снимки в 3-х проекциях: сагиттальной, коронарной и аксиальной. Для улучшения ориентировки в слоях дополнительно может быть выстроена развёрнутая кривая. Возможна оценка плотности ткани челюсти по шкале Хаунсфилда. Пациент в ходе КТ челюсти изолирован в экранированной от рентгеновских лучей комнате. Врач (лаборант) наблюдает за ходом манипуляции из соседнего кабинета, общаясь с больным через микрофон томографа. Диагностика не доставляет неприятных ощущений.
Процедуру с контрастом проводят в течение 15 минут. Перед контрастной КТ челюсти осуществляют кожную пробу для исключения непереносимости используемых препаратов. При отрицательном результате в вену пациента вводят йодсодержащее вещество, ждут несколько минут, пока препарат равномерно распределится и накопится в исследуемых тканях, затем осуществляют КТ челюсти. При этом лучевая нагрузка не увеличивается. Зубы не исследуют с контрастом, поскольку основной целью контрастного исследования является опухолевый процесс, а в зубных рядах его не бывает.
Интерпретация результатов
Расшифровку полученных результатов осуществляет врач. Пациенту спустя час после проведения манипуляции на руки выдаются снимки и заключение, где детально описывается ход сканирования. Расшифровывая КТ челюсти, диагност обращает внимание на интенсивность затемнений, описывает наличие органических изменений и структуру внутриротовых тканей. Отсутствие патологических нарушений при КТ челюсти трактуется как норма. В случае обнаружения любой патологии назначается консультация профильных специалистов, госпитализация или плановая терапия. КТ челюсти имеет бесспорные преимущества перед другими лучевыми методиками. Она более точна и информативна, обеспечивает получение множества сканов, на основании которых строится 3D-изображение. Доза рентгеновского излучения при проведении КТ челюсти меньше, чем при обычной рентгенографии.
Остеонекроз челюсти
Остеонекроз челюсти - это омертвение и оголение участка кости, вызванное длительным проведением антирезорбтивной терапии. Патология представляет собой лекарственно-индуцированное осложнение, возникающее при лечении бисфосфонатами, моноклональными антителами-корректорами метаболизма костной ткани. Состояние проявляется расшатыванием зубов, оголением челюстной кости, сильными болями и сложностями при приеме пищи. Для диагностики применяют рентгенографию и КТ челюсти, гистологическое исследование костных биоптатов. Лечение включает антибиотикотерапию, хирургическую резекцию пораженных участков кости, экспериментальные методы.
МКБ-10



Общие сведения

Причины
Ключевым этиологическим фактором остеонекроза явления прием лекарств, влияющих на метаболизм хрящевой и костной ткани. К данной группе относятся бисфосфонаты (БФ) - основные препараты, которые применяются при миеломной болезни, костных метастазах злокачественных опухолей, тяжелых вариантах остеопороза. Реже причиной становятся рекомбинантные медикаменты на основе моноклональных антител, которые угнетают активность остеокластов.
Вероятность развития лекарственных осложнений повышается при продолжительном лечении вышеназванными препаратами. В группе риска находятся женщины менопаузального возраста и пожилые люди, которые намного чаще сталкиваются с прогрессирующим остеопорозом и получают соответствующие медикаменты. Триггером патологических изменений костей челюсти могут выступать следующие факторы:
- Стоматологические манипуляции. Удаление зуба, имплантация штифтов, постановка коронок запускают некроз челюсти. Риск увеличивается, если пациент не сообщает стоматологу о приеме БФ, из-за чего врач не может выбрать более щадящие варианты лечения или отложить плановое вмешательство.
- Неправильная гигиена полости рта. Любое травмирование челюстей повышает риск формирования остеонекроза. К развитию болезни приводит регулярное использование жестких щеток, неаккуратная чистка зубов, применение зубной нити и зубочисток.
- Инфекции ротовой полости. Значимую роль в инициации и прогрессировании остеонекроза играют парадонтальные патогены: Porphyromonas, Prevotella, Actinomyces и другие. Определенное значение в прогрессировании воспаления отводится стафилококкам, стрептококкам, сапрофитным нейсерриям.
- Сопутствующие заболевания. Вероятность остеонекроза челюсти повышается при наличии анемии, тромбоцитопении, коагулопатии, инфекционных заболеваний. Все эти состояния типичны для онкологических пациентов, получающих бисфосфонатную терапию, поэтому зачастую у одного человека наблюдается несколько факторов риска.
Патогенез
Развитие остеонекроза челюсти связано с накоплением бисфосфонатов в костной ткани, антиангиогенным эффектом и прямым действием препаратов на слизистую ротовой полости. Усиленное проникновение лекарств в челюсть обусловлено анатомо-физиологическими особенностями этой зоны: наличие интенсивных процессов ремоделирования, закисление среды при приеме пищи, физиологическая подвижность зубов.
На фоне терапии БФ и сопутствующего бактериального поражения нарушается процесс ремоделирования ткани, что вместе с поражением сосудов приводит к невозможности резорбции некротизированных участков. Одновременно с этим нарушается связь слизистой оболочки с альвеолярным отростком, наблюдается апоптоз кератиноцитов, угнетается выработка коллагена. Поражение слизистой оболочки создает условия для проникновения патогенов и развития вторичного остеомиелита.

Симптомы остеонекроза челюсти
По клиническому течению выделяют 4 последовательные стадии заболевания. На нулевом этапе признаки некротических изменений в челюсти отсутствуют, определяются лишь неспецифические пародонтальные симптомы. Больные жалуются на шаткость и патологическую подвижность зубов, дискомфорт во время еды. В редких случаях на поверхности десны образуется свищевой ход.
На первой стадии заболевания определяется частично обнаженная челюстная кость либо глубокий свищевой ход, который достигает костной поверхности. В пределах альвеолярного отростка возможны очаговые рентгенологические изменения. Переход остеонекроза на вторую клиническую стадию происходит в момент присоединения инфекции к существующим участкам деструкции челюсти. Возникают мучительные боли, затруднения приема пищи.
При отсутствии лечения в течение нескольких лет развивается третья стадия остеонекроза. Она проявляется обнажением кости, хроническим бактериальным воспалением, вовлечением в процесс тканей за границами альвеолярного отростка челюсти. Возможны патологические переломы в месте костной деструкции, внеротовые свищевые ходы, тотальный остеолизис, который распространяется до основания кости.
Осложнения
Остеонекроз челюсти на 2-3 стадиях представляет серьезную проблему для повседневной жизни пациента. Сильный болевой синдром в сочетании с оголенной костью делают невозможным привычное питание, поэтому человек вынужден соблюдать специальную диету и использовать энтеральные смеси. Очаги воспаления чреваты распространением микроорганизмов и гнойно-деструктивными процессами в костях черепа. Еще одной проблемой является невозможность полноценного лечения пораженных зубов.
Диагностика
Пациент проходит обследование у стоматолога с привлечением лечащего врача, который назначил бисфосфонатную терапию основного заболевания. Большое значение в диагностике имеет сбор анамнеза, выяснение давности появления симптоматики и ее связи с началом лечения антирезорбтивными препаратами. После первичного осмотра назначается расширенная программа исследования, которая включает следующие методы:
- Рентгенография челюсти. Рентгенологическое исследование - базовый метод диагностики пациентов с подозрением на остеонекроз челюсти. Визуальные изменения костной ткани включают реактивный периостальный остеогенез, уплотнение твердой пластинки альвеолы, утолщение дна верхнечелюстного синуса. С помощью рентгенографии также определяются очаги костной деструкции.
- МСКТ челюсти. На начальных стадиях процесса выявляются «пустые» костные лунки, очаги деструкции челюсти, уменьшение размера периодонтальной щели. Для поздней стадии остеонекроза характерен масштабный очаг деструкции, который выходит за границы альвеолярного отдела челюстной кости. Изредка определяются патологические переломы челюсти.
- Морфологическое исследование. Гистологическая диагностика образца костной ткани назначается всем пациентам, чтобы исключить метастатический онкологический процесс. При исследовании определяют некроз костных фрагментов с признаками хронического воспаления и бактериальными колониями.
Для постановки диагноза используют критерии Американской ассоциации хирургов-стоматологов и челюстно-лицевых хирургов (AAOMS). Она включает 3 основных пункта: терапия антирезорбтивными препаратами, участки секвестрированной костной ткани в течение 8 недель и более, отсутствие раковых метастазов в челюсть. В процессе обследования исключают остеомиелит, пародонтит, цементно-оссифицирющуюся дисплазию.

Лечение остеонекроза челюсти
Консервативная терапия
Применение БФ и других видов антирезорбтивной терапии имеет больше преимуществ, по сравнению с возможными осложнениями. Поэтому отказ от приема препаратов нерационален в тех случаях, когда они успешно работают с основным заболеванием и показывают стабильный терапевтический эффект. Усилия врачей направлены на минимизацию побочных эффектов от бисфосфонатной терапии, динамическое наблюдение больных для предупреждения и своевременного выявления признаков остеонекроза челюсти.
Медикаментозная терапия включает использование местных антибиотиков и антисептиков для полости рта. Такое лечение уничтожает пародонтальные патогены, уменьшает активность воспалительного процесса и замедляет деструкцию челюсти. Учитывая сниженный иммунитет большинства пациентов и иммуносупрессивное действие антибиотикотерапии, обязательно проводят прикрытие противогрибковыми препаратами.
Хирургическое лечение
При обширных очагах остеонекроза и секвестрации изолированная консервативная терапия не будет эффективной. Для удаления пораженных тканей проводятся операции секвестрэктомии, резекции челюсти в пределах здоровых тканей. Большие сложности для пациентов представляют травматичность самой операции и течения реабилитационного периода. В дальнейшем проводятся реконструктивно-пластические операции для восстановления костного дефекта.
Экспериментальная терапия
Постоянно проводится поиск и разработка более эффективных и менее травматичных методик лечения. В медицинской литературе описаны единичные случаи применения фотодинамической терапии для уничтожения бактерий, пересадка стволовых клеток костного мозга, использование аутологичного концентрата тромбоцитов. Сообщается о позитивных результатах флуоресцентной хирургии, эндоскопических вмешательств.
Прогноз и профилактика
Несмотря на разнообразные методы лечения остеонекроза, у большинства пациентов не удается достичь стойкого клинического эффекта. Боли, деструктивный очаг и связанные с этим ограничения питания наблюдаются у большинства больных. Эффективная профилактика лекарственно-индуцированного некроза - стоматологический скрининг перед началом антирезорбтивной терапии, полная санация ротовой полости и удаление зубов, если это необходимо.
1. Бисфосфонатный остеонекроз челюстей у онкологических пациентов/ А.К. Эбзеев// Казанский медицинский журнал. - 2020. - №2.
2. Современный взгляд на проблему бисфосфонатного остеонекроза челюстей (обзорная статья)/ М.В. Журавлева, Л.В. Журавлев, И.В. Фирсова// Здоровье и образование в XXI веке. - 2018. - №5.
3. Препарат-обусловленные остеонекрозы челюстей/ Е. Басин, Ю. Медведев, К. Поляков// Врач. - 2014. - №12.
Некроз челюсти: причины и методы лечения
Некроз челюсти - это тяжелое воспалительное заболевание, при котором обнажаются и отмирают кости лицевого скелета.
Отмирание клеток провоцирует:
- Лучевая терапия. Причем некроз кости челюсти может развиться через некоторое время после окончания облучения, что затрудняет диагностику.
- Прием синтетических наркотиков. Наркотики разрушают остеобласты - основу костной ткани.
- Прием препаратов бисфосфонатного ряда. Эти препараты назначают при остеопорозе (в малых дозах) и онкологических заболеваниях, которые затрагивают кости скелета (длительно, в больших дозах).
- Снижение иммунитета в результате заболеваний (ревматизм, болезни крови, полиартрит, диабет) или химиотерапии.
- Инфекционные заболевания - общие и ротовой полости.
- Травмы челюсти.
Причины разрушения костей челюсти
Болезнь развивается при сочетании нескольких факторов. При прочих одинаковых условиях, в группу риска попадают пациенты:
- с плохой гигиеной рта;
- с периодонтитом;
- после стоматологической операции, в том числе по удалению зуба;
- принимающие долгое время большие дозы бисфосфонатов;
- во время химио- и кортикостероидной терапии;
- проходящие лечение противоопухолевыми препаратами;
- с диабетом;
- с плохо подогнанными, натирающими протезами.
Инфекции любой этиологии значительно увеличивают возможность заболеть. Непролеченные, кариозные зубы открывают дорогу патогенам не только в ротовую полость. В запущенных случаях, когда начинаются гнойные выделения, инфекция попадает в общий кровоток и разносится по всему организму. С другой стороны, синуситы, отиты, ангины - это огромное количество патогенов, которые провоцируют серьезные заболевания зубов. Осложнение в том и другом случае могут привести к остеомиелиту, а он - к некрозу челюсти.
Симптомы и течение
К сожалению, долгое время болезнь может протекать вообще без симптомов. Пациент не испытывает боли, поэтому к врачу обращается, уже когда инфекция проникла глубоко в кость.
Признаки некроза челюсти:
- боль в пораженном инфекцией зубе или в лунке удаленного;
- расшатывание зубов;
- отечность, выраженная настолько, что нарушает симметрию лица;
- гнойные выделения из десен;
- гнилостный запах изо рта;
- болевые ощущения при глотании, жевании, разговоре.
Основной признак остеонекроза челюсти - обнажение кости.
Классификация
Течение заболевание, спровоцированного инфекцией может иметь острый, хронический и подострый характер.
По месту расположения выделяют:
- остеонекроз нижней челюсти;
- некроз верхней челюсти.
По типу инфицирования:
- эндогенный - заражение происходит в результате стоматологических заболеваний;
- гематогенный - патогены попадают в челюсть с током крови.
- лекарственный (бисфофосфонатный);
- травматический.
Американская ассоциация стоматологов определяет следующие стадии развития заболевания:
0 стадия - зубная боль, которая отдается в височно-нижнечелюстной сустав или пазуху носа. Подвижность зубов, при сохранном пародонте. Появление свищей,кист, флюсов.
1 стадия - обнажение участка кости без сильных болей
2 стадия - обнажение участка кости, сопровождающееся болью и воспалением
3 стадия - обнажение участка кости, которое выходит за пределы альвеолярной (той, в которой находится зуб) кости. При некрозе нижней челюсти поражается челюсть вплоть до нижнего края. Происходит атрофия костной ткани. Это стадия патологических переломов. При некрозе верхней челюсти затрагивается скуловая дуга и верхнечелюстная пазуха. Образуются многочисленные свищи.
Симптомы остеонекроза челюсти сходны с другими заболеваниями: опухолями, туберкулезом костей, актиномикозом. Поэтому обследование проводят комплексно:
Если пациент перенес остеомиелит, принимает большие дозы бисфосфонатов, проходил лучевую терапию или у него была травма челюсти, то врач проведет дополнительное обследование. Оно подтвердит или опровергнет наличие некроза.
Если кость обнажилась, то диагноз поставить легче, но, если болезнь находится на нулевой стадии, нужны дополнительные данные.
Положительные пробы на с-реактивный белок, лейкоцитоз, высокий СОЭ - причины заподозрить некротический процесс. Также проверяют мочу на наличие белка, клеток крови. В некоторых случаях, делают анализ гнойных выделений, чтобы определить патоген перед назначением бактериальной терапии.
Рентген, а лучше КТ (компьютерная томография) помогает определить площадь патологического процесса, степень поражения, наличие переломов, секвестров (отмерших фрагментов кости, свободно лежащих между здоровых тканей).
Лечение
Задача стоматолога - остановить разрушение костной ткани, предотвратить сепсис, облегчить симптоматику.
Для этого применяют терапевтические и хирургические методы, такие, как:
Назначают антибиотики широкого спектра действия, антигистаминные препараты, асептические растворы для полоскания рта. При болях выписывают анальгетики.
Врач проводит кюретаж карманов или лунок удаленных зубов. Убирает секвестры, вскрывает и обеспечивает дренаж гнойных очагов, шинирует подвижные зубы.
В зависимости от стадии заболевания, показана операция, при которой пораженная кость удаляется полностью, остается только ее здоровая часть.
Лечение некроза челюсти - многоэтапный процесс, который требует участия нескольких врачей. В зависимости от характера заболевания, стоматолог работает в тесной связи с онкологом или врачом общей практики. Для восстановительных операций под общим наркозом, требуется участие анестезиолога и челюстно-лицевого хирурга.
Профилактика
Своевременная стоматологическая помощь способна предотвратить развитие гнойных процессов, распространение инфекции на костные ткани. Важно проводить санацию полости рта не откладывая, чтобы вовремя уничтожать все очаги инфекции.
Врачи рекомендуют устранить все стоматологические проблемы до начала лечения бисфосфонатами. Если лечение проводится во время БФ терапии - обязательно предупредите врача. Он примет дополнительные меры по антисептической обработке, ушьет лунки, назначит антибактериальную терапию.
Здоровый образ жизни, сбалансированное питание укрепляют иммунитет, не дают инфекциям распространятся. Это предупреждает развитие воспалительных процессов и их осложнений в виде некроза челюсти.
КТ челюсти

Компьютерная томография (КТ) челюсти - современный метод неинвазивной диагностики. Данная процедура проходит с помощью специального аппарата, который называется томограф, а также компьютерного оборудования, подключенного к устройству. Диагностика часто используется стоматологами, отоларингологами и челюстно-лицевыми хирургами.
Что такое КТ челюсти и что оно показывает
Компьютерный томограф представляет собой кольцо, через которое проезжает стол с лежащим на нем пациентом, когда делается серия последовательных снимков.
Компьютерная томография показывает все необходимые структуры:
тело и все четыре отростка верхней челюсти;
тело и ветви нижней челюсти;
прилегающие костные и полостные структуры - гайморовы пазухи, кости носа.

Вариант нормы на КТ челюсти
Мягкие ткани способны пропускать рентгеновские лучи, и на снимке они отображаются серыми оттенками. Плотные ткани, напротив, поглощают лучи, и на томограмме имеют белый цвет.
Интенсивность затемнения отдельных областей является основным диагностическим показателем, анализируя который, доктор сможет определить наличие или отсутствие патологий в вашем организме.
Показания к КТ челюсти
Компьютерная томография челюсти показывает состояние данного участка, и дает возможность определить патологические нарушения.
Диагностика этой области проводится:
при подготовке к трудным стоматологическим операциям (протезирование, установка имплантов), точный анализ строения челюстной кости дает возможность хирургу получить полное представление об анатомических особенностях пациента и выбрать подходящую тактику лечения, а также в процессе хирургического вмешательства предотвратить нежелательные осложнения;
при подозрении на новообразования (доброкачественные или злокачественные опухоли, а также кисты);
при аномалии развития костной системы области челюсти;
при воспалениях и гнойных заболеваниях;
при переломах и травмах лицевой части черепа.
КТ челюсти и гайморовых пазух
Иногда пациент обращается к стоматологу из-за проблем с зубами, а врач назначает КТ челюсти и гайморовых пазух. Не переживайте, это не попытка навязать дополнительные обследования - часто без сканирования смежных зон просто не обойтись.
Заболевания челюсти и гайморовых (верхнечелюстных) пазух связаны с особенностями их морфологического строения. Корни зубов моляров, а иногда и премоляров (4,5,6,7 и зубы мудрости) проникают в дно пазухи. Поэтому, при возникновении проблем с зубами, это сказывается на состоянии околоносовых пазух.

КТ челюсти и придаточных пазух
То есть ЛОР-заболевания могут быть тесно связаны со стоматологическими проблемами. И иногда требуется консультация двух специалистов: и стоматолога, и оториноларинголога.
Вследствие осложнений стоматологического лечения в пазухе носа могут быть инородные тела, остатки зубов, пломбировочный материал. Если такая неприятность возникла, то не обойтись без КТ, как челюсти, так и гайморовых пазух. Потребуется комплексная терапия - одновременное лечение и зубов, и синусов. В этой ситуации КТ дает панорамную картину, позволяет оценить масштабы проблемы и позволяет специалисту составить правильное лечение.
Отличие КТ челюсти от рентгена
Разница между этими методами инструментальной диагностики довольна большая. Бывают моменты, когда их отличия играют решающую роль в постановке корректного диагноза.
Полученный результат рентген-снимка оценивают исключительно в одной плоскости, что не дает развернутой картины происходящего. Костные образования могут заходить друг за друга, и рентгенолог не всегда может четко отличить накладывающиеся изображения.
КТ, напротив, дает объемную трехмерную модель органа, верхнюю и нижнюю челюсть можно оценить сразу в нескольких проекциях и посмотреть даже внутреннюю структуру костей.

Рентгеновский снимок челюсти
низкая стоимость процедуры - исследование часто можно сделать бесплатно в рамках программы ОМС;
широкая доступность - рентген выполняется практически в любой поликлинике;
легкость в исполнении - не требуется переквалификация специалистов, достаточно базового образования в области лучевой диагностики;
С компьютерной томографией челюсти все немного сложнее. Цены на эту услугу традиционно выше, что связано с большей сложностью оборудования и высокой квалификацией медицинского персонала. Относительно большая стоимость компенсируется информативностью диагностики - строение челюстей можно оценить со всех сторон, нет наложения и смазанности контуров, характерных для рентгенографии.
В медицинском центре “Магнит” в Санкт-Петербурге цены на КТ челюсти одни из самых лояльных в Санкт-Петербурге благодаря периодическому проведению акций на диагностику.
Противопоказания к КТ челюсти
Существует ряд противопоказаний, при которых не рекомендуется проводить процедуру.
К ним относятся:
вес более 150 кг или обхват более 150 см (аппарат рассчитан на нагрузку до 150 кг);
беременность (повышается риск развития пороков у плода);
период лактации (во время процедуры лучи непосредственно могут влиять на состав молока кормящей женщины);
тяжелые психические заболевания (во время процедуры человек должен находиться в состоянии покоя);
присутствие в зоне интереса металлических предметов, поскольку они могут понизить информативность результатов;
Проведение КТ челюсти в СПб
Компьютерная томография может проводиться двумя способами:
с использованием контрастного вещества;
без использования контрастного вещества.
В случае применения первого способа, перечень противопоказаний увеличивается:
заболевания мочевыделительной системы (почечная недостаточность) с повышением уровня креатинина - так как контраст выделяется почками, существует возможность возникновения тяжелых осложнений во время его выведения из организма;
сахарный диабет при приеме пероральных сахароснижающих препаратов (необходима консультация у лечащего врача-эндокринолога с коррекцией терапии перед проведением процедуры);
аллергия на йод, индивидуальная непереносимость;
Кормящим женщинам нужно помнить, что после контраста не следует сразу кормить грудью, надо сцеживать молоко не менее чем два кормления подряд, и подождать пока препарат полностью выделится из организма, чтоб не причинить вред ребенку.

Компьютерный томограф Сименс
С какой целью используют контрастное вещество
Контрастное вещество используют с целью улучшения расшифровки результатов. Препарат является непроницаемым для рентгеновского излучения: он помогает четче визуализировать структуру внутренних органов, тканей и патологических образований. Специальной подготовки перед проведением исследования нет.
При исследовании верхней и нижней челюсти, пациент должен находиться в неподвижном, расслабленном состоянии, в горизонтальном положении все время, сколько идет сканирование. Для того, чтобы предотвратить облучения других частей тела, его укрывают свинцовым халатом. Процедура безболезненная, длится совсем недолго (вместе с подготовкой около 10-15 минут). Пациент не чувствует никакого дискомфорта.
Томограф подключен к компьютеру, который считывает с него информацию. Последняя автоматически сохраняется в базу данных, и если произошла потеря бумажного экземпляра, ее с легкостью можно восстановить.
Результаты КТ
Результаты исследования расшифрует врач-рентгенолог, проводивший компьютерную томографию, а назначает лечение ваш лечащий доктор, который дал направление на процедуру.
После обследования пациент получает заключение врача-рентгенолога, а также CD-диск с записью всей процедуры и программой для его чтения.
Читайте также:
- PC-вирус и бронхиальная астма. Интерфероны при вирусных инфекциях.
- Рабдомиома сердца. Виды рабдомиом сердца. Признаки рабдомиомы сердца.
- УЗИ при гидроцеле мошонки
- Врожденный анкилоблефарон: причины, диагностика, лечение
- Дозы калия в поляризующей смеси. Дозированная нагрузка объемом при инфаркте миокарда
